Pancreatic Tuberculosis—A Condition That Mimics Pancreatic Cancer
Abstract
1. Introduction
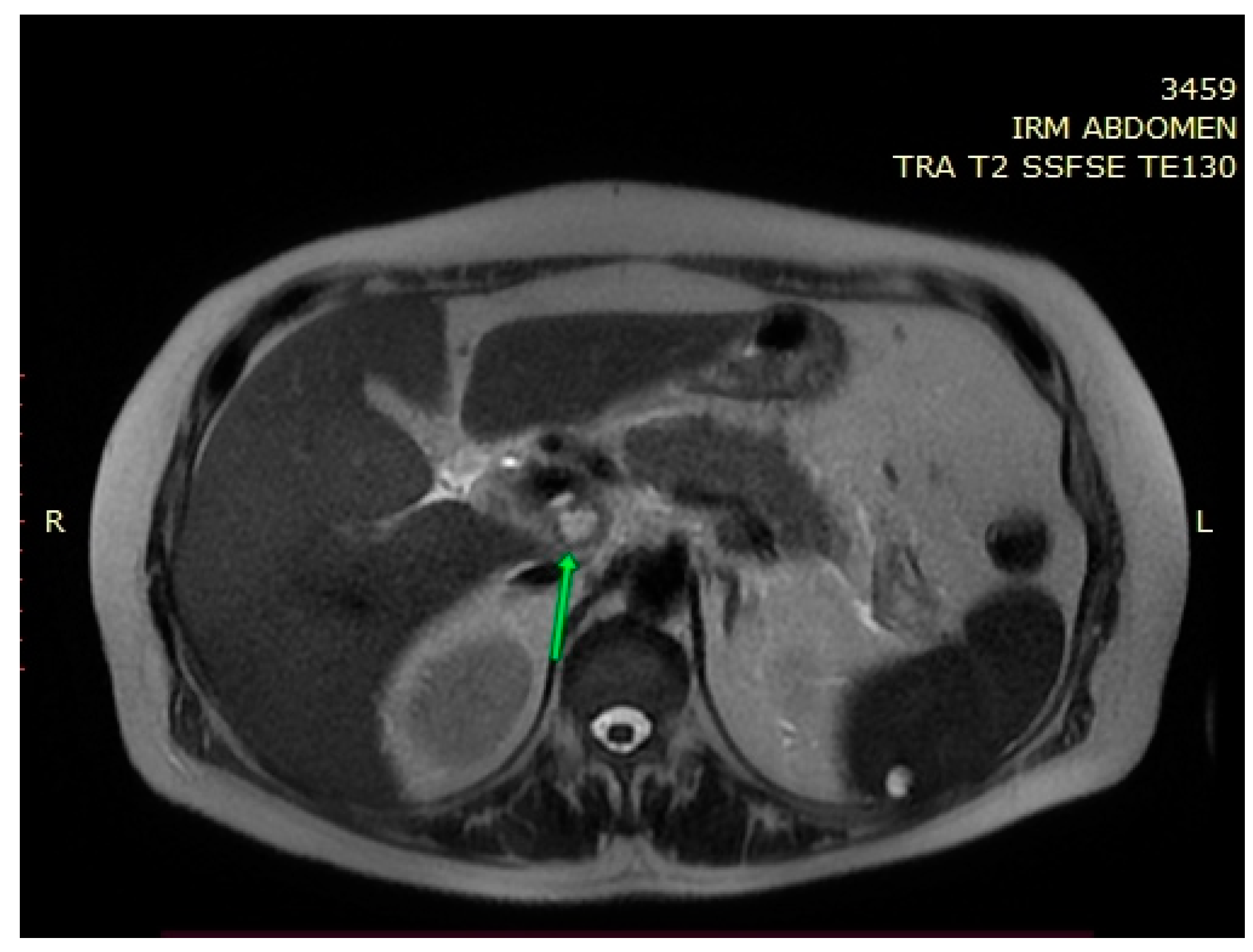
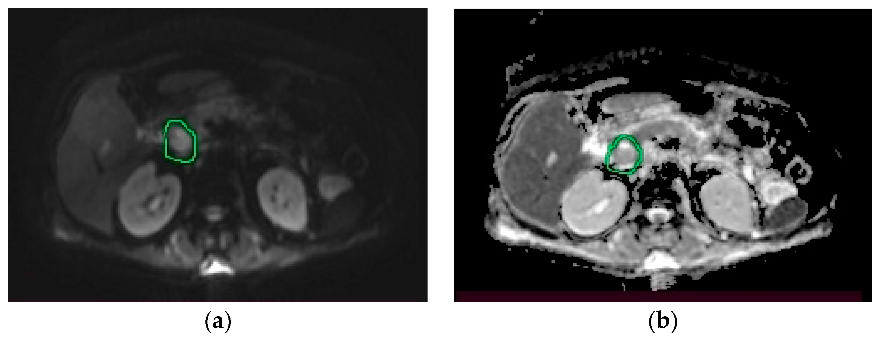
2. Case Presentation
3. Discussion
4. Conclusions
Author Contributions
Funding
Institutional Review Board Statement
Informed Consent Statement
Data Availability Statement
Conflicts of Interest
References
- World Health Organization. Available online: https://www.who.int/news-room/fact-sheets/detail/tuberculosis (accessed on 13 April 2022).
- Golli, A.L.; Nitu, M.F.; Turcu, F.; Popescu, M.; Ciobanu-Mitrache, L.; Olteanu, M. Tuberculosis remains a public health problem in Romania. Int. J. Tuberc. Lung Dis. 2019, 23, 226–231. [Google Scholar] [CrossRef]
- Incidence of Tuberculosis (per 100,000 People)—Romania. Available online: https://data.worldbank.org/indicator/SH.TBS.INCD?locations=RO (accessed on 13 April 2022).
- Singhal, A.; Gulati, A.; Frizell, R.; Manning, A.P. Abdominal tuberculosis in Bradford, UK: 1992–2002. Eur. J. Gastroenterol. Hepatol. 2005, 17, 967–971. [Google Scholar] [CrossRef] [PubMed]
- Misra, S.P.; Misra, V.; Dwivedi, M.; Gupta, S.C. Colonic tuberculosis: Clinical features, endoscopic appearance and management. J. Gastroenterol. Hepatol. 1999, 14, 723–729. [Google Scholar] [CrossRef]
- Panic, N.; Maetzel, H.; Bulajic, M.; Radovanovic, M.; Lohr, J.M. Pancreatic tuberculosis: A systematic review of symptoms, diagnosis and treatment. United Eur. Gastroenterol. J. 2020, 8, 396–402. [Google Scholar] [CrossRef]
- Sun, P.J.; Lin, Y.; Cui, X.J. Isolated pancreatic tuberculosis with elevated CA 19-9 levels masquerading as a malignancy: A rare case report and literature review. Medicine 2018, 97, e13858. [Google Scholar] [CrossRef] [PubMed]
- Singhai, P.; Gadhadh, R.; Joshi, S.; Krishnan, S.; Aparna, C. Isolated pancreatic tuberculosis in an immunocompetent host. J. Assoc. Physicians India 2017, 65, 98–100. [Google Scholar]
- Falkowski, A.L.; Graber, J.; Haack, H.G.; Tarr, P.E.; Rasch, H. Isolated pancreatic tuberculosis: A case report and radiological comparison with cystic pancreatic lesions. J. Radiol. Case Rep. 2013, 7, 1–11. [Google Scholar] [CrossRef] [PubMed]
- Rana, S.; Sharma, V.; Sharma, R.; Bhasin, D. Involvement of mediastinal/intra-abdominal lymph nodes, spleen, liver, and left adrenal in presumed isolated pancreatic tuberculosis: An endoscopic ultrasound study. J. Dig. Endosc. 2016, 6, 15–18. [Google Scholar]
- Hesseling, A.C.; Rabie, H. Tuberculosis and HIV remain major causes of death in African children. Int. J. Tuberc. Lung Dis. 2016, 20, 996–997. [Google Scholar] [CrossRef]
- Sharma, V.; Rana, S.S.; Kumar, A.; Bhasin, D.K. Pancreatic tuberculosis. J. Gastroenterol. Hepatol. 2016, 31, 310–318. [Google Scholar] [CrossRef]
- Sohni, D. Pancreatic mass: Include yuberculosis in the differential diagnosis. Cureus 2021, 13, e15430. [Google Scholar] [CrossRef] [PubMed]
- Cho, S.B. Pancreatic tuberculosis presenting with pancreatic cystic tumor: A case report and review of the literature. Korean J. Gastroenterol. 2009, 53, 324–328. [Google Scholar] [CrossRef] [PubMed][Green Version]
- Abbaszadeh, M.; Rezai, J.; Hasibi, M.; Larry, M.; Ostovaneh, M.R.; Javidanbardan, S.; Mirbagheri, S.A. Pancreatic tuberculosis in an immunocompetent patient: A case report and review of the literature. Middle East J. Dig. Dis. 2017, 9, 239–241. [Google Scholar] [CrossRef] [PubMed][Green Version]
- Veerabadran, P.; Sasnur, P.; Subramanian, S.; Marappagounder, S. Pancreatic tuberculosis-abdominal tuberculosis presenting as pancreatic abscesses and colonic perforation. World J. Gastroenterol. 2007, 13, 478–479. [Google Scholar] [CrossRef] [PubMed]
- Kim, J.B.; Lee, S.S.; Kim, S.H.; Byun, J.H.; Park, D.H.; Lee, T.Y.; Lee, B.U.; Jeong, S.U.; Seo, D.W.; Lee, S.K.; et al. Peripancreatic tuberculous lymphadenopathy masquerading as pancreatic malignancy: A single-center experience. J. Gastroenterol. Hepatol. 2014, 29, 409–416. [Google Scholar] [CrossRef]
- Xia, F.; Poon, R.T.; Wang, S.G.; Bie, P.; Huang, X.Q.; Dong, J.H. Tuberculosis of pancreas and peripancreatic lymph nodes in immunocompetent patients: Experience from China. World J. Gastroenterol. 2003, 9, 1361–1364. [Google Scholar] [CrossRef]
- Ibrahim, G.F.; Al-Nakshabandi, N.A. Pancreatic tuberculosis: Role of multidetector computed tomography. Can. Assoc. Radiol. J. 2011, 62, 260–264. [Google Scholar] [CrossRef]
- Rana, S.S.; Sharma, V.; Sampath, S.; Sharma, R.; Mittal, B.R.; Bhasin, D.K. Vascular invasion does not discriminate between pancreatic tuberculosis and pancreatic malignancy: A case series. Ann. Gastroenterol. 2014, 27, 395–398. [Google Scholar]
- Margekar, S.L.; Meena, R.K.; Kapoor, S.; Dhamija, R.K. Pancreatic tuberculosis: An unusual presentation. Natl. Med. J. India 2021, 34, 86–87. [Google Scholar] [CrossRef]
- Fogel, E.L.; Shahda, S.; Sandrasegaran, K.; DeWitt, J.; Easler, J.J.; Agarwal, D.M.; Eagleson, M.; Zyromski, N.J.; House, M.G.; Ellsworth, S.; et al. A multidisciplinary approach to pancreas cancer in 2016: A review. Am. J. Gastroenterol. 2017, 112, 537–554. [Google Scholar]
- Yan, C.Q.; Guo, J.C.; Zhao, Y.P. Diagnosis and management of isolated pancreatic tuberculosis: Experience of 13 cases. Chin. Med. Sci. J. 2007, 22, 152–155. [Google Scholar] [PubMed]
- Pandita, K.K.; Sarla; Dogra, S. Isolated pancreatic tuberculosis. Indian J. Med. Microbiol. 2009, 27, 259–260. [Google Scholar] [PubMed]
- Rushing, J.L.; Hanna, C.J.; Selecky, P.A. Pancreatitis as the presenting manifestation of military tuberculosis. West. J. Med. 1978, 129, 432–436. [Google Scholar] [PubMed]
- Patankar, T.; Prasad, S.; Laxminarayan, R. Diabetes mellitus: An uncommon manifestation of tuberculosis. J. Assoc. Physicians India 1999, 47, 938–939. [Google Scholar]
- Fan, S.T.; Yan, K.W.; Lau, W.Y.; Wong, K.K. Tuberculosis of the pancreas: A rare cause of massive gastrointestinal bleeding. Br. J. Surg. 1986, 73, 373. [Google Scholar]
- Auerbach, O. Acute generalized Miliary Tuberculosis. Am. J. Pathol. 1944, 20, 121–136. [Google Scholar]
- Nagar, A.M.; Raut, A.A.; Morani, A.C.; Sanghvi, D.A.; Desai, C.S.; Thapar, V.B. Pancreatic tuberculosis: A clinical and imaging review of 32 cases. J. Comput. Assist. Tomogr. 2009, 22, 136–141. [Google Scholar]
- Jeon, C.Y.; Murray, M.B. Diabetes mellitus increases the risk of active tuberculosis: A systematic review of 13 observational studies. PLoS Med. 2008, 5, e152. [Google Scholar]
- Martens, G.W.; Arikan, M.C.; Lee, J.; Ren, F.; Greiner, D.; Kornfeld, H. Tuberculosis susceptibility of diabetic mice. Am. J. Respir. Cell Mol. Biol. 2007, 37, 518–524. [Google Scholar]
- Viardot, A.; Grey, S.T.; Mackay, F.; Chisholm, D. Potential antiinflammatory role of insulin via the preferential polarization of effector T cells toward a T helper 2 phenotype. Endocrinology 2007, 148, 346–353. [Google Scholar]
- Pande, T.; Huddart, S.; Xavier, W.; Kulavalli, S.; Chen, T.; Pai, M.; Saravu, K. Prevalence of diabetes mellitus amongst hospitalized tuberculosis patients at an Indian tertiary care center: A descriptive analysis. PLoS ONE 2018, 13, e0200838. [Google Scholar]
- Jemni, I.; Akkari, I.; Mrabet, S.; Jazia, E.B. Isolated pancreatic tuberculosis mimicking pancreatic cancer in an immunocompetent host: An elusive diagnosis. Radiol. Case Rep. 2020, 15, 1575–1578. [Google Scholar] [PubMed]
- Chaudhary, P.; Bhadana, U.; Arora, M.P. Pancreatic tuberculosis. Indian J. Surg. 2015, 77, 517–524. [Google Scholar]
- Shahrokh, S.; Miri, M.B.; Safari, M.T.; Alizadeh, A.H.M. Pancreatic tuberculosis: An overview. JOP J. Pancreas 2015, 16, 232–238. [Google Scholar]
- Franco-Paredes, C.; Leonard, M.; Jurado, R.; Blumberg, H.H.; Smith, R.M. Tuberculosis of the pancreas: Report of two cases and review of the literature. Am. J. Med. Sci. 2002, 323, 54–58. [Google Scholar] [PubMed]
- De Backer, A.I.; Mortele, K.J.; Bomans, P.; De Keulenaer, B.L.; Vanschoubroeck, I.J.; Kockc, M.M. Tuberculosis of the pancreas: MRI features. Am. J. Roentgenol. 2005, 184, 50–54. [Google Scholar] [CrossRef] [PubMed]
- Nakai, Y.; Tsujino, T.; Kawabe, T.; Kogure, H.; Sasaki, T.; Yamamoto, N.; Sasahira, N.; Isayama, H.; Tada, M.; Omata, M. Pancreatic tuberculosis with a pancreaticobiliary fistula. Dig. Dis. Sci. 2007, 52, 1225–1228. [Google Scholar]
- Sachdev, A.; D’Cruz, S.; Chauhan, S.; Thakur, R.; Kapoor, V.; Handa, U. Pancreaticobiliary tuberculosis diagnosed by endoscopic brushings. J. Pancreas 2006, 7, 665–669. [Google Scholar]
- Hoilat, G.J.; Abdu, M.; Hoilat, J.; Gitto, L.; Bhutta, A.Q. A Rare Case of Pancreatic Tuberculosis Diagnosed via Endoscopic Ultrasound-Guided Fine Needle Aspiration and Polymerase Chain Reaction. Cureus 2020, 12, e8795. [Google Scholar]
- Rana, S.S.; Bhasin, D.K.; Srinivasan, R.; Sampath, S.; Mittal, B.R.; Singh, K. Distinctive endoscopic ultrasound features of isolated pancreatic tuberculosis and requirements for biliary stenting. Clin. Gastroenterol. Hepatol. 2012, 10, 323–325. [Google Scholar]
- Chatterjee, S.; Schmid, M.L.; Anderson, K.; Oppong, K.W. Tuberculosis, and the pancreas: A diagnostic challenge solved by endoscopic ultrasound. A case series. J. Gastrointest Liver Dis. 2012, 21, 105–107. [Google Scholar]
- Song, T.J.; Lee, S.S.; Park, D.H.; Lee, T.Y.; Lee, S.O.; Seo, D.W.; Lee, S.K.; Kim, M.H. Yield of EUS-guided FNA on the diagnosis of pancreatic/peripancreatic tuberculosis. Gastrointest Endosc. 2009, 69, 484–491. [Google Scholar] [PubMed]
- Chaudhary, A.; Negi, S.S.; Sachdev, A.K.; Gondal, R. Pancreatic tuberculosis: Still a histopathological diagnosis. Dig. Surg. 2002, 19, 389–392. [Google Scholar]
- Arai, J.; Kitamura, K.; Yamamiya, A.; Ishii, Y.; Nomoto, T.; Honma, T.; Ishida, H.; Shiozawa, E.; Takimoto, M.; Yoshida, H. Peripancreatic tuberculous lymphadenitis diagnosed via endoscopic ultrasound-guided fine-needle aspiration and polymerase chain reaction. Intern. Med. 2017, 56, 1049–1052. [Google Scholar] [PubMed]
- Chu, L.C.; Goggins, M.G.; Fishman, E.K. Diagnosis and detection of pancreatic cancer. Cancer J. 2017, 23, 333–342. [Google Scholar] [PubMed]
- Gheorghe, G.; Bungau, S.; Ilie, M.; Behl, T.; Vesa, C.M.; Brisc, C.; Bacalbasa, N.; Turi, V.; Costache, R.S.; Diaconu, C.C. The early diagnosis of pancreatic cancer: The key for survival. Diagnostics 2020, 10, E869. [Google Scholar] [PubMed]







Publisher’s Note: MDPI stays neutral with regard to jurisdictional claims in published maps and institutional affiliations. |
© 2022 by the authors. Licensee MDPI, Basel, Switzerland. This article is an open access article distributed under the terms and conditions of the Creative Commons Attribution (CC BY) license (https://creativecommons.org/licenses/by/4.0/).
Share and Cite
Diaconu, C.C.; Gheorghe, G.; Hortopan, A.; Enache, V.; Ceobanu, G.; Jinga, V.; Adrian, C.; Ionescu, V.-A. Pancreatic Tuberculosis—A Condition That Mimics Pancreatic Cancer. Medicina 2022, 58, 1165. https://doi.org/10.3390/medicina58091165
Diaconu CC, Gheorghe G, Hortopan A, Enache V, Ceobanu G, Jinga V, Adrian C, Ionescu V-A. Pancreatic Tuberculosis—A Condition That Mimics Pancreatic Cancer. Medicina. 2022; 58(9):1165. https://doi.org/10.3390/medicina58091165
Chicago/Turabian StyleDiaconu, Camelia Cristina, Gina Gheorghe, Andreea Hortopan, Valentin Enache, Gabriela Ceobanu, Viorel Jinga, Cosmin Adrian, and Vlad-Alexandru Ionescu. 2022. "Pancreatic Tuberculosis—A Condition That Mimics Pancreatic Cancer" Medicina 58, no. 9: 1165. https://doi.org/10.3390/medicina58091165
APA StyleDiaconu, C. C., Gheorghe, G., Hortopan, A., Enache, V., Ceobanu, G., Jinga, V., Adrian, C., & Ionescu, V.-A. (2022). Pancreatic Tuberculosis—A Condition That Mimics Pancreatic Cancer. Medicina, 58(9), 1165. https://doi.org/10.3390/medicina58091165

