Radiologic Findings of Single Accessory Splenic Infarction in a Patient with Accessory Spleens in the Abdominal Cavity: A Case Report
Abstract
1. Introduction
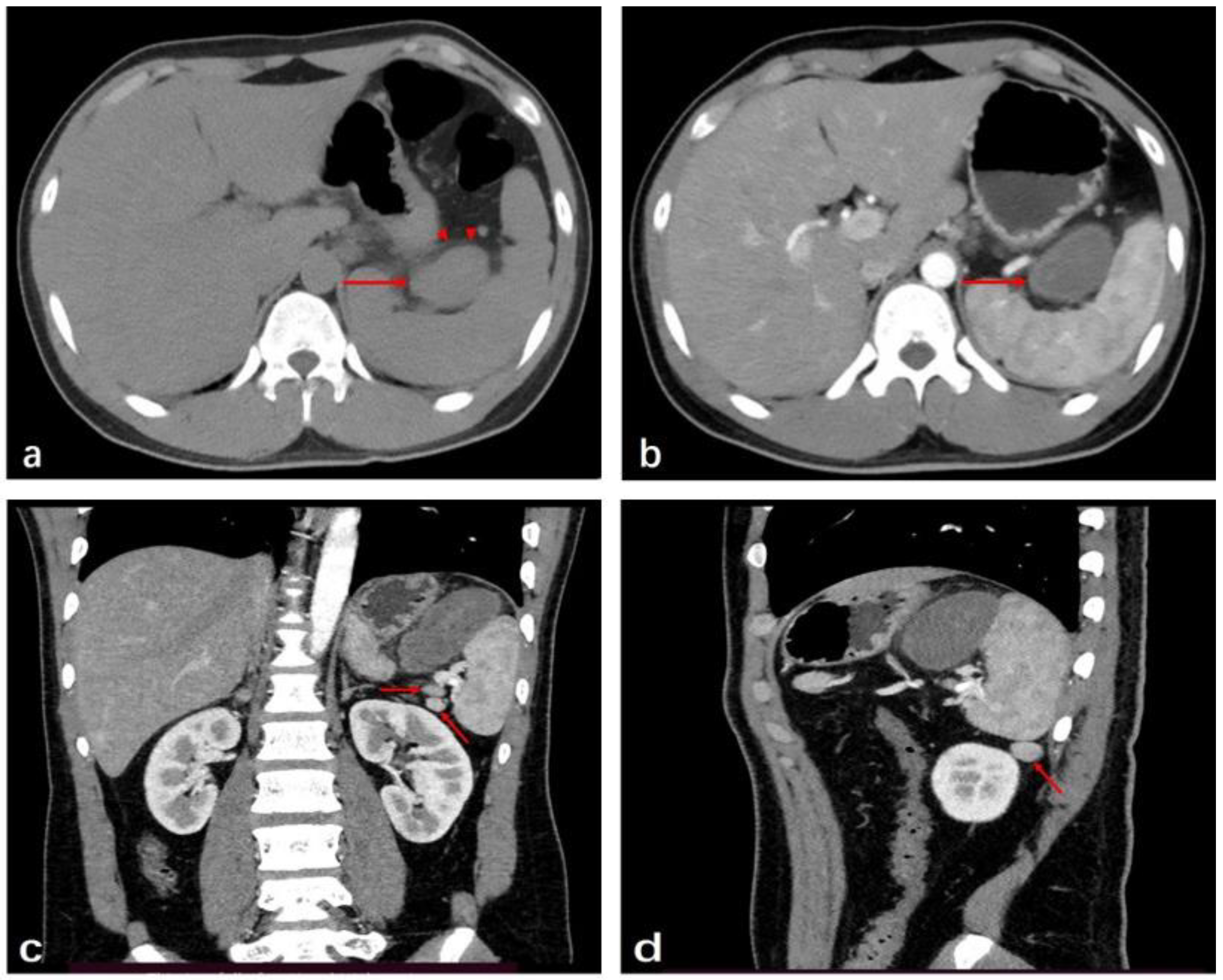
2. Case Presentation
3. Discussion
4. Conclusions
Author Contributions
Funding
Institutional Review Board Statement
Informed Consent Statement
Data Availability Statement
Conflicts of Interest
References
- Unver Dogan, N.; Uysal, I.I.; Demirci, S.; Dogan, K.H.; Kolcu, G. Accessory spleens at autopsy. Clin. Anat. 2011, 24, 757–762. [Google Scholar] [CrossRef] [PubMed]
- Vikse, J.; Sanna, B.; Henry, B.M.; Taterra, D.; Sanna, S.; Pękala, P.A.; Walocha, J.A.; Tomaszewski, K.A. The prevalence and morphometry of an accessory spleen: A meta-analysis and systematic review of 22,487 patients. Int. J. Surg. 2017, 45, 18–28. [Google Scholar] [CrossRef] [PubMed]
- Elsayes, K.M.; Narra, V.R.; Mukundan, G.; Lewis, J.S., Jr.; Menias, C.O.; Heiken, J.P. MR imaging of the spleen: Spectrum of abnormalities. Radiographics 2005, 25, 967–982. [Google Scholar] [CrossRef] [PubMed]
- Radu, C.C.; Muţiu, G.; Pop, O. Accessory spleen. Rom. J. Morphol. Embryol. Rev. Roum. Morphol. Embryol. 2014, 55, 1243–1246. [Google Scholar]
- Virgilio, E.; Addario Chieco, P.; Salaj, A.; Giaccaglia, V.; Tarantino, G.; Ziparo, V. Non-operative management for ruptured splenule in haemodynamically stable patients previously splenectomized. ANZ J. Surg. 2014, 84, 396–397. [Google Scholar] [CrossRef]
- Babcock, T.L.; Coker, D.D.; Haynes, J.L.; Conklin, H.B. Infarction of an accessory spleen causing an acute abdomen. Am. J. Surg. 1974, 127, 336–337. [Google Scholar] [CrossRef]
- Onuigbo, W.I.; Ojukwu, J.O.; Eze, W.C. Infarction of accessory spleen. J. Pediatr. Surg. 1978, 13, 129–130. [Google Scholar] [CrossRef]
- Hems, T.E.; Bellringer, J.F. Torsion of an accessory spleen in an elderly patient. Postgrad. Med. J. 1990, 66, 838–839. [Google Scholar] [CrossRef]
- Wang, H.; So, H.; Nah, Y.W.; Kim, M.; Lee, T.Y.; Seo, M.; Bang, S.-J. Acute Abdominal Pain due to Accessory Splenic Infarction in an Adult: A Case Report. Korean J. Gastroenterol. 2021, 78, 183–187. [Google Scholar] [CrossRef]
- Mohammadi, S.; Hedjazi, A.; Sajjadian, M.; Ghrobi, N.; Moghadam, M.D.; Mohammadi, M. Accessory Spleen in the Splenic Hilum: A Cadaveric Study with Clinical Significance. Med. Arch. 2016, 70, 389–391. [Google Scholar] [CrossRef]
- Seo, T.; Ito, T.; Watanabe, Y.; Umeda, T. Torsion of an accessory spleen presenting as an acute abdomen with an inflammatory mass. US, CT, and MRI findings. Pediatr. Radiol. 1994, 24, 532–534. [Google Scholar] [CrossRef] [PubMed]
- Valls, C.; Monés, L.; Gumà, A.; López-Calonge, E. Torsion of a wandering accessory spleen: CT findings. Abdom. Imaging 1998, 23, 194–195. [Google Scholar] [CrossRef] [PubMed]
- Padilla, D.; Ramia, J.M.; Martin, J.; Pardo, R.; Cubo, T.; Hernandez-Calvo, J. Acute abdomen due to spontaneous torsion of an accessory spleen. Am. J. Emerg. Med. 1999, 17, 429–430. [Google Scholar] [CrossRef] [PubMed]
- Pérez Fontán, F.J.; Soler, R.; Santos, M.; Facio, I. Accessory spleen torsion: US, CT and MR findings. Eur. Radiol. 2001, 11, 509–512. [Google Scholar] [CrossRef]
- Gardikis, S.; Pitiakoudis, M.; Sigalas, I.; Theocharous, E.; Simopoulos, C. Infarction of an accessory spleen presenting as acute abdomen in a neonate. Eur. J. Pediatr. Surg. 2005, 15, 203–205. [Google Scholar] [CrossRef]
- Mendi, R.; Abramson, L.P.; Pillai, S.B.; Rigsby, C.K. Evolution of the CT imaging findings of accessory spleen infarction. Pediatr. Radiol. 2006, 36, 1319–1322. [Google Scholar] [CrossRef]
- Grinbaum, R.; Zamir, O.; Fields, S.; Hiller, N. Torsion of an accessory spleen. Abdom. Imaging 2006, 31, 110–112. [Google Scholar] [CrossRef]
- Jonisch, A.I.; Hojman, H.; Yeo, H.; Bokhari, S.A. Infarcted splenule—A case report. Emerg. Radiol. 2007, 14, 123–125. [Google Scholar] [CrossRef]
- Kim, T.H.; Kim, J.K.; Park, M.J.; Lee, J.H. Education and imaging. Hepatobiliary and pancreatic: Torsion of an accessory spleen. J. Gastroenterol. Hepatol. 2009, 24, 1308. [Google Scholar]
- Impellizzeri, P.; Montalto, A.S.; Borruto, F.A.; Antonuccio, P.; Scalfari, G.; Arena, F.; Romeo, C. Accessory spleen torsion: Rare cause of acute abdomen in children and review of literature. J. Pediatr. Surg. 2009, 44, e15–e18. [Google Scholar] [CrossRef]
- Yousef, Y.; Cameron, B.H.; Maizlin, Z.V.; Boutross-Tadross, O. Laparoscopic excision of infarcted accessory spleen. J. Laparoendosc. Adv. Surg. Tech. Part A 2010, 20, 301–303. [Google Scholar] [CrossRef] [PubMed]
- Ishibashi, H.; Oshio, T.; Sogami, T.; Nii, A.; Mori, H.; Shimada, M. Torsion of an accessory spleen with situs inversus in a child. J. Med. Investig. JMI 2012, 59, 220–223. [Google Scholar] [CrossRef] [PubMed]
- Sadro, C.T.; Lehnert, B.E. Torsion of an accessory spleen: Case report and review of the literature. Radiol. Case Rep. 2013, 8, 802. [Google Scholar] [CrossRef] [PubMed]
- Scirè, G.; Zampieri, N.; El-Dalati, G.; Camoglio, F.S. Conservative management of accessory spleen torsion in children. Minerva Pediatr. 2013, 65, 453–456. [Google Scholar]
- Bard, V.; Goldberg, N.; Kashtan, H. Torsion of a huge accessory spleen in a 20-year-old patient. Int. J. Surg. Case Rep. 2014, 5, 67–69. [Google Scholar] [CrossRef]
- Mocanu, S.N.; Sierra Vinuesa, A.; Muñoz-Ramos Trayter, C.; Castañeda Figueroa, E.A.; Garcia San Pedro, A. Accessory spleen torsion in a teenager. ANZ J. Surg. 2015, 85, 987–989. [Google Scholar] [CrossRef]
- Ozeki, M.; Asakuma, M.; Go, N.; Ogura, T.; Inoue, Y.; Shimizu, T.; Hirokawa, F.; Yamamoto, K.; Hayashi, M.; Narumi, Y.; et al. Torsion of an accessory spleen: A rare case preoperatively diagnosed and cured by single-port surgery. Surg. Case Rep. 2015, 1, 100. [Google Scholar] [CrossRef]
- Ren, C.; Liu, Y.; Cao, R.; Zhao, T.; Chen, D.; Yao, L.; Pan, Z. Colonic obstruction caused by accessory spleen torsion: A rare case report and literature review. Medicine 2017, 96, e8116. [Google Scholar] [CrossRef]
- Trinci, M.; Ianniello, S.; Galluzzo, M.; Giangregorio, C.; Palliola, R.; Briganti, V.; Tursini, S.; Miele, V. A rare case of accessory spleen torsion in a child diagnosed by ultrasound (US) and contrast-enhanced ultrasound (CEUS). J. Ultrasound 2019, 22, 99–102. [Google Scholar] [CrossRef]
- Simon, D.A.; Fleishman, N.R.; Choi, P.; Fraser, J.D.; Fischer, R.T. Torsion of an Accessory Spleen in a Child With Biliary Atresia Splenic Malformation Syndrome. Front. Pediatr. 2020, 8, 220. [Google Scholar] [CrossRef]
- Azzi, M.C.; El-Khoury, E.F. Infarcted accessory spleen due to segmental portal hypertension. J. Med. Liban. Leban. Med. J. 2010, 58, 228–230. [Google Scholar]
- Sheth, H.; Chaudhari, S.; Sinha, Y.; Prajapati, R. Infarcted accessory spleen masquerading as a mesenteric cyst. BMJ Case Rep. 2018, 2018, bcr2018226130. [Google Scholar] [CrossRef] [PubMed]
- Mortelé, K.J.; Mortelé, B.; Silverman, S.G. CT features of the accessory spleen. AJR Am. J. Roentgenol. 2004, 183, 1653–1657. [Google Scholar] [CrossRef] [PubMed]
- Brasca, L.E.; Zanello, A.; De Gaspari, A.; De Cobelli, F.; Zerbi, A.; Fazio, F.; Del Maschio, A. Intrapancreatic accessory spleen mimicking a neuroendocrine tumor: Magnetic resonance findings and possible diagnostic role of different nuclear medicine tests. Eur. Radiol. 2004, 14, 1322–1323. [Google Scholar] [CrossRef]
- Ota, T.; Ono, S. Intrapancreatic accessory spleen: Diagnosis using contrast enhanced ultrasound. Br. J. Radiol. 2004, 77, 148–149. [Google Scholar] [CrossRef]
- Winklhofer, S.; Lin, W.C.; Lambert, J.W.; Yeh, B.M. Accessory spleen versus lymph node: Value of iodine quantification with dual-energy computed tomography. Eur. J. Radiol. 2017, 87, 53–58. [Google Scholar] [CrossRef]
- Jang, K.M.; Kim, S.H.; Lee, S.J.; Park, M.J.; Lee, M.H.; Choi, D. Differentiation of an intrapancreatic accessory spleen from a small (<3-cm) solid pancreatic tumor: Value of diffusion-weighted MR imaging. Radiology 2013, 266, 159–167. [Google Scholar]
- Romer, T.; Wiesner, W. The accessory spleen: Prevalence and imaging findings in 1735 consecutive patients examined by multidetector computed tomography. JBR-BTR Organe Soc. R. Belg. Radiol. SRBR Orgaan K. Belg. Ver. Voor Radiol. KBVR 2012, 95, 61–65. [Google Scholar]
- Gok, M.; Karakas, S.P. Torsion of a splenule. Pediatr. Radiol. 2010, 40 (Suppl. S1), S88. [Google Scholar] [CrossRef]
- Wang, Z.; Peng, C.; Wu, D.; Wang, K.; Chen, Y. Diagnosis and treatment of splenic torsion in children: Preoperative thrombocytosis predicts splenic infarction. BMC Pediatr. 2022, 22, 440. [Google Scholar] [CrossRef]




Disclaimer/Publisher’s Note: The statements, opinions and data contained in all publications are solely those of the individual author(s) and contributor(s) and not of MDPI and/or the editor(s). MDPI and/or the editor(s) disclaim responsibility for any injury to people or property resulting from any ideas, methods, instructions or products referred to in the content. |
© 2023 by the authors. Licensee MDPI, Basel, Switzerland. This article is an open access article distributed under the terms and conditions of the Creative Commons Attribution (CC BY) license (https://creativecommons.org/licenses/by/4.0/).
Share and Cite
Xu, N.; Xu, Y.; Zhu, Q. Radiologic Findings of Single Accessory Splenic Infarction in a Patient with Accessory Spleens in the Abdominal Cavity: A Case Report. Medicina 2023, 59, 807. https://doi.org/10.3390/medicina59040807
Xu N, Xu Y, Zhu Q. Radiologic Findings of Single Accessory Splenic Infarction in a Patient with Accessory Spleens in the Abdominal Cavity: A Case Report. Medicina. 2023; 59(4):807. https://doi.org/10.3390/medicina59040807
Chicago/Turabian StyleXu, Nan, Yingchen Xu, and Qiang Zhu. 2023. "Radiologic Findings of Single Accessory Splenic Infarction in a Patient with Accessory Spleens in the Abdominal Cavity: A Case Report" Medicina 59, no. 4: 807. https://doi.org/10.3390/medicina59040807
APA StyleXu, N., Xu, Y., & Zhu, Q. (2023). Radiologic Findings of Single Accessory Splenic Infarction in a Patient with Accessory Spleens in the Abdominal Cavity: A Case Report. Medicina, 59(4), 807. https://doi.org/10.3390/medicina59040807

