Smooth Muscle Tumor of Uncertain Malignant Potential (STUMP): A Comprehensive Multidisciplinary Update
Abstract
1. Introduction
2. Material and Methods
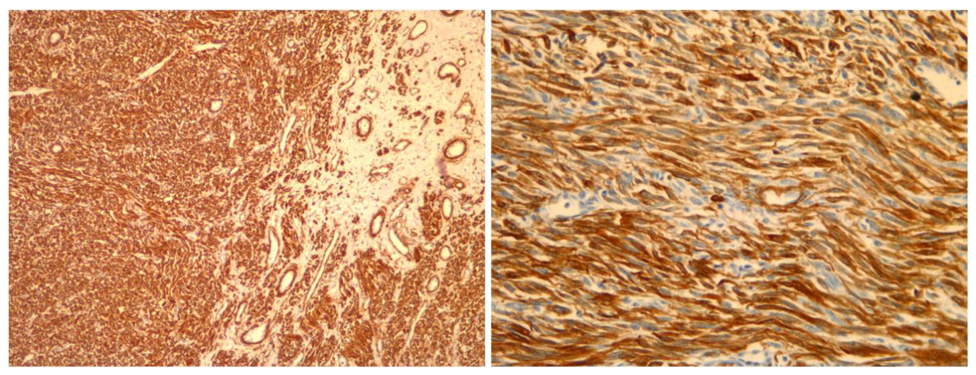
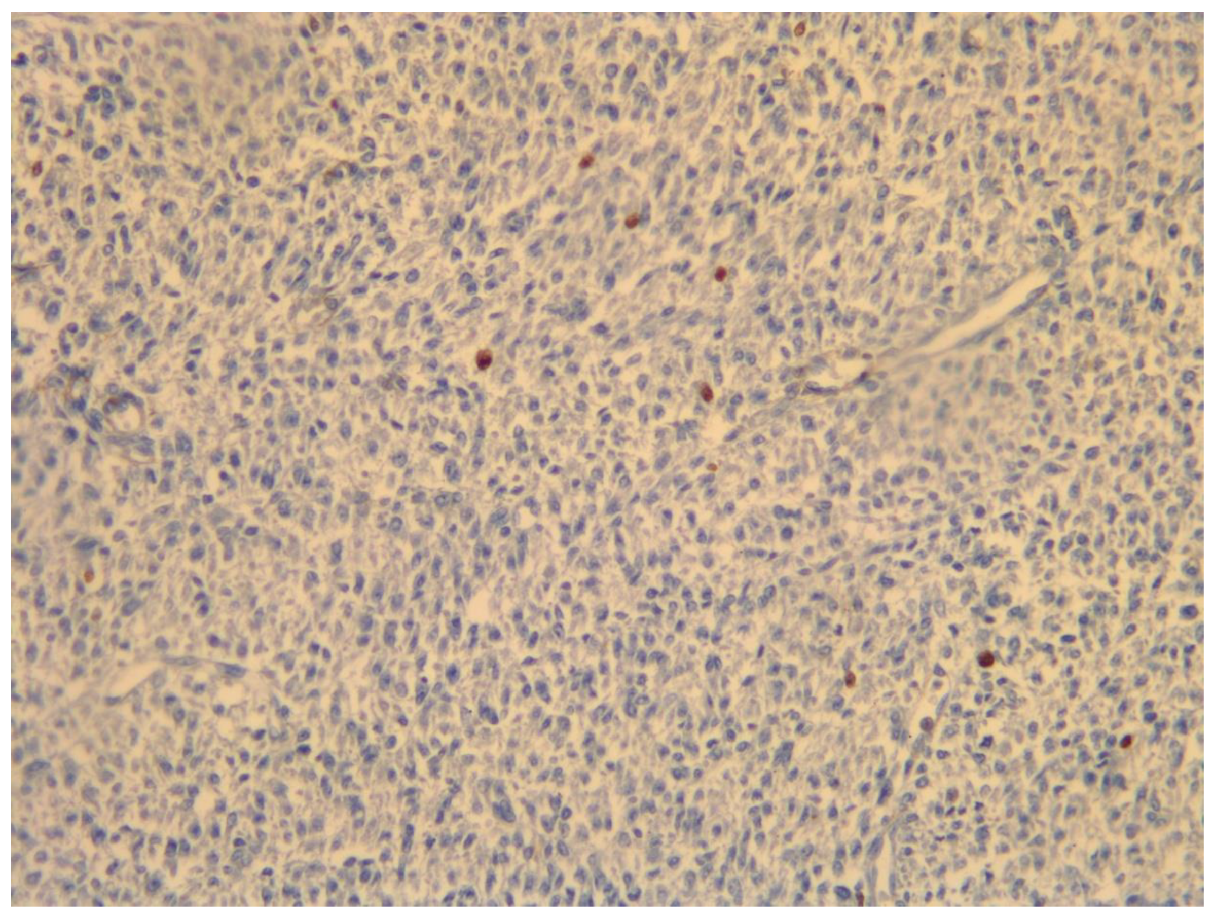
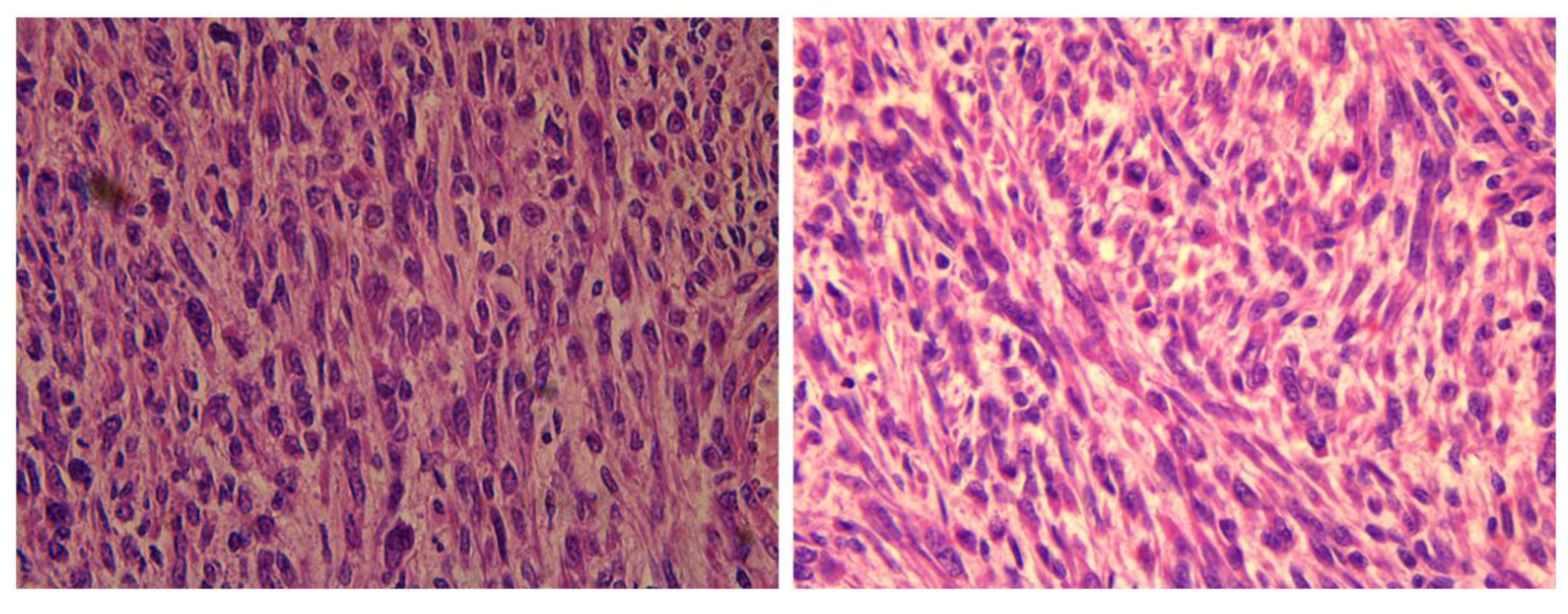
3. Anatomopathological Features
- smooth muscle tumors with focal/multifocal or diffuse cytological atypia (moderate-to-severe), lacking coagulative tumor necrosis and 6–9 mitoses per 10 HPFs (2–4 mitoses/mm2).
- Tumors that lack cytological atypia or raised mitotic count but having unequivocal coagulative tumor necrosis.
- Tumors with elevated mitotic count (>15 mitoses per 10 HPFs or >6 mitoses/mm2) but lacking coagulative tumor necrosis or cytological atypia.
- Tumors with uncertain mitotic count but having diffuse cytological atypia (moderate-to-severe).
4. Molecular Biological Characteristics
5. Instrumental Features and Diagnosis
6. Ultrasound Diagnostics
7. Radiological Diagnostics
8. STUMP Management
9. Surgical Management
10. STUMPs’ Follow Up and Recurrence
11. STUMPs’ Metastases
12. Metastases Management
13. STUMPs, Fertility and Pregnancy
14. Conclusions
Author Contributions
Funding
Institutional Review Board Statement
Informed Consent Statement
Data Availability Statement
Conflicts of Interest
References
- Langley, F.A. 12—Malignant Tumours of the Uterine Mesenchyme. Clin. Obstet. Gynaecol. 1976, 3, 425–457. [Google Scholar] [CrossRef] [PubMed]
- Dall’Asta, A.; Gizzo, S.; Musarò, A.; Quaranta, M.; Noventa, M.; Migliavacca, C.; Sozzi, G.; Monica, M.; Mautone, D.; Berretta, R. Uterine smooth muscle tumors of uncertain malignant potential (STUMP): Pathology, follow-up and recurrence. Int. J. Clin. Exp. Pathol. 2014, 7, 8136–8142. [Google Scholar] [PubMed]
- Bell, S.W.; Kempson, R.L.; Hendrickson, M.R. Problematic uterine smooth muscle neoplasms. A clinicopathologic study of 213 cases. Am. J. Surg. Pathol. 1994, 18, 535–558. [Google Scholar] [PubMed]
- Travaglino, A.; Raffone, A.; Santoro, A.; Raimondo, D.; Improda, F.P.; Cariati, F.; De Marco, M.; Casadio, P.; Seracchioli, R.; Zullo, F.; et al. Risk of Recurrence in Uterine Leiomyoma with Bizarre Nuclei: A Systematic Review and Meta-Analysis. Geburtshilfe Frauenheilkd. 2021, 81, 1217–1223. [Google Scholar] [CrossRef] [PubMed]
- Gupta, M.; Laury, A.L.; Nucci, M.R.; Quade, B.J. Predictors of adverse outcome in uterine smooth muscle tumours of uncertain malignant potential (STUMP): A clinicopathological analysis of 22 cases with a proposal for the inclusion of additional histological parameters. Histopathology 2018, 73, 284–298. [Google Scholar] [CrossRef] [PubMed]
- Ferrandina, G.; Aristei, C.; Biondetti, P.R.; Cananzi, F.C.M.; Casali, P.; Ciccarone, F.; Colombo, N.; Comandone, A.; Corvo, R.; De Iaco, P.; et al. Italian consensus conference on management of uterine sarcomas on behalf of S.I.G.O. (Societa’ italiana di Ginecologia E Ostetricia). Eur. J. Cancer 2020, 139, 149–168. [Google Scholar] [CrossRef]
- Basaran, D.; Usubutun, A.; Salman, M.C.; Narin, M.A.; Boyraz, G.; Turkmen, O.; Comert Kimyon, G.; Karalok, A.; Bulbul, D.; Turan, T.; et al. The Clinicopathological Study of 21 Cases with Uterine Smooth Muscle Tumors of Uncertain Malignant Potential: Centralized Review Can Purify the Diagnosis. Int. J. Gynecol. Cancer 2018, 28, 233–240. [Google Scholar] [CrossRef]
- Vilos, G.A.; Marks, J.; Ettler, H.C.; Vilos, A.G.; Prefontaine, M.; Abu-Rafea, B. Uterine smooth muscle tumors of uncertain malignant potential: Diagnostic challenges and therapeutic dilemmas. Report of 2 cases and review of the literature. J. Minim. Invasive Gynecol. 2012, 19, 288–295. [Google Scholar] [CrossRef]
- Ip, P.P.; Cheung, A.N.; Clement, P.B. Uterine smooth muscle tumors of uncertain malignant potential (STUMP): A clinicopathologic analysis of 16 cases. Am. J. Surg. Pathol. 2009, 33, 992–1005. [Google Scholar] [CrossRef]
- Ha, H.I.; Choi, M.C.; Heo, J.H.; Kim, K.A.; Jung, S.G.; Park, H.; Joo, W.D.; Song, S.H.; Kim, T.H.; Lee, C. A clinicopathologic review and obstetric outcome of uterine smooth muscle tumor of uncertain malignant potential (STUMP) in a single institution. Eur. J. Obstet. Gynecol. Reprod. Biol. 2018, 228, 1–5. [Google Scholar] [CrossRef]
- Prayson, R.A.; Goldblum, J.R.; Hart, W.R. Epithelioid smooth-muscle tumors of the uterus: A clinicopathologic study of 18 patients. Am. J. Surg. Pathol. 1997, 21, 383–391. [Google Scholar] [CrossRef] [PubMed]
- Parra-Herran, C.; Schoolmeester, J.K.; Yuan, L.; Dal Cin, P.; Fletcher, C.D.; Quade, B.J.; Nucci, M.R. Myxoid Leiomyosarcoma of the Uterus: A Clinicopathologic Analysis of 30 Cases and Review of the Literature with Reappraisal of Its Distinction from Other Uterine Myxoid Mesenchymal Neoplasms. Am. J. Surg. Pathol. 2016, 40, 285–301. [Google Scholar] [CrossRef] [PubMed]
- Croce, S.; Ribeiro, A.; Brulard, C.; Noel, J.C.; Amant, F.; Stoeckle, E.; Devouassoux-Shisheborah, M.; Floquet, A.; Arnould, L.; Guyon, F.; et al. Uterine smooth muscle tumor analysis by comparative genomic hybridization: A useful diagnostic tool in challenging lesions. Mod. Pathol. 2015, 28, 1001–1010. [Google Scholar] [CrossRef]
- Rubisz, P.; Ciebiera, M.; Hirnle, L.; Zgliczyńska, M.; Łoziński, T.; Dzięgiel, P.; Kobierzycki, C. The Usefulness of Immunohistochemistry in the Differential Diagnosis of Lesions Originating from the Myometrium. Int. J. Mol. Sci. 2019, 20, 1136. [Google Scholar] [CrossRef] [PubMed]
- Kobayashi, H.; Uekuri, C.; Akasaka, J.; Ito, F.; Shigemitsu, A.; Koike, N.; Shigetomi, H. The biology of uterine sarcomas: A review and update. Mol. Clin. Oncol. 2013, 1, 599–609. [Google Scholar] [CrossRef]
- Travaglino, A.; Raffone, A.; Gencarelli, A.; Neola, D.; Oliviero, D.A.; Alfano, R.; Campanino, M.R.; Cariati, F.; Zullo, F.; Mollo, A.; et al. p53, p16 and ki67 as immunohistochemical prognostic markers in uterine smooth muscle tumors of uncertain malignant potential (STUMP). Pathol. Res. Pract. 2021, 226, 153592. [Google Scholar] [CrossRef]
- Rizzo, A.; Ricci, A.D.; Saponara, M.; De Leo, A.; Perrone, A.M.; De Iaco, P.; Pantaleo, M.A.; Nannini, M. Recurrent Uterine Smooth-Muscle Tumors of Uncertain Malignant Potential (STUMP): State of The Art. Anticancer Res. 2020, 40, 1229–1238. [Google Scholar] [CrossRef]
- Reed, J.C.; Talwar, H.S.; Cuddy, M.; Baffy, G.; Williamson, J.; Rapp, U.R.; Fisher, G.J. Mitochondrial protein p26 BCL2 reduces growth factor requirements of NIH3T3 fibroblasts. Exp. Cell Res. 1991, 195, 277–283. [Google Scholar] [CrossRef]
- Guntupalli, S.R.; Ramirez, P.T.; Anderson, M.L.; Milam, M.R.; Bodurka, D.C.; Malpica, A. Uterine smooth muscle tumor of uncertain malignant potential: A retrospective analysis. Gynecol. Oncol. 2009, 113, 324–326. [Google Scholar] [CrossRef]
- Gadducci, A.; Zannoni, G.F. Uterine smooth muscle tumors of unknown malignant potential: A challenging question. Gynecol. Oncol. 2019, 154, 631–637. [Google Scholar] [CrossRef]
- Wen, K.C.; Horng, H.C.; Wang, P.H.; Chen, Y.J.; Yen, M.S.; Ng, H.T. Uterine sarcoma Part I-Uterine leiomyosarcoma: The Topic Advisory Group systematic review. Taiwan J. Obstet. Gynecol. 2016, 55, 463–471. [Google Scholar] [CrossRef]
- Russo, C.; Camilli, S.; Martire, F.G.; Di Giovanni, A.; Lazzeri, L.; Malzoni, M.; Zupi, E.; Exacoustos, C. Ultrasound features of highly vascularized uterine myomas (uterine smooth muscle tumors) and correlation with histopathology. Ultrasound Obstet. Gynecol. 2022, 60, 269–276. [Google Scholar] [CrossRef]
- Cotrino, I.; Carosso, A.; Macchi, C.; Baima Poma, C.; Cosma, S.; Ribotta, M.; Viora, E.; Sciarrone, A.; Borella, F.; Zola, P. Ultrasound and clinical characteristics of uterine smooth muscle tumors of uncertain malignant potential (STUMPs). Eur. J. Obstet. Gynecol. Reprod. Biol. 2020, 251, 167–172. [Google Scholar] [CrossRef]
- Van den Bosch, T.; Dueholm, M.; Leone, F.P.; Valentin, L.; Rasmussen, C.K.; Votino, A.; Van Schoubroeck, D.; Landolfo, C.; Installé, A.J.; Guerriero, S.; et al. Terms, definitions and measurements to describe sonographic features of myometrium and uterine masses: A consensus opinion from the Morphological Uterus Sonographic Assessment (MUSA) group. Ultrasound Obstet. Gynecol. 2015, 46, 284–298. [Google Scholar] [CrossRef]
- Lin, G.; Yang, L.Y.; Huang, Y.T.; Ng, K.K.; Ng, S.H.; Ueng, S.H.; Chao, A.; Yen, T.C.; Chang, T.C.; Lai, C.H. Comparison of the diagnostic accuracy of contrast-enhanced MRI and diffusion-weighted MRI in the differentiation between uterine leiomyosarcoma/smooth muscle tumor with uncertain malignant potential and benign leiomyoma. J. Magn. Reson. Imaging 2016, 43, 333–342. [Google Scholar] [CrossRef] [PubMed]
- Goto, A.; Takeuchi, S.; Sugimura, K.; Maruo, T. Usefulness of Gd-DTPA contrast-enhanced dynamic MRI and serum determination of LDH and its isozymes in the differential diagnosis of leiomyosarcoma from degenerated leiomyoma of the uterus. Int. J. Gynecol. Cancer 2002, 12, 354–361. [Google Scholar] [CrossRef] [PubMed]
- Zhang, R.; Tian, X.; Qin, L.; Lu, D.; Shen, J. High 18F-FDG uptake for uterine smooth muscle tumor of uncertain malignant potential. Clin. Nucl. Med. 2015, 40, 349–351. [Google Scholar] [CrossRef]
- Ho, K.C.; Dean Fang, Y.H.; Lin, G.; Ueng, S.H.; Wu, T.I.; Lai, C.H.; Chueh, H.Y.; Chao, A.; Chang, T.C.; Yen, T.C. Presurgical Identification of Uterine Smooth Muscle Malignancies through the Characteristic FDG Uptake Pattern on PET Scans. Contrast Media Mol. Imaging 2018, 2018, 7890241. [Google Scholar] [CrossRef]
- Ip, P.P.; Tse, K.Y.; Tam, K.F. Uterine smooth muscle tumors other than the ordinary leiomyomas and leiomyosarcomas: A review of selected variants with emphasis on recent advances and unusual morphology that may cause concern for malignancy. Adv. Anat. Pathol. 2010, 17, 91–112. [Google Scholar] [CrossRef] [PubMed]
- Di Giuseppe, J.; Grelloni, C.; Giuliani, L.; Delli Carpini, G.; Giannella, L.; Ciavattini, A. Recurrence of Uterine Smooth Muscle Tumor of Uncertain Malignant Potential: A Systematic Review of the Literature. Cancers 2022, 14, 2323. [Google Scholar] [CrossRef]
- Sparić, R.; Andjić, M.; Babović, I.; Nejković, L.; Mitrović, M.; Štulić, J.; Pupovac, M.; Tinelli, A. Molecular Insights in Uterine Leiomyosarcoma: A Systematic Review. Int. J. Mol. Sci. 2022, 23, 9728. [Google Scholar] [CrossRef] [PubMed]
- Buzzaccarini, G.; Török, P.; Vitagliano, A.; Petousis, S.; Noventa, M.; Hortu, I.; Giannini, A.; Laganà, A.S. Predictors of Pain Development after Laparoscopic Adnexectomy: A Still Open Challenge. J. Investig. Surg. 2022, 35, 1392–1393. [Google Scholar] [CrossRef]
- Giannini, A.; Di Donato, V.; Schiavi, M.C.; May, J.; Panici, P.B.; Congiu, M.A. Predictors of postoperative overall and severe complications after surgical treatment for endometrial cancer: The role of the fragility index. Int. J. Gynaecol. Obstet. 2020, 148, 174–180. [Google Scholar] [CrossRef] [PubMed]
- Mowers, E.L.; Skinner, B.; McLean, K.; Reynolds, R.K. Effects of morcellation of uterine smooth muscle tumor of uncertain malignant potential and endometrial stromal sarcoma: Case series and recommendations for clinical practice. J. Minim. Invasive Gynecol. 2015, 22, 601–606. [Google Scholar] [CrossRef]
- Richtarova, A.; Boudova, B.; Dundr, P.; Lisa, Z.; Hlinecka, K.; Zizka, Z.; Fruhauf, F.; Kuzel, D.; Slama, J.; Mara, M. Uterine smooth muscle tumors with uncertain malignant potential: Analysis following fertility-saving procedures. Int. J. Gynecol. Cancer 2023, 33, ijgc–2022. [Google Scholar] [CrossRef]
- Dańska-Bidzińska, A.; Bakuła-Zalewska, E.; Nasierowska-Guttmejer, A.; Kowalewska, M.; Barnaś, E.; Sobiczewski, P.; Bidziński, M. Smooth muscle tumor of uncertain malignant potential (STUMP)—Clinico-pathomorphological analysis of the cases and literature review. Ginekol. Pol. 2012, 83, 412–416. [Google Scholar]
- Wright, J.D.; Chen, L.; Melamed, A.; Clair, C.M.S.; Hou, J.Y.; Khoury-Collado, F.; Gockley, A.; Accordino, M.; Hershman, D.L.; Xu, X. Containment Bag Use Among Women Who Undergo Hysterectomy with Laparoscopic Power Morcellation. Obstet. Gynecol. 2022, 140, 371–380. [Google Scholar] [CrossRef]
- Peeters, N.; Hulsbosch, S.; Ballaux, F.; Baekelandt, J. Uterine smooth muscle tumors of uncertain malignant potential: Analysis of diagnoses and therapies illustrated by two case reports. Eur. J. Gynaecol. Oncol. 2016, 37, 367–373. [Google Scholar]
- Deodhar, K.K.; Goyal, P.; Rekhi, B.; Menon, S.; Maheshwari, A.; Kerkar, R.; Tongaonkar, H.B. Uterine smooth muscle tumors of uncertain malignant potential and atypical leiomyoma: A morphological study of these grey zones with clinical correlation. Indian J. Pathol. Microbiol. 2011, 54, 706–711. [Google Scholar] [CrossRef]
- Ly, A.; Mills, A.M.; McKenney, J.K.; Balzer, B.L.; Kempson, R.L.; Hendrickson, M.R.; Longacre, T.A. Atypical leiomyomas of the uterus: A clinicopathologic study of 51 cases. Am. J. Surg. Pathol. 2013, 37, 643–649. [Google Scholar] [CrossRef]
- Kempson, R.L.; Hendrickson, M.R. Smooth muscle, endometrial stromal, and mixed Müllerian tumors of the uterus. Mod. Pathol. 2000, 13, 328–342. [Google Scholar] [CrossRef]
- Zhang, C.; Gao, J.; Lu, S.; Zhang, Y.; Zhu, H. Uterine smooth muscle tumors of uncertain malignant potential (STUMP): A retrospective study in a single center. Eur. J. Obstet. Gynecol. Reprod. Biol. 2021, 265, 74–79. [Google Scholar] [CrossRef]
- Borella, F.; Cosma, S.; Ferraioli, D.; Ray-Coquard, I.; Chopin, N.; Meeus, P.; Cockenpot, V.; Valabrega, G.; Scotto, G.; Turinetto, M.; et al. Clinical and Histopathological Predictors of Recurrence in Uterine Smooth Muscle Tumor of Uncertain Malignant Potential (STUMP): A Multicenter Retrospective Cohort Study of Tertiary Centers. Ann. Surg. Oncol. 2022, 29, 8302–8314. [Google Scholar] [CrossRef]
- Ciarrocchi, A.P.; Aramini, B.; Sanna, S.; Rossi, G.; Argnani, D.; Stella, F. A large and late mediastinal metastasis from a uterine smooth muscle tumour of uncertain malignant potential: A case report. Int. J. Surg. Case Rep. 2022, 90, 106734. [Google Scholar] [CrossRef] [PubMed]
- Campbell, J.E.; Knudtson, J.F.; Valente, P.T.; Robinson, R.D.; Kost, E.R. Successful pregnancy following myomectomy for uterine smooth muscle tumor of uncertain malignant potential: A case report and review of the literature. Gynecol. Oncol. Rep. 2016, 15, 1–3. [Google Scholar] [CrossRef] [PubMed]
- Peters, W.A., 3rd; Howard, D.R.; Andersen, W.A.; Figge, D.C. Uterine smooth-muscle tumors of uncertain malignant potential. Obstet. Gynecol. 1994, 83, 1015–1020. [Google Scholar] [CrossRef]
- Şahin, H.; Karatas, F.; Coban, G.; Özen, Ö.; Erdem, Ö.; Onan, M.A.; Ayhan, A. Uterine smooth muscle tumor of uncertain malignant potential: Fertility and clinical outcomes. J. Gynecol. Oncol. 2019, 30, e54. [Google Scholar] [CrossRef] [PubMed]
- Ning, C.; Zhang, L.; Zhao, C.; Chen, X.; Liu, X.; Gu, C. Clinical and reproductive outcomes of uterine smooth muscle tumor of uncertain malignant potential: A single-center retrospective study. J. Int. Med. Res. 2021, 49, 3000605211008065. [Google Scholar] [CrossRef]
- Olga, T.; Stavroula Lila, K.; Kounidas, G.; Maria, P.; Nikolaos, V. Uterine smooth muscle tumour of uncertain malignant potential and in vitro fertilization treatment in an infertile patient. SAGE Open Med. Case Rep. 2021, 9, 2050313x211012516. [Google Scholar] [CrossRef]
- Tsakiridis, I.; Kalogiannidis, I.; Mamopoulos, A.; Dagklis, T.; Nikolaidou, C.; Athanasiadis, A. Giant uterine STUMP in pregnancy: A rare case report with preservation of fertility. Hippokratia 2021, 25, 169–171. [Google Scholar]








| FIGO I | Tumor limited in the Uterus |
| FIGO IA | Tumor ≤ 5 cm |
| FIGO IB | Tumor > 5 cm |
| FIGO II | Tumor limited in the Pelvis |
| FIGO IIA | involved adnexa |
| FIGO IIB | involved other extrauterine organ in the pelvis |
| FIGO III | Intraabdominal metastases |
| FIGO IIIA | one organ involved |
| FIGO IIIB | more than one organ involved |
| FIGO IIIC | positive pelvic/parietal Lymph nodes |
| FIGO IV | Involvement of bladder, rectum, extra pelvic metastases |
| FIGO IVA | Involvement of bladder, rectum |
| FIGO IVB | extra pelvic metastases |
Disclaimer/Publisher’s Note: The statements, opinions and data contained in all publications are solely those of the individual author(s) and contributor(s) and not of MDPI and/or the editor(s). MDPI and/or the editor(s) disclaim responsibility for any injury to people or property resulting from any ideas, methods, instructions or products referred to in the content. |
© 2023 by the authors. Licensee MDPI, Basel, Switzerland. This article is an open access article distributed under the terms and conditions of the Creative Commons Attribution (CC BY) license (https://creativecommons.org/licenses/by/4.0/).
Share and Cite
Tinelli, A.; D’Oria, O.; Civino, E.; Morciano, A.; Hashmi, A.A.; Baldini, G.M.; Stefanovic, R.; Malvasi, A.; Pecorella, G. Smooth Muscle Tumor of Uncertain Malignant Potential (STUMP): A Comprehensive Multidisciplinary Update. Medicina 2023, 59, 1371. https://doi.org/10.3390/medicina59081371
Tinelli A, D’Oria O, Civino E, Morciano A, Hashmi AA, Baldini GM, Stefanovic R, Malvasi A, Pecorella G. Smooth Muscle Tumor of Uncertain Malignant Potential (STUMP): A Comprehensive Multidisciplinary Update. Medicina. 2023; 59(8):1371. https://doi.org/10.3390/medicina59081371
Chicago/Turabian StyleTinelli, Andrea, Ottavia D’Oria, Emanuela Civino, Andrea Morciano, Atif Ali Hashmi, Giorgio Maria Baldini, Radomir Stefanovic, Antonio Malvasi, and Giovanni Pecorella. 2023. "Smooth Muscle Tumor of Uncertain Malignant Potential (STUMP): A Comprehensive Multidisciplinary Update" Medicina 59, no. 8: 1371. https://doi.org/10.3390/medicina59081371
APA StyleTinelli, A., D’Oria, O., Civino, E., Morciano, A., Hashmi, A. A., Baldini, G. M., Stefanovic, R., Malvasi, A., & Pecorella, G. (2023). Smooth Muscle Tumor of Uncertain Malignant Potential (STUMP): A Comprehensive Multidisciplinary Update. Medicina, 59(8), 1371. https://doi.org/10.3390/medicina59081371

