Factors Influencing the Clinical Course of Bullous Pemphigoid among Geriatric Patients: A Pilot Study
Abstract
1. Introduction
2. Materials and Methods
3. Results
3.1. Patient Characteristics and Laboratory Results
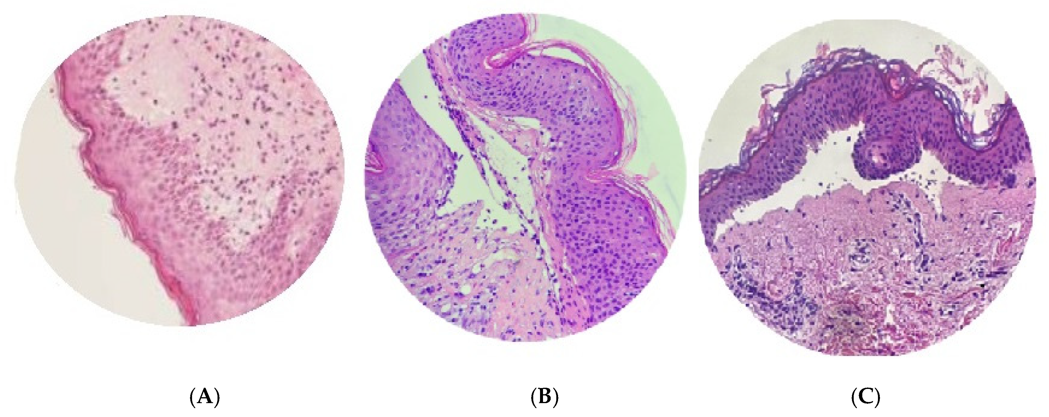
3.2. Diagnosis
3.3. Lesion Morphology
3.4. Comorbidities
3.5. Treatment
4. Discussion
5. Conclusions
Limitations
Author Contributions
Funding
Institutional Review Board Statement
Informed Consent Statement
Data Availability Statement
Conflicts of Interest
References
- Miyamoto, D.; Santi, C.G.; Aoki, V.; Maruta, C.W. Bullous pemphigoid. An. Bras. De Dermatol. 2019, 94, 133–146. [Google Scholar] [CrossRef] [PubMed]
- Schmidt, E.; Zillikens, D. Pemphigoid diseases. Lancet 2013, 381, 320–332. [Google Scholar] [CrossRef] [PubMed]
- Taquin, H.; Chiaverini, C.; Lacour, J.P. Spectrum of Clinical Responses to therapies in infantile bullous pemphigoid. Pediatr. Dermatol. 2016, 33, e77–e81. [Google Scholar] [CrossRef] [PubMed]
- Lamb, P.M.; Abell, E.; Tharp, M.; Frye, R.; Deng, J.-S. Prodromal bullous pemphigoid. Int. J. Dermatol. 2006, 45, 209–214. [Google Scholar] [CrossRef] [PubMed]
- Lamberts, A.; Meijer, J.M.; Jonkman, M.F. Nonbullous pemphigoid: A systematic review. J. Am. Acad. Dermatol. 2018, 78, 989–995. [Google Scholar] [CrossRef] [PubMed]
- Cozzani, E.; Gasparini, G.; Burlando, M.; Drago, F.; Parodi, A. Atypical presentations of bullous pemphigoid: Clinical and immunopathological aspects. Autoimmun. Rev. 2015, 14, 438–445. [Google Scholar] [CrossRef]
- Meijer, J.M.; Diercks, G.F.H.; de Lang, E.W.G.; Pas, H.H.; Jonkman, M.F. Assessment of diagnostic strategy for early recognition of bullous and nonbullous variants of pemphigoid. JAMA Dermatol. 2019, 155, 158–165. [Google Scholar] [CrossRef]
- Zhang, Y.; Luo, Y.; Han, Y.; Tian, R.; Li, W.; Yao, X. Non-bullous lesions as the first manifestation of bullous pemphigoid: A retrospective analysis of 181 cases. J. Dermatol. 2017, 44, 742–746. [Google Scholar] [CrossRef]
- Ujiie, H.; Nishie, W.; Shimizu, H. Pathogenesis of bullous pemphigoid. Dermatol. Clin. 2011, 29, 439–446. [Google Scholar] [CrossRef]
- Kridin, K.; Ludwig, R.J. The Growing Incidence of Bullous Pemphigoid: Overview and Potential Explanations. Front. Med. 2018, 20, 220. [Google Scholar] [CrossRef]
- Milani-Nejad, N.; Zhang, M.; Kaffenberger, J. The association between bullous pemphigoid and neurological disorders: A systematic review. Eur. J. Dermatol. 2017, 27, 472–481. [Google Scholar] [CrossRef] [PubMed]
- Lloyd-Lavery, A.; Chi, C.C.; Wojnarowska, F.; Taghipour, K. The associations between bullous pemphigoid and drug use: A UK case-control study. JAMA Dermatol. 2013, 149, 58–62. [Google Scholar] [CrossRef]
- Wilczek, A.; Sticherling, M. Concomitant psoriasis and bullous pemphigoid: Coincidence or pathogenic relationship? Int. J. Dermatol. 2006, 45, 1353–1357. [Google Scholar] [CrossRef]
- Sekiya, A.; Kodera, M.; Yamaoka, T.; Iwata, Y.; Usuda, T.; Ohzono, A.; Yasukochi, A.; Koga, H.; Ishii, N.; Hashimoto, T. A case of lichen planus pemphigoides with autoantibodies to the NC16a and C-terminal domains of BP180 and to desmoglein-1. Br. J. Dermatol. 2014, 171, 1230–1235. [Google Scholar] [CrossRef] [PubMed]
- Kalinska-Bienias, A.; Lukowska-Smorawska, K.; Jagielski, P.; Kowalewski, C.; Wozniak, K. Mortality in bullous pemphigoid and prognostic factors in 1st and 3rd year of follow-up in specialized centre in Poland. Arch. Dermatol. Res. 2017, 309, 709–719. [Google Scholar] [CrossRef]
- Bernard, P.; Antonicelli, F. Bullous Pemphigoid: A Review of its Diagnosis, Associations and Treatment. Am. J. Clin. Dermatol. 2017, 18, 513–528. [Google Scholar] [CrossRef]
- Marazza, G.; Pham, H.C.; Schärer, L.; Pedrazzetti, P.P.; Hunziker, T.; Trüeb, R.M.; Hohl, D.; Itin, P.; Lautenschlager, S.; Naldi, L.; et al. Autoimmune bullous disease Swiss study group. Incidence of bullous pemphigoid and pemphigus in Switzerland: A 2-year prospective study. Br. J. Dermatol. 2009, 161, 861–868. [Google Scholar] [CrossRef] [PubMed]
- Meijer, J.M.; Lamberts, A.; Luijendijk, H.J.; Diercks, G.F.H.; Pas, H.H.; Zuidema, S.U.; Jonkman, M.F. Prevalence of Pemphigoid as a Potentially Unrecognized Cause of Pruritus in Nursing Home Residents. JAMA Dermatol. 2019, 155, 1423–1424. [Google Scholar] [CrossRef] [PubMed]
- Murphy, W.G. The sex difference in haemoglobin levels in adults—mechanisms, causes, and consequences. Blood Rev. 2014, 28, 41–47. [Google Scholar] [CrossRef]
- Prati, D.; Taioli, E.; Zanella, A.; Della Torre, E.; Butelli, S.; Del Vecchio, E.; Vianello, L.; Zanuso, F.; Mozzi, F.; Milani, S.; et al. Updated definitions of healthy ranges for serum alanine aminotransferase levels. Ann. Intern. Med. 2002, 137, 1–9. [Google Scholar] [CrossRef]
- Bağcı, I.S.; Horváth, O.N.; Ruzicka, T.; Sárdy, M. Bullous pemphigoid. Autoimmun. Rev. 2017, 16, 445–455. [Google Scholar] [CrossRef] [PubMed]
- Zierk, J.; Krebs, A.; Rauh, M.; Metzler, M.; Löscher, A.; Strasser, E.; Krause, S.W. Blood counts in adult and elderly individuals: Defining the norms over eight decades of life. Br. J. Haematol. 2020, 189, 777–789, Erratum in Br. J. Haematol. 2020, 190, 294. [Google Scholar] [CrossRef] [PubMed]
- Briand, C.; Gourier, G.; Poizeau, F.; Jelti, L.; Bachelerie, M.; Quéreux, G.; Jeudy, G.; Acquitter, M.; Ingen-Housz-Oro, S.; Caux, F.; et al. Characteristics of Pruritus in Bullous Pemphigoid and Impact on Quality of Life: A Prospective Cohort Study. Acta Derm. Venereol. 2020, 100, adv00320. [Google Scholar] [CrossRef] [PubMed]
- Kalinska-Bienias, A.; Kowalczyk, E.; Jagielski, P.; Lesniewska, A.; Komorowska, A.; Kowalewski, C.; Wozniak, K. Clinical characteristics of pruritus in patients with bullous pemphigoid: A preliminary questionnaire-based study. Postępy Dermatol. I Alergol. 2020, 37, 938–942. [Google Scholar] [CrossRef] [PubMed]
- Tominaga, M.; Ozawa, S.; Tengara, S.; Ogawa, H.; Takamori, K. Intraepidermal nerve fibers increase in dry skin of acetone-treated mice. J. Dermatol. Sci. 2007, 48, 103–111. [Google Scholar] [CrossRef]
- Swarna, S.S.; Aziz, K.; Zubair, T.; Qadir, N.; Khan, M. Pruritus Associated with Chronic Kidney Disease: A Comprehensive Literature Review. Cureus 2019, 11, e5256. [Google Scholar] [CrossRef]
- Sun, C.; Feng, S. Recent developments in the pathogenesis of pruritus in bullous pemphigoid. Int. J. Dermatol. 2021, 60, 1441–1448. [Google Scholar] [CrossRef]
- Fang, H.; Zhang, Y.; Li, N.; Wang, G.; Liu, Z. The Autoimmune Skin Disease Bullous Pemphigoid: The Role of Mast Cells in Autoantibody-Induced Tissue Injury. Front. Immunol. 2018, 9, 407. [Google Scholar] [CrossRef]
- Zebrowska, A.; Wagrowska-Danilewicz, M.; Danilewicz, M.; Stasikowska-Kanicka, O.; Kulczycka-Siennicka, L.; Wozniacka, A.; Waszczykowska, E. Mediators of mast cells in bullous pemphigoid and dermatitis herpetiformis. Mediat. Inflamm. 2014, 2014, 936545. [Google Scholar] [CrossRef]
- Hashimoto, T.; Kursewicz, C.D.; Fayne, R.A.; Nanda, S.; Shah, S.M.; Nattkemper, L.; Yokozeki, H.; Yosipovitch, G. Pathophysiologic mechanisms of itch in bullous pemphigoid. J. Am. Acad. Dermatol. 2020, 83, 53–62. [Google Scholar] [CrossRef]
- Rai, P. Role of neutrophil-to-lymphocyte, neutrophil-to-eosinophil and platelet-to-lymphocyte ratios in the diagnosis of bullous pemphigoid and Pemphigus disease. Indian J. Pathol. Microbiol. 2023, 66, 70–74. [Google Scholar] [CrossRef] [PubMed]
- Kremer, N.; Zeeli, T.; Sprecher, E.; Geller, S. Failure of initial disease control in bullous pemphigoid: A retrospective study of hospitalized patients in a single tertiary center. Int. J. Dermatol. 2017, 56, 1010–1016. [Google Scholar] [CrossRef] [PubMed]
- Kwan, Z.; Lai, Y.N.; Ch’ng, C.C.; Tan, A.H.; Tan, L.L.; Robinson, S.; Rokiah, I. The association between bullous pemphigoid and neurological disorders in a selected Malaysian population. Med. J. Malays. 2015, 70, 81–85. [Google Scholar]
- Kalińska-Bienias, A.; Kowalczyk, E.; Jagielski, P.; Bienias, P.; Kowalewski, C.; Wozniak, K. The association between neurological diseases, malignancies and cardiovascular comorbidities among patients with bullous pemphigoid: Case-control study in a specialized Polish center. Adv. Clin. Exp. Med. 2019, 28, 637–642. [Google Scholar] [CrossRef] [PubMed]
- Yan, T.M.; Zuo, Y.G. Coagulation Disorders in Bullous Pemphigoid and Its Mechanism. Acta Acad. Med. Sin. 2019, 41, 685–689. [Google Scholar]
- Bech, R.; Kibsgaard, L.; Vestergaard, C. Comorbidities and Treatment Strategies in Bullous Pemphigoid: An Appraisal of the Existing Litterature. Front. Med. 2018, 5, 238. [Google Scholar] [CrossRef]
- Geller, S.; Kremer, N.; Zeeli, T.; Sprecher, E. Bullous pemphigoid and diabetes mellitus: Are we missing the larger picture? J. Am. Acad. Dermatol. 2018, 79, e27. [Google Scholar] [CrossRef]
- Chuang, T.Y.; Soltani, K.; Clayman, J.; Clayman, J.; Cook, J. Increased frequency of diabetes mellitus in patients with bullous pemphigoid: A case-control study. J. Am. Acad. Dermatol. 1984, 11, 1099–1102. [Google Scholar] [CrossRef]
- Tasanen, K.; Varpuluoma, O.; Nishie, W. Dipeptidyl peptidase-4 inhibitor-associated bullous pemphigoid. Front. Immunol. 2019, 10, 1238. [Google Scholar] [CrossRef]
- Atzmony, L.; Mimouni, I.; Reiter, O.; Leshem, Y.A.; Taha, O.; Gdalevich, M.; Hodak, E.; Mimouni, D. Association of bullous pemphigoid with malignancy: A systematic review and meta-analysis. J. Am. Acad. Dermatol. 2017, 77, 691–699. [Google Scholar] [CrossRef]
- Lucariello, R.J.E.; Villablanca, S.; Mascaró, J.; Reichel, M. Association between bullous pemphigoid and malignancy: A meta-analysis. Australas. J. Dermatol. 2018, 59, 253–260. [Google Scholar] [CrossRef] [PubMed]
- Brick, K.E.; Weaver, C.H.; Savica, R.; Lohse, C.M.; Pittelkow, M.R.; Boeve, B.F.; Gibson, L.E.; Camilleri, M.; Wieland, C.N. A population-based study of the association between bullous pemphigoid and neurologic disorders. J. Am. Acad. Dermatol. 2014, 71, 1191–1197. [Google Scholar] [CrossRef] [PubMed]
- Pietkiewicz, P.; Gornowicz-Porowska, J.; Bowszyc-Dmochowska, M.; Bartkiewicz, P.; Dmochowski, M. Bullous pemphigoid and neurodegenerative diseases: A study in a setting of a Central European university dermatology department. Aging Clin. Exp. Res. 2016, 28, 659–663. [Google Scholar] [CrossRef] [PubMed]
- Tarazona, M.J.; Mota, A.N.; Gripp, A.C.; Unterstell, N.; Bressan, A.L. Bullous pemphigoid and neurological disease: Statistics from a dermatology service. An. Bras. Dermatol. 2015, 90, 280–282. [Google Scholar] [CrossRef] [PubMed]
- Jedlickova, H.; Hlubinka, M.; Pavlik, T.; Semradova, V.; Budinska, E.; Vlasin, Z. Bullous pemphigoid and internal diseases: A case-control study. Eur. J. Dermatol. 2010, 20, 96–101. [Google Scholar] [CrossRef]
- Langan, S.M.; Groves, R.W.; West, J. The relationship between neurological disease and bullous pemphigoid: A population-based case-control study. J. Investig. Dermatol. 2011, 131, 631–636. [Google Scholar] [CrossRef]
- Sadik, C.D.; Schmidt, E. Resolution in bullous pemphigoid. Semin. Immunopathol. 2019, 41, 645–654. [Google Scholar] [CrossRef] [PubMed] [PubMed Central]
- Taghipour, K.; Chi, C.-C.; Bhogal, B.; Groves, R.W.; Venning, V.; Wojnarowska, F. Immunopathological characteristics of patients with bullous pemphigoid and neurological disease. J. Eur. Acad. Dermatol. Venereol. 2014, 28, 569–573. [Google Scholar] [CrossRef]
- Seppänen, A.; Autio—Harmainen, H.; Alafuzoff, I.; Särkioja, T.; Veijola, J.; Hurskainen, T.; Bruckner-Tuderman, L.; Tasanen, K.; Majamaa, K. Collagen XVII is expressed in human CNS neurons. Matrix Biol. 2006, 25, 185–188. [Google Scholar] [CrossRef]
- Seppänen, A.; Suuronen, T.; Hofmann, S.C.; Majamaa, K.; Alafuzoff, I. Distribution of collagen XVII in the human brain. Brain Res. 2007, 1158, 50–56. [Google Scholar] [CrossRef]
- Kokkonen, N.; Herukka, S.K.; Huilaja, L.; Kokki, M.; Koivisto, A.M.; Hartikainen, P.; Remes, A.M.; Tasanen, K. Increased levels of the bullous pemphigoid BP180 autoantibody are associated with more severe dementia in Alzheimer’s disease. J. Investig. Dermatol. 2017, 137, 71–76. [Google Scholar] [CrossRef] [PubMed]
- Künzli, K.; Favre, B.; Chofflon, M.; Borradori, L. One gene but different proteins and diseases: The complexity of dystonin and bullous pemphigoid antigen 1. Exp. Dermatol. 2016, 25, 10–16. [Google Scholar] [CrossRef] [PubMed]
- Seppänen, A. Collagen XVII: A shared antigen in neurodermatological interactions? Clin. Dev. Immunol. 2013, 2013, 240570. [Google Scholar] [CrossRef] [PubMed]
- Ujiie, H. What’s new in the pathogeneses and triggering factors of bullous pemphigoid. J. Dermatol. 2023, 50, 140–149. [Google Scholar] [CrossRef] [PubMed]
- Di Zenzo, G.; Thoma-Uszynski, S.; Calabresi, V.; Fontao, L.; Hofmann, S.C.; Lacour, J.-P.; Fontao, L.; Hofmann, S.C.; Lacour, J.P.; Sera, F.; et al. Demonstration of epitope-spreading phenomena in bullous pemphigoid: Results of a prospective multicenter study. J. Investig. Dermatol. 2011, 131, 2271–2280. [Google Scholar] [CrossRef] [PubMed]
- Verheyden, M.J.; Bilgic, A.; Murrell, D.F. A Systematic Review of Drug-Induced Pemphigoid. Acta Derm. Venereol. 2020, 100, adv00224. [Google Scholar] [CrossRef]
- Benzaquen, M.; Borradori, L.; Berbis, P.; Cazzaniga, S.; Valero, R.; Richard, M.A.; Feldmeyer, L. Dipeptidyl peptidase IV inhibitors, a risk factor for bullous pemphigoid: Retrospective multicenter case-control study from France and Switzerland. J. Am. Acad. Dermatol. 2018, 78, 1090–1096. [Google Scholar] [CrossRef]
- Ricci, M.; Zauli, S.; Zelante, A.; Trevisani, L.; Virgili, A.; Bettoli, V. Bullous pemphigoid occurring under anti-tumor necrosis factoralpha therapy. Int. J. Color. Dis. 2014, 29, 1573–1574. [Google Scholar] [CrossRef]
- Dănescu, S.; Chiorean, R.; Macovei, V.; Sitaru, C.; Baican, A. Role of physical factors in the pathogenesis of bullous pemphigoid: Case report series and a comprehensive review of the published work. J. Dermatol. 2015, 43, 134–140. [Google Scholar] [CrossRef]
- Ceryn, J.; Skibińska, M.; Barasińska, P.; Noweta, M.; Narbutt, J.; Lesiak, A. UVB-induced bullous pemphigoid in a patient with psoriasis. Adv. Dermatol. Allergol./Postępy Dermatol. I Alergol. 2022, 39, 228–230. [Google Scholar] [CrossRef]
- Ghanaatpisheh, A.; Safari, M.; Haghshenas, H.; Motamed-Sanaye, A.; Atefi, A.H.; Kamangarpour, K.; Bagherzadeh, M.A.; Kamran-Jahromi, A.; Darayesh, M.; Kouhro, N.; et al. New-onset or flare-up of bullous pemphigoid associated with COVID-19 vaccines: A systematic review of case report and case series studies. Front. Med. 2024, 11, 1293920. [Google Scholar] [CrossRef] [PubMed]
- Borradori, L.; Van Beek, N.; Feliciani, C.; Tedbirt, B.; Antiga, E.; Tedbirt, B.; Antiga, E.; Bergman, R.; Böckle, B.C.; Caproni, M.; et al. Updated S2 K guidelines for the management of bullous pemphigoid initiated by the European Academy of Dermatology and Venereology (EADV). J. Eur. Acad. Dermatol. Venereol. 2022, 36, 1689–1704. [Google Scholar] [CrossRef] [PubMed]






| Whole Group (n = 55) | Females (n = 33) | Males (n = 22) | p-Value | |
|---|---|---|---|---|
| Age (years) | 78.95 ± 8.18 | 80.45 ± 7.70 | 76.68 ± 8.52 | 0.0527 |
| Lesion duration (months) | 3.09 ± 5.17 | 3.45 ± 6.51 | 2.55 ± 1.96 | 0.3346 |
| WBC [×103/μL] | 8.80 ± 3.38 | 8.76 ± 3.57 | 8.85 ± 3.13 | 0.5148 |
| RBC [×106/μL] | 4.24 ± 0.57 | 4.13 ± 0.53 | 4.40 ± 0.61 | 0.0504 |
| Hemoglobin [g/dL] | 13.08 ± 1.82 | 12.54 ± 1.74 | 13.93 ± 1.62 | 0.0037 |
| Hematocrit [%] | 39.53 ± 5.18 | 38.08 ± 4.97 | 41.81 ± 4.76 | 0.0041 |
| MCV [fl] | 93.48 ± 4.70 | 92.25 ± 4.07 | 95.40 ± 5.07 | 0.0406 |
| MCH [pg] | 30.92 ± 1.92 | 30.34 ± 1.82 | 31.82 ± 1.76 | 0.0134 |
| MCHC [g/dL] | 33.08 ± 0.98 | 32.89 ± 1.05 | 33.37 ± 0.78 | 0.1191 |
| PLT [×103/μL] | 246.54 ± 75.81 | 254.24 ± 78.10 | 234.43 ± 72.25 | 0.3501 |
| Neutrophiles [×103/μL] | 5.51 ± 2.72 | 5.43 ± 2.89 | 5.64 ± 2.49 | 0.4383 |
| Lymphocytes [×103/μL] | 1.74 ± 0.77 | 1.85 ± 0.76 | 1.57 ± 0.76 | 0.1970 |
| Eosinophils [×103/μL] | 0.82 ± 1.09 | 0.82 ± 1.05 | 0.83 ± 1.18 | 0.6728 |
| Glucose [mg/dL] | 118.57 ± 51.86 | 104.85 ± 21.39 | 138.39 ± 73.66 | 0.0245 |
| Sodium [mmol/L] | 139.98 ± 3.79 | 140.55 ± 3.80 | 139.06 ± 3.69 | 0.0707 |
| Potassium [mmol/L] | 4.38 ± 0.52 | 4.32 ± 0.55 | 4.48 ± 0.45 | 0.4520 |
| Creatinine [mg/dL] | 1.00 ± 0.30 | 0.95 ± 0.28 | 1.08 ± 0.33 | 0.1468 |
| ALT [U/L] | 17.81 ± 16.23 | 13.18 ± 7.80 | 25.10 ± 22.57 | 0.0011 |
| AST [U/L] | 19.13 ± 11.26 | 16.44 ± 5.42 | 23.45 ± 16.15 | 0.0289 |
| TSH [mg/dL] | 1.65 ± 1.18 | 1.54 ± 1.19 | 1.79 ± 1.28 | 0.6282 |
| Cholesterol [mg/dL] | 169.79 ± 31.92 | 167.00 ± 37.08 | 174.44 ± 21.99 | 0.5985 |
| LDL [mg/dL] | 92.09 ± 30.14 | 89.71 ± 34.31 | 95.78 ± 23.67 | 0.9754 |
| HDL [mg/dL] | 56.85 ± 19.76 | 52.84 ± 22.26 | 63.10 ± 14.00 | 0.1794 |
| Triglycerides [mg/dL] | 96.25 ± 24.39 | 100.17 ± 24.82 | 90.38 ± 24.11 | 0.4269 |
| Lesion Morphology | Females | Males | p-Value |
|---|---|---|---|
| blisters | 81.82% (27) | 86.36% (19) | 0.6553 |
| papules | 15.15% (5) | 14.29% (3) | 0.7599 |
| erosions | 81.25% (26) | 57.14% (12) | 0.0567 |
| pruritus | 73.33% (22) | 55.56% (10) | 0.3428 |
| erythema | 93.75% (30) | 85.00% (17) | 0.2978 |
| Lesion Morphology | >85 | 76–85 | 65–75 | p-Value |
|---|---|---|---|---|
| blisters | 91.67% (11) | 76.19% (16) | 86.36% (19) | 0.4640 |
| papules | 16.67% (2) | 4.76% (1) | 23.81% (5) | 0.2165 |
| erosion | 100.00% (11) | 71.43% (15) | 57.14% (12) | 0.0381 |
| pruritus | 62.50% (5) | 60.00% (12) | 75.00% (15) | 0.5806 |
| erythema | 90.91% (10) | 95.24% (20) | 85.00% (17) | 0.5380 |
| Treatment | Males | Females | p-Value |
|---|---|---|---|
| topical steroids | 50.00% (11) | 48.48% (16) | 0.8688 |
| systemic steroids | 40.91% (9) | 48.48% (16) | 0.7823 |
| methotrexate | 31.82% (7) | 39.39% (13) | 0.7748 |
| tetracycline + vitamin pp | 27.27% (6) | 24.24% (8) | 0.9496 |
| antibiotics other | 13.64% (3) | 6.06% (2) | 0.6321 |
| Treatment | >85 | 76–85 | 65–75 | p-Value |
|---|---|---|---|---|
| topical steroids | 83.33% (10) | 28.57% (6) | 50.00% (11) | 0.0102 |
| systemic steroids | 50.00% (6) | 38.10% (8) | 50.00% (11) | 0.6900 |
| methotrexate | 33.33% (4) | 33.33% (7) | 40.91% (9) | 0.8490 |
| tetracyclin +pp | 25.00% (3) | 19.05% (4) | 31.82% (7) | 0.6297 |
| antibiotics other | 0.00% (0) | 4.76% (1) | 18.18% (4) | 0.1440 |
Disclaimer/Publisher’s Note: The statements, opinions and data contained in all publications are solely those of the individual author(s) and contributor(s) and not of MDPI and/or the editor(s). MDPI and/or the editor(s) disclaim responsibility for any injury to people or property resulting from any ideas, methods, instructions or products referred to in the content. |
© 2024 by the authors. Published by MDPI on behalf of the Lithuanian University of Health Sciences. Licensee MDPI, Basel, Switzerland. This article is an open access article distributed under the terms and conditions of the Creative Commons Attribution (CC BY) license (https://creativecommons.org/licenses/by/4.0/).
Share and Cite
Mazan, P.; Lesiak, A.; Bednarski, I.; Sobolewska-Sztychny, D.; Noweta, M.; Narbutt, J. Factors Influencing the Clinical Course of Bullous Pemphigoid among Geriatric Patients: A Pilot Study. Medicina 2024, 60, 1701. https://doi.org/10.3390/medicina60101701
Mazan P, Lesiak A, Bednarski I, Sobolewska-Sztychny D, Noweta M, Narbutt J. Factors Influencing the Clinical Course of Bullous Pemphigoid among Geriatric Patients: A Pilot Study. Medicina. 2024; 60(10):1701. https://doi.org/10.3390/medicina60101701
Chicago/Turabian StyleMazan, Paula, Aleksandra Lesiak, Igor Bednarski, Dorota Sobolewska-Sztychny, Marcin Noweta, and Joanna Narbutt. 2024. "Factors Influencing the Clinical Course of Bullous Pemphigoid among Geriatric Patients: A Pilot Study" Medicina 60, no. 10: 1701. https://doi.org/10.3390/medicina60101701
APA StyleMazan, P., Lesiak, A., Bednarski, I., Sobolewska-Sztychny, D., Noweta, M., & Narbutt, J. (2024). Factors Influencing the Clinical Course of Bullous Pemphigoid among Geriatric Patients: A Pilot Study. Medicina, 60(10), 1701. https://doi.org/10.3390/medicina60101701

