Exploring the Differential Diagnosis of Adrenal Adenoma in the Context of Situs Ambiguous: A Clinical Case Study
Abstract
1. Introduction
2. Case Presentation Section
2.1. Clinical Examination
2.2. Laboratory Findings
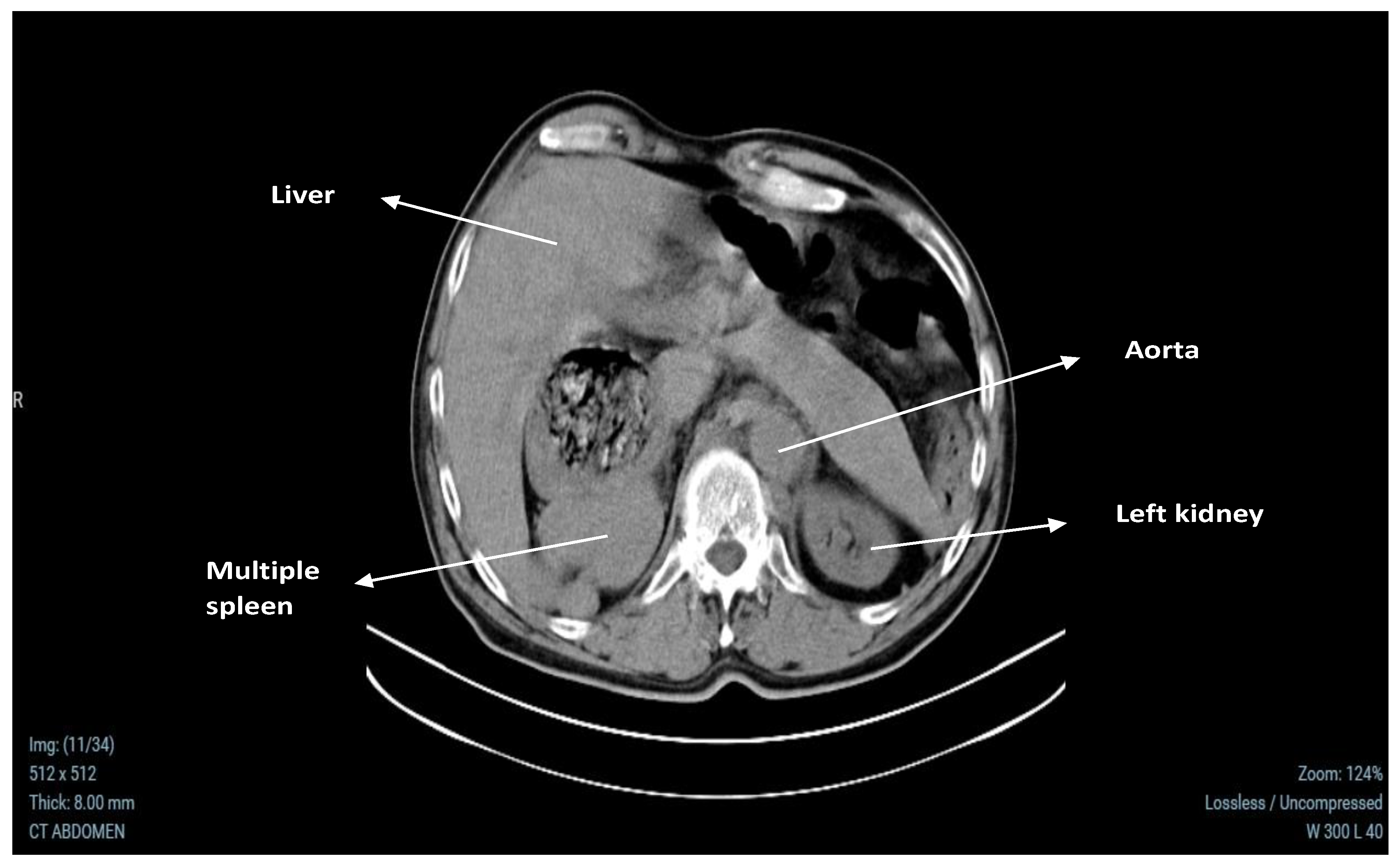
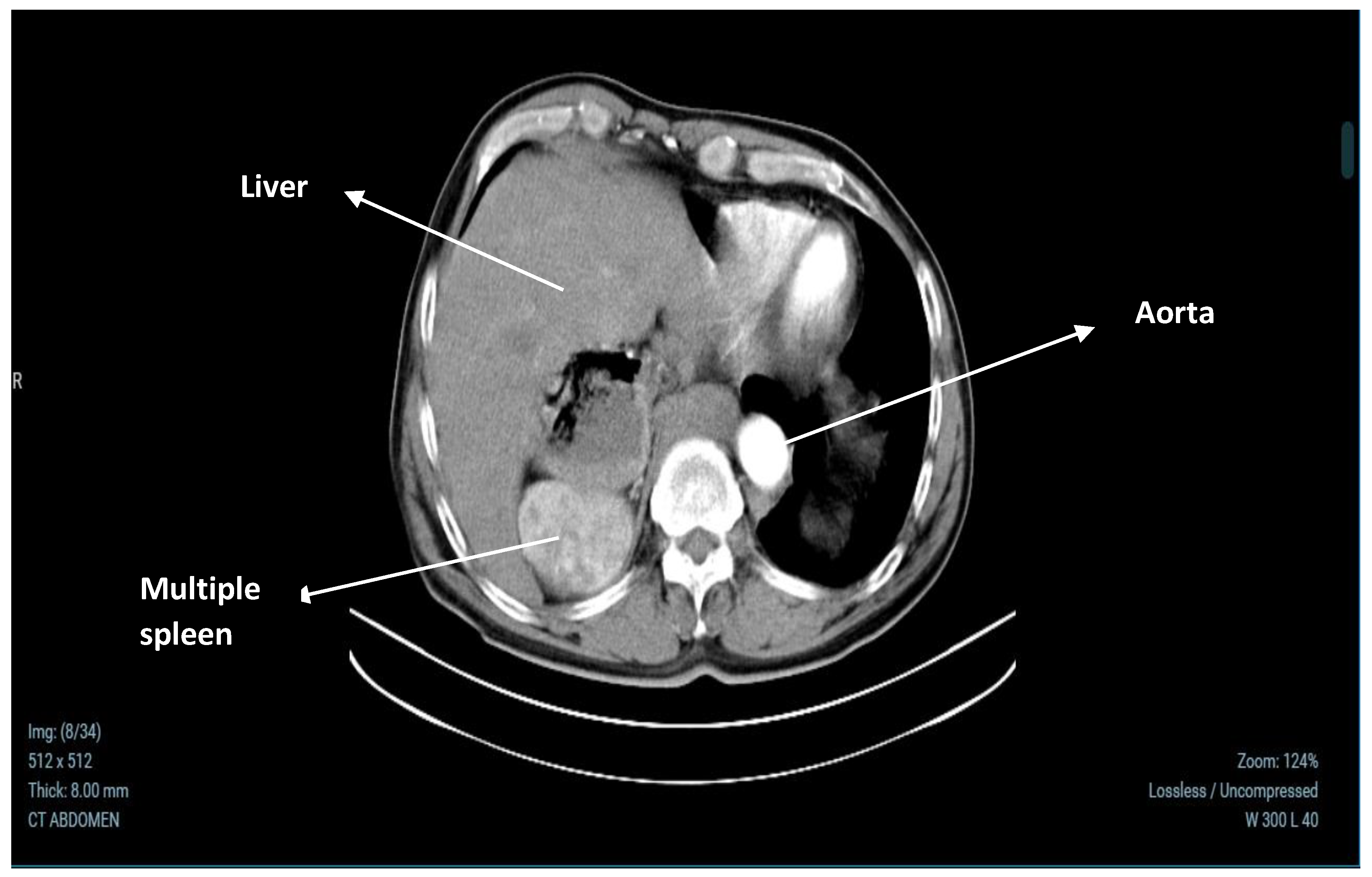
2.3. Abdominal CT Results
2.4. Psychological Assessment
2.5. Differential Diagnosis
2.6. Conclusions and Plan
3. Discussion
4. Conclusions
Author Contributions
Funding
Institutional Review Board Statement
Informed Consent Statement
Data Availability Statement
Acknowledgments
Conflicts of Interest
References
- Auer, M.K.; Nordenström, A.; Lajic, S.; Reisch, N. Congenital adrenal hyperplasia. Lancet 2023, 401, 227–244. [Google Scholar] [CrossRef]
- Witchel, S.F. Congenital Adrenal Hyperplasia. J. Pediatr. Adolesc. Gynecol. 2017, 30, 520–534. [Google Scholar] [CrossRef] [PubMed]
- Carvalho, B.; Marques, C.J.; Santos-Silva, R.; Fontoura, M.; Carvalho, D.; Carvalho, F. Congenital Adrenal Hyperplasia Due to 21-Hydroxylase Deficiency: An Update on Genetic Analysis of CYP21A2 gene. Exp. Clin. Endocrinol. Diabetes 2021, 129, 477–481. [Google Scholar] [CrossRef]
- Pignatelli, D.; Carvalho, B.L.; Palmeiro, A.; Barros, A.; Guerreiro, S.G.; Macut, D. The Complexities in Genotyping of Congenital Adrenal Hyperplasia: 21-Hydroxylase Deficiency. Front. Endocrinol. 2019, 10, 432. [Google Scholar] [CrossRef] [PubMed]
- Parajes, S.; Quinteiro, C.; Domínguez, F.; Loidi, L. High frequency of copy number variations and sequence variants at CYP21A2 locus: Implication for the genetic diagnosis of 21-hydroxylase deficiency. PLoS ONE 2008, 3, e2138. [Google Scholar] [CrossRef]
- Applegate, K.E.; Goske, M.J.; Pierce, G.; Murphy, D. Situs Revisited: Imaging of the Heterotaxy Syndrome. Radiographics 1999, 19, 837–854. [Google Scholar] [CrossRef] [PubMed]
- Corral, G.D.; Labra, W.A.; Schiappacasse, G. Abdominal Manifestations of Situs Ambiguous Abnormalities in Adults: A Study of Four Cases. Rev. Chil. Radiol. 2013, 19, 38–43. [Google Scholar]
- Mansmann, G.; Lau, J.; Balk, E.; Rothberg, M.; Miyachi, Y.; Bornstein, S.R. The Clinically Inapparent Adrenal Mass: Update in Diagnosis and Management. Endocr. Rev. 2004, 25, 309–340. [Google Scholar] [CrossRef] [PubMed]
- Young, W.F., Jr. Clinical Practice: The Incidentally Discovered Adrenal Mass. N. Engl. J. Med. 2007, 356, 601–610. [Google Scholar] [CrossRef]
- Hennings, J.; Udelsman, R. Management of Adrenal Incidentalomas: A Review. JAMA 2002, 288, 3134–3140. [Google Scholar]
- Van der Linde, A.A.A.; Schönbeck, Y.; van der Kamp, H.J.; van den Akker, E.L.T.; van Albada, M.E.; Boelen, A.; Finken, M.J.J.; Hannema, S.E.; Hoorweg-Nijman, G.; Odink, R.J.; et al. Evaluation of the Dutch neonatal screening for congenital adrenal hyperplasia. Arch. Dis. Child. 2019, 104, 653–657. [Google Scholar] [CrossRef] [PubMed]
- Frasier, S.D.; Thorneycroft, I.H.; Weiss, B.A.; Horton, R. Letter: Elevated amniotic fluid concentration of 17 alpha-hydroxyprogesterone in congenital adrenal hyperplasia. J. Pediatr. 1975, 86, 310–312. [Google Scholar] [CrossRef] [PubMed]
- New, M.I.; Tong, Y.K.; Yuen, T.; Jiang, P.; Pina, C.; Chan, K.C.; Khattab, A.; Liao, G.J.; Yau, M.; Kim, S.M.; et al. Noninvasive prenatal diagnosis of congenital adrenal hyperplasia using cell-free fetal DNA in maternal plasma. J. Clin. Endocrinol. Metab. 2014, 99, E1022–E1030. [Google Scholar] [CrossRef] [PubMed]
- Uslar, T.; Olmos, R.; Martínez-Aguayo, A.; Baudrand, R. Clinical Update on Congenital Adrenal Hyperplasia: Recommendations from a Multidisciplinary Adrenal Program. J. Clin. Med. 2023, 12, 3128. [Google Scholar] [CrossRef]
- Held, P.K.; Bird, I.M.; Heather, N.L. Newborn Screening for Congenital Adrenal Hyperplasia: Review of Factors Affecting Screening Accuracy. Int. J. Neonatal. Screen. 2020, 6, 67. [Google Scholar] [CrossRef]
- Parsa, A.A.; New, M.I. Steroid 21-hydroxylase deficiency in congenital adrenal hyperplasia. J. Steroid Biochem. Mol. Biol. 2017, 165 Pt A, 2–11. [Google Scholar] [CrossRef]
- Carmina, E.; Dewailly, D.; Escobar-Morreale, H.F.; Kelestimur, F.; Moran, C.; Oberfield, S.; Witchel, S.F.; Azziz, R. Non-classic congenital adrenal hyperplasia due to 21-hydroxylase deficiency revisited: An update with a special focus on adolescent and adult women. Hum. Reprod. Update 2017, 23, 580–599. [Google Scholar] [CrossRef] [PubMed]
- Spandri, A.; Cogliardi, A.; Maggi, P.; De Giorgi, A.; Masperi, R.; Beccaria, L. Congenital adrenal hyperplasia. Arch. Ital. Urol. Androl. 2004, 76, 143–146. [Google Scholar]
- Nordenström, A.; Falhammar, H. Management of Endocrine Disease: Diagnosis and management of the patient with non-classic CAH due to 21-hydroxylase deficiency. Eur. J. Endocrinol. 2019, 180, R127–R145. [Google Scholar] [CrossRef]
- Nermoen, I.; Rørvik, J.; Holmedal, S.H.; Hykkerud, D.L.; Fougner, K.J.; Svartberg, J.; Husebye, E.S.; Løvås, K. High frequency of adrenal myelolipomas and testicular adrenal rest tumours in adult Norwegian patients with classical congenital adrenal hyperplasia because of 21-hydroxylase deficiency. Clin. Endocrinol. 2011, 75, 753–759. [Google Scholar] [CrossRef]
- Nermoen, I.; Falhammar, H. Prevalence and Characteristics of Adrenal Tumors and Myelolipomas in Congenital Adrenal Hyperplasia: A Systematic Review and Meta-Analysis. Endocr. Pract. 2020, 26, 1351–1365. [Google Scholar] [CrossRef] [PubMed]
- Boland, G.W.; Blake, M.A.; Holalkere, N.S.; Hahn, P.F. PET/CT for the characterization of adrenal masses in patients with cancer: Qualitative vs. quantitative accuracy. AJR Am. J. Roentgenol. 2009, 192, 956–962. [Google Scholar] [CrossRef] [PubMed]
- Schieda, N.; Krishna, S.; McInnes, M.D.F.; Moosavi, B.; Alrashed, A.; Moreland, R.; Siegelman, E.S. Utility of MRI to differentiate clear cell renal cell carcinoma adrenal metastases from adrenal adenomas. AJR Am. J. Roentgenol. 2017, 209, W152–W159. [Google Scholar] [CrossRef] [PubMed]
- Choi, Y.A.; Kim, C.K.; Park, B.K.; Kim, B. Evaluation of adrenal metastases from renal cell carcinoma and hepatocellular carcinoma: Use of delayed contrast-enhanced CT. Radiology 2013, 266, 514–520. [Google Scholar] [CrossRef] [PubMed]
- Sasaguri, K.; Takahashi, N.; Takeuchi, M.; Carter, R.E.; Leibovich, B.C.; Kawashima, A. Differentiation of benign from metastatic adrenal masses in renal cell carcinoma. AJR Am. J. Roentgenol. 2016, 207, 1031–1038. [Google Scholar] [CrossRef]
- Lam, K.Y.; Lo, C.Y. Metastatic tumors of the adrenal glands: A 30-year experience in a teaching hospital. Clin. Endocrinol. 2002, 56, 95–101. [Google Scholar] [CrossRef]
- Tariq, U.; Poder, L.; Carlson, D.; Courtier, J.; Joe, B.N.; Coakley, F.V. Multimodality imaging of fat-containing adrenal metastasis from hepatocellular carcinoma. Clin. Nucl. Med. 2012, 37, e157–e159. [Google Scholar] [CrossRef]
- Moosavi, B.; Shabana, W.M.; El-Khodary, M.; van der Pol, C.B.; Flood, T.A.; McInnes, M.D.; Schieda, N. Intracellular lipid in clear cell renal cell carcinoma tumor thrombus and metastases detected by chemical shift MRI: Radiologic–pathologic correlation. Acta Radiol. 2016, 57, 241–248. [Google Scholar] [CrossRef]
- Tsushima, Y.; Takahashi-Taketomi, A.; Endo, K. Diagnostic utility of diffusion-weighted MR imaging and apparent diffusion coefficient value for the diagnosis of adrenal tumors. J. Magn. Reson. Imaging 2009, 29, 112–117. [Google Scholar] [CrossRef]
- Blake, M.; Cronin, C.; Boland, G. Adrenal Imaging. AJR Am. J. Roentgenol. 2010, 194, 1450–1460. [Google Scholar] [CrossRef]
- Korobkin, M.; Brodeur, F.; Yutzy, G.; Francis, I.R.; Quint, L.E.; Dunnick, N.R.; Kazerooni, E.A. Differentiation of adrenal adenomas from nonadenomas using CT attenuation values. AJR Am. J. Roentgenol. 1996, 166, 531–536. [Google Scholar] [CrossRef] [PubMed]
- Calissendorff, J.; Juhlin, C.C.; Sundin, A.; Bancos, I.; Falhammar, H. Adrenal myelolipomas. Lancet Diabetes Endocrinol. 2021, 9, 767–775. [Google Scholar] [CrossRef] [PubMed]
- Campbell, M.J.; Obasi, M.; Wu, B.; Corwin, M.T.; Fananapazir, G. The radiographically diagnosed adrenal myelolipoma: What do we really know? Endocrine 2017, 58, 289–294. [Google Scholar] [CrossRef]
- Reginelli, A.; Vacca, G.; Belfiore, M.; Sangiovanni, A.; Nardone, V.; Vanzulli, A.; Grassi, R.; Cappabianca, S. Pitfalls and differential diagnosis on adrenal lesions: Current concepts in CT/MR imaging: A narrative review. Gland Surg. 2020, 9, 2331–2342. [Google Scholar] [CrossRef] [PubMed]
- Dogra, P.; Sundin, A.; Juhlin, C.C.; Calissendorff, J.; Falhammar, H.; Bancos, I. Rare benign adrenal lesions. Eur. J. Endocrinol. 2023, 188, 407–420. [Google Scholar] [CrossRef] [PubMed]
- Daneshmand, S.; Quek, M.L. Adrenal myelolipoma: Diagnosis and management. Urol. J. 2006, 3, 71–74. [Google Scholar]
- Sharma, M.C.; Kashyap, S.; Sharma, R.; Chumber, S.; Sood, R.; Chahal, R. Symptomatic adrenal myelolipoma. Clinicopathological analysis of 7 cases and brief review of the literature. Urol. Int. 1997, 59, 119–124. [Google Scholar] [CrossRef]
- Bnaya, A.; Benjaminov, O.; Shavit, L. Bilateral extra-adrenal perirenal myelolipoma associated with obstructive uropathy. Am. J. Med. Sci. 2023, 365, e10–e11. [Google Scholar] [CrossRef]
- Hamidi, O.; Raman, R.; Lazik, N.; Iniguez-Ariza, N.; McKenzie, T.J.; Lyden, M.L.; Thompson, G.B.; Dy, B.M.; Young, W.F., Jr.; Bancos, I. Clinical course of adrenal myelolipoma: A long-term longitudinal follow-up study. Clin. Endocrinol. 2020, 93, 11–18. [Google Scholar] [CrossRef]
- McGeoch, S.C.; Olson, S.; Krukowski, Z.H.; Bevan, J.S. Giant bilateral myelolipomas in a man with congenital adrenal hyperplasia. J. Clin. Endocrinol. Metab. 2012, 97, 343–344. [Google Scholar] [CrossRef]
- Auchus, R.J.; Arlt, W. Approach to the patient: The adult with congenital adrenal hyperplasia. J. Clin. Endocrinol. Metab. 2013, 98, 2645–2655. [Google Scholar] [CrossRef] [PubMed]
- Lin, L.; Achermann, J.C.; Bingham, C.; et al. NR5A1 Mutations Are Associated with Ambiguous Genitalia, Adrenal Insufficiency, and Hypogonadism. Am. J. Hum. Genet. 2007, 80, 103–116. [Google Scholar]
- Lama, N.; Maniatis, P.; Antonatos, D.H.; Fagkrezos, D.; Triantopoulou, C.; Papailiou, I. A Rare Case of Situs Ambiguous in an Adult. Int. J. Case Rep. Images 2015, 6, 672–677. [Google Scholar] [CrossRef]
- Saltzman, A.F.; Carrasco, A.; Srivastava, D.; et al. Immunologic and Endocrine Abnormalities in Heterotaxy Syndrome with Polysplenia. Pediatr. Surg. Int. 2017, 33, 313–317. [Google Scholar]
- Fulcher, A.S.; Turner, M.A. Abdominal Manifestations of Situs Anomalies in Adults. Radiographics 2002, 22, 1439–1456. [Google Scholar] [CrossRef]
- Kim, J.G.; Youn, H.J.; Kim, G.H.; Park, M.H.; Hur, J.; Yu, J.S.; Jung, S.Y.; An, S.H. Incidentally Detected Situs Ambiguous in Adults. J. Cardiovasc. Ultrasound 2011, 19, 211–215. [Google Scholar] [CrossRef]
- Cronje, R.; Hugo, L.; Griessel, P. The Association Between Polysplenia, Asplenia, and Other Congenital Abnormalities: Organ Isomerism. S. Afr. Med. J. 1973, 47, 2264–2266. [Google Scholar]
- Nordenström, A.; Lajic, S.; Falhammar, H. Long-Term Outcomes of Congenital Adrenal Hyperplasia. Endocrinol. Metab. 2022, 37, 587–598. [Google Scholar] [CrossRef] [PubMed]
- D’Urso, A.; Tardivo, S.; Gallo, R.; et al. Surgical management of complex vascular anatomy in patients with polysplenia: A case report and literature review. J. Surg. Case Rep. 2021, rjabh134. [Google Scholar]
- Falcetta, F.; Ronti, S.; Balzaretti, G.; et al. Long-term outcomes of adrenal incidentalomas: A multicenter study on hormonal alterations and immunological implications. Endocr. Pract. 2021, 27, 633–641. [Google Scholar]
- Yilmaz, M.; Tetik, O.; Tumer, A.; et al. Clinical characteristics and imaging features of adrenal incidentalomas: Insights from a large cohort study. J. Clin. Imaging Sci. 2021, 11, 8. [Google Scholar]
- Hannemann, M.; Wallaschofski, H. The prevalence of primary aldosteronism in adrenal incidentaloma patients: An overview. Eur. J. Endocrinol. 2012, 166, 453–460. [Google Scholar]
- Iacobone, M.; Sutherland, J.D.; White, A.; et al. Systematic review of the management of subclinical Cushing’s syndrome in adrenal incidentalomas. Langenbeck’s Arch. Surg. 2015, 400, 645–654. [Google Scholar]
- Mihai, I.; Boicean, A.; Teodoru, C.A.; Grigore, N.; Iancu, G.M.; Dura, H.; Bratu, D.G.; Roman, M.D.; Mohor, C.I.; Todor, S.B.; et al. Laparoscopic Adrenalectomy: Tailoring Approaches for the Optimal Resection of Adrenal Tumors. Diagnostics 2023, 13, 3351. [Google Scholar] [CrossRef]


| Laboratory Test | Result | Normal Range |
|---|---|---|
| Hemoglobin | 15.2 g/dL | 13.8–17.2 g/dL |
| White Blood Cells (WBC) | 7126/µL | 4000–11,000/µL |
| Blood Glucose | 89 mg/dL | 70–100 mg/dL |
| Creatinine | 0.8 mg/dL | 0.6–1.2 mg/dL |
| Erythrocyte Sedimentation Rate (ESR) | 14 mm/h | 0–22 mm/h |
| Electrolytes (Na+, K+, Cl−) | Na+: 139 mmol/L, K+: 4.3 mmol/L, Cl−: 101 mmol/L | Na+: 135–145 mmol/L, K+: 3.5–5.0 mmol/L, Cl−: 98–107 mmol/L |
| Liver Enzymes (ALT, AST, ALP, GGT) | ALT: 24 U/L, AST: 28 U/L, ALP: 98 U/L, GGT: 31 U/L | ALT: 7–56 U/L, AST: 10–40 U/L, ALP: 44–147 U/L, GGT: 9–48 U/L |
| Aspect | Patient Case | Differential Diagnosis Summary |
|---|---|---|
| Patient Profile | A 65-year-old male with a history of benign prostatic hyperplasia and tuberculous pleurisy. | Patient profile is relevant for risk assessment. Age and comorbidities affect diagnostic considerations; older patients have a higher likelihood of malignancies or functional adrenal lesions. |
| Symptoms | Asymptomatic; referred for evaluation due to ultrasound findings. |
|
| Adrenal Imaging Findings | Ultrasound indicated a potential adenoma; the right adrenal gland was not visualized on CT. |
|
| Laboratory Findings | Normal hormonal profile: preserved cortisol rhythm, normal ACTH, and 24 h urine-free cortisol. No signs of mineralocorticoid hypertension. |
|
| Other Imaging Findings | CT scan revealed liver cysts and multiple splenic nodules; normal kidney size with cysts. |
|
| Physical Examination | Good general health, no systemic signs; stable vital signs. |
|
| Psychological Assessment | No significant mental health issues; demonstrates healthy adjustment levels. | Rarely directly addressed in differential diagnosis for adrenal disorders; however, chronic disease may affect psychological well-being. |
| Next Steps | Further imaging or biopsy may be considered to characterize findings. |
|
| Case № | Age | Gender | Country | Symptoms | Diagnosis | Treatment | Follow-Up | References |
|---|---|---|---|---|---|---|---|---|
| 1. | 55 | Male | USA | Incidental finding on CT | Non-functional adrenal adenoma | Observation | 6 months, stable | Tariq et al., 2012 [27] |
| 2. | 62 | Female | Japan | Flank pain, hypertension | Adrenal adenoma with metastasis | Surgical excision, 1 week after diagnosing | 12 months (no recurrence) | Choi et al., 2013 [24] |
| 3. | 48 | Male | South Korea | Fatigue, weight loss | Adrenal adenoma (metastasis from RCC) | Adrenalectomy, 3 weeks after diagnosing | 9 months (stable) | Moosavi et al., 2016 [28] |
| 4. | 39 | Female | UK | Incidental mass on MRI | Benign adrenal adenoma | Monitoring | 18 months (no growth) | Lam and Lo, 2002 [26] |
| 5. | 60 | Male | Italy | Palpitations, dizziness | Functional adrenal adenoma | Laparoscopic adrenalectomy, 10 days after diagnosing | 12 months (normal cortisol levels) | Boland et al., 2009 [22] |
| 6. | 45 | Female | Canada | Nausea, fatigue, incidental mass | Non-functional adrenal adenoma | Monitoring | 24 months (stable mass size) | Sasaguri et al., 2016 [25] |
| 7. | 52 | Male | Australia | Weakness, hypertension | Functional adrenal adenoma (Conn’s syndrome) | Surgical removal, 2 weeks after diagnosing | 10 months (improved BP) | Schieda et al., 2017 [23] |
| 8. | 65 | Female | USA | Abdominal pain, incidental mass | Adrenal adenoma | Adrenalectomy, 3 weeks after diagnosing | 6 months (no recurrence) | Tsushima et al., 2009 [29] |
| 9. | 47 | Male | UK | Weight gain, hypertension | Functional adrenal adenoma | Adrenalectomy, 3 weeks after diagnosing | 14 months (normalized BP) | Blake et al., 2010 [30] |
| 10. | 58 | Female | USA | Incidental mass on CT | Benign adrenal adenoma | Observation | 12 months (stable) | Korobkin et al., 1996 [31] |
Disclaimer/Publisher’s Note: The statements, opinions and data contained in all publications are solely those of the individual author(s) and contributor(s) and not of MDPI and/or the editor(s). MDPI and/or the editor(s) disclaim responsibility for any injury to people or property resulting from any ideas, methods, instructions or products referred to in the content. |
© 2024 by the authors. Published by MDPI on behalf of the Lithuanian University of Health Sciences. Licensee MDPI, Basel, Switzerland. This article is an open access article distributed under the terms and conditions of the Creative Commons Attribution (CC BY) license (https://creativecommons.org/licenses/by/4.0/).
Share and Cite
Stanchev, P.E.; Dimitrova, M.; Makakova, D.; Tilov, B. Exploring the Differential Diagnosis of Adrenal Adenoma in the Context of Situs Ambiguous: A Clinical Case Study. Medicina 2024, 60, 2010. https://doi.org/10.3390/medicina60122010
Stanchev PE, Dimitrova M, Makakova D, Tilov B. Exploring the Differential Diagnosis of Adrenal Adenoma in the Context of Situs Ambiguous: A Clinical Case Study. Medicina. 2024; 60(12):2010. https://doi.org/10.3390/medicina60122010
Chicago/Turabian StyleStanchev, Pavel E., Mariya Dimitrova, Desislava Makakova, and Boris Tilov. 2024. "Exploring the Differential Diagnosis of Adrenal Adenoma in the Context of Situs Ambiguous: A Clinical Case Study" Medicina 60, no. 12: 2010. https://doi.org/10.3390/medicina60122010
APA StyleStanchev, P. E., Dimitrova, M., Makakova, D., & Tilov, B. (2024). Exploring the Differential Diagnosis of Adrenal Adenoma in the Context of Situs Ambiguous: A Clinical Case Study. Medicina, 60(12), 2010. https://doi.org/10.3390/medicina60122010

