Tirbanibulin 1% Ointment for Actinic Keratosis: Results from a Real-Life Study
Abstract
1. Introduction
2. Materials and Methods
2.1. Inclusion and Exclusion Criteria (Study Population)
2.2. Study Design
2.2.1. Baseline Evaluation
2.2.2. Treatment Received by Patients
2.2.3. First Evaluation Post-Treatment (T1)
2.2.4. Second Evaluation Post-Treatment (T2)
2.2.5. Objectives and Endpoints
2.2.6. Statistical Analysis
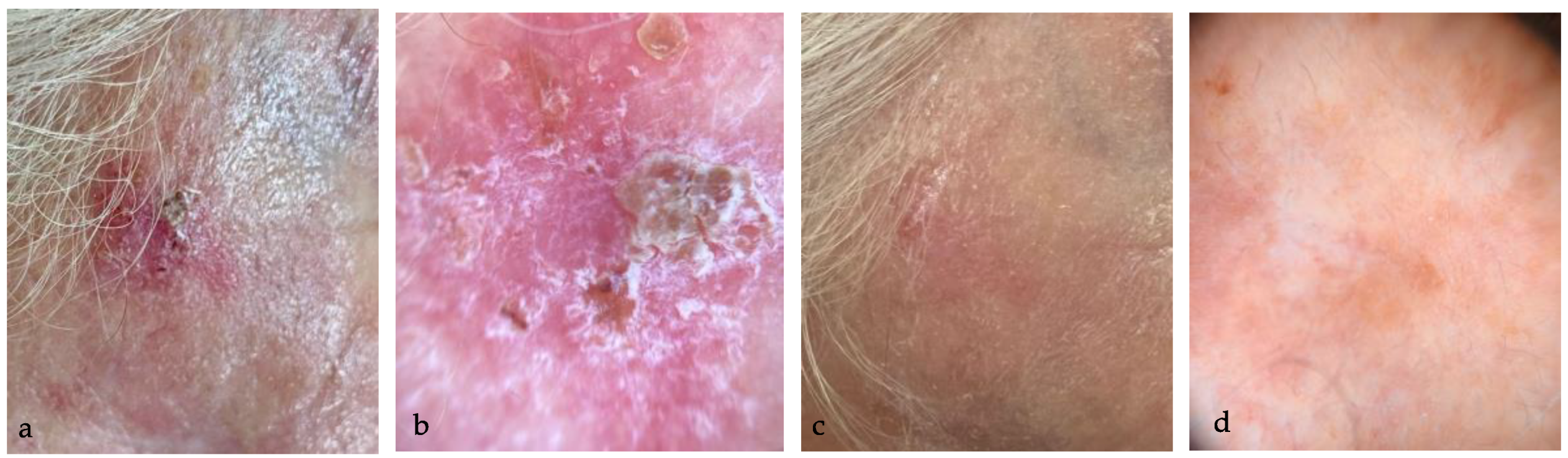
3. Results
3.1. Patients Characteristics
3.2. Efficacy
3.3. Local Adverse Events
3.4. Patient Compliance
4. Discussion
5. Conclusions
Author Contributions
Funding
Institutional Review Board Statement
Informed Consent Statement
Data Availability Statement
Conflicts of Interest
References
- Reinehr, C.P.H.; Bakos, R.M. Actinic Keratoses: Review of Clinical, Dermoscopic, and Therapeutic Aspects. An. Bras. Dermatol. 2019, 94, 637–657. [Google Scholar] [CrossRef] [PubMed]
- Eisen, D.B.; Asgari, M.M.; Bennett, D.D.; Connolly, S.M.; Dellavalle, R.P.; Freeman, E.E.; Goldenberg, G.; Leffell, D.J.; Peschin, S.; Sligh, J.E.; et al. Guidelines of Care for the Management of Actinic Keratosis. J. Am. Acad. Dermatol. 2021, 85, e209–e233. [Google Scholar] [CrossRef] [PubMed]
- Di Bartolomeo, L.; Vaccaro, F.; Irrera, N.; Borgia, F.; Li Pomi, F.; Squadrito, F.; Vaccaro, M. Wnt Signaling Pathways: From Inflammation to Non-Melanoma Skin Cancers. Int. J. Mol. Sci. 2023, 24, 1575. [Google Scholar] [CrossRef] [PubMed]
- Olsen, E.A.; Lisa Abernethy, M.; Kulp-Shorten, C.; Callen, J.P.; Glazer, S.D.; Huntley, A.; McCray, M.; Monroe, A.B.; Tschen, E.; Wolf, J.E. A Double-Blind, Vehicle-Controlled Study Evaluating Masoprocol Cream in the Treatment of Actinic Keratoses on the Head and Neck. J. Am. Acad. Dermatol. 1991, 24, 738–743. [Google Scholar] [CrossRef] [PubMed]
- Schmitz, L.; Kahl, P.; Majores, M.; Bierhoff, E.; Stockfleth, E.; Dirschka, T. Actinic Keratosis: Correlation between Clinical and Histological Classification Systems. J. Eur. Acad. Dermatol. Venereol. 2016, 30, 1303–1307. [Google Scholar] [CrossRef]
- Fernández-Figueras, M.T.; Carrato, C.; Sáenz, X.; Puig, L.; Musulen, E.; Ferrándiz, C.; Ariza, A. Actinic Keratosis with Atypical Basal Cells (AK I) Is the Most Common Lesion Associated with Invasive Squamous Cell Carcinoma of the Skin. J. Eur. Acad. Dermatol. Venereol. 2015, 29, 991–997. [Google Scholar] [CrossRef]
- Marks, R.; Rennie, G.; Selwood, T. Malignant Transformation of Solar Keratoses to Squamous Cell Carcinoma. Lancet 1988, 331, 795–797. [Google Scholar] [CrossRef]
- Balcere, A.; Rone Kupfere, M.; Čēma, I.; Krūmiņa, A. Prevalence, Discontinuation Rate, and Risk Factors for Severe Local Site Reactions with Topical Field Treatment Options for Actinic Keratosis of the Face and Scalp. Medicina 2019, 55, 92. [Google Scholar] [CrossRef]
- Blauvelt, A.; Kempers, S.; Lain, E.; Schlesinger, T.; Tyring, S.; Forman, S.; Ablon, G.; Martin, G.; Wang, H.; Cutler, D.L.; et al. Phase 3 Trials of Tirbanibulin Ointment for Actinic Keratosis. N. Engl. J. Med. 2021, 384, 512–520. [Google Scholar] [CrossRef]
- Del Regno, L.; Catapano, S.; Di Stefani, A.; Cappilli, S.; Peris, K. A Review of Existing Therapies for Actinic Keratosis: Current Status and Future Directions. Am. J. Clin. Dermatol. 2022, 23, 339–352. [Google Scholar] [CrossRef]
- Eisen, D.B.; Asgari, M.M.; Bennett, D.D.; Connolly, S.M.; Dellavalle, R.P.; Freeman, E.E.; Goldenberg, G.; Leffell, D.J.; Peschin, S.; Sligh, J.E.; et al. Guidelines of Care for the Management of Actinic Keratosis: Executive Summary. J. Am. Acad. Dermatol. 2021, 85, 945–955. [Google Scholar] [CrossRef] [PubMed]
- Huang, A.; Nguyen, J.K.; Austin, E.; Mamalis, A.; Jagdeo, J. Updates on Treatment Approaches for Cutaneous Field Cancerization. Curr. Dermatol. Rep. 2019, 8, 122–132. [Google Scholar] [CrossRef] [PubMed]
- Gilaberte, Y.; Fernández-Figueras, M.T. [Translated Article] Tirbanibulin: Review of Its Novel Mechanism of Action and How It Fits into the Treatment of Actinic Keratosis. Actas Dermosifiliogr. 2022, 113, T58–T66. [Google Scholar] [CrossRef]
- Mansilla-Polo, M.; Abril-Pérez, C.; Martín-Torregrosa, D.; López-Davia, J.; de Unamuno-Bustos, B.; Torres-Navarro, I.; Escutia-Muñoz, B.; Botella-Estrada, R. Effectiveness, Safety and Satisfaction of 1% Tirbanibulin Ointment in the Treatment of Actinic Keratoses: A Prospective Study in Real Clinical Practice. Australas. J. Dermatol. 2023, 64, 560–564. [Google Scholar] [CrossRef] [PubMed]
- Kirchberger, M.C.; Gfesser, M.; Erdmann, M.; Schliep, S.; Berking, C.; Heppt, M.V. Tirbanibulin 1% Ointment Significantly Reduces the Actinic Keratosis Area and Severity Index in Patients with Actinic Keratosis: Results from a Real-World Study. J. Clin. Med. 2023, 12, 4837. [Google Scholar] [CrossRef] [PubMed]
- Campione, E.; Rivieccio, A.; Gaeta Shumak, R.; Costanza, G.; Cosio, T.; Lambiase, S.; Garofalo, V.; Artosi, F.; Lozzi, F.; Freni, C.; et al. Preliminary Evidence of Efficacy, Safety, and Treatment Satisfaction with Tirbanibulin 1% Ointment: A Clinical Perspective on Actinic Keratoses. Pharmaceuticals 2023, 16, 1686. [Google Scholar] [CrossRef] [PubMed]
- Heppt, M.V.; Dykukha, I.; Graziadio, S.; Salido-Vallejo, R.; Chapman-Rounds, M.; Edwards, M. Comparative Efficacy and Safety of Tirbanibulin for Actinic Keratosis of the Face and Scalp in Europe: A Systematic Review and Network Meta-Analysis of Randomized Controlled Trials. J. Clin. Med. 2022, 11, 1654. [Google Scholar] [CrossRef]
- Dohil, M.A. Efficacy, Safety, and Tolerability of 4% 5-Fluorouracil Cream in a Novel Patented Aqueous Cream Containing Peanut Oil Once Daily Compared With 5% 5-Fluorouracil Cream Twice Daily: Meeting the Challenge in the Treatment of Actinic Keratosis. J. Drugs Dermatol. 2016, 15, 1218–1224. [Google Scholar]
- Stockfleth, E.; Jouary, T.; Farnetani, F.; Pascual, A.M.; De Almeida Agudo, C.; Voisard, J.-J.; Bégeault, N.; Delarue, A. Severity of Local Skin Reactions with 4% 5-Fluorouracil Plus Emollient versus 4% 5-Fluorouracil Alone in Patients with Actinic Keratosis: A Single-Blind Randomised Trial. Dermatol. Ther. 2023, 13, 1013–1027. [Google Scholar] [CrossRef]
- Hansen, J.; Larsson, T.; Dunkelly-Allen, N.; Veverka, K.; Feldman, S. Real-World Effectiveness and Safety of Field- and Lesion-Directed Treatments for Actinic Keratosis. J. Drugs Dermatol. 2020, 19, 756–762. [Google Scholar] [CrossRef]
- Stockfleth, E.; Zwingers, T.; Willers, C. Recurrence Rates and Patient Assessed Outcomes of 0.5% 5-Fluorouracil in Combination with Salicylic Acid Treating Actinic Keratoses. Eur. J. Dermatol. 2012, 22, 370–374. [Google Scholar] [CrossRef]
- Gebauer, K.; Brown, P.; Varigos, G. Topical Diclofenac in Hyaluronan Gel for the Treatment of Solar Keratoses. Australas. J. Dermatol. 2003, 44, 40–43. [Google Scholar] [CrossRef] [PubMed]
- Wolf, J.E.; Taylor, J.R.; Tschen, E.; Kang, S. Topical 3.0% Diclofenac in 2.5% Hyaluronan Gel in the Treatment of Actinic Keratoses. Int. J. Dermatol. 2001, 40, 709–713. [Google Scholar] [CrossRef] [PubMed]
- Perino, F.; Fattori, A.; Piccerillo, A.; Bianchi, L.; Fargnoli, M.C.; Frascione, P.; Pellacani, G.; Carbone, A.; Campione, E.; Esposito, M.; et al. Treatment Adherence with Diclofenac 3% Gel among Patients with Multiple Actinic Keratoses: An Integrated Low-Intensity Intervention Program versus Standard-of-Care. Ital. J. Dermatol. Venereol. 2022, 157, 164–172. [Google Scholar] [CrossRef] [PubMed]
- Swanson, N.; Smith, C.C.; Kaur, M.; Goldenberg, G. Imiquimod 2.5% and 3.75% for the Treatment of Actinic Keratoses: Two Phase 3, Multicenter, Randomized, Double-Blind, Placebo-Controlled Studies. J. Drugs Dermatol. 2014, 13, 166–169. [Google Scholar] [PubMed]
- Li Pomi, F.; Macca, L.; Peterle, L.; Romeo, P.; Vaccaro, M.; Borgia, F. Photodynamic Therapy for Intergluteal Warts in a Child Affected by Rett Syndrome. Photodiagnosis Photodyn. Ther. 2023, 42, 103620. [Google Scholar] [CrossRef] [PubMed]
- Borgia, F.; Giuffrida, R.; Caradonna, E.; Vaccaro, M.; Guarneri, F.; Cannavò, S. Early and Late Onset Side Effects of Photodynamic Therapy. Biomedicines 2018, 6, 12. [Google Scholar] [CrossRef] [PubMed]
- Dirschka, T.; Radny, P.; Dominicus, R.; Mensing, H.; Brüning, H.; Jenne, L.; Karl, L.; Sebastian, M.; Oster-Schmidt, C.; Klövekorn, W.; et al. Photodynamic Therapy with BF-200 ALA for the Treatment of Actinic Keratosis: Results of a Multicentre, Randomized, Observer-Blind Phase III Study in Comparison with a Registered Methyl-5-Aminolaevulinate Cream and Placebo. Br. J. Dermatol. 2012, 166, 137–146. [Google Scholar] [CrossRef] [PubMed]
- Reinhold, U.; Dirschka, T.; Ostendorf, R.; Aschoff, R.; Berking, C.; Philipp-Dormston, W.G.; Hahn, S.; Lau, K.; Jäger, A.; Schmitz, B.; et al. A Randomized, Double-blind, Phase III, Multicentre Study to Evaluate the Safety and Efficacy of BF-200 ALA (Ameluz®) vs. Placebo in the Field-directed Treatment of Mild-to-moderate Actinic Keratosis with Photodynamic Therapy (PDT) When Using the BF-Rhodo LED® Lamp. Br. J. Dermatol. 2016, 175, 696–705. [Google Scholar] [CrossRef]
- Szeimies, R.-M.; Radny, P.; Sebastian, M.; Borrosch, F.; Dirschka, T.; Krähn-Senftleben, G.; Reich, K.; Pabst, G.; Voss, D.; Foguet, M.; et al. Photodynamic Therapy with BF-200 ALA for the Treatment of Actinic Keratosis: Results of a Prospective, Randomized, Double-Blind, Placebo-Controlled Phase III Study. Br. J. Dermatol. 2010, 163, 386–394. [Google Scholar] [CrossRef]
- Jansen, M.H.E.; Kessels, J.P.H.M.; Nelemans, P.J.; Kouloubis, N.; Arits, A.H.M.M.; van Pelt, H.P.A.; Quaedvlieg, P.J.F.; Essers, B.A.B.; Steijlen, P.M.; Kelleners-Smeets, N.W.J.; et al. Randomized Trial of Four Treatment Approaches for Actinic Keratosis. N. Engl. J. Med. 2019, 380, 935–946. [Google Scholar] [CrossRef] [PubMed]
- Ezzedine, K.; Painchault, C.; Brignone, M. Systematic Literature Review and Network Meta-Analysis of the Efficacy and Acceptability of Interventions in Actinic Keratoses. Acta Derm. Venereol. 2021, 101, adv00358. [Google Scholar] [CrossRef] [PubMed]
- Gupta, A.K.; Paquet, M. Network Meta-Analysis of the Outcome ‘Participant Complete Clearance’ in Nonimmunosuppressed Participants of Eight Interventions for Actinic Keratosis: A Follow-up on a Cochrane Review. Br. J. Dermatol. 2013, 169, 250–259. [Google Scholar] [CrossRef]
- Wu, Y.; Tang, N.; Cai, L.; Li, Q. Relative Efficacy of 5-fluorouracil Compared with Other Treatments among Patients with Actinic Keratosis: A Network Meta-analysis. Dermatol. Ther. 2019, 32, e12822. [Google Scholar] [CrossRef] [PubMed]
- Steeb, T.; Wessely, A.; Schmitz, L.; Heppt, F.; Kirchberger, M.C.; Berking, C.; Heppt, M.V. Interventions for Actinic Keratosis in Nonscalp and Nonface Localizations: Results from a Systematic Review with Network Meta-Analysis. J. Investig. Dermatol. 2021, 141, 345–354.e8. [Google Scholar] [CrossRef]
- Steeb, T.; Wessely, A.; Leiter, U.; French, L.E.; Berking, C.; Heppt, M.V. The More the Better? An Appraisal of Combination Therapies for Actinic Keratosis. J. Eur. Acad. Dermatol. Venereol. 2020, 34, 727–732. [Google Scholar] [CrossRef]
- Askew, D.A.; Mickan, S.M.; Soyer, H.P.; Wilkinson, D. Effectiveness of 5-fluorouracil Treatment for Actinic Keratosis–A Systematic Review of Randomized Controlled Trials. Int. J. Dermatol. 2009, 48, 453–463. [Google Scholar] [CrossRef]
- Steeb, T.; Wessely, A.; Petzold, A.; Schmitz, L.; Dirschka, T.; Berking, C.; Heppt, M.V. How to Assess the Efficacy of Interventions for Actinic Keratosis? A Review with a Focus on Long-Term Results. J. Clin. Med. 2021, 10, 4736. [Google Scholar] [CrossRef]
- Vaccaro, M.; Borgia, F.; Gasco, L.; Cannavò, S.P. Erosive Pustular Dermatosis of the Scalp Following Topical Ingenol Mebutate for Actinic Keratoses. Dermatol. Ther. 2017, 30, e12521. [Google Scholar] [CrossRef]
- Chughtai, K.; Gupta, R.; Upadhaya, S.; Al Hadidi, S. Topical 5-Fluorouracil Associated Skin Reaction. Oxf. Med. Case Rep. 2017, 2017, omx043. [Google Scholar] [CrossRef]
- Sauder, D.N. Immunomodulatory and Pharmacologic Properties of Imiquimod. J. Am. Acad. Dermatol. 2000, 43, S6–S11. [Google Scholar] [CrossRef] [PubMed]
- Schlesinger, T.; Stockfleth, E.; Grada, A.; Berman, B. Tirbanibulin for Actinic Keratosis: Insights into the Mechanism of Action. Clin. Cosmet. Investig. Dermatol. 2022, 15, 2495–2506. [Google Scholar] [CrossRef] [PubMed]
- Borgia, F.; Riso, G.; Catalano, F.; Coppola, M.; Giuffrida, R.; Cannavò, S.P. Topical Tacalcitol as Neoadjuvant for Photodynamic Therapy of Acral Actinic Keratoses: An Intra-Patient Randomized Study. Photodiagnosis Photodyn. Ther. 2020, 31, 101803. [Google Scholar] [CrossRef] [PubMed]





| Median Age (years) | 72 (±8.92) |
|---|---|
| Sex (%) | |
| Male | 28 (73%) |
| Female | 10 (26%) |
| Fitzpatrick skin type (%) | |
| I | 0 (0%) |
| II | 10 (26%) |
| III | 28 (73%) |
| AK location (%) | |
| Scalp | 173 (76%) |
| Face | 55 (24%) |
| AK clinical grade (%) | |
| Olsen 1 | 85 (37%) |
| Olsen 2 | 116 (51%) |
| Olsen 3 | 27 (12%) |
| Previous treatments (%) | |
| Cryotherapy | 31% |
| Diclofenac in HA | 15% |
| 5-FU 4% | 10% |
| IMI 3,75% | 10% |
| PDT | 57% |
| None | 31% |
| History of skin cancer (%) | |
| Melanoma | 5% |
| cSCC | 21% |
| BCC | 10% |
| No history | 64% |
| Olsen Grade | N° of Lesions (%) | Complete Response no./Total no. (%) | Partial Response No./Total No. (%) |
|---|---|---|---|
| Grade 1 | 85 (37%) | 51/85 (60%) * | 67/85 (78%) * |
| Grade 2 | 116 (51%) | 57/116 (49%) | 84/116 (72%) |
| Grade 3 | 27 (12%) | 8/27 (29%) | 15/27 (55%) |
| All grades | 228 | 116/228 (51%) | 166/228 (73%) |
| Mild | Moderate | Severe | |
|---|---|---|---|
| Erythema | 9/38 (24%) | 23/38 (60%) | 4/38 (10%) |
| Scaling | 9/38 (24%) | 17/38 (44%) | 3/38 (8%) |
| Crusting | 8/38 (21%) | 6/38 (15%) | - |
| Swelling | 7/38 (18%) | 3/38 (8%) | - |
| Vesiculation/ Pustulation | 3/38 (8%) | 1/38 (3%) | - |
| Erosion/Ulceration | 2/38 (5%) | - | - |
| Patient Compliance Rate n (%) | |
|---|---|
| Excellent | 28 (71%) |
| Good | 7 (18%) |
| Moderate | 3 (8%) |
| Poor | 1 (3%) |
Disclaimer/Publisher’s Note: The statements, opinions and data contained in all publications are solely those of the individual author(s) and contributor(s) and not of MDPI and/or the editor(s). MDPI and/or the editor(s) disclaim responsibility for any injury to people or property resulting from any ideas, methods, instructions or products referred to in the content. |
© 2024 by the authors. Licensee MDPI, Basel, Switzerland. This article is an open access article distributed under the terms and conditions of the Creative Commons Attribution (CC BY) license (https://creativecommons.org/licenses/by/4.0/).
Share and Cite
Li Pomi, F.; Vaccaro, M.; Pallio, G.; Rottura, M.; Irrera, N.; Borgia, F. Tirbanibulin 1% Ointment for Actinic Keratosis: Results from a Real-Life Study. Medicina 2024, 60, 225. https://doi.org/10.3390/medicina60020225
Li Pomi F, Vaccaro M, Pallio G, Rottura M, Irrera N, Borgia F. Tirbanibulin 1% Ointment for Actinic Keratosis: Results from a Real-Life Study. Medicina. 2024; 60(2):225. https://doi.org/10.3390/medicina60020225
Chicago/Turabian StyleLi Pomi, Federica, Mario Vaccaro, Giovanni Pallio, Michelangelo Rottura, Natasha Irrera, and Francesco Borgia. 2024. "Tirbanibulin 1% Ointment for Actinic Keratosis: Results from a Real-Life Study" Medicina 60, no. 2: 225. https://doi.org/10.3390/medicina60020225
APA StyleLi Pomi, F., Vaccaro, M., Pallio, G., Rottura, M., Irrera, N., & Borgia, F. (2024). Tirbanibulin 1% Ointment for Actinic Keratosis: Results from a Real-Life Study. Medicina, 60(2), 225. https://doi.org/10.3390/medicina60020225

