Comparative Assessment of In Vitro and In Vivo Biodegradation of Mg-1Ca Magnesium Alloys for Orthopedic Applications
Abstract
1. Introduction
2. Materials and Methods
2.1. Samples Materials and Preparation Method
2.2. In Vitro Tests
2.2.1. Corrosion Rate Assessment (Weight Loss Method)
- m0—mass of the sample before immersion;
- mt—sample mass, at different time intervals, after the removal of the corrosion products.
- CR—corrosion rate (mm/year);
- ΔW—weight difference, before and after immersion (g);
- A—the area of the initial surface exposed to corrosion (cm2);
- t—immersion time (h);
- ρ—density of the alloy (g/cm3).
2.2.2. Corrosion Rate Assessment (Hydrogen Release Method)
- CR—corrosion rate (mm/year);
- ΔW—weight difference, before and after immersion (g);
- A—area of initial surface exposed to corrosion (cm2);
- t—immersion time (h);
- ρ—density of the alloy (g/cm3).
2.2.3. Cell Line, Cytotoxicity Tests
2.2.4. SEM (Scanning Electron Microscopy) and EDS (Energy Dispersive Spectrometry) Examination
2.2.5. In Vivo Study
3. Results and Discussion
3.1. In Vitro Tests
3.1.1. Mass Loss Method, in SBF
3.1.2. Hydrogen Release Method, in Dulbecco Medium
3.1.3. Cell Viability Tests
3.1.4. SEM and EDS Results
3.2. In Vivo Tests
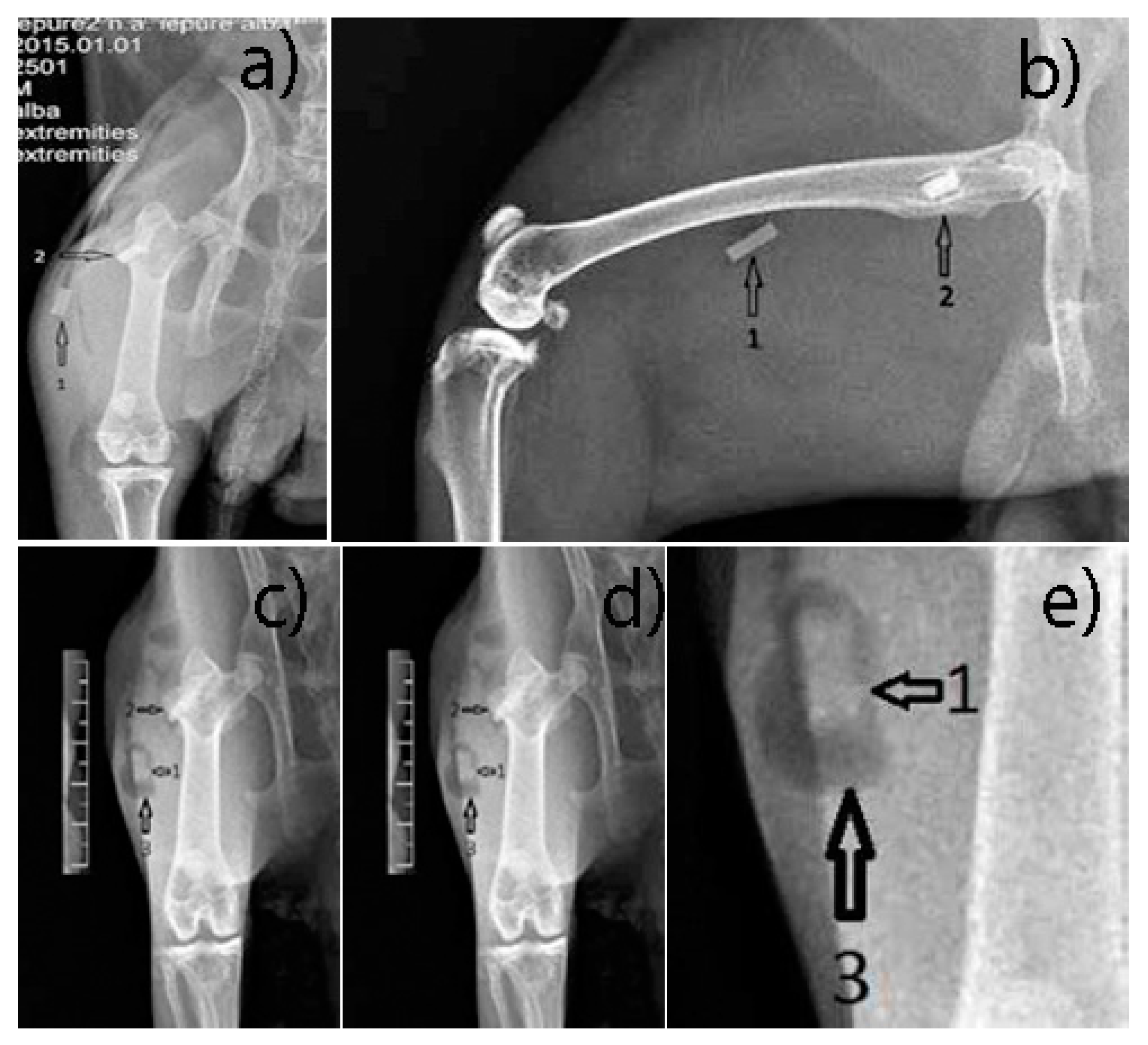
3.2.1. Radiological Follow-Up
3.2.2. Histological Results
3.2.3. In Vivo Quantitative Corrosion Rate Assessment, Weight Loss Method
4. Discussions
5. Conclusions
Author Contributions
Funding
Institutional Review Board Statement
Data Availability Statement
Conflicts of Interest
References
- Witte, F. The history of biodegradable magnesium implants: A review. Acta Biomater. 2010, 6, 1680–1692. [Google Scholar] [CrossRef] [PubMed]
- Chen, Y.J.; Xu, Z.G.; Smith, C.; Sankar, J. Recent advances on the development of magnesium alloys for biodegradable implants. Acta Biomater. 2014, 10, 4561–4573. [Google Scholar] [CrossRef] [PubMed]
- Boutin, P. Total arthroplasty of the hip by fritted alumina prosthesis. Experimental study and 1st clinical applications. Orthop. Traumatol. Surg. Res. 2014, 100, 15–21. [Google Scholar] [CrossRef] [PubMed]
- Staiger, M.P.; Pietak, A.M.; Huadmai, J.; Dias, G. Magnesium and its alloys as orthopedic biomaterials: A review. Biomaterials 2006, 27, 1728–1734. [Google Scholar] [CrossRef] [PubMed]
- Razavi, M.; Fathi, M.; Savabi, O.; Boroni, M. A Review of degradation properties of Mg based biodegradable implants. Res. Rev. Mater. Sci. Chem. 2012, 1, 15–58. [Google Scholar]
- Ghali, E.; Dietzel, W.; Kainer, K.U. General and localized corrosion of magnesium alloys: A critical review. J. Mater. Eng. Perform. 2004, 13, 7–23. [Google Scholar] [CrossRef]
- Hou, R.Q.; Ye, C.Q.; Chen, C.D.; Dong, S.G.; Lv, M.Q.; Zhang, S.; Pan, J.S.; Song, G.L.; Lin, C.J. Localized Corrosion of Binary Mg-Ca Alloy in 0.9 wt% Sodium Chloride Solution. Acta Metall. Sin.-Engl. 2016, 29, 46–57. [Google Scholar] [CrossRef]
- Neacsu, P.; Staras, A.; Voicu, S.I.; Ionascu, I.; Soare, T.; Seralp, U.; Cojocaru, V.D.; Pandele, A.; Croitoru, S.; Miculescu, F.; et al. Characterization and In vitro and In vivo Assessment of a Novel Cellulose Acetate-Coated Mg-Based Alloy for Orthopedic Applications. Materials 2017, 10, 686. [Google Scholar] [CrossRef]
- Miculescu, F.; Mocanu, A.C.; Dascălu, C.A.; Maidaniuc, A.; Batalu, D.; Berbecaru, A.; Voicu, S.I.; Miculescu, M.; Thakur, V.K.; Ciocan, L.T. Facile synthesis and characterization of hydroxyapatite particles for high value nanocomposites and biomaterials. Vacuum 2017, 146, 614–622. [Google Scholar] [CrossRef]
- Li, N.; Zheng, Y. Novel Magnesium Alloys Developed for Biomedical Application: A Review. J. Mater. Sci. Technol. 2013, 29, 489–502. [Google Scholar] [CrossRef]
- Amerstorfer, F.; Fischerauer, S.F.; Fischer, L.; Eichler, J.; Draxler, J.; Zitek, A.; Meischel, M.; Martinelli, E.; Kraus, T.; Hann, S.; et al. Long-term in vivo degradation behavior and near-implant distribution of resorbed elements for magnesium alloys WZ21 and ZX50. Acta Biomater. 2016, 42, 440–450. [Google Scholar] [CrossRef] [PubMed]
- Kraus, T.; Fischerauer, S.F.; Hänzi, A.C.; Uggowitzer, P.J.; Löffler, J.F.; Weinberg, A.M. Magnesium alloys for temporary implants in osteosynthesis: In vivo studies of their degradation and interaction with bone. Acta Biomater. 2012, 8, 1230–1238. [Google Scholar] [CrossRef] [PubMed]
- Salahshoor, M.; Guo, Y. Biodegradable Orthopedic Magnesium-Calcium (MgCa) Alloys, Processing, and Corrosion Performance. Materials 2012, 5, 135–155. [Google Scholar] [CrossRef] [PubMed]
- Liu, L.J.; Schlesinger, M. Corrosion of magnesium and its alloys. Corros. Sci. 2009, 51, 1733–1737. [Google Scholar] [CrossRef]
- Kim, W.C.; Kim, J.G.; Lee, J.Y.; Seok, H.K. Influence of calcium on the corrosion properties of magnesium for biomaterials. Mater. Lett. 2008, 62, 4146–4148. [Google Scholar] [CrossRef]
- Li, Z.; Gu, X.; Lou, S.; Zheng, Y. The development of binary Mg-Ca alloys for use as biodegradable materials within bone. Biomaterials 2008, 29, 1329–1344. [Google Scholar] [CrossRef] [PubMed]
- Seal, C.K.; Vince, K.; Hodgson, M.A. Biodegradable surgical implants based on magnesium alloys: A review of current research. In Proceedings of the IOP Conference Series: Materials Science and Engineering, Volume 4, Processing, Microstructure and Performance of Materials, Auckland, New Zealand, 8–9 April 2009. [Google Scholar] [CrossRef]
- Zeng, R.; Dietzel, W.; Witte, F.; Hort, N.; Blawert, C. Progress and challenge for magnesium alloys as biomaterials. Adv. Eng. Mater. 2008, 10, B3–B14. [Google Scholar] [CrossRef]
- Gu, X.N.; Zheng, Y.F.; Cheng, Y.; Zhong, S.P.; Xi, T.F. A study of alkaline heat treated Mg-Ca Alloy for the control of the biocorrosion rate. Biomaterials 2009, 30, 484–498. [Google Scholar] [CrossRef]
- Erdmann, N.; Angrisani, N.; Reifenrath, J.; Lucas, A.; Thorey, F.; Bormann, D.; Meyer-Lindenberg, A. Biomechanical testing and degradation analysis of MgCa0.8 alloy screws: A comparative in vivo study in rabbits. Acta Biomater. 2011, 7, 1421–1428. [Google Scholar] [CrossRef]
- Jung, O.; Smeets, R.; Hartjen, P.; Schnettler, R.; Feyerabend, F.; Klein, M.; Wegner, N.; Walther, F.; Stangier, D.; Henningsen, A.; et al. Improved in vitro test procedure for full assessment of the cytocompatibility of degradable magnesium based on ISO 10993-5/-12. Int. J. Mol. Sci. 2019, 20, 255. [Google Scholar] [CrossRef]
- Kirkland, N.; Birbilis, J.; Walker, T.; Woodfield, G.J.; Dias, M.P. Staiger. In-vitro dissolution of magnesium–calcium binary alloys: Clarifying the unique role of calcium additions in bioresorbable magnesium implant alloys. J. Biomed. Mater. Res. B Appl. Biomater. 2010, 95, 91–100. [Google Scholar] [CrossRef] [PubMed]
- Xin, Y.; Huo, K.; Tao, H.; Tang, G.; Chu, P.K. Influence of aggressive ions on the degradation behavior of biomedical magnesium alloy in physiological environment. Acta Biomater. 2008, 4, 2008–2015. [Google Scholar] [CrossRef] [PubMed]
- Yamamoto, A.; Hiromoto, S. Effect of inorganic salts, amino acids and proteins on the degradation of pure magnesium in vitro. Mater. Sci. Eng. C 2009, 29, 1559–1568. [Google Scholar] [CrossRef]
- Hou, R.; Willumeit-Römer, R.; Feyerabend, F. Proteins and medium-flow conditions: How they influence the degradation of magnesium. Surf. Innov. 2020, 8, 224–233. [Google Scholar] [CrossRef]
- Hou, R.; Willumeit-Römer, R.; Garamus, V.M.; Frant, M.; Koll, J.; Feyerabend, F. Adsorption of Proteins on Degradable Magnesium-Which Factors are Relevant? ACS Appl. Mater. Interfaces 2018, 10, 42175–42185. [Google Scholar] [CrossRef]
- Hou, R.; Scharnagl, N.; Willumeit-Römer, R.; Feyerabend, F. Different effects of single protein vs. protein mixtures on magnesium degradation under cell culture conditions. Acta Biomater. 2019, 98, 256–268. [Google Scholar] [CrossRef]
- Layrolle, P.; Daculsi, G. Physiochemistry of apatite and its related calcium phosphates. In Thin Calcium Phosphate Coatings for Medical Implants; Leon, B., Jansen, J.A., Eds.; Springer: New York, NY, USA, 2009; pp. 19–21. [Google Scholar]
- Zheng, Y. Magnesium Alloys as Degradable Biomaterials; CRC Press: Boca Raton, FL, USA, 2015; Volume 37–51, pp. 424–438. ISBN 978-1-4987-6663-0. [Google Scholar] [CrossRef]
- Mei, D.; Lamaka, S.V.; Gonzalez, J.; Feyerabend, F.; Willumeit-Römer, R.; Zheludkevich, M.L. The role of individual components of simulated body fluid on the corrosion behavior of commercially pure Mg. Corros. Sci. 2019, 147, 81–93. [Google Scholar] [CrossRef]
- Xue, D.; Yun, Y.; Tan, Z.; Dong, Z.; Schulz, M.J. In vivo and In vitro Degradation Behavior of Magnesium Alloys as Biomaterials. J. Mater. Sci. Technol. 2012, 28, 261–267. [Google Scholar] [CrossRef]
- Maidaniuc, A.; Miculescu, M.; Voicu, S.I.; Ciocan, L.T.; Niculescu, M.; Corobea, M.C.; Rada, M.E.; Miculescu, F. Effect of micron sized silver particles concentration on the adhesion induced by sintering and antibacterial properties of hydroxyapatite microcomposites. J. Adhes. Sci. Technol. 2016, 30, 1829–1841. [Google Scholar] [CrossRef]
- Miculescu, F.; Jepu, I.; Porosnicu, C.; Lungu, C.; Miculescu, M.; Burhala, B. A study on the influence of the primary electron beam on nanodimensional layers analysis. Dig. J. Nanomater. Biostruct. 2011, 6, 307–317. [Google Scholar]
- Popa, M. Statistică Pentru Psihologie, Teorie şi Aplicaţii SPSS; Polirom: Iasi, Romania, 2008; pp. 196–203. [Google Scholar]
- Li, W.; Shen, Y.; Shen, J.; Shen, D.; Liu, X.; Zheng, Y.; Yeung, K.W.K.; Guan, S.; Kulyasova, O.B.; Valiev, R.Z. In vitro and in vivo studies on pure Mg, Mg–1Ca and Mg–2Sr alloys processed by equal channel angular pressing. Nano Mater. Sci. 2020, 2, 96–108. [Google Scholar] [CrossRef]
- Jung, O.; Porchetta, D.; Schroeder, M.-L.; Klein, M.; Wegner, N.; Walther, F.; Feyerabend, F.; Barbeck, M.; Kopp, A. In vivo simulation of magnesium degradability using a new fluid dynamic bench testing approach. Int. J. Mol. Sci. 2019, 20, 4859. [Google Scholar] [CrossRef] [PubMed]
- Kraus, T.; Fischerauer, S.; Treichler, S.; Martinelli, E.; Eichler, J.; Myrissa, A.; Zötsch, S.; Uggowitzer, P.J.; Löffler, J.F.; Weinberg, A.M. The influence of biodegradable magnesium implants on the growth plate. Acta Biomater. 2018, 66, 109–117. [Google Scholar] [CrossRef] [PubMed]
- Hampp, C.; Angrisani, N.; Reifenrath, J.; Bormann, D.; Seitz, J.M.; Meyer-Lindenberg, M. Evaluation of the biocompatibility of two magnesium alloys as degradable implant materials in comparison to titanium as non-resorbable material in the rabbit. Mater. Sci. Eng. C 2013, 33, 317–326. [Google Scholar] [CrossRef]
- Grün, N.G.; Holweg, P.; Tangl, S.; Eichler, J.; Berger, L.; van den Beucken, J.J.J.P.; Löffler, J.F.; Klestil, T.; Weinberg, A.M. Comparison of a resorbable magnesium implant in small and large growing-animal models. Acta Biomater. 2018, 78, 378–386. [Google Scholar] [CrossRef] [PubMed]
















| Spectrum | Mg | Ca | Total | 
|---|---|---|---|
| 1 | 99.02 | 0.98 | 100.0 | 
| 2 | 99.00 | 1.00 | 100.0 | 
| 3 | 98.92 | 1.08 | 100.0 | 
| Time | Medium | Corrosion Products Removal | Chemical Elements (wt%) | ||||||||
|---|---|---|---|---|---|---|---|---|---|---|---|
| Mg | Ca | Na | P | O | Au | Cl | C | Other | |||
| Before immersion | - | - | 99 | 1 | - | - | - | - | - | - | - | 
| 1 day | SBF solution | Before | 86.63 | 1.07 | - | 0.83 | 11.34 | 0.13 | - | - | - | 
| After | 98.85 | 1.04 | - | - | - | 0.11 | - | - | - | ||
| Dulbecco solution | Before | 85.13 | 2.08 | - | 2.11 | 10.65 | 0.03 | - | - | - | |
| After | 95.03 | 2.01 | - | - | 2.96 | - | - | - | - | ||
| 2 days | SBF solution | Before | 85.65 | 0.92 | - | - | 12.88 | 0.55 | - | - | - | 
| After | 93.23 | 1.14 | - | - | 5.12 | 0.51 | - | - | - | ||
| Dulbecco solution | Before | 83.76 | 2.29 | 1.14 | 2.89 | 9.01 | 0.32 | 0.59 | - | - | |
| After | 94.98 | 1.96 | - | - | 3.06 | - | - | - | - | ||
| 3 days | SBF solution | Before | 84.08 | 1.32 | - | - | 14.28 | 0.32 | - | - | - | 
| After | 93.55 | 1.14 | - | - | 5.04 | 0.27 | - | - | - | ||
| Dulbecco solution | Before | 81.74 | 2.44 | 2.06 | 3.21 | 9.65 | 0.23 | - | 0.67 | - | |
| After | 91.11 | 2.08 | - | - | 6.81 | - | - | - | - | ||
| 7 days | SBF solution | Before | 82.97 | 1.43 | - | - | 14.81 | 0.79 | - | - | - | 
| After | 93.79 | 1.09 | - | - | 4.93 | 0.19 | - | - | - | ||
| Dulbecco solution | Before | 79.78 | 3.18 | - | 4.35 | 11.59 | - | - | 0.76 | 0.34 | |
| After | 89.31 | 2.02 | - | - | 8.67 | - | - | - | - | ||
| 12 days | SBF solution | Before | 82.16 | 1.92 | - | - | 15.13 | 0.79 | - | - | - | 
| After | 90.39 | 1.24 | - | - | 8.26 | 0.11 | - | - | - | ||
| Dulbecco solution | Before | 76.03 | 1.99 | 2.23 | 5.89 | 12.65 | 0.23 | 0.55 | 0.43 | - | |
| After | 88.76 | 1.53 | - | - | 9.71 | - | - | - | - | ||
| No | Implant Tissue | Δ Weight (g) | Corrosion Rate (mm/year) | 
|---|---|---|---|
| 1 | Bone | 0.0340 | 1.36 | 
| 2 | 0.0352 | 1.35 | |
| 3 | 0.0320 | 1.33 | |
| 4 | Muscle | 0.0228 | 0.883 | 
| 5 | 0.0120 | 0.472 | |
| 6 | 0.0190 | 0.755 | 
| Test Statistics | Corrosion Rate | 
|---|---|
| Mann–Whitney U | 0.000 | 
| Wilcoxon W | 6.000 | 
| Z | −2.236 | 
| Asymp.Sig. (2-tailed) | 0.025 | 
| Exact Sig. (2*(1-tailed Sig.)) | 0.036b | 
| Test Statistics | Corrosion Rate | 
|---|---|
| Mann–Whitney U | 0.000 | 
| Wilcoxon W | 6.000 | 
| Z | −2.324 | 
| Asymp.Sig. (2-tailed) | 0.020 | 
| Exact Sig. (2*(1-tailed Sig.)) | 0.24b | 
| Publisher’s Note: MDPI stays neutral with regard to jurisdictional claims in published maps and institutional affiliations. | 
© 2020 by the authors. Licensee MDPI, Basel, Switzerland. This article is an open access article distributed under the terms and conditions of the Creative Commons Attribution (CC BY) license (http://creativecommons.org/licenses/by/4.0/).
Share and Cite
Antoniac, I.; Adam, R.; Biță, A.; Miculescu, M.; Trante, O.; Petrescu, I.M.; Pogărășteanu, M. Comparative Assessment of In Vitro and In Vivo Biodegradation of Mg-1Ca Magnesium Alloys for Orthopedic Applications. Materials 2021, 14, 84. https://doi.org/10.3390/ma14010084
Antoniac I, Adam R, Biță A, Miculescu M, Trante O, Petrescu IM, Pogărășteanu M. Comparative Assessment of In Vitro and In Vivo Biodegradation of Mg-1Ca Magnesium Alloys for Orthopedic Applications. Materials. 2021; 14(1):84. https://doi.org/10.3390/ma14010084
Chicago/Turabian StyleAntoniac, Iulian, Răzvan Adam, Ana Biță, Marian Miculescu, Octavian Trante, Ionuț Mircea Petrescu, and Mark Pogărășteanu. 2021. "Comparative Assessment of In Vitro and In Vivo Biodegradation of Mg-1Ca Magnesium Alloys for Orthopedic Applications" Materials 14, no. 1: 84. https://doi.org/10.3390/ma14010084
APA StyleAntoniac, I., Adam, R., Biță, A., Miculescu, M., Trante, O., Petrescu, I. M., & Pogărășteanu, M. (2021). Comparative Assessment of In Vitro and In Vivo Biodegradation of Mg-1Ca Magnesium Alloys for Orthopedic Applications. Materials, 14(1), 84. https://doi.org/10.3390/ma14010084
 
        


 
       