Abstract
Herpes zoster (HZ) is caused by the reactivation of latent varicella-zoster virus (VZV) from the sensory ganglia due to aging or immunosuppression. Glycoprotein E (gE) is a widely used vaccine antigen for specific humoral and cellular immune responses. Immediate early protein 63 (IE63) is expressed during latency, suggesting that it is a potential antigen against HZ reactivation. In this study, HZ DNA vaccines encoding gE, IE63, IE63-2A-gE (where 2A is a self-cleaving sequence), or IE63-linker-gE were developed and investigated for immunogenicity in mice. The results showed that each HZ DNA vaccine induced VZV-specific antibody production. The neutralizing antibody titer elicited by IE63-2A-gE was comparable to that elicited by gE or live attenuated HZ vaccine (LAV). IE63-2A-gE-induced gE or IE63-specific INF-γ+ T cell frequencies in splenocytes were comparable to those of LAV. Furthermore, IE63-2A-gE, gE, or IE63 led to a significant increase in IFN-γ (IE63 stimulation) and IL-2 (gE stimulation) secretion compared to LAV, showing a Th1-biased immune response. Moreover, IE63-2A-gE and gE induced cytotoxic activity of CD8+ T cells compared to that of LAV. This study elucidates that the IE63-2A-gE DNA vaccine can induce both humoral and cell-mediated immune responses, which provides a candidate for the development of an HZ vaccine.
1. Introduction
Varicella-zoster virus (VZV) is a highly contagious virus belonging to the Alphaherpesvirinae subfamily [1]. Primary VZV infection causes varicella, which usually occurs in childhood and causes fever and herpes. VZV can remain dormant in the dorsal root ganglia after infection, while reactivation of the latent virus from sensory ganglia results in Herpes zoster (HZ) [2]. The incidence of HZ is approximately 0.4% in those aged 50–60 years and significantly increases to over 1% in those over the age of 80 years [3,4,5]. HZ is usually followed by chronic and debilitating pain called post-herpetic neuralgia (PHN), which can last several months after the rash, especially in the elderly [1,6,7]. The humoral immune response elicited by the VZV vaccine can effectively prevent the incidence of varicella. In contrast, lower VZV-specific cell-mediated immunity (CMI) is correlated with HZ onset and a high incidence of PHN [8,9,10,11]. Therefore, the ability to elicit VZV-specific CMI is thought to be important for the prevention of VZV infection and reactivation.
Currently, two licensed vaccines are available to prevent HZ: a live attenuated VZV vaccine, Zostavax®, and a recombinant subunit vaccine, Shingrix®. Zostavax® has been licensed since 2006 and contains over ten times the amount of VZV antigen compared to the attenuated varicella vaccine. Although Zostavax® can prevent HZ and PHN in adults, its efficacy decreases with age, especially in those aged ≥70 years [12]. Shingrix® contains VZV gE and the AS01B adjuvant system, which elicits a remarkably high vaccine efficacy in the elderly after two injections [13,14]. Owing to its high protection against shingles regardless of age, the FDA has recently recommended Shingrix® as an alternative vaccine. Studies have shown that Shingrix® can elicit high levels of antibodies and strong gE-specific CD4+ T cell responses, especially high IFN-γ [15], implying the significance of cellular immunity in preventing HZ.
VZV gE is the most abundant and immunogenic VZV glycoprotein. VZV gE is the major neutralizing antibody-inducing antigen that contains B-cell and CD4+ T-cell epitopes [16]. Therefore, VZV gE is the most commonly chosen antigen for HZ vaccines to induce humoral and cellular immune responses. Previous studies showed an enhanced antibody response when mice were immunized with a truncated form of gE [17,18]. Therefore, we chose the extracellular domain of gE as the antigen in this study. IE63 (immediate early protein 63) is a tegument protein in VZV. Studies indicated that IE63 is expressed in infected human and rat sensory ganglia during the latency period. Grinfeld et al. reported IE63 expression in all ganglia from 10 donors [19]. Lungu et al. detected IE63 protein expressed in all ganglia from three donors [20]. Kennedy et al. detected nine of 35 donors positive for IE63 [21]. Gershon et al. detected IE63 protein in enteric neurons with latent VZV infection in a guinea pig model [22]. Mahalingam et al. reported two of 9 subjects positive for IE63 in ganglia [23]. A study by Zerboni et al. only found one of 18 individuals positive for IE63 and in less than 2.8% of neurons [24]. Although the expression of IE63 varied among different studies, IE63 is still considered as a potential latency protein. In one study, IE63-specific T-cell responses were significantly impaired in patients with subclinical VZV reactivation, suggesting that T-cell responses to IE63 are important for controlling VZV replication [25]. Louise Jones et al. implicated IE63-specific CD4+ T cells is important in the control of viral reactivation [26]. Janet et al. demonstrate that poly-functional IE63-CD4+ T cells may contribute toward Zostavax® efficacy [27]. Therefore, IE63 would be a reasonable candidate for a T-cell antigenic target for both control of viral replication and induction of immune responses and appears to be a suitable vaccine candidate for developing HZ vaccines [26]. Michele et al. evaluated the immunogenicity of a recombinant gE–IE63 subunit vaccine, mainly focusing on humoral immune responses [28]. However, more comprehensive evaluations of cell-mediated immune responses induced by vaccines containing IE63 antigen are needed.
Since its discovery in the 1990s, DNA vaccination has been considered capable of inducing both humoral and cell-mediated immune responses while showing advantages in production, stability, and storage [29]. Therefore, DNA vaccines have been suggested as both preventative and therapeutic approaches, especially for infectious diseases and cancers [30].
In this study, we tested two combinations of VZV gE and IE63 as DNA vaccine antigens. One encodes a fusion protein, comprising an IE63 and a downstream extracellular domain of gE. The other encodes an IE63 and fuses a downstream extracellular domain of gE, connected by mouth and foot disease virus P2A self-cleaving sequence that self-cleaves during the translation progress [31]; this design can express separate IE63 and truncated gE proteins in cells. We assessed humoral and cell-mediated immunity in VZV-primed C57/6J mice and found that HZ DNA vaccines induced a VZV-specific antibody titer, Th1/Th2 cytokine secretion, and a high IFN-γ+ immune cell frequency.
2. Materials and Methods
2.1. Cells
293T and EL-4 cell lines were purchased from the American Type Culture Collection (Manassas, VA, USA; CCL-171). Cells were cultured in Minimum Essential Medium (MEM; Invitrogen, Carlsbad, CA, USA), supplemented with 10% fetal bovine serum, 100 µg/mL streptomycin, and 100 U/mL of penicillin, and maintained in a 5% CO2 atmosphere at 37 ℃.
2.2. DNA Plasmids
The genes encoding the truncated gE (1-545 aa) [17,18], full-length IE63, IE63-2A-gE (2A: GSGATNFSLLKQAGDVEENPGP), and IE63-linker-gE (linker: LQGGGSRGGG) were synthesized commercially by GenScript Biotech Corp. (Nanjing, China) and were inserted into the pcDNA3.1(+) vector for the expression of heterologous proteins in mammalian cells.
2.3. Protein Expression
For protein expression analysis, 293T cells were transfected with pcDNA3.1-gE, pcDNA3.1-IE63, pcDNA3.1-IE63-2A-gE, or pcDNA3.1-IE63-linker-gE. Forty-eight hours after transfection, cells and supernatants were obtained and analyzed using western blotting. After electrophoresis, proteins were transferred onto nitrocellulose membranes. Membranes were first incubated with a mouse-specific primary antibody against gE (ab272686; Abcam, UK) or rabbit polyclonal antibodies against IE63 (a gift from Dr. Paul R. Kinchington of University of Pittsburgh) for two hours and then with the secondary goat anti-mouse (115-035-003; Jackson ImmunoResearch Inc., West Grove, PA, USA) or goat anti-rabbit IgG-horseradish peroxidase (HRP) (111-035-045; Jackson ImmunoResearch Inc.) for 45 min. The nitrocellulose membrane was incubated with ECL luminescence reagent (Meilunbio, China, Cat. MA0186-1). Images were captured using an ECL system (Tanon, China).
2.4. Animals
Six- to eight-week-old SPF female C57BL/6J mice were purchased from Liaoning Changsheng Biotechnology Co. Ltd. (Liaoning, China). All mice used in this study were treated according to the Guide for the Care and Use of Laboratory Animals (Jilin University). All experimental procedures were reviewed and approved by the Animal Welfare and Research Ethics Committee of the Jilin University (Approval no. 2020-nsfc008).
2.5. Immunizations
Mice were divided into seven groups (five mice per group). Except for the mice in the gE (no prime) group, each mouse was primed with live attenuated VZV vaccine at a dose of 6300 PFU. Twenty-eight days after priming, mice were intramuscularly immunized three times at 2-week intervals with 50 μg pcDNA3.1-gE, pcDNA3.1-IE63, pcDNA3.1-IE63-2A-gE or pcDNA3.1-IE63-linker-gE, respectively, in 100 μL of phosphate-buffered saline (PBS), followed by in vivo electroporation using an electric pulser (TERESA, China) with each time DNA immunization. The negative control mice were immunized three times at 2-week intervals with 100 μL of PBS, and mice in the group vaccinated three times at 2-week intervals with a one-tenth dose of live attenuated VZV vaccine were used as the positive controls. Two weeks after the last immunization, the mice were euthanized by CO2 overdose, and their spleens were obtained.
2.6. Antibody Analysis
VZV gE and IE63 specific total immunoglobulin G (IgG) were detected in the mouse serum using ELISA. The 96-well ELISA plates were coated with VZV-gE (0.5 μg/well) or VZV-IE63 (0.5 μg/well) overnight at 4 °C. The plates were washed thrice with PBS containing 0.05% Tween 20 and blocked with 3% bovine serum albumin at 25 °C for one hour. The immunized mouse serum was serially diluted two-fold and added to each well, and HRP-conjugated goat anti-mouse IgG was added. 3,3′,5,5′-tetramethylbenzidine was then used for the color reaction, and 2 M H2SO4 was used for the termination reaction. Using a microplate reader, the optical density was measured at 450 nm. The optical density value of the highest dilution was 2.1-fold higher than that of the negative control at the same dilution and was used as the serum endpoint dilution titer.
A fluorescent antibody to membrane antigen (FAMA) was used to measure the production of neutralizing antibodies against VZV. V-Oka-infected MRC-5 cells were first incubated with two-fold serially diluted serum from 1:4 to 1:2048. Then, the samples were incubated with anti-mouse antibodies labeled with fluorescein isothiocyanate and pre-mixed with Evans blue. The results were observed under a fluorescence microscope (Olympus IX70, Tokyo, Japan).
2.7. Th1/Th2 Cytokine Detection
Mouse spleens were extracted under aseptic conditions for 14 days after the final immunization. The spleen cell suspensions were diluted to 107 cells/mL and incubated with Roswell Park Memorial Institute (RPMI) 1649 medium (negative control), gE or IE63 protein (10 µg/mL), gE or IE63 peptides (10 µg/mL, 15-mer overlapping by 11-mer), and ConA (10 µg/mL, positive control) for 48 h. The supernatant was collected and analyzed for IFN-γ, IL-2, and IL-10 secretion using a Th1/Th2 Mouse Uncoated ELISA Kit (Cat. no. 88-7711-44) according to the manufacturer’s instructions. A standard curve was used to calculate the cytokine concentrations.
2.8. Interferon-γ ELISPOT Assays
Splenocyte suspensions (107 cells/mL) were incubated with PRIM 1640 medium (negative control), gE protein (extracellular domain, 1–545 aa, 5 µg/mL), IE63 protein (full-length, 5 µg/mL), gE peptides (10 µg/mL, 15-mer overlapping by 11-mer), IE63 peptides (10 µg/mL, 15-mer overlapping by 11-mer), or ConA (5 µg/mL, positive control) for 24 h. The assay was performed using a mouse IFN-γ ELISpotPLUS kit (Cat. no. 3321-4HPW-10) according to the manufacturer’s instructions. The number of spots was determined using an ImmunoSpot S6 analyzer (Cellular Technology Limited, Shaker Heights, OH, USA).
2.9. In Vitro Cytotoxic T Cell Assay
Antigen-specific CD8+ T-lymphocyte immune responses were characterized using a cytotoxicity assay. Cytotoxicity assays were performed according to previously published procedures [32]. Briefly, EL-4 murine tumor cell lines as target cells were first labeled with gE or IE63 peptides at 37 °C and 5% CO2 for two hours. After washing twice with RPMI 1640 medium, gE+ EL-4, IE63+ EL-4, and EL-4 cells were labeled with different concentrations of carboxyfluorescein succinimidyl ester (CFSE) fluorescent dye. Splenocytes (5 × 105) isolated from immunized mice were incubated at an effector-to-target ratio of 50:1 with target cells for 10 h at 37 °C and 5% CO2. Cytotoxicity was analyzed by flow cytometry, and antigen-specific lethality was calculated according to the following formula: cytotoxicity = [1 − (antigen+ EL-4 cells/unloaded cells from the immunized group)/(EL-4 cells/unloaded cells from the naïve group)] × 100%.
2.10. Statistical Analysis
All experiments were independently repeated twice. Values are expressed as mean ± standard deviation (SD). Statistical analysis was performed by one-way analysis of variance using GraphPad Prism version 9.0.0 (GraphPad Software, San Diego, CA, USA). Differences were considered significant at p < 0.05, with a 95% confidence level.
3. Results
3.1. Design and Expression of the HZ DNA Vaccines
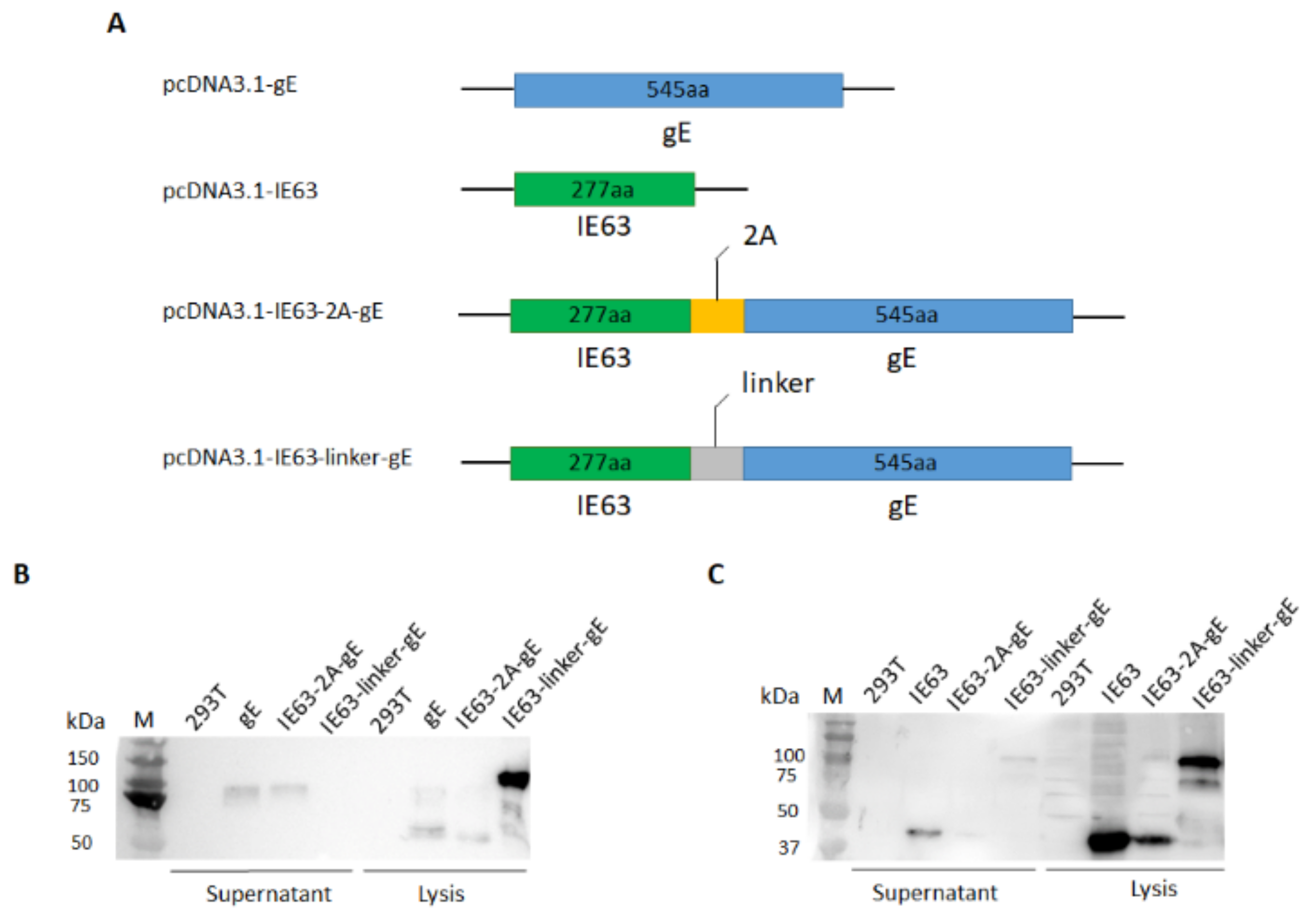
In this study, we analyzed the immunogenicity of VZV gE and IE63, alone or in combination, as DNA vaccine antigens and designed two different fusion proteins (Figure 1A). One of them encoded an IE63 and gE fusion protein connected by a linker sequence. The other was connected by a mouth and foot disease virus 2A self-cleaving sequence that self-cleaves during the translation process, which can express separate IE63 and truncated gE proteins in cells. To confirm the expression and secretion of antigen proteins in mammalian cells, recombinant plasmids were transfected into 293T cells, and cell lysates and supernatants were assayed using western blotting. When detected with the anti-gE antibody (Figure 1B) and anti-IE63 antibody (Figure 1C), the gE, IE63, IE63-2A-gE and IE63-linker-gE groups showed bands consistent with the predicted molecular weight. Thus, HZ DNA vaccines were successfully constructed and expressed.
Figure 1.
Design of plasmids and the expression in 293T cells detected by western blotting. (A). Schematics of the pcDNA3.1-gE, pcDNA3.1-IE63, pcDNA3.1-IE63-2A-gE and pcDNA3.1-IE63-linker-gE designs. (B). Expression of the gE protein in the supernatant and cell lysis was probed using mouse anti-gE monoclonal antibody. (C). Expression of the IE63 protein in the supernatant and cell lysis was probed using rabbit anti-IE63 polyclonal antibodies.
3.2. HZ DNA Vaccines Induce VZV -Specific Humoral Immune Responses
Since most patients with HZ are VZV seropositive [33,34], mice, in this study, were inoculated with a live-attenuated herpes zoster vaccine 4 weeks before immunization to mimic the clinical setting. To confirm the immune responses, IgG and neutralizing antibodies were detected. Six groups of 6–8 weeks old C57BL/6J female mice were primed with a single 1/10 dose of VZV LAV (104.8 PFU) and immunized with three doses of the indicated vaccine modalities delivered at 14-day intervals (Figure 2A). DNA encoding gE, IE63, IE63-2A-gE, and IE63-linker-gE was intramuscularly immunized in mice by in vivo electroporation according to the schedule presented in Figure 2A. Blood samples were collected from mice after two weeks of the last immunization. Serum samples from mice in the HZ live attenuated vaccine showed the highest gE- and IE63-specific IgG titers. The IE63-2A-gE and IE63-linker-gE groups induced slightly higher gE-specific IgG titers than the gE group (Figure 2B). The IE63-2A-gE and IE63 groups induced slightly higher IE63-specific IgG titers than the IE63-linker-gE group (Figure 2C). VZV-specific neutralizing antibodies were measured using the FAMA assay. The titers of IE63-2A-gE were similar to those of the gE and LAV groups (Figure 2D). The neutralizing titers of these three groups were slightly higher than those of IE63-linker-gE (Figure 2D), which illustrated that IE63 might not contribute to an increase in neutralizing ability. Taken together, the results indicate that HZ DNA vaccines induced VZV-specific humoral immune responses.
Figure 2.
Specific humoral responses of HZ DNA vaccines in C57BL/6 mice. Six- to eight-week-old female C57BL/6 mice were subcutaneously immunized 1/10 human dose HZ live attenuated vaccine at day −28 (priming immunization), then intramuscularly immunized three times at day 0, day 14 and day 28 with 50 µg pcDNA3.1-gE, pcDNA3.1-IE63, pcDNA3.1-IE63-2A-gE, or pcDNA3.1-IE63-linker-gE, respectively, by in vivo electroporation (n = 5 for each group). The pcDNA3.1-gE (no prime) group did not recieve prime immunization with live attenuated vaccine but retained the three pcDNA3.1-gE immunizations. The blood was collected 2 weeks after the last immunization. (A) Immunization schedule. Anti-VZV gE antibody titers (B) and Anti-VZV IE63 antibody titers (C) were quantified by ELISA, respectively, from serum samples collected at day 42. (D) Neutralizing antibodies analyzed by FAMA. * p < 0.05; ** p < 0.01; *** p < 0.001; **** p < 0.0001; ns, no significant difference. Data represent mean ± SEM (n = 5).
3.3. HZ DNA Vaccines Induces VZV-Specific IFN-γ+ T Cell Response in Mice
A strong VZV-specific CMI is required to prevent HZ, which is characterized by high IFN-γ secretion [9,35,36]. T cells are mainly responsible for IFN-γ secretion during adaptive immunity, which means that the level of IFN-γ produced by HZ vaccines could reflect their ability to elicit CMI. To investigate the VZV-specific CMI, the number of splenocytes secreting IFN-γ was detected by ELISPOT on day 42 by stimulation with gE protein, gE peptides, IE63 protein and IE63 peptides, respectively. As shown in Figure 3A, the gE group showed the highest gE-specific IFN-γ+ T cell frequencies, and the IE63-2A-gE group showed comparable INF-γ+ T cell frequencies with those of the LAV group. When splenocytes were stimulated with gE peptides, the IE63-2A-gE and gE groups showed comparably high INF-γ+ T-cell frequencies (Figure 3B). It was observed that the IE63-2A-gE group produced comparable levels of IE63-specific IFN-γ+ T cells to those of the IE63 or LAV group when stimulated with IE63 protein (Figure 3C). When splenocytes were stimulated with IE63 peptides, IE63-2A-gE and IE63 groups showed comparably high INF-γ+ T cell frequencies (Figure 3D). These data indicate that IE63-2A-gE induced a comparable VZV-specific IFN-γ+ T cell response with that of gE and IE63 in mice.
Figure 3.
IFN-γ secreting cell frequencies in immunized mouse splenocytes. Frequencies of antigen-specific IFN-γ secreting cells were assayed via IFN-γ ELISPOT using freshly isolated splenocytes on day 42. The cells were stimulated with 5 μg/mL gE protein (A), IE63 protein (C) or 10 μg/mL gE peptides (B), IE63 peptides (D) for 24 h. The y axis shows the spot forming cells (SFCs) among 106 splenocytes. Representative raw ELISPOT data were presented. * p < 0.05; ** p < 0.01. Data represent mean ± SEM (n = 5).
3.4. HZ DNA Vaccines Induces VZV-Specific Th1/Th2 Cytokine Secretion
Upon antigen stimulation, T cell precursors differentiate into Th0 cells, which further differentiate into Th1, Th2, or others. These cells produce various cytokines that promote or suppress the secretion of other cytokines through complex mechanisms. Th1 cells secrete IFN-γ, IL-2, and TNF-α, whereas Th2 cells secrete IL-4, IL-10, IL-13, and IL-17E/IL-15 [37]. To evaluate the immune responses elicited by HZ vaccines, the levels of IFN-γ, IL-2, and IL-10 secreted by spleen cells after gE or IE63 stimulation were detected by ELISA on day 14 after the third vaccination. When splenocytes were stimulated with gE protein or gE peptides, the gE group induced significantly higher IFN-γ levels than the IE63-linker-gE and LAV groups (Figure 4A,B). The IE63-2A-gE and IE63-linker-gE groups showed comparable levels of IFN-γ secretion to that of the LAV group (Figure 4A,B). The level of IL-2 secretion in splenocytes stimulated with gE protein or peptides in the IE63-2A-gE group was significantly higher than that in the LAV group (Figure 4A,B). There were no significant differences in IL-10 levels among the gE, IE63-2A-gE, IE63-linker-gE, and LAV groups (Figure 4A,B). When splenocytes were stimulated with IE63 protein, the IE63 and IE63-2A-gE groups showed increased IFN-γ levels compared to the IE63-linker-gE group (Figure 4C). No significant difference in IL-2 levels was observed among the vaccine groups (Figure 4C). The IE63 group showed higher levels of IL-10 than the IE63-linker-gE and LAV groups (Figure 4C). When splenocytes were stimulated with IE63 peptides, the IE63-2A-gE and IE63-linker-gE groups induced significantly higher IFN-γ levels than those in the LAV group (Figure 4D). When stimulated with IE63 peptides, the IE63, IE63-2A-gE, IE63-linker-gE, and LAV groups showed comparable levels of IL-2 secretion (Figure 4D). The IE63 and IE63-2A-gE groups showed significantly higher IL-10 levels than the IE63-linker-gE and LAV groups (Figure 4D). Taken together, IE63-2A-gE may be a better design due to a Th1-biased immune response.
Figure 4.
IFN-γ, IL-2, and IL-10 levels in immunized mouse spleen cells. The levels of Th1 (IFN-γ and IL-2) and Th2 (IL-10) cytokines secreted by mouse spleen cells stimulated with gE protein (A), gE peptides (B), IE63 protein (C), and IE63 peptides (D) were detected 14 days after the third vaccination. * p < 0.05; ** p < 0.01; *** p < 0.001; **** p < 0.0001; ns, no significant difference. Data represent mean ± SEM (n = 5).
3.5. Cytotoxic Activity of Splenocytes Derived from Immunized Mice
To determine the cytotoxic effect of splenocytes derived from mice immunized with HZ vaccines, we performed an in vitro cytotoxicity assay, in which equivalent numbers of antigen-pulsed and unpulsed target EL-4 cells were incubated with splenocytes isolated from immunized mice at effector-to-target ratios of 50:1 for eight hours. Flow cytometry analysis revealed that the killing ratio of the LAV group was significantly higher than that of the PBS and gE (no-prime) groups. The gE-specific CMI of the IE63-2A-gE group was lower than that of the gE and LAV groups, although no statistically significant difference was observed (Figure 5A,C). The IE63-specific cytotoxic effect of these groups was <10% and was similar among the five groups (Figure 5B,D). Unfortunately, weak cytotoxic T cell responses were observed in this experiment.
Figure 5.
Cytotoxic activity of splenocytes derived from immunized mice. Antigen-specific cytotoxic activity of splenocytes derived from immunized mice on day 42 at effector-to-target ratios of 50:1. (A) Representative histograms of CFSElow (unpulsed, green) and CFSEhigh (gE pulsed, gray) populations, 8 h after incubation with splenoctyes from immunized mice. (B) Representative histograms of CFSElow (unpulsed, green) and CFSEhigh (IE63 pulsed, gray) populations, 8 h after incubation with splenoctyes from immunized mice. (C) Killing ratio of the gE-pulsed target cells. (D) Killing ratio of the IE63-pulsed target cells. * p < 0.05, ns, no significant difference. Data represent mean ± SEM (n = 5).
4. Discussion
Zostavax® is a live attenuated vaccine that has been used since 2006; however, one limitation is that the rates of prevention decrease with increasing age. Additionally, it is contraindicated in immunocompromised people [38]. Shingrix® is a recombinant subunit vaccine containing the AS01B adjuvant that exhibits long-term and high vaccine efficacy regardless of age. However, MPL and QS-21 are extremely expensive, which prevents their further application. Additionally, DNA vaccines highlight the advantages of precise construction, easy production, convenient transport, and satisfactory biosafety, which make them more easily used in developing countries.
VZV gE is the most abundant and immunogenic VZV glycoprotein and an important target for the host immune response. Therefore, VZV gE is widely used as an antigen for HZ vaccines to induce robust immune responses. IE63 could also represent a putative vaccine candidate because it is expressed very early during viral replication and is expressed during virus latency, which means that IE63-specific CMI might be conducive to clearing latently infected cells. Consequently, IE63 could be useful for the prevention of HZ in patients already infected with VZV. Accordingly, in this study, we designed four HZ DNA vaccines encoding VZV gE, IE63, IE63-2A-gE, and IE63-linker-gE to evaluate the immunogenicity of different antigen combinations of gE and IE63.
In this study, all DNA vaccines encoding gE induced comparable levels of gE-specific IgG titers in mice; all DNA vaccines encoding IE63 induced comparable levels of IE63-specific IgG titers. The LAV group showed significantly higher gE- and IE63-specific IgG titers than the other groups. However, C57BL/6J mice were primed with an LAV of 1/10 of human dose in this study, containing approximately 103.8 PFU, which was three-fold higher than that used in other studies [33,34]. Additionally, for the LAV control group, VZV-primed animals were injected intramuscularly with a single 1/10 HD of LAV on day zero in other studies. However, mice in the LAV group were immunized three times in this experiment [33,34]. The neutralizing antibodies measured by FAMA of the gE and LAV groups were comparable to those of the IE63-2A-gE group, which was consistent with the results of the recgE–IE63 subunit vaccine tested in mice and guinea pigs [28]. The absence of anti-IE63 IgG responses to neutralize VZV (Figure 2D) could be explained by the fact that IE63 is a structural protein located in the viral tegument and is located primarily in nuclei of infected cells [39]. Other literature testing the IE63 subunit vaccine also found absent neutralizing antibody [28].
For HZ vaccines, CMI, rather than humoral immune responses, plays a key role in restricting VZV reactivation, which is vital for zoster vaccine efficacy [40]. Next, we found that DNA vaccines induced VZV-specific T-cell responses. IE63-2A-gE induced higher IFN-γ response than LAV (Figure 3 and Figure 4), and also induced higher IL-2 secretion than LAV in splenocytes when stimulated with gE (Figure 4A,B). IFN-γ and IL-2 activate Th1 cells, which elevate T cell activation, expansion, differentiation, and maintenance. IL-2-secreting immune cells also mediate the differentiation of CD8+ T cells into effector and memory T cells [41,42]. Based on these findings, IE63-2A-gE has the potential to enhance T cell responses in older patients, because cellular responses decline with age.
Furthermore, DNA vaccines that encode antigens result in intracellular presentation and trigger innate immune pathways, resulting in virus-like immune stimulation [29]. This vaccine type has the potential to efficiently stimulate CD8+ T cell responses with peptide presentation on MHC class I molecules. Unfortunately, in this study, weak cytotoxic CD8+ T cell responses were observed in HZ DNA vaccine groups. Previous studies indicated that anti-VZV T cell responses tend toward CD4+ T cell responses, especially with surface glycoproteins such as gE [34,43]. Furthermore, it has been found that IE63 protein-specific T cells are strongly dominated by CD4+ T cells [26]. Unfortunately, CD8+ T cell responses were rarely observed in this study, implying auxiliary treatments to boost VZV-specific CD8+ T cell responses of IE63-2A-gE DNA vaccine are probably helpful. Further tests of the co-administration of IE63-2A-gE DNA and cytokine DNA or adjuvants to enhance CD8+ T cell responses are needed [44,45].
The major goal of HZ vaccination is to induce strong VZV-specific T cell responses to prevent HZ and its associated complications. This study showed that the HZ DNA vaccine encoding IE63-2A-gE elicited comparable levels of neutralizing antibodies to those of the LAV group. The IE63-2A-gE group induced higher IFN-γ and IL-2 levels than the IE63-linker-gE and LAV groups and induced an IFN-γ-secreting cell frequency comparable to that of the gE or IE63 groups. Given that the component of IE63 plays an important role in eliciting a specific T cell response [25,26], the IE63-2A-gE DNA vaccine probably provides benefits. However, since VZV is a highly species-specific virus that induces clinical symptoms only in humans or non-human primate species, primed VZV will neither be latent nor reactivated in mice [46,47,48]. The protective efficacy of the IE63-2A-gE DNA vaccine for controlling viral reactivation cannot be evaluated in a mouse model. Further evaluations of IE63-2A-gE DNA vaccine efficacy in rhesus macaque models are required. Concludingly, this study provides novel insights into the immune mechanism of VZV vaccines and introduces IE63-2A-gE as a candidate antigen for HZ vaccine design.
Author Contributions
Conceptualization, J.L. (Jie Liu), W.S. and C.J.; Data curation, J.L. (Jie Liu), J.L. (Junyang Lin) and L.C.; Formal analysis, J.L. (Jie Liu); Funding acquisition, W.S. and C.J.; Investigation, J.L. (Jie Liu), J.S., X.D., C.W., Y.W. and X.G.; Methodology, J.L. (Jie Liu), J.S., X.D. and C.W.; Resources, Y.W. and X.G.; Software, J.L. (Jie Liu) and J.S.; Supervision, W.S. and C.J.; Validation, J.L. (Jie Liu), J.S. and W.S.; Writing original draft, J.L. (Jie Liu); Writing—Review & editing, J.L. (Jie Liu), W.S. and C.J. All authors have read and agreed to the published version of the manuscript.
Funding
This research was supported by the National Natural Science Foundation of China (grant numbers 32070932 and 31770184) and the Science and Technology Plan Project of the Inner Mongolia Autonomous Region, China (grant number 2020GG0233).
Institutional Review Board Statement
All mice used in this study were treated according to the Guide for the Care and Use of Laboratory Animals (Jilin University). All experimental procedures were reviewed and approved by the Animal Welfare and Research Ethics Committee of the Jilin University (Approval no. 2020-nsfc008).
Acknowledgments
We thank Paul R. Kinchington from Departments of Ophthalmology and of Molecular Microbiology and Molecular Genetics, University of Pittsburgh, USA for providing the rabbit polyclonal antibodies against IE63.
Conflicts of Interest
The authors declare that the research was conducted in the absence of any commercial or financial relationships that could be construed as potential conflicts of interest.
References
- Zerboni, L.; Sen, N.; Oliver, S.L.; Arvin, A.M. Molecular mechanisms of varicella zoster virus pathogenesis. Nat. Rev. Microbiol. 2014, 12, 197–210. [Google Scholar] [CrossRef] [PubMed] [Green Version]
- Gershon, A.A.; Gershon, M.D. Pathogenesis and current approaches to control of varicella-zoster virus infections. Clin. Microbiol. Rev. 2013, 26, 728–743. [Google Scholar] [CrossRef] [PubMed] [Green Version]
- Yawn, B.P.; Saddier, P.; Wollan, P.C.; St Sauver, J.L.; Kurland, M.J.; Sy, L.S. A population-based study of the incidence and complication rates of herpes zoster before zoster vaccine introduction. Mayo Clin. Proc. 2007, 82, 1341–1349. [Google Scholar] [CrossRef]
- Forbes, H.J.; Bhaskaran, K.; Thomas, S.L.; Smeeth, L.; Clayton, T.; Langan, S.M. Quantification of risk factors for herpes zoster: Population based case-control study. BMJ 2014, 348, g2911. [Google Scholar] [CrossRef] [PubMed] [Green Version]
- Harpaz, R.; Ortega-Sanchez, I.R.; Seward, J.F. Prevention of herpes zoster: Recommendations of the Advisory Committee on Immunization Practices (ACIP). MMWR Recomm. Rep. Morb. Mortal. Wkly. Rep. 2008, 57, 1–30. [Google Scholar]
- Zhang, Y.; Luo, G.; Huang, Y.; Yu, Q.; Wang, L.; Li, K. Risk of Stroke/Transient Ischemic Attack or Myocardial Infarction with Herpes Zoster: A Systematic Review and Meta-Analysis. J. Stroke Cerebrovasc. Dis. 2017, 26, 1807–1816. [Google Scholar] [CrossRef]
- Otani, N.; Baba, K.; Okuno, T. Interferon-gamma release assay: A simple method for detection of varicella-zoster virus-specific cell-mediated immunity. J. Immunol. Methods 2009, 351, 71–74. [Google Scholar] [CrossRef]
- Steain, M.; Sutherland, J.P.; Rodriguez, M.; Cunningham, A.L.; Slobedman, B.; Abendroth, A. Analysis of T cell responses during active varicella-zoster virus reactivation in human ganglia. J. Virol. 2014, 88, 2704–2716. [Google Scholar] [CrossRef] [Green Version]
- Weinberg, A.; Zhang, J.H.; Oxman, M.N.; Johnson, G.R.; Hayward, A.R.; Caulfield, M.J.; Irwin, M.R.; Clair, J.; Smith, J.G.; Stanley, H.; et al. Varicella-Zoster virus—Specific immune responses to herpes zoster in elderly participants in a trial of a clinically effective zoster vaccine. J. Infect. Dis. 2009, 200, 1068–1077. [Google Scholar] [CrossRef] [Green Version]
- Asada, H. VZV-specific cell-mediated immunity, but not humoral immunity, correlates inversely with the incidence of herpes zoster and the severity of skin symptoms and zoster-associated pain: The SHEZ study. Vaccine 2019, 37, 6776–6781. [Google Scholar] [CrossRef]
- Weinberg, A.; Levin, M.J. VZV T cell-mediated immunity. Curr. Top. Microbiol. Immunol. 2010, 342, 341–357. [Google Scholar] [PubMed]
- Oxman, M.N.; Levin, M.J.; Johnson, G.R.; Schmader, K.E.; Straus, S.E.; Gelb, L.D.; Arbeit, R.D.; Simberkoff, M.S.; Gershon, A.A.; Davis, L.E.; et al. A vaccine to prevent herpes zoster and postherpetic neuralgia in older adults. N. Engl. J. Med. 2005, 352, 2271–2284. [Google Scholar] [CrossRef] [PubMed] [Green Version]
- Lal, H.; Cunningham, A.L.; Godeaux, O.; Chlibek, R.; Diez-Domingo, J.; Hwang, S.J.; Levin, M.J.; McElhaney, J.E.; Poder, A.; Puig-Barberà, J.; et al. Efficacy of an adjuvanted herpes zoster subunit vaccine in older adults. N. Engl. J. Med. 2015, 372, 2087–2096. [Google Scholar] [CrossRef] [PubMed]
- Chlibek, R.; Pauksens, K.; Rombo, L.; van Rijckevorsel, G.; Richardus, J.H.; Plassmann, G.; Schwarz, T.F.; Catteau, G.; Lal, H.; Heineman, T.C. Long-term immunogenicity and safety of an investigational herpes zoster subunit vaccine in older adults. Vaccine 2016, 34, 863–868. [Google Scholar] [CrossRef] [PubMed]
- Leroux-Roels, I.; Leroux-Roels, G.; Clement, F.; Vandepapeliere, P.; Vassilev, V.; Ledent, E.; Heineman, T.C. A phase 1/2 clinical trial evaluating safety and immunogenicity of a varicella zoster glycoprotein e subunit vaccine candidate in young and older adults. J. Infect. Dis. 2012, 206, 1280–1290. [Google Scholar] [CrossRef] [Green Version]
- Grose, C. Glycoproteins encoded by varicella-zoster virus: Biosynthesis, phosphorylation, and intracellular trafficking. Annu. Rev. Microbiol. 1990, 44, 59–80. [Google Scholar] [CrossRef]
- Hasan, U.A.; Harper, D.R.; Wren, B.W.; Morrow, W.J. Immunization with a DNA vaccine expressing a truncated form of varicella zoster virus glycoprotein E. Vaccine 2002, 20, 1308–1315. [Google Scholar] [CrossRef]
- Lee, S.J.; Park, H.J.; Ko, H.L.; Lee, J.E.; Lee, H.J.; Kim, H.; Nam, J.H. Evaluation of glycoprotein E subunit and live attenuated varicella-zoster virus vaccines formulated with a single-strand RNA-based adjuvant. Immun. Inflamm. Dis. 2020, 8, 216–227. [Google Scholar] [CrossRef] [Green Version]
- Grinfeld, E.; Kennedy, P.G. Translation of varicella-zoster virus genes during human ganglionic latency. Virus Genes 2004, 29, 317–319. [Google Scholar] [CrossRef]
- Lungu, O.; Panagiotidis, C.A.; Annunziato, P.W.; Gershon, A.A.; Silverstein, S.J. Aberrant intracellular localization of Varicella-Zoster virus regulatory proteins during latency. Proc. Natl. Acad. Sci. USA 1998, 95, 7080–7085. [Google Scholar] [CrossRef] [Green Version]
- Kennedy, P.G.; Grinfeld, E.; Bell, J.E. Varicella-zoster virus gene expression in latently infected and explanted human ganglia. J. Virol. 2000, 74, 11893–11898. [Google Scholar] [CrossRef] [PubMed] [Green Version]
- Gershon, M.; Gershon, A. Varicella-Zoster Virus and the Enteric Nervous System. J. Infect. Dis. 2018, 218 (Suppl. 2), S113–S119. [Google Scholar] [CrossRef] [PubMed]
- Mahalingam, R.; Wellish, M.; Cohrs, R.; Debrus, S.; Piette, J.; Rentier, B.; Gilden, D.H. Expression of protein encoded by varicella-zoster virus open reading frame 63 in latently infected human ganglionic neurons. Proc. Natl. Acad. Sci. USA 1996, 93, 2122–2124. [Google Scholar] [CrossRef] [PubMed] [Green Version]
- Zerboni, L.; Sobel, R.A.; Ramachandran, V.; Rajamani, J.; Ruyechan, W.; Abendroth, A.; Arvin, A. Expression of varicella-zoster virus immediate-early regulatory protein IE63 in neurons of latently infected human sensory ganglia. J. Virol. 2010, 84, 3421–3430. [Google Scholar] [CrossRef] [Green Version]
- Malavige, G.N.; Rohanachandra, L.T.; Jones, L.; Crack, L.; Perera, M.; Fernando, N.; Guruge, D.; Ogg, G.S. IE63-specific T-cell responses associate with control of subclinical varicella zoster virus reactivation in individuals with malignancies. Br. J. Cancer 2010, 102, 727–730. [Google Scholar] [CrossRef] [Green Version]
- Jones, L.; Black, A.P.; Malavige, G.N.; Ogg, G.S. Phenotypic analysis of human CD4+ T cells specific for immediate-early 63 protein of varicella-zoster virus. Eur. J. Immunol. 2007, 37, 3393–3403. [Google Scholar] [CrossRef]
- Sei, J.J.; Cox, K.S.; Dubey, S.A.; Antonello, J.M.; Krah, D.L.; Casimiro, D.R.; Vora, K.A. Effector and Central Memory Poly-Functional CD4+ and CD8+ T Cells are Boosted upon ZOSTAVAX® Vaccination. Front. Immunol. 2015, 6, 553. [Google Scholar] [CrossRef]
- Jacquet, A.; Haumont, M.; Massaer, M.; Garcia, L.; Mazzu, P.; Daminet, V.; Grégoire, D.; Jacobs, P.; Bollen, A. Immunogenicity of a recombinant varicella-zoster virus gE-IE63 fusion protein, a putative vaccine candidate against primary infection and zoster reactivation. Vaccine 2002, 20, 1593–1602. [Google Scholar] [CrossRef]
- Liu, M.A. A Comparison of Plasmid DNA and mRNA as Vaccine Technologies. Vaccines 2019, 7, 37. [Google Scholar] [CrossRef] [Green Version]
- Ferraro, B.; Morrow, M.P.; Hutnick, N.A.; Shin, T.H.; Lucke, C.E.; Weiner, D.B. Clinical applications of DNA vaccines: Current progress. Clin. Infect. Dis. 2011, 53, 296–302. [Google Scholar] [CrossRef] [Green Version]
- Daniels, R.W.; Rossano, A.J.; Macleod, G.T.; Ganetzky, B. Expression of multiple transgenes from a single construct using viral 2A peptides in Drosophila. PLoS ONE 2014, 9, e100637. [Google Scholar] [CrossRef] [PubMed]
- Haymaker, C.L.; Hailemichael, Y.; Yang, Y.; Nurieva, R. In Vivo Assay for Detection of Antigen-specific T-cell Cytolytic Function Using a Vaccination Model. J. Vis. Exp. 2017, 129, e56255. [Google Scholar] [CrossRef]
- Dendouga, N.; Fochesato, M.; Lockman, L.; Mossman, S.; Giannini, S.L. Cell-mediated immune responses to a varicella-zoster virus glycoprotein E vaccine using both a TLR agonist and QS21 in mice. Vaccine 2012, 30, 3126–3135. [Google Scholar] [CrossRef] [PubMed]
- Wui, S.R.; Kim, K.S.; Ryu, J.I.; Ko, A.; Do, H.T.T.; Lee, Y.J.; Kim, H.J.; Lim, S.J.; Park, S.A.; Cho, Y.J.; et al. Efficient induction of cell-mediated immunity to varicella-zoster virus glycoprotein E co-lyophilized with a cationic liposome-based adjuvant in mice. Vaccine 2019, 37, 2131–2141. [Google Scholar] [CrossRef] [PubMed]
- Frey, C.R.; Sharp, M.A.; Min, A.S.; Schmid, D.S.; Loparev, V.; Arvin, A.M. Identification of CD8+ T cell epitopes in the immediate early 62 protein (IE62) of varicella-zoster virus, and evaluation of frequency of CD8+ T cell response to IE62, by use of IE62 peptides after varicella vaccination. J. Infect. Dis. 2003, 188, 40–52. [Google Scholar] [CrossRef] [PubMed] [Green Version]
- Smith, J.G.; Levin, M.; Vessey, R.; Chan, I.S.; Hayward, A.R.; Liu, X.; Kaufhold, R.M.; Clair, J.; Chalikonda, I.; Chan, C.; et al. Measurement of cell-mediated immunity with a Varicella-Zoster Virus-specific interferon-gamma ELISPOT assay: Responses in an elderly population receiving a booster immunization. J. Med. Virol. 2003, 70 (Suppl. 1), S38–S41. [Google Scholar] [CrossRef]
- Berger, A. Th1 and Th2 responses: What are they? BMJ 2000, 321, 424. [Google Scholar] [CrossRef] [Green Version]
- Wang, L.; Zhu, L.; Zhu, H. Efficacy of varicella (VZV) vaccination: An update for the clinician. Ther. Adv. Vaccines 2016, 4, 20–31. [Google Scholar] [CrossRef] [Green Version]
- Kinchington, P.R.; Bookey, D.; Turse, S.E. The transcriptional regulatory proteins encoded by varicella-zoster virus open reading frames (ORFs) 4 and 63, but not ORF 61, are associated with purified virus particles. J. Virol. 1995, 69, 4274–4282. [Google Scholar] [CrossRef] [Green Version]
- Gilbert, P.B.; Gabriel, E.E.; Miao, X.; Li, X.; Su, S.C.; Parrino, J.; Chan, I.S. Fold rise in antibody titers by measured by glycoprotein-based enzyme-linked immunosorbent assay is an excellent correlate of protection for a herpes zoster vaccine, demonstrated via the vaccine efficacy curve. J. Infect. Dis. 2014, 210, 1573–1581. [Google Scholar] [CrossRef] [Green Version]
- Dai, Z.; Konieczny, B.T.; Lakkis, F.G. The dual role of IL-2 in the generation and maintenance of CD8+ memory T cells. J. Immunol. 2000, 165, 3031–3036. [Google Scholar] [CrossRef] [PubMed] [Green Version]
- Boyman, O.; Cho, J.H.; Sprent, J. The role of interleukin-2 in memory CD8 cell differentiation. Adv. Exp. Med. Biol. 2010, 684, 28–41. [Google Scholar] [PubMed] [Green Version]
- Wang, Y.; Qi, J.; Cao, H.; Liu, C. Immune Responses to Varicella-Zoster Virus Glycoprotein E Formulated with Poly(Lactic-co-Glycolic Acid) Nanoparticles and Nucleic Acid Adjuvants in Mice. Virol. Sin. 2021, 36, 122–132. [Google Scholar] [CrossRef]
- Kim, A.R.; Park, J.; Kim, J.H.; Kwak, J.E.; Cho, Y.; Lee, H.; Jeong, M.; Park, S.H.; Shin, E.C. Herpes Zoster DNA Vaccines with IL-7 and IL-33 Molecular Adjuvants Elicit Protective T Cell Immunity. Immune Netw. 2018, 18, e38. [Google Scholar] [CrossRef]
- Cao, H.; Wang, Y.; Luan, N.; Liu, C. Immunogenicity of Varicella-Zoster Virus Glycoprotein E Formulated with Lipid Nanoparticles and Nucleic Immunostimulators in Mice. Vaccines 2021, 9, 310. [Google Scholar] [CrossRef] [PubMed]
- Meyer, C.; Engelmann, F.; Arnold, N.; Krah, D.L.; ter Meulen, J.; Haberthur, K.; Dewane, J.; Messaoudi, I. Abortive intrabronchial infection of rhesus macaques with varicella-zoster virus provides partial protection against simian varicella virus challenge. J. Virol. 2015, 89, 1781–1793. [Google Scholar] [CrossRef] [PubMed] [Green Version]
- Wroblewska, Z.; Valyi-Nagy, T.; Otte, J.; Dillner, A.; Jackson, A.; Sole, D.P.; Fraser, N.W. A mouse model for varicella-zoster virus latency. Microb. Pathog. 1993, 15, 141–151. [Google Scholar] [CrossRef]
- Baird, N.L.; Zhu, S.; Pearce, C.M.; Viejo-Borbolla, A. Current In Vitro Models to Study Varicella Zoster Virus Latency and Reactivation. Viruses 2019, 11, 103. [Google Scholar] [CrossRef] [Green Version]
Publisher’s Note: MDPI stays neutral with regard to jurisdictional claims in published maps and institutional affiliations. |
© 2022 by the authors. Licensee MDPI, Basel, Switzerland. This article is an open access article distributed under the terms and conditions of the Creative Commons Attribution (CC BY) license (https://creativecommons.org/licenses/by/4.0/).




