Pyrazole-Curcumin Suppresses Cardiomyocyte Hypertrophy by Disrupting the CDK9/CyclinT1 Complex
Abstract
1. Introduction
2. Materials and Methods
2.1. Materials
2.2. Neonatal Rat Cardiomyocyte Culture
2.3. Immunofluorescence Staining and Measurement of the Surface Area of Cardiomyocytes
2.4. qRT-PCR
| rat-ANF Fw | ATCACCAAGGGCTTCTTCCT |
| rat-ANF Rv | CCTCATCTTCTACCGGCATC |
| rat-BNP Fw | TTCCGGATCCAGGAGAGACTT |
| rat-BNP Rv | CCTAAAACAACCTCAGCCCGT |
| rat-18S Fw | CTTAGAGGGACAAGGGGG |
| rat-18S Rv | GGACATCTAAGGGCATCACA |
2.5. Western Blotting
2.6. In Vitro HAT Assay
2.7. Glutathione S-Transferase (GST) Pull-Down Assay
2.8. Statistical Analysis
| Figure | F Statistics |
| Figure 2B | 134.649 |
| Figure 2C | 14.561 |
| Figure 2D | 23.910 |
| Figure 2F | 10.950 |
| Figure 3B | 37.009 |
| Figure 4C | 21.750 |
| Figure 5C | 909.750 |
| Figure 5F | 254.105 |
| Figure 5H | 215.074 |
| Figure 6C | 14.245 |
3. Results
3.1. PyrC Suppressed PE-Induced Cardiomyocyte Hypertrophy at Lower Concentrations Than CUR
3.2. PyrC Inhibited the Phosphorylation of RNA Polymerase II in Cardiomyocyte Hypertrophy
3.3. PyrC Did Not Suppress H3K9ac In Vitro
3.4. PyrC Inhibited the Binding of Cdk9 with Cyclin T1
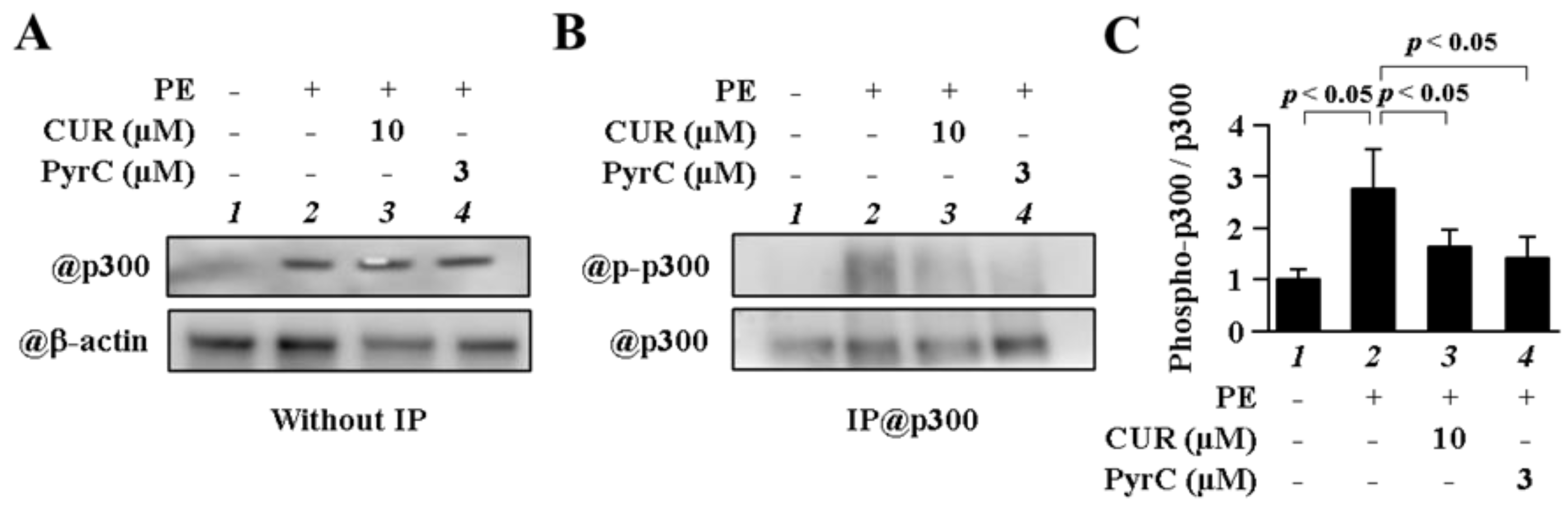
3.5. PyrC Suppressed Phosphorylation of p300
4. Discussion
5. Conclusions
Author Contributions
Funding
Institutional Review Board Statement
Informed Consent Statement
Acknowledgments
Conflicts of Interest
References
- Dick, S.A.; Epelman, S. Chronic Heart Failure and Inflammation: What Do We Really Know? Circ. Res. 2016, 119, 159–176. [Google Scholar] [CrossRef] [PubMed]
- Wehbe, N.; Nasser, S.A.; Pintus, G.; Badran, A.; Eid, A.H.; Baydoun, E. MicroRNAs in Cardiac Hypertrophy. Int. J. Mol. Sci. 2019, 20, 4714. [Google Scholar] [CrossRef] [PubMed]
- Li, P.L.; Liu, H.; Chen, G.P.; Li, L.; Shi, H.J.; Nie, H.Y.; Liu, Z.; Hu, Y.F.; Yang, J.; Zhang, P.; et al. STEAP3 (Six-Transmembrane Epithelial Antigen of Prostate 3) Inhibits Pathological Cardiac Hypertrophy. Hypertension 2020, 76, 1219–1230. [Google Scholar] [CrossRef] [PubMed]
- Gosse, P. Left Ventricular Hypertrophy as a Predictor of Cardiovascular Risk. J. Hypertens. Suppl. 2005, 23, S27–S33. [Google Scholar] [CrossRef]
- Shimizu, K.; Sunagawa, Y.; Funamoto, M.; Wakabayashi, H.; Genpei, M.; Miyazaki, Y.; Katanasaka, Y.; Sari, N.; Shimizu, S.; Katayama, A.; et al. The Synthetic Curcumin Analogue GO-Y030 Effectively Suppresses the Development of Pressure Overload-Induced Heart Failure in Mice. Sci. Rep. 2020, 10, 7172. [Google Scholar] [CrossRef]
- Akazawa, H.; Komuro, I. Roles of Cardiac Transcription Factors in Cardiac Hypertrophy. Circ. Res. 2003, 92, 1079–1088. [Google Scholar] [CrossRef]
- Yanazume, T.; Hasegawa, K.; Morimoto, T.; Kawamura, T.; Wada, H.; Matsumori, A.; Kawase, Y.; Hirai, M.; Kita, T. Cardiac P300 Is Involved in Myocyte Growth with Decompensated Heart Failure. Mol. Cell. Biol. 2003, 23, 3593–3606. [Google Scholar] [CrossRef]
- Molkentin, J.D.; Lu, J.R.; Antos, C.L.; Markham, B.; Richardson, J.; Robbins, J.; Grant, S.R.; Olson, E.N. A Calcineurin-Dependent Transcriptional Pathway for Cardiac Hypertrophy. Cell 1998, 93, 215–228. [Google Scholar] [CrossRef]
- Miyamoto, S.; Kawamura, T.; Morimoto, T.; Ono, K.; Wada, H.; Kawase, Y.; Matsumori, A.; Nishio, R.; Kita, T.; Hasegawa, K. Histone Acetyltransferase Activity of P300 Is Required for the Promotion of Left Ventricular Remodeling after Myocardial Infarction in Adult Mice In Vivo. Circulation 2006, 113, 679–690. [Google Scholar] [CrossRef]
- Quagliariello, V.; Armenia, E.; Aurilio, C.; Rosso, F.; Clemente, O.; de Sena, G.; Barbarisi, M.; Barbarisi, A. New Treatment of Medullary and Papillary Human Thyroid Cancer: Biological Effects of Hyaluronic Acid Hydrogel Loaded with Quercetin Alone or in Combination to an Inhibitor of Aurora Kinase. J. Cell. Physiol. 2016, 231, 1784–1795. [Google Scholar] [CrossRef]
- Quagliariello, V.; Masarone, M.; Armenia, E.; Giudice, A.; Barbarisi, M.; Caraglia, M.; Barbarisi, A.; Persico, M. Chitosan-Coated Liposomes Loaded with Butyric Acid Demonstrate Anticancer and Anti-Inflammatory Activity in Human Hepatoma HepG2 Cells. Oncol. Rep. 2019, 41, 1476–1486. [Google Scholar] [CrossRef] [PubMed]
- Morimoto, T.; Sunagawa, Y.; Fujita, M.; Hasegawa, K. Novel Heart Failure Therapy Targeting Transcriptional Pathway in Cardiomyocytes by a Natural Compound, Curcumin. Circ. J. 2010, 74, 1060–1066. [Google Scholar] [CrossRef] [PubMed]
- Kuno, A.; Hori, Y.S.; Hosoda, R.; Tanno, M.; Miura, T.; Shimamoto, K.; Horio, Y. Resveratrol Improves Cardiomyopathy in Dystrophin-Deficient Mice through Sirt1 Protein-Mediated Modulation of P300 Protein. J. Biol. Chem. 2013, 288, 5963–5972. [Google Scholar] [CrossRef] [PubMed]
- Sunagawa, Y.; Shimizu, K.; Katayama, A.; Funamoto, M.; Shimizu, K.; Nurmila, S.; Shimizu, S.; Miyazaki, Y.; Katanasaka, Y.; Hasegawa, K.; et al. Metformin Suppresses Phenylephrine-Induced Hypertrophic Responses by Inhibiting P300-HAT Activity in Cardiomyocytes. J. Pharmacol. Sci. 2021, 147, 169–175. [Google Scholar] [CrossRef]
- Sunagawa, Y.; Katayama, A.; Funamoto, M.; Shimizu, K.; Shimizu, S.; Katanasaka, Y.; Miyazaki, Y.; Hasegawa, K.; Morimoto, T. The Polyunsaturated Fatty Acids EPA and DHA Prevent Myocardial Infarction-Induced Heart Failure by Inhibiting P300-HAT Activity in Rats. Eur. Cardiol. 2021, 16, e68. [Google Scholar] [CrossRef]
- Peng, C.; Zhu, J.; Sun, H.C.; Huang, X.P.; Zhao, W.A.; Zheng, M.; Liu, L.J.; Tian, J. Inhibition of Histone H3K9 Acetylation by Anacardic Acid Can Correct the Over-Expression of Gata4 in the Hearts of Fetal Mice Exposed to Alcohol during Pregnancy. PLoS ONE 2014, 9, e104135. [Google Scholar] [CrossRef]
- Balasubramanyam, K.; Varier, R.A.; Altaf, M.; Swaminathan, V.; Siddappa, N.B.; Ranga, U.; Kundu, T.K. Curcumin, a Novel P300/CREB-Binding Protein-Specific Inhibitor of Acetyltransferase, Represses the Acetylation of Histone/Nonhistone Proteins and Histone Acetyltransferase-Dependent Chromatin Transcription. J. Biol. Chem. 2004, 279, 51163–51171. [Google Scholar] [CrossRef]
- Joe, B.; Vijaykumar, M.; Lokesh, B.R. Biological Properties of Curcumin-Cellular and Molecular Mechanisms of Action. Crit. Rev. Food Sci. Nutr. 2004, 44, 97–111. [Google Scholar] [CrossRef]
- Chen, X.; Xie, Q.; Zhu, Y.; Xu, J.; Lin, G.; Liu, S.; Su, Z.; Lai, X.; Li, Q.; Xie, J.; et al. Cardio-Protective Effect of Tetrahydrocurcumin, the Primary Hydrogenated Metabolite of Curcumin In Vivo and In Vitro: Induction of Apoptosis and Autophagy via PI3K/AKT/MTOR Pathways. Eur. J. Pharmacol. 2021, 911, 174495. [Google Scholar] [CrossRef]
- Gorabi, A.M.; Hajighasemi, S.; Kiaie, N.; Rosano, G.M.C.; Sathyapalan, T.; Al-Rasadi, K.; Sahebkar, A. Anti-Fibrotic Effects of Curcumin and Some of Its Analogues in the Heart. Heart Fail. Rev. 2020, 25, 731–743. [Google Scholar] [CrossRef]
- Morimoto, T.; Sunagawa, Y.; Kawamura, T.; Takaya, T.; Wada, H.; Nagasawa, A.; Komeda, M.; Fujita, M.; Shimatsu, A.; Kita, T.; et al. The Dietary Compound Curcumin Inhibits P300 Histone Acetyltransferase Activity and Prevents Heart Failure in Rats. J. Clin. Investig. 2008, 118, 868–878. [Google Scholar] [CrossRef] [PubMed]
- Kohyama, A.; Fukuda, M.; Sugiyama, S.; Yamakoshi, H.; Kanoh, N.; Ishioka, C.; Shibata, H.; Iwabuchi, Y. Reversibility of the Thia-Michael Reaction of Cytotoxic C 5-Curcuminoid and Structure-Activity Relationship of Bis-Thiol-Adducts Thereof. Org. Biomol. Chem. 2016, 14, 10683–10687. [Google Scholar] [CrossRef] [PubMed]
- Kostrzewa, T.; Wołosewicz, K.; Jamrozik, M.; Drzeżdżon, J.; Siemińska, J.; Jacewicz, D.; Górska-Ponikowska, M.; Kołaczkowski, M.; Łaźny, R.; Kuban-Jankowska, A. Curcumin and Its New Derivatives: Correlation between Cytotoxicity against Breast Cancer Cell Lines, Degradation of PTP1B Phosphatase and ROS Generation. Int. J. Mol. Sci. 2021, 22, 368. [Google Scholar] [CrossRef] [PubMed]
- Koeberle, A.; Muñoz, E.; Appendino, G.B.; Minassi, A.; Pace, S.; Rossi, A.; Weinigel, C.; Barz, D.; Sautebin, L.; Caprioglio, D.; et al. SAR Studies on Curcumin’s pro-Inflammatory Targets: Discovery of Prenylated Pyrazolocurcuminoids as Potent and Selective Novel Inhibitors of 5-Lipoxygenase. J. Med. Chem. 2014, 57, 5638–5648. [Google Scholar] [CrossRef]
- Somchit, N.; Kimseng, R.; Dhar, R.; Hiransai, P.; Changtam, C.; Suksamrarn, A.; Chunglok, W.; Chunglok, W. Allergy and Immunology Curcumin Pyrazole Blocks Lipopolysaccharide-Induced Inflammation via Suppression of JNK Activation in RAW 264.7 Macrophages. Asian Pac. J. 2018, 36, 184–190. [Google Scholar] [CrossRef]
- Funamoto, M.; Sunagawa, Y.; Katanasaka, Y.; Shimizu, K.; Miyazaki, Y.; Sari, N.; Shimizu, S.; Mori, K.; Wada, H.; Hasegawa, K.; et al. Histone Acetylation Domains Are Differentially Induced during Development of Heart Failure in Dahl Salt-Sensitive Rats. Int. J. Mol. Sci. 2021, 22, 1771. [Google Scholar] [CrossRef]
- Huang, W.-C.; Chen, C.-C. Akt Phosphorylation of P300 at Ser-1834 Is Essential for Its Histone Acetyltransferase and Transcriptional Activity. Mol. Cell. Biol. 2005, 25, 6592–6602. [Google Scholar] [CrossRef]
- Sunagawa, Y.; Morimoto, T.; Takaya, T.; Kaichi, S.; Wada, H.; Kawamura, T.; Fujita, M.; Shimatsu, A.; Kita, T.; Hasegawa, K. Cyclin-Dependent Kinase-9 Is a Component of the P300/GATA4 Complex Required for Phenylephrine-Induced Hypertrophy in Cardiomyocytes. J. Biol. Chem. 2010, 285, 9556–9568. [Google Scholar] [CrossRef]
- Chen, Y.J.; Wang, Y.N.; Chang, W.C. ERK2-Mediated C-Terminal Serine Phosphorylation of P300 Is Vital to the Regulation of Epidermal Growth Factor-Induced Keratin 16 Gene Expression. J. Biol. Chem. 2007, 282, 27215–27228. [Google Scholar] [CrossRef]
- Poizat, C.; Puri, P.L.; Bai, Y.; Kedes, L. Phosphorylation-Dependent Degradation of P300 by Doxorubicin-Activated P38 Mitogen-Activated Protein Kinase in Cardiac Cells. Mol. Cell. Biol. 2005, 25, 2673–2687. [Google Scholar] [CrossRef]
- Napolitano, G.; Majello, B.; Licciardo, P.; Giordano, A.; Lania, L. Transcriptional Activity of P-TEFb Kinase In Vivo Requires the C-Terminal Domain of RNA Polymerase II. Gene 2000, 254, 139–145. [Google Scholar] [CrossRef]
- Simone, C.; Stiegler, P.; Bagella, L.; Pucci, B.; Bellan, C.; De Falco, G.; De Luca, A.; Guanti, G.; Lorenzo Puri, P.; Giordano, A. Activation of MyoD-Dependent Transcription by Cdk9/Cyclin T2. Oncogene 2002, 21, 4137–4148. [Google Scholar] [CrossRef] [PubMed]
- Garriga, J.; Mayol, X.; Grana, X. The CDC2-Related Kinase PITALRE Is the Catalytic Subunit of Active Muitimeric Protein Complexes. Biochem. J. 1996, 319, 293–298. [Google Scholar] [CrossRef] [PubMed]
- Peng, J.; Zhu, Y.; Milton, J.T.; Price, D.H. Identification of Multiple Cyclin Subunits of Human P-TEFb. Genes Dev. 1998, 12, 755–762. [Google Scholar] [CrossRef]
- Sano, M.; Abdellatif, M.; Oh, H.; Xie, M.; Bagella, L.; Giordano, A.; Michael, L.H.; DeMayo, F.J.; Schneider, M.D. Activation and Function of Cyclin T-Cdk9 (Positive Transcription Elongation Factor-b) in Cardiac Muscle-Cell Hypertrophy. Nat. Med. 2002, 8, 1310–1317. [Google Scholar] [CrossRef]
- Sano, M.; Wang, S.C.; Shirai, M.; Scaglia, F.; Xie, M.; Sakai, S.; Tanaka, T.; Kulkarni, P.A.; Barger, P.M.; Youker, K.A.; et al. Activation of Cardiac Cdk9 Represses PGC-1 and Confers a Predisposition to Heart Failure. EMBO J. 2004, 23, 3559–3569. [Google Scholar] [CrossRef] [PubMed]
- Sano, M.; Schneider, M.D. Cyclin-Dependent Kinase-9: An RNAPII Kinase at the Nexus of Cardiac Growth and Death Cascades. Circ. Res. 2004, 95, 867–876. [Google Scholar] [CrossRef]
- Shen, P.; Feng, X.; Zhang, X.; Huang, X.; Liu, S.; Lu, X.; Li, J.; You, J.; Lu, J.; Li, Z.; et al. SIRT6 Suppresses Phenylephrine-Induced Cardiomyocyte Hypertrophy though Inhibiting P300. J. Pharmacol. Sci. 2016, 132, 31–40. [Google Scholar] [CrossRef]
- Sundaresan, N.R.; Vasudevan, P.; Zhong, L.; Kim, G.; Samant, S.; Parekh, V.; Pillai, V.B.; Ravindra, P.V.; Gupta, M.; Jeevanandam, V.; et al. The Sirtuin SIRT6 Blocks IGF-Akt Signaling and Development of Cardiac Hypertrophy by Targeting c-Jun. Nat. Med. 2012, 18, 1643–1650. [Google Scholar] [CrossRef]
- Akaishi, T.; Abe, K. CNB-001, a Synthetic Pyrazole Derivative of Curcumin, Suppresses Lipopolysaccharide-Induced Nitric Oxide Production through the Inhibition of NF-ΚB and P38 MAPK Pathways in Microglia. Eur. J. Pharmacol. 2018, 819, 190–197. [Google Scholar] [CrossRef]
- Yang, K.Y.; Lin, L.C.; Tseng, T.Y.; Wang, S.C.; Tsai, T.H. Oral Bioavailability of Curcumin in Rat and the Herbal Analysis from Curcuma Longa by LC-MS/MS. J. Chromatogr. B Analyt. Technol. Biomed. Life Sci. 2007, 853, 183–189. [Google Scholar] [CrossRef] [PubMed]
- Shaikh, S.; Shaikh, J.; Naba, Y.S.; Doke, K.; Ahmed, K.; Yusufi, M. Curcumin: Reclaiming the lost ground against cancer resistance. Cancer Drug Resist. 2021, 4, 298–320. [Google Scholar] [CrossRef] [PubMed]
- Vecchione, R.; Quagliariello, V.; Giustetto, P.; Calabria, D.; Sathya, A.; Marotta, R.; Profeta, M.; Nitti, S.; Silvestri, N.; Pellegrino, T.; et al. Oil/Water Nano-Emulsion Loaded with Cobalt Ferrite Oxide Nanocubes for Photo-Acoustic and Magnetic Resonance Dual Imaging in Cancer: In Vitro and Preclinical Studies. Nanomedicine 2017, 13, 275–286. [Google Scholar] [CrossRef] [PubMed]
- Verderio, P.; Bonetti, P.; Colombo, M.; Pandolfi, L.; Prosperi, D. Intracellular Drug Release from Curcumin-Loaded PLGA Nanoparticles Induces G2/M Block in Breast Cancer Cells. Biomacromolecules 2013, 14, 672–682. [Google Scholar] [CrossRef]
- Funamoto, M.; Sunagawa, Y.; Katanasaka, Y.; Miyazaki, Y.; Imaizumi, A.; Kakeya, H.; Yamakage, H.; Satoh-Asahara, N.; Komiyama, M.; Wada, H.; et al. Highly Absorptive Curcumin Reduces Serum Atherosclerotic Low-Density Lipoprotein Levels in Patients with Mild COPD. Int. J. Chronic Obstr. Pulm. Dis. 2016, 11, 2029–2034. [Google Scholar] [CrossRef]
- Funamoto, M.; Shimizu, K.; Sunagawa, Y.; Katanasaka, Y.; Miyazaki, Y.; Kakeya, H.; Yamakage, H.; Satoh-Asahara, N.; Wada, H.; Hasegawa, K.; et al. Effects of Highly Absorbable Curcumin in Patients with Impaired Glucose Tolerance and Non-Insulin-Dependent Diabetes Mellitus. J. Diabetes Res. 2019, 2019, 8208237. [Google Scholar] [CrossRef]
- Sasaki, H.; Sunagawa, Y.; Takahashi, K.; Imaizumi, A.; Fukuda, H.; Hashimoto, T.; Wada, H.; Katanasaka, Y.; Kakeya, H.; Fujita, M.; et al. Innovative Preparation of Curcumin for Improved Oral Bioavailability. Biol. Pharm. Bull. 2011, 34, 660–665. [Google Scholar] [CrossRef]
- Sunagawa, Y.; Wada, H.; Suzuki, H.; Sasaki, H.; Imaizumi, A.; Fukuda, H.; Hashimoto, T.; Katanasaka, Y.; Shimatsu, A.; Kimura, T.; et al. A Novel Drug Delivery System of Oral Curcumin Markedly Improves Efficacy of Treatment for Heart Failure after Myocardial Infarction in Rats. Biol. Pharm. Bull. 2012, 35, 139–144. [Google Scholar] [CrossRef][Green Version]
- Sunagawa, Y.; Miyazaki, Y.; Funamoto, M.; Shimizu, K.; Shimizu, S.; Nurmila, S.; Katanasaka, Y.; Ito, M.; Ogawa, T.; Ozawa-Umeta, H.; et al. A Novel Amorphous Preparation Improved Curcumin Bioavailability in Healthy Volunteers: A Single-Dose, Double-Blind, Two-Way Crossover Study. J. Funct. Foods 2021, 81, 104443. [Google Scholar] [CrossRef]






Publisher’s Note: MDPI stays neutral with regard to jurisdictional claims in published maps and institutional affiliations. |
© 2022 by the authors. Licensee MDPI, Basel, Switzerland. This article is an open access article distributed under the terms and conditions of the Creative Commons Attribution (CC BY) license (https://creativecommons.org/licenses/by/4.0/).
Share and Cite
Funamoto, M.; Sunagawa, Y.; Gempei, M.; Shimizu, K.; Katanasaka, Y.; Shimizu, S.; Hamabe-Horiike, T.; Appendino, G.; Minassi, A.; Koeberle, A.; et al. Pyrazole-Curcumin Suppresses Cardiomyocyte Hypertrophy by Disrupting the CDK9/CyclinT1 Complex. Pharmaceutics 2022, 14, 1269. https://doi.org/10.3390/pharmaceutics14061269
Funamoto M, Sunagawa Y, Gempei M, Shimizu K, Katanasaka Y, Shimizu S, Hamabe-Horiike T, Appendino G, Minassi A, Koeberle A, et al. Pyrazole-Curcumin Suppresses Cardiomyocyte Hypertrophy by Disrupting the CDK9/CyclinT1 Complex. Pharmaceutics. 2022; 14(6):1269. https://doi.org/10.3390/pharmaceutics14061269
Chicago/Turabian StyleFunamoto, Masafumi, Yoichi Sunagawa, Mai Gempei, Kana Shimizu, Yasufumi Katanasaka, Satoshi Shimizu, Toshihide Hamabe-Horiike, Giovanni Appendino, Alberto Minassi, Andreas Koeberle, and et al. 2022. "Pyrazole-Curcumin Suppresses Cardiomyocyte Hypertrophy by Disrupting the CDK9/CyclinT1 Complex" Pharmaceutics 14, no. 6: 1269. https://doi.org/10.3390/pharmaceutics14061269
APA StyleFunamoto, M., Sunagawa, Y., Gempei, M., Shimizu, K., Katanasaka, Y., Shimizu, S., Hamabe-Horiike, T., Appendino, G., Minassi, A., Koeberle, A., Komiyama, M., Mori, K., Hasegawa, K., & Morimoto, T. (2022). Pyrazole-Curcumin Suppresses Cardiomyocyte Hypertrophy by Disrupting the CDK9/CyclinT1 Complex. Pharmaceutics, 14(6), 1269. https://doi.org/10.3390/pharmaceutics14061269

