Abstract
Background/Objectives: Cartilage injuries and osteoarthritis are prevalent public health problems, due to their disabling nature and economic impact. Mesenchymal stromal cells (MSCs) isolated from different tissues have the immunomodulatory capacity to regulate local joint environment. This translational study aims to compare cartilage restoration from MSCs from the synovial membrane (SM) and dental pulp (DP) by a tissue-engineered construct with Good Manufacturing Practices. Methods: A controlled experimental study was conducted on fourteen miniature pigs, using scaffold-free Tissue Engineering Constructs (TECs) from DP and SM MSCs, with a 6-month follow-up. Total thickness cartilage defects were created in both hind knees; one side was left untreated and the other received a TEC from either DP (n = 7) or SM (n = 7). An MRI assessed the morphology using the MOCART scoring system, T2 mapping evaluated water, and collagen fiber composition, and histological analysis was performed using the ICRS-2 score. Results: The untreated group had a mean MOCART value of 46.2 ± 13.4, while the SM-treated group was 65.7 ± 15.5 (p < 0.05) and the DP-treated group was 59.0 ± 7.9 (n.s.). The T2 mapping indicated a mean value of T2 of 54.9 ± 1.9 for native cartilage, with the untreated group at 50.9 ± 2.4 (p < 0.05). No difference was found between the T2 value of native cartilage and the treated groups. The ICRS-2 mean values were 42.1 ± 14.8 for the untreated group, 64.3 ± 19.0 for SM (p < 0.05), and 54.3 ± 12.2 for DP (n.s.). Conclusion: MRI and histological analysis indicated that TEC treatment led to superior cartilage coverage and quality compared to the defect group. TECs from SM demonstrated better results than the defect group in the histological assessment.
1. Introduction
Cartilage injuries and osteoarthritis are prevalent issues that pose significant public health challenges, leading to considerable disability and economic burdens on healthcare systems, particularly as the elderly population grows [1]. Cartilage defects can cause several complications for the individual, such as changes in the biomechanics and homeostasis of the joint, damage to the adjacent subchondral bone, decreased mobility, degeneration, and knee osteoarthritis directly affecting the quality of life. Thus, the study of new therapies for cartilage lesions is of high clinical relevance [2,3].
In recent decades, tissue engineering has emerged as a multidisciplinary field, and central to this approach is the use of mesenchymal stromal cells (MSCs), which have gained significant attention due to their ease of collection, capacity for cell proliferation and differentiation, and immunomodulatory properties that help regulate the local environment of the articular joint. These cells can be isolated from various tissues, including adipose tissue, bone marrow, synovial membrane, and dental pulp [4,5]. However, dental pulp stromal cells (DPSCs) and synovial membrane stromal cells (SMSCs) are alternatives that can be obtained from procedures the patient would already undergo, such as routine arthroscopy for SMSCs or from less invasive procedures which can be performed by a dentist for DPSCs.
Bueno et al., 2018 [6] showed that DPSCs can differentiate into chondroblasts, making them promising candidates for treating cartilage injuries, and demonstrate greater proliferative and immunomodulatory capacity in comparison to bone marrow MSCs [6]. Fernandes et al., 2018 [7] demonstrated that SMSCs exhibit high chondrogenic potential and can be harvested with minimal complications [7,8].
Furthermore, when it comes to local cell delivery, a scaffold-free technology known as a tissue engineering construct (TEC) has been considered as a potential delivery system [5]. Therefore, the hypothesis of the study is that treatment with a TEC offers superior outcomes compared to the conventional method of preparing cartilage defects and disrupting the calcified cartilage layer.
This translational study with medium-sized pigs aims to compare cartilage restoration using MSCs derived from both the synovial membrane (SM) and dental pulp (DP), by tissue engineered treatment using the Good Manufacturing Practices techniques [9].
Nowadays, there is a gap of current therapies or active pharmaceutical ingredients for osteoarthritis treatment. Tissue engineering can promote the repair of chondral injuries and is dependent on selecting appropriate cells. In this article, histological and image evaluation were applied to compare the cartilage restoration by tissue engineering and cell therapy from mesenchymal stromal cells derived from the synovial membrane and dental pulp. Mesenchymal stromal cells can be collected through outpatient procedures performed by dentists, or through standard surgical procedures that are already part of the patient’s routine care. The impact of this study is to determine the optimal harvesting method for obtaining these stromal cells to advance tissue engineering for cartilage repair in humans.
2. Methods
2.1. Experimental Design
This controlled experimental study involved 14 Brazilian miniature pigs, all of which had a skeletal age indicative of sexual maturity ranging from 8 to 12 months and weighed between 19 and 22 kg (Minipig Pesquisa e Desenvolvimento, Ltda., Campina do Monte Alegre, SP, Brazil). A total of 28 surgeries were performed, considering the two posterior knees of each animal. Outcomes were assessed 6 months after surgery.
The project received approval from the Ethics and Scientific Committee of the Hospital das Clínicas, University of São Paulo (protocol: CAPPesq nº 15428, IOT nº 1216) and by the Ethics Committee on the Use of Animals of the Hospital Sírio Libanês (approval number: CEUA P 2017–05). All patients signed informed consent forms for dental pulp and synovial and fat-pad discarded tissue usage in the research [10].
2.2. Harvesting, Isolation, and Expansion of MSCs
MSCs were harvested from the synovial tissue of human knees and the dental pulp of deciduous teeth.
The synovial tissue was collected from the knees of seven patients undergoing arthroscopic procedures for injuries related to the anterior cruciate ligament or meniscus. Exclusion criteria encompassed patients with a previous history of surgery, infection, or inflammatory arthritis, and pregnant women [7].
A sample weighing up to 1g was placed in a 50 mL Falcon tube filled with a 0.9% saline solution and was promptly sent to the Cell Processing Laboratory at Hospital Sírio Libanês (São Paulo, Brazil), where it was processed within six hours of collection [7]. Each sample was washed twice in a saline solution containing 4% penicillin-streptomycin. Digestion was carried out using 0.2% Collagenase NB 4G Proved Grade (Serva Electrophoresis, Heidelberg, Germany) for 90 min at 37 °C. The process was concluded by adding 4 mL of Dulbecco’s Modified Eagle Medium/Nutrient Mixture F-12 (DMEM/F-12; Gibco Invitrogen, Grand Island, NY, USA) supplemented with 15% fetal bovine serum (FBS; HyClone Cytiva, Wilmington, DE, USA) and centrifuging at 1500 rotations per minute for 5 min. The sample was then diluted in DMEM/F-12 with fetal bovine serum before plating the cells in a 25 cm2; cell culture flask.
The dental pulp was obtained from the deciduous teeth of seven healthy children (five boys and two girls, aged 7 to 9) who naturally lost their teeth, which were destined for disposal. The tissue was stored in a vial identified with patient data. The samples were added to a sterile collector with 2 mL of DMEM-F12 solution (Dulbecco’s Modified Eagle Medium/Nutrient Mixture F-12–Gibco Invitrogen, Grand Island, NY, USA) supplemented with 100 IU/mL of penicillin-streptomycin (Penicillin-Streptomycin; Gibco Invitrogen, Grand Island, NY, USA). The samples were also sent to the Cell Processing Laboratory at Hospital Sírio Libanês (São Paulo, Brazil) and processed on average 15 h after collection [9].
In the laboratory, dental pulp samples were rinsed twice in saline and digested with 1 mg/mL TrypLE (Gibco Invitrogen, Grand Island, NY, USA) in phosphate-buffered saline (PBS, pH 7.4) for 30 min at 37 °C. After digestion, samples were centrifuged for 5 min and then fragmented with a sterile scalpel. Each fragment was placed in a separate well of a 12-well plate and immersed in a basal medium consisting of DMEM/F-12 (Gibco Invitrogen, Grand Island, NY, USA) with 15% fetal bovine serum (FBS; HyClone Cytiva, Wilmington, DE, USA) and non-essential amino acids (MEM; Gibco Invitrogen, Grand Island, NY, USA). Samples were maintained at 37 °C with 5% CO2 in a humidified incubator.
The MSCs were cultured until they achieved 70% to 80% confluence of the entire area of the culture plate. Once this confluence was attained, the MSCs were expanded to reach the necessary quantity for the experiment [9]
The MSC samples were processed, cultured, and plated in accordance with Good Manufacturing Practice (GMP) techniques for human usage, following the directives elaborated by the national regulatory authority, ANVISA [9].
2.3. Characterization of MSCs
The characterization of SMSCs and DPSCs was conducted using flow cytometry on cells between their fourth and fifth passages. Specific monoclonal antibodies were applied, such as CD29-PE, CD44-PE, CD73-FITC, CD90-FITC, CD105-PE, CD166-PE, CD31-FITC, CD34-FITC, and CD45-PE (BD Biosciences, Franklin Lakes, NJ, USA). Analyses included an appropriate isotype-matched control antibody. Flow cytometry data were gathered using a FACSCalibur flow cytometer (BD Biosciences) and processed with Cell Quest Software version 3.3 (BD Biosciences, Franklin Lakes, NJ, USA) [7,9].
The MSC strains at passage four or five were induced in vitro to undergo osteogenic, chondrogenic, and adipogenic differentiation using the specific StemPro Differentiation Kits (Gibco Invitrogen, Grand Island, NY, USA) for osteogenesis, chondrogenesis, and adipogenesis. Media were prepared according to the manufacturer’s datasheets for each differentiation type. After a few days, staining was observed under an Olympus CK40 optical microscope (Figure 1) [10].
Figure 1.
Cell differentiation: (A) Osteogenic differentiation visualized with Alizarin Red S staining (21 days), (B) adipogenic differentiation visualized with Oil Red O staining (18 days), and (C) chondrogenic differentiation visualized with Alcian Blue 8G staining (21 days), with respective controls shown below. Images acquired via optical microscopy (EVOS XL Cell Imaging System).
2.4. TEC Development
After cell culture, the SMSCs and DPSCs were plated on a 12-well culture dish at a density of 4.0 × 105 cells/cm2 in a culture medium with 0.2 mM ascorbic acid 2-phosphate (Asc-2P; Sigma-Aldrich, St. Louis, MO, USA). After approximately 15 days, the cell constructs and extracellular matrix synthesized by themselves were detached from the substrate by applying shear stress using a pipette. The separate constructs were left in suspension to form a three-dimensional structure by active tissue contraction. This tissue was called a tissue engineering construct, TEC, and was composed of cells and an extracellular matrix (Figure 2) [5].
Figure 2.
Three confluent tissue engineering construct samples after 15 days of culture forming a three-dimensional structure.
2.5. Animal Model and Surgical Technique
This study utilized 14 female miniature pigs, identified as BR-1. The animals were adult females and had an average weight of 28.5 kg and a standard deviation (SD) of 2.6. The average age of the animals at the time of surgery was 11.2 months, with a SD of 0.8. [10].
Data concerning the animals’ characteristics, care, and procedures were gathered in accordance with the ARRIVE Guidelines Checklist [11] and were stored in a digital repository called REDCAP [12].
The animals were induced for general anesthesia and placed on the operating table. At the time of surgery and in a randomized manner, the surgeon was informed which side would receive the TEC, and which would only have a defect [10].
A full-thickness cartilage defect, with a diameter of 6 mm (Figure 3), was created in the weight-bearing region of the medial femoral condyle on both hind limbs of each pig. Subsequently, the TEC was inserted into the defect [13].
Figure 3.
Full-thickness cartilage defect measuring 6 mm in the medial femoral condyle of the right knee’s hind limb.
In the control group, a treatment commonly used in surgical procedures to promote cartilage regeneration was performed. This approach involved preserving the native cartilage at a 90-degree orientation and curettage of the calcified cartilage layer to stimulate localized bleeding and fibroblast tissue formation. This protocol is frequently proposed in the literature for the treatment of cartilage defects.
The animals were treated post-operatively. At 6 months after surgery, the animals were euthanized and the hind limbs were disarticulated [10].
2.6. Evaluation Methods
2.6.1. Magnetic Resonance Imaging
Imaging was conducted using a 7 Tesla high-field magnetic resonance imaging (MRI) scanner (Magnetom 7 Tesla, Siemens Healthcare, Forchheim, Germany), equipped with a head coil featuring 1 transmission channel and 32 receiving channels (Nova Medical, Inc. Wilmington, MA, USA), at the PISA Project (Faculdade de Medicina USP, São Paulo, Brazil). Images were acquired from both knees of the 14 pigs using two distinct sequences [14,15].
The first sequence performed was the 3D double echo steady state (3D-DESS) for morphological evaluation. The parameters applied were the following: repetition time (TR) = 12.2 ms, echo time (TE) = 4.1 ms, fractional anisotropy (FA) = 25º, voxel = 0.4 × 0.4 × 0.4 mm3, field-of-view (FoV) = 192 × 256 mm, slice thickness 0.4 mm, acquisition time 10:52 min) [14,15].
For these acquired images, sagittal and coronal views were used and articular cartilage repair tissue was evaluated using Magnetic Resonance Observation of Cartilage Repair Tissue (MOCART) 3D score. The score uses 11 categories to classify cartilage repair, ranging from 0 (no repair) to 100 points (complete repair of the cartilage defect).
The second sequence was the spin-echo with multi-echo to evaluate the water and collagen fiber composition of the cartilage based on T2 mapping creation using ImageJ software version 1.53 (National Institutes of Health). The parameters were the following: TR = 10,000 ms, 18 echoes, TE = 9/18/27/336/45/54/63/72/81/90/99/108/117/126/135/144/153/162; voxel = 0.6 × 0.6 × 2.0 mm3, FoV 93 × 229 mm, slice thickness 2.0 mm, acquisition time 18:44 min) [16,17].
For these acquired images, three consecutive sagittal sections were selected from each knee. In each section, one area of interest was selected representing the cartilage defect untreated and treated with the implantation of the TEC, and another was selected representing the intact chondral tissue (adjacent cartilage). After selecting the areas, the average T2 value was measured in each section of each knee, considering the native cartilage, groups treated with MSCs from SM and DP, and untreated groups [16,17].
Another assessment was carried out using the mean T2 value measurement of the deep and superficial areas of the previously selected areas of interest [17].
2.6.2. Histological Evaluation
After MRI evaluation, both knees were dissected and subjected to histological evaluation in order to analyze the quality of the cartilage repair. A block around the defect measuring approximately 1.5 × 1.5 × 1.5 cm was cut and the tissue was fixed in 4% paraformaldehyde (PFA) and decalcified with ethylenediamine tetra-acetic acid (EDTA). The sections were prepared with a thickness of 4 μm and stained with hematoxylin and eosin (HE). Two sections from each animal were stained with toluidine blue to evaluate the color concentration of the extracellular matrix [18].
The ICRS-2 scoring system (Table 1) was used to assess the articular cartilage repair tissue and assigned a score for each of the 14 categories evaluated in the system, from 0 (worst result) to 100 points (best result). This evaluation was performed on the defect-only, SM treatment and DP treatment groups.
Table 1.
ICRS-2 scoring system for histological assessment of cartilage tissue repair. Adapted from Mainil-Varlet et al., 2010 [18].
2.7. Statistical Analysis
Quantitative variables with normal distribution were described by measures of central tendency and dispersion (mean and standard deviation).
ANOVA analyses followed by post hoc Bonferroni were used to compare the values obtained from the MOCART 3D system score and the ICRS-2 score. This test was used as the knees compared were from the same pigs and were subjected to the same external stimuli.
ANOVA analyses were also used to compare the mean T2 values of the areas of interest, chondral defect and adjacent cartilage, and the T2 values from the deep and superficial regions in each area.
The correlation between the different scoring systems (MOCART and ICRS-2) was measured with the Pearson correlation coefficient. The Software Sigmaplot version 15.0 (Systat Software, Inc., San Jose, CA, USA) was used in the calculations. The level of statistical significance adopted was equal to 5%; that is, the test results were considered statistically significant when p < 0.05.
3. Results
3.1. Characterization of MSC Strains
The cell characterization by flow cytometry and in vitro induction confirmed the multipotentiality of cells derived from the SM and DP, since they differentiated into osteogenic, chondrogenic, and adipogenic strains. In addition, MSCs showed positive reactions for mesenchymal markers (CD29, CD44, CD73, CD105, CD90, and CD166) and negative reactions to hematopoietic (CD34 and CD45) and endothelial markers (CD31) (Figure 4 and Table 2).
Figure 4.
Flow cytometry analysis showing positive reactions to mesenchymal markers (CD29, CD73, CD105, CD44, CD90, and CD166) and negative reactions to hematopoietic (CD34 and CD45). In purple, the cell population that presents the respective marker.
Table 2.
Characterization of synovial membrane mesenchymal stromal cells with percentages of positive and negative surface markers.
3.2. Macroscopic Characterization
A macroscopic evaluation was conducted to visually assess the repair quality of the cartilage defect, focusing on surface appearance, tissue integration, and color match with surrounding cartilage.
As observed in Figure 5, untreated cartilage defects displayed limited tissue coverage (Figure 5A). In contrast, cartilage defects treated with a TEC seeded with MSCs demonstrated nearly complete coverage of the defect (Figure 5B).
Figure 5.
Cartilage defect 6 months after surgery, arrows indicate the region where the defect was made. (A) Defect-only (solid arrow); (B) defect treated with a tissue engineering construct (TEC) (dashed arrow).
3.3. Magnetic Resonance Imaging
Morphological assessment of cartilage repair with the MOCART 3D score showed that cartilage repair in knees subjected only to the cartilage defect presented a mean MOCART value of 46.2 with a standard deviation of 13.4. The group treated with a TEC from SM had a mean MOCART value of 65.7 with a standard deviation of 15.5 (p < 0.05), while the mean value obtained was 59.0 with a standard deviation of 7.9 with a TEC from the DP (Figure 6).
Figure 6.
Overall assessment score values in MOCART 3D score for the defect-only (untreated), dental pulp treatment, and synovial treatment groups, showing a significant difference * (p < 0.05) between the defect-only group and the group treated with a TEC from the synovial.
Cartilage composition was assessed with T2 mapping, showing a mean value of T2 of 54.9 with a standard deviation of 1.9 in the native cartilage. The untreated group exhibited a mean T2 value of 50.9 with a standard deviation 2.4 (p < 0.05). No difference was found between the native cartilage and the treated groups. The mean T2 value from the group treated with a TEC from the SM was 54.31 with a standard deviation of 2.07, and from the DP was 54.54 with a standard deviation of 1.47 (Figure 7).
Figure 7.
Mean T2 values of the groups from native (adjacent cartilage), defect-only (untreated), dental pulp treatment, and synovial treatment groups. There was a significant difference * (p < 0.05) between native cartilage and defect-only groups.
When measuring the T2 value by zones of the native cartilage and in the groups that received treatment with a TEC of the PD and SM, there was a decrease comparing the value of the superficial zone and the value of the deep zone. On the other hand, when analyzing the defect group, there was a small increase from the superficial zone to the deep zone, with no significant difference.
The T2 value (mean ± standard deviation) obtained in the superficial zone of the native cartilage (n = 12) was 59.3 ± 2.4 and in the deep zone was 50.7 ± 2.9 (p < 0.001). Considering the DP group (n = 6), the mean T2 value was 57.5 ± 2.7 for the superficial zone and 51.6 ± 2.0 for the deep zone (p < 0.05). For the SM group (n = 6), the mean T2 value was 57.1 ± 3.9 for the superficial zone and 51.5 ± 2.0 for the deep zone (p < 0.05). The defect group (n = 12) presented a mean T2 value of 50.5 ± 4.9 for the superficial zone and 51.4 ± 2.6 for the deep zone.
3.4. Histological Evaluation
The quality of the tissue and its intrinsic characteristics were assessed by the ICRS-2 score system (Table 3). The untreated group presented a mean value 42.1 with a standard deviation of 14.8. The group with a TEC from SM had a significant difference in comparison to the untreated group and presented a mean value of 64.3 with a standard deviation of 19.0 (p < 0.05). The group with a TEC from DP presented a mean value of 54.3 with a standard deviation of 12.2 (Figure 8, Figure 9 and Figure 10).
Table 3.
ICRS-2 parameters from dental pulp, synovial membrane, and control groups.
Figure 8.
Mean value of overall assessment of cartilage repair using the ICRS-2 histological score for the defect-only (untreated), dental pulp treatment, and synovial treatment groups. A significant difference * (p < 0.05) was found between the defect-only group and the group treated with a TEC from synovial membrane.
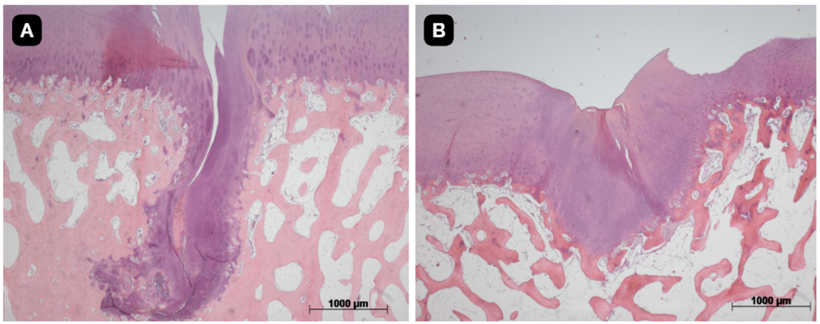
Figure 9.
Histological evaluation of (A) defect-only in posterior knee; (B) defect treated with a TEC from synovial membrane in posterior knee.
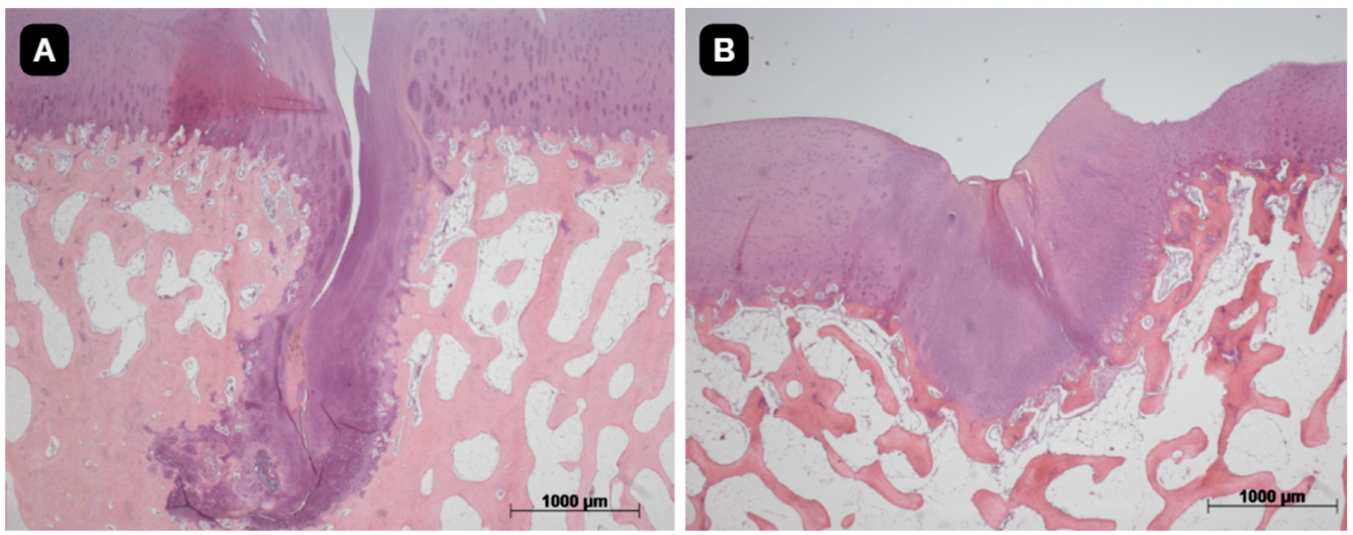
Figure 10.
Histological evaluation of (A) defect-only in posterior knee; (B) defect treated with a TEC from dental pulp in posterior knee.
4. Discussion
This preclinical study compares cartilage restoration using a scaffold-free tissue engineering construct (TEC) between SM- and DP-derived MSCs. The defect created in this study replicates a focal cartilage injury in the knee, and the miniature pig model closely resembles the human knee. This model is widely used in the literature, given its high relevance for clinical translation in treating knee cartilage defects [19]. It showed better results in the SM group compared to the control in MRI and histological analysis. Additionally, the SM group outperformed the dental pulp (DP) group in MRI assessments.
Mei et al., 2024 [20] highlight the immunosuppressive properties of MSCs, in agreement with what was proven by Li et al., 2009 [21] and other authors, in which human MSCs elicited no immune reactions in miniature pigs, supporting the viability of using heterogeneous cells between species. In addition, Ando et al., 2008 [5] and Shimomura et al. (2010) [22] first reported the feasibility of creating scaffold-free approaches for chondral repair in a swine model using MSCs from the SM. In contrast, the present study is known to be the first to use MSCs from DP and SM to create the TEC and to report the data from histological and imaging evaluation.
Magnetic resonance imaging (MRI) is a non-invasive tool for assessing hyaline cartilage quality, enabling the translation of animal model findings into clinical studies. A pilot study by Shimomura et al., 2023 [23] reported sustained improvements in clinical outcomes and MRI findings five years post-implantation of the TEC, with a mean MOCART 3D score (mean ± standard deviation) of 82.0 ± 13 in the group treated with a TEC. While this score decreased slightly from the two-year follow-up, it increased compared to the six-month follow-up, indicating ongoing efficacy. No control group was used [24].
In the present study, the TEC-treated group also showed significant improvements over the defect-only group, particularly with MSCs derived from the SM. However, the average value of the MOCART 3D score was lower, 65.7 from the SM and 59.0 from the DP, potentially due to the shorter six-month evaluation period compared to the five-year follow-up of Shimomura et al., 2023 [23].
MRI is sensitive to specific changes in the chemical composition and structure of cartilage even before severe morphological changes, and T2 mapping is a technique to assess this aspect and complement morphological evaluation [15,25,26]. In the current study, similar to Theruvath et al., 2021 [27] and Shimomura et al., 2018 [24], significant differences in T2 values were observed between the defect-only and healthy cartilage groups. Shimomura et al., 2018 [24] also demonstrated that T2 values change over time, correlating with the maturation of repair tissue at 6- and 24-weeks post-surgery. Additionally, in the present study, the mean T2 values between native cartilage and the tissue formed by TEC from both groups were comparable after 6 months, suggesting similar tissue compositions.
Variations in T2 values across different cartilage zones reflect compositional differences; higher T2 values in the superficial zone indicate increased water content. This pattern aligns with findings by White et al., 2006 [17] who noted higher T2 values in the superficial regions of equine cartilage, and the present study with groups from native cartilage and TEC treatment derived from DP and SM. Notably, Shimomura et al., 2018 [24] did not observe significant differences in T2 values across various zones, which contrasted with histological assessments.
Histological analysis serves as a valuable complement to cartilage imaging evaluations, offering insights into the intrinsic characteristics and quality of the tissue [14]. Ando et al., 2007 [28] evaluated the histology based on the ICRS-1 in a swine model that received TEC from DP-derived MSCs, and similarly to the present study, the histological repair score in the intervention group was significantly better compared to the defect-only group. Similarly, Shimomura et al., 2018 [24] evaluated repair tissue histology using the ICRS-2 score in patients who underwent TEC treatment, reporting a mean score of 80.0 ± 11.0, although no control group was included.
In the current study, the average ICRS-2 score for the DP-treated group was 54.2 ± 16.1, and for the SM-treated group, it was 64.2 ± 19.0 (p < 0.05), significantly better than the defect group’s score of 42.1 ± 14.7. These differences may be attributed to the evaluation timeline, as the present study assessed tissue at six months post-surgery compared to the 48 weeks used by Shimomura et al., 2018 [24]. Additionally, Gardner et al., 2019 [29] investigated tissue engineering interventions and employed the ICRS-2 scoring system, noting no significant differences at six weeks post-surgery, but significant improvements observed at twelve weeks.
DP-derived MSCs have shown promise for various applications, particularly in treating bone conditions like alveolar clefts [6,9,30]. These cells are easy to collect and can be obtained with minimal donor site morbidity and iatrogenic damage. While some studies have explored their potential for cartilage repair, a comparative analysis of dental pulp-derived MSCs (DPSCs) and synovial membrane-derived MSCs (SMSCs) remains lacking for cartilage injuries and osteoarthritis use [31,32,33]. Additionally, Xu et al., 2023 [34] indicated that SMSCs enhance MRI indices and histological scores, and their use with scaffold-free constructs for cartilage repair is safe and effective, leading to reduced pain, improved function, and higher quality of life and clinical outcomes, which corroborates to the results obtained in this study [34].
One of the limitations of this study is the absence of male animal models. It was decided to use female animals in the research project as part of the strategy to characterize the presence of donor cells.
This translational study presented an active pharmaceutical ingredient derived from tissue engineering therapeutic option known as TEC, for a highly prevalent condition with a high impact on public health. As it does not require an external scaffold, it is safer and can reduce the costs of treating cartilage injuries. As future steps, phase I/II and “first in human” clinical trials may be carried out.
5. Conclusions
TEC derived from SM led to superior cartilage coverage and quality compared to the defect group in MRI and histological analysis. In the MRI assessment, both DP and SM groups showed better results in comparison to the defect group. In the histological assessment, TEC from SM demonstrated better results than the defect group and had no difference to the treatment with a TEC from the DP.
Author Contributions
Conceptualization, T.L.F. and D.F.B.; Methodology, T.L.F., J.P.C.S., R.R.d.F. and D.F.B.; Validation, T.L.F., J.P.C.S., R.R.d.F., D.F.B. and A.J.H.; Formal analysis, T.L.F., J.P.C.S., R.R.d.F. and D.F.B.; Investigation, T.L.F., J.P.C.S., R.R.d.F. and D.F.B.; Resources, D.F.B.; Data curation, J.P.C.S., R.R.d.F. and E.R.P.; Writing—original draft, T.L.F. and R.R.d.F.; Writing—review and editing, T.L.F., J.P.C.S., E.R.P., D.F.B. and A.J.H.; Supervision, T.L.F., R.R.d.F. and A.J.H.; Project administration, T.L.F. All authors have read and agreed to the published version of the manuscript.
Funding
This study was supported by Fundação de Amparo à Pesquisa do Estado de São Paulo (FAPESP–Process 2017/05774-5), Coordenação de Aperfeiçoamento de Pessoal de Nível Superior (CAPES–Process 88881.171651/2018- 01), a grant from the International Society of Arthroscopy, Knee Surgery, and Orthopaedic Sports Medicine and the Orthopaedic Research and Education Foundation (ISAKOS Osteoarthritis Grant-2018), Sírio-Libanês Hospital, and IOT HC-FMUSP (Hospital das Clı’nicas, Faculdade de Medicina da USP).
Institutional Review Board Statement
The project received approval from the Ethics and Scientific Committee of the Hospital das Clínicas, University of São Paulo (protocol: CAPPesq nº 15428, IOT nº 1216, 22/04/2019)) and by the Ethics Committee on the Use of Animals of the Hospital Sírio Libanês (approval number: CEUA P 2017–05; 31/10/2017).
Informed Consent Statement
Informed consent was obtained from all subjects involved in the study.
Data Availability Statement
The data presented in this study are available on request from the corresponding author due to privacy reasons.
Conflicts of Interest
The authors declare no conflicts of interest.
References
- Allen, K.D.; Thoma, L.M.; Golightly, Y.M. Epidemiology of osteoarthritis. Osteoarthr. Cartil. 2022, 30, 184–195. [Google Scholar] [CrossRef] [PubMed] [PubMed Central]
- Gomoll, A.H.; Madry, H.; Knutsen, G.; van Dijk, N.; Seil, R.; Brittberg, M.; Kon, E. The subchondral bone in articular cartilage repair: Current problems in the surgical management. Knee Surg. Sports Traumatol. Arthrosc. 2010, 18, 434. [Google Scholar] [CrossRef] [PubMed]
- Showery, J.E.; Kusnezov, N.A.; Dunn, J.C.; Bader, J.O.; Belmont, P.J.; Waterman, B.R. The rising incidence of degenerative and posttraumatic osteoarthritis of the knee in the United States military. J. Arthroplast. 2016, 31, 2108. [Google Scholar] [CrossRef] [PubMed]
- Zhou, J.; Shi, Y. Mesenchymal stem/stromal cells (MSCs): Origin, immune regulation, and clinical applications. Cell Mol. Immunol. 2023, 20, 555–557. [Google Scholar] [CrossRef]
- Ando, W.; Tateishi, K.; Katakai, D.; Hart, D.A.; Higuchi, C.; Nakata, K.; Hashimoto, J.; Fujie, H.; Shino, K.; Yoshikawa, H.; et al. In vitro generation of a scaffold-free tissue-engineered construct (TEC) derived from human synovial mesenchymal stem cells: Biological and mechanical properties and further chondrogenic potential. Tissue Eng. Part A 2008, 14, 2041. [Google Scholar] [CrossRef]
- Bueno, D.F. Bone Tissue Engineering with Dental Pulp Stem Cells for Alveolar Cleft Repair. Clinicaltrials.gov. Available online: https://clinicaltrials.gov/study/NCT03766217?cond=Alveolar+Cleft+Repair&term=bueno&rank=1 (accessed on 24 November 2024).
- Fernandes, T.L.; Kimura, H.A.; Pinheiro, C.C.G.; Shimomura, K.; Nakamura, N.; Ferreira, J.R.; Gomoll, A.H.; Hernandez, A.J.; Bueno, D.F. Human synovial mesenchymal stem cells good manufacturing practices for articular cartilage regeneration. Tissue Eng. Part C Methods 2018, 24, 709. [Google Scholar] [CrossRef]
- Kubosch, E.J.; Lang, G.; Furst, D.; Kubosch, D.; Izadpanah, K.; Rolauffs, B.; Sudkamp, N.P.; Schmal, H. The potential for synovium-derived stem cells in cartilage repair. Curr. Stem Cell Res. Ther. 2018, 13, 174. [Google Scholar] [CrossRef]
- Pinheiro, C.C.; Leyendecker Junior, A.; Tanikawa, D.Y.; Ferreira, J.R.M.; Jarrahy, R.; Bueno, D.F. Is there a noninvasive source of MSCs isolated with GMP methods with better osteogenic potential? Stem. Cells Int. 2019, 2019, 1. [Google Scholar] [CrossRef]
- SantAnna, J.P.; Faria, R.R.; Assad, I.P.; Pinheiro, C.C.; Aiello, V.D.; Albuquerque-Neto, C.; Bortolussi, R.; Cestari, I.A.; Maizato, M.J.; Hernandez, A.J.; et al. Tissue Engineering and Cell Therapy for Cartilage Repair: Preclinical Evaluation Methods. Tissue Eng. Part C Methods 2022, 28, 73–82. [Google Scholar] [CrossRef] [PubMed]
- Kilkenny, C.; Browne, W.; Cuthill, I.C.; Emerson, M.; Altman, D.G. and NC3Rs Reporting Guidelines Working Group. Animal research: Reporting in vivo experiments: The ARRIVE guidelines. Br. J. Pharmacol. 2010, 160, 1577. [Google Scholar] [CrossRef]
- Harris, P.A.; Taylor, R.; Thielke, R.; Payne, J.; Gonzalez, N.; Conde, J.G. Research electronic data capture (REDCap)—A metadata-driven methodology and workflow process for providing translational research informatics support. J. Biomed. Inform. 2009, 42, 377. [Google Scholar] [CrossRef] [PubMed]
- Murray, M.M. The effect of skeletal maturity on functional healing of the anterior cruciate ligament. J. Bone Jt. Surg. 2010, 92, 2039. [Google Scholar] [CrossRef] [PubMed]
- Goebel, L.; Zurakowski, D.; Müller, A.; Pape, D.; Cucchiarini, M.; Madry, H. 2D and 3D MOCART scoring systems assessed by 9.4T high-field MRI correlate with elementary and complex histological scoring systems in a translational model of osteochondral repair. Osteoarthr. Cartil. 2014, 22, 1386–1395. [Google Scholar] [CrossRef] [PubMed]
- Trattnig, S.; Domayer, S.; Welsch, G.W.; Mosher, T.; Eckstein, F. MR imaging of cartilage and its repair in the knee—A review. Eur. Radiol. 2009, 19, 1582–1594. [Google Scholar] [CrossRef]
- Domayer, S.E.; Kutscha-Lissberg, F.; Welsch, G.; Dorotka, R.; Nehrer, S.; Gäbler, C.; Mamisch, T.C.; Trattnig, S. T2 mapping in the knee after microfracture at 3.0 T: Correlation of global T2 values and clinical outcome—Preliminary results. Osteoarthr. Cartil. 2008, 16, 903–908. [Google Scholar] [CrossRef][Green Version]
- White, L.M.; Sussman, M.S.; Hurtig, M.; Probyn, L.; Tomlinson, G.; Kandel, R. Cartilage T2 assessment: Differentiation of normal hyaline cartilage and reparative tissue after arthroscopic cartilage repair in equine subjects. Radiology 2006, 241, 407–414. [Google Scholar] [CrossRef]
- Mainil-Varlet, P.; Van Damme, B.; Nesic, D.; Knutsen, G.; Kandel, R.; Roberts, S. A new histology scoring system for the assessment of the quality of human cartilage repair: ICRS II. Am. J. Sports Med. 2010, 38, 880–890. [Google Scholar] [CrossRef]
- Meng, X.; Ziadlou, R.; Grad, S.; Alini, M.; Wen, C.; Lai, Y.; Qin, L.; Zhao, Y.; Wang, X. Animal Models of Osteochondral Defect for Testing Biomaterials. Biochem. Res. Int. 2020, 2020, 9659412. [Google Scholar] [CrossRef] [PubMed] [PubMed Central]
- Mei, R.; Wan, Z.; Yang, C.; Shen, X.; Wang, R.; Zhang, H.; Yang, R.; Li, J.; Song, Y.; Su, H. Advances and clinical challenges of mesenchymal stem cell therapy. Front. Immunol. 2024, 15, 1421854. [Google Scholar] [CrossRef]
- Li, W.-J.; Chiang, H.; Kuo, T.-F.; Lee, H.-S.; Jiang, C.-C.; Tuan, R.S. Evaluation of articular cartilage repair using biodegradable nanofibrous scaffolds in a swine model: A pilot study. J. Tissue Eng. Regen. Med. 2009, 3, 1–7. [Google Scholar] [CrossRef]
- Shimomura, K.; Ando, W.; Tateishi, K.; Nansai, R.; Fujie, H.; Hart, D.A.; Kohda, H.; Kita, K.; Kanamoto, T.; Mae, T.; et al. The influence of skeletal maturity on allogenic synovial mesenchymal stem cell-based repair of cartilage in a large animal model. Biomaterials 2010, 31, 8004–8011. [Google Scholar] [CrossRef] [PubMed]
- Shimomura, K.; Ando, W.; Hart, D.A.; Yonetani, Y.; Horibe, S.; Nakamura, N. Five-Year Outcomes After Implantation of a Scaffold-Free Tissue-Engineered Construct Generated from Autologous Synovial Mesenchymal Stromal Cells for Repair of Knee Chondral Lesions. Orthop. J. Sports Med. 2023, 11, 23259671231189474. [Google Scholar] [CrossRef] [PubMed] [PubMed Central]
- Shimomura, K.; Yasui, Y.; Koizumi, K.; Chijimatsu, R.; Hart, D.A.; Yonetani, Y.; Ando, W.; Nishii, T.; Kanamoto, T.; Horibe, S.; et al. First-in-Human Pilot Study of Implantation of a Scaffold-Free Tissue-Engineered Construct Generated from Autologous Synovial Mesenchymal Stem Cells for Repair of Knee Chondral Lesions. Am. J. Sports Med. 2018, 46, 2384–2393. [Google Scholar] [CrossRef] [PubMed]
- Crema, M.D.; Roemer, F.W.; Marra, M.D.; Burstein, D.; Gold, G.E.; Eckstein, F.; Baum, T.; Mosher, T.J.; Carrino, J.A.; Guermazi, A. Articular Cartilage in the Knee: Current MR imaging techniques and applications in clinical practice and research. Radiographics 2011, 31, 37–61. [Google Scholar] [CrossRef]
- Hayashi, D.; Li, X.; Murakami, A.M.; Roemer, F.W.; Trattnig, S.; Guermazi, A. Understanding Magnetic Resonance Imaging of Knee Cartilage Repair: A Focus on Clinical Relevance. Cartilage 2018, 9, 223–236. [Google Scholar] [CrossRef]
- Theruvath, A.J.; Mahmoud, E.E.; Wu, W.; Nejadnik, H.; Kiru, L.; Liang, T.; Felt, S.; Daldrup-Link, H.E. Ascorbic Acid and Iron Supplement Treatment Improves Stem Cell—Mediated Cartilage Regeneration in a Minipig Model. Am. J. Sports Med. 2021, 49, 1861–1870. [Google Scholar] [CrossRef]
- Ando, W.; Tateishi, K.; Hart, D.A.; Katakai, D.; Tanaka, Y.; Nakata, K.; Hashimoto, J.; Fujie, H.; Shino, K.; Yoshikawa, H.; et al. Cartilage repair using an in vitro generated scaffold-free tissue-engineered construct derived from porcine synovial mesenchymal stem cells. Biomaterials 2007, 28, 5462–5470. [Google Scholar] [CrossRef] [PubMed]
- Gardner, O.F.; Juneja, S.C.; Whetstone, H.; Nartiss, Y.; Sieker, J.T.; Veillette, C.; Keller, G.M.; Craft, A.M. Effective repair of articular cartilage using human pluripotent stem cell-derived tissue. Eur Cell Mater. 2019, 38, 215–227. [Google Scholar] [CrossRef] [PubMed]
- Bai, X.; Cao, R.; Wu, D.; Zhang, H.; Yang, F.; Wang, L. Dental Pulp Stem Cells for Bone Tissue Engineering: A Literature Review. Stem. Cells Int. 2023, 2023, 7357179. [Google Scholar] [CrossRef] [PubMed] [PubMed Central]
- Nowzari, F.; Zare, M.; Tanideh, N.; Meimandi-Parizi, A.; Kavousi, S.; Saneian, S.M.; Zare, S.; Koohi-Hosseinabadi, O.; Ghaemmaghami, P.; Dehghanian, A.; et al. Comparing the healing properties of intra-articular injection of human dental pulp stem cells and cell-free-secretome on induced knee osteoarthritis in male rats. Tissue Cell 2023, 82, 102055. [Google Scholar] [CrossRef] [PubMed]
- Fu, Y.; Cui, S.; Zhou, Y.; Qiu, L. Dental Pulp Stem Cell-Derived Exosomes Alleviate Mice Knee Osteoarthritis by Inhibiting TRPV4-Mediated Osteoclast Activation. Int. J. Mol. Sci. 2023, 24, 4926. [Google Scholar] [CrossRef] [PubMed] [PubMed Central]
- Lo Monaco, M.; Gervois, P.; Beaumont, J.; Clegg, P.; Bronckaers, A.; Vandeweerd, J.M.; Lambrichts, I. Therapeutic Potential of Dental Pulp Stem Cells and Leukocyte- and Platelet-Rich Fibrin for Osteoarthritis. Cells 2020, 9, 980. [Google Scholar] [CrossRef] [PubMed] [PubMed Central]
- Xu, X.; Xu, L.; Xia, J.; Wen, C.; Liang, Y.; Zhang, Y. Harnessing knee joint resident mesenchymal stem cells in cartilage tissue engineering. Acta Biomater. 2023, 168, 372–387. [Google Scholar] [CrossRef] [PubMed]
Disclaimer/Publisher’s Note: The statements, opinions and data contained in all publications are solely those of the individual author(s) and contributor(s) and not of MDPI and/or the editor(s). MDPI and/or the editor(s) disclaim responsibility for any injury to people or property resulting from any ideas, methods, instructions or products referred to in the content. |
© 2024 by the authors. Licensee MDPI, Basel, Switzerland. This article is an open access article distributed under the terms and conditions of the Creative Commons Attribution (CC BY) license (https://creativecommons.org/licenses/by/4.0/).









