Ingestion of Polyvinylchloride Powder Particles Induces Oxidative Stress and Hepatic Histopathological Changes in Oreochromis niloticus (Nile Tilapia)—A Preliminary Study
Abstract
Simple Summary
Abstract
1. Introduction
2. Materials and Methods
2.1. Specimens and Exposure Conditions
2.2. Biochemical Assays
2.2.1. Preparation of Tissue Homogenates, Catalase (CAT), and Glutathione Peroxidase (GPx)
2.2.2. Lipid Peroxidation
2.3. Histological Analysis
2.4. Statistical Analysis
3. Results
3.1. Enzymatic Activity
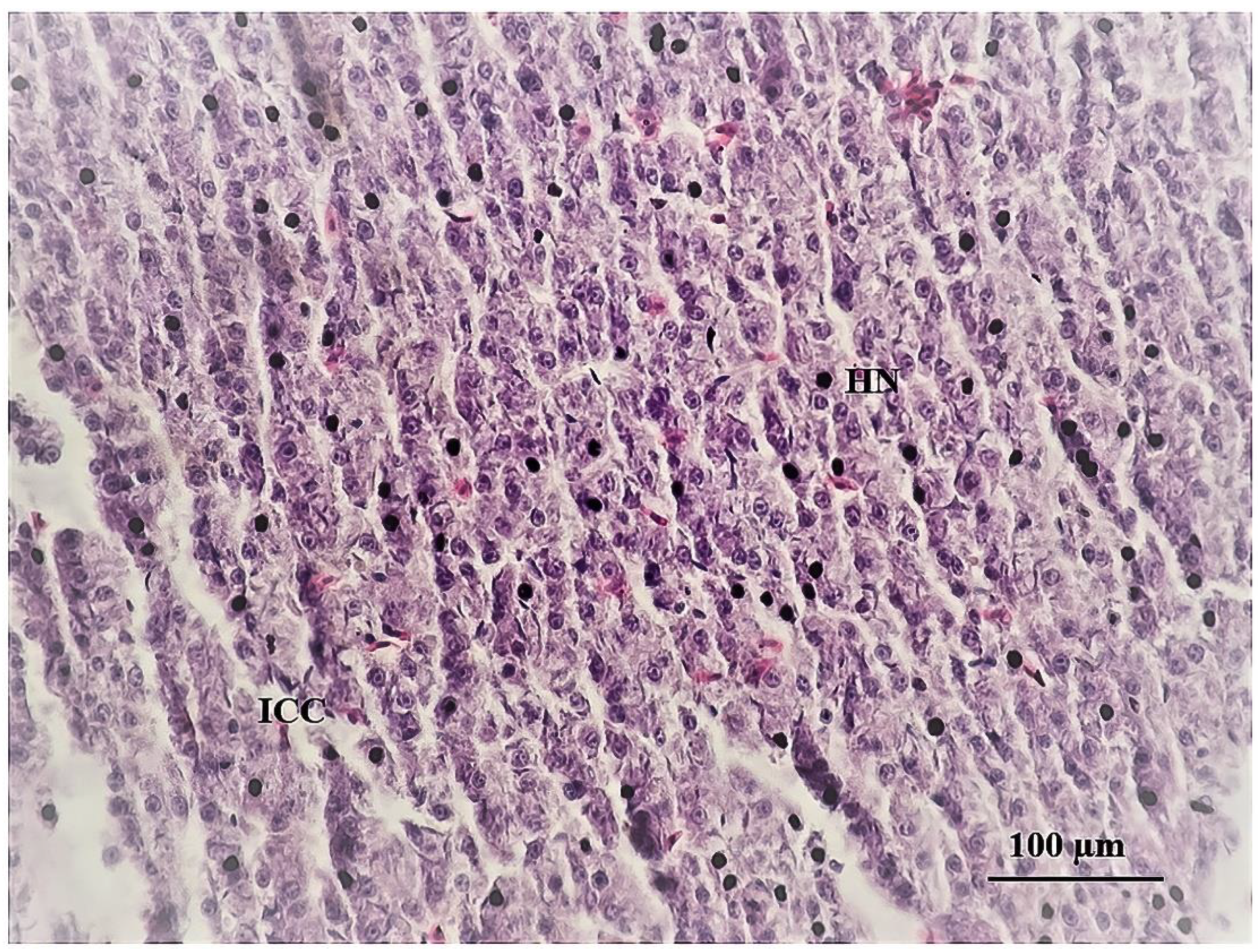
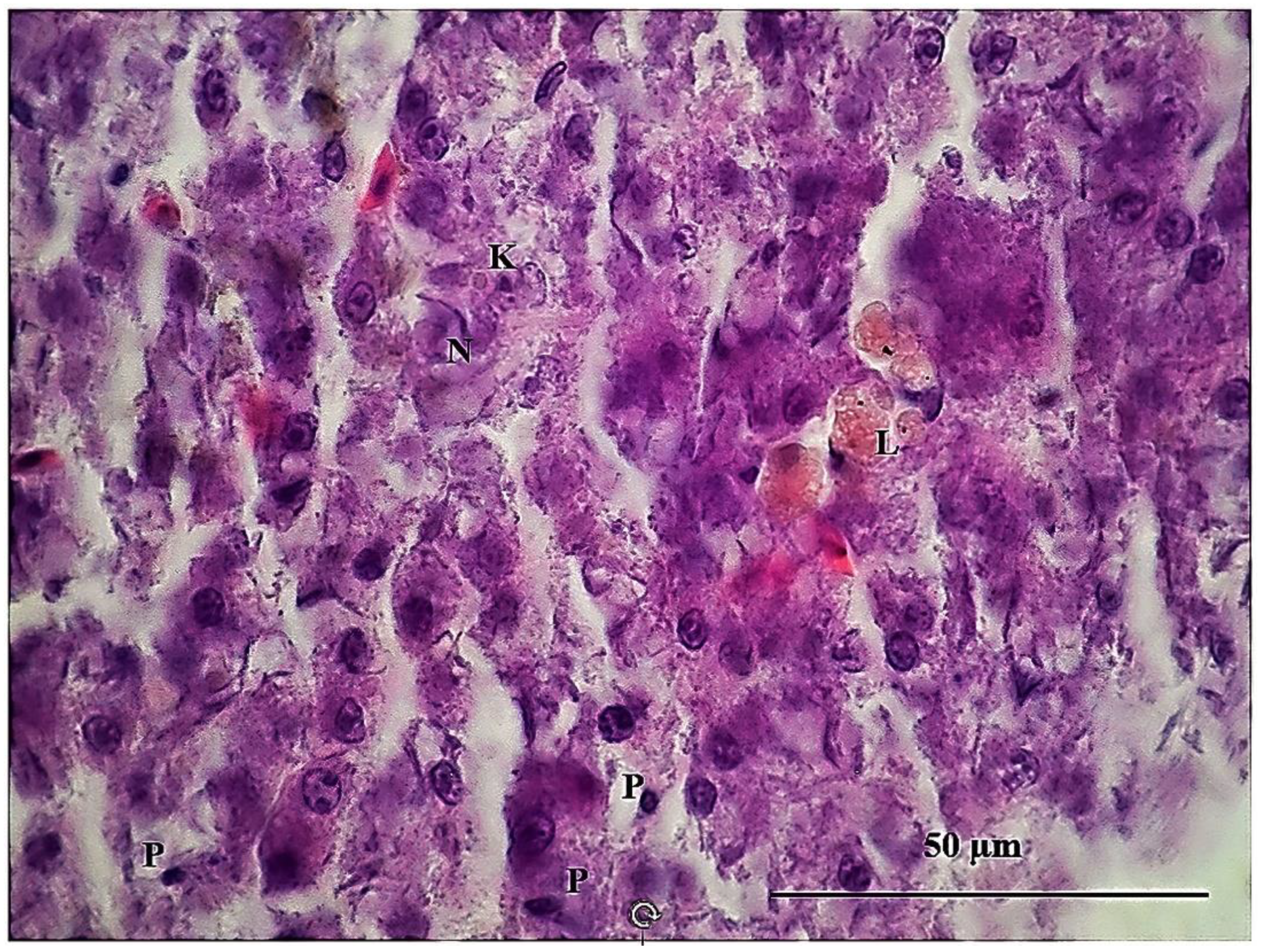
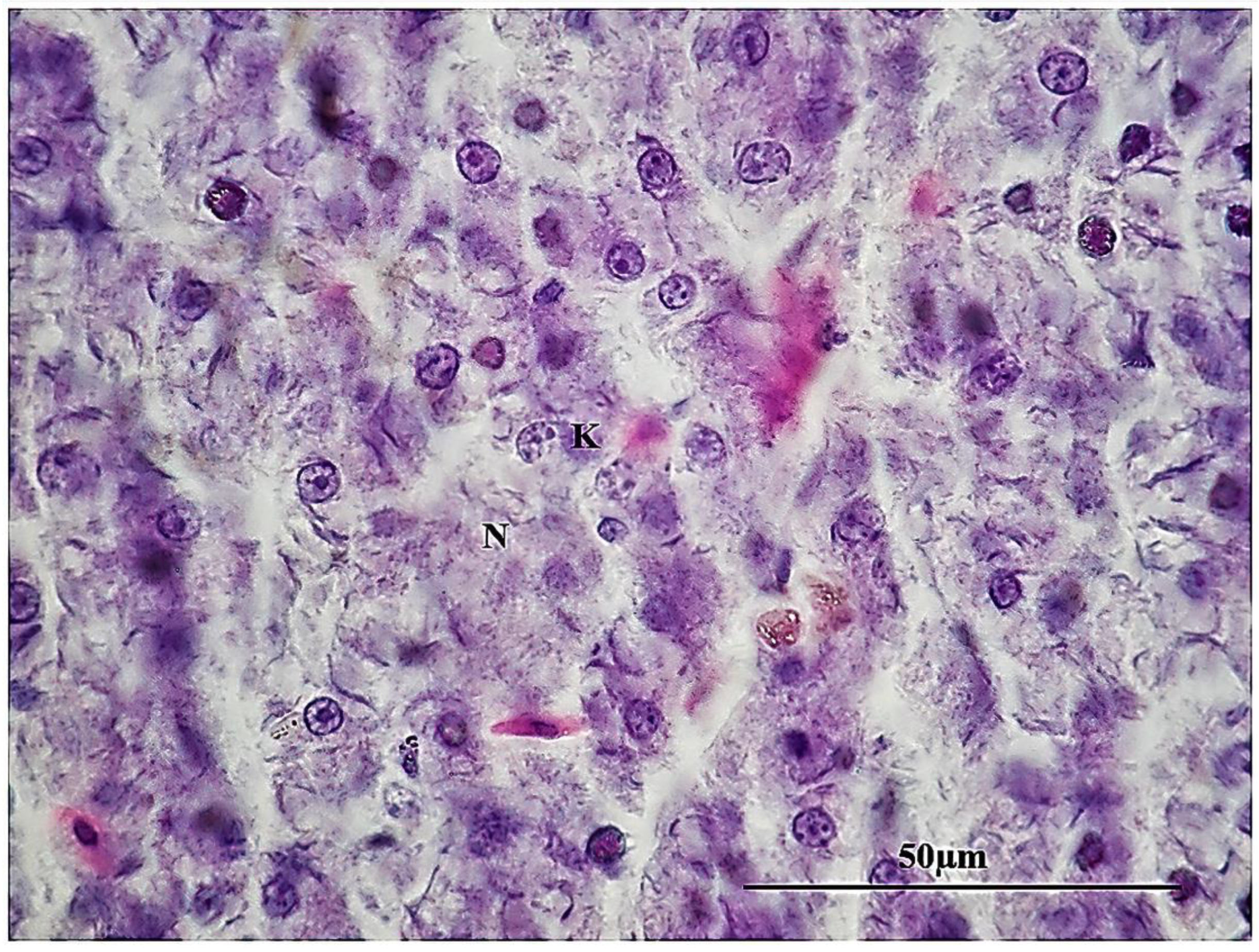
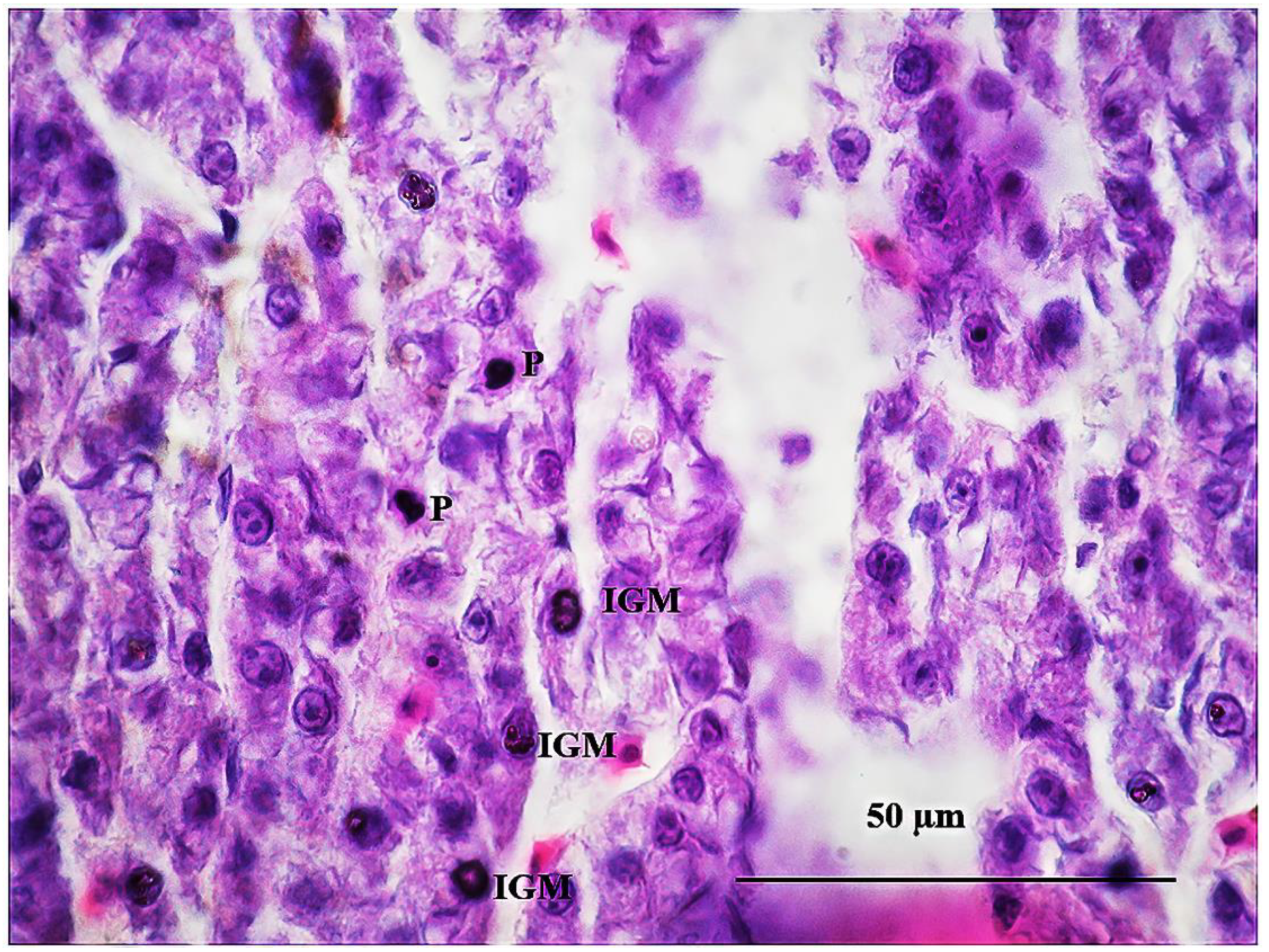
3.2. Histological Observations
4. Discussion
5. Conclusions
Supplementary Materials
Author Contributions
Funding
Institutional Review Board Statement
Informed Consent Statement
Data Availability Statement
Acknowledgments
Conflicts of Interest
References
- Iroegbu, A.O.C.; Ray, S.S.; Mbarane, V.; Bordado, J.C.; Sardinha, J.P. Plastic Pollution: A Perspective on Matters Arising: Challenges and Opportunities. ACS Omega 2021, 6, 19343–19355. [Google Scholar] [CrossRef] [PubMed]
- Farady, S.E. Microplastics as a new, ubiquitous pollutant: Strategies to anticipate management and advise seafood consumers. Mar. Policy 2019, 104, 103–107. [Google Scholar] [CrossRef]
- Schwarz, A.E.; Ligthart, T.N.; Boukris, E.; van Harmelen, T. Sources, transport, and accumulation of different types of plastic litter in aquatic environments: A review study. Mar. Pollut. Bull. 2019, 143, 92–100. [Google Scholar] [CrossRef] [PubMed]
- Jeong, C.-B.; Won, E.-J.; Kang, H.-M.; Lee, M.-C.; Hwang, D.-S.; Hwang, U.-K.; Zhou, B.; Souissi, S.; Lee, S.-J.; Lee, J.-S. Microplastic Size-Dependent Toxicity, Oxidative Stress Induction, and p-JNK and p-p38 Activation in the Monogonont Rotifer (Brachionus koreanus). Environ. Sci. Technol. 2016, 50, 8849–8857. [Google Scholar] [CrossRef]
- Wilhelm, R. Resin identification codes—New astm standard based on society of the plastics industry code will facilitate recycling. In Standardization News; ASTM International: West Conshohocken, PA, USA, 2016. [Google Scholar]
- Andrady, A.L.; Neal, M.A. Applications and societal benefits of plastics. Philos. Trans. R. Soc. Lond. B Biol. Sci. 2009, 364, 1977–1984. [Google Scholar] [CrossRef]
- Polyvinyl Chloride—Chemical Safety Facts. 2023. Available online: https://www.chemicalsafetyfacts.org/chemicals/polyvinyl-chloride/ (accessed on 10 February 2022).
- Fanelli, R.; Zuccato, E. Risks and benefits of PVC in medical applications. Boll. Chim. Farm. 2002, 141, 282–289. [Google Scholar] [PubMed]
- Esterhuizen, M.; Kim, Y.J. Effects of polypropylene, polyvinyl chloride, polyethylene terephthalate, polyurethane, high-density polyethylene, and polystyrene microplastic on Nelumbo nucifera (Lotus) in water and sediment. Environ. Sci. Pollut. Res. Int. 2022, 29, 17580–17590. [Google Scholar] [CrossRef]
- Wu, P.; Tang, Y.; Jin, H.; Song, Y.; Liu, Y.; Cai, Z. Consequential fate of bisphenol-attached PVC microplastics in water and simulated intestinal fluids. Environ. Sci. Ecotechnol. 2020, 2, 100027. [Google Scholar] [CrossRef]
- Silva, A.C.P.; Jorgetto, A.O.; Wondracek, M.H.P.; Saeki, M.J.; Pedrosa, V.A.; Colmenares, Y.N.; Mastelaro, V.R.; Sutili, F.K.; Martines, M.A.U.; Pasta, P.C.; et al. A global pollutant (PVC-polyvinyl chloride) applied as heavy metal binder from aqueous samples: Green principles from synthesis to application. Environ. Technol. 2021, 43, 3742–3754. [Google Scholar] [CrossRef]
- Thompson, R.C.; Moore, C.J.; vom Saal, F.S.; Swan, S.H. Plastics, the environment and human health: Current consensus and future trends. Philos. Trans. R. Soc. Lond. B Biol. Sci. 2009, 364, 2153–2166. [Google Scholar] [CrossRef]
- Schwarzer, M.; Brehm, J.; Vollmer, M.; Jasinski, J.; Xu, C.; Zainuddin, S.; Fröhlich, T.; Schott, M.; Greiner, A.; Scheibel, T.; et al. Shape, size, and polymer dependent effects of microplastics on Daphnia magna. J. Hazard. Mater. 2022, 426, 128136. [Google Scholar] [CrossRef] [PubMed]
- Gray, A.D.; Weinstein, J.E. Size- and shape-dependent effects of microplastic particles on adult daggerblade grass shrimp (Palaemonetes pugio). Environ. Toxicol. Chem. 2017, 36, 3074–3080. [Google Scholar] [CrossRef] [PubMed]
- Issac, M.N.; Kandasubramanian, B. Effect of microplastics in water and aquatic systems. Environ. Sci. Pollut. Res. Int. 2021, 28, 19544–19562. [Google Scholar] [CrossRef]
- Gesamp. Sources, Fate and Effects of Microplastics in the Marine Environment. Available online: http://www.gesamp.org/publications/reports-and-studies-no-90 (accessed on 15 February 2022).
- Arthur, C.; Baker, J.E.; Bamford, H.A. Proceedings of the International Research Workshop on the Occurrence, Effects, and Fate of Microplastic Marine Debris, Tacoma, WA, USA, 9–11 September 2008; University of Washington Tacoma: Tacoma, WA, USA, 2008. [Google Scholar]
- Hartmann, N.B.; Hüffer, T.; Thompson, R.C.; Hassellöv, M.; Verschoor, A.; Daugaard, A.E.; Rist, S.; Karlsson, T.; Brennholt, N.; Cole, M.; et al. Are We Speaking the Same Language? Recommendations for a Definition and Categorization Framework for Plastic Debris. Environ. Sci. Technol. 2019, 53, 1039–1047. [Google Scholar] [CrossRef] [PubMed]
- Jâms, I.B.; Windsor, F.M.; Poudevigne-Durance, T.; Ormerod, S.J.; Durance, I. Estimating the size distribution of plastics ingested by animals. Nat. Commun. 2020, 11, 1594. [Google Scholar] [CrossRef]
- Jamieson, A.J.; Brooks, L.S.R.; Reid, W.D.K.; Piertney, S.B.; Narayanaswamy, B.E.; Linley, T.D. Microplastics and synthetic particles ingested by deep-sea amphipods in six of the deepest marine ecosystems on Earth. R. Soc. Open Sci. 2019, 6, 180667. [Google Scholar] [CrossRef]
- Zantis, L.J.; Carroll, E.L.; Nelms, S.E.; Bosker, T. Marine mammals and microplastics: A systematic review and call for standardisation. Environ. Pollut. 2021, 269, 116142. [Google Scholar] [CrossRef]
- A Plague of Plastics. Available online: https://www.nwf.org/Home/Magazines/National-Wildlife/2019/June-July/Conservation/Ocean-Plastic (accessed on 10 March 2022).
- Zhang, C.; Zuo, Z.; Wang, Q.; Wang, S.; Lv, L.; Zou, J. Size Effects of Microplastics on Embryos and Observation of Toxicity Kinetics in Larvae of Grass Carp (Ctenopharyngodon idella). Toxics 2022, 10, 76. [Google Scholar] [CrossRef]
- Gigault, J.; Halle, A.t.; Baudrimont, M.; Pascal, P.-Y.; Gauffre, F.; Phi, T.-L.; El Hadri, H.; Grassl, B.; Reynaud, S. Current opinion: What is a nanoplastic? Environ. Pollut. 2018, 235, 1030–1034. [Google Scholar] [CrossRef]
- Molenaar, R.; Chatterjee, S.; Kamphuis, B.; Segers-Nolten, I.M.J.; Claessens, M.M.A.E.; Blum, C. Nanoplastic sizes and numbers: Quantification by single particle tracking. Environ. Sci. Nano 2021, 8, 723–730. [Google Scholar] [CrossRef]
- Hollerová, A.; Hodkovicová, N.; Blahová, J.; Faldyna, M.; Maršálek, P.; Svobodová, Z. Microplastics as a potential risk for aquatic environment organisms—A review. Acta Vet. Brno 2021, 90, 99–107. [Google Scholar] [CrossRef]
- Rairat, T.; Liu, Y.-K.; Hsu, J.C.-N.; Hsieh, C.-Y.; Chuchird, N.; Chou, C.-C. Combined Effects of Temperature and Salinity on the Pharmacokinetics of Florfenicol in Nile Tilapia (Oreochromis niloticus) Reared in Brackish Water. Front. Vet. Sci. 2022, 9, 826586. [Google Scholar] [CrossRef] [PubMed]
- Figueiredo-Fernandes, A.; Fontaínhas-Fernandes, A.; Peixoto, F.; Rocha, E.; Reis-Henriques, M.A. Effects of gender and temperature on oxidative stress enzymes in Nile tilapia Oreochromis niloticus exposed to paraquat. Pestic. Biochem. Physiol. 2006, 85, 97–103. [Google Scholar] [CrossRef]
- Aryani, D.; Khalifa, M.A.; Herjayanto, M.; Solahudin, E.A.; Rizki, E.M.; Halwatiyah, W.; Istiqomah, H.; Maharani, S.H.; Wahyudin, H.; Pratama, G. Penetration of Microplastics (Polyethylene) to Several Organs of Nile Tilapia (Oreochromis niloticus). In IOP Conference Series: Earth and Environmental Science; IOP Publishing: Bristol, UK, 2021; Volume 715, p. 012061. [Google Scholar] [CrossRef]
- Hamed, M.; Soliman, H.A.M.; Osman, A.G.M.; Sayed, A.E.-D.H. Antioxidants and molecular damage in Nile Tilapia (Oreochromis niloticus) after exposure to microplastics. Environ. Sci. Pollut. Res. Int. 2020, 27, 14581–14588. [Google Scholar] [CrossRef] [PubMed]
- Hamed, M.; Soliman, H.A.M.; Osman, A.G.M.; Sayed, A.E.-D.H. Assessment the effect of exposure to microplastics in Nile Tilapia (Oreochromis niloticus) early juvenile: I. blood biomarkers. Chemosphere 2019, 228, 345–350. [Google Scholar] [CrossRef]
- Ding, J.; Zhang, S.; Razanajatovo, R.M.; Zou, H.; Zhu, W. Accumulation, tissue distribution, and biochemical effects of polystyrene microplastics in the freshwater fish red tilapia (Oreochromis niloticus). Environ. Pollut. 2018, 238, 1–9. [Google Scholar] [CrossRef]
- Close, B.; Banister, K.; Baumans, V.; Bernoth, E.-M.; Bromage, N.; Bunyan, J.; Erhardt, W.; Flecknell, P.; Gregory, N.; Hackbarth, H.; et al. Recommendations for euthanasia of experimental animals: Part 2. Lab. Anim. 1997, 31, 1–32. [Google Scholar] [CrossRef]
- Mumford, S.H.J.; Smith, C.; Morrison, J.; Macconnell, B.; Blazer, V. Fish Histology and Histopathology; US Fish & Wildlife Service: Elkins, WV, USA, 2007; Volume 4.
- Alomar, C.; Sureda, A.; Capó, X.; Guijarro, B.; Tejada, S.; Deudero, S. Microplastic ingestion by Mullus surmuletus Linnaeus, 1758 fish and its potential for causing oxidative stress. Environ. Res. 2017, 159, 135–142. [Google Scholar] [CrossRef]
- Wang, M.; Xu, G.; Tang, Y.; Su, S.; Wang, Y.; Zhu, Z. Investigation of the Molecular Mechanisms of Antioxidant Damage and Immune Response Downregulation in Liver of Coilia nasus Under Starvation Stress. Front. Endocrinol. 2021, 12, 622315. [Google Scholar] [CrossRef]
- Wolf, J.C.; Wolfe, M.J. A Brief Overview of Nonneoplastic Hepatic Toxicity in Fish. Toxicol. Pathol. 2005, 33, 75–85. [Google Scholar] [CrossRef]
- Bruslé, J.; Gonzàlez i Anadon, G. The Structure and Function of Fish Liver. Fish Morphol. 2017, 1, 77–93. [Google Scholar] [CrossRef]
- Vicentini, C.A.; Franceschini-Vicentini, I.B.; Bombonato, M.T.S.; Bertolucci, B.; Lima, S.G.; Santos, A.S. Morphological Study of the Liver in the Teleost Oreochromis niloticus. Int. J. Morphol. 2005, 23, 211–216. [Google Scholar] [CrossRef]
- Rahimikia, E. Analysis of antioxidants and serum biochemical responses in goldfish under nickel exposure by sub-chronic test. J. Appl. Anim. Res. 2016, 45, 320–325. [Google Scholar] [CrossRef]
- Vinodhini, R.; Narayanan, M. Biochemical changes of antioxidant enzymes in common carp (Cyprinus carpio L.) after heavy metal exposure. Turk. J. Vet. Anim. Sci. 2009, 33, 273–278. [Google Scholar] [CrossRef]
- Shah, Z.U.; Parveen, S. Oxidative, biochemical and histopathological alterations in fishes from pesticide contaminated river Ganga, India. Sci. Rep. 2022, 12, 3628. [Google Scholar] [CrossRef] [PubMed]
- Atamanalp, M.; Kokturk, M.; Kırıcı, M.; Ucar, A.; Kırıcı, M.; Parlak, V.; Aydın, A.; Alak, G. Interaction of Microplastic Presence and Oxidative Stress in Freshwater Fish: A Regional Scale Research, East Anatolia of Türkiye (Erzurum & Erzincan & Bingöl). Sustainability 2022, 14, 12009. [Google Scholar] [CrossRef]
- Qiao, R.; Sheng, C.; Lu, Y.; Zhang, Y.; Ren, H.; Lemos, B. Microplastics induce intestinal inflammation, oxidative stress, and disorders of metabolome and microbiome in zebrafish. Sci. Total Environ. 2019, 662, 246–253. [Google Scholar] [CrossRef]
- Darabi, H.; Baradaran, A.; Ebrahimpour, K. Subacute toxic effects of polyvinyl chloride microplastics (PVC-MPs) in juvenile common carp, Cyprinus carpio (Pisces: Cyprinidae). Casp. J. Environ. Sci. 2022, 20, 233–242. [Google Scholar] [CrossRef]
- Iheanacho, S.C.; Odo, G.E. Dietary Exposureexposure to Polyvinyl Chloride Microparticles Induced Oxidative Stress and Hepatic Damagepolyvinyl chloride microparticles induced oxidative stress and hepatic damage in Clarias Gariepinusgariepinus (Burchell, 1822). Int. Environ. Sci. Pollut. Res. 2020, 27, 21159–21173. [Google Scholar] [CrossRef]
- Vijayaraghavan, G.; Neethu, K.V.; Aneesh, B.P.; Suresh, A.; Saranya, K.S.; Bijoy Nandan, S.; Sharma, K.V. Evaluation of toxicological impacts of Polyvinyl Chloride (PVC) microplastics on fish, Etroplus suratensis (Bloch, 1790), Cochin estuary, India. Toxicol. Environ. Health Sci. 2022, 14, 131–140. [Google Scholar] [CrossRef]
- Espinosa, C.; Cuesta, A.; Esteban, M.Á. Effects of dietary polyvinylchloride microparticles on general health, immune status and expression of several genes related to stress in gilthead seabream (Sparus aurata L.). Fish Shellfish. Immunol. 2017, 68, 251–259. [Google Scholar] [CrossRef] [PubMed]
- Miloloža, M.; Kučić Grgić, D.; Bolanča, T.; Ukić, Š.; Cvetnić, M.; Ocelić Bulatović, V.; Dionysiou, D.D.; Kušić, H. Ecotoxicological Assessment of Microplastics in Freshwater Sources—A Review. Water 2020, 13, 56. [Google Scholar] [CrossRef]
- Gonzalez-Hunt, C.P.; Wadhwa, M.; Sanders, L.H. DNA damage by oxidative stress: Measurement strategies for two genomes. Curr. Opin. Toxicol. 2018, 7, 87–94. [Google Scholar] [CrossRef]
- Manke, A.; Wang, L.; Rojanasakul, Y. Mechanisms of nanoparticle-induced oxidative stress and toxicity. Biomed. Res. Int. 2013, 2013, 942916. [Google Scholar] [CrossRef] [PubMed]
- Topal, A.; Gergit, A.; Özkaraca, M. Assessment of oxidative DNA damage, oxidative stress responses and histopathological alterations in gill and liver tissues of Oncorhynchus mykiss treated with linuron. Hum. Exp. Toxicol. 2020, 40, 1112–1121. [Google Scholar] [CrossRef]
- Sun, J.-L.; Zhao, L.-L.; Liao, L.; Tang, X.-H.; Cui, C.; Liu, Q.; He, K.; Ma, J.-D.; Jin, L.; Yan, T.; et al. Interactive effect of thermal and hypoxia on largemouth bass (Micropterus salmoides) gill and liver: Aggravation of oxidative stress, inhibition of immunity and promotion of cell apoptosis. Fish Shellfish. Immunol. 2020, 98, 923–936. [Google Scholar] [CrossRef]
- Bjørgen, H.; Koppang, E.O. Anatomy of teleost fish immune structures and organs. Immunogenetics 2021, 73, 53–63. [Google Scholar] [CrossRef]
- Hellberg, H.; Bjerkås, I.; Vågnes, Ø.B.; Noga, E.J. Mast cells in common wolffish Anarhichas lupus L.: Ontogeny, distribution and association with lymphatic vessels. Fish Shellfish. Immunol. 2013, 35, 1769–1778. [Google Scholar] [CrossRef]
- Roberts, R.J.; Young, H.; Milne, J.A. Studies on the skin of plaice (Pleuronectes platessa L.). J. Fish Biol. 1972, 4, 87–98. [Google Scholar] [CrossRef]
- Sfacteria, A.; Brines, M.; Blank, U. The mast cell plays a central role in the immune system of teleost fish. Mol. Immunol. 2015, 63, 3–8. [Google Scholar] [CrossRef] [PubMed]
- Reite, O.B.; Evensen, Ø. Inflammatory cells of teleostean fish: A review focusing on mast cells/eosinophilic granule cells and rodlet cells. Fish Shellfish. Immunol. 2006, 20, 192–208. [Google Scholar] [CrossRef] [PubMed]
- Baccari, G.C.; Pinelli, C.; Santillo, A.; Minucci, S.; Rastogi, R.K. Mast Cells in Nonmammalian Vertebrates. Int. Rev. Cell Mol. Biol. 2011, 290, 1–53. [Google Scholar] [CrossRef] [PubMed]
- Rochman, C.M.; Hoh, E.; Kurobe, T.; Teh, S.J. Ingested plastic transfers hazardous chemicals to fish and induces hepatic stress. Sci. Rep. 2013, 3, 3263. [Google Scholar] [CrossRef] [PubMed]
- Greven, A.-C.; Merk, T.; Karagöz, F.; Mohr, K.; Klapper, M.; Jovanović, B.; Palić, D. Polycarbonate and polystyrene nanoplastic particles act as stressors to the innate immune system of fathead minnow (Pimephales promelas). Environ. Toxicol. Chem. 2016, 35, 3093–3100. [Google Scholar] [CrossRef] [PubMed]















| Category | Unit of Measure |
|---|---|
| Crude protein (%) | 60 |
| Crude fat (%) | 15 |
| Nitrogen-free extract (NFE) (%) | 5.7 |
| Ash (%) | 12.6 |
| Fiber (%) | 0.7 |
| P (%) | 1.4 |
| Gross energy (MJ) | 21.2 |
| Digestible energy (MJ) | 19.7 |
Disclaimer/Publisher’s Note: The statements, opinions and data contained in all publications are solely those of the individual author(s) and contributor(s) and not of MDPI and/or the editor(s). MDPI and/or the editor(s) disclaim responsibility for any injury to people or property resulting from any ideas, methods, instructions or products referred to in the content. |
© 2023 by the authors. Licensee MDPI, Basel, Switzerland. This article is an open access article distributed under the terms and conditions of the Creative Commons Attribution (CC BY) license (https://creativecommons.org/licenses/by/4.0/).
Share and Cite
Jawdhari, A.; Mihăilescu, D.F.; Stan, M.S.; Bălănescu, M.-V.; Vlăsceanu, R.-I.; Staicu, C.A.; Crăciun, N.; Deák, G. Ingestion of Polyvinylchloride Powder Particles Induces Oxidative Stress and Hepatic Histopathological Changes in Oreochromis niloticus (Nile Tilapia)—A Preliminary Study. Sustainability 2023, 15, 6494. https://doi.org/10.3390/su15086494
Jawdhari A, Mihăilescu DF, Stan MS, Bălănescu M-V, Vlăsceanu R-I, Staicu CA, Crăciun N, Deák G. Ingestion of Polyvinylchloride Powder Particles Induces Oxidative Stress and Hepatic Histopathological Changes in Oreochromis niloticus (Nile Tilapia)—A Preliminary Study. Sustainability. 2023; 15(8):6494. https://doi.org/10.3390/su15086494
Chicago/Turabian StyleJawdhari, Abdulhusein, Dan Florin Mihăilescu, Miruna S. Stan, Mihnea-Vlad Bălănescu, Raluca-Ioana Vlăsceanu, Cristina A. Staicu, Nicolae Crăciun, and György Deák. 2023. "Ingestion of Polyvinylchloride Powder Particles Induces Oxidative Stress and Hepatic Histopathological Changes in Oreochromis niloticus (Nile Tilapia)—A Preliminary Study" Sustainability 15, no. 8: 6494. https://doi.org/10.3390/su15086494
APA StyleJawdhari, A., Mihăilescu, D. F., Stan, M. S., Bălănescu, M.-V., Vlăsceanu, R.-I., Staicu, C. A., Crăciun, N., & Deák, G. (2023). Ingestion of Polyvinylchloride Powder Particles Induces Oxidative Stress and Hepatic Histopathological Changes in Oreochromis niloticus (Nile Tilapia)—A Preliminary Study. Sustainability, 15(8), 6494. https://doi.org/10.3390/su15086494

