Simple Summary
Diffuse low-grade gliomas (LGG) are relatively uncommon primary brain cancers. In recent years, the molecular, diagnostic, and therapeutic approaches have evolved. IDH (isocitrate dehydrogenase) mutations can affect the great majority of these tumors with distinct genetic and clinical characteristics, carrying a more favorable prognosis compared with wild-type IDH. In patients with LGG, the most common manifestation is seizure and new neuroradiological tools are available to improve the diagnostic and therapeutic pathways. Surgical intervention is performed with the goal of maximum safe resection; postoperative chemoradiotherapy showed benefits in selected patients. New treatments based on molecular profiling, new small molecule and immunotherapy approaches could improve survival and quality of life. In this review, in order to identify the optimal clinical management of patients with LGG, we discuss the relevant biological and clinical characteristics, new therapeutic approaches, and future research directions for these tumors.
Abstract
Diffuse low-grade gliomas (LGG) represent a heterogeneous group of primary brain tumors arising from supporting glial cells and usually affecting young adults. Advances in the knowledge of molecular profile of these tumors, including mutations in the isocitrate dehydrogenase genes, or 1p/19q codeletion, and in neuroradiological techniques have contributed to the diagnosis, prognostic stratification, and follow-up of these tumors. Optimal post-operative management of LGG is still controversial, though radiation therapy and chemotherapy remain the optimal treatments after surgical resection in selected patients. In this review, we report the most important and recent research on clinical and molecular features, new neuroradiological techniques, the different therapeutic modalities, and new opportunities for personalized targeted therapy and supportive care.
1. Introduction
Diffuse low-grade gliomas (LLG) can be defined as tumors probably derived from glial cells and showing infiltrative growth and an absence of histological features of malignancy. They account for approximately 20% of all primary brain tumors and involve about 20,000 persons per year in the USA [1,2]. The role of surgery has radically changed in the past several years, assuming a central role in LGG management. Indeed, maximal safe resection represents the first step in LGG workflow.
The median survival of patients affected by LGG is widely variable, ranging from 5.6 to 13.3 years, depending on several factors, such as extent of resection and molecular features, including isocitrate dehydrogenase (IDH) 1 and 2 mutations, and 1p19q codeletion. Due to the relevance of genetic features for the prognosis of LGGs, these have been integrated with histopathological characteristics in the latest World Health Organization (WHO) classification of tumors of the central nervous system [1].
Most patients with LGG present seizures, though the natural history of these neoplasia can include a pre-symptomatic phase due to their low proliferation index. In their last phase, LGG show malignant transformation to high-grade glioma (grade III or IV glioma) and worsening of clinical symptoms. Magnetic resonance imaging (MRI) is the gold standard for the initial diagnosis of LGG; however, novel neuroradiological techniques, also based on nuclear medicine, have been shown to contribute to the diagnosis and follow-up of these tumors. Due to their rarity and to the few prospective clinical trials, the optimal treatment of LGG remains controversial.
Herein, we review the recent molecular, diagnostic, and therapeutic advances on LGG.
2. Histopathology and Molecular Features
Diffuse low-grade gliomas were traditionally classified based on their histopathological aspect and subdivided into oligodendroglioma, diffuse astrocytoma, and oligoastrocytoma [3]. Oligodendroglioma was defined as a diffusely infiltrating tumor composed of cells morphologically resembling oligodendroglia (i.e., having round uniform nucleus and clear perinuclear halo), while diffuse astrocytoma was defined as a diffusely infiltrating astrocytoma characterized by a high degree of cellular differentiation and slow growth [3]. Finally, oligoastrocytoma represented a diffuse glioma composed of a mixture of two distinct neoplastic cell types morphologically resembling the tumor cells of oligodendroglioma or diffuse astrocytoma [3].
After the discovery that tumors with the same morphology may harbor different genetic alterations, and that such features have prognostic significance [4,5], gliomas were reclassified integrating genetics and histopathology [1].
According to the latest World Health Organization (WHO) Classification [1], diffuse LGGs include: oligodendroglioma Isocitrate Dehydogenase (IDH) mutant and 1p/19q codeleted; diffuse astrocytoma IDH mutant and diffuse astrocytoma IDH wild-type (wt). Among these, oligodendroglioma IDH mutant and 1p/19q codeleted carry the best prognosis, and IDH-wt astrocytoma the worst (Table 1) [6].
Table 1.
Molecular classification of diffuse low-grade gliomas (LGGs).
Therefore, the diagnosis of LGGs currently requires an assessment of the mutational status of IDH1/2 and 1p/19q codeletion. In the event that molecular features cannot be assessed, diffuse LGGs can be classified, based solely on histopathology, into oligodendroglioma not otherwise specified (NOS), and diffuse astrocytoma, NOS [1].
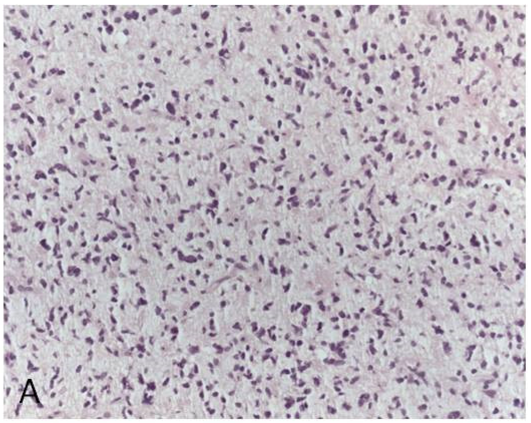
About 90% of IDH-mutant diffuse gliomas have IDH1 R132H mutation, which can be detected by immunohistochemistry using a specific antibody against the IDH1 R132H protein (Figure 1) [7]. A minority of cases have other (non-canonical) IDH1 mutations at R132 residue (5%) [7] or IDH2 mutations at 172 residue (5%) [5], the detection of which requires IDH1/IDH2 sequencing.
Figure 1.
Morphological and immunohistochemical features of IDH (isocitrate dehydrogenase) mutant astrocytoma and oligodendroglioma (original magnification × 100). Oligodendroglioma is characterized by rounded monomorphic nuclei, while astrocytoma has oval nuclei and mild pleomorphism. Both these cases have IDH1 R132H mutation, which is detectable by immunohistochemistry. However, astrocytoma has ATRX immunohistochemical loss and P53 diffuse staining as a consequence of mutations in these genes, while on the other hand oligodendroglioma, which lacks mutations in these genes, retains ATRX expression and is immuno-negative for P53.
Interestingly, IDH2 mutations are mainly found in oligodendrogliomas, while IDH1 mutations differing from R132H are mostly seen in astrocytomas [8,9].
The combined deletion of chromosomes 1p and 19q in oligodendrogliomas is mediated by a balanced whole-arm translocation of chromosomes 1 and 19, leading to the formation of two derivative chromosomes. One of these derivative chromosomes, being composed of 1p and 19q (der [1,19][p10; q10]), is typically lost [10]. 1p/19q codeletion can be assessed by several methods, including Fluorescent In Situ Hybridization (FISH) or Comparative Genomic Hybridization (CGH) [11]. FISH is the most widely used method, but, differently from CGH, it is unable to distinguish between whole arm deletion—which is specific to oligodendroglioma—and partial deletions—which can be also found in astrocytic tumors [11].
IDH-mutant diffuse astrocytomas commonly display inactivating mutations in alpha-thalassemia/mental retardation syndrome X-linked (ATRX) and missense mutation in TP53 that are mutually exclusive with 1p/19q codeletion [12]. Since ATRX mutations result in protein loss and TP53 mutations in p53 nuclear accumulation [12], a diffuse low-grade IDH-mutated glioma with astrocytic morphology, ATRX loss, and p53 diffuse and strong staining can be diagnosed as IDH-mutant diffuse astrocytoma in the absence of 1p/19q testing (Figure 1) [13]
In the latest WHO Classification, the diagnosis of oligoastrocytoma is strongly discouraged and reserved to cases with ambiguous morphology when molecular tests cannot be performed (Oligoastrocytoma, NOS) or in the rare instance of dual-genotype oligoastrocytoma [1]. The latter is an IDH mutant tumor composed of two distinct populations, showing the morphological features and genotype of astrocytoma (TP53 mutation/nuclear p53 accumulation, loss of nuclear ATRX expression and absence of 1p/19q codeletion) or oligodendroglioma (lack of TP53 mutation/nuclear p53 accumulation, retained nuclear ATRX expression and 1p/19 codeletion) [1,14].
WHO defines diffuse astrocytoma IDH-wt as “a diffusely infiltrating astrocytoma without mutations in the IDH genes” [1]. Therefore, this provisional entity is classified on the absence, rather than on the presence, of a molecular feature, and it likely includes genetically different tumors. In many cases, molecular analyses allow reclassification of IDH-wt diffuse astrocytoma into other tumor entities (i.e., pylocitic astrocytoma). Compared to IDH-mutated diffuse LGGs, IDH-wt ones involve older subjects and are less amenable to surgical resection [15]. In recent years, a great effort was made to define the molecular profile of these tumors (Table 1).
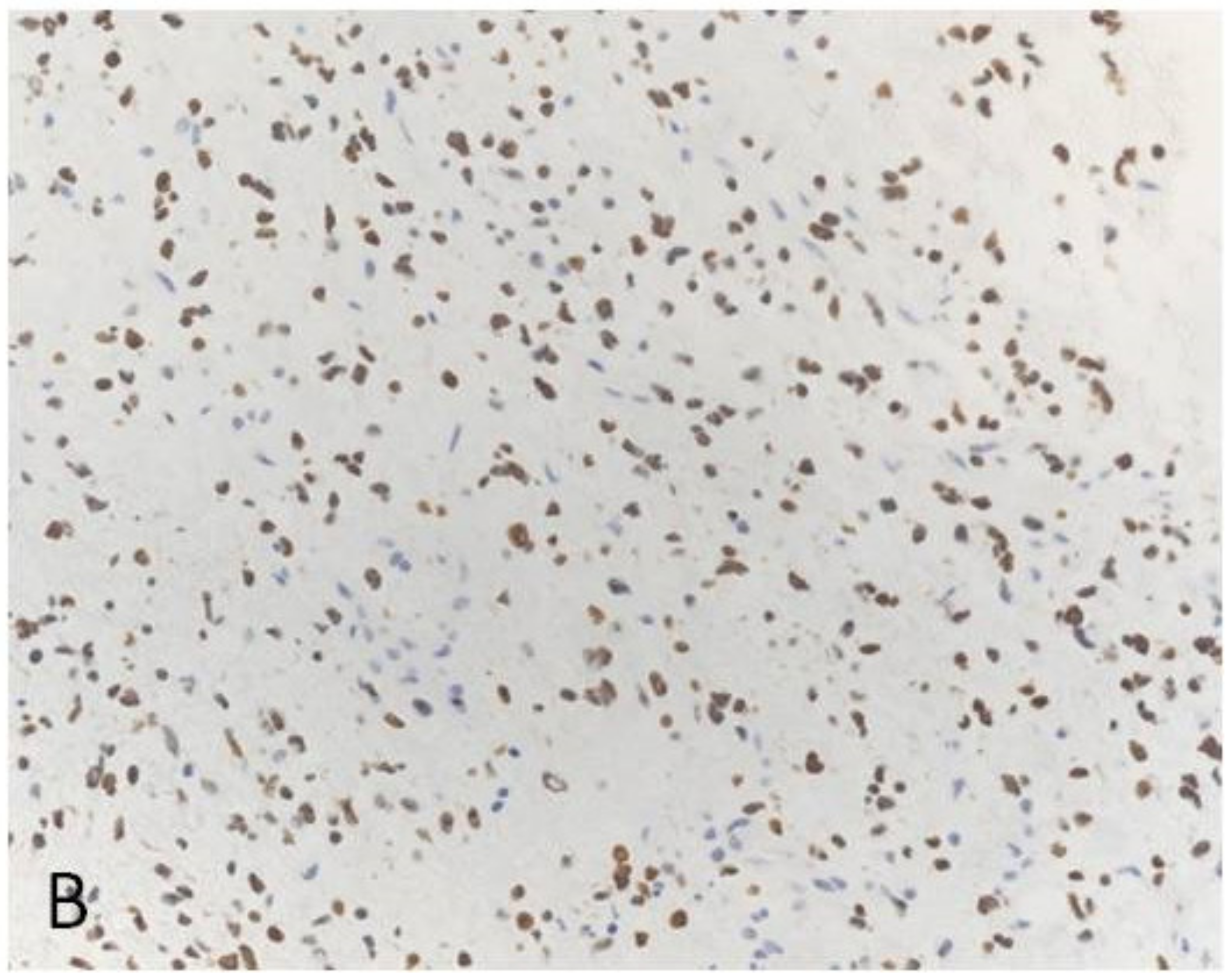
A proportion of IDH-wt diffuse low-grade astrocytomas, located along midline anatomical structures (i.e., thalamus, pons, spinal cord, cerebellum), are characterized by mutation at position K27 in the histone genes H3F3A or HIST1H3B or HIST1H3C [1]. These tumors have significantly worse prognosis compared to midline gliomas without H3 K27M mutation [16]. For this reason, they are considered to be a different entity, which was named diffuse midline glioma H3 K27M-mutated and classified as grade IV in the latest WHO classification [1]. H3 K27M mutation can be detected by immunohistochemistry using an antibody specific to the mutated protein (Figure 2).

Figure 2.
H3 K27M mutated midline glioma (original magnification × 200). (A): Microscopic appearance with morphological features of a diffuse astrocytoma. (B): Nuclear immunohistochemical stain for H3 K27M protein.
A subgroup of IDH-wt/H3-wt diffuse LGGs in adults harbors a molecular profile similar to that of pediatric LGGs and consisting of BRAF V600E mutation, MYB or MYBL1 structural variation, and FGFR1 alterations (Table 1) [17]. Tumors with BRAFv600E mutation usually have astrocytic morphology, while those with MYB, MYBL1, or FGFR1 alterations harbor oligodendroglioma-like histology [17].
The Consortium to Inform Molecular and Practical Approaches to CNS Tumor Taxonomy—The non-official WHO (cIMPACT-NOW) Working Committee recently suggested that these tumors should be classified separately from IDH-wt astrocytomas and termed diffuse glioma not elsewhere classified (NEC) [17].
Finally, some LGGs without IDH and H3 K27M mutations have the same genetic alterations as IDH-wt glioblastoma, i.e., gains in chromosome 7, losses in chromosome 10, focal amplifications in EGFR, CDK4 and MDM4, focal deletions involving CDKN2A and RB1, mutations in telomerase reverse transcriptase (TERT) promoter [15,18]. They have only slightly better prognosis than IDH-wt glioblastoma. They probably represent early-stage glioblastomas [18,19].
3. Imaging
Magnetic Resonance Imaging (MRI) is the optimal neuroradiological technique for the study of LGG [20,21]. Conventional MRI (cMRI) provides an assessment of the morphological features of the lesion and the relationship with the surrounding structures. A standardized cMRI acquisition protocol has been recently recommended by the EORTC-NBTS consensus [22] and endorsed by the European Society of Neuroradiology (ESNR) [23] to be employed in the diagnosis and clinical management of lower-grade gliomas. By assessing the T2/fluid-attenuated inversion-recovery (FLAIR) abnormality and the possible enhancement on post-contrast T1-weighted images, cMRI is necessary for the initial characterization of a lesion as a possible LGG [20]. Susceptibility-weighted imaging (SWI) may contribute to identifying intralesional hemorrhage, calcification, or tumoral neovascularity, by detecting intratumoral susceptibility signal (ITSS) [24,25]. cMRI is also advised within 48 h from surgery to assess the extent of resection (EOR), which is among the most relevant prognostic factors for LGG [26].
In further evaluation of a suspected LGG or during treatment monitoring, serial contrast-enhanced MRI may identify new areas of contrast enhancement or significant changes in tumor size, suggesting malignant transformation [27,28]. Additionally, tumor size measurement using either 2D-FLAIR diameters or three-dimensional FLAIR (3D-FLAIR) volumetry has been shown to increase diagnostic accuracy in LGG follow up, the growth-rate being an early predictor of malignant transformation [28,29]. After surgical resection, volumetric tumor measurements may reflect clinical response better than 2D size changes, as they more accurately assess the extension of irregularly shaped residual lesions and the measurement is less affected by the presence of a previous surgical cavity.
Along with cMRI, advanced MRI (aMRI) techniques, such as diffusion magnetic resonance imaging (dMRI), perfusion-weighted imaging (PWI), and magnetic resonance spectroscopy (MRS), add relevant structural, hemodynamic, and physiological information for tumor diagnosis and classification, surgical planning, and evaluation of treatment response [30]. By reflecting and quantifying the biological behavior and spatial and temporal heterogeneity of the tumor tissue, aMRI also provides new insights in characterizing molecular profiles of lower-grade gliomas by radiomics and radiogenomics [31,32,33]. Radiomics is the current state of the art in imaging analysis by extracting multiple quantitative imaging features from MR images in an objective and reproducible form, and represents the basis of radiogenomics, which aims at determining the association between quantitative radiomic biomarkers and both genomic signatures and molecular phenotypes of gliomas [32].
dMRI is a widely used technique in the MRI assessment of brain gliomas [20], and clinical diffusion-weighted imaging (DWI) acquisitions with a maximum b-value of 1000 s/mm2 are included in the EORTC-NBTS consensus recommendations [22]. The dMRI-derived apparent diffusion coefficient (ADC), or mean diffusivity (MD), is largely considered an indirect measure of tumor cellularity, as proliferating tumor cells hinder the diffusion of extracellular water [34,35]. As such, ADC is inversely related to tumor cellularity and contributes to estimating tumor proliferation in LGG non-invasively, with minimum and mean diffusivity values higher than in high-grade gliomas [35]. Furthermore, quantitative ADC measurements have been recently reported to support the molecular subtyping of non-enhancing LGG in a clinical setting [36]. ADC values obtained from standard clinical DWI with a simple, two-dimensional region-of-interest (ROI) quantification were lower in IDH wild-type than in IDH-mutant LGG, thus supporting the importance of the extraction of quantitative, radiomic metrics for meaningful dMRI analysis [36]. More recently, a pilot study from The Cancer Genome Atlas has demonstrated that ADC values obtained from clinical DWI correlated with survival in patients with IDH-mutant and IDH wild-type gliomas regardless of WHO grade, suggesting a potential usefulness of quantitative ADC estimates as a prognostic marker to enhance risk stratification in brain gliomas [37].
In LGG follow-up, dMRI may have a role besides other advanced MRI sequences such as PWI and MRS to detect foci of malignant transformation or to settle the differential diagnosis between post-irradiation changes versus tumor recurrence [20]. Furthermore, the estimation of water diffusion directionality by Diffusion Tensor Imaging (DTI)-derived advanced metrics may be considered a potential useful tool to aid in the delineation of tumor margins and the detection of brain tumor infiltration [38]. DTI has been shown to be promising in identifying the early effects of chemotherapy in LGG patients, preceding modifications on cMRI and volumetry, although larger studies are warranted to define its applicability in a clinical setting [39].
PWI quantifies changes associated with neoangiogenesis, which correlate with glioma malignancy [20,30]. The dynamic susceptibility contrast (DSC) PWI technique is the primary method used in clinics [23], and the DSC-derived rCBV is the most validated measure to predict grading, time to progression, and survival in LGG [20,40]. Furthermore, rCBV has recently been demonstrated as an accurate radiomic predictive measure of IDH mutation status [41]. Indeed, raised rCBV values in treatment-naïve LGG are associated with a distinct hypoxia/angiogenesis transcriptome signature found in IDH wild-type tumors [41]. Other PWI techniques, such as dynamic contrast-enhanced (DCE) MRI or arterial spin labeling (ASL), are currently under investigation to define their impact in the assessment of LGG in clinics [20,23,42]. In particular, ASL, which uses magnetically labeled arterial blood protons as an endogenous contrast, appears to be promising for the evaluation of IDH mutation status of low-grade astrocytomas in combination with DWI-derived parameters [43].
In the follow-up setting of LGG, the use of PWI, with particular regard to DSC-derived rCBV, is part of the clinical workup to identify malignant transformation and to distinguish therapy effects (pseudo-progression or radiation necrosis) from true tumor progression [20,23]. In this clinical scenario, an accurate and reproducible quantification of PWI parameters is crucial to avoid pitfalls of subjectivity, being aware that threshold values are not simply transferable between institutions and even different software for perfusion analysis [23]. Standardization of PWI methods within and across sites is strongly advocated to ensure their reproducibility and reliability in clinical practice [44,45].
Proton MR spectroscopy (1H-MRS) has been extensively used to detect and quantify a number of endogenous metabolic biomarkers in LGG [20,46]. In recent years, one of the most relevant advances of 1H-MRS has been the possibility to non-invasively detect in vivo the intratumoral accumulation of 2-hydroxyglutarate (2HG) in brain gliomas. As 2HG is produced by all known IDH-mutant enzymes, evaluation of 2HG abundance is an alternative indirect method for determining IDH status [47,48]. A recent meta-analysis has shown an excellent diagnostic performance of 2HG-MRS in the prediction of IDH mutant glioma, with pooled sensitivity and specificity of 95% and 91%, respectively [49]. Despite the current technical challenges of 2HG-MRS, these are promising data and encourage a wider adoption of this technique in clinics. Furthermore, the longitudinal evaluation of 2HG levels by MRS has been proven to be feasible to quantify and localize spatiotemporal changes of this metabolite, thus highlighting the potential of serial 2HG-MRS evaluation during treatment and follow-up [50,51]. In particular, the in-vivo longitudinal measurement of intratumoral 2HG levels could be critical to assess the pharmacodynamics of molecular drugs and ultimately the efficacy of targeted treatment, such as mutant-IDH1 inhibitors in glioma patients [52].
Besides quantitative advanced MRI techniques, functional MRI (fMRI) and diffusion MR tractography have become an essential part of the pre-surgical and intraoperative workup of lower-grade gliomas [53]. Task-based fMRI and diffusion tensor imaging (DTI) tractography have proven to be valid and sensitive tools for localizing the distinct eloquent cortical areas and subcortical white matter fiber bundles near or inside a tumor, showing good accuracy when compared with intraoperative direct electrical stimulation (DES) [53,54]. Resting-state fMRI functional connectivity as well as new advanced HARDI (high angular resolution diffusion imaging) tractography methods are improving and reshaping the role of these advanced functional MRI techniques for surgery of gliomas [53], although larger studies are still warranted to encourage their wide clinical implementation in the near future. A promising application of functional imaging techniques in the assessment of cortical plasticity of motor and language functions in gliomas is currently a matter of investigation, especially to define how cognitive functional recovery or impairment is mirrored by specific imaging modifications, and to understand the association between longitudinal functional changes and progression of disease [55].
Positron emission tomography (PET) imaging reflects fundamental metabolic patterns in brain gliomas [56]. In particular, PET with radiolabeled amino acids such as [11C-methyl]-methionine (11C-MET), O-(2-[18F]-fluoroethyl)-L-tyrosine (18F-FET), and 3,4-dihydroxy-6-[18F]-fluoro-L-phenylalanine (18F-FDOPA) has been proven to have a moderately high diagnostic accuracy to discriminate high and low-grade gliomas, but the overlap between tumor subtypes hampers clear separation [57,58]. Nonetheless, a clear role as independent prognostic tool is still not demonstrated, since studies are few and with conflicting results [58]. Amino acid PET can be performed to detect aggressive disease foci in anatomical MRI findings suggestive of WHO grade II glioma, hence possibly guiding biopsy and tumor resection, as well as radiation dose boosting [59]. An association between IDH status and amino acid PET parameters has been recently reported in LGG, as the IDH-1/2 wild-type lesions have greater metabolic activity than IDH1/2 mutated lower-grade gliomas in terms of the SUVmax and SUV ratio [60], even if these results need confirmation in larger studies.
In the longitudinal assessment of LGG, amino acid PET can be performed in cases in which cMRI and aMRI are not conclusive, as it can be helpful for the metabolic detection of malignant transformation, as well as for the differentiation between treatment-related changes and true progression with high sensitivity and specificity [59]. However, the current scarce availability of amino acid PET, the use of ionizing radiations and, only for 11C-MET, the need for local access to a cyclotron, still prevent wide clinical use of PET imaging in LGG.
4. Role of Surgery
Although surgery plays a central role in the management of LGG patients today, its value has been debated for many years [21,61,62].
Numerous studies have recently demonstrated that the maximal safe extent of tumoral resection (EOR) is the first-line treatment resulting in better survival [21,63,64,65,66,67,68,69,70,71,72,73,74,75,76,77,78]. In the last decade, the qualitative and subjective descriptions of EOR as “gross total resection”, “near total resection”, and “subtotal resection”, are being replaced by precise and objective estimation based on the volume of residual tumor according to the following formula: “EOR = preoperative tumor volume − postoperative tumor volume/preoperative tumor volume” [21,66]. The methodological shift in tumor volume estimation has made surgical investigations more comparable to each other and independent of the surgeon’s subjective evaluation (Table 2).
Table 2.
Literature review of volumetric studies in low-grade gliomas.
The main aim in LGG surgery is to preserve functional integrity with maximal tumor resection [61,70,76,79,80]. With regard to radical resection in LGG, the critical areas that are of utmost importance in preserving quality-of-life functions and limiting functional damage postoperatively include the eloquent cortical areas and subcortical functional pathways. These are part of the complex motor and associative functions (i.e., reading, calculation, attention, language in its various sub-elaborations, vision, etc.) [21,63,66,70,81].
In order to optimize the management of these patients, personalized anatomo-functional planning and intraoperative strategy are needed. Modern neurosurgical oncologists rely on current methods and technology, which include frameless navigational systems, intra-operative imaging, navigated transcranial magnetic stimulation (nTMS), functional mapping, intraoperative neurophysiological monitoring, real-time neuropsychological testing (RTNT), and awake surgery [79,82,83,84].
The standard of care for LGG resection both at cortical and subcortical level involves DES (Direct Electrical Stimulation), which is used for both brain mapping and for monitoring neurologic performance, often in Awake Setting [82,85]. With regard to LGG close to or involving the motor pathways, it has been shown that there are lower risks of permanent postoperative deficits and higher EOR for lesions in eloquent areas when surgery is associated with intra-operative neurophysiological monitoring [86]. The gold standard for cerebral brain mapping is represented by awake surgery, considering that it is the only method that permits a real-time direct identification of neural networks [81,87]. In several studies, surgery based on awake mapping and real-time neuropsychological testing (RTNT) showed higher EOR and preservation of quality of life for LGGs involving both language and extra-language functional networks [81,82,87]. The currently available evidence supports attempting a gross-total resection if safe and feasible, but the strength of this recommendation must be prospectively validated [63]. Although the maximal safe resection remains the key element in the treatment of LGG, there is still no general consensus in literature regarding a minimum EOR cut-off value related to an effective survival benefit. Furthermore, the impact of the new 2016 WHO molecular subtypes, among the EOR classes, is still poorly investigated and the optimal postoperative treatment remains disputed, especially when a radical resection is not functionally possible [65,69]. Recently, Kavouridis et al. [69] demonstrated that the prognosis is influenced by minimal volumetric differences among the different molecular classes. More specifically, in subtypes of IDH-mutant and IDH-wildtype astrocytoma a residual tumor difference on only 1 cm3 influences survival. Otherwise, in oligodendroglioma patients, postoperative residuals impact on survival when exceeding 8 cm3.
Overall, these evidences suggest that postoperative clinical trials assessing the efficacy of adjuvant therapy for LGG should be stratified by molecular subtype and EOR. Future multicenter studies are required to determine the EOR cut-off value, stratified by the molecular class, which could benefit from adjuvant treatments optimizing the postoperative management of LGG.
5. Role of Radiotherapy
In patients with LGG, the role of radiotherapy, either alone or in combination with chemotherapy, has long been debated as to its ability to answer questions that are still open and limit the clinical decision-making [21,100]. Current clinical practice has been derived from results of studies (see Table 3) designed many years ago, and therefore conducted with an old pathological classification of glioma, before the introduction of latest biomarkers and, in most of those clinical trials, when modern radiotherapy techniques such as Intensity Modulated Radiotherapy were not available [100]. As a consequence, clinical studies carried out over the last decades have not yet established the optimal use of radiotherapy in patients with LGG, and, mostly, the best timing to use ionizing radiations, their optimal dose, the most active concomitant and sequential chemotherapy still represent unanswered questions.
Table 3.
Leading studies evaluating the role of radiotherapy in LGG.
Unfortunately, in patients with LGG, surgery alone does not have a curative function, and, to improve life expectancy, radiotherapy represents an important active treatment [21]. The first question concerning the use of radiotherapy in the postoperative setting is about its best timing-early, straight after surgery, or later, upon recurrence of the disease. Considering a balance between improving tumor control by postponing the recurrence, and limiting the side effects due to radiotherapy, both early and delayed treatments could have a rationale [106,107]. The EORTC 22845 randomized trial, initiated in 1986, has been designed to fulfil this question [102]. Early radiotherapy and salvage radiotherapy at the time of progression (both 54 Gy in six weeks) were studied in 314 randomized patients (patients were stratified based on histology as follows: astrocytoma versus oligodendroglioma or oligoastrocytoma). Despite differences recorded in median progression-free survival (PFS) (5.3 years in early versus 3.4 in delayed treatments, p < 0.0001) and a low incidence of seizure in patients treated straight after surgery, median overall survival (OS) was similar in two groups (7.4 and 7.2 years, respectively). Moreover, the authors did not record the quality of life and side effects related to radiotherapy, and only concluded that progression-free survival was better in early treated patients, whereas OS was not affected by early or delayed RT. In the following years, the lack of OS benefit recorded in this trial justified the choice to defer in selected patients with low-grade glioma and favorable clinical prognostic factors the start of radiotherapy until disease progression [108]. These patients were followed-up and treated with salvage radiotherapy only upon recurrence of the disease. In 2016, results of the RTOG 9802, a randomized trial designed to assess the use of sequential chemotherapy following radiotherapy, showed the same results as the EORTC 22845 trial [104]. Other than two interventional arms, the study was planned with an observational arm. In that study, the group of patients treated with postoperative radiotherapy had the same OS as the observational arm, where radiotherapy had a salvage attempt. Preoperative tumor diameter greater than 4 cm, residual disease ≥ 1 cm, and astrocytoma/oligoastrocytoma histology were associated with an increased risk of recurrence in patients managed with postoperative follow-up [109].
Currently, for patients with LGG undergoing gross tumor resection and IDH mut, initial observation after surgery rather than postoperative treatment can be preferred. In these patients, delaying radiotherapy does not impact on overall survival and prevents the onset of adverse events. The lack of patient stratification by biomarkers and the use of the outdated radiotherapy technique represent the main limits of the published studies, and future guidelines require further trials.
Beyond the best timing, there is the choice of the most appropriate dose and fractionation of affordable radiotherapy. The first trial studying two different doses of ionizing radiations was conducted by the EORTC between 1986 and 1995 (even in this case, at a time when neuroradiology, radiotherapy, and patient assessment were different from today) [101]. Three hundred seventy-nine patients with low-grade gliomas (pilocytic astrocytomas, astrocytomas, oligodendrogliomas, and oligoastrocytomas) were randomized in two arms: 45 Gy delivered in 25 fractions and 59.4 in 33. After a median follow-up of six years, OS was 58% and 59% in the 45 Gy and the 59.4 Gy arms, respectively, whereas PFS was 47% and 50%. Differences recorded in OS and PFS were not statistically significant. Moreover, even differences in long-term sequelae were not different.
The trial sponsored by NCCTG/RTOG/ECOG aiming to assess the best dose of radiotherapy was conducted between 1986 and 1995 [103]. Two hundred and three patients with diffuse low-grade glioma (astrocytoma, oligoastrocytoma, and oligodendroglioma) were randomized to receive 50.4 Gy/28 fractions versus 64.8 Gy/36 fractions. In this trial, likewise, no differences were detected in OS and PFS. A secondary analysis revealed that only 5.3% of patients deteriorated after five years.
Considering the lack of results derived from recent clinical trials that considered the more recent WHO classification of LGG, performed with state of the art radiotherapy (and not with the radiotherapy performed 30 years ago) and with modern radiological imaging to identify the clinical target volume, currently, the dose of radiotherapy delivered to patients with LGG ranges between 45 and 54 Gy in 1.8/2 Gy fractions (it is a reasonable compromise between attempting to achieve tumor control and avoiding neurological side effects).
Once established that in patients with LGG a higher dose of radiotherapy did not improve OS or PFS, as it can on the contrary lead to a higher risk of neurotoxicity, several studies were planned to assess the introduction of concomitant or sequential chemotherapy to improve the efficacy of ionizing radiations and their therapeutic index. Between 1998 and 2002, the phase 3 study RTOG 9802 randomized 251 high-risk low-grade glioma patients (grade 2 astrocytoma, oligodendroglioma, or oligoastrocytoma) to receive 50 Gy alone or the same radiotherapy dose plus 12 cycles of CT with PCV (Procarbazine, Lomustine, and Vincristine) [104]. Tumor histology consisted of diffuse astrocytoma, oligodendroglioma, and mixed oligoastrocytoma. After a median follow-up of 11.9 years, despite an increased incidence of hematologic toxicity, the combination arm showed an improvement of both PFS and OS (Median OS: 13.3 versus 7.8 years, respectively, p = 0.003). The survival benefit was considerable in all histology and results of this trial supported the use of PCV after radiotherapy.
Several studies carried out in high-grade gliomas analyzed temozolomide to be delivered in association with radiotherapy [21,110,111]. The phase 2 study RTOG 0424 combined radiotherapy (54 Gy) with concomitant and sequential temozolomide [112]. Between 2005 and 2009, that study enrolled 129 high-risk diffuse low-grade glioma patients (oligodendroglioma, oligoastrocytoma and astrocytoma). In a preliminary analysis, the three-year OS rate was 73.1%, better than historical control (the period of recruitment, when biomolecular classification of low-grade glioma was not yet introduced in clinical practice, represents the limit of this study). However, in patients with LGG, there are currently no data from prospective clinical studies comparing the activity on OS and PFS of PCV regimen with temozolomide. Consequently, the choice of the agent to be considered is based on clinicians’ experience for any patient.
6. Role of Chemotherapy and New Systemic Treatments
Systemic treatments play an important role in the management of high-risk LGG (see Figure 3). The major current clinical trial is the RTOG 9802 trial [104] that compared radiotherapy exclusively versus radiotherapy and PCV regimen (procarbazine, CCNU and vincristine) for newly diagnosed high-risk LGG patients, defined as patients who have had incomplete tumor removal or as patients at least 40 years old (Table 4). In this trial, both progression-free survival and overall survival were significantly longer for patients receiving the combination of radiotherapy and PCV polychemotherapy with a tolerable safety profile. A recent molecular analysis on a fraction of patients from this trial [113] confirmed that patients with IDH mutated gliomas with or without 1p/19q codeletion benefited from the addition of PCV to radiotherapy, but suggested that patients with IDH wild-type astrocytomas may not benefit from this combination. Another phase III trial compared up-front chemotherapy alone by temozolomide versus radiotherapy alone for high-risk LGG [105]. If no difference between the two arms was observed on the whole cohort, radiotherapy seemed to be superior to chemotherapy for IDH mutated non-codeleted LGG on PFS. The methylation profile of the IDH mutated gliomas of this trial was then analyzed and seven CpGs of four DNA damage response genes (MGMT, MLH3, RAD21, and SMC4) might be predictive of PFS [114]. Moreover, the two MGMT CpGs identified (combined in a MGMT methylation score) might predict temozolomide benefits for IDH mutated patients regardless of codeletion status, suggesting a role for chemotherapy alone as initial treatment for a sub-group of patients with good prognosis and chemotherapy sensibility.
Figure 3.
Current algorithm of LGG clinical management. LGG: low.grade glioma; RT: radiotherapy; TMZ: temozolomide; PCV: procarbazine, CCNU, Vincristine; IDH wt = IDH wild-type; PD: progressive disease.
Table 4.
Clinical trials evaluating systemic treatments for newly diagnosed LGG patients.
Finally, the RTOG 0424 phase II trial [112] evaluated the combination of radiotherapy and concomitant and adjuvant temozolomide for newly diagnosed high-risk LGG defined by the presence of at least three poor prognostic factors. In this trial, authors compared their results with those of an historical control cohort, suggesting that the combination could be beneficial for a subgroup of LGG displaying a particularly high risk of recurrence. However, these results should be confirmed in a randomized phase III trial. In summary, the combination of radiotherapy followed by PCV polychemotherapy is the current standard of care for newly diagnosed LGG patients who have undergone a subtotal resection or biopsy, or who are 40 years of age or older.
The I-WOT study by the EORTC brain tumor group (EORTC-1635-BTG) is an ongoing randomized, phase 3 study analyzing patients with IDH mutated 1p/19q intact lower grade glioma following resection, without a need for immediate post-operative treatment; the study will establish whether early adjuvant treatment with radiotherapy and adjuvant temozolomide in this clinically favorable group of patients will improve outcome compared to active surveillance (see Figure 3).
At relapse, treatment depends on first-line therapies. A second surgery or alkylating agents could be proposed. The main chemotherapy used at relapse is temozolomide because of its good blood-brain barrier penetration and its favorable safety profile [119,120]. Bevacizumab, commonly used for recurrent high-grade astrocytomas, was evaluated in the “TAVAREC” randomized phase II trial in association with temozolomide, but no survival benefit was observed [121]. Regarding the other potential drugs for LGG at recurrence, the use of everolimus was associated with disease stability in a phase II trial [122], while the development of immunotherapies like vaccines [123] could open new opportunities for LGG patients. By contrast, sunitinib [124] or imatinib [125,126,127] were insufficiently active. Moreover, ivosidenib, an inhibitor of mutant IDH1, showed interesting results in recurrent LGG with mutated IDH [128], and a randomized phase 3 study with the similar drug vorasidenib (AG-881) is currently ongoing.
7. Epilepsy in Low-Grade Glioma
Seizures are frequently reported as the onset symptom in LGG, ranging from 25% to 80% with higher incidence in grade II [129,130]. Notably, the rate of attacks occurring more than three months before the diagnosis of a glioma is inversely related to the grade of the glioma, ranging up to 40% of patients with a LGG and representing an independent predictor of LGG when compared to high grade gliomas [130]. Seizure rate progresses over the course of tumor growth and reaches 90% incidence in diffuse LGG [131,132]. Risk factors for seizure are the IDH mutation and the location of LGG in superficial cortical, fronto-temporal, or insular regions [133,134]. A short seizure duration before surgery is associated with postoperative seizure control in LGG [135]. Since radiographic regression in LGG is slow, some authors proposed seizure frequency as a surrogate marker of tumor response in both trails and clinical setting [136,137]; we should note that seizures can be an early indicator of tumor progression, sometimes preceding tumor growth on MRI.
The extent of surgical resection is the main predictor of postoperative seizure control in LGG [135,138]. Radiation therapy and chemotherapeutic drugs for the treatment of LGG also contribute to seizure control [135,136]. Seizures arising from a brain tumor can be classified as symptomatic seizures with a focal onset, even if they manifest as a generalized seizure; therefore, antiepileptic drugs (AEDs) with available evidence for focal seizure control in the general population (such as levetiracetam, carbamazepine, and zonisamide), should be considered for the symptomatic treatment of LGG patients [139]. Among them, levetiracetam is a first choice in glioma patients for the lack of interaction with other drugs, its good tolerability, and its rapid titration [140,141]. Treatment can be initiated after the first seizure, while prophylactic treatment is not supported by solid evidence [142,143]. Rates of seizure freedom in 60–100% of cases were reported for levetiracetam, and in the range between 30% and 78% for pregabalin, valproic acid, topiramate, and oxcarbazepina in monotherapy [144,145,146,147,148].
When an add-on therapy is required, the combination of levetiracetam and valproic acid proved to be the most effective [144]. Favorable effects in add-on therapy were demonstrated, or emerged from preliminary data, also for the most recently marketed AEDs, such as lacosamide, lamotrigine, zonisamide, perampanel, and eslicarbazepine [146,149,150,151,152]. Lacosamide emerged as a valid alternative in focal seizures also in monotherapy [153,154], but solid evidence on large LGG population is still expected.
Non-cytochrome P450 enzyme-inducing AEDs such as levetiracetam and valproic acid should be preferred over enzyme-inducing ones such as phenytoin, carbamazepine, or older AEDs. Side effects are specific for each AED and include systemic (e.g., nausea, anorexia, thrombopenia, hair loss, weight gain) neurologic, and neurocognitive (e.g., diplopia, blurred vision, tremor, ataxia, somnolence, impaired cognitive performance) symptoms. To note, psychotic disorders are more commonly induced by levetiracetam [155] and LGG patients are particularly vulnerable because of the presence of tumor, the effects of surgery, and the concomitant oncological treatments.
Seizure and AED severely impact quality of life in LGG patients. Seizures can prevent several activities of daily living, including driving, swimming, and working, while side effects of AEDs contribute to the impairment of the quality of life [137]. AED withdrawal is controversial in patients with brain tumors and the risk of seizure recurrence should be counterbalanced by side effects of AEDs; the decision on withdrawal should be targeted to each individual patient [140,156].
A direct antitumor effect or an enhancement of antineoplastic drugs action has been advocated for some AEDs (i.e., valproic acrid, levetiracetam, perampanel, brivaracetam, and lacosamide) and some common pathways between epileptogenicity and glioma oncogenesis have been identified [150,157,158], but prospective clinical studies focusing on anticancer activity of AEDs are still lacking.
8. Conclusions
Questions regarding the optimum management of LGG persist although molecular characterization, diagnosis, and treatment are evolving. In the recent WHO classification of gliomas, the genetic profile of LGG was integrated with histological features providing subclasses with different biological behavior and outcome. Analysis of tumor activity using new neuroradiological tools may improve the diagnostic and therapeutic strategies for these tumors. Surgery plays a central role in delaying tumor progression and malignant transformation, and maximal safe surgical resection is recommended. Following surgical resection, radiotherapy and alkylating agents should be used for “high-risk” patients. However, according to recent studies, specific post-surgical treatment should be personalized and based on IDH mutational status and 1p/19q codeletion. Other clinical trials are ongoing to better understand the optimal strategy. New targeted therapies and immunotherapy involving the mutated IDH protein could improve the outcome in selected cases.
Author Contributions
G.L., V.B., A.C., E.T., F.P., A.S., G.C., M.C., M.P., V.Z., T.I. participated in article preparation, data analysis, and wrote the manuscript. All authors have read and agreed to the published version of the manuscript.
Funding
This research received no external funding.
Acknowledgments
The authors thank Christina Drace for English support.
Conflicts of Interest
The authors declare no conflict of interest.
References
- Louis, D.N.; Perry, A.; Reifenberger, G.; von Deimling, A.; Figarella-Branger, D.; Cavenee, W.K.; Ohgaki, H.; Wiestler, O.D.; Kleihues, P.; Ellison, D.W. The 2016 World Health Organization Classification of Tumors of the Central Nervous System: A summary. Acta Neuropathol. 2016, 131, 803–820. [Google Scholar] [CrossRef]
- Ostrom, Q.T.; Gittleman, H.; Fulop, J.; Liu, M.; Blanda, R.; Kromer, C.; Wolinsky, Y.; Kruchko, C.; Barnholtz-Sloan, J.S. CBTRUS Statistical Report: Primary Brain and Central Nervous System Tumors Diagnosed in the United States in 2008–2012. Neuro-Oncol. 2015, 17 (Suppl. S4), iv1–iv62. [Google Scholar] [CrossRef]
- Louis, D.N.; Ohgaki, H.; Wiestler, O.D.; Cavenee, W.K.; Burger, P.C.; Jouvet, A.; Scheithauer, B.W.; Kleihues, P. The 2007 WHO Classification of Tumours of the Central Nervous System. Acta Neuropathol. 2007, 114, 97–109. [Google Scholar] [CrossRef]
- Yan, H.; Parsons, D.W.; Jin, G.; McLendon, R.; Rasheed, B.A.; Yuan, W.; Kos, I.; Batinic-Haberle, I.; Jones, S.; Riggins, G.J.; et al. IDH1 and IDH2 mutations in gliomas. N. Engl. J. Med. 2009, 360, 765–773. [Google Scholar] [CrossRef]
- Hartmann, C.; Hentschel, B.; Wick, W.; Felsberg, J.; Simon, M.; Westphal, M.; Schackert, G.; Meyermann, R.; Pietsch, T.; Reifenberger, G.; et al. Patients with IDH1 wild type anaplastic astrocytomas exhibit worse prognosis than IDH1-mutated glioblastomas, and IDH1 mutation status accounts for the unfavorable prognostic effect of higher age: Implications for classification of gliomas. Acta Neuropathol. 2010, 120, 707–718. [Google Scholar] [CrossRef] [PubMed]
- Leeper, H.E.; Caron, A.A.; Decker, P.A.; Jenkins, R.B.; Lachance, D.H.; Giannini, C. IDH mutation, 1p19q codeletion and ATRX loss in WHO grade II gliomas. Oncotarget 2015, 6, 30295–30305. [Google Scholar] [CrossRef] [PubMed]
- Capper, D.; Weissert, S.; Balss, J.; Habel, A.; Meyer, J.; Jäger, D.; Ackermann, U.; Tessmer, C.; Korshunov, A.; Zentgraf, H.; et al. Characterization of R132H mutation-specific IDH1 antibody binding in brain tumors. Brain Pathol. 2010, 20, 245–254. [Google Scholar] [CrossRef] [PubMed]
- Gravendeel, L.A.M.; Kloosterhof, N.K.; Bralten, L.B.C.; van Marion, R.; Dubbink, H.J.; Dinjens, W.; Bleeker, F.E.; Hoogenraad, C.C.; Michiels, E.; Kros, J.M.; et al. Segregation of non-p.R132H mutations in IDH1 in distinct molecular subtypes of glioma. Hum. Mutat. 2010, 31, E1186–E1199. [Google Scholar] [CrossRef]
- Appay, R.; Tabouret, E.; Macagno, N.; Touat, M.; Carpentier, C.; Colin, C.; Ducray, F.; Idbaih, A.; Mokhtari, K.; Uro-Coste, E.; et al. IDH2 mutations are commonly associated with 1p/19q codeletion in diffuse adult gliomas. Neuro-Oncol. 2018, 20, 716–718. [Google Scholar] [CrossRef] [PubMed]
- Griffin, C.A.; Burger, P.; Morsberger, L.; Yonescu, R.; Swierczynski, S.; Weingart, J.D.; Murphy, K.M. Identification of der(1;19)(q10;p10) in five oligodendrogliomas suggests mechanism of concurrent 1p and 19q loss. J. Neuropathol. Exp. Neurol. 2006, 65, 988–994. [Google Scholar] [CrossRef]
- Woehrer, A.; Hainfellner, J.A. Molecular diagnostics: Techniques and recommendations for 1p/19q assessment. CNS Oncol. 2015, 4, 295–306. [Google Scholar] [CrossRef] [PubMed]
- Tanboon, J.; Williams, E.A.; Louis, D.N. The Diagnostic Use of Immunohistochemical Surrogates for Signature Molecular Genetic Alterations in Gliomas. J. Neuropathol. Exp. Neurol. 2016, 75, 4–18. [Google Scholar] [CrossRef] [PubMed]
- Louis, D.N.; Giannini, C.; Capper, D.; Paulus, W.; Figarella-Branger, D.; Lopes, M.B.; Batchelor, T.T.; Cairncross, J.G.; van den Bent, M.; Wick, W.; et al. cIMPACT-NOW update 2: Diagnostic clarifications for diffuse midline glioma, H3 K27M-mutant and diffuse astrocytoma/anaplastic astrocytoma, IDH-mutant. Acta Neuropathol. 2018, 135, 639–642. [Google Scholar] [CrossRef]
- Barresi, V.; Lionti, S.; Valori, L.; Gallina, G.; Caffo, M.; Rossi, S. Dual-Genotype Diffuse Low-Grade Glioma: Is It Really Time to Abandon Oligoastrocytoma As a Distinct Entity? J. Neuropathol. Exp. Neurol. 2017, 76, 342–346. [Google Scholar] [CrossRef] [PubMed]
- Aibaidula, A.; Chan, A.K.-Y.; Shi, Z.; Li, Y.; Zhang, R.; Yang, R.; Li, K.K.-W.; Chung, N.Y.-F.; Yao, Y.; Zhou, L.; et al. Adult IDH wild-type lower-grade gliomas should be further stratified. Neuro-Oncol. 2017, 19, 1327–1337. [Google Scholar] [CrossRef]
- Khuong-Quang, D.-A.; Buczkowicz, P.; Rakopoulos, P.; Liu, X.-Y.; Fontebasso, A.M.; Bouffet, E.; Bartels, U.; Albrecht, S.; Schwartzentruber, J.; Letourneau, L.; et al. K27M mutation in histone H3.3 defines clinically and biologically distinct subgroups of pediatric diffuse intrinsic pontine gliomas. Acta Neuropathol. 2012, 124, 439–447. [Google Scholar] [CrossRef]
- Ellison, D.W.; Hawkins, C.; Jones, D.T.W.; Onar-Thomas, A.; Pfister, S.M.; Reifenberger, G.; Louis, D.N. cIMPACT-NOW update 4: Diffuse gliomas characterized by MYB, MYBL1, or FGFR1 alterations or BRAFV600E mutation. Acta Neuropathol. 2019, 137, 683–687. [Google Scholar] [CrossRef]
- Cancer Genome Atlas Research Network; Brat, D.J.; Verhaak, R.G.W.; Aldape, K.D.; Yung, W.K.A.; Salama, S.R.; Cooper, L.A.D.; Rheinbay, E.; Miller, C.R.; Vitucci, M.; et al. Comprehensive, Integrative Genomic Analysis of Diffuse Lower-Grade Gliomas. N. Engl. J. Med. 2015, 372, 2481–2498. [Google Scholar] [CrossRef]
- Stichel, D.; Ebrahimi, A.; Reuss, D.; Schrimpf, D.; Ono, T.; Shirahata, M.; Reifenberger, G.; Weller, M.; Hänggi, D.; Wick, W.; et al. Distribution of EGFR amplification, combined chromosome 7 gain and chromosome 10 loss, and TERT promoter mutation in brain tumors and their potential for the reclassification of IDHwt astrocytoma to glioblastoma. Acta Neuropathol. 2018, 136, 793–803. [Google Scholar] [CrossRef]
- Fouke, S.J.; Benzinger, T.; Gibson, D.; Ryken, T.C.; Kalkanis, S.N.; Olson, J.J. The role of imaging in the management of adults with diffuse low grade glioma: A systematic review and evidence-based clinical practice guideline. J. Neurooncol. 2015, 125, 457–479. [Google Scholar] [CrossRef]
- Weller, M.; van den Bent, M.; Tonn, J.C.; Stupp, R.; Preusser, M.; Cohen-Jonathan-Moyal, E.; Henriksson, R.; Rhun, E.L.; Balana, C.; Chinot, O.; et al. European Association for Neuro-Oncology (EANO) guideline on the diagnosis and treatment of adult astrocytic and oligodendroglial gliomas. Lancet Oncol. 2017, 18, e315–e329. [Google Scholar] [CrossRef]
- Ellingson, B.M.; Bendszus, M.; Boxerman, J.; Barboriak, D.; Erickson, B.J.; Smits, M.; Nelson, S.J.; Gerstner, E.; Alexander, B.; Goldmacher, G.; et al. Consensus recommendations for a standardized Brain Tumor Imaging Protocol in clinical trials. Neuro-Oncol. 2015, 17, 1188–1198. [Google Scholar] [CrossRef] [PubMed]
- Thust, S.C.; Heiland, S.; Falini, A.; Jäger, H.R.; Waldman, A.D.; Sundgren, P.C.; Godi, C.; Katsaros, V.K.; Ramos, A.; Bargallo, N.; et al. Glioma imaging in Europe: A survey of 220 centres and recommendations for best clinical practice. Eur. Radiol. 2018, 28, 3306–3317. [Google Scholar] [CrossRef] [PubMed]
- Hsu, C.C.-T.; Watkins, T.W.; Kwan, G.N.C.; Haacke, E.M. Susceptibility-Weighted Imaging of Glioma: Update on Current Imaging Status and Future Directions. J. Neuroimaging 2016, 26, 383–390. [Google Scholar] [CrossRef]
- Li, X.; Zhu, Y.; Kang, H.; Zhang, Y.; Liang, H.; Wang, S.; Zhang, W. Glioma grading by microvascular permeability parameters derived from dynamic contrast-enhanced MRI and intratumoral susceptibility signal on susceptibility weighted imaging. Cancer Imaging 2015, 15, 4. [Google Scholar] [CrossRef]
- Riva, M.; Bello, L. Low-grade glioma management: A contemporary surgical approach. Curr. Opin. Oncol. 2014, 26, 615–621. [Google Scholar] [CrossRef]
- Brasil Caseiras, G.; Ciccarelli, O.; Altmann, D.R.; Benton, C.E.; Tozer, D.J.; Tofts, P.S.; Yousry, T.A.; Rees, J.; Waldman, A.D.; Jäger, H.R. Low-Grade Gliomas: Six-month Tumor Growth Predicts Patient Outcome Better than Admission Tumor Volume, Relative Cerebral Blood Volume, and Apparent Diffusion Coefficient. Radiology 2009, 253, 505–512. [Google Scholar] [CrossRef]
- Rees, J.; Watt, H.; Jäger, H.R.; Benton, C.; Tozer, D.; Tofts, P.; Waldman, A. Volumes and growth rates of untreated adult low-grade gliomas indicate risk of early malignant transformation. Eur. J. Radiol. 2009, 72, 54–64. [Google Scholar] [CrossRef]
- Pallud, J.; Blonski, M.; Mandonnet, E.; Audureau, E.; Fontaine, D.; Sanai, N.; Bauchet, L.; Peruzzi, P.; Frénay, M.; Colin, P.; et al. Velocity of tumor spontaneous expansion predicts long-term outcomes for diffuse low-grade gliomas. Neuro-Oncol. 2013, 15, 595–606. [Google Scholar] [CrossRef]
- Castellano, A.; Falini, A. Progress in neuro-imaging of brain tumors. Curr. Opin. Oncol. 2016, 28, 1. [Google Scholar] [CrossRef]
- Zhou, M.; Scott, J.; Chaudhury, B.; Hall, L.; Goldgof, D.; Yeom, K.W.; Iv, M.; Ou, Y.; Kalpathy-Cramer, J.; Napel, S.; et al. Radiomics in Brain Tumor: Image Assessment, Quantitative Feature Descriptors, and Machine-Learning Approaches. AJNR Am. J. Neuroradiol. 2018, 39, 208–216. [Google Scholar] [CrossRef] [PubMed]
- Abrol, S.; Kotrotsou, A.; Salem, A.; Zinn, P.O.; Colen, R.R. Radiomic Phenotyping in Brain Cancer to Unravel Hidden Information in Medical Images. Top. Magn. Reason. Imaging 2017, 26, 43–53. [Google Scholar] [CrossRef] [PubMed]
- Aerts, H.J.W.L.; Velazquez, E.R.; Leijenaar, R.T.H.; Parmar, C.; Grossmann, P.; Carvalho, S.; Cavalho, S.; Bussink, J.; Monshouwer, R.; Haibe-Kains, B.; et al. Decoding tumour phenotype by noninvasive imaging using a quantitative radiomics approach. Nat. Commun. 2014, 5, 4006. [Google Scholar] [CrossRef] [PubMed]
- Maier, S.E.; Sun, Y.; Mulkern, R.V. Diffusion imaging of brain tumors. NMR Biomed. 2010, 23, 849–864. [Google Scholar] [CrossRef]
- Miloushev, V.Z.; Chow, D.S.; Filippi, C.G. Meta-Analysis of Diffusion Metrics for the Prediction of Tumor Grade in Gliomas. Am. J. Neuroradiol. 2015, 36, 302–308. [Google Scholar] [CrossRef]
- Thust, S.C.; Hassanein, S.; Bisdas, S.; Rees, J.H.; Hyare, H.; Maynard, J.A.; Brandner, S.; Tur, C.; Jäger, H.R.; Yousry, T.A.; et al. Apparent diffusion coefficient for molecular subtyping of non-gadolinium-enhancing WHO grade II/III glioma: Volumetric segmentation versus two-dimensional region of interest analysis. Eur. Radiol. 2018, 28, 3779–3788. [Google Scholar] [CrossRef]
- Wu, C.-C.; Jain, R.; Radmanesh, A.; Poisson, L.M.; Guo, W.-Y.; Zagzag, D.; Snuderl, M.; Placantonakis, D.G.; Golfinos, J.; Chi, A.S. Predicting Genotype and Survival in Glioma Using Standard Clinical MR Imaging Apparent Diffusion Coefficient Images: A Pilot Study from The Cancer Genome Atlas. AJNR Am. J. Neuroradiol. 2018, 39, 1814–1820. [Google Scholar] [CrossRef]
- Sternberg, E.J.; Lipton, M.L.; Burns, J. Utility of diffusion tensor imaging in evaluation of the peritumoral region in patients with primary and metastatic brain tumors. AJNR Am. J. Neuroradiol. 2014, 35, 439–444. [Google Scholar] [CrossRef]
- Castellano, A.; Donativi, M.; Rudà, R.; De Nunzio, G.; Riva, M.; Iadanza, A.; Bertero, L.; Rucco, M.; Bello, L.; Soffietti, R.; et al. Evaluation of low-grade glioma structural changes after chemotherapy using DTI-based histogram analysis and functional diffusion maps. Eur. Radiol. 2016, 26, 1263–1273. [Google Scholar] [CrossRef]
- Law, M.; Young, R.J.; Babb, J.S.; Peccerelli, N.; Chheang, S.; Gruber, M.L.; Miller, D.C.; Golfinos, J.G.; Zagzag, D.; Johnson, G. Gliomas: Predicting time to progression or survival with cerebral blood volume measurements at dynamic susceptibility-weighted contrast-enhanced perfusion MR imaging. Radiology 2008, 247, 490–498. [Google Scholar] [CrossRef]
- Kickingereder, P.; Sahm, F.; Radbruch, A.; Wick, W.; Heiland, S.; von Deimling, A.; Bendszus, M.; Wiestler, B. IDH mutation status is associated with a distinct hypoxia/angiogenesis transcriptome signature which is non-invasively predictable with rCBV imaging in human glioma. Sci. Rep. 2015, 5, 16238. [Google Scholar] [CrossRef] [PubMed]
- Liang, J.; Liu, D.; Gao, P.; Zhang, D.; Chen, H.; Shi, C.; Luo, L. Diagnostic Values of DCE-MRI and DSC-MRI for Differentiation Between High-grade and Low-grade Gliomas: A Comprehensive Meta-analysis. Acad. Radiol. 2018, 25, 338–348. [Google Scholar] [CrossRef]
- Liu, T.; Cheng, G.; Kang, X.; Xi, Y.; Zhu, Y.; Wang, K.; Sun, C.; Ye, J.; Li, P.; Yin, H. Noninvasively evaluating the grading and IDH1 mutation status of diffuse gliomas by three-dimensional pseudo-continuous arterial spin labeling and diffusion-weighted imaging. Neuroradiology 2018, 60, 693–702. [Google Scholar] [CrossRef]
- Anzalone, N.; Castellano, A.; Cadioli, M.; Conte, G.M.; Cuccarini, V.; Bizzi, A.; Grimaldi, M.; Costa, A.; Grillea, G.; Vitali, P.; et al. Brain Gliomas: Multicenter Standardized Assessment of Dynamic Contrast-enhanced and Dynamic Susceptibility Contrast MR Images. Radiology 2018, 287, 933–943. [Google Scholar] [CrossRef] [PubMed]
- Conte, G.M.; Castellano, A.; Altabella, L.; Iadanza, A.; Cadioli, M.; Falini, A.; Anzalone, N. Reproducibility of dynamic contrast-enhanced MRI and dynamic susceptibility contrast MRI in the study of brain gliomas: A comparison of data obtained using different commercial software. Radiol. Med. 2017, 122, 294–302. [Google Scholar] [CrossRef]
- Chaumeil, M.M.; Lupo, J.M.; Ronen, S.M. Magnetic Resonance (MR) Metabolic Imaging in Glioma. Brain Pathol. 2015, 25, 769–780. [Google Scholar] [CrossRef]
- Choi, C.; Ganji, S.K.; DeBerardinis, R.J.; Hatanpaa, K.J.; Rakheja, D.; Kovacs, Z.; Yang, X.-L.; Mashimo, T.; Raisanen, J.M.; Marin-Valencia, I.; et al. 2-hydroxyglutarate detection by magnetic resonance spectroscopy in IDH-mutated patients with gliomas. Nat. Med. 2012, 18, 624–629. [Google Scholar] [CrossRef] [PubMed]
- Andronesi, O.C.; Kim, G.S.; Gerstner, E.; Batchelor, T.; Tzika, A.A.; Fantin, V.R.; Vander Heiden, M.G.; Sorensen, A.G. Detection of 2-hydroxyglutarate in IDH-mutated glioma patients by in vivo spectral-editing and 2D correlation magnetic resonance spectroscopy. Sci. Transl. Med. 2012, 4, 116ra4. [Google Scholar] [CrossRef] [PubMed]
- Suh, C.H.; Kim, H.S.; Jung, S.C.; Choi, C.G.; Kim, S.J. 2-Hydroxyglutarate MR spectroscopy for prediction of isocitrate dehydrogenase mutant glioma: A systemic review and meta-analysis using individual patient data. Neuro-Oncol. 2018, 20, 1573–1583. [Google Scholar] [CrossRef]
- Andronesi, O.C.; Loebel, F.; Bogner, W.; Marjańska, M.; Heiden, M.G.V.; Iafrate, A.J.; Dietrich, J.; Batchelor, T.T.; Gerstner, E.R.; Kaelin, W.G.; et al. Treatment Response Assessment in IDH-Mutant Glioma Patients by Noninvasive 3D Functional Spectroscopic Mapping of 2-Hydroxyglutarate. Clin. Cancer Res. 2016, 22, 1632–1641. [Google Scholar] [CrossRef] [PubMed]
- Choi, C.; Raisanen, J.M.; Ganji, S.K.; Zhang, S.; McNeil, S.S.; An, Z.; Madan, A.; Hatanpaa, K.J.; Vemireddy, V.; Sheppard, C.A.; et al. Prospective longitudinal analysis of 2-hydroxyglutarate magnetic resonance spectroscopy identifies broad clinical utility for the management of patients with IDH-mutant glioma. J. Clin. Oncol. Off. J. Am. Soc. Clin. Oncol. 2016, 34, 4030–4039. [Google Scholar] [CrossRef]
- Andronesi, O.C.; Arrillaga-Romany, I.C.; Ly, K.I.; Bogner, W.; Ratai, E.M.; Reitz, K.; Iafrate, A.J.; Dietrich, J.; Gerstner, E.R.; Chi, A.S.; et al. Pharmacodynamics of mutant-IDH1 inhibitors in glioma patients probed by in vivo 3D MRS imaging of 2-hydroxyglutarate. Nat. Commun. 2018, 9, 1474. [Google Scholar] [CrossRef]
- Castellano, A.; Cirillo, S.; Bello, L.; Riva, M.; Falini, A. Functional MRI for Surgery of Gliomas. Curr. Treat. Options Neurol. 2017, 19, 34. [Google Scholar] [CrossRef]
- Bizzi, A.; Blasi, V.; Falini, A.; Ferroli, P.; Cadioli, M.; Danesi, U.; Aquino, D.; Marras, C.; Caldiroli, D.; Broggi, G. Presurgical functional MR imaging of language and motor functions: Validation with intraoperative electrocortical mapping. Radiology 2008, 248, 579–589. [Google Scholar] [CrossRef] [PubMed]
- Cirillo, S.; Caulo, M.; Pieri, V.; Falini, A.; Castellano, A. Role of Functional Imaging Techniques to Assess Motor and Language Cortical Plasticity in Glioma Patients: A Systematic Review. Neural Plast. 2019, 2019, 4056436. [Google Scholar] [CrossRef]
- La Fougère, C.; Suchorska, B.; Bartenstein, P.; Kreth, F.-W.; Tonn, J.-C. Molecular imaging of gliomas with PET: Opportunities and limitations. Neuro-Oncol. 2011, 13, 806–819. [Google Scholar] [CrossRef] [PubMed]
- Falk Delgado, A.; Falk Delgado, A. Discrimination between primary low-grade and high-grade glioma with 11C-methionine PET: A bivariate diagnostic test accuracy meta-analysis. Br. J. Radiol. 2018, 91, 20170426. [Google Scholar] [CrossRef]
- Näslund, O.; Smits, A.; Förander, P.; Laesser, M.; Bartek, J.; Gempt, J.; Liljegren, A.; Daxberg, E.-L.; Jakola, A.S. Amino acid tracers in PET imaging of diffuse low-grade gliomas: A systematic review of preoperative applications. Acta Neurochir. (Wien) 2018, 160, 1451–1460. [Google Scholar] [CrossRef]
- Albert, N.L.; Weller, M.; Suchorska, B.; Galldiks, N.; Soffietti, R.; Kim, M.M.; la Fougère, C.; Pope, W.; Law, I.; Arbizu, J.; et al. Response Assessment in Neuro-Oncology working group and European Association for Neuro-Oncology recommendations for the clinical use of PET imaging in gliomas. Neuro-Oncol. 2016, 18, 1199–1208. [Google Scholar] [CrossRef]
- Riva, M.; Lopci, E.; Castellano, A.; Olivari, L.; Gallucci, M.; Pessina, F.; Fernandes, B.; Simonelli, M.; Navarria, P.; Grimaldi, M.; et al. Lower Grade Gliomas: Relationships Between Metabolic and Structural Imaging with Grading and Molecular Factors. World Neurosurg. 2019, 126, e270–e280. [Google Scholar] [CrossRef]
- Duffau, H. Preserving quality of life is not incompatible with increasing overall survival in diffuse low-grade glioma patients. Acta Neurochir. (Wien) 2015, 157, 165–167. [Google Scholar] [CrossRef] [PubMed]
- Rudà, R.; Angileri, F.F.; Ius, T.; Silvani, A.; Sarubbo, S.; Solari, A.; Castellano, A.; Falini, A.; Pollo, B.; Del Basso De Caro, M.; et al. Italian consensus and recommendations on diagnosis and treatment of low-grade gliomas. An intersociety (SINch/AINO/SIN) document. J. Neurosurg. Sci. 2020, 64, 313–334. [Google Scholar] [CrossRef] [PubMed]
- Brown, T.J.; Bota, D.A.; van Den Bent, M.J.; Brown, P.D.; Maher, E.; Aregawi, D.; Liau, L.M.; Buckner, J.C.; Weller, M.; Berger, M.S.; et al. Management of low-grade glioma: A systematic review and meta-analysis. Neurooncol. Pract. 2019, 6, 249–258. [Google Scholar] [CrossRef] [PubMed]
- Capelle, L.; Fontaine, D.; Mandonnet, E.; Taillandier, L.; Golmard, J.L.; Bauchet, L.; Pallud, J.; Peruzzi, P.; Baron, M.H.; Kujas, M.; et al. Spontaneous and therapeutic prognostic factors in adult hemispheric World Health Organization Grade II gliomas: A series of 1097 cases: Clinical article. J. Neurosurg. 2013, 118, 1157–1168. [Google Scholar] [CrossRef]
- Choi, J.; Kim, S.H.; Ahn, S.S.; Choi, H.J.; Yoon, H.I.; Cho, J.H.; Roh, T.H.; Kang, S.-G.; Chang, J.H.; Suh, C.-O. Extent of resection and molecular pathologic subtype are potent prognostic factors of adult WHO grade II glioma. Sci. Rep. 2020, 10, 2086. [Google Scholar] [CrossRef]
- Clark, V.E.; Cahill, D.P. Extent of Resection Versus Molecular Classification: What Matters When? Neurosurg. Clin. N. Am. 2019, 30, 95–101. [Google Scholar] [CrossRef]
- Claus, E.B.; Horlacher, A.; Hsu, L.; Schwartz, R.B.; Dello-Iacono, D.; Talos, F.; Jolesz, F.A.; Black, P.M. Survival rates in patients with low-grade glioma after intraoperative magnetic resonance image guidance. Cancer 2005, 103, 1227–1233. [Google Scholar] [CrossRef]
- Cesselli, D.; Ius, T.; Isola, M.; Del Ben, F.; Da Col, G.; Bulfoni, M.; Turetta, M.; Pegolo, E.; Marzinotto, S.; Scott, C.A.; et al. Application of an Artificial Intelligence Algorithm to Prognostically Stratify Grade II Gliomas. Cancers (Basel) 2019, 12, 50. [Google Scholar] [CrossRef]
- Kavouridis, V.K.; Boaro, A.; Dorr, J.; Cho, E.Y.; Iorgulescu, J.B.; Reardon, D.A.; Arnaout, O.; Smith, T.R. Contemporary assessment of extent of resection in molecularly defined categories of diffuse low-grade glioma: A volumetric analysis. J. Neurosurg. 2019, 1–11. [Google Scholar] [CrossRef]
- Ius, T.; Isola, M.; Budai, R.; Pauletto, G.; Tomasino, B.; Fadiga, L.; Skrap, M. Low-grade glioma surgery in eloquent areas: Volumetric analysis of extent of resection and its impact on overall survival. A single-institution experience in 190 patients: Clinical article. J. Neurosurg. 2012, 117, 1039–1052. [Google Scholar] [CrossRef]
- Ius, T.; Ciani, Y.; Ruaro, M.E.; Isola, M.; Sorrentino, M.; Bulfoni, M.; Candotti, V.; Correcig, C.; Bourkoula, E.; Manini, I.; et al. An NF-κB signature predicts low-grade glioma prognosis: A precision medicine approach based on patient-derived stem cells. Neuro-Oncol. 2018, 20, 776–787. [Google Scholar] [CrossRef] [PubMed]
- Hervey-Jumper, S.L.; Berger, M.S. Maximizing safe resection of low- and high-grade glioma. J. Neurooncol. 2016, 130, 269–282. [Google Scholar] [CrossRef] [PubMed]
- Lang, F.F.; Gilbert, M.R. Diffusely infiltrative low-grade gliomas in adults. J. Clin. Oncol. 2006, 24, 1236–1245. [Google Scholar] [CrossRef] [PubMed]
- Nitta, M.; Muragaki, Y.; Maruyama, T.; Ikuta, S.; Komori, T.; Maebayashi, K.; Iseki, H.; Tamura, M.; Saito, T.; Okamoto, S.; et al. Proposed therapeutic strategy for adult low-grade glioma based on aggressive tumor resection. Neurosurg. Focus 2015, 38, E7. [Google Scholar] [CrossRef] [PubMed]
- Sanai, N.; Berger, M.S. Surgical oncology for gliomas: The state of the art. Nat. Rev. Clin. Oncol. 2018, 15, 112–125. [Google Scholar] [CrossRef]
- Sanai, N.; Chang, S.; Berger, M.S. Low-grade gliomas in adults. J. Neurosurg. 2011, 115, 948–965. [Google Scholar] [CrossRef]
- Skrap, M.; Mondani, M.; Tomasino, B.; Weis, L.; Budai, R.; Pauletto, G.; Eleopra, R.; Fadiga, L.; Ius, T. Surgery of insular nonenhancing gliomas: Volumetric analysis of tumoral resection, clinical outcome, and survival in a consecutive series of 66 cases. Neurosurgery 2012, 70, 1081–1093. [Google Scholar] [CrossRef]
- Smith, J.S.; Chang, E.F.; Lamborn, K.R.; Chang, S.M.; Prados, M.D.; Cha, S.; Tihan, T.; Vandenberg, S.; McDermott, M.W.; Berger, M.S. Role of extent of resection in the long-term outcome of low-grade hemispheric gliomas. J. Clin. Oncol. 2008, 26, 1338–1345. [Google Scholar] [CrossRef]
- Ius, T.; Angelini, E.; Thiebaut de Schotten, M.; Mandonnet, E.; Duffau, H. Evidence for potentials and limitations of brain plasticity using an atlas of functional resectability of WHO grade II gliomas: Towards a “minimal common brain”. Neuroimage 2011, 56, 992–1000. [Google Scholar] [CrossRef]
- Raffa, G.; Quattropani, M.C.; Scibilia, A.; Conti, A.; Angileri, F.F.; Esposito, F.; Sindorio, C.; Cardali, S.M.; Germanò, A.; Tomasello, F. Surgery of language-eloquent tumors in patients not eligible for awake surgery: The impact of a protocol based on navigated transcranial magnetic stimulation on presurgical planning and language outcome, with evidence of tumor-induced intra-hemispheric plasticity. Clin. Neurol. Neurosurg. 2018, 168, 127–139. [Google Scholar] [CrossRef]
- Duffau, H. Is non-awake surgery for supratentorial adult low-grade glioma treatment still feasible? Neurosurg. Rev. 2018, 41, 133–139. [Google Scholar] [CrossRef] [PubMed]
- De Witt Hamer, P.C.; Robles, S.G.; Zwinderman, A.H.; Duffau, H.; Berger, M.S. Impact of intraoperative stimulation brain mapping on glioma surgery outcome: A meta-analysis. J. Clin. Oncol. 2012, 30, 2559–2565. [Google Scholar] [CrossRef] [PubMed]
- Raffa, G.; Scibilia, A.; Conti, A.; Ricciardo, G.; Rizzo, V.; Morelli, A.; Angileri, F.F.; Cardali, S.M.; Germanò, A. The role of navigated transcranial magnetic stimulation for surgery of motor-eloquent brain tumors: A systematic review and meta-analysis. Clin. Neurol. Neurosurg. 2019, 180, 7–17. [Google Scholar] [CrossRef]
- Skrap, M.; Marin, D.; Ius, T.; Fabbro, F.; Tomasino, B. Brain mapping: A novel intraoperative neuropsychological approach. J. Neurosurg. 2016, 125, 877–887. [Google Scholar] [CrossRef] [PubMed]
- Szelényi, A.; Bello, L.; Duffau, H.; Fava, E.; Feigl, G.C.; Galanda, M.; Neuloh, G.; Signorelli, F.; Sala, F. Workgroup for Intraoperative Management in Low-Grade Glioma Surgery within the European Low-Grade Glioma Network Intraoperative electrical stimulation in awake craniotomy: Methodological aspects of current practice. Neurosurg. Focus 2010, 28, E7. [Google Scholar] [CrossRef]
- Krivosheya, D.; Prabhu, S.S.; Weinberg, J.S.; Sawaya, R. Technical principles in glioma surgery and preoperative considerations. J. Neurooncol. 2016, 130, 243–252. [Google Scholar] [CrossRef] [PubMed]
- Bello, L.; Castellano, A.; Fava, E.; Casaceli, G.; Riva, M.; Scotti, G.; Gaini, S.M.; Falini, A. Intraoperative use of diffusion tensor imaging fiber tractography and subcortical mapping for resection of gliomas: Technical considerations. Neurosurg. Focus 2010, 28, E6. [Google Scholar] [CrossRef]
- Majchrzak, K.; Kaspera, W.; Bobek-Billewicz, B.; Hebda, A.; Stasik-Pres, G.; Majchrzak, H.; Ładziński, P. The assessment of prognostic factors in surgical treatment of low-grade gliomas: A prospective study. Clin. Neurol. Neurosurg. 2012, 114, 1135–1144. [Google Scholar] [CrossRef]
- Snyder, L.A.; Wolf, A.B.; Oppenlander, M.E.; Bina, R.; Wilson, J.R.; Ashby, L.; Brachman, D.; Coons, S.W.; Spetzler, R.F.; Sanai, N. The impact of extent of resection on malignant transformation of pure oligodendrogliomas. J. Neurosurg. 2014, 120, 309–314. [Google Scholar] [CrossRef]
- Coburger, J.; Merkel, A.; Scherer, M.; Schwartz, F.; Gessler, F.; Roder, C.; Pala, A.; König, R.; Bullinger, L.; Nagel, G.; et al. Low-grade Glioma Surgery in Intraoperative Magnetic Resonance Imaging: Results of a Multicenter Retrospective Assessment of the German Study Group for Intraoperative Magnetic Resonance Imaging. Neurosurgery 2016, 78, 775–786. [Google Scholar] [CrossRef]
- Jungk, C.; Scherer, M.; Mock, A.; Capper, D.; Radbruch, A.; von Deimling, A.; Bendszus, M.; Herold-Mende, C.; Unterberg, A. Prognostic value of the extent of resection in supratentorial WHO grade II astrocytomas stratified for IDH1 mutation status: A single-center volumetric analysis. J. Neurooncol. 2016, 129, 319–328. [Google Scholar] [CrossRef]
- Roelz, R.; Strohmaier, D.; Jabbarli, R.; Kraeutle, R.; Egger, K.; Coenen, V.A.; Weyerbrock, A.; Reinacher, P.C. Residual Tumor Volume as Best Outcome Predictor in Low Grade Glioma—A Nine-Years Near-Randomized Survey of Surgery vs. Biopsy. Sci. Rep. 2016, 6, 32286. [Google Scholar] [CrossRef] [PubMed]
- Eseonu, C.I.; ReFaey, K.; Garcia, O.; Raghuraman, G.; Quinones-Hinojosa, A. Volumetric Analysis of Extent of Resection, Survival, and Surgical Outcomes for Insular Gliomas. World Neurosurg. 2017, 103, 265–274. [Google Scholar] [CrossRef]
- Eseonu, C.I.; Eguia, F.; ReFaey, K.; Garcia, O.; Rodriguez, F.J.; Chaichana, K.; Quinones-Hinojosa, A. Comparative volumetric analysis of the extent of resection of molecularly and histologically distinct low grade gliomas and its role on survival. J. Neurooncol. 2017, 134, 65–74. [Google Scholar] [CrossRef] [PubMed]
- Patel, T.; Bander, E.D.; Venn, R.A.; Powell, T.; Cederquist, G.Y.-M.; Schaefer, P.M.; Puchi, L.A.; Akhmerov, A.; Ogilvie, S.; Reiner, A.S.; et al. The Role of Extent of Resection in IDH1 Wild-Type or Mutant Low-Grade Gliomas. Neurosurgery 2018, 82, 808–814. [Google Scholar] [CrossRef]
- Wijnenga, M.M.J.; French, P.J.; Dubbink, H.J.; Dinjens, W.N.M.; Atmodimedjo, P.N.; Kros, J.M.; Smits, M.; Gahrmann, R.; Rutten, G.-J.; Verheul, J.B.; et al. The impact of surgery in molecularly defined low-grade glioma: An integrated clinical, radiological, and molecular analysis. Neuro-Oncol. 2018, 20, 103–112. [Google Scholar] [CrossRef] [PubMed]
- Hameed, N.U.F.; Qiu, T.; Zhuang, D.; Lu, J.; Yu, Z.; Wu, S.; Wu, B.; Zhu, F.; Song, Y.; Chen, H.; et al. Transcortical insular glioma resection: Clinical outcome and predictors. J. Neurosurg. 2018, 131, 706–716. [Google Scholar] [CrossRef] [PubMed]
- Morshed, R.A.; Han, S.J.; Hervey-Jumper, S.L.; Pekmezci, M.; Troncon, I.; Chang, S.M.; Butowski, N.A.; Berger, M.S. Molecular features and clinical outcomes in surgically treated low-grade diffuse gliomas in patients over the age of 60. J. Neurooncol. 2019, 141, 383–391. [Google Scholar] [CrossRef] [PubMed]
- Bø, H.K.; Solheim, O.; Kvistad, K.-A.; Berntsen, E.M.; Torp, S.H.; Skjulsvik, A.J.; Reinertsen, I.; Iversen, D.H.; Unsgård, G.; Jakola, A.S. Intraoperative 3D ultrasound-guided resection of diffuse low-grade gliomas: Radiological and clinical results. J. Neurosurg. 2019, 132, 518–529. [Google Scholar] [CrossRef]
- Wang, T.J.C.; Mehta, M.P. Low-Grade Glioma Radiotherapy Treatment and Trials. Neurosurg. Clin. 2019, 30, 111–118. [Google Scholar] [CrossRef]
- Karim, A.B.; Maat, B.; Hatlevoll, R.; Menten, J.; Rutten, E.H.; Thomas, D.G.; Mascarenhas, F.; Horiot, J.C.; Parvinen, L.M.; van Reijn, M.; et al. A randomized trial on dose-response in radiation therapy of low-grade cerebral glioma: European Organization for Research and Treatment of Cancer (EORTC) Study 22844. Int. J. Radiat. Oncol. Biol. Phys. 1996, 36, 549–556. [Google Scholar] [CrossRef]
- Van den Bent, M.J.; Afra, D.; de Witte, O.; Ben Hassel, M.; Schraub, S.; Hoang-Xuan, K.; Malmström, P.-O.; Collette, L.; Piérart, M.; Mirimanoff, R.; et al. Long-term efficacy of early versus delayed radiotherapy for low-grade astrocytoma and oligodendroglioma in adults: The EORTC 22845 randomised trial. Lancet 2005, 366, 985–990. [Google Scholar] [CrossRef]
- Shaw, E.; Arusell, R.; Scheithauer, B.; O’Fallon, J.; O’Neill, B.; Dinapoli, R.; Nelson, D.; Earle, J.; Jones, C.; Cascino, T.; et al. Prospective randomized trial of low- versus high-dose radiation therapy in adults with supratentorial low-grade glioma: Initial report of a North Central Cancer Treatment Group/Radiation Therapy Oncology Group/Eastern Cooperative Oncology Group study. J. Clin. Oncol. 2002, 20, 2267–2276. [Google Scholar] [CrossRef]
- Buckner, J.C.; Shaw, E.G.; Pugh, S.L.; Chakravarti, A.; Gilbert, M.R.; Barger, G.R.; Coons, S.; Ricci, P.; Bullard, D.; Brown, P.D.; et al. Radiation plus Procarbazine, CCNU, and Vincristine in Low-Grade Glioma. N. Engl. J. Med. 2016, 374, 1344–1355. [Google Scholar] [CrossRef] [PubMed]
- Baumert, B.G.; Hegi, M.E.; van den Bent, M.J.; von Deimling, A.; Gorlia, T.; Hoang-Xuan, K.; Brandes, A.A.; Kantor, G.; Taphoorn, M.J.B.; Hassel, M.B.; et al. Temozolomide chemotherapy versus radiotherapy in high-risk low-grade glioma (EORTC 22033-26033): A randomised, open-label, phase 3 intergroup study. Lancet Oncol. 2016, 17, 1521–1532. [Google Scholar] [CrossRef]
- Ryken, T.C.; Parney, I.; Buatti, J.; Kalkanis, S.N.; Olson, J.J. The role of radiotherapy in the management of patients with diffuse low grade glioma: A systematic review and evidence-based clinical practice guideline. J. Neurooncol. 2015, 125, 551–583. [Google Scholar] [CrossRef]
- Dhawan, S.; Patil, C.G.; Chen, C.; Venteicher, A.S. Early Versus Delayed Postoperative Radiotherapy for Treatment of Low-Grade Gliomas. Available online: https://pubmed.ncbi.nlm.nih.gov/31958162/ (accessed on 4 August 2020).
- Pignatti, F.; van den Bent, M.; Curran, D.; Debruyne, C.; Sylvester, R.; Therasse, P.; Afra, D.; Cornu, P.; Bolla, M.; Vecht, C.; et al. Prognostic factors for survival in adult patients with cerebral low-grade glioma. J. Clin. Oncol. 2002, 20, 2076–2084. [Google Scholar] [CrossRef]
- Shaw, E.G.; Berkey, B.; Coons, S.W.; Bullard, D.; Brachman, D.; Buckner, J.C.; Stelzer, K.J.; Barger, G.R.; Brown, P.D.; Gilbert, M.R.; et al. Recurrence following neurosurgeon-determined gross-total resection of adult supratentorial low-grade glioma: Results of a prospective clinical trial. J. Neurosurg. 2008, 109, 835–841. [Google Scholar] [CrossRef] [PubMed]
- Stupp, R.; Mason, W.P.; van den Bent, M.J.; Weller, M.; Fisher, B.; Taphoorn, M.J.B.; Belanger, K.; Brandes, A.A.; Marosi, C.; Bogdahn, U.; et al. Radiotherapy plus concomitant and adjuvant temozolomide for glioblastoma. N. Engl. J. Med. 2005, 352, 987–996. [Google Scholar] [CrossRef]
- Van den Bent, M.J.; Baumert, B.; Erridge, S.C.; Vogelbaum, M.A.; Nowak, A.K.; Sanson, M.; Brandes, A.A.; Clement, P.M.; Baurain, J.F.; Mason, W.P.; et al. Interim results from the CATNON trial (EORTC study 26053-22054) of treatment with concurrent and adjuvant temozolomide for 1p/19q non-co-deleted anaplastic glioma: A phase 3, randomised, open-label intergroup study. Lancet 2017, 390, 1645–1653. [Google Scholar] [CrossRef]
- Fisher, B.J.; Pugh, S.L.; Macdonald, D.R.; Chakravatri, A.; Lesser, G.J.; Fox, S.; Rogers, C.L.; Werner-Wasik, M.; Doyle, T.; Bahary, J.-P.; et al. Phase 2 Study of a Temozolomide-Based Chemoradiation Therapy Regimen for High-Risk, Low-Grade Gliomas: Long-Term Results of Radiation Therapy Oncology Group 0424. Int. J. Radiat. Oncol. Biol. Phys. 2020, 107, 720–725. [Google Scholar] [CrossRef]
- Bell, E.H.; Zhang, P.; Shaw, E.G.; Buckner, J.C.; Barger, G.R.; Bullard, D.E.; Mehta, M.P.; Gilbert, M.R.; Brown, P.D.; Stelzer, K.J.; et al. Comprehensive Genomic Analysis in NRG Oncology/RTOG 9802: A Phase III Trial of Radiation Versus Radiation Plus Procarbazine, Lomustine (CCNU), and Vincristine in High-Risk Low-Grade Glioma. JCO 2020. [Google Scholar] [CrossRef]
- Bady, P.; Kurscheid, S.; Delorenzi, M.; Gorlia, T.; van den Bent, M.J.; Hoang-Xuan, K.; Vauléon, É.; Gijtenbeek, A.; Enting, R.; Thiessen, B.; et al. The DNA methylome of DDR genes and benefit from RT or TMZ in IDH mutant low-grade glioma treated in EORTC 22033. Acta Neuropathol. 2018, 135, 601–615. [Google Scholar] [CrossRef] [PubMed]
- Eyre, H.J.; Crowley, J.J.; Townsend, J.J.; Eltringham, J.R.; Morantz, R.A.; Schulman, S.F.; Quagliana, J.M.; al-Sarraf, M. A randomized trial of radiotherapy versus radiotherapy plus CCNU for incompletely resected low-grade gliomas: A Southwest Oncology Group study. J. Neurosurg. 1993, 78, 909–914. [Google Scholar] [CrossRef] [PubMed]
- Rudà, R.; Pellerino, A.; Pace, A.; Carapella, C.M.; Dealis, C.; Caroli, M.; Faedi, M.; Bello, L.; Migliore, E.; Marchese, G.; et al. Efficacy of initial temozolomide for high-risk low grade gliomas in a phase II AINO (Italian Association for Neuro-Oncology) study: A post-hoc analysis within molecular subgroups of WHO 2016. J. Neuro-Oncol. 2019, 145, 115–123. [Google Scholar] [CrossRef] [PubMed]
- Wahl, M.; Phillips, J.J.; Molinaro, A.M.; Lin, Y.; Perry, A.; Haas-Kogan, D.A.; Costello, J.F.; Dayal, M.; Butowski, N.; Clarke, J.L.; et al. Chemotherapy for adult low-grade gliomas: Clinical outcomes by molecular subtype in a phase II study of adjuvant temozolomide. Neuro-Oncol. 2017, 19, 242–251. [Google Scholar] [CrossRef] [PubMed]
- Kaloshi, G.; Rroji, A.; Petrela, M. Upfront chemotherapy with CCNU alone for adults’ low-grade gliomas: A clinical analysis. J. Neurooncol. 2014, 117, 373–374. [Google Scholar] [CrossRef]
- Kesari, S.; Schiff, D.; Drappatz, J.; LaFrankie, D.; Doherty, L.; Macklin, E.A.; Muzikansky, A.; Santagata, S.; Ligon, K.L.; Norden, A.D.; et al. Phase II study of protracted daily temozolomide for low-grade gliomas in adults. Clin. Cancer Res. 2009, 15, 330–337. [Google Scholar] [CrossRef] [PubMed]
- Tosoni, A.; Franceschi, E.; Ermani, M.; Bertorelle, R.; Bonaldi, L.; Blatt, V.; Brandes, A.A. Temozolomide three weeks on and one week off as first line therapy for patients with recurrent or progressive low grade gliomas. J Neurooncol. 2008, 89, 179–185. [Google Scholar] [CrossRef]
- Van den Bent, M.J.; Klein, M.; Smits, M.; Reijneveld, J.C.; French, P.J.; Clement, P.; de Vos, F.Y.F.; Wick, A.; Mulholland, P.J.; Taphoorn, M.J.B.; et al. Bevacizumab and temozolomide in patients with first recurrence of WHO grade II and III glioma, without 1p/19q co-deletion (TAVAREC): A randomised controlled phase 2 EORTC trial. Lancet Oncol. 2018, 19, 1170–1179. [Google Scholar] [CrossRef]
- Wahl, M.; Chang, S.M.; Phillips, J.J.; Molinaro, A.M.; Costello, J.F.; Mazor, T.; Alexandrescu, S.; Lupo, J.M.; Nelson, S.J.; Berger, M.; et al. Probing the phosphatidylinositol 3-kinase/mammalian target of rapamycin pathway in gliomas: A phase 2 study of everolimus for recurrent adult low-grade gliomas. Cancer 2017, 123, 4631–4639. [Google Scholar] [CrossRef]
- Okada, H.; Butterfield, L.H.; Hamilton, R.L.; Hoji, A.; Sakaki, M.; Ahn, B.J.; Kohanbash, G.; Drappatz, J.; Engh, J.; Amankulor, N.; et al. Induction of robust type-I CD8+ T-cell responses in WHO grade 2 low-grade glioma patients receiving peptide-based vaccines in combination with poly-ICLC. Clin. Cancer Res. 2015, 21, 286–294. [Google Scholar] [CrossRef] [PubMed]
- Duerinck, J.; Du Four, S.; Sander, W.; Van Binst, A.-M.; Everaert, H.; Michotte, A.; Hau, P.; Neyns, B. Sunitinib Malate plus Lomustine for Patients with Temozolomide-refractory Recurrent Anaplastic or Low-grade Glioma. Anticancer Res. 2015, 35, 5551–5557. [Google Scholar]
- Reardon, D.A.; Desjardins, A.; Vredenburgh, J.J.; Herndon, J.E.; Coan, A.; Gururangan, S.; Peters, K.B.; McLendon, R.; Sathornsumetee, S.; Rich, J.N.; et al. Phase II study of Gleevec® plus hydroxyurea in adults with progressive or recurrent low-grade glioma. Cancer 2012, 118, 4759–4767. [Google Scholar] [CrossRef]
- Raymond, E.; Brandes, A.A.; Dittrich, C.; Fumoleau, P.; Coudert, B.; Clement, P.M.J.; Frenay, M.; Rampling, R.; Stupp, R.; Kros, J.M.; et al. Phase II study of imatinib in patients with recurrent gliomas of various histologies: A European organisation for research and treatment of cancer brain tumor group study. J. Clin. Oncol. Off. J. Am. Soc. Clin. Oncol. 2008, 26, 4659–4665. [Google Scholar] [CrossRef] [PubMed]
- Jaeckle, K.A.; Anderson, S.K.; Twohy, E.L.; Dixon, J.G.; Giannini, C.; Jenkins, R.; Egorin, M.J.; Sarkaria, J.N.; Brown, P.D.; Flynn, P.J.; et al. Phase I-II trial of imatinib mesylate (Gleevec; STI571) in treatment of recurrent oligodendroglioma and mixed oligoastrocytoma. North central cancer treatment group study N0272 (ALLIANCE/NCCTG). J. Neurooncol. 2019, 143, 573–581. [Google Scholar] [CrossRef]
- Mellinghoff, I.K.; Ellingson, B.M.; Touat, M.; Maher, E.; De La Fuente, M.I.; Holdhoff, M.; Cote, G.M.; Burris, H.; Janku, F.; Young, R.J.; et al. Ivosidenib in Isocitrate Dehydrogenase 1-Mutated Advanced Glioma. J. Clin. Oncol. 2020. [Google Scholar] [CrossRef]
- Pouratian, N.; Asthagiri, A.; Jagannathan, J.; Shaffrey, M.E.; Schiff, D. Surgery Insight: The role of surgery in the management of low-grade gliomas. Nat. Clin. Pract. Neurol. 2007, 3, 628–639. [Google Scholar] [CrossRef] [PubMed]
- Rasmussen, B.K.; Hansen, S.; Laursen, R.J.; Kosteljanetz, M.; Schultz, H.; Nørgård, B.M.; Guldberg, R.; Gradel, K.O. Epidemiology of glioma: Clinical characteristics, symptoms, and predictors of glioma patients grade I-IV in the the Danish Neuro-Oncology Registry. J. Neurooncol. 2017, 135, 571–579. [Google Scholar] [CrossRef]
- Van Breemen, M.S.M.; Wilms, E.B.; Vecht, C.J. Epilepsy in patients with brain tumours: Epidemiology, mechanisms, and management. Lancet Neurol. 2007, 6, 421–430. [Google Scholar] [CrossRef]
- Rudà, R.; Bello, L.; Duffau, H.; Soffietti, R. Seizures in low-grade gliomas: Natural history, pathogenesis, and outcome after treatments. Neuro-Oncol. 2012, 14 (Suppl. 4), iv55–iv64. [Google Scholar] [CrossRef]
- Stockhammer, F.; Misch, M.; Helms, H.-J.; Lengler, U.; Prall, F.; von Deimling, A.; Hartmann, C. IDH1/2 mutations in WHO grade II astrocytomas associated with localization and seizure as the initial symptom. Seizure 2012, 21, 194–197. [Google Scholar] [CrossRef]
- Iuchi, T.; Hasegawa, Y.; Kawasaki, K.; Sakaida, T. Epilepsy in patients with gliomas: Incidence and control of seizures. J. Clin. Neurosci. 2015, 22, 87–91. [Google Scholar] [CrossRef] [PubMed]
- Englot, D.J.; Berger, M.S.; Barbaro, N.M.; Chang, E.F. Predictors of seizure freedom after resection of supratentorial low-grade gliomas. A review. J. Neurosurg. 2011, 115, 240–244. [Google Scholar] [CrossRef] [PubMed]
- Koekkoek, J.A.F.; Kerkhof, M.; Dirven, L.; Heimans, J.J.; Reijneveld, J.C.; Taphoorn, M.J.B. Seizure outcome after radiotherapy and chemotherapy in low-grade glioma patients: A systematic review. Neuro Oncol. 2015, 17, 924–934. [Google Scholar] [CrossRef]
- Avila, E.K.; Chamberlain, M.; Schiff, D.; Reijneveld, J.C.; Armstrong, T.S.; Ruda, R.; Wen, P.Y.; Weller, M.; Koekkoek, J.A.F.; Mittal, S.; et al. Seizure control as a new metric in assessing efficacy of tumor treatment in low-grade glioma trials. Neuro-Oncol. 2017, 19, 12–21. [Google Scholar] [CrossRef] [PubMed]
- Pallud, J.; Audureau, E.; Blonski, M.; Sanai, N.; Bauchet, L.; Fontaine, D.; Mandonnet, E.; Dezamis, E.; Psimaras, D.; Guyotat, J.; et al. Epileptic seizures in diffuse low-grade gliomas in adults. Brain 2014, 137, 449–462. [Google Scholar] [CrossRef]
- Glauser, T.; Ben-Menachem, E.; Bourgeois, B.; Cnaan, A.; Guerreiro, C.; Kälviäinen, R.; Mattson, R.; French, J.A.; Perucca, E.; Tomson, T.; et al. Updated ILAE evidence review of antiepileptic drug efficacy and effectiveness as initial monotherapy for epileptic seizures and syndromes. Epilepsia 2013, 54, 551–563. [Google Scholar] [CrossRef]
- Koekkoek, J.A.F.; Dirven, L.; Heimans, J.J.; Postma, T.J.; Vos, M.J.; Reijneveld, J.C.; Taphoorn, M.J.B. Seizure reduction is a prognostic marker in low-grade glioma patients treated with temozolomide. J. Neurooncol. 2016, 126, 347–354. [Google Scholar] [CrossRef]
- Maurice, C.; Mason, W.P. Seizure management in patients with gliomas. Expert Rev. Neurother. 2014, 14, 367–377. [Google Scholar] [CrossRef]
- Krumholz, A.; Wiebe, S.; Gronseth, G.S.; Gloss, D.S.; Sanchez, A.M.; Kabir, A.A.; Liferidge, A.T.; Martello, J.P.; Kanner, A.M.; Shinnar, S.; et al. Evidence-based guideline: Management of an unprovoked first seizure in adults: Report of the Guideline Development Subcommittee of the American Academy of Neurology and the American Epilepsy Society. Neurology 2015, 84, 1705–1713. [Google Scholar] [CrossRef]
- Soffietti, R.; Baumert, B.G.; Bello, L.; von Deimling, A.; Duffau, H.; Frénay, M.; Grisold, W.; Grant, R.; Graus, F.; Hoang-Xuan, K.; et al. Guidelines on management of low-grade gliomas: Report of an EFNS-EANO Task Force. Eur. J. Neurol. 2010, 17, 1124–1133. [Google Scholar] [CrossRef] [PubMed]
- Van Breemen, M.S.M.; Rijsman, R.M.; Taphoorn, M.J.B.; Walchenbach, R.; Zwinkels, H.; Vecht, C.J. Efficacy of anti-epileptic drugs in patients with gliomas and seizures. J. Neurol. 2009, 256, 1519–1526. [Google Scholar] [CrossRef] [PubMed]
- Rossetti, A.O.; Jeckelmann, S.; Novy, J.; Roth, P.; Weller, M.; Stupp, R. Levetiracetam and pregabalin for antiepileptic monotherapy in patients with primary brain tumors. A phase II randomized study. Neuro-Oncology. 2014, 16, 584–588. [Google Scholar] [CrossRef] [PubMed]
- Maschio, M.; Dinapoli, L.; Zarabla, A.; Pompili, A.; Carapella, C.M.; Pace, A.; Giannarelli, D.; Occhipinti, E.; Jandolo, B. Outcome and tolerability of topiramate in brain tumor associated epilepsy. J. Neurooncol. 2008, 86, 61–70. [Google Scholar] [CrossRef]
- Maschio, M.; Dinapoli, L.; Sperati, F.; Pace, A.; Fabi, A.; Vidiri, A.; Muti, P. Levetiracetam monotherapy in patients with brain tumor-related epilepsy: Seizure control, safety, and quality of life. J. Neurooncol. 2011, 104, 205–214. [Google Scholar] [CrossRef]
- Maschio, M.; Dinapoli, L.; Sperati, F.; Fabi, A.; Pace, A.; Vidiri, A.; Muti, P. Oxcarbazepine monotherapy in patients with brain tumor-related epilepsy: Open-label pilot study for assessing the efficacy, tolerability and impact on quality of life. J. Neurooncol. 2012, 106, 651–656. [Google Scholar] [CrossRef]
- Helmstaedter, C.; Witt, J.-A. The longer-term cognitive effects of adjunctive antiepileptic treatment with lacosamide in comparison with lamotrigine and topiramate in a naturalistic outpatient setting. Epilepsy Behav. 2013, 26, 182–187. [Google Scholar] [CrossRef]
- Huberfeld, G.; Vecht, C.J. Seizures and gliomas—Towards a single therapeutic approach. Nat. Rev. Neurol. 2016, 12, 204–216. [Google Scholar] [CrossRef]
- Rudà, R.; Houillier, C.; Maschio, M.; Reijneveld, J.; Hellot, S.; De Backer, M.; Chan, J.; Joeres, L.; Leunikava, I.; Glas, M.; et al. Effectiveness and tolerability of lacosamide as add-on therapy in patients with brain tumor–related epilepsy: Results from a prospective, noninterventional study in European clinical practice (VIBES). Epilepsia 2020, 61, 647–656. [Google Scholar] [CrossRef]
- Zoccarato, M.; Basile, A.M.; Padovan, M.; Caccese, M.; Zagonel, V.; Lombardi, G. Eslicarbazepine in patients with brain tumor-related epilepsy: A single-center experience. Int. J. Neurosci. 2020, 1–6. [Google Scholar] [CrossRef]
- Villanueva, V.; Giráldez, B.G.; Toledo, M.; De Haan, G.J.; Cumbo, E.; Gambardella, A.; De Backer, M.; Joeres, L.; Brunnert, M.; Dedeken, P.; et al. Lacosamide monotherapy in clinical practice: A retrospective chart review. Acta Neurol. Scand. 2018, 138, 186–194. [Google Scholar] [CrossRef]
- Baulac, M.; Rosenow, F.; Toledo, M.; Terada, K.; Li, T.; De Backer, M.; Werhahn, K.J.; Brock, M. Efficacy, safety, and tolerability of lacosamide monotherapy versus controlled-release carbamazepine in patients with newly diagnosed epilepsy: A phase 3, randomised, double-blind, non-inferiority trial. Lancet Neurol. 2017, 16, 43–54. [Google Scholar] [CrossRef]
- Chen, Z.; Lusicic, A.; O’Brien, T.J.; Velakoulis, D.; Adams, S.J.; Kwan, P. Psychotic disorders induced by antiepileptic drugs in people with epilepsy. Brain 2016, 139, 2668–2678. [Google Scholar] [CrossRef] [PubMed]
- Das, R.R.; Artsy, E.; Hurwitz, S.; Wen, P.Y.; Black, P.; Golby, A.; Dworetzky, B.; Lee, J.W. Outcomes after discontinuation of antiepileptic drugs after surgery in patients with low grade brain tumors and meningiomas. J. Neuro-Oncol. 2012, 107, 565–570. [Google Scholar] [CrossRef] [PubMed]
- Cucchiara, F.; Pasqualetti, F.; Giorgi, F.S.; Danesi, R.; Bocci, G. Epileptogenesis and oncogenesis: An antineoplastic role for antiepileptic drugs in brain tumours? Pharmacol. Res. 2020, 156, 104786. [Google Scholar] [CrossRef] [PubMed]
- Venkataramani, V.; Tanev, D.I.; Strahle, C.; Studier-Fischer, A.; Fankhauser, L.; Kessler, T.; Körber, C.; Kardorff, M.; Ratliff, M.; Xie, R.; et al. Glutamatergic synaptic input to glioma cells drives brain tumour progression. Nature 2019, 573, 532–538. [Google Scholar] [CrossRef] [PubMed]
Publisher’s Note: MDPI stays neutral with regard to jurisdictional claims in published maps and institutional affiliations. |
© 2020 by the authors. Licensee MDPI, Basel, Switzerland. This article is an open access article distributed under the terms and conditions of the Creative Commons Attribution (CC BY) license (http://creativecommons.org/licenses/by/4.0/).



