N-Ethyl-n-Nitrosourea Induced Leukaemia in a Mouse Model through Upregulation of Vascular Endothelial Growth Factor and Evading Apoptosis
Abstract
1. Introduction
2. Results
2.1. Weekly Bodyweight Gain
2.2. Relative Organ Weights
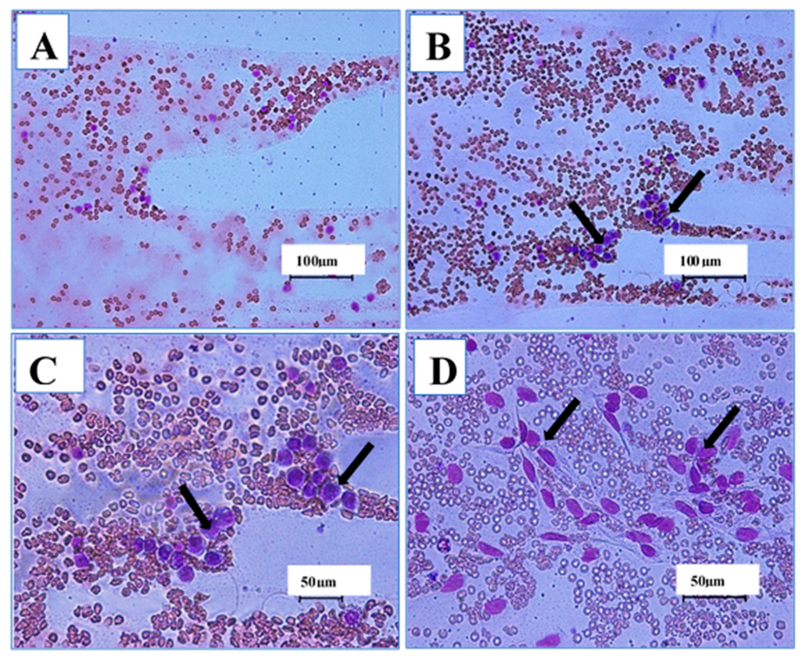
2.3. Erythrogram Parameters of Leukaemia Induced Mice
2.4. Leukogram Parameters of Leukaemia Induced Mice
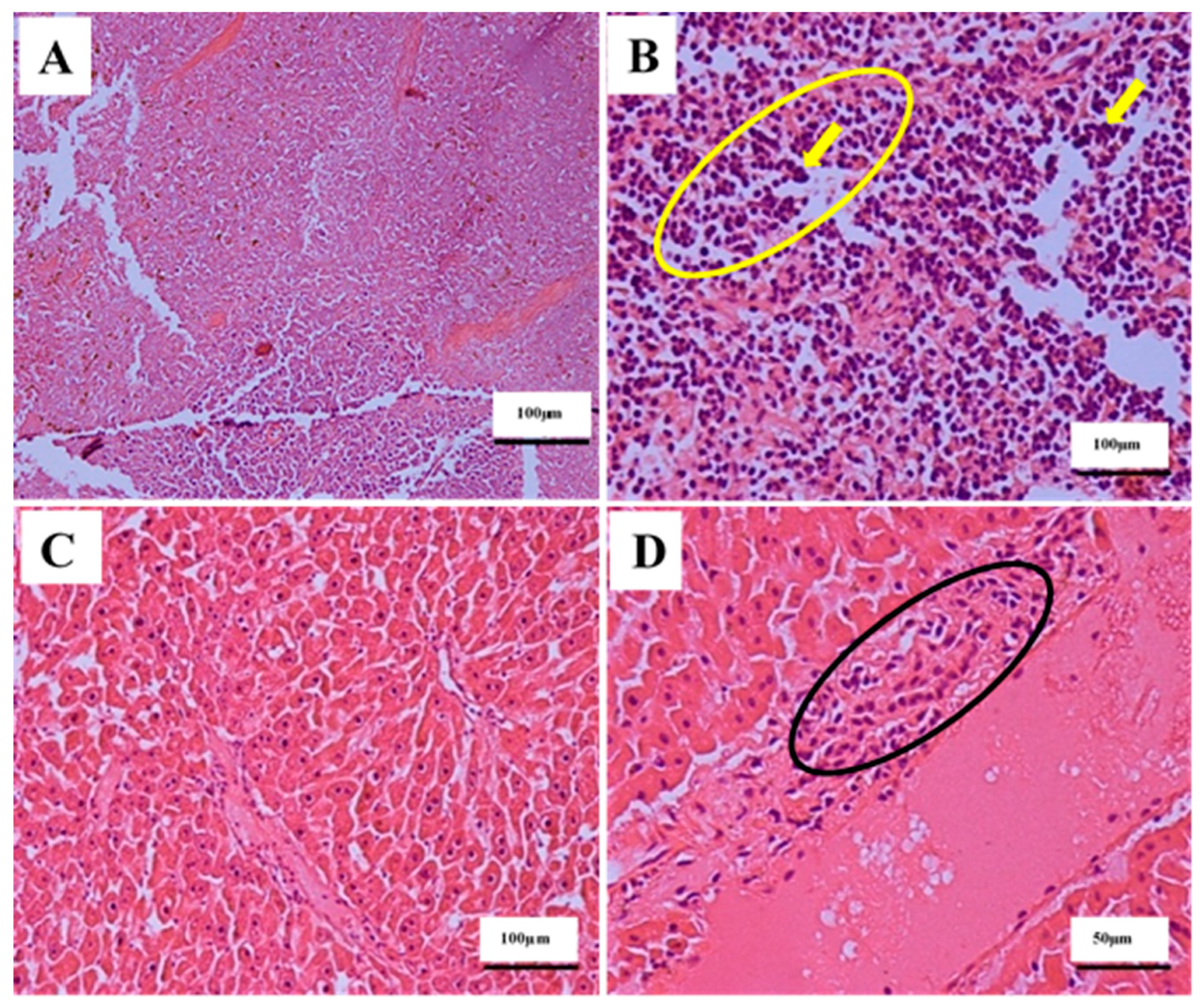
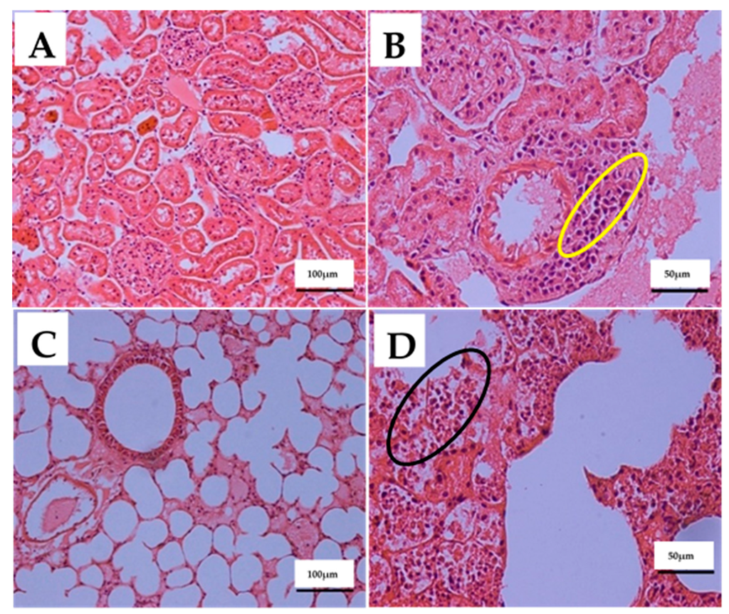
2.5. Lesion Scoring
2.6. Terminal Deoxynucleotidyl Transferase dUTP Nick End Labelling (TUNEL) Apoptotic Assay
2.7. Western Blot for the Expression of VEGF, BCL2 and BAX Proteins in the Spleen and Lymph Nodes
3. Discussion
4. Materials and Methods
4.1. Animal Handling
4.2. Determination of Weekly Bodyweight and Bodyweight Gain
4.3. Experimental Design
4.4. N-Ethyl-n-Nitrosourea (ENU) Preparation and Administration
4.5. Haematology Analysis
4.6. Histopathology Analysis
Lesion Scoring Characteristics
4.7. TUNEL Apoptotic Assay
4.7.1. Histopathological Preparations
4.7.2. Deparaffinization and Dehydration Protocol
4.7.3. Labelling
4.7.4. Detection by Fluorescence Microscopy
4.8. Analysis of Protein Expression
4.8.1. Protein Extraction from the Spleen
4.8.2. Bicinchonic Acid (BCA) Assay
4.8.3. Protein Lysis
4.8.4. Western Blot Analysis
4.9. Statistical Analyses
5. Conclusions
Supplementary Materials
Author Contributions
Funding
Acknowledgments
Conflicts of Interest
References
- Ebata, K.; Shimizu, Y.; Nakayama, Y.; Minemura, M.; Murakami, J.; Kato, T.; Yasumura, S.; Takahara, T.; Sugiyama, T.; Saito, S. Immature NK Cells Suppress Dendritic Cell Functions during the Development of Leukemia in a Mouse Model. J. Immunol. 2006, 176, 4113–4124. [Google Scholar] [CrossRef] [PubMed]
- Pierson, B.A.; Miller, J.S. The Role of Autologous Natural Killer Cells in Chronic Myelogenous Leukemia. Leuk. Lymphoma 1997, 27, 387–399. [Google Scholar] [CrossRef] [PubMed]
- Chang, Y.C.; Hsu, J.D.; Lin, W.L.; Lee, Y.J.; Wang, C.J. High incidence of acute promyelocytic leukemia specifically induced by N-nitroso-N-methylurea (NMU) in Sprague—Dawley rats. Arch. Toxicol. 2012, 86, 315–327. [Google Scholar] [CrossRef] [PubMed]
- DeSantis, C.; Siegel, R.; Bandi, P.; Jemal, A. Breast cancer statistics, 2011. CA Cancer J. Clin. 2011, 61, 409–418. [Google Scholar] [CrossRef] [PubMed]
- Theilen, G.H.; Dungworth, D.L.; Kawakami, T.G. Leukemia in animals and man. Calif. Med. 1968, 108, 14–19. [Google Scholar]
- Silver, R.T.; Beal, G.A.; Schneiderman, M.A.; McCullough, N.B. The role of the mature neutrophil in bacterial infections in acute leukemia. Blood 1957, 27, 387–399. [Google Scholar] [CrossRef]
- Balasubramanian, N.; Advani, S.H.; Zingde, S.M. Protein kinase C isoforms in normal and leukemic neutrophils: Altered levels in leukemic neutrophils and changes during myeloid maturation in chronic myeloid leukemia. Leuk. Res. 2002, 26, 67–81. [Google Scholar] [CrossRef]
- Aliyu, A.; Shaari, M.R.; Mustapha, N.M.; Sayuti, N.S.A.; Reduan, M.F.H.; Sithambaram, S.; Shaari, K.; Hamzah, H. Some Chemical Carcinogens for Leukaemia Induction and Their Animal Models. Annu. Res. Rev. Biol. 2019, 33, 1–7. [Google Scholar] [CrossRef]
- Gerson, S.L.; Trey, J.E.; Miller, K.; Berger, N. A Comparison of O6-alkylguanine-DNA alkyltransferase activity based on cellular DNA content in human, rat and mouse tissues. Carcinogenesis 1986, 7, 745–749. [Google Scholar] [CrossRef]
- Shibuya, T.; Morimoto, K. A review of the genotoxicity of 1-ethyl-1-nitrosourea. Mutat. Res. Genet. Toxicol. 1993, 297, 3–38. [Google Scholar] [CrossRef]
- Russell, L.B.; Montgomery, C.S. Supermutagenicity of ethylnitrosourea in the mouse spot test. Comparisons with methylnitrosourea and ethylnitrosourethane. Mutat. Res. Fundam. Mol. Mech. Mutagen. 1982, 92, 193–204. [Google Scholar] [CrossRef]
- Boyonoski, A.C.; Spronck, J.C.; Gallacher, L.M.; Jacobs, R.M.; Shah, G.M.; Poirier, G.G.; Kirkland, J.B. Niacin deficiency decreases bone marrow poly (ADP-ribose) and the latency of ethylnitrosourea-induced carcinogenesis in rats. J. Nutr. 2002, 132, 108–114. [Google Scholar] [CrossRef] [PubMed]
- Ferrara, N. Vascular Endothelial Growth Factor as a Target for Anticancer Therapy. Oncologist 2004, 9, 2–10. [Google Scholar] [CrossRef] [PubMed]
- List, A.F. Vascular Endothelial Growth Factor Signaling Pathway as an Emerging Target in Hematologic Malignancies. Oncologist 2001, 6, 24–31. [Google Scholar] [CrossRef] [PubMed][Green Version]
- Lee, J.-C.; Chow, N.-H.; Wang, S.-T.; Huang, S.-M. Prognostic value of vascular endothelial growth factor expression in colorectal cancer patients. Eur. J. Cancer 2000, 36, 748–753. [Google Scholar] [CrossRef]
- Tokunaga, T.; Oshika, Y.; Abe, Y.; Ozeki, Y.; Sadahiro, S.; Kijima, H.; Tsuchida, T.; Yamazaki, H.; Ueyama, Y.; Tamaoki, N.; et al. Vascular endothelial growth factor (VEGF) mRNA isoform expression pattern is correlated with liver metastasis and poor prognosis in colon cancer. Br. J. Cancer 1998, 77, 998–1002. [Google Scholar] [CrossRef] [PubMed]
- Ferrara, N.; Gerber, H.-P.; LeCouter, J. The biology of VEGF and its receptors. Nat. Med. 2003, 9, 669–676. [Google Scholar] [CrossRef]
- Song, G.; Li, Y.; Jiang, G. Role of VEGF/VEGFR in the pathogenesis of leukemias and as treatment targets (Review). Oncol. Rep. 2012, 28, 1935–1944. [Google Scholar] [CrossRef]
- Kerr, J.F.R.; Wyllie, A.H.; Currie, A.R. Apoptosis: A Basic Biological Phenomenon With Wide-Ranging Implications in Tissue Kinetics. Br. J. Cancer 1972, 26, 239–257. [Google Scholar] [CrossRef]
- Danial, N.; Korsmeyer, S. Cell death: Critical control points. Cell 2004, 116, 205–219. [Google Scholar] [CrossRef]
- Letai, A.; Sorcinelli, M.D.; Beard, C.; Korsmeyer, S.J. Antiapoptotic BCL-2 is required for maintenance of a model leukemia. Cancer Cell 2004, 6, 241–249. [Google Scholar] [CrossRef] [PubMed]
- Guevara, A.P.; Vargas, C.; Sakurai, H.; Fujiwara, Y.; Hashimoto, K.; Maoka, T.; Kozuka, M.; Ito, Y.; Tokuda, H.; Nishino, H. An antitumor promoter from Moringa oleifera Lam. Mutat. Res. Genet. Toxicol. Environ. Mutagen. 1999, 440, 181–188. [Google Scholar] [CrossRef]
- Alam, A.; Ferdosh, S.; Ghafoor, K.; Hakim, A.; Juraimi, A.S.; Khatib, A.; Sarker, Z.I. Clinacanthus nutans: A review of the medicinal uses, pharmacology and phytochemistry. Asian Pac. J. Trop. Med. 2016, 9, 402–409. [Google Scholar] [CrossRef]
- Serfilippi, L.M.; Pallman, D.R.S.; Russell, B. Serum clinical chemistry and hematology reference values in outbred stocks of albino mice from three commonly used vendors and two inbred strains of albino mice. Contemp. Top. Lab. Anim. Sci. 2003, 42, 46–52. [Google Scholar]
- Bennett, J.; Catovsky, D.; Daniel, M.; Flandrin, G.; Galton, D.; Hr, G.; Sultan, C. Proposals for the Classification of the Acute Leukaemias. Br. J. Haematol. 1976, 33, 451–458. [Google Scholar] [CrossRef]
- Zebrack, B. Quality of life of long-term survivors of leukemia and lymphoma. J. Psychosoc. Oncol. 2000, 18, 39–59. [Google Scholar] [CrossRef]
- Boffetta, P.; Kaldor, J.M. Secondary malignancies following cancer chemotherapy. Acta Oncol. 1994, 33, 591–598. [Google Scholar] [CrossRef]
- Nurul, S.A.S.; Hazilawati, H.; Sajjarattul, N.N.A.; Hutheyfa, A.H.; Rosly, S.M.; Wan, S.W.Z.; Norhaizan, M.E.; Shanmugavelu, S.; Noordin, M.M.; Jasni, S. Low level of cyclooxygenase-2 transcript in the spleen of lymphoma rats supplemented with garlic powder. Asian J. Pharm. Clin. Res. 2016, 9, 187–192. [Google Scholar]
- Dexter, T.M.; Schofield, R.; Lajtha, L.G.; Moore, M. Studies on the Mechanisms of Chemical Leukaemogenesis. Br. J. Cancer 1974, 30, 325–331. [Google Scholar] [CrossRef] [PubMed][Green Version]
- Justice, M.J.; Noveroske, J.K.; Weber, J.S.; Zheng, B.; Bradley, A. Mouse ENU Mutagenesis. Hum. Mol. Genet. 1999, 8, 1955–1963. [Google Scholar] [CrossRef] [PubMed]
- Briançon-Marjollet, A.; Balenci, L.; Fernandez, M.; Estève, F.; Honnorat, J.; Farion, R.; Beaumont, M.; Barbier, E.; Rémy, C.; Baudier, J. NG2-expressing glial precursor cells are a new potential oligodendroglioma cell initiating population in N-ethyl-N-nitrosourea-induced gliomagenesis. Carcinogenesis 2010, 31, 1718–1725. [Google Scholar] [CrossRef]
- Law, S.; Maiti, D.; Palit, A.; Majumder, D.; Basu, K.; Chaudhuri, S.; Chaudhuri, S. Facilitation of functional compartmentalization of bone marrow cells in leukemic mice by biological response modifiers: An immunotherapeutic approach. Immunol. Lett. 2001, 76, 145–152. [Google Scholar] [CrossRef]
- Law, S.; Begum, B.; Chaudhuri, S. Pluripotent bone marrow cells in leukemic mice elicit enhanced immune reactivity following sheep erythrocyte administration in-vivo. A possible S-LFA3 interactive immunotherapy. J. Exp. Clin. Cancer Res. 2003, 22, 213–221. [Google Scholar] [PubMed]
- Bhattacharjee, B.; Singha, A.K.; Maiti, D. Role of G-CSF plus IL-15 on neutrophil population in peripheral blood modulating protein tyrosine kinase activity in leukemic mouse Bhaskar Bhattacharjee, Ashish Kumar Singha and Debasish Maiti. Int. J. Curr. Res. 2015, 7, 15180–15186. [Google Scholar]
- Singha, A.K.; Bhattacharjee, B.; Saha, B.; Maiti, D. IL-3 and GM-CSF modulate functions of splenic macrophages in ENU induced leukemia. Cytokine 2017, 91, 89–95. [Google Scholar] [CrossRef] [PubMed]
- Najman, A.; Kobari, A.N.; Khoury, E.; Baillou, C.L.; Lemoine, F.; Guigon, M. Suppression of Normal Hematopoiesis during Acute Leukemias. Ann. N. Y. Acad. Sci. 1991, 628, 140–147. [Google Scholar] [CrossRef] [PubMed]
- Chen, D.; Li, Z.; Chen, T. Increased expression of miR-34a in mouse spleen one day after exposure to N-ethyl-N-nitrosourea. J. Appl. Toxicol. 2011, 31, 496–498. [Google Scholar] [CrossRef]
- Vaquero, J.; Zurita, M.; Oya, S. Immune-cell system provides the development of extraneural tumors in the ethyl-nitrosourea model of neurocarcinogenesis. Cancer Lett. 1998, 123, 95–98. [Google Scholar] [CrossRef]
- Basak, P.; Chatterjee, S.; Das, M.; Das, P.; Jacintha, A.P.; Ranjan, K.D.; Chaklader, M.; Chaudhuri, S.; Law, S. Phenotypic Alteration of Bone Marrow HSC and Microenvironmental Association in Experimentally Induced Leukemia. Curr. Stem Cell Res. Ther. 2010, 5, 379–386. [Google Scholar] [CrossRef]
- Teo, S.; Stirling, D.; Thomas, S.; Hoberman, A.; Kiorpes, A.; Khetani, V. A 90-day oral gavage toxicity study of d-methylphenidate and d, l-methylphenidate in Sprague–Dawley rats. Toxicology 2002, 179, 183–196. [Google Scholar] [CrossRef]
- Priestman, D.A.; Van Der Spoel, A.C.; Butters, T.D.; Dwek, R.A.; Platt, F.M. N-butyldeoxynojirimycin causes weight loss as a result of appetite suppression in lean and obese mice. Diabetes Obes. Metab. 2008, 10, 159–166. [Google Scholar] [CrossRef] [PubMed]
- Sasidharan, S.; Kwan, Y.; Latha, L.; Rajeh, M.A.; Zakaria, Z.; Jothy, S. Acute toxicity impacts of Euphorbia hirta L extract on behavior, organs body weight index and histopathology of organs of the mice and Artemia salina. Pharmacogn. Res. 2012, 4, 170. [Google Scholar] [CrossRef] [PubMed]
- Hutheyfa, A.H.; Hamzah, H.; Shaari, M.R.; Sabri, J.; Noordin, M.M.; Shanmugavelu, S. Histopathological features of peripheral T-cell lymphoma in Sprague Dawley rats induced with N-methyl-N-nitrosourea. Pertanika J. Trop. Agric. Sci. 2011, 34, 351–361. [Google Scholar]
- Smith, M.; Barnett, M.; Bassan, R.; Gatta, G.; Tondini, C.; Kern, W. Adult acute myeloid leukemia. Crit. Rev. Oncol. 2004, 50, 197–222. [Google Scholar] [CrossRef]
- Akanni, E.O.; Adedeji, A.L.; Adedosu, O.T.; Olaniran, O.I.; Oloke, J.K. Chemopreventive and Anti-leukemic Effects of Ethanol Extracts of Moringa oleifera Leaves on Wistar Rats Bearing Benzene Induced Leukemia. Curr. Pharm. Biotechnol. 2014, 15, 563–568. [Google Scholar] [CrossRef]
- Kerbel, R.S. Tumor angiogenesis: Past, present and the near future. Carcinogenesis 2000, 21, 505–515. [Google Scholar] [CrossRef]
- Chung, D.C.; Long, L.T.; Son, H.N.; Bao, L.T.; Si, D.M.; Van Dong, L. Downregulation of vascular endothelial growth factor enhances chemosensitivity by induction of apoptosis in hepatocellular carcinoma cells. Cell J. 2015, 17, 273–287. [Google Scholar]
- Stavrovskaya, A.A. Cellular mechanisms of multidrug resistance of tumor cells. Biochemistry (Mosc.) 2000, 65, 95–106. [Google Scholar]
- Jabbour, E.; O’Brien, S.; Konopleva, M.; Kantarjian, H. New insights into the pathophysiology and therapy of adult acute lymphoblastic leukemia. Cancer 2015, 121, 2517–2528. [Google Scholar] [CrossRef]
- Konopleva, M.; Contractor, R.; Tsao, T.; Samudio, I.; Ruvolo, P.P.; Kitada, S.; Deng, X.; Zhai, D.; Shi, Y.-X.; Sneed, T.; et al. Mechanisms of apoptosis sensitivity and resistance to the BH3 mimetic ABT-737 in acute myeloid leukemia. Cancer Cell 2006, 10, 375–388. [Google Scholar] [CrossRef]
- Plati, J.; Bucur, O.; Khosravi-Far, R. Apoptotic cell signaling in cancer progression and therapy. Integr. Biol. 2011, 3, 279–296. [Google Scholar] [CrossRef] [PubMed]
- Hanahan, D.; Weinberg, R.A. The Hallmarks of Cancer. Cell 2000, 100, 57–70. [Google Scholar] [CrossRef]
- Nadia Asyura, S.N.; Hamzah, H.; Shaari, R.M.; Sithambaram, S.; Mustapha, N.M. Blood Profiles and Histopathological Changes of Liver and Kidney Tissues from Male Sprague Dawley Rats Treated with Ethanol Extracts of Clinacanthus nutans Leaf. J. Clin. Toxicol. 2016, 6. [Google Scholar] [CrossRef]
- Nurul, S.A.S.; Hazilawati, H.; Mohd, R.S.; Mohd, F.H.R.; Noordin, M.M.; Norhaizan, M.E. Subacute oral toxicity assesment of ethanol extract of Mariposa christia vespertilionis leaves in male sprague dawley rats. Toxicol. Res. 2018, 34, 85–95. [Google Scholar] [CrossRef]
- Aliyu, A.; Natala, A.J.; Adamu, S.; Igbokwe, I.O.; Esievo, K.A.N.; Useh, N.M. A Comparative Study on the Haematology, Biochemical Alterations in Serum Composition and Pathologic Changes in the Kidneys of Cachectic and Non-cachectic Cattle in Zaria, Nigeria. Int. J. Biochem. Res. Rev. 2017, 19, 1–11. [Google Scholar] [CrossRef]
- Sreelatha, S.; Jeyachitra, A.; Padma, P.R. Antiproliferation and induction of apoptosis by Moringa oleifera leaf extract on human cancer cells. Food Chem. Toxicol. 2011, 49, 1270–1275. [Google Scholar] [CrossRef]
- Ali Salim, L.Z.; Othman, R.; Abdulla, M.A.; Al-Jashamy, K.; Mohd Ali, H.; Hassandarvish, P.; Dehghan, F.; Ibrahim, M.Y.; Omer, F.A.E.A.; Mohan, S. Thymoquinone Inhibits Murine Leukemia WEHI-3 Cells In Vivo and In Vitro. PLoS ONE 2014, 9, 1–21. [Google Scholar] [CrossRef]







| Organs (%) | A | B |
|---|---|---|
| Liver | 4.71 ± 0.37 | 6.30 ± 1.65 |
| Right Kidney | 0.79 ± 0.06 | 0.73 ± 0.06 |
| Left Kidney | 0.75 ± 0.06 | 0.71 ± 0.04 |
| Spleen | 0.43 ± 0.04 | 0.78 ± 0.26 * |
| Heart | 0.50 ± 0.04 | 0.56 ± 0.03 |
| Lungs | 1.10 ± 0.07 | 2.22 ± 0.63 * |
| Testes | 0.67 ± 0.04 | 0.61 ± 0.03 |
| Parameters | A | B | Reference a |
|---|---|---|---|
| Red blood cells (×1012/L) | 9.48 ± 0.33 | 10.31 ± 0.54 | 8.49–10.43 |
| Haemoglobin (g/L) | 145.80 ± 4.79 | 157.33 ± 5.50 | 138–168 |
| PCV (L/L) | 0.99 ± 0.25 | 0.58 ± 0.21 | 0.47–0.529 |
| Platelets (×109) | 1150.60 ± 257.02 | 1070.67 ± 244.18 | 784–1812 |
| MCV (fl) | 54.80 ± 0.87 | 55.17 ± 0.54 | 42.3–48 |
| MCH (pg) | 15.38 ± 0.18 | 15.37 ± 0.39 | 14.7–17.5 |
| MCHC (g/L) | 280.40 ± 3.19 | 278.67 ± 4.86 | 341–367 |
| Plasma proteins (g/L) | 80.80 ± 4.34 | 82.00 ± 3.83 | - |
| Parameters | A | B | Reference a |
|---|---|---|---|
| White blood cells (×109/L) | 7.74 ± 0.95 | 13.32 ± 0.45 * | 7.06–17.29 |
| Neutrophils (×109/L) | 2.19 ± 0.24 | 2.84 ± 0.44 | 0.98–6.06 |
| Lymphocytes (×109/L) | 5.06 ± 0.70 | 7.19 ± 0.52 * | 5.01–11.6 |
| Monocytes (×109/L) | 0.47 ± 0.04 | 0.59 ± 0.10 | 0.09–0.63 |
| Eosinophils (×109/L) | 0.02 ± 0.02 | 0.00 ± 0.00 | 0–0.75 |
| Basophils (×109/L) | 0.00 ± 0.00 | 0.00 ± 0.00 | 0–0.09 |
| Blast cells (×109/L) | 0.00 ± 0.00 | 2.70 ± 0.73 * | - |
| Organ | Histopathological Observations | A | B |
|---|---|---|---|
| Spleen | Increased proliferation of neoplastic lymphocytes | 0 ± 0.00 | 1.33 ± 0.21 * |
| Liver | Metastasis of malignant lymphocytes in the hepatic sinusoids | 0 ± 0.00 | 0.17 ± 0.17 |
| Kidney | Metastasis of malignant lymphocytes in the glomeruli and renal tubules | 0 ± 0.00 | 0.33 ± 0.21 |
| Lungs | Metastasis of malignant lymphocytes in the lung parenchyma | 0 ± 0.00 | 0.83 ± 0.40 |
| Protein | A | B |
|---|---|---|
| VEGF | 2.16 ± 0.07 | 7.53 ± 0.3 * |
| BCL2 | 1.61 ± 0.02 | 4.41 ± 0.2 * |
| BAX | 0.610 ± 0.02 | 2.28 ± 0.10 * |
| Area | Score | Criteria |
|---|---|---|
| Red pulp | 0 | Normal histology |
| 1 | Small size of clusters of small size neoplastic lymphocytes | |
| 2 | Large size of clusters of small to medium size neoplastic lymphocytes. Pleomorphism of neoplastic lymphocytes. | |
| 3 | Diffused proliferation of medium to large size neoplastic lymphocytes. Pleomorphism of neoplastic lymphocytes. Diminished architecture of red pulp of spleen | |
| White pulp | 0 | Normal histology |
| 1 | Small size of clusters of small size neoplastic lymphocytes | |
| 2 | Large size of clusters of small to medium size neoplastic lymphocytes. Pleomorphism of neoplastic lymphocytes. | |
| 3 | Diffused proliferation of medium to large size neoplastic lymphocytes. Pleomorphism of neoplastic lymphocytes. Diminished architecture of white pulp of spleen |
| Organ | Score | Criteria |
|---|---|---|
| 0 | Normal histology | |
| Lymph nodes | 1 | Small neoplastic lymphocytes in cortical areas |
| 2 | Small to medium size of neoplastic lymphocytes in cortical and paracortical areas. Pleomorphism of neoplastic lymphocytes. | |
| 3 | Medium to large size of neoplastic lymphocytes in cortical, paracortical and medullary areas. Pleomorphism of neoplastic lymphocytes. Diminished architecture of red pulp of spleen |
| Organ | Score | Criteria |
|---|---|---|
| Liver | 0 | Normal Histology |
| 1 | A few numbers of metastasized small size neoplastic lymphocytes | |
| 2 | Moderate number of metastasized small to medium size neoplastic lymphocytes. Dilated hepatic sinusoids infiltrated with neoplastic lymphocytes. Pleomorphism of neoplastic lymphocytes. | |
| 3 | Numerous numbers of metastasized medium to large size neoplastic lymphocytes. Diminished architecture of liver tissue Pleomorphism of neoplastic lymphocytes. | |
| Lungs | 0 | Normal Histology |
| 1 | A few numbers of metastasized small size neoplastic lymphocytes | |
| 2 | Moderate number of metastasized small to medium size neoplastic lymphocytes. | |
| 3 | Numerous numbers of metastasized medium to large size neoplastic lymphocytes. Diminished architecture of lungs tissue Pleomorphism of neoplastic lymphocytes. | |
| Kidneys | 0 | Normal Histology |
| 1 | A few numbers of metastasized small size neoplastic lymphocytes | |
| 2 | Moderate number of metastasized small to medium size neoplastic lymphocytes. | |
| 3 | Numerous numbers of metastasized medium to large size neoplastic lymphocytes. Diminished architecture of kidney tissue Pleomorphism of neoplastic lymphocytes. |
| Tube | Volume of T-PER (µL) | Volume of Albumin BSA (µL) | Final BSA Conc. (µg/(µL) |
|---|---|---|---|
| A | 0 | 300 stock | 2000 |
| B | 125 | 375 stock | 1500 |
| C | 325 | 325 stock | 1000 |
| D | 175 | 175 of tube B | 750 |
| E | 325 | 325 of tube C | 500 |
| F | 325 | 325 of tube E | 250 |
| G | 325 | 325 of tube F | 125 |
| H | 400 | 100 of tube G | 25 |
| I | 400 | 0 | 0 |
© 2020 by the authors. Licensee MDPI, Basel, Switzerland. This article is an open access article distributed under the terms and conditions of the Creative Commons Attribution (CC BY) license (http://creativecommons.org/licenses/by/4.0/).
Share and Cite
Aliyu, A.; Shaari, M.R.; Ahmad Sayuti, N.S.; Reduan, M.F.H.; Sithambaram, S.; Noordin, M.M.; Shaari, K.; Hamzah, H. N-Ethyl-n-Nitrosourea Induced Leukaemia in a Mouse Model through Upregulation of Vascular Endothelial Growth Factor and Evading Apoptosis. Cancers 2020, 12, 678. https://doi.org/10.3390/cancers12030678
Aliyu A, Shaari MR, Ahmad Sayuti NS, Reduan MFH, Sithambaram S, Noordin MM, Shaari K, Hamzah H. N-Ethyl-n-Nitrosourea Induced Leukaemia in a Mouse Model through Upregulation of Vascular Endothelial Growth Factor and Evading Apoptosis. Cancers. 2020; 12(3):678. https://doi.org/10.3390/cancers12030678
Chicago/Turabian StyleAliyu, Abdullahi, Mohd Rosly Shaari, Nurul Syahirah Ahmad Sayuti, Mohd Farhan Hanif Reduan, Shanmugavelu Sithambaram, Mustapha Mohamed Noordin, Khozirah Shaari, and Hazilawati Hamzah. 2020. "N-Ethyl-n-Nitrosourea Induced Leukaemia in a Mouse Model through Upregulation of Vascular Endothelial Growth Factor and Evading Apoptosis" Cancers 12, no. 3: 678. https://doi.org/10.3390/cancers12030678
APA StyleAliyu, A., Shaari, M. R., Ahmad Sayuti, N. S., Reduan, M. F. H., Sithambaram, S., Noordin, M. M., Shaari, K., & Hamzah, H. (2020). N-Ethyl-n-Nitrosourea Induced Leukaemia in a Mouse Model through Upregulation of Vascular Endothelial Growth Factor and Evading Apoptosis. Cancers, 12(3), 678. https://doi.org/10.3390/cancers12030678

