Simple Summary
Cryopreservation of ovarian tissue is a promising technique for fertility preservation in cancer patients at increased risk for subfertility. The International Guideline Harmonization Group recommends ovarian tissue cryopreservation for children and young adults before therapy with cumulative doses of alkylating agent at or above 6000–8000 mg/m2. A therapy that poses a high risk of subfertility is rarely the first-line therapy and many of the patients have already undergone several regimens of chemotherapy. The aim of our study was to assess the effects of chemotherapy exposures on the quality of cryopreserved ovarian tissue. We confirmed the harmful effects of alkylating agents on xenografted ovarian tissue and suggest that cumulative doses which are not regarded as an indication for fertility preservation in children and young adult may decrease the quality of cryopreserved follicles.
Abstract
Purpose and methods: To elucidate whether previous cancer treatment affects graft recovery and follicle numbers, morphology, and development in grafts, cryopreserved ovarian biopsies obtained from 18 cancer patients aged 1–24 years with and without exposure to chemotherapy were xenografted as 1 mm3 fragments to immunodeficient mice for 22 weeks with exogenous stimulation. Results: Graft recovery showed no association with chemotherapy exposure, pubertal stage, or leukemia contamination. Total follicle number per recovered graft varied between 0 and 1031 in the chemotherapy-exposed and between 0 and 502 in the non-chemotherapy-exposed group. Atretic follicles formed the largest proportion of the follicle pool in chemotherapy-exposed grafts. Increased atresia correlated with exposure to alkylating agents (mean ± SD 8866.2 ± 9316.3 mg/m2) but not with anthracyclines, pubertal stage, or leukemia contamination. Conclusion: The observation confirms the harmful effects of alkylating agents on ovarian tissue. Therapy at the median cumulative dose of 8866 mg/m2 leads to the decreased quality of cryopreserved ovarian follicles in children and young adults.
1. Introduction
The survival of children affected by cancer has greatly improved [1]. This increased survival has necessitated increasing awareness of the long-term sequelae of the treatments on the health and well-being of cancer survivors. Aggressive chemotherapy and radiotherapy can damage the ovary and cause subfertility. A promising technique for fertility preservation in cancer survivors is cryopreservation of ovarian tissue. Post-pubertal cryopreserved tissue grafted back to the patient is able to restore ovarian function and fertility, and more than 200 live births have been reported worldwide following this procedure [2]. Furthermore, cryopreserved ovarian tissue from pediatric patients has been successfully used for the induction of puberty [3,4]. Recently, two reports have been published describing successful pregnancies stemming from regrafted ovarian tissue collected when the patients were 13 [5] and 9 years old [6].
The collection of ovarian tissue is an invasive procedure and should only be offered when there is a high risk of subfertility [7]. The International Guideline Harmonization Group recommends ovarian tissue cryopreservation for children and young adults who will be treated with cumulative doses of alkylating agent at or above 6000–8000 mg/m2, ovarian radiotherapy, and hematopoietic stem cell transplantation [8].
A therapy that poses a high risk of subfertility is rarely the first-line therapy in pediatric cancers, and fertility preservation may not be indicated at the time of diagnosis of malignancy. However, more girls become eligible when there is a poor response to therapy or a disease relapse. Consequently, many of the patients who have an indication for fertility preservation have already undergone several regimens of chemotherapy, including alkylating agents, prior to ovarian cryopreservation [9,10].
To date, there are only sparse data regarding the effects of chemotherapy on the development and survival of prepubertal or adolescent ovarian follicles after ovarian tissue transplantation. One study evaluated follicle density in prepubertal ovarian tissue after xenotransplantation, reporting one case with exposure to chemotherapy [11]. A recent large cohort study summarized the experience of transplanting ovarian tissue from 271 adult females with data on chemotherapy exposures [12]. Exposure to chemotherapy before cryopreservation (18.5% of all cases) was not shown to alter the results of ovarian tissue transplantation and was no longer concluded as a contraindication to tissue cryopreservation in adults.
The present study was designed to evaluate the effects of cumulative exposure to alkylating agents and anthracyclines on the survival and function of cryopreserved ovarian tissue from patients with childhood, adolescent, and young adult cancer after transplantation to immunodeficient mice. The effects of ovarian leukemic contamination and pubertal stage on graft function were also analyzed.
2. Materials and Methods
2.1. Collection of Ovarian Tissue
The study participants were recruited from the Children’s Hospital, University Hospital of Helsinki, Finland, the Department of Gynecology, Oslo University Hospital, Norway, and the Department of Gynecology, University Hospital of Tampere, Finland, as described earlier [13,14]. Adult patients from Tampere and Oslo were offered ovarian tissue cryopreservation as part of a fertility preservation program. Pediatric patients were included from Children’s Hospital in Helsinki where they participated in a fertility preservation research project. The inclusion criteria were very high risk of POI (>80%) due to the planned treatments (allogenic/autologous HSCT or radiotherapy with ovary in the field) based on the available evidence from the literature. The exclusion criteria were a high bleeding and/or infection risk. Previous exposure to chemotherapy was not a contraindication. The hospitals’ medical records were used to collect information about the patients, i.e., age, diagnosis, type of treatment, and the cumulative doses of chemotherapeutic agents. Cyclophosphamide-equivalent doses (CED) were calculated as described before [15] and cumulative anthracyclines as doxorubicin isotoxic equivalents (DIE) using the conversion factor of 1 for doxorubicin and 0.833 for daunorubicin.
The study material consisted of cryopreserved ovarian fragments from 18 patients aged 1–24 years. Six of the samples were collected before the initiation of chemotherapy and twelve after the initiation of chemotherapy. Except for one, all patients treated with chemotherapeutic drugs received alkylating agents, with cyclophosphamide as the major treatment element (Table 1).
Table 1.
Clinical characteristics, ovarian leukemic contamination, number of grafted and recovered grafts, and total number of follicles of each study patient. Exposure to alkylating agents is indicated by cumulative cyclophosphamide-equivalent dose (CED) and exposure to anthracyclines by doxorubicin isotoxic equivalents (DIE). Level of ovarian leukemic contamination is indicated by MRD results.
Eight study samples were from leukemia patients with a leukemia-specific marker that enabled RQ-PCR analysis of minimal residual disease (MRD) in the cryopreserved ovarian tissue at the time of biopsy (Table 1), as described earlier [13,16].
2.2. Ovarian Tissue Freezing and Thawing
Ovarian tissue was cryopreserved by using the slow-freezing method with cryoprotectant agents, propanediol (PrOH) or ethylene glycol (EG), and thawed according to the cryopreservation reverse procedure, which included short incubations in medium containing a decreasing concentration of cryoprotectant EG or PrOH, as described previously [14]. All incubations took place at room temperature in a laminar flow hood under sterile conditions. The thawed ovarian cortical tissue was cut into pieces equal in size (1 mm3). One piece of ovarian cortical tissue was fixed in 4% formaldehyde for histology.
2.3. Xenotransplantation to SCID Mice
The protocol was approved by the Northern Stockholm Animal Ethics Committee (Project nr. 143/08). A total of 80 six-week-old female ovariectomized SCID mice (Charles River, Wilmington, MA, USA) were used. The mice were anesthetized, and one or two fragments of thawed ovarian cortical tissue were placed subcutaneously under the dorsal skin of the neck area on the left side of the dorsal midline, and one was grafted on the right side of the midline using a cancer implant G13 needle (Popper Precision Instruments, Lincoln, RI, USA). The fragments grafted into each animal were always from the same patient. The animals were kept in sterile conditions for 22 weeks and weighed weekly.
2.4. Gonadotropin Stimulation
Stimulation by intraperitoneal (IP) injection of gonadotropin (FSH: 1 IU) (Gonal F, Merck, Darmstadt, Germany) was performed every two days during the last 14 days before graft removal at 22 weeks. The animals were injected with 20 IU of hCG (Pregnyl, MSD, Halle, Germany) 24 h before graft removal.
2.5. Histologic Analysis and Follicle Classification
After fixation in 4% formaldehyde, the grafts were embedded in paraffin for histologic analysis, the entire tissue was serially sectioned (4 μm), and the sections were stained with hematoxylin and eosin. Two persons identified the number of recovered grafts with clearly vascularized ovarian structures and counted the number of follicles at each developmental stage in all sections. Interobserver concordance was monitored (>90%). To avoid double counting, each follicle was traced through neighboring sections.
Follicles were classified as primordial, growing (primary or secondary), or atretic follicles, as described earlier [14]. The follicles were defined as atretic if the nucleus of the oocyte or nucleus of more than 50% of the surrounding granulosa cells were pyknotic. The numbers of each type of follicles were counted and expressed as total number per graft. The estimation of the size of recovered grafts was not possible. The proportions of primordial, maturing, and atretic ovarian follicles of the total follicles were calculated.
2.6. Statistical Analysis
SSPS statistical software version 21 was used to analyze the data. The individual mean of follicle numbers, the ratio of growing/total follicles in frozen–thawed samples and in grafted tissues, and the individual mean of the percentage proportion of recovered grafts from each study patient were included in the analysis. The follicle data are presented as mean, standard deviation, and range. The Mann–Whitney U test was used to compare follicle numbers in tissue samples with and without exposure to cancer chemotherapy and for leukemia patients with and without leukemic MRD. The entire study material was included in Spearman’s rank correlation analysis to assess univariate correlations between follicle numbers, ratio of growing/total follicles, percentage proportion of recovered grafts, age, pubertal stage (prepubertal = 0, pubertal/post-pubertal = 1), CED, and DIE. The numbers of atretic follicles per tissue graft before and after xenografting and the ratio of growing follicles before xenografting in the entire study material were further entered as dependent variables and DIE, CED, and pubertal stage as independent variables in multiple-linear-regression analysis. Age and pubertal stage were significantly correlated, and only pubertal stage was included in the regression model. All tests of significance were two-tailed and p-values ≤ 0.05 indicated statistical significance.
3. Results
3.1. Analysis of Grafts
Out of 190 grafts that were xenografted in 80 SCID mice, 110 were recovered after 22 weeks (Table 1).
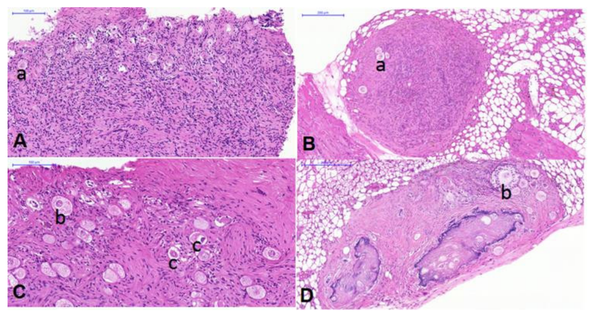
Representative images of ovarian cortex before and after xenotransplantation are shown in Figure 1.
Figure 1.
Representative images of ovarian cortex without exposure (A,B) and with exposure to chemotherapy (C,D, Case 10, CED 20840 mg/m2, DIE 225 mg/m2), before (A,C) and after (B,D) 22 weeks of xenotransplantation; (a) primordial; (b) secondary follicle; (c) atretic follicle.
No difference in graft recovery was detected between samples from patients with and without exposure to chemotherapy, with and without positive leukemic MRD, or samples from prepubertal and more mature girls (Table 2). No antral follicles or masses of malignant infiltration were macroscopically observed in any of the recovered grafts.
Table 2.
Mean, standard deviation (SD) and range of follicle numbers per graft of cryopreserved human ovarian tissue before and after xenografting by prepubertal stage and previous chemotherapy.
3.2. Impact of Chemotherapy on Follicle Numbers
Mean follicle numbers per graft before and after xenografting are shown in Table 2. Before xenografting, there were significantly more atretic follicles in samples exposed to chemotherapy than in nonexposed ovarian fragments. After 22 weeks of xenografting, no significant differences in total follicle numbers were detected between xenografts with and without exposure to chemotherapy. The ratio of growing to total follicles before or after xenografting was not affected by exposure to chemotherapy (Table 2). The proportions of primordial, maturing, and atretic follicles per graft before and after xenografting are shown in Figure 2. In chemotherapy-exposed samples, 55% of the ovarian follicles were atretic after thawing, and no increase in the proportion of growing follicles was observed after xenografting (Figure 2).
Figure 2.
Proportions of primordial, maturing, and atretic ovarian follicles before and after 22 weeks of xenotransplantation in ovarian cortex with and without chemotherapy exposure.
3.3. Impact of Leukemia Contamination on Follicle Numbers
In the samples of eight leukemia patients with a positive ovarian MRD for leukemia-specific markers, MRD did not affect the follicle numbers before or after xenografting or the ratio of growing to total follicles before or after xenografting. There were no differences in the follicle proportions between samples with positive or negative MRD.
3.4. Impact of Pubertal Maturation on Follicle Numbers
Before xenografting, in samples from prepubertal girls there were significantly more atretic follicles and the ratio of growing to total follicles was lower (p = 0.055) than in samples from more mature girls (Table 2). When samples from prepubertal girls were compared to samples from more mature girls after xenografting, total follicle count was higher, but more of the follicles were atretic (Table 2). There were no statistically significant differences in the follicle proportions between samples with positive or negative MRD (data not shown).
3.5. Risk Factors for Decreased Follicle Numbers
Spearman’s rank correlation analysis was performed to identify whether age, pubertal stage, exposure to cumulative cyclophosphamide-equivalent dose (CED) or doxorubicin isotoxic equivalents (DIE), or level of ovarian MRD correlated with follicle numbers in the grafts (Table 3). Before xenografting, higher age or pubertal/postpubertal stage correlated with a decreased number of atretic follicles and an increased ratio of growing/total follicles. A higher exposure to CED correlated with an increased number of total and atretic follicles and a decreased ratio of growing/total follicles, whilst a higher exposure to DIE correlated with an increased number of atretic follicles and a decreased ratio of growing/total follicles. After xenografting, the prepubertal stage correlated with an increased number of total and atretic follicles and a higher exposure to CED correlated with an increased number of atretic follicles. No correlation was detected between levels of ovarian MRD and follicle numbers.
Table 3.
Spearman’s rank correlation analysis of age, pubertal stage, cumulative Cyclophosphamide-Equivalent Dose (CED), cumulative anthracycline dose (DIE) and ovarian minimal-residual leukemia (MRD) and their association with follicle numbers per graft and ratio of growing/total follicle numbers and percentage proportion of recovered grafts before and after xenografting.
Multivariate linear regressions were performed to adjust for differences in pubertal stage and exposure to cumulative DIE and CED. Increasing exposure to CED remained as the only independent predictor of a higher number of atretic follicles before and after xenografting (Table 4). Pubertal stage was not significantly associated with follicle numbers when adjusted for other factors in the regression model. No independent predictors were identified for the higher ratio of growing/total follicles before xenografting.
Table 4.
Multivariate-linear-regression analysis of atretic follicle numbers per graft and ratio of growing/total follicle numbers using pubertal stage, cumulative cyclophosphamide-equivalent dose (CED), and cumulative anthracycline dose (DIE) as predictors.
3.6. Leukemia Spread into the Host Animals
Altogether, 36 SCID mice were grafted with ovarian tissue from eight leukemia patients with a leukemia-specific marker. Twenty-five of the host mice received 62 grafts that were previously shown to be MRD negative [13,16] (Table 1). None of these host mice developed signs of overt leukemia. Eleven mice received 26 grafts from ovarian tissue that was previously shown to be MRD positive for the leukemia-specific marker at levels of < 0.01–0.7% [13,16] (Table 1). One of the five mice that received ovarian grafts from a patient with positive ovarian MRD at a level of 0.2% died 50 days after xenografting due to overt leukemia. Histological analysis depicted leukemic infiltration in all analyzed parenchymal organs (kidney, liver) and in bone marrow. No macroscopic infiltration was detected in brain parenchyma. Furthermore, no ovarian grafts were recovered.
4. Discussion
Chemotherapy with alkylating agents below the range of 6000–8000 mg/m2 is considered to pose a low risk for premature ovarian insufficiency, and therefore, it is not an indication for ovarian tissue cryopreservation in children and adolescents [8]. In the present study, exposure to a median dose of alkylating agents (CED 8866.2 ± 9316.3 mg/m2), which is at the upper limit of this low-risk-range dose, decreased the survival of follicles and increased follicle atresia after xenografting. The present study provides evidence that doses of alkylating agents that are not regarded as indications for fertility preservation in children may already harm the developmental potential of ovarian tissue. The results are in line with previous clinical reports of ovarian tissue transplantation in adults, where exposure to alkylating agents before ovarian tissue cryopreservation at a median age of 26.5 years (range 16.6–31.9) decreased pregnancy rates when compared to women treated without alkylating agents [17]. The present results from the xenografting model provide further experimental evidence that alkylating agents, in addition to causing quantitative alterations to the pool of follicles in the reserve, can lead to qualitative and functional alterations of follicles and oocytes in children and young adults [14,18,19].
Besides alkylating agents, anthracyclines are another widely used first-line chemotherapeutic agent in childhood cancers. In the present study, exposure to anthracyclines correlated with an increased number of atretic follicles and a decreased ratio of growing/total follicles in frozen–thawed samples. The observation supports our previous report about a negative correlation with the follicular and nuclear diameter of intact primordial follicles and exposure to anthracyclines [18]. After xenografting, however, only the correlation with exposure to alkylating agents remained significant. Thus, the present data provide no evidence that exposure to anthracyclines results in a further decline in the survival of grafted follicles. This observation is in line with the previous reports that exposure to nonalkylating or low-dose-alkylating chemotherapy before ovarian tissue cryopreservation does not alter the chances of success of ovarian tissue transplantation [12,17,20].
Increasing age and pubertal maturation were associated with a higher proportion of growing follicles and fewer atretic follicles in frozen–thawed samples as well as a higher number of total follicles and fewer atretic follicles after xenografting. The association between follicle numbers and pubertal maturation disappeared after adjusting for cumulative exposure to alkylating agents in the regression model. The results are in line with previous reports on higher density of maturing follicles after tissue culture with increasing age [14,21] and decreased atretic follicle counts in frozen–thawed samples [14,18].
Ovarian exposure to the alkylating agent cyclophosphamide has been suggested to trigger dormant follicle activation, resulting in burnout of the follicle reserve [22]. Our observation of a decreased proportion of growing follicles in frozen–thawed ovarian samples in girls and young women who received chemotherapy does not support the hypothesis of increased activation of dormant ovarian follicles after chemotherapy. However, it should be noted that the time since last chemotherapy prior to ovarian biopsy varied from 9 to 55 days, and it is possible that temporary follicle activation could have been missed. Instead of follicle activation, a significant depletion of all follicle types occurred during long-term xenografting. The majority of the remaining follicles were atretic and only few maturing follicles were observed, suggesting that the follicle pool in xenografts is depleted by atresia, which is further exacerbated by prior exposure to alkylating agents.
Survival of human ovarian follicles in the xenograft model is also dependent on several transplantation-related factors, such as angiogenic factors [23], hormones [24], graft site [24,25,26], and graft size [26,27]. Graft recovery in the present study showed no association with chemotherapy exposure, age, or pubertal maturation. We observed a lower graft recovery rate (50%) than previously reported (80–100%) in xenografting studies using human ovarian tissue [11,24,26]. We were not able to observe antral follicles or recover mature oocytes, which contradicts a previous report on cryopreserved adult [28,29] and prepubertal ovarian tissue [11,30] after long-term intra-abdominal xenografting and with and without exogenous stimulation. Intra-abdominal grafting has shown superior graft recovery rates in experimental studies when compared to subcutaneous grafting [24]. However, here we chose a subcutaneous location for grafting to control the location of implanted grafts and to ensure an accurate and equal graft collection at the end of the experiment. Furthermore, graft dimensions have been shown to play a significant role in reducing follicle loss at transplantation [26,27]. To standardize the grafted tissue volume between treatment groups and to analyze graft recovery and leukemia transmission in a structured manner, we used small ovarian grafts of equal size. The size of the ovarian grafts (1 × 1 × 1 mm) used was comparable to a previous study where antral follicles were successfully recovered from cryopreserved postpubertal ovarian xenografts (0.5 × 0.5 × 1 mm), but smaller than in the previously reported successful xenotransplantation of prepubertal ovarian xenografts (from 1 × 2 mm to 8 × 10 mm) [11,30]. The present observation of lack of antral and growing follicles in small grafts compared to larger xenografts [11] supports the hypothesis that fragmenting ovarian tissue into small cubes (1 mm3) may result in more extensive follicle loss [27]. The lack of antral follicles in xenografts could also relate to differences in patient populations. Indeed, as a major difference to previous reports, all but one prepubertal patient and four out of six pubertal or postpubertal girls in the present study were exposed to chemotherapy, compared to only one patient in the previous xenografting studies. The lack of antral follicles in xenografts from all six nonchemotherapy-exposed cancer patients is inferior compared to previously reported studies where no antral follicles were detected in xenografts of one out of four [11], zero out of one [30], zero out of nine [28], and two out of six [29] patients. The observation confirms that xenografting can potentially identify differences in the developmental potential of stored ovarian tissue.
This study provides quantitative evidence that ovarian leukemic contamination did not impair the recovery of the ovarian grafts or ovarian follicles during xenografting. This study also demonstrates that ovarian samples harboring malignant cells may have fertility potential and will be recovered as a xenograft similarly to malignant cell-free ovarian samples. Moreover, leukemia was transmitted to one out of eleven hosts that received MRD-positive, leukemia-contaminated grafts. The host with leukemia received ovarian material with leukemic MRD (0.2%) while the other four hosts that received grafts from the same patient survived, and from them, a total of six grafts without leukemia infiltration were recovered. Our finding confirms the previous reports that ovarian leukemic contamination at the MRD level carries a risk of leukemia transmission and contaminated ovaries should not be used in clinical reimplantation [16,31,32], although potential leukemic contamination did not always lead to transmission of leukemia. There are recent publications on first pregnancies in leukemia survivors after transplantation of cryopreserved MRD negative ovarian tissue [33,34]. In line with the clinical observations, all 25 hosts in the present study that received MRD negative grafts remained healthy in the 22-week follow-up. However, grafting a larger number of hosts with a larger volume of contaminated tissue or extended observation time might have increased detection of transmission.
Our study has limitations. Despite being the largest xenografted, prepubertal human-ovarian cohort to date, the studied cohort was still relatively small. The study population was heterogeneous in terms of age, and the patients were exposed to different chemotherapy agents. Ovarian fragments represented only a partial region of the ovarian cortex and might not be representative of the whole organ while the cryopreserved cortical samples were representative of ovarian tissue that is used in fertility preservation. We could only control grafted tissue volume but did not measure the exact volume of the recovered ovarian grafts. The number of recovered follicles could, therefore, only be reported per graft, not per tissue volume. It is probable that the number of host mice we used was too low, the volume of MRD positive ovarian tissue too small, and the observation period too short to detect the risk of leukemia transmission.
5. Conclusions
In conclusion, exposure to cancer therapy including alkylating agents at a median cumulative dose of 8866 mg/m2 decreased the survival of follicles and increased the number of follicle atresia in cryopreserved prepubertal and adolescent ovarian tissue xenografted for follicle maturation. The observation confirms previous clinical reports on decreased success of adult ovarian tissue transplantation after therapy with alkylating agents. In light of our findings, previous cancer therapy is not a limitation to ovarian tissue cryopreservation but delaying fertility preservation until cumulative exposure to alkylating agents of 6000–8000 mg/m2 will lead to decreased quality of cryopreserved ovarian follicles. Guidelines are needed to optimize the timing of fertility preservation after exposure to chemotherapy in children and young adult cancer patients.
Author Contributions
: Conceptualization, I.C.O. and K.J.; methodology, M.N., B.A.-A., M.H., H.T., T.L., I.C.O., J.T. and K.J.; validation, H.T., I.C.O. and K.J.; formal analysis, M.N. and R.K.; investigation, M.N., B.A.-A., M.H., H.T., T.L., I.C.O. and K.J.; resources, I.C.O., H.T., J.T. and K.J.; data curation, M.N., M.H. and B.A.-A.; writing—original draft preparation, M.N., B.A.-A. and K.J.; writing—review and editing, M.N., B.A.-A., M.H., R.K., J.T., H.T., T.L., I.C.O. and K.J.; visualization, M.N. and R.K.; supervision, I.C.O. and K.J.; project administration, I.C.O., J.T, and K.J.; funding acquisition, I.C.O., J.T. and K.J. All authors have read and agreed to the published version of the manuscript.
Funding
This research was funded by grants from the Norwegian National Advisory Unit on Women’s Health, Oslo University Hospital, Norway, the Swedish Childhood Cancer Foundation (PR2015-0073, TJ2015-0046; PR2017-0073; KP2020-0012), Sigrid Jusélius Foundation, Turku University Hospital, the Finnish Cancer Society, the Finnish Pediatric Research Foundation, the Paulo Foundation, the Väre Foundation for Pediatric Cancer Research, the Birgitta and Carl-Axel Rydbeck’s Research Grant for Paediatric Research (2020-00335; 2021-00079)the Academy of Finland, the Swedish Research Council (2016-01296), ALF Stockholm County, and the Karolinska Institute.
Institutional Review Board Statement
The study was conducted according to the guidelines of the Declaration of Helsinki. Pediatric patients were included from Children’s Hospital in Helsinki where they participated in a fertility preservation research project that was approved by the Ethics Committee of Helsinki University Central Hospital (protocol code 340/13/03/03/2015). Adult patients from Tampere and Oslo were offered ovarian tissue cryopreservation as part of a fertility preservation program. Requirements for further ethical licenses were discussed with Oslo University Hospital, Finnish National Supervisory Authority for Welfare and Health, and Finnish Medicines Agency. Since all patients have given their written informed consent concerning the use of the material for scientific work and reporting the results, no further ethical permits were required in accordance with the Medial Research Act (488/1999) and the Act on the Medical Use of Human Organs, Tissues and Cells (101/2001).
Informed Consent Statement
Written informed consents for pediatric patients were given by their guardians and by all age-appropriate patients for this research and for publishing the results. Adult patients from Tampere and Oslo signed an informed consent for quality control of ovarian tissue including morphological and functional analysis.
Data Availability Statement
The datasets analysed during the current study are available upon reasonable request.
Acknowledgments
We would like to thank Sirpa Mäkinen and Vesa Juvonen for their contribution in performing the study and Leo Dunkel, Anne Wikström, and Outi Hovatta for their contribution in initiating the fertility preservation study, and Mona Sheikhi, Taija Poikkipuoli, and Erica Nyman for their skillful technical assistance.
Conflicts of Interest
The authors declare no conflict of interest.
References
- Oeffinger, K.C.; Mertens, A.C.; Sklar, C.A.; Kawashima, T.; Hudson, M.M.; Meadows, A.T.; Friedman, D.L.; Marina, N.; Hobbie, W.; Kadan-Lottick, N.S.; et al. Chronic health conditions in adult survivors of childhood cancer. N. Engl. J. Med. 2006, 355, 1572–1582. [Google Scholar] [CrossRef] [PubMed]
- Dolmans, M.M.; Falcone, T.; Patrizio, P. Importance of patient selection to analyze in vitro fertilization outcome with transplanted cryopreserved ovarian tissue. Fertil. Steril. 2020, 114, 279–280. [Google Scholar] [CrossRef]
- Ernst, E.; Kjærsgaard, M.; Birkebæk, N.H.; Clausen, N.; Andersen, C.Y. Case report: Stimulation of puberty in a girl with chemo- and radiation therapy induced ovarian failure by transplantation of a small part of her frozen/thawed ovarian tissue. Eur. J. Cancer 2013, 49, 911–914. [Google Scholar] [CrossRef]
- Poirot, C.; Abirached, F.; Prades, M.; Coussieu, C.; Bernaudin, F.; Piver, P. Induction of puberty by autograft of cryopreserved ovarian tissue. Lancet 2012, 379, 588. [Google Scholar] [CrossRef]
- Demeestere, I.; Simon, P.; Dedeken, L.; Moffa, F.; Tsepelidis, S.; Brachet, C.; Delbaere, A.; Devreker, F.; Ferster, A. Live birth after autograft of ovarian tissue cryopreserved during childhood. Hum. Reprod. 2015, 30, 2107–2109. [Google Scholar] [CrossRef] [Green Version]
- Matthews, S.J.; Picton, H.; Ernst, E.; Andersen, C.Y. Successful pregnancy in a woman previously suffering from beta-thalassemia following transplantation of ovarian tissue cryopreserved before puberty. Minerva Ginecol. 2018, 70, 432–435. [Google Scholar]
- Wallace, W.H.; Smith, A.G.; Kelsey, T.W.; Edgar, A.E.; Anderson, R.A. Fertility preservation for girls and young women with cancer: Population-based validation of criteria for ovarian tissue cryopreservation. Lancet Oncol. 2014, 15, 1129–1136. [Google Scholar] [CrossRef] [Green Version]
- Mulder, R.L.; Font-Gonzalez, A.; Hudson, M.M.; van Santen, H.M.; Loeffen, E.A.H.; Burns, K.C.; Quinn, G.P.; van Dulmen-den Broeder, E.; Byrne, J.; Haupt, R.; et al. Fertility preservation for female patients with childhood, adolescent, and young adult cancer: Recommendations from the PanCareLIFE Consortium and the International Late Effects of Childhood Cancer Guideline Harmonization Group. Lancet Oncol. 2021, 22, e45–e56. [Google Scholar] [CrossRef]
- Wallace, W.H.; Kelsey, T.W.; Anderson, R.A. Fertility preservation in pre-pubertal girls with cancer: The role of ovarian tissue cryopreservation. Fertil. Steril. 2016, 105, 6–12. [Google Scholar] [CrossRef] [Green Version]
- Balduzzi, A.; Dalle, J.H.; Jahnukainen, K.; von Wolff, M.; Lucchini, G.; Ifversen, M.; Macklon, K.T.; Poirot, C.; Diesch, T.; Jarisch, A.; et al. Fertility preservation issues in pediatric hematopoietic stem cell transplantation: Practical approaches from the consensus of the Pediatric Diseases Working Party of the EBMT and the International BFM Study Group. Bone Marrow Transplant. 2017, 52, 1406–1415. [Google Scholar] [CrossRef] [Green Version]
- Luyckx, V.; Scalercio, S.; Jadoul, P.; Amorim, C.A.; Soares, M.; Donnez, J.; Dolmans, M.M. Evaluation of cryopreserved ovarian tissue from prepubertal patients after long-term xenografting and exogenous stimulation. Fertil. Steril. 2013, 100, 1350–1357. [Google Scholar] [CrossRef] [PubMed]
- Dolmans, M.-M.; von Wolff, M.; Poirot, C.; Diaz-Garcia, C.; Cacciottola, L.; Boissel, N.; Liebenthron, J.; Pellicer, A.; Donnez, J.; Andersen, C.Y. Transplantation of cryopreserved ovarian tissue in a series of 285 women: A review of five leading European centers. Fertil. Steril. 2021, 115, 1102–1115. [Google Scholar] [CrossRef] [PubMed]
- Asadi-Azarbaijani, B.; Sheikhi, M.; Nurmio, M.; Tinkanen, H.; Juvonen, V.; Dunkel, L.; Hovatta, O.; Oskam, I.C.; Jahnukainen, K. Minimal residual disease of leukemia and the quality of cryopreserved human ovarian tissue in vitro. Leuk. Lymphoma 2016, 57, 700–707. [Google Scholar] [CrossRef]
- Asadi Azarbaijani, B.A.; Sheikhi, M.; Oskam, I.C.; Nurmio, M.; Laine, T.; Tinkanen, H.; Makinen, S.; Tanbo, T.G.; Hovatta, O.; Jahnukainen, K. Effect of Previous Chemotherapy on the Quality of Cryopreserved Human Ovarian Tissue In Vitro. PLoS ONE 2015, 10, e0133985. [Google Scholar]
- Green, D.M.; Nolan, V.G.; Goodman, P.J.; Whitton, J.A.; Srivastava, D.; Leisenring, W.M.; Neglia, J.; Sklar, C.A.; Kaste, S.C.; Hudson, M.M.; et al. The cyclophosphamide equivalent dose as an approach for quantifying alkylating agent exposure: A report from the childhood cancer survivor study. Pediatr. Blood Cancer 2014, 61, 53–67. [Google Scholar] [CrossRef] [Green Version]
- Jahnukainen, K.; Tinkanen, H.; Wikström, A.; Dunkel, L.; Saarinen-Pihkala, U.M.; Mäkinen, S.; Asadi Azarbaijani, B.; Oskam, I.C.; Vettenranta, K.; Laine, T.; et al. Bone marrow remission status predicts leukemia contamination in ovarian biopsies collected for fertility preservation. Leukemia 2013, 27, 1183–1185. [Google Scholar] [CrossRef] [PubMed]
- Poirot, C.; Fortin, A.; Dhédin, N.; Brice, P.; Socié, G.; Lacorte, J.M.; Akakpo, J.P.; Genestie, C.; Vernant, J.P.; Leblanc, T.; et al. Post-transplant outcome of ovarian tissue cryopreserved after chemotherapy in hematologic malignancies. Haematologica 2019, 104, e360–e363. [Google Scholar] [CrossRef] [PubMed]
- Pampanini, V.; Wagner, M.; Asadi-Azarbaijani, B.; Oskam, I.C.; Sheikhi, M.; Sjödin, M.O.D.; Lindberg, J.; Hovatta, O.; Sahlin, L.; Björvang, R.D.; et al. Impact of first-line cancer treatment on the follicle quality in cryopreserved ovarian samples from girls and young women. Hum. Reprod. 2019, 34, 1674–1685. [Google Scholar] [CrossRef]
- Abir, R.; Ben-Haroush, A.; Felz, C.; Okon, E.; Raanani, H.; Orvieto, R.; Nitke, S.; Fisch, B. Selection of patients before and after anticancer treatment for ovarian cryopreservation. Hum. Reprod. 2008, 23, 869–877. [Google Scholar] [CrossRef] [Green Version]
- Poirot, C.; Fortin, A.; Lacorte, J.M.; Akakpo, J.P.; Genestie, C.; Vernant, J.P.; Brice, P.; Morice, P.; Leblanc, T.; Gabarre, J.; et al. Impact of cancer chemotherapy before ovarian cortex cryopreservation on ovarian tissue transplantation. Hum. Reprod. 2019, 34, 1083–1094. [Google Scholar] [CrossRef] [PubMed]
- Anderson, R.A.; McLaughlin, M.; Wallace, W.H.; Albertini, D.F.; Telfer, E.E. The immature human ovary shows loss of abnormal follicles and increasing follicle developmental competence through childhood and adolescence. Hum. Reprod. 2014, 29, 97–106. [Google Scholar] [CrossRef] [Green Version]
- Lande, Y.; Fisch, B.; Tsur, A.; Farhi, J.; Prag-Rosenberg, R.; Ben-Haroush, A.; Kessler-Icekson, G.; Zahalka, M.A.; Ludeman, S.M.; Abir, R. Short-term exposure of human ovarian follicles to cyclophosphamide metabolites seems to promote follicular activation in vitro. Reprod. Biomed. Online 2017, 34, 104–114. [Google Scholar] [CrossRef] [PubMed] [Green Version]
- Van Eyck, A.-S.; Bouzin, C.; Feron, O.; Romeu, L.; Van Langendonckt, A.; Donnez, J.; Dolmans, M.-M. Both host and graft vessels contribute to revascularization of xenografted human ovarian tissue in a murine model. Fertil. Steril. 2010, 93, 1676–1685. [Google Scholar] [CrossRef] [PubMed]
- Hernandez-Fonseca, H.; Bosch, P.; Sirisathien, S.; Wininger, J.; Massey, J.B.; Brackett, B.G. Effect of site of transplantation on follicular development of human ovarian tissue transplanted into intact or castrated immunodeficient mice. Fertil. Steril. 2004, 81 (Suppl. S1), 888–892. [Google Scholar] [CrossRef] [PubMed]
- Abdel-Ghani, M.A.; Abe, Y.; Asano, T.; Suzuki, H. Effect of graft site and gonadotrophin treatment on follicular development of canine ovarian grafts transplanted to NOD-SCID mice. Reprod. Med. Biol. 2011, 10, 259–266. [Google Scholar] [CrossRef] [Green Version]
- Soleimani, R.; Heytens, E.; Broecke, R.V.D.; Rottiers, I.; Dhont, M.; Cuvelier, C.A.; De Sutter, P. Xenotransplantation of cryopreserved human ovarian tissue into murine back muscle. Hum. Reprod. 2010, 25, 1458–1470. [Google Scholar] [CrossRef] [Green Version]
- Gavish, Z.; Peer, G.; Hadassa, R.; Yoram, C.; Meirow, D. Follicle activation and ‘burn-out’ contribute to post-transplantation follicle loss in ovarian tissue grafts: The effect of graft thickness. Hum. Reprod. 2014, 29, 989–996. [Google Scholar] [CrossRef] [Green Version]
- Gook, D.A.; Edgar, D.; Borg, J.; Archer, J.; McBain, J. Diagnostic assessment of the developmental potential of human cryopreserved ovarian tissue from multiple patients using xenografting. Hum. Reprod. 2005, 20, 72–78. [Google Scholar] [CrossRef] [PubMed]
- Maltaris, T.; Koelbl, H.; Fischl, F.; Seufert, R.; Schmidt, M.; Kohl, J.; Beckmann, M.W.; Binder, H.; Hoffmann, I.; Mueller, A.; et al. Xenotransplantation of human ovarian tissue pieces in gonadotropin-stimulated SCID mice: The effect of ovariectomy. Anticancer Res. 2006, 26, 4171–4176. [Google Scholar] [PubMed]
- Raffel, N.; Lotz, L.; Hoffmann, I.; Liebenthron, J.; Söder, S.; Beckmann, M.W.; Dittrich, R. Repetitive Maturation of Oocytes From Non-Stimulated Xenografted Ovarian Tissue from a Prepubertal Patient Indicating the Independence of Human Ovarian Tissue. Geburtshilfe Frauenheilkd. 2017, 77, 1304–1311. [Google Scholar] [CrossRef] [Green Version]
- Greve, T.; Clasen-Linde, E.; Andersen, M.T.; Andersen, M.K.; Sørensen, S.D.; Rosendahl, M.; Ralfkiær, E.; Andersen, C.Y.; Ralfkiaer, E. Cryopreserved ovarian cortex from patients with leukemia in complete remission contains no apparent viable malignant cells. Blood 2012, 120, 4311–4316. [Google Scholar] [CrossRef] [Green Version]
- Dolmans, M.-M.; Marinescu, C.; Saussoy, P.; Van Langendonckt, A.; Amorim, C.; Donnez, J. Reimplantation of cryopreserved ovarian tissue from patients with acute lymphoblastic leukemia is potentially unsafe. Blood 2010, 116, 2908–2914. [Google Scholar] [CrossRef] [PubMed]
- Shapira, M.; Raanani, H.; Barshack, I.; Amariglio, N.; Derech-Haim, S.; Marciano, M.N.; Schiff, E.; Orvieto, R.; Meirow, D. First delivery in a leukemia survivor after transplantation of cryopreserved ovarian tissue, evaluated for leukemia cells contamination. Fertil. Steril. 2018, 109, 48–53. [Google Scholar] [CrossRef] [PubMed] [Green Version]
- Rodriguez-Wallberg, K.A.; Milenkovic, M.; Papaikonomou, K.; Keros, V.; Gustafsson, B.; Sergouniotis, F.; Wikander, I.; Perot, R.; Borgström, B.; Ljungman, P.; et al. Successful pregnancies after transplantation of ovarian tissue retrieved and cryopreserved at time of childhood acute lymphoblastic leukemia—A case report. Haematologica 2021, 106, 2783–2787. [Google Scholar] [CrossRef] [PubMed]
Publisher’s Note: MDPI stays neutral with regard to jurisdictional claims in published maps and institutional affiliations. |
© 2022 by the authors. Licensee MDPI, Basel, Switzerland. This article is an open access article distributed under the terms and conditions of the Creative Commons Attribution (CC BY) license (https://creativecommons.org/licenses/by/4.0/).

