PET-CT in Clinical Adult Oncology: I. Hematologic Malignancies
Abstract
Simple Summary
Abstract
1. Introduction
2. Hematologic Malignancies
2.1. Classification of Lymphomas
2.2. Imaging Strategies for Lymphoma
2.2.1. FDG PET-CT Methodology
2.2.2. Analysis of Metabolic Activity on FDG PET-CT
2.2.3. Baseline FDG PET-CT for Staging Lymphoma
2.2.4. Interim FDG PET-CT (iPET) for Assessing Early Response to Treatment
2.2.5. Immunotherapy and Pseudo Progression/Flare Phenomenon
- IR(1): ≥50% increase in overall tumor burden based on the summed products of perpendicular diameters (SPD) of up to 6 target lesions in the first 12 weeks of therapy and with clinical stability.
- IR(2): New lesions or ≥50% increase of previous lesions without a ≥50% increase of overall tumor burden.
- IR(3): Increased FDG uptake in any lesion without an increase in size or number.
2.2.6. End-of-Treatment FDG PET-CT (ePET) to Confirm Resolution of Disease
2.2.7. Surveillance Imaging by FDG PET-CT
2.3. Mature B-Cell Lymphomas (BCLs)
2.3.1. Diffuse Large B-Cell Lymphoma (DLBCL)
2.3.2. Follicular Lymphoma (FL)
2.3.3. Marginal Zone Lymphoma (MZL)
2.3.4. Mantle Cell Lymphoma (MCL)
2.3.5. Lymphoplasmacytic Lymphoma/Waldenstrom Macroglobulinemia (LPL/WM)
2.3.6. Multiple Myeloma (MM)
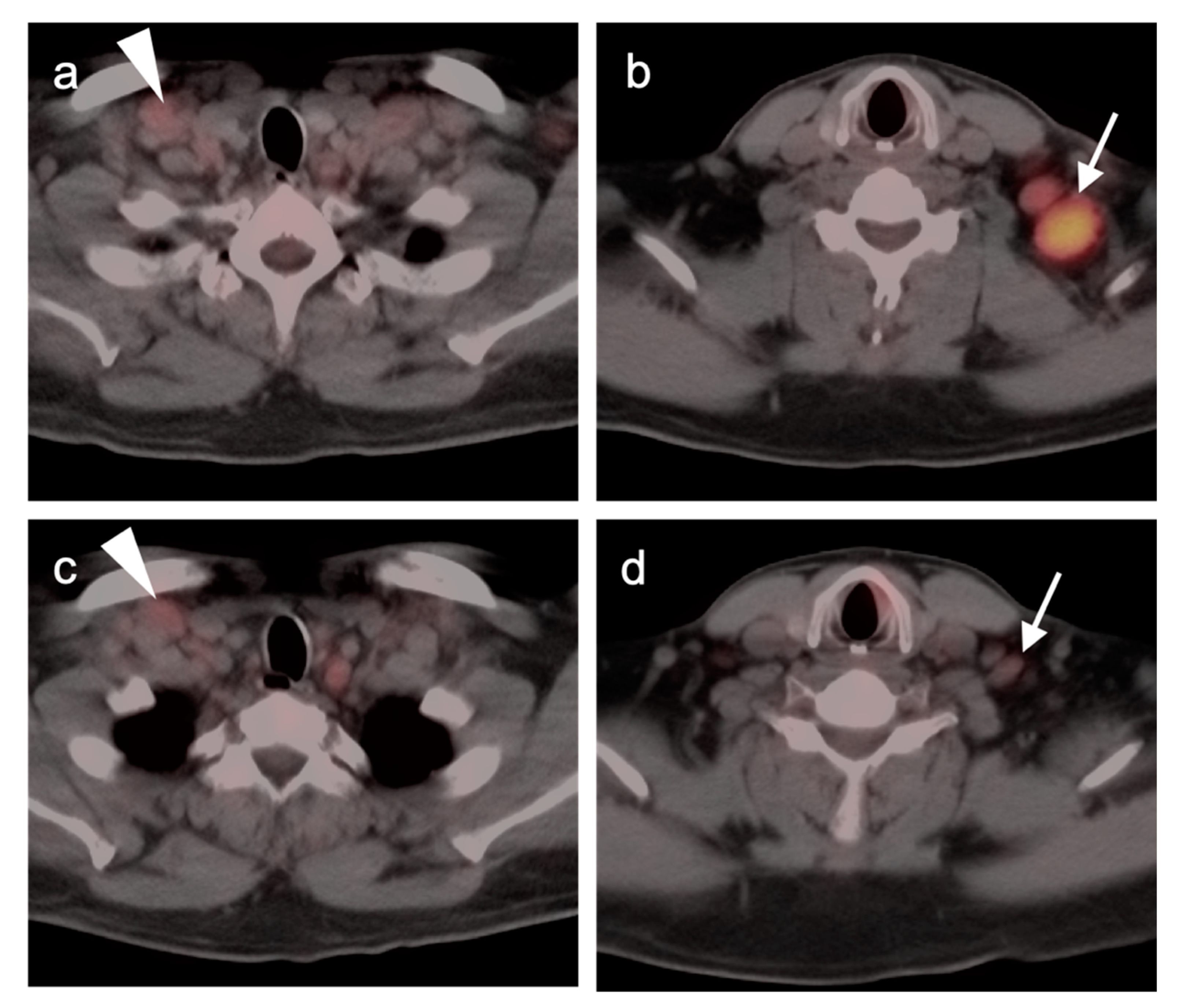
2.4. Hodgkin Lymphoma (HL)
2.5. T-Cell Lymphoma (TCL)
2.6. Leukemia
2.6.1. Acute Lymphoblastic Leukemia (ALL)
2.6.2. Chronic Lymphocytic Lymphoma/Small Lymphocytic Lymphoma (CLL/SLL)
3. Conclusions
Author Contributions
Funding
Institutional Review Board Statement
Informed Consent Statement
Data Availability Statement
Conflicts of Interest
References
- Swerdlow, S.H.; Campo, E.; Pileri, S.A.; Harris, N.L.; Stein, H.; Siebert, R.; Advani, R.; Ghielmini, M.; Salles, G.A.; Zelenetz, A.D.; et al. The 2016 revision of the World Health Organization classification of lymphoid neoplasms. Blood 2016, 127, 2375–2390. [Google Scholar] [CrossRef] [PubMed]
- Kaseb, H.; Tariq, M.A.; Gupta, G. Lymphoblastic Lymphoma. In StatPearls [Internet]; StatPearls Publishing: Treasure Island, FL, USA, 2022. Available online: https://www.ncbi.nlm.nih.gov/books/NBK537237/ (accessed on 26 June 2022).
- Ngeow, J.Y.Y.; Quek, R.H.H.; Ng, D.C.E.; Hee, S.W.; Tao, M.; Lim, L.C.; Tan, Y.H.; Lim, S.T. High SUV uptake on FDG-PET/CT predicts for an aggressive B-cell lymphoma in a prospective study of primary FDG-PET/CT staging in lymphoma. Ann. Oncol 2009, 20, 1543–1547. [Google Scholar] [CrossRef] [PubMed]
- Barrington, S.F.; Mikhaeel, N.G.; Kostakoglu, L.; Meignan, M.; Hutchings, M.; Müeller, S.P.; Schwartz, L.H.; Zucca, E.; Fisher, R.I.; Trotman, J.; et al. Role of imaging in the staging and response assessment of lymphoma: Consensus of the International Conference on Malignant Lymphomas Imaging Working Group. J. Clin. Oncol. 2014, 32, 3048–3058, Erratum in J. Clin. Oncol. 2016, 34, 2562. [Google Scholar] [CrossRef]
- Johnson, S.A.; Kumar, A.; Matasar, M.J.; Schöder, H.; Rademaker, J. Imaging for Staging and Response Assessment in Lymphoma. Radiology 2015, 276, 323–338. [Google Scholar] [CrossRef]
- Maccioni, F.; Calabrese, A.; Manganaro, L.; de Felice, C.; Cardaccio, S.; Lopez, M.; Cleri, A.; Capriotti, G.; Petrucci, L.; Catalano, C.; et al. MRI versus CT and PET/CT in the Preoperative Assessment of Hodgkin and Non-Hodgkin Lymphomas. Hemato 2021, 2, 635–644. [Google Scholar] [CrossRef]
- Albano, D.; Micci, G.; Patti, C.; Midiri, F.; Albano, S.; Lo Re, G.; Grassedonio, E.; La Grutta, L.; Lagalla, R.; Galia, M. Whole-Body Magnetic Resonance Imaging: Current Role in Patients with Lymphoma. Diagnostics 2021, 11, 1007. [Google Scholar] [CrossRef] [PubMed]
- Cheson, B.D.; Fisher, R.I.; Barrington, S.F.; Cavalli, F.; Schwartz, L.H.; Zucca, E.; Lister, T.A. Recommendations for initial evaluation, staging, and response assessment of Hodgkin and non-Hodgkin lymphoma: The Lugano classification. J. Clin. Oncol. 2014, 32, 3059–3068. [Google Scholar] [CrossRef] [PubMed]
- Pinilla, I.; Gómez-León, N.; Del Campo-Del Val, L.; Hernandez-Maraver, D.; Rodríguez-Vigil, B.; Jover-Díaz, R.; Coya, J. Diagnostic value of CT, PET and combined PET/CT performed with low-dose unenhanced CT and full-dose enhanced CT in the initial staging of lymphoma. Q. J. Nucl. Med. Mol. Imaging 2011, 55, 567–575. [Google Scholar]
- Yau, Y.Y.; Chan, W.S.; Tam, Y.M.; Vernon, P.; Wong, S.; Coel, M.; Chu, S.K. Application of intravenous contrast in PET/CT: Does it really introduce significant attenuation correction error? J. Nucl. Med. 2005, 46, 283–291. [Google Scholar]
- Heusner, T.A.; Kuehl, H.; Veit-Haibach, P.; Hahn, S.; Boy, C.; Forsting, M.; Bockisch, A.; Antoch, G. Highly iodinated intravenous contrast material for PET/CT—A feasibility study. Rofo 2008, 180, 740–745. [Google Scholar] [CrossRef]
- Martí-Climent, J.M.; Prieto, E.; Morán, V.; Sancho, L.; Rodríguez-Fraile, M.; Arbizu, J.; García-Velloso, M.J.; Richter, J.A. Effective dose estimation for oncological and neurological PET/CT procedures. EJNMMI Res. 2017, 7, 37. [Google Scholar] [CrossRef] [PubMed]
- Murray, I.; Kalemis, A.; Glennon, J.; Hasan, S.; Quraishi, S.; Beyer, T.; Avril, N. Time-of-flight PET/CT using low-activity protocols: Potential implications for cancer therapy monitoring. Eur. J. Nucl. Med. Mol. Imaging 2010, 37, 1643–1653. [Google Scholar] [CrossRef] [PubMed]
- Alberts, I.; Sachpekidis, C.; Prenosil, G.; Viscione, M.; Bohn, K.P.; Mingels, C.; Shi, K.; Ashar-Oromieh, A.; Rominger, A. Digital PET/CT allows for shorter acquisition protocols or reduced radiopharmaceutical dose in [18F]-FDG PET/CT. Ann. Nucl. Med. 2021, 35, 485–492. [Google Scholar] [CrossRef] [PubMed]
- Quinn, B.; Dauer, Z.; Pandit-Taskar, N.; Schoder, H.; Dauer, L.T. Radiation dosimetry of 18F-FDG PET/CT: Incorporating exam-specific parameters in dose estimates. BMC Med. Imaging 2016, 16, 41. [Google Scholar] [CrossRef]
- Bertolini, V.; Palmieri, A.; Bassi, M.C.; Bertolini, M.; Trojani, V.; Piccagli, V.; Fioroni, F.; Cavuto, S.; Guberti, M.; Versari, A.; et al. CT protocol optimisation in PET/CT: A systematic review. EJNMMI Phys. 2020, 7, 17. [Google Scholar] [CrossRef]
- Inoue, Y. Radiation Dose Modulation of Computed Tomography Component in Positron Emission Tomography/Computed Tomography. Semin. Nucl. Med. 2022, 52, 157–166. [Google Scholar] [CrossRef]
- Boellaard, R.; Delgado-Bolton, R.; Oyen, W.J.; Giammarile, F.; Tatsch, K.; Eschner, W.; Verzijlbergen, F.J.; Barrington, S.F.; Pike, L.C.; Weber, W.A.; et al. FDG PET/CT: EANM procedure guidelines for tumour imaging: Version 2.0. Eur. J. Nucl. Med. Mol. Imaging 2015, 42, 328–354. [Google Scholar] [CrossRef]
- Sher, A.; Lacoeuille, F.; Fosse, P.; Vervueren, L.; Cahouet-Vannier, A.; Dabli, D.; Bouchet, F.; Couturier, O. For avid glucose tumors, the SUV peak is the most reliable parameter for [(18)F]FDG-PET/CT quantification, regardless of acquisition time. EJNMMI Res. 2016, 6, 21. [Google Scholar] [CrossRef]
- Adams, M.C.; Turkington, T.G.; Wilson, J.M.; Wong, T.Z. A systematic review of the factors affecting accuracy of SUV measurements. AJR Am. J. Roentgenol. 2010, 195, 310–320. [Google Scholar] [CrossRef]
- Cottereau, A.S.; Meignan, M.; Nioche, C.; Capobianco, N.; Clerc, J.; Chartier, L.; Vercellino, L.; Casasnovas, O.; Thieblemont, C.; Buvat, I. Risk stratification in diffuse large B-cell lymphoma using lesion dissemination and metabolic tumor burden calculated from baseline PET/CT. Ann. Oncol. 2021, 32, 404–411. [Google Scholar] [CrossRef]
- Cottereau, A.S.; Nioche, C.; Dirand, A.S.; Clerc, J.; Morschhauser, F.; Casasnovas, O.; Meignan, M.; Buvat, I. 18F-FDG PET Dissemination Features in Diffuse Large B-Cell Lymphoma Are Predictive of Outcome. J. Nucl. Med. 2020, 61, 40–45. [Google Scholar] [CrossRef] [PubMed]
- Kostakoglu, L.; Mattiello, F.; Martelli, M.; Sehn, L.H.; Belada, D.; Ghiggi, C.; Chua, N.; González-Barca, E.; Hong, X.; Pinto, A.; et al. Total metabolic tumor volume as a survival predictor for patients with diffuse large B-cell lymphoma in the GOYA study. Haematologica 2022, 107, 1633–1642. [Google Scholar] [CrossRef] [PubMed]
- Jiang, H.; Li, A.; Ji, Z.; Tian, M.; Zhang, H. Role of Radiomics-Based Baseline PET/CT Imaging in Lymphoma: Diagnosis, Prognosis, and Response Assessment. Mol. Imaging Biol. 2022, 24, 537–549. [Google Scholar] [CrossRef] [PubMed]
- Ceriani, L.; Milan, L.; Martelli, M.; Ferreri, A.J.M.; Cascione, L.; Zinzani, P.L.; Di Rocco, A.; Conconi, A.; Stathis, A.; Cavalli, F.; et al. Metabolic heterogeneity on baseline 18FDG-PET/CT scan is a predictor of outcome in primary mediastinal B-cell lymphoma. Blood 2018, 132, 179–186. [Google Scholar] [CrossRef]
- Liu, F.; Gu, B.; Li, N.; Pan, H.; Chen, W.; Qiao, Y.; Song, S.; Liu, X. Prognostic Value of Heterogeneity Index Derived from Baseline 18F-FDG PET/CT in Mantle Cell Lymphoma. Front. Oncol. 2022, 12, 862473. [Google Scholar] [CrossRef]
- Rosenberg, S.A. Validity of the Ann Arbor staging classification for the non-Hodgkin’s lymphomas. Cancer Treat. Rep. 1977, 61, 1023–1027. [Google Scholar]
- Cheson, B.D.; Meignan, M. Current Role of Functional Imaging in the Management of Lymphoma. Curr. Oncol. Rep. 2021, 23, 144. [Google Scholar] [CrossRef]
- André, M.P.E.; Girinsky, T.; Federico, M.; Reman, O.; Fortpied, C.; Gotti, M.; Casasnovas, O.; Brice, P.; van der Maazen, R.; Re, A.; et al. Early Positron Emission Tomography Response-Adapted Treatment in Stage I and II Hodgkin Lymphoma: Final Results of the Randomized EORTC/LYSA/FIL H10 Trial. J. Clin. Oncol. 2017, 35, 1786–1794. [Google Scholar] [CrossRef]
- Kashyap, R.; Rai Mittal, B.; Manohar, K.; Balasubramanian Harisankar, C.N.; Bhattacharya, A.; Singh, B.; Malhotra, P.; Varma, S. Extranodal manifestations of lymphoma on [¹⁸F]FDG-PET/CT: A pictorial essay. Cancer Imaging 2011, 11, 166–174. [Google Scholar] [CrossRef]
- Tsukamoto, N.; Kojima, M.; Hasegawa, M.; Oriuchi, N.; Matsushima, T.; Yokohama, A.; Saitoh, T.; Handa, H.; Endo, K.; Murakami, H. The usefulness of (18)F-fluorodeoxyglucose positron emission tomography ((18)F-FDG-PET) and a comparison of (18)F-FDG-pet with (67)gallium scintigraphy in the evaluation of lymphoma: Relation to histologic subtypes based on the World Health Organization classification. Cancer 2007, 110, 652–659. [Google Scholar] [CrossRef]
- Ram-Wolff, C.; Vercellino, L.; Brice, P.; La Selva, R.; Bagot, M. 18F-fluorodeoxyglucose-positron emission tomography is more sensitive than computed tomography in initial staging of patients with an anaplastic T-cell lymphoma first presenting in the skin. Eur. J. Dermatol. 2017, 27, 496–504. [Google Scholar] [CrossRef] [PubMed]
- Hadithi, M.; Mallant, M.; Oudejans, J.; van Waesberghe, J.H.; Mulder, C.J.; Comans, E.F. 18F-FDG PET versus CT for the detection of enteropathy-associated T-cell lymphoma in refractory celiac disease. J. Nucl. Med. 2006, 47, 1622–1627. [Google Scholar] [PubMed]
- Noy, A.; Schöder, H.; Gönen, M.; Weissler, M.; Ertelt, K.; Cohler, C.; Portlock, C.; Hamlin, P.; Yeung, H.W. The majority of transformed lymphomas have high standardized uptake values (SUVs) on positron emission tomography (PET) scanning similar to diffuse large B-cell lymphoma (DLBCL). Ann. Oncol. 2009, 20, 508–512. [Google Scholar] [CrossRef]
- Chang, C.C.; Cho, S.F.; Chuang, Y.W.; Lin, C.Y.; Chang, S.M.; Hsu, W.L.; Huang, Y.F. Prognostic significance of total metabolic tumor volume on 18F-fluorodeoxyglucose positron emission tomography/ computed tomography in patients with diffuse large B-cell lymphoma receiving rituximab-containing chemotherapy. Oncotarget 2017, 8, 99587–99600. [Google Scholar] [CrossRef] [PubMed]
- Vercellino, L.; Cottereau, A.S.; Casasnovas, O.; Tilly, H.; Feugier, P.; Chartier, L.; Fruchart, C.; Roulin, L.; Oberic, L.; Pica, G.M.; et al. High total metabolic tumor volume at baseline predicts survival independent of response to therapy. Blood 2020, 135, 1396–1405. [Google Scholar] [CrossRef]
- Delfau-Larue, M.H.; van der Gucht, A.; Dupuis, J.; Jais, J.P.; Nel, I.; Beldi-Ferchiou, A.; Hamdane, S.; Benmaad, I.; Laboure, G.; Verret, B.; et al. Total metabolic tumor volume, circulating tumor cells, cell-free DNA: Distinct prognostic value in follicular lymphoma. Blood Adv. 2018, 2, 807–816. [Google Scholar] [CrossRef] [PubMed]
- Senjo, H.; Hirata, K.; Izumiyama, K.; Minauchi, K.; Tsukamoto, E.; Itoh, K.; Kanaya, M.; Mori, A.; Ota, S.; Hashimoto, D.; et al. High metabolic heterogeneity on baseline 18FDG-PET/CT scan as a poor prognostic factor for newly diagnosed diffuse large B-cell lymphoma. Blood Adv. 2020, 4, 2286–2296. [Google Scholar] [CrossRef]
- Weiler-Sagie, M.; Kagna, O.; Dann, E.J.; Ben-Barak, A.; Israel, O. Characterizing bone marrow involvement in Hodgkin’s lymphoma by FDG-PET/CT. Eur. J. Nucl. Med. Mol. Imaging 2014, 41, 1133–1140. [Google Scholar] [CrossRef]
- Jitani, A.K.; Dutta, S.; Mandal, P.K.; De, R.; Jajodia, E.; Baul, S.; Chakrabarti, P.; Dolai, T.K. Utility of 18F-fluorodeoxyglucose PET-CT scan in detecting bone marrow involvement in lymphoma. Indian J. Med. Res. 2021, 154, 691–698. [Google Scholar] [CrossRef]
- Kaddu-Mulindwa, D.; Altmann, B.; Held, G.; Angel, S.; Stilgenbauer, S.; Thurner, L.; Bewarder, M.; Schwier, M.; Pfreundschuh, M.; Löffler, M.; et al. FDG PET/CT to detect bone marrow involvement in the initial staging of patients with aggressive non-Hodgkin lymphoma: Results from the prospective, multicenter PETAL and OPTIMAL>60 trials. Eur. J. Nucl. Med. Mol. Imaging 2021, 48, 3550–3559. [Google Scholar] [CrossRef]
- El-Galaly, T.C.; d’Amore, F.; Mylam, K.J.; de Nully Brown, P.; Bøgsted, M.; Bukh, A.; Specht, L.; Loft, A.; Iyer, V.; Hjorthaug, K.; et al. Routine bone marrow biopsy has little or no therapeutic consequence for positron emission tomography/computed tomography-staged treatment-naive patients with Hodgkin lymphoma. J. Clin. Oncol. 2012, 30, 4508–4514. [Google Scholar] [CrossRef] [PubMed]
- Han, E.J.; O, J.H.; Yoon, H.; Ha, S.; Yoo, I.R.; Min, J.W.; Choi, J.I.; Choi, B.O.; Park, G.; Lee, H.H.; et al. Comparison of FDG PET/CT and Bone Marrow Biopsy Results in Patients with Diffuse Large B Cell Lymphoma with Subgroup Analysis of PET Radiomics. Diagnostics 2022, 12, 222. [Google Scholar] [CrossRef] [PubMed]
- Faudemer, J.; Aide, N.; Gac, A.C.; Damaj, G.; Vilque, J.P.; Lasnon, C. Diagnostic value of baseline 18FDG PET/CT skeletal textural features in follicular lymphoma. Sci. Rep. 2021, 11, 23812. [Google Scholar] [CrossRef] [PubMed]
- Sadik, M.; López-Urdaneta, J.; Ulén, J.; Enqvist, O.; Krupic, A.; Kumar, R.; Andersson, P.O.; Trägårdh, E. Artificial intelligence could alert for focal skeleton/bone marrow uptake in Hodgkin’s lymphoma patients staged with FDG-PET/CT. Sci. Rep. 2021, 11, 10382. [Google Scholar] [CrossRef] [PubMed]
- Voltin, C.A.; Mettler, J.; Grosse, J.; Dietlein, M.; Baues, C.; Schmitz, C.; Borchmann, P.; Kobe, C.; Hellwig, D. FDG-PET Imaging for Hodgkin and Diffuse Large B-Cell Lymphoma-An Updated Overview. Cancers 2020, 12, 601. [Google Scholar] [CrossRef] [PubMed]
- Dorn, C.; Bugl, S.; Malenke, E.; Müller, M.R.; Weisel, K.C.; Vogel, U.; Horger, M.; Kanz, L.; Kopp, H.G. Paraneoplastic granulocyte colony-stimulating factor secretion in soft tissue sarcoma mimicking myeloproliferative neoplasia: A case report. BMC Res. Notes 2014, 7, 313. [Google Scholar] [CrossRef]
- Radford, J.; Illidge, T.; Counsell, N.; Hancock, B.; Pettengell, R.; Johnson, P.; Wimperis, J.; Culligan, D.; Popova, B.; Smith, P.; et al. Results of a trial of PET-directed therapy for early-stage Hodgkin’s lymphoma. N. Engl. J. Med. 2015, 372, 1598–1607. [Google Scholar] [CrossRef]
- Meignan, M.; Gallamini, A.; Meignan, M.; Gallamini, A.; Haioun, C. Report on the First International Workshop on Interim-PET-Scan in Lymphoma. Leuk. Lymphoma 2009, 50, 1257–1260. [Google Scholar] [CrossRef]
- Cao, Y.; Zhou, K.; Diao, W.; Long, X.; Tian, F.; Su, M.; Jia, Z. Age-related changes of standardized uptake values in the blood pool and liver: A decade-long retrospective study of the outcomes of 2,526 subjects. Quant. Imaging Med. Surg. 2021, 11, 95–106. [Google Scholar] [CrossRef]
- Meignan, M.; Barrington, S.; Itti, E.; Gallamini, A.; Haioun, C.; Polliack, A. Report on the 4th International Workshop on Positron Emission Tomography in Lymphoma held in Menton, France, 3–5 October 2012. Leuk. Lymphoma 2014, 55, 31–37. [Google Scholar] [CrossRef]
- Quak, E.; Hovhannisyan, N.; Lasnon, C.; Fruchart, C.; Vilque, J.P.; Musafiri, D.; Aide, N. The importance of harmonizing interim positron emission tomography in non-Hodgkin lymphoma: Focus on the Deauville criteria. Haematologica 2014, 99, e84–e85. [Google Scholar] [CrossRef] [PubMed]
- Gallamini, A.; Barrington, S.F.; Biggi, A.; Chauvie, S.; Kostakoglu, L.; Gregianin, M.; Meignan, M.; Mikhaeel, G.N.; Loft, A.; Zaucha, J.M.; et al. The predictive role of interim positron emission tomography for Hodgkin lymphoma treatment outcome is confirmed using the interpretation criteria of the Deauville five-point scale. Haematologica 2014, 99, 1107–1113. [Google Scholar] [CrossRef] [PubMed]
- Gallamini, A.; Hutchings, M.; Rigacci, L.; Specht, L.; Merli, F.; Hansen, M.; Patti, C.; Loft, A.; Di Raimondo, F.; D’Amore, F.; et al. Early interim 2-[18F]fluoro-2-deoxy-D-glucose positron emission tomography is prognostically superior to international prognostic score in advanced-stage Hodgkin’s lymphoma: A report from a joint Italian-Danish study. J. Clin. Oncol. 2007, 25, 3746–3752. [Google Scholar] [CrossRef] [PubMed]
- Barrington, S.F.; Phillips, E.H.; Counsell, N.; Hancock, B.; Pettengell, R.; Johnson, P.; Townsend, W.; Culligan, D.; Popova, B.; Clifton-Hadley, L.; et al. Positron Emission Tomography Score Has Greater Prognostic Significance Than Pretreatment Risk Stratification in Early-Stage Hodgkin Lymphoma in the UK RAPID Study. J. Clin. Oncol. 2019, 37, 1732–1741. [Google Scholar] [CrossRef]
- Engert, A.; Haverkamp, H.; Kobe, C.; Markova, J.; Renner, C.; Ho, A.; Zijlstra, J.; Král, Z.; Fuchs, M.; Hallek, M.; et al. Reduced-intensity chemotherapy and PET-guided radiotherapy in patients with advanced stage Hodgkin’s lymphoma (HD15 trial): A randomised, open-label, phase 3 non-inferiority trial. Lancet 2012, 379, 1791–1799. [Google Scholar] [CrossRef] [PubMed]
- Johnson, P.; Federico, M.; Kirkwood, A.; Fosså, A.; Berkahn, L.; Carella, A.; d’Amore, F.; Enblad, G.; Franceschetto, A.; Fulham, M.; et al. Adapted Treatment Guided by Interim PET-CT Scan in Advanced Hodgkin’s Lymphoma. N. Engl. J. Med. 2016, 374, 2419–2429. [Google Scholar] [CrossRef]
- Lang, N.; Crump, M. PET-adapted approaches to primary therapy for advanced Hodgkin lymphoma. Ther. Adv. Hematol. 2020, 11, 2040620720914490. [Google Scholar] [CrossRef]
- Connors, J.M.; Jurczak, W.; Straus, D.J.; Ansell, S.M.; Kim, W.S.; Gallamini, A.; Younes, A.; Alekseev, S.; Illés, Á.; Picardi, M.; et al. Brentuximab Vedotin with Chemotherapy for Stage III or IV Hodgkin’s Lymphoma. N. Engl. J. Med. 2018, 378, 331–344, Erratum in N. Engl. J. Med. 2018, 378, 878. [Google Scholar] [CrossRef]
- Ansell, S.M.; Radford, J.; Connors, J.M.; Długosz-Danecka, M.; Kim, W.S.; Gallamini, A.; Ramchandren, R.; Friedberg, J.W.; Advani, R.; Hutchings, M.; et al. Overall Survival with Brentuximab Vedotin in Stage III or IV Hodgkin’s Lymphoma. N. Engl. J. Med. 2022, 387, 310–320. [Google Scholar] [CrossRef]
- Mikhaeel, N.G.; Hutchings, M.; Fields, P.A.; O’Doherty, M.J.; Timothy, A.R. FDG-PET after two to three cycles of chemotherapy predicts progression-free and overall survival in high-grade non-Hodgkin lymphoma. Ann. Oncol. 2005, 16, 1514–1523. [Google Scholar] [CrossRef]
- Yang, D.H.; Min, J.J.; Song, H.C.; Jeong, Y.Y.; Chung, W.K.; Bae, S.Y.; Ahn, J.S.; Kim, Y.K.; Bom, H.S.; Lee, J.J. Prognostic significance of interim (1)(8)F-FDG PET/CT after three or four cycles of R-CHOP chemotherapy in the treatment of diffuse large B-cell lymphoma. Eur. J. Cancer 2011, 47, 1312–1318. [Google Scholar] [CrossRef] [PubMed]
- Haioun, C.; Itti, E.; Rahmouni, A.; Brice, P.; Rain, J.D.; Belhadj, K.; Gaulard, P.; Garderet, L.; Lepage, E.; Reyes, F.; et al. [18F]fluoro-2-deoxy-D-glucose positron emission tomography (FDG-PET) in aggressive lymphoma: An early prognostic tool for predicting patient outcome. Blood 2005, 106, 1376–1381. [Google Scholar] [CrossRef]
- Moskowitz, C.H.; Schöder, H.; Teruya-Feldstein, J.; Sima, C.; Iasonos, A.; Portlock, C.S.; Straus, D.; Noy, A.; Palomba, M.L.; O’Connor, O.A.; et al. Risk-adapted dose-dense immunochemotherapy determined by interim FDG-PET in Advanced-stage diffuse large B-Cell lymphoma. J. Clin. Oncol. 2010, 28, 1896–1903. [Google Scholar] [CrossRef] [PubMed]
- Tokola, S.; Kuitunen, H.; Turpeenniemi-Hujanen, T.; Kuittinen, O. Interim and end-of-treatment PET-CT suffers from high false-positive rates in DLBCL: Biopsy is needed prior to treatment decisions. Cancer Med. 2021, 10, 3035–3044. [Google Scholar] [CrossRef] [PubMed]
- Dührsen, U.; Müller, S.; Hertenstein, B.; Thomssen, H.; Kotzerke, J.; Mesters, R.; Berdel, W.E.; Franzius, C.; Kroschinsky, F.; Weckesser, M.; et al. Positron Emission Tomography-Guided Therapy of Aggressive Non-Hodgkin Lymphomas (PETAL): A Multicenter, Randomized Phase III Trial. J. Clin. Oncol. 2018, 36, 2024–2034. [Google Scholar] [CrossRef] [PubMed]
- Cheson, B.D.; Ansell, S.; Schwartz, L.; Gordon, L.I.; Advani, R.; Jacene, H.A.; Hoos, A.; Barrington, S.F.; Armand, P. Refinement of the Lugano Classification lymphoma response criteria in the era of immunomodulatory therapy. Blood 2016, 128, 2489–2496. [Google Scholar] [CrossRef]
- Barrington, S.F.; Kluge, R. FDG PET for therapy monitoring in Hodgkin and non-Hodgkin lymphomas. Eur. J. Nucl. Med. Mol. Imaging 2017, 44 (Suppl. S1), 97–110. [Google Scholar] [CrossRef]
- Adams, H.J.A.; Kwee, T.C. Proportion of false-positive lesions at interim and end-of-treatment FDG-PET in lymphoma as determined by histology: Systematic review and meta-analysis. Eur. J. Radiol. 2016, 85, 1963–1970. [Google Scholar] [CrossRef]
- Gallamini, A.; Rossi, A.; Patti, C.; Picardi, M.; Romano, A.; Cantonetti, M.; Oppi, S.; Viviani, S.; Bolis, S.; Trentin, L.; et al. Consolidation Radiotherapy Could Be Safely Omitted in Advanced Hodgkin Lymphoma with Large Nodal Mass in Complete Metabolic Response After ABVD: Final Analysis of the Randomized GITIL/FIL HD0607 Trial. J. Clin. Oncol. 2020, 38, 3905–3913, Erratum in J. Clin. Oncol. 2021, 39, 96. [Google Scholar] [CrossRef]
- Freeman, C.L.; Savage, K.J.; Villa, D.R.; Scott, D.W.; Srour, L.; Gerrie, A.S.; Brown, M.J.; Slack, G.W.; Farinha, P.; Skinnider, B.; et al. Long-term results of PET-guided radiation in patients with advanced-stage diffuse large B-cell lymphoma treated with R-CHOP. Blood 2021, 137, 929–938. [Google Scholar] [CrossRef]
- Trotman, J.; Luminari, S.; Boussetta, S.; Versari, A.; Dupuis, J.; Tychyj, C.; Marcheselli, L.; Berriolo-Riedinger, A.; Franceschetto, A.; Julian, A.; et al. Prognostic value of PET-CT after first-line therapy in patients with follicular lymphoma: A pooled analysis of central scan review in three multicentre studies. Lancet Haematol. 2014, 1, e17–e27. [Google Scholar] [CrossRef] [PubMed]
- Luminari, S.; Manni, M.; Galimberti, S.; Versari, A.; Tucci, A.; Boccomini, C.; Farina, L.; Olivieri, J.; Marcheselli, L.; Guerra, L.; et al. Response-Adapted Postinduction Strategy in Patients with Advanced-Stage Follicular Lymphoma: The FOLL12 Study. J. Clin. Oncol. 2022, 40, 729–739. [Google Scholar] [CrossRef] [PubMed]
- Juweid, M.E.; Wiseman, G.A.; Vose, J.M.; Ritchie, J.M.; Menda, Y.; Wooldridge, J.E.; Mottaghy, F.M.; Rohren, E.M.; Blumstein, N.M.; Stolpen, A.; et al. Response assessment of aggressive non-Hodgkin’s lymphoma by integrated International Workshop Criteria and fluorine-18-fluorodeoxyglucose positron emission tomography. J. Clin. Oncol. 2005, 23, 4652–4661. [Google Scholar] [CrossRef] [PubMed]
- Trotman, J.; Fournier, M.; Lamy, T.; Seymour, J.F.; Sonet, A.; Janikova, A.; Shpilberg, O.; Gyan, E.; Tilly, H.; Estell, J.; et al. Positron emission tomography-computed tomography (PET-CT) after induction therapy is highly predictive of patient outcome in follicular lymphoma: Analysis of PET-CT in a subset of PRIMA trial participants. J. Clin. Oncol. 2011, 29, 3194–3200. [Google Scholar] [CrossRef] [PubMed]
- El-Galaly, T.C.; Villa, D.; Gormsen, L.C.; Baech, J.; Lo, A.; Cheah, C.Y. FDG-PET/CT in the management of lymphomas: Current status and future directions. J. Intern. Med. 2018, 284, 358–376. [Google Scholar] [CrossRef]
- Tatlidil, R.; Jadvar, H.; Bading, J.R.; Conti, P.S. Incidental colonic fluorodeoxyglucose uptake: Correlation with colonoscopic and histopathologic findings. Radiology 2002, 224, 783–787. [Google Scholar] [CrossRef]
- Cheng, G.; Zhang, J. Imaging features (CT, MRI, MRS, and PET/CT) of primary central nervous system lymphoma in immunocompetent patients. Neurol. Sci. 2019, 40, 535–542. [Google Scholar] [CrossRef]
- Lenz, G.; Wright, G.W.; Emre, N.C.; Kohlhammer, H.; Dave, S.S.; Davis, R.E.; Carty, S.; Lam, L.T.; Shaffer, A.L.; Xiao, W.; et al. Molecular subtypes of diffuse large B-cell lymphoma arise by distinct genetic pathways. Proc. Natl. Acad. Sci. USA 2008, 105, 13520–13525. [Google Scholar] [CrossRef]
- Kostakoglu, L.; Martelli, M.; Sehn, L.H.; Belada, D.; Carella, A.M.; Chua, N.; Gonzalez-Barca, E.; Hong, X.; Pinto, A.; Shi, Y.; et al. End-of-treatment PET/CT predicts PFS and OS in DLBCL after first-line treatment: Results from GOYA. Blood Adv. 2021, 5, 1283–1290. [Google Scholar] [CrossRef]
- Mugnaini, E.N.; Ghosh, N. Lymphoma. Prim. Care 2016, 43, 661–675. [Google Scholar] [CrossRef]
- Hayashi, D.; Lee, J.C.; Devenney-Cakir, B.; Zaim, S.; Ounadjela, S.; Solal-Céligny, P.; Juweid, M.; Guermazi, A. Follicular non-Hodgkin’s lymphoma. Clin. Radiol. 2010, 65, 408–420. [Google Scholar] [CrossRef] [PubMed]
- Mueller, P.R.; Ferrucci JTJr Harbin, W.P.; Kirkpatrick, R.H.; Simeone, J.F.; Wittenberg, J. Appearance of lymphomatous involvement of the mesentery by ultrasonography and body computed tomography: The “sandwich sign”. Radiology 1980, 134, 467–473. [Google Scholar] [CrossRef] [PubMed]
- Luminari, S.; Biasoli, I.; Arcaini, L.; Versari, A.; Rusconi, C.; Merli, F.; Spina, M.; Ferreri, A.J.; Zinzani, P.L.; Gallamini, A.; et al. The use of FDG-PET in the initial staging of 142 patients with follicular lymphoma: A retrospective study from the FOLL05 randomized trial of the Fondazione Italiana Linfomi. Ann. Oncol. 2013, 24, 2108–2112. [Google Scholar] [CrossRef] [PubMed]
- Smith, S.D.; Redman, M.; Dunleavy, K. FDG PET-CT in follicular lymphoma: A case-based evidence review. Blood 2015, 125, 1078–1082. [Google Scholar] [CrossRef] [PubMed]
- Alessandrino, F.; DiPiro, P.J.; Jagannathan, J.P.; Babina, G.; Krajewski, K.M.; Ramaiya, N.H.; Giardino, A.A. Multimodality imaging of indolent B cell lymphoma from diagnosis to transformation: What every radiologist should know. Insights Imaging 2019, 10, 25. [Google Scholar] [CrossRef] [PubMed]
- Luminari, S.; Biasoli, I.; Versari, A.; Rattotti, S.; Bottelli, C.; Rusconi, C.; Merli, F.; Spina, M.; Ferreri, A.J.; Zinzani, P.L.; et al. The prognostic role of post-induction FDG-PET in patients with follicular lymphoma: A subset analysis from the FOLL05 trial of the Fondazione Italiana Linfomi (FIL). Ann. Oncol. 2014, 25, 442–447. [Google Scholar] [CrossRef]
- Vaxman, I.; Bernstine, H.; Kleinstern, G.; Hendin, N.; Shimony, S.; Domachevsky, L.; Gurion, R.; Groshar, D.; Raanani, P.; Gafter-Gvili, A. FDG PET/CT as a diagnostic and prognostic tool for the evaluation of marginal zone lymphoma. Hematol. Oncol. 2019, 37, 168–175. [Google Scholar] [CrossRef]
- Albano, D.; Camoni, L.; Giubbini, R.; Bertagna, F. Prognostic Value of 18F-FDG PET/CT Metabolic Parameters in Splenic Marginal Zone Lymphoma. Clin. Lymphoma Myeloma Leuk. 2020, 20, e897–e904. [Google Scholar] [CrossRef]
- Tajika, M.; Nakamura, T.; Kawai, H.; Yatabe, Y.; Nakamura, S. [Long-term outcome in patients with gastric MALT lymphoma after H. pylori eradication]. Nihon Rinsho. 2005, 63 (Suppl. S11), 516–519. [Google Scholar]
- Bailly, C.; Carlier, T.; Touzeau, C.; Arlicot, N.; Kraeber-Bodéré, F.; Le Gouill, S.; Bodet-Milin, C. Interest of FDG-PET in the Management of Mantle Cell Lymphoma. Front. Med. 2019, 6, 70. [Google Scholar] [CrossRef]
- Bodet-Milin, C.; Touzeau, C.; Leux, C.; Sahin, M.; Moreau, A.; Maisonneuve, H.; Morineau, N.; Jardel, H.; Moreau, P.; Gallazini-Crépin, C.; et al. Prognostic Impact of 18F-Fluoro-Deoxyglucose Positron Emission Tomography in Untreated Mantle Cell Lymphoma: A Retrospective Study from the GOELAMS Group. Eur. J. Nucl. Med. Mol. Imaging. 2010, 37, 1633–1642. [Google Scholar] [CrossRef] [PubMed]
- Janz, S. Waldenström macroglobulinemia: Clinical and immunological aspects, natural history, cell of origin, and emerging mouse models. ISRN Hematol. 2013, 2013, 815325. [Google Scholar] [CrossRef] [PubMed]
- Dimopoulos, M.A.; Panayiotidis, P.; Moulopoulos, L.A.; Sfikakis, P.; Dalakas, M. Waldenstrom’s macroglobulinemia: Clinical features, complications, and management. J. Clin. Oncol. 2000, 18, 214–226. [Google Scholar] [CrossRef] [PubMed]
- Thomas, R.; Braschi-Amirfarzan, M.; Laferriere, S.L.; Jagannathan, J.P. Imaging of Waldenström Macroglobulinemia: A Comprehensive Review for the Radiologist in the Era of Personalized Medicine. AJR Am. J. Roentgenol. 2019, 213, W248–W256. [Google Scholar] [CrossRef]
- Viala, K.; Stojkovic, T.; Doncker, A.V.; Maisonobe, T.; Lenglet, T.; Bruneteau, G.; Musset, L.; Neil, J.; Léger, J.M.; Leblond, V. Heterogeneous spectrum of neuropathies in Waldenström’s macroglobulinemia: A diagnostic strategy to optimize their management. J. Peripher. Nerv. Syst. 2012, 17, 90–101. [Google Scholar] [CrossRef]
- Arjunan, A.; Rai, H. Central Nervous System Involvement by Waldenstrom Macroglobulinemia: A Case Report of the Bing-Neel Syndrome. Case Rep. Hematol. 2019, 2019, 4075960. [Google Scholar] [CrossRef]
- Salem, A.E.; Zaki, Y.H.; El-Hussieny, G.; ElNoueam, K.I.; Shaaban, A.M.; Koppula, B.R.; Bustoros, M.; Salama, M.; Elsayes, K.M.; Morton, K.; et al. An Overview of Selected Rare B-Cell Lymphoproliferative Disorders: Imaging, Histopathologic, and Clinical Features. Cancers 2021, 13, 5853. [Google Scholar] [CrossRef]
- Dimopoulos, M.; Terpos, E.; Comenzo, R.L.; Tosi, P.; Beksac, M.; Sezer, O.; Siegel, D.; Lokhorst, H.; Kumar, S.; Rajkumar, S.V.; et al. International myeloma working group consensus statement and guidelines regarding the current role of imaging techniques in the diagnosis and monitoring of multiple Myeloma. Leukemia 2009, 23, 1545–1556. [Google Scholar] [CrossRef]
- Collins, C.D. Multiple myeloma. Cancer Imaging 2010, 10, 20–31. [Google Scholar] [CrossRef]
- D’Agostino, M.; Cairns, D.A.; Lahuerta, J.J.; Wester, R.; Bertsch, U.; Waage, A.; Zamagni, E.; Mateos, M.V.; Dall’Olio, D.; van de Donk, N.W.C.J.; et al. Second Revision of the International Staging System (R2-ISS) for Overall Survival in Multiple Myeloma: A European Myeloma Network (EMN) Report Within the HARMONY Project. J. Clin. Oncol. 2022, 40, 3406–3418. [Google Scholar] [CrossRef]
- Durie, B.G. The role of anatomic and functional staging in myeloma: Description of Durie/Salmon plus staging system. Eur. J. Cancer 2006, 42, 1539–1543. [Google Scholar] [CrossRef] [PubMed]
- Healy, C.F.; Murray, J.G.; Eustace, S.J.; Madewell, J.; O’Gorman, P.J.; O’Sullivan, P. Multiple myeloma: A review of imaging features and radiological techniques. Bone Marrow Res. 2011, 2011, 583439. [Google Scholar] [CrossRef] [PubMed]
- Lütje, S.; de Rooy, J.W.; Croockewit, S.; Koedam, E.; Oyen, W.J.; Raymakers, R.A. Role of radiography, MRI and FDG-PET/CT in diagnosing, staging and therapeutical evaluation of patients with multiple myeloma. Ann. Hematol. 2009, 88, 1161–1168. [Google Scholar] [CrossRef] [PubMed]
- Mayerhoefer, M.E.; Archibald, S.J.; Messiou, C.; Staudenherz, A.; Berzaczy, D.; Schöder, H. MRI and PET/MRI in hematologic malignancies. J. Magn. Reson. Imaging 2020, 51, 1325–1335. [Google Scholar] [CrossRef] [PubMed]
- Valls, L.; Badve, C.; Avril, S.; Herrmann, K.; Faulhaber, P.; O’Donnell, J.; Avril, N. FDG-PET imaging in hematological malignancies. Blood Rev. 2016, 30, 317–331. [Google Scholar] [CrossRef]
- Matteucci, F.; Paganelli, G.; Martinelli, G.; Cerchione, C. PET/CT in Multiple Myeloma: Beyond FDG. Front. Oncol. 2021, 10, 622501. [Google Scholar] [CrossRef]
- Agarwal, A.; Chirindel, A.; Shah, B.A.; Subramaniam, R.M. Evolving role of FDG PET/CT in multiple myeloma imaging and management. AJR Am. J. Roentgenol. 2013, 200, 884–890. [Google Scholar] [CrossRef]
- Michaud-Robert, A.V.; Zamagni, E.; Carlier, T.; Bailly, C.; Jamet, B.; Touzeau, C.; Moreau, P.; Kraeber-Bodere, F.; Nanni, C.; Bodet-Milin, C. Glucose Metabolism Quantified by SUVmax on Baseline FDG-PET/CT Predicts Survival in Newly Diagnosed Multiple Myeloma Patients: Combined Harmonized Analysis of Two Prospective Phase III Trials. Cancers 2020, 12, 2532. [Google Scholar] [CrossRef]
- Dimitrakopoulou-Strauss, A.; Hoffmann, M.; Bergner, R.; Uppenkamp, M.; Haberkorn, U.; Strauss, L.G. Prediction of progression-free survival in patients with multiple myeloma following anthracycline-based chemotherapy based on dynamic FDG-PET. Clin. Nucl. Med. 2009, 34, 576–584. [Google Scholar] [CrossRef]
- Sager, S.; Ergül, N.; Ciftci, H.; Cetin, G.; Güner, S.I.; Cermik, T.F. The value of FDG PET/CT in the initial staging and bone marrow involvement of patients with multiple myeloma. Skelet. Radiol. 2011, 40, 843–847. [Google Scholar] [CrossRef]
- Zamagni, E.; Nanni, C.; Dozza, L.; Carlier, T.; Bailly, C.; Tacchetti, P.; Versari, A.; Chauvie, S.; Gallamini, A.; Gamberi, B.; et al. Standardization of 18F-FDG-PET/CT According to Deauville Criteria for Metabolic Complete Response Definition in Newly Diagnosed Multiple Myeloma. J. Clin. Oncol. 2021, 39, 116–125. [Google Scholar] [CrossRef] [PubMed]
- Yokoyama, K.; Tsuchiya, J.; Tateishi, U. Comparison of [18F]FDG PET/CT and MRI for Treatment Response Assessment in Multiple Myeloma: A Meta-Analysis. Diagnostics 2021, 11, 706. [Google Scholar] [CrossRef] [PubMed]
- Rama, S.; Suh, C.H.; Kim, K.W.; Durieux, J.C.; Ramaiya, N.H.; Tirumani, S.H. Comparative Performance of Whole-Body MRI and FDG PET/CT in Evaluation of Multiple Myeloma Treatment Response: Systematic Review and Meta-Analysis. AJR Am. J. Roentgenol. 2022, 218, 602–613. [Google Scholar] [CrossRef] [PubMed]
- Hutchings, M.; Loft, A.; Hansen, M.; Ralfkiaer, E.; Specht, L. Different histopathological subtypes of Hodgkin lymphoma show significantly different levels of FDG uptake. Hematol. Oncol. 2006, 24, 146–150. [Google Scholar] [CrossRef]
- Rose, A.; Grajales-Cruz, A.; Lim, A.; Todd, A.; Bello, C.; Shah, B.; Chavez, J.; Pinilla-Ibartz, J.; Saeed, H.; Sandoval-Sus, J.; et al. Classical Hodgkin Lymphoma: Clinicopathologic Features, Prognostic Factors, and Outcomes From a 28-Year Single Institutional Experience. Clin. Lymphoma Myeloma Leuk. 2021, 21, 132–138. [Google Scholar] [CrossRef] [PubMed]
- Cheson, B.D. Role of functional imaging in the management of lymphoma. J. Clin. Oncol. 2011, 29, 1844–1854. [Google Scholar] [CrossRef]
- Kanoun, S.; Rossi, C.; Casasnovas, O. [18F]FDG-PET/CT in Hodgkin Lymphoma: Current Usefulness and Perspectives. Cancers 2018, 10, 145. [Google Scholar] [CrossRef]
- Hutchings, M.; Loft, A.; Hansen, M.; Berthelsen, A.K.; Specht, L. Clinical impact of FDG-PET/CT in the planning of radiotherapy for early-stage Hodgkin lymphoma. Eur. J. Haematol. 2007, 78, 206–212. [Google Scholar] [CrossRef]
- Savage, K.J. Peripheral T-cell lymphomas. Blood Rev. 2007, 21, 201–216. [Google Scholar] [CrossRef]
- Marchi, E.; O’Connor, O.A. The rapidly changing landscape in mature T-cell lymphoma (MTCL) biology and management. CA Cancer J. Clin. 2020, 70, 47–70. [Google Scholar] [CrossRef]
- Salem, A.E.; Zaki, Y.H.; El-Hussieny, G.; ElNoueam, K.I.; Shaaban, A.M.; Koppula, B.R.; Yang, M.; Salama, M.; Elsayes, K.M.; Covington, M.F. Uncommon Variants of Mature T-Cell Lymphomas (MTCLs): Imaging and Histopathologic and Clinical Features with Updates from the Fourth Edition of the World Health Organization (WHO) Classification of Lymphoid Neoplasms. Cancers 2021, 13, 5217. [Google Scholar] [CrossRef] [PubMed]
- Chennamadhavuni, A.; Lyengar, V.; Shimanovsky, A. Leukemia. In StatPearls (3); StatPearls Publishing: Treasure Island, FL, USA, 2022. [Google Scholar]
- Fox, T.A.; Carpenter, B.; Khwaja, A.; Halsey, R.; Grandage, V.; Mansour, M.R.; Fielding, A.K.; Hough, R.E. Utility of FDG-PET/CT in Lymphoblastic Lymphoma. Blood 2019, 134 (Suppl. S1), 2890. [Google Scholar] [CrossRef]
- Arslan, F.; Yilmaz, M.; Cakir, T.; Mert, A. Significant contribution of Fluorodeoxyglucose positron emission tomography/computed tomography (FDG PET/CT) in a case of acute lymphoblastic leukemia presenting with fever of unknown origin. Intern. Med. 2014, 5, 789–791. [Google Scholar] [CrossRef]
- Zhao, Z.; Hu, Y.; Li, J.; Zhou, Y.; Zhang, B.; Deng, S. Applications of PET in Diagnosis and Prognosis of Leukemia. Technol. Cancer Res. Treat. 2020, 19, 1533033820956993. [Google Scholar] [CrossRef] [PubMed]
- Litz, C.E.; Arthur, D.C.; Gajl-Peczalska, K.J.; Rausch, D.; Copenhaver, C.; Coad, J.E.; Brunning, R.D. Transformation of chronic lymphocytic leukemia to small non-cleaved cell lymphoma: A cytogenetic, immunological, and molecular study. Leukemia 1991, 5, 972–978. [Google Scholar] [PubMed]












| Precursor B-Cell Leukemia/Lymphoma | Precursor T-Cell Leukemia/Lymphoma | |||
|---|---|---|---|---|
| B-cell acute lymphoblastic leukemia/lymphoblastic lymphoma not otherwise specified (NOS) B-cell acute lymphoblastic leukemia/lymphoblastic lymphoma with recurrent genetic abnormalities | T- cell acute lymphoblastic leukemia/lymphoblastic lymphoma NK-cell acute lymphoblastic leukemia/lymphoblastic lymphoma | |||
| Mature B-cell leukemia/lymphoma (non-Hodgkin lymphoma) | Mature T-cell/natural killer cell leukemia/lymphoma (Peripheral T-cell lymphoma | Hodgkin lymphoma (HL) | Post-transplantation lymphoproliferative disorder (PTLD) | Histocyte neoplasms |
| Chronic lymphocytic leukemia/small lymphocytic lymphoma Monoclonal B-cell lymphocytosis B-cell prolymphocytic leukemia Splenic B-cell lymphoma/leukemia, unclassifiable Splenic diffuse red pulp small B-cell lymphoma Hairy cell leukemia Hairy cell leukemia variant Lymphoplasmacytic lymphoma Waldenstrom macroglobulinemia Monoclonal gammopathy of undetermined significance (MGUS), IgM and IgAPlasma cell myeloma
Marginal zone lymphomas
Pediatric follicular lymphoma Duodenal type follicular lymphoma Follicular lymphoma Large B-cell lymphoma with IRF4 rearrangement Mantle cell lymphoma Mantle cell lymphoma in situ Diffuse large B-cell lymphoma (DLBCL), germinal & activated B-cell types Primary DLBCL of the CNS Primary cutaneous DLBCL of leg DLBCL associated with chronic inflammation Burkitt lymphoma High grade B-cell lymphoma, not otherwise specified High grade B-cell lymphoma with MYC, BCL 2 and BCL6 rearrangement | Peripheral T-cell lymphomas
Anaplastic large cell lymphomas
Primary cutaneous CD8+ aggressive epidermotropic cytotoxic T-cell lymphoma Primary cutaneous acral CD8+ T-cell lymphoma Primary intestinal T-cell lymphomas
Lymphomatoid papulosis Systemic EBV+ T-cell lymphoma of childhood | Nodular lymphocyte predominant Classic
| Plasmacytic hyperplasia Post-transplant lymphoproliferative disorders (PTLD) Infectious mononucleosis PTLD Polymorphic and Monomorphic PTLDs Classical Hodgkin lymphoma PTLD | Histiocytic sarcoma Langerhans histiocytosis Langerhans cell sarcoma Indeterminate dendritic cell tumor Interdigitating dendritic cell sarcoma Disseminated juvenile xanthogranuloma Follicular dendric cell sarcoma Fibroblastic reticular cell tumor Erdheim-Chester disease |
| Stage | Site(s) of Disease Involvement |
|---|---|
| Limited stage disease | |
| I | Single lymphatic site |
| IE | Single extra lymphatic site without nodal involvement |
| II | Involvement of two or more lymphatic sites on same side of diaphragm |
| IIE | Extracapsular extension from a lymphatic site, +/− involvement of other nodes |
| II X (bulky) | Single node or nodal conglomerate >10 cm in any dimension or > than 1/3 the side-to-side diameter of the chest on CT |
| Advanced stage disease | |
| III | Involvement of nodal sites both above and below the diaphragm |
| IV | Diffuse or disseminated involvement with >1 extra-nodal site. Extra-lymphatic non-contiguous involvement with Stage II nodal disease. Any extra-lymphatic involvement with stage III nodal disease |
| Deauville Category | Explanation of Metabolic Activity in Focal Lesions on FDG PET/CT | Treatment Response Interim FDG PET-CT | Treatment Response End-of-Treatment FDG PET/CT |
|---|---|---|---|
| 1 | No appreciable metabolic activity (for interim scan) | CR | CR |
| 2 | Mild metabolic activity ≤ blood pool | CR | CR |
| 3 | Mild metabolic activity > mediastinal blood pool and ≤ liver | CR | CR |
| 4 | Metabolic activity slightly to moderately higher than liver, no new lesions |
|
|
| 5 | Metabolic activity markedly higher than liver or new sites of disease |
|
|
| Stage | R-ISS | Durie/Salmon | Durie/Salmon Plus | |
|---|---|---|---|---|
| I |
|
| MGUS IA (smoldering or indolent MM) IB |
|
| II |
|
| IIA IIB |
|
| III |
|
| IIIA IIIB |
|
| Response Definition | PET Response | Deauville Score |
|---|---|---|
| Complete metabolic response (CMR) | Uptake of BM or FL < liver | 1–3 |
| Partial metabolic response (PMR) | Persistent lesion with uptake > liver, but reduced in number or activity from baseline | 4–5 |
| Stable metabolic disease (SMD) | No change from baseline | |
| Progressive metabolic disease | New FL’s compared to baseline |
Publisher’s Note: MDPI stays neutral with regard to jurisdictional claims in published maps and institutional affiliations. |
© 2022 by the authors. Licensee MDPI, Basel, Switzerland. This article is an open access article distributed under the terms and conditions of the Creative Commons Attribution (CC BY) license (https://creativecommons.org/licenses/by/4.0/).
Share and Cite
Salem, A.E.; Shah, H.R.; Covington, M.F.; Koppula, B.R.; Fine, G.C.; Wiggins, R.H.; Hoffman, J.M.; Morton, K.A. PET-CT in Clinical Adult Oncology: I. Hematologic Malignancies. Cancers 2022, 14, 5941. https://doi.org/10.3390/cancers14235941
Salem AE, Shah HR, Covington MF, Koppula BR, Fine GC, Wiggins RH, Hoffman JM, Morton KA. PET-CT in Clinical Adult Oncology: I. Hematologic Malignancies. Cancers. 2022; 14(23):5941. https://doi.org/10.3390/cancers14235941
Chicago/Turabian StyleSalem, Ahmed Ebada, Harsh R. Shah, Matthew F. Covington, Bhasker R. Koppula, Gabriel C. Fine, Richard H. Wiggins, John M. Hoffman, and Kathryn A. Morton. 2022. "PET-CT in Clinical Adult Oncology: I. Hematologic Malignancies" Cancers 14, no. 23: 5941. https://doi.org/10.3390/cancers14235941
APA StyleSalem, A. E., Shah, H. R., Covington, M. F., Koppula, B. R., Fine, G. C., Wiggins, R. H., Hoffman, J. M., & Morton, K. A. (2022). PET-CT in Clinical Adult Oncology: I. Hematologic Malignancies. Cancers, 14(23), 5941. https://doi.org/10.3390/cancers14235941

