CD44, PDL1, and ATG7 Expression in Laryngeal Squamous Cell Carcinomas with Tissue Microarray (TMA) Technique: Evaluation of the Potential Prognostic and Predictive Roles
Abstract
Simple Summary
Abstract
1. Introduction
2. Materials and Methods
3. Statistical Analysis
4. Results
4.1. Patients’ Clinical Pathohistological Data
4.2. CD44 Expression
4.3. PDL1 Expression
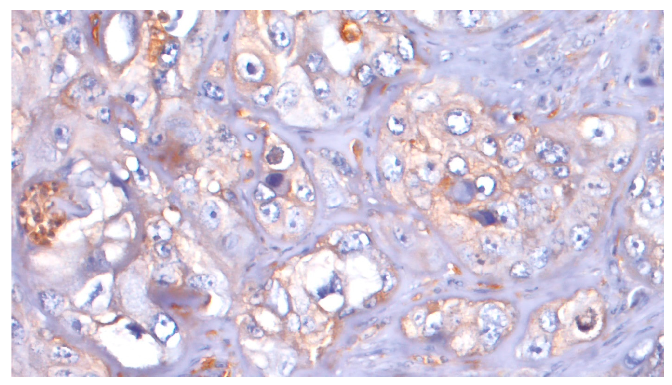
4.4. ATG7 Expression
4.5. Correlation between the Expression of Biomarkers
5. Discussion
6. Conclusions
Author Contributions
Funding
Institutional Review Board Statement
Informed Consent Statement
Data Availability Statement
Conflicts of Interest
References
- Torre, L.A.; Bray, F.; Siegel, R.L.; Ferlay, J.; Lortet-Tieulent, J.; Jemal, A. Global Cancer Statistics. CA Cancer J. Clin. 2015, 65, 87–108. [Google Scholar] [CrossRef] [PubMed]
- Allegra, E.; Bianco, M.R.; Mignogna, C.; Drago, G.D.; Modica, D.M.; Puzzo, L. Early Glottic Cancer Treated by Transoral Laser Surgery Using Toluidine Blue for the Definition of the Surgical Margins: A Pilot Study. Medicina 2020, 56, 334. [Google Scholar] [CrossRef] [PubMed]
- Allegra, E.; Saita, V.; Azzolina, A.; De Natale, M.; Bianco, M.R.; Modica, D.M.; Garozzo, A. Impact of the Anterior Commissure Involvement on the Survival of Early Glottic Cancer Treated with Cricohyoidoepiglottopexy: A Retrospective Study. Cancer Manag. Res. 2018, 10, 5553–5558. [Google Scholar] [CrossRef]
- Garozzo, A.; Allegra, E.; Boria, A.L.; Lombardo, N. Modified Supracricoid Laryngectomy. Otolaryngol. Head Neck Surg. 2010, 142, 137–139. [Google Scholar] [CrossRef] [PubMed]
- de Vincentiis, M.; De Virgilio, A.; Bussu, F.; Gallus, R.; Gallo, A.; Bastanza, G.; Parrilla, C.; Greco, A.; Galli, J.; Turchetta, R.; et al. Oncologic Results of the Surgical Salvage of Recurrent Laryngeal Squamous Cell Carcinoma in a Multicentric Retrospective Series: Emerging Role of Supracricoid Partial Laryngectomy. Head Neck 2014, 37, 84–91. [Google Scholar] [CrossRef]
- Allegra, E.; Bianco, M.R.; Ralli, M.; Greco, A.; Angeletti, D.; de Vincentiis, M. Role of Clinical-Demographic Data in Survival Rates of Advanced Laryngeal Cancer. Medicina 2021, 57, 267. [Google Scholar] [CrossRef] [PubMed]
- Allegra, E.; La Mantia, I.; Bianco, M.R.; Drago, G.D.; Le Fosse, M.C.; Azzolina, A.; Grillo, C.; Saita, V. Verbal Performance of Total Laryngectomized Patients Rehabilitated with Esophageal Speech and Tracheoesophageal Speech: Impacts on Patient Quality of Life. Psychol. Res. Behav. Manag. 2019, 12, 675–681. [Google Scholar] [CrossRef]
- Allegra, E.; La Mantia, I.; Bianco, M.R.; Marino, N.; Fallica, A.; Saita, V. Respiratory Rehabilitation with Heat Moisture Exchanger after Total Laryngectomy: Long-Term Evaluation. Otorinolaringologia 2019, 69, 63–68. [Google Scholar] [CrossRef]
- Jawhar, N.M.T. Tissue Microarray: A Rapidly Evolving Diagnostic and Research Tool. Ann. Saudi Med. 2009, 29, 123–127. [Google Scholar] [CrossRef]
- Meyerholz, D.K.; Beck, A.P. Principles and Approaches for Reproducible Scoring of Tissue Stains in Research. Lab. Investig. 2018, 98, 844–855. [Google Scholar] [CrossRef]
- Maule, J.G.; Clinton, L.K.; Graf, R.P.; Xiao, J.; Oxnard, G.R.; Ross, J.S.; Huang, R.S.P. Comparison of PD-L1 Tumor Cell Expression with 22C3, 28–8, and SP142 IHC Assays across Multiple Tumor Types. J. Immunother. Cancer 2022, 10, e005573. [Google Scholar] [CrossRef] [PubMed]
- Ludwig, N.; Szczepanski, M.J.; Gluszko, A.; Szafarowski, T.; Azambuja, J.H.; Dolg, L.; Gellrich, N.-C.; Kampmann, A.; Whiteside, T.L.; Zimmerer, R.M. CD44(+) Tumor Cells Promote Early Angiogenesis in Head and Neck Squamous Cell Carcinoma. Cancer Lett. 2019, 467, 85–95. [Google Scholar] [CrossRef] [PubMed]
- Rajarajan, A.; Stokes, A.; Bloor, B.K.; Ceder, R.; Desai, H.; Grafström, R.C.; Odell, E.W. CD44 Expression in Oro-Pharyngeal Carcinoma Tissues and Cell Lines. PLoS ONE 2012, 7, e28776. [Google Scholar] [CrossRef]
- Lindquist, D.; Ahrlund-Richter, A.; Tarján, M.; Tot, T.; Dalianis, T. Intense CD44 Expression Is a Negative Prognostic Factor in Tonsillar and Base of Tongue Cancer. Anticancer Res. 2012, 32, 153–161. [Google Scholar] [PubMed]
- Yüce, I.; Bayram, A.; Cağlı, S.; Canöz, O.; Bayram, S.; Güney, E. The Role of CD44 and Matrix Metalloproteinase-9 Expression in Predicting Neck Metastasis of Supraglottic Laryngeal Carcinoma. Am. J. Otolaryngol. 2011, 32, 141–146. [Google Scholar] [CrossRef] [PubMed]
- Uwa, N.; Kataoka, T.R.; Torii, I.; Sato, A.; Nishigami, T.; Song, M.; Daimon, T.; Saeki, N.; Sagawa, K.; Mouri, T.; et al. CD44 Expression Is Related to Poor Prognosis of Hypopharyngeal Squamous Cell Carcinoma. Acta Otolaryngol. 2011, 131, 323–329. [Google Scholar] [CrossRef]
- de Jong, M.C.; Pramana, J.; van der Wal, J.E.; Lacko, M.; Peutz-Kootstra, C.J.; de Jong, J.M.; Takes, R.P.; Kaanders, J.H.; van der Laan, B.F.; Wachters, J.; et al. CD44 Expression Predicts Local Recurrence after Radiotherapy in Larynx Cancer. Clin. Cancer Res. 2010, 16, 5329–5338. [Google Scholar] [CrossRef]
- Chen, J.; Zhou, J.; Lu, J.; Xiong, H.; Shi, X.; Gong, L. Significance of CD44 Expression in Head and Neck Cancer: A Systemic Review and Meta-Analysis. BMC Cancer 2014, 14, 15. [Google Scholar] [CrossRef]
- Allegra, E.; Trapasso, S.; La Boria, A.; Aragona, T.; Pisani, D.; Belfiore, A.; Garozzo, A. Prognostic Role of Salivary CD44sol Levels in the Follow-up of Laryngeal Carcinomas. J. Oral Pathol. Med. 2013, 43, 276–281. [Google Scholar] [CrossRef]
- Wusiman, D.; Guo, L.; Huang, Z.; Li, Z.; Liu, S.; Ying, J.; Li, W.; An, C. The Clinicopathological Significance of PD-L1 Expression Assessed by the Combined Positive Score (CPS) in Head and Neck Squamous Cell Carcinoma. Pathol. Res. Prac. 2022, 236, 153934. [Google Scholar] [CrossRef]
- Chen, S.-W.; Li, S.-H.; Shi, D.-B.; Jiang, W.-M.; Song, M.; Yang, A.-K.; Li, Y.-D.; Bei, J.-X.; Chen, W.-K.; Zhang, Q. Expression of PD-1/PD-L1 in Head and Neck Squamous Cell Carcinoma and Its Clinical Significance. Int. J. Biol. Markers. 2019, 34, 398–405. [Google Scholar] [CrossRef] [PubMed]
- Sanchez-Canteli, M.; Granda-Díaz, R.; del Rio-Ibisate, N.; Allonca, E.; López-Alvarez, F.; Agorreta, J.; Garmendia, I.; Montuenga, L.M.; García-Pedrero, J.M.; Rodrigo, J.P. PD-L1 Expression Correlates with Tumor-Infiltrating Lymphocytes and Better Prognosis in Patients with HPV-Negative Head and Neck Squamous Cell Carcinomas. Cancer Immunol. Immunother. 2020, 69, 2089–2100. [Google Scholar] [CrossRef] [PubMed]
- Yokota, T.; Homma, A.; Kiyota, N.; Tahara, M.; Hanai, N.; Asakage, T.; Matsuura, K.; Ogawa, T.; Saito, Y.; Sano, D.; et al. Immunotherapy for Squamous Cell Carcinoma of the Head and Neck. Japan. J. Clin. Oncol. 2020, 50, 1089–1096. [Google Scholar] [CrossRef] [PubMed]
- Kitamura, N.; Sento, S.; Yoshizawa, Y.; Sasabe, E.; Kudo, Y.; Yamamoto, T. Current Trends and Future Prospects of Molecular Targeted Therapy in Head and Neck Squamous Cell Carcinoma. Int. J. Mol. Sci. 2020, 22, 240. [Google Scholar] [CrossRef]
- Akkoc, Y.; Peker, N.; Akcay, A.; Gozuacik, D. Autophagy and Cancer Dormancy. Front. Oncol. 2021, 11, 627023. [Google Scholar] [CrossRef]
- Feng, H.; Zhong, L.; Yang, X.; Wan, Q.; Pei, X.; Wang, J. Development and Validation of Prognostic Index Based on Autophagy-Related Genes in Patient with Head and Neck Squamous Cell Carcinoma. Cell Death. Discov. 2020, 6, 59. [Google Scholar] [CrossRef]
- Guo, Y.; Sun, Y.; Chen, M.; Feng, Y.; Zhang, X.; Ji, T.; Liu, Z.; Zhang, Y. Unveiling the Noncanonical Autophagy-Independent Role of ATG7 and ATG9B in Head and Neck Squamous Cell Carcinoma (HNSCC). J. Oncol. 2022, 2022, 9253938. [Google Scholar] [CrossRef]
- Pramanik, A.; Xu, Z.; Ingram, N.; Coletta, P.L.; Millner, P.A.; Tyler, A.I.; Hughes, T.A. Hyaluronic-Acid-Tagged Cubosomes Deliver Cytotoxics Specifically to CD44-Positive Cancer Cells. Mol. Pharm. 2022, 19, 4601–4611. [Google Scholar] [CrossRef]








| Clinical Data | N. (%) |
|---|---|
| Age | |
| Mean | 64.7 ± 10SD |
| range | 46–83 yrs |
| Smoking habit | |
| ≤20 cig/day | 22 |
| >20 cig/day | 17 |
| Alcohol habit | |
| ≤500 cc/day | 18 |
| >500 cc/day | 21 |
| Primary Site | |
| Glottic | 24 |
| Trans-Supraglottic | 15 |
| Histologic grade | |
| G1–G2 | 24 |
| G3 | 15 |
| T classification | |
| T1–T2 | 28 |
| T3–T4 | 11 |
| N pathological status | |
| N0 | 26 |
| N+ | 13 |
| Treatment | |
| Surgery alone | 19 |
| Surgery plus RT | 20 |
| Clinical Data | CD44 = 36 pz | PDL1 = 39 pz | AGT7 = 36 pz | |||||||||
|---|---|---|---|---|---|---|---|---|---|---|---|---|
| Negative | Positive | Negative | Positive | Negative | Positive | |||||||
| N. (%) | N. (%) | N. (%) | N. (%) | N. (%) | N. (%) | |||||||
| Age (years) | ||||||||||||
| ≤50 | 3 | (27.2%) | 8 | (72.8%) | 12 | 75.0% | 4 | 30.5% | 11 | 68.5% | 5 | 31.5% |
| >50 | 8 | (32.0%) | 17 | (68.0%) | 18 | 78.3% | 5 | 21.7% | 17 | 85.0% | 3 | 15.0% |
| p = 0.30 | p = 0.31 | p = 0.12 | ||||||||||
| Smoking habit | ||||||||||||
| ≤20 cig./day | 7 | 33.3% | 14 | 66.4% | 18 | 81.8% | 4 | 18.2% | 15 | 75.0% | 5 | 25.0% |
| >20 cig./day | 4 | 26.6% | 11 | 73.4% | 12 | 70.6% | 5 | 29.4% | 13 | 81.3% | 3 | 18.8% |
| p = 0.34 | p = 0.81 | p = 0.78 | ||||||||||
| Alcohol habit | ||||||||||||
| ≤1000 cc/day | 6 | 37.5% | 10 | 62.5% | 19 | 86.4% | 3 | 13.6% | 12 | 75.0% | 4 | 25.0% |
| >1000 cc/day | 5 | 25.0% | 15 | 75.0% | 12 | 66.7% | 6 | 33.3% | 16 | 80.0% | 4 | 20.0% |
| p = 0.42 | p = 0.38 | p = 0.72 | ||||||||||
| Localization | ||||||||||||
| Glottic | 8 | 36.3% | 14 | 63.4% | 18 | 75.0% | 6 | 25.0% | 17 | 77.3% | 5 | 22.7% |
| Supra/transglottic | 3 | 21.4% | 11 | 78.6% | 12 | 80.0% | 3 | 20.0% | 11 | 78.6% | 3 | 21.4% |
| p = 0.76 | p = 0.72 | p = 0.46 | ||||||||||
| Histologic grade | ||||||||||||
| G1–G2 | 4 | 17.3% | 19 | 82.7% | 18 | 78.3% | 5 | 21.7% | 11 | 78.6% | 3 | 21.4% |
| G3 | 7 | 53.8% | 6 | 46.2% | 12 | 75.5% | 4 | 25.0% | 17 | 77.3% | 5 | 22.7% |
| p = 0.0065 | p = 0.81 | p = 0.25 | ||||||||||
| T classification | ||||||||||||
| T1–T2 | 8 | 29.6% | 19 | 70,4% | 21 | 75.0% | 7 | 25.0% | 19 | 76.0% | 6 | 24.0% |
| T3–T4 | 3 | 33.3% | 6 | 66,7% | 9 | 81.8% | 2 | 18.2% | 9 | 81.8% | 2 | 18.2% |
| p = 0.96 | p = 0.65 | p = 0.57 | ||||||||||
| pN status | ||||||||||||
| N0 | 10 | 43.4% | 13 | 56.6% | 20 | 76.9% | 6 | 23.1% | 17 | 73.9% | 6 | 26.1% |
| N+ | 1 | 7.6% | 12 | 92.4% | 10 | 76.9% | 3 | 23.1% | 11 | 84.6% | 2 | 15.4% |
| p = 0.04 | p = 1.00 | p = 0.46 | ||||||||||
| PDL1 | CD44 | AGT7 | ||||||||||||
|---|---|---|---|---|---|---|---|---|---|---|---|---|---|---|
| Negative | Positive | Negative | Positive | Negative | Positive | |||||||||
| 27 | 75.0% | 9 | 25.0% | 11 | 30.6% | 25 | 69.4% | 28 | 77.7% | 8 | 22.3% | |||
| AGT7 | PDL1 | CD44 | ||||||||||||
| Negative | 20 | 71.4% | 8 | 28.6% | Negative | 9 | 33.3% | 18 | 66.7% | Negative | 5 | 50.0% | 5 | 50.0% |
| Positive | 7 | 87.5% | 1 | 12.5% | Positive | 2 | 22.2% | 7 | 77.8% | Positive | 23 | 88.5% | 3 | 11.5% |
| p = 0.36 | p = 0.53 | p = 0.02 | ||||||||||||
Disclaimer/Publisher’s Note: The statements, opinions and data contained in all publications are solely those of the individual author(s) and contributor(s) and not of MDPI and/or the editor(s). MDPI and/or the editor(s) disclaim responsibility for any injury to people or property resulting from any ideas, methods, instructions or products referred to in the content. |
© 2023 by the authors. Licensee MDPI, Basel, Switzerland. This article is an open access article distributed under the terms and conditions of the Creative Commons Attribution (CC BY) license (https://creativecommons.org/licenses/by/4.0/).
Share and Cite
Puzzo, L.; Bianco, M.R.; Salvatorelli, L.; Tinnirello, G.; Occhiuzzi, F.; Latella, D.; Allegra, E. CD44, PDL1, and ATG7 Expression in Laryngeal Squamous Cell Carcinomas with Tissue Microarray (TMA) Technique: Evaluation of the Potential Prognostic and Predictive Roles. Cancers 2023, 15, 2461. https://doi.org/10.3390/cancers15092461
Puzzo L, Bianco MR, Salvatorelli L, Tinnirello G, Occhiuzzi F, Latella D, Allegra E. CD44, PDL1, and ATG7 Expression in Laryngeal Squamous Cell Carcinomas with Tissue Microarray (TMA) Technique: Evaluation of the Potential Prognostic and Predictive Roles. Cancers. 2023; 15(9):2461. https://doi.org/10.3390/cancers15092461
Chicago/Turabian StylePuzzo, Lidia, Maria Rita Bianco, Lucia Salvatorelli, Giordana Tinnirello, Federico Occhiuzzi, Daniele Latella, and Eugenia Allegra. 2023. "CD44, PDL1, and ATG7 Expression in Laryngeal Squamous Cell Carcinomas with Tissue Microarray (TMA) Technique: Evaluation of the Potential Prognostic and Predictive Roles" Cancers 15, no. 9: 2461. https://doi.org/10.3390/cancers15092461
APA StylePuzzo, L., Bianco, M. R., Salvatorelli, L., Tinnirello, G., Occhiuzzi, F., Latella, D., & Allegra, E. (2023). CD44, PDL1, and ATG7 Expression in Laryngeal Squamous Cell Carcinomas with Tissue Microarray (TMA) Technique: Evaluation of the Potential Prognostic and Predictive Roles. Cancers, 15(9), 2461. https://doi.org/10.3390/cancers15092461

