Idiopathic Granulomatous Mastitis as a Benign Condition Mimicking Inflammatory Breast Cancer: Current Status, Knowledge Gaps and Rationale for the GRAMAREG Study (EUBREAST-15)
Abstract
Simple Summary
Abstract
1. Introduction
2. Current Knowledge of IGM
2.1. Prevalence
2.2. Risk Factors and Etiology
2.3. Histopathological Features
2.4. Clinical Symptoms and Diagnostic Workflow
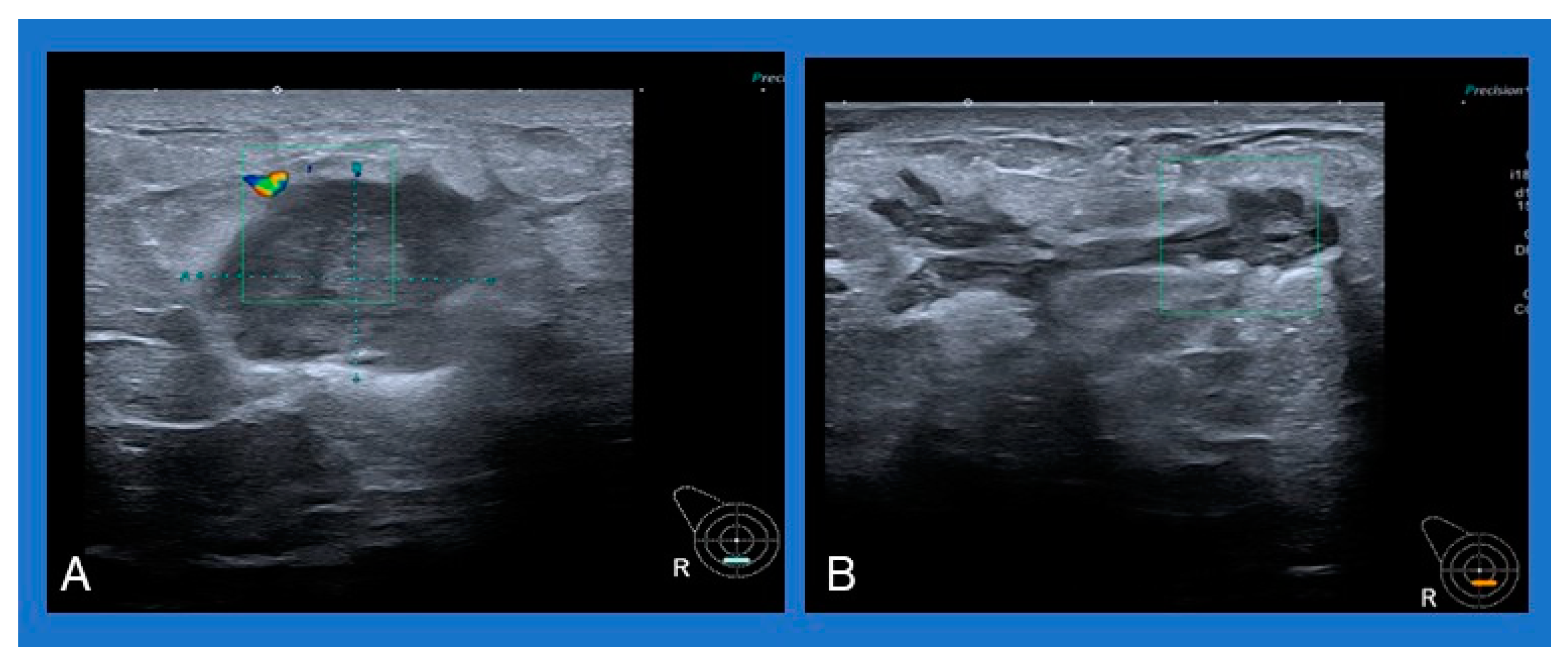
2.5. Presentation on Imaging
2.6. Therapy
2.7. Observation
2.8. NSAIDs
2.9. Antibiotics
2.10. Steroids
2.11. Methotrexate
2.12. Other Immunosuppressants
2.13. Prolactin Suppressants
2.14. Surgery
3. GRAMAREG Study
3.1. Retrospective Data Collection Phase
3.2. Prospective Data Collection Phase
- Primary Study Endpoints:
- Proportion of patients presenting with specific symptoms (e.g., pain, redness, palpable mass)
- Duration of symptoms depending on treatment strategy
- Secondary Study Endpoints:
- Type and duration of systemic treatment
- Number of surgeries, if performed
- Recurrence rate
- Risk factors for recurrence
- Time between first occurring symptoms and first histological confirmation
- Presentation on breast imaging (mammography, sonography, MRI, if performed)
4. Conclusions
Author Contributions
Funding
Conflicts of Interest
References
- Kessler, E.; Wolloch, Y. Granulomatous mastitis: A lesion clinically simulating carcinoma. Am. J. Clin. Pathol. 1972, 58, 642–646. [Google Scholar] [CrossRef]
- Renshaw, A.A.; Derhagopian, R.P.; Gould, E.W. Cystic neutrophilic granulomatous mastitis: An underappreciated pattern strongly associated with gram-positive bacilli. Am. J. Clin. Pathol. 2011, 136, 424–427. [Google Scholar] [CrossRef]
- Idiopathic granulomatous mastitis in Hispanic women—Indiana, 2006–2008. MMWR Morb. Mortal. Wkly. Rep. 2009, 58, 1317–1321.
- Aghajanzadeh, M.; Hassanzadeh, R.; Alizadeh Sefat, S.; Alavi, A.; Hemmati, H.; Esmaeili Delshad, M.S.; Emir Alavi, C.; Rimaz, S.; Geranmayeh, S.; Najafi Ashtiani, M.; et al. Granulomatous mastitis: Presentations, diagnosis, treatment and outcome in 206 patients from the north of Iran. Breast 2015, 24, 456–460. [Google Scholar] [CrossRef] [PubMed]
- Azizi, A.; Prasath, V.; Canner, J.; Gharib, M.; Sadat Fattahi, A.; Naser Forghani, M.; Sajjadi, S.; Farhadi, E.; Vasigh, M.; Kaviani, A.; et al. Idiopathic granulomatous mastitis: Management and predictors of recurrence in 474 patients. Breast J. 2020, 26, 1358–1362. [Google Scholar] [CrossRef] [PubMed]
- Al Awfi, M.M.; Al Rahbi, S.K. Idiopathic Granulomatous Mastitis: Six years of experience and the current evidence in literature. Sultan Qaboos Univ. Med. J. 2023, 23, 36–41. [Google Scholar] [CrossRef]
- Prasad, S.; Jaiprakash, P.; Dave, A.; Pai, D. Idiopathic granulomatous mastitis: An institutional experience. Turk. J. Surg. 2017, 33, 100–103. [Google Scholar] [CrossRef]
- Patel, R.A.; Strickland, P.; Sankara, I.R.; Pinkston, G.; Many, W., Jr.; Rodriguez, M. Idiopathic granulomatous mastitis: Case reports and review of literature. J. Gen. Intern. Med. 2010, 25, 270–273. [Google Scholar] [CrossRef]
- Freeman, C.M.; Xia, B.T.; Wilson, G.C.; Lewis, J.D.; Khan, S.; Lee, S.J.; Lower, E.E.; Edwards, M.J.; Shaughnessy, E.A. Idiopathic granulomatous mastitis: A diagnostic and therapeutic challenge. Am. J. Surg. 2017, 214, 701–706. [Google Scholar] [CrossRef]
- Al-Khaffaf, B.; Knox, F.; Bundred, N.J. Idiopathic granulomatous mastitis: A 25-year experience. J. Am. Coll. Surg. 2008, 206, 269–273. [Google Scholar] [CrossRef]
- Pandey, T.S.; Mackinnon, J.C.; Bressler, L.; Millar, A.; Marcus, E.E.; Ganschow, P.S. Idiopathic granulomatous mastitis--a prospective study of 49 women and treatment outcomes with steroid therapy. Breast J. 2014, 20, 258–266. [Google Scholar] [CrossRef] [PubMed]
- Elzahaby, I.A.; Khater, A.; Fathi, A.; Hany, I.; Abdelkhalek, M.; Gaballah, K.; Elalfy, A.; Hamdy, O. Etiologic revelation and outcome of the surgical management of idiopathic granulomatous mastitis; An Egyptian centre experience. Breast Dis. 2016, 36, 115–122. [Google Scholar] [CrossRef]
- Korkut, E.; Akcay, M.N.; Karadeniz, E.; Subasi, I.D.; Gursan, N. Granulomatous Mastitis: A Ten-Year Experience at a University Hospital. Eurasian J. Med. 2015, 47, 165–173. [Google Scholar] [CrossRef]
- Laor, L.; Ganguli, S.; Fakioglu, E. Granulomatous mastitis, erythema nodosum, and polyarthritis: A case report. J. Med. Case Rep. 2022, 16, 146. [Google Scholar] [CrossRef]
- Yaghan, R.J.; Ayoub, N.M.; Shenawi, H.M.; Yaghan, L.R. Idiopathic granulomatous mastitis in the male population: A clinical analysis of 13 reported cases. Breast J. 2020, 26, 1481–1482. [Google Scholar] [CrossRef]
- Sam, K.Q.; Severs, F.J.; Ebuoma, L.O.; Chandandeep, N.S.; Sedgwick, E.L. Granulomatous Mastitis in a Transgender Patient. J. Radiol. Case Rep. 2017, 11, 16–22. [Google Scholar] [CrossRef] [PubMed]
- Shaaban, A.M. Pathology of the male breast. Diagn. Histopathol. Mini-Symp. Breast Pathol. 2019, 25, 138–142. [Google Scholar] [CrossRef]
- Alipour, S.; Tabatabaeian, M.; Nafissi, N.; Fattahi, A.S.; Astaraki, S.; Zahernia-Shahrbabaki, Z.; Jabbari-Nooghabi, A.; Dabbagh, N.; Saberi, A.; Maajani, K.; et al. Idiopathic Granulomatous Mastitis and History of Hypothyroidism: Intervening Data of a Prospective Multicenter Trial and Meta-Analysis of the Existing Literature: IGM and Hypothyroidism. Arch. Breast Cancer 2022, 10, 38–47. [Google Scholar] [CrossRef]
- Lin, C.H.; Hsu, C.W.; Tsao, T.Y.; Chou, J. Idiopathic granulomatous mastitis associated with risperidone-induced hyperprolactinemia. Diagn. Pathol. 2012, 7, 2. [Google Scholar] [CrossRef]
- Agrawal, A.; Pabolu, S. A Rare Case of Idiopathic Granulomatous Mastitis in a Nulliparous Woman with Hyperprolactinemia. Cureus 2019, 11, e4680. [Google Scholar] [CrossRef]
- Bellavia, M.; Damiano, G.; Palumbo, V.D.; Spinelli, G.; Tomasello, G.; Marrazzo, A.; Ficarella, S.; Bruno, A.; Sammartano, A.; Fiorentini, T.; et al. Granulomatous Mastitis during Chronic Antidepressant Therapy: Is It Possible a Conservative Therapeutic Approach? J. Breast Cancer 2012, 15, 371–372. [Google Scholar] [CrossRef]
- Furlong, A.J.; al-Nakib, L.; Knox, W.F.; Parry, A.; Bundred, N.J. Periductal inflammation and cigarette smoke. J. Am. Coll. Surg. 1994, 179, 417–420. [Google Scholar] [PubMed]
- Baslaim, M.M.; Khayat, H.A.; Al-Amoudi, S.A. Idiopathic granulomatous mastitis: A heterogeneous disease with variable clinical presentation. World J. Surg. 2007, 31, 1677–1681. [Google Scholar] [CrossRef] [PubMed]
- Uysal, E.; Soran, A.; Sezgin, E.; Granulomatous Mastitis Study, G. Factors related to recurrence of idiopathic granulomatous mastitis: What do we learn from a multicentre study? ANZ J. Surg. 2018, 88, 635–639. [Google Scholar] [CrossRef]
- Oran, E.S.; Gurdal, S.O.; Yankol, Y.; Oznur, M.; Calay, Z.; Tunaci, M.; Soybir, G.R. Management of idiopathic granulomatous mastitis diagnosed by core biopsy: A retrospective multicenter study. Breast J. 2013, 19, 411–418. [Google Scholar] [CrossRef] [PubMed]
- Asoglu, O.; Ozmen, V.; Karanlik, H.; Tunaci, M.; Cabioglu, N.; Igci, A.; Selcuk, U.E.; Kecer, M. Feasibility of surgical management in patients with granulomatous mastitis. Breast J. 2005, 11, 108–114. [Google Scholar] [CrossRef]
- Gurleyik, G.; Aktekin, A.; Aker, F.; Karagulle, H.; Saglamc, A. Medical and surgical treatment of idiopathic granulomatous lobular mastitis: A benign inflammatory disease mimicking invasive carcinoma. J. Breast Cancer 2012, 15, 119–123. [Google Scholar] [CrossRef]
- Ozel, L.; Unal, A.; Unal, E.; Kara, M.; Erdogdu, E.; Krand, O.; Gunes, P.; Karagul, H.; Demiral, S.; Titiz, M.I. Granulomatous mastitis: Is it an autoimmune disease? Diagnostic and therapeutic dilemmas. Surg. Today 2012, 42, 729–733. [Google Scholar] [CrossRef] [PubMed]
- Moreno-Vilchez, C.; Llobera-Ris, C.; Penin, R.M.; Pla, M.J.; Mitjavila, F.; Marcoval, J. Granulomatous mastitis associated with erythema nodosum: A case series of 42 patients. Med. Clin. 2022, 158, 229–232. [Google Scholar] [CrossRef]
- Kalayci, T.O.; Koruyucu, M.B.; Apaydin, M.; Etit, D.; Varer, M. Idiopathic Granulomatous Mastitis Associated with Erythema Nodosum. Balkan Med. J. 2016, 33, 228–231. [Google Scholar] [CrossRef]
- Letourneux, C.; Diemunsch, P.; Korganow, A.S.; Akladios, C.Y.; Bellocq, J.P.; Mathelin, C. First report of granulomatous mastitis associated with Sjogren’s syndrome. World J. Surg. Oncol. 2013, 11, 268. [Google Scholar] [CrossRef]
- Taniguchi, Y.; Kagawa, T.; Ishibashi, A.; Horino, T.; Kumon, Y.; Terada, Y. Weber-Christian disease associated with granulomatous mastitis: A variant type of Weber-Christian disease? Mod. Rheumatol. 2011, 21, 228–231. [Google Scholar] [CrossRef]
- Altintoprak, F.; Karakece, E.; Kivilcim, T.; Dikicier, E.; Cakmak, G.; Celebi, F.; Ciftci, I.H. Idiopathic granulomatous mastitis: An autoimmune disease? Sci. World J. 2013, 2013, 148727. [Google Scholar] [CrossRef] [PubMed]
- Taylor, G.B.; Paviour, S.D.; Musaad, S.; Jones, W.O.; Holland, D.J. A clinicopathological review of 34 cases of inflammatory breast disease showing an association between Corynebacteria infection and granulomatous mastitis. Pathology 2003, 35, 109–119. [Google Scholar] [CrossRef]
- Riegel, P.; Liégeois, P.; Chenard, M.-P.; Mathelin, C.; Monteil, H. Isolations of Corynebacterium kroppenstedtii from a breast abscess. Int. J. Med. Microbiol. 2004, 294, 413–416. [Google Scholar] [CrossRef]
- Ang, L.M.; Brown, H. Corynebacterium accolens isolated from breast abscess: Possible association with granulomatous mastitis. J. Clin. Microbiol. 2007, 45, 1666–1668. [Google Scholar] [CrossRef]
- Stary, C.M.; Lee, Y.S.; Balfour, J. Idiopathic granulomatous mastitis associated with Corynebacterium sp. Infection. Hawaii. Med. J. 2011, 70, 99–101. [Google Scholar] [PubMed]
- Johnson, M.G.; Leal, S.; Plongla, R.; Leone, P.A.; Gilligan, P.H. The Brief Case: Recurrent Granulomatous Mastitis Due to Corynebacterium kroppenstedtii. J. Clin. Microbiol. 2016, 54, 1938–1941. [Google Scholar] [CrossRef]
- Kutsuna, S.; Mezaki, K.; Nagamatsu, M.; Kunimatsu, J.; Yamamoto, K.; Fujiya, Y.; Mawatari, M.; Takeshita, N.; Hayakawa, K.; Kato, Y.; et al. Two Cases of Granulomatous Mastitis Caused by Corynebacterium kroppenstedtii Infection in Nulliparous Young Women with Hyperprolactinemia. Intern. Med. 2015, 54, 1815–1818. [Google Scholar] [CrossRef] [PubMed]
- Dobinson, H.C.; Anderson, T.P.; Chambers, S.T.; Doogue, M.P.; Seaward, L.; Werno, A.M. Antimicrobial Treatment Options for Granulomatous Mastitis Caused by Corynebacterium Species. J. Clin. Microbiol. 2015, 53, 2895–2899. [Google Scholar] [CrossRef]
- Byrd, A.L.; Belkaid, Y.; Segre, J.A. The human skin microbiome. Nat. Rev. Microbiol. 2018, 16, 143–155. [Google Scholar] [CrossRef]
- Wu, J.M.; Turashvili, G. Cystic neutrophilic granulomatous mastitis: An update. J. Clin. Pathol. 2020, 73, 445–453. [Google Scholar] [CrossRef]
- Schnitt, S.J.; Collins, L.C. Biopsy Interpretation of the Breast, 3rd ed.; Lippincott Williams & Wilkins: Philadelphia, PA, USA, 2017. [Google Scholar]
- Wang, Y.; LeGolvan, M.; Chapin, K.; Mainiero, M. Cystic neutrophilic granulomatous mastitis with Corynebacterium and staphylococcus mimicking breast carcinoma. Clin. Case Rep. 2018, 6, 2208–2210. [Google Scholar] [CrossRef] [PubMed]
- Sriram, K.; Moffatt, D.; Stapledon, R. Tuberculosis infection of the breast mistaken for granulomatous mastitis: A case report. Cases J. 2008, 1, 273. [Google Scholar] [CrossRef]
- Gisvold, J.J.; Crotty, T.B.; Johnson, R.E. Sarcoidosis presenting as spiculated breast masses. Mayo Clin. Proc. 2000, 75, 293–295. [Google Scholar] [CrossRef] [PubMed]
- Sheybani, F.; Sarvghad, M.; Naderi, H.; Gharib, M. Treatment for and clinical characteristics of granulomatous mastitis. Obstet. Gynecol. 2015, 125, 801–807. [Google Scholar] [CrossRef]
- Davis, J.; Cocco, D.; Matz, S.; Hsu, C.H.; Brown, M.J.; Lee, J.; Bouton, M.E.; Caruso, D.M.; Komenaka, I.K. Re-evaluating if observation continues to be the best management of idiopathic granulomatous mastitis. Surgery 2019, 166, 1176–1180. [Google Scholar] [CrossRef] [PubMed]
- Yaghan, R.J.; Ayoub, N.M.; Hamouri, S.; Al-Mohtaseb, A.; Gharaibeh, M.; Yaghan, L.; Al-Dari, M.; Al-Kaff, H.; Al-Zoubi, N.A. The Role of Establishing a Multidisciplinary Team for Idiopathic Granulomatous Mastitis in Improving Patient Outcomes and Spreading Awareness about Recent Disease Trends. Int. J. Breast Cancer 2020, 2020, 5243958. [Google Scholar] [CrossRef]
- Alikhassi, A.; Azizi, F.; Ensani, F. Imaging features of granulomatous mastitis in 36 patients with new sonographic signs. J. Ultrasound 2020, 23, 61–68. [Google Scholar] [CrossRef]
- Pluguez-Turull, C.W.; Nanyes, J.E.; Quintero, C.J.; Alizai, H.; Mais, D.D.; Kist, K.A.; Dornbluth, N.C. Idiopathic Granulomatous Mastitis: Manifestations at Multimodality Imaging and Pitfalls. Radiographics 2018, 38, 330–356. [Google Scholar] [CrossRef]
- Sripathi, S.; Ayachit, A.; Bala, A.; Kadavigere, R.; Kumar, S. Idiopathic granulomatous mastitis: A diagnostic dilemma for the breast radiologist. Insights Imaging 2016, 7, 523–529. [Google Scholar] [CrossRef]
- Yildiz, S.; Aralasmak, A.; Kadioglu, H.; Toprak, H.; Yetis, H.; Gucin, Z.; Kocakoc, E. Radiologic findings of idiopathic granulomatous mastitis. Med. Ultrason. 2015, 17, 39–44. [Google Scholar] [CrossRef] [PubMed]
- Bhattarai, P.; Srinivasan, A.; Valenzuela, C.D.; Sulzbach, C.; Wallack, M.K.; Mariadason, J.G. Idiopathic granulomatous mastitis: Experience at a New York hospital. Ann. R. Coll. Surg. Engl. 2022, 104, 543–547. [Google Scholar] [CrossRef] [PubMed]
- Bashir, M.U.; Ramcharan, A.; Alothman, S.; Beaugris, S.; Khan, S.A.; Sbeih, M.A.; Engdahl, R. The enigma of granulomatous mastitis: A series. Breast Dis. 2017, 37, 17–20. [Google Scholar] [CrossRef]
- Yu, H.; Wang, Q. Severe idiopathic granulomatous mastitis treated with systemic medication; A case report. J. Int. Med. Res. 2020, 48, 0300060519895685. [Google Scholar] [CrossRef]
- Lai, E.C.; Chan, W.C.; Ma, T.K.; Tang, A.P.; Poon, C.S.; Leong, H.T. The role of conservative treatment in idiopathic granulomatous mastitis. Breast J. 2005, 11, 454–456. [Google Scholar] [CrossRef]
- Kaviani, A.; Vasigh, M.; Omranipour, R.; Mahmoudzadeh, H.; Elahi, A.; Farivar, L.; Zand, S. Idiopathic granulomatous mastitis: Looking for the most effective therapy with the least side effects according to the severity of the disease in 374 patients in Iran. Breast J. 2019, 25, 672–677. [Google Scholar] [CrossRef] [PubMed]
- Abdalla, E.; Elmudathir, A.; Ahmed, A.H.; Ali, B.; Elhadi Ali, M.; Taha, N.M.; Khan, F.Y. Clindamycin: An Effective Treatment for Granulomatous Mastitis Caused by Corynebacterium kroppenstedtii in a Pregnant Patient. Eur. J. Case Rep. Intern. Med. 2024, 11, 004184. [Google Scholar] [CrossRef]
- DeHertogh, D.A.; Rossof, A.H.; Harris, A.A.; Economou, S.G. Prednisone management of granulomatous mastitis. N. Engl. J. Med. 1980, 303, 799–800. [Google Scholar] [CrossRef] [PubMed]
- Montazer, M.; Dadashzadeh, M.; Moosavi Toomatari, S.E. Comparison of the Outcome of Low Dose and High-Dose Corticosteroid in the Treatment of Idiopathic Granulomatous Mastitis. Asian Pac. J. Cancer Prev. 2020, 21, 993–996. [Google Scholar] [CrossRef]
- Yabanoglu, H.; Colakoglu, T.; Belli, S.; Aytac, H.O.; Bolat, F.A.; Pourbagher, A.; Tezcaner, T.; Yildirim, S.; Haberal, M. A Comparative Study of Conservative versus Surgical Treatment Protocols for 77 Patients with Idiopathic Granulomatous Mastitis. Breast J. 2015, 21, 363–369. [Google Scholar] [CrossRef]
- Erozgen, F.; Ersoy, Y.E.; Akaydin, M.; Memmi, N.; Celik, A.S.; Celebi, F.; Guzey, D.; Kaplan, R. Corticosteroid treatment and timing of surgery in idiopathic granulomatous mastitis confusing with breast carcinoma. Breast Cancer Res. Treat. 2010, 123, 447–452. [Google Scholar] [CrossRef] [PubMed]
- Altintoprak, F.; Kivilcim, T.; Yalkin, O.; Uzunoglu, Y.; Kahyaoglu, Z.; Dilek, O.N. Topical Steroids Are Effective in the Treatment of Idiopathic Granulomatous Mastitis. World J. Surg. 2015, 39, 2718–2723. [Google Scholar] [CrossRef] [PubMed]
- Toktas, O.; Konca, C.; Trabulus, D.C.; Soyder, A.; Koksal, H.; Karanlik, H.; Kamali Polat, A.; Ozbas, S.; Yormaz, S.; Isik, A.; et al. A Novel First-Line Treatment Alternative for Noncomplicated Idiopathic Granulomatous Mastitis: Combined Intralesional Steroid Injection with Topical Steroid Administration. Breast Care 2021, 16, 181–187. [Google Scholar] [CrossRef]
- Cabioglu, N.; Uras, C.; Mutlu, H.; Sezgin, D.; Emiroglu, S.; Dulgeroglu, O.; Yilmaz, R.; Tukenmez, M.; Arikan, A.E.; Kara, H.; et al. Local steroid injection in severe idiopathic granulomatous mastitis as a new first-line treatment modality with promising therapeutic efficacy. Front. Med. 2023, 10, 1251851. [Google Scholar] [CrossRef]
- Haddad, M.; Sheybani, F.; Arian, M.; Gharib, M. Methotrexate-based regimen as initial treatment of patients with idiopathic granulomatous mastitis. Breast J. 2020, 26, 325–327. [Google Scholar] [CrossRef]
- Papila Kundaktepe, B.; Velidedeoğlu, M.; Mete, B. The effect of methotrexate monotherapy on treatment-resistant idiopathic granulomatous mastitis patients. Surgeon 2022, 20, e13–e19. [Google Scholar] [CrossRef] [PubMed]
- Kafadar, M.T.; Bahadır, M.V.; Girgin, S. Low-Dose Methotrexate Use in Idiopathic Granulomatous Mastitis: An Alternative Treatment Method. Breast Care 2021, 16, 402–407. [Google Scholar] [CrossRef]
- Shojaeian, F.; Haghighat, S.; Abbasvandi, F.; Houshdar Tehrani, A.; Najar Najafi, N.; Zandi, A.; Olfatbakhsh, A.; Sharifi, M.; Hashemi, E.; Nafissi, N.; et al. Refractory and Recurrent Idiopathic Granulomatous Mastitis Treatment: Adaptive, Randomized Clinical Trial. J. Am. Coll. Surg. 2024, 238, 1153–1165. [Google Scholar] [CrossRef]
- Tekgöz, E.; Çolak, S.; Çinar, M.; Yilmaz, S. Treatment of idiopathic granulomatous mastitis and factors related with disease recurrence. Turk. J. Med. Sci. 2020, 50, 1380–1386. [Google Scholar] [CrossRef]
- Konan, A.; Kalyoncu, U.; Dogan, I.; Kiliç, Y.A.; Karakoç, D.; Akdogan, A.; Kiraz, S.; Kaynaro Lu, V.; Onat, D. Combined long-term steroid and immunosuppressive treatment regimen in granulomatous mastitis. Breast Care 2012, 7, 297–301. [Google Scholar] [CrossRef]
- Hudson-Phillips, S.P.; Beynon, V.; Houston, A.; Cosgrove, C.; Ho-Yen, C.M.; Patel, K.; Tang, S. Idiopathic granulomatous mastitis in pregnancy: A case report on a new management approach using azathioprine and allopurinol. AME Surg. J. 2023, 3. [Google Scholar] [CrossRef]
- Neel, A.; Hello, M.; Cottereau, A.; Graveleau, J.; De Faucal, P.; Costedoat-Chalumeau, N.; Rondeau-Lutz, M.; Lavigne, C.; Chiche, L.; Hachulla, E.; et al. Long-term outcome in idiopathic granulomatous mastitis: A western multicentre study. QJM 2013, 106, 433–441. [Google Scholar] [CrossRef] [PubMed]
- Alipour, S.; Gholami, B.; Orouji, M.; Heydari, S. Imiquimod as a new treatment in refractory idiopathic granulomatous mastitis: Report of two cases. Daru 2024, 32, 443–447. [Google Scholar] [CrossRef] [PubMed]
- Akcan, A.; Oz, A.B.; Dogan, S.; Akgun, H.; Akyuz, M.; Ok, E.; Gok, M.; Talih, T. Idiopathic Granulomatous Mastitis: Comparison of Wide Local Excision with or without Corticosteroid Therapy. Breast Care 2014, 9, 111–115. [Google Scholar] [CrossRef] [PubMed]
- Yau, F.M.; Macadam, S.A.; Kuusk, U.; Nimmo, M.; Van Laeken, N. The Surgical Management of Granulomatous Mastitis. Ann. Plast. Surg. 2010, 64, 9–16. [Google Scholar] [CrossRef] [PubMed]
- Lei, X.; Chen, K.; Zhu, L.; Song, E.; Su, F.; Li, S. Treatments for Idiopathic Granulomatous Mastitis: Systematic Review and Meta-Analysis. Breastfeed. Med. 2017, 12, 415–421. [Google Scholar] [CrossRef]
- Zhou, F.; Liu, L.; Liu, L.; Yu, L.; Wang, F.; Xiang, Y.; Zheng, C.; Huang, S.; Cai, H.; Yu, Z. Comparison of Conservative versus Surgical Treatment Protocols in Treating Idiopathic Granulomatous Mastitis: A Meta-Analysis. Breast Care 2020, 15, 415–420. [Google Scholar] [CrossRef]
- Ma, X.; Min, X.; Yao, C. Different Treatments for Granulomatous Lobular Mastitis: A Systematic Review and Meta-Analysis. Breast Care 2020, 15, 60–66. [Google Scholar] [CrossRef]



| Granulomatous Lesion/Condition | Key Histological Characteristics |
|---|---|
| Tuberculosis | Necrotizing (caseating) granulomas composed of epithelioid histiocytes surrounding a central necrotic zone |
| Other mycobacterial, fungal, and parasitic infections | Granulomas similar to those seen in comparable infections in other sites may be necrotizing or non-necrotizing |
| Sarcoidosis | Non-necrotizing (non-caseating) granulomas in inter- and intralobular stroma |
| Mammary duct ectasia | Periductal granulomas; may have xanthogranulomatous features |
| Reaction to foreign body | Foreign body-type granulomas; foreign body-type giant cells; foreign material |
| Cystic neutrophilic granulomatous mastitis | Lobulocentric granulomas often contain cystic spaces surrounded by neutrophils; some cystic spaces contain Gram-positive bacteria |
| Idiopathic granulomatous mastitis | Non-necrotizing lobulocentric granulomas often contain neutrophils |
| Study | Patient Number | Study Origin/Patient Ethnicity | Exclusion Workflow for IGM | Clinical Symptoms N (%) | Biopsy Method n (%) | Primary Treatment Management n (%)/Resolution Rates if Reported | Median Follow-Up in Months (Range) | Relapse n (%) |
|---|---|---|---|---|---|---|---|---|
| Gurleyik et al., 2012 [27], retrospective, monocentric | 19 | Turkey | Microbiological staining (Gram, PAS, Ziehl-Neelsen) | Palpable mass 15 (79) Painful swelling 6 (31.6) Abscess 3 (15.8) Ulcers 3 (15.8) Sinus formation 3 (15.8) Axillary LAP 2 (10.5) Nipple retraction 1 (5.3) | FNA/CNB 16 (84) Excision 3 (16) | Surgical excision + steroids 19 (100) | 20 (6–75) | |
| Oran et al., 2013 [25], retrospective, multicentric | 46 | Turkey | CXR • PPD • microbiological staining (Gram, PAS, Ziehl-Neelsen) | Painful mass 39 (85) abscess 11 (24) Axillary LAP 10 (22) Sinus formation 6 (13) Hyperemia and breast tenderness 2 (4) | CNB 46 (100) | Surgical excision 18 (39) Steroids 25 (54) Surgical excision + steroids 3 (6) ABS 19 (41) | 35.4 (3–135) | 8 (17) |
| Pandey et al., 2014 [11], observational, prospective cohort study | 49 | USA =/ Hispanic 39 (80%) African-American 7 = (14%) Other 3 (6%) | CXR • PPD • microbiological smears • Gram stain • cultures for bacteria, fungus, and AFB | Painful breast mass with overlying erythema 39 (80) Painless breast mass 8 (16) Purulent drainage 1 (2) None; image detected 1 (2) | FNA/CNB | Steroids 44 (90) Observation only 3 (6) Surgical excision 2 (4) Final outcome with steroids: Initial response within 2 weeks 44 (100) Complete resolution 35 (80) Lost to follow-up 6 (13) No resolution 3 (7) Resolved with steroids + surgical excision 1 (12) Still receiving steroids 2 (5) | (6–12) | 10 (23) |
| Sheybani et al., 2015 [47], retrospective, monocentric | 22 | Iran | CXR • PPD • microbiological staining and culture of the affected tissues • PCR for mycobacterium tuberculosis | Painful mass 22 (100) Inflammatory skin changes 15 (68.1) Draining sinus(es) 7 (31.8) Axillary LAP 7 (31.8) Nipple retraction 4 (18.1) Nipple discharge 1 (4.5) | Excision or incision 15 (68.2) CNB 8 (36.3) | Steroids 1 15 (68) Steroids + MTX 6 (27.3) MTX alone 1 (4.5) | 11.9 +/−4.4 (6–22). | 3 (13.6) |
| Aghajanzadeh et al., 2015 [4], retrospective, multicentric | 206 | Iran | Specific stains (Kinyoun AFB, Gomori methenamine silver, and Gram) • microbiological cultures • immunohistochemistry for bacteria and AFB | Mass 181 (88) Axillary LAP 56 (28) Abscess 38 (18) Mass and ulcers 33 (16) Draining sinus 29 (14) Painful mass with inflammation 25 (12) Mass and nipple discharge 25 (12) | Incision + drainage 38 (18) FNA 33 (16) CNB 92 (45) Excision 43 (21) | ABS 206 (100) Successful 6 Unsuccessful 200 Steroids 200 (97) Successful 144 Unsuccessful 56 Steroids + MTX 56 (27) Successful 40 Unsuccessful 16 Steroids + bromocriptine 16 (8) Successful 5 Unsuccessful 11 Surgery + steroids + ABS 11 (5) Successful 11 | (9–18) | 11 (5) |
| Freeman et al., 2017 [9], retrospective, monocentric | 14 | USA/ White 7% Asian 7% Hispanic 36% African American 50% | CXR • Microbiological cultures 71% • Mycobacterial cultures 50% • AFB staining 50% | Mass 14 (100) Pain or tenderness 11 (79) Erythema 7 (50) Swelling 4 (29) | CNB 11 (79) Excision 3 (21%) | ABS alone 1 (7) Steroids alone 0 NSAIDs alone 1 (7) ABS + steroids + MTX 1 (7) Surgery alone 4 (29) Steroids + surgery 1 (7) ABS + surgery 5 (36) ABS + steroids + MTX + surgery 1 (7) | n.r. | n.r. |
| Prasad et al., 2017 [7], retrospective, monocentric | 73 | India | Gram staining • bacterial culture • Ziehl-Neelsen staining | Painless mass (61.64) Abscess (38.36) | CNB or Excision | Surgical excision 33 (45) Incision and drainage 26 (36) Expectant approach 13 Steroids 1 (5) | n.r. | 12 (16) |
| Uysal et al., 2017 [24], retrospective, multicentric | 720 | Turkey | No history of pulmonary TB• no evidence of histologically tuberculous mastitis • negative staining with Ziehl–Neelsen or AFB • negative tissue cultures and CXR findings consistent | Palpable mass 538 (75) Abscess 302 (42) Fistula 215 (42) Axillary LAP 50 (7) | CNB 437 (62) Post-operative pathology 142 (20) Excision 52 (7) Incision 48 (7) FNA 30 (4) | Only medical 258 (36) Surgery then medical 234 (33) Medical then surgery 164 (23) Only surgery 60 (8) Medical treatment: ABS 240 (37) Steroids 253 (39) Steroids + ABS 87 (13) Others 57 (9) Antituberculosis therapy 12 (2) MTX 5 (1) Surgical treatment: Wide local excision 323 (69) Only abscess drainage 137 (29) Mastectomy 6 (1.3) | 16 (8–33) | 122 (17) |
| Azizi et al., 2019 [5], retrospective, multicentric | 474 | Iran | Staining for fungal and AFB infections | Pain 330 (69.8) Palpable mass 329 (69.4) Inflammation 186 (39.2) Skin lesion 92 (19.4) Nipple retraction 84 (17.7) Nipple discharge 74 (15.6) Arthralgia 22 (4.6) | n.r. | Medical only 173 (36.5) Medical + surgical 163 (34.3) Surgical only 66 (13.9) No treatment (self-limited) 72 (15.1) Medication regimen: ABS 238 (50.2) Steroids 236 (49.7) Immunosuppressants 190 (40.0) | n.r. | 118 (24.8) |
| Yaghan et al., 2020 [49], retrospective, monocentric | 44 | Jordan | Staining for fungal and AFB infections | Mass 44 (100) Pain 38 (86.4) Abscess-like presentation 16 (36.4) Axillary LAP 13 (29.6) Nipple retraction 3 (6.8) Ulcer, sinus, or fistula formation 3 (6.8) | CNB 42 (95.5) Excision 2 (4.5) | Surgical excision 42 (95.5) Mastectomy 1 (2.3) Steroids 2 19 (43.2) | n.r. | 14 (32) |
| Al Awfi et al., 2023 [6], retrospective, monocentric | 64 | Oman | Exclusion of TB and fungal infections (exact workflow not reported) positive bacterial culture at the first diagnosis in 5 patients (10.9%) | Mastitis 46 (71.9) Mass 44 (68.8) Abscess 29 (45.3) | CNB 25 (39.1) Excision 39 (60.9) | Medical treatment: ABS 60 (93.8) Steroids 10 (15.6) Surgical treatment: Drainage 46 (73) Excision 24 (38.7) Outcome: Lost to follow up 22 (34.4) Complete resolution 22 (34.4), Partial resolution 10 (15.6), IGM persistence 10 (15.6) | 6 months | n.r. |
| Study | Number of Patients 1 | Administrated Regimen | Duration | Resolution Rate n (%) |
|---|---|---|---|---|
| Erozgen et al., 2010 [63] | 25 | Prednisolone 16 mg 1-0-1 for 2 weeks, subsequently slow tapering 2 | 2 months | n.r. |
| Gurleyik et al., 2012 [27] | 19 | Prednisolone 0.8 mg/kg/day for 1 week, subsequently weekly tapering by 0.2 mg/kg | 8 weeks | Partial response 3 19 (100) |
| Oran et al., 2013 [25] | 25 | Prednisolone 16 mg 1-0-1 for 2 weeks, subsequently slow tapering for 6 weeks | 8 weeks | 22 (93) |
| Pandey et al., 2014 [11] | 44 | Prednisone 40 mg/day for 2–4 weeks, subsequently tapering by 5–10 mg every 2–4 weeks | up to ≥ 360 days 4 | 35 (80) |
| Aghajanzadeh et al., 2015 [4] | 200 | Prednisolone 10–20 mg 1-1-1 subsequently slow tapering along with clinical improvement | 2–6 months | 144 (72) |
| Sheybani et al., 2015 [47] | 15 | Prednisone 0.5–1.0 mg/kg/day for 3–4 weeks, then slow tapering along with clinical improvement | n.r. | 10 (66) |
| Yabanoglu et al., 2015 [62] | 44 | Prednisolone 0.8 mg/kg/day during the first week and 0.1 mg/kg/day thereafter. | n.r. | n.r. |
| Inclusion Criteria | Exclusion Criteria |
|---|---|
|
|
Disclaimer/Publisher’s Note: The statements, opinions and data contained in all publications are solely those of the individual author(s) and contributor(s) and not of MDPI and/or the editor(s). MDPI and/or the editor(s) disclaim responsibility for any injury to people or property resulting from any ideas, methods, instructions or products referred to in the content. |
© 2024 by the authors. Licensee MDPI, Basel, Switzerland. This article is an open access article distributed under the terms and conditions of the Creative Commons Attribution (CC BY) license (https://creativecommons.org/licenses/by/4.0/).
Share and Cite
Krawczyk, N.; Kühn, T.; Ditsch, N.; Hartmann, S.; Gentilini, O.D.; Lebeau, A.; de Boniface, J.; Hahn, M.; Çakmak, G.K.; Alipour, S.; et al. Idiopathic Granulomatous Mastitis as a Benign Condition Mimicking Inflammatory Breast Cancer: Current Status, Knowledge Gaps and Rationale for the GRAMAREG Study (EUBREAST-15). Cancers 2024, 16, 3387. https://doi.org/10.3390/cancers16193387
Krawczyk N, Kühn T, Ditsch N, Hartmann S, Gentilini OD, Lebeau A, de Boniface J, Hahn M, Çakmak GK, Alipour S, et al. Idiopathic Granulomatous Mastitis as a Benign Condition Mimicking Inflammatory Breast Cancer: Current Status, Knowledge Gaps and Rationale for the GRAMAREG Study (EUBREAST-15). Cancers. 2024; 16(19):3387. https://doi.org/10.3390/cancers16193387
Chicago/Turabian StyleKrawczyk, Natalia, Thorsten Kühn, Nina Ditsch, Steffi Hartmann, Oreste Davide Gentilini, Annette Lebeau, Jana de Boniface, Markus Hahn, Güldeniz Karadeniz Çakmak, Sadaf Alipour, and et al. 2024. "Idiopathic Granulomatous Mastitis as a Benign Condition Mimicking Inflammatory Breast Cancer: Current Status, Knowledge Gaps and Rationale for the GRAMAREG Study (EUBREAST-15)" Cancers 16, no. 19: 3387. https://doi.org/10.3390/cancers16193387
APA StyleKrawczyk, N., Kühn, T., Ditsch, N., Hartmann, S., Gentilini, O. D., Lebeau, A., de Boniface, J., Hahn, M., Çakmak, G. K., Alipour, S., Bjelic-Radisic, V., Kolberg, H.-C., Reimer, T., Gasparri, M. L., Tauber, N., Neubacher, M., & Banys-Paluchowski, M. (2024). Idiopathic Granulomatous Mastitis as a Benign Condition Mimicking Inflammatory Breast Cancer: Current Status, Knowledge Gaps and Rationale for the GRAMAREG Study (EUBREAST-15). Cancers, 16(19), 3387. https://doi.org/10.3390/cancers16193387

