The Washout of Hepatocellular Carcinoma at Portal Venous Phase vs. Equilibrium Phase: Radiological and Clinicopathological Implication
Abstract
Simple Summary
Abstract
1. Introduction
2. Washout at the Portal Venous Phase
2.1. Washout at the PVP of CT or ECCM-MRI
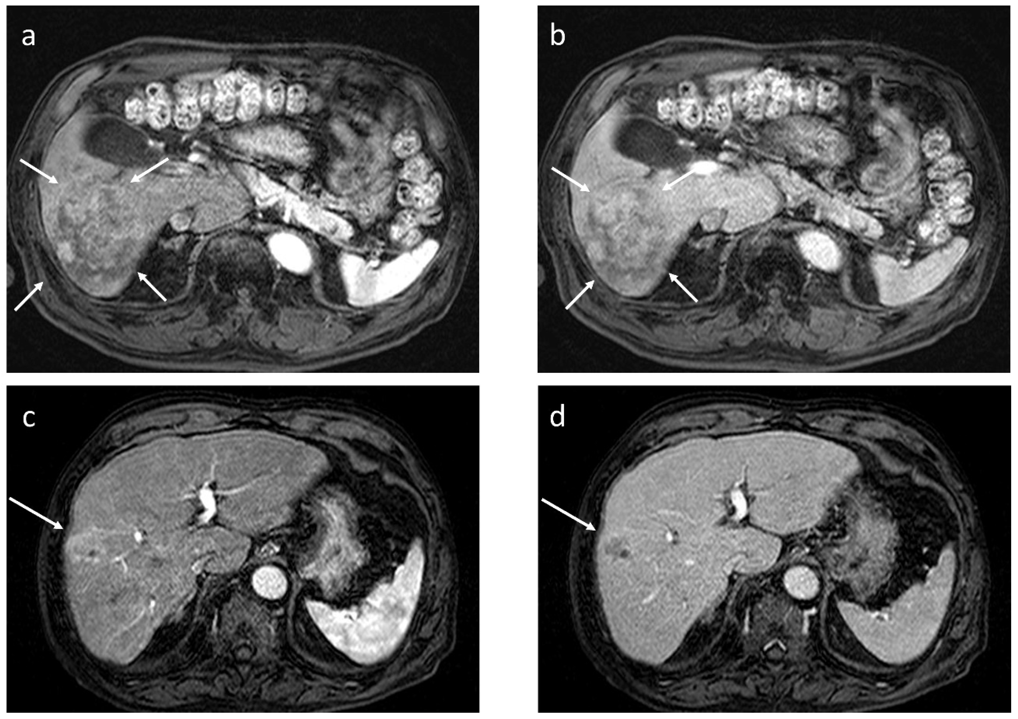
2.2. Washout at the PVP of Gadoxetate-Enhanced MRI (EOB-MRI)
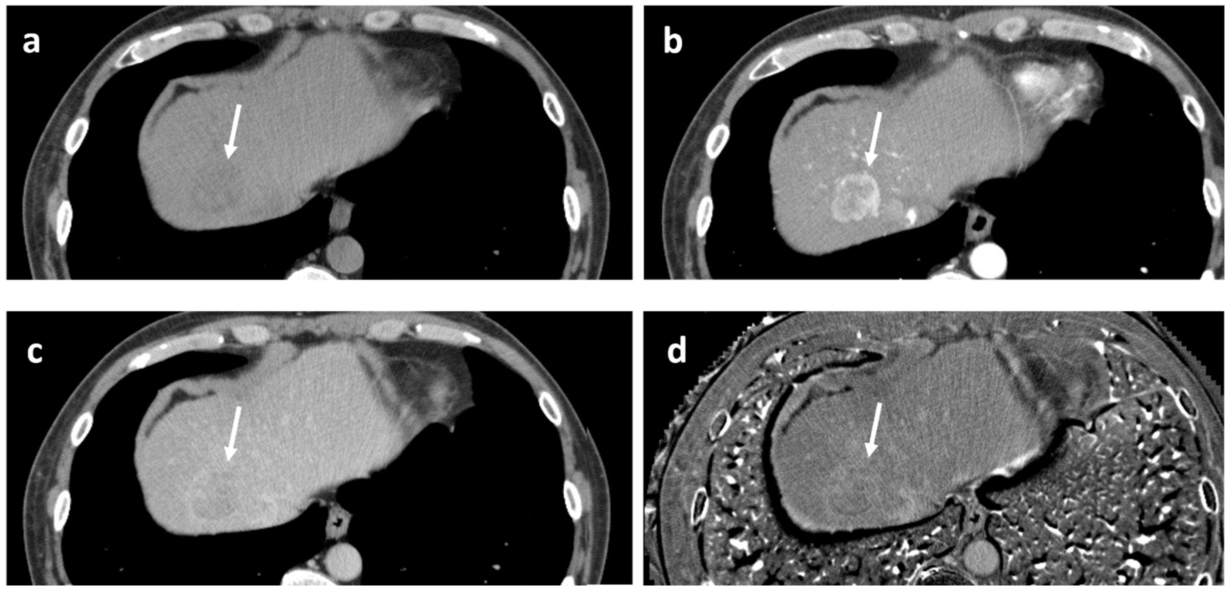
2.3. Washout at the Equilibrium Phase of CT
3. Discussion and Summary
4. Conclusions
Author Contributions
Funding
Conflicts of Interest
References
- LI-RADS®. Available online: https://www.acr.org/Clinical-Resources/Clinical-Tools-and-Reference/Reporting-and-Data-Systems/LI-RADS (accessed on 8 September 2025).
- Matsui, O.; Kobayashi, S.; Sanada, J.; Kouda, W.; Ryu, Y.; Kozaka, K.; Kitao, A.; Nakamura, K.; Gabata, T. Hepatocellular nodules in liver cirrhosis: Hemodynamic evaluation (angiography-assisted CT) with special reference to multi-step hepatocarcinogenesis. Abdom. Imaging 2011, 36, 264–272. [Google Scholar] [CrossRef]
- Ueda, K.; Terada, T.; Nakanuma, Y.; Matsui, O. Vascular supply in adenomatous hyperplasia of the liver and hepatocellular carcinoma: A morphometric study. Hum. Pathol. 1992, 23, 619–626. [Google Scholar] [CrossRef]
- Ueda, K.; Matsui, O.; Kawamori, Y.; Nakanuma, Y.; Kadoya, M.; Yoshikawa, J.; Gabata, T.; Nonomura, A.; Takashima, T. Hypervascular hepatocellular carcinoma: Evaluation of hemodynamics with dynamic CT during hepatic arteriography. Radiology 1998, 206, 161–166. [Google Scholar] [CrossRef]
- Hayashi, M.; Matsui, O.; Ueda, K.; Kawamori, Y.; Kadoya, M.; Yoshikawa, J.; Gabata, T.; Takashima, T.; Nonomura, A.; Nakanuma, Y. Correlation between the blood supply and grade of malignancy of hepatocellular nodules associated with liver cirrhosis: Evaluation by CT during intraarterial injection of contrast medium. AJR Am. J. Roentgenol. 1999, 172, 969–976. [Google Scholar]
- Hayashi, M.; Matsui, O.; Ueda, K.; Kawamori, Y.; Gabata, T.; Kadoya, M. Progression to hypervascular hepatocellular carcinoma: Correlation with intrnodular blood supply evaluated with CT during intraarterial injection of contrast material. Radiology 2002, 225, 143–149. [Google Scholar] [CrossRef]
- Matsui, O. Imaging of multistep human hepatocarcinogenesis by CT during intra-arterial contrast injection. Intervirology 2004, 47, 271–276. [Google Scholar] [CrossRef]
- Asayama, Y.; Yoshimitsu, K.; Nishihara, Y.; Irie, H.; Aishima, S.; Taketomi, A.; Honda, H. Arterial blood supply of hepatocellular carcinoma and histologic grading: Radiologic-pathologic correlation. AJR Am. J. Roentgenol. 2008, 190, W28–W34. [Google Scholar]
- Kitao, A.; Zen, Y.; Matsui, O.; Gabata, T.; Nakanuma, Y. Hepatocarcinogenesis: Multistep Changes Of Drainage Vessels At Ct During Arterial Portography And Hepatic Arteriography—Radiologic-Pathologic Correlation. Radiology 2009, 252, 605–614. [Google Scholar]
- Tanaka, H.; Iijima, H.; Higashiura, A.; Yoh, K.; Ishii, A.; Takashima, T.; Sakai, Y.; Aizawa, N.; Iwata, K.; Ikeda, N.; et al. New malignant grading system for hepatocellular carcinoma using the Sonazoid contrast agent for ultrasonography. J. Gastroenterol. 2014, 49, 755–763. [Google Scholar]
- Yang, D.; Li, R.; Zhang, X.-H.; Tang, C.-L.; Ma, K.-S.; Guo, D.-Y.; Yan, X.-C. Perfusion Characteristics of Hepatocellular Carcinoma at Contrast-enhanced Ultrasound: Influence of the Cellular differentiation, the Tumor Size and the Underlying Hepatic Condition. Sci. Rep. 2018, 8, 4713. [Google Scholar] [CrossRef]
- Yoshimitsu, K. Transarterial chemoembolization using iodized oil for unresectable hepatocellular carcinoma: Perspective from multistep hepatocarcinogenesis. Hepatic Med. Evid. Res. 2014, 6, 89–94. [Google Scholar] [CrossRef]
- Ueda, K.; Matsui, O.; Kitao, A.; Kobayashi, S.; Nakayama, J.; Miyagawa, S.; Kadoya, M. Tumor Hemodynamics and Hepatocarcinogenesis: Radio-Pathological Correlations and Outcomes of Carcinogenic Hepatocyte Nodules. ISRN Hepatol. 2014, 2014, 607628. [Google Scholar] [CrossRef] [PubMed]
- Narsinh, K.H.; Cui, J.; Papadatos, D.; Sirlin, C.B.; Santillan, C.S. Hepatocarcinogenesis and LI-RADS. Abdom. Radiol. 2018, 43, 158–168. [Google Scholar] [CrossRef] [PubMed]
- Muraoka, M.; Maekawa, S.; Suzuki, Y.; Sato, M.; Tatsumi, A.; Matsuda, S.; Miura, M.; Nakakuki, N.; Shindo, H.; Amemiya, F.; et al. Cancer-related genetic changes in multistep hepatocarcinogenesis and their correlation with imaging and histological findings. Hepatol. Res. 2020, 50, 1071–1082. [Google Scholar] [CrossRef] [PubMed]
- Takeda, H.; Takai, A.; Eso, Y.; Takahashi, K.; Marusawa, H.; Seno, H. Genetic Landscape of Multistep Hepatocarcinogenesis. Cancers 2022, 14, 568. [Google Scholar] [CrossRef]
- Chartampilas, E.; Rafailidis, V.; Georgopoulou, V.; Kalarakis, G.; Hatzidakis, A.; Prassopoulos, P. Current Imaging Diagnosis of Hepatocellular Carcinoma. Cancers 2022, 14, 3997. [Google Scholar] [CrossRef]
- Candita, G.; Rossi, S.; Cwiklinska, K.; Fanni, S.C.; Cioni, D.; Lencioni, R.; Neri, E. Imaging Diagnosis of Hepatocellular Carcinoma: A State-of-the-Art Review. Diagnostics 2023, 13, 625. [Google Scholar] [CrossRef]
- Okamoto, D.; Yoshimitsu, K.; Nishie, A.; Tajima, T.; Asayama, Y.; Ishigami, K.; Hirakawa, M.; Ushijima, Y.; Kakihara, D.; Nakayama, T.; et al. Enhancement pattern analysis of hypervascular hepatocellular carcinoma on dynamic MR imaging with histopathological correlation: Validity of portal phase imaging for predicting tumor grade. Eur. J. Radiol. 2012, 81, 1116–1121. [Google Scholar] [CrossRef]
- Nishie, A.; Yoshimitsu, K.; Okamoto, D.; Tajima, T.; Asayama, Y.; Ishigami, K.; Kakihara, D.; Nakayama, T.; Takayama, Y.; Shirabe, K.; et al. CT prediction of histological grade of hypervasuclar hepatocellular carcinoma: Utility of portal venous phase. Jpn. J. Radiol. 2013, 31, 89–98. [Google Scholar] [CrossRef]
- Yoon, S.H.; Lee, J.M.; So, Y.H.; Hong, S.H.; Kim, S.J.; Han, J.K.; Choi, B.I. Multiphasic MDCT Enhancement Pattern of Hepatocellular Carcinoma Smaller than 3 cm in Diameter: Tumor Size and Cellular Differentiation. Am. J. Roentgenol. 2009, 193, W482–W489. [Google Scholar] [CrossRef]
- Lee, J.H.; Lee, J.M.; Kim, S.J.; Baek, J.H.; Yun, S.H.; Kim, K.W.; Han, J.K.; Choi, B.I. Enhancement pattern of hepatocellular carcinomas on multiphasic multidetector row CT: Comparison with pathological differentiation. Br. J. Radiol. 2012, 85, e573–e583. [Google Scholar] [CrossRef]
- Nakachi, K.; Tamai, H.; Mori, Y.; Shingaki, N.; Moribata, K.; Deguchi, H.; Ueda, K.; Inoue, I.; Maekita, T.; Iguchi, M.; et al. Prediction of poorly differentiated hepatocellular carcinoma using contrast computed tomography. Cancer Imaging 2014, 14, 7–12. [Google Scholar] [CrossRef] [PubMed]
- Sakamoto, K.; Tanaka, S.; Sato, K.; Ito, E.; Nishiyama, M.; Urakawa, H.; Arima, H.; Yoshimitsu, K. What is the “washout” of hepatocellular carcinoma as observed on the equilibrium phase CT?: Consideration based on the concept of extracellular volume fraction. Jpn. J. Radiol. 2022, 40, 1148–1155. [Google Scholar] [CrossRef] [PubMed]
- Ringe, K.I.; Husarik, D.B.; Sirlin, C.B.; Merkle, E.M. Gadoxetate disodium-enhanced MRI of the liver: Part I, protocol optimization and lesion appearance in the noncirrhotic liver. Am. J. Roentgenol. 2010, 195, 13–28. [Google Scholar] [CrossRef] [PubMed]
- Fujita, N.; Ushijima, Y.; Ishimatsu, K.; Okamoto, D.; Wada, N.; Takao, S.; Murayama, R.; Itoyama, M.; Harada, N.; Maehara, J.; et al. Multiparametric assessment of microvascular invasion in hepatocellular carcinoma using gadoxetic acid-enhanced MRI. Abdom. Radiol. 2024, 49, 1467–1478. [Google Scholar] [CrossRef]
- Tomino, T.; Itoh, S.; Okamoto, D.; Yoshiya, S.; Nagao, Y.; Harada, N.; Fujita, N.; Ushijima, Y.; Ishigami, K.; Yoshizumi, T. Impact of Portal Venous signal intensity of dynamic gadoxetatic acid-enhanced magnetic resonance imaging in hepatocellular carcinoma. J. Hepatobiliary Pancreat. Sci. 2023, 30, 1089–1097. [Google Scholar] [CrossRef]
- Tomino, T.; Itoh, S.; Fujita, N.; Okamoto, D.; Nakayama, Y.; Toshida, K.; Tomiyama, T.; Tsutsui, Y.; Kosai, Y.; Kurihara, T.; et al. Clinical association between intraoperative indocyanine green fluorescence imaging pattern, preoperative Gd-EOB-DTPA-enhanced magnetic resonance imaging findings, and histological differentiation in hepatocellular carcinoma. Hepatol. Res. 2023, 53, 723–736. [Google Scholar] [CrossRef]
- Varenika, V.; Fu, Y.; Maher, J.J.; Gao, D.; Kakar, S.; Cabarrus, M.C.; Yeh, B.M. Hepatic fibrosis: Evaluation with semiquantitative contrast-enhanced CT. Radiology 2013, 266, 151–158. [Google Scholar] [CrossRef]
- Zissen, M.H.; Wang, Z.J.; Yee, J.; Aslam, R.; Monto, A.; Yeh, B.M. Contrast-enhanced CT quantification of the hepatic fractional extracellular space: Correlation with diffuse liver disease severity. Am. J. Roentgenol. 2013, 201, 1204–1210. [Google Scholar] [CrossRef]
- Bandula, S.; Punwani, S.; Rosenberg, W.M.; Jalan, R.; Hall, A.R.; Dhillon, A.; Moon, J.C.; Taylor, S.A. Equilibrium contrast-enhanced CT imaging to evaluate hepatic fibrosis: Initial validation by comparison with histopathologic analysis. Radiology 2015, 275, 136–143. [Google Scholar] [CrossRef]
- Yoon, J.H.; Lee, J.M.; Klotz, E.; Jeon, J.H.; Lee, K.-B.; Han, J.K.; Choi, B.I. Estimation of hepatic extracellular volume fraction using multiphasic liver computed tomography for hepatic fibrosis grading. Investig. Radiol. 2015, 50, 290–296. [Google Scholar] [CrossRef]
- Guo, S.; Su, L.; Zhai, Y.; Chirume, W.; Lei, J.; Zhang, H.; Yang, L.; Shen, X.; Wen, X.; Guo, Y. The clinical value of hepatic extracellular volume fraction using routine multiphasic contrast-enhanced liver CT for staging liver fibrosis. Clin. Radiol. 2017, 72, 242–246. [Google Scholar] [CrossRef]
- Shinagawa, Y.; Sakamoto, K.; Sato, K.; Ito, E.; Urakawa, H.; Yoshimitsu, K. Usefulness of new subtraction algorithm in estimating degree of liver fibrosis by calculating extracellular volume fraction obtained from routine liver CT protocol equilibrium phase data: Preliminary experience. Eur. J. Radiol. 2018, 103, 99–104. [Google Scholar] [CrossRef]
- Ito, E.; Sato, K.; Yamamoto, R.; Sakamoto, K.; Urakawa, H.; Yoshimitsu, K. Usefulness of iodine-blood material density images in estimating degree of liver fibrosis by calculating extracellular volume fraction obtained from routine dual-energy liver CT protocol equilibrium phase data: Preliminary experience. Jpn. J. Radiol. 2020, 38, 365–373. [Google Scholar] [CrossRef]
- Nagayama, Y.; Kato, Y.; Inoue, T.; Nakaura, T.; Oda, S.; Kidoh, M.; Ikeda, O.; Hirai, T. Liver fibrosis assessment with multiphasic dual-energy CT: Diagnostic performance of iodine uptake parameters. Eur. Radiol. 2021, 31, 5779–5790. [Google Scholar]
- Yoon, J.H.; Lee, J.M.; Kim, J.H.; Lee, K.-B.; Kim, H.; Hong, S.K.; Yi, N.-J.; Lee, K.-W.; Suh, K.-S. Hepatic fibrosis grading with extracellular volume fraction from iodine mapping in spectral liver CT. Eur. J. Radiol. 2021, 137, 109604. [Google Scholar] [CrossRef] [PubMed]
- Morita, K.; Nishie, A.; Ushijima, Y.; Takayama, Y.; Fujita, N.; Kubo, Y.; Ishimatsu, K.; Yoshizumi, T.; Maehara, J.; Ishigami, K. Noninvasive assessment of liver fibrosis by dual-layer spectral detector CT. Eur. J. Radiol. 2021, 136, 109575. [Google Scholar] [CrossRef] [PubMed]
- Wada, N.; Fujita, N.; Ishimatsu, K.; Takao, S.; Yoshizumi, T.; Miyazaki, Y.; Oda, Y.; Nishie, A.; Ishigami, K.; Ushijima, Y. A novel fast kilovoltage switching dual-energy computed tomography technique with deep learning: Utility for non-invasive assessments of liver fibrosis. Eur. J. Radiol. 2022, 155, 110461. [Google Scholar] [CrossRef]
- Yano, K.; Onishi, H.; Tsuboyama, T.; Nakamoto, A.; Ota, T.; Fukui, H.; Tatsumi, M.; Tanigaki, T.; Gotoh, K.; Kobayashi, S.; et al. Noninvasive Liver Fibrosis Staging: Comparison of MR Elastography with Extracellular Volume Fraction Analysis Using Contrast-Enhanced CT. J. Clin. Med. 2022, 11, 5653. [Google Scholar] [CrossRef]
- Tago, K.; Tsukada, J.; Sudo, N.; Shibutani, K.; Okada, M.; Abe, H.; Ibukuro, K.; Higaki, T.; Takayama, T. Comparison between CT volumetry and extracellular volume fraction using liver dynamic CT for the predictive ability of liver fibrosis in patients with hepatocellular carcinoma. Eur. Radiol. 2022, 32, 7555–7565. [Google Scholar] [CrossRef]
- Xu, Y.; Li, Y.; Li, S.; Xue, S.; Liu, J. Dual-energy CT quantification of extracellular liver volume predicts short-term disease progression in patients with hepatitis B liver cirrhosis-acute decompensation. Insights Imaging 2023, 14, 51. [Google Scholar] [CrossRef] [PubMed]
- Zheng, T.; Qu, Y.; Chen, J.; Yang, J.; Yan, H.; Jiang, H.; Song, B. Noninvasive diagnosis of liver cirrhosis: Qualitative and quantitative imaging biomarkers. Abdom. Radiol. 2024, 49, 2098–2115. [Google Scholar] [CrossRef] [PubMed]
- Salahshour, F.; Abkhoo, A.; Sadeghian, S.; Safaei, M. Reliability assessment of CT enhancement rate and extracellular volume in liver fibrosis prediction. BMC Gastroenterol. 2025, 25, 101. [Google Scholar] [CrossRef] [PubMed]
- Zhang, H.; Hao, E.; Xia, D.; Ma, M.; Wu, J.; Liu, T.; Gao, M.; Wu, X. Estimating liver cirrhosis severity with extracellular volume fraction by spectral CT. Sci. Rep. 2025, 15, 18343. [Google Scholar] [CrossRef]
- Hisatomi, E.; Tanaka, S.; Sato, K.; Goto, N.; Murayama, R.; Arima, H.; Takayama, Y.; Yoshimitsu, K. Heterogeneous development of liver fibrosis in chronic hepatitis C patients; assessment by extracellular volume fraction map generated from routine clinical CT data. Eur. J. Radiol. 2025, 182, 111845. [Google Scholar] [CrossRef]
- Sato, K.; Hisatomi, E.; Tanaka, S.; Goto, N.; Murayama, R.; Takayama, Y.; Yoshimitsu, K. Chronological change of gallbladder fossa nodularity in the liver as observed in patients with alcoholic liver disease: Cross-sectional and longitudinal observation. Jpn. J. Radiol. 2025, 43, 967–976. [Google Scholar] [CrossRef]
- Maehara, J.; Masugi, Y.; Abe, T.; Tsujikawa, H.; Kurebayashi, Y.; Ueno, A.; Ojima, H.; Okuda, S.; Jinzaki, M.; Shinoda, M.; et al. Quantification of intratumoral collagen and elastin fibers within hepatocellular carcinoma tissues finds correlations with clinico-patho-radiological features. Hepatol. Res. 2020, 50, 607–619. [Google Scholar] [CrossRef]
- Roy, A.M.; Iyer, R.; Chakraborty, S. The extracellular matrix in hepatocellular carcinoma: Mechanisms and therapeutic vulnerability. Cell Rep. Med. 2023, 4, 101170. [Google Scholar] [CrossRef]
- Kim, H.; Park, Y.N. Hepatocellular carcinomas expressing ‘stemness’-related markers: Clinicopathological characteristics. Dig. Dis. 2014, 32, 778–785. [Google Scholar] [CrossRef]
- Tsujikawa, H.; Masugi, Y.; Yamazaki, K.; Itano, O.; Kitagawa, Y.; Sakamoto, M. Immunohistochemical molecular analysis indicates hepatocellular carcinoma subgroups that reflect tumor aggressiveness. Hum. Pathol. 2016, 50, 24–33. [Google Scholar] [CrossRef]
- Kurebayashi, Y.; Ojima, H.; Tsujikawa, H.; Kubota, N.; Maehara, J.; Abe, Y.; Kitago, M.; Shinoda, M.; Kitagawa, Y.; Sakamoto, M. Landscape of immune microenvironment in hepatocellular carcinoma and its additional impact on histological and molecular classification. Hepatology 2018, 68, 1025–1041. [Google Scholar] [CrossRef]
- Ueno, A.; Masugi, Y.; Yamazaki, K.; Kurebayashi, Y.; Tsujikawa, H.; Effendi, K.; Ojima, H.; Sakamoto, M. Precision pathology analysis of the development and progression of hepatocellular carcinoma: Implication for precision diagnosis of hepatocellular carcinoma. Pathol. Int. 2020, 70, 140–154. [Google Scholar] [CrossRef]
- Kurebayashi, Y.; Kubota, N.; Sakamoto, M. Immune microenvironment of hepatocellular carcinoma, intrahepatic cholangiocarcinoma and liver metastasis of colorectal adenocarcinoma: Relationship with histopathological and molecular classifications. Hepatol. Res. 2021, 51, 5–18. [Google Scholar] [CrossRef] [PubMed]
- Kurebayashi, Y.; Matsuda, K.; Ueno, A.; Tsujikawa, H.; Yamazaki, K.; Masugi, Y.; Kwa, W.T.; Effendi, K.; Hasegawa, Y.; Yagi, H.; et al. Immunovascular classification of HCC reflects reciprocal interaction between immune and angiogenic tumor microenvironments. Hepatology 2022, 75, 1139–1153. [Google Scholar] [CrossRef] [PubMed]
- Wang, Z.-H.; Song, Z.-Q.; Guo, R.; Song, Q.; Wu, Y.; Liu, Y.; Lei, J.; Ma, J. Prediction of Ki-67 expression in hepatocellular carcinoma with a computed tomography (CT) extracellular volume -derived nomogram. Clin. Radiol. 2025, 88, 106989. [Google Scholar] [CrossRef] [PubMed]
- Li, J.; Zou, L.; Ma, H.; Zhao, J.; Wang, C.; Li, J.; Hu, G.; Yang, H.; Wang, B.; Xu, D.; et al. Interpretable machine learning based on CT-derived extracellular volume fraction to predict pathological grading of hepatocellular carcinoma. Abdom. Radiol. 2024, 49, 3383–3396. [Google Scholar] [CrossRef]
- Deng, J.; Tang, Q.; Wei, Q.; Ruan, F.; Li, X.; Long, L. Preoperative assessment of Ki-67 expression in hepatocellular carcinoma using a multi-parametric spectral CT approach. Quant. Imaging Med. Surg. 2025, 15, 4262–4273. [Google Scholar] [CrossRef]
- Fu, X.; Guo, Y.; Zhang, K.; Cheng, Z.; Liu, C.; Ren, Y.; Miao, L.; Liu, W.; Jiang, S.; Zhou, C.; et al. Prognostic impact of extracellular volume fraction derived from equilibrium contrast-enhanced CT in HCC patients receiving immune checkpoint inhibitors. Sci. Rep. 2025, 15, 13643. [Google Scholar] [CrossRef]
- Chen, Y.; Shi, K.; Li, Z.; Wang, H.; Liu, N.; Zhan, P.; Liu, X.; Shang, B.; Hou, P.; Gao, J.; et al. Survival prediction of hepatocellular carcinoma by measuring the extracellular volume fraction with single-phase contrast-enhanced dual-energy CT imaging. Front. Oncol. 2023, 13, 1199426. [Google Scholar] [CrossRef]
- Hwang, J.A.; Min, J.H.; Kang, T.W.; Jeong, W.K.; Kim, Y.K.; Ko, S.E.; Choi, S.-Y. Assessment of factors affecting washout appearance of hepatocellular carcinoma on CT. Eur. Radiol. 2021, 31, 7760–7770. [Google Scholar] [CrossRef]
- Hanson, G.J.; Michalak, G.J.; Childs, R.; McCollough, B.; Kurup, A.N.; Hough, D.M.; Frye, J.M.; Fidler, J.L.; Venkatesh, S.K.; Leng, S.; et al. Low kV versus dual-energy virtual monoenergetic CT imaging for proven liver lesions: What are the advantages and trade-offs in conspicuity and image quality? A pilot study. Abdom. Radiol. 2018, 43, 1404–1412. [Google Scholar] [CrossRef]
- Kitao, A.; Matsui, O.; Yoneda, N.; Kozaka, K.; Kobayashi, S.; Koda, W.; Gabata, T.; Yamashita, T.; Kaneko, S.; Nakanuma, Y.; et al. Hypervascular hepatocellular carcinoma: Correlation between biologic features and signal intensity on gadoxetic acid-enhanced MR images. Radiology 2012, 265, 780–789. [Google Scholar] [CrossRef]
- Yamashita, T.; Kitao, A.; Matsui, O.; Hayashi, T.; Nio, K.; Kondo, M.; Ohno, N.; Miyati, T.; Okada, H.; Yamashita, T.; et al. Gd-EOB-DTPA-enhanced magnetic resonance imaging and alpha-fetoprotein predict prognosis of early-stage hepatocellular carcinoma. Hepatology 2014, 60, 1674–1685. [Google Scholar] [CrossRef] [PubMed]
- Aoki, T.; Nishida, N.; Ueshima, K.; Morita, M.; Chishina, H.; Takita, M.; Hagiwara, S.; Ida, H.; Minami, Y.; Yamada, A.; et al. Higher Enhancement Intrahepatic Nodules on the Hepatobiliary Phase of Gd-EOB-DTPA-Enhanced MRI as a Poor Responsive Marker of Anti-PD-1/PD-L1 Monotherapy for Unresectable Hepatocellular Carcinoma. Liver Cancer 2021, 10, 615–628. [Google Scholar] [CrossRef] [PubMed]
- Aoki, T.; Nishida, N.; Kudo, M. Clinical Significance of the Duality of Wnt/-Catenin Signaling in Human Hepatocellular Carcinoma. Cancers 2022, 14, 444–458. [Google Scholar] [CrossRef] [PubMed]
- Murai, H.; Kodama, T.; Maesaka, K.; Tange, S.; Motooka, D.; Suzuki, Y.; Shigematsu, Y.; Inamura, K.; Mise, Y.; Saiura, A.; et al. Multiomics identifies the link between intratumor steatosis and the exhausted tumor immune microenvironment in hepatocellular carcinoma. Hepatology 2023, 77, 77–91. [Google Scholar] [CrossRef]







Disclaimer/Publisher’s Note: The statements, opinions and data contained in all publications are solely those of the individual author(s) and contributor(s) and not of MDPI and/or the editor(s). MDPI and/or the editor(s) disclaim responsibility for any injury to people or property resulting from any ideas, methods, instructions or products referred to in the content. |
© 2025 by the authors. Licensee MDPI, Basel, Switzerland. This article is an open access article distributed under the terms and conditions of the Creative Commons Attribution (CC BY) license (https://creativecommons.org/licenses/by/4.0/).
Share and Cite
Yoshimitsu, K.; Nishie, A.; Takayama, Y.; Tanaka, S.; Sato, K.; Ishigami, K. The Washout of Hepatocellular Carcinoma at Portal Venous Phase vs. Equilibrium Phase: Radiological and Clinicopathological Implication. Cancers 2025, 17, 3195. https://doi.org/10.3390/cancers17193195
Yoshimitsu K, Nishie A, Takayama Y, Tanaka S, Sato K, Ishigami K. The Washout of Hepatocellular Carcinoma at Portal Venous Phase vs. Equilibrium Phase: Radiological and Clinicopathological Implication. Cancers. 2025; 17(19):3195. https://doi.org/10.3390/cancers17193195
Chicago/Turabian StyleYoshimitsu, Kengo, Akihiro Nishie, Yukihisa Takayama, Shinji Tanaka, Keisuke Sato, and Kousei Ishigami. 2025. "The Washout of Hepatocellular Carcinoma at Portal Venous Phase vs. Equilibrium Phase: Radiological and Clinicopathological Implication" Cancers 17, no. 19: 3195. https://doi.org/10.3390/cancers17193195
APA StyleYoshimitsu, K., Nishie, A., Takayama, Y., Tanaka, S., Sato, K., & Ishigami, K. (2025). The Washout of Hepatocellular Carcinoma at Portal Venous Phase vs. Equilibrium Phase: Radiological and Clinicopathological Implication. Cancers, 17(19), 3195. https://doi.org/10.3390/cancers17193195

