Potential Use of Wild Einkorn Wheat for Wheat Grain Quality Improvement: Evaluation and Characterization of Glu-1, Wx and Ha Loci
Abstract
1. Introduction
2. Materials and Methods
2.1. Plant Material
2.2. Glutenin Analysis
2.3. Waxy Protein Analysis
2.4. PCR Amplification of Genes from the Glu-A1, Wx and Ha Loci
2.5. DNA Diagnotic Marker Analysis
3. Results
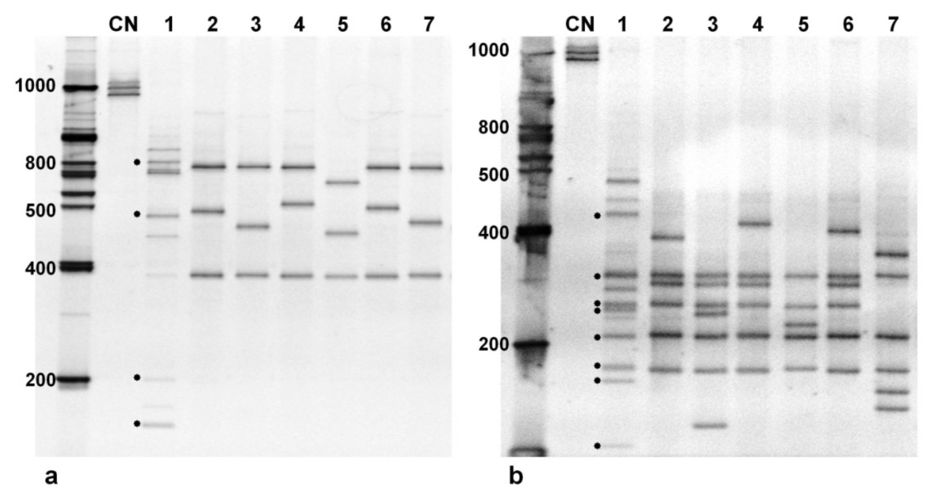
3.1. Variation and Characterization of the Ax and Ay Alleles for HMWGs
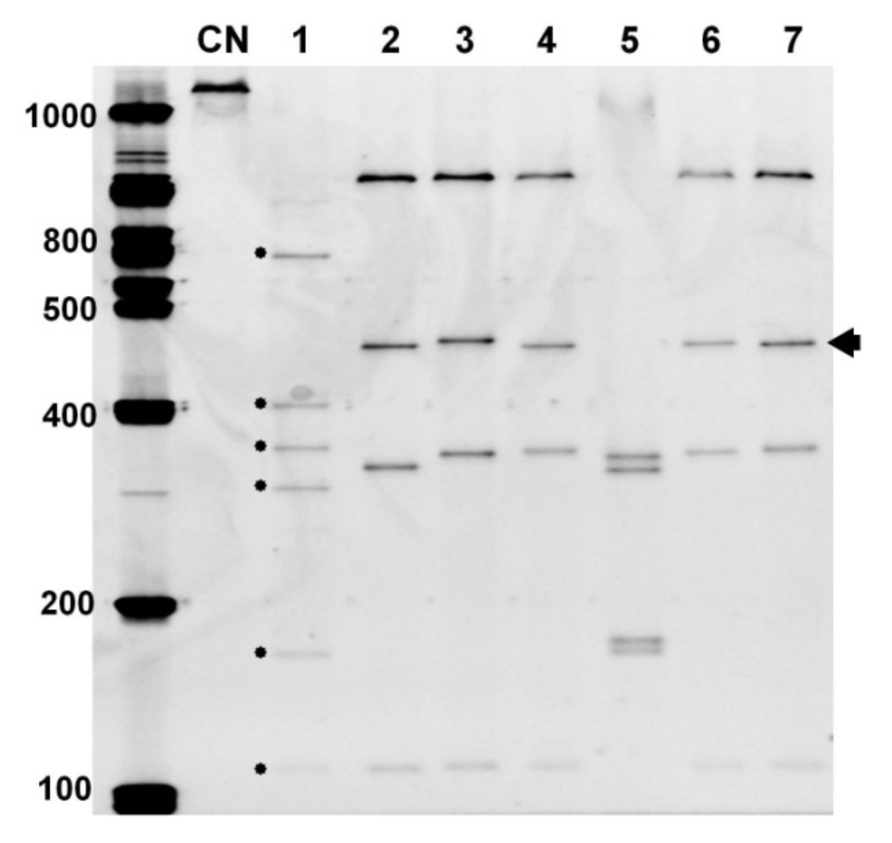
3.2. Variation and Characterization of Wx Variants
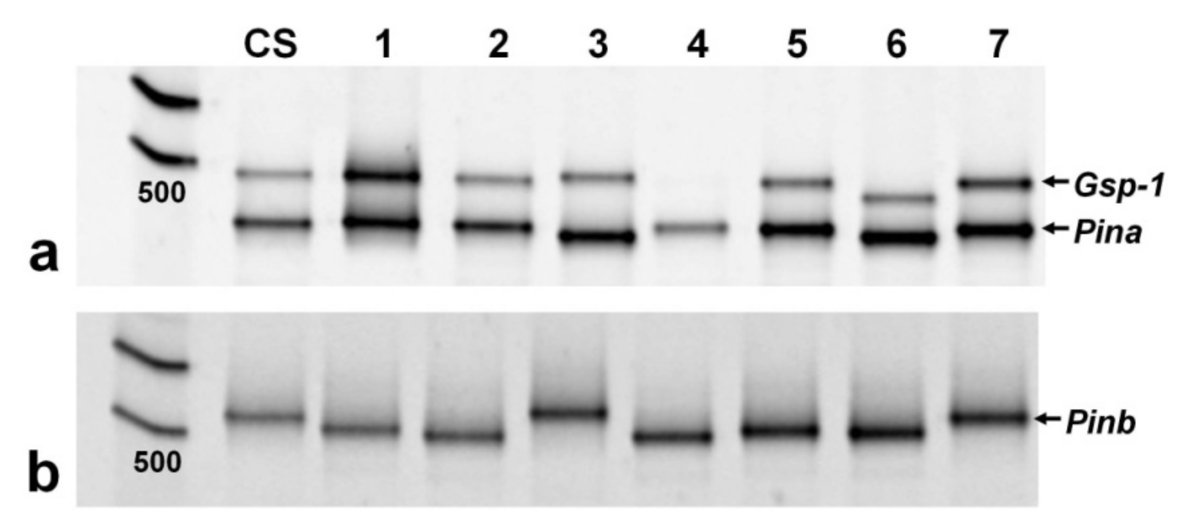
3.3. Variation and Characterization of Gsp-1, Pina and Pinb Variants
4. Discussion
5. Conclusions
Supplementary Materials
Author Contributions
Funding
Institutional Review Board Statement
Informed Consent Statement
Acknowledgments
Conflicts of Interest
References
- Alvarez, J.B.; Martín, M.A.; Caballero, L.; Martín, L.M. The role of plant genetic resources in the sustainable agriculture. In Sustainable Agriculture: Technology, Planning and Management; Salazar, A., Rios, I., Eds.; Nova Science Publishers: Hauppauge, NY, USA, 2010; pp. 145–176. [Google Scholar]
- Newton, A.C.; Johnson, S.N.; Gregory, P.J. Implications of climate change for diseases, crop yields and food security. Euphytica 2011, 179, 3–18. [Google Scholar] [CrossRef]
- Curtis, T.; Halford, N.G. Food security: The challenge of increasing wheat yield and the importance of not compromising food safety. Ann. Appl. Biol. 2014, 164, 354–372. [Google Scholar] [CrossRef] [PubMed]
- Wrigley, C.; Békés, F.; Bushuk, W. (Eds.) Gliadin and Glutenin: The Unique Balance of Wheat Quality; AACC International Press: St. Paul, MN, USA, 2006. [Google Scholar]
- Guzmán, C.; Alvarez, J.B. Wheat waxy proteins: Polymorphism, molecular characterization and effects on starch properties. Theor. Appl. Genet. 2016, 129, 1–16. [Google Scholar] [CrossRef]
- Morris, C.F. Puroindolines: The molecular genetic basis of wheat grain hardness. Plant Mol. Biol. 2002, 48, 633–647. [Google Scholar] [CrossRef] [PubMed]
- Demeke, T.; Hucl, P.; Nair, R.B.; Nakamura, T.; Chibbar, R.N. Evaluation of Canadian and other wheats for waxy proteins. Cereal Chem. 1997, 74, 442–444. [Google Scholar] [CrossRef]
- D’Ovidio, R.; Masci, S. The low-molecular-weight glutenin subunits of wheat gluten. J. Cereal Sci. 2004, 39, 321–339. [Google Scholar] [CrossRef]
- Graybosch, R.A.; Peterson, C.J.; Hansen, L.E.; Rahman, S.; Hill, A.; Skerritt, J.H. Identification and characterization of US wheats carrying null alleles at the Wx loci. Cereal Chem. 1998, 75, 162–165. [Google Scholar] [CrossRef]
- Shewry, P.R.; Halford, N.G.; Tatham, A.S. High molecular weight subunits of wheat glutenin. J. Cereal Sci. 1992, 15, 105–120. [Google Scholar] [CrossRef]
- Payne, P.I. Genetics of wheat storage proteins and the effects of allelic variation on bread-making quality. Annu. Rev. Plant Physiol. 1987, 38, 141–153. [Google Scholar] [CrossRef]
- Singh, N.K.; Shepherd, K.W. Linkage mapping of genes controlling endosperm storage proteins in wheat. 1. Genes on the short arms of group 1 chromosomes. Theor. Appl. Genet. 1988, 75, 628–641. [Google Scholar] [CrossRef]
- Li, W.; Huang, L.; Gill, B.S. Recurrent deletions of puroindoline genes at the grain Hardness locus in four independent lineages of polyploid wheat. Plant Physiol. 2008, 146, 200–212. [Google Scholar] [CrossRef] [PubMed]
- Srivastava, J.P.; Damania, A.B. Use of collections in cereal improvement in semi-arid areas. In The Use of Plant Genetic Resources; Brown, A.H.D., Frankel, O.H., Marshall, D.R., Williams, J.T., Eds.; Cambridge University Press: Cambridge, UK, 1989; pp. 88–104. [Google Scholar]
- Alvarez, J.B.; Guzmán, C. Interspecific and intergeneric hybridization as a source of variation for wheat grain quality improvement. Theor. Appl. Genet. 2018, 131, 225–251. [Google Scholar] [CrossRef] [PubMed]
- Johnson, B.L.; Dhaliwal, H.S. Reproductive isolation of Triticum boeoticum and Triticum urartu and the origin of the tetraploid wheats. Am. J. Bot. 1976, 63, 1088–1094. [Google Scholar] [CrossRef]
- Sharma, H.C.; Waines, J.G. The relationships between male and female fertility and among taxa in diploid wheats. Am. J. Bot. 1981, 68, 449–451. [Google Scholar] [CrossRef]
- Dvorak, J.; McGuire, P.E.; Cassidy, B. Apparent sources of the A genomes of wheats inferred from polymorphism in abundance and restriction fragment length of repeated nucleotide sequences. Genome 1988, 30, 680–689. [Google Scholar] [CrossRef]
- Hidalgo, A.; Brusco, M.; Plizzari, L.; Brandolini, A. Polyphenol oxidase, alpha-amylase and beta-amylase activities of Triticum monococcum, Triticum turgidum and Triticum aestivum: A two-year study. J. Cereal Sci. 2013, 58, 51–58. [Google Scholar] [CrossRef]
- Hidalgo, A.; Brandolini, A. Nutritional properties of einkorn wheat (Triticum monococcum L.). J. Sci. Food Agric. 2014, 94, 601–612. [Google Scholar] [CrossRef] [PubMed]
- Arzani, A.; Ashraf, M. Cultivated ancient wheats (Triticum spp.): A potential source of health-beneficial food products. Compr. Rev. Food Sci. Food Saf. 2017, 16, 477–488. [Google Scholar] [CrossRef] [PubMed]
- Brandolini, A.; Lucisano, M.; Mariotti, M.; Hidalgo, A. A study on the quality of einkorn (Triticum monococcum L. ssp. monococcum) pasta. J. Cereal Sci. 2018, 82, 57–64. [Google Scholar] [CrossRef]
- Hidalgo, A.; Lucisano, M.; Mariotti, M.; Brandolini, A. Physico-chemical and nutritional characteristics of einkorn flour cookies. J. Food Process. Preserv. 2019, 43, e14079. [Google Scholar] [CrossRef]
- Geisslitz, S.; Longin, F.H.C.; Scherf, A.K.; Koehler, P. Comparative study on gluten protein composition of ancient (einkorn, emmer and spelt) and modern wheat species (durum and common wheat). Foods 2019, 8, 409. [Google Scholar] [CrossRef] [PubMed]
- Malalgoda, M.; Ohm, J.-B.; Simsek, S. Celiac antigenicity of ancient wheat species. Foods 2019, 8, 675. [Google Scholar] [CrossRef] [PubMed]
- Zohary, D.; Hopf, M. Domestication of Plants in the Old World: The Origin and Spread of Cultivated Plants in West Asia, Europe, and the Nile Valley; Oxford University Press: Oxford, UK, 2000. [Google Scholar]
- Zaharieva, M.; Monneveux, P. Cultivated einkorn wheat (Triticum monococcum L. subsp. monococcum): The long life of a founder crop of agriculture. Genet. Resour. Crop Evol. 2014, 61, 677–706. [Google Scholar] [CrossRef]
- Arranz-Otaegui, A.; Gonzalez Carretero, L.; Ramsey, M.N.; Fuller, D.Q.; Richter, T. Archaeobotanical evidence reveals the origins of bread 14,400 years ago in northeastern Jordan. Proc. Natl. Acad. Sci. USA 2018, 115, 7925–7930. [Google Scholar] [CrossRef]
- Zamir, D. Improving plant breeding with exotic genetic libraries. Nat. Rev. Genet. 2001, 2, 983–989. [Google Scholar] [CrossRef] [PubMed]
- Dong, Z.; Yang, Y.; Zhang, K.; Li, Y.; Wang, J.; Wang, Z.; Liu, X.; Qin, H.; Wang, D. Development of a new set of molecular markers for examining Glu-A1 variants in common wheat and ancestral species. PLoS ONE 2017, 12, e0180766. [Google Scholar] [CrossRef] [PubMed]
- Cseh, A.; Megyeri, M.; Yang, C.; Hubbart-Edwards, S.; Scholefield, D.; Ashling, S.S.; King, I.P.; King, J.; Grewal, S. Development of a new Am-genome-specific SNP marker set for the molecular characterization of wheat-Triticum monococcum introgression lines. Plant Genome 2019, 12, 180098. [Google Scholar] [CrossRef]
- Alvarez, J.B.; Martín, A.; Martín, L.M. Variation in the high-molecular-weight glutenin subunits coded at the Glu-Hch1 locus in Hordeum chilense. Theor. Appl. Genet. 2001, 102, 134–137. [Google Scholar] [CrossRef]
- Echt, C.S.; Schwartz, D. Evidence for the inclusion of controlling elements within the structural gene at the waxy locus in maize. Genetics 1981, 99, 275–284. [Google Scholar] [PubMed]
- Stacey, J.; Isaac, P.G. Isolation of DNA from plants. In Protocols for Nucleic acid Analysis by Nonradioactive Probes; Isaac, P.G., Ed.; Humana Press: Totowa, NJ, USA, 1994; pp. 9–15. [Google Scholar]
- D’Ovidio, R.; Masci, S.; Porceddu, E. Development of a set of oligonucleotide primers specific for genes at the Glu-1 complex loci of wheat. Theor. Appl. Genet. 1995, 91, 189–194. [Google Scholar] [CrossRef] [PubMed]
- Guzmán, C.; Alvarez, J.B. Molecular characterization of a novel waxy allele (Wx-Au1a) from Triticum urartu Thum. ex Gandil. Genet. Resour. Crop Evol. 2012, 59, 971–979. [Google Scholar] [CrossRef]
- Ayala, M.; Alvarez, J.B.; Yamamori, M.; Guzmán, C. Molecular characterization of waxy alleles in three subspecies of hexaploid wheat and identification of two novel Wx-B1 alleles. Theor. Appl. Genet. 2015, 128, 2427–2435. [Google Scholar] [CrossRef] [PubMed]
- Massa, A.N.; Morris, C.F.; Gill, B.S. Sequence diversity of Puroindoline-a, Puroindoline-b, and the grain softness protein genes in Aegilops tauschii Coss. Crop Sci. 2004, 44, 1808–1816. [Google Scholar] [CrossRef]
- Lillemo, M.; Chen, F.; Xia, X.; William, M.; Peña, R.J.; Trethowan, R.; He, Z. Puroindoline grain hardness alleles in CIMMYT bread wheat germplasm. J. Cereal Sci. 2006, 44, 86–92. [Google Scholar] [CrossRef]
- Lafiandra, D.; Tucci, G.F.; Pavoni, A.; Turchetta, T.; Margiotta, B. PCR analysis of x- and y-type genes present at the complex Glu-A1 locus in durum and bread wheat. Theor. Appl. Genet. 1997, 94, 235–240. [Google Scholar] [CrossRef]
- Alvarez, J.B.; Carmona, S.; Caballero, L. Identification and characterization by PCR-RFLP analysis of the genetic variation for the Glu-A1x and Glu-B1x genes in rivet wheat (Triticum turgidum L. ssp. turgidum). J. Cereal Sci. 2013, 57, 253–257. [Google Scholar] [CrossRef]
- Alvarez, J.B.; Gutierrez, M.V.; Guzmán, C.; Martín, L.M. Molecular characterisation of the amino- and carboxyl-domains in different Glu-A1x alleles of Triticum urartu Thum. ex Gandil. Theor. Appl. Genet. 2013, 126, 1703–1711. [Google Scholar] [CrossRef] [PubMed]
- Ayala, M.; Guzmán, C.; Alvarez, J.B.; Peña, R.J. Characterization of genetic diversity of puroindoline genes in Mexican wheat landraces. Euphytica 2013, 190, 53–63. [Google Scholar] [CrossRef]
- Alvarez, J.B.; Castellano, L.; Huertas-García, A.B.; Guzmán, C. Molecular characterization of five novel Wx-A1 alleles in common wheat including one silent allele by transposon insertion. Plant Sci. 2021, 305, 110843. [Google Scholar] [CrossRef]
- Waines, J.G.; Payne, P.I. Electrophoretic analysis of the high-molecular-weight glutenin subunits of Triticum monococcum, T. urartu, and the A genome of bread wheat (T. aestivum). Theor. Appl. Genet. 1987, 74, 71–76. [Google Scholar] [CrossRef]
- Saponaro, C.; Pogna, N.E.; Castagna, R.; Pasquini, M.; Cacciatori, P.; Redaelli, R. Allelic variation at the Gli-A1m, Gli-A2m and Glu-A1m loci and breadmaking quality in diploid wheat Triticum monococcum. Genet. Res. 1995, 66, 127–137. [Google Scholar] [CrossRef]
- D’Ovidio, R.; Masci, S.; Porceddu, E. Sequence analysis of the 5’ non-coding regions of active and inactive 1Ay HMW glutenin genes from wild and cultivated wheats. Plant Sci. 1996, 114, 61–69. [Google Scholar] [CrossRef]
- Guzmán, C.; Caballero, L.; Martín, M.A.; Alvarez, J.B. Molecular characterization and diversity of the Pina and Pinb genes in cultivated and wild diploid wheat. Mol. Breed. 2012, 30, 69–78. [Google Scholar] [CrossRef]
- Hajjar, R.; Hodgkin, T. The use of wild relatives in crop improvement: A survey of developments over the last 20 years. Euphytica 2007, 156, 1–13. [Google Scholar] [CrossRef]
- Schneider, A.; Molnár, I.; Molnár-Láng, M. Utilisation of Aegilops (goatgrass) species to widen the genetic diversity of cultivated wheat. Euphytica 2008, 163, 1–19. [Google Scholar] [CrossRef]
- Gill, B.S.; Friebe, B.R.; White, F.F. Alien introgressions represent a rich source of genes for crop improvement. Proc. Natl. Acad. Sci. USA 2011, 108, 7657–7658. [Google Scholar] [CrossRef] [PubMed]
- Mason-Gamer, R.J.; Weil, C.F.; Kellogg, E.A. Granule-bound starch synthase: Structure, function, and phylogenetic utility. Mol. Biol. Evol. 1998, 15, 1658–1673. [Google Scholar] [CrossRef] [PubMed]
- Caballero, L.; Martín, M.A.; Alvarez, J.B. Allelic variation for the high- and low-molecular-weight glutenin subunits in wild diploid wheat (Triticum urartu) and its comparison with durum wheats. Aust. J. Agric. Res. 2008, 59, 906–910. [Google Scholar] [CrossRef]
- Caballero, L.; Martín, M.A.; Alvarez, J.B. Genetic diversity for seed storage proteins in Lebanon and Turkey populations of wild diploid wheat (Triticum urartu Thum. ex Gandil.). Genet. Resour. Crop Evol. 2009, 56, 1117–1124. [Google Scholar] [CrossRef]
- Alvarez, J.B.; Moral, A.; Martín, L.M. Polymorphism and genetic diversity for the seed storage proteins in Spanish cultivated einkorn wheat (Triticum monococcum L. ssp. monococcum). Genet. Resour. Crop Evol. 2006, 53, 1061–1067. [Google Scholar] [CrossRef]
- Lawrence, G.J.; MacRitchie, F.; Wrigley, C.W. Dough and baking quality of wheat lines deficient in glutenin subunits controlled by the Glu-A1, Glu-B1 and Glu-D1 loci. J. Cereal Sci. 1988, 7, 109–112. [Google Scholar] [CrossRef]
- Law, C.N.; Payne, P.I. Genetical aspects of breeding for improved grain protein content and type in wheat. J. Cereal Sci. 1983, 1, 79–93. [Google Scholar] [CrossRef]
- Rogers, W.J.; Miller, T.E.; Payne, P.I.; Seekings, J.A.; Sayers, E.J.; Holt, L.M.; Law, C.N. Introduction to bread wheat (Triticum aestivum L.) and assessment for bread-making quality of alleles from T. boeoticum Boiss. ssp. thaoudar at Glu-A1 encoding two high-molecular-weight subunits of glutenin. Euphytica 1997, 93, 19–29. [Google Scholar] [CrossRef]
- Alvarez, J.B.; Caballero, L.; Nadal, S.; Ramirez, M.C.; Martín, A. Development and gluten strength evaluation of introgression lines of Triticum urartu in durum wheat. Cereal Res. Commun. 2009, 37, 243–248. [Google Scholar] [CrossRef]
- Ortega, R.; Guzmán, C.; Alvarez, J.B. Wx gene in diploid wheat: Molecular characterization of five novel alleles from einkorn (Triticum monococcum L. ssp. monococcum) and T. urartu. Mol. Breed. 2014, 34, 1137–1146. [Google Scholar] [CrossRef]
- Guzmán, C.; Caballero, L.; Alvarez, J.B. Variation in Spanish cultivated einkorn wheat (Triticum monococcum L. ssp monococcum) as determined by morphological traits and waxy proteins. Genet. Resour. Crop Evol. 2009, 56, 601–604. [Google Scholar] [CrossRef]
- Urbano, M.; Margiotta, B.; Colaprico, G.; Lafiandra, D. Waxy proteins in diploid, tetraploid and hexaploid wheats. Plant Breed. 2002, 121, 465–469. [Google Scholar] [CrossRef]
- Rodriguez-Quijano, M.; Vazquez, J.F.; Carrillo, J.M. Waxy proteins and amylose content in diploid Triticeae species with genomes A., S and D. Plant Breed. 2004, 123, 294–296. [Google Scholar] [CrossRef]
- Morris, C.F.; Geng, H.W.; Beecher, B.S.; Ma, D.Y. A review of the occurrence of Grain softness protein-1 genes in wheat (Triticum aestivum L.). Plant Mol. Biol. 2013, 83, 507–521. [Google Scholar] [CrossRef]
- Lillemo, M.; Simeone, M.C.; Morris, C.F. Analysis of puroindoline a and b sequences from Triticum aestivum cv. ‘Penawawa’ and related diploid taxa. Euphytica 2002, 126, 321–331. [Google Scholar] [CrossRef]
- Simeone, M.C.; Gedye, K.R.; Mason-Gamer, R.; Gill, B.S.; Morris, C.F. Conserved regulatory elements identified from a comparative puroindoline gene sequence survey of Triticum and Aegilops diploid taxa. J. Cereal Sci. 2006, 44, 21–33. [Google Scholar] [CrossRef]
- Chen, Q.; Qi, P.-F.; Wei, Y.-M.; Wang, J.-R.; Zheng, Y.-L. Molecular characterization of the Pina gene in einkorn wheat. Biochem. Genet. 2009, 47, 384–396. [Google Scholar] [CrossRef]
- Luo, M.C.; Yang, Z.L.; Kota, R.S.; Dvorak, J. Recombination of chromosomes 3Am and 5Am of Triticum monococcum with homeologous chromosomes 3A and 5A of wheat: The distribution of recombination across chromosomes. Genetics 2000, 154, 1301–1308. [Google Scholar]
- Tranquilli, G.; Heaton, J.; Chicaiza, O.; Dubcovsky, J. Substitutions and deletions of genes related to grain hardness in wheat and their effect on grain texture. Crop Sci. 2002, 42, 1812–1817. [Google Scholar] [CrossRef]
- Bonafede, M.; Kong, L.; Tranquilli, G.; Ohm, H.; Dubcovsky, J. Reduction of a Triticum monococcum chromosome segment carrying the softness genes Pina and Pinb translocated to bread wheat. Crop Sci. 2007, 47, 821–828. [Google Scholar] [CrossRef]
- Morris, C.F.; Simeone, M.C.; King, G.E.; Lafiandra, D. Transfer of soft kernel texture from Triticum aestivum to durum wheat, Triticum turgidum ssp. durum. Crop Sci. 2011, 51, 114–122. [Google Scholar] [CrossRef]
- Devos, K.M.; Dubcovsky, J.; Dvorak, J.; Chinoy, C.N.; Gale, M.D. Structural evolution of wheat chromosomes 4A, 5A, and 7B and its impact on recombination. Theor. Appl. Genet. 1995, 91, 282–288. [Google Scholar] [CrossRef] [PubMed]
- Upadhya, M.D.; Swaminathan, M.S. Genome analysis in Triticum zhukovskyi, a new hexaploid wheat. Chromosoma 1963, 14, 589–600. [Google Scholar] [CrossRef]
- Gill, R.S.; Dhaliwal, H.S.; Multani, D.S. Synthesis and evaluation of Triticum durum—T. monococcum amphiploids. Theor. Appl. Genet. 1988, 75, 912–916. [Google Scholar] [CrossRef]
- Megyeri, M.; Mikó, P.; Molnár, I.; Kovács, G. Development of synthetic amphiploids based on Triticum turgidum × T. monococcum crosses to improve the adaptability of cereals. Acta Agron. Hung. 2011, 59, 267–274. [Google Scholar] [CrossRef]







| Accession | Ax | Ay | Wx [F1/F2/F3] 1 | Gsp-1 | Pina | Pinb |
|---|---|---|---|---|---|---|
| PI 427453 | IV | IV | V [P1/P3P3] | II | I | I |
| PI 427497 | II | VII | I [P1/P1/P1] | II | I | I |
| PI 427498 | I | I | VII [P1/P5/P2] | II | I | III |
| PI 427575 | VI | VI | IV [P1/P3/P2] | II | II | III |
| PI 427622 | III | III | III [P1/P2/P1] | II | I | II |
| PI 427629 | V | V | VIII [P1/P6/P1] | II | I | II |
| PI 427804 | I | I | VII [P1/P5/P2] | III | I | III |
| PI 427963 | VI | VI | VIII [P1/P6/P1] | II | I | II |
| PI 470713 | V | V | VI [P1/P4/P1] | II | II | III |
| PI 470720 | V | V | I [P1/P1/P1] | IV | II | II |
| PI 538544 | I | I | II [P1/P1/P4] | II | I | III |
| PI 554504 | IV | IV | IV [P1/P3/P2] | I | II | III |
| PI 554548 | II | II | IV [P1/P3/P2] | III | I | II |
| PI 554559 | III | III | I [P1/P1/P1] | I | I | I |
Publisher’s Note: MDPI stays neutral with regard to jurisdictional claims in published maps and institutional affiliations. |
© 2021 by the authors. Licensee MDPI, Basel, Switzerland. This article is an open access article distributed under the terms and conditions of the Creative Commons Attribution (CC BY) license (https://creativecommons.org/licenses/by/4.0/).
Share and Cite
Huertas-García, A.B.; Castellano, L.; Guzmán, C.; Alvarez, J.B. Potential Use of Wild Einkorn Wheat for Wheat Grain Quality Improvement: Evaluation and Characterization of Glu-1, Wx and Ha Loci. Agronomy 2021, 11, 816. https://doi.org/10.3390/agronomy11050816
Huertas-García AB, Castellano L, Guzmán C, Alvarez JB. Potential Use of Wild Einkorn Wheat for Wheat Grain Quality Improvement: Evaluation and Characterization of Glu-1, Wx and Ha Loci. Agronomy. 2021; 11(5):816. https://doi.org/10.3390/agronomy11050816
Chicago/Turabian StyleHuertas-García, Ana B., Laura Castellano, Carlos Guzmán, and Juan B. Alvarez. 2021. "Potential Use of Wild Einkorn Wheat for Wheat Grain Quality Improvement: Evaluation and Characterization of Glu-1, Wx and Ha Loci" Agronomy 11, no. 5: 816. https://doi.org/10.3390/agronomy11050816
APA StyleHuertas-García, A. B., Castellano, L., Guzmán, C., & Alvarez, J. B. (2021). Potential Use of Wild Einkorn Wheat for Wheat Grain Quality Improvement: Evaluation and Characterization of Glu-1, Wx and Ha Loci. Agronomy, 11(5), 816. https://doi.org/10.3390/agronomy11050816

