Next Article in Journal
Development of an Attitude Adjustment Crawler Chassis for Combine Harvester and Experiment of Adaptive Leveling System
Next Article in Special Issue
A Simple, Cost-Effective, and Green HPTLC Method for the Estimation of Ascorbic Acid in Solvent and Ultrasound-Assisted Extracts of Phyllanthus emblica, Capsicum annuum, and Psidium guajava
Previous Article in Journal
Effect of Planting Density and Row Spacing on the Yielding and Morphological Features of Pea (Pisum sativum L.)
Previous Article in Special Issue
Dual Response Optimization of Ultrasound-Assisted Oil Extraction from Red Fruit (Pandanus conoideus): Recovery and Total Phenolic Compounds
 
 
Font Type:
Arial Georgia Verdana
Font Size:
Aa Aa Aa
Line Spacing:
Column Width:
Background:
Article

Partial Purification and Characterization of the Lectins of Two Varieties of Phaseolus coccineus (Ayocote Bean)

by
Leopoldo González-Cruz
1,
Carmen Valadez-Vega
2,
José Mayolo Simitrio Juárez-Goiz
1,
Norma Leticia Flores-Martínez
3,
José Luis Montañez-Soto
4 and
Aurea Bernardino-Nicanor
1,*
1
Tecnológico Nacional de México/IT Celaya, Antonio García Cubas Pte #600 esq. Av. Tecnológico, Celaya C.P. 38010, Guanajuato, Mexico
2
Instituto de Ciencias de la Salud, Universidad Autónoma del Estado de Hidalgo, Ex-Hacienda de la Concepción, Tilcuautla, Pachuca de Soto C.P. 42080, Hidalgo, Mexico
3
Departamento de Ingeniería Agroindustrial, Universidad Politécnica de Guanajuato, Avenida Universidad Sur 1001, Comunidad Juan Alonso, Cortazar C.P. 38483, Guanajuato, Mexico
4
Centro Interdisciplinario de Investigación para el Desarrollo Integral Regional del Instituto Politécnico Nacional, Unidad Michoacán, Justo Sierra Nº 28, Jiquilpan C.P. 59510, Michoacán, Mexico
*
Author to whom correspondence should be addressed.
Agronomy 2022, 12(3), 716; https://doi.org/10.3390/agronomy12030716
Submission received: 10 February 2022 / Revised: 12 March 2022 / Accepted: 13 March 2022 / Published: 16 March 2022
(This article belongs to the Special Issue Extraction and Analysis of Bioactive Compounds in Crops)

Abstract

In this study, a partial purification and characterization of the lectins from two varieties of Phaseolus coccineus (black and purple ayocote bean) was carried out. A partial purification of the lectins was performed by affinity chromatography on fetuin-agarose. The lectins’ characterization showed that the hemagglutination activity was only inhibited by the fetuin and that the saccharides (mono-, di- and tri-saccharides) do not influence their hemagglutination capacity. A difference in the relative molecular weight between the two Phaseolus varieties was observed, 28.5 kDa for the black variety and 30.6 kDa for the purple variety. In the lectins of both Phaseolus varieties, ions were detected in their structure and influenced their hemagglutination activity, principally to the ion Ca+2; on the other hand, only the lectins of the purple variety of the Phaseolus, had a detectable ion, Cu+2. The lectins showed thermostability in the temperature range of 25 and 70 °C, on the other hand, in the pH range between 3 and 10, the lectins showed hemagglutination activity. According to the obtained results, the structural differences between the lectins obtained from both Phaseolus varieties influence their hemagglutination activity.

1. Introduction

Among the plant lectins, the seed’s lectins of the legume are the largest family, and their structural and biological properties have been broadly studied. The principal findings demonstrate similarity in their sequence as well as in their structure, with 2 to 4 subunits of 25 to 30 kDa, and also contain a carbohydrate recognition domain and metal binding sites for divalent cations Ca+2 and Mn+2, principally [1].
The genus Phaseolus, among the legumes, is an important crop due to their high protein (20–50%) and carbohydrate content (50–65%) [2,3]. However, like other legumes, the species of Phaseolus genus contains lectins, which in recent years, have been studied due to their beneficial effects on human health, such as anticancer, treatment against human immunodeficiency virus, their antibacterial properties, being antimicrobial in human infections, and reducing type-2 diabetes [4,5,6,7,8,9]. Several reports have reported that the lectin characteristics can vary between several species of the same genus, even in between the same species, for example, Phaseolus vulgaris has been reported that not only does its lectins’ content vary but also differences in its sequence between isoforms has been found, which can generate significant effects on its biological activity [10,11]. Most cultivars of beans have five isolectins, however, they can show different electrophoretic patterns between cultivars. At present, the lectin from Phaseolus vulgaris is the one most studied and has been denoted as a phytohemagglutinin (PHA), which contains five tetrameric isoforms, each one having different proportions of leukocyte-reactive and erythrocyte-reactive polypeptide subunits.
In particular, Phaseolus coccineus (ayocote bean) is important because they can be cultivated without a fertilization process, they can grow at low temperatures and under water stress conditions; in addition, all organs of the plant can be used (flowers, seeds, pods, and foliage). Several reports indicate that the protein and peptides of the ayocote bean have high nutraceutical potential for their antioxidant, anticancer, antifungal and antibacterial activities [12,13,14,15]. On the other hand, the ayocote bean lectins of different varieties have been studied since 1974, first by Nowakova and Kocourek [16], who indicated that the lectin from Phaseoulus coccineus is specific for N-acetyl-D-galactosamine. Later, the research of Ochoa and Kristiansen (1978) [17], show that the lectin of the ayocote bean is a tetramer of four similar subunits (28 to 31 kDa), with 20% of glucosamine and 8% of sugar that requires Ca+2 and Mg+2 for their biological activity, and is inhibited by N-acetylgalactosamine, conalbumin, and ovalbumin agglutinates erythrocytes without serological specificity and is devoid of mitogenic activity toward human peripheral lymphocytes [17,18,19,20,21,22,23,24]. However, although many researchers have reported that the variety and the growing locations influence the structural and biological characteristics of the lectins, few reports have been focusing on the differences between varieties cultivated in several regions of Mexico. For this reason, the partial purification and characterization of the lectins from two varieties of the Phaseoulus coccineus (black and purple) cultivated in the region of Zacatlán in the Puebla State, Mexico, is considered important.

2. Materials and Methods

2.1. Vegetal Material

Two varieties of ayocote beans (black and purple) were obtained from Zacatlán Puebla, Mexico. The seeds were selected, and the clean beans were grounded by a domestic coffee grinder. The dried bean powder was packed in glass bottles and stored in an LG model GR-452SH refrigerator (LG Electronics, Mexico) at 4 °C until use.

2.2. Lectin Extraction

The lectin extraction was carried out according to the methodology of Mejia et al. [25]. The ayocote bean powder was dispersed in phosphate buffer saline (PBS) 0.01 M at pH 7.4, at a proportion of 1:10, and homogenized by magnetic stirring for 16 h at 4 °C. Then, the solution was centrifuged at 12,000× g at 4 °C for 30 min (Jouan MR 1822) to yield the crude extract. The crude extract was dialyzed overnight against PBS at 4 °C and centrifuged again to remove insoluble residues. The extract was then subjected to a “salting out” step with 80% NH4SO4 (w/v) at 4 °C, the protein was obtained by centrifugation at 12,000× g at 4 °C for 30 min. The precipitate was resuspended and dialyzed against PBS (three times). The dialyzed fraction was subjected to affinity chromatography.
Prior to sample injection, the affinity column (3 × 20 cm, of Sigma, Aldrich, St. Louis, MO, USA) was equilibrated with 20 volumes of PBS at 1.5 mL/min. Then, the sample (6 mL) was applied, and the unbound proteins were washed with 20 volumes of the initial buffer. Fractions that exhibited hemagglutination activity were eluted from the column with 20 volumes of 0.05 M glycine-HCl, pH 2.8 at 1.5 mL/min. The elutes were dialyzed against distilled water with three changes, then lyophilized and stored at −20 °C until further characterization. Protein was determined according to the Bradford method using bovine serum albumin as standard. The lectin was designated ABBL (ayocote bean black lectin) and ABPL (ayocote bean purple lectin).

2.3. Hemagglutination Assays

Erythrocytes were separated from plasma by centrifugation at 2000 rpm for 10 min, then the cells were washed twice with PBS (two volumes). The hemagglutination assays were carried out according to the methodology of Sharma et al. [26], with some modifications from Valadez-Vega et al. [27]. The tests were carried out on microtiter 96-well (U-shaped) plates. The lectin was diluted serially, adjusting the sample volume in each well to 50 μL with PBS, each sample was mixed with 50 μL of the 2% suspension of human erythrocyte types A, B, O, and rabbit erythrocytes. The reaction mixture was incubated for 1 h at room temperature. The titer was defined as the reciprocal of the highest dilution showing detectable agglutination.
The hemagglutination activity was calculated by dividing the hemagglutination titer between the soluble protein (mg) in the sample, which was determined according to the methodology of Bradford [28], and was reported as HA/mg of protein.

2.4. Polyacrylamide Gel Electrophoresis (SDS-PAGE)

SDS-polyacrylamide gel electrophoresis (SDS-PAGE) was performed according to the methodology by Laemmli [29], using the Mini Protean 3 Cell (Bio-Rad Laboratories, Hercules, CA 94547 USA) vertical unit. Molecular masses of the polypeptides were calculated using the following standard proteins (Bio-Rad Laboratories, Hercules, CA 94547 USA): phosphorylase b (94 kDa), bovine serum albumin (67 kDa), ovalbumin (45 kDa), carbonic anhydrase (30 kDa), trypsin inhibitor (20.1 kDa), α-lactalbumin (14.4 kDa). Protein samples (1 mg/mL) were dissolved in sample buffer (0.1 mol/L Tris-HCl, pH 6.8, 20 mL/100 mL glycerol, 2 g/100 mL SDS, and 0.05 g/100 mL bromophenol blue). Gels were fixed and stained with Coomassie Brilliant Blue.

2.5. Carbohydrate Content

The carbohydrate content of the lectins was estimated by the phenol sulfuric acid method, according to Dubois et al. [30]. The concentration in the samples was estimated by graphic interpolation with glucose as a standard.

2.6. Metal Composition Analysis

The lectins were dissolved with NaCl (0.5%) and subsequently dialyzed against 0.02M EDTA in 0.15 M NaCl for 24 h. The metals were determined by a plasma spectrometer (plasma ICP-OES, optima 3000XL). A calibration curve was prepared using standards of each cation (Ca, Cu, Cr, Cd, Fe, Mg, Mn, and Zn) (Perkin Elmer). The concentration in the lectins was obtained by graphic interpolation in ppm.

2.7. The Metal Addition Effect on the Hemagglutination Activity

The lectins dialyzed against 0.02 M EDTA in 0.15 M NaCl during 24 h, were dialyzed against deionized water, the metal addition effect on the hemagglutination activity was carried out in microtiter 96-well (U shaped) plates, samples were each mixed with 50 μL of PBS and 50 μL of 0.5 mM of the metal’s solutions (CaCl2, FeCl2, MgCl2, MnCl2, ZnCl2). The reaction mixture was incubated for 1 h at room temperature. Diluted samples were each mixed with 50 μL of the suspension of human erythrocytes and the hemagglutination activity was determined.

2.8. Hemagglutination Inhibition by Different Carbohydrates

For the hemagglutination inhibition assays, a lectins solution (50 μL, 0.08 μg/mL) was added monosaccharides (glucose, fructose, galactose, mannose, xylose, arabinose, and rhamnose), disaccharides (maltose and trehalose), trisaccharides (raffinose), and glycoproteins (ovalbumin and fetuin), each diluted serially (2-fold) with PBS in microtiter plates, incubated for 1 h, and then added with 50 μL of human erythrocytes and the hemagglutination activity was determined.

2.9. Temperature Effect on the Hemagglutination Activity

The temperature effect was determined by the Fei-Fang et al. [31] method; lectin was diluted in PBS (0.88 mg/mL) and each sample was thermally treated at 12, 30, 40, 50, 60, 70, 80, 90, and 95 °C for 30 min, after, the hemagglutination activity was determined.

2.10. pH Effect on the Hemagglutination Activity

The pH effect was determined by the Fei-Fang et al. [31] method; lectin was diluted in PBS (1 mg/mL) and incubated for 1 h at room temperature, after, was added buffer solutions (0.2 M); sodium citrate (pH 2, 3 and 4), sodium acetate (pH 5), sodium phosphate (pH 6 and 7), Tris-HCl (pH 8) and glicine-NaOH (pH 9, 10, 11, 12 and 13). The samples were dialyzed against deionized water (3 times) during 24 h and the hemagglutination activity was determined

2.11. Statistical Analysis

The quantitative data are expressed as the mean ± standard deviation, and the analysis of variance (ANOVA) was performed, followed by Tukey´s test. SAS software was used for the data analysis, and all experimental determinations were performed in triplicate.

3. Results and Discussion

3.1. Protein Content

The ayocote bean black had a higher protein content (23.80%) than the ayocote bean purple (21.93%); however, both varieties black and purple ayocote bean, analyzed in this work, showed higher protein content than that obtained from other varieties of ayocote bean, reported by Aremu et al. [32]; Avasilcai et al. [33]; and Alvarado-López et al. [14]. These differences could be attributed to external factors that influence the protein content of the seeds, such as variety, fertilizer application, cultural management practices, and double crops production, according to Malik et al. [34].
On the other hand, the protein content of both ayocote bean varieties analyzed are in agreement with results reporting a protein content from other legumes; 22% for Vigna mungo and 23.6% for Phaseolus aconitifolius [35], 26 varieties of Phaseolus vulgaris were between 22% and 32.6% [36] and 23.6% for Cicer arietinum [37].

3.2. Lectins Separation

Both purple and black Phaseolus varieties showed a similar chromatographic profile; the ABBL (ayocote bean black lectin) were obtained from the fractions 41 to 48, while that in the ABPL (ayocote bean purple lectin), the lectins were obtained from the fractions 41 to 49 (Figure 1, Table 1). The chromatograms of both purple and black ayocote lectins are similar to the chromatographic profile reported for other legume lectins extracted from other Phaseolus species, such as Phaseolus acuntifolius L. [27,38], Phaseolus lunatus L. [2], Phaseolus vulgaris [39], and Phaseolus coccineus [24].

3.3. Hemagglutination Activity

In both Phaseolus varieties, the lectins showed hemagglutination capacity on rabbit and human type A, B, and O erythrocytes. The results, shown in Table 1, indicate that the lectins obtained from the purple and black ayocote beans are not specific for any type of red blood cells.
In particular, the lectins from both Phaseolus varieties showed less hemagglutination activity with the human type A erythrocytes (64 and 72 hemagglutination titer for ABBL and ABPL, respectively), while that with the rabbit erythrocytes showed a high hemagglutination activity (256 and 264 hemagglutination titer for ABBL and ABPL, respectively). On the other hand, the human type B and O erythrocytes showed an intermediate hemagglutination titer (128). Such changes are due, according to some authors, to the different types and content of carbohydrates in the different erythrocyte types, which are recognized according to the binding sites in the lectin structure. Apparently, the hemagglutination activity showed by the human type A erythrocytes, is due to the N-acetyl-D-galactosamine being the binding site, while that in the human type B and O erythrocytes are the 1–3 a -D galactose and L-fuc-(a 1–2) D Gal-b1, respectively [1,2,40]. The results obtained are in concordance with those described by Ochoa and Kristiansen, [18]; Calderón and Córdoba, [20] and Feria et al. [19], for different varieties of Phaseolus coccineus, who indicate that the hemagglutination titer in lectins is dependent on the erythrocyte types and the source (animal or human).
On the other hand, it was observed that the hemagglutination activity of the ABBL is higher than in the ABPL, which could be related to some factors that influence the secondary seed metabolites, such as species, variety, growing location, and ambiental conditions during the growing and storage conditions [41].
In both purple and black ayocote beans, their lectins showed higher hemagglutination activity than other varieties of Phaseolus coccineus ground in other regions [19,21,23]; however, both purple and black ayocote bean lectins showed less hemagglutination activity than lectins obtained from other species of Phaseolus genus, such as Phaseolus acutifolius L. [27].

3.4. Sodium Dodecyl Sulfate-Polyacrylamide Gel Electrophoresis (SDS-PAGE)

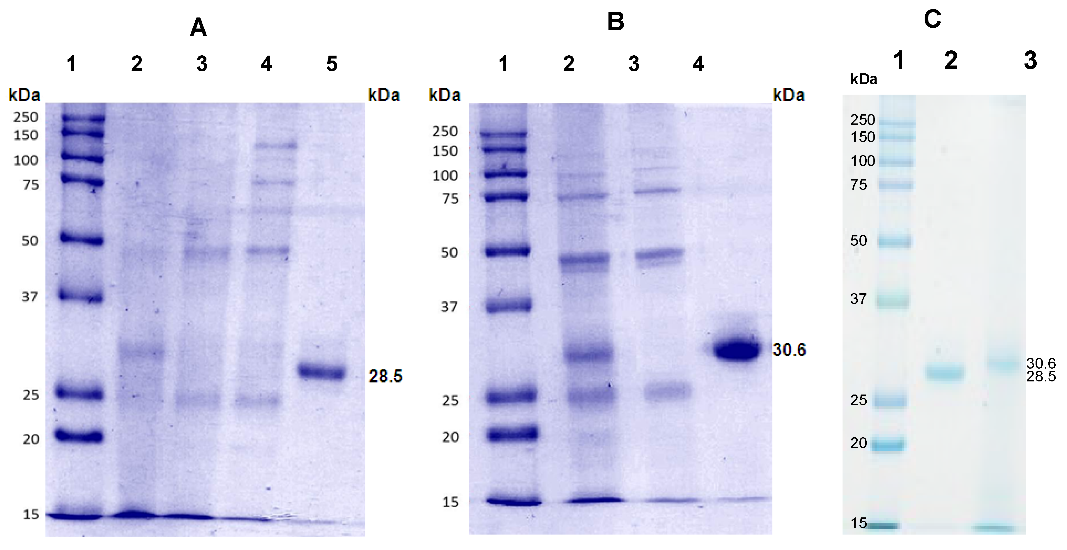
In Figure 2, the electrophoretic patterns of the purification steps of both purple and black ayocote bean lectins are shown. The electrophoretic patterns show that the isolation process generates a progressive and significant reduction in the number of fractions, which is according to Mayolo-Deloisa et al. [42]. In the fractions unbound to the fetuin (Figure 2A, lane 4 and Figure 2B lane 3), a higher number of proteinic subfractions are observed; however, with these protein subfractions, no hemagglutination activity was observed. On the other hand, in both ayocote bean lectins, in the SDS-PAGE electrophoretic pattern of the fractions bound to the fetuin, only one band is observed, indicating that the lectin was purified. The calculated molecular weights were 28.5 kDa (Figure 2A lane 5) and 30.6 kDa (Figure 2B, lane 4), for the ABBL and ABPL, respectively; these differences, according to Pérez-Campos et al. [21], could be due to the concentration of nonpolar amino acids (phenylalanine, leucine and tyrosine residues), neutral sugars and changes in the characteristics of the protein in the species and subspecies within the same genus. The obtained results are in agreement with those reported by Feria et al. [19]; Pérez-Campos et al. [21]; Chen et al. [23]; Pan and Ng [24], who indicated that the lectins from P. coccineus are composed of four identical subunits with a molecular mass between 31 kDa to 33 kDa.

3.5. Carbohydrate and Mineral Content

The carbohydrate content in the lectin isolates from the purple variety show a difference of around 2% from the lectin isolates from the black variety (7.56 ± 0.02% and 5.98 ± 0.07%, respectively) and apparently according to Casas et al. [43] is correlated with the molecular weight of the lectins. For this reason, the ABPL shows a higher molecular weight than the ABBL, probably due to the oligosaccharides’ content bound to the nitrogen of the proteins being higher in the ABPL than in the ABBL. The carbohydrate content in the varieties tested is in concordance with those values reported by Pérez-Campos et al. [21]. For Phaseolus coccineus, however, it is higher than the carbohydrate content obtained from Phaseolus lunatus lectins [2].
With respect to the metal content of the Phaseolus coccineus lectins extracted from the purple and black varieties, as is observed in Table 2, calcium is the principal metal present in ABBL and ABPL, followed by magnesium. These results are according to those reported by Bonnardel et al. [44], who indicates that both divalent cations are characteristic in the structure of most legume lectins, and are associated with its biological activity; both lectins could be classified into C-type, that contain calcium in their binding site and could be associated with other metal ions, which show coordinated interactions with water molecules and carbohydrates, contributing to their biological activity [8]. Several studies have shown that the Ca+2 and Mn+2 are both associated with some highly conserved amino acids, such as aspartic acid and asparagine [6,43].
In both purple and black Phaseolus coccineus varieties, the Fe+2 and Zn+2 metal ions are in the lowest concentrations, however, in the same way as that of the Ca+2 and Mn+2 metal ions, the Fe+2 and Zn+2 metal ions also are associated with the structural conformation of the lectins. The Cu+2 was not detected in the ABPL structure. This metal ion has been reported in the Dolichos lablab, which is related to the enzymatic activity of the seed [45]. The Ca+2 and Mn+2 contents from the ABBL and ABPL, were higher than the contents of the Phaseolus acutifolius L. lectins, according to Valadez-Vega et al. [27].
As observed, the demetallization level was lowest in the ABBL (between 15.1% and 28.4%) than in the ABPL (between 31.6% and 49.7%), these results suggest the strongest bonding between the metal ion-lectin in the ABBL than in the ABPL, generating a more difficult demetallization process, according to Abhilash et al. [46] and Osman et al. [47]. On the other hand, in both Phaseolus coccineus varieties, after the demetallization process, the Ca+2 and Mg+2 are the metal ions with a higher prevalence.

3.6. Effect of the Metal Reincorporation on the Hemagglutination Activity

The results obtained from the demetallization and metal reincorporation effect on the hemagglutination activity of the Phaseolus coccineus lectins are shown in Table 3, where it is observed that the hemagglutination activity decreases around 87.7% and 51.9% in the ABBL and ABPL, respectively when they are demetallized. According to Abhilash et al. [46] and Osman et al. [47], the presence of metal ions is essential to stabilize the structure of the lectin without regard to amino acids that form the peptide bonds. In some cases, the demetallization process affects the orientation of the amino acid residues and their neighboring residues, which perturb drastically the structure of the protein and its interaction with other metal ions or the sugar-binding ability [46].
In both lectins, ABBL and ABPL, only a partial recuperation of the hemagglutinating activity was reached after metals’ reincorporation, which according to some authors, is caused by slight modifications in the interaction regions of the lectin, which are highly specific [46]. On the other hand, the lectins are considered multivalent, and for this reason, the binding of the lectins to the surface of cells often leads to a cross-linking aggregation of glycoproteins or glycolipids receptors [48,49,50]. Apparently, the demetallization process modified the lectin native structure, considering that the orientation of the metal-binding loop is stabilized for several coordinate bonds. For this reason, the demetallization process and reincorporation of metals perturbed the binding site lectin-carbohydrates, inhibiting partially, its hemagglutinating capacity [46,51].
In concordance with other authors, the hemagglutination activity apparently is influenced not only by the metal ions present in the lectin but also depends on other factors, such as the species, variety, and growing locations. For example, in lectins extracted from Phaseolus coccineus growing in China, the presence or absence of the metal ions do not show an effect on the hemagglutination activity [23], while those lectins extracted from Phaseolus coccineus from Oaxaca [19], a relation between the metal ions presence and hemagglutination activity was observed. Furthermore, similar results were obtained for the ABBL and ABPL tested in this work.

3.7. Hemagglutination Inhibition by Different Carbohydrates

The carbohydrates (monosaccharide, disaccharide, and trisaccharides) and the glycopeptide, ovalbumin, do not show an effect on the hemagglutination activity, as is observed in Table 4, however, the glycoprotein, fetuin showed an inhibitory effect on the hemagglutination activity. According to Bonnardel et al. [44], the interaction lectin-carbohydrate at the cellular level is dependent on the glycan type and its affinity with the lectin. On the other hand, in the same way as with the ions, the recognition capacity of the lectin to carbohydrates is due to highly conserved regions in the lectins characterized by the presence of Asp, Asn, and Leu amino acid residues [43]. According to the obtained results, both ABBL and ABPL are considered lectins Class-II or complex, with specificity toward N-glycans. The addition of monosaccharide, disaccharide, and trisaccharides to the ABBL and ABPL, do not show inhibition on the hemagglutination activity, and previous reports indicate that the hemagglutination activity of the lectins Class-II is only inhibited by branched or linear carbohydrate sequences [52,53]. For this reason, the inhibition of the ABBL and ABPL was reached only with the glycoprotein fetuin. In the same way, the PHA of Phaseolus vulgaris showed inhibition with porcine thyroglobulin, another glycoprotein [54]. These results indicate that the ABBL and ABPL are lectins Class-II.
A similar characteristic has been reported for other lectins extracted from another Phaseolus species [15,23,27]. The results obtained are in agreement with previous studies, where it is reported that the hemagglutination inhibition is caused by different carbohydrates in the other varieties from Phaseolus coccineus [19,21,23].

3.8. Temperature and pH Effects on the Hemagglutination Activity

In both ABBL and ABPL, the resistance to temperature assays showed that the hemagglutination activity is lost up to 90 °C (Figure 3A). On the other hand, no modifications in the hemagglutination activity of the ABPL were observed in the range between 25 and 75 °C, while in the ABBL, a decrease of around 50% in its hemagglutination activity in the same conditions was observed. The modifications in the hemagglutination activity by the effect of the thermal treatment is due to modifications in the secondary structure of the lectin which is associated with the lectin hemagglutination capacity, as indicated by Sun et al. [55] and Bonnardel et al. [44]. The differences in the thermostability of ABBL and ABPL could be caused not only by carbohydrate type but also by their content, and in this sense, the higher carbohydrate content in the ABPL originates a higher thermostability than the ABBL which is caused, according to Paul et al. [56], by the higher concentration of carbohydrates in the lectins.
The results obtained for the thermostability of the ABPL, are in agreement with those reported by Pan and Ng [24], who indicated that the lectins extracted from Phaseolus coccineus variety albonanus have a thermostability between 20 °C and 70 °C. Similar results were reported by Chen et al. [23] for Phaseolus coccineus grown in China (20 °C to 90 °C), while Jiang et al. [39] reported that the lectins extracted from Phaseolus vulgaris have a thermostability lower to 70 °C, however, it has also been reported that the thermostability temperature in some Phaseolus species is up to 80 °C [2]. The thermostability temperature is important, considering that high temperatures are not ideal for nutritional reasons, principally due to that the anti-nutritional factors could cause many alterations in an animal’s metabolism during its consumption. However, on the other hand, a high thermostability is advantageous for the biotechnological process due to the thermal resistance of the lectins during its processing [53].
The stability of the ayocote bean lectins in the pH interval tested showed that both ABBL and ABPL exhibited hemagglutination activity within a broad pH range (between pH 3 and pH 10), as observed in Figure 3. However, the lowest hemagglutination activity was obtained at low-pH values (between pH 2 and pH 3), which could be due to that in low-pH values, modifications at their secondary structure are carried out, principally in the α- helix structure as protein unfolding and modifications in the protonation state of charged amino acids, and in the terminal groups α-carboxyl and α-amino on the surface of lectins.
The broad pH range for the hemagglutination activity of ABBL and ABPL is in concordance with those reports for lectins extracted from other Phaseolus coccineus growing in China and reported by Chen et al. [23]. Compared with other studies on lectins extracted from another Phaseolus species, diverse levels of hemagglutination activity in several pH values were observed. For example, in lectins extracted from Phaseolus vulgaris, a similar hemagglutination activity in the same pH interval that was in ABBL and ABPL was observed [39], while in lectins extracted from the Phaseoulus lunatus var. cascabel and Phaseolus coccineus var. albonanus, the hemagglutination activity in a wider range of pH (pH 2 to pH 11 and pH 1 and pH 13, respectively), that in ABBL and ABPL, was maintained [2,24]. The obtained results about the hemagglutination activity considering a wide range of pH values are important, taking into account that when the lectins are ingested, the lectins could resist the stomach’s extremely acidic pH and the intestine’s alkaline pH, maintaining their biological or nutritional characteristics [2].

4. Conclusions

The lectins extracted from both purple and black varieties of the Phaseolus coccineus not only showed serological specificity with respect to its hemagglutination activity on erythrocytes (A, B, O, and rabbit erythrocytes), but in addition, lectins extracted from both purple and black varieties of the Phaseolus coccineus also showed hemagglutination activity on rabbit erythrocytes. No evidence of inhibition caused by saccharides (mono, di, or trisaccharides) of the lectins extracted from both varieties was observed, however, with the addition of glycoproteins (fetuin), an inhibition process of the hemagglutination activity in the lectins extracted from both varieties was observed. However, they can be totally inhibited by the fetuin, and for this reason, they can be classified as “Class-II lectins”. The purple ayocote bean lectins have a molecular weight higher than the black ayocote bean lectins (approximately 2 kDa). This could be due to their higher carbohydrate concentration which influences their high thermostability but does not influence the stability of the lectins by the effect of the pH’s changes. An important difference between both lectins was the metal content in their structure, where the Cu+2, was only observed in the purple ayocote bean lectins.

Author Contributions

Conceptualization, C.V.-V., J.L.M.-S. and J.M.S.J.-G.; data curation, C.V.-V., N.L.F.-M. and J.L.M.-S.; formal analysis, C.V.-V., N.L.F.-M. and J.L.M.-S.; funding acquisition, L.G.-C. and A.B.-N.; methodology, C.V.-V., J.M.S.J.-G., N.L.F.-M. and J.L.M.-S.; project administration, L.G.-C. and A.B.-N.; resources, L.G.-C. and A.B.-N.; supervision, L.G.-C. and A.B.-N.; writing—original draft, L.G.-C. and A.B.-N.; writing—review and editing, L.G.-C. and A.B.-N. All authors have read and agreed to the published version of the manuscript.

Funding

This research received no external funding.

Institutional Review Board Statement

Not applicable.

Informed Consent Statement

Not applicable.

Data Availability Statement

Not applicable.

Acknowledgments

The authors would like to acknowledge the Autonomous University of Hidalgo State for technical services during this study.

Conflicts of Interest

All authors declare that there are no conflict of interest.

References

  1. Tsaneva, M.; Van Damme, E.J. 130 years of Plant Lectin Research. Glycoconj. J. 2020, 37, 533–551. [Google Scholar] [CrossRef] [PubMed]
  2. e Lacerda, R.R.; do Nascimento, E.S.; de Lacerda, J.T.J.G.; da Silva Pinto, L.; Rizzi, C.; Bezerra, M.M.; Ribeiro, P.I.; Pereira, F.S.M.; Texeira, P.V.P.; Cristino, F.G.; et al. Lectin from seeds of a Brazilian lima bean variety (Phaseolus lunatus L. var. cascavel) presents antioxidant, antitumour and gastroprotective activities. Int. J. Biol. Macromol. 2017, 95, 1072–1081. [Google Scholar] [CrossRef] [PubMed]
  3. Vasconcelos, M.W.; Grusak, M.A.; Pinto, E.; Gomes, A.; Ferreira, H.; Balázs, B.; Williams, M. The Biology of Legumes and Their Agronomic, Economic, and Social Impact. In The Plant Family Fabaceae; Springer: Singapore, 2020; pp. 3–25. [Google Scholar]
  4. Zhang, J.; Shi, J.; Ilic, S.; Jun Xue, S.; Kakuda, Y. Biological properties and characterization of lectin from red kidney bean (Phaseolus vulgaris). Food Rev. Int. 2008, 1, 12–27. [Google Scholar] [CrossRef]
  5. Spadafranca, A.; Rinelli, S.; Riva, A.; Morazzoni, P.; Magni, P.; Bertoli, S.; Battezzati, A. Phaseolus vulgaris extract affects glycometabolic and appetite control in healthy human subjects. Br. J. Nutr. 2013, 10, 1789–1795. [Google Scholar] [CrossRef] [PubMed]
  6. Gautam, A.K.; Shrivastava, N.; Sharma, B.; Bhagyawant, S.S. Current scenario of legume lectins and their practical applications. J. Crop Sci. Biotechnol. 2018, 28, 217–227. [Google Scholar] [CrossRef]
  7. Dongre, P.; Shaikh, N.; Gangwal, P.; Pawar, K. Isolation, Partial Purification and Application of lectin isolated from Phaseolus vulgaris (Red Kidney Bean). Int. J. Res. Anal. Rev. 2019, 6, 685–692. [Google Scholar]
  8. Gautam, A.K.; Sharma, D.; Sharma, J.; Saini, K.C. Legume lectins: Potential use as a diagnostics and therapeutics against the cancer. Int. J. Biol. Macromol. 2020, 142, 474–483. [Google Scholar] [CrossRef] [PubMed]
  9. Fonseca, V.J.A.; Braga, A.L.; Ribeiro, F.J.; Teixeira, C.S.; da Hora, G.C.; Morais-Braga, M.F.B. A review on the antimicrobial properties of lectins. Int. J. Biol. Macromol. 2022, 195, 163–178. [Google Scholar] [CrossRef] [PubMed]
  10. Muzquiz, M.; Burbano, C.; Ayet, G.; Pedrosa, M.M.; Cuadrado, C. The investigation of antinutritional factors in Phaseolus vulgaris. Environmental and varietal differences. Biotechnol. Agron. Soc. Environ. 1999, 4, 210–216. [Google Scholar]
  11. Shi, J.; Xue, S.J.; Kakuda, Y.; Ilic, S.; Kim, D. Isolation and characterization of lectins from kidney beans (Phaseolus vulgaris). Process Biochem. 2007, 10, 1436–1442. [Google Scholar] [CrossRef]
  12. Bernardino-Nicanor, A.; Acosta-García, G.; Güemes-Vera, N.; Monañéz-Soto, J.L.; Vivar-Vera, M.A.; González-Cruz, L. Fourier transform infrared and Raman spectroscopic study of the effect of the thermal treatment and extraction methods on the characteristics of ayocote bean starches. J. Food Sci. Technol. 2017, 54, 933–943. [Google Scholar] [CrossRef] [PubMed]
  13. Teniente-Martínez, G.; Bernardino-Nicanor, A.; Cariño-Cortes, R.; Valadez-Vega, M.C.; Montañéz-Soto, J.L.; Acosta-García, G.; González-Cruz, L. Cytotoxic and genotoxic activity of protein isolate of ayocote beans and anticancer activity of their protein fractions. J. Food Meas. Charact. 2019, 13, 1040–1048. [Google Scholar] [CrossRef]
  14. Alvarado-López, A.N.; Gómez-Oliván, L.M.; Heredia, J.B.; Baeza-Jiménez, R.; García-Galindo, H.S.; Lopez-Martinez, L.X. Nutritional and bioactive characteristics of Ayocote bean (Phaseolus coccienus L.): An underutilized legume harvested in Mexico. CyTA-J. Food 2019, 17, 199–206. [Google Scholar] [CrossRef]
  15. Lagarda-Diaz, I.; Guzman-Partida, A.M.; Vazquez-Moreno, L. Legume lectins: Proteins with diverse applications. Int. J. Mol. Sci. 2017, 18, 1242. [Google Scholar] [CrossRef] [PubMed]
  16. Nowakova, N.; Kocourek, J. Studies on phytohemagglutinins: XX. Isolation and characterization of hemagglutinins from scarlet runner seeds (Phaseolus coccineus L.). Biochim. Biophys. Acta BBA-Protein Struct. 1974, 359, 320–333. [Google Scholar] [CrossRef]
  17. Ochoa, J.L.; Kristiansen, T. Stroma: As an affinity adsorbent for non-inhibitable lectins. FEBS Lett. 1978, 90, 145–148. [Google Scholar] [CrossRef]
  18. Ochoa, J.L.; Kristiansen, T. Purification and partial characterization of an agglutinin from Phaseolus coccineus var. alubia. Biochim. Biophys. Acta BBA-Protein Struct. Mol. Enzymol. 1982, 705, 396–404. [Google Scholar] [CrossRef]
  19. Feria, M.; Pérez-Santiago, A.; Cuevas, D.; Martínez, M.; Córdoba, F. Purification and partial characterization of a new anti-A1 lectin of Phaseolus coccineus collected in Oaxaca, Mexico. Prep. Biochem. Biotechnol. 1996, 26, 31–46. [Google Scholar] [CrossRef] [PubMed]
  20. Calderón, R.A.; Cordoba, F. Immunosuppressive activity of Phaseolus coccineus and Phaseolus vulgaris extracts in mice. Eur. J. Immunol. 1976, 6, 522–525. [Google Scholar] [CrossRef]
  21. Pérez-Campos, E.; Lascurain, R.; Sierra, C.; Espinosa, B.; Debray, H.; Bouquelet, S.; Zenteno, E. Erythroagglutinin from Phaseolus coccineus Var. Alubia: Chemical characterization, sugar specificity, and effect on blood coagulation factors. J. Agric. Food Chem. 1997, 45, 3747–3752. [Google Scholar] [CrossRef]
  22. Morgan, M.R.; Manen, J.F. Lectin variability in Phaseolus coccineus. Phytochemistry 1985, 24, 1981–1985. [Google Scholar] [CrossRef]
  23. Chen, J.; Liu, B.; Ji, N.; Zhou, J.N.; Bian, H.J.; Li, C.Y.; Chen, F.; Bao, J.K. A novel sialic acid-specific lectin from Phaseolus coccineus seeds with potent antineoplastic and antifungal activities. Phytomedicine 2009, 16, 352–360. [Google Scholar] [CrossRef] [PubMed]
  24. Pan, W.L.; Ng, T.B. A dimeric Phaseolus coccineus lectin with anti-oxidative, anti-proliferative and cytokine-inducing activities. Int. J. Biol. Macromol. 2015, 81, 960–966. [Google Scholar] [CrossRef] [PubMed]
  25. Mejía, E.G.; Hanskins, C.N.; Paredes-López, O.; Shannon, L.M. The lectins and the lectin CRMs of tepary beans (Phaseolus acutifolius) and tepary-common beans (Phaseolus vulgaris) hybrids. J. Food Biochem. 1989, 14, 117–126. [Google Scholar] [CrossRef]
  26. Sharma, A.; Bun-Ng, T.; Ho-Wong, J.; Lin, P. Purification and characterization of a lectin from Phaseolus vulgaris cv. (Anasazi Beans). J. Biomed. Biotechnol. 2009, 2009, 929568. [Google Scholar] [CrossRef] [PubMed]
  27. Valadez-Vega, C.; Guzmán-Partida, A.M.; Soto-Cordova, F.J.; Álvarez-Manilla, G.; Morales-González, J.A.; Madrigal-Santillán, E.; Villagómez-Ibarra, J.R.; Zúñiga-Pérez, C.; Gutiérrez-Slinas, J.; Becerril-Flores, M.A. Purification, biochemical characterization, and bioactive properties of a lectin purified from the seeds of white tepary bean (Phaseolus acutifolius Variety Latifolius). Molecules 2011, 16, 2561–2582. [Google Scholar] [CrossRef] [PubMed]
  28. Bradford, M. A rapid and sensitive method for the quantitation of microgram quantities of protein utilizing the principle of protein-dye binding. Anal. Biochem. 1976, 72, 248–254. [Google Scholar] [CrossRef]
  29. Laemmli, U. Cleavage of structural proteins during the assembly of the head of bacteriophage T4. Nature 1970, 227, 680–685. [Google Scholar] [CrossRef]
  30. Dubois, M.; Gilles, K.A.; Hamilton, J.K.; Rebers, P.A.; Smith, F. Colorimetric method for determination of sugars and related substances. Anal. Chem. 1956, 28, 350–356. [Google Scholar] [CrossRef]
  31. Fei-Fang, E.; Lin, P.; Ho-Wong, J.; Wah-Tsao, S.; Bun-Ng, T. A lectin with anti-HIV-1 reverse transcriptase, antitumor, and nitric oxide inducing activities from seeds of Phaseolus vulgaris cv. extralong autumn purple bean. J. Agric. Food Chem. 2010, 58, 2221–2229. [Google Scholar] [CrossRef]
  32. Aremu, M.O.; Olaofe, O.; Basu, S.K.; Abdulazeez, G.; Acharya, S.N. Processed cranberry bean (Phaseolus coccineus L.) seed flour for the African diet. Can. J. Plant Sci. 2010, 90, 719–728. [Google Scholar] [CrossRef]
  33. Avasilcai, L.; Teliban, G.; Morariu, D.I.; Stoleru, V.; Bibire, N.; Vieriu, M.; Panainte, A.D.; Munteanu, N. Parameters of chemical composition of Phaseolus coccineus L. pods grown in protected areas. Methods 2017, 68, 2955–2958. [Google Scholar] [CrossRef]
  34. Malik, A.H.; Holm, L.; Johansson, E. Soil and starter fertilizer and its effect on yield and protein composition of malting barley. J. Soil Sci. Plant Nut. 2012, 12, 835–849. [Google Scholar] [CrossRef]
  35. Kahlon, T.S.; Smith, G.E.; Qiming, S. In vitro binding of bile acids by kidney bean (Phaseolus vulgaris), black gram (Vigna mungo), bengal gram (Cicer arietinum) and moth bean (Phaseolus aconitifolins). Food Chem. 2005, 90, 241–246. [Google Scholar] [CrossRef]
  36. Kan, L.; Nie, S.; Hu, J.; Wang, S.; Bai, Z.; Wang, J.; Zhou, Y.; Jiang, J.; Zeng, Q.; Song, K. Comparative study on the chemical composition, anthocyanins, tocopherols and carotenoids of selected legumes. Food Chem. 2018, 260, 317–326. [Google Scholar] [CrossRef] [PubMed]
  37. Byanju, B.; Mahfuzur, R.M.; Hojilla-Evangelista, M.P.; Lamsal, B.P. Effect of high-power sonication pretreatment on extraction and some physicochemical properties of proteins from chickpea, kidney bean, and soybean. Int. J. Biol. Macromol. 2020, 145, 712–721. [Google Scholar] [CrossRef]
  38. Arteaga, T.I.; Castro, G.J.L.; Mendiola, O.E.; García, G.T.; Ángeles, Z.M.V.; García-Santoyo, V.; Torres, C.J.A.; Aguirre, C.; Phinney, B.; Blanco-Labra, A. Characterization of two non-fetuin binding lectins from tepary bean (Phaseolus acutifolius) seeds with differential cytotoxicity on colon cancer cells. J. Glycobiol. 2016, 5, 1–7. [Google Scholar]
  39. Jiang, B.; Wang, X.; Wang, L.; Lv, X.; Li, D.; Liu, C.; Feng, Z. Two-step isolation, purification, and characterization of lectin from zihua snap bean (Phaseolus vulgaris) seeds. Polymers 2019, 11, 785. [Google Scholar] [CrossRef]
  40. Khan, F.; Khan, R.H.; Sherwani, A.; Mohmood, S.; Azfer, M.A. Lectins as markers for blood grouping. Med. Sci. Monitor. 2002, 8, RA293–RA300. [Google Scholar]
  41. Quiróz-Sodi, M.; Mendoza-Díaz, S.; Hernández-Sandoval, L.; Carrillo-Ángeles, I. Characterization of the secondary metabolites in the seeds of nine native bean varieties (Phaseolus vulgaris and Phaseolus coccineus) from Querétaro, Mexico. Bot. Sci. 2018, 96, 650–661. [Google Scholar] [CrossRef]
  42. Mayolo-Deloisa, K.; Martínez, L.M.; Rito-Palomares, M. Técnicas cromatográficas y su aplicación a estudios de cambios conformacionales, estabilidad y replegamiento de proteínas. Rev. Mex. Ing. Quim. 2012, 11, 415–429. [Google Scholar]
  43. Casas, R.Z.Y.; Reyes Montaño, E.A.; Vega, C.N.A. Lectinas con dominio de leguminosa: Características estructurales y utilidad como agentes insectistáticos e insecticidas. Chil. J. Agric. Anim. Sci. 2016, 32, 157–169. [Google Scholar] [CrossRef][Green Version]
  44. Bonnardel, F.; Mariethoz, J.; Salentin, S.; Robin, X.; Schroeder, M.; Perez, S.; Lisacek, F.; Imberty, A. UniLectin3D, a database of carbohydrate binding proteins with curated information on 3D structures and interacting ligands. Nucleic Acids Res. 2019, 47, D1236–D1244. [Google Scholar] [CrossRef] [PubMed]
  45. Vishweshwaraiah, L.Y.; Acharya, A.; Prakash, B. Structural basis of noncanonical polyphenol oxidase activity in DLL-II: A lectin from Dolichos lablab. Biotechnol. Appl. Biochem. 2018, 65, 701–771. [Google Scholar] [CrossRef] [PubMed]
  46. Abhilash, J.; Dileep, K.V.; Palanimuthu, M.; Geethanandan, K.; Sadasivan, C.; Haridas, M. Metal ions in sugar binding, sugar specificity and structural stability of Spatholobus parviflorus seed lectin. J. Mol. Model. 2013, 19, 3271–3278. [Google Scholar] [CrossRef] [PubMed]
  47. Osman, M.E.; Awadallah, A.K.; Konozy, E.H. Isolation purification and partial characterization of three lectins from Tamarindus indica seeds with a novel sugar specificity. Int. J. Plant Res. 2016, 6, 13–19. [Google Scholar]
  48. González-Cuesta, M.; Mellet, C.O.; Fernández, J.M.G. Carbohydrate supramolecular chemistry: Beyond the multivalent effect. Chem. Commun. 2020, 39, 5207–5222. [Google Scholar] [CrossRef] [PubMed]
  49. Bonnardel, F.; Perez, S.; Lisacek, F.; Imberty, A. Structural database for lectins and the UniLectin web platform. In Lectin Purification and Analysis; Humana: New York, NY, USA, 2020; pp. 1–14. [Google Scholar]
  50. Ayesha, N.; Rao, A.G. Lectins-Robust and Quintessential Proteins of Nature: A Review. Agric. Rev. 2020, 1, 7. [Google Scholar] [CrossRef]
  51. Jang, H.; Lee, C.; Hwang, Y.; Lee, S.J. Concanavalin A: Coordination diversity to xenobiotic metal ions and biological consequences. Dalton Trans. 2021, 48, 17817–17831. [Google Scholar] [CrossRef] [PubMed]
  52. Gallagher, J.T. Carbohydrate-binding properties of lectins: A possible approach to lectin nomenclature and classification. Biosci. Rep. 1984, 8, 621–632. [Google Scholar] [CrossRef]
  53. He, S.; Simpson, B.K.; Sun, H.; Ngadi, M.O.; Ma, Y.; Huang, T. Phaseolus vulgaris lectins: A systematic review of characteristics and health implications. Crit. Rev. Food Sci. 2018, 58, 70–83. [Google Scholar] [CrossRef] [PubMed]
  54. Boniglia, C.; Fedele, E.; Sanzini, E. Measurement by ELISA of active lectin in dietary supplements containing kidney bean protein. J. Food Sci. 2003, 4, 1283–1286. [Google Scholar] [CrossRef]
  55. Sun, X.; He, S.; Ye, Y.; Cao, X.; Liu, H.; Wu, Z.; Yue, J.; Jin, R.; Sun, H. Combined effects of pH and thermal treatments on IgE-binding capacity and conformational structures of lectin from black kidney bean (Phaseolus vulgaris L.). Food Chem. 2020, 329, 127183. [Google Scholar] [CrossRef] [PubMed]
  56. Paul, T.J.; Strzelczyk, A.K.; Feldhof, M.I.; Schmidt, S. Temperature-Switchable Glycopolymers and Their Conformation-Dependent Binding to Receptor Targets. Biomacromolecules 2020, 21, 2913–2921. [Google Scholar] [CrossRef] [PubMed]
Figure 1. Affinity chromatography with fetuin–agarose matrix of two varieties of Phaseolus coccineus. The lectin was eluted with glycine solution.
Figure 1. Affinity chromatography with fetuin–agarose matrix of two varieties of Phaseolus coccineus. The lectin was eluted with glycine solution.
Agronomy 12 00716 g001
Figure 2. Polyacrylamide gel electrophoresis (SDS-PAGE) of the purification steps of the lectins of the two varieties of Phaseolus coccineus. (A) Black variety, (1) molecular weight marker, (2) protein extract, (3) fraction retained on the chromatographic column, (4) fraction not retained on the chromatographic column, (5) purified ABBL. (B) Purple variety (1) molecular mass markers, (2) protein extract, (3) fraction not retained on the chromatographic column, (4) purified ABPL. (C) Purified lectins (1) molecular weight marker, (2) purified ABBL, (3) purified ABPL.
Polyacrylamide gel electrophoresis (SDS-PAGE) of the purification steps of the lectins of the two varieties of Phaseolus coccineus. (A) Black variety, (1) molecular weight marker, (2) protein extract, (3) fraction retained on the chromatographic column, (4) fraction not retained on the chromatographic column, (5) purified ABBL. (B) Purple variety (1) molecular mass markers, (2) protein extract, (3) fraction not retained on the chromatographic column, (4) purified ABPL. (C) Purified lectins (1) molecular weight marker, (2) purified ABBL, (3) purified ABPL.
Figure 2. Polyacrylamide gel electrophoresis (SDS-PAGE) of the purification steps of the lectins of the two varieties of Phaseolus coccineus. (A) Black variety, (1) molecular weight marker, (2) protein extract, (3) fraction retained on the chromatographic column, (4) fraction not retained on the chromatographic column, (5) purified ABBL. (B) Purple variety (1) molecular mass markers, (2) protein extract, (3) fraction not retained on the chromatographic column, (4) purified ABPL. (C) Purified lectins (1) molecular weight marker, (2) purified ABBL, (3) purified ABPL.
Polyacrylamide gel electrophoresis (SDS-PAGE) of the purification steps of the lectins of the two varieties of Phaseolus coccineus. (A) Black variety, (1) molecular weight marker, (2) protein extract, (3) fraction retained on the chromatographic column, (4) fraction not retained on the chromatographic column, (5) purified ABBL. (B) Purple variety (1) molecular mass markers, (2) protein extract, (3) fraction not retained on the chromatographic column, (4) purified ABPL. (C) Purified lectins (1) molecular weight marker, (2) purified ABBL, (3) purified ABPL.
Agronomy 12 00716 g002
Figure 3. Modification of the hemagglutinating activity of the lectins of two varieties of Phaseolus coccineus by the effect of (A) temperature and (B) pH.
Figure 3. Modification of the hemagglutinating activity of the lectins of two varieties of Phaseolus coccineus by the effect of (A) temperature and (B) pH.
Agronomy 12 00716 g003
Table 1. Purification table of the lectin from two varieties of Phaseolus coccineus. Hemagglutination activity/mg of protein.
Table 1. Purification table of the lectin from two varieties of Phaseolus coccineus. Hemagglutination activity/mg of protein.
Purification StepVolume
(mL)
Total Protein (mg)Hemagglutination Activity Purification Factor Lectin
(%)
ABBL
Crude extract60.5282.532192.721.00
Proteinic extract23.5131.593618.371.65
Protein bound to fetuin (Lectin) 26.81.1265,437.1429.840.39
ABPL
Crude extract60.5284.591088.431.00
Proteinic extract23.0152.333125.762.87
Protein bound to fetuin (Lectin)28.01.34453,333.3349.000.47
Table 2. Metal ions content in the lectins of two varieties of Phaseolus coccineus in ppm.
Table 2. Metal ions content in the lectins of two varieties of Phaseolus coccineus in ppm.
Metal Ion
(ppm)
Lectin
BlackPurple
NativeDemetallizedNativeDemetallized
Ca+23528.32629.62375.41577.5
Cu+2NDND176.197.3
Fe+258.241.741.823.6
Mg+21965.61581.31470.1846.2
Mn+2168.635.198.519.3
Zn+2464.8395.5235.8118.4
ND: not detected.
Table 3. Hemagglutinating activity of the lectins of two varieties of Phaseolus coccineus demetallized and with the addition of metals ions.
Table 3. Hemagglutinating activity of the lectins of two varieties of Phaseolus coccineus demetallized and with the addition of metals ions.
Hemagglutination Activity
ABBL
Native65,437
Demetallized8000
Demetallized with metal ions addition64,000
ABPL
Native53,333
Demetallized25,600
Demetallized with metal ions addition51,200
Table 4. Effect of carbohydrates on the hemagglutination activity of the lectins of two varieties of Phaseolus coccineus.
Table 4. Effect of carbohydrates on the hemagglutination activity of the lectins of two varieties of Phaseolus coccineus.
Hemagglutinating Activity
MonosaccharidesABBLABPL
glucosen.i.n.i.
fructosen.i.n.i.
galactosen.i.n.i.
mannosen.i.n.i.
xylosen.i.n.i.
arabinosen.i.n.i.
ramnosen.i.n.i.
Disaccharides
maltosen.i.n.i.
trehalosen.i.n.i.
Trisaccharides
raffinosen.i.n.i.
Glycoproteins
ovalbuminn.i.n.i.
fetuin* 0.0217 mg/mL* 0.0217 mg/mL
n.i.: no inhibition; * lowest concentration to reach complete inhibition.
Publisher’s Note: MDPI stays neutral with regard to jurisdictional claims in published maps and institutional affiliations.

Share and Cite

MDPI and ACS Style

González-Cruz, L.; Valadez-Vega, C.; Juárez-Goiz, J.M.S.; Flores-Martínez, N.L.; Montañez-Soto, J.L.; Bernardino-Nicanor, A. Partial Purification and Characterization of the Lectins of Two Varieties of Phaseolus coccineus (Ayocote Bean). Agronomy 2022, 12, 716. https://doi.org/10.3390/agronomy12030716

AMA Style

González-Cruz L, Valadez-Vega C, Juárez-Goiz JMS, Flores-Martínez NL, Montañez-Soto JL, Bernardino-Nicanor A. Partial Purification and Characterization of the Lectins of Two Varieties of Phaseolus coccineus (Ayocote Bean). Agronomy. 2022; 12(3):716. https://doi.org/10.3390/agronomy12030716

Chicago/Turabian Style

González-Cruz, Leopoldo, Carmen Valadez-Vega, José Mayolo Simitrio Juárez-Goiz, Norma Leticia Flores-Martínez, José Luis Montañez-Soto, and Aurea Bernardino-Nicanor. 2022. "Partial Purification and Characterization of the Lectins of Two Varieties of Phaseolus coccineus (Ayocote Bean)" Agronomy 12, no. 3: 716. https://doi.org/10.3390/agronomy12030716

APA Style

González-Cruz, L., Valadez-Vega, C., Juárez-Goiz, J. M. S., Flores-Martínez, N. L., Montañez-Soto, J. L., & Bernardino-Nicanor, A. (2022). Partial Purification and Characterization of the Lectins of Two Varieties of Phaseolus coccineus (Ayocote Bean). Agronomy, 12(3), 716. https://doi.org/10.3390/agronomy12030716

Note that from the first issue of 2016, this journal uses article numbers instead of page numbers. See further details here.

Article Metrics

Back to TopTop