Abstract
Mutations in cardiac genes are one of the primary causes of infantile cardiomyopathy. In this study, we report the genetic findings of two siblings carrying variations in the MYBPC3 and SMYD1 genes. The first patient is a female proband exhibiting hypertrophic cardiomyopathy (HCM) and biventricular heart failure carrying a truncating homozygous MYBPC3 variant c.1224-52G>A (IVS13-52G>A) and a novel homozygous variant (c.302A>G; p.Asn101Ser) in the SMYD1 gene. The second patient, the proband’s sibling, is a male infant diagnosed with hypertrophic cardiomyopathy and carries the same homozygous MYBPC3 variant. While this specific MYBPC3 variant (c.1224-52G>A, IVS13-52G>A) has been previously reported to be associated with adult-onset hypertrophic cardiomyopathy, this is the first report linking it to infantile cardiomyopathy. In addition, this work describes, for the first time, a novel SMYD1 variant (c.302A>G; p.Asn101Ser) that has never been reported. We performed a histopathological evaluation of tissues collected from both probands and show that these variants lead to myofibrillar disarray, reduced and irregular mitochondrial cristae and cardiac fibrosis. Together, these results provide critical insight into the molecular functionality of these genes in human cardiac physiology.
1. Introduction
Infantile cardiomyopathies affect at least one per 100,000 children < 18 years old in the USA alone and have severe impacts on pediatric morbidity and mortality [1]. Around 40% of symptomatic children either undergo heart transplant or die within 2 years [2]. In this population, genetic mutations are becoming increasingly more recognized as causative. While hypertrophic cardiomyopathy (HCM) is the most commonly inherited cardiac disorder [1,3], mutations in sarcomeric genes are currently the most commonly known cause of cardiomyopathy in children [1,2]. In addition, HCM can not only result from significant genetic heterogeneity but can also produce substantial phenotypic heterogeneity between individuals with mutations in the same gene or even with the same mutation [1]. While genetic testing and evaluation has improved the ability to identify genetic variants underlying the etiology, it is not always routinely and universally incorporated into the clinical care of children with cardiomyopathy. Therefore, it is thought that many pathogenic variants in pediatric patients remain unidentified.
MYBPC (myosin-binding protein-C) is a modular polypeptide protein that functions as a structural component of the striated muscle sarcomere. There are three isoforms of MYBPC in humans: MYBPC1 is expressed in slow skeletal muscle, MYBPC2 is expressed in fast skeletal muscle and MYBPC3 is only expressed in cardiac tissue [4,5]. MYBPC3 is a key component of the thick filaments, where it binds to myosin, titin and actin and functions to maintain structural integrity of the sarcomere and regulate cardiac contractility [6,7,8,9,10]. Currently, there are >350 individual variants that have been identified in the MYBPC3 gene; most of these are truncating mutations (>60%) affecting adults [11]. The vast majority of MYBPC3-associated HCM mutations are heterozygous, and patients often have disorganized sarcomere structures in the heart and manifest, as late adult-onset symptoms, with a slow disease progression [10,12,13]. In the pediatric population, it has been reported that 14% of pediatric hypertrophic cardiomyopathy cases are caused by compound heterozygous variants in MYBPC3, which occur when both copies of a particular gene each carry a mutation (not necessarily the same mutation) [10].
Intronic variants in MYBPC3 in the context of hypertrophic cardiomyopathy have also been identified [14,15,16] and, in the last few years, have focused on one specific intronic MYBPC3 variant c.1224-52G>A (IVS13-52G>A) [17,18,19,20,21]. Specifically, Bagnall et al. reported on a cohort of unrelated gene-elusive probands with HCM that had undergone genome sequencing, in which they identified the intronic MYBPC3 variant c.1224-52G>A in two adult male family members, as well as an adult proband from another family [17]. In a separate study by Harper et al., this MYBPC3 c.1224-52 G>A variant was shown to be responsible for the HCM phenotype previously attributed to the c.3628-41_3628-17del polymorphism in the South Asian population [18]. In another study, led by Lopes et al., they performed large-scale unbiased screening of intronic variants in MYBPC3 in 1644 unrelated and consecutive patients with HCM and identified 18 adults carrying the MYBPC3 c.1224-52 G>A variant [20]. Interestingly, co-segregation of this variant with HCM was demonstrated in three families [20]. Finally, in the most recent study published by Torrado et al., they analyzed a large HCM cohort in which they identified 12 adult carriers of this specific MYBPC3 c.1224-52G>A variant [21]. Thus, to date, this variant has been identified independently and in conjunction with other variants in adult patients with hypertrophic cardiomyopathy [17,18,19,20,21,22].
SMYD1 (SET and MYND domain-containing protein 1) is a lysine methyltransferase, which has been shown to methylate lysine 4 on histone H3, an established mark of gene activation [23,24,25,26,27]. SMYD1 is only expressed in skeletal and cardiac muscle [28,29,30] and was shown to play a significant role in regulating cardiac development [29]. Specifically, the constitutive loss of Smyd1 in mice in utero leads to death at embryonic stage E9.5 due to cardiac defects, manifested by the disrupted maturation of ventricular cardiomyocytes, malformation of the right ventricle and truncation of the outflow tract [29,31]. It has also been shown that the conditional cardiomyocyte-specific loss of Smyd1 is lethal at embryonic stage E12.5–15.5, accompanied by pericardial edema, thinned pericardium and decreased trabeculation [31]. In the adult myocardium, the loss of Smyd1 using inducible, cardiomyocyte-specific Smyd1 knockout mice leads to the massive downregulation of mitochondrial bioenergetics [27], cardiac hypertrophy, fibrosis and heart failure [32]. While SMYD1 has been the subject of several studies in zebrafish and mice, since it was first identified, only in the last few years have human patients been identified with variants in the SMYD1 gene exhibiting cardiomyopathies. There are currently three previous reports of patients with SMYD1 variant-associated cardiomyopathies: the first was a 24-year-old patient with hypertrophic cardiomyopathy and a de novo heterozygous variant in the SMYD1 gene (c.814T>C; p.Phe272Leu) [33]; the second patient displayed left ventricular noncompaction (LVNC) cardiomyopathy and arrhythmias who underwent heart transplantation and has a truncating heterozygous variant in the SMYD1 gene (c.675delA; p.Lys225Asnfs*8) [34]; the third report described a family where two siblings, male (7 days old) and female (4 years old), were both diagnosed with congenital heart disease (aortic valve stenosis “AVS” and bicuspid aortic valve “BAV”) and tested positive for a heterozygous variant in the SMYD1 gene (c.1321C>T; p.Arg441Trp), in addition to a BMP10 variant (c.625C>T; p.Arg209Cys) [35].
Here, we report a patient with biventricular heart failure carrying two homozygous variants. The first variant identified was a homozygous variant (c.302A>G; p.Asn101Ser) in the SMYD1 gene via whole exome sequencing. This variant has never been reported before, although this patient was briefly mentioned in a previously published case report, which described the patient’s original presentation and medical care during the biventricular assist device (BiVAD) implant and subsequent cardiac transplant. Even though the report mentioned the detection of a SMYD1 variant, no details about the variant were reported [36]. Since the original report, we have followed the patient clinically and consented the patient, her parents and siblings to a research study for further functional analyses. In this report, we present the whole exome sequencing (WES) results of this proband (P1), which revealed the presence of a novel homozygous missense SMYD1 variant (c.302A>G; p.Asn101Ser), as well as a homozygous truncating MYBPC3 variant (c.1224-52G>A, IVS13-52G>A), the latter variant detected in her younger male sibling (P2), who was also diagnosed with infantile cardiomyopathy. Familial testing for these two variants was performed for the rest of the family. We also performed a histopathological analysis of the skeletal and cardiac tissues from the probands, which show cellular abnormalities in myofibers and mitochondrial structures, including the analysis of cristae. These results constitute the first analysis of the MYBPC3 (c.1224-52G>A, IVS13-52G>A) and SMYD1 (c.302A>G; p.Asn101Ser) variants in human tissue, functionally link genetic variations to cardiomyocyte dysfunction and provide key biological insights into the development of cardiomyopathies in pediatric patients.
2. Materials and Methods
2.1. Human Studies
Informed consent was obtained and approved for all participants in accordance with the University of Pittsburgh IRB protocol #19040093. For underaged participants, parental informed consent was obtained and approved. All methods were performed in accordance with the relevant guidelines and regulations outlined by the IRB.
2.2. Whole Exome Sequencing/Familial Genetic Testing
Whole exome sequencing (WES) was performed on a clinical basis on the affected female proband (P1) and both unaffected parents by GeneDx (GeneDx, Gaithersburg, MD, USA). The raw sequencing data was not provided from the clinical lab; only variants identified from the sequencing were released. Targeted genetic testing for the MYBPC3 c.1224-52G>A (IVS13-52G>A) and SMYD1 (c.302A>G; p.Asn101Ser) variants was performed on the affected male proband (P2) and two unaffected brothers.
2.3. Histology and Ultrastructural Analysis
Muscle from the right thigh (from P1) and tissue from the left and right ventricles of the P1 and P2 were obtained. The skeletal muscle biopsy was performed during the clinical workup of the P1 patient at three months of age. For both P1 and P2 patients, cardiac tissue was obtained from the entire heart after transplant. For light microscopy sections, tissues were immediately fixed in 10% formalin, embedded in paraffin, and histologic sections cut at 4 µm, mounted on charged slides and stained using well-established methods for hematoxylin and eosin (H&E). Photomicrographs were obtained using an Olympus microscope or capturing scanned digital images. Skeletal muscle tissue was also evaluated using Gomori’s trichrome stain, according to the manufacturer’s instructions. For the evaluation of fibrosis, cardiac tissue was stained with Masson’s trichrome according to the manufacturer’s instructions. Immunohistochemistry for Desmin was performed with prediluted clone DE-R-11(R) from Roche Tissue Diagnostics (Indianapolis, IN, USA). For the ultrastructural analysis, muscle and heart samples were fixed in Karnovsky’s solution (2% Paraformaldehyde/2.5% Glutaraldehyde in Sodium Cacodylate Buffer), followed by Epon embedding, ultramicrotomy sectioning and staining with uranyl acetate and lead citrate. Ultrathin sections (50 to 100 nm) were prepared and examined with a Phillips transmission electron microscope.
3. Results
3.1. Clinical Description of the Female Proband (P1)
A brief report of the proband P1 carrying the novel SMYD1 variant was published in 2019 [36], and some of the details have also been included here for a comprehensive overview of the phenotype, including the proband’s original presentation, medical care requiring biventricular assist device (BiVAD) implant and subsequent cardiac transplant. P1 was a female child of unaffected, healthy parents in a consanguineous relationship (first cousins). The proband’s parents have ethnic backgrounds from the Middle East (mother: Qatar and Syria, father: Qatar). The child was delivered at full term via scheduled C-section following an uncomplicated pregnancy to a mother who had previously experienced one early first trimester miscarriage, one healthy pregnancy that resulted in a healthy male child and a third pregnancy that resulted in a stillborn male child (secondary to nuchal cord) with the same partner (Figure 1). The proband’s older male sibling was unaffected and presented with a normal echocardiogram. At birth, P1 appeared normal until the third day after birth, when she developed systemic desaturation responsive to supplemental oxygen. The initial echocardiogram showed normal biventricular function. Over the next 2 weeks, her left ventricular ejection fraction (LVEF) fell to 38% but improved after the initiation of milrinone and eventual transition to oral heart failure therapy. She also developed ectopic atrial tachycardia that was responsive to amiodarone. Cardiac catheterization showed normal coronary artery anatomy and antegrade blood flow. Despite treatment and initial stabilization, the patient deteriorated rapidly over the next two months, as manifested by progressive biventricular heart failure (ejection fraction of <30%) and recurrent tachyarrhythmia. The patient received biventricular mechanical circulatory support as a successful bridge to cardiac transplantation at four months of age [36].
Figure 1.
Pedigree of the family carrying the SMYD1 (c.302A>G; p.Asn101Ser) variant and MYBPC3 c.1224-52 G>A (IVS 13-52G>A) variant. Females are represented by circles, males are represented by squares, miscarriages are represented by triangles, termination of pregnancy (TOP) is represented by a triangle and diagonal line, diagonal line indicates deceased and double horizontal lines indicate consanguinity. Both parents are unaffected and heterozygous for both variants, while P1 is homozygous for both SMYD1 and MYBPC3 variants and P2 is homozygous for the MYBPC3 variant (arrows). TOP is homozygous for MYBPC3. The two unaffected male children are not carriers for either gene variant. Male stillborn (SB) deceased at 7 months gestation was not tested.
In this report, we have included updated information on the patient’s health and well-being since the original description. P1 was seen in the medical genetics clinic post-heart transplant at age 2 years and 11 months old, as well as 5 years of age. She did not have any signs or symptoms of muscle hypotonia during the exam, and no developmental concerns were noted or reported during both clinical examinations, even though the patient received physical therapy previously due to prolonged hospitalization for heart failure/heart transplant and recovery. The patient had her first steps at 15 months of age after using a walker for several months, and at the day of her genetics follow-up at ~3 years of age, her parents reported that she was able to run and climb up and down the stairs with no issues. This is especially interesting given the skeletal muscle biopsy performed at 3 months of age was abnormal, as detailed in the histology section below.
Since the original report, two additional children were born to the same parents (as presented on the pedigree in Figure 1), including one unaffected and one affected male, presented below. The parents report no abnormal cardiac symptoms such as shortness of breath or chest pain but have not had formal cardiac evaluations despite recommendations to follow up with cardiology and have echocardiograms performed.
3.2. Clinical Description of the Male Proband (P2)
P2 was born by forceps-assisted vaginal delivery at 38 weeks and 5 days gestation to unaffected and healthy parents in a consanguineous relationship (first cousins). This child was the seventh pregnancy for these parents. After the birth of P1 (the parent’s 4th pregnancy), the parents experienced one healthy pregnancy that resulted in a healthy male child, one early first trimester miscarriage and, finally, the birth of P2, followed by one early termination of pregnancy due to positive prenatal testing for the homozygous MYBPC3 c.1224-52G>A (IVS13-52G>A) variant, as presented in Figure 1 and Table 1.
Table 1.
Whole exome sequencing/familial genetic testing results from the proband’s family showing variants in MYBPC3 and SMYD1.
In utero imaging of P2 was suspicious for left ventricular cardiomyopathy and a moderate apical ventricular septal defect. One day prior to delivery, an ultrasound noted oligohydramnios, appropriate fetal growth and normal doppler studies. A postnatal echocardiogram confirmed a mildly dilated left ventricle with prominent trabeculations, mildly decreased left ventricular function (LVEF 48%), mild-to-moderately decreased right ventricular systolic function and a small apical muscular ventricular septal defect. Repeat echo at one week of life revealed the progression of LV dysfunction with an LVEF of 12%. He was stabilized with milrinone and furosemide infusions, and mechanical ventilation. At 5 weeks of age, his LVEF was stable at 44% on a milrinone infusion and no respiratory support. He was weaned off milrinone at 7 weeks of life to oral heart failure therapies.
Clinically, P2 was stable with outpatient medical management of his cardiac dysfunction until the age of 4 months, at which point he exhibited lethargy, tachypnea, irritability, poor oral intake and weight loss. At that time, he was admitted to the cardiac intensive care unit for acute on top of chronic heart failure. After 2 weeks of aggressive medical management and failure to improve symptoms, he underwent placement of a left ventricular assisted device and closure of the ventricular septal defect (VSD) and patent foramen ovale (PFO). He remained admitted to the hospital for roughly 5 months until a successful heart transplantation at 9 months of age was performed. His postoperative course was uneventful. In terms of his development, P2 is currently 19 months old and is developmentally doing well and meeting milestones. He initially had mild residual delays secondary to his prolonged hospital course and mechanical circulatory support but is currently thriving at home with his family.
3.3. Identification of SMYD1 and MYBPC3 Variants in New Patients
Whole exome sequencing (WES) performed on DNA from the family revealed that P1 is homozygous for a novel variant c.302A>G (p.Asn101Ser) in the SMYD1 gene (GenBank: NM_198274.3), as well as homozygous for a variant c.1224-52G>A (IVS13-52G>A) in the MYBPC3 gene (GenBank: NM_000256.3). Her sibling, P2, is homozygous for the same MYBPC3 variant c.1224-52G>A (IVS13-52G>A). A summary of the variants identified from WES or targeted testing is presented in Table 2. Both parents are heterozygous for both SMYD1 and MYBPC3 variants, and the two living siblings are unaffected and do not carry the familial SMYD1 and MYBPC3 variants (Figure 1 and Table 1).
Table 2.
Gene variants identified by whole exome sequencing in P1.
The specific MYBPC3 c.1224-52G>A (IVS13-52G>A) variant generates a cryptic acceptor splice site within intron 13, causing 50 bp intronic sequence inclusion in the mRNA and expansion of exon 14. This new reading frame leads to a premature stop codon at amino acid position 438, which is 30 amino acids post-Gly407, the first amino acid of exon 14 [17] (Figure 2A,B). This MYBPC3 variant has been previously identified and reported in adult patients in a few publications (as summarized in Table 3) and is classified as a “pathogenic or likely pathogenic” variant according to ClinVar with gnomAD MAF of 0.00003191 [37].
Figure 2.
Identification of a MYBPC3 (c.1224-52 G>A (IVS 13052 G>A) and novel SMYD1 (c.302A>G; p.Asn101Ser) variant in humans. (A) Linear representation of the predicted structural domains of human MYBPC3 containing modules with immunoglobulin (blue ellipses) and fibronectin folds (green squares) termed C0 through C10 and an unstructured M domain (light green square) called the myosin S2-binding region. A truncating variant that was identified in both P1 and P2 and that leads to the premature stop codon at V438 is indicated with an arrow. (B) The NMR solution structure of the M domain trihelix bundle and C2 of human cardiac myosin-binding protein C (PDB ID: 5K6P) showing the amino acid Valine at position 438 (in red), where the premature stop codon is located. (C) Linear representation of the predicted structural domains of the SMYD1 protein in humans based on published mouse SMYD1 domains. A single amino acid substitution at position 101 (Asn to Ser) that was identified in P1 is indicated with an arrow. (D) The crystal structure of the entire mouse SMYD1 protein (PDB ID: 3N71) showing the location of residue 101 at the substrate binding site.
Table 3.
Studies reporting the MYBPC3 c.1224-52G>A variant in humans.
The novel SMYD1 variant is a single nucleotide substitution at position 302 from adenine to guanine (c.302A>G), leading to an amino acid substitution at position 101 from asparagine to serine (abbreviated as Asn101Ser or N101S), as shown in Figure 2C,D. This SMYD1 variant is currently classified as a “variant of uncertain significance (VUS)”, because it is a novel missense variant with no previous association to human disease or specific functional studies to this variant before this report, although there is strong evidence in animal models linking perturbations in SMYD1 to cardiomyopathies. In Table 4, we present information about reported variants in the human SMYD1 gene that were identified in patients with cardiac disease, supplemented with additional information on gnomAD constrain values and the prediction of in silico algorithms for comprehensiveness of the information regarding these variants.
Table 4.
Reported variants in the human SMYD1 gene identified in patients with cardiac diseases.
3.4. Myocardial and Skeletal Biopsy Pathology
While MYBPC3 is a cardiac-specific isoform of the MYBPC protein, SMYD1 displays tissue-specific expression restricted to striated muscle that includes cardiac and skeletal tissue [28]. Since this unique pattern of expression, both cardiac and skeletal tissues that were collected from P1 were evaluated for histopathological changes. The cardiac tissue that was collected from P2 was subjected to histopathological analysis as well.
Examination of the P1 cardiac tissue sections showed markedly abnormal myocardium with extensive fibrosis and multifocal calcifications. The remaining cardiomyocytes exhibited variable sizes, with an irregular, haphazard architecture and areas of cytoplasmic vacuolization. No acute or chronic inflammation was identified within the myocardium (Figure 3A–F). Additional high-power ultrastructural images show the presence of abnormal mitochondria with reduced and irregular cristae or loss of cristae ranging from mild to extensive loss (Figure 3E–H).
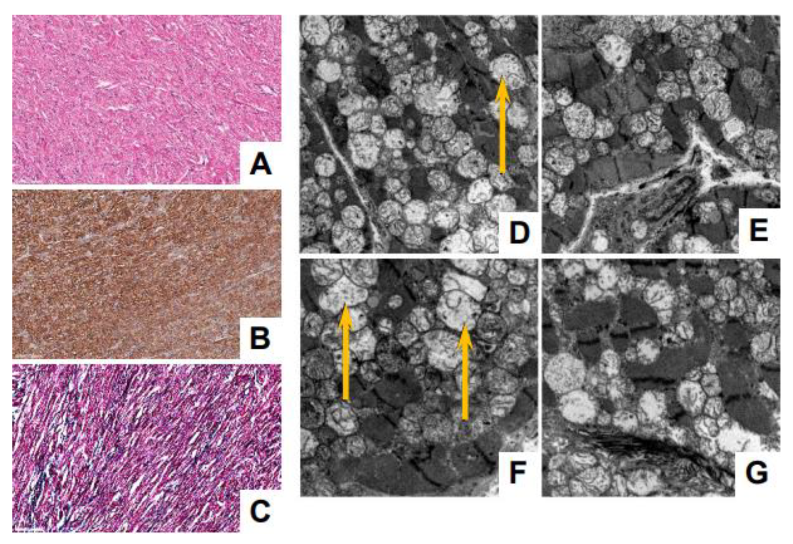
Figure 3.
Histological and ultrastructural analysis of cardiac tissue and skeletal muscle from P1. Cardiac Tissue: (A) Myocardium photomicrograph showing multifocal calcification and areas of fibrosis replacing myocardial fibers (H&E; 100×). (B) Higher magnification showing a disarray of myocardial fibers (H&E 200×). (C) Collagen fibers appear in blue on this Masson’s trichrome stain between myocardial fibers (Masson’s trichrome; 200×). (D) Immunohistochemical staining for desmin, an intermediate filament characteristic of muscular tissue showing a loss of myocardial fibers replaced by fibrosis (IHC for desmin; 200×). (E,F) Myocardial fibers show the mildly altered architecture of the sarcomeric elements between which there are mitochondria with reduced and irregular cristae (magnifications: E = 8900×; F = 11,000×). (G) Several mitochondria show a loss of cristae (magnification: 18,000×). (H) The loss of mitochondrial cristae is extensive, with some mitochondria almost completely devoid of them (arrows; magnification: 22,000×). Skeletal Muscle: (I) Hematoxylin and eosin-stained frozen sections demonstrate a moderately increased variation in myofiber size with a few hypertrophic fibers and many scattered atrophic small fibers. There is no inflammation, and there are no definitive degenerating fibers. (J) Gomori’s trichrome stain identifies very rare fibers with vacuoles containing red granules (asterisk). (K) Ultrastructural studies show abnormal mitochondria with osmophilic inclusions and abnormal cristae.
Muscle biopsy of the right thigh from P1 showed atrophy affecting both type 1 and 2 fibers without inflammation or myofiber necrosis (Figure 3I). There was mild myofibrillar disorganization seen on NADH-tetrazolium reductase reacted sections (not shown). Rare vacuoles were identified containing eosinophilic material on Gomori’s trichrome stain (Figure 3J). No ragged red fibers were present. Ultrastructural studies confirmed myofibrillar disorganization and demonstrated an overall paucity of mitochondria. High-power ultrastructural images identified abnormal mitochondria with osmophilic irregular or rectangular inclusions and abnormal cristae (Figure 3K).
The histopathological analysis of cardiac tissue from P2 did not reveal significant changes in the morphologic appearance of the myocardium at the light microscopy level (Figure 4A–C). The ultrastructural analysis demonstrates the preserved morphology of the sarcomeres but profoundly abnormal mitochondria with extensive loss of cristae (Figure 4D–G).
Figure 4.
Histological and ultrastructural analyses of cardiac tissue from P2. (A–C) Light microscopy evaluation indicates a preserved architectural myocardial pattern, free of fibrosis and calcifications. (B) Immunohistochemical staining with desmin, showing normal preservation of this intermediate muscle-specific filament. Scale bar = 100 µm. (D–G) Ultrastructural analysis indicates myocardial fibers that show the preserved architecture of the sarcomeric elements; the mitochondria demonstrate reduced and irregular cristae (magnifications: E = 4800×; FG = 6800×). (D,F) Extensive mitochondrial loss of cristae, with some mitochondria almost completely devoid of them, as indicated by arrows (magnification: D = 4800×).
4. Discussion
Infantile-onset cardiomyopathy is a rare disease, and when diagnosed, it carries a substantial risk of morbidity and mortality [2,38,39]. Genetic testing is recommended for cardiomyopathies per the guidelines of the American College of Medical Genetics and Genomics (ACMG) [40]. While there are several types of cardiomyopathies with significant genetic heterogeneity and overlap in the phenotype [41,42], sarcomeric gene mutations associated with cardiomyopathy are the most common and have been found in patients presenting from infancy to adulthood [3,40,43].
The MYBPC3 gene encodes the cardiac isoform of myosin-binding protein C, a phosphoprotein located in the central region of the A-band of the sarcomere that plays an important role in the regulation of cardiac contractility. Its phosphorylation is essential for myosin–actin interaction and, therefore, for force production. Through its interaction with myosin, titin and actin, it contributes to the structural integrity of the sarcomere, playing an important role in thick filament assembly and stability. Pathogenic variants in MYBPC3 are one of the main causes of hypertrophic cardiomyopathy (HCM) development. Previous reports have described many variants identified in the MYBPC3 gene [44,45]. Around 75% of these variants were found to be loss-of-function and resulted in absent or truncated proteins with impaired ability to bind to other sarcomeric proteins, being the main reason for the development of hypertrophic cardiomyopathy in both pediatric and adult populations [44,45]. To date, this specific MYBPC3 c.1224-52 G>A (IVS13-52 G>A) variant has only been identified in adult patients with hypertrophic cardiomyopathy containing a heterozygous variant or unknown heterozygosity [17,18,19,20,21] (summarized in Table 3). This specific truncation occurs in the immunoglobulin-type C2 domain, which forms a compact globular structure. It has been proposed that domains C2, C3 and C4 are required to provide the N-terminal region with sufficient flexibility so that the interaction occurs with the S2 region of myosin or with the actin filament [9,46]. The presence of this variant is expected to produce an abnormal transcript that could be rapidly degraded before translation by the nonsense-mediated mRNA decay pathway.
The vast majority of the MYBPC3 variants that lead to hypertrophic cardiomyopathy are present in adult populations and have been associated with late-onset disease [12,47]. To date, there is very limited data available to link MYBPC3 variants to pediatric onset HCM. This includes a common founder Amish mutation in the MYBPC3 gene producing the splice variant c.3330+2T>G. Individuals that are heterozygous for this variant manifest with HCM in adulthood, while individuals that are homozygous for this variant present with severe infantile HCM that could be lethal unless they receive a heart transplant [48,49]. There are no reports describing a specific phenotype of the homozygous MYBPC3 c.1224-52 G>A (IVS13-52 G>A) variant in pediatric patients with cardiac disease. Here, we report the clinical presentation of two infants carrying a homozygous variant c.1224-52 G>A (IVS13-52G>A) in the MYBPC3 gene and presenting with severe infantile cardiomyopathy. P2 (homozygous for this variant) presented with progressive biventricular dysfunction in the first week of life. He responded to aggressive medical therapy and remained clinically stable for the first 4 months of life before deteriorating to the point of needing mechanical circulatory support. Interestingly, the histopathological evaluation of the cardiac tissue from P2 did not reveal significant changes in the myocardium morphology, including sarcomere integrity. On the other hand, the histopathological analysis from cardiac tissue from P1 indicated markedly abnormal myocardium with extensive fibrosis and multifocal calcification. P1, who is homozygous for both the MYBPC3 c.1224-52 G>A (IVS13-52 G>A) and SMYD1 c.302A>G (p.Asn101Ser) variants, presented in a similar fashion to P2 but progressed more rapidly to mechanical circulatory support. P1 began experiencing cardiac complications three days after birth and declined rapidly over the next 2 months, at which time the patient received a BiVAD as a bridge to cardiac transplantation [36]. The additional histological analysis of skeletal muscle from P1 highlights abnormalities in myofibrillar organization in both cardiac and skeletal muscle that is consistent with observations in zebrafish, which showed that SMYD1 was necessary for sarcomere assembly and organization [50,51,52]. It is intriguing that P1 retained the ability to walk with no signs of hypotonia at the age of 2 years and 11 months during the clinical post-op evaluation and, most recently, at almost 6 years of age, even with the notable histological changes in the skeletal muscle. This could be due to the fact that it is too early to see clinical signs of skeletal muscle involvement during childhood. In addition, the ultrastructural analysis of cardiac tissue from both P1 and P2 revealed profoundly abnormal mitochondria with grossly reduced or lost cristae. Currently, there are very limited studies linking hypertrophic cardiomyopathy with pathogenic variants in MYBPC3 to mitochondrial abnormalities and mitochondrial dysfunction [53], and this specific variant c.1224-52 G>A, to our knowledge, was not linked previously to mitochondrial abnormalities and/or dysfunction. Thus, future studies will be necessary to identify the specific molecular and pathophysiological mechanisms leading to these mitochondrial abnormalities.
Although the initial WES analysis of P1 first identified this novel SMYD1 c.302A>G (p.Asn101Ser) variant (as briefly mentioned in the case report published in 2019 [36]), the subsequent reanalysis of data from this patient revealed the presence of a second pathogenic variant in MYBPC3 c.1224-52 G>A (IVS13-52G>A). The more rapid progression to infantile cardiomyopathy in the P1 patient may suggest an additive effect of both variants, since P1 had a more rapid progression and need for mechanical circulatory support by 2 months of age, as compared to P2, who is homozygous for the MYBPC3 variant only. However, it is likely the cardiac dysfunction may be solely or largely driven by the MYBPC3 variant, with minimal or no contribution from the SMYD1 c.302A>G (p.Asn101Ser) variant. Nevertheless, it is tempting to speculate that the SMYD1 c.302A>G (p.Asn101Ser) variant may contribute to the cardiac dysfunction in P1, considering the fact that SMYD1 is expressed in both heart and skeletal muscle. MYBPC3 is expressed exclusively in heart muscle [4], not in skeletal muscle, where we also observe a similar cellular phenotype as cardiac tissue with abnormal mitochondrial morphology. Ultimately, additional functional studies will be necessary to determine the individual contribution of the SMYD1 and MYBPC3 variants to the phenotype, including in vitro and in vivo studies targeting each variant individually and in combination.
Author Contributions
M.W.S. and S.F.: concept and design of manuscript; L.G.-G.: performed a clinical evaluation of patients and provided clinical descriptions; L.G.-G.: obtained consent from the patient’s parents, collected samples and completed genetic testing on the rest of the family members; M.D.Z.: performed cardiac evaluation and participated in the decision for cardiac transplantation of the patients, reviewed the echocardiograms and edited the clinical description; L.K.W.: a genetic counselor who obtained detailed family history, helped with sending genetic testing on all family members and counseled the family; J.P.O.: provided information about the age range of patients that were identified as carriers of the MYBPC3 variant that were listed in the Health In Code database; M.R.-M., A.M.G. and D.F.M.: prepared and analyzed the human histology samples; M.W.S., M.R.-M., A.M.G. and D.F.M.: prepared the figures; M.W.S., S.F., M.D.Z., A.M.G., L.K.W. and L.G.-G.: edited and revised the manuscript and figures and M.W.S., M.R.-M., A.M.G., D.F.M., M.D.Z., L.K.W., S.F. and L.G.-G.: analyzed data and interpreted the results. All authors have read and agreed to the published version of the manuscript.
Funding
This research was funded by the Nora Eccles Harrison Treadwell Foundation Grant 10038331 and the National Institutes of Health Grants R01-HL-130424 (S.F.), F32-HL-144034 (M.W.S.), 1K08 HG010490 (L.G.-G.), and the Marjorie K. Harmer endowment for research in Pediatric Pathology (M.R.-M.). The contents of this manuscript are solely the responsibility of the authors and do not necessarily represent the official view of the NIH.
Institutional Review Board Statement
The study was conducted in accordance with the Declaration of Helsinki and approved by the Institutional Review Board of the University of Pittsburgh (Protocol #19040093 approved on 15 February 2022).
Informed Consent Statement
Informed consent was obtained and approved for all participants involved in the study. For underaged participants, parental informed consent was obtained and approved.
Data Availability Statement
Data is contained within the article.
Acknowledgments
The authors are grateful to the family who agreed to participate in this research study. We thank Kathryn Davis, Samuel Hickenlooper, Ryan Bia, Emilee Horiuchi and Magnus Creed for their critical reading of the manuscript.
Conflicts of Interest
J.P.O. is an employee of Health In Code. The other authors declare no conflict of interest.
References
- Lee, T.M.; Hsu, D.T.; Kantor, P.; Towbin, J.A.; Ware, S.M.; Colan, S.D.; Chung, W.K.; Jefferies, J.L.; Rossano, J.W.; Castleberry, C.D.; et al. Pediatric Cardiomyopathies. Circ. Res. 2017, 121, 855–873. [Google Scholar] [CrossRef] [PubMed]
- Lipshultz, S.E.; Cochran, T.R.; Briston, D.A.; Brown, S.R.; Sambatakos, P.J.; Miller, T.L.; Carrillo, A.A.; Corcia, L.; Sanchez, J.E.; Diamond, M.B.; et al. Pediatric cardiomyopathies: Causes, epidemiology, clinical course, preventive strategies and therapies. Future Cardiol. 2013, 9, 817–848. [Google Scholar] [CrossRef] [PubMed]
- Konno, T.; Chang, S.; Seidman, J.G.; Seidman, C.E. Genetics of hypertrophic cardiomyopathy. Curr. Opin. Cardiol. 2010, 25, 205–209. [Google Scholar] [CrossRef]
- Fougerousse, F.; Delezoide, A.L.; Fiszman, M.Y.; Schwartz, K.; Beckmann, J.S.; Carrier, L. Cardiac myosin binding protein C gene is specifically expressed in heart during murine and human development. Circ. Res. 1998, 82, 130–133. [Google Scholar] [CrossRef] [PubMed]
- Lin, B.; Govindan, S.; Lee, K.; Zhao, P.; Han, R.; Runte, K.E.; Craig, R.; Palmer, B.M.; Sadayappan, S. Cardiac myosin binding protein-C plays no regulatory role in skeletal muscle structure and function. PLoS ONE 2013, 8, e69671. [Google Scholar] [CrossRef]
- McClellan, G.; Kulikovskaya, I.; Winegrad, S. Changes in cardiac contractility related to calcium-mediated changes in phosphorylation of myosin-binding protein C. Biophys. J. 2001, 81, 1083–1092. [Google Scholar] [CrossRef]
- Sadayappan, S.; Osinska, H.; Klevitsky, R.; Lorenz, J.N.; Sargent, M.; Molkentin, J.D.; Seidman, C.E.; Seidman, J.G.; Robbins, J. Cardiac myosin binding protein C phosphorylation is cardioprotective. Proc. Natl. Acad. Sci. USA 2006, 103, 16918–16923. [Google Scholar] [CrossRef]
- Dhandapany, P.S.; Sadayappan, S.; Xue, Y.; Powell, G.T.; Rani, D.S.; Nallari, P.; Rai, T.S.; Khullar, M.; Soares, P.; Bahl, A.; et al. A common MYBPC3 (cardiac myosin binding protein C) variant associated with cardiomyopathies in South Asia. Nat. Genet. 2009, 41, 187–191. [Google Scholar] [CrossRef]
- Michie, K.A.; Kwan, A.H.; Tung, C.S.; Guss, J.M.; Trewhella, J. A Highly Conserved Yet Flexible Linker Is Part of a Polymorphic Protein-Binding Domain in Myosin-Binding Protein C. Structure 2016, 24, 2000–2007. [Google Scholar] [CrossRef]
- Carrier, L.; Mearini, G.; Stathopoulou, K.; Cuello, F. Cardiac myosin-binding protein C (MYBPC3) in cardiac pathophysiology. Gene 2015, 573, 188–197. [Google Scholar] [CrossRef]
- Behrens-Gawlik, V.; Mearini, G.; Gedicke-Hornung, C.; Richard, P.; Carrier, L. MYBPC3 in hypertrophic cardiomyopathy: From mutation identification to RNA-based correction. Pflug. Arch. 2014, 466, 215–223. [Google Scholar] [CrossRef]
- Niimura, H.; Patton, K.K.; McKenna, W.J.; Soults, J.; Maron, B.J.; Seidman, J.G.; Seidman, C.E. Sarcomere protein gene mutations in hypertrophic cardiomyopathy of the elderly. Circulation 2002, 105, 446–451. [Google Scholar] [CrossRef] [PubMed]
- Van Driest, S.L.; Ommen, S.R.; Tajik, A.J.; Gersh, B.J.; Ackerman, M.J. Sarcomeric genotyping in hypertrophic cardiomyopathy. Mayo Clin. Proc. 2005, 80, 463–469. [Google Scholar] [CrossRef]
- Srivastava, A.; Garg, N.; Mittal, T.; Khanna, R.; Gupta, S.; Seth, P.K.; Mittal, B. Association of 25 bp deletion in MYBPC3 gene with left ventricle dysfunction in coronary artery disease patients. PLoS ONE 2011, 6, e24123. [Google Scholar] [CrossRef] [PubMed]
- Arif, M.; Nabavizadeh, P.; Song, T.; Desai, D.; Singh, R.; Bazrafshan, S.; Kumar, M.; Wang, Y.; Gilbert, R.J.; Dhandapany, P.S.; et al. Genetic, clinical, molecular, and pathogenic aspects of the South Asian-specific polymorphic MYBPC3(Delta25bp) variant. Biophys. Rev. 2020, 12, 1065–1084. [Google Scholar] [CrossRef]
- Millat, G.; Lafont, E.; Nony, S.; Rouvet, I.; Bozon, D. Functional characterization of putative novel splicing mutations in the cardiomyopathy-causing genes. DNA Cell Biol. 2015, 34, 489–496. [Google Scholar] [CrossRef] [PubMed]
- Bagnall, R.D.; Ingles, J.; Dinger, M.E.; Cowley, M.J.; Ross, S.B.; Minoche, A.E.; Lal, S.; Turner, C.; Colley, A.; Rajagopalan, S.; et al. Whole Genome Sequencing Improves Outcomes of Genetic Testing in Patients with Hypertrophic Cardiomyopathy. J. Am. Coll. Cardiol. 2018, 72, 419–429. [Google Scholar] [CrossRef] [PubMed]
- Harper, A.R.; Bowman, M.; Hayesmoore, J.B.G.; Sage, H.; Salatino, S.; Blair, E.; Campbell, C.; Currie, B.; Goel, A.; McGuire, K.; et al. Reevaluation of the South Asian MYBPC3(Delta25bp) Intronic Deletion in Hypertrophic Cardiomyopathy. Circ. Genom. Precis. Med. 2020, 13, e002783. [Google Scholar] [CrossRef] [PubMed]
- Holliday, M.; Singer, E.S.; Ross, S.B.; Lim, S.; Lal, S.; Ingles, J.; Semsarian, C.; Bagnall, R.D. Transcriptome Sequencing of Patients with Hypertrophic Cardiomyopathy Reveals Novel Splice-Altering Variants in MYBPC3. Circ. Genom. Precis. Med. 2021, 14, e003202. [Google Scholar] [CrossRef]
- Lopes, L.R.; Barbosa, P.; Torrado, M.; Quinn, E.; Merino, A.; Ochoa, J.P.; Jager, J.; Futema, M.; Carmo-Fonseca, M.; Monserrat, L.; et al. Cryptic Splice-Altering Variants in MYBPC3 Are a Prevalent Cause of Hypertrophic Cardiomyopathy. Circ. Genom. Precis. Med. 2020, 13, e002905. [Google Scholar] [CrossRef]
- Torrado, M.; Maneiro, E.; Lamounier Junior, A.; Fernandez-Burriel, M.; Sanchez Giralt, S.; Martinez-Carapeto, A.; Cazon, L.; Santiago, E.; Ochoa, J.P.; McKenna, W.J.; et al. Identification of an elusive spliceogenic MYBPC3 variant in an otherwise genotype-negative hypertrophic cardiomyopathy pedigree. Sci. Rep. 2022, 12, 7284. [Google Scholar] [CrossRef] [PubMed]
- Sadayappan, S.; Puckelwartz, M.J.; McNally, E.M. South Asian-Specific MYBPC3(Delta25bp) Intronic Deletion and Its Role in Cardiomyopathies and Heart Failure. Circ. Genom. Precis. Med. 2020, 13, e002986. [Google Scholar] [CrossRef] [PubMed]
- Rea, S.; Eisenhaber, F.; O’Carroll, D.; Strahl, B.D.; Sun, Z.W.; Schmid, M.; Opravil, S.; Mechtler, K.; Ponting, C.P.; Allis, C.D.; et al. Regulation of chromatin structure by site-specific histone H3 methyltransferases. Nature 2000, 406, 593–599. [Google Scholar] [CrossRef]
- Sims, R.J., 3rd; Weihe, E.K.; Zhu, L.; O’Malley, S.; Harriss, J.V.; Gottlieb, P.D. m-Bop, a repressor protein essential for cardiogenesis, interacts with skNAC, a heart- and muscle-specific transcription factor. J. Biol. Chem. 2002, 277, 26524–26529. [Google Scholar] [CrossRef]
- Du, S.J.; Tan, X.; Zhang, J. SMYD proteins: Key regulators in skeletal and cardiac muscle development and function. Anat. Rec. 2014, 297, 1650–1662. [Google Scholar] [CrossRef] [PubMed]
- Tan, X.; Rotllant, J.; Li, H.; De Deyne, P.; Du, S.J. SmyD1, a histone methyltransferase, is required for myofibril organization and muscle contraction in zebrafish embryos. Proc. Natl. Acad. Sci. USA 2006, 103, 2713–2718. [Google Scholar] [CrossRef]
- Warren, J.S.; Tracy, C.M.; Miller, M.R.; Makaju, A.; Szulik, M.W.; Oka, S.I.; Yuzyuk, T.N.; Cox, J.E.; Kumar, A.; Lozier, B.K.; et al. Histone methyltransferase Smyd1 regulates mitochondrial energetics in the heart. Proc. Natl. Acad. Sci. USA 2018, 115, E7871–E7880. [Google Scholar] [CrossRef]
- Tracy, C.; Warren, J.S.; Szulik, M.; Wang, L.; Garcia, J.; Makaju, A.; Russell, K.; Miller, M.; Franklin, S. The Smyd Family of Methyltransferases: Role in Cardiac and Skeletal Muscle Physiology and Pathology. Curr. Opin. Physiol. 2018, 1, 140–152. [Google Scholar] [CrossRef]
- Gottlieb, P.D.; Pierce, S.A.; Sims, R.J.; Yamagishi, H.; Weihe, E.K.; Harriss, J.V.; Maika, S.D.; Kuziel, W.A.; King, H.L.; Olson, E.N.; et al. Bop encodes a muscle-restricted protein containing MYND and SET domains and is essential for cardiac differentiation and morphogenesis. Nat. Genet. 2002, 31, 25–32. [Google Scholar] [CrossRef]
- Hwang, I.; Gottlieb, P.D. The Bop gene adjacent to the mouse CD8b gene encodes distinct zinc-finger proteins expressed in CTLs and in muscle. J. Immunol. 1997, 158, 1165–1174. [Google Scholar] [CrossRef]
- Rasmussen, T.L.; Ma, Y.; Park, C.Y.; Harriss, J.; Pierce, S.A.; Dekker, J.D.; Valenzuela, N.; Srivastava, D.; Schwartz, R.J.; Stewart, M.D.; et al. Smyd1 facilitates heart development by antagonizing oxidative and ER stress responses. PLoS ONE 2015, 10, e0121765. [Google Scholar] [CrossRef]
- Franklin, S.; Kimball, T.; Rasmussen, T.L.; Rosa-Garrido, M.; Chen, H.; Tran, T.; Miller, M.R.; Gray, R.; Jiang, S.; Ren, S.; et al. The chromatin-binding protein Smyd1 restricts adult mammalian heart growth. Am. J. Physiol. Heart Circ. Physiol. 2016, 311, H1234–H1247. [Google Scholar] [CrossRef]
- Fan, L.L.; Ding, D.B.; Huang, H.; Chen, Y.Q.; Jin, J.Y.; Xia, K.; Xiang, R. A de novo mutation of SMYD1 (p.F272L) is responsible for hypertrophic cardiomyopathy in a Chinese patient. Clin. Chem. Lab. Med. 2019, 57, 532–539. [Google Scholar] [CrossRef] [PubMed]
- Liu, S.; Xie, Y.; Zhang, H.; Feng, Z.; Huang, J.; Huang, J.; Hu, S.; Wei, Y. Multiple genetic variants in adolescent patients with left ventricular noncompaction cardiomyopathy. Int. J. Cardiol. 2020, 302, 117–123. [Google Scholar] [CrossRef]
- Gordon, D.M.; Cunningham, D.; Zender, G.; Lawrence, P.J.; Penaloza, J.S.; Lin, H.; Fitzgerald-Butt, S.M.; Myers, K.; Duong, T.; Corsmeier, D.J.; et al. Exome sequencing in multiplex families with left-sided cardiac defects has high yield for disease gene discovery. PLoS Genet. 2022, 18, e1010236. [Google Scholar] [CrossRef]
- Coyan, G.N.; Zinn, M.D.; West, S.C.; Sharma, M.S. Heart Transplantation from Biventricular Support in Infant with Novel SMYD1 Mutation. Pediatr. Cardiol. 2019, 40, 1745–1747. [Google Scholar] [CrossRef] [PubMed]
- Richards, S.; Aziz, N.; Bale, S.; Bick, D.; Das, S.; Gastier-Foster, J.; Grody, W.W.; Hegde, M.; Lyon, E.; Spector, E.; et al. Standards and guidelines for the interpretation of sequence variants: A joint consensus recommendation of the American College of Medical Genetics and Genomics and the Association for Molecular Pathology. Genet. Med. 2015, 17, 405–424. [Google Scholar] [CrossRef]
- Lipshultz, S.E.; Law, Y.M.; Asante-Korang, A.; Austin, E.D.; Dipchand, A.I.; Everitt, M.D.; Hsu, D.T.; Lin, K.Y.; Price, J.F.; Wilkinson, J.D.; et al. Cardiomyopathy in Children: Classification and Diagnosis: A Scientific Statement From the American Heart Association. Circulation 2019, 140, e9–e68. [Google Scholar] [CrossRef]
- Lipshultz, S.E.; Sleeper, L.A.; Towbin, J.A.; Lowe, A.M.; Orav, E.J.; Cox, G.F.; Lurie, P.R.; McCoy, K.L.; McDonald, M.A.; Messere, J.E.; et al. The incidence of pediatric cardiomyopathy in two regions of the United States. N. Engl. J. Med. 2003, 348, 1647–1655. [Google Scholar] [CrossRef] [PubMed]
- Hershberger, R.E.; Givertz, M.M.; Ho, C.Y.; Judge, D.P.; Kantor, P.F.; McBride, K.L.; Morales, A.; Taylor, M.R.G.; Vatta, M.; Ware, S.M.; et al. Genetic evaluation of cardiomyopathy: A clinical practice resource of the American College of Medical Genetics and Genomics (ACMG). Genet. Med. 2018, 20, 899–909. [Google Scholar] [CrossRef]
- Hershberger, R.E.; Hedges, D.J.; Morales, A. Dilated cardiomyopathy: The complexity of a diverse genetic architecture. Nat. Rev. Cardiol. 2013, 10, 531–547. [Google Scholar] [CrossRef]
- Ware, S.M.; Wilkinson, J.D.; Tariq, M.; Schubert, J.A.; Sridhar, A.; Colan, S.D.; Shi, L.; Canter, C.E.; Hsu, D.T.; Webber, S.A.; et al. Genetic Causes of Cardiomyopathy in Children: First Results From the Pediatric Cardiomyopathy Genes Study. J. Am. Heart Assoc. 2021, 10, e017731. [Google Scholar] [CrossRef] [PubMed]
- Akhtar, M.; Elliott, P. The genetics of hypertrophic cardiomyopathy. Glob. Cardiol. Sci. Pract. 2018, 2018, 36. [Google Scholar] [CrossRef]
- Helms, A.S.; Thompson, A.D.; Glazier, A.A.; Hafeez, N.; Kabani, S.; Rodriguez, J.; Yob, J.M.; Woolcock, H.; Mazzarotto, F.; Lakdawala, N.K.; et al. Spatial and Functional Distribution of MYBPC3 Pathogenic Variants and Clinical Outcomes in Patients With Hypertrophic Cardiomyopathy. Circ. Genom. Precis. Med. 2020, 13, 396–405. [Google Scholar] [CrossRef] [PubMed]
- Wessels, M.W.; Herkert, J.C.; Frohn-Mulder, I.M.; Dalinghaus, M.; van den Wijngaard, A.; de Krijger, R.R.; Michels, M.; de Coo, I.F.; Hoedemaekers, Y.M.; Dooijes, D. Compound heterozygous or homozygous truncating MYBPC3 mutations cause lethal cardiomyopathy with features of noncompaction and septal defects. Eur. J. Hum. Genet. 2015, 23, 922–928. [Google Scholar] [CrossRef]
- Sadayappan, S.; de Tombe, P.P. Cardiac myosin binding protein-C: Redefining its structure and function. Biophys. Rev. 2012, 4, 93–106. [Google Scholar] [CrossRef] [PubMed]
- Charron, P.; Dubourg, O.; Desnos, M.; Bennaceur, M.; Carrier, L.; Camproux, A.C.; Isnard, R.; Hagege, A.; Langlard, J.M.; Bonne, G.; et al. Clinical features and prognostic implications of familial hypertrophic cardiomyopathy related to the cardiac myosin-binding protein C gene. Circulation 1998, 97, 2230–2236. [Google Scholar] [CrossRef]
- Redin, C.; Pavlidou, D.C.; Bhuiyan, Z.; Porretta, A.P.; Monney, P.; Bedoni, N.; Maurer, F.; Sekarski, N.; Atallah, I.; Emeline, D.; et al. The <<Amish>> NM_000256.3:c.3330+2T>G splice variant in MYBPC3 associated with hypertrophic cardiomyopathy is an ancient Swiss mutation. Eur. J. Med. Genet. 2022, 65, 104627. [Google Scholar] [CrossRef]
- Zahka, K.; Kalidas, K.; Simpson, M.A.; Cross, H.; Keller, B.B.; Galambos, C.; Gurtz, K.; Patton, M.A.; Crosby, A.H. Homozygous mutation of MYBPC3 associated with severe infantile hypertrophic cardiomyopathy at high frequency among the Amish. Heart 2008, 94, 1326–1330. [Google Scholar] [CrossRef]
- Just, S.; Meder, B.; Berger, I.M.; Etard, C.; Trano, N.; Patzel, E.; Hassel, D.; Marquart, S.; Dahme, T.; Vogel, B.; et al. The myosin-interacting protein SMYD1 is essential for sarcomere organization. J. Cell Sci. 2011, 124, 3127–3136. [Google Scholar] [CrossRef] [PubMed]
- Li, H.; Xu, J.; Bian, Y.H.; Rotllant, P.; Shen, T.; Chu, W.; Zhang, J.; Schneider, M.; Du, S.J. Smyd1b_tv1, a key regulator of sarcomere assembly, is localized on the M-line of skeletal muscle fibers. PLoS ONE 2011, 6, e28524. [Google Scholar] [CrossRef] [PubMed]
- Li, H.; Zhong, Y.; Wang, Z.; Gao, J.; Xu, J.; Chu, W.; Zhang, J.; Fang, S.; Du, S.J. Smyd1b is required for skeletal and cardiac muscle function in zebrafish. Mol. Biol. Cell 2013, 24, 3511–3521. [Google Scholar] [CrossRef] [PubMed]
- Ranjbarvaziri, S.; Kooiker, K.B.; Ellenberger, M.; Fajardo, G.; Zhao, M.; Vander Roest, A.S.; Woldeyes, R.A.; Koyano, T.T.; Fong, R.; Ma, N.; et al. Altered Cardiac Energetics and Mitochondrial Dysfunction in Hypertrophic Cardiomyopathy. Circulation 2021, 144, 1714–1731. [Google Scholar] [CrossRef] [PubMed]
Disclaimer/Publisher’s Note: The statements, opinions and data contained in all publications are solely those of the individual author(s) and contributor(s) and not of MDPI and/or the editor(s). MDPI and/or the editor(s) disclaim responsibility for any injury to people or property resulting from any ideas, methods, instructions or products referred to in the content. |
© 2023 by the authors. Licensee MDPI, Basel, Switzerland. This article is an open access article distributed under the terms and conditions of the Creative Commons Attribution (CC BY) license (https://creativecommons.org/licenses/by/4.0/).



