Extraction, HPTLC Analysis and Antiobesity Activity of Jatropha tanjorensis and Fraxinus micrantha on High-Fat Diet Model in Rats
Abstract
1. Introduction
2. Materials and Methods
2.1. Plant Material
2.2. Chemical Reagents
2.3. Extract
2.3.1. Ethanol Extract
2.3.2. Water Extract
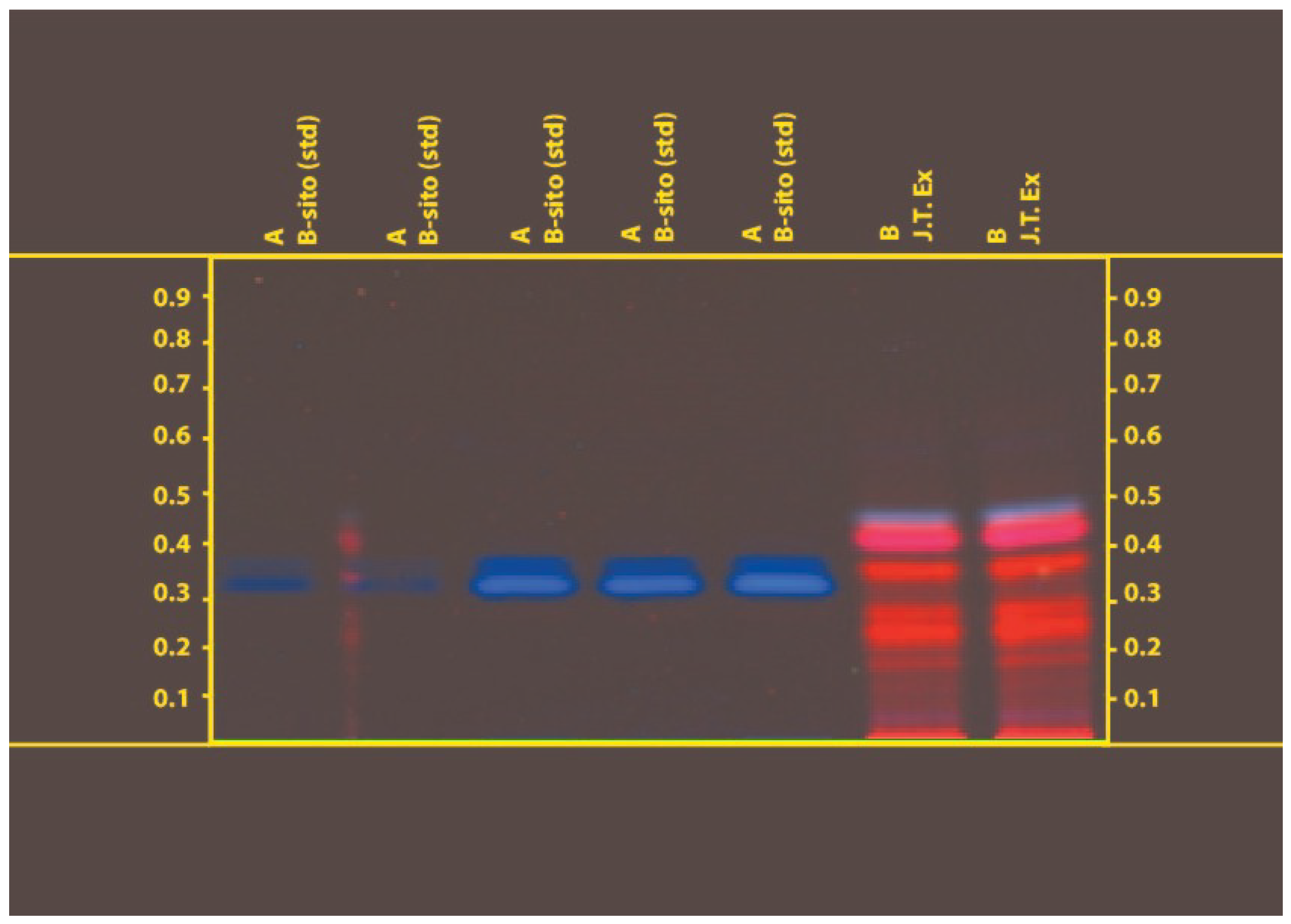
2.4. High-Performance Thin Layer Chromatography (HPTLC)
2.5. HFD-Induced Obesity
2.6. Acute Toxicity Studies
2.7. Experimental Design
2.8. Study Parameters
2.8.1. LDL Level
2.8.2. Oxidation Markers
Superoxide Dismutase (SOD)
Malondialdehyde (MDA)
Reduced Glutathione (GSH)
2.8.3. Histopathology
2.9. Statistical Analysis
3. Results
4. Conclusions
Author Contributions
Funding
Institutional Review Board Statement
Informed Consent Statement
Data Availability Statement
Acknowledgments
Conflicts of Interest
References
- Murray-Davis, B.; Darling, E.K.; Berger, H.; Melamed, N.; Li, J.; Guarna, G.; Syed, M.; Barrett, J.; Geary, M.; Mawjee, K.; et al. Midwives Perceptions of Managing Pregnancies Complicated by Obesity: A Mixed Methods Study. Midwifery 2022, 105, 103225. [Google Scholar] [CrossRef] [PubMed]
- Davanzo, G.G.; Castro, G.; Monteiro, L.D.B.; Castelucci, B.G.; Jaccomo, V.H.; da Silva, F.C.; Marques, A.M.; Francelin, C.; de Campos, B.B.; de Aguiar, C.F.; et al. Obesity Increases Blood-Brain Barrier Permeability and Aggravates the Mouse Model of Multiple Sclerosis. Mult. Scler. Relat. Disord. 2023, 72, 104605. [Google Scholar] [CrossRef] [PubMed]
- Bays, H.E.; Bindlish, S.; Clayton, T.L. Obesity, Diabetes Mellitus, and Cardiometabolic Risk: An Obesity Medicine Association (OMA) Clinical Practice Statement (CPS) 2023. Obes. Pillars 2023, 5, 100056. [Google Scholar] [CrossRef]
- Ahima, R.S. Obesity Epidemic in Need of Answers. Gastroenterology 2006, 131, 991. [Google Scholar] [CrossRef]
- Jin, X.; Qiu, T.; Li, L.; Yu, R.; Chen, X.; Li, C.; Proud, C.G.; Jiang, T. Pathophysiology of Obesity and Its Associated Diseases. Acta Pharm. Sin. B, 2023; in press. [Google Scholar] [CrossRef]
- Malandrino, N.; Bhat, S.Z.; Alfaraidhy, M.; Grewal, R.S.; Kalyani, R.R. Obesity and Aging. Endocrinol. Metab. Clin. N. Am. 2023, 52, 317–339. [Google Scholar] [CrossRef]
- Wilson, R.; Aminian, A. Obesity-Associated Cancer Risk Reduction after Metabolic Surgery: Insights from the SPLENDID Study and the Path Forward. Surg. Obes. Relat. Dis. 2023; in press. [Google Scholar] [CrossRef]
- Lee, S.H.T.; Ng, J.J.; MTL Choong, A. The Effect of Obesity on Outcomes after Arteriovenous Fistulae Creation: A Systematic Review. Ann. Vasc. Surg. 2023, 92, 304–312. [Google Scholar] [CrossRef]
- Padwal, R.S.; Majumdar, S.R. Drug Treatments for Obesity: Orlistat, Sibutramine, and Rimonabant. Lancet 2007, 369, 71–77. [Google Scholar] [CrossRef]
- Agarwal, A.; Remedies, N. Review Article: Herbal Approach for Obesity Management Review Article: Herbal Approach for Obesity Management. Am. J. Plant Sci. 2012, 3, 1003–1014. [Google Scholar] [CrossRef]
- Idu, M.; Igbafe, G.; Erhabor, J.O. Anti-Anaemic Activity of Jatropha tanjorensis Ellis & Saroja in Rabbits. J. Med. Plants Stud. 2014, 2, 64–72. [Google Scholar]
- Prabakaran, A.J.; Sujatha, M. Jatropha tanjorensis Ellis & Saroja, a Natural Interspecific Hybrid Occurring in Tamil Nadu, India. Genet. Resour. Crop Evol. 1999, 46, 213–218. [Google Scholar] [CrossRef]
- Omoregie, E.S.; Osagie, A.U. Phytochemical Screening and Anti-Anaemic Effect of Jatropha tanjorensis Leaf in Protein Malnourished Rats. Plant Arch. 2007, 7, 509–516. [Google Scholar]
- Omoregie, E.S.; Osagie, A.U. Effect of Jatropha tanjorensis Leaves Supplement on The Activities of Some Antioxidant Enzymes, Vitamins and Lipid Peroxida-Tion in Rats. J. Food Biochem. 2011, 35, 409–424. [Google Scholar] [CrossRef]
- Oyewole, O.I.; Oladipupo, O.T.; Atoyebi, B.V. Assessment of Renal and Hepatic Functions in Rats Administered Methanolic Leaf Extract of Jatropha tanjorensis Scholars Research Library. Ann. Biol. Res. 2016, 3, 837–841. [Google Scholar]
- Omobuwajo, O.R.; Alade, G.O.; Akanmu, M.A.; Obuotor, E.; Osasan, S.A. Microscopic and Toxicity Studies on the Leaves of Jatropha tanjorensis. Afr. J. Pharm. Pharmacol. 2011, 5, 12–17. [Google Scholar]
- Mishra, S.B.; Mukerjee, A.; Vijayakumar, M.; Ehhq, K.D.V.; Iru, V.; Qxpehu, H.E.D.; Wd, R.I. Pharmacognostical and Phytochemical Evaluation of Leaves Extract of Jatropha curcas Linn. Pharmacogn. J. 2010, 2, 9–14. [Google Scholar] [CrossRef]
- Byrappa, M.; Doss, J.; Ananthi, J.; Sathish, P. Fitoterapia Antimicrobial Activity of Bioactive Compounds and Leaf Extracts in Jatropha tanjorensis. Fitoterapia 2012, 83, 1153–1159. [Google Scholar] [CrossRef]
- Adebajo, A.C.; Olayiwola, G.; Omobuwajo, O.R. The Antidiabetic Potential Of Jatropha tanjorensis Leaves. Niger. J. Nat. Prod. Med. 2004, 8, 55–58. [Google Scholar] [CrossRef]
- Viswanathan, M.B.; Jeyaananthi, J. Antimicrobial and Antiinflammatory Activities of Various Extracts of the Leaves of Jatropha Tanjorenesis. Biosci. Biotechnol. Res. Asia 2009, 6, 297–300. [Google Scholar]
- Abdelgadir, H.A.; Van Staden, J. Ethnobotany, Ethnopharmacology and Toxicity of Jatropha curcas L. (Euphorbiaceae): A Review. S. Afr. J. Bot. 2013, 88, 204–218. [Google Scholar] [CrossRef]
- Danborno, A.M.; Tarfa, F.; Toryila, J.E.; Awheela, E.U.; Shekarau, V.T. The Effects of Jatropha tanjorensis Aqueous Leaf Extract on Haematological Parameters in Wistar Rats. J. Afr. Assoc. Physiol. Sci. 2019, 7, 133–137. [Google Scholar]
- Ntak, O.; Ekpo, E.; State, A.I.; State, C.R. Nutritional Studies and Antimicrobial Activities of Jatropha tanjorensis Leaves Extracts against Escherichia Coli Isolates. Int. J. Innov. Sci. Res. Technol. 2019, 4, 945–955. [Google Scholar]
- Sharma, J.; Gairola, S.; Gaur, R.D.; Painuli, R.M. The Treatment of Jaundice with Medicinal Plants in Indigenous Communities of the Sub-Himalayan Region of Uttarakhand, India. J. Ethnopharmacol. 2012, 143, 262–291. [Google Scholar] [CrossRef] [PubMed]
- Garbyal, S.S.; Grover, A.; Aggarwal, K.K.; Babu, C.R. Traditional Phytomedicinal Knowledge of Bhotias of Dharchula in Pithoragarh. Indian J. Tradit. Knowl. 2007, 4, 199–207. [Google Scholar]
- Sarfraz, I.; Rasul, A.; Jabeen, F.; Younis, T.; Zahoor, M.K.; Arshad, M.; Ali, M. Fraxinus: A Plant with Versatile Pharmacological and Biological Activities. Evid.-Based Complement. Altern. Med. 2017, 2017, 4269868. [Google Scholar] [CrossRef] [PubMed]
- Kostova, I.; Iossifova, T. Chemical Components of Fraxinus Species. Fitoterapia 2007, 78, 85–106. [Google Scholar] [CrossRef]
- Buettner, R.; Schölmerich, J.; Bollheimer, L.C. High-Fat Diets: Modeling the Metabolic Disorders of Human Obesity in Rodents. Obesity 2007, 15, 798–808. [Google Scholar] [CrossRef] [PubMed]
- Hariri, N.; Thibault, L. High-Fat Diet-Induced Obesity in Animal Models. Nutr. Res. Rev. 2010, 23, 270–299. [Google Scholar] [CrossRef]
- Alara, O.R.; Abdurahman, N.H.; Ukaegbu, C.I.; Kabbashi, N.A. Extraction and Characterization of Bioactive Compounds in Vernonia Amygdalina Leaf Ethanolic Extract Comparing Soxhlet and Microwave-Assisted Extraction Techniques. J. Taibah Univ. Sci. 2019, 13, 414–422. [Google Scholar] [CrossRef]
- Martins, N.; Barros, L.; Santos-Buelga, C.; Silva, S.; Henriques, M.; Ferreira, I.C.F.R. Decoction, Infusion and Hydroalcoholic Extract of Cultivated Thyme: Antioxidant and Antibacterial Activities, and Phenolic Characterisation. Food Chem. 2015, 167, 131–137. [Google Scholar] [CrossRef]
- Alhalmi, A.; Amin, S.; Khan, Z.; Beg, S.; Al Kamaly, O.; Saleh, A.; Kohli, K. Nanostructured Lipid Carrier-Based Codelivery of Raloxifene and Naringin: Formulation, Optimization, In Vitro, Ex Vivo, In Vivo Assessment, and Acute Toxicity Studies. Pharmaceutics 2022, 14, 1771. [Google Scholar] [CrossRef]
- Jonsson, M.; Jestoi, M.; Nathanail, A.V.; Kokkonen, U.-M.; Anttila, M.; Koivisto, P.; Karhunen, P.; Peltonen, K. Application of OECD Guideline 423 in Assessing the Acute Oral Toxicity of Moniliformin. Food Chem. Toxicol. Int. J. Publ. Br. Ind. Biol. Res. Assoc. 2013, 53, 27–32. [Google Scholar] [CrossRef]
- Friedewald, W.T.; Levy, R.I.; Fredrickson, D.S. Estimation of the Concentration of Low-Density Lipoprotein Cholesterol in Plasma, without Use of the Preparative Ultracentrifuge. Clin. Chem. 1972, 18, 499–502. [Google Scholar] [CrossRef]
- Zaidun, N.H.; Thent, Z.C.; Latiff, A.A. Combating Oxidative Stress Disorders with Citrus Flavonoid: Naringenin. Life Sci. 2018, 208, 111–122. [Google Scholar] [CrossRef]
- Treml, J.; Šmejkal, K. Flavonoids as Potent Scavengers of Hydroxyl Radicals. Compr. Rev. Food Sci. Food Saf. 2016, 15, 720–738. [Google Scholar] [CrossRef] [PubMed]
- Jaishree, V.; Badami, S.; Krishnamurthy, P.T. Antioxidant and Hepatoprotective Effect of the Ethyl Acetate Extract of EnicostemmaAxillare (Lam). Raynal against CCL4-Induced Liver Injury in Rats. Indian J. Exp. Biol. 2010, 48, 896–904. [Google Scholar] [PubMed]
- Amaechi, D.; Yisa, B.N.; Ekpe, I.P.; Nwawuba, P.I.; Rabbi, A. Phytochemical Screening, Anti-obesity and Hepatoprotective Activities of Ethanol Leaf Extract of Jatropha tanjorensis in Wistar Rats. Asian J. Appl. Chem. Res. 2022, 12, 20–26. [Google Scholar] [CrossRef]





| Group No. | Treatment | 0 Week | 3 Week | 6 Week | 
|---|---|---|---|---|
| 1. | Normal Control (Vehicle treated) | 12.16 ± 0.820 | 13.33 ± 0.982 | 15.14 ± 0.864 | 
| 2. | HFD induced only | 13.52 ± 1.306 | 17.70 ± 1.170 | 23.06 ± 1.582 | 
| 3. | HFD + Standard Orlistat (30 mg/kg) | 12.33 ± 1.034 NS | 14.10 ± 1.119 ** | 16.07 ± 1.169 ** | 
| 4. | HFD + JTAQ (200 mg/kg) | 12.33 ± 0.977 NS | 14.71 ± 0.872 * | 18.25 ± 1.249 ** | 
| 5. | HFD + JTAQ (400 mg/kg) | 13.37 ± 1.338 NS | 15.85 ± 1.611 NS | 18.50 ± 1.149 ** | 
| 6. | HFD + JTE (200 mg/kg) | 11.54 ± 1.288 NS | 13.47 ± 1.459 ** | 15.57 ± 1.688 ** | 
| 7. | HFD + JTE (400 mg/kg) | 12.10 ± 1.229 NS | 14.08 ± 1.314 ** | 16.28 ± 1.854 ** | 
| 8. | HFD + FMAQ (200 mg/kg) | 11.89 ± 1.092 NS | 15.35 ± 1.317 NS | 19.59 ± 1.166 ** | 
| 9. | HFD + FMAQ (400 mg/kg) | 12.45 ± 0.932 NS | 15.53 ± 0.911 NS | 18.72 ± 1.948 ** | 
| 10. | HFD + FME (200 mg/kg) | 13.06 ± 1.721 NS | 15.50 ± 1.377 NS | 18.52 ± 1.205 ** | 
| 11. | HFD + FME (400 mg/kg) | 10.99 ± 0.976 * | 12.82 ± 0.641 ** | 14.09 ± 0.748 ** | 
| Group No. | Treatment | 0 Week | 3 Week | 6 Week | 
|---|---|---|---|---|
| I. | Normal Control (Vehicle treated) | 202.58 ± 5.218 | 207.33 ± 5.354 | 214.50 ± 4.505 | 
| II. | HFD induced only | 207.37 ± 5.845 | 215.03 ± 6.267 | 223.74 ± 7.090 | 
| III. | HFD + Standard Orlistat (30 mg/kg) | 195.53 ± 4.398 * | 199.64 ± 4.052 * | 206.60 ± 3.706 ** | 
| IV. | HFD + JTAQ (200 mg/kg) | 199.26 ± 4.707 NS | 206.63 ± 2.763 NS | 213.68 + 2.633 * | 
| V. | HFD + JTAQ (400 mg/kg) | 195.98 ± 4.796 * | 201.33 ± 4.134 * | 208.72 ± 3.824 ** | 
| VI. | HFD + JTE (200 mg/kg) | 202.94 ± 2.464 NS | 208.60 ± 2.643 NS | 215.16 ± 2.639 NS | 
| VII. | HFD + JTE (400 mg/kg) | 208.97 ± 3.941 NS | 214.45 ± 4.110 NS | 221.66 ± 4.718 NS | 
| VIII. | HFD + FMAQ (200 mg/kg) | 194.25 ± 4.502 * | 200.67 ± 4.110 * | 210.82 ± 4.944 * | 
| IX. | HFD + FMAQ (400 mg/kg) | 206.46 ± 1.965 NS | 213.00 ± 1.965 NS | 220.50 ± 2.664 NS | 
| X. | HFD + FME (200 mg/kg) | 206.00 ± 6.693 NS | 212.03 ± 5.748 NS | 219.74 ± 6.053 NS | 
| XI. | HFD + FME (400 mg/kg) | 199.21 ± 8.699 NS | 205.53 ± 7.311 * | 213.00 ± 6.870 * | 
| Group No. | Treatment | 0 Week | 3 Week | 6 Week | 
|---|---|---|---|---|
| I. | Normal Control (Vehicle treated) | 91.16 ± 6.911 | 92.83 ± 7.083 | 94.66 ± 5.610 | 
| II. | HFD induced only | 193.33 ± 11.003 | 248.16 ± 12.922 | 286.83 ± 9.174 | 
| III. | HFD + Standard Orlistat (30 mg/kg) | 188.50 ± 16.706 NS | 159.83 ± 8.886 ** | 118.00 ± 4.690 ** | 
| IV. | HFD + JTAQ (200 mg/kg) | 211.00 ± 5.831 NS | 267.66 ± 9.026 NS | 200.66 ± 5.715 ** | 
| V. | HFD + JTAQ (400 mg/kg) | 200.50 ± 7.232 NS | 233.50 ± 9.138 NS | 161.00 ± 13.161 ** | 
| VI. | HFD + JTE (200 mg/kg) | 205.50 ± 13.576 NS | 228.16 ± 9.239 NS | 169.33 ± 11.911 ** | 
| VII. | HFD + JTE (400 mg/kg) | 209.16 ± 14.634 NS | 189.16 ± 6.014 ** | 123.16 ± 4.309 ** | 
| VIII. | HFD + FMAQ (200 mg/kg) | 207.08 ± 7.619 NS | 253.03 ± 9.826 NS | 211.03 ± 7.593 ** | 
| IX. | HFD + FMAQ (400 mg/kg) | 192.66 ± 12.628 NS | 226.00 ± 14.615 * | 161.33 ± 10.033 ** | 
| X. | HFD + FME (200 mg/kg) | 209.83 ± 8.183 NS | 250.33 ± 17.294 NS | 193.00 ± 14.993 ** | 
| XI. | HFD + FME (400 mg/kg) | 192.83 ± 16.167 NS | 209.83 ± 10.028 ** | 156.83 ± 5.776 ** | 
| Group No. | Treatment | TC | TG | HDL | LDL | 
|---|---|---|---|---|---|
| I | Normal Control (Vehicle treated) | 100.22 ± 2.751 | 86.21 ± 0.967 | 52.81 ± 4.489 | 30.16 ± 6.473 | 
| II | HFD induced only | 153.66 ± 2.934 | 191.57 ± 8.099 | 15.69 ± 0.667 | 99.65 ± 3.879 | 
| III | HFD + Standard Orlistat (30 mg/kg) | 93.14 ± 2.631 ** | 90.35 ± 1.723 ** | 46.66 ± 7.242 ** | 28.41 ± 8.784 ** | 
| IV | HFD + JTAQ (200 mg/kg) | 130.74 ± 2.673 ** | 111.22 ± 12.938 ** | 37.87 ± 3.529 ** | 70.61 ± 3.597 ** | 
| V | HFD + JTAQ (400 mg/kg) | 112.92 ± 2.000 ** | 102.14 ± 2.177 ** | 40.90 ± 7.519 ** | 51.58 ± 7.774 ** | 
| VI | HFD + JTE (200 mg/kg) | 119.48 ± 3.752 ** | 94.42 ± 2.529 ** | 35.75 ± 5.100 ** | 64.84 ± 7.082 ** | 
| VII | HFD + JTE (400 mg/kg) | 107.14 ± 1.718 ** | 100.94 ± 2.298 ** | 42.42 ± 6.867 ** | 44.53 ± 6.396 ** | 
| VIII | HFD + FMAQ (200 mg/kg) | 111.74 ± 1.706 ** | 137.54 ± 17.086 ** | 23.03 ± 2.969 NS | 61.20 ± 4.256 ** | 
| IX | HFD + FMAQ (400 mg/kg) | 135.81 ± 0.947 ** | 120.35 ± 9.360 ** | 26.66 ± 4.833 NS | 85.07 ± 6.331 * | 
| X | HFD + FME (200 mg/kg) | 140.25 ± 2.105 ** | 122.49 ± 3.921 ** | 28.18 ± 7.862 * | 87.57 ± 7.555 NS | 
| XI | HFD + FME (400 mg/kg) | 111.74 ± 1.706 ** | 115.36 ± 2.530 ** | 30.60 ± 8.246 * | 58.06 ± 7.510 ** | 
| Group No. | Treatment | SOD (Unit/mg Tissue) | LPO (nmol MDA/mg Tissue) | GSH (nmol/mg Tissue) | 
|---|---|---|---|---|
| I | Normal Control (Vehicle treated) | 78.85 ± 10.362 | 12.06 ± 0.703 | 6.67 ± 0.475 | 
| II | HFD induced only | 13.46 ± 5.990 | 39.74 ± 0.825 | 0.85 ± 0.024 | 
| III | HFD + Standard Orlistat (30 mg/kg) | 81.93 ± 10.578 ** | 17.35 ± 0.241 ** | 6.61 ± 0.245 ** | 
| IV | HFD + JTAQ (200 mg/kg) | 66.29 ± 4.608 ** | 20.86 ± 0.948 ** | 4.93 ± 0.107 ** | 
| V | HFD + JTAQ (400 mg/kg) | 77.95 ± 8.697 ** | 18.25 ± 0.675 ** | 4.32 ± 0.227 ** | 
| VI | HFD + JTE (200 mg/kg) | 84.44 ± 10.905 ** | 18.70 ± 0.452 ** | 4.92 ± 0.010 ** | 
| VII | HFD + JTE (400 mg/kg) | 106.76 ± 4.690 ** | 14.83 ± 0.475 ** | 5.02 ± 0.045 ** | 
| VIII | HFD + FMAQ (200 mg/kg) | 48.05 ± 9.998 ** | 23.22 ± 1.045 ** | 3.05 ± 0.052 ** | 
| IX | HFD + FMAQ (400 mg/kg) | 51.44 ± 2.728 ** | 22.71 ± 0.747 ** | 4.05 ± 0.627 ** | 
| X | HFD + FME (200 mg/kg) | 56.22 ± 7.715 ** | 24.59 ± 0.492 ** | 3.93 ± 0.979 ** | 
| XI | HFD + FME (400 mg/kg) | 60.41 ± 8.517 ** | 21.88 ± 0.825 ** | 4.01 ± 0.599 ** | 
| Disclaimer/Publisher’s Note: The statements, opinions and data contained in all publications are solely those of the individual author(s) and contributor(s) and not of MDPI and/or the editor(s). MDPI and/or the editor(s) disclaim responsibility for any injury to people or property resulting from any ideas, methods, instructions or products referred to in the content. | 
© 2023 by the authors. Licensee MDPI, Basel, Switzerland. This article is an open access article distributed under the terms and conditions of the Creative Commons Attribution (CC BY) license (https://creativecommons.org/licenses/by/4.0/).
Share and Cite
Srivastava, S.; Virmani, T.; Haque, M.R.; Alhalmi, A.; Al Kamaly, O.; Alshawwa, S.Z.; Nasr, F.A. Extraction, HPTLC Analysis and Antiobesity Activity of Jatropha tanjorensis and Fraxinus micrantha on High-Fat Diet Model in Rats. Life 2023, 13, 1248. https://doi.org/10.3390/life13061248
Srivastava S, Virmani T, Haque MR, Alhalmi A, Al Kamaly O, Alshawwa SZ, Nasr FA. Extraction, HPTLC Analysis and Antiobesity Activity of Jatropha tanjorensis and Fraxinus micrantha on High-Fat Diet Model in Rats. Life. 2023; 13(6):1248. https://doi.org/10.3390/life13061248
Chicago/Turabian StyleSrivastava, Swati, Tarun Virmani, Md. Rafiul Haque, Abdulsalam Alhalmi, Omkulthom Al Kamaly, Samar Zuhair Alshawwa, and Fahd A. Nasr. 2023. "Extraction, HPTLC Analysis and Antiobesity Activity of Jatropha tanjorensis and Fraxinus micrantha on High-Fat Diet Model in Rats" Life 13, no. 6: 1248. https://doi.org/10.3390/life13061248
APA StyleSrivastava, S., Virmani, T., Haque, M. R., Alhalmi, A., Al Kamaly, O., Alshawwa, S. Z., & Nasr, F. A. (2023). Extraction, HPTLC Analysis and Antiobesity Activity of Jatropha tanjorensis and Fraxinus micrantha on High-Fat Diet Model in Rats. Life, 13(6), 1248. https://doi.org/10.3390/life13061248
 
        





 
       