Imaging Diagnosis of Hydrocephalus in a Fox Cub-Case Study
Abstract
1. Introduction
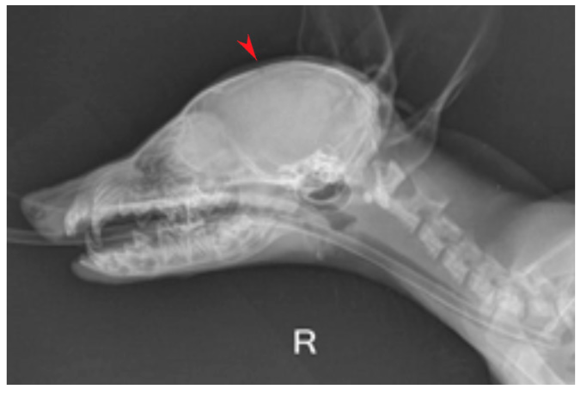
2. Case Description
3. Conclusions
Author Contributions
Funding
Institutional Review Board Statement
Informed Consent Statement
Data Availability Statement
Acknowledgments
Conflicts of Interest
References
- Thomas, W.B. Hydrocephalus in Dogs and Cats. Vet. Clin. N. Am. Small Anim. Pr. 2010, 40, 143–159. [Google Scholar] [CrossRef] [PubMed]
- Coates, J.R.; Axlund, T.W.; Dewey, C.W.; Smith, J. Hydrocephalus in dogs and cats. Compend. Contin. Educ. Pract. Vet. 2006, 28, 136–146. [Google Scholar]
- Przyborowska, P.; Adamiak, Z.; Jaskolska, M.; Zhalniarovich, Y. Hydrocephalus in Dogs: A Review. Vet. Med. 2013, 58, 73–80. [Google Scholar] [CrossRef]
- Lempp, C.; Jungwirth, N.; Grilo, M.L.; Reckendorf, A.; Ulrich, A.; van Neer, A.; Bodewes, R.; Pfankuche, V.M.; Bauer, C.; Osterhaus, A.D.M.E.; et al. Pathological Findings in the Red Fox (Vulpes vulpes), Stone Marten (Martes foina) and Raccoon Dog (Nyctereutes procyonoides), with Special Emphasis on Infectious and Zoonotic Agents in Northern Germany. PLoS ONE 2017, 12, e0175469. [Google Scholar] [CrossRef] [PubMed]
- Wooster, E.; Wallach, A.D.; Ramp, D. The Wily and Courageous Red Fox: Behavioural Analysis of a Mesopredator at Resource Points Shared by an Apex Predator. Animals 2019, 9, 907. [Google Scholar] [CrossRef] [PubMed]
- De Ridder, N.; Knight, A. The Animal Welfare Consequences and Moral Implications of Lethal and Non-Lethal Fox Control Methods. Animals 2024, 14, 1672. [Google Scholar] [CrossRef] [PubMed]
- Bourg, M.; Nobach, D.; Herzog, S.; Lange-Herbst, H.; Nesseler, A.; Hamann, H.-P.; Becker, S.; Höper, D.; Hoffmann, B.; Eickmann, M.; et al. Screening Red Foxes (Vulpes vulpes) for Possible Viral Causes of Encephalitis. Virol. J. 2016, 13, 151. [Google Scholar] [CrossRef] [PubMed]
- Magliocca, M.; Taddei, R.; Urbani, L.; Bertasio, C.; Facile, V.; Gallina, L.; Sampieri, M.; Rugna, G.; Rubini, S.; Maioli, G.; et al. Molecular Detection of Viral and Bacterial Pathogens in Red Foxes (Vulpes vulpes) from Italy. Animals 2024, 14, 1969. [Google Scholar] [CrossRef] [PubMed]
- Mackenstedt, U.; Jenkins, D.; Romig, T. The Role of Wildlife in the Transmission of Parasitic Zoonoses in Peri-Urban and Urban Areas. Int. J. Parasitol. Parasites Wildl. 2015, 4, 71–79. [Google Scholar] [CrossRef] [PubMed]
- Furtado, J.M.; Smith, J.R.; Belfort, R.; Gattey, D.; Winthrop, K.L. Toxoplasmosis: A Global Threat. J. Glob. Infect Dis. 2011, 3, 281–284. [Google Scholar] [CrossRef] [PubMed]
- Celva, R.; Crestanello, B.; Obber, F.; Dellamaria, D.; Trevisiol, K.; Bregoli, M.; Cenni, L.; Agreiter, A.; Danesi, P.; Hauffe, H.C.; et al. Assessing Red Fox (Vulpes vulpes) Demographics to Monitor Wildlife Diseases: A Spotlight on Echinococcus multilocularis. Pathogens 2023, 12, 60. [Google Scholar] [CrossRef] [PubMed]
- Ebani, V.V.; Trebino, C.; Guardone, L.; Bertelloni, F.; Cagnoli, G.; Nardoni, S.; Sel, E.; Wilde, E.; Poli, A.; Mancianti, F. Occurrence of Bacterial and Protozoan Pathogens in Red Foxes (Vulpes vulpes) in Central Italy. Animals 2022, 12, 2891. [Google Scholar] [CrossRef] [PubMed]
- Dias, D.; Hipólito, D.; Figueiredo, A.; Fonseca, C.; Caetano, T.; Mendo, S. Unravelling the Diversity and Abundance of the Red Fox (Vulpes vulpes) Faecal Resistome and the Phenotypic Antibiotic Susceptibility of Indicator Bacteria. Animals 2022, 12, 2572. [Google Scholar] [CrossRef] [PubMed]
- Lacitignola, L.; Samarelli, R.; Zizzo, N.; Circella, E.; Acquafredda, C.; Stabile, M.; Lombardi, R.; Staffieri, F.; Camarda, A. CT Findings and Histological Evaluation of Red Foxes (Vulpes vulpes) with Chronic Head Trauma Injury: A Retrospective Study. Animals 2021, 11, 1010. [Google Scholar] [CrossRef] [PubMed]
- Mullineaux, E.; Kebble, E. BSAVA Manual of Wildlife Casualties, 2nd ed.; Wiley: Hoboken, NJ, USA, 2017. [Google Scholar]
- Soulsbury, C.D.; Iossa, G.; Baker, P.J.; Cole, N.C.; Funk, S.M.; Harris, S. The impact of urban environments on fox demography and tooth wear. J. Zool. 2007, 273, 110–120. [Google Scholar] [CrossRef]
- Macdonald, D.W.; Sillero-Zubiri, C. The Biology and Conservation of Wild Canids; OUP: Oxford, UK, 2004; ISBN 978-0-19-152335-9. [Google Scholar]
- Chun, J.L.; Bang, H.T.; Ji, S.Y.; Jeong, J.Y.; Kim, M.; Kim, B.; Lee, S.D.; Lee, Y.K.; Reddy, K.E.; Kim, K.H. A Simple Method to Evaluate Body Condition Score to Maintain the Optimal Body Weight in Dogs. J. Anim. Sci. Technol. 2019, 61, 366. [Google Scholar] [CrossRef] [PubMed]
- Fernoagă, C.; Turbatu, R.M.; Neagu, A.G.; Tudor, N.; Vlăgioiu, C. Diagnosis and treatment outcome of a dog with meningoencephalitis of unknown origin using a combination of prednisolone and cytosine arabinoside: A case study. AgroLife Sci. J. 2020, 9, 112–117. [Google Scholar]
- Hosgood, G.; Scholl, D.T. Evaluation of Age and American Society of Anesthesiologists (ASA) Physical Status as Risk Factors for Perianesthetic Morbidity and Mortality in the Cat. J. Vet. Emerg. Crit. Care 2002, 12, 9–15. [Google Scholar] [CrossRef]
- Pavel, R.; Ene, I.; Costea, R. Exploring Lacrimal Gland Tear Production in Sheep under General Anesthesia: Examining the Potential Impact of Utilizing 1% Hyaluronic Acid Ophthalmic Gel. Life 2024, 14, 1038. [Google Scholar] [CrossRef] [PubMed]
- Pavel, R.; Fernoagă, C.; Neagu, A.G.; Costea, R. Effect of Hot Water Bottle and Cloth Blanket on Rectal Temperature During Magnetic Resonance Imaging of the Head in Cats Under General Anesthesia. Life 2024, 14, 1646. [Google Scholar] [CrossRef] [PubMed]
- Wrzosek, M.; Ives, J.R.; Karczewski, M.; Dziadkowiak, E.; Gruszka, E. The Relationship between Epileptiform Discharges and Background Activity in the Visual Analysis of Electroencephalographic Examinations in Dogs with Seizures of Different Etiologies. Vet. J. 2017, 222, 41–51. [Google Scholar] [CrossRef] [PubMed]
- Ștefănescu, R.A.; Boghian, V.; Solcan, G.; Codreanu, M.D.; Musteata, M. Electroencephalographic Features of Presumed Hepatic Encephalopathy in a Pediatric Dog with a Portosystemic Shunt—A Case Report. Life 2025, 15, 107. [Google Scholar] [CrossRef] [PubMed]
- Estey, C.M. Congenital Hydrocephalus. Vet. Clin. N. Am. Small Anim. Pr. 2016, 46, 217–229. [Google Scholar] [CrossRef] [PubMed]
- Mandara, M.T.; Pavone, S.; Vitellozzi, G. Internal Hydrocephalus and Associated Periventricular Encephalitis in a Young Fox. Vet. Pathol. 2007, 44, 713–716. [Google Scholar] [CrossRef] [PubMed]
- Farke, D.; Kolecka, M.; Czerwik, A.; Wrzosek, M.; Schaub, S.; Kramer, M.; Failing, K.; Schmidt, M.J. Prevalence of Seizures in Dogs and Cats with Idiopathic Internal Hydrocephalus and Seizure Prevalence after Implantation of a Ventriculo-Peritoneal Shunt. J. Vet. Intern. Med. 2020, 34, 1986–1992. [Google Scholar] [CrossRef] [PubMed]
- Raposo, M.; Añor, S.; Verdés, J.; Soler, V.; Martorell, J. Diagnosis and Treatment of Congenital Hydrocephalus in a Red Fox (Vulpes vulpes) with Seizures. Vet. Rec. Case Rep. 2022, 10, e310. [Google Scholar] [CrossRef]
- Najar, H.; Streinu-Cercel, A. Epidemiological Management of Rabies in Romania. Germs 2012, 2, 95–100. [Google Scholar] [CrossRef] [PubMed]
- Dascalu, M.A.; Picard-Meyer, E.; Robardet, E.; Servat, A.; Arseniev, S.; Groza, O.; Starciuc, N.; Vuta, V.; Barbuceanu, F.; Tanase, O.I.; et al. Whole Genome Sequencing and Phylogenetic Characterisation of Rabies Virus Strains from Moldova and North-Eastern Romania. PloS. Negl. Trop Dis. 2023, 17, e0011446. [Google Scholar] [CrossRef] [PubMed]
- Cereaciuchin, M.C.; Turbatu, R.; Neagu, A.; Fernoagă, C. Hydrocephalus in Dogs. Pract. Veterinara. Ro. 2022, 1, 21. [Google Scholar] [CrossRef]
- Armașu, M.; Stanciu, G.D.; Musteată, M.; Mocanu, D.; Solcan, G. Electroencephalographic Aspects in Dogs with Congenital Hydrocephalus. Bull. Univ. Agric. Sci. Vet. Med. Cluj-Napoca Vet. Med. 2014, 71, 305–312. [Google Scholar] [CrossRef] [PubMed]
- Brüssau, C.; Meyer-Lindenberg, A.; Wohlsein, P.; Nolte, I. Congenital hydrocephalus internus of the dog: Clinical, computed tomographic and pathomorphological features of six cases. Dtsch. Tierarztl. Wochenschr. 2009, 116, 53–59. [Google Scholar] [PubMed]





Disclaimer/Publisher’s Note: The statements, opinions and data contained in all publications are solely those of the individual author(s) and contributor(s) and not of MDPI and/or the editor(s). MDPI and/or the editor(s) disclaim responsibility for any injury to people or property resulting from any ideas, methods, instructions or products referred to in the content. |
© 2025 by the authors. Licensee MDPI, Basel, Switzerland. This article is an open access article distributed under the terms and conditions of the Creative Commons Attribution (CC BY) license (https://creativecommons.org/licenses/by/4.0/).
Share and Cite
Neagu, A.G.; Pavel, R.; Ene, I.; Turbatu, R.M.; Fernoaga, C.; Tudor, N.; Musteata, M. Imaging Diagnosis of Hydrocephalus in a Fox Cub-Case Study. Life 2025, 15, 1159. https://doi.org/10.3390/life15081159
Neagu AG, Pavel R, Ene I, Turbatu RM, Fernoaga C, Tudor N, Musteata M. Imaging Diagnosis of Hydrocephalus in a Fox Cub-Case Study. Life. 2025; 15(8):1159. https://doi.org/10.3390/life15081159
Chicago/Turabian StyleNeagu, Alexandru Gabriel, Ruxandra Pavel, Ioana Ene, Raluca Mihaela Turbatu, Cristina Fernoaga, Niculae Tudor, and Mihai Musteata. 2025. "Imaging Diagnosis of Hydrocephalus in a Fox Cub-Case Study" Life 15, no. 8: 1159. https://doi.org/10.3390/life15081159
APA StyleNeagu, A. G., Pavel, R., Ene, I., Turbatu, R. M., Fernoaga, C., Tudor, N., & Musteata, M. (2025). Imaging Diagnosis of Hydrocephalus in a Fox Cub-Case Study. Life, 15(8), 1159. https://doi.org/10.3390/life15081159

