Muscle and Tendon Stiffness of the Lower Limb of Professional Adolescent Soccer Athletes Measured Using Shear Wave Elastography
Abstract
1. Introduction
2. Materials and Methods
2.1. Study Population
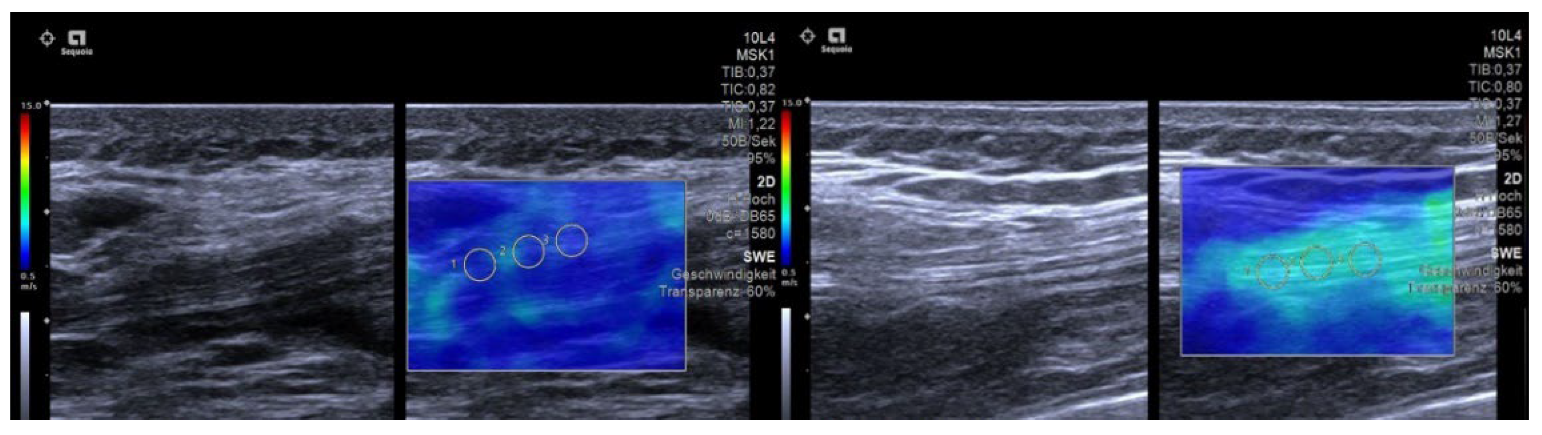
2.2. Ultrasound-Based Shear Wave Elastography
2.3. Statistical Analysis
3. Results
3.1. General Characteristics of the Study Population
3.2. Results of US-SWE in Adolescent and Adult Soccer Athletes
4. Discussion
Technical Aspects of US-SWE
5. Conclusions
Author Contributions
Funding
Institutional Review Board Statement
Informed Consent Statement
Data Availability Statement
Acknowledgments
Conflicts of Interest
References
- McKay, D.; Broderick, C.; Steinbeck, K. The Adolescent Athlete: A Developmental Approach to Injury Risk. Pediatr. Exerc. Sci. 2016, 28, 488–500. [Google Scholar] [CrossRef] [PubMed]
- Guan, Y.; Bredin, S.S.D.; Taunton, J.; Jiang, Q.; Wu, N.; Li, Y.; Warburton, D. Risk Factors for Non-Contact Lower-Limb Injury: A Retrospective Survey in Pediatric-Age Athletes. J. Clin. Med. 2021, 10, 3171. [Google Scholar] [CrossRef] [PubMed]
- Walters, B.K.; Read, C.R.; Estes, A.R. The effects of resistance training, overtraining, and early specialization on youth athlete injury and development. J. Sports Med. Phys. Fit. 2018, 58, 1339–1348. [Google Scholar] [CrossRef] [PubMed]
- von Rosen, P.; Frohm, A.; Kottorp, A.; Friden, C.; Heijne, A. Multiple factors explain injury risk in adolescent elite athletes: Applying a biopsychosocial perspective. Scand. J. Med. Sci. Sports 2017, 27, 2059–2069. [Google Scholar] [CrossRef]
- Read, P.J.; Oliver, J.L.; De Ste Croix, M.B.; Myer, G.D.; Lloyd, R.S. Neuromuscular Risk Factors for Knee and Ankle Ligament Injuries in Male Youth Soccer Players. Sports Med. 2016, 46, 1059–1066. [Google Scholar] [CrossRef]
- Hietamo, J.; Rantala, A.; Parkkari, J.; Leppanen, M.; Rossi, M.; Heinonen, A.; Steffen, K.; Kannus, P.; Mattila, V.; Pasanen, K. Injury History and Perceived Knee Function as Risk Factors for Knee Injury in Youth Team-Sports Athletes. Sports Health 2022. [Google Scholar] [CrossRef]
- Dirrichs, T.; Quack, V.; Gatz, M.; Tingart, M.; Kuhl, C.K.; Schrading, S. Shear Wave Elastography (SWE) for the Evaluation of Patients with Tendinopathies. Acad. Radiol. 2016, 23, 1204–1213. [Google Scholar] [CrossRef]
- Dirrichs, T.; Quack, V.; Gatz, M.; Tingart, M.; Rath, B.; Betsch, M.; Kuhl, C.K.; Schrading, S. Shear Wave Elastography (SWE) for Monitoring of Treatment of Tendinopathies: A Double-blinded, Longitudinal Clinical Study. Acad. Radiol. 2018, 25, 265–272. [Google Scholar] [CrossRef]
- Feng, Y.N.; Li, Y.P.; Liu, C.L.; Zhang, Z.J. Assessing the elastic properties of skeletal muscle and tendon using shearwave ultrasound elastography and MyotonPRO. Sci. Rep. 2018, 8, 17064. [Google Scholar] [CrossRef]
- Lee, Y.; Kim, M.; Lee, H. The Measurement of Stiffness for Major Muscles with Shear Wave Elastography and Myoton: A Quantitative Analysis Study. Diagnostics 2021, 11, 524. [Google Scholar] [CrossRef]
- Dirrichs, T.; Schrading, S.; Gatz, M.; Tingart, M.; Kuhl, C.K.; Quack, V. Shear Wave Elastography (SWE) of Asymptomatic Achilles Tendons: A Comparison Between Semiprofessional Athletes and the Nonathletic General Population. Acad. Radiol. 2019, 26, 1345–1351. [Google Scholar] [CrossRef]
- Tas, S.; Onur, M.R.; Yilmaz, S.; Soylu, A.R.; Korkusuz, F. Shear Wave Elastography Is a Reliable and Repeatable Method for Measuring the Elastic Modulus of the Rectus Femoris Muscle and Patellar Tendon. J. Ultrasound Med. 2017, 36, 565–570. [Google Scholar] [CrossRef]
- Zardi, E.M.; Franceschetti, E.; Giorgi, C.; Palumbo, A.; Franceschi, F. Reliability of quantitative point shear-wave ultrasound elastography on vastus medialis muscle and quadriceps and patellar tendons. Med. Ultrason. 2019, 21, 50–55. [Google Scholar] [CrossRef]
- Andonian, P.; Viallon, M.; Le Goff, C.; de Bourguignon, C.; Tourel, C.; Morel, J.; Giardini, G.; Gergelé, L.; Millet, G.P.; Croisille, P. Shear-Wave Elastography Assessments of Quadriceps Stiffness Changes prior to, during and after Prolonged Exercise: A Longitudinal Study during an Extreme Mountain Ultra-Marathon. PLoS ONE 2016, 11, e0161855. [Google Scholar]
- Xu, J.; Hug, F.; Fu, S.N. Stiffness of individual quadriceps muscle assessed using ultrasound shear wave elastography during passive stretching. J. Sport Health Sci. 2018, 7, 245–249. [Google Scholar] [CrossRef]
- Santos, R.; Armada-da-Silva, P.A.S. Reproducibility of ultrasound-derived muscle thickness and echo-intensity for the entire quadriceps femoris muscle. Radiography 2017, 23, e51–e61. [Google Scholar] [CrossRef]
- Delaney, S.; Worsley, P.; Warner, M.; Taylor, M.; Stokes, M. Assessing contractile ability of the quadriceps muscle using ultrasound imaging. Muscle Nerve 2010, 42, 530–538. [Google Scholar] [CrossRef]
- Coombes, B.K.; Ziegenfuss, B.; David, M.; Badya, R.; van den Hoorn, W.; Hug, F.; Tucker, K. Heterogeneity of passive elastic properties within the quadriceps femoris muscle-tendon unit. Eur. J. Appl. Physiol. 2018, 118, 213–221. [Google Scholar] [CrossRef]
- Ebihara, B.; Mutsuzaki, H.; Fukaya, T. Relationships between Quadriceps Tendon Elasticity and Knee Flexion Angle in Young Healthy Adults. Medicina 2019, 55, 53. [Google Scholar] [CrossRef]
- Mannarino, P.; Matta, T.T.D.; Oliveira, L.F. An 8-week resistance training protocol is effective in adapting quadriceps but not patellar tendon shear modulus measured by Shear Wave Elastography. PLoS ONE 2019, 14, e0205782. [Google Scholar] [CrossRef]
- Ozcan, A.N.; Tan, S.; Tangal, N.G.; Ciraci, S.; Kudas, S.; Bektaser, S.B.; Arslan, H. Real-time sonoelastography of the patellar and quadriceps tendons: Pattern description in professional athletes and healthy volunteers. Med. Ultrason. 2016, 18, 299–304. [Google Scholar] [CrossRef]
- Kuervers, E.J.; Firminger, C.R.; Edwards, W.B. Effect of Knee Angle and Quadriceps Muscle Force on Shear-Wave Elastography Measurements at the Patellar Tendon. Ultrasound Med. Biol. 2021, 47, 2167–2175. [Google Scholar] [CrossRef]
- Drawer, S.; Fuller, C.W. Evaluating the level of injury in English professional football using a risk based assessment process. Br. J. Sports Med. 2002, 36, 446–451. [Google Scholar] [CrossRef]
- Gouttebarge, V.; Aoki, H.; Kerkhoffs, G.M.M.J. Knee osteoarthritis in professional football is related to severe knee injury and knee surgery. Inj. Epidemiol. 2018, 5, 26. [Google Scholar] [CrossRef]
- Taş, S.; Özkan, Ö.; Karaçoban, L.; Dönmez, G.; Çetin, A.; Korkusuz, F. Knee muscle and tendon stiffness in professional soccer players: A shear-wave elastography study. J. Sports Med. Phys. Fit. 2020, 60, 276–281. [Google Scholar] [CrossRef]
- Maly, T.; Sugimoto, D.; Izovska, J.; Zahalka, F.; Mala, L. Effect of Muscular Strength, Asymmetries and Fatigue on Kicking Performance in Soccer Players. Int. J. Sports Med. 2018, 39, 297–303. [Google Scholar] [CrossRef]
- Mohammadi Orangi, B.; Yaali, R.; Bahram, A.; Aghdasi, M.T.; van der Kamp, J.; Vanrenterghem, J.; Jonese, P.A. Motor learning methods that induce high practice variability reduce kinematic and kinetic risk factors of non-contact ACL injury. Hum. Mov. Sci. 2021, 78, 102805. [Google Scholar] [CrossRef]
- Carey, D.P.; Smith, G.; Smith, D.T.; Shepherd, J.W.; Skriver, J.; Ord, L.; Rutland, A. Footedness in world soccer: An analysis of France 98. J. Sports Sci. 2001, 19, 855–864. [Google Scholar] [CrossRef]
- Jauhiainen, S.; Kauppi, J.P.; Leppanen, M.; Pasanen, K.; Parkkari, J.; Vasankari, T.; Kannus, P.; Äyrämö, S. New Machine Learning Approach for Detection of Injury Risk Factors in Young Team Sport Athletes. Int. J. Sports Med. 2021, 42, 175–182. [Google Scholar] [CrossRef] [PubMed]
- Gonell, A.C.; Romero, J.A.; Soler, L.M. Relationship between the Y Balance Test Scores and Soft Tissue Injury Incidence in a Soccer Team. Int. J. Sports Phys. Ther. 2015, 10, 955–966. [Google Scholar]
- Carder, S.L.; Giusti, N.E.; Vopat, L.M.; Tarakemeh, A.; Baker, J.; Vopat, B.G.; Jonese, P.A. The Concept of Sport Sampling Versus Sport Specialization: Preventing Youth Athlete Injury: A Systematic Review and Meta-analysis. Am. J. Sports Med. 2020, 48, 2850–2857. [Google Scholar] [CrossRef] [PubMed]
- Croisier, J.L.; Ganteaume, S.; Binet, J.; Genty, M.; Ferret, J.M. Strength imbalances and prevention of hamstring injury in professional soccer players: A prospective study. Am. J. Sports Med. 2008, 36, 1469–1475. [Google Scholar] [CrossRef] [PubMed]
- Verrall, G.M.; Kalairajah, Y.; Slavotinek, J.P.; Spriggins, A.J. Assessment of player performance following return to sport after hamstring muscle strain injury. J. Sci. Med. Sport 2006, 9, 87–90. [Google Scholar] [CrossRef] [PubMed]
- Porta, F.; Damjanov, N.; Galluccio, F.; Iagnocco, A.; Matucci-Cerinic, M. Ultrasound elastography is a reproducible and feasible tool for the evaluation of the patellar tendon in healthy subjects. Int. J. Rheum. Dis. 2014, 17, 762–766. [Google Scholar] [CrossRef]
- Dickson, D.M.; Fawole, H.O.; Newcombe, L.; Smith, S.L.; Hendry, G.J. Reliability of ultrasound strain elastography in the assessment of the quadriceps and patellar tendon in healthy adults. Ultrasound 2019, 27, 252–261. [Google Scholar] [CrossRef]
- Sconfienza, L.M.; Albano, D.; Allen, G.; Bazzocchi, A.; Bignotti, B.; Chianca, V.; Facal de Castro, F.; Drakonaki, E.E.; Gallardo, E.; Gielen, J.; et al. Clinical indications for musculoskeletal ultrasound updated in 2017 by European Society of Musculoskeletal Radiology (ESSR) consensus. Eur. Radiol. 2018, 28, 5338–5351. [Google Scholar] [CrossRef]
- Liu, C.; Romodina, M.; Li, J.; Singh, M.; Sobol, E.; Larin, K. Measurement of the temperature dependence of Young’s modulus of cartilage by phase-sensitive optical coherence elastography. Quantum Electron. 2014, 44, 751. [Google Scholar] [CrossRef]
- Corrigan, P.; Cortes, D.H.; Pohlig, R.T.; Gravare Silbernagel, K. Tendon Morphology and Mechanical Properties Are Associated With the Recovery of Symptoms and Function in Patients With Achilles Tendinopathy. Orthop. J. Sports Med. 2020, 8, 2325967120917271. [Google Scholar] [CrossRef]
- Brito, J.; Malina, R.M.; Seabra, A.; Massada, J.L.; Soares, J.M.; Krustrup, P.; Rebelo, A. Injuries in Portuguese youth soccer players during training and match play. J. Athl. Train. 2012, 47, 191–197. [Google Scholar] [CrossRef]




| Tendon and Muscle | SWS Adolescents (m/s) n = 13 | SWS Adults (m/s) n= 19 | p-Value |
|---|---|---|---|
| QT right | 2.90 (2.61–3.12) | 3.50 (2.73–4.56) | 0.031 |
| QT left | 3.11 (2.88–3.53) | 3.25 (2.37–3.79) | >0.05 |
| VM right | 1.61 (1.36–1.87) | 1.88 (1.53–2.27) | >0.05 |
| VM left | 1.67 (1.4–1.87) | 1.71 (1.37–2.05) | >0.05 |
Publisher’s Note: MDPI stays neutral with regard to jurisdictional claims in published maps and institutional affiliations. |
© 2022 by the authors. Licensee MDPI, Basel, Switzerland. This article is an open access article distributed under the terms and conditions of the Creative Commons Attribution (CC BY) license (https://creativecommons.org/licenses/by/4.0/).
Share and Cite
Römer, C.; Czupajllo, J.; Zessin, E.; Fischer, T.; Wolfarth, B.; Lerchbaumer, M.H. Muscle and Tendon Stiffness of the Lower Limb of Professional Adolescent Soccer Athletes Measured Using Shear Wave Elastography. Diagnostics 2022, 12, 2453. https://doi.org/10.3390/diagnostics12102453
Römer C, Czupajllo J, Zessin E, Fischer T, Wolfarth B, Lerchbaumer MH. Muscle and Tendon Stiffness of the Lower Limb of Professional Adolescent Soccer Athletes Measured Using Shear Wave Elastography. Diagnostics. 2022; 12(10):2453. https://doi.org/10.3390/diagnostics12102453
Chicago/Turabian StyleRömer, Claudia, Julia Czupajllo, Enrico Zessin, Thomas Fischer, Bernd Wolfarth, and Markus Herbert Lerchbaumer. 2022. "Muscle and Tendon Stiffness of the Lower Limb of Professional Adolescent Soccer Athletes Measured Using Shear Wave Elastography" Diagnostics 12, no. 10: 2453. https://doi.org/10.3390/diagnostics12102453
APA StyleRömer, C., Czupajllo, J., Zessin, E., Fischer, T., Wolfarth, B., & Lerchbaumer, M. H. (2022). Muscle and Tendon Stiffness of the Lower Limb of Professional Adolescent Soccer Athletes Measured Using Shear Wave Elastography. Diagnostics, 12(10), 2453. https://doi.org/10.3390/diagnostics12102453

