-
Targeted Screening Strategies for Head and Neck Cancer: A Global Review of Evidence, Technologies, and Cost-Effectiveness -
Longitudinal Effects of Lipid-Lowering Treatment on High-Risk Plaque Features and Pericoronary Adipose Tissue Attenuation Using Serial Coronary Computed Tomography -
Prognosis of Breast Cancer in Women in Their 20s: Clinical and Radiological Insights -
Infections as a Cause of Preterm Birth: Amniotic Fluid Sludge—An Ultrasound Marker for Intra-Amniotic Infections and a Risk Factor for Preterm Birth
Journal Description
Diagnostics
Diagnostics
is an international, peer-reviewed, open access journal on medical diagnosis published semimonthly online by MDPI. The British Neuro-Oncology Society (BNOS), the International Society for Infectious Diseases in Obstetrics and Gynaecology (ISIDOG) and the Swiss Union of Laboratory Medicine (SULM) are affiliated with Diagnostics and their members receive a discount on the article processing charges.
- Open Access— free for readers, with article processing charges (APC) paid by authors or their institutions.
- High Visibility: indexed within Scopus, SCIE (Web of Science), PubMed, PMC, Embase, Inspec, CAPlus / SciFinder, and other databases.
- Journal Rank: JCR - Q1 (Medicine, General and Internal) / CiteScore - Q2 (Internal Medicine)
- Rapid Publication: manuscripts are peer-reviewed and a first decision is provided to authors approximately 21 days after submission; acceptance to publication is undertaken in 2.6 days (median values for papers published in this journal in the first half of 2025).
- Recognition of Reviewers: reviewers who provide timely, thorough peer-review reports receive vouchers entitling them to a discount on the APC of their next publication in any MDPI journal, in appreciation of the work done.
- Companion journals for Diagnostics include: LabMed and AI in Medicine.
Impact Factor:
3.3 (2024);
5-Year Impact Factor:
3.3 (2024)
Latest Articles
Thromboelastography to Support Clinical Decision Making in Patients with Peripheral Artery Disease
Diagnostics 2025, 15(24), 3113; https://doi.org/10.3390/diagnostics15243113 (registering DOI) - 8 Dec 2025
Abstract
Peripheral artery disease (PAD) leads to reduced blood flow, primarily affecting the vessels of lower extremities. Symptoms include pain, cramping and reduced functional capacity, and patients are also at increased risk of cardiovascular complications and mortality. Postoperative medical management in PAD patients includes
[...] Read more.
Peripheral artery disease (PAD) leads to reduced blood flow, primarily affecting the vessels of lower extremities. Symptoms include pain, cramping and reduced functional capacity, and patients are also at increased risk of cardiovascular complications and mortality. Postoperative medical management in PAD patients includes the use of antiplatelet and antithrombotic medications, which help to prevent postoperative graft and stent thrombosis and associated adverse effects. Despite extensive research, there is little consensus on the best strategy or medication regimen for patients with PAD or on monitoring strategies for the antithrombotic therapies. Thromboelastography, with the adjunct of platelet function assessment, is well established for providing real-time assessment of coagulation and platelet function in patients undergoing cardiovascular surgery or cardiovascular procedures. TEG® PlateletMapping® assays can assess hypercoagulable changes in pre- and post-intervention in cardiovascular patients, including in patients with PAD and help physicians guide antithrombotic treatments after revascularization. The use of thromboelastography with platelet function analysis provides an opportunity to tailor antithrombotic therapy and personalize care in patients with PAD, which could be integral to improving limb salvage and preventing adverse events in these patients.
Full article
(This article belongs to the Section Clinical Diagnosis and Prognosis)
►
Show Figures
Open AccessCase Report
Bone Marrow Edema and Tyrosine Kinase Inhibitors Treatment in Chronic Myeloid Leukemia
by
Sabina Russo, Manlio Fazio, Giuseppe Mirabile, Raffaele Sciaccotta, Fabio Stagno and Alessandro Allegra
Diagnostics 2025, 15(24), 3112; https://doi.org/10.3390/diagnostics15243112 (registering DOI) - 8 Dec 2025
Abstract
Background and Clinical Significance: Tyrosine kinase inhibitors (TKIs) have transformed Philadelphia chromosome-positive chronic myeloid leukemia (Ph+ CML) into a largely manageable chronic disease. However, off-target toxicities are increasingly recognized; rarer complications such as bone marrow edema (BME) remain underreported. BME is a
[...] Read more.
Background and Clinical Significance: Tyrosine kinase inhibitors (TKIs) have transformed Philadelphia chromosome-positive chronic myeloid leukemia (Ph+ CML) into a largely manageable chronic disease. However, off-target toxicities are increasingly recognized; rarer complications such as bone marrow edema (BME) remain underreported. BME is a radiological syndrome characterized by excess intramedullary fluid on fat-suppressed T2/STIR magnetic resonance imaging sequences and may progress to irreversible osteochondral damage if unrecognized. We report a case series of TKI-associated BME and propose a practical diagnostic-therapeutic framework. Case Presentation: We describe three patients with Ph+ CML who developed acute, MRI-confirmed BME of the lower limb during TKI therapy. Case 1 developed unilateral then bilateral knee BME, temporally associated first with dasatinib and subsequently with imatinib; symptoms improved after TKI interruption, bisphosphonate therapy, and supportive measures, and did not recur after switching to bosutinib. Case 2 presented with proximal femoral BME during long-term imatinib; imatinib was stopped, intravenous neridronate administered, and bosutinib initiated with clinical recovery and later near-complete radiological resolution. Case 3 experienced multifocal foot and ankle BME during imatinib; symptoms resolved after drug discontinuation and bisphosphonate therapy, and disease control was re-established with bosutinib without recurrence of BME. All patients underwent molecular monitoring and mutational analysis to guide safe therapeutic switching. Discussion: Temporal association across cases and the differential kinase profiles of implicated drugs suggest PDGFR (and to a lesser extent, c-KIT) inhibition as a plausible mechanistic driver of TKI-associated BME. PDGFR-β blockade may impair pericyte-mediated microvascular integrity, increase interstitial fluid extravasation, and alter osteoblast/osteoclast coupling, promoting intramedullary edema. Management combining MRI confirmation, temporary TKI suspension, bone-directed therapy (bisphosphonates, vitamin D/calcium), symptomatic care, and, when required, therapeutic switching to a PDGFR-sparing agent (bosutinib) led to clinical recovery and preservation of leukemia control in our series. Conclusions: BME is an underrecognized, potentially disabling, TKI-related adverse event in CML. Prompt recognition with targeted MRI and a multidisciplinary, stepwise approach that includes temporary TKI adjustment, bone-directed therapy, and consideration of PDGFR-sparing alternatives can mitigate morbidity while maintaining disease control. Prospective studies are needed to define incidence, risk factors, optimal prevention, and management strategies.
Full article
(This article belongs to the Special Issue Hematologic Tumors of the Bone: From Diagnosis to Prognosis)
►▼
Show Figures

Figure 1
Open AccessArticle
Thrombophilia-Related Single Nucleotide Variants and Altered Coagulation Parameters in a Cohort of Mexican Women with Recurrent Pregnancy Loss
by
Luis Felipe León-Madero, Larissa López-Rodriguez, Mónica Aguinaga-Ríos, Samuel Vargas-Trujillo, Angélica Castañeda-de-la-Fuente, Paloma del Carmen Salazar-Villanueva, Yanen Zaneli Ríos-Lozano, Yuridia Martínez-Meza, Monserrat Aglae Luna-Flores, Alberto Hidalgo-Bravo, Héctor Jesús Borboa-Olivares, Verónica Zaga-Clavellina and Rosalba Sevilla-Montoya
Diagnostics 2025, 15(24), 3111; https://doi.org/10.3390/diagnostics15243111 (registering DOI) - 7 Dec 2025
Abstract
Background: Recurrent pregnancy loss (RPL) is a multifactorial condition in which genetic variants associated with thrombophilia may contribute to altered coagulation and adverse pregnancy outcomes. Objective: This study aimed to investigate the association between thrombophilia-related single nucleotide variants (SNVs) and coagulation-related metabolites in
[...] Read more.
Background: Recurrent pregnancy loss (RPL) is a multifactorial condition in which genetic variants associated with thrombophilia may contribute to altered coagulation and adverse pregnancy outcomes. Objective: This study aimed to investigate the association between thrombophilia-related single nucleotide variants (SNVs) and coagulation-related metabolites in a cohort of Mexican women with RPL. Methods: A retrospective and descriptive design was conducted including 105 women with at least two consecutive miscarriages and with a multidisciplinary approach that included a thrombophilia-associated SNVs panel. Peripheral blood samples were collected after fasting for biochemical and molecular analyses. Genotyping of thrombophilia-associated SNVs was performed using real-time PCR with custom-designed TaqMan probes on a Rotor-Gene Q platform, including variants in AGT (rs4762, rs699), F7 (rs6046), FGB (rs1800790), MTR (rs1805087), MTRR (rs1801394), MTHFR (rs1801133, rs1801131), F2 (rs1799963), F5 (rs6025), SERPINE1 (rs1799889), F12 (rs1801020), and F13A1 (rs5985) genes. Coagulation parameters evaluated were folic acid, cobalamin, fibrinogen, D-dimer, homocysteine, antithrombin III activity, thrombin time (TT), prothrombin time (PT), activated partial thromboplastin time (aPTT), international normalized ratio (INR), and Factor XII activity. Results: Significant differences were found in INR values across F7-rs6046 genotypes (p = 0.006), with an additive model showing a mean difference of 0.05 (p = 0.0009). The F12-rs1801020 variant was strongly associated with Factor XII activity (p = 0.002) and aPTT (p = 0.045). Conclusions: These findings indicate that F7-rs6046 and F12-rs1801020 genotypes influence specific coagulation parameters, suggesting that certain thrombophilia-associated SNVs may modulate the hemostatic profile in Mexican women with RPL and contribute to personalized risk assessment in reproductive medicine.
Full article
(This article belongs to the Section Pathology and Molecular Diagnostics)
►▼
Show Figures

Figure 1
Open AccessArticle
Explainable Federated Learning for Multi-Class Heart Disease Diagnosis via ECG Fiducial Features
by
Tanjila Alam Sathi, Rafsan Jany, AKM Azad, Salem A. Alyami, Naif Alotaibi, Iqram Hussain and Md Azam Hossain
Diagnostics 2025, 15(24), 3110; https://doi.org/10.3390/diagnostics15243110 (registering DOI) - 7 Dec 2025
Abstract
Background/Objectives: Cardiovascular disease (CVD) remains a leading cause of mortality and disability worldwide, with timely diagnosis critical for preventing long-term functional impairment. Electrocardiograms (ECGs) provide essential biomarkers of cardiac function, but their interpretation is often complex, particularly across multi-institutional datasets. Methods: This study
[...] Read more.
Background/Objectives: Cardiovascular disease (CVD) remains a leading cause of mortality and disability worldwide, with timely diagnosis critical for preventing long-term functional impairment. Electrocardiograms (ECGs) provide essential biomarkers of cardiac function, but their interpretation is often complex, particularly across multi-institutional datasets. Methods: This study presents an explainable federated learning framework with long short-term memory (FL-LSTM) for multi-class heart disease classification, capable of distinguishing arrhythmia, ischemia, and healthy states while preserving patient privacy. Results: The model was trained and evaluated on three heterogeneous ECG datasets, achieving 92% accuracy, 99% AUC, and 91% F1 score, outperforming existing federated approaches. Model interpretability is provided via SHapley Additive exPlanations (SHAP) and Local Interpretable Model-Agnostic Explanations (LIME), highlighting clinically relevant ECG biomarkers such as P-wave height, R-wave height, QRS complex, RR interval, and QT interval. Conclusions: By integrating temporal modeling, federated learning, and interpretable AI, the framework enables secure and collaborative cardiac diagnosis while supporting transparent clinical decision-making in distributed healthcare settings.
Full article
(This article belongs to the Special Issue AI and Digital Health for Disease Diagnosis and Monitoring, 2nd Edition)
Open AccessArticle
Anatomical and CBCT-Based Evaluation of the Mental Foramen in Korean Adults: Clinical Implications for Implant Surgery and Mental Nerve Block
by
Yong-Ho Kim and Mi-Sun Hur
Diagnostics 2025, 15(24), 3109; https://doi.org/10.3390/diagnostics15243109 (registering DOI) - 7 Dec 2025
Abstract
Background: Precise localization of the mental foramen (MF) is essential to avoid mental nerve injury during implant placement, osteotomy, periapical surgery, and regional anesthesia. However, MF morphology and canal orientation show population-specific variability, and comprehensive morphometric data combining cadaveric dissection and CBCT analysis
[...] Read more.
Background: Precise localization of the mental foramen (MF) is essential to avoid mental nerve injury during implant placement, osteotomy, periapical surgery, and regional anesthesia. However, MF morphology and canal orientation show population-specific variability, and comprehensive morphometric data combining cadaveric dissection and CBCT analysis remain limited in Koreans. This study aimed to provide clinically applicable MF reference values for Korean adults. Methods: Thirty-two hemimandibles from 16 dentate Korean cadavers were examined through direct anatomical dissection. MF position relative to teeth, shape, vertical and horizontal diameters, and distances to the gingival margin, inferior border, and mandibular midline were measured. CBCT imaging of 12 hemimandibles was used to assess the internal trajectory and opening direction of the mental canal. Results: The MF was most frequently located below the second premolar (75%), followed by the P2–M1 region (15.6%). Round foramina (62.5%) were more common than oval forms. Mean distances from the MF to the gingival margin, inferior border, and midline were 16.6 mm, 15.5 mm, and 26.5 mm, respectively. The mean horizontal diameter of the MF was 3.0 mm, and the mean vertical diameter was 2.2 mm. CBCT analysis revealed two emergence patterns—posterolateral (50%) and lateral (50%). Conclusions: This study identified the positional characteristics, diameters, and canal emergence patterns of the MF in a cadaveric sample using dissection and CBCT. The findings regarding MF location, dimensions, and the opening direction of the mental canal provide practical anatomical information that may support safer implant placement, mental nerve blocks, and anterior mandibular surgery.
Full article
(This article belongs to the Section Medical Imaging and Theranostics)
►▼
Show Figures

Figure 1
Open AccessArticle
Anatomical Determinants of Tracheal Breathing Sounds: A Computational Study of Airway Narrowing and Obstructive Sleep Apnea
by
Walid Ashraf, Jeffrey J. Fredberg and Zahra Moussavi
Diagnostics 2025, 15(24), 3108; https://doi.org/10.3390/diagnostics15243108 (registering DOI) - 7 Dec 2025
Abstract
Background: Tracheal breathing sounds (TBS) have demonstrated strong potential as a non-invasive, wakefulness-based diagnostic tool for obstructive sleep apnea (OSA); yet the relationship between specific upper airway anatomical features and the resulting TBS spectra remains insufficiently understood. This study aims to enhance the
[...] Read more.
Background: Tracheal breathing sounds (TBS) have demonstrated strong potential as a non-invasive, wakefulness-based diagnostic tool for obstructive sleep apnea (OSA); yet the relationship between specific upper airway anatomical features and the resulting TBS spectra remains insufficiently understood. This study aims to enhance the diagnostic utility of TBS in OSA by investigating how the upper airway anatomy influences TBS spectral characteristics. Method: Patient-specific computational models of the upper airway were reconstructed from high-resolution CT scans of a healthy subject and an individual with OSA. Additional variants were generated with targeted constrictions at the velopharynx, oropharynx, and trachea, based on clinically reported anatomical ranges. Airflow dynamics were simulated using Large Eddy Simulation (LES), and the resulting acoustic responses were computed via Lighthill’s acoustic analogy within a hybrid aero-acoustic framework. Results: Oropharyngeal constriction generated the most spatially concentrated vorticity patterns among single-region constricted models. Airway Resistance analysis revealed that severe velopharyngeal and oropharyngeal constrictions contributed most to regional airway resistance. Spectral analysis showed that velopharyngeal narrowing produced a progressive downward shift in the third resonance peak (1000–1700 Hz), while oropharyngeal narrowing induced an upward shift of the third peak and a downward shift of the fourth peak (1700–2500 Hz). These frequency shifts were attributed to the effective role of acoustic mass and airway compliance. Conclusions: Anatomical modifications of the upper airway produce region-specific changes in both flow and acoustic responses. These findings support the use of TBS spectral analysis for non-invasive localization of airway obstructions in OSA.
Full article
(This article belongs to the Special Issue Advances in Sleep and Respiratory Medicine)
Open AccessArticle
Clinical Symptom Resolution Following PCR-Guided vs. Culture and Susceptibility-Guided Management of Complicated UTI: How Time-To-Antibiotic Start and Antibiotic Appropriateness Mediate the Benefit of Multiplex PCR—An Ad Hoc Analysis of NCT06996301
by
Moustafa Kardjadj, Itoe P. Priestly, Roel Chavez, DeAndre Derrick and Thomas K. Huard
Diagnostics 2025, 15(24), 3107; https://doi.org/10.3390/diagnostics15243107 (registering DOI) - 6 Dec 2025
Abstract
Background: Rapid multiplex PCR assays promise faster and broader detection of uropathogens and resistance markers than conventional quantitative urine culture and susceptibility testing (C&S), but trial evidence linking PCR-guided management to patient-centered outcomes and the mechanisms of any benefit is limited. We performed
[...] Read more.
Background: Rapid multiplex PCR assays promise faster and broader detection of uropathogens and resistance markers than conventional quantitative urine culture and susceptibility testing (C&S), but trial evidence linking PCR-guided management to patient-centered outcomes and the mechanisms of any benefit is limited. We performed an ad hoc analysis of the randomized, multicenter NCT06996301 trial to evaluate whether PCR-guided diagnostic management improves clinical symptom resolution in complicated urinary tract infection (cUTI) and to quantify mediation by time-to-antibiotic start and antibiotic appropriateness. Methods: Paired PCR and C&S were collected for all participants; treating investigators received and acted on randomized results from one diagnostic modality and remained blinded to the comparator. The modified intention-to-treat (Mod-ITT) cohort at end-of-study (EOS) included 362 participants (PCR n = 193; C&S n = 169). The primary outcome was complete clinical cure at EOS (absence of all baseline symptoms). Secondary outcomes included partial cure (≥50% symptom reduction) and per-symptom changes. We used mixed-effects logistic regression (site random intercept) to estimate associations, and causal mediation analysis with nonparametric bootstrap (B = 2000) to decompose PCR’s total effect into indirect effects via time-to-antibiotic (log-transformed) and antibiotic appropriateness (binary, adjudicated at EOS) for complete clinical cure and partial cure. Results: Median time-to-first antibiotic was substantially shorter in the PCR arm (20 h; IQR 12–36) than in the C&S arm (52 h; IQR 30–66; p < 0.001). Antibiotic appropriateness was higher after PCR-guided care (161/193; 83.4%) versus C&S (105/169; 62.1%; p < 0.001). Complete clinical cure occurred in 143/193 (74.1%) PCR versus 106/169 (62.7%) C&S (p = 0.020); partial cure in 161/193 (83.4%) versus 121/169 (71.6%; p = 0.014). In a total-effect mixed model (no mediators), PCR assignment was associated with higher odds of cure (adjusted OR 1.95; 95% CI 1.12–3.39; p = 0.018). In the mechanistic model including mediators, antibiotic appropriateness (OR 2.48; 95% CI 1.45–4.24; p = 0.001), and time-to-antibiotic (per 1 h, OR 0.95; 95% CI 0.926–0.975; p < 0.001) were independently predictive, while the direct arm effect was attenuated (OR 1.10; 95% CI 0.33–3.71). Mediation analysis estimated a statistically significant combined indirect effect (ACME) of 0.0648 (95% CI 0.0343–0.0977), ADE 0.0207 (95% CI −0.0282–0.0784), total effect 0.0796 (95% CI 0.0419–0.1225), and proportion mediated ≈ 74%. Both time-to-antibiotic and appropriateness contributed, with ACME_time ≈ 0.046 and ACME_appropriateness ≈ 0.019. Exploratory analysis using partial cure as the outcome confirmed the robustness and internal validity of the complete-cure findings. Conclusions: In this ad hoc analysis of a randomized trial, PCR-guided management of cUTI improved patient-centered symptom outcomes compared with culture-guided care. Most of the benefit was mediated through faster initiation of antibiotics and, to a lesser extent, increased probability of an appropriate initial antibiotic. These results support stewardship-integrated, rapid molecular diagnostics (used alongside culture) to shorten time-to-effective therapy and improve clinical outcomes in cUTI.
Full article
(This article belongs to the Special Issue Urinary Tract Infections: Advances in Diagnosis and Management)
►▼
Show Figures

Figure 1
Open AccessArticle
Origin Variants of the Ascending Pharyngeal Artery and Sequential External Carotid Branching Classification
by
Rodica Narcisa Calotă, Alexandra Diana Vrapciu, Sorin Hostiuc, Marius Ioan Rusu, Răzvan Costin Tudose, Mihail Silviu Tudosie, George Triantafyllou, Maria Piagkou and Mugurel Constantin Rusu
Diagnostics 2025, 15(24), 3106; https://doi.org/10.3390/diagnostics15243106 (registering DOI) - 6 Dec 2025
Abstract
Background/Objectives: The ascending pharyngeal artery (APA) exhibits considerable variability in origin. Understanding its anatomy is essential for head and neck surgery, endovascular procedures, and skull base approaches. This study aimed to (1) systematically characterize APA origin sites, (2) evaluate bilateral patterns, and (3)
[...] Read more.
Background/Objectives: The ascending pharyngeal artery (APA) exhibits considerable variability in origin. Understanding its anatomy is essential for head and neck surgery, endovascular procedures, and skull base approaches. This study aimed to (1) systematically characterize APA origin sites, (2) evaluate bilateral patterns, and (3) establish a comprehensive sequential classification system for external carotid artery (ECA) branching. Methods: Bilateral computed tomography angiography assessment was performed in 85 patients (170 carotid axes; 54 men, 31 women; mean age 69 ± 10 years). APA origins were classified into six types: Type 0 (absent), Type I (ECA medial wall), Type II (ECA posterior wall), Type III (occipitopharyngeal trunk), Type IV (internal carotid artery), and Type V (other origins). A novel sequential classification system (S-types) documented the complete ECA branching order. Results: APA was absent in 14.71% of cases; APA’s absence or internal carotid origin was noted in 19.41% of cases. Type I occurred in 26.47%, Type II in 35.88%, Type III in 17.06%, Type IV in 4.71%, and Type V in 1.18%. Forty distinct S-types were identified, representing the most comprehensive documentation of ECA branching diversity. No statistically significant side-related (χ2 = 42.12, p = 0.379) or gender-related (χ2 = 49.81, p = 0.138) differences were found. Twenty-three types occurred in fewer than five cases each. Conclusions: This first comprehensive sequential classification system reveals extraordinary anatomical diversity in ECA branching patterns. The absence of predictable side or gender patterns necessitates bilateral preoperative imaging for surgical planning.
Full article
(This article belongs to the Section Medical Imaging and Theranostics)
►▼
Show Figures

Figure 1
Open AccessArticle
Dual-Attention EfficientNet Hybrid U-Net for Segmentation of Rheumatoid Arthritis Hand X-Rays
by
Madallah Alruwaili, Mahmood A. Mahmood and Murtada K. Elbashir
Diagnostics 2025, 15(24), 3105; https://doi.org/10.3390/diagnostics15243105 (registering DOI) - 6 Dec 2025
Abstract
Background: Accurate segmentation in radiographic imaging remains difficult due to heterogeneous contrast, acquisition artifacts, and fine-scale anatomical boundaries. Objective: This paper presents a Hybrid Attention U-Net, which paired an EfficientNet-B3 encoder with a decoder that is both lightweight, featuring CBAM and
[...] Read more.
Background: Accurate segmentation in radiographic imaging remains difficult due to heterogeneous contrast, acquisition artifacts, and fine-scale anatomical boundaries. Objective: This paper presents a Hybrid Attention U-Net, which paired an EfficientNet-B3 encoder with a decoder that is both lightweight, featuring CBAM and SCSE modules, and complementary for channel-wise and spatial-wise recalibration of sharper boundary recovery. Methods: The preprocessing phase uses percentile windowing, N4 bias compensation, per-image normalization, and geometric standardization as well as sparse geometric augmentations to reduce domain shift and make the pipeline viable. Results: For hand X-ray segmentation, the model achieves results with Dice = 0.8426, IoU around 0.78, pixel accuracy = 0.9058, ROC-AUC = 0.9074, and PR-AUC = 0.8452, and converges quickly at the early stages and remains steady at late epochs. Controlled ablation shows that the main factor of overlap quality of EfficientNet-B3 and that smaller batches (bs = 16) are always better at gradient noise and implicit regularization than larger batches. The qualitative overlays are complementary to quantitative gains that reveal more distinct cortical profiles and lower background leakage. Conclusions: It is computationally moderate, end-to-end trainable, and can be easily extended to multi-class problems through a softmax head and class-balanced objectives, rendering it a powerful, deployable option for musculoskeletal radiograph segmentation as well as an effective baseline in future clinical translation analyses.
Full article
(This article belongs to the Section Machine Learning and Artificial Intelligence in Diagnostics)
Open AccessSystematic Review
Tear Film Alterations in Type 2 Diabetes Mellitus: A Systematic Review and Meta-Analysis
by
Delius Mario Ghenciu, Alexandra Ioana Dănilă, Emil Robert Stoicescu, Adrian Neagu and Laura Andreea Ghenciu
Diagnostics 2025, 15(24), 3104; https://doi.org/10.3390/diagnostics15243104 (registering DOI) - 6 Dec 2025
Abstract
Background: Type 2 diabetes mellitus (T2DM) is increasingly recognized as affecting not only the retina but also the ocular surface. Chronic hyperglycemia can disrupt meibomian gland function, reduce tear secretion, and impair corneal sensitivity, leading to tear film instability and symptoms of
[...] Read more.
Background: Type 2 diabetes mellitus (T2DM) is increasingly recognized as affecting not only the retina but also the ocular surface. Chronic hyperglycemia can disrupt meibomian gland function, reduce tear secretion, and impair corneal sensitivity, leading to tear film instability and symptoms of dry eye disease. However, previous studies have reported variable findings, and the extent of these alterations remains uncertain. Methods: Following PRISMA guidelines, this systematic review and meta-analysis evaluated observational studies that compared tear film parameters between adults with T2DM and non-diabetic controls. Eligible studies assessed one or more of the following: invasive or non-invasive tear break-up time, Schirmer test, tear meniscus height, or Ocular Surface Disease Index (OSDI). Results: Twenty-four studies involving approximately 3500 eyes were included. Most reported significantly reduced tear stability and secretion in diabetic participants compared with controls. Tear break-up times were consistently shorter in T2DM, indicating a less stable tear film. Schirmer test results demonstrated lower tear production correlated with diabetes duration and poor glycemic control. Tear meniscus height was modestly reduced in T2DM, reflecting decreased tear reservoir volume. Subjective symptoms, as measured by OSDI, were generally higher among patients with T2DM, suggesting greater ocular surface discomfort. Conclusions: T2DM is strongly associated with tear film instability, reduced tear secretion, and increased dry eye symptoms. These findings suggest that diabetic care should include routine ocular surface assessment and highlight the need for standardized, longitudinal investigations.
Full article
(This article belongs to the Section Clinical Diagnosis and Prognosis)
►▼
Show Figures

Figure 1
Open AccessArticle
Superiority of 3D-DIR over 3D-FLAIR in the Detection of Cortical Lesions and Correlation with Disability in Multiple Sclerosis: A Multicenter Study
by
Irene Grazzini, Davide Del Roscio, Marco Cirinei, Benedetta Calchetti, Matteo Grammatico, Giulia Spossati, Lorenzo Malatesti, Teresa De Stefano, Andrea Cuneo, Sara Leonini, Ernesto Piane and Lorenzo Testaverde
Diagnostics 2025, 15(24), 3103; https://doi.org/10.3390/diagnostics15243103 (registering DOI) - 6 Dec 2025
Abstract
Background/Objectives: The aim of the study was to compare diagnostic performance of 3D-Double Inversion Recovery (DIR) and 3D-Fluid-Attenuated Inversion Recovery (FLAIR) sequences in the detection of brain lesions in Multiple Sclerosis (MS) patients, especially cortical ones, and to evaluate potential correlation between
[...] Read more.
Background/Objectives: The aim of the study was to compare diagnostic performance of 3D-Double Inversion Recovery (DIR) and 3D-Fluid-Attenuated Inversion Recovery (FLAIR) sequences in the detection of brain lesions in Multiple Sclerosis (MS) patients, especially cortical ones, and to evaluate potential correlation between lesion number and clinical outcome. Methods: From April 2021 to July 2024, 278 MS patients (201 females, 77 males, mean age 47.01 ± 12.668 years) underwent brain MRI in three Italian Institutions using 1.5 T systems; 3D-FLAIR and 3D-DIR sequences were obtained with an identical anatomic position. Clinical disability was evaluated by the expanded disability state score (EDSS). Data analysis was performed using the Wilcoxon test for lesion count differences (primary endpoint), and Chi-square test and Spearman for EDSS correlation (secondary endpoint); a p < 0.05 was considered as statistically significant. Results: A significantly higher total number of lesions was displayed on DIR images (n = 6601) compared with FLAIR (n = 6484) (p < 0.001). The mean number of cortical lesions identified with DIR (1.56 ± 2.767) was significantly higher than the mean number of cortical lesions detected with FLAIR (0.52 ± 1.029) (p < 0.001). Conversely, FLAIR sequences detected a significantly higher mean number of subcortical lesions (9.34 ± 8.663) compared to DIR (8.94 ± 8.415) (p < 0.001). A significant correlation was found between EDSS and the number of juxtacortical and cortical lesions detected with DIR with a p < 0.001. Conclusions: 3D-DIR is superior to 3D-FLAIR in detecting cortical lesions, which are correlated to clinical disability, and it should be implemented for the diagnosis and prognostic evaluation in MS patients.
Full article
(This article belongs to the Special Issue Diagnostic Imaging in Multiple Sclerosis)
►▼
Show Figures

Figure 1
Open AccessArticle
Diagnostic Value of Muscle Biopsy for the Evaluation of Adult Myopathy in Daily Clinical Practice
by
Vera E. A. Kleinveld, Julia Wanschitz, Anna Hotter, Johannes A. Mayr, Romana Höftberger, Wolfgang N. Löscher and Corinne G. C. Horlings
Diagnostics 2025, 15(24), 3102; https://doi.org/10.3390/diagnostics15243102 (registering DOI) - 6 Dec 2025
Abstract
Background/Objectives: Muscle biopsy is traditionally considered a cornerstone in the diagnosis of myopathies. Advances in the clinical and laboratory evaluation of myopathies warrant re-evaluation of the diagnostic yield. Methods: Results of muscle biopsies performed between 1 January 2009 and 31 January 2023
[...] Read more.
Background/Objectives: Muscle biopsy is traditionally considered a cornerstone in the diagnosis of myopathies. Advances in the clinical and laboratory evaluation of myopathies warrant re-evaluation of the diagnostic yield. Methods: Results of muscle biopsies performed between 1 January 2009 and 31 January 2023 in patients with symptoms indicative of myopathy were evaluated and set in relation to clinical diagnosis, based on phenotype, electromyography, laboratory results, and available antibody testing. Biopsies were classified as diagnostic (changed or specified clinical diagnosis), confirmative (same as clinical diagnosis), or non-informative (normal/unspecific findings). Genetic testing followed muscle biopsy at later follow-up, upon availability of genetic testing. Results: One-hundred sixty-two patients were included and divided into five groups based on clinical phenotype: inflammatory myopathy, n = 54; mitochondrial myopathy, n = 33; muscular dystrophy, n = 23; metabolic myopathy, n = 3; and non-specific phenotype (isolated hyperCKemia/myalgia), n = 49. Muscle biopsy was diagnostic in 21.0%, confirmative in 38.3% and non-informative in 40.7% of patients. The percentage of diagnostic biopsies was 66.7% in metabolic myopathy, 54.5% in mitochondrial myopathy, 17.4% in muscular dystrophy, 14.8% in inflammatory myopathy, and 4.1% in the non-specific phenotype. Conclusions: Overall, in our cohort, muscle biopsy yielded a new diagnosis or additional information in 21.0% of patients. In the majority, a diagnosis was established based on clinical and laboratory evaluation, and muscle biopsy was either confirmative or non-informative. We propose muscle biopsy in cases where serological and genetic tests are inconclusive, in the presence of specific signs indicative of myopathy, or when in-tissue genetic testing is necessary to obtain a comprehensive diagnosis.
Full article
(This article belongs to the Section Clinical Diagnosis and Prognosis)
►▼
Show Figures

Figure 1
Open AccessArticle
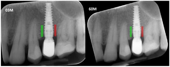
Proposition of a New Scale for Marginal Bone Loss Prediction Around Dental Implants—A 5-Year Follow-Up of Functional Loaded Implants
by
Tomasz Wach, Marcin Kozakiewicz, Adam Michcik, Piotr Hadrowicz, Paulina Pruszyńska, Grzegorz Trybek, Maciej Sikora, Piotr Szymor and Raphael Olszewski
Diagnostics 2025, 15(24), 3101; https://doi.org/10.3390/diagnostics15243101 (registering DOI) - 6 Dec 2025
Abstract
Background: Marginal bone loss (MBL) is a condition leading to implant loss and treatment failure. MBL is one of the main complications in dental implantology. The aim of this research is to show the method that can predict bone loss around implants
[...] Read more.
Background: Marginal bone loss (MBL) is a condition leading to implant loss and treatment failure. MBL is one of the main complications in dental implantology. The aim of this research is to show the method that can predict bone loss around implants and protect patients from implant loss. Methods: A total of 1026 intraoral standardized radiographs of dental implants were included in this study. A total of 2052 peri-implant jawbone image samples were analyzed in MaZda 4.6 software. A new scale was calculated and described. MBL was measured, and groups of patients were compared. Results: After 3 months of functional loading, the Corticalization Index (CI) was calculated to be 210.70 ± 149.78 and increased after 60 months to 277.88 ± 198.78. In the 60-month observation, MBL was 0.85 mm ± 1.29 mm, and it has been noted that low MBL is associated with CI lower than 300, high MBL with CI higher than 500, and critical high MBL appeared when CI was higher than 1200. Conclusions: Authors created a new scale, and research showed that the specified CI in our scale may predict MBL around dental implants with a five-year forecast horizon. It allows us to implement specific treatment and protect implants from loss.
Full article
(This article belongs to the Section Clinical Diagnosis and Prognosis)
►▼
Show Figures

Figure 1
Open AccessArticle
Lung Ultrasound Offers Fast and Reliable Exclusion of Heart Failure in the Emergency Department: A Prospective Diagnostic Study
by
Adis Keranović, Katja Kudrna Prašek and Ivan Gornik
Diagnostics 2025, 15(24), 3100; https://doi.org/10.3390/diagnostics15243100 (registering DOI) - 6 Dec 2025
Abstract
Background/Objectives: Acute dyspnea is a common and urgent presentation in the emergency department, with acute heart failure (AHF) as one of its leading causes. Rapid differentiation between AHF and other etiologies is essential. Methods: This study aimed to evaluate the diagnostic
[...] Read more.
Background/Objectives: Acute dyspnea is a common and urgent presentation in the emergency department, with acute heart failure (AHF) as one of its leading causes. Rapid differentiation between AHF and other etiologies is essential. Methods: This study aimed to evaluate the diagnostic accuracy of lung ultrasound (LUS) and compare it to chest X-ray (CXR) and NT-proBNP accuracy in patients with acute dyspnea, and to assess the potential of LUS for fast bedside diagnosis. This prospective study included 242 adult patients presenting with acute dyspnea of ≤3 days’ duration. All underwent NT-proBNP testing, CXR, and LUS according to a standardized protocol. The final diagnosis was established by experienced clinicians using all available clinical, laboratory, and imaging data, blinded to the LUS results. Diagnostic performance measures of LUS, CXR, and NT-proBNP were evaluated, and examination times of LUS and CXR were compared. Results: LUS achieved the highest sensitivity (95.3%) and negative predictive value (90.8%) for AHF, outperforming NT-proBNP (87.5%, 74.2%) and CXR (84.4%, 79.0%). CXR showed the highest specificity (65.8%) and positive predictive value (73.5%), while LUS specificity was moderate (51.8%). The LUS results were available significantly faster (median 10.0 min) than CXR (median 62.5 min). Conclusions: LUS demonstrated diagnostic accuracy comparable to CXR and NT-proBNP, with superior sensitivity, negative predictive value, and shorter time to results. These findings support its use as a rapid, non-invasive, first-line tool for excluding AHF in acute dyspnea patients.
Full article
(This article belongs to the Special Issue Advances in Ultrasound)
►▼
Show Figures

Figure 1
Open AccessArticle
Feasibility of [68Ga]Ga-FAPI PET Molecular Imaging in Atherosclerosis Compared with [18F]FDG in Oncological Patients
by
Raffaella Calabretta, Ebru Atli, Barbara Katharina Geist, Dina Muin, Lucia Zisser, Clemens P. Spielvogel, Christina Falkenbach, Elisabeth Kretschmer-Chott, Stefan Schmitl, Jutta Bergler-Klein, Xiang Li, Patrick Binder and Marcus Hacker
Diagnostics 2025, 15(24), 3099; https://doi.org/10.3390/diagnostics15243099 - 5 Dec 2025
Abstract
Background: Cardiovascular disease (CVD), driven primarily by atherosclerosis, is a major cause of morbidity and mortality among cancer patients. This study aims to evaluate the diagnostic value of [68Ga]Ga-FAPI-PET as a novel molecular imaging tool for atherosclerosis, compared with established, non-specific
[...] Read more.
Background: Cardiovascular disease (CVD), driven primarily by atherosclerosis, is a major cause of morbidity and mortality among cancer patients. This study aims to evaluate the diagnostic value of [68Ga]Ga-FAPI-PET as a novel molecular imaging tool for atherosclerosis, compared with established, non-specific [18F]FDG. Methods: We retrospectively analyzed twenty patients with bladder cancer who underwent [68Ga]Ga-FAPI positron-emission tomography/magnetic resonance (PET/MR) and [18F]FDG positron emission tomography/computed tomography (PET/CT) at staging. The target-to-background ratio (TBRs) of both tracers were assessed along six arterial segments, and uptake patterns were compared between the two radiotracers. Additionally, associations between the intensity of PET-active lesions and certain CVD risk factors, as well as the intake of acetylsalicylic acid (ASA), were evaluated. Results: [68Ga]Ga-FAPI detects significantly more active arterial PET lesions and shows significantly higher uptake than [18F]FDG in the per-lesion analysis (TBRFAPI: 1.7 ± 0.5 vs. TBRFDG: 1.4 ± 0.2; difference 19%; p < 0.001) and in the patient-based analysis (TBRFAPI: 1.7 ± 0.4 vs. TBRFDG: 1.4 ± 0.2; difference 19%; p = 0.018). Arterial hypertension (p < 0.001), dyslipidemia (p < 0.001), and particularly type 2 diabetes mellitus (p < 0.001; difference 34%), were significantly associated with elevated [68Ga]Ga-FAPI expression compared to [18F]FDG uptake. ASA therapy was associated with a significant reduction in arterial [68Ga]Ga-FAPI expression than [18F]FDG (p = 0.02). Conclusions: [68Ga]Ga-FAPI-PET imaging, demonstrating superior detection of atherosclerotic activity compared to [18F]FDG, might be a promising molecular imaging marker for atherosclerosis.
Full article
(This article belongs to the Special Issue New Perspectives in Cardiac Imaging)
►▼
Show Figures

Figure 1
Open AccessArticle
Best Practices for High-Quality Anterior Segment Optical Coherence Tomography Imaging of Eyes with the Port Delivery Platform Implant
by
Andres Emanuelli, Matthew Ohr, Joel Castro, Rick Laoprasert, Alisa Prager, Paul Latkany and Glenn J. Jaffe
Diagnostics 2025, 15(24), 3098; https://doi.org/10.3390/diagnostics15243098 - 5 Dec 2025
Abstract
Background/Objectives: Anterior segment optical coherence tomography (AS-OCT) is a non-invasive imaging modality used to evaluate anterior segment features. This report aims to inform clinicians of best practices to obtain high-resolution AS-OCT images of anterior segment features of eyes implanted with the Port Delivery
[...] Read more.
Background/Objectives: Anterior segment optical coherence tomography (AS-OCT) is a non-invasive imaging modality used to evaluate anterior segment features. This report aims to inform clinicians of best practices to obtain high-resolution AS-OCT images of anterior segment features of eyes implanted with the Port Delivery Platform (PDP). Methods: In PDP trials, AS-OCT imaging of the anterior segment was performed using Heidelberg Spectralis OCT (Heidelberg Engineering GmbH, Heidelberg, Germany) equipped with the Anterior Segment Module. Images from over 2500 separate study visits were obtained using standardized imaging parameters. The following stepwise approach was recommended to properly orient the volume scans over the extrascleral flange of the PDP ensuring that the scans are centered on the implant with adequate depth: (1) the volume scan was aligned such that: (i) the long axis of the scan was oriented parallel to the implant flange long axis, (ii) the imaging field was centered on the implant septum center, and (iii) it covered the entirety of the implant, with equal margins on either side of the implant flange; (2) the depth of the scan focus was adjusted to ensure that the conjunctiva and Tenon’s capsule over the overmold, as well as sclera under the implant flange, and the septum of the implant, were captured; and (3) Steps 1 and 2 were then repeated after the scan orientation was changed so that the short-axis scans were oriented parallel to the implant flange short axis. Results: Utilization of AS-OCT during clinical development of the PDP allowed visualization of anterior segment features, including the conjunctiva, Tenon’s capsule, and sclera, surrounding the PDP. Overall, these best practices enabled detailed structural imaging of the implant’s interface with surrounding ocular tissues. Common errors resulting in poor AS-OCT image acquisition included off-center raster scans, scans not being aligned parallel to the long and/or short axes of the PDP implant, or not being oriented along the implant axes, and inappropriate scan depths. Conclusions: Application of a standardized AS-OCT imaging procedure was used to obtain high-quality, high-resolution images of anterior segment features in the presence of the PDP implant. The best practices reported are not a requirement for managing eyes with the PDP, but a recommendation for how to obtain high-quality images of the anterior segment of eyes with the PDP implant.
Full article
(This article belongs to the Special Issue Optical Coherence Tomography in Diagnosis of Ophthalmology Disease)
►▼
Show Figures

Figure 1
Open AccessCase Report
Identification of a Novel FLNC Truncating Variant in Fetal Tetralogy of Fallot: A Case Report and Review of the Literature
by
Zhiqiang Zhang, Dandan Wang, Cong Fang, Linan Xu, Shujing He, Zi Ren, Lei Jia and Xiaoyan Liang
Diagnostics 2025, 15(24), 3097; https://doi.org/10.3390/diagnostics15243097 - 5 Dec 2025
Abstract
Background and Clinical Significance: FLNC encodes filamin C, a muscle-scaffolding protein crucial for cardiac integrity. Pathogenic FLNC variants cause diverse cardiomyopathies (hypertrophic, dilated, restrictive, and arrhythmogenic) and myofibrillar myopathies, but their role in congenital cardiac malformations is unclear. Notably, FLNC has not
[...] Read more.
Background and Clinical Significance: FLNC encodes filamin C, a muscle-scaffolding protein crucial for cardiac integrity. Pathogenic FLNC variants cause diverse cardiomyopathies (hypertrophic, dilated, restrictive, and arrhythmogenic) and myofibrillar myopathies, but their role in congenital cardiac malformations is unclear. Notably, FLNC has not been implicated in structural defects such as Tetralogy of Fallot (TOF) to date. Case Presentation: Two fetuses from the same family were prenatally diagnosed with TOF via ultrasound. The trio whole-exome sequencing of the second fetus and her parents identified a novel heterozygous truncating FLNC variant (NM_001458.5:c.1453C>T, p.Q485*). Sanger sequencing confirmed the same variant in the earlier TOF fetus. The mother carried the variant but was asymptomatic. In vitro mutagenesis in rat cardiomyocytes showed that the mutant FLNC construct produced markedly reduced FLNC proteins compared to the wild type and did not form abnormal cytoplasmic aggregates. Conclusions: We report on a novel FLNC truncating variant associated with fetal TOF, extending the spectrum of FLNC-related cardiac anomalies. The variable outcomes among variant carriers—from fetal TOF to adult cardiomyopathy or no clinical manifestations—underscore the complex genotype–phenotype correlations of filaminopathy. This case highlights the importance of comprehensive genetic evaluation in families with diverse cardiac phenotypes and suggests that additional genetic factors likely influence phenotypic expression.
Full article
(This article belongs to the Special Issue Opportunities in Laboratory Medicine in the Era of Genetic Testing)
►▼
Show Figures

Figure 1
Open AccessArticle
Through-the-Needle Biopsy Revisited: How Patient Selection and Standardization Reduce Adverse Events in Pancreatic Cyst Evaluation
by
Maria Cristina Conti Bellocchi, Maria Vittoria Teso, Sofia Spagnolo, Erminia Manfrin, Sokol Sina, Antonio Pea, Nicolò de Pretis, Roberto Salvia, Luca Frulloni and Stefano Francesco Crinò
Diagnostics 2025, 15(24), 3096; https://doi.org/10.3390/diagnostics15243096 - 5 Dec 2025
Abstract
Background/Objectives: Pancreatic cystic lesions (PCLs) are increasingly being detected due to the widespread use of cross-sectional imaging. Endoscopic ultrasound (EUS) is the preferred modality for evaluating their nature and malignancy risk, yet fluid analysis and cytology offer limited sensitivity. Through-the-needle biopsy (TTNB)
[...] Read more.
Background/Objectives: Pancreatic cystic lesions (PCLs) are increasingly being detected due to the widespread use of cross-sectional imaging. Endoscopic ultrasound (EUS) is the preferred modality for evaluating their nature and malignancy risk, yet fluid analysis and cytology offer limited sensitivity. Through-the-needle biopsy (TTNB) has emerged as a more accurate diagnostic tool, though it is associated with higher adverse event (AE) rates. In 2021, our center implemented a selective TTNB protocol excluding frail or elderly patients and suspected IPMNs and standardizing the procedure to two passes, complete cyst aspiration, and selective antibiotic prophylaxis. This study aimed to compare AE rates before and after protocol implementation, evaluate safety factors including antibiotic use, and assess TTNB adequacy and diagnostic accuracy. Methods: We retrospectively analyzed consecutive patients referred for TTNB at AOUI Verona between March 2016 and March 2025, dividing them into two groups: before (Group A) and after (Group B) protocol adoption. Patients not punctured due to technical issues, lack of indication, or presumed pseudocystic nature were excluded. Results: Of 970 patients evaluated by EUS, 190 underwent TTNB (100 in Group A and 90 in Group B). Lesions were mainly located in the pancreatic body or tail, with a significantly larger size in Group B. The overall AE rate was 6.3%, significantly higher in Group A (11%) than in Group B (1%). Antibiotic prophylaxis was not associated with AE occurrence. TTNB adequacy was 88.9%, and diagnostic accuracy was 75.3%. Among 68 surgical cases, TTNB was accurate in 79.4%. Conclusions: A selective and standardized TTNB approach significantly reduces AEs while maintaining high adequacy and diagnostic accuracy.
Full article
(This article belongs to the Special Issue Endoscopy and Diagnostic Tools in Hepatobiliary and Pancreatic Diseases, Second Edition)
►▼
Show Figures

Figure 1
Open AccessReview
The Evolving Microbiology and Antimicrobial Resistance in Peritonitis of Biliary Origin: An Evidence-Based Update of the Tokyo Guidelines (TG18) for Clinicians
by
Elena-Adelina Toma, Octavian Enciu, Gabriela Loredana Popa, Valentin Calu, Dumitru Cătălin Pîrîianu, Andrei Ludovic Poroșnicu and Mircea Ioan Popa
Diagnostics 2025, 15(24), 3095; https://doi.org/10.3390/diagnostics15243095 - 5 Dec 2025
Abstract
Background: Biliary peritonitis is a severe intra-abdominal emergency with high mortality. Effective management requires source control and appropriate antimicrobial therapy. Methods: This review synthesizes recent literature (2016–2025), as well as established guidelines recommendations on the evolving microbiology and antimicrobial resistance patterns
[...] Read more.
Background: Biliary peritonitis is a severe intra-abdominal emergency with high mortality. Effective management requires source control and appropriate antimicrobial therapy. Methods: This review synthesizes recent literature (2016–2025), as well as established guidelines recommendations on the evolving microbiology and antimicrobial resistance patterns in biliary tract infections, as data on biliary peritonitis is scarce and relatively heterogeneous. Results: The microbiological landscape is stratified by patient history. Community-acquired infections are typically caused by Escherichia coli, Klebsiella pneumoniae, and Enterococcus spp. In contrast, healthcare-associated infections show a shift, with highly resistant pathogens such as Pseudomonas aeruginosa, and a tendency towards polymicrobial infections. The rise of multidrug-resistant (MDR) organisms, including extended-spectrum β-lactamase (ESBL)-producing Enterobacterales, Carbapenem-Resistant Enterobacterales (CRE), and Vancomycin-Resistant Enterococci (VRE), is a critical challenge limiting therapeutic options. Resistance patterns vary geographically, necessitating the use of local data. Conclusions: This review argues for a paradigm shift from severity-based guidelines to a dual-axis model incorporating resistance risk factors (prior healthcare exposure, previous biliary interventions, a history of MDR infections). We propose a risk-stratified approach to empiric antibiotic selection, emphasizing microbiological diagnostics for therapy de-escalation. Future research should focus on prospective studies, novel antibiotics, and rapid diagnostics.
Full article
(This article belongs to the Special Issue Multidisciplinary Diagnostic Approaches to Infectious Pathologies in Surgical Specialties)
Open AccessCorrection
Correction: Lee et al. Evaluation of the PowerChek™ Respiratory Virus Panel 1/2/3/4 for the Detection of 16 Respiratory Viruses: A Comparative Study with the Allplex™ Respiratory Panel Assay 1/2/3 and BioFire® Respiratory Panel 2.1 plus. Diagnostics 2025, 15, 2713
by
Hyeongyu Lee, Rokeya Akter, Jong-Han Lee and Sook Won Ryu
Diagnostics 2025, 15(24), 3094; https://doi.org/10.3390/diagnostics15243094 - 5 Dec 2025
Abstract
In the original publication [...]
Full article
(This article belongs to the Special Issue Laboratory Diagnosis of Infections)
Journal Menu
► ▼ Journal Menu-
- Diagnostics Home
- Aims & Scope
- Editorial Board
- Reviewer Board
- Topical Advisory Panel
- Instructions for Authors
- Special Issues
- Topics
- Sections & Collections
- Article Processing Charge
- Indexing & Archiving
- Editor’s Choice Articles
- Most Cited & Viewed
- Journal Statistics
- Journal History
- Journal Awards
- Society Collaborations
- Conferences
- Editorial Office
Journal Browser
► ▼ Journal BrowserHighly Accessed Articles
Latest Books
E-Mail Alert
News
Topics
Topic in
Biophysica, CIMB, Diagnostics, IJMS, IJTM
Molecular Radiobiology of Protons Compared to Other Low Linear Energy Transfer (LET) Radiation
Topic Editors: Francis Cucinotta, Jacob RaberDeadline: 20 December 2025
Topic in
BioMed, Cancers, Diagnostics, JCM, J. Imaging
Machine Learning and Deep Learning in Medical Imaging
Topic Editors: Rafał Obuchowicz, Michał Strzelecki, Adam Piórkowski, Karolina NurzynskaDeadline: 31 December 2025
Topic in
Biomedicines, Diagnostics, Endocrines, JCM, JPM, IJMS
Development of Diagnosis and Treatment Modalities in Obstetrics and Gynecology
Topic Editors: Osamu Hiraike, Fuminori TaniguchiDeadline: 20 March 2026
Topic in
Diagnostics, Geriatrics, JCDD, Medicina, JPM, Medicines
New Research on Atrial Fibrillation
Topic Editors: Michele Magnocavallo, Domenico G. Della Rocca, Stefano Bianchi, Pietro Rossi, Antonio BisignaniDeadline: 31 March 2026
Conferences
Special Issues
Special Issue in
Diagnostics
Recent Advances in the Diagnosis and Prognosis of Lung Cancer
Guest Editor: Naomi TakemuraDeadline: 10 December 2025
Special Issue in
Diagnostics
Tuberculosis Detection and Diagnosis 2025
Guest Editor: Kanagavel MurugesanDeadline: 30 December 2025
Special Issue in
Diagnostics
Advances in Sleep and Respiratory Medicine
Guest Editor: Cheng-Yu TsaiDeadline: 31 December 2025
Special Issue in
Diagnostics
Advances in the Diagnosis and Management of Bone Diseases in 2025
Guest Editor: Hans-Christof SchoberDeadline: 31 December 2025
Topical Collections
Topical Collection in
Diagnostics
Biomedical Optics: From Technologies to Applications
Collection Editor: Mengyang Liu
Topical Collection in
Diagnostics
Editorial Board Members' Collection Series: Diagnostic Approaches to Gastrointestinal and Pancreatic Diseases
Collection Editors: Paolo Aseni, Ervin Toth
Topical Collection in
Diagnostics
Nuclear Medicine and Molecular Imaging Technology
Collection Editor: Andreas Kjaer



