Abstract
Synchronous primary pancreatic ductal adenocarcinoma (PDAC) is very rare and can be formed either through multicentric carcinogenesis or intrapancreatic metastasis. We report the case of an 80-year-old man with a history of type 2 diabetes mellitus who presented with abdominal pain and weight loss. Laboratory tests showed elevated levels of blood glucose and CA 19-9, and Computed Tomography revealed two hypoenhancing lesions in the head and tail of the pancreas. Endoscopic ultrasound, which is the imaging method of choice for pancreatic cancer, was performed with a fine needle biopsy, and the cytological analysis diagnosed PDAC in both lesions. The patient underwent total pancreatectomy, and pathologic evaluation revealed synchronous primary PDAC with moderate to poor differentiation in the head and tail in the setting of IPMN (intraductal papillary mucinous neoplasia) and chronic pancreatitis. After his recovery from postoperative pulmonary embolism, the patient was discharged home with sufficient glycemic control. Multifocal PDAC occurs more often when precursor lesions, such as IPMN, pre-exist. The optimal treatment for multiple lesions spread all over the pancreas is total pancreatectomy. Diabetes mellitus is a serious complication of total pancreatectomy (new-onset or type 3c), but overall, long-term survival has been significantly improved.
1. Introduction
Pancreatic cancer, which predominantly presents as ductal adenocarcinoma, is one of the deadliest malignancies. According to the statistics, it is the tenth most common type of cancer and the fourth leading cause of cancer death in the United States [1,2]. In most cases, pancreatic cancer occurs as a single lesion [3], though it is possible to present as synchronous multifocal tumors. These tumors can either be metastatic or primary [4]. Synchronous primary pancreatic ductal adenocarcinoma (PDAC) is quite a rare entity [3,4,5] and is defined as the presence of two or more malignancies simultaneously in the pancreatic parenchyma, each of them developing independently from the others [6,7].
Studies suggest two possible ways of forming synchronous multifocal tumors: multicentric carcinogenesis and intrapancreatic metastasis [8]. The differentiation between them is not an easy task. In the first case, there are no common mutations between the lesions, that appear discontinuous from one another [3]. On the other hand, tumors resulting from intrapancreatic metastasis have some identical gene mutations and are associated with a worse prognosis [9,10].
We provide herein a case report of a synchronous primary pancreatic ductal adenocarcinoma detected in the head and tail of the pancreas, as well as a literature review regarding the diagnosis and treatment of pancreatic cancer.
2. Case Report
An 80-year-old man was admitted to our department for further investigation and treatment of two pancreatic lesions that were found in an abdominal computed tomography scan (CT) (Figure 1). The patient reported abdominal discomfort and an unexplained weight loss of 15 kg, during the last six months. His medical history includes an appendectomy, pilonidal cyst surgery, a healed gastric ulcer, coronary artery bypass surgery, coronary heart disease, hyperuricemia, hypothyroidism due to de Quervain thyroiditis, hypertension, type 2 diabetes mellitus, and dyslipidemia. He quit smoking thirty years ago, has no history of alcohol abuse, no allergies, and a family history of lung cancer. During the physical examination, there were no abnormal findings.
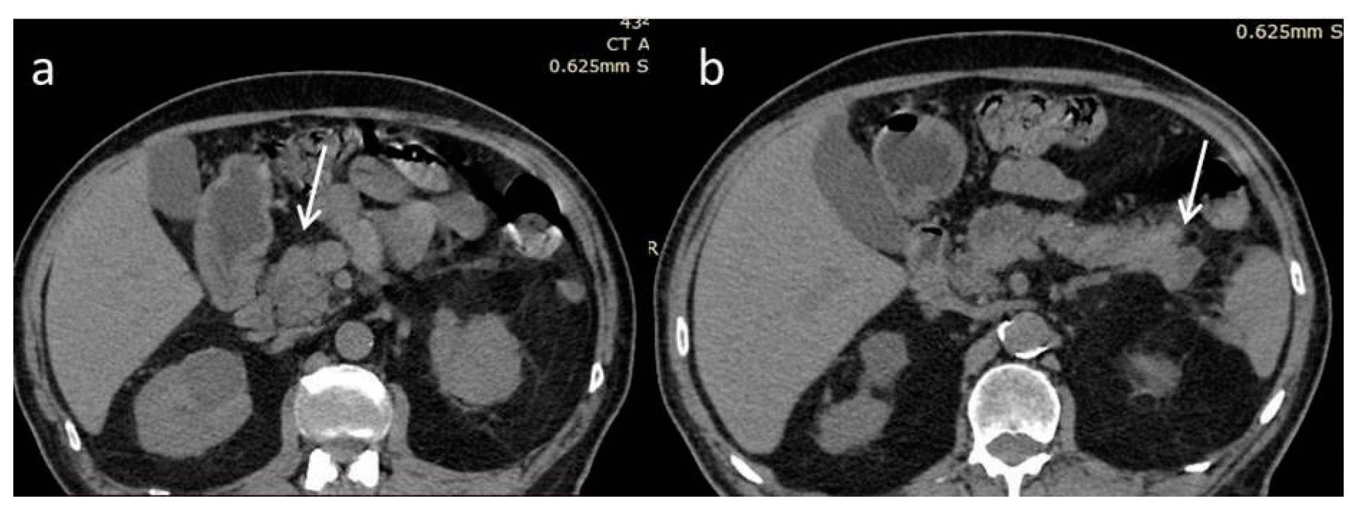
Figure 1.
Non-enhanced computed tomography scan (NECT). Hypodense, poorly defined masses at the head (a) and tail (b) of the pancreas (white arrows).
On his admission, laboratory tests including blood count, and liver and renal function indicators were within the normal limits, whereas blood glucose levels were found to be elevated (293 mg/dL). Regarding serum tumor markers, carbohydrate antigen 19-9 (CA 19-9) was outside the normal range (711.6 U/mL, normal values < 37 U/mL), carbohydrate antigen 72-4 (CA 72-4) was slightly elevated (11.86 U/mL, normal values < 7 U/mL), and carcinoembryonic antigen (CEA) was within the normal levels (3.45 ng/mL, normal values < 5 ng/mL).
A new abdominal contrast-enhanced computed tomography scan (CECT), which confirmed the findings of the first one, revealed two ill-defined hypoenhancing lesions with a maximum diameter of 2.5 cm in the head and tail of the pancreas, obstruction and dilatation of the main pancreatic duct, and abutment of the superior mesenteric vein <90° by the head tumor, as well as infiltration of the wall of the splenic vein by the tail tumor. Hepatic and renal cysts and an enlarged mesenteric lymph node were also depicted. The main pancreatic duct and its branch ducts appeared anomalously dilated with multiple stenoses (Figure 2). These findings were considered suspicious for double pancreatic adenocarcinoma in the setting of chronic pancreatitis or intraductal papillary mucinous neoplasia (IPMN).
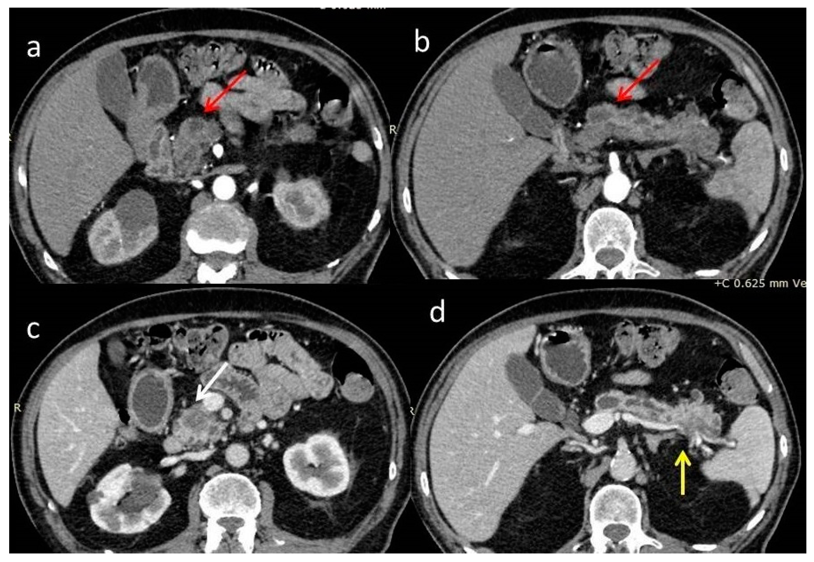
Figure 2.
(a,b) arterial phase and (c,d) venous phase of a contrast-enhanced computed tomography scan (CECT). Poorly enhanced masses at the head and tail (red arrows) of the pancreas with surrounding fat stranding. The mass at the head of the pancreas occludes the pancreatic duct, causing peripheral dilatation (white arrow). Limited contact with the posterior surface of the superior mesenteric vein <90°. The mass of the tail invades the splenic vein (yellow arrow). Abnormal dilatation of the main pancreatic duct with strictures is demonstrated with multiple collateral cystic lesions.
Endoscopic ultrasound of the pancreas showed hypoechoic masses in the head and tail measuring 2.2 cm × 2.5 cm and 2.5 cm × 2.8 cm, respectively. We performed an endoscopic ultrasound-guided fine needle biopsy (EUS-FNB), and the cytological analysis revealed moderately differentiated PDAC in specimens from both the head and tail of the pancreas.
For further investigation and a better depiction, a contrast-enhanced magnetic resonance imaging/magnetic resonance cholangiopancreatography (MRI/MRCP) was performed, which showed an ill-defined hypointense lesion in the head of the pancreas with restricted diffusion. The main pancreatic duct (MPD) and its branch ducts appeared significantly dilated, mainly in the pancreatic head and tail (Figure 3 and Figure 4). In addition to this, MRI/MRCP demonstrated the presence of IPMN in the pancreatic parenchyma (Figure 5).
Figure 3.
Magnetic resonance imaging T2-weighted image (MRI T2WI). The masses of the head (a) and tail (b) appear with low signal intensity (red arrows). Dilatation of the main duct is demonstrated with multiple dilated side branches. The overlying pancreatic parenchyma is thinned.
Figure 4.
(a,b) Magnetic resonance imaging fat-suppressed T1 weighted image (MRI T1WI FS). Hypointense masses. (c,d) Magnetic resonance imaging with fat-suppressed post-Gadolinium T1 (MRI T1GD FS). Hypoenhancement of the masses compared to the normal pancreas (red arrows).
Figure 5.
Magnetic resonance cholangiopancreatography (MRCP) exhibits the mixed type of IPMN, with an abnormal dilation of the Wirsung duct (red arrow) and multiple asymmetrically dilated side branches (white arrowheads).
Due to the high malignant nature and the bifocal site of PDAC, as well as the infiltration of the splenic vein, the patient underwent total pancreatectomy with splenectomy, end-to-side choledochojejunostomy, and gastrojejunostomy.
Macroscopic examination of the two surgical specimens, the Whipple’s resection (including the pancreatic head) and the peripheral pancreatectomy (with the body and tail), revealed a neoplasm of diameter 3.5 cm in the pancreatic head and a second neoplasm of diameter 4.4 cm in the pancreatic tail.
Microscopically, both neoplasms were ductal adenocarcinomas, with moderate to poor differentiation and a substantial extent of clear cell morphology (clear cell subtype) (Figure 6) [11].
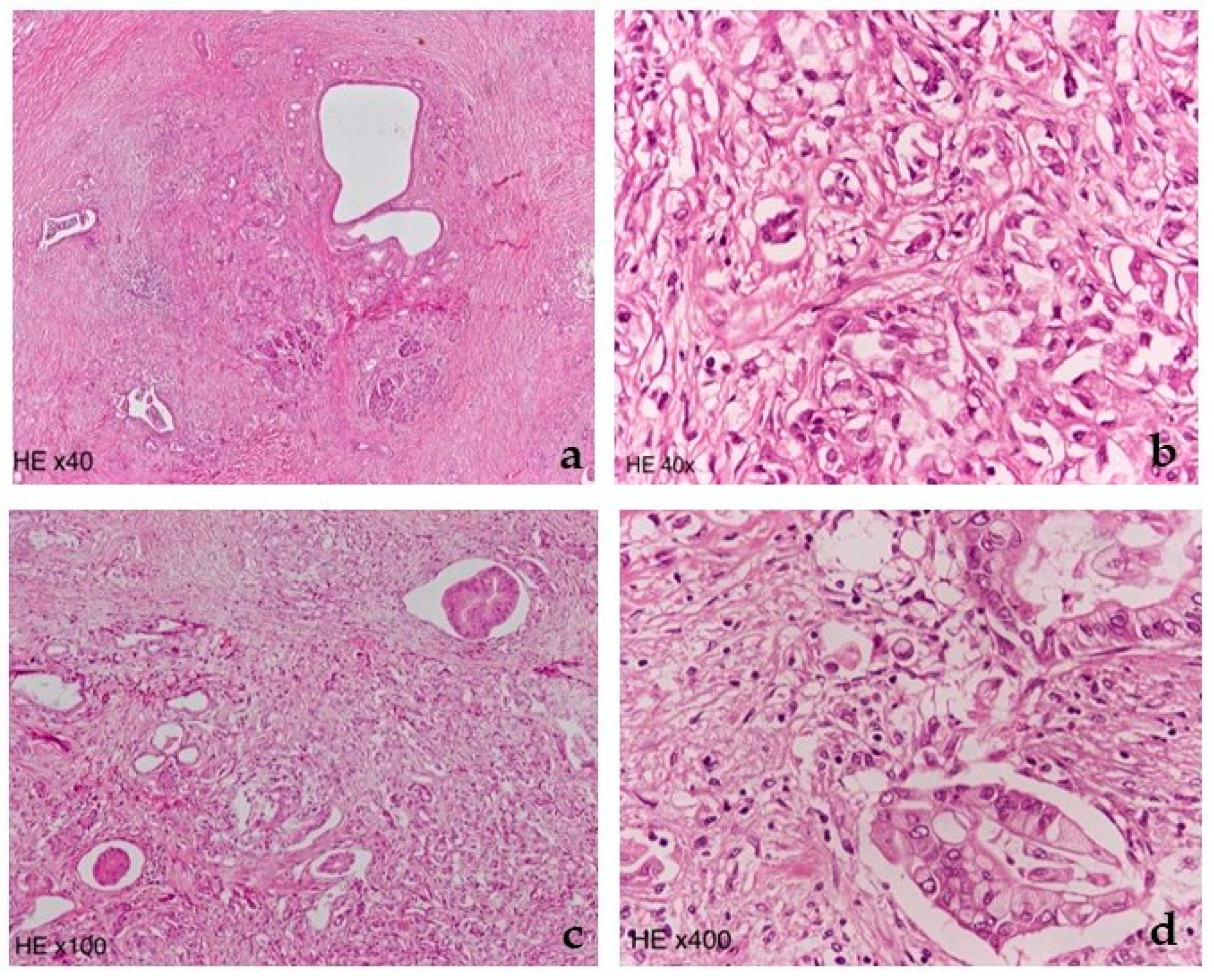
Figure 6.
(a,b) Pancreatic head tumor; (c,d) Pancreatic tail tumor. Hematoxylin and eosin stains, (40×–400× magnifications), show the two moderately to poorly differentiated adenocarcinomas of the pancreatic head and tail at different magnifications. The atypical neoplastic glandular structures surrounded by desmoplastic stroma can be appreciated in the (a) head and (c) tail in low magnification. The neoplastic cells with irregular atypical nuclei, prominent nucleoli, and abundant eosinophilic and clear cytoplasm can be appreciated in (b) head and (d) tail in high magnification.
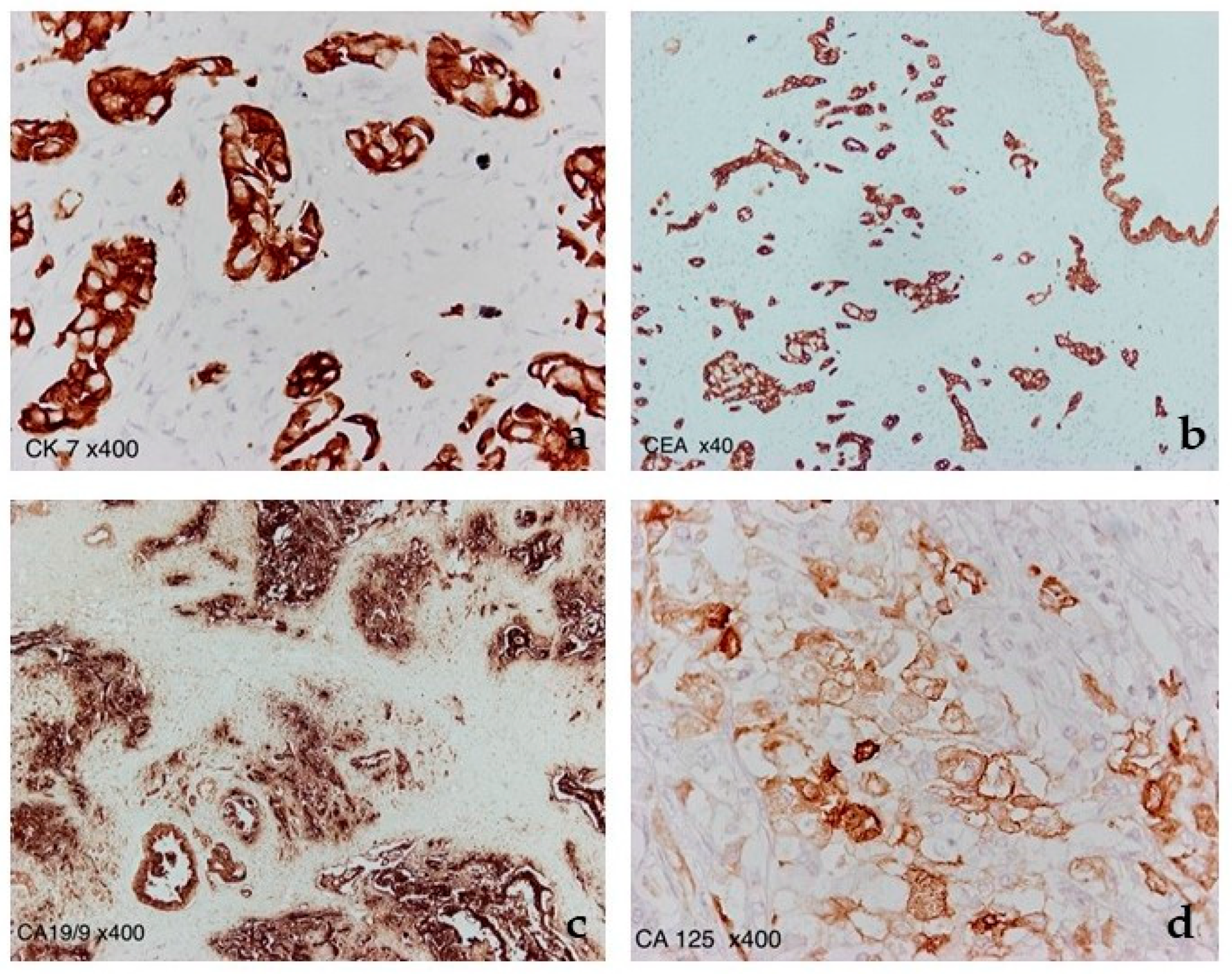
Immunohistochemically, the neoplastic cells were positive for CA19-9, CEA, CK7, and to a lesser degree, CA125 (Figure 7), while being negative for CK20.
Figure 7.
Immunostaining for (a) CK7 (400× magnification), (b) CEA (40× magnification), (c) CA19-9 (400× magnification), and (d) CA125 (400× magnification), highlighting the neoplastic glands of both adenocarcinomas.
Areas with low- and high-grade pancreatic intraepithelial neoplasia (PanIN) and findings of chronic pancreatitis with parenchymal architectural distortion, atrophy, fibrosis, and inflammation were also observed. Sections from the gallbladder, the spleen, and the overall surgical margins were free of neoplastic cells. One perisplenic lymph node was positive for metastasis, and the remaining 13 lymph nodes of both surgical specimens were free of metastases, leading to a pT2N0 stage for the first and a pT3N1 stage for the second adenocarcinoma, respectively.
The possibility of metastasis is considered in the differential diagnosis when multiple foci of tumors are encountered. Moreover, in this case, there was the unusual histological finding of some neoplastic cells exhibiting clear cell morphology. The presence of PanIN in the nearby parenchyma and the immunohistochemical findings of both tumors ruled out the possibility of metastasis to the pancreas of another tumor with clear cell morphology, namely a renal cell carcinoma, which would have been double negative for the CKs used and would not express the rest of the immunohistochemical markers.
On the sixth postoperative day, the patient developed hypoxemia and was diagnosed with femoral-popliteal deep venous thrombosis (DVT) and pulmonary embolism. He was treated with anticoagulants and moved out of the bed gradually. After the perioperative glucose management education, glycemic control was finally successful, and the patient was discharged on the sixteenth postoperative day. To minimize the risk of recurrence, adjuvant chemotherapy with gemcitabine was initiated. Five months after surgery, the patient was in good health, and no recurrence was found.
3. Discussion
The incidence of PDAC is constantly increasing [6], and the median age of diagnosis is 66 years [12]. According to the National Comprehensive Cancer Network (NCCN), the most important risk factors for developing a PDAC are smoking, obesity, alcohol abuse, diabetes mellitus, chronic pancreatitis, and pancreatic neoplastic cystic lesions, such as intraductal papillary mucinous neoplasms (IPMNs) and mucinous cystic neoplasia (MCN) [13,14]. Chronic pancreatitis and neoplastic cystic lesions, as well as pancreatic intraepithelial neoplasia (PanIN), are considered precursor lesions for pancreatic cancer [15,16], and they are often detected simultaneously with primary tumors [9]. Therefore, it is essential to depict the whole pancreas and search for a possible adenocarcinoma when a precursor lesion is detected [6,17].
PDAC is most often located in the head of the pancreas (71%), and rarely in the body (13%) or the tail (16%) [18]. Depending on the localization, the patient may experience different symptoms. Head tumors can cause jaundice due to the obstruction of the biliary system, whereas body or tail tumors present more often with abdominal or back pain [19]. In either case, PDAC can cause non-specific symptoms such as anorexia, weight loss, nausea, fatigue, or thrombophlebitis [20].
Much research has been conducted to determine the correlation between tumor localization and prognosis. On the one hand, head tumors may be associated with longer overall survival due to more specific symptoms and, therefore, earlier diagnosis, while tail tumors are often larger and more aggressive [21,22]. On the other hand, tail tumors are linked to a lower lymph node ratio (the number of positive lymph nodes to the number of examined lymph nodes) and higher disease-specific survival rates than head tumors of the same stage of cancer [18,23,24,25].
The prognosis of PDAC is also affected by the molecular characteristics of tumors. The most commonly mutated genes are KRAS, TP53, CDKN2A, and SMAD4. However, other factors, such as microenvironmental interactions, determine the biological behavior of tumors as well [26]. The molecular classification of the tumor could contribute to deciding on the best and most appropriate treatment for the patient [27].
Since the development of PDAC from an initial gene mutation can last up to ten years [16], it is of utmost importance to optimize diagnostic tools and, thus, ensure the early detection of the tumor. Among serum markers, CA 19-9 (carbohydrate antigen 19-9) is the only well-established tumor marker for PDAC. Although its diagnostic value is restricted due to low sensitivity and specificity, it can be used in symptomatic patients as a diagnostic tool when combined with imaging methods [28,29]. Multi-detector computed tomography (MDCT) is the standard imaging method, and the PDAC typically appears as an ill-defined hypoenhancing mass [30]. Magnetic resonance imaging (MRI) can be useful in detecting metastasis [31,32]. However, the diagnostic tool with the greatest sensitivity is endoscopic ultrasound (EUS), which also offers the possibility of receiving tissue samples through fine-needle aspiration (FNA) or fine-needle biopsy (FNB). EUS seems to be the ideal method for detecting small lesions (<2 cm) and determining lymph node involvement [30,33]. Nevertheless, performing EUS can result in bleeding or tumor seeding in the gastric walls [30,34]. Therefore, it is essential to establish new non-invasive diagnostic techniques with high specificity and sensitivity, such as immune-Positron Emission Tomography.
PDAC can appear simultaneously with primary malignancies in other organs, and the location of the other neoplasm can affect the prognosis [35,36]. It can also occur with other pancreatic lesions, more often in the context of a familial history of cancer. Multifocal tumors of the pancreas are highly suspicious of developing malignancy [37,38]. Hence, there is a need for differential diagnosis between PDAC and multifocal lesions, which usually consist of PanIN and IPMNs, but also between PDAC and chronic pancreatitis [16]. Mass-forming chronic pancreatitis can imitate both the symptoms and the imaging findings of pancreatic cancer. EUS-FNB can contribute to the correct diagnosis and prevent unnecessary surgical resection [20]. Another situation that must be distinguished from PDAC is autoimmune pancreatitis, which can rarely present with multifocal lesions [39,40].
In the patients diagnosed with pancreatic cancer, diabetes mellitus (DM) may either pre-exist years before (long-standing type 2 DM) or occur within the last 3 years before the cancer diagnosis (new-onset DM) [41]. New-onset DM, also known as type 3c DM, is induced by a disease or surgical resection of the pancreatic parenchyma [42,43]. Compared to long-standing DM, it is linked to lower overall survival rates [44], but blood glucose levels were significantly improved after pancreatectomy [45,46,47]. Moreover, new-onset DM acts protectively against chemotherapy, as these patients are more resistant to neutropenia [48]. To manage cancer-related DM, metformin was considered the treatment of choice, as it was found to suppress tumor development [49,50]. However, new studies have shown that insulin may have antineoplastic action as well [51].
The first step in treating PDAC is to determine the resectability of the tumor. According to a classification by the NCCN, PDAC may be characterised as resectable, borderline resectable, or unresectable [13,52]. The most common metastatic sites of primary PDAC are the liver, peritoneum, lung, extra-regional lymph nodes, and bones [53,54].
Resection is the treatment of choice for pancreatic cancer [55]. Depending on the location of the tumor, the patient might undergo a Whipple procedure (pancreaticoduodenectomy) for the head tumors, left or distal pancreatectomy for the body and tail tumors, or a total pancreatectomy for extended disease [56]. Thus, the occurrence of multifocal lesions spread all over the pancreatic parenchyma is an indication for total pancreatectomy [57,58,59]. Nevertheless, the decision on surgery is not always a simple task due to serious complications. As both the endocrine and exocrine portions of the pancreas is resected, the patients may suffer not only from postoperative DM, which requires insulin treatment, but also from exocrine pancreatic insufficiency with steatorrhea, weight loss, malabsorption, and dumping syndrome [57,58,60].
To prevent these complications, middle-preserving pancreatectomy could be an alternative solution under the condition that invasive lesions are detected only in one part of the pancreas, either the head or the tail [61]. Hence, preoperative staging of all lesions can be very useful for the clinical decision on surgery [62]. In addition, this parenchyma-sparing resection reduces the rates of postoperative hypoglycemia that total pancreatectomy usually causes [63,64,65].
Overall, total pancreatectomy is the surgical procedure of choice for synchronous primary PDAC in the head and tail [57,58,59], and the rates of postoperative mortality and long-term survival have been remarkably improved in recent years, especially when the surgery is performed in high-volume centers by experienced surgeons [59,66,67]. In our case, the patient, despite his age, was a good candidate for total pancreatectomy, as the disease was considered resectable and he was at low surgical risk.
An important prognostic factor is the lymph node ratio, which is strongly affected by the number of dissected and examined lymph nodes [68]. Song et al. [69] suggested that the minimum number of examined lymph nodes for a safe prediction of the prognosis should be six. On the other hand, a lymph node yield of 12 or more seems to be more acceptable and is indicated in [16].
Regarding chemotherapy, adjuvant therapy with FOLFIRINOX (5-FU, leucovorin, irinotecan, and oxaliplatin) is the optimal treatment for borderline resectable or non-resectable disease [13,70]. Gemcitabine and paclitaxel are considered alternatives [16]. For patients diagnosed with a resectable disease like our case, gemcitabine- or 5-FU-based adjuvant chemotherapy can prolong survival time by 2–5 months [70]. Neoadjuvant chemotherapy may offer a better outcome and improve resectability for the above-mentioned patients [71]. Future strategies aim to develop targeted therapies, such as KRAS inhibitors or TP53 reactivators, that will contribute to a more individualized treatment plan [72].
We gathered 18 cases of synchronous primary PDAC reported in the literature (Table 1) [3,7,8,9,17,60,73,74,75,76,77,78]. In most of the cases, there were two lesions in the pancreatic parenchyma [8,9,17,60,73,74,75,76,77,78], whereas more synchronous tumors were extremely rare [3,7]. Like our case, it is common that CA 19-9 levels are elevated [3,7,8,17,74,75], but unfortunately there is little evidence of glucose disorders and control [7,60,73,77]. In general, the correlation between PDAC and precursor lesions, such as PanIN, IPMNs, and pancreatitis, is confirmed through this literature review [3,8,9,74,75,76,78]. Unfortunately, PanIN is difficult to identify preoperatively with current diagnostic methods; thus its role in surveillance schemes is questionable, except in cases with partially resected pancreas.
Table 1.
Summary of the cases of synchronous primary pancreatic ductal adenocarcinoma reported in the literature.
4. Conclusions
We reported a rare case of a patient with synchronous primary PDAC in the head and tail who was treated with total pancreatectomy and whose postoperative blood glucose levels were successfully controlled with insulin. Overall, synchronous primary invasive tumors of the pancreas are rarely presented in the literature, as PDAC occurs more often with non-invasive lesions such as IPMNs. Future studies should focus on prevention and earlier diagnosis of this fatal disease, for example by discovering biomarkers for population screening.
Author Contributions
Management of the patient, D.P., E.K., I.A.D., G.P., E.P., X.M., F.K., S.N. and S.A.; investigation, G.F. and E.K.; resources, G.F., E.K., I.A.D., G.P., E.P. and X.M.; data curation, D.P., G.F. and E.K.; writing—original draft preparation, G.F., I.A.D., G.P., E.P. and X.M.; writing—review and editing, D.P., E.K., F.K., S.N. and S.A.; supervision, D.P., S.N. and S.A.; project administration, D.P., G.F., E.K. and S.A. All authors have read and agreed to the published version of the manuscript.
Funding
This research received no external funding.
Institutional Review Board Statement
Not applicable.
Informed Consent Statement
Informed consent was obtained from the patient to publish this paper and is available on demand.
Data Availability Statement
Not applicable.
Conflicts of Interest
The authors declare no conflict of interest.
References
- National Cancer Institute Cancer Stat Facts: Pancreatic Cancer. Available online: https://seer.cancer.gov/statfacts/html/pancreas.html (accessed on 15 September 2022).
- Cancer Net Pancreatic Cancer: Statistics. Available online: https://www.cancer.net/cancer-types/pancreatic-cancer/statistics (accessed on 15 September 2022).
- Izumi, S.; Nakamura, S.; Mano, S.; Suzuka, I. Resection of four synchronous invasive ductal carcinomas in the pancreas head and body associated with pancreatic intraepithelial neoplasia: Report of a case. Surg. Today 2009, 39, 1091–1097. [Google Scholar] [CrossRef] [PubMed]
- Jiang, W.; Shen, Y.; Ding, Y.; Ye, C.; Zheng, Y.; Zhao, P.; Liu, L.; Tong, Z.; Zhou, L.; Sun, S.; et al. A naive Bayes algorithm for tissue origin diagnosis (TOD-Bayes) of synchronous multifocal tumors in the hepatobiliary and pancreatic system. Int. J. Cancer 2018, 142, 357–368. [Google Scholar] [CrossRef] [PubMed]
- Kim, H.J.; Park, M.H.; Shin, B. Double primary tumors of the pancreas: A case report. Medicine 2018, 97, e13616. [Google Scholar] [CrossRef]
- Rustagi, T.; Gleeson, F.C.; Chari, S.T.; Abu Dayyeh, B.K.; Farnell, M.B.; Iyer, P.G.; Kendrick, M.L.; Pearson, R.K.; Petersen, B.T.; Rajan, E.; et al. Endoscopic Ultrasound Fine-Needle Aspiration Diagnosis of Synchronous Primary Pancreatic Adenocarcinoma and Effects on Staging and Resectability. Clin. Gastroenterol. Hepatol. 2017, 15, 299–302. [Google Scholar] [CrossRef]
- Fujimori, N.; Nakamura, T.; Oono, T.; Igarashi, H.; Takahata, S.; Nakamura, M.; Tanaka, M.; Hayashi, A.; Aishima, S.; Ishigami, K.; et al. Adenocarcinoma involving the whole pancreas with multiple pancreatic masses. Intern. Med. 2010, 49, 1527–1532. [Google Scholar] [CrossRef] [PubMed]
- Ohike, N.; Norose, T.; Takano, Y.; Niiya, F.; Nagahama, M.; Matsuo, K.; Tanaka, K.; Furukawa, T. Resection of multiple invasive pancreatic ductal adenocarcinomas: A diagnostic dilemma distinguishing multicentric carcinogenesis from intrapancreatic metastasis. Pathol. Int. 2020, 70, 588–590. [Google Scholar] [CrossRef] [PubMed]
- Fujita, Y.; Matsuda, S.; Sasaki, Y.; Masugi, Y.; Kitago, M.; Yagi, H.; Abe, Y.; Shinoda, M.; Tokino, T.; Sakamoto, M.; et al. Pathogenesis of multiple pancreatic cancers involves multicentric carcinogenesis and intrapancreatic metastasis. Cancer Sci. 2020, 111, 739–748. [Google Scholar] [CrossRef]
- Imai, K.; Karasaki, H.; Ono, Y.; Sasajima, J.; Chiba, S.; Funakoshi, H.; Muraki, M.; Hanaoka, H.; Furukawa, T.; Furukawa, H.; et al. Metachronous pancreatic cancer originating from disseminated founder pancreatic intraductal neoplasias (PanINs). J. Pathol. Clin. Res. 2015, 1, 76–82. [Google Scholar] [CrossRef]
- WHO Classification of Tumours Editorial Board. Digestive System Tumours, 5th ed.; International Agency for Research on Cancer: Lyon, France, 2019; pp. 322–332. ISBN 978-928-324-499-8.
- Siegel, R.L.; Miller, K.D.; Jemal, A. Cancer statistics, 2018. CA Cancer J. Clin. 2018, 68, 7–30. [Google Scholar] [CrossRef]
- Tempero, M.A.; Malafa, M.P.; Al-Hawary, M.; Behrman, S.W.; Benson, A.B.; Cardin, D.B.; Chiorean, E.G.; Chung, V.; Czito, B.; Del Chiaro, M.; et al. Pancreatic Adenocarcinoma, Version 2.2021, NCCN Clinical Practice Guidelines in Oncology. J. Natl. Compr. Cancer Netw. JNCCN 2021, 19, 439–457. [Google Scholar] [CrossRef]
- Zakaria, A.; Al-Share, B.; Klapman, J.B.; Dam, A. The Role of Endoscopic Ultrasonography in the Diagnosis and Staging of Pancreatic Cancer. Cancers 2022, 14, 1373. [Google Scholar] [CrossRef] [PubMed]
- Vincent, A.; Herman, J.; Schulick, R.; Hruban, R.H.; Goggins, M. Pancreatic cancer. Lancet 2011, 378, 607–620. [Google Scholar] [CrossRef]
- Ren, B.; Liu, X.; Suriawinata, A.A. Pancreatic Ductal Adenocarcinoma and Its Precursor Lesions: Histopathology, Cytopathology, and Molecular Pathology. Am. J. Pathol. 2019, 189, 9–21. [Google Scholar] [CrossRef] [PubMed]
- Goong, H.J.; Moon, J.H.; Choi, H.J.; Lee, Y.N.; Choi, M.H.; Kim, H.K.; Lee, T.H.; Cha, S.W. Synchronous Pancreatic Ductal Adenocarcinomas Diagnosed by Endoscopic Ultrasound-Guided Fine Needle Biopsy. Gut Liver 2015, 9, 685–688. [Google Scholar] [CrossRef] [PubMed]
- van Erning, F.N.; Mackay, T.M.; van der Geest, L.G.M.; Groot Koerkamp, B.; van Laarhoven, H.W.M.; Bonsing, B.A.; Wilmink, J.W.; van Santvoort, H.C.; de Vos-Geelen, J.; van Eijck, C.H.J.; et al. Association of the location of pancreatic ductal adenocarcinoma (head, body, tail) with tumor stage, treatment, and survival: A population-based analysis. Acta Oncol. 2018, 57, 1655–1662. [Google Scholar] [CrossRef] [PubMed]
- Ling, Q.; Xu, X.; Zheng, S.S.; Kalthoff, H. The diversity between pancreatic head and body/tail cancers: Clinical parameters and in vitro models. Hepatobiliary Pancreat. Dis. Int. 2013, 12, 480–487. [Google Scholar] [CrossRef]
- Elsherif, S.B.; Virarkar, M.; Javadi, S.; Ibarra-Rovira, J.J.; Tamm, E.P.; Bhosale, P.R. Pancreatitis and PDAC: Association and differentiation. Abdom. Radiol. 2020, 45, 1324–1337. [Google Scholar] [CrossRef]
- Birnbaum, D.J.; Bertucci, F.; Finetti, P.; Birnbaum, D.; Mamessier, E. Head and Body/Tail Pancreatic Carcinomas Are Not the Same Tumors. Cancers 2019, 11, 497. [Google Scholar] [CrossRef] [PubMed]
- Dreyer, S.B.; Jamieson, N.B.; Upstill-Goddard, R.; Bailey, P.J.; McKay, C.J.; Australian Pancreatic Cancer Genome Initiative; Biankin, A.V.; Chang, D.K. Defining the molecular pathology of pancreatic body and tail adenocarcinoma. J. Br. Surg. 2018, 105, e183–e191. [Google Scholar] [CrossRef]
- Winer, L.K.; Dhar, V.K.; Wima, K.; Morris, M.C.; Lee, T.C.; Shah, S.A.; Ahmad, S.A.; Patel, S.H. The Impact of Tumor Location on Resection and Survival for Pancreatic Ductal Adenocarcinoma. J. Surg. Res. 2019, 239, 60–66. [Google Scholar] [CrossRef] [PubMed]
- Malleo, G.; Maggino, L.; Ferrone, C.R.; Marchegiani, G.; Luchini, C.; Mino-Kenudson, M.; Paiella, S.; Qadan, M.; Scarpa, A.; Lillemoe, K.D.; et al. Does Site Matter? Impact of Tumor Location on Pathologic Characteristics, Recurrence, and Survival of Resected Pancreatic Ductal Adenocarcinoma. Ann. Surg. Oncol. 2020, 27, 3898–3912. [Google Scholar] [CrossRef] [PubMed]
- Sung, M.K.; Park, Y.; Kwak, B.J.; Jun, E.; Lee, W.; Song, K.B.; Lee, J.H.; Hwang, D.W.; Kim, S.C. Comparison of Characteristics and Survival Rates of Resectable Pancreatic Ductal Adenocarcinoma according to Tumor Location. Biomedicines 2021, 9, 1706. [Google Scholar] [CrossRef] [PubMed]
- Pompella, L.; Tirino, G.; Pappalardo, A.; Caterino, M.; Ventriglia, A.; Nacca, V.; Orditura, M.; Ciardiello, F.; De Vita, F. Pancreatic Cancer Molecular Classifications: From Bulk Genomics to Single Cell Analysis. Int. J. Mol. Sci. 2020, 21, 2814. [Google Scholar] [CrossRef] [PubMed]
- Birnbaum, D.J.; Finetti, P.; Birnbaum, D.; Mamessier, E.; Bertucci, F. Validation and comparison of the molecular classifications of pancreatic carcinomas. Mol. Cancer 2017, 16, 168. [Google Scholar] [CrossRef]
- Scarà, S.; Bottoni, P.; Scatena, R. CA 19-9: Biochemical and Clinical Aspects. Adv. Exp. Med. Biol. 2015, 867, 247–260. [Google Scholar] [CrossRef] [PubMed]
- Winter, K.; Talar-Wojnarowska, R.; Dąbrowski, A.; Degowska, M.; Durlik, M.; Gąsiorowska, A.; Głuszek, S.; Jurkowska, G.; Kaczka, A.; Lampe, P.; et al. Diagnostic and therapeutic recommendations in pancreatic ductal adenocarcinoma. Recommendations of the Working Group of the Polish Pancreatic Club. Prz. Gastroenterol. 2019, 14, 1–18. [Google Scholar] [CrossRef]
- Pietryga, J.A.; Morgan, D.E. Imaging preoperatively for pancreatic adenocarcinoma. J. Gastrointest. Oncol. 2015, 6, 343–357. [Google Scholar] [CrossRef] [PubMed]
- Choi, S.Y.; Kim, Y.K.; Min, J.H.; Cha, D.I.; Jeong, W.K.; Lee, W.J. The value of gadoxetic acid-enhanced MRI for differentiation between hepatic microabscesses and metastases in patients with periampullary cancer. Eur. Radiol. 2017, 27, 4383–4393. [Google Scholar] [CrossRef] [PubMed]
- Motosugi, U.; Ichikawa, T.; Morisaka, H.; Sou, H.; Muhi, A.; Kimura, K.; Sano, K.; Araki, T. Detection of pancreatic carcinoma and liver metastases with gadoxetic acid-enhanced MR imaging: Comparison with contrast-enhanced multi-detector row CT. Radiology 2011, 260, 446–453. [Google Scholar] [CrossRef]
- Lami, G.; Biagini, M.R.; Galli, A. Endoscopic ultrasonography for surveillance of individuals at high risk for pancreatic cancer. World J. Gastrointest. Endosc. 2014, 6, 272–285. [Google Scholar] [CrossRef]
- Kojima, H.; Kitago, M.; Iwasaki, E.; Masugi, Y.; Matsusaka, Y.; Yagi, H.; Abe, Y.; Hasegawa, Y.; Hori, S.; Tanaka, M.; et al. Peritoneal dissemination of pancreatic cancer caused by endoscopic ultrasound-guided fine needle aspiration: A case report and literature review. World J. Gastroenterol. 2021, 27, 294–304. [Google Scholar] [CrossRef] [PubMed]
- Aloraini, A.M.; Helmi, H.A.; Aljomah, N.A.; Zubaidi, A.M. Multiple primary gastrointestinal tumors of gastric, pancreatic and rectal origin; a case report. Int. J. Surg. Case Rep. 2021, 89, 106610. [Google Scholar] [CrossRef] [PubMed]
- Shin, S.J.; Park, H.; Sung, Y.N.; Yoo, C.; Hwang, D.W.; Park, J.H.; Kim, K.P.; Lee, S.S.; Ryoo, B.Y.; Seo, D.W.; et al. Prognosis of Pancreatic Cancer Patients with Synchronous or Metachronous Malignancies from Other Organs Is Better than Those with Pancreatic Cancer Only. Cancer Res. Treat. 2018, 50, 1175–1185. [Google Scholar] [CrossRef] [PubMed]
- Brune, K.; Abe, T.; Canto, M.; O’Malley, L.; Klein, A.P.; Maitra, A.; Volkan Adsay, N.; Fishman, E.K.; Cameron, J.L.; Yeo, C.J.; et al. Multifocal neoplastic precursor lesions associated with lobular atrophy of the pancreas in patients having a strong family history of pancreatic cancer. Am. J. Surg. Pathol. 2006, 30, 1067–1076. [Google Scholar]
- Ikegawa, T.; Masuda, A.; Sakai, A.; Toyama, H.; Zen, Y.; Sofue, K.; Nakagawa, T.; Shiomi, H.; Takenaka, M.; Kobayashi, T.; et al. Multifocal cysts and incidence of pancreatic cancer concomitant with intraductal papillary mucinous neoplasm. Pancreatol. Off. J. Int. Assoc. Pancreatol. 2018, 18, 399–406. [Google Scholar] [CrossRef]
- Rotzinger, R.; Bläker, H.; Bahra, M.; Denecke, T.; Grieser, C. CT and MRI Findings of Autoimmune Polymorph Bifocal Pancreatitis Mimicking Pancreatic Adenocarcinoma: A Case Report and Review of the Literature. J. Investig. Med. High Impact Case Rep. 2015, 3, 2324709615576988. [Google Scholar] [CrossRef]
- Suzumura, K.; Hatano, E.; Uyama, N.; Okada, T.; Asano, Y.; Hai, S.; Nakasho, K.; Fujimoto, J. Multifocal Mass Lesions in Autoimmune Pancreatitis. Case Rep. Gastroenterol. 2017, 11, 678–685. [Google Scholar] [CrossRef]
- Chari, S.T.; Leibson, C.L.; Rabe, K.G.; Timmons, L.J.; Ransom, J.; de Andrade, M.; Petersen, G.M. Pancreatic cancer-associated diabetes mellitus: Prevalence and temporal association with diagnosis of cancer. Gastroenterology 2008, 134, 95–101. [Google Scholar] [CrossRef]
- Hart, P.A.; Bellin, M.D.; Andersen, D.K.; Bradley, D.; Cruz-Monserrate, Z.; Forsmark, C.E.; Goodarzi, M.O.; Habtezion, A.; Korc, M.; Kudva, Y.C.; et al. Type 3c (pancreatogenic) diabetes mellitus secondary to chronic pancreatitis and pancreatic cancer. Lancet Gastroenterol. Hepatol. 2016, 1, 226–237. [Google Scholar] [CrossRef]
- Scholten, L.; Mungroop, T.H.; Haijtink, S.; Issa, Y.; van Rijssen, L.B.; Koerkamp, B.G.; van Eijck, C.H.; Busch, O.R.; DeVries, J.H.; Besselink, M.G. New-onset diabetes after pancreatoduodenectomy: A systematic review and meta-analysis. Surgery 2018, 164, 6–16. [Google Scholar] [CrossRef]
- Lv, X.; Qiao, W.; Leng, Y.; Wu, L.; Zhou, Y. Impact of diabetes mellitus on clinical outcomes of pancreatic cancer after surgical resection: A systematic review and meta-analysis. PLoS ONE 2017, 12, e0171370. [Google Scholar] [CrossRef] [PubMed]
- Shingyoji, A.; Mikata, R.; Ogasawara, S.; Kusakabe, Y.; Yasui, S.; Sugiyama, H.; Ohno, I.; Kato, J.; Takano, S.; Yoshitomi, H.; et al. Diverse transitions in diabetes status during the clinical course of patients with resectable pancreatic cancer. Jpn. J. Clin. Oncol. 2020, 50, 1403–1411. [Google Scholar] [CrossRef] [PubMed]
- Roy, A.; Sahoo, J.; Kamalanathan, S.; Naik, D.; Mohan, P.; Kalayarasan, R. Diabetes and pancreatic cancer: Exploring the two-way traffic. World J. Gastroenterol. 2021, 27, 4939–4962. [Google Scholar] [CrossRef]
- Andersen, D.K.; Korc, M.; Petersen, G.M.; Eibl, G.; Li, D.; Rickels, M.R.; Chari, S.T.; Abbruzzese, J.L. Diabetes, Pancreatogenic Diabetes, and Pancreatic Cancer. Diabetes 2017, 66, 1103–1110. [Google Scholar] [CrossRef] [PubMed]
- Badowska-Kozakiewicz, A.; Fudalej, M.; Kwaśniewska, D.; Durlik, M.; Nasierowska-Guttmejer, A.; Mormul, A.; Włoszek, E.; Czerw, A.; Banaś, T.; Deptała, A. Diabetes Mellitus and Pancreatic Ductal Adenocarcinoma-Prevalence, Clinicopathological Variables, and Clinical Outcomes. Cancers 2022, 14, 2840. [Google Scholar] [CrossRef]
- Lu, R.; Yang, J.; Wei, R.; Ke, J.; Tian, Q.; Yu, F.; Liu, J.; Zhang, J.; Hong, T. Synergistic anti-tumor effects of liraglutide with metformin on pancreatic cancer cells. PLoS ONE 2018, 13, e0198938. [Google Scholar] [CrossRef]
- Chen, K.; Qian, W.; Jiang, Z.; Cheng, L.; Li, J.; Sun, L.; Zhou, C.; Gao, L.; Lei, M.; Yan, B.; et al. Metformin suppresses cancer initiation and progression in genetic mouse models of pancreatic cancer. Mol. Cancer 2017, 16, 131. [Google Scholar] [CrossRef]
- Pircher, A.; Zieher, M.; Eigentler, A.; Pichler, R.; Schäfer, G.; Fritz, J.; Puhr, M.; Steiner, E.; Horninger, W.; Klocker, H.; et al. Antidiabetic drugs influence molecular mechanisms in prostate cancer. Cancer Biol. Ther. 2018, 19, 1153–1161. [Google Scholar] [CrossRef]
- Izumo, W.; Higuchi, R.; Furukawa, T.; Yazawa, T.; Uemura, S.; Shiihara, M.; Yamamoto, M. Evaluation of preoperative prognostic factors in patients with resectable pancreatic ductal adenocarcinoma. Scand. J. Gastroenterol. 2019, 54, 780–786. [Google Scholar] [CrossRef]
- Mackay, T.M.; van Erning, F.N.; van der Geest, L.; de Groot, J.; Haj Mohammad, N.; Lemmens, V.E.; van Laarhoven, H.W.; Besselink, M.G.; Wilmink, J.W.; Dutch Pancreatic Cancer Group. Association between primary origin (head, body and tail) of metastasised pancreatic ductal adenocarcinoma and oncologic outcome: A population-based analysis. Eur. J. Cancer 2019, 106, 99–105. [Google Scholar] [CrossRef]
- Sakin, A.; Sahin, S.; Sakin, A.; Atci, M.M.; Arici, S.; Yasar, N.; Demir, C.; Geredeli, C.; Cihan, S. Factors affecting survival in operated pancreatic cancer: Does tumor localization have a significant effect on treatment outcomes? N. Clin. Istanb. 2020, 7, 487–493. [Google Scholar] [CrossRef] [PubMed]
- Yun, H.S.; Min, Y.W.; Lee, M.J.; Chang, W.I.; Lee, K.H.; Lee, K.T.; Lee, J.K.; Kim, Y.K.; Lim, J.H. Clinicoradiologic characteristics and outcomes of metastatic cancer to the pancreas and double primary pancreatic cancer. Clin. Res. Hepatol. Gastroenterol. 2013, 37, 182–188. [Google Scholar] [CrossRef] [PubMed]
- American Cancer Society. Surgery for Pancreatic Cancer. Available online: https://www.cancer.org/cancer/pancreatic-cancer/treating/surgery.html (accessed on 11 September 2022).
- Andrén-Sandberg, Å.; Ansorge, C.; Yadav, T.D. Are There Indications for Total Pancreatectomy in 2016? Dig. Surg. 2016, 33, 329–334. [Google Scholar] [CrossRef] [PubMed]
- Soufi, M.; Yip-Schneider, M.T.; Carr, R.A.; Roch, A.M.; Wu, H.H.; Schmidt, C.M. Multifocal High-Grade Pancreatic Precursor Lesions: A Case Series and Management Recommendations. J. Pancreat. Cancer 2019, 5, 8–11. [Google Scholar] [CrossRef] [PubMed]
- Casadei, R.; Ricci, C.; Ingaldi, C.; Alberici, L.; Minni, F. Contemporary indications for upfront total pancreatectomy. Updates Surg. 2021, 73, 1205–1217. [Google Scholar] [CrossRef]
- Nitta, N.; Yamamoto, Y.; Sugiura, T.; Okamura, Y.; Ito, T.; Ashida, R.; Ohgi, K.; Otsuka, S.; Sasaki, K.; Uesaka, K. Middle segment-preserving pancreatectomy for multifocal pancreatic ductal adenocarcinoma located in the head and tail of the pancreas: A case report. J. Surg. Case Rep. 2020, 2020, rjaa383. [Google Scholar] [CrossRef]
- Cheng, K.; Shen, B.Y.; Peng, C.H.; Na, L.M.; Cheng, D.F. Middle-preserving pancreatectomy: Report of two cases and review of the literature. World J. Surg. Oncol. 2013, 11, 106. [Google Scholar] [CrossRef]
- Kim, S.H.; Park, B.S.; Kim, H.S.; Kim, J.H. Synchronous quintuple primary gastrointestinal tract malignancies: Case report. World J. Gastroenterol. 2017, 23, 173–177. [Google Scholar] [CrossRef]
- Stoop, T.F.; Ateeb, Z.; Ghorbani, P.; Scholten, L.; Arnelo, U.; Besselink, M.G.; Del Chiaro, M. Impact of Endocrine and Exocrine Insufficiency on Quality of Life After Total Pancreatectomy. Ann. Surg. Oncol. 2020, 27, 587–596. [Google Scholar] [CrossRef]
- Barbier, L.; Jamal, W.; Dokmak, S.; Aussilhou, B.; Corcos, O.; Ruszniewski, P.; Belghiti, J.; Sauvanet, A. Impact of total pancreatectomy: Short- and long-term assessment. HPB Off. J. Int. Hepato Pancreato Biliary Assoc. 2013, 15, 882–892. [Google Scholar] [CrossRef]
- Parsaik, A.K.; Murad, M.H.; Sathananthan, A.; Moorthy, V.; Erwin, P.J.; Chari, S.; Carter, R.E.; Farnell, M.B.; Vege, S.S.; Sarr, M.G. Metabolic and target organ outcomes after total pancreatectomy: Mayo Clinic experience and meta-analysis of the literature. Clin. Endocrinol. 2010, 73, 723–731. [Google Scholar] [CrossRef] [PubMed]
- Serrano, P.E.; Cleary, S.P.; Dhani, N.; Kim, P.T.; Greig, P.D.; Leung, K.; Moulton, C.A.; Gallinger, S.; Wei, A.C. Improved long-term outcomes after resection of pancreatic adenocarcinoma: A comparison between two time periods. Ann. Surg. Oncol. 2015, 22, 1160–1167. [Google Scholar] [CrossRef] [PubMed]
- Latenstein, A.; Mackay, T.M.; Beane, J.D.; Busch, O.R.; van Dieren, S.; Gleeson, E.M.; Koerkamp, B.G.; van Santvoort, H.C.; Wellner, U.F.; Williamsson, C.; et al. The use and clinical outcome of total pancreatectomy in the United States, Germany, the Netherlands, and Sweden. Surgery 2021, 170, 563–570. [Google Scholar] [CrossRef] [PubMed]
- Li, H.J.; Chen, Y.T.; Yuan, S.Q. Proposal of a modified American Joint Committee on Cancer staging scheme for resectable pancreatic ductal adenocarcinoma with a lymph node ratio-based N classification: A retrospective cohort study. Medicine 2018, 97, e12094. [Google Scholar] [CrossRef]
- Song, Y.; Chen, Z.; Chen, L.; He, C.; Huang, X.; Duan, F.; Wang, J.; Lao, X.; Li, S. A Refined Staging Model for Resectable Pancreatic Ductal Adenocarcinoma Incorporating Examined Lymph Nodes, Location of Tumor and Positive Lymph Nodes Ratio. J. Cancer 2018, 9, 3507–3514. [Google Scholar] [CrossRef]
- Adamska, A.; Domenichini, A.; Falasca, M. Pancreatic Ductal Adenocarcinoma: Current and Evolving Therapies. Int. J. Mol. Sci. 2017, 18, 1338. [Google Scholar] [CrossRef] [PubMed]
- Müller, P.C.; Frey, M.C.; Ruzza, C.M.; Nickel, F.; Jost, C.; Gwerder, C.; Hackert, T.; Z’graggen, K.; Kessler, U. Neoadjuvant Chemotherapy in Pancreatic Cancer: An Appraisal of the Current High-Level Evidence. Pharmacology 2021, 106, 143–153. [Google Scholar] [CrossRef]
- Qian, Y.; Gong, Y.; Fan, Z.; Luo, G.; Huang, Q.; Deng, S.; Cheng, H.; Jin, K.; Ni, Q.; Yu, X. Molecular alterations and targeted therapy in pancreatic ductal adenocarcinoma. J. Hematol. Oncol. 2020, 13, 130. [Google Scholar] [CrossRef]
- Siassi, M.; Klein, P.; Hohenberger, W. Organ-preserving surgery for multicentric carcinoma of the pancreas. Eur. J. Surg. Oncol. 1999, 25, 548–550. [Google Scholar] [CrossRef]
- Koizumi, K.; Fujii, T.; Matsumoto, A.; Sugiyama, R.; Suzuki, S.; Sukegawa, R.; Ozawa, K.; Orii, F.; Taruishi, M.; Saitoh, Y. Synchronous double invasive ductal carcinomas of the pancreas with multifocal branch duct intraductal papillary mucinous neoplasms of the pancreas. Jpn. J. Gastro-Enterol. 2009, 106, 98–105. [Google Scholar] [PubMed]
- Mori, Y.; Ohtsuka, T.; Tsutsumi, K.; Yasui, T.; Sadakari, Y.; Ueda, J.; Takahata, S.; Nakamura, M.; Tanaka, M. Multifocal pancreatic ductal adenocarcinomas concomitant with intraductal papillary mucinous neoplasms of the pancreas detected by intraoperative pancreatic juice cytology. A case report. JOP J. Pancreas 2010, 11, 389–392. [Google Scholar] [PubMed]
- Kyokane, T.; Watanabe, K.; Morofuji, N.; Nakamura, H.; Kuze, S.; Baba, S. A case of synchronous multi-centric invasive ductal carcinomas of the pancreas. Jpn. J. Gastroenterol. Surg. 2011, 44, 729–737. [Google Scholar] [CrossRef]
- McGregor, A.; Kleiner, D. Use of an Insulin Pump in the Elderly Surgical Patient: Tolerance of Total Pancreatectomy After Neoadjuvant Chemotherapy for Multifocal Pancreatic Cancer. J. Pancreat. Cancer 2018, 4, 72–74. [Google Scholar] [CrossRef] [PubMed]
- Sugiura, R.; Kuwatani, M.; Hirata, K.; Kato, S.; Kawamoto, Y.; Kawakubo, K.; Mitsuhashi, T.; Asano, T.; Hirano, S.; Sakamoto, N. Synchronous multiple pancreatic cancers developed long after severe postendoscopic retrograde cholangiopancreatography pancreatitis. Endosc. Ultrasound 2019, 8, 213–214. [Google Scholar] [CrossRef]
Publisher’s Note: MDPI stays neutral with regard to jurisdictional claims in published maps and institutional affiliations. |
© 2022 by the authors. Licensee MDPI, Basel, Switzerland. This article is an open access article distributed under the terms and conditions of the Creative Commons Attribution (CC BY) license (https://creativecommons.org/licenses/by/4.0/).






