Ampullary Large-Cell Neuroendocrine Carcinoma, a Diagnostic Challenge of a Rare Aggressive Neoplasm: A Case Report and Literature Review
Abstract
1. Introduction
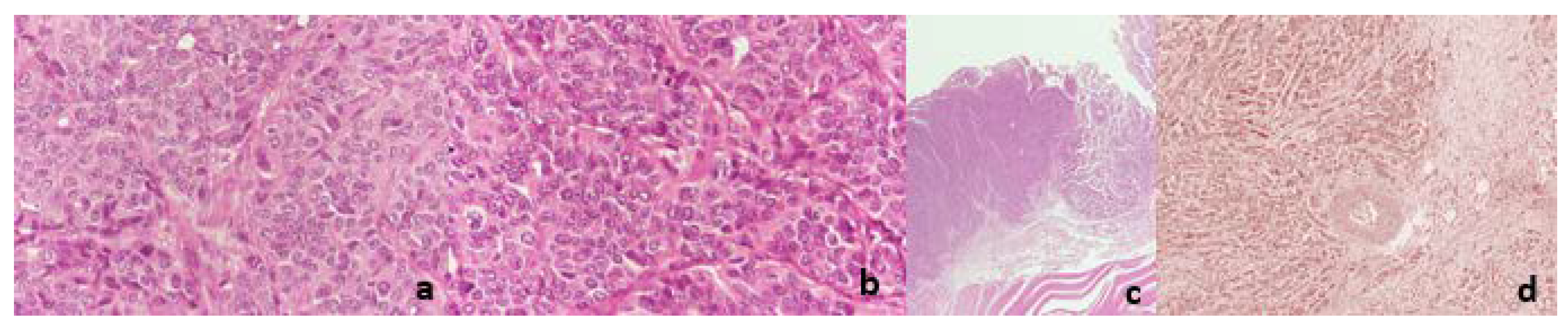
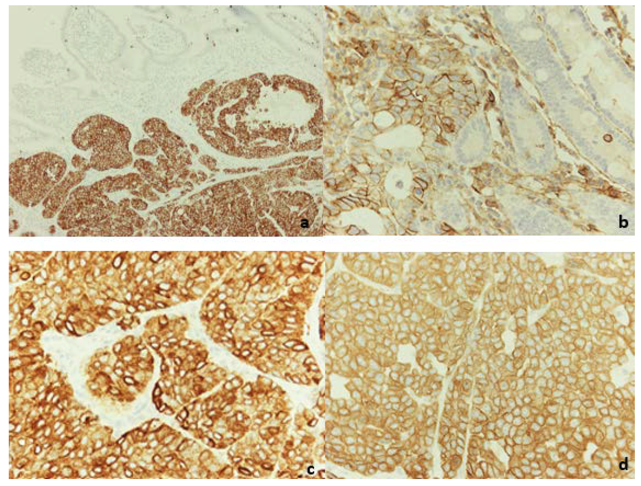
2. Case Report
3. Discussion
4. Conclusions
Author Contributions
Funding
Institutional Review Board Statement
Informed Consent Statement
Conflicts of Interest
References
- Braasch, J.W.; Camer, S.J. Periampullary Carcinoma. Med. Clin. N. Am. 1975, 59, 309–314. [Google Scholar] [CrossRef]
- Yang, M.; Zeng, L.; Ke, N.-W.; Tan, C.-L.; Tian, B.-L.; Liu, X.-B.; Xiang, B.; Zhang, Y. World Health Organization grading classification for pancreatic neuroendocrine neoplasms: A comprehensive analysis from a large Chinese institution. BMC Cancer 2020, 20, 906. [Google Scholar] [CrossRef] [PubMed]
- Dasari, A.; Shen, C.; Halperin, D.M.; Zhao, B.; Zhou, S.; Xu, Y.; Shih, T.; Yao, J.C. Trends in the Incidence, Prevalence, and Survival Outcomes in Patients with Neuroendocrine Tumors in the United States. JAMA Oncol. 2017, 3, 1335–1342. [Google Scholar] [CrossRef] [PubMed]
- Andreasi, V.; Partelli, S.; Muffatti, F.; Manzoni, M.F.; Capurso, G.; Falconi, M. Update on gastroenteropancreatic neuroendocrine tumors. Dig. Liver Dis. 2020, 53, 171–182. [Google Scholar] [CrossRef]
- Hatzitheoklitos, E.; Büchler, M.W.; Friess, H.; Poch, B.; Ebert, M.; Mohr, W.; Imaizumi, T.; Beger, H.G. Carcinoid of the ampulla of Vater. Clinical characteristics and morphologic features. Cancer 1994, 73, 1580–1588. [Google Scholar] [CrossRef]
- Schmocker, R.K.; Wright, M.J.; Ding, D.; Javed, A.A.; Cameron, J.L.; Lafaro, K.; Burns, W.R.; He, J.; Wolfgang, C.L.; Burkhart, R.A. Duodenal, ampullary, and pancreatic neuroendocrine tumors: Oncologic outcomes are driven by tumor biology and tissue of origin. J. Surg. Oncol. 2020, 123, 416–424. [Google Scholar] [CrossRef]
- Ruff, S.M.; Standring, O.; Wu, G.; Levy, A.; Anantha, S.; Newman, E.; Karpeh, M.S.; Nealon, W.; Deutsch, G.B.; Weiss, M.J.; et al. Ampullary Neuroendocrine Tumors: Insight into a Rare Histology. Ann. Surg. Oncol. 2021, 28, 8318–8328. [Google Scholar] [CrossRef]
- Carter, J.T.; Grenert, J.P.; Rubenstein, L.; Stewart, L.; Way, L.W. Neuroendocrine Tumors of the Ampulla of Vater: Biological behavior and surgical management. Arch. Surg. 2009, 144, 527–531. [Google Scholar] [CrossRef]
- Kleinschmidt, T.K.; Christein, J. Neuroendocrine carcinoma of the ampulla of Vater: A case report, review and recommendations. J. Surg. Case Rep. 2020, 2020, rjaa119. [Google Scholar] [CrossRef]
- Acharya, A.; Markar, S.R.; Sodergren, M.H.; Malietzis, G.; Darzi, A.; Athanasiou, T.; Khan, A.Z. Meta-analysis of adjuvant therapy following curative surgery for periampullary adenocarcinoma. Br. J. Surg. 2017, 104, 814–822. [Google Scholar] [CrossRef]
- Mahansaria, S.S.; Agrawal, N.; Arora, A.; Bihari, C.; Appukuttan, M.; Chattopadhyay, T.K. Ampullary Mixed Adenoneuroendocrine Carcinoma: Surprise Histology, Familiar Management. Int. J. Surg. Pathol. 2017, 25, 585–591. [Google Scholar] [CrossRef]
- Ginori, A.; Bello, G.L.; Vassallo, L.; Tripodi, S.A. Amphicrine Carcinoma of the Ampullary Region. Tumori J. 2015, 101, e70–e72. [Google Scholar] [CrossRef]
- Huang, Z.; Xiao, W.-D.; Li, Y.; Huang, S.; Cai, J.; Ao, J. Mixed adenoneuroendocrine carcinoma of the ampulla: Two case reports. World J. Gastroenterol. 2015, 21, 2254–2259. [Google Scholar] [CrossRef]
- Wang, Y.; Zhang, Z.; Wang, C.; Xi, S.-H.; Wang, X.-M. Mixed neuroendocrine-nonneuroendocrine neoplasm of the ampulla: Four case reports. World J. Clin. Cases 2022, 10, 2268–2274. [Google Scholar] [CrossRef]
- Pavel, M.; Öberg, K.; Falconi, M.; Krenning, E.P.; Sundin, A.; Perren, A.; Berruti, A. Gastroenteropancreatic neuroendocrine neoplasms: ESMO Clinical Practice Guidelines for diagnosis, treatment and follow-up. Ann. Oncol. 2020, 31, 844–860. [Google Scholar] [CrossRef]
- Nagtegaal, I.D.; Odze, R.D.; Klimstra, D.; Paradis, V.; Rugge, M.; Schirmacher, P.; Washington, K.M.; Carneiro, F.; Cree, I.A.; the WHO Classification of Tumours Editorial Board. The 2019 WHO classification of tumours of the digestive system. Histopathology 2020, 76, 182–188. [Google Scholar] [CrossRef]
- Shah, M.H.; Goldner, W.S.; Benson, A.B.; Bergsland, E.; Blaszkowsky, L.S.; Brock, P.; Chan, J.; Das, S.; Dickson, P.V.; Fanta, P.; et al. Neuroendocrine and Adrenal Tumors, Version 2.2021, NCCN Clinical Practice Guidelines in Oncology. J. Natl. Compr. Cancer Netw. 2021, 19, 839–868. [Google Scholar] [CrossRef]
- Liu, S.-H.; Tsay, S.-H. Coexistence of Large Cell Neuroendocrine Carcinoma and Adenocarcinoma of the Ampulla of Vater. J. Chin. Med. Assoc. 2008, 71, 536–540. [Google Scholar] [CrossRef][Green Version]
- Das, S.; Dasari, A. Epidemiology, Incidence, and Prevalence of Neuroendocrine Neoplasms: Are There Global Differences? Curr. Oncol. Rep. 2021, 23, 43. [Google Scholar] [CrossRef]
- Dasari, A.; Mehta, K.; Byers, L.A.; Sorbye, H.; Yao, J.C. Comparative study of lung and extrapulmonary poorly differentiated neuroendocrine carcinomas: A SEER database analysis of 162,983 cases. Cancer 2017, 124, 807–815. [Google Scholar] [CrossRef]
- Hallet, J.; Law, C.H.L.; Cukier, M.; Saskin, R.; Liu, N.; Singh, S. Exploring the rising incidence of neuroendocrine tumors: A population-based analysis of epidemiology, metastatic presentation, and outcomes. Cancer 2014, 121, 589–597. [Google Scholar] [CrossRef]
- Korse, C.M.; Taal, B.G.; van Velthuysen, M.-L.F.; Visser, O. Incidence and survival of neuroendocrine tumours in the Netherlands according to histological grade: Experience of two decades of cancer registry. Eur. J. Cancer 2013, 49, 1975–1983. [Google Scholar] [CrossRef]
- Milione, M.; Parente, P.; Grillo, F.; Zamboni, G.; Mastracci, L.; Capella, C.; Fassan, M.; Vanoli, A. Neuroendocrine neoplasms of the duodenum, ampullary region, jejunum and ileum. Pathologica 2021, 113, 12–18. [Google Scholar] [CrossRef]
- Sönmez, R.E. Aggressive clinical course of large cell neuroendocrine carcinoma of ampulla of Vater. Nothern Clin. Istanb. 2019, 8, 97–100. [Google Scholar] [CrossRef]
- Ito, H.; Wada, Y.; Takami, Y.; Ryu, T.; Ureshino, H.; Imamura, H.; Sasaki, S.; Ohno, A.; Hijioka, M.; Kaku, T.; et al. A case of small cell neuroendocrine carcinoma of the ampulla of Vater. Surg. Case Rep. 2020, 6, 150. [Google Scholar] [CrossRef]
- Jung, S.K.; Yang, S.-W.; Hong, E.K.; Park, W.S. A Metastatic Neuroendocrine Eyelid Carcinoma Originating from the Ampulla of Vater. Ophthalmic Plast. Reconstr. Surg. 2020, 36, e95–e96. [Google Scholar] [CrossRef]
- Li, X.; Li, D.; Sun, X.; Lv, G. Mixed adenoneuroendocrine carcinoma (MANEC) of the ampulla of Vater in a Chinese patient: A case report. J. Int. Med. Res. 2020, 48, 300060520947918. [Google Scholar] [CrossRef]
- Shiratori, Y.; Nakamura, K.; Suzuki, K.; Fukuda, K. Endoscopic papillectomy for an ampullary neuroendocrine tumor. Clin. J. Gastroenterol. 2020, 13, 1144–1149. [Google Scholar] [CrossRef] [PubMed]
- Noorali, S.; Haghighi, S. Treatment of ampullary neuroendocrine tumor by Capecitabine (Xeloda®) and Temozolomide (Temod-al®). Gastroenterol. Hepatol. Bed Bench. 2021, 14, 85–88. [Google Scholar] [PubMed]
- Xiao, K.; Swierczynski, S.; Xiao, G. Small, low-grade ampullary neuroendocrine tumor presenting with metastasis and multiple synchronous tumors in a patient with neurofibromatosis type 1: A case report with literature review. J. Surg. Case Rep. 2021, 2021, rjab076. [Google Scholar] [CrossRef] [PubMed]
- Zahid, A.; Ali, D.; Zubair, M.; Ahmed, I.; Fatima, T.; Afzal, M.F. Neuroendocrine tumour of the ampulla of Vater: A rare neoplasm at an atypical site. J. Pak. Med. Assoc. 2020, 71, 1486–1488. [Google Scholar] [CrossRef]
- Guerrero, V.L.; Costa, A.G.; Monzonis, A.R.; González, N.B.; Borobia, F.G. Surgical management strategy in ampullary tumors with low malignant potential: Presentation of a patient with a gangliocytic paraganglioma. Cir. Esp. (Engl. Ed.) 2021, 99, 621–623. [Google Scholar] [CrossRef]
- Matli, V.V.K.; Wellman, G.; Jaganmohan, S.; Koticha, K. Ampullary and Pancreatic Neuroendocrine Tumors: A Series of Cases and Review of the Literature. Cureus 2022, 14, 21657. [Google Scholar] [CrossRef]
- Malhotra, A.; Venugopal, S.; Ravindra, S. Unique spheroid deposits of amyloid in an ampullary neuroendocrine tumour. Indian J. Pathol. Microbiol. 2022, 65, 226–228. [Google Scholar] [CrossRef]
- Fujii, M.; Okamoto, Y.; Fujioka, S.; Yoshioka, M.; Shiode, J. Neuroendocrine tumor of the ampulla of Vater showing chronological endoscopic changes. Clin. J. Gastroenterol. 2022, 15, 205–209. [Google Scholar] [CrossRef]
- Choi, H.; Choi, J.W.; Ryu, D.H.; Park, S.; Kim, M.J.; Yoo, K.C.; Woo, C.G. Ampullary gangliocytic paraganglioma with lymph node metastasis: A case report with literature review. Medicine (Baltimore) 2022, 101, e29138. [Google Scholar] [CrossRef]
- Luo, G.; Jin, K.; Cheng, H.; Liu, C.; Guopei, L.; Lu, Y.; Yang, C.; Xu, J.; Wang, W.; Gao, H.; et al. Carbohydrate antigen 19-9 as a prognostic biomarker in pancreatic neuroendocrine tumors. Oncol. Lett. 2017, 14, 6795–6800. [Google Scholar] [CrossRef]
- Yoen, H.; Kim, J.H.; Hur, B.Y.; Ahn, S.J.; Jeon, S.K.; Choi, S.-Y.; Lee, K.B.; Han, J.K. Prediction of tumor recurrence and poor survival of ampullary adenocarcinoma using preoperative clinical and CT findings. Eur. Radiol. 2020, 31, 2433–2443. [Google Scholar] [CrossRef]
- Schiergens, T.S.; Renz, B.W.; Reu, S.; Neumann, J.; Al-Sayegh, R.; Nieß, H.; Ilmer, M.; Kruger, S.; Boeck, S.; Heinemann, V.; et al. Prognostic Value of Preoperative Serum Carcinoembryonic Antigen and Carbohydrate Antigen 19-9 After Resection of Ampullary Cancer. J. Gastrointest. Surg. 2017, 21, 1775–1783. [Google Scholar] [CrossRef]
- Abdel-Rahman, O.; Fazio, N. Sex-Based Differences in Prognosis of Patients with Gastroenteropancreatic-Neuroendocrine Neoplasms. Pancreas 2021, 50, 727–731. [Google Scholar] [CrossRef]
- Kim, B.N.; Sohn, D.K.; Hong, C.W.; Han, K.S.; Chang, H.J.; Jung, K.H.; Lim, S.-B.; Choi, H.S.; Jeong, S.-Y.; Park, J.-G. Atypical endoscopic features can be associated with metastasis in rectal carcinoid tumors. Surg. Endosc. 2008, 22, 1992–1996. [Google Scholar] [CrossRef]
- Milanetto, A.C.; Pasquali, C.; Da Broi, M.; Brambilla, T.; Capretti, G.; Zerbi, A. Ampullary neuroendocrine neoplasms: Surgical experience of a rare and challenging entity. Langenbecks Arch. Surg. 2018, 403, 581–589. [Google Scholar] [CrossRef]
- Taghizadeh-Hesary, F.; Moradi, A.; Malekzadeh, M. Long-term complete remission of a patient with high grade neuroendocrine carcinoma of ampulla of Vater. BMJ Case Rep. 2018, 2018, bcr2018224845. [Google Scholar] [CrossRef]
- O’Toole, D.; Palazzo, L. Endoscopy and Endoscopic Ultrasound in Assessing and Managing Neuroendocrine Neoplasms. Front. Horm. Res. 2015, 44, 88–103. [Google Scholar] [CrossRef]
- de Mestier, L.; Lorenzo, D.; Fine, C.; Cros, J.; Hentic, O.; Walter, T.; Panis, Y.; Couvelard, A.; Cadiot, G.; Ruszniewski, P. Endoscopic, transanal, laparoscopic, and transabdominal management of rectal neuroendocrine tumors. Best Pract. Res. Clin. Endocrinol. Metab. 2019, 33, 101293. [Google Scholar] [CrossRef]
- Ito, T.; Masui, T.; Komoto, I.; Doi, R.; Osamura, R.Y.; Sakurai, A.; Ikeda, M.; Takano, K.; Igarashi, H.; Shimatsu, A.; et al. JNETS clinical practice guidelines for gastroenteropancreatic neuroendocrine neoplasms: Diagnosis, treatment, and follow-up: A synopsis. J. Gastroenterol. 2021, 56, 1033–1044. [Google Scholar] [CrossRef]
- Zhang, P.; Yu, J.; Li, J.; Shen, L.; Li, N.; Zhu, H.; Zhai, S.; Zhang, Y.; Yang, Z.; Lu, M. Clinical and Prognostic Value of PET/CT Imaging with Combination of 68Ga-DOTATATE and 18F-FDG in Gastroenteropancreatic Neuroendocrine Neoplasms. Contrast Media Mol. Imaging 2018, 2018, 2340389. [Google Scholar] [CrossRef]
- Binderup, T.; Knigge, U.; Loft, A.; Federspiel, B.; Kjaer, A. 18F-Fluorodeoxyglucose Positron Emission Tomography Predicts Survival of Patients with Neuroendocrine Tumors. Clin. Cancer Res. 2010, 16, 978–985. [Google Scholar] [CrossRef]
- Sorbye, H.; Strosberg, J.; Baudin, E.; Klimstra, D.S.; Yao, J.C. Gastroenteropancreatic high-grade neuroendocrine carcinoma. Cancer 2014, 120, 2814–2823. [Google Scholar] [CrossRef]
- Krug, S.; Teupe, F.; Michl, P.; Gress, T.M.; Rinke, A. Brain metastases in patients with neuroendocrine neoplasms: Risk factors and outcome. BMC Cancer 2019, 19, 362. [Google Scholar] [CrossRef] [PubMed]
- Perren, A.; Couvelard, A.; Scoazec, J.-Y.; Costa, F.; Borbath, I.; Fave, G.D.; Gorbounova, V.; Gross, D.; Grossman, A.; Jensen, R.T.; et al. ENETS Consensus Guidelines for the Standards of Care in Neuroendocrine Tumors: Pathology-Diagnosis and Prognostic Stratification. Neuroendocrinology 2017, 105, 196–200. [Google Scholar] [CrossRef] [PubMed]
- Vanoli, A.; Albarello, L.; Uncini, S.; Fassan, M.; Grillo, F.; Di Sabatino, A.; Martino, M.; Pasquali, C.; Milanetto, A.C.; Falconi, M.; et al. Neuroendocrine Tumors (NETs) of the Minor Papilla/Ampulla. Am. J. Surg. Pathol. 2019, 43, 725–736. [Google Scholar] [CrossRef] [PubMed]
- Hiroshima, K.; Mino-Kenudson, M. Update on large cell neuroendocrine carcinoma. Transl. Lung Cancer Res. 2017, 6, 530–539. [Google Scholar] [CrossRef] [PubMed]
- Hirabayashi, K.; Zamboni, G.; Nishi, T.; Tanaka, A.; Kajiwara, H.; Nakamura, N. Histopathology of gastrointestinal neuroendocrine neoplasms. Front. Oncol. 2013, 3, 2. [Google Scholar] [CrossRef]
- Raiker, R.; Chauhan, A.; Hasanein, H.; Burkeen, G.; Horn, M.; Veedu, J.; Vela, C.; Arnold, S.; Kolesar, J.; Anthony, L.; et al. Biliary tract large cell neuroendocrine carcinoma: Current evidence. Orphanet J. Rare Dis. 2019, 14, 266. [Google Scholar] [CrossRef]
- Cavazza, A.; Gallo, M.; Valcavi, R.; De Marco, L.; Gardini, G. Large Cell Neuroendocrine Carcinoma of the Ampulla of Vater. Arch. Pathol. Lab. Med. 2003, 127, 221–223. [Google Scholar] [CrossRef]
- Hartel, M.; Wente, M.N.; Bergmann, F.; Schmidt, J.; Büchler, M.W.; Friess, H. Large-cell neuroendocrine carcinoma of the major duodenal papilla: Case report. Gastrointest. Endosc. 2004, 60, 838–841. [Google Scholar] [CrossRef]
- Cheng, S.-P.; Yang, T.-L.; Chang, K.-M.; Liu, C.-L. Large cell neuroendocrine carcinoma of the ampulla of Vater with glandular differentiation. J. Clin. Pathol. 2004, 57, 1098–1100. [Google Scholar] [CrossRef]
- Nassar, H.; Albores-Saavedra, J.; Klimstra, D.S. High-Grade Neuroendocrine Carcinoma of the Ampulla of Vater. Am. J. Surg. Pathol. 2005, 29, 588–594. [Google Scholar] [CrossRef]
- Huang, S.-S.; Jan, Y.-J.; Cheng, S.-B.; Yeh, D.-C.; Wu, C.-C.; Liu, T.-J.; P’Eng, F.-K. Large Cell Neuroendocrine Carcinoma of the Ampulla of Vater: Report of a Case. Surg. Today 2006, 36, 1032–1035. [Google Scholar] [CrossRef]
- Selvakumar, E.; Vimalraj, V.; Rajendran, S.; Balachandar, T.G.; Kannan, D.G.; Jeswanth, S.; Ravichandran, P.; Sundaram, A.; Surendran, R. Large cell neuroendocrine carcinoma of the ampulla of Vater. Hepatobiliary Pancreat Dis. Int. 2006, 5, 465–467. [Google Scholar]
- Jun, S.R.; Lee, J.M.; Han, J.K.; Choi, B.I. High-grade Neuroendocrine Carcinomas of the Gallbladder and Bile Duct. J. Comput. Assist. Tomogr. 2006, 30, 604–609. [Google Scholar] [CrossRef]
- Stojsic, Z.; Brasanac, D.; Bilanovic, D.; Mitrovic, O.; Stevanovic, R.; Boricic, I. Large-cell neuroendocrine carcinoma of the ampulla of Vater. Med. Oncol. 2009, 27, 1144–1148. [Google Scholar] [CrossRef]
- Sunose, Y.; Ogawa, T.; Itoh, H.; Andoh, T.; Tomizawa, N.; Tanaka, T.; Sakamoto, I.; Arakawa, K.; Ikeya, T.; Takeyoshi, I. Large Cell Neuroendocrine Carcinoma of the Ampulla of Vater with Adenocarcinoma and Squamous Cell Carcinoma Components. Jpn. J. Clin. Oncol. 2010, 41, 434–439. [Google Scholar] [CrossRef][Green Version]
- Chen, T.-C.; Huang, S.-C.; Chang, H.-C.; Yeh, T.-S.; Ng, K.-F. Hepatoid microcarcinoma of the pancreas: A case report and review of the literature. Chang. Gung Med. J. 2012, 35, 285. [Google Scholar] [CrossRef]
- Beggs, R.E.; Kelly, M.E.; Eltayeb, O.; Crotty, P.; McDermott, R.; Ridgway, P. Large Cell Neuroendocrine Carcinoma of the Ampulla of Vater. JOP J. Pancreas 2012, 13, 470–475. [Google Scholar] [CrossRef]
- Zhang, L.; DeMay, R.M. Cytological features of mixed adenoneuroendocrine carcinoma of the ampulla: Two case reports with review of literature. Diagn. Cytopathol. 2014, 42, 1075–1084. [Google Scholar] [CrossRef]
- Imamura, N.; Nanashima, A.; Hiyoshi, M.; Fujii, Y. Report of two cases of large cell neuroendocrine carcinoma of duodenal ampulla with contrasting outcomes following pancreaticoduodenectomy according to the use of adjuvant chemotherapy. Int. J. Surg. Case Rep. 2017, 31, 132–138. [Google Scholar] [CrossRef]
- Dumitrascu, T.; Dima, S.; Herlea, V.; Tomulescu, V.; Ionescu, M.; Popescu, I. Neuroendocrine tumours of the ampulla of Vater: Clinico-pathological features, surgical approach and assessment of prognosis. Langenbecks Arch. Surg. 2012, 397, 933–943. [Google Scholar] [CrossRef]
- Diener, M.K.; Knaebel, H.-P.; Heukaufer, C.; Antes, G.; Büchler, M.W.; Seiler, C.M. A Systematic Review and Meta-analysis of Pylorus-preserving Versus Classical Pancreaticoduodenectomy for Surgical Treatment of Periampullary and Pancreatic Carcinoma. Ann. Surg. 2007, 245, 187–200. [Google Scholar] [CrossRef]
- Russo, G.L.; Pusceddu, S.; Proto, C.; Macerelli, M.; Signorelli, D.; Vitali, M.; Ganzinelli, M.; Gallucci, R.; Zilembo, N.; Platania, M.; et al. Treatment of lung large cell neuroendocrine carcinoma. Tumor Biol. 2016, 37, 7047–7057. [Google Scholar] [CrossRef]
- Garcia-Carbonero, R.; Rinke, A.; Valle, J.W.; Fazio, N.; Caplin, M.; Gorbounova, V.; O’Connor, J.; Eriksson, B.; Sorbye, H.; Kulke, M.; et al. ENETS Consensus Guidelines for the Standards of Care in Neuroendocrine Neoplasms: Systemic Therapy-Chemotherapy. Neuroendocrinology 2017, 105, 281–294. [Google Scholar] [CrossRef]
- Moertel, C.G.; Kvols, L.K.; O’Connell, M.J.; Rubin, J. Treatment of neuroendocrine carcinomas with combined etoposide and cis-platin. Evidence of major therapeutic activity in the anaplastic variants of these neoplasms. Cancer 1991, 68, 227–232. [Google Scholar] [CrossRef]
- Mitry, E.; Baudin, E.; Ducreux, M.; Sabourin, J.-C.; Rufié, P.; Aparicio, T.; Lasser, P.; Elias, D.; Duvillard, P.; Schlumberger, M.; et al. Treatment of poorly differentiated neuroendocrine tumours with etoposide and cisplatin. Br. J. Cancer 1999, 81, 1351–1355. [Google Scholar] [CrossRef]
- Kamarajah, S.K.; Bednar, F.; Cho, C.S.; Nathan, H. Survival Benefit of Adjuvant Chemotherapy after Pancreatoduodenectomy for Ampullary Adenocarcinoma: A Propensity-Matched National Cancer Database (NCDB) Analysis. J. Gastrointest. Surg. 2020, 25, 1805–1814. [Google Scholar] [CrossRef]
- Lania, A.; Ferraù, F.; Rubino, M.; Modica, R.; Colao, A.; Faggiano, A. Neoadjuvant Therapy for Neuroendocrine Neoplasms: Recent Progresses and Future Approaches. Front. Endocrinol. 2021, 12, 651438. [Google Scholar] [CrossRef]





| Author | Sex | Age | Clinical Presentation | Tumor Markers in Serum | Distant Metastases on Imaging | |
|---|---|---|---|---|---|---|
| 1 | Kleinschmidt et al. [9] | F | 56 | right upper quadrant pain | NA | NA |
| 2 | Ito et al. [25] | M | 65 | jaundice | (−) | (−) |
| 3 | Jung et al. [26] | M | 64 | NA | NA | Liver |
| 4 | Li et al. [27] | M | 57 | jaundice, weight loss | (−) | (−) |
| 5 | Shiratori et al. [28] | M | 60 | (−) | (−) | (−) |
| 6 | Noorali et al. [29] | F | 40 | epigastric pain, pruritus | NA | (−) |
| 7 | Noorali et al. [29] | M | 58 | epigastric pain, weight loss | NA | NA |
| 8 | Xiao et al. [30] | F | 50 | pruritus | NA | Umbilical sac |
| 9 | Zahid et al. [31] | F | 42 | jaundice, pruritus | CA19-9 slightly elevated | (−) |
| 10 | Guerrero et al. [32] | F | 69 | epigastric pain | NA | (−) |
| 11 | Matli et al. [33] | M | 71 | abdominal pain, weight loss | NA | NA |
| 12 | Matli et al. [33] | F | 83 | nausea, vomiting | (−) | Liver, left lung, and left shoulder |
| 13 | Malhotra et al. [34] | M | 33 | nausea, vomiting, dyspepsia | NA | (−) |
| 14 | Fujii et al. [35] | M | 53 | presyncope secondary to anemia | (−) | (−) |
| 15 | Wang et al. [14] | M | 81 | jaundice | CA19-9 elevated | (−) |
| 16 | Wang et al. [14] | M | 69 | jaundice | (−) | (−) |
| 17 | Wang et al. [14] | M | 67 | abdominal pain | CA19-9 elevated | (−) |
| 18 | Wang et al. [14] | M | 72 | jaundice, abdominal pain | (−) | (−) |
| 19 | Choi et al. [36] | F | 46 | anemia | (−) | (−) |
| Endoscopic Findings | Ki-67 Index | Tumor Size | Immunohistochemistry | |||
| 1 | NA (ERCP/EUS) | 3–20% | 22 mm | Synaptophysin, Cytokeratin | ||
| 2 | Unexposed tumor (ERCP) | 40–50% | 11 mm | Synaptophysin, Chromogranin A, p53, and Rb1 | ||
| 3 | NA | NA | NA | Synaptophysin | ||
| 4 | NA | 40% | 50 mm | Synaptophysin, CD56, Cytokeratin | ||
| 5 | Tumor within the submucosal layer (EUS) | 2% | 10 mm | Synaptophysin, Chromogranin A | ||
| 6 | Ulcerative vegetative 22 * 17 mm lesion around the ampulla (EGD) | 4% | NA | Synaptophysin, Chromogranin A | ||
| 7 | Gastritis with a small polyp in the antrum (EGD) | 15% | NA | Synaptophysin, Chromogranin A, CEA | ||
| 8 | 21 × 17 mm polypoid ampullary mass (EGD) | NA | 11 mm | Synaptophysin, CD56 | ||
| 9 | Ulcerated, tumorous-looking ampulla (ERCP) | NA | NA | Synaptophysin, Chromogranin A | ||
| 10 | Well-defined, homogeneous, hypoechoic 19 × 9 mm lesion (EUS) | 4% | 17 mm | NA | ||
| 11 | Single intramural mass in the area of papilla (EUS) | NA | NA | Synaptophysin | ||
| 12 | NA (EUS) | NA | NA | Synaptophysin, Chromogranin A, Cytokeratin | ||
| 13 | Mass lesion causing intra-luminal bulge at the ampulla (EGD) | NA | 25 mm | Synaptophysin, chromogranin A, S-100 | ||
| 14 | Bleeding from an erosion | 2.50% | 11 mm | Synaptophysin | ||
| 15 | NA | 30% | NA | Synaptophysin, CD56 | ||
| 16 | NA (Duodenal endoscopy) | 50% | NA | Synaptophysin, Chromogranin A, CD56 | ||
| 17 | Irregular ulcer in the ampulla with a crater-like bulge around | 70% | NA | Synaptophysin, Chromogranin A, CD56 | ||
| 18 | NA | 70% | NA | Synaptophysin, CD56 | ||
| 19 | Firm, bulging fibrotic ampullary mass with diffuse edema (EGD) | <1% | 24 mm | Synaptophysin, Chromogranin A, S-100, NSE | ||
| WHO Classification | Metastatic Lymph Nodes | Adjuvant Chemotherapy | Recurrence/Outcome (Months) | |||
| 1 | NET G1 | 1/15 | NA | NA | ||
| 2 | SCNEC | (−) | (irinotecan + cisplatin), (etoposide + cisplatin) | (+)/Death (18) | ||
| 3 | LCNEC | NA | NA | (+) eyelid metastasis/NA | ||
| 4 | SCNEC | 1 | (−) | (+)/Death (14) | ||
| 5 | NET G1 | (−) | NA | (−)/Survival (12) | ||
| 6 | NET G2 | NA | NA | (+) liver metastasis/NA | ||
| 7 | NET G2 | NA | NA | (−)/Survival (84) | ||
| 8 | NET G1 | 4/19 | NA | NA | ||
| 9 | NET G3 | NA | NA | (−)/Survival (6) | ||
| 10 | CoGNET | (−) | NA | (−)/Survival (24) | ||
| 11 | NET | NA | NA | NA | ||
| 12 | NET G1 | NA | (everolimus + lanreotide), temodar, PRRT | NA | ||
| 13 | NA | NA | NA | NA | ||
| 14 | NET G1 | (−) | (−) | (−)/Survival (89) | ||
| 15 | MiNEN | NA | (−) | (−)/Death (postoperative complication) | ||
| 16 | MiNEN | NA | (oxaliplatin + 5-fluorouracil + leucovorin), (etoposide + nedaplatin), (irinotecan + nedaplatin) | (+) liver metastasis/Death (29) | ||
| 17 | MiNEN | NA | capecitabine + oxaliplatin | (+) liver metastasis/Death (22) | ||
| 18 | MiNEN | NA | cisplatin + etoposide (hepatic arterial chemoembolization) | (+) liver metastasis/Survival (1) | ||
| 19 | CoGNET | 4/18 | (−) | (−)/Survival (36 months) | ||
| Date of Publication | Author | Sex | Age | Clinical Presentation | Tumor Markers in Serum | |
|---|---|---|---|---|---|---|
| 1. | 2003 | Cavazza et al. [56] | F | 74 | jaundice, anorexia, pruritus | tissue polypeptide antigen, CEA |
| 2. | 2004 | Hartel et al. [57] | F | 44 | jaundice, pruritus | (−) |
| 3. | 2004 | Cheng et al. [58] | F | 55 | epigastric pain | NA |
| 4. | 2005 | Nassar et al. [59] | M | 61 | NA | NA |
| 5. | 2005 | Nassar et al. [59] | M | 75 | NA | NA |
| 6. | 2005 | Nassar et al. [59] | M | 84 | NA | NA |
| 7. | 2005 | Nassar et al. [59] | F | 50 | NA | NA |
| 8. | 2005 | Nassar et al. [59] | M | 77 | NA | NA |
| 9. | 2005 | Nassar et al. [59] | M | 80 | NA | NA |
| 10. | 2005 | Nassar et al. [59] | M | 55 | NA | NA |
| 11. | 2005 | Nassar et al. [59] | F | 68 | NA | NA |
| 12. | 2006 | Huang et al. [60] | M | 59 | jaundice, anorexia | NA |
| 13. | 2006 | Selvakumar et al. [61] | M | 48 | jaundice, anorexia, weight loss | NA |
| 14. | 2006 | Jun et al. [62] | M | 56 | anorexia, pruritus | NA |
| 15. | 2008 | Liu et al. [18] | F | 70 | jaundice | (−) |
| 16. | 2010 | Stojsic et al. [63] | M | 60 | epigastric pain, nausea, vomiting, anorexia, jaundice, fever, and weight loss | NA |
| 17. | 2010 | Sunose et al. [64] | F | 73 | jaundice, fatigue | NA |
| 18. | 2012 | Huang et al. [65] | M | 52 | jaundice, anorexia, epigastic pain | CEA |
| 19. | 2012 | Beggs et al. [66] | M | 52 | obstructive jaundice | NA |
| 20. | 2014 | Zhang et al. [67] | M | 69 | jaundice, pruritus | CA19-9 |
| 21. | 2017 | Mahansaria et al. [11] | NA | NA | NA | (−) |
| 22. | 2017 | Imamura et al. [68] | M | 81 | (−) | CEA, CA 19-9 |
| 23. | 2020 | Jung et al. [26] | male | 64 | NA | NA |
| 24. | 2021 | Sonmez et al. [24] | male | 78 | jaundice, epigastric pain | NA |
| Distant Metastases on Imaging | Endoscopic Findings | Biopsy | Ki-67 Index | Mitotic Rate | Maximum Tumor Diameter (mm) | |
| 1. | (−) | Ulceration of the Vater papilla and 3 cm stenosis of the common bile duct | poorly differentiated carcinoma | NA | 90/10HPF | NA |
| 2. | (−) | Ulcerated tumor of the main duodenal papilla | NA | NA | 4/HPF | 16 |
| 3. | (−) | Ulcerated polypoidal lesion in the ampullary region | poorly differentiated carcinoma with neuroendocrine features | 60% | >50/10HPF | 18 |
| 4. | NA | NA | NA | NA | NA | NA |
| 5. | NA | NA | NA | NA | NA | NA |
| 6. | NA | NA | NA | NA | NA | NA |
| 7. | NA | NA | NA | NA | NA | NA |
| 8. | NA | NA | NA | NA | NA | NA |
| 9. | NA | NA | NA | NA | NA | NA |
| 10. | NA | NA | NA | NA | NA | NA |
| 11. | NA | NA | NA | NA | NA | NA |
| 12. | (−) | Enlarged ampulla of Vater with an intact mucosal surface | carcinoid tumor | NA | NA | 28 |
| 13. | (−) | Prominent ampulla | NA | NA | 9-11/HPF | 20 |
| 14. | NA | NA | NA | NA | NA | NA |
| 15. | (−) | Swollen duodenal papilla | poorly differentiated endocrine carcinoma | >90% | NA | 10 |
| 16. | (−) | 15 mm ulcerated tumor in the region of the papilla of Vater | NA | 41% | 36/10HPF | 30 |
| 17. | (−) | Enlarged ampulla covered with normal mucosa | (−) | NA | NA | 25 |
| 18. | NA | Stricture at the ampulla of Vater | NA | NA | >20/10HPF | 16 |
| 19. | NA | Ulcerated irregular ampulla of Vater | poorly differentiated adenocarcinoma | NA | NA | NA |
| 20. | (−) | NA | LCNEC + ADC | NA | 60/10HPF | 15 |
| 21. | NA | NA | NA | >50% | NA | 40 |
| 22. | NA | 14 mm irregular protruding tumor lesion at the ampulla (duodenal endoscopy) | poorly differentiated adenocarcinoma | 89% | 32/10HPF | NA |
| 23. | Liver | NA | NA | NA | NA | NA |
| 24. | NA | ‘bulging’ tumor appearance invading the orifice of the papilla | NET | 80% | NA | 15 |
| Other Components | Immunohistochemistry | Number of Metastatic Lymph Nodes | Adjuvant Chemotherapy | Recurrence/Outcome (Months) | ||
| 1. | (−) | Synaptophysin, Chromogranin A, Cytokeratin, NSE | NA | (−) | (+) liver, L2-L3 vertebral, fluid of peritoneal cavity metastases/died (8) | |
| 2. | (−) | Synaptophysin, Chromogranin A, CEA, Cytokeratins (AE 1 1 3 and cytokeratin 7) | 2 | NA | NA | |
| 3. | 5% vague ADC | Synaptophysin, Chromogranin A, CD117 | 2/23 | (−) | (+) liver, mesenterium, peritoneum metastases/died (6) | |
| 4. | Adenoma | NA | 1 | NA | (+)/died (15) | |
| 5. | (−) | NA | 1 | NA | (+)/died (30) | |
| 6. | Adenoma | NA | 3 | NA | (+)/died (13) | |
| 7. | (−) | NA | 5 | NA | (+)/died (16) | |
| 8. | Adenoma | NA | 1 | NA | (−)/alive (17) | |
| 9. | (−) | NA | 1 | NA | (+)/died (16) | |
| 10. | (−) | NA | 4 | NA | (−)/alive (10) | |
| 11. | (−) | NA | 4 | NA | (+)/died (4) | |
| 12. | (−) | Synaptophysin, Chromogranin A, NSE | 5/18 | cisplatin + cyclophosphamide | (+) liver peritoneum metastases/died (10) | |
| 13. | (−) | Synaptophysin, Chromogranin A, Pancytokeratin | 2/13 | NA | (+) liver metastases/alive (6) | |
| 14. | NA | NA | NA | (−) | (+) liver metastases, pancreatojejunostomy site/alive (2) | |
| 15. | ADC | Synaptophysin, Chromogranin A, Cytokeratin, CD56 | (−) | NA | (−)/alive (1) | |
| 16. | (−) | Synaptophysin, PGP 9.5, NSE, Cytokeratin, CK8, Somatostatin, p27, HDAC1, HDAC2, HDAC3 | 3/19 | etoposide + cisplatin | (+) liver metastases/alive (11) | |
| 17. | ADC, signet-ring cell carcinoma, SCC | Synaptophysin, Chromogranin A, CD56 | NA | (−) | (+) liver, bone metastases/died (13) | |
| 18. | pancreatic hepatoid microcarcinoma | Synaptophysin, Chromogranin A, Cytokeratin 7, CAM 5.2 | (−) | NA | (+) liver metastases/alive (15) | |
| 19. | (−) | Synaptophysin | 1 | cisplatin + etoposide + mannitol | (+) liver/alive (20) | |
| 20. | intestinal type adenoma | Synaptophysin | (−) | (−) | (−)/alive (33) | |
| 21. | ADC pancreatobiliary type | Synaptophysin, Chromogranin A, NSE, S-100, MUC 1+, MOC31+ | 4/39 | (−) | (+)/NA | |
| 22. | papillary adenoma | Synaptophysin, Chromogranin A | (−) | (−) | (+) liver metastases/died (11) | |
| 23. | (−) | Synaptophysin | NA | NA | (+) eyelid metastases/NA | |
| 24. | (−) | NA | (−) | (−) | (+) liver metastases/died (8) | |
Publisher’s Note: MDPI stays neutral with regard to jurisdictional claims in published maps and institutional affiliations. |
© 2022 by the authors. Licensee MDPI, Basel, Switzerland. This article is an open access article distributed under the terms and conditions of the Creative Commons Attribution (CC BY) license (https://creativecommons.org/licenses/by/4.0/).
Share and Cite
Karlafti, E.; Charalampidou, M.; Fotiadou, G.; Abba Deka, I.; Raptou, G.; Kyriakidis, F.; Panidis, S.; Ioannidis, A.; Protopapas, A.A.; Netta, S.; et al. Ampullary Large-Cell Neuroendocrine Carcinoma, a Diagnostic Challenge of a Rare Aggressive Neoplasm: A Case Report and Literature Review. Diagnostics 2022, 12, 1797. https://doi.org/10.3390/diagnostics12081797
Karlafti E, Charalampidou M, Fotiadou G, Abba Deka I, Raptou G, Kyriakidis F, Panidis S, Ioannidis A, Protopapas AA, Netta S, et al. Ampullary Large-Cell Neuroendocrine Carcinoma, a Diagnostic Challenge of a Rare Aggressive Neoplasm: A Case Report and Literature Review. Diagnostics. 2022; 12(8):1797. https://doi.org/10.3390/diagnostics12081797
Chicago/Turabian StyleKarlafti, Eleni, Maria Charalampidou, Georgia Fotiadou, Ioanna Abba Deka, Georgia Raptou, Filippos Kyriakidis, Stavros Panidis, Aristeidis Ioannidis, Adonis A. Protopapas, Smaro Netta, and et al. 2022. "Ampullary Large-Cell Neuroendocrine Carcinoma, a Diagnostic Challenge of a Rare Aggressive Neoplasm: A Case Report and Literature Review" Diagnostics 12, no. 8: 1797. https://doi.org/10.3390/diagnostics12081797
APA StyleKarlafti, E., Charalampidou, M., Fotiadou, G., Abba Deka, I., Raptou, G., Kyriakidis, F., Panidis, S., Ioannidis, A., Protopapas, A. A., Netta, S., & Paramythiotis, D. (2022). Ampullary Large-Cell Neuroendocrine Carcinoma, a Diagnostic Challenge of a Rare Aggressive Neoplasm: A Case Report and Literature Review. Diagnostics, 12(8), 1797. https://doi.org/10.3390/diagnostics12081797

