Prevalence and Characteristics of Accessory Mandibular Canals: A Cone-Beam Computed Tomography Study in a European Adult Population
Abstract
1. Introduction
2. Materials and Methods
3. Results
4. Discussion
4.1. CBCT as a Reliable Preoperatory Assessment Method
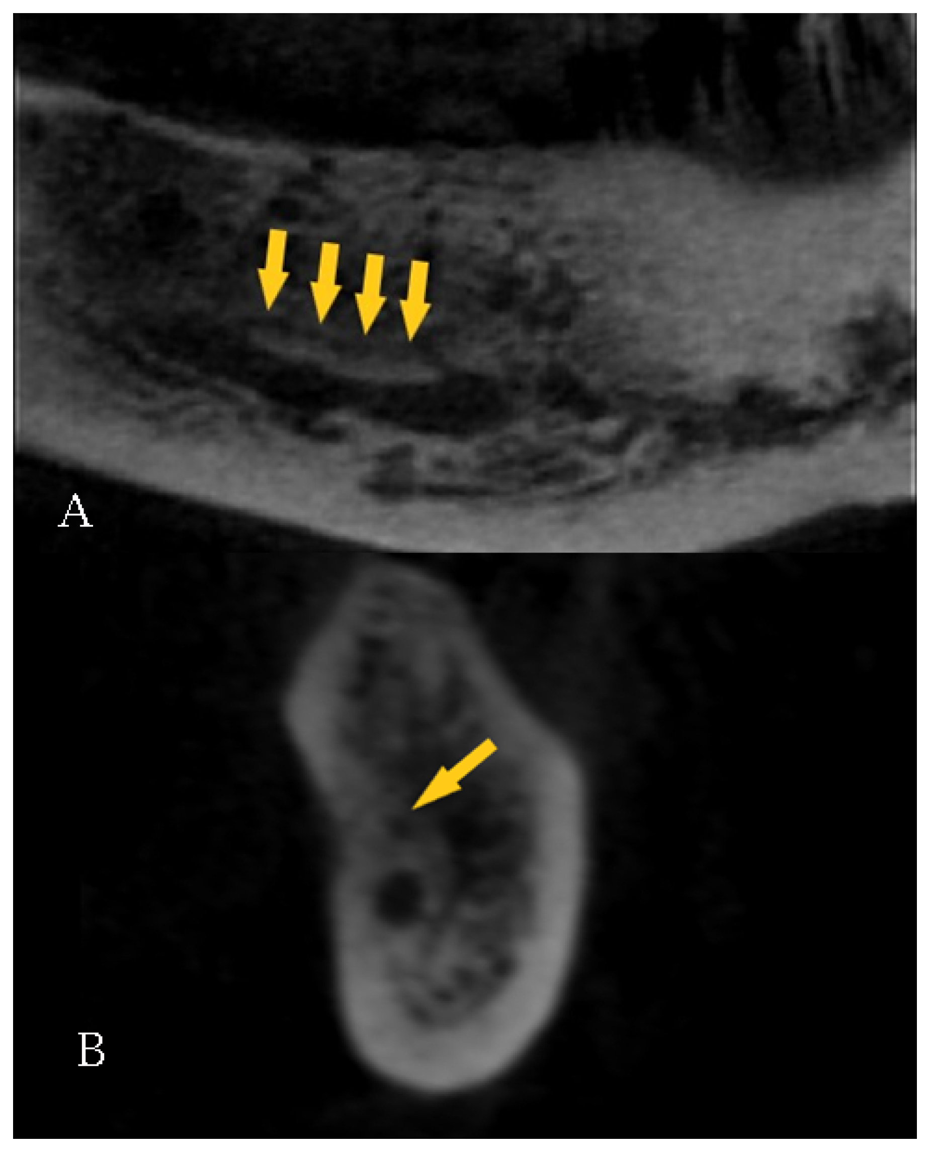
4.2. Bifid Canals: A Difficult Classification, Established Presence, and Clinical Implications of the Morphometric Data
5. Conclusions
Author Contributions
Funding
Institutional Review Board Statement
Informed Consent Statement
Data Availability Statement
Conflicts of Interest
References
- Manchisi, M.; Bianchi, I.; Bernardi, S.; Varvara, G.; Pinchi, V. Maxillary sinusitis caused by retained dental impression material: An unusual case report and literature review. Niger. J. Clin. Pract. 2022, 25, 379–385. [Google Scholar]
- Carter, R.B.; Keen, E.N. The intramandibular course of the inferior alveolar nerve. J. Anat. 1971, 108, 433–440. [Google Scholar] [PubMed]
- Bernardi, S.; Bianchi, S.; Continenza, M.A.; Macchiarelli, G. Frequency and anatomical features of the mandibular lingual foramina: Systematic review and meta-analysis. Surg. Radiol. Anat. 2017, 39, 1349–1357. [Google Scholar] [CrossRef] [PubMed]
- Bogdán, S.; Pataky, L.; Barabás, J.; Németh, Z.; Huszár, T.; Szabó, G. Atypical courses of the mandibular canal: Comparative examination of dry mandibles and X-rays. J. Craniofac. Surg. 2006, 17, 487–491. [Google Scholar] [CrossRef] [PubMed]
- Kuczynski, A.; Kucharski, W.; Franco, A.; Westphalen, F.H.; de Lima, A.A.S.; Fernandes, A. Prevalence of bifid mandibular canals in panoramic radiographs: A maxillofacial surgical scope. Surg. Radiol. Anat. 2014, 36, 847–850. [Google Scholar] [CrossRef]
- Kuribayashi, A.; Watanabe, H.; Imaizumi, A.; Tantanapornkul, W.; Katakami, K.; Kurabayashi, T. Bifid mandibular canals: Cone beam computed tomography evaluation. Dentomaxillofac. Radiol. 2010, 39, 235–239. [Google Scholar] [CrossRef]
- Wadhwani, P.; Mathur, R.M.; Kohli, M.; Sahu, R. Mandibular canal variant: A case report. J. Oral Pathol. Med. Off. Publ. Int. Assoc. Oral Pathol. Am. Acad. Oral Pathol. 2008, 37, 122–124. [Google Scholar] [CrossRef]
- Chávez-Lomeli, M.E.; Mansilla Lory, J.; Pompa, J.A.; Kjaer, I. The human mandibular canal arises from three separate canals innervating different tooth groups. J. Dent. Res. 1996, 75, 1540–1544. [Google Scholar] [CrossRef]
- Boronat López, A.; Peñarrocha Diago, M. Failure of locoregional anesthesia in dental practice. Review of the literature. Med. Oral Patol. Oral Cir. Bucal 2006, 11, E510–E513. [Google Scholar]
- Linares, C.V.; Mohindra, A.; Evans, M. Haemorrhage following coronectomy of an impacted third molar associated with a bifid mandibular canal. Int. J. Oral Maxillofac. Surg. 2015, 44, e302. [Google Scholar] [CrossRef]
- Lew, K.; Townsen, G. Failure to obtain adequate anaesthesia associated with a bifid mandibular canal: A case report. Aust. Dent. J. 2006, 51, 86–90. [Google Scholar] [CrossRef] [PubMed]
- Ossenberg, N.S. Retromolar foramen of the human mandible. Am. J. Phys. Anthropol. 1987, 73, 119–128. [Google Scholar] [CrossRef] [PubMed]
- Patil, S.; Matsuda, Y.; Nakajima, K.; Araki, K.; Okano, T. Retromolar canals as observed on cone-beam computed tomography: Their incidence, course, and characteristics. Oral Surg. Oral Med. Oral Pathol. Oral Radiol. 2013, 115, 692–699. [Google Scholar] [CrossRef] [PubMed]
- von Arx, T.; Hänni, A.; Sendi, P.; Buser, D.; Bornstein, M.M. Radiographic study of the mandibular retromolar canal: An anatomic structure with clinical importance. J. Endod. 2011, 37, 1630–1635. [Google Scholar] [CrossRef]
- Zhang, Y.-Q.; Zhao, Y.-N.; Liu, D.-G.; Meng, Y.; Ma, X.-C. Bifid variations of the mandibular canal: Cone beam computed tomography evaluation of 1000 Northern Chinese patients. Oral Surg. Oral Med. Oral Pathol. Oral Radiol. 2018, 126, e271–e278. [Google Scholar] [CrossRef]
- Luangchana, P.; Pornprasertsuk-Damrongsri, S.; Kitisubkanchana, J.; Wongchuensoontorn, C. The retromolar canal and its variations: Classification using cone beam computed tomography. Quintessence Int. 2018, 49, 61–67. [Google Scholar]
- Naitoh, M.; Hiraiwa, Y.; Aimiya, H.; Ariji, E. Observation of bifid mandibular canal using cone-beam computerized tomography. Int. J. Oral Maxillofac. Implants 2009, 24, 155–159. [Google Scholar]
- Okumuş, Ö.; Dumlu, A. Prevalence of bifid mandibular canal according to gender, type and side. J. Dent. Sci. 2019, 14, 126–133. [Google Scholar] [CrossRef]
- Shah, N.P.; Murtadha, L.; Brown, J. Bifurcation of the inferior dental nerve canal: An anatomical study. Br. J. Oral Maxillofac. Surg. 2018, 56, 267–271. [Google Scholar] [CrossRef]
- Muinelo-Lorenzo, J.; Suárez-Quintanilla, J.A.; Fernández-Alonso, A.; Marsillas-Rascado, S.; Suárez-Cunqueiro, M.M. Descriptive study of the bifid mandibular canals and retromolar foramina: Cone beam CT vs panoramic radiography. Dentomaxillofac. Radiol. 2014, 43, 20140090. [Google Scholar] [CrossRef]
- Orhan, K.; Aksoy, S.; Bilecenoglu, B.; Sakul, B.U.; Paksoy, C.S. Evaluation of bifid mandibular canals with cone-beam computed tomography in a Turkish adult population: A retrospective study. Surg. Radiol. Anat. 2011, 33, 501–507. [Google Scholar] [CrossRef] [PubMed]
- Naitoh, M.; Nakahara, K.; Suenaga, Y.; Gotoh, K.; Kondo, S.; Ariji, E. Comparison between cone-beam and multislice computed tomography depicting mandibular neurovascular canal structures. Oral Surg. Oral Med. Oral Pathol. Oral Radiol. Endod. 2010, 109, e25–e31. [Google Scholar] [CrossRef] [PubMed]
- Elmasry, R.A.; El-Fotouh, M.M.A.; el Sadat, S.M.A.; Aboelmaaty, W. Cone beam computed tomography for evaluation of mandibular lingual canal in an Egyptian subpopulation. Egypt. J. Radiol. Nucl. Med. 2021, 52, 125. [Google Scholar] [CrossRef]
- Kositbowornchai, S.; Densiriaksorn, W.; Piumthanaroj, P. Ability of two radiographic methods to identify the closeness between the mandibular third molar root and the inferior alveolar canal: A pilot study. Dentomaxillofac. Radiol. 2010, 39, 79–84. [Google Scholar] [CrossRef] [PubMed]
- Kim, M.-S.; Yoon, S.-J.; Park, H.-W.; Kang, J.-H.; Yang, S.-Y.; Moon, Y.-H.; Jung, N.-R.; Yoo, H.-I.; Oh, W.-M.; Kim, S.-H. A false presence of bifid mandibular canals in panoramic radiographs. Dentomaxillofac. Radiol. 2011, 40, 434–438. [Google Scholar] [CrossRef] [PubMed]
- Ngeow, W.C.; Chai, W.-L. The clinical anatomy of accessory mandibular canal in dentistry. Clin. Anat. 2020, 33, 1214–1227. [Google Scholar] [CrossRef]
- Sanchis, J.M.; Peñarrocha, M.; Soler, F. Bifid mandibular canal. J. Oral Maxillofac. Surg. Off. J. Am. Assoc. Oral Maxillofac. Surg. 2003, 61, 422–424. [Google Scholar] [CrossRef]
- Lindh, C.; Petersson, A.; Klinge, B. Visualisation of the mandibular canal by different radiographic techniques. Clin. Oral Implants Res. 1992, 3, 90–97. [Google Scholar] [CrossRef]
- Naitoh, M.; Hiraiwa, Y.; Aimiya, H.; Gotoh, M.; Ariji, Y.; Izumi, M.; Kurita, K.; Ariji, E. Bifid mandibular canal in Japanese. Implant Dent. 2007, 16, 24–32. [Google Scholar] [CrossRef]
- Tantanapornkul, W.; Okouchi, K.; Fujiwara, Y.; Yamashiro, M.; Maruoka, Y.; Ohbayashi, N.; Kurabayashi, T. A comparative study of cone-beam computed tomography and conventional panoramic radiography in assessing the topographic relationship between the mandibular canal and impacted third molars. Oral Surg. Oral Med. Oral Pathol. Oral Radiol. Endod. 2007, 103, 253–259. [Google Scholar] [CrossRef]
- Elnadoury, E.A.; Gaweesh, Y.S.E.-D.; Abu El Sadat, S.M.; Anwar, S.K. Prevalence of bifid and trifid mandibular canals with unusual patterns of nerve branching using cone beam computed tomography. Odontology 2022, 110, 203–211. [Google Scholar] [CrossRef] [PubMed]
- Iwanaga, J.; Takeshita, Y.; Matsushita, Y.; Hur, M.S.; Ibaragi, S.; Tubbs, R.S. What are the retromolar and bifid/trifid mandibular canals as seen on cone-beam computed tomography? Revisiting classic gross anatomy of the inferior alveolar nerve and correcting terminology. Surg. Radiol. Anat. 2022, 44, 147–156. [Google Scholar] [CrossRef] [PubMed]
- Zhou, X.; Gao, X.; Zhang, J. Bifid mandibular canals: CBCT assessment and macroscopic observation. Surg. Radiol. Anat. 2020, 42, 1073–1079. [Google Scholar] [CrossRef]
- de Oliveira-Santos, C.; Souza, P.H.C.; de Azambuja Berti-Couto, S.; Stinkens, L.; Moyaert, K.; Rubira-Bullen, I.R.F.; Jacobs, R. Assessment of variations of the mandibular canal through cone beam computed tomography. Clin. Oral Investig. 2012, 16, 387–393. [Google Scholar] [CrossRef]
- Kang, J.-H.; Lee, K.-S.; Oh, M.-G.; Choi, H.-Y.; Lee, S.-R.; Oh, S.-H.; Choi, Y.-J.; Kim, G.-T.; Choi, Y.-S.; Hwang, E.-H. The incidence and configuration of the bifid mandibular canal in Koreans by using cone-beam computed tomography. Imaging Sci. Dent. 2014, 44, 53–60. [Google Scholar] [CrossRef]
- Fu, E.; Peng, M.; Chiang, C.-Y.; Tu, H.-P.; Lin, Y.-S.; Shen, E.-C. Bifid mandibular canals and the factors associated with their presence: A medical computed tomography evaluation in a Taiwanese population. Clin. Oral Implants Res. 2014, 25, e64–e67. [Google Scholar] [CrossRef] [PubMed]
- von Arx, T.; Bornstein, M.M. The bifid mandibular canal in three-dimensional radiography: Morphologic and quantitative characteristics. Swiss Dent. J. 2021, 131, 10–28. [Google Scholar]
- Puche-Roses, M.; Blasco-Serra, A.; Valverde-Navarro, A.-A.; Puche-Torres, M. Prevalence and morphometric analysis of the retromolar canal in a Spanish population sample: A helical CT scan study. Med. Oral Patol. Oral Cir. Bucal 2022, 27, e142–e149. [Google Scholar] [CrossRef]
- Rashsuren, O.; Choi, J.-W.; Han, W.-J.; Kim, E.-K. Assessment of bifid and trifid mandibular canals using cone-beam computed tomography. Imaging Sci. Dent. 2014, 44, 229–236. [Google Scholar] [CrossRef]
- Ngeow, W.C.; Chai, W.L. The clinical significance of the retromolar canal and foramen in dentistry. Clin. Anat. 2021, 34, 512–521. [Google Scholar] [CrossRef]
- Maqbool, A.; Sultan, A.A.; Bottini, G.B.; Hopper, C. Pain caused by a dental implant impinging on an accessory inferior alveolar canal: A case report. Int. J. Prosthodont. 2013, 26, 125–126. [Google Scholar] [CrossRef] [PubMed][Green Version]
- Aljunid, S.; AlSiweedi, S.; Nambiar, P.; Chai, W.-L.; Ngeow, W.-C. The Management of Persistent Pain From a Branch of the Trifid Mandibular Canal due to Implant Impingement. J. Oral Implantol. 2016, 42, 349–352. [Google Scholar] [CrossRef]
- Verea Linares, C.; Mohindra, A.; Evans, M. Haemorrhage following coronectomy of an impacted third molar associated with a bifid mandibular canal: A case report and review of the literature. Oral Surg. 2016, 9, 248–251. [Google Scholar] [CrossRef]
- Sharma, S.; Hackett, R.; Webb, R.; Macpherson, D.; Wilson, A. Severe tissue necrosis following intra-arterial injection of endodontic calcium hydroxide: A case series. Oral Surg. Oral Med. Oral Pathol. Oral Radiol. Endod. 2008, 105, 666–669. [Google Scholar] [CrossRef] [PubMed]
- Wilbrand, J.-F.; Wilbrand, M.; Schaaf, H.; Howaldt, H.-P.; Malik, C.-Y.; Streckbein, P. Embolia cutis medicamentosa (Nicolau syndrome) after endodontic treatment: A case report. J. Endod. 2011, 37, 875–877. [Google Scholar] [CrossRef] [PubMed]
- Lindgren, P.; Eriksson, K.-F.; Ringberg, A. Severe facial ischemia after endodontic treatment. J. Oral Maxillofac. Surg. Off. J. Am. Assoc. Oral Maxillofac. Surg. 2002, 60, 576–579. [Google Scholar] [CrossRef]








| Type 1 | Type 2 | Type 3 | Type 4 | 
|---|---|---|---|
| Retromolar | Dental | Forward | Buccolingual | 
| First molar (A) | With confluence | Buccal canal | |
| Second molar (B) | Without confluence | Lingual canal | |
| Third molar (C) | 
| Classification | Tot. Pat. | Tot. Sides | Right Side | Left Side | ||||
|---|---|---|---|---|---|---|---|---|
| 300 (%) | 600 (%) | M. n (%) | F. n (%) | Tot n (%) | M. n (%) | F. n (%) | Tot n (%) | |
| Type 1 Retromolar | 22.7 | 11.3 | 19 (6.3) | 12 (4) | 31 (10.3) | 18 (6) | 19 (6.3) | 37 (12.3) | 
| Type 2 Dental | 8.3 | 4.2 | 8 (2.7) | 6 (2) | 14 (4.67) | 8 (2.7) | 3 (1) | 11 (3.67) | 
| First molar | 1 | 0.5 | 0 | 2 (0.7) | 2 (0.7) | 1 (0.3) | 0 | 1 (0.3) | 
| Second molar | 3.3 | 1.7 | 3 (1) | 1 (0.3) | 4 (1.3) | 4 (1.3) | 2 (0.7) | 6 (2) | 
| Third molar | 4 | 2 | 5 (1.7) | 3 (1) | 8 (2.7) | 3 (1) | 1 (0.3) | 4 (1.3) | 
| Type 3 Front | 23.3 | 11.7 | 27 (9) | 16 (5.3) | 43 (14.3) | 11 (3.7) | 16 (5.3) | 27 (9) | 
| Confluent | 12 | 6 | 16 (5.3) | 9 (3) | 25 (8.3) | 3 (1) | 8 (2.7) | 11 (3.7) | 
| Not confluent | 11.3 | 5.7 | 11 (3.7) | 7 (2.3) | 18 (6) | 8 (2.7) | 8 (2.67) | 16 (5.3) | 
| Type 4 Buccolingual | 3.3 | 1.7 | 1 (0.3) | 3 (1) | 4 (1.3) | 1 (0.3) | 5 (1.7) | 6 (2) | 
| Buccal | 1.7 | 0.8 | 0 | 2 (0.7) | 2 (0.7) | 0 | 3 (1) | 3 (1) | 
| Lingual | 1.7 | 0.8 | 1 (0.3) | 1 (0.3) | 2 (0.7) | 1 (0.3) | 2 (0.7) | 3 (1) | 
| N Cases | Minimum | Maximum | Average | Standard Deviation | |
|---|---|---|---|---|---|
| Age (years) | 300 | 18 | 89 | 47.07 | 17.71 | 
| Length right (mm) | 92 | 1.80 | 28.30 | 11.96 | 5.56 | 
| Ang. sup. right (°) | 92 | 22.50 | 162.20 | 123.70 | 24.30 | 
| Ang. inf. right (°) | 92 | 11.90 | 130.40 | 56.02 | 23.55 | 
| Length left (mm) | 81 | 2.70 | 19.60 | 11.37 | 4.88 | 
| Ang. sup. left (°) | 81 | 35.60 | 167.00 | 118.05 | 29.00 | 
| Ang. inf. left (°) | 81 | 8.70 | 154.30 | 62.75 | 32.45 | 
| Average | No. | Standard Deviation | Average Standard Error | Sign. (p Value) | |
|---|---|---|---|---|---|
| Right length | 11.38 | 22 | 3.62 | 0.77 | 0.371 | 
| Long left | 11.79 | 22 | 5.26 | 1.12 | |
| Top-right corner | 117.97 | 22 | 26.76 | 5.70 | 0.790 | 
| Top-left corner | 125.99 | 22 | 22.27 | 4.74 | |
| Ang. inf. right | 57.57 | 22 | 18.02 | 3.84 | 0.628 | 
| Ang. inf. left | 50.50 | 22 | 16.09 | 3.43 | |
| Age | 47.01 | 92 | 19.33 | 2.01 | 0.765 | 
| Right length | 11.96 | 92 | 5.56 | 0.58 | |
| Age | 48.33 | 81 | 16.76 | 1.86 | 0.904 | 
| Long left | 11.37 | 81 | 4.88 | 0.54 | |
| Age | 47.01 | 92 | 19.33 | 2.01 | 0.160 | 
| Top-right corner | 123.70 | 92 | 24.30 | 2.53 | |
| Age | 47.01 | 92 | 19.33 | 2.01 | 0.076 | 
| Ang. inf. right | 56.02 | 92 | 23.55 | 2.45 | |
| Age | 48.33 | 81 | 16.76 | 1.86 | 0.311 | 
| Top-left corner | 118.05 | 81 | 29.00 | 3.22 | |
| Age | 48.33 | 81 | 16.76 | 1.86 | 0.298 | 
| Ang. inf. left | 62.75 | 81 | 32.45 | 3.60 | 
| Publisher’s Note: MDPI stays neutral with regard to jurisdictional claims in published maps and institutional affiliations. | 
© 2022 by the authors. Licensee MDPI, Basel, Switzerland. This article is an open access article distributed under the terms and conditions of the Creative Commons Attribution (CC BY) license (https://creativecommons.org/licenses/by/4.0/).
Share and Cite
Varvara, G.; Feragalli, B.; Turkyilmaz, I.; D’Alonzo, A.; Rinaldi, F.; Bianchi, S.; Piattelli, M.; Macchiarelli, G.; Bernardi, S. Prevalence and Characteristics of Accessory Mandibular Canals: A Cone-Beam Computed Tomography Study in a European Adult Population. Diagnostics 2022, 12, 1885. https://doi.org/10.3390/diagnostics12081885
Varvara G, Feragalli B, Turkyilmaz I, D’Alonzo A, Rinaldi F, Bianchi S, Piattelli M, Macchiarelli G, Bernardi S. Prevalence and Characteristics of Accessory Mandibular Canals: A Cone-Beam Computed Tomography Study in a European Adult Population. Diagnostics. 2022; 12(8):1885. https://doi.org/10.3390/diagnostics12081885
Chicago/Turabian StyleVarvara, Giuseppe, Beatrice Feragalli, Ilser Turkyilmaz, Aurelio D’Alonzo, Fabiola Rinaldi, Serena Bianchi, Maurizio Piattelli, Guido Macchiarelli, and Sara Bernardi. 2022. "Prevalence and Characteristics of Accessory Mandibular Canals: A Cone-Beam Computed Tomography Study in a European Adult Population" Diagnostics 12, no. 8: 1885. https://doi.org/10.3390/diagnostics12081885
APA StyleVarvara, G., Feragalli, B., Turkyilmaz, I., D’Alonzo, A., Rinaldi, F., Bianchi, S., Piattelli, M., Macchiarelli, G., & Bernardi, S. (2022). Prevalence and Characteristics of Accessory Mandibular Canals: A Cone-Beam Computed Tomography Study in a European Adult Population. Diagnostics, 12(8), 1885. https://doi.org/10.3390/diagnostics12081885
 
         
                                                



 
       
       