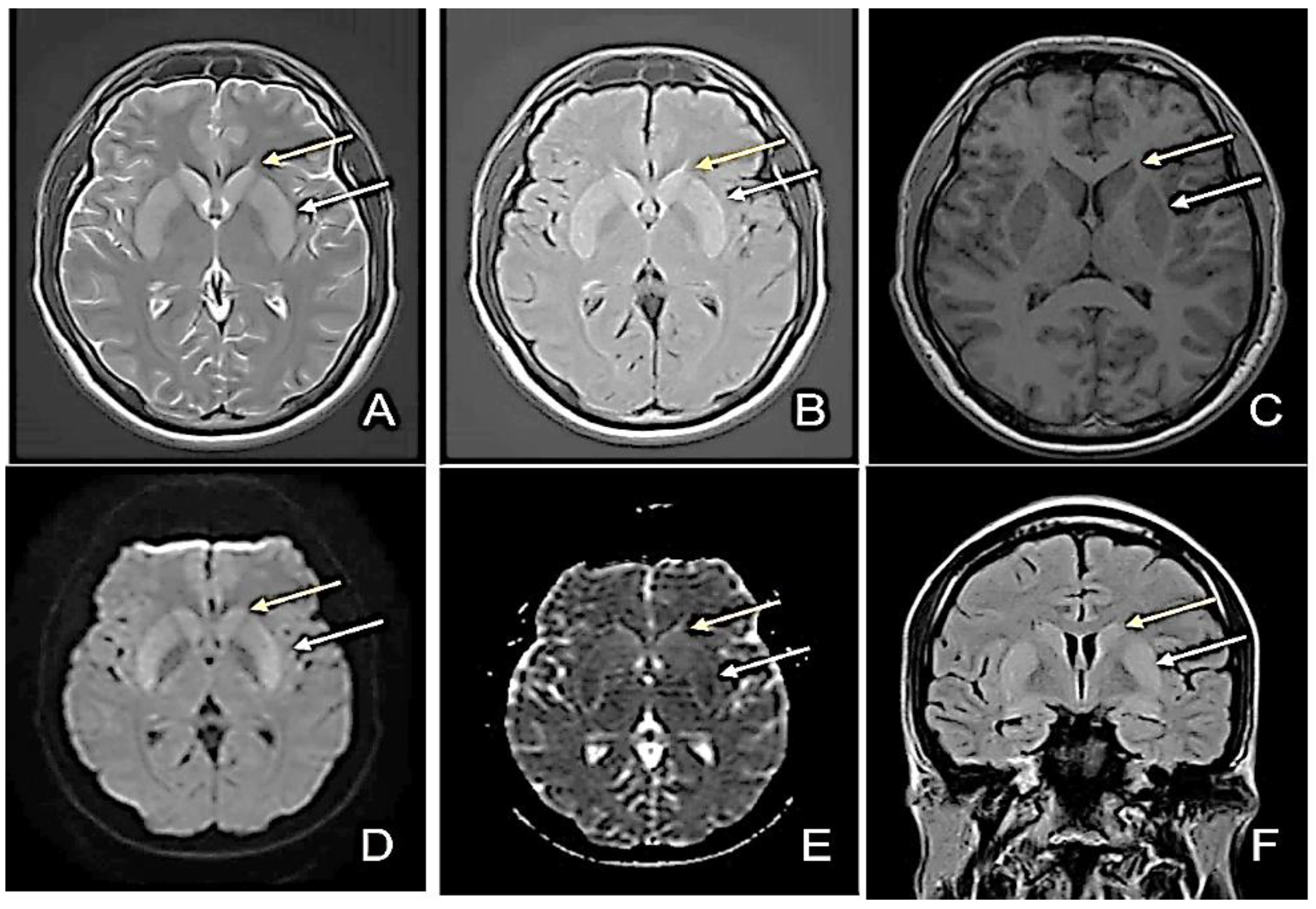
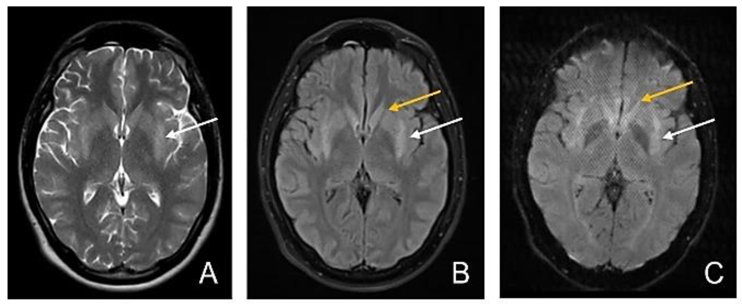
MRI Evolution of a Patient with Viral Tick-Borne Encephalitis and Polymorphic Seizures
Abstract
:Author Contributions
Funding
Institutional Review Board Statement
Informed Consent Statement
Data Availability Statement
Conflicts of Interest
References
- Adelshin, R.V.; Melnikova, O.V.; Karan, L.S.; Andaev, E.; Balakhonov, S.V. Complete Genome Sequences of Four European Subtype Strains of Tick-Borne Encephalitis Virus from Eastern Siberia, Russia. Genome Announc. 2015, 3, e00609-15. [Google Scholar] [CrossRef] [PubMed] [Green Version]
- Bogovic, P. Tick-borne encephalitis: A review of epidemiology, clinical characteristics, and management. World J. Clin. Cases 2015, 3, 430–441. [Google Scholar] [CrossRef] [PubMed]
- Ruzek, D.; Županc, T.A.; Borde, J.; Chrdle, A.; Eyer, L.; Karganova, G.; Kholodilov, I.; Knap, N.; Kozlovskaya, L.; Matveev, A.; et al. Tick-borne encephalitis in Europe and Russia: Review of pathogenesis, clinical features, therapy, and vaccines. Antivir. Res. 2019, 164, 23–51. [Google Scholar] [CrossRef]
- Romero, J.R.; Newland, J.G. Viral meningitis and encephalitis: Traditional and emerging viral agents. Semin. Pediatr. Infect. Dis. 2003, 14, 72–82. [Google Scholar] [CrossRef]
- d’Orsi, G.; Martino, T.; Lalla, A.; Claudio, M.T.D.; Carapelle, E.; Avolio, C. Faciobrachial dystonic seizures expressed as epileptic spasms, followed by focal seizures in anti-LGI1 encephalitis: A video-polygraphic study. Epileptic Disord. 2018, 20, 525–529. [Google Scholar] [CrossRef] [PubMed]
- Chang, A.D.; A Berges, V.; Chung, S.J.; Fridman, G.Y.; Baraban, J.M.; Reti, I.M. High-Frequency Stimulation at the Subthalamic Nucleus Suppresses Excessive Self-Grooming in Autism-Like Mouse Models. Neuropsychopharmacology 2015, 41, 1813–1821. [Google Scholar] [CrossRef] [Green Version]
- Arakaki, T.; Mahon, S.; Charpier, S.; Leblois, A.; Hansel, D. The Role of Striatal Feedforward Inhibition in the Maintenance of Absence Seizures. J. Neurosci. 2016, 36, 9618–9632. [Google Scholar] [CrossRef] [Green Version]
- Hu, B.; Guo, Y.; Zou, X.; Dong, J.; Pan, L.; Yu, M.; Yang, Z.; Zhou, C.; Cheng, Z.; Tang, W.; et al. Controlling mechanism of absence seizures by deep brain stimulus applied on subthalamic nucleus. Cogn. Neurodynamics 2017, 12, 103–119. [Google Scholar] [CrossRef]
- DeLong, M.; Wichmann, T. Changing Views of Basal Ganglia Circuits and Circuit Disorders. Clin. EEG Neurosci. 2010, 41, 61–67. [Google Scholar] [CrossRef] [Green Version]
- Hu, B.; Wang, D.; Xia, Z.; Yang, A.; Zhang, J.; Shi, Q.; Dai, H. Regulation and control roles of the basal ganglia in the development of absence epileptiform activities. Cogn. Neurodynamics 2019, 14, 137–154. [Google Scholar] [CrossRef]
- Výtvarová, E.; Mareček, R.; Fousek, J.; Strýček, O.; Rektor, I. Large-scale cortico-subcortical functional networks in focal epilepsies: The role of the basal ganglia. NeuroImage Clin. 2016, 14, 28–36. [Google Scholar] [CrossRef]
- Yang, L.; Li, H.; Zhu, L.; Yu, X.; Jin, B.O.; Chen, C.; Wang, S.; Ding, M.; Zhang, M.; Chen, Z.; et al. Localized shape abnormalities in the thalamus and pallidum are associated with secondarily generalized seizures in mesial temporal lobe epilepsy. Epilepsy Behav. 2017, 70, 259–264. [Google Scholar] [CrossRef] [PubMed]
- Huang, B.Y.; Castillo, M. Hypoxic-Ischemic Brain Injury: Imaging Findings from Birth to Adulthood. RadioGraphics 2008, 28, 417–439. [Google Scholar] [CrossRef] [PubMed]
- Rana, L.; Sood, D.; Chauhan, R.; Shukla, R.; Gurnal, P.; Nautiyal, H.; Tomar, M. MR Imaging of hypoxic ischemic encephalopathy–Distribution Patterns and ADC value correlations. Eur. J. Radiol. Open 2018, 5, 215–220. [Google Scholar] [CrossRef] [PubMed] [Green Version]
- Bonfante, E.; Koenig, M.K.; Adejumo, R.B.; Perinjelil, V.; Riascos, R.F. The neuroimaging of Leigh syndrome: Case series and review of the literature. Pediatr. Radiol. 2016, 46, 443–451. [Google Scholar] [CrossRef] [PubMed]
- Ardissone, A.; Bruno, C.; Diodato, D.; Donati, A.; Ghezzi, D.; Lamantea, E.; Lamperti, C.; Mancuso, M.; Martinelli, D.; Primiano, G.; et al. Clinical, imaging, biochemical and molecular features in Leigh syndrome: A study from the Italian network of mitochondrial diseases. Orphanet J. Rare Dis. 2021, 16, 413. [Google Scholar] [CrossRef]
- Ren, S.; Chen, Z.; Liu, M.; Wang, Z. The radiological findings of hypoglycemic encephalopathy: A case report with high b value DWI analysis. Medicine 2017, 96, e8425. [Google Scholar] [CrossRef] [PubMed]
- Kang, E.; Jeon, S.; Choi, S.; Song, C.; Yu, I. Diffusion MR Imaging of Hypoglycemic Encephalopathy. Am. J. Neuroradiol. 2009, 31, 559–564. [Google Scholar] [CrossRef] [Green Version]
- Knipe, H.; Baba, Y. Hypoglycaemic Encephalopathy. Reference Article. Available online: https://radiopaedia.org/articles/hypoglycaemic-encephalopathy?lang=us (accessed on 3 May 2022). [CrossRef]
- Singh, P.; Ahluwalia, A.; Saggar, K.; Grewal, C.S. Wilson’s disease: MRI features. J. Pediatr. Neurosci. 2011, 6, 27–28. [Google Scholar] [CrossRef]
- Panda, A.K. Classic neuroimaging, the bird’s eye view in Wilson’s disease. BMJ Case Rep. 2013, 2013, bcr2013200701. [Google Scholar] [CrossRef] [Green Version]
- de Oliveira, A.M.; Paulino, M.V.; Vieira, A.P.F.; McKinney, A.M.; da Rocha, A.J.; dos Santos, G.T.; Leite, C.D.C.; Godoy, L.F.D.S.; Lucato, L.T. Imaging Patterns of Toxic and Metabolic Brain Disorders. RadioGraphics 2019, 39, 1672–1695. [Google Scholar] [CrossRef] [PubMed] [Green Version]
- Kumar, Y.; Drumsta, D.; Mangla, M.; Gupta, N.; Hooda, K.; Almast, J.; Mangla, R. Toxins in Brain! Magnetic Resonance (MR) Imaging of Toxic Leukoencephalopathy–A Pictorial Essay. Pol. J. Radiol. 2017, 82, 311–319. [Google Scholar] [CrossRef] [PubMed] [Green Version]
- Rovira, A.; Alonso, J.; Córdoba, J. MR Imaging Findings in Hepatic Encephalopathy. Am. J. Neuroradiol. 2008, 29, 1612–1621. [Google Scholar] [CrossRef] [PubMed] [Green Version]
- Weerakkody, Y.; Gaillard, F. Hepatic Encephalopathy. Reference Article. Available online: https://radiopaedia.org/articles/hepatic-encephalopathy?lang=us (accessed on 3 May 2022). [CrossRef]
- Hansford, B.G.; Albert, D.; Yang, E. Classic neuroimaging findings of nonketotic hyperglycemia on computed tomography and magnetic resonance imaging with absence of typical movement disorder symptoms (hemichorea-hemiballism). J. Radiol. Case Rep. 2013, 7, 1–9. [Google Scholar] [CrossRef] [PubMed]
- Foster, T.; Gaillard, F. Non-Ketotic Hyperglycaemic Hemichorea. Reference Article. Available online: https://radiopaedia.org/articles/non-ketotic-hyperglycaemic-hemichorea?lang=us (accessed on 3 May 2022). [CrossRef]





| Disease | T1w Sequence | T2w Sequence | FLAIR | DWI | 
|---|---|---|---|---|
| Hypoxic-ischemic encephalopathy [13,14] | In severe cases, hyperintensities may be encountered due to the accumulation of denatured proteins, secondary to necrosis | In the first two weeks, hyperintensities and swelling of the affected areas due to inflammation of the affected grey matter can be observed | Hyperintensities in the affected areas | Increased DWI signal and low ADC, suggestive of restricted diffusion | 
| Leigh disease [15,16] | Decreased T1wi signal in the areas with T2 hyperintensities; rarely, T1 hyperintensities may be encountered | Hyperintensities in the following structures: basal ganglia (especially putamen), brain stem, periaqueductal brain matter, medulla, midbrain, thalami | Hyperintensities such as T2wi | Restricted diffusion may be seen in the acute setting | 
| Hypoglycemic encephalopathy [17,18,19] | Hyposignal (usually bilateral) in the cerebral cortex, internal capsule, hippocampus, or basal ganglia | Hyperintensity in one or more of the T1w-mentioned structures | Hyperintensities such as T2wi | It is a sensitive sequence showing reversible diffusion restriction from the early hours | 
| Wilson’s disease [20,21] | Hypointensities in deep grey matter structures | Hyperintensities in deep grey matter structures, especially in the putamen and bilateral thalami. Giant panda sign (increased signal intensity in the midbrain tegmentum with the normally hypointense red nucleus | Giant panda sign. | Restricted diffusion may be the first imaging change | 
| Toxic substances [22,23] | It depends on the substance involved | Generally, T2 hyperintensities in the affected areas | Generally, FLAIR hyperintensities in the affected areas Confluent, symmetrical lesions that may involve the corpus callosum | Confluent and symmetrical restricted-diffusion lesions that may involve the corpus callosum or white matter | 
| Hepatic encephalopathy [24,25] | Hyperintensities in the basal ganglia, subthalamic regions, and globus pallidus | High signal intensities involving the hemispheric corticospinal tract and focal hyperintense T2 lesions in subcortical hemispheric white matter | Hyperintensities such as T2wi | Increase mean diffusivity in the affected areas | 
| Non-ketonic hyperglycemia [26,27] | Hyperintensities in the basal ganglia (more often, the putamen or caudate nucleus are involved) | Hyperintensities in the regions described in the T1w sequence | Sometimes subcortical hypointensity and cortical hyper signal | Basal ganglia hyperintensity | 
| Publisher’s Note: MDPI stays neutral with regard to jurisdictional claims in published maps and institutional affiliations. | 
© 2022 by the authors. Licensee MDPI, Basel, Switzerland. This article is an open access article distributed under the terms and conditions of the Creative Commons Attribution (CC BY) license (https://creativecommons.org/licenses/by/4.0/).
Share and Cite
Sirbu, C.A.; Stefani, C.; Mitrică, M.; Toma, G.S.; Ranetti, A.E.; Docu-Axelerad, A.; Manole, A.M.; Stefan, I. MRI Evolution of a Patient with Viral Tick-Borne Encephalitis and Polymorphic Seizures. Diagnostics 2022, 12, 1888. https://doi.org/10.3390/diagnostics12081888
Sirbu CA, Stefani C, Mitrică M, Toma GS, Ranetti AE, Docu-Axelerad A, Manole AM, Stefan I. MRI Evolution of a Patient with Viral Tick-Borne Encephalitis and Polymorphic Seizures. Diagnostics. 2022; 12(8):1888. https://doi.org/10.3390/diagnostics12081888
Chicago/Turabian StyleSirbu, Carmen Adella, Constantin Stefani, Marian Mitrică, Gabriela Simona Toma, Aurelian Emil Ranetti, Any Docu-Axelerad, Aida Mihaela Manole, and Ion Stefan. 2022. "MRI Evolution of a Patient with Viral Tick-Borne Encephalitis and Polymorphic Seizures" Diagnostics 12, no. 8: 1888. https://doi.org/10.3390/diagnostics12081888
APA StyleSirbu, C. A., Stefani, C., Mitrică, M., Toma, G. S., Ranetti, A. E., Docu-Axelerad, A., Manole, A. M., & Stefan, I. (2022). MRI Evolution of a Patient with Viral Tick-Borne Encephalitis and Polymorphic Seizures. Diagnostics, 12(8), 1888. https://doi.org/10.3390/diagnostics12081888
 
         
                                                


 
       