Is Immunohistochemical Galectin-3 Expression Associated with the Epithelial–Mesenchymal Transition in High- and Low-Grade Invasive Urothelial Carcinomas of the Bladder? †
Abstract
1. Introduction
2. Materials and Methods
2.1. Definitions of the Study Group and Clinicopathologic Parameters
2.2. Histomorphological Evaluation
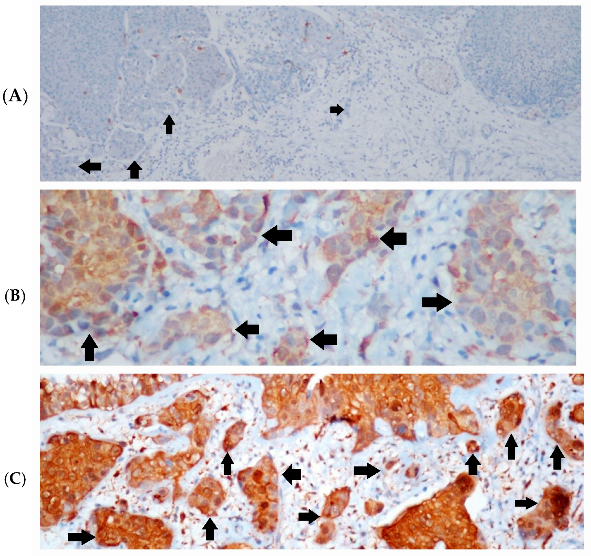
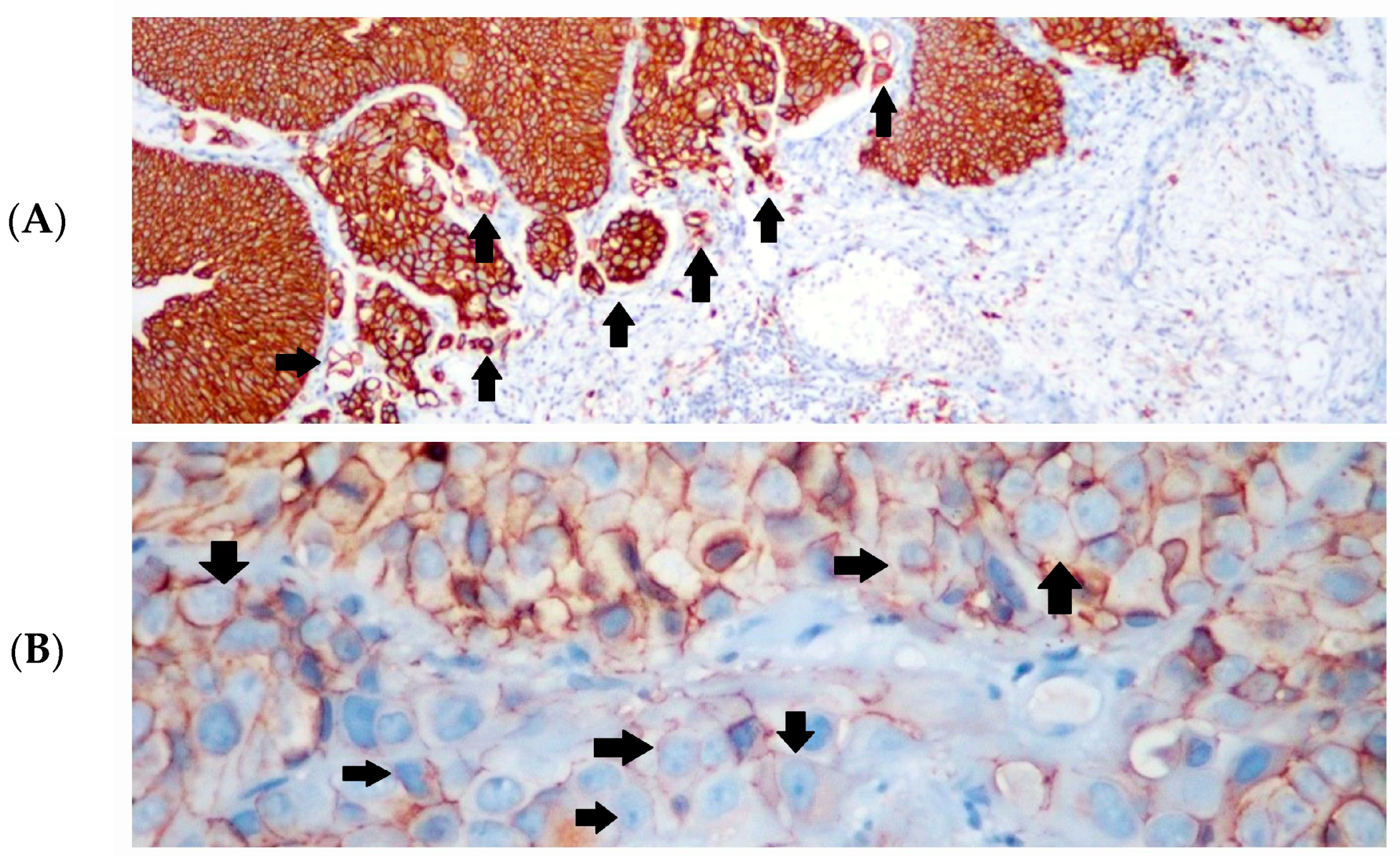
2.3. Immunohistochemical Evaluation
2.4. Statistical Method
3. Results
3.1. Association between Clinicopathologic Parameters and E-Cadherin, Vimentin, and Galectin-3
3.2. The Relationship between E-Cadherin, Vimentin, and Galectin-3
4. Discussion
5. Conclusions
Author Contributions
Funding
Institutional Review Board Statement
Informed Consent Statement
Data Availability Statement
Conflicts of Interest
References
- Siegel, R.L.; Giaquinto, A.N.; Jemal, A. Cancer statistics, 2024. CA A Cancer J. Clin. 2024, 74, 12–49. [Google Scholar] [CrossRef]
- BlueBooksOnline n.d. Available online: https://tumourclassification.iarc.who.int/chaptercontent/36/76 (accessed on 4 April 2024).
- Graham, R.P.; Vierkant, R.A.; Tillmans, L.S.; Wang, A.H.; Laird, P.W.; Weisenberger, D.J.; Lynch, C.F.; French, A.J.; Slager, S.L.; Raissian, Y.; et al. Tumor Budding in Colorectal Carcinoma: Confirmation of Prognostic Significance and Histologic Cutoff in a Population-based Cohort. Am. J. Surg. Pathol. 2015, 39, 1340–1346. [Google Scholar] [CrossRef]
- Lugli, A.; Kirsch, R.; Ajioka, Y.; Bosman, F.; Cathomas, G.; Dawson, H.; El Zimaity, H.; Fléjou, J.F.; Hansen, T.P.; Hartmann, A.; et al. Recommendations for reporting tumor budding in colorectal cancer based on the International Tumor Budding Consensus Conference (ITBCC) 2016. Mod. Pathol. 2017, 30, 1299–1311. [Google Scholar] [CrossRef]
- De Wever, O.; Pauwels, P.; De Craene, B.; Sabbah, M.; Emami, S.; Redeuilh, G.; Gespach, C.; Bracke, M.; Berx, G. Molecular and pathological signatures of epithelial–mesenchymal transitions at the cancer invasion front. Histochem. Cell Biol. 2008, 130, 481–494. [Google Scholar] [CrossRef]
- Thiery, J.P. Epithelial-mesenchymal transitions in tumour progression. Nat. Rev. Cancer 2002, 2, 442–454. [Google Scholar] [CrossRef]
- Tarin, D.; Thompson, E.W.; Newgreen, D.F. The fallacy of epithelial mesenchymal transition in neoplasia. Cancer Res. 2005, 65, 5996–6000; discussion 6000–6001. [Google Scholar] [CrossRef]
- Shook, D.; Keller, R. Mechanisms, mechanics and function of epithelial-mesenchymal transitions in early development. Mech. Dev. 2003, 120, 1351–1383. [Google Scholar] [CrossRef]
- Tan, T.Z.; Miow, Q.H.; Miki, Y.; Noda, T.; Mori, S.; Huang, R.Y.; Thiery, J.P. Epithelial-mesenchymal transition spectrum quantification and its efficacy in deciphering survival and drug responses of cancer patients. EMBO Mol. Med. 2014, 6, 1279–1293. [Google Scholar] [CrossRef]
- Danguy, A.; Camby, I.; Kiss, R. Galectins and cancer. Biochim. Biophys. Acta 2002, 1572, 285–293. [Google Scholar] [CrossRef]
- Elola, M.T.; Wolfenstein-Todel, C.; Troncoso, M.F.; Vasta, G.R.; Rabinovich, G.A. Galectins: Matricellular glycan-binding proteins linking cell adhesion, migration, and survival. Cell Mol. Life Sci. 2007, 64, 1679–1700. [Google Scholar] [CrossRef]
- Nangia-Makker, P.; Hogan, V.; Raz, A. Galectin-3 and cancer stemness. Glycobiology 2018, 28, 172–181. [Google Scholar] [CrossRef]
- Zeinali, M.; Adelinik, A.; Papian, S.; Khorramdelazad, H.; Abedinzadeh, M. Role of galectin-3 in the pathogenesis of bladder transitional cell carcinoma. Hum. Immunol. 2015, 76, 770–774. [Google Scholar] [CrossRef]
- Saravanan, C.; Liu, F.-T.; Gipson, I.K.; Panjwani, N. Galectin-3 promotes lamellipodia formation in epithelial cells by interacting with complex N-glycans on α3β1 integrin. J. Cell Sci. 2009, 122, 3684–3693. [Google Scholar] [CrossRef]
- Platt, D.; Raz, A. Modulation of the lung colonization of B16-F1 melanoma cells by citrus pectin. J. Natl. Cancer Inst. 1992, 84, 438–442. [Google Scholar] [CrossRef]
- Pienta, K.J.; Nailk, H.; Akhtar, A.; Yamazaki, K.; Replogle, T.S.; Lehr, J.; Donat, T.L.; Tait, L.; Hogan, V.; Raz, A. Inhibition of spontaneous metastasis in a rat prostate cancer model by oral administration of modified citrus pectin. J. Natl. Cancer Inst. 1995, 87, 348–353. [Google Scholar] [CrossRef]
- Nangia-Makker, P.; Hogan, V.; Honjo, Y.; Baccarini, S.; Tait, L.; Bresalier, R.; Raz, A. Inhibition of human cancer cell growth and metastasis in nude mice by oral intake of modified citrus pectin. J. Natl. Cancer Inst. 2002, 94, 1854–1862. [Google Scholar] [CrossRef]
- Amin, M.B.; Greene, F.L.; Edge, S.B.; Compton, C.C.; Gershenwald, J.E.; Brookland, R.K.; Meyer, L.; Gress, D.M.; Byrd, D.R.; Winchester, D.P. The Eighth Edition AJCC Cancer Staging Manual: Continuing to build a bridge from a population-based to a more “personalized” approach to cancer staging. CA Cancer J. Clin. 2017, 67, 93–99. [Google Scholar] [CrossRef]
- Raspollini, M.R.; Minervini, A.; Lapini, A.; Lanzi, F.; Rotellini, M.; Baroni, G.B.; Carini, M. A proposed score for assessing progression in pT1 high-grade urothelial carcinoma of the bladder. Appl. Immunohistochem. Mol. Morphol. 2013, 21, 218–227. [Google Scholar] [CrossRef]
- Gheldof, A.; Berx, G. Cadherins and epithelial-to-mesenchymal transition. Prog. Mol. Biol. Transl. Sci. 2013, 116, 317–336. [Google Scholar]
- Lee, J.M.; Dedhar, S.; Kalluri, R.; Thompson, E.W. The epithelial-mesenchymal transition: New insights in signaling, development, and disease. J. Cell Biol. 2006, 172, 973–981. [Google Scholar] [CrossRef]
- Kalluri, R.; Weinberg, R.A. The basics of epithelial-mesenchymal transition. J. Clin. Investig. 2009, 119, 1420–1428. [Google Scholar] [CrossRef]
- Singh, R.; Ansari, J.A.; Maurya, N.; Mandhani, A.; Agrawal, V.; Garg, M. Epithelial-To-Mesenchymal Transition and Its Correlation with Clinicopathologic Features in Patients with Urothelial Carcinoma of the Bladder. Clin. Genitourin. Cancer 2017, 15, e187–e197. [Google Scholar] [CrossRef]
- Fukumoto, K.; Kikuchi, E.; Mikami, S.; Ogihara, K.; Matsumoto, K.; Miyajima, A.; Oya, M. Tumor budding, a novel prognostic indicator for predicting stage progression in T1 bladder cancers. Cancer Sci. 2016, 107, 1338–1344. [Google Scholar] [CrossRef]
- Seker, N.S.; Tekin, E.; Özen, A.; Can, C.; Colak, E.; Acikalin, M.F. Prognostic significance of tumor budding in muscle invasive urothelial carcinomas of the urinary bladder. Ann. Diagn. Pathol. 2021, 54, 151786. [Google Scholar] [CrossRef]
- Stojanovic, M.D.; Stojanovic, B.; Radosavljevic, I.; Kovacevic, V.; Jovanovic, I.; Stojanovic, B.S.; Prodanovic, N.; Stankovic, V.; Jocic, M.; Jovanovic, M. Galectin-3’s Complex Interactions in Pancreatic Ductal Adenocarcinoma: From Cellular Signaling to Therapeutic Potential. Biomolecules 2023, 13, 1500. [Google Scholar] [CrossRef] [PubMed]
- Baumgart, E.; Cohen, M.S.; Neto, B.S.; Jacobs, M.A.; Wotkowicz, C.; Rieger-Christ, K.M.; Biolo, A.; Zeheb, R.; Loda, M.; Libertino, J.A.; et al. Identification and prognostic significance of an epithelial-mesenchymal transition expression profile in human bladder tumors. Clin. Cancer Res. 2007, 13, 1685–1694. [Google Scholar] [CrossRef]
- Erdemir, F.; Ozcan, F.; Kilicaslan, I.; Parlaktas, B.S.; Uluocak, N.; Gokce, O. The relationship between the expression of E-cadherin and tumor recurrence and progression in high-grade stage T1 bladder urothelial carcinoma. Int. Urol. Nephrol. 2007, 39, 1031–1037. [Google Scholar] [CrossRef]
- Khorrami, M.H.; Hadi, M.; Gharaati, M.R.; Izadpanahi, M.H.; Javid, A.; Zargham, M. E-cadherin expression as a prognostic factor in transitional cell carcinoma of the bladder after transurethral resection. Urol. J. 2012, 9, 581–585. [Google Scholar]
- Zhao, J.; Dong, D.; Sun, L.; Zhang, G.; Sun, L. Prognostic significance of the epithelial-to-mesenchymal transition markers e-cadherin, vimentin and twist in bladder cancer. Int. Braz. J. Urol. 2014, 40, 179–189. [Google Scholar] [CrossRef]
- Koksal, I.T.; Ates, M.; Danisman, A.; Sezer, C.; Ciftcioglu, A.; Karpuzoglu, G.; Sevuk, M. Reduced E-cadherin and α-catenin expressions have no prognostic role in bladder carcinoma. Pathol. Oncol. Res. 2006, 12, 13–19. [Google Scholar] [CrossRef]
- Paliwal, P.; Arora, D.; Mishra, A.K. Epithelial mesenchymal transition in urothelial carcinoma: Twist in the tale. Indian. J. Pathol. Microbiol. 2012, 55, 443–449. [Google Scholar] [CrossRef]
- Canesin, G.; Gonzalez-Peramato, P.; Palou, J.; Urrutia, M.; Cordón-Cardo, C.; Sánchez-Carbayo, M. Galectin-3 expression is associated with bladder cancer progression and clinical outcome. Tumour Biol. 2010, 31, 277–285. [Google Scholar] [CrossRef]
- Kramer, M.W.; Kuczyk, M.A.; Hennenlotter, J.; Serth, J.; Schilling, D.; Stenzl, A.; Merseburger, A.S. Decreased expression of galectin-3 predicts tumour recurrence in pTa bladder cancer. Oncol. Rep. 2008, 20, 1403–1408. [Google Scholar] [CrossRef]
- Langbein, S.; Brade, J.; Badawi, J.K.; Hatzinger, M.; Kaltner, H.; Lensch, M.; Specht, K.; André, S.; Brinck, U.; Alken, P.; et al. Gene-expression signature of adhesion/growth-regulatory tissue lectins (galectins) in transitional cell cancer and its prognostic relevance. Histopathology 2007, 51, 681–690. [Google Scholar] [CrossRef]
- Raspollini, M.R.; Luque, R.J.; Menendez, C.L.; Bollito, E.; Brunelli, M.; Martignoni, G.; Montironi, R.; Cheng, L.; Blanca, A.; Baroni, G.; et al. T1 high-grade bladder carcinoma outcome: The role of p16, topoisomerase-II α, survivin, and E-cadherin. Hum. Pathol. 2016, 57, 78–84. [Google Scholar] [CrossRef] [PubMed]
- Gendy, H.E.; Madkour, B.; Abdelaty, S.; Essawy, F.; Khattab, D.; Hammam, O.; Nour, H.H. Diagnostic and Prognostic Significance of Serum and Tissue Galectin 3 Expression in Patients with Carcinoma of the Bladder. Curr. Urol. 2014, 7, 185–190. [Google Scholar] [CrossRef][Green Version]
- Al-Maghrabi, J.A.; Khabaz, M.N. Clinical significance of galectin-3 expression in urinary bladder carcinoma. J. Int. Med. Res. 2023, 51, 3000605231153323. [Google Scholar] [CrossRef]
- Seguin, L.; Kato, S.; Franovic, A.; Camargo, M.F.; Lesperance, J.; Elliott, K.C.; Yebra, M.; Mielgo, A.; Lowy, A.M.; Husain, H.; et al. An integrin β3-KRAS-RalB complex drives tumour stemness and resistance to EGFR inhibition. Nat. Cell Biol. 2014, 16, 457–468. [Google Scholar] [CrossRef]
- Dennis, J.W.; Nabi, I.R.; Demetriou, M. Metabolism, cell surface organization, and disease. Cell 2009, 139, 1229–1241. [Google Scholar] [CrossRef]
- Lin, H.M.; Moon, B.K.; Yu, F.; Kim, H.R. Galectin-3 mediates genistein-induced G(2)/M arrest and inhibits apoptosis. Carcinogenesis 2000, 21, 1941–1945. [Google Scholar] [CrossRef]
- Yoshii, T.; Fukumori, T.; Honjo, Y.; Inohara, H.; Kim, H.-R.C.; Raz, A. Galectin-3 phosphorylation is required for its anti-apoptotic function and cell cycle arrest. J. Biol. Chem. 2002, 277, 6852–6857. [Google Scholar] [CrossRef]
- Choi, Y.-S.; Kim, M.J.; Choi, E.A.; Kim, S.; Lee, E.J.; Park, M.J.; Kim, M.-J.; Kim, Y.W.; Ahn, H.-S.; Jung, J.Y.; et al. Antibody-mediated blockade for galectin-3 binding protein in tumor secretome abrogates PDAC metastasis. Proc. Natl. Acad. Sci. USA 2022, 119, e2119048119. [Google Scholar] [CrossRef]




| Staining Intensity | Score | |
|---|---|---|
| E-cadherin | Strong membranous staining | 0 | 
| Weak membranous staining or cytoplasmic staining | 1 | |
| Loss of staining | 2 | |
| Vimentin and galectin-3 | No staining | 0 | 
| Weak cytoplasmic staining | 1 | |
| Strong cytoplasmic staining | 2 | 
| Staining Extensity | Score | |
|---|---|---|
| E-cadherin | No loss of staining in invasive tumor cells | 0 | 
| Loss of staining in 1–10% of invasive tumor cells | 1 | |
| Loss of staining in 11–49% of invasive tumor cells | 2 | |
| Loss of staining in more than 50% of invasive tumor cells | 3 | |
| Vimentin and galectin-3 | No staining of invasive tumor cells | 0 | 
| 1–10% of invasive tumor cells have staining | 1 | |
| 11–49% of invasive tumor cells have staining | 2 | |
| More than 50% of invasive tumor cells have staining | 3 | 
| T1 Low Grade (n:24) | T1 High Grade (n:105) | T2 High Grade (n:94) | p Value | |
|---|---|---|---|---|
| Gender | 0.77 | |||
| Female | 2 (8.3%) | 11 (10.5%) | 7 (7.4%) | |
| Male | 22 (91.7%) | 94 (89.5%) | 87 (92.6%) | |
| Age (mean) | 66.6 | 70.3 | 69.3 | 0.142 | 
| Divergent differentiation | <0.001 | |||
| Present | - | 12 (11.4%) | 47 (50%) | |
| Lymphovascular invasion | 0.04 | |||
| Present | - | 27 (25.7%) | 58 (61.7%) | |
| Carcinoma in situ | <0.001 | |||
| Present | - | 20 (19%) | 22 (23.4%) | |
| E-Cadherin Staining Intensity Score | Vimentin Staining Intensity Score | Galectin-3 Staining Intensity Score | |||||||
|---|---|---|---|---|---|---|---|---|---|
| 0 n (%) | 1 n (%) | 2 n (%) | 0 n (%) | 1 n (%) | 2 n (%) | 0 n (%) | 1 n (%) | 2 n (%) | |
| T1 low grade (n:24) | 19 (79) | 5 (21) | - | 24 (100) | - | - | 11 (46) | 12 (50) | 1 (4) | 
| T1 high grade (n:105) | 65 (62) | 27 (26) | 13 (12) | 87 (83) | 8 (7) | 10 (10) | 34 (32) | 38 (37) | 33 (31) | 
| T2 high grade (n:94) | 12 (13) | 67 (71) | 15 (16) | 67 (71) | 13 (14) | 14 (15) | 51 (54) | 33 (35) | 10 (11) | 
| p value | <0.001 | 0.023 | 0.012 | ||||||
| E-Cadherin Staining Extensity Score | Vimentin Staining Extensity Score | Galectin-3 Staining Extensity Score | ||||||||||
|---|---|---|---|---|---|---|---|---|---|---|---|---|
| 0 n (%) | 1 n (%) | 2 n (%) | 3 n (%) | 0 n (%) | 1 n (%) | 2 n (%) | 3 n (%) | 0 n (%) | 1 n (%) | 2 n (%) | 3 n (%) | |
| T1 low grade (n:24) | 19 (79) | 4 (17) | 1 (4) | - | 24 (100) | - | - | - | 11 (46) | 9 (37) | 3 (13) | 1 (4) | 
| T1 high grade (n:105) | 65 (62) | 11 (10) | 26 (25) | 3 (3) | 87 (83) | 11 (10) | 7 (7) | - | 34 (32) | 22 (21) | 29 (28) | 20 (19) | 
| T2 high grade (n:94) | 12 (13) | 9 (10) | 66 (70) | 7 (7) | 67 (71) | 9 (10) | 14 (15) | 4 (4) | 67 (71) | 9 (10) | 14 (15) | 4 (4) | 
| p value | <0.001 | 0.13 | 0.014 | |||||||||
| Disclaimer/Publisher’s Note: The statements, opinions and data contained in all publications are solely those of the individual author(s) and contributor(s) and not of MDPI and/or the editor(s). MDPI and/or the editor(s) disclaim responsibility for any injury to people or property resulting from any ideas, methods, instructions or products referred to in the content. | 
© 2024 by the authors. Licensee MDPI, Basel, Switzerland. This article is an open access article distributed under the terms and conditions of the Creative Commons Attribution (CC BY) license (https://creativecommons.org/licenses/by/4.0/).
Share and Cite
Cin, M.; Akyıldız İğdem, A.; Bektaş, S.; Gündoğar, Ö.; Cin, S.; Komut, N.; Çetin, B. Is Immunohistochemical Galectin-3 Expression Associated with the Epithelial–Mesenchymal Transition in High- and Low-Grade Invasive Urothelial Carcinomas of the Bladder? Diagnostics 2024, 14, 2270. https://doi.org/10.3390/diagnostics14202270
Cin M, Akyıldız İğdem A, Bektaş S, Gündoğar Ö, Cin S, Komut N, Çetin B. Is Immunohistochemical Galectin-3 Expression Associated with the Epithelial–Mesenchymal Transition in High- and Low-Grade Invasive Urothelial Carcinomas of the Bladder? Diagnostics. 2024; 14(20):2270. https://doi.org/10.3390/diagnostics14202270
Chicago/Turabian StyleCin, Merve, Ayşenur Akyıldız İğdem, Sibel Bektaş, Özgecan Gündoğar, Selçuk Cin, Neslihan Komut, and Buğra Çetin. 2024. "Is Immunohistochemical Galectin-3 Expression Associated with the Epithelial–Mesenchymal Transition in High- and Low-Grade Invasive Urothelial Carcinomas of the Bladder?" Diagnostics 14, no. 20: 2270. https://doi.org/10.3390/diagnostics14202270
APA StyleCin, M., Akyıldız İğdem, A., Bektaş, S., Gündoğar, Ö., Cin, S., Komut, N., & Çetin, B. (2024). Is Immunohistochemical Galectin-3 Expression Associated with the Epithelial–Mesenchymal Transition in High- and Low-Grade Invasive Urothelial Carcinomas of the Bladder? Diagnostics, 14(20), 2270. https://doi.org/10.3390/diagnostics14202270
 
        


 
       