Challenges in Diagnosing Focal Liver Lesions Using Contrast-Enhanced Ultrasound
Abstract
1. Introduction
2. Materials and Methods
2.1. Subjects
2.2. Exclusion Criteria
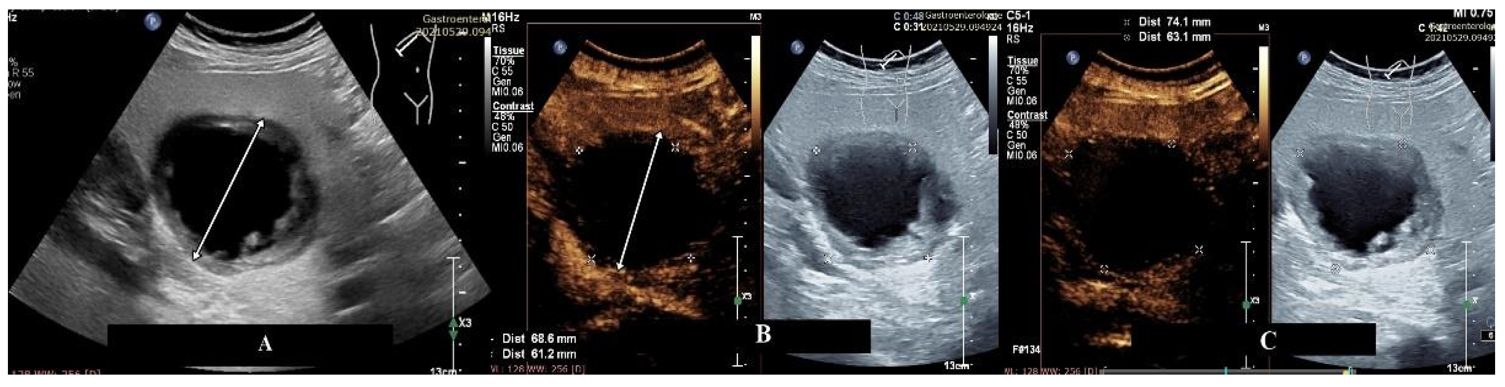
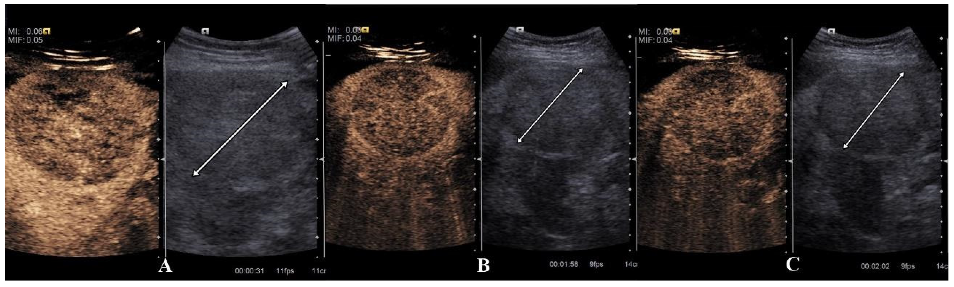
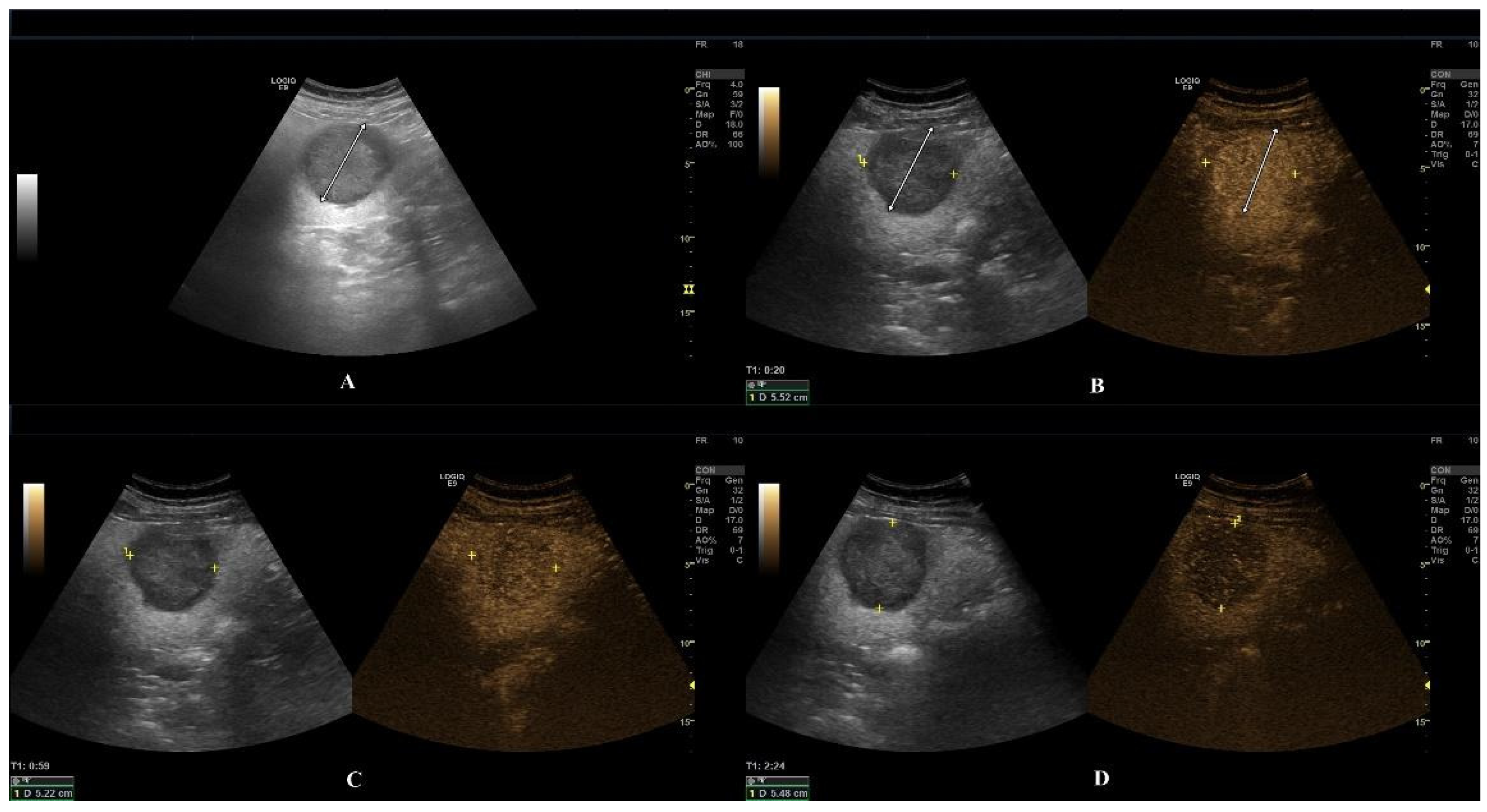
2.3. Contrast-Enhanced Ultrasound
- Correctly diagnosed by CEUS (the CEUS diagnosis matched the reference method).
- Misdiagnosed (the CEUS diagnosis did not align with the reference method).
- Inconclusive at CEUS.- C-1.
- Inconclusive for a definitive diagnosis but suggestive of a benign or malignant nature (the examiner could not determine the lesion type with confidence but was confident about its malignancy status).
- C-2.
- Fully inconclusive (the examiner was unable to reach any conclusion regarding the lesion’s type or malignancy).
 
2.4. Contrast-Enhanced Computer Tomography
2.5. Magnetic Resonance Imaging
2.6. Histology
2.7. Statistical Analysis
3. Results
- Model 1: Advanced liver fibrosis and HCC; OR for misdiagnosing HCC in the presence of advanced liver fibrosis was 0.47, with p < 0.0001, indicating that HCC is easier to diagnose when advanced liver fibrosis is present.
- Model 2: Other neoplasms + advanced liver fibrosis + HCC; for an inconclusive diagnosis of HCC; OR = 1.50, p = 0.03, meaning that the presence of other neoplasms can raise problems in HCC diagnostics.
- Model 3: Advanced liver fibrosis + metastasis; OR = 0.93, p = 0.0004, indicating that the presence of advanced liver fibrosis does not obviously alter the outcome.
- Model 4: Adenomas + advanced liver fibrosis; OR = 1.00, p < 0.0001, indicating that the presence of advanced liver fibrosis does not influence the outcome in any way.
4. Discussion
5. Conclusions
Author Contributions
Funding
Institutional Review Board Statement
Informed Consent Statement
Data Availability Statement
Conflicts of Interest
References
- Möller, K.; Safai Zadeh, E.; Görg, C.; Dong, Y.; Cui, X.; Lim, A.; de Molo, C.; Serra, C.; Algíbez, A.M.; Berzigotti, A. Focal Liver Lesions other than Hepatocellular Carcinoma in Cirrhosis: Diagnostic Challenges. J. Transl. Int. Med. 2022, 10, 308–327. [Google Scholar] [CrossRef] [PubMed]
- Terzi, E.; Iavarone, M.; Pompili, M.; Veronese, L.; Cabibbo, G.; Fraquelli, M.; Riccardi, L.; De Bonis, L.; Sangiovanni, A.; Leoni, S.; et al. Contrast ultrasound LI-RADS LR-5 identifies hepatocellular carcinoma in cirrhosis in a multicenter restropective study of 1,006 nodules. J. Hepatol. 2018, 68, 485–492. [Google Scholar] [CrossRef] [PubMed]
- Seitz, K.; Greis, C.; Schuler, A.; Bernatik, T.; Blank, W.; Dietrich, C.F.; Strobel, D. Frequency of tumor entities among liver tumors of unclear etiology initially detected by sonography in the noncirrhotic or cirrhotic livers of 1349 patients. Results of the DEGUM multicenter study. Ultraschall Med. 2011, 32, 598–603. [Google Scholar] [CrossRef]
- Beaton, C.; Cochlin, D.; Kumar, N. Contrast enhanced ultrasound should be the initial radiological investigation to characterise focal liver lesions. Eur. J. Surg. Oncol. 2010, 36, 43–46. [Google Scholar] [CrossRef]
- Westwood, M.; Joore, M.; Grutters, J.; Redekop, K.; Armstrong, N.; Lee, K.; Gloy, V.; Raatz, H.; Misso, K.; Severens, J.; et al. Contrast-enhanced ultrasound using SonoVue® (sulphur hexafluoride microbubbles) compared with contrast-enhanced computed tomography and contrast-enhanced magnetic resonance imaging for the characterisation of focal liver lesions and detection of liver metastases: A systematic review and cost-effectiveness analysis. Health Technol. Assess. 2013, 17, 1–243. [Google Scholar]
- Friedrich-Rust, M.; Klopffleisch, T.; Nierhoff, J.; Herrmann, E.; Vermehren, J.; Schneider, M.D.; Vermehren, J.; Zeuzem, S.; Bojunga, J. Contrast-Enhanced Ultrasound for the differentiation of benign and malignant focal liver lesions: A meta-analysis. Liver Int. 2013, 33, 739–755. [Google Scholar] [CrossRef]
- Sporea, I.; Badea, R.; Popescu, A.; Spârchez, Z.; Sirli, R.L.; Dănilă, M.; Săndulescu, L.; Bota, S.; Calescu, D.P.; Nedelcu, D.; et al. Contrast-enhanced ultrasound (CEUS) for the evaluation of focal liver lesions—A prospective multicenter study of its usefulness in clinical practice. Ultraschall Med. 2014, 35, 259–266. [Google Scholar] [CrossRef]
- Dietrich, C.F.; Nolsøe, C.P.; Barr, R.G.; Berzigotti, A.; Burns, P.N.; Cantisani, V.; Chammas, M.C.; Chaubal, N.; Choi, B.I.; Clevert, D.A.; et al. Guidelines and Good Clinical Practice Recommendations for Contrast-Enhanced Ultrasound (CEUS) in the Liver-Update 2020 WFUMB in Cooperation with EFSUMB, AFSUMB, AIUM, and FLAUS. Ultrasound Med. Biol. 2020, 46, 2579–2604. [Google Scholar] [CrossRef]
- Șirli, R.; Popescu, A.; Jenssen, C.; Möller, K.; Lim, A.; Dong, Y.; Nürnberg, D.; Petry, M.; Dietrich, C.F. WFUMB Review Paper. Incidental Findings in Otherwise Healthy Subjects, How to Manage: Liver. Cancers 2024, 16, 2908. [Google Scholar] [CrossRef]
- Wilson, S.R.; Burns, P.N. Microbubble-enhanced US in body imaging: What role? Radiology 2010, 257, 24–39. [Google Scholar] [CrossRef]
- Pang, E.H.T.; Chan, A.; Ho, S.G.; Harris, A.C. Contrast-Enhanced Ultrasound of the Liver: Optimizing Technique and Clinical Applications. AJR Am. J. Roentgenol. 2018, 210, 320–332. [Google Scholar] [CrossRef] [PubMed]
- Claudon, M.; Dietrich, C.F.; Choi, B.I.; Cosgrove, D.O.; Kudo, M.; Nolsøe, C.P.; Piscaglia, F.; Wilson, S.R.; Barr, R.G.; Chammas, M.C.; et al. Guidelines and good clinical practice recommendations for contrast enhanced ultrasound (CEUS) in the liver—Update 2012: A WFUMB-EFSUMB initiative in cooperation with representatives of AFSUMB, AIUM, ASUM, FLAUS and ICUS. Ultraschall Med. Eur. J. Ultrasound 2013, 34, 11–29. [Google Scholar]
- Vilana, R.; Forner, A.; Bianchi, L.; García-Criado, A.; Rimola, J.; de Lope, C.R.; Reig, M.; Ayuso, C.; Brú, C.; Bruix, J. Intrahepatic peripheral cholangiocarcinoma in cirrhosis patients may display a vascular pattern similar to hepatocellular carcinoma on contrast-enhanced ultrasound. Hepatology 2010, 51, 2020–2029. [Google Scholar] [CrossRef] [PubMed]
- Reizine, E.; Mulé, S.; Luciani, A. Focal Benign Liver Lesions and Their Diagnostic Pitfalls. Radiol. Clin. N. Am. 2022, 60, 755–773. [Google Scholar] [CrossRef] [PubMed]
- Albrecht, T.; Blomley, M.; Bolondi, L.; Claudon, M.; Correas, J.M.; Cosgrove, D.; Greiner, L.; Jäger, K.; Jong, N.; Leen, E.; et al. Guidelines for the use of contrast agents in ultrasound. January 2004. Ultraschall Med. 2004, 25, 249–256. [Google Scholar] [CrossRef]
- Claudon, M.; Cosgrove, D.; Albrecht, T.; Bolondi, L.; Bosio, M.; Calliada, F.; Correas, J.M.; Darge, K.; Dietrich, C.; D’Onofrio, M.; et al. Guidelines and good clinical practice recommendations for contrast enhanced ultrasound (CEUS)—Update 2008. Ultraschall Med. 2008, 29, 28–44. [Google Scholar] [CrossRef]
- Sidhu, P.S.; Brabrand, K.; Cantisani, V.; Correas, J.M.; Cui, X.W.; D’Onofrio, M.; Essig, M.; Freeman, S.; Gilja, O.H.; Gritzmann, N.; et al. EFSUMB Guidelines on Interventional Ultrasound (INVUS), Part II. Diagnostic Ultrasound-Guided Interventional Procedures (Short Version). Ultraschall Med. 2015, 36, 566–580. [Google Scholar] [CrossRef] [PubMed]
- Leoni, S.; Piscaglia, F.; Granito, A.; Borghi, A.; Galassi, M.; Marinelli, S.; Terzi, E.; Bolondi, L. Characterization of primary and recurrent nodules in liver cirrhosis using contrast-enhanced ultrasound: Which vascular criteria should be adopted? Ultraschall Med. 2013, 34, 280–287. [Google Scholar] [CrossRef]
- Wong, G.L.; Xu, H.X.; Xie, X.Y. Detection of focal liver lesions in cirrhotic liver using contrast-enhanced ultrasound. World J. Radiol. 2009, 1, 25–36. [Google Scholar] [CrossRef]
- de Sio, I.; Iadevaia, M.D.; Vitale, L.M.; Niosi, M.; Del Prete, A.; de Sio, C.; Romano, L.; Funaro, A.; Meucci, R.; Federico, A.; et al. Optimized contrast-enhanced ultrasonography for characterization of focal liver lesions in cirrhosis: A single-center retrospective study. United European Gastroenterol. J. 2014, 2, 279–287. [Google Scholar] [CrossRef]
- Li, R.; Zhang, X.; Ma, K.S.; Li, X.W.; Xia, F.; Zhong, H.; Tang, C.L.; Guo, Y.; Yan, X.C. Dynamic enhancing vascular pattern of intrahepatic peripheral cholangiocarcinoma on contrast-enhanced ultrasound: The influence of chronic hepatitis and cirrhosis. Abdom. Imaging 2013, 38, 112–119. [Google Scholar] [CrossRef] [PubMed]
- Schellhaas, B.; Bernatik, T.; Dirks, K.; Jesper, D.; Mauch, M.; Potthoff, A.; Zimmermann, P.; Strobel, D. Contrast-Enhanced Ultrasound Patterns for the Non-invasive Diagnosis of Hepatocellular Carcinoma: A Prospective Multicenter Study in Histologically Proven Liver Lesions in a Real-Life Setting Demonstrating the Benefit of Extended Late Phase Observation. Ultrasound Med. Biol. 2021, 47, 3170–3180. [Google Scholar] [CrossRef] [PubMed]
- Han, J.; Liu, Y.; Han, F.; Li, Q.; Yan, C.; Zheng, W.; Wang, J.; Guo, Z.; Wang, J.; Li, A.; et al. The Degree of Contrast Washout on Contrast-Enhanced Ultrasound in Distinguishing Intrahepatic Cholangiocarcinoma from Hepatocellular Carcinoma. Ultrasound Med. Biol. 2015, 41, 3088–3095. [Google Scholar] [CrossRef] [PubMed]
- Jang, H.J.; Kim, T.K.; Burns, P.N.; Wilson, S.R. CEUS: An essential component in a multimodality approach to small nodules in patients at high-risk for hepatocellular carcinoma. Eur. J. Radiol. 2015, 84, 1623–1635. [Google Scholar] [CrossRef]
- Galassi, M.; Iavarone, M.; Rossi, S.; Bota, S.; Vavassori, S.; Rosa, L.; Leoni, S.; Venerandi, L.; Marinelli, S.; Sangiovanni, A.; et al. Patterns of appearance and risk of misdiagnosis of intrahepatic cholangiocarcinoma in cirrhosis at contrast enhanced ultrasound. Liver Int. 2013, 33, 771–779. [Google Scholar] [CrossRef]
- Bartolotta, T.V.; Randazzo, A.; Bruno, E.; Taibbi, A. Focal liver lesions in cirrhosis: Role of contrast-enhanced ultrasonography. World J Radiol. 2022, 14, 70–81. [Google Scholar] [CrossRef]
- Kono, Y.; Lyshchik, A.; Cosgrove, D.; Dietrich, C.F.; Jang, H.J.; Kim, T.K.; Piscaglia, F.; Willmann, J.K.; Wilson, S.R.; Santillan, C.; et al. Contrast Enhanced Ultrasound (CEUS) Liver Imaging Reporting and Data System (LI-RADS®): The official version by the American College of Radiology (ACR). Ultraschall Med. 2017, 38, 85–86. [Google Scholar] [CrossRef]
- Schellhaas, B.; Wildner, D.; Pfeifer, L.; Goertz, R.S.; Hagel, A.; Neurath, M.F.; Strobel, D. LI-RADS-CEUS—Proposal for a Contrast-Enhanced Ultrasound Algorithm for the Diagnosis of Hepatocellular Carcinoma in High-Risk Populations. Ultraschall Med. 2016, 37, 627–634. [Google Scholar] [CrossRef]
- Ciocalteu, A.; Iordache, S.; Cazacu, S.M.; Urhut, C.M.; Sandulescu, S.M.; Ciurea, A.M.; Saftoiu, A.; Sandulescu, L.D. Role of Contrast-Enhanced Ultrasonography in Hepatocellular Carcinoma by Using LI-RADS and Ancillary Features: A Single Tertiary Centre Experience. Diagnostics 2021, 11, 2232. [Google Scholar] [CrossRef]
- Zhou, H.; Zhang, C.; Du, L.; Jiang, J.; Zhao, Q.; Sun, J.; Li, Q.; Wan, M.; Wang, X.; Hou, X.; et al. Contrast-Enhanced Ultrasound Liver Imaging Reporting and Data System in Diagnosing Hepatocellular Carcinoma: Diagnostic Performance and Interobserver Agreement. Ultraschall Med. 2022, 43, 64–71. [Google Scholar] [CrossRef]
- Ghiuchici, A.M.; Dănilă, M.; Popescu, A.; Șirli, R.; Moga, T.; Topan, M.; Bende, F.; Sporea, I. Contrast-enhanced ultrasound algorithm (ACR CEUS LI-RADSv 2017)- a valuable tool for the noninvasive diagnosis of hepatocellular carcinoma in patients with chronic liver disease. Med. Ultrason. 2021, 23, 383–389. [Google Scholar] [CrossRef] [PubMed]
- Dietrich, C.F.; Correas, J.M.; Cui, X.W.; Dong, Y.; Havre, R.F.; Jenssen, C.; Jung, E.M.; Krix, M.; Lim, A.; Lassau, N.; et al. EFSUMB Technical Review—Update 2023: Dynamic Contrast-Enhanced Ultrasound (DCE-CEUS) for the Quantification of Tumor Perfusion. Ultraschall Med. 2024, 45, 36–46. [Google Scholar] [CrossRef] [PubMed]
- Qiu, S.; Ding, J.; Wang, Y.; Zhou, H.; Zhao, L.; Zhao, L.; Zhou, Y.; Fu, Y.; Jing, X. Dynamic Contrast-Enhanced Ultrasonography Combined With LR-M Classification Criteria for Differentiating Malignant Liver Nodules at High Risk for Hepatocellular Carcinoma. Ultrasound Med. Biol. 2024, 50, 1028–1033. [Google Scholar] [CrossRef] [PubMed]
- Lu, F.; Samuel, A.; Merrill, C.; Medellin, A.; Burrowes, D.P.; Wilson, S.R. Synoptic Reporting of Focal Liver Masses in at Risk Patients: Algorithmic Diagnosis and CEUS LI-RADS. Ultrasound Med. 2024, 43, 563–571. [Google Scholar] [CrossRef] [PubMed]
- Grgurevic, I.; Tjesic Drinkovic, I.; Pinzani, M. Multiparametric ultrasound in liver diseases: An overview for the practising clinician. Postgrad. Med. J. 2019, 95, 425–432. [Google Scholar] [CrossRef]
- Moga, T.V.; David, C.; Popescu, A.; Lupusoru, R.; Heredea, D.; Ghiuchici, A.M.; Foncea, C.; Burdan, A.; Sirli, R.; Danilă, M.; et al. Multiparametric Ultrasound Approach Using a Tree-Based Decision Classifier for Inconclusive Focal Liver Lesions Evaluated by Contrast Enhanced Ultrasound. J. Pers. Med. 2021, 11, 1388. [Google Scholar] [CrossRef]
- Bedossa, P.; Carrat, F. Liver biopsy: The best, not the gold standard. J. Hepatol. 2009, 50, 1–3. [Google Scholar] [CrossRef]
- Ainora, M.E.; Cerrito, L.; Liguori, A.; Mignini, I.; De Luca, A.; Galasso, L.; Garcovich, M.; Riccardi, L.; Ponziani, F.; Santopaolo, F.; et al. Multiparametric Dynamic Ultrasound Approach for Differential Diagnosis of Primary Liver Tumors. Int. J. Mol. Sci. 2023, 24, 8548. [Google Scholar] [CrossRef]
- Peltec, A.; Sporea, I. Multiparametric ultrasound as a new concept of assessment of liver tissue damage. World J. Gastroenterol. 2024, 30, 1663–1669. [Google Scholar] [CrossRef]





| Variable | Conclusive Group | Misdiagnosed/ Inconclusive Group | p-Value | 
|---|---|---|---|
| Age (years) | 59.1 ± 13.0 | 60.0 ± 12.3 | 0.29 | 
| Gender Female Male | 280 (44.0%) 349 (56.0%) | 127 (36.2%) 223 (63.8%) | 0.01 | 
| Known malignancy | 103 (16.3%) | 34 (0.9%) | <0.0001 | 
| Lesion dimension (cm) | 4.5 ± 3.0 | 4.3 ± 3.2 | 0.32 | 
| Lesion characteristics Malignant Benign | 369 (58.6%) 260 (41.4%) | 142 (40.5%) 208 (59.5%) | <0.0001 <0.0001 | 
| CEUS diagnostic HCC Abscess Metastasis Adenoma FNH Fatty free aria Adenoma Hepatic cyst Cholangiocarcinoma Other FLLs | 177 (28.1%) 40 (6.3%) 187 (29.7%) 10 (1.5%) 41 (6.5%) 18 (2.8%) 10 (1.5%) 17 (2.7%) 5 (0.7%) 124 (20.2%) | 123 (35.4%) 14 (4.0%) 61 (17.4%) 14 (4.0%) 18 (5.0%) 4 (1.0%) 24 (6.8%) 4 (1.0%) 14 (4.0%) 78 (21.4%) | 0.01 0.12 <0.0001 0.01 0.34 0.06 <0.0001 0.7 0.0003 0.65 | 
| Chronic liver disease | 185 (29.4%) | 150 (42.8%) | <0.0001 | 
| Variable | Std Error | OR | 95% CI | p-Value | 
|---|---|---|---|---|
| Abscess | 0.31 | 0.61 | 0.32–1.14 | 0.12 | 
| Adenoma | 0.38 | 4.55 | 2.15–9.64 | 0.0001 | 
| Hepatic cyst | 0.55 | 0.41 | 0.13–1.24 | 0.11 | 
| Other neoplasms | 0.21 | 1.58 | 0.99–2.10 | 0.004 | 
| Fatty free | 0.55 | 0.39 | 0.13–1.16 | 0.09 | 
| FNH | 0.30 | 0.64 | 0.35–1.17 | 0.15 | 
| HCC | 0.14 | 0.93 | 0.69–1.25 | 0.02 | 
| Hemangioma | 0.20 | 0.56 | 0.37–0.84 | 0.005 | 
| Metastasis | 0.16 | 0.47 | 0.34–0.66 | <0.0001 | 
| Cholangiocarcinoma | 0.49 | 5.20 | 1.85–14.56 | 0.002 | 
| Female gender | 0.13 | 0.70 | 0.53–0.92 | 0.01 | 
| Age over 60 years | 0.005 | 1.00 | 0.99–1.01 | 0.16 | 
| Advanced liver fibrosis | 0.14 | 1.80 | 1.36–2.39 | <0.0001 | 
| Lesion dimension | 0.13 | 0.96 | 0.73–1.26 | 0.78 | 
| Variable | Std Error | OR | 95% CI | p-Value | 
|---|---|---|---|---|
| Adenoma | 0.38 | 3.90 | 1.81–8.40 | 0.0005 | 
| Other neoplasms | 0.14 | 1.4 | 1.01–2.10 | 0.04 | 
| Hemangioma | 0.22 | 0.60 | 0.38–0.93 | 0.06 | 
| Metastasis | 0.23 | 0.45 | 0.28–0.72 | 0.08 | 
| Cholangiocarcinoma | 0.23 | 5.43 | 1.93–14.6 | 0.08 | 
| Female gender | 0.16 | 0.65 | 0.46–0.90 | 0.06 | 
| Advanced liver fibrosis | 0.18 | 1.60 | 1.60–2.32 | <0.0001 | 
| Abscess | 0.36 | 0.72 | 0.35–1.46 | 0.36 | 
| Hepatic cyst | 0.62 | 0.49 | 0.14–1.69 | 0.26 | 
| Fatty free | 0.62 | 0.46 | 0.13–1.59 | 0.22 | 
| FNH | 0.30 | 0.64 | 0.35–1.17 | 0.15 | 
| HCC | 0.16 | 1.61 | 1.17–2.22 | 0.03 | 
| Variable | Std Error | OR | 95% CI | p-Value | 
|---|---|---|---|---|
| Adenoma | 0.40 | 11.30 | 5.11–25.00 | <0.0001 | 
| Other neoplasms | 0.23 | 3.02 | 1.01–3.78 | <0.0001 | 
| Hemangioma | 0.36 | 0.38 | 0.19–0.79 | 0.07 | 
| Metastasis | 0.23 | 0.69 | 0.44–1.09 | 0.11 | 
| Cholangiocarcinoma | 0.73 | 3.12 | 0.73–13.2 | 0.12 | 
| Female gender | 0.19 | 0.93 | 0.63–1.38 | 0.74 | 
| Advanced liver fibrosis | 0.22 | 1.16 | 0.75–1.80 | 0.48 | 
| Abscess | 0.53 | 0.49 | 0.17–1.40 | 0.18 | 
| Hepatic cyst | 1.03 | 0.29 | 0.03–2.23 | 0.23 | 
| Fatty free | 0.09 | 0.27 | 0.03–2.10 | 0.21 | 
| FNH | 0.39 | 0.99 | 0.45–2.18 | 0.99 | 
| HCC | 0.34 | 0.22 | 0.11–0.44 | 0.0001 | 
| Variable | Std Error | OR | 95% CI | p-Value | 
|---|---|---|---|---|
| Adenoma | 0.38 | 3.90 | 1.81–8.40 | 0.0005 | 
| Other neoplasms | 0.14 | 1.4 | 1.01–2.10 | 0.04 | 
| Hemangioma | 0.22 | 0.60 | 0.38–0.93 | 0.06 | 
| Metastasis | 0.18 | 0.54 | 0.37–0.78 | 0.10 | 
| Cholangiocarcinoma | 1.56 | 4.79 | 1.68–13.65 | 0.33 | 
| Female gender | 0.14 | 0.77 | 0.58–1.02 | 0.07 | 
| Advanced liver fibrosis | 0.16 | 1.39 | 1.00–1.93 | 0.04 | 
| HCC | 0.23 | 0.96 | 0.87–1.01 | 0.001 | 
| Disclaimer/Publisher’s Note: The statements, opinions and data contained in all publications are solely those of the individual author(s) and contributor(s) and not of MDPI and/or the editor(s). MDPI and/or the editor(s) disclaim responsibility for any injury to people or property resulting from any ideas, methods, instructions or products referred to in the content. | 
© 2024 by the authors. Licensee MDPI, Basel, Switzerland. This article is an open access article distributed under the terms and conditions of the Creative Commons Attribution (CC BY) license (https://creativecommons.org/licenses/by/4.0/).
Share and Cite
Moga, T.V.; Lupusoru, R.; Danila, M.; Ghiuchici, A.M.; Popescu, A.; Miutescu, B.; Ratiu, I.; Burciu, C.; Bizerea-Moga, T.; Voron, A.; et al. Challenges in Diagnosing Focal Liver Lesions Using Contrast-Enhanced Ultrasound. Diagnostics 2025, 15, 46. https://doi.org/10.3390/diagnostics15010046
Moga TV, Lupusoru R, Danila M, Ghiuchici AM, Popescu A, Miutescu B, Ratiu I, Burciu C, Bizerea-Moga T, Voron A, et al. Challenges in Diagnosing Focal Liver Lesions Using Contrast-Enhanced Ultrasound. Diagnostics. 2025; 15(1):46. https://doi.org/10.3390/diagnostics15010046
Chicago/Turabian StyleMoga, Tudor Voicu, Raluca Lupusoru, Mirela Danila, Ana Maria Ghiuchici, Alina Popescu, Bogdan Miutescu, Iulia Ratiu, Calin Burciu, Teofana Bizerea-Moga, Anca Voron, and et al. 2025. "Challenges in Diagnosing Focal Liver Lesions Using Contrast-Enhanced Ultrasound" Diagnostics 15, no. 1: 46. https://doi.org/10.3390/diagnostics15010046
APA StyleMoga, T. V., Lupusoru, R., Danila, M., Ghiuchici, A. M., Popescu, A., Miutescu, B., Ratiu, I., Burciu, C., Bizerea-Moga, T., Voron, A., Sporea, I., & Sirli, R. (2025). Challenges in Diagnosing Focal Liver Lesions Using Contrast-Enhanced Ultrasound. Diagnostics, 15(1), 46. https://doi.org/10.3390/diagnostics15010046
 
        




 
       