Ocular Vascular Changes in Mild Alzheimer’s Disease Patients: Foveal Avascular Zone, Choroidal Thickness, and ONH Hemoglobin Analysis
Abstract
1. Introduction
2. Materials and Methods
2.1. Subjects
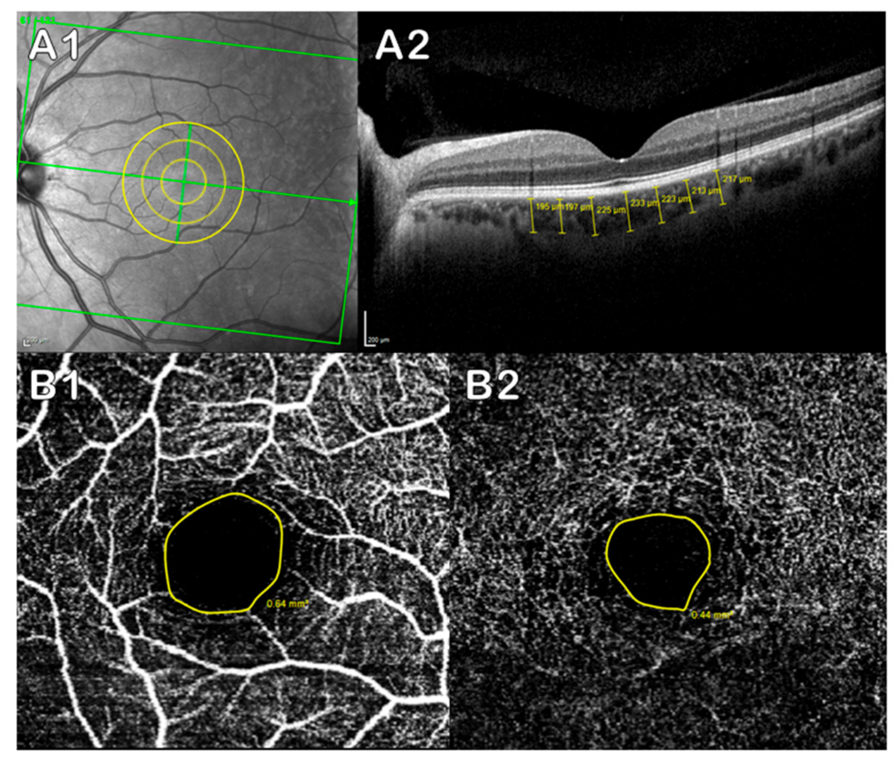
2.2. Optical Coherence Tomography (OCT) for Choroidal Thickness Analysis
2.3. Optic Nerve Head (ONH) Colorimetric Assessment
2.4. Statistical Analysis
2.5. Data Availability
3. Results
3.1. Choroidal Thickness
3.2. Foveal Avascular Zone (FAZ)
3.3. ONH Colorimetric Assessment
4. Discussion
5. Conclusions
Author Contributions
Funding
Conflicts of Interest
References
- de la Torre, J.C. Alzheimer disease as a vascular disorder: Nosological evidence. Stroke 2002, 33, 1152–1162. [Google Scholar] [CrossRef]
- Bell, R.D.; Zlokovic, B.V. Neurovascular mechanisms and blood–brain barrier disorder in Alzheimer’s disease. Acta Neuropathol. 2009, 118, 103–113. [Google Scholar] [CrossRef] [PubMed]
- Attems, J.; Lauda, F.; Jellinger, K.A. Unexpectedly low prevalence of intracerebral hemorrhages in sporadic cerebral amyloid angiopathy: An autopsy study. J. Neurol. 2008, 255, 70–76. [Google Scholar] [CrossRef] [PubMed]
- Masuzzo, A.; Dinet, V.; Cavanagh, C.; Mascarelli, F.; Krantic, S. Amyloidosis in retinal neurodegenerative diseases. Front. Neurol. 2016, 7, 127. [Google Scholar] [CrossRef] [PubMed]
- Yamada, M. Cerebral amyloid angiopathy: Emerging concepts. J. Stroke 2015, 17, 17. [Google Scholar] [CrossRef] [PubMed]
- Vinters, H.V. Emerging Concepts in Alzheimer’s Disease. Annu. Rev. Pathol. Mech. Dis. 2015, 10, 291–319. [Google Scholar] [CrossRef]
- Lai, A.Y.; Dorr, A.; Thomason, L.A.M.; Koletar, M.M.; Sled, J.G.; Stefanovic, B.; McLaurin, J.A. Venular degeneration leads to vascular dysfunction in a transgenic model of Alzheimer’s disease. Brain 2015, 138, 1046–1058. [Google Scholar] [CrossRef]
- Thal, D.R.; Griffin, W.S.T.; de Vos, R.A.I.; Ghebremedhin, E. Cerebral amyloid angiopathy and its relationship to Alzheimer’s disease. Acta Neuropathol. 2008, 115, 599–609. [Google Scholar] [CrossRef]
- Zlokovic, B.V. Neurovascular pathways to neurodegeneration in Alzheimer’s disease and other disorders. Nat. Rev. 2011, 12, 723–738. [Google Scholar] [CrossRef]
- Bulut, M.; Kurtulus, F.; Gozkaya, O.; Erol, M.K.; Cengiz, A.; Akidan, M.; Yaman, A. Evaluation of optical coherence tomography angiographic findings in Alzheimer’s type dementia. Br. J. Ophthalmol. 2018, 102, 233–237. [Google Scholar] [CrossRef]
- Patton, N.; Aslam, T.; MacGillivray, T.; Pattie, A.; Deary, I.J.; Dhillon, B. Retinal vascular image analysis as a potential screening tool for cerebrovascular disease: A rationale based on homology between cerebral and retinal microvasculatures. J. Anat. 2005, 206, 319–348. [Google Scholar] [CrossRef] [PubMed]
- Shariflou, S.; Georgevsky, D.; Mansour, H.; Rezaeian, M.; Hosseini, N.; Gani, F.; Gupta, V.; Braidy, N.; Golzan, S.M. Diagnostic and prognostic potential of retinal biomarkers in early on-set Alzheimer’s Disease. Curr. Alzheimer Res. 2017, 14, 1000–1007. [Google Scholar] [CrossRef] [PubMed]
- Berisha, F.; Feke, G.T.; Trempe, C.L.; McMeel, J.W.; Schepens, C.L. Retinal abnormalities in early Alzheimer’s Disease. Investig. Ophthalmol. Vis. Sci. 2007, 48, 2285. [Google Scholar] [CrossRef] [PubMed]
- Frost, S.; Kanagasingam, Y.; Sohrabi, H.; Vignarajan, J.; Bourgeat, P.; Salvado, O.; Villemagne, V.; Rowe, C.C.; Macaulay, S.L.; Szoeke, C.; et al. Retinal vascular biomarkers for early detection and monitoring of Alzheimer’s disease. Transl. Psychiatry 2013, 3, e233. [Google Scholar] [CrossRef]
- Williams, M.A.; McGowan, A.J.; Cardwell, C.R.; Cheung, C.Y.; Craig, D.; Passmore, P.; Silvestri, G.; Maxwell, A.P.; McKay, G.J. Retinal microvascular network attenuation in Alzheimer’s disease. Alzheimer Dement. Diagn. Assess. Dis. Monit. 2015, 1, 229–235. [Google Scholar] [CrossRef]
- Ramírez, J.M.; Rojas, B.; Gallego, B.I.; García-Martín, E.S.; Triviño, A.; Ramírez, A.I.; Salazar, J.J.; de Hoz, R. Glia and blood retinal barrier: Effects of ocular hypertension. In Cardiovascular Disease II; iConcept Press Ltd.: Hong Kong, China, 2014; pp. 123–162. [Google Scholar]
- Cogan, D.G.; Kuwabara, T. The Mural Cell in Perspective. Arch. Ophthalmol. 1967, 78, 133–139. [Google Scholar] [CrossRef]
- Bron, A.J.; Tripathi, R.C.; Tripathi, B.J. The choroid and uveal vessels. In Wolff ’s Anatomy of the Eye and the Orbit; Chapman & Hall Medical: London, UK, 1997; p. 752. [Google Scholar]
- Bill, A. Blood circulation and fluid dynamics in the eye. Physiol. Rev. 1975, 55, 383–417. [Google Scholar] [CrossRef]
- Chan, V.T.T.; Sun, Z.; Tang, S.; Chen, L.J.; Wong, A.; Tham, C.C.; Wong, T.Y.; Chen, C.; Ikram, M.K.; Whitson, H.E.; et al. Spectral-Domain OCT measurements in Alzheimer’s Disease: A systematic review and meta-analysis. Ophthalmology 2019, 126, 497–510. [Google Scholar] [CrossRef]
- DeBuc, D.C.; Gaca, M.-W.; Grzybowski, A.; Kanclerz, P. Identification of retinal biomarkers in Alzheimer’s Disease using Optical Coherence Tomography: Recent insights, challenges, and opportunities. J. Clin. Med. 2019, 8, 996. [Google Scholar] [CrossRef]
- Jáñez, L.-E.; Jáñez, L.-G.; Salobrar, E.-G.; Santos, A.-M.; de Hoz, R.; Yubero, R.; Gil, P.; Ramírez, J.M. Spatial analysis of thickness changes in ten retinal layers of Alzheimer’s disease patients based on optical coherence tomography. Sci. Rep. 2019, 9, 1–14. [Google Scholar] [CrossRef]
- Mihailovic, N.; Brand, C.; Lahme, L.; Schubert, F.; Bormann, E.; Eter, N.; Alnawaiseh, M. Repeatability, reproducibility and agreement of foveal avascular zone measurements using three different optical coherence tomography angiography devices. PLoS ONE 2018, 13. [Google Scholar] [CrossRef] [PubMed]
- de la Rosa, M.G.; Gonzalez-Hernandez, M.; Sigut, J.; Alayon, S.; Radcliffe, N.; Mendez-Hernandez, C.; García-Feijoo, J.; Fuertes-Lazaro, I.; Perez-Olivan, S.; Ferreras, A. Measuring hemoglobin levels in the optic nerve head: Comparisons with other structural and functional parameters of glaucoma. Investig. Ophthalmol. Vis. Sci. 2013, 54, 482–489. [Google Scholar] [CrossRef] [PubMed]
- Mendez-Hernandez, C.; Garcia-Feijoo, J.; Arribas-Pardo, P.; Saenz-Frances, F.; Rodriguez-Uña, I.; Fernandez-Perez, C.; de la Rosa, M.G. Reproducibility of optic nerve head hemoglobin measures. J. Glaucoma 2016, 25, 348–354. [Google Scholar] [CrossRef] [PubMed]
- Mendez-Hernandez, C.; Rodriguez-Uña, I.; Gonzalez-de-la Rosa, M.; Arribas-Pardo, P.; Garcia-Feijoo, J. Glaucoma diagnostic capacity of optic nerve head haemoglobin measures compared with spectral domain OCT and HRT III confocal tomography. Acta Ophthalmol. 2016, 94, 697–704. [Google Scholar] [CrossRef]
- Nickla, D.L.; Wallman, J. The multifunctional choroid. Prog. Retin. Eye Res. 2010, 29, 144–168. [Google Scholar] [CrossRef]
- Bayhan, H.A.; Aslan Bayhan, S.; Celikbilek, A.; Tanık, N.; Gürdal, C.; Tanik, N.; Gürdal, C. Evaluation of the chorioretinal thickness changes in Alzheimer’s disease using spectral-domain optical coherence tomography. Clin. Exp. Ophthalmol. 2014, 43, 145–151. [Google Scholar] [CrossRef]
- Gharbiya, M.; Trebbastoni, A.; Parisi, F.; Manganiello, S.; Cruciani, F.; D’Antonio, F.; De Vico, U.; Imbriano, L.; Campanelli, A.; De Lena, C. Choroidal thinning as a new finding in Alzheimer’s Disease: Evidence from enhanced depth imaging spectral domain Optical Coherence Tomography. J. Alzheimer Dis. 2014, 40, 907–917. [Google Scholar] [CrossRef]
- Cunha, J.P.; Proença, R.; Dias-Santos, A.; Melancia, D.; Almeida, R.; Águas, H.; Santos, B.O.; Alves, M.; Ferreira, J.; Papoila, A.L.; et al. Choroidal thinning: Alzheimer’s disease and aging. Alzheimer Dement. Diagn. Assess. Dis. Monit. 2017, 8, 11–17. [Google Scholar] [CrossRef]
- Trebbastoni, A.; Marcelli, M.; Mallone, F.; D’Antonio, F.; Imbriano, L.; Campanelli, A.; de Lena, C.; Gharbiya, M. Attenuation of choroidal thickness in patients with Alzheimer Disease: Evidence from an Italian Prospective Study. Alzheimer Dis. Assoc. Disord. 2016, 31, 128–134. [Google Scholar] [CrossRef]
- Grewal, D.S.; Polascik, B.W.; Hoffmeyer, G.C.; Fekrat, S. Assessment of differences in retinal microvasculature using OCT angiography in Alzheimer’s disease: A twin discordance report. Ophthalmic Surg. Lasers Imaging Retin. 2018, 49, 440–444. [Google Scholar] [CrossRef]
- Bulut, M.; Yaman, A.; Erol, M.K.; Kurtulus, F.; Toslak, D.; Dogan, B.; Turgut Coban, D.; Kaya Basar, E. Choroidal thickness in patients with mild cognitive impairment and Alzheimer’s type dementia. J. Ophthalmol. 2016, 2016, 7291257. [Google Scholar] [CrossRef] [PubMed]
- Querques, G.; Borrelli, E.; Sacconi, R.; De Vitis, L.; Leocani, L.; Santangelo, R.; Magnani, G.; Comi, G.; Bandello, F. Functional and morphological changes of the retinal vessels in Alzheimer’s disease and mild cognitive impairment. Sci. Rep. 2019, 9. [Google Scholar] [CrossRef] [PubMed]
- Haan, J.D.; van de Kreeke, J.A.; van Berckel, B.N.; Barkhof, F.; Teunissen, C.E.; Scheltens, P.; Verbraak, F.D.; Bouwman, F.H. Is retinal vasculature a biomarker in amyloid proven Alzheimer’s disease? Alzheimer Dement. 2019, 11, 383–391. [Google Scholar] [CrossRef] [PubMed]
- Tsai, Y.; Lu, B.; Ljubimov, A.V.; Girman, S.; Ross-Cisneros, F.N.; Sadun, A.A.; Svendsen, C.N.; Cohen, R.M.; Wang, S. Ocular changes in TgF344-AD rat model of Alzheimer’s Disease. Investig. Ophthalmol. Vis. Sci. 2014, 55, 523–534. [Google Scholar] [CrossRef] [PubMed]
- Kam, J.H.; Lenassi, E.; Jeffery, G. Viewing ageing eyes: Diverse sites of amyloid beta accumulation in the ageing mouse retina and the up-regulation of macrophages. PLoS ONE 2010, 5, e13127. [Google Scholar] [CrossRef]
- Ning, A.; Cui, J.; To, E.; Ashe, K.; Matsubara, J. Amyloid-β deposits lead to retinal degeneration in a mouse model of Alzheimer Disease. Investig. Ophthalmol. Vis. Sci. 2008, 49, 5136–5143. [Google Scholar] [CrossRef]
- Bailey, T.L.; Rivara, C.B.; Rocher, A.B.; Hof, P.R. The nature and effects of cortical microvascular pathology in aging and Alzheimer’s disease. Neurol. Res. 2004, 26, 573–578. [Google Scholar] [CrossRef]
- Marchesi, V.T. Alzheimer’s dementia begins as a disease of small blood vessels, damaged by oxidative-induced inflammation and dysregulated amyloid metabolism: Implications for early detection and therapy. FASEB J. 2011, 25, 5–13. [Google Scholar] [CrossRef]
- Miao, J.; Xu, F.; Davis, J.; Otte-Höller, I.; Verbeek, M.M.; Van Nostrand, W.E. Cerebral microvascular amyloid β protein deposition induces vascular degeneration and neuroinflammation in transgenic mice expressing human vasculotropic mutant amyloid β precursor protein. Am. J. Pathol. 2005, 167, 505–515. [Google Scholar] [CrossRef]
- Cheung, C.Y.L.; Ong, Y.-T.T.; Ikram, M.K.; Chen, C.; Wong, T.Y. Retinal microvasculature in Alzheimer’s disease. J. Alzheimer Dis. 2014, 42, S339–S352. [Google Scholar] [CrossRef]
- Golzan, S.M.; Goozee, K.; Georgevsky, D.; Avolio, A.; Chatterjee, P.; Shen, K.; Gupta, V.; Chung, R.; Savage, G.; Orr, C.F.; et al. Retinal vascular and structural changes are associated with amyloid burden in the elderly: Ophthalmic biomarkers of preclinical Alzheimer’s disease. Alzheimer Res. Ther. 2017, 9, 13. [Google Scholar] [CrossRef] [PubMed]
- Jiang, H.; Wei, Y.; Shi, Y.; Wright, C.B.; Sun, X.; Gregori, G.; Zheng, F.; Vanner, E.A.; Lam, B.L.; Rundek, T.; et al. Altered macular microvasculature in mild cognitive impairment and Alzheimer Disease. J. Neuro-Ophthalmol. 2018, 38, 292–298. [Google Scholar] [CrossRef] [PubMed]
- Lahme, L.; Esser, E.L.; Mihailovic, N.; Schubert, F.; Lauermann, J.; Johnen, A.; Eter, N.; Duning, T.; Alnawaiseh, M. Evaluation of ocular perfusion in Alzheimer’s Disease using Optical Coherence Tomography Angiography. J. Alzheimer Dis. 2018, 66, 1745–1752. [Google Scholar] [CrossRef] [PubMed]
- O’bryhim, B.; Apte, R.; Kung, N.; Coble, D.; Van Starven, G.P. Association of preclinical Alzheimer disease with optical coherence tomographic angiography findings. JAMA Ophthalmol. 2018, 136, 1242–1248. [Google Scholar] [CrossRef] [PubMed]
- Van De Kreeke, J.A.; Nguyen, H.T.; Konijnenberg, E.; Tomassen, J.; Den Braber, A.; Ten Kate, M.; Yaqub, M.; Van Berckel, B.; Lammertsma, A.A.; Boomsma, D.I.; et al. Optical coherence tomography angiography in preclinical Alzheimer’s disease. Br. J. Ophthalmol. 2019, 104, 157–161. [Google Scholar] [CrossRef]
- Cioffi, G.; Granstam, E. Circulación ocular. In Adler Fisiología Del Ojo; Kaufman, P.L., Alm, A., Eds.; Elservier: Madrid, Spain, 2004; pp. 747–786. [Google Scholar]
- Ramírez, J.M.; Ramírez, A.I.; Salazar, J.J.; de Hoz, R.; Rojas, B.; Triviño, A. Anatomofisiología de la úvea posterior: Coroides. In Degeneracion Macular Asociada A La Edad; Mones, J., Gómez-Ulla, F., Eds.; Probus Science: Barcelona, Spain, 2005; pp. 1–28. [Google Scholar]
- Delaey, C.; Van de Voorde, J. Regulatory mechanisms in the retinal and choroidal circulation. Ophthalmic Res. 2000, 32, 249–256. [Google Scholar] [CrossRef]
- Yu, D.-Y.; Alder, V.A.; Cringle, S.J.; Brown, M.J. Choroidal blood flow measured in the dog eye in vivo and in vitro by local hydrogen clearance polarography: Validation of a technique and response to raised. Exp. Eye Res. 1988, 46, 289–303. [Google Scholar] [CrossRef]
- Alm, A.; Bill, A. Ocular and optic nerve blood flow at normal and increased intraocular pressures in monkeys (Macaca irus): A study with radioactively labelled microspheres including. Exp. Eye Res. 1973, 15, 15–29. [Google Scholar] [CrossRef]
- Alm, A.; Bill, A. Blood flow and oxygen extraction in the cat uvea at normal and high intraocular pressures. Acta Physiol. Scand. 1970, 80, 19–28. [Google Scholar] [CrossRef]
- Bill, A. Effects of acetazolamide and carotid occlusion on the ocular blood flow in unanesthetized rabbits. Investig. Ophthalmol. Vis. Sci. 1974, 13, 954–958. [Google Scholar]
- Friedman, E. Choroidal blood flow: Pressure-flow relationships. Arch. Ophthalmol. 1970, 83, 95–99. [Google Scholar] [CrossRef] [PubMed]
- Geijer, C.; Bill, A. Effects of raised intraocular pressure on retinal, prelaminar, laminar, and retrolaminar optic nerve blood flow in monkeys. Investig. Ophthalmol. Vis. Sci. 1979, 18, 1030–1042. [Google Scholar]
- Takats, I.; Leiszter, F. Relationship between blood flow velocity in the choroid and intraocular pressure in rabbits. Acta Ophthalmol. 1979, 57, 48–54. [Google Scholar] [CrossRef] [PubMed]
- Triviño, A.; de Hoz, R.; Salazar, J.J.; Ramírez, A.I.; Rojas, B.; Ramírez, J.M. Distribution and organization of the nerve fiber and ganglion cells of the human choroid. Anat. Embryol. Berl. 2002, 205, 417–430. [Google Scholar] [CrossRef] [PubMed]
- Triviño, A.; de Hoz, R.; Rojas, B.; Salazar, J.J.; Ramirez, A.I.; Ramirez, J.M. NPY and TH innervation in human choroidal whole-mounts. Histol. Histopathol. 2005, 20, 393–402. [Google Scholar] [CrossRef]
- Schmidt, R.E.; Beaudet, L.N.; Plurad, S.B.; Dorsey, D.A. Axonal cytoskeletal pathology in aged and diabetic human sympathetic autonomic ganglia. Brain Res. 1997, 769, 375–383. [Google Scholar] [CrossRef]
- Kaarniranta, K.; Salminen, A.; Haapasalo, A.; Soininen, H.; Hiltunen, M. Age-related macular degeneration (AMD): Alzheimer’s disease in the eye? J. Alzheimer Dis. 2011, 24, 615–631. [Google Scholar] [CrossRef]
- Diomedi, M.; Misaggi, G. Vascular contribution to Alzheimer disease: Predictors of rapid progression. CNS Neurol. Disord. Drug Targets 2013, 12, 532–537. [Google Scholar] [CrossRef]
- Wong, T.Y.; Klein, R.; Klein, B.E.K.; Tielsch, J.M.; Hubbard, L.; Nieto, F.J. Retinal microvascular abnormalities and their relationship with hypertension, cardiovascular disease, and mortality. Surv. Ophthalmol. 2001, 46, 59–80. [Google Scholar] [CrossRef]
- Crittin, M.; Riva, C. Functional imaging of the human papilla and peripapillary region based on flicker-induced reflectance changes. Neurosci. Lett. 2004, 360, 141–144. [Google Scholar] [CrossRef]
- Pena-Betancor, C.; Gonzalez-Hernandez, M.; Fumero-Batista, F.; Sigut, J.; Medina-Mesa, E.; Alayon, S.; Gonzalez de la Rosa, M. Estimation of the relative amount of hemoglobin in the cup and neuroretinal rim using stereoscopic color fundus images. Investig. Ophthalmol. Vis. Sci. 2015, 56, 1562–1568. [Google Scholar] [CrossRef] [PubMed]
- Medina-Mesa, E.; Gonzalez-Hernandez, M.; Sigut, J.; Fumero-Batista, F.; Pena-Betancor, C.; Alayon, S.; Gonzalez de la Rosa, M. Estimating the amount of hemoglobin in the neuroretinal rim usingcColor images and OCT. Curr. Eye Res. 2016, 41, 798–805. [Google Scholar] [CrossRef] [PubMed]
- Gonzalez-Hernandez, M.; Sigut Saavedra, J.; Gonzalez de la Rosa, M. Relationship between retinal nerve fiber layer thickness and hemoglobin present in the optic nerve head in glaucoma. J. Ophthalmol. 2017, 2340236. [Google Scholar] [CrossRef] [PubMed]
- Bambo, M.P.; Garcia-Martin, E.; Perez-Olivan, S.; Sigut, J.; Fumero, F.; Fuentes, J.L.; Ara, J.R.; Martin, J.; Larrosa, J.M.; Gonzalez de la Rosa, M. Diagnostic ability of a new method for measuring haemoglobin levels in the optic nerve head in multiple sclerosis patients. Br. J. Ophthalmol. 2013, 97, 1543–1548. [Google Scholar] [CrossRef] [PubMed][Green Version]
- Bambo, M.P.; Garcia-Martin, E.; Satue, M.; Perez-Olivan, S.; Alayon, S.; Gonzalez-Hernandez, M.; Polo, V.; Larrosa, J.M.; Gonzalez de la Rosa, M. Measuring hemoglobin levels in the optic disc of Parkinson’s disease patients using new colorimetric analysis software. Parkinsons. Dis. 2014, 2014. [Google Scholar] [CrossRef]
- Bambo, M.P.; Garcia-Martin, E.; Gutierrez-Ruiz, F.; Pinilla, J.; Perez-Olivan, S.; Larrosa, J.M.; Polo, V.; Pablo, L. Analysis of optic disk color changes in Alzheimer’s disease: A potential new biomarker. Clin. Neurol. Neurosurg. 2015, 132, 68–73. [Google Scholar] [CrossRef]


| Clinical Evaluation of AD Patients | ||
|---|---|---|
| Geriatrician Evaluation | Ophthalmological Evaluation | |
| Tests | Inclusion criteria | |
| Review of medical reports | Refraction | < ± 5 spherocylindrical | 
| Caregiver interview | Biomicroscopy | AREDS < 2 | 
| Physical and neurological examinations | Visual acuity | >0.5 dec | 
| Psychometric test MMSE | Intraocular pressure | <21 mmHg | 
| Neuroimaging techniques | Color fundus photography | Free of ocular disease | 
| Routine laboratory testing for dementia | OCT/OCTA | Good quality scans with no artefacts | 
| Control | Mild AD | p-Value | |
|---|---|---|---|
| (n = 15) | (n = 17) | ||
| MMSE | 30.0 (28.75–30.0) | 26.0 (21.5–29.0) | 0.026 * | 
| Subfovea | 257.0 (216.0–275.0) | 201.5 (175.0–233.7) | 0.005 * | 
| Temp 500 µm | 253.0 (218.0–281.0) | 197.5 (173.7–249.5) | 0.025 * | 
| Temp 1000 µm | 232.0 (207.0–278.0) | 213.5 (182.2–240.2) | 0.150 | 
| Temp 1500 µm | 237.0 (189.0–272.0) | 218.5 (186.2–249.2) | 0.434 | 
| Nas 500 µm | 232.0 (204.0–272.0) | 195.0 (159.5–233.7) | 0.013 * | 
| Nas 1000 µm | 221.0 (198.0–261.0) | 200.0 (169.2–216.2) | 0.040 * | 
| Nas 1500 µm | 213.0 (182.0–252.0) | 186.0 (168.5–202.5) | 0.025 * | 
| Sup 500 µm | 248.0 (207.0–261.0) | 208.5 (166.2–236.5) | 0.015 * | 
| Sup 1000 µm | 244.0 (202.0–273.0) | 208.5 (165.5–241.0) | 0.032 * | 
| Sup 1500 µm | 237.5 (209.0–282.0) | 219.0 (166.5–230.0) | 0.020 * | 
| Inf 500 µm | 241.5 (207.7–276.2) | 199.5 (164.2–234.0) | 0.013 * | 
| Inf 1000 µm | 245.0 (214.2–288.0) | 207.0 (169.7–236.2) | 0.014 * | 
| Inf 1500 µm | 251.5 (214.7–269.7) | 213.5 (166.0–240.0) | 0.029 * | 
| Control | Mild AD | p-Value | |
|---|---|---|---|
| (n = 18) | (n = 14) | ||
| MMSE | 29.0 (28.5–30.0) | 26.5 (24.0–30.0) | 0.030 * | 
| Superficial FAZ (mm2) | 0.54 (0.43–0.69) | 0.71 (0.51–0.80) | 0.288 | 
| Deep FAZ (mm2) | 0.28 (0.19–0.36) | 0.29 (0.22–0.46) | 0.357 | 
| Control | Mild AD | Mild AD vs. Control | |||
|---|---|---|---|---|---|
| (n = 49) | (n = 17) | % Mean Variation | p-Value | ||
| MMSE | 30 (30–30) | 23 (21–26.5) | <0.001 ** | ||
| Total Hb | 66.1 (62.55–70.65) | 64 (55.65–73.95) | 6.65 | 0.608 | |
| Sectors | S1 | 72 (67.15–77) | 72.2 (56.8–79.85) | 1.46 | 0.792 | 
| S2 | 71 (66.65–75.55) | 67.1 (56.6–76) | 1.59 | 0.259 | |
| S3 | 65.5 (60.95–71.5) | 60.7 (56.9–72.15) | 3.30 | 0.352 | |
| S4 | 70.9 (65.95–76.1) | 71.5 (58.95–79.75) | 2.70 | 0.849 | |
| S5 | 70.8 (65.4–74.4) | 69.3 (56.35–75.6) | 0.79 | 0.495 | |
| S6 | 67.1 (58.75–70.1) | 63.9 (55.65–69.15) | 2.61 | 0.253 | |
| S7 | 69 (63.75–73.55) | 68 (60.4–78.75) | −3.11 | 0.901 | |
| S8 | 70 (64.2–73.7) | 66.9 (58.7–77.8) | −1.36 | 0.764 | |
| S9 | 67 (58.8–70.9) | 62.6 (51.75–71.9) | 0.69 | 0.235 | |
| S10 | 66.1 (57.05–72.4) | 69.2 (58.15–81.5) | 3.21 | 0.229 | |
| S11 | 66.4 (61.4–70.25) | 67.3 (57.4–77) | −4.31 | 0.553 | |
| S12 | 63.6 (57.9–69.1) | 63.3 (53.7–72.15) | −1.84 | 0.775 | |
| S13 | 65 (56.45–71.1) | 69.3 (56.45–81) | 1.08 | 0.226 | |
| S14 | 66.3 (60.1–70.4) | 69.2 (55.4–75.05) | −4.45 | 0.468 | |
| S15 | 62.5 (58.05–68.2) | 60.2 (53.8–71.6) | −1.47 | 0.843 | |
| S16 | 66.5 (60.8–72.85) | 69.1 (57.5–79.7) | 0.86 | 0.66 | |
| S17 | 68.3 (64.15–73.85) | 66.9 (58.5–79.1) | −1.86 | 0.965 | |
| S18 | 64.8 (59.9–68.2) | 65.5 (56.15–72.55) | 0.56 | 0.665 | |
| S19 | 70.1 (65.3–76.35) | 69.9 (61.4–82.1) | 2.01 | 0.883 | |
| S20 | 71.1 (66.5–75.95) | 71.8 (60.1–77.8) | −0.33 | 0.538 | |
| S21 | 64.8 (59.05–71.7) | 61.9 (52.8–68.8) | 2.14 | 0.168 | |
| S22 | 71.4 (65.35–78.4) | 70 (57.75–83.75) | 4.12 | 0.764 | |
| S23 | 70.7 (67.1–76.15) | 68.3 (57.65–74.5) | 1.52 | 0.235 | |
| S24 | 65.7 (58.45–72.25) | 62.4 (53.3–69.05) | 3.66 | 0.177 | |
| Publisher’s Note: MDPI stays neutral with regard to jurisdictional claims in published maps and institutional affiliations. | 
© 2020 by the authors. Licensee MDPI, Basel, Switzerland. This article is an open access article distributed under the terms and conditions of the Creative Commons Attribution (CC BY) license (http://creativecommons.org/licenses/by/4.0/).
Share and Cite
Salobrar-Garcia, E.; Méndez-Hernández, C.; Hoz, R.d.; Ramírez, A.I.; López-Cuenca, I.; Fernández-Albarral, J.A.; Rojas, P.; Wang, S.; García-Feijoo, J.; Gil, P.; et al. Ocular Vascular Changes in Mild Alzheimer’s Disease Patients: Foveal Avascular Zone, Choroidal Thickness, and ONH Hemoglobin Analysis. J. Pers. Med. 2020, 10, 231. https://doi.org/10.3390/jpm10040231
Salobrar-Garcia E, Méndez-Hernández C, Hoz Rd, Ramírez AI, López-Cuenca I, Fernández-Albarral JA, Rojas P, Wang S, García-Feijoo J, Gil P, et al. Ocular Vascular Changes in Mild Alzheimer’s Disease Patients: Foveal Avascular Zone, Choroidal Thickness, and ONH Hemoglobin Analysis. Journal of Personalized Medicine. 2020; 10(4):231. https://doi.org/10.3390/jpm10040231
Chicago/Turabian StyleSalobrar-Garcia, Elena, Carmen Méndez-Hernández, Rosa de Hoz, Ana I. Ramírez, Inés López-Cuenca, José A. Fernández-Albarral, Pilar Rojas, Surina Wang, Julián García-Feijoo, Pedro Gil, and et al. 2020. "Ocular Vascular Changes in Mild Alzheimer’s Disease Patients: Foveal Avascular Zone, Choroidal Thickness, and ONH Hemoglobin Analysis" Journal of Personalized Medicine 10, no. 4: 231. https://doi.org/10.3390/jpm10040231
APA StyleSalobrar-Garcia, E., Méndez-Hernández, C., Hoz, R. d., Ramírez, A. I., López-Cuenca, I., Fernández-Albarral, J. A., Rojas, P., Wang, S., García-Feijoo, J., Gil, P., Salazar, J. J., & Ramírez, J. M. (2020). Ocular Vascular Changes in Mild Alzheimer’s Disease Patients: Foveal Avascular Zone, Choroidal Thickness, and ONH Hemoglobin Analysis. Journal of Personalized Medicine, 10(4), 231. https://doi.org/10.3390/jpm10040231
 
        







 
       