Abstract
The advent and refinement of complex endovascular techniques in the last two decades has revolutionized the field of vascular surgery. This has allowed an effective minimally invasive treatment of extensive disease involving the pararenal and the thoracoabdominal aorta. Fenestrated-branched EVAR (F/BEVAR) now represents a feasible technical solution to address these complex diseases, moving the proximal sealing zone above the renal-visceral vessels take-off and preserving their patency. The aim of this paper was to provide a narrative review on the peri-operative management of patients undergoing F/BEVAR procedures for juxtarenal abdominal aortic aneurysm (JAAA), pararenal abdominal aortic aneurysm (PRAA) or thoracoabdominal aortic aneurism (TAAA). It will focus on how to prevent, diagnose, and manage the complications ensuing from these complex interventions, in order to improve clinical outcomes. Indeed, F/BEVAR remains a technically, physiologically, and mentally demanding procedure. Intraoperative adverse events often require prolonged or additional procedures and complications may significantly impact a patient’s quality of life, health status, and overall cost of care. The presence of standardized preoperative, perioperative, and postoperative pathways of care, together with surgeons and teams with significant experience in aortic surgery, should be considered as crucial points to improve clinical outcomes. Aggressive prevention, prompt diagnosis and timely rescue of any major adverse events following the procedure remain paramount clinical needs.
1. Introduction
The refinement of complex endovascular techniques in the last two decades has revolutionized the field of vascular and endovascular surgery, thereby allowing safe and effective minimally invasive treatment of aneurismatic disease involving the juxtarenal, pararenal and thoracoabdominal aorta. Endovascular aneurysm repair (EVAR) represents the most frequently used treatment in patients with infrarenal abdominal aortic aneurysms (AAA), who present with suitable anatomy and high physiological and surgical risk for open surgical repair (OSR) [1]. EVAR procedures, associated with adjunctive tools such as parallel grafts (PG) or endostapling systems, are currently used to treat juxtarenal AAA (JAAA) by “off-the-shelf” solutions, especially in case of urgency or emergency conditions or with patients considered “unfit” for OSR [2,3,4,5,6,7,8]. Nevertheless, fenestrated-branched EVAR (F/BEVAR) represents a feasible and widely adopted technique to treat a wide range of conditions including JAAA, pararenal AAA (PRAA) and thoracoabdominal aortic aneurysms (TAAA), moving the proximal sealing zone above the renal-visceral vessels take-off while preserving their patency [9,10,11]. Indeed, it is well known that achieving a seal in a morphologically hostile aortic neck will make the repair more prone to lower durability over time, while the parallel graft technique is only recommended as a bailout alternative. Therefore, fenestrated-branched endografts (whether physician-modified, off-the-shelf, or custom-made commercially manufactured) would represent the best available endovascular treatment option for complex aortic diseases (Table 1). At the same time, F/BEVAR procedures are technically demanding operations that may be associated with severe complications and greatly impact patients’ health. In order to reduce complications and recognize or treat them early, different tools and skills are needed, and this starts from careful preoperative planning with dedicated surgical and anesthetic management pathways during the intraoperative and early postoperative phases. This requires significant experience best, achieved at dedicated centers for the treatment of complex aortic disease. The aim of this paper is to analyze and review, from an experts’ opinion, the perioperative management of patients undergoing F/BEVAR procedures for complex abdominal (JAAA and PRAA) and thoracoabdominal aneurismatic aortic diseases. It will focus on how to prevent, diagnose, and manage the complications ensuing from such complex interventions, in order to improve clinical outcomes.
Table 1.
Summary of EVAR and F/BEVAR indications, pros and cons.
2. Pre-Operative Evaluation and Patient Selection
Endovascular therapies have gained popularity, mainly because of their reduced invasiveness and lower incidence of major systemic complications, especially in high-risk surgical candidates [12,13]. Despite this, all endovascular procedures, in particular for the treatment of extensive aortic disease, should be preceded by a thorough evaluation of all major organ systems (including cardiac, pulmonary and renal function), to outline the general health and physiological reserve of the patient. Indeed, most patients with aortic aneurysms may present with concomitant central and peripheral atherosclerotic lesions owing to the similar risk factors, such as hypertension, smoking and aging, amongst others [14]. All these comorbidities may increase the surgical risk and may negatively impact long-term survival, which has been well documented for OSR. In a large study by Shepens and colleagues who analyzed 500 open TAAA repairs, the identified risk factors for late death were depressed ventricular function, increased age, postoperative dialysis needed and neurological deficit [15]. In that sense, it should be borne in mind that, in the contemporary endovascular era, a patient considered “unfit” for open surgical TAAA repair may not be necessarily considered “fit” for F/BEVAR. In fact, very often these patients may have different notable pre-operative comorbidities or critical clinical/anatomical issues that mandate consideration (advanced age, renal diseases, recent or previous acute myocardial infarction treated by heart surgery or percutaneous coronary interventions, hostile vascular accesses, or shaggy aortic morphology amongst others). In this regard, the EVAR-2 trial clearly showed how proceeding with elective EVAR in patients at high physiologic risk may reduce aneurysm-related mortality, but not improve overall survival [16]. Therefore, the decision as to whether a patient shall undergo an elective operation must weigh the expected benefits of a prophylactic operation (i.e., to prevent aneurysm rupture) with the perceived risk of the operation itself and of life expectancy of the patient. Unlike for AAA, there are no validated specific protocols or risk prediction models for patient selection of F/BEVAR [17]. However, routine cardiology consultations before the operation, including possible cardiac stress testing and coronary angiography for patients identified as “high-risk”, may reduce the rate of cardiac complications [18]. Specifically, patients unable to perform four metabolic equivalents (METS) of activity (ability to climb a flight a stairs without dyspnea) reliably should undergo extensive cardiovascular evaluation [19]. Cardiac evaluation should preferably be performed non-invasively, for example with an echocardiogram, cardiac stress test, myocardial scintigraphy or coronary computed tomography angiography (CTA). If percutaneous coronary intervention is needed to reduce cardiac risk, dual antiplatelet therapy (DAPT) may delay surgery. Lumbar puncture for cerebrospinal fluid drainage (CSFD) is generally not recommended while on DAPT, due to the risk of spinal hematoma [20]. The prevalence of internal carotid artery stenosis is high among patients with AAA (8.8% in the SMART study that analyzed 2.274 patients with AAA). For this reason, a routine screening for asymptomatic carotid stenosis by Doppler ultrasonography before aortic aneurysm repair is usually carried out in daily clinical practice. Preoperative imaging studies must include thoraco-abdominal computed tomography angiography (CTA) from the neck to the groin, with multi-slice cuts of 1–3 mm. This is needed for planning and sizing of the endograft, as well as for the study of critical anatomic issues, such as angulation and diameter of the aorta and of the iliac vessels, calcifications or stenosis of the main aortic branches, suitability of the aortic arch in case upper extremity access, significant aortic mural thrombus, number of intercostal or lumbar arteries. Although F/BEVAR may be conceptually considered similar approaches, several anatomical challenges may be anticipated on pre-operative CTA that may hinder long-term durability of the repair, such as the presence of significant gaps in case of fenestrations or the use of long bridging stents in case of branches (Figure 1).
Figure 1.
Technical solutions for bridging of target vessels during F/BEVAR. (A) Short balloon-expandable stent-graft for juxtarenal AAA treated with FEVAR; (B) long balloon-expandable stent-graft for suprarenal AAA treated with FEVAR (the gap between fenestration and inner aortic wall may lead to target vessel instability); (C) self-expanding stent-graft for TAAA treated with BEVAR and adjunctive distal relining with bare metal stent to accommodate smooth transition between edge of stent-graft and native artery in a tortuous segment.
FEVAR is usually considered in cases with narrower aortic lumens (<25 mm) and target vessels (TV) perpendicular to the aorta or tilted upwards. Conversely, BEVAR is usually preferred in patients with larger aortic lumens (>25 mm) and downward angled TV. Planning is usually easier in the case of an “off-the-shelf” multibranched device, making this approach more suitable for urgent or emergency settings. However, those cases in which the aortic morphology is not ideal for an off-the-shelf design will mandate custom-made endografts that will fit the patient’s anatomy (Figure 2). These follow strict planning and sizing criteria, thereby requiring more prolonged manufacturing and delivering times [21].
Figure 2.
Technical solutions with different configurations (upward outer branches, inner branches, downward outer branches) for incorporation of renal arteries during BEVAR. I: complex AAA with upward orientation of renal arteries; IV: complex AAA with downward orientation of renal arteries.
Pre-operative CTA may also be used to assess the size and quality of the psoas muscle, as the presence of sarcopenia has been linked to poorer short-term and mid-term outcomes in patients undergoing F-BEVAR [22]. However, sarcopenia alone is not sufficient to predict surgical and clinical outcomes and should be used in the context of other factors to balance the perceived risk of aneurysm rupture and expected complexity of the interventional procedure. The importance of dedicated multidisciplinary teams for optimal assessment of patients’ fitness for such complex procedures may not be overemphasized enough. The use of frailty scoring tools by dedicated geriatric physicians may further complement the pre-operative evaluation of these patients, especially those of older age and/or with poor functional status.
3. Frequency and Impact of Post-Operative Complications after F/BEVAR and How They May Affect Outcomes and Costs Compared to EVAR
As compared with standard EVAR, F/BEVAR may be associated with higher complications and reinterventions rates, which is intuitively due to the complexity of disease and the need for renal-visceral vessels manipulation [23]. Locham and colleagues published a large study including 16,048 patients who underwent elective EVAR vs. 1641 patients who underwent elective FEVAR. The rates of any complications (9.6% vs. 11.3%, p = 0.03), renal injury (4.3% vs. 5.8%, p = 0.004) and neurologic injury (0.4% vs. 0.7%, p = 0.02) were all significantly higher in the FEVAR group compared with the EVAR group [24].
Indeed, the most frequent treatment-related complications that may arise following F/BEVAR interventions are represented by TV-related endoleaks (EL), which may occur in 1 out of 10 patients on CTA at discharge (Figure 3), although different adverse events may arise that can significantly impact patients’ health and quality of life [25,26]. TV instability was defined by a composite of any stent stenosis, separation, or type IC or type IIIC EL requiring reintervention and stent occlusion, aneurysm rupture or death due to TV-related complications [26]. Although it may seem likely that less complex FEVAR procedures will entail lower risks to the patients as compared with more extensive BEVAR interventions, the current evidence is mixed, as experienced operators may achieve comparable outcomes. Nonetheless, the length of aortic coverage and number of TV involved will likely remain as the main contributors of peri-operative adverse events also at centers of excellence and should, therefore, be included in the decision-making process [27]. Certainly, the team and surgeons’ experience are fundamental to preventing and recognizing early postoperative complications to ensure prompt and effective treatment. Furthermore, the rate of mortality and major complications after complex aortic surgery appears to be related to the surgical volume of the center, as shown by prior studies, mainly relating to the outcomes from major centers [28]. More than 154,000 patients underwent OSR and EVAR for intact AAA were analyzed by Scali and colleagues to identify an optimal center volume associated with the most significant mortality reduction after OSR; 65,745 underwent OSR and a significant inverse relationship between increasing center volume and lower peri-operative mortality after intact and ruptured OAR was evident (p < 0.001). An annual center volume of between 13 and 16 procedures per year (PY) was associated with the most significant mortality reduction after intact OAR (adjusted predicted mortality <13 PY 4.6% vs. 3.1% for centers with ≥13 PY) [29]. Data from a recent nationwide mandatory quality registry showed similar results for 694 patients, treated by FEVAR (539) and BEVAR (155). The perioperative mortality of complex EVAR was 9.1% in hospitals with a volume of <9 PY and 2.5% in hospitals with a volume of ≥13 PY (p = 0.008). The annual volume of ≥13 PY was associated with less perioperative mortality compared to hospitals with a volume of <9 PY [28]. Whether these outcomes can be extrapolated to low-volume operators to achieve similar outcomes is unclear. However, there is evidence that suggests a learning curve effect may exist for F/BEVAR interventions. Together with improved patient selection, these factors may substantially contribute to enhanced surgical outcomes [30]. Lately, the concept of failure to rescue (which is a composite endpoint defined as peri-operative death after experiencing at least one major complication) has emerged as an additional and more sensitive marker for team quality assessment in aortic interventions. Future research may also be directed toward better understanding of failure to rescue after complex endovascular aortic repair, as this remains relatively unaddressed in the available literature [31].
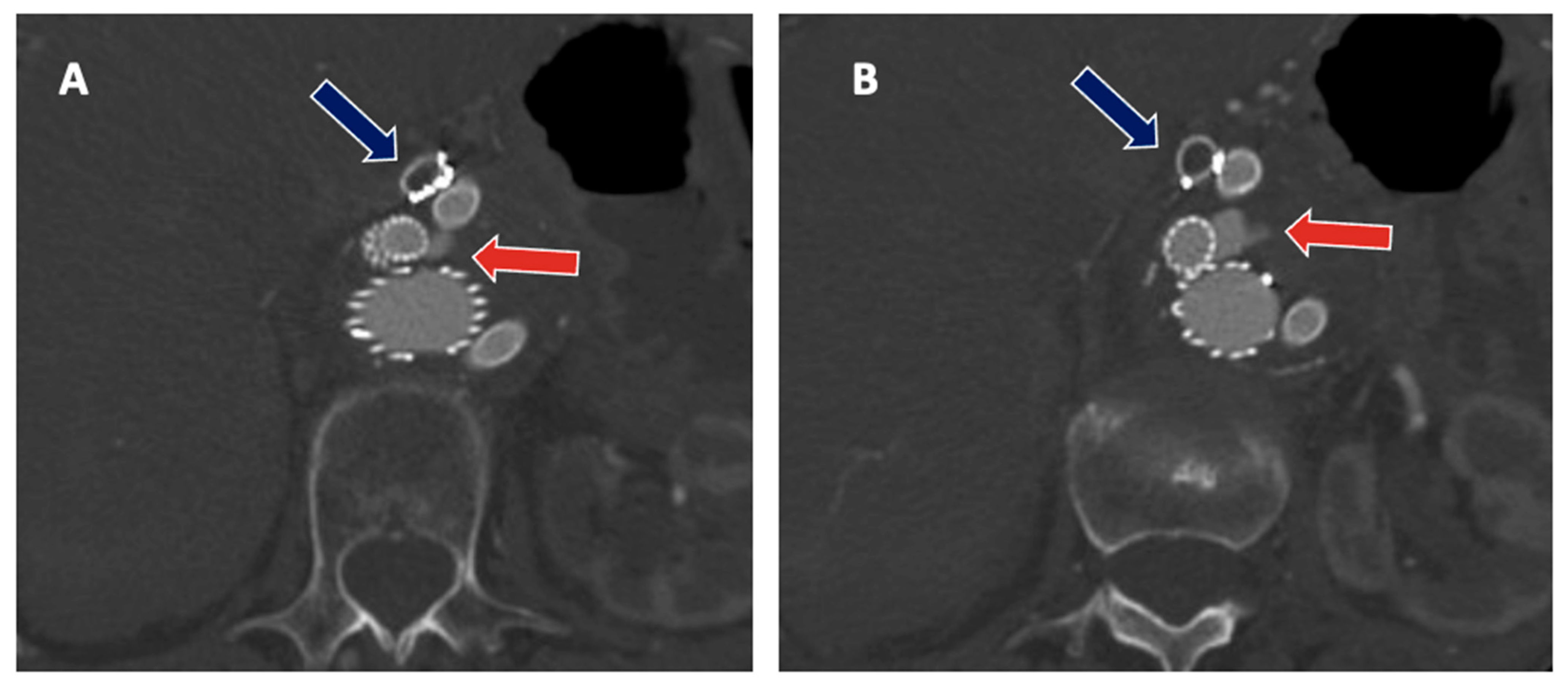
Figure 3.
(A,B) Type IIIb endoleak from the right renal stent (red arrow), with sac enlargement and simultaneous asymptomatic thrombosis of the celiac trunk stent-graft (blue arrow).
In addition to the clinical impact of complications, complex aortic endografting is usually more expensive compared with standard EVAR. In a European academic hospital, the costs of an EVAR procedure were EUR 12,090–13,956, while a FEVAR procedure costs EUR 34,807–36,695. In this experience, after the endograft costs, the costs of the hospitalization were the major contributors to the total cost of the procedures [32]. Although the cost of the stent-grafts may ultimately remain the main driver of expenditure, occurrence of post-procedural complications will increase the cost of care, and thus decrease the overall cost-effectiveness of treatment [33]. In fact, an extensive analysis of approximately 17,000 patients treated in the United States for aortic disease found that FEVAR procedures compared to EVAR interventions were associated with a significant increase in probability of renal and neurological damage. Furthermore, the total cost of FEVAR was significantly higher than standard EVAR and this appeared to be due to the additional cost of endovascular devices and to the increased complication rate related to FEVAR [24].
4. Ischemic vs. Hemorrhagic Complications: The Relevance and Balance of Antithrombotic Drugs
Owing to the extensive aortic coverage and involvement of critical renal-mesenteric vessels in the repair, management of antithrombotic therapy in F-BEVAR can be complex. Antithrombotic therapy requires a careful balance between the benefits of obtaining the optimal inhibition of the coagulation cascade to ensure TV patency versus the risks of serious bleeding events (including potential lethal complications, such as intracranial hemorrhage) [34]. Significant blood loss and blood product transfusion requirements have been shown to be associated with poorer clinical outcomes [35]. Patients scheduled for F/BEVAR may receive various antithrombotic drugs during their therapeutic path, starting from home drug therapy, moving to the intraoperative phase, and finally during long-term follow-up. Important factors impacting the use of anti-thrombotic and anti-coagulation therapy that are considered in the peri-operative setting of F-BEVAR include the potential need for cerebrospinal fluid drainage (CSFD), EL rates and visceral vessels and bridging stents’ (BS) patency. Unfortunately, there is a lack of robust clinical practice guidelines and the available literature is sparse. Therefore, the best available evidence will come from expert opinion, as it was recently reported in an international Delphi consensus of clinical practice. The optimal management of antithrombotic therapy was investigated amongst a large group of vascular surgeons with established experience with complex aortic interventions, with the aim to create recommendations on preoperative, intraoperative, and postoperative use of antithrombotic drugs in patients awaiting elective F/BEVAR. Based on expert opinions, very strong recommendations suggest that low dose aspirin should be considered in all patients planned for F/BEVAR, while dual antiplatelet therapy (DAPT) should be discontinued 7 days before the procedure if possible, in case of high risk of SCI [36,37]. Most experts also agree that intraprocedural unfractionated heparin at the beginning of a F/BEVAR procedure should be administered with a dosage of at least 70 UI/Kg and up to 100 UI/Kg, reaching an activated clotting time (ACT) of 200–250 s. In the post-operative phase, DAPT for at least one to six months may be considered, but possibly lifelong in patients with small and highly tortuous reno-visceral vessels, or when multiple bridging stents are used.
5. Intraoperative Endograft-Related and Target Vessels-Related Complications
The technical success of TAAA endovascular repair is related to the appropriate selection of an adequately sized endograft implanted in a safe and healthy proximal and distal landing zone (Figure 4).
Figure 4.
(A) Type 1B endoleak after BEVAR (red arrow). (B) Aortic rupture in zone 4 (Ishimaru’s classification) after TEVAR (red arrow) and BEVAR procedure to treat a large type III TAAA.
This represents a crucial issue in guaranteeing durability over time and freedom from type 1A EL, in particular for Crawford type I or II TAAA. The type of arch also seems to influence the freedom from proximal endograft failure. In the case of type II or III aortic arches, the safest landing zone seems to be that of 30 mm, compared to 20–25 mm for type I arches [38].
Visceral vessel cannulation, wire insertion, and placement of bridging stents represent opportunities for potentially serious complications related to F/BEVAR, such as embolization or dissection. Once the TV has been cannulated, there is a risk of injury to the artery itself, with vessel perforation, or the end-organ it supplies, especially with renal arteries (Figure 5) [39].
Figure 5.
(A,B) Distal left renal artery rupture after bridging stent deployment during a TAAA repair, as observed on selective angiography (blue arrow).
In the case of FEVAR, more than for BEVAR, the correct positioning of the main body is fundamental for successful incorporation of the renal and splanchnic arteries. Perfect alignment will make it feasible to catheterize and stent the TV, while a twist of the main body may lead to misalignment with the TV, resulting in its occlusion and potentially leading to catastrophic consequences, unless promptly rescued during the intra-operative phase (Figure 6).
Figure 6.
The presence of constraining wires on the back of the endograft allows for some degrees of rotation of the endograft (when partially deployed) in order to facilitate cannulation of the target vessels until the position is stabilized with the use of long introducers and the endograft may be completely deployed. (A) Counterclockwise and (B) clockwise rotation of the stent-graft to facilitate catheterization of target vessels; (C) sheaths inplace in the renal arteries before releasing the diameter-constraining wires on the stent-graft.
The use of diameter reducing ties allows for graft manipulation with partial deployment to mitigate this risk. A branched endograft allows a wider margin of tolerance for main body positioning compared to FEVAR, although the incorrect deployment of the endograft may still happen (Figure 7).
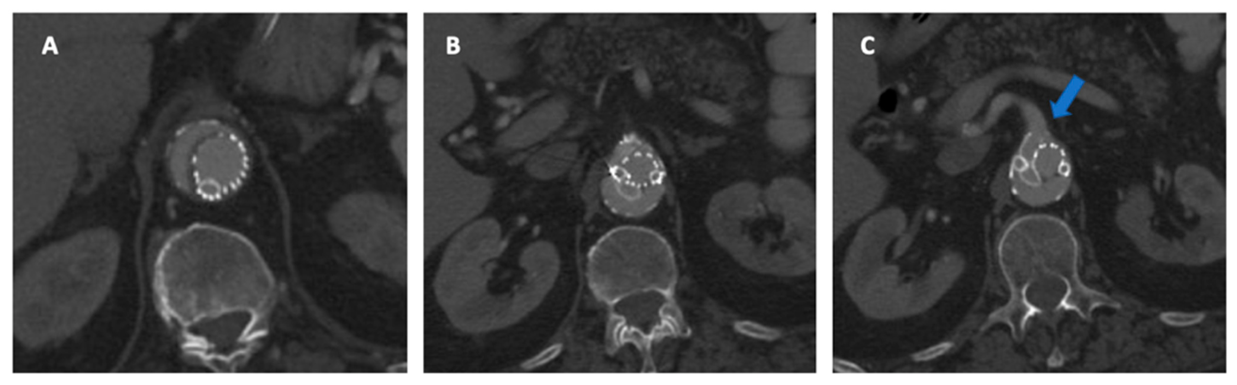
Figure 7.
During this procedure, the branched endograft was positioned incorrectly (turned 180°). Note in (A,B) the posterior origin of the branches for celiac trunk and superior mesenteric artery, respectively. In (C), there is evidence of a type 1C endoleak due to an inadequate sealing zone in the superior mesenteric artery (blue arrow).
Regarding TV cannulation, the identification of any significant ostial stenosis is necessary, since this will make intraoperative maneuvers extremely demanding. Catheterization and bridging stent delivery are more complex in the setting of occlusive lesions in the visceral vessels. Ideally, when a FEVAR is planned, the endograft should be positioned as close as possible to the inner aortic wall in order to minimize the gap between the aortic graft and the TV, since this may result in short-term and long-term branch instability. The choice of bridging stent for the renal-mesenteric arteries are not standardized. There are not specifically designed BSs for F/BEVAR, but rather current stents are used in an “off label” manner for this purpose. To ensure effective and durable stability of the BS, ideally it should include a combination of different characteristics, such as consistent radial force, adequate flexibility, and a smooth transition at its distal edge to reduce the risk of intimal hyperplasia. Tenorio and colleagues analyzed 126 patients for an overall number of 335 renal-mesenteric arteries treated during BEVAR for TAAA, respectively, with self-expandable stent grafts (SESG) for 176 arteries and balloon-expandable stent grafts (BESG) for 159 arteries. TV instability occurred in 27 directional branches (8%), but SESG demonstrated higher primary patency, freedom from TV instability, freedom from type IC or type IIIC EL and freedom from TV-related reinterventions compared with BESG [26]. In addition, the length of the BS and their tortuosity index are important factors for good outcomes during BEVAR. A review of 32 patients with TAAA incorporating 123 arteries assessed the effect of the length and tortuosity of directional branches on the mid-term outcomes of branched endovascular aneurysm repair BEVAR for TAAA. The lowest branch instability rates were obtained with a branch total length of 60 to 100 mm, with a higher risk of branch related complications for a tortuosity index > 1.15. Furthermore, the renal arteries’ orientations affect the renal outcome of F/BEVAR, with worse outcomes for upward or downward/upward renal arteries’ orientation [40,41]. With regard to FEVAR, newer generations of BESG have shown promising early results, but future cross-comparisons of clinical series will be needed to assess their effectiveness and durability [42]. The technology available in the operating room will also contribute in several ways to the success of the surgical procedure. For example, the use of 3D fusion imaging is associated with a significant reduction in the amount of contrast media and radiation doses for complex endovascular aortic procedures, compared to standard biplanar roadmapping [43]. Newer technologies and techniques, including post-procedural assessment of BS quality with on-table cone-beam CT and intravascular ultrasound (IVUS) have also shown promise as effective tools for allowing prompt identification and resolution of technical issues that may be detrimental to outcomes [44,45,46,47]. IVUS after BS deployment is highly sensitive in the identification of morphological defects, allowing in-vivo sizing and a precise assessment of the distal sealing of the BS and detecting intraoperative issues missed by angiography [46,48].
6. Neurologic Complications: Stroke and Spinal Cord Ischemia
Although fenestrated-branched endografts are associated with decreased early mortality rates over OSR, F/BEVAR for TAAA treatment is still associated with a 0–33% risk of spinal cord ischemia (SCI) [49,50]. This risk can be reduced, but not completely eliminated with different adjuncts, such as preconditioning of the paraspinal collateral network, systemic hypothermia, distal aortic perfusion, and use of motor and somatosensory evoked potentials, as well as peri and postoperative drainage of cerebrospinal fluid (CSF) during and after aortic aneurysm repair. A retrospective study conducted by Spanos and colleagues on 243 patients treated by F/BEVAR for PRAA and TAAA showed a total incidence of SCI as high as 18%. In this experience, SCI was associated with reduced pre-operative renal function and the number of vertebral segments covered [51]. Prior AAA repair, prolonged hypotension, severe atherosclerosis of the thoracic aorta, left subclavian artery (LSA) or internal iliac artery (IIA) occlusion and extensive coverage of the thoracic aorta (>20 cm) by the endograft have all been associated with an increased incidence of SCI, in particular during thoracic endovascular repair (TEVAR) [52,53,54,55]. The staging of more complex procedures has increased in contemporary practice to increase the spinal cord tolerance and reduce the occurrence of SCI after extensive aortic endografting. A multistage approach to the endovascular treatment of TAAA by F/BEVAR is mainly based on the concept of collateral network remodeling after acute blood supply modifications (Table 2).
Table 2.
Suggested strategies for spinal cord ischemia protection during F/BEVAR.
Staging can be performed using different strategies, such as minimally invasive segmental artery coil embolization (MIS2ACE) and temporary aneurysm sac perfusion (TASP) (Figure 8).
Figure 8.
Sequential coverage of the aorta with continuous perfusion of the left subclavian and hypogastric arteries will permit safe and efficient development of the spinal cord collateral network, thereby allowing for reduction in the risk of spinal cord ischemia even after extensive endografting for TAAA. Yellow arrows indicate sources of continued aneurysmal sac perfusion to allow for staging of the procedure through continued perfusion of the spinal cord collateral network.
Chris Etz and colleagues described selective preventive catheter-guided embolization and occlusion of segmental arteries. This technique has demonstrated promising results in a limited experience and is currently under investigation in a prospective multicenter randomized trial [56,57]. The TASP concept may also be applied in different ways, including leaving an unbridged branch, performing sequential aortic coverage with stent-grafts, and delaying iliac limb cannulation in the bifurcated distal body. A recent study by Bertoglio and colleagues analyzed 240 patients treated for TAAA by F/BEVAR, where 43 patients had an impaired collateral network, 136 had a historical staging (previous OSR or endovascular procedure with intercostal/lumbar arteries ligation or coverage), and 157 received a staging procedure. The overall rate SCI is also negatively affected by impaired collateral network and bilateral iliac occlusive disease; for this reason, aggressive revascularization of the LSA (preferentially by means of a carotid-subclavian bypass or with custom-made fenestrated-branched proximal TEVAR component) and the IIAs (with preference given to the use of iliac branch devices, bilaterally if needed) should be pursued in order to increase perfusion to the spinal collateral network [58,59,60,61]. Early lower limb and pelvic reperfusion, with possible use of adjuncts such as pre-loaded guidewire systems, has also been shown to impact the onset and severity of SCI after F/BEVAR [62,63,64]. The potential of leaving distal lumbar arteries uncovered by designing a straight stent-graft that will land in otherwise healthy native infrarenal aorta (i.e., avoiding the placement of distal bifurcated EVAR body) has been recently suggested by some groups and will need further validation of its durability [65,66,67].
The use of lumbar spinal drains has historically been used to prevent SCI, but it is associated with high rates of complications that may exceed the benefits in the setting of patients at low risk for permanent neurologic injury. This has led some authors to suggest it be employed only as a rescue maneuver in case of SCI onset, whereby its prophylactic use must be restricted to a small subset of patients deemed at very high risk for post-operative paraplegia/paraparesis [68,69] In a cohort of 187 patients treated by F/BEVAR with catheter placement, 19 patients (10%) developed a complication related to this, 17 of these moderate or severe, with 4 episodes of spinal hematoma paraplegia or paraparesis. Complications of CSF drainage are, therefore, common, and its use should be weighed carefully. Tenorio and colleagues developed a protocol, used in patients with TAAA that required coverage of >5 cm above the celiac artery. This protocol included CSF drainage, neuromonitoring, lower extremity reperfusion, and selective temporary sac reperfusion. In 55% of the patients, neuromonitoring changes led to intraoperative maneuvers with an improvement of the neuromonitoring tracing in 90% of the patients. This resulted in an SCI rate of 4% (one without alteration of motor potentials) and 1% rate of permanent paraplegia [70]. Since BEVAR introduction, upper extremity access has been considered mandatory for cannulation and stenting of TV; however, the major complication of this access is a 2–4% risk of stroke, due to the crossing and maneuvering of sheaths through the aortic arch [71,72,73]. The recent adoption of steerable sheaths has enabled a totally transfemoral approach to BEVAR, which may reduce stroke rates for these procedures. Eilenberg et al. analyzed 152 consecutive patients who underwent BEVAR, 60 of whom were treated by a transfemoral approach (TFA) and 92 by an upper extremity approach (UEA). The technical success was higher for the TFA group (100% vs. 95%, p < 0.01), and perioperative strokes and transient ischemic attacks only occurred in the UEA group (8.6% vs. 0%, p = 0.022) [74]. However, concerns exist that a TFA approach may portend higher rates of SCI, owing to the need for longer ischemic times in the lower limbs bilaterally. Additionally, some anatomical conditions may render this approach unfeasible and will need to be assessed in the future. Overall, a stroke after endovascular aortic procedures remains multifactorial in nature, due to the landing zones in or near the aortic arch, coverage of the LSA, intraoperative embolization from the manipulation of endovascular devices, the use of upper extremity access, and presence of significant atherosclerotic debris. Therefore, an effective prevention strategy must rely on a multimodal approach and may not be limited to a single item. Aggressive revascularization of the LSA should be pursued in the elective setting, as its coverage may be related to higher rates of cerebrovascular accidents. In addition, coverage of the LSA impairs flow to the vertebral artery that impact the collateral network of the anterior spinal artery and can increase the risk of SCI after extensive aortic repair. Although carotid-subclavian bypass or transposition currently remains the gold standard to revascularize the LSA, newer endovascular alternatives (such as the use of fenestrated or branched endografts for the LSA) have been described recently. Their use is novel, and their actual durability still remains to be assessed [75,76,77,78,79,80].
7. Acute Kidney Injury and Other Ischemic Complications (e.g., Ischemia of the Bowel or Lower Extremity)
The revascularization of the renal and visceral arteries during complex aortic surgery entails arterial reconstruction and periods of inherent ischemia until the repair is completed; this can contribute to a variety of complications, whose severity may range from mild to life or organ threatening events with fatal consequences [81]. Prior studies have shown that the overall incidence of ischemic complications may be intrinsically higher in F/BEVAR procedures as compared with standard EVAR, owing to the higher complexity of such procedures [82]. The incidence of acute kidney injury (AKI) has been shown to be higher for patients with pre-existing chronic kidney disease (CKD), as defined by eGFR <60 mL/min/1.73 m2, compared to those patients with unimpaired renal function (12% vs. 37%, p < 0.001). However, this increased risk of AKI does not appear to correlate to higher peri-operative mortality, as compared with patients with unimpaired renal function [83,84]. AKI is multifactorial in nature and its prevention relies on a multimodal approach that includes minimization of device manipulation (especially in shaggy aorta), reduction in the iodinated contrast medium, peri-operative hydration with 0.9% saline, and withdrawal of nephrotoxic drugs. Ideally, newer technological advancements for intraoperative navigation during F/BEVAR, such as the CO2-based angiography or fiber optic real shape technology, may further contribute in the near future, since they may minimize these risk factors [85]. Bowel ischemic complications represent a rare (incidence of 1–3%) but highly morbid event if not corrected immediately [80]. If not amenable to endovascular salvage, laparotomy should be promptly performed, and retrograde extra-anatomic bypass (from the common iliac to the superior mesenteric artery (SMA) for example) or antegrade (aorto-mesenteric bypass if not included in the stent graft zone) offers an potentially expedient revascularization of the SMA [86]. Select TAAA (some extent I/V) can be treated without resorting to a fenestrated or branched endograft under selected circumstances, using TEVAR with PG techniques or a hybrid repair of the viscera. Coverage of the celiac trunk appears to be safe in terms of freedom from type 1 EL and aortic-related mortality, provided proper collateralization from the SMA is present [87,88]. However, ischemic foregut complications are possible. Thus, patient selection and a thorough preoperative determination of adequate collateral perfusion between the celiac trunk and SMA is mandatory if the former will not be incorporated in the repair [89].
The quality of femoral and iliac artery accesses is a crucial factor for any type of endovascular procedure, in particular for F/BEVAR. These procedures require the use of large introducer sheaths (20–24 Fr) and access site complications have been reported to occur in 8–16% of cases [90]. More extensive atherosclerotic disease and smaller access artery diameter present a higher risk for both bleeding complications and ischemia/reperfusion injuries. This is more commonly observed in female patients and poises special consideration to avoid such complications [91]. A clinical study of 231 patients undergoing F/BEVAR for TAAA or PRAA demonstrated a high technical success (93%) of totally percutaneous femoral access (TPFA) in preoperatively selected patients. Approximately 70% of patients were eligible for a TPFA, considering the position of the femoral bifurcation and the anatomical features of the femoral-iliac axis [92]. Therefore, a percutaneous approach to F/BEVAR currently represents the gold-standard for management; however, surgical cutdown should be considered in patients with unfavorable access anatomy. For severe iliac artery occlusive disease, a surgical or endovascular “conduit” may be required to guarantee safe access to the infrarenal aorta [93,94]. The presence of diseased ilio-femoral axes may greatly impact the technical demands of the operation or lead to lower extremity ischemia [95]. Newer-generation low-profile endografts may contribute to further reduction in the rate of lower limb complications, although their availability is limited by current stent technology [96].
8. Manufacturing Time-Related Adverse Events
Manufacturing time for custom-made endografts is a time-consuming process that usually requires 4 to 12 weeks for manufacturing and delivery. During the waiting time, there is an inherent risk of both aneurysm rupture and patient decline from other medical conditions (heart or renal failure episodes). This may lead to postponement or cancellation of the planned procedure, with a considerable expense in the case of custom-made devices [97]. Recent evidence has shown that this delay will ultimately lead to the cancellation of the surgical procedure up to 3% of the time [98]. A large diameter of the aneurysm (>70 mm) has been found to be associated with a higher risk for rupture during the waiting time, and in such cases, the use of off-the-shelf alternatives might be considered [99]. It is important to underline that the waiting time after the treatment decision can be differentiated into two distinct phases, namely the time required for the endograft to be manufactured and shipped, and the time needed for the operation to be scheduled after the endograft is available at the treating facility. Therefore, physicians may have the opportunity to reduce the overall waiting time only by scheduling the procedures as close as reasonably achievable to the delivery date. For the reasons mentioned above, it is also evident that all patients undergoing a customized procedure should have their concomitant underlying medical diseases and comorbidities closely managed in the interim until repair.
9. Gaps in Knowledge, Implications for Practice, and Future Directions of Research
Although their role in the management of patients with extensive aortic disease is currently well recognized, F/BEVAR interventions still involve a relatively low overall number of procedures in the world, performed at dedicated centers, compared to standard EVAR. As such, several topics related to F/BEVAR have yet to be fully explored. The long-term durability and choice of the BS during B/FEVAR is still uncertain. This includes the type of BS to be used for each TV type and the use of SESG versus BESG [21]. Further research is also required to better understand the complex geometrical factors that may contribute to TV-related outcomes after F/BEVAR [100]. Post-implantation syndrome has been extensively studied for patients undergoing EVAR, but there are few studies on this topic in patients treated by F/BEVAR. Given the greater number of implanted stent-grafts/materials, it is proposed that this is likely to be more widespread with unclear implications [101]. Whether the use of a percutaneous approach to the axillary artery will lead to improved clinical outcomes as compared with conventional brachial artery cutdown, or any significant differences exist with use of the right-side upper arm access vs. the left-side approach also remain areas of ongoing research efforts [102,103,104]. In addition, many of the perioperative factors discussed in the preceding chapters (such as procedural staging and risk for death during waiting time, optimal patient selection, type of BSs and use of ancillary materials, application of CSFD, or treatment for particular cases, such as post-dissection aneurysms, connective tissue diseases, or failures after prior infrarenal procedures) are only partially understood and represent unmet critical issues needing further study [105,106]. Lastly, while several papers discuss the conversion to OSR after failed EVAR [107,108,109], conversions after F/BEVAR are poorly described in the literature [110]. Therefore, it remains crucial to collect data in a prospective fashion, ideally with external validation of the data (e.g., by core-lab adjudication of relevant outcomes), with the incorporation of both patient-reported outcome measures of quality of life as well as cost metrics. Multicentric collaboration, such as the US Fenestrated-Branched Aortic Research Consortium, the Italian Multicenter Fenestrated and Branched Study Group or Dutch Surgical Aneurysm Audit, are ideally poised to provide these data [111,112]. Harmonization of the collected metrics in adherence to the reporting standards should be pursued to allow quality research into these needed areas.
10. Conclusions
Complex F/BEVAR for extensive aortic disease remains a technically and physiologically demanding procedure, and intra and postoperative complications may arise in up to 10–30% of cases [50,53]. These complications can impact the quality of life and health status of the patients and dramatically increase the cost of care. The utilization of standardized preoperative, perioperative, and postoperative pathways of care, together with high volume surgical teams, should be considered as critical points to improve clinical outcomes. Aggressive prevention, prompt diagnosis, and timely rescue of any major adverse events following the procedure remain paramount [107]. Further multicenter studies are needed to better address the many unsolved issues of this emerging and evolving technology in surgical care.
Author Contributions
Conceptualization: A.X., M.D., S.L. and R.D.; Data curation: A.X., M.D., B.M., L.B., K.M., M.G., J.B.-L., M.A., G.F.V., F.P., D.M. (Domenico Milite), C.C., F.G., J.T., S.B., A.W., D.L., E.G., L.M., D.M. (Davide Mastrorilli), S.L. and R.D.; Writing—original draft preparation: A.X. and M.D.; Writing—review and editing: A.X., M.D., B.M., L.B., K.M., M.G., J.B.-L., M.A., G.F.V., F.P., D.M. (Domenico Milite), C.C., F.G., J.T., S.B., A.W., D.L., E.G., L.M., D.M. (Davide Mastrorilli), S.L. and R.D.; Visualization: A.X., M.D., B.M., L.B., K.M., M.G., J.B.-L., M.A., G.F.V., F.P., D.M. (Domenico Milite), C.C., F.G., J.T., S.B., A.W., D.L., E.G., L.M., D.M. (Davide Mastrorilli), S.L. and R.D.; Supervision: S.L. and R.D.; Final approval: A.X., M.D., B.M., L.B., K.M., M.G., J.B.-L., M.A., G.F.V., F.P., D.M. (Domenico Milite), C.C., F.G., J.T., S.B., A.W., D.L., E.G., L.M., D.M. (Davide Mastrorilli), S.L. and R.D. All authors have read and agreed to the published version of the manuscript.
Funding
This research received no external funding.
Institutional Review Board Statement
Not applicable.
Informed Consent Statement
Not applicable.
Data Availability Statement
Not applicable.
Conflicts of Interest
The authors declare no conflict of interest.
References
- Buck, D.B.; Van Herwaarden, J.A.; Schermerhorn, M.L.; Moll, F.L. Endovascular treatment of abdominal aortic aneurysms. Nat. Rev. Cardiol. 2014, 11, 112–123. [Google Scholar] [CrossRef] [PubMed]
- XiaoHui, M.; Wei, G.; ZhongZhou, H.; XiaoPing, L.; Jiang, X.; Xin, J. Endovascular Repair with Chimney Technique for Juxtarenal Aortic Aneurysm: A Single Center Experience. Eur. J. Vasc. Endovasc. Surg. 2015, 49, 271–276. [Google Scholar] [CrossRef]
- Qamhawi, Z.; Barge, T.F.; Makris, G.C.; Patel, R.; Wigham, A.; Anthony, S.; Uberoi, R. Editor’s Choice—Systematic Review of the Use of Endoanchors in Endovascular Aortic Aneurysm Repair. Eur. J. Vasc. Endovasc. Surg. 2020, 59, 748–756. [Google Scholar] [CrossRef] [PubMed]
- Menegolo, M.; Xodo, A.; Penzo, M.; Piazza, M.; Squizzato, F.; Colacchio, E.C.; Grego, F.; Antonello, M. Open repair versus EVAR with parallel grafts in patients with juxtarenal abdominal aortic aneurysm excluded from fenestrated endografting. J. Cardiovasc. Surg. 2021, 62, 483–495. [Google Scholar] [CrossRef]
- Donas, K.P.; Lee, J.T.; Lachat, M.; Torsello, G.; Veith, F.J. Collected world experience about the performance of the snorkel/chimney endovascular technique in the treatment of complex aortic pathologies: The PERICLES registry. Ann. Surg. 2015, 262, 546–553. [Google Scholar] [CrossRef]
- Pitoulias, G.A.; Fazzini, S.; Donas, K.P.; Scali, S.T.; D’Oria, M.; Torsello, G.; Veith, F.J.; Puchner, S.B. Multicenter Mid-Term Outcomes of the Chimney Technique in the Elective Treatment of Degenerative Pararenal Aortic Aneurysms. J. Endovasc. Ther. 2021, 29, 226–239. [Google Scholar] [CrossRef] [PubMed]
- Arko, F.R.; Stanley, G.A.; Pearce, B.J.; Henretta, J.P.; Fugate, M.W.; Mehta, M.; Torsello, G.; Panneton, J.M.; Garrett, H.E. Endosuture aneurysm repair in patients treated with Endurant II/IIs in conjunction with Heli-FX EndoAnchor implants for short-neck abdominal aortic aneurysm. J. Vasc. Surg. 2019, 70, 732–740. [Google Scholar] [CrossRef] [PubMed]
- Donas, K.P.; Torsello, G.B.; Piccoli, G.; Pitoulias, G.; Bisdas, T.; Austermann, M.; Gasparini, D. The PROTAGORAS study to evaluate the performance of the Endurant stent graft for patients with pararenal pathologic processes treated by the chimney/snorkel endovascular technique. J. Vasc. Surg. 2016, 63, 1–7. [Google Scholar] [CrossRef] [PubMed]
- Anderson, J.L.; Berce, M.; Hartley, D.E. Endoluminal Aortic Grafting with Renal and Superior Mesenteric Artery Incorporation by Graft Fenestration. J. Endovasc. Ther. 2001, 8, 3–15. [Google Scholar] [CrossRef] [PubMed]
- Chuter, T.A.; Gordon, R.L.; Reilly, L.M.; Goodman, J.D.; Messina, L.M. An Endovascular System for Thoracoabdominal Aortic Aneurysm Repair. J. Endovasc. Ther. 2001, 8, 25–33. [Google Scholar] [CrossRef] [PubMed]
- Oderich, G.S.; Tenorio, E.R.; Mendes, B.C.; Lima, G.B.B.; Marcondes, G.B.; Saqib, N.; Hofer, J.; Wong, J.; Macedo, T.A. Midterm Outcomes of a Prospective, Nonrandomized Study to Evaluate Endovascular Repair of Complex Aortic Aneurysms Using Fenestrated-Branched Endografts. Ann. Surg. 2021, 274, 491–499. [Google Scholar] [CrossRef] [PubMed]
- Suckow, B.D.; Goodney, P.P.; Columbo, J.; Kang, R.; Stone, D.H.; Sedrakyan, A.; Cronenwett, J.L.; Fillinger, M.F. National trends in open surgical, endovascular, and branched-fenestrated endovascular aortic aneurysm repair in Medicare patients. J. Vasc. Surg. 2017, 67, 1690–1697.e1. [Google Scholar] [CrossRef] [PubMed]
- Tong, M.Z.; Eagleton, M.J.; Roselli, E.E.; Blackstone, E.H.; Xiang, F.; Ibrahim, M.; Johnston, D.R.; Soltesz, E.G.; Bakaeen, F.G.; Lyden, S.P.; et al. Outcomes of Open Versus Endovascular Repair of Descending Thoracic and Thoracoabdominal Aortic Aneurysms. Ann. Thorac. Surg. 2021, 113, 1144–1152. [Google Scholar] [CrossRef] [PubMed]
- Schepens, M.A.; Brande, F.G.V.D. Patient selection for open thoracoabdominal aneurysm repair. Ann. Cardiothorac. Surg. 2012, 1, 358–364. [Google Scholar] [CrossRef]
- Schepens, M.A.; Kelder, J.C.; Morshuis, W.J.; Heijmen, R.H.; van Dongen, E.P.; ter Beek, H.T. Long-Term Follow-Up After Thoracoabdominal Aortic Aneurysm Repair. Ann. Thorac. Surg. 2007, 83, S851–S855. [Google Scholar] [CrossRef]
- Sweeting, M.; Patel, R.; Powell, J.T.; Greenhalgh, R.M.; EVAR Trial Investigators. Endovascular Repair of Abdominal Aortic Aneurysm in Patients Physically Ineligible for Open Repair: Very Long-term Follow-up in the EVAR-2 Randomized Controlled Trial. Ann. Surg. 2017, 266, 713–719. [Google Scholar] [CrossRef]
- DeMartino, R.R.; Huang, Y.; Mandrekar, J.; Goodney, P.P.; Oderich, G.S.; Kalra, M.; Bower, T.C.; Cronenwett, J.L.; Gloviczki, P. External validation of a 5-year survival prediction model after elective abdominal aortic aneurysm repair. J. Vasc. Surg. 2017, 67, 151–156.e3. [Google Scholar] [CrossRef]
- Squizzato, F.; Antonello, M.; Taglialavoro, J.; Prosdocimi, L.; Grego, F.; Lupia, M.; Piazza, M. Clinical Impact of Routine Cardiology Consultation Prior to Elective Carotid Endarterectomy in Neurologically Asymptomatic Patients. Eur. J. Vasc. Endovasc. Surg. 2020, 59, 536–544. [Google Scholar] [CrossRef]
- Karkos, C.D. What is Appropriate Coronary Assessment Prior to Abdominal Aortic Surgery?—ScienceDirect. Eur. J. Vasc. Endovasc. Surg. 2003, 25, 487–492. [Google Scholar] [CrossRef]
- Horlocker, T.; Vandermeuelen, E.; Kopp, S.; Gogarten, W.; Leffert, L.; Benzon, H. Regional Anesthesia in the Patient Receiving Antithrombotic or Thrombolytic Therapy: American Society of Regional Anesthesia and Pain Medicine Evidence-based Guidelines (Fourth Edition). Obstet. Anesth. Dig. 2019, 39, 28–29. [Google Scholar] [CrossRef]
- Mezzetto, L.; Scorsone, L.; Silingardi, R.; Gennai, S.; Piffaretti, G.; Mantovani, A.; Bush, R.L.; Haulon, S.; Veraldi, G.F. Bridging Stents in Fenestrated and Branched Endovascular Aneurysm Repair: A Systematic REVIEW. Ann. Vasc. Surg. 2020, 73, 454–462. [Google Scholar] [CrossRef] [PubMed]
- Kärkkäinen, J.M.; Tenorio, E.; Oksala, N.; Macedo, T.A.; Sen, I.; Mendes, B.C.; DeMartino, R.R.; Jacobs, M.J.; Mees, B.; Oderich, G.S. Pre-operative Psoas Muscle Size Combined With Radiodensity Predicts Mid-Term Survival and Quality of Life After Fenestrated-Branched Endovascular Aortic Repair. Eur. J. Vasc. Endovasc. Surg. 2020, 59, 31–39. [Google Scholar] [CrossRef] [PubMed]
- Glebova, N.O.; Selvarajah, S.; Orion, K.C.; Black, J.H.; Malas, M.B.; Perler, B.A.; Abularrage, C.J. Fenestrated endovascular repair of abdominal aortic aneurysms is associated with increased morbidity but comparable mortality with infrarenal endovascular aneurysm repair. J. Vasc. Surg. 2015, 61, 604–610. [Google Scholar] [CrossRef] [PubMed]
- Locham, S.; Faateh, M.; Dhaliwal, J.; Nejim, B.; Dakour-Aridi, H.; Malas, M.B. Outcomes and cost of fenestrated versus standard endovascular repair of intact abdominal aortic aneurysm in the United States. J. Vasc. Surg. 2018, 69, 1036–1044.e1. [Google Scholar] [CrossRef] [PubMed]
- Oderich, G.S.; Forbes, T.L.; Chaer, R.; Davies, M.G.; Lindsay, T.F.; Mastracci, T.; Singh, M.J.; Timaran, C.; Woo, E.Y. Reporting standards for endovascular aortic repair of aneurysms involving the renal-mesenteric arteries. J. Vasc. Surg. 2020, 73, 4S–52S. [Google Scholar] [CrossRef] [PubMed]
- Tenorio, E.R.; Kärkkäinen, J.M.; Mendes, B.C.; DeMartino, R.R.; Macedo, T.A.; Diderrich, A.; Hofer, J.; Oderich, G.S. Outcomes of directional branches using self-expandable or balloon-expandable stent grafts during endovascular repair of thoracoabdominal aortic aneurysms. J. Vasc. Surg. 2019, 71, 1489–1502.e6. [Google Scholar] [CrossRef]
- Diamond, K.R.; Simons, J.P.; Crawford, A.S.; Arous, E.J.; Judelson, D.R.; Aiello, F.; Jones, D.W.; Messina, L.; Schanzer, A. Effect of thoracoabdominal aortic aneurysm extent on outcomes in patients undergoing fenestrated/branched endovascular aneurysm repair. J. Vasc. Surg. 2021, 74, 833–842.e2. [Google Scholar] [CrossRef] [PubMed]
- Alberga, A.J.; von Meijenfeldt, G.C.I.; Rastogi, V.; de Bruin, J.L.; Wever, J.J.; van Herwaarden, J.A.; Hamming, J.F.; Hazenberg, C.E.V.B.; van Schaik, J.; Mees, B.M.E.; et al. Association of Hospital Volume with Perioperative Mortality of Endovascular Repair of Complex Aortic Aneurysms: A Nationwide Cohort Study. J. Vasc. Surg. 2022, 75, 1492. [Google Scholar] [CrossRef]
- Scali, S.T.; Beck, A.; Sedrakyan, A.; Mao, J.; Behrendt, C.-A.; Boyle, J.R.; Venermo, M.; Faizer, R.; Schermerhorn, M.; Beiles, B.; et al. Editor’s Choice—Optimal Threshold for the Volume–Outcome Relationship After Open AAA Repair in the Endovascular Era: Analysis of the International Consortium of Vascular Registries. Eur. J. Vasc. Endovasc. Surg. 2021, 61, 747–755. [Google Scholar] [CrossRef]
- Mirza, A.K.; Tenorio, E.; Kärkkäinen, J.M.; Hofer, J.; Macedo, T.; Cha, S.; Ozbek, P.; Oderich, G.S. Learning curve of fenestrated and branched endovascular aortic repair for pararenal and thoracoabdominal aneurysms. J. Vasc. Surg. 2020, 72, 423–434.e1. [Google Scholar] [CrossRef]
- D’Oria, M.; Scali, S.; Mao, J.; Szeberin, Z.; Thomson, I.; Beiles, B.; Stone, D.; Sedrakyan, A.; Eldrup, N.; Venermo, M.; et al. Association Between Hospital Volume and Failure to Rescue After Open or Endovascular Repair of Intact Abdominal Aortic Aneurysms in the VASCUNET and International Consortium of Vascular Registries. Ann. Surg. 2021, 274, e452–e459. [Google Scholar] [CrossRef]
- Berghmans, C.H.J.; Lübke, T.; Brunkwall, J.S. A Cost Calculation of EVAR and FEVAR Procedures at an European Academic Hospital. Ann. Vasc. Surg. 2019, 54, 205–214. [Google Scholar] [CrossRef] [PubMed]
- D’Oria, M.; Wanhainen, A.; DeMartino, R.R.; Oderich, G.S.; Lepidi, S.; Mani, K. A scoping review of the rationale and evidence for cost-effectiveness analysis of fenestrated-branched endovascular repair for intact complex aortic aneurysms. J. Vasc. Surg. 2020, 72, 1772–1782. [Google Scholar] [CrossRef] [PubMed]
- Pini, R.; Faggioli, G.; Fenelli, C.; Gallitto, E.; Mascoli, C.; Spath, P.; Gargiulo, M. Intracranial Hemorrhage After Endovascular Repair of Thoracoabdominal Aortic Aneurysm. J. Endovasc. Ther. 2021, 28, 897–905. [Google Scholar] [CrossRef] [PubMed]
- Sen, I.; Tenorio, E.; Mirza, A.K.; Kärkkäinen, J.M.; Mendes, B.C.; DeMartino, R.R.; Cha, S.; Oderich, G.S. Effect of Blood Loss and Transfusion Requirements on Clinical Outcomes of Fenestrated-Branched Endovascular Aortic Repair. Cardiovasc. Interv. Radiol. 2020, 43, 1600–1607. [Google Scholar] [CrossRef] [PubMed]
- D’Oria, M.; Bertoglio, L.; Bignamini, A.A.; Mani, K.; Kölbel, T.; Oderich, G.; Chiesa, R.; Lepidi, S.; Abisi, S.; Adam, D.; et al. PRINciples of optimal antithrombotiC therapy and coagulation managEment during elective fenestrated and branched EndovaScular aortic repairS (PRINCE2SS): An International Expert Based Delphi Consensus Study. Eur. J. Vasc. Endovasc. Surg. 2022. [Google Scholar] [CrossRef] [PubMed]
- Troisi, N.; Baccellieri, D.; Biscetti, F.; D’Oria, M.; Esponda, O.; Rube, R.L.; Lecuona, N.; Grau, M.O.; Cebrian, J.P.; Pandey, S.R.; et al. IUA position statement on perioperative drug and hemostasis management in vascular surgery. Int. Angiol. 2022. [Google Scholar] [CrossRef]
- Piazza, M.; Squizzato, F.; Xodo, A.; Saviane, G.; Forcella, E.; Pont, C.D.; Grego, F.; Antonello, M. Determination of Optimal and Safest Proximal Sealing Length During Thoracic Endovascular Aortic Repair. Eur. J. Vasc. Endovasc. Surg. 2021, 62, 423–430. [Google Scholar] [CrossRef]
- Huang, I.K.H.; Renani, S.A.; Morgan, R.A. Complications and Reinterventions After Fenestrated and Branched EVAR in Patients with Paravisceral and Thoracoabdominal Aneurysms. Cardiovasc. Interv. Radiol. 2018, 41, 985–997. [Google Scholar] [CrossRef]
- Piazza, M.; Squizzato, F.; Xodo, A.; Gubert, A.; Grego, F.; Antonello, M. Effect of branch length and tortuosity on the outcomes of branched endovascular repair of thoracoabdominal aneurysms using self-expandable bridging stent-graft. J. Vasc. Surg. 2020, 74, 363–371. [Google Scholar] [CrossRef]
- Gallitto, E.; Faggioli, G.; Pini, R.; Mascoli, C.; Ancetti, S.; Abualhin, M.; Stella, A.; Gargiulo, M. Renal Artery Orientation Influences the Renal Outcome in Endovascular Thoraco-abdominal Aortic Aneurysm Repair. Eur. J. Vasc. Endovasc. Surg. 2018, 56, 382–390. [Google Scholar] [CrossRef] [PubMed]
- Mezzetto, L.; Mastrorilli, D.; Leone, N.; Gennai, S.; Silingardi, R.; Veraldi, G.F.; Piazza, M.; Squizzato, F.; Antonello, M. Preliminary Outcomes of Viabahn Balloon-Expandable Endoprosthesis as Bridging Stent in Renal Arteries During Fenestrated Endovascular Aortic Repair. J. Endovasc. Ther. 2021, 28, 575–584. [Google Scholar] [CrossRef] [PubMed]
- Goudeketting, S.R.; Heinen, S.G.; Ünlü, Ç.; van den Heuvel, D.A.; de Vries, J.P.P.; van Strijen, M.J.; Sailer, A.M. Pros and Cons of 3D Image Fusion in Endovascular Aortic Repair: A Systematic Review and Meta-analysis. J. Endovasc. Ther. 2017, 24, 595–603. [Google Scholar] [CrossRef] [PubMed]
- Mezzetto, L.; Mastrorilli, D.; Abatucci, G.; Scorsone, L.; Macrì, M.; Criscenti, P.; Onorati, F.; Gennai, S.; Veraldi, E.; Veraldi, G.F. Impact of Cone Beam Computed Tomography in Advanced Endovascular Aortic Aneurysm Repair Using Last Generation 3D C-arm. Ann. Vasc. Surg. 2021, 78, 132–140. [Google Scholar] [CrossRef] [PubMed]
- Tenorio, E.; Oderich, G.S.; Sandri, G.A.; Ozbek, P.; Kärkkäinen, J.M.; Vrtiska, T.; Macedo, T.A.; Gloviczki, P. Prospective nonrandomized study to evaluate cone beam computed tomography for technical assessment of standard and complex endovascular aortic repair. J. Vasc. Surg. 2019, 71, 1982–1993.e5. [Google Scholar] [CrossRef] [PubMed]
- Gennai, S.; Leone, N.; Saitta, G.; Migliari, M.; Lauricella, A.; Farchioni, L.; Silingardi, R. Intravascular Ultrasound in Branched and Fenestrated Endovascular Aneurysm Repair: Initial Experience in a Single-Center Cohort Study. J. Endovasc. Ther. 2021, 28, 828–836. [Google Scholar] [CrossRef] [PubMed]
- Usai, M.V.; Oberhuber, A.; Asciutto, G. Assessment of Bridging Stent Grafts in Branched Endovascular Aortic Repair (EVAR) Procedures Using Intravascular Ultrasound (IVUS). EJVES Vasc. Forum 2020, 47, 51–54. [Google Scholar] [CrossRef] [PubMed]
- Squizzato, F.; Piazza, M.; Vio, E.; Dall’Antonia, A.; Grego, F.; Antonello, M. Possible Added Value of Intravascular Ultrasound in the Evaluation of the Bridging Grafts in Branched Aortic Stent-Grafting. Cardiovasc. Interv. Radiol. 2021, 44, 1469–1472. [Google Scholar] [CrossRef]
- Verzini, F.; Loschi, D.; De Rango, P.; Ferrer, C.; Simonte, G.; Coscarella, C.; Pogany, G.; Cao, P. Current results of total endovascular repair of thoracoabdominal aortic aneurysms. J. Cardiovasc. Surg. 2014, 55, 9–19. [Google Scholar]
- Tenorio, E.R.; Dias-Neto, M.F.; Lima, G.B.B.; Estrera, A.L.; Oderich, G.S. Endovascular repair for thoracoabdominal aortic aneurysms: Current status and future challenges. Ann. Cardiothorac. Surg. 2021, 10, 744–767. [Google Scholar] [CrossRef] [PubMed]
- Spanos, K.; Kölbel, T.; Kubitz, J.C.; Wipper, S.; Konstantinou, N.; Heidemann, F.; Rohlffs, F.; Debus, S.E.; Tsilimparis, N. Risk of spinal cord ischemia after fenestrated or branched endovascular repair of complex aortic aneurysms. J. Vasc. Surg. 2018, 69, 357–366. [Google Scholar] [CrossRef] [PubMed]
- Riambau, V.; Böckler, D.; Brunkwall, J.; Cao, P.; Chiesa, R.; Coppi, G.; Czerny, M.; Fraedrich, G.; Haulon, S.; Jacobs, M.J. Editor’s Choice—Management of Descending Thoracic Aorta Diseases: Clinical Practice Guidelines of the European Society for Vascular Surgery (ESVS). Eur. J. Vasc. Endovasc. Surg. 2017, 53, 4–52. [Google Scholar] [CrossRef] [PubMed]
- Tenorio, E.R.; Balachandran, P.W.; Marcondes, G.B.; Lima, G.B.; Boba, L.M.; Mendes, B.C.; Macedo, T.A.; Oderich, G.S. Incidence, predictive factors, and outcomes of intraprocedure adverse events during fenestrated-branched endovascular aortic repair of complex abdominal and thoracoabdominal aortic aneurysms. J. Vasc. Surg. 2021, 75, 783–793. [Google Scholar] [CrossRef] [PubMed]
- Heidemann, F.; Kölbel, T.; Kuchenbecker, J.; Kreutzburg, T.; Debus, E.S.; Larena-Avellaneda, A.; Dankhoff, M.; Behrendt, C.-A. Incidence, predictors, and outcomes of spinal cord ischemia in elective complex endovascular aortic repair: An analysis of health insurance claims. J. Vasc. Surg. 2020, 72, 837–848. [Google Scholar] [CrossRef] [PubMed]
- Pini, R.; Faggioli, G.; Paraskevas, K.I.; Alaidroos, M.; Palermo, S.; Gallitto, E.; Gargiulo, M. A systematic review and meta-analysis of the occurrence of spinal cord ischemia after endovascular repair of thoracoabdominal aortic aneurysms. J. Vasc. Surg. 2021, 75, 1466–1477.e8. [Google Scholar] [CrossRef]
- Branzan, D.; Etz, C.D.; Moche, M.; Von Aspern, K.; Staab, H.; Fuchs, J.; Bergh, F.T.; Scheinert, D.; Schmidt, A. Ischaemic preconditioning of the spinal cord to prevent spinal cord ischaemia during endovascular repair of thoracoabdominal aortic aneurysm: First clinical experience. EuroIntervention 2018, 14, 828–835. [Google Scholar] [CrossRef]
- Haunschild, J.; Von Aspern, K.; Misfeld, M.; Davierwala, P.; Borger, M.A.; Etz, C.D. Spinal cord protection in thoracoabdominal aortic aneurysm surgery: A multimodal approach. J. Cardiovasc. Surg. 2021, 62, 316–325. [Google Scholar] [CrossRef]
- Bertoglio, L.; Kahlberg, A.; Gallitto, E.; Fargion, A.; Isernia, G.; Faggioli, G.; Melissano, G.; Lenti, M.; Pratesi, C.; Gargiulo, M.; et al. Role of historical and procedural staging during elective fenestrated and branched endovascular treatment of extensive thoracoabdominal aortic aneurysms. J. Vasc. Surg. 2021, 75, 1501–1511. [Google Scholar] [CrossRef]
- D’Oria, M.; Mastrorilli, D.; DeMartino, R.; Lepidi, S. Current Status of Endovascular Preservation of the Internal Iliac Artery with Iliac Branch Devices (IBD). Cardiovasc. Interv. Radiol. 2019, 42, 935–948. [Google Scholar] [CrossRef]
- D’Oria, M.; Pitoulias, G.A.; Torsello, G.F.; Pitoulias, A.G.; Fazzini, S.; Masciello, F.; Verzini, F.; Donas, K.P.; Taneva, G.T.; Austermann, M.; et al. Bilateral Use of Iliac Branch Devices for Aortoiliac Aneurysms Is Safe and Feasible, and Procedural Volume Does Not Seem to Affect Technical or Clinical Effectiveness: Early and Midterm Results From the pELVIS International Multicentric Registry. J. Endovasc. Ther. 2021, 28, 585–592. [Google Scholar] [CrossRef]
- D’Oria, M.; Tenorio, E.R.; Oderich, G.S.; DeMartino, R.R.; Kalra, M.; Shuja, F.; Colglazier, J.J.; Mendes, B.C. Outcomes of Unilateral Versus Bilateral Use of the Iliac Branch Endoprosthesis for Elective Endovascular Treatment of Aorto-iliac Aneurysms. Cardiovasc. Interv. Radiol. 2022, 22, 1–11. [Google Scholar] [CrossRef] [PubMed]
- Maurel, B.; Delclaux, N.; Sobocinski, J.; Hertault, A.; Martin-Gonzalez, T.; Moussa, M.; Spear, R.; Le Roux, M.; Azzaoui, R.; Tyrrell, M.; et al. Editor’s Choice—The Impact of Early Pelvic and Lower Limb Reperfusion and Attentive Peri-operative Management on the Incidence of Spinal Cord Ischemia During Thoracoabdominal Aortic Aneurysm Endovascular Repair. Eur. J. Vasc. Endovasc. Surg. 2015, 49, 248–254. [Google Scholar] [CrossRef] [PubMed]
- Bertoglio, L.; Loschi, D.; Grandi, A.; Melloni, A.; Bilman, V.; Melissano, G.; Chiesa, R. Early Limb Reperfusion Using Routinely Preloaded Fenestrated Stent-graft Designs for Complex Endovascular Aortic Procedures. Cardiovasc. Interv. Radiol. 2020, 43, 1868–1880. [Google Scholar] [CrossRef] [PubMed]
- Spanos, K.; Kölbel, T.; Scheerbaum, M.; Donas, K.P.; Austermann, M.; Rohlffs, F.; Verzini, F.; Tsilimparis, N.; Bosiers, M.; Inchingolo, M.; et al. Iliac Branch Devices with Standard vs. Fenestrated/Branched Stent-Grafts: Does Aneurysm Complexity Produce Worse Outcomes? Insights from the pELVIS Registry. J. Endovasc. Ther. 2020, 27, 910–916. [Google Scholar] [CrossRef] [PubMed]
- D’Oria, M.; Budtz-Lilly, J.; Wanhainen, A.; Lindstrom, D.; Tegler, G.; Mani, K. Short-term and Mid-term Outcomes after Use of the Native Infrarenal Aorta as Distal Landing Zone for Fenestrated-Branched Endovascular Aortic Repair. Ann. Vasc. Surg. 2020, 72, 114–123. [Google Scholar] [CrossRef]
- Law, Y.; Kölbel, T.; Rohlffs, F.; Behrendt, C.-A.; Heidemann, F.; Debus, E.S.; Tsilimparis, N. Safety and durability of infrarenal aorta as distal landing zone in fenestrated or branched endograft repair for thoracoabdominal aneurysm. J. Vasc. Surg. 2018, 69, 334–340. [Google Scholar] [CrossRef]
- Lima, G.B.; Tenorio, E.R.; Marcondes, G.B.; Wong, J.; Saqib, N.; Mendes, B.C.; De Luccia, N.; Oderich, G.S. Differences in procedural metrics and clinical outcomes among patients treated by fenestrated-branched endovascular repair of thoracoabdominal aortic aneurysms using infrarenal aortic versus iliac sealing zones. J. Vasc. Surg. 2021, 74, 1464–1471.e3. [Google Scholar] [CrossRef]
- Kitpanit, N.; Ellozy, S.H.; Connolly, P.H.; Agrusa, C.J.; Lichtman, A.D.; Schneider, D.B. Risk factors for spinal cord injury and complications of cerebrospinal fluid drainage in patients undergoing fenestrated and branched endovascular aneurysm repair. J. Vasc. Surg. 2020, 73, 399–409.e1. [Google Scholar] [CrossRef]
- Kärkkäinen, J.M.; Cirillo-Penn, N.C.; Sen, I.; Tenorio, E.; Mauermann, W.J.; Gilkey, G.D.; Kaufmann, T.J.; Oderich, G.S. Cerebrospinal fluid drainage complications during first stage and completion fenestrated-branched endovascular aortic repair. J. Vasc. Surg. 2019, 71, 1109–1118.e2. [Google Scholar] [CrossRef]
- Tenorio, E.R.; Ribeiro, M.S.; Banga, P.V.; Mendes, B.C.; Kärkkäinen, J.; DeMartino, R.R.; Hoffman, E.M.; Oderich, G.S. Prospective Assessment of a Protocol Using Neuromonitoring, Early Limb Reperfusion, and Selective Temporary Aneurysm Sac Perfusion to Prevent Spinal Cord Injury During Fenestrated-branched Endovascular Aortic Repair. J. Vasc. Surg. 2021, 73, 1829. [Google Scholar] [CrossRef]
- Mirza, A.K.; Oderich, G.S.; Sandri, G.A.; Tenorio, E.; Davila, V.J.; Kärkkäinen, J.M.; Hofer, J.; Cha, S. Outcomes of upper extremity access during fenestrated-branched endovascular aortic repair. J. Vasc. Surg. 2018, 69, 635–643. [Google Scholar] [CrossRef]
- Fiorucci, B.; Kölbel, T.; Rohlffs, F.; Heidemann, F.; Debus, S.E.; Tsilimparis, N. Right brachial access is safe for branched endovascular aneurysm repair in complex aortic disease. J. Vasc. Surg. 2017, 66, 360–366. [Google Scholar] [CrossRef] [PubMed]
- Chini, J.; Mendes, B.C.; Tenorio, E.R.; Ribeiro, M.S.; Sandri, G.A.; Cha, S.; Hofer, J.; Oderich, G.S. Preloaded Catheters and Guide-Wire Systems to Facilitate Catheterization During Fenestrated and Branched Endovascular Aortic Repair. Cardiovasc. Interv. Radiol. 2019, 42, 1678–1686. [Google Scholar] [CrossRef] [PubMed]
- Eilenberg, W.; Kölbel, T.; Rohlffs, F.; Oderich, G.; Eleshra, A.; Tsilimparis, N.; Debus, S.; Panuccio, G. Comparison of transfemoral versus upper extremity access to antegrade branches in branched endovascular aortic repair. J. Vasc. Surg. 2020, 73, 1498–1503. [Google Scholar] [CrossRef]
- D’Oria, M.; Kärkkäinen, J.M.; Tenorio, E.; Oderich, G.S.; Mendes, B.C.; Shuja, F.; Colglazier, J.; DeMartino, R.R. Perioperative Outcomes of Carotid–Subclavian Bypass or Transposition versus Endovascular Techniques for Left Subclavian Artery Revascularization during Nontraumatic Zone 2 Thoracic Endovascular Aortic Repair in the Vascular Quality Initiative. Ann. Vasc. Surg. 2020, 69, 17–26. [Google Scholar] [CrossRef] [PubMed]
- D’Oria, M.; Mani, K.; DeMartino, R.; Czerny, M.; Donas, K.P.; Wanhainen, A.; Lepidi, S. Narrative review on endovascular techniques for left subclavian artery revascularization during thoracic endovascular aortic repair and risk factors for post-operative stroke. Interact. Cardiovasc. Thorac. Surg. 2021, 32, 764–772. [Google Scholar] [CrossRef]
- Piffaretti, G.; Pratesi, G.; Gelpi, G.; Galli, M.; Criado, F.J.; Antonello, M.; Fontana, F.; Piacentino, F.; Macchi, E.; Tozzi, M.; et al. Comparison of Two Different Techniques for Isolated Left Subclavian Artery Revascularization During Thoracic Endovascular Aortic Repair in Zone. J. Endovasc. Ther. 2018, 25, 740–749. [Google Scholar] [CrossRef] [PubMed]
- Bertoglio, L.; Salvati, S.; Fittipaldi, A.; Melloni, A.; Kahlberg, A.; Cambiaghi, T.; Melissano, G.; Chiesa, R. Carotid to subclavian bypass and Amplatzer vascular plug subclavian endovascular occlusion before thoracic open or endovascular repair. J. Vasc. Surg. 2020, 71, 1480–1488.e1. [Google Scholar] [CrossRef]
- Tsilimparis, N.; Prendes, C.F.; Rouhani, G.; Adam, D.; Dias, N.; Stana, J.; Rohlffs, F.; Mani, K.; Wanhainen, A.; Kölbel, T. Pre-Loaded Fenestrated Thoracic Endografts for Distal Aortic Arch Pathologies: Multicentre Retrospective Analysis of Short and Mid Term Outcomes. Eur. J. Vasc. Endovasc. Surg. 2021, 62, 887–895. [Google Scholar] [CrossRef]
- Gallitto, E.; Faggioli, G.; Melissano, G.; Fargion, A.; Isernia, G.; Lenti, M.; Pratesi, C.; Chiesa, R.; Gargiulo, M.; Luca, B.; et al. Preoperative and postoperative predictors of clinical outcome of fenestrated and branched endovascular repair for complex abdominal and thoracoabdominal aortic aneurysms in an Italian multicenter registry. J. Vasc. Surg. 2021, 74, 1795–1806.e6. [Google Scholar] [CrossRef]
- Westin, G.; Rockman, C.; Sadek, M.; Ramkhelawon, B.; Cambria, M.R.; Silvestro, M.; Garg, K.; Cayne, N.; Veith, F.J.; Maldonado, T.S. Increased ischemic complications in fenestrated and branched endovascular abdominal aortic repair compared with standard endovascular aortic repair. J. Vasc. Surg. 2020, 72, 36–43. [Google Scholar] [CrossRef]
- D’Oria, M.; Wanhainen, A.; Lindström, D.; Tegler, G.; Mani, K. Editor’s Choice—Pre-Operative Moderate to Severe Chronic Kidney Disease is Associated with Worse Short-Term and Mid-Term Outcomes in Patients Undergoing Fenestrated-Branched Endovascular Aortic Repair. Eur. J. Vasc. Endovasc. Surg. 2021, 62, 859–868. [Google Scholar] [CrossRef]
- Cajas-Monson, L.; D’Oria, M.; Tenorio, E.; Mendes, B.C.; Oderich, G.S.; DeMartino, R.R. Effect of renal function on patient survival after endovascular thoracoabdominal and pararenal aortic aneurysm repair. J. Vasc. Surg. 2020, 74, 13–19. [Google Scholar] [CrossRef] [PubMed]
- Gallitto, E.; Faggioli, G.; Vacirca, A.; Pini, R.; Mascoli, C.; Fenelli, C.; Logiacco, A.; Abualhin, M.; Gargiulo, M. The benefit of combined carbon dioxide automated angiography and fusion imaging in preserving perioperative renal function in fenestrated endografting. J. Vasc. Surg. 2020, 72, 1906–1916. [Google Scholar] [CrossRef] [PubMed]
- Huerta, C.T.; Orr, N.T.; Tyagi, S.C.; Badia, D.J.; Richie, C.D.; Endean, E.D. Direct Retrograde Bypass is Preferable to Antegrade Bypass for Open Mesenteric Revascularization. Ann. Vasc. Surg. 2020, 66, 263–271. [Google Scholar] [CrossRef] [PubMed]
- Piffaretti, G.; Fontana, F.; Franchin, M.; Bacuzzi, A.; Dorigo, W.; Castelli, P.; Tozzi, M. Total endovascular treatment for extent type 1 and 5 thoracoabdominal aortic aneurysms. J. Thorac. Cardiovasc. Surg. 2017, 154, 1487–1496.e1. [Google Scholar] [CrossRef]
- Banno, H.; Ikeda, S.; Kawai, Y.; Meshii, K.; Takahashi, N.; Sugimoto, M.; Kodama, A.; Komori, K. Early and midterm outcomes of celiac artery coverage during thoracic endovascular aortic repair. J. Vasc. Surg. 2020, 72, 1552–1557. [Google Scholar] [CrossRef] [PubMed]
- Jim, J.; Caputo, F.J.; Sanchez, L.A. Intentional coverage of the celiac artery during thoracic endovascular aortic repair. J. Vasc. Surg. 2013, 58, 270–275. [Google Scholar] [CrossRef]
- Malgor, R.D.; de Marino, P.M.; Verhoeven, E.; Katsargyris, A. A systematic review of outcomes of upper extremity access for fenestrated and branched endovascular aortic repair. J. Vasc. Surg. 2019, 71, 1763–1770.e2. [Google Scholar] [CrossRef]
- Piazza, M.; Squizzato, F.; Bassini, S.; Chincarini, C.; Grego, F.; Antonello, M. The impact of female sex on the outcomes of endovascular treatment for iliac lesions. J. Vasc. Surg. 2019, 71, 2039–2047. [Google Scholar] [CrossRef]
- D’Oria, M.; Oderich, G.S.; Tenorio, E.R.; Kärkkäinen, J.M.; Mendes, B.C.; DeMartino, R.R. Safety and Efficacy of Totally Percutaneous Femoral Access for Fenestrated–Branched Endovascular Aortic Repair of Pararenal–Thoracoabdominal Aortic Aneurysms. Cardiovasc. Interv. Radiol. 2020, 43, 547–555. [Google Scholar] [CrossRef] [PubMed]
- Rowse, J.W.; Morrow, K.; Bena, J.F.; Eagleton, M.J.; Parodi, F.E.; Smolock, C.J. Iliac conduits remain safe in complex endovascular aortic repair. J. Vasc. Surg. 2019, 70, 424–431. [Google Scholar] [CrossRef]
- Wu, T.; Carson, J.G.; Skelly, C.L. Use of Internal Endoconduits as an Adjunct to Endovascular Aneurysm Repair in the Setting of Challenging Aortoiliac Anatomy. Ann. Vasc. Surg. 2010, 24, 114.e7–114.e11. [Google Scholar] [CrossRef][Green Version]
- Gallitto, E.; Gargiulo, M.; Faggioli, G.; Pini, R.; Mascoli, C.; Freyrie, A.; Ancetti, S.; Stella, A. Impact of iliac artery anatomy on the outcome of fenestrated and branched endovascular aortic repair. J. Vasc. Surg. 2017, 66, 1659–1667. [Google Scholar] [CrossRef] [PubMed]
- Puta, B.; Fazzini, S.; Torsello, G.; Pipitone, M.D.; Austermann, M.; Beropoulis, E. Preliminary Clinical and Radiologic Outcome of Matched Patients with Thoracoabdominal Aortic Aneurysms Treated by Low-Profile vs. Standard Profile Branched Aortic Endografts. Ann. Vasc. Surg. 2021, 75, 397–405. [Google Scholar] [CrossRef] [PubMed]
- Katsargyris, A.; Uthayakumar, V.; de Marino, P.M.; Botos, B.; Verhoeven, E.L. Aneurysm Rupture and Mortality During the Waiting Time for a Customised Fenestrated/Branched Stent Graft in Complex Endovascular Aortic Repair. Eur. J. Vasc. Endovasc. Surg. 2020, 60, 44–48. [Google Scholar] [CrossRef] [PubMed]
- D’Oria, M.; Wanhainen, A.; Mani, K.; Lindström, D. Frequency and type of interval adverse events during the waiting period to complex aortic endovascular repair. J. Vasc. Surg. 2022, 75, 1821–1828.e1. [Google Scholar] [CrossRef] [PubMed]
- Gallitto, E.; Faggioli, G.; Spath, P.; Pini, R.; Mascoli, C.; Ancetti, S.; Stella, A.; Abualhin, M.; Gargiulo, M. The risk of aneurysm rupture and target visceral vessel occlusion during the lead period of custom-made fenestrated/branched endograft. J. Vasc. Surg. 2020, 72, 16–24. [Google Scholar] [CrossRef] [PubMed]
- Bradley, N.A.; Roxburgh, C.; Khan, F.; Guthrie, G. Postimplantation syndrome in endovascular aortic aneurysm repair—A systematic review. Vasa 2021, 50, 174–185. [Google Scholar] [CrossRef] [PubMed]
- Squizzato, F.; Antonello, M.; Forcella, E.; Coppadoro, C.C.E.F.S.; Colacchio, C.; Xodo, A.; Grego, F.; Piazza, M. Geometrical determinants of target vessel instability in fenestrated endovascular aortic repair. J. Vasc. Surg. 2022. [Google Scholar] [CrossRef]
- Verzini, F.; Gibello, L.; Varetto, G.; Frola, E.; Boero, M.; Porro, L.; Gattuso, A.; Peretti, T.; Rispoli, P. Proportional meta-analysis of open surgery or fenestrated endograft repair for postdissection thoracoabdominal aneurysms. J. Vasc. Surg. 2021, 74, 1377–1385.e9. [Google Scholar] [CrossRef] [PubMed]
- Mirza, A.K.; Tenorio, E.R.; Marcondes, G.B.; Lima, G.B.B.; Macedo, T.A.; Mendes, B.C.; Oderich, G.S. Comparison of Cerebral Embolic Events Between Right and Left Upper Extremity Access During Fenestrated/Branched Endovascular Aortic Repair. J. Endovasc. Ther. 2020, 28, 70–77. [Google Scholar] [CrossRef]
- Bertoglio, L.; Grandi, A.; Melloni, A.; Kahlberg, A.; Melissano, G.; Chiesa, R. Percutaneous AXillary Artery (PAXA) Access at the First Segment During Fenestrated and Branched Endovascular Aortic Procedures. Eur. J. Vasc. Endovasc. Surg. 2020, 59, 929–938. [Google Scholar] [CrossRef] [PubMed]
- Bertoglio, L.; Conradi, L.; Howard, D.P.; Kaki, A.; Eynde, W.V.D.; Rio, J.; Montorfano, M.; Dias, N.V.; Ronchey, S.; Parlani, G.; et al. Percutaneous transaxillary access for endovascular aortic procedures in the multicenter international PAXA registry. J. Vasc. Surg. 2021, 75, 868–876.e3. [Google Scholar] [CrossRef]
- D’Oria, M.; Budtz-Lilly, J.; Lindstrom, D.; Lundberg, G.; Jonsson, M.; Wanhainen, A.; Mani, K.; Unosson, J. Comparison of Early and Mid-Term Outcomes After Fenestrated-Branched Endovascular Aortic Repair in Patients With or Without Prior Infrarenal Repair. J. Endovasc. Ther. 2021. [Google Scholar] [CrossRef] [PubMed]
- Xodo, A.; D’Oria, M.; Squizzato, F.; Antonello, M.; Grego, F.; Bonvini, S.; Milite, D.; Frigatti, P.; Cognolato, D.; Veraldi, G.F. Early and midterm outcomes following open surgical conversion after failed endovascular aneurysm repair from the ‘Italian North-easT RegIstry of surgical Conversion AfTer Evar’ (INTRICATE). J. Vasc. Surg. 2022, 75, 153–161.e2. [Google Scholar] [CrossRef] [PubMed]
- Perini, P.; Gargiulo, M.; Silingardi, R.; Bonardelli, S.; Bellosta, R.; Bonvini, S.; Michelagnoli, S.; Tusini, N.; Capelli, P.; Freyrie, A.; et al. Twenty-two Year Multicentre Experience of Late Open Conversions after Endovascular Abdominal Aneurysm Repair. Eur. J. Vasc. Endovasc. Surg. 2020, 59, 757–765. [Google Scholar] [CrossRef] [PubMed]
- Goudeketting, S.R.; Jin, P.P.F.K.; Ünlü, Ç.; de Vries, J.P.P. Systematic review and meta-analysis of elective and urgent late open conversion after failed endovascular aneurysm repair. J. Vasc. Surg. 2019, 70, 615–628.e7. [Google Scholar] [CrossRef] [PubMed]
- Rinaldi, E.; Kahlberg, A.; Carta, N.; Mascia, D.; Bertoglio, L.; Chiesa, R. Late Open Conversion Following Failure of EVAR and TEVAR: ‘State of the Art’. Cardiovasc. Interv. Radiol. 2020, 43, 1855–1864. [Google Scholar] [CrossRef] [PubMed]
- Tenorio, E.; Oderich, G.S.; Farber, M.A.; Schneider, D.B.; Timaran, C.H.; Schanzer, A.; Beck, A.W.; Motta, F.; Sweet, M.P. Outcomes of endovascular repair of chronic postdissection compared with degenerative thoracoabdominal aortic aneurysms using fenestrated-branched stent grafts. J. Vasc. Surg. 2019, 72, 822–836.e9. [Google Scholar] [CrossRef]
- Schanzer, A.; Beck, A.W.; Eagleton, M.; Farber, M.A.; Oderich, G.; Schneider, D.; Sweet, M.P.; Crawford, A.; Timaran, C. Results of fenestrated and branched endovascular aortic aneurysm repair after failed infrarenal endovascular aortic aneurysm repair. J. Vasc. Surg. 2020, 72, 849–858. [Google Scholar] [CrossRef] [PubMed]
- Cowan, J.A.; Dimick, J.B.; Henke, P.K.; Huber, T.S.; Stanley, J.C.; Upchurch, G.R. Surgical treatment of intact thoracoabdominal aortic aneurysms in the United States: Hospital and surgeon volume-related outcomes. J. Vasc. Surg. 2003, 37, 1169–1174. [Google Scholar] [CrossRef]
Publisher’s Note: MDPI stays neutral with regard to jurisdictional claims in published maps and institutional affiliations. |
© 2022 by the authors. Licensee MDPI, Basel, Switzerland. This article is an open access article distributed under the terms and conditions of the Creative Commons Attribution (CC BY) license (https://creativecommons.org/licenses/by/4.0/).







