Effect of Cu Content on the PBF-LB/M Processing of the Promising Al-Si-Cu-Mg Composition
Abstract
1. Introduction
2. Materials and Methods
2.1. Pre-Alloyed Powder Characterization
2.2. PBF-LB/M Production
2.3. As-Built Samples Characterization
3. Results and Discussion
3.1. Powders Assessment: Morphology and Chemistry
3.2. Effect of Copper on PBF-LB/M Processability
3.3. Influence of Copper on Microhardness
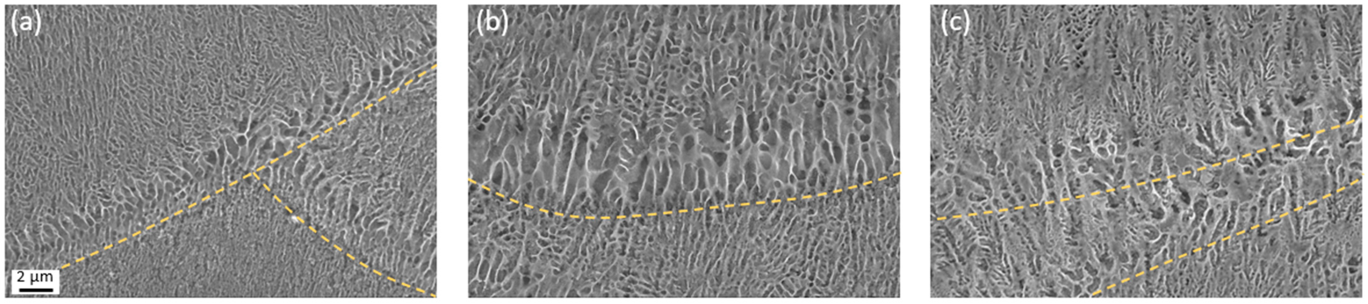
3.4. Microstructural Investigations
4. Conclusions
- The powders exhibited good flowability and packing, showing no different behavior with the increasing of the alloyed copper.
- The AlCu20Si10Mg system revealed a significantly lower laser absorbance level compared to the other two lower copper systems.
- The AlSi10Cu4Mg system was easily processed, obtaining fully dense and crack-free samples by using the process parameters suggested by the SSTs. On the other hand, systems with higher Cu content showed densification issues. The delaminations that occurred in the AlSi10Cu8Mg system were overcome by an accurate optimization of the process conditions. The hot cracks formed due to the poor laser absorbance of the AlCu20Si10Mg system were not eliminated by process optimization.
- Preliminary studies on the mechanical properties by microhardness measurements revealed unprecedented results, with an increase in mean microhardness values of 20 and 67% compared to the AlSi10Cu4Mg system for AlSi10Cu8Mg and AlCu20Si10Mg, respectively.
- Microstructural analyses revealed a marked morphological similarity between the AlSi10Cu4Mg and AlSi10Cu8Mg systems. In contrast, the AlCu20Si10Mg system revealed a very varied microstructure, with dendritic structures of different morphologies and a network that appears significantly enlarged with narrower cells.
- Through an accurate XRD pattern analysis and the application of Vegard’s law, it was possible to estimate the Cu levels in solid solution. In particular, it has been proved that processing high-copper Al-Si-Cu-Mg alloys enables the formation of supersaturated systems with Cu levels slightly below 8 wt%.
Author Contributions
Funding
Data Availability Statement
Acknowledgments
Conflicts of Interest
References
- Niu, G.; Wang, Y.; Zhu, L.; Ye, J.; Mao, J. Fluidity of casting Al–Si series alloys for automotive light-weighting: A systematic review. Mater. Sci. Technol. 2022, 38, 902–911. [Google Scholar] [CrossRef]
- Prashanth, K.G.; Scudino, S.; Klauss, H.J.; Surreddi, K.B.; Löber, L.; Wang, Z.; Chaubey, A.K.; Kühn, U.; Eckert, J. Microstructure and mechanical properties of Al–12Si produced by selective laser melting: Effect of heat treatment. Mater. Sci. Eng. A 2014, 590, 153–160. [Google Scholar] [CrossRef]
- Zhang, M.; Tian, Y.; Zheng, X.; Zhang, Y.; Chen, L.; Wang, J. Research Progress on Multi-Component Alloying and Heat Treatment of High Strength and Toughness Al–Si–Cu–Mg Cast Aluminum Alloys. Materials 2023, 16, 1065. [Google Scholar] [CrossRef] [PubMed]
- Li, R.X.; Li, R.D.; Zhao, Y.H.; He, L.Z.; Li, C.X.; Guan, H.R.; Hu, Z.Q. Age-hardening behavior of cast Al–Si base alloy. Mater. Lett. 2004, 58, 2096–2101. [Google Scholar] [CrossRef]
- Ding, L.; Jia, Z.; Nie, J.-F.; Weng, Y.; Cao, L.; Chen, H.; Wu, X.; Liu, Q. The structural and compositional evolution of precipitates in Al-Mg-Si-Cu alloy. Acta Mater. 2018, 145, 437–450. [Google Scholar] [CrossRef]
- Li, X.P.; Wang, X.J.; Saunders, M.; Suvorova, A.; Zhang, L.C.; Liu, Y.J.; Fang, M.H.; Sercombe, T. A selective laser melting and solution heat treatment refined Al-12Si alloy with a controllable ultrafine eu-tectic microstructure and 25% tensile ductility. Acta Mater. 2015, 95, 74–82. [Google Scholar] [CrossRef]
- Siddique, S.; Imran, M.; Wycisk, E.; Emmelmann, C.; Walther, F. Influence of process-induced microstructure and imper-fections on mechanical properties of AlSi12 processed by selective laser melting. J. Mater. Process. Technol. 2015, 221, 205–213. [Google Scholar] [CrossRef]
- Wang, G.; Bian, X.; Wang, W.; Zhang, J. Influence of Cu and minor elements on solution treatment of Al-Si-Cu-Mg cast alloys. Mater. Lett. 2003, 57, 4083–4087. [Google Scholar] [CrossRef]
- Vonýina, M.; Medved, J.; Bonýina, T.; Zupaniý, F. Effect of Ce on morphology of α(Al)–Al2Cu eutectic in Al–Si–Cu alloy. Trans. Nonferrous Met. Soc. China 2014, 24, 36–41. [Google Scholar] [CrossRef]
- Wang, J.; Ren, Z.; Yang, W.; Xia, F.; Duan, H.; Guo, Y.; Li, J.; Gao, X. Effect of ultrasonic and different modification treatments on the microstructure of cast Al-Si-Cu-Mg-Ni alloy. Philos. Mag. 2021, 101, 1750–1764. [Google Scholar] [CrossRef]
- Kim, J.T.; Hong, S.H.; Park, J.M.; Eckert, J.; Kim, K.B. Microstructure and mechanical properties of hierarchical multi-phase composites based on Al-Ni-type intermetallic compounds in the Al-Ni-Cu-Si alloy system. J. Alloys Compd. 2018, 749, 205–210. [Google Scholar] [CrossRef]
- Puga, H.; Costa, S.; Barbosa, J.; Ribeiro, S.; Prokic, M. Influence of ultrasonic melt treatment on microstructure and mechanical properties of AlSi9Cu3 alloy. J. Mater. Process. Technol. 2011, 211, 1729–1735. [Google Scholar] [CrossRef]
- Kotadia, H.R.; Gibbons, G.; Das, A.; Howes, P.D. A review of Laser Powder Bed Fusion Additive Manufacturing of aluminium alloys: Microstructure and properties. Addit. Manuf. 2021, 46, 102155. [Google Scholar] [CrossRef]
- Qin, H.; Dong, Q.; Fallah, V.; Daymond, M.R. Rapid Solidification and Non-equilibrium Phase Constitution in Laser Powder Bed Fusion (LPBF) of AlSi10Mg Alloy: Analysis of Nano-precipitates, Eutectic Phases, and Hardness Evolution. Met. Mater. Trans. A Phys. Metall. Mater. Sci. 2020, 51, 448–466. [Google Scholar] [CrossRef]
- Tang, M.; Pistorius, P.C.; Narra, S.P.; Beuth, J.L. Rapid Solidification: Selective Laser Melting of AlSi10Mg. JOM 2016, 68, 960–966. [Google Scholar] [CrossRef]
- Dynin, N.V.; Antipov, V.V.; Khasikov, D.V.; Benarieb, I.; Zavodov, A.V.; Evgenov, A.G. Structure and mechanical properties of an advanced aluminium alloy AlSi10MgCu(Ce,Zr) produced by selective laser melting. Mater. Lett. 2021, 284, 128898. [Google Scholar] [CrossRef]
- Takata, N.; Liu, M.; Kodaira, H.; Suzuki, A.; Kobashi, M. Anomalous strengthening by supersaturated solid solutions of selectively laser melted Al–Si-based alloys. Addit. Manuf. 2020, 33, 101152. [Google Scholar] [CrossRef]
- Fiocchi, J.; Tuissi, A.; Biffi, C. Heat treatment of aluminium alloys produced by laser powder bed fusion: A review. Mater. Des. 2021, 204, 109651. [Google Scholar] [CrossRef]
- Van Cauwenbergh, P.; Samaee, V.; Thijs, L.; Nejezchlebová, J.; Sedlák, P.; Iveković, A.; Schryvers, D.; Van Hooreweder, B.; Vanmeensel, K. Unravelling the multi-scale structure–property relationship of laser powder bed fusion processed and heat-treated AlSi10Mg. Sci. Rep. 2021, 11, 6423. [Google Scholar] [CrossRef]
- Fiocchi, J.; Biffi, C.; Tuissi, A. Selective laser melting of high-strength primary AlSi9Cu3 alloy: Processability, microstructure, and mechanical properties. Mater. Des. 2020, 191, 108581. [Google Scholar] [CrossRef]
- Martucci, A.; Gobber, F.; Aversa, A.; Manfredi, D.; Fino, P.; Lombardi, M. Improvement in the PBF-LB / M processing of the Al-Si-Cu-Mg composition through the use of pre- alloyed powder Improvement in the PBF-LB/M processing of the Al-Si-Cu-Mg composition through the use of pre-alloyed powder. Mater. Res. Express 2023, 10, 046508. [Google Scholar] [CrossRef]
- Martin, A.; Sebastian, M.S.; Gil, E.; Wang, C.; Milenkovic, S.; Pérez-Prado, M.; Cepeda-Jiménez, C. Effect of the heat treatment on the microstructure and hardness evolution of a AlSi10MgCu alloy designed for laser powder bed fusion. Mater. Sci. Eng. A 2021, 819, 141487. [Google Scholar] [CrossRef]
- Al-Zubaydi, A.S.J.; Gao, N.; Dzugan, J.; Podany, P.; Sahu, S.; Kumar, D.; Chen, Y.; Reed, P.A.S. The hot deformation behaviour of laser powder bed fusion deposited Al–Si–Cu alloy processed by high-pressure torsion. J. Mater. Sci. 2022, 57, 20402–20418. [Google Scholar] [CrossRef]
- Polmear, I.J. Light Alloy From Traditionl Alloy to Nanocrystals; Elsevier: Amsterdam, The Netherlands, 2006; pp. 29–96. [Google Scholar]
- Lu, R.; Zhang, S.; Li, X.; Yan, H.; Yi, D.; Wang, J.; Yang, X.; Liu, B.; Xu, H.; Bai, P. Composition design method of Al-Cu alloy for laser powder bed fusion. J. Alloys Compd. 2022, 914, 165298. [Google Scholar] [CrossRef]
- Aksöz, S.; Ocak, Y.; Maraşlı, N.; Çadirli, E.; Kaya, H.; Böyük, U. Dependency of the thermal and electrical conductivity on the temperature and composition of Cu in the Al based Al–Cu alloys. Exp. Therm. Fluid Sci. 2010, 34, 1507–1516. [Google Scholar] [CrossRef]
- Zhang, C.; Du, Y.; Liu, S.; Liu, Y.; Sundman, B. Thermal conductivity of Al-Cu-Mg-Si alloys: Experimental measurement and CALPHAD modeling. Thermochim. Acta 2016, 635, 8–16. [Google Scholar] [CrossRef]
- Martucci, A.; Aversa, A.; Bondioli, F.; Fino, P.; Lombardi, M. Synergic strategies to improve the PBF-LB\M processabil-ity of a cracking- sensitive alloy. Mater. Des. 2022, 224, 111396. [Google Scholar] [CrossRef]
- Weingarten, C.; Buchbinder, D.; Pirch, N.; Meiners, W.; Wissenbach, K.; Poprawe, R. Formation and reduction of hydrogen porosity during selective laser melting of AlSi10Mg. J. Mater. Process. Technol. 2015, 221, 112–120. [Google Scholar] [CrossRef]
- Martucci, A.; Marinucci, F.; Sivo, A.; Aversa, A.; Manfredi, D.; Bondioli, F.; Fino, P.; Lombardi, M. An Automatic on Top Analysis of Single Scan Tracks to Evaluate the Laser Powder Bed Fusion Building Parameters. Materials 2021, 14, 5171. [Google Scholar] [CrossRef]
- Bosio, F.; Aversa, A.; Lorusso, M.; Marola, S.; Gianoglio, D.; Battezzati, L.; Fino, P.; Manfredi, D.; Lombardi, M. A time-saving and cost-effective method to process alloys by Laser Powder Bed Fusion. Mater. Des. 2019, 181, 107949. [Google Scholar] [CrossRef]
- Nadammal, N.; Mishurova, T.; Fritsch, T.; Serrano-Munoz, I.; Kromm, A.; Haberland, C.; Portella, P.D.; Bruno, G. Critical role of scan strategies on the development of microstructure, texture, and residual stresses during laser powder bed fusion additive manufacturing. Addit. Manuf. 2021, 38, 101792. [Google Scholar] [CrossRef]
- Han, Q.; Gu, H.; Soe, S.; Setchi, R.; Lacan, F.; Hill, J. Manufacturability of AlSi10Mg overhang structures fabricated by laser powder bed fusion. Mater. Des. 2018, 160, 1080–1095. [Google Scholar] [CrossRef]
- Schmalen, P.; Mathivanan, K.; Plapper, P. Metallographic Studies of Dissimilar Al–Cu Laser—Welded Joints Using Various Etchants. Metallogr. Microstruct. Anal. 2019, 8, 3–11. [Google Scholar] [CrossRef]
- Baitimerov, R.; Lykov, P.; Zherebtsov, D.; Radionova, L.; Shultc, A.; Prashanth, K.G. Influence of Powder Characteristics on Processability of AlSi12 Alloy Fabricated by Selective Laser Melting. Materials 2018, 11, 742. [Google Scholar] [CrossRef] [PubMed]
- Martucci, A.; Aversa, A.; Lombardi, M. Ongoing Challenges of Laser-Based Powder Bed Fusion Processing of Al Alloys and Potential Solutions from the Literature—A Review. Materials 2023, 16, 1084. [Google Scholar] [CrossRef]
- Haferkamp, L.; Haudenschild, L.; Spierings, A.; Wegener, K.; Riener, K.; Ziegelmeier, S.; Leichtfried, G.J. The influence of particle shape, powder flowability, and powder layer density on part density in laser powder bed fusion. Metals 2021, 11, 418. [Google Scholar] [CrossRef]
- Sutton, A.T.; Kriewall, C.S.; Leu, M.C.; Newkirk, J.W. Powder characterisation techniques and effects of powder char-acteristics on part properties in powder-bed fusion processes. Virtual Phys. Prototyp. 2017, 12, 3–29. [Google Scholar] [CrossRef]
- Thijs, L.; Kempen, K.; Kruth, J.-P.; Van Humbeeck, J. Fine-structured aluminium products with controllable texture by selective laser melting of pre-alloyed AlSi10Mg powder. Acta Mater. 2013, 61, 1809–1819. [Google Scholar] [CrossRef]
- Hallstedt, B.; Gröbner, J.; Hampl, M.; Schmid-Fetzer, R. Calorimetric measurements and assessment of the binary Cu–Si and ternary Al–Cu–Si phase diagrams. Calphad Comput. Coupling Phase Diagrams Thermochem. 2016, 53, 25–38. [Google Scholar] [CrossRef]
- Golod, V.M.; Sufiiarov, V.S. The evolution of structural and chemical heterogeneity during rapid solidification at gas atomization. IOP Conf. Ser. Mater. Sci. Eng. 2017, 192, 012009. [Google Scholar] [CrossRef]
- Bitharas, I.; Parab, N.; Zhao, C.; Sun, T.; Rollett, A.D.; Moore, A.J. The interplay between vapour, liquid, and solid phases in laser powder bed fusion. Nat. Commun. 2022, 13, 1–12. [Google Scholar] [CrossRef]
- Prasad, H.S.; Brueckner, F.; Volpp, J.; Kaplan, A.F.H. Laser metal deposition of copper on diverse metals using green laser sources. Int. J. Adv. Manuf. Technol. 2020, 107, 1559–1568. [Google Scholar] [CrossRef]
- Bidulsky, R.; Gobber, F.S.; Bidulska, J.; Ceroni, M.; Kvackaj, T.; Grande, M.A. Coated Metal Powders for Laser Powder Bed Fusion (L-PBF) Processing: A Review. Metals 2021, 11, 1831. [Google Scholar] [CrossRef]
- Boley, C.D.; Khairallah, S.A.; Rubenchik, A.M. Calculation of laser absorption by metal powders in additive manufacturing. Addit. Manuf. Handb. Prod. Dev. Def. Ind. 2017, 54, 507–517. [Google Scholar]
- Del Guercio, G.; McCartney, D.G.; Aboulkhair, N.T.; Robertson, S.; Maclachlan, R.; Tuck, C.; Simonelli, M. Cracking behaviour of high-strength AA2024 aluminium alloy produced by Laser Powder Bed Fusion. Addit. Manuf. 2022, 54, 102776. [Google Scholar] [CrossRef]
- Agarwal, G.; Kumar, A.; Richardson, I.; Hermans, M. Evaluation of solidification cracking susceptibility during laser welding in advanced high strength automotive steels. Mater. Des. 2019, 183, 108104. [Google Scholar] [CrossRef]
- Elambasseril, J.; Benoit, M.J.; Zhu, S.; Easton, M.A.; Lui, E.; Brice, C.A.; Qian, M.; Brandt, M. Effect of process parameters and grain refinement on hot tearing susceptibility of high strength aluminum alloy 2139 in laser powder bed fusion. Prog. Addit. Manuf. 2022, 7, 887–901. [Google Scholar] [CrossRef]
- Cahoon, J.R.; Broughton, W.H.; Kutzak, A.R. The determination of yield strength from hardness measurements. Met. Trans. 1971, 2, 1979–1983. [Google Scholar] [CrossRef]
- Du, Y.; Chang, Y.A.; Huang, B.; Gong, W.; Jin, Z.; Xu, H.; Yuan, Z.; Liu, Y.; He, Y.; Xie, F.-Y. Diffusion coefficients of some solutes in fcc and liquid Al: Critical evaluation and correlation. Mater. Sci. Eng. A—Struct. Mater. Prop. Microstruct. Process. 2003, 363, 140–151. [Google Scholar] [CrossRef]
- Marola, S.; Manfredi, D.; Fiore, G.; Poletti, M.G.; Lombardi, M.; Fino, P.; Battezzati, L. A comparison of Selective Laser Melting with bulk rapid solidification of AlSi10Mg alloy. J. Alloys Compd. 2018, 742, 271–279. [Google Scholar] [CrossRef]













| Composition Range (wt%) | Al | Si | Cu | Mg |
|---|---|---|---|---|
| AlSi10Cu4Mg | Balance | ~10 | ~4 | ~0.5 |
| AlSi10Cu8Mg | Balance | ~10 | ~8 | ~0.5 |
| AlCu20Si10Mg | Balance | ~10 | ~20 | ~0.5 |
| Power (W) | Scan Speed (mms−1) | Hatch Distance (μm) | Layer Thickness (μm) | VED (Jmm−3) | Relative Density (%) | |
|---|---|---|---|---|---|---|
| AlSi10Cu4Mg | 90 | 650 | 97 | 15 | 95 | 98.74 |
| 90 | 800 | 92 | 15 | 81 | 96.78 | |
| 95 | 800 | 85 | 15 | 93 | 97.55 | |
| 95 | 950 | 80 | 15 | 83 | 97.31 | |
| AlSi10Cu8Mg | 90 | 500 | 112 | 15 | 107 | 82.45 |
| 90 | 650 | 106 | 15 | 87 | 80.45 | |
| 95 | 500 | 117 | 15 | 108 | 83.75 | |
| 95 | 650 | 115 | 15 | 85 | 80.12 | |
| AlCu20Si10Mg | 90 | 350 | 120 | 15 | 143 | 93.25 |
| 90 | 500 | 103 | 15 | 116 | 91.25 | |
| 95 | 350 | 125 | 15 | 145 | 93.78 | |
| 95 | 500 | 118 | 15 | 107 | 90.87 |
Disclaimer/Publisher’s Note: The statements, opinions and data contained in all publications are solely those of the individual author(s) and contributor(s) and not of MDPI and/or the editor(s). MDPI and/or the editor(s) disclaim responsibility for any injury to people or property resulting from any ideas, methods, instructions or products referred to in the content. |
© 2023 by the authors. Licensee MDPI, Basel, Switzerland. This article is an open access article distributed under the terms and conditions of the Creative Commons Attribution (CC BY) license (https://creativecommons.org/licenses/by/4.0/).
Share and Cite
Martucci, A.; Bassini, E.; Lombardi, M. Effect of Cu Content on the PBF-LB/M Processing of the Promising Al-Si-Cu-Mg Composition. Metals 2023, 13, 1315. https://doi.org/10.3390/met13071315
Martucci A, Bassini E, Lombardi M. Effect of Cu Content on the PBF-LB/M Processing of the Promising Al-Si-Cu-Mg Composition. Metals. 2023; 13(7):1315. https://doi.org/10.3390/met13071315
Chicago/Turabian StyleMartucci, Alessandra, Emilio Bassini, and Mariangela Lombardi. 2023. "Effect of Cu Content on the PBF-LB/M Processing of the Promising Al-Si-Cu-Mg Composition" Metals 13, no. 7: 1315. https://doi.org/10.3390/met13071315
APA StyleMartucci, A., Bassini, E., & Lombardi, M. (2023). Effect of Cu Content on the PBF-LB/M Processing of the Promising Al-Si-Cu-Mg Composition. Metals, 13(7), 1315. https://doi.org/10.3390/met13071315
