Abstract
Background: Pathogenic free-living amoeba (FLA) such as Acanthamoeba spp., Naegleria fowleri, and Balamuthia mandrillaris are causative agents of fatal amoebic encephalitis/meningoencephalitis. The diagnosis of such infections is challenging due to a lack of clinical suspicion and expertise in microscopic identification. We evaluated the performance of molecular assays for the timely and accurate detection of FLA-causing central nervous system (CNS) afflictions. Methods: This study included samples from 156 patients with suspected encephalitis/meningoencephalitis, including 149 cerebrospinal fluid (CSF) samples, 5 brain tissue biopsies, and 2 brain abscess samples. All the samples were subjected to PCR-based detection of Acanthamoeba spp., N. fowleri, and B. mandrillaris. The diagnostic characteristics and the inter-rater reliability scores were evaluated for parasite-specific polymerase chain reaction (PCR) using culture on non-nutrient agar (NNA)/microscopy or histopathological examination as a confirmatory test for Acanthamoeba spp. and N. fowleri and histopathology for B. mandrillaris. Results: We detected 11 samples positive for FLA, including 6 Acanthamoeba spp., 3 B. mandrillaris, and 2 N. fowleri. Furthermore, all 11 samples were positive according to the confirmatory tests, i.e., culture on NNA/microscopy/histopathology in the case of Acanthamoeba spp. and N. fowleri and histopathology of tissue biopsies for B. mandrillaris. The inter-rater reliability between the PCRs and the confirmatory tests for the detection of Acanthamoeba spp., N. fowleri, and B. mandrillaris was 100%. Conclusions: The PCR-based detection of FLA in patients suspected of encephalitis/meningoencephalitis was found to be fast, efficient, and reliable in our study. We suggest the use of these PCRs in laboratories to obtain additional data on their efficiency in diagnosing FLA infections of the CNS. The present study was conducted with a small sample size of 156 patient samples, and we found only six Acanthamoeba spp., three B. mandrillaris, and two N. fowleri. The present study should be conducted on a larger sample size for better evaluation of the primer pairs.
1. Introduction
Central nervous system (CNS) parasitic infections are associated with significant morbidity and mortality. Free-living amoebae (FLA) are increasingly reported to cause infections of the CNS, although their exact burden remains unknown. The etiology in many cases of encephalitis remains obscure [1] due to invasive sampling, as well as difficulty in diagnosis. It is likely that a large share of such infections caused by FLA remain undetected and thus underestimated. The FLA genera implicated in causing CNS infections include various species of Acanthamoeba and Balamuthia mandrillaris, causing granulomatous amoebic encephalitis (GAE) mainly in the immunocompromised population, and Naegleria fowleri, causing primary amoebic meningoencephalitis (PAM) [2,3]. The prognosis of these infections is very poor, and in the absence of timely diagnosis and treatment, they are associated with >80% mortality; most cases are diagnosed postmortem. This highlights the lack of awareness and the need for early diagnosis and appropriate treatment. The treatment regimes for CNS infections due to FLA are not very well established. Drugs are usually recommended on the basis of the available literature with respect to survivors. The Centers for Disease Control and Prevention (CDC) suggest various combinations of conventional and liposomal amphotericin B, azithromycin, clarithromycin, fluconazole, ketoconazole, cotrimoxazole, pentamidine, rifampin, sulfadiazine, flucytosine, miltefosine, thioridazine, and dexamethasone for the treatment of PAM and GAE [3,4,5,6,7,8,9,10,11,12,13,14].
The diagnosis of CNS infections due to FLA is difficult, mainly due to the absence of a specific clinical manifestations/features and the lack of suspicion and expertise in identifying them microscopically [2,15]. Direct microscopic detection has low sensitivity [16,17]; moreover, it may be difficult to distinguish between various FLA based only on morphology, and culture may take longer to grow. Moreover, B. mandrillaris does not grow on non-nutrient agar (NNA) medium. Thus, appropriate molecular assays can allow for timely and accurate pathogen detection. In the present study, we evaluated the utility of different primers for the detection of Acanthamoeba spp., N. fowleri, and B. mandrillaris by polymerase chain reaction (PCR) as compared to the conventional confirmatory methods of culture, microscopy, and histopathology for patients suspected of encephalitis/meningoencephalitis.
2. Materials and Methods
A total of 156 patient samples (149 cerebrospinal fluid (CSF) samples, five brain tissue biopsies, and two brain abscess samples) with suspected encephalitis/meningoencephalitis received at the Department of Medical Parasitology, Postgraduate Institute of Medical Education and Research, Chandigarh, India, submitted for the detection of FLA from the year 2014 to 2022 were included in this study. This study was approved by the Institutional Ethics Committee (NK/5283/PhD/213).
The CSF, brain abscess, and brain tissue biopsies were either inoculated onto the NNA for monitoring of the growth of Acanthamoeba spp. and N. fowleri or were confirmed microscopically for the presence of FLA or DNA detection by PCR. These patient samples had been excluded for most common bacterial, fungal, and viral causes of encephalitis/meningoencephalitis or had been microscopically suspected of FLA infections. For the NNA culture, the patient samples were inoculated on NNA plates with a lawn of Escherichia coli and incubated at 37 °C for seven days to monitor the growth of trophozoites and cysts (NNA culture was used for Acanthamoeba spp. and Naegleria fowleri). Due to the inability of B. mandrillaris to grow in NNA culture, histopathology was considered the confirmatory test. In the case of Acanthamoeba spp. and N. fowleri infection, growth on the NNA medium/microscopic or histopathological demonstration of parasite was considered the confirmatory test.
2.1. DNA Extraction
DNA was extracted from the CSF, brain biopsy, and brain abscess samples using a DNeasy blood and tissue kit (Qiagen India Pvt. Ltd., New Delhi, India) as per the manufacturer’s instructions. The CSF samples were centrifuged at 6000 rpm for 10 min, and the pellet was washed with phosphate-buffered saline. The supernatant was discarded, and 200 µL of the sample was used for DNA extraction. Additionally, the DNA of Toxoplasma gondii and Entamoeba histolytica was used as other disease controls, and Acanthamoeba and Naegleria culture isolates were used as positive controls.
2.2. Polymerase Chain Reaction
All the samples were subjected to amplification of the housekeeping glyceraldehyde 3-phosphate dehydrogenase (GAPDH) gene using specific primers that amplify a product of 380 bp [18]. The samples were subjected to pan-FLA PCR that targets the 18S rRNA gene sequence and differentiates the FLA, including Acanthamoeba spp., N. fowleri, Vannella spp., Vahlkampfia ovis, and Hartmannella vermiformis based on the size of their PCR product but fails to detect B. mandrillaris [19]. The samples found to be positive for Acanthamoeba spp. and N. fowleri by pan-FLA PCR were then confirmed by parasite-specific PCR targeting of Acanthamoeba spp. and N. fowleri. For Acanthamoeba spp., the JDP primers targeting the 18S rRNA gene were used [20]. N. fowleri were identified using the genus- and species-specific primers targeting the ITS1 and ITS2 regions [21]. In addition to pan-FLA PCR, the samples were subjected to PCR targeting the mitochondrial 16S rRNA gene of B. mandrillaris [22] and nested PCR to target the 18S rDNA gene of B. mandrillaris [23]. The amplified DNA products were separated on a 1.5% agarose gel and viewed in a gel documentation system (ProteinSimple AlphaImager HP System Automated Gel Imaging, Santa Clara, CA, USA). The details of the primers used in the present study are provided in Table 1.
Table 1.
Details of the oligonucleotides used in the present study.
2.3. Statistical Analysis
The diagnostic sensitivity, specificity, positive predictive value, negative predictive value, and 95% confidence intervals (CIs) were calculated for samples found to be positive by parasite-specific PCRs using culture on NNA/microscopy or histopathological examination as the confirmatory test for Acanthamoeba spp. and N. fowleri and histopathology for B. mandrillaris. Statistical analysis was carried out using SPSS v. 16.0 (SPSS South Asia Pvt. Ltd., Bangalore, India). The inter-rater reliability was assessed for all laboratory techniques by Cohen’s kappa coefficient test.
3. Results
This study included a total of 156 patient samples (149 CSF samples, 5 brain tissue biopsies, and 2 brain abscess samples). All samples were positive for the housekeeping GAPDH gene (Figure 1).
Figure 1.
Representative image of 1.5% agarose gel electrophoresis showing the results of the amplification of the GAPDH housekeeping gene. Lanes 1–14 and lanes 16–23, samples amplifying the 380 bp GAPDH gene segment; lane 15, 100 bp molecular marker; lane 24, positive control; lane 25, negative control.
Of the 156 samples, PCR detected 11 samples positive for FLA, including 6 Acanthamoeba spp., 3 B. mandrillaris, and 2 N. fowleri. Among these, eight samples were found to be positive by pan-FLA PCR, including Acanthamoeba spp. and N. fowleri (Figure 2), and three samples were found to be positive by mitochondrial 16S rRNA gene PCR (Figure 3A) and 18S rDNA gene PCR (Figure 3B) of B. mandrillaris.
Figure 2.
Representative images of 1.5% agarose gel electrophoresis for pan-FLA PCR and JDP PCR amplifying Acanthamoeba spp. and Pan-FLA PCR amplifying N. fowleri. (A) Lane 1, negative control; lane 2, positive control amplifying Acanthamoeba-specific 1080 bp band; lanes 3 and 5, patient sample detected as negative; lane 4, patient sample detected as positive by pan-FLA PCR; lane 6, 100 bp molecular marker; lane 7, negative control for JDP PCR; lanes 8 and 10, samples detected positive by Acanthamoeba spp.-specific JDP PCR; lane 9, negative patient sample; lane 11, 100 bp molecular marker; lanes 12 and 13, positive control for Acanthamoeba spp.-specific JDP PCR. (B) Lane 1, positive control for N. fowleri at 900 bp based on pan-FLA PCR; lane 2, patient sample detected as positive for N. fowleri by pan-FLA PCR; lane 3, negative control for pan-FLA PCR; lane 4, 100 bp molecular marker.
Figure 3.
Representative images of 1.5% agarose gel electrophoresis for the B. mandrillaris PCR targeting the mitochondrial 16S rDNA gene and the 18S rDNA gene. (A) Lane 1, negative control; lanes 2–4, multiple bands of varying size in T. gondii-, E. histolytica-, and N. fowleri-positive samples; lane 5, CSF samples detected as negative; lane 6, positive control amplifying 1075 bp band; lane 7, 100 bp molecular marker. (B) Lanes 1–12, samples detected as negative for B. mandrillaris in the second PCR cycle targeting the 18S rDNA gene; lane 13, negative control; lane 14, positive control amplifying a band of 201 bp (second PCR cycle); lane 15, 100 bp molecular marker; lane 16, positive control amplifying a band of 403 bp (first PCR cycle). (C) Lane 1, negative control; lane 2, 100 bp molecular marker; lanes 3 and 4, patient detected positive by B. mandrillaris 18S rDNA gene PCR and amplifying 201 bp band (second PCR).
In addition to the PCR-based detection, all 11 samples were found to be positive by the respective confirmatory tests, i.e., culture on NNA/microscopy/histopathology in the case of Acanthamoeba spp. and N. fowleri and histopathology of the tissue biopsies for B. mandrillaris (Figure 4). The six Acanthamoeba-positive samples were successfully isolated on the NNA plates. Of the two N. fowleri samples, only one was successfully isolated on the NNA medium, possibly due to the limited quantity of the CSF sample. However, N. fowleri was identified microscopically in this sample and confirmed by PCR. The three B. mandrillaris-positive samples (which cannot be isolated in a culture medium) were confirmed by histopathological examination. The eight pan-FLA PCR-positive samples were further confirmed by the parasitic-specific PCR, which confirmed six samples positive for Acanthamoeba spp. (Figure 2A) and two for N. fowleri (Figure 5).
Figure 4.
Representative images showing (A) Acanthamoeba trophozoites and cysts on non-nutrient agar plates (10× magnification),(B) Naegleria fowleri trophozoites in a wet-mount preparation (40× magnification), and (C) Cysts of Balamuthia mandrillaris seen in the histopathology of brain tissue (40× magnification).
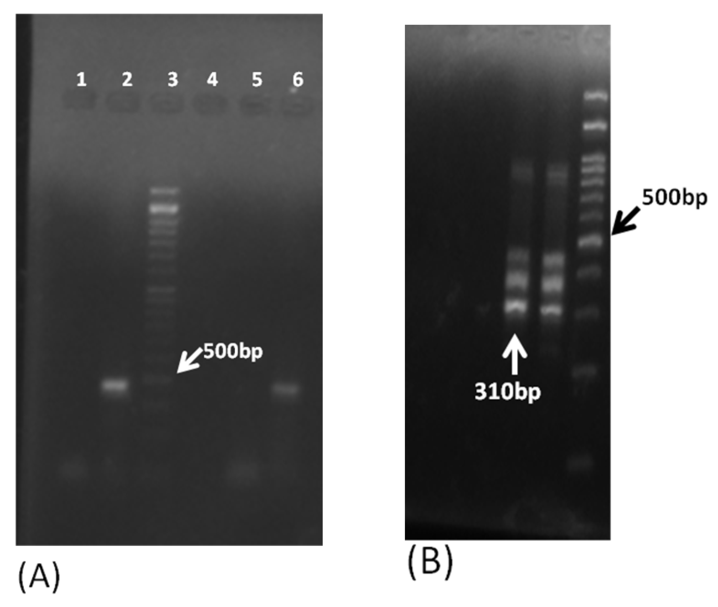
Figure 5.
Representative images of 1.5% agarose gel electrophoresis for the PCR targeting the internal transcribed sequence (ITS) region of Naegleria spp. and N. fowleri. (A) Lane 1, negative control; lane 2, positive control for Naegleria spp. amplifying band between 408–457 bp (first cycle); lane 3, 100 bp molecular marker; lanes 4 and 5, samples found negative for Naegleria spp.; lane 6, sample found positive for Naegleria spp. (B) Lane 1, negative control; lane 2, samples found negative for N. fowleri; lane 3, positive sample for N. fowleri; lane 4, positive control for N. fowleri amplifying a band of 310 bp (second cycle); lane 5, 100 bp molecular marker.
The six Acanthamoeba spp.-positive samples included five CSF samples and one brain abscess sample. The N. fowleri was found positive in CSF samples, and B. mandrillaris was detected in brain tissue biopsies. The diagnostic characteristics of parasite-specific PCRs were evaluated using culture on NNA/microscopy/histopathology as the confirmatory test for Acanthamoeba spp. and N. fowleri and histopathology for B. mandrillaris. The sensitivity, specificity, PPV, and NPV of the different diagnostic methods for Acanthamoeba spp., N. fowleri, and B. mandrillaris was 100%, and the inter-rater reliability of culture/microscopy/histopathology and PCR for Acanthamoeba spp. and N. fowleri and histopathology and PCR for B. mandrillaris was one, indicating 100% agreement between all tests evaluated in this study (Table 2).
Table 2.
The diagnostic characteristics and the inter-rater reliability score of the different diagnostic techniques for the detection of Acanthamoeba spp., Naegleria fowleri, and Balamuthia mandrillaris.
The B. mandrillaris-specific mitochondrial 16S rDNA and 18S rDNA primers were used in a PCR that included known positive samples for T. gondii, E. histolytica, and N. fowleri. The use of mitochondrial 16S rDNA gene primers showed multiple bands of variable sizes in samples previously found positive for T. gondii, E. histolytica, and N. fowleri, representing a certain amount of cross reactivity, leading to confusion, although no band at the position of B. mandrillaris was observed (Lane 2–4 in Figure 3A). In contrast, the primers targeting the 18S rDNA gene of B. mandrillaris did not produce any non-specific bands (Figure 3B). Lanes 14 and lane 16 in Figure 3B represent the amplicons of the positive control from the second and first PCR, respectively. The other disease controls produced no amplification. The B. mandrillaris-positive control produced an amplification product of 403 bp and 201 bp from the first and second PCR cycle, respectively, as expected (Figure 3B).
4. Discussion
Free-living amoebae, viz., Acanthamoeba, N. fowleri, and B. mandrillaris can cause a wide range of infections, such as keratitis [24] and CNS infections [25,26]. CNS infections due to FLA are mainly caused by various species of Acanthamoeba, B. mandrillaris, and N. fowleri and often go neglected, mainly due to the lack of awareness and delays in disease diagnosis. The poor sensitivity of microscopic examination warrants specific and sensitive molecular assays for detection of CNS infections. PCR assays can detect pathogens efficiently in clinical samples with good sensitivity and specificity and are affordable.
In the present study, we evaluated PCRs targeting different genetic regions in patient samples suspected of encephalitis/meningoencephalitis for the detection of FLA. Initial screening was conducted by pan-FLA PCR, followed by parasitic-specific PCR for the detection of FLA in CSF, brain biopsy, and brain abscess samples. All the samples were evaluated by confirmatory tests: culture on NNA for Acanthamoeba spp. and N. fowleri. The histopathological examination was considered the gold standard for B. mandrillaris-positive samples, as it does not grow on NNA plates. Although axenic cultivation of B. mandrillaris has been reported, it is tedious and time-consuming to cultivate each patient sample axenically [27].
We evaluated 156 patient CNS samples and found 11 positive samples, including 6 Acanthamoeba spp., 3 B. mandrillaris, and 2 N. fowleri. In comparison to the respective confirmatory methods, the sensitivity, specificity, PPV, and NPV were 100% for PCR-based detection of Acanthamoeba spp., N. fowleri, and B. mandrillaris. The inter-rater reliability between the PCRs and the confirmatory tests for the detection of Acanthamoeba spp., N. fowleri, and B. mandrillaris was one, indicating 100% agreement between the diagnostic assays. The results from the present study support the deployment of PCR-based assays for the detection of FLA in clinical samples. We previously reported cases of B. mandrillaris and Acanthamoeba spp. and one case of N. fowleri [28,29,30,31,32], which were confirmed by molecular assays. In addition, we previously reported the diagnostic performance of Acanthamoeba JDP primers targeting the 18S rRNA gene for the diagnosis of Acanthamoeba keratitis [33]. The primers targeting the Acanthamoeba spp.-specific 18S rRNA gene and the 18S rDNA and mitochondrial 16S rRNA gene of B. mandrillaris have been previously evaluated for their sensitivity [21,23,33,34].
As the pan-FLA PCR primers used routinely for detection of Acanthamoeba spp. and N. fowleri do not include B. mandrillaris as a target, it is important to use an assay that is specific and sensitive in detecting B. mandrillaris. Previously, primers based on mitochondrial the 16S rRNA gene have been widely used for this purpose [22,34]; however, we observed multiple bands of varying size close to the B. mandrillaris target of 1075 bp using this PCR (Figure 3A). These multiple bands tend to create confusion in the visual interpretation of results. Yagi et al. [34] reasoned that DNA from the leukocytes or necrotic tissue might be the reason for such multiple bands. We observed smearing on the gel, especially in tissue biopsy samples when using primers targeting the mitochondrial 16S rRNA gene of B. mandrillaris. Therefore, in the present study, we evaluated the 18S rDNA gene-nested primers for B. mandrillaris reported by Ahmad et al. [23] on our samples. In addition to being 100% sensitive, multiple bands were not observed in the CSF, brain biopsy, or brain abscess samples, and the samples positive for T. gondii, E. histolytica, and N. fowleri were found negative for B. mandrillaris. A probable reason for the improved specificity could be the nested PCR with a higher annealing temperature for the first PCR cycle, eliminating non-specific annealing. Thus, this target may be preferred for detection of B. mandrillaris in clinical samples.
In conclusion, we found the use of PCRs an efficient strategy for the detection of FLA in patients suspected of encephalitis/meningoencephalitis in this study. Generally, separate PCRs are performed for detection Acanthamoeba spp., N. fowleri, and B. mandrillaris; however, this is time-consuming and prohibitory for many labs. Based on our experience, we suggest using pan-FLA PCR to first identify Acanthamoeba spp. and N. fowleri in a single reaction and separately performing 18S rDNA gene-nested PCR for B. mandrillaris, thus conserving time and resources. CNS afflictions caused by FLAs remain a diagnostic challenge, owing to a lack of awareness and diagnostic capabilities of laboratories. Because FLA infections of the CNS are only sporadically diagnosed, it is difficult to carry out large-scale evaluations of molecular assays for these parasites. An alternative approach to accumulate data on the robustness of these tests is the use of these PCRs by molecular laboratories across the world so that such data can be accumulated and utilized to design evidence-based diagnostic strategies for the timely diagnosis and management of fatal FLA infections of the CNS.
Author Contributions
Conceptualization, S.K.; methodology, S.K.; software, S.K., C.S. and A.M.; validation, S.K., B.D.R., C.S., A.M., P.T., P.D. and R.S.; formal analysis, S.K., B.D.R., C.S., A.M., P.T., P.D. and R.S.; investigation, S.K.; resources, S.K.; data curation, S.K. and B.D.R.; writing—original draft preparation, S.K., C.S., B.D.R., A.M., P.T. and P.D.; writing—review and editing, S.K., C.S., B.D.R., A.M., P.T., P.D., and R.S.; visualization, S.K. and B.D.R.; supervision, S.K.; project administration, S.K.; funding acquisition, S.K. All authors have read and agreed to the published version of the manuscript.
Funding
This research received no external funding.
Institutional Review Board Statement
This study was approved by the Institutional Ethics CommitteeNK/5283/PhD/213.
Informed Consent Statement
Not applicable as the study used retrospective samples.
Data Availability Statement
All the relevant data has been incorporated in the article.
Conflicts of Interest
The authors declare no conflict of interest.
References
- Schuster, F.L.; Visvesvara, G.S. Free-living amoebae as opportunistic and non-opportunistic pathogens of humans and animals. Int. J. Parasitol. 2004, 34, 1001–1027. [Google Scholar] [CrossRef] [PubMed]
- Mungroo, M.R.; Khan, N.A.; Siddiqui, R. Balamuthia mandrillaris: Pathogenesis, diagnosis, and treatment. Expert Opin. Orphan Drugs 2020, 8, 111–119. [Google Scholar] [CrossRef]
- Raju, R.; Khurana, S.; Mahadevan, A.; John, D.V. Central nervous system infections caused by pathogenic free-living amoebae: An Indian perspective. Trop. Biomed. 2022, 39, 265–280. [Google Scholar] [PubMed]
- CDC. Treatment. Naegleria fowleri. 2022. Available online: https://www.cdc.gov/parasites/naegleria/treatment.html (accessed on 22 November 2022).
- CDC. Treatment. Balamuthia. Parasites. 2019. Available online: https://www.cdc.gov/parasites/balamuthia/treatment-hcp.html (accessed on 22 November 2022).
- Seidel, J.S.; Harmatz, P.; Visvesvara, G.S.; Cohen, A.; Edwards, J.; Turner, J. Successful treatment of primary amebic meningoencephalitis. N. Engl. J. Med. 1982, 306, 346–348. [Google Scholar] [CrossRef]
- Vargas-Zepeda, J.; Gómez-Alcalá, A.V.; Vázquez-Morales, J.A.; Licea-Amaya, L.; De Jonckheere, J.F.; Lares-Villa, F. Successful treatment of Naegleria fowleri meningoencephalitis by using intravenous amphotericin B, fluconazole and rifampicin. Arch. Med. Res. 2005, 36, 83–86. [Google Scholar] [CrossRef]
- Goswick, S.M.; Brenner, G.M. Activities of azithromycin and amphotericin B against Naegleria fowleri In Vitro and in a mouse model of primary amebic meningoencephalitis. Antimicrob. Agents Chemother. 2003, 47, 524–528. [Google Scholar] [CrossRef]
- Soltow, S.M.; Brenner, G.M. Synergistic activities of azithromycin and amphotericin B against Naegleria fowleri In Vitro and in a mouse model of primary amebic meningoencephalitis. Antimicrob. Agents Chemother. 2007, 51, 23–27. [Google Scholar] [CrossRef]
- Khurana, S.; Mewara, A.; Verma, S.; Totadri, S.K. Central nervous system infection with Acanthamoeba in a malnourished child. Case Rep. 2012, 2012, bcr2012007449. [Google Scholar] [CrossRef]
- Chang, O.H.; Liu, F.; Knopp, E.; Muehlenbachs, A.; Cope, J.R.; Ali, I.; Thompson, R.; George, E. Centrofacial Balamuthiasis: Case report of a rare cutaneous amebic infection. J. Cutan. Pathol. 2016, 43, 892–897. [Google Scholar] [CrossRef]
- Jung, S.; Schelper, R.L.; Visvesvara, G.S.; Chang, H.T. Balamuthia mandrillaris meningoencephalitis in an immunocompetent patient: An unusual clinical course and a favorable outcome. Arch. Pathol. Lab. Med. 2004, 128, 466–468. [Google Scholar] [CrossRef]
- Cary, L.C.; Maul, E.; Potter, C.; Wong, P.; Nelson, P.T.; Given, C.; Robertson, W., Jr. Balamuthia mandrillaris meningoencephalitis: Survival of a pediatric patient. Pediatrics 2010, 125, e699–e703. [Google Scholar] [CrossRef] [PubMed]
- Damhorst, G.L.; Watts, A.; Hernandez-Romieu, A.; Mel, N.; Palmore, M.; Ali, I.K.; Neill, S.G.; Kalapila, A.; Cope, J.R. Acanthamoeba castellanii encephalitis in a patient with AIDS: A case report and literature review. Lancet Infect. Dis. 2021, 22, e59–e65. [Google Scholar] [CrossRef] [PubMed]
- Matin, A.; Siddiqui, R.; Jayasekera, S.; Khan, N.A. Increasing importance of Balamuthia mandrillaris. Clin. Microbiol. Rev. 2008, 21, 435–448. [Google Scholar] [CrossRef] [PubMed]
- Dunnebacke, T.H.; Schuster, F.L.; Yagi, S.; Booton, G.C. Balamuthia mandrillaris from soil samples. Microbiology 2004, 150, 2837–2842. [Google Scholar] [CrossRef]
- Matin, A.; Jeong, S.R.; Faull, J.; Rivas, A.O.; Khan, N.A. Evaluation of prokaryotic and eukaryotic cells as food source for Balamuthia mandrillaris. Arch. Microbiol. 2006, 186, 261–271. [Google Scholar] [CrossRef]
- Barber, R.D.; Harmer, D.W.; Coleman, R.A.; Clark, B.J. GAPDH as a housekeeping gene: Analysis of GAPDH mRNA expression in a panel of 72 human tissues. Physiol. Genom. 2005, 21, 389–395. [Google Scholar] [CrossRef]
- Tsvetkova, N.; Schild, M.; Panaiotov, S.; Kurdova-Mintcheva, R.; Gottstein, B.; Walochnik, J.; Aspock, H.; Lucas, M.S.; Müller, N. The identification of free-living environmental isolates of amoebae from Bulgaria. Parasitol. Res. 2004, 92, 405–413. [Google Scholar] [CrossRef]
- Schroeder, J.M.; Booton, G.C.; Hay, J.; Niszl, I.A.; Seal, D.V.; Markus, M.B.; Fuerst, P.A.; Byers, T.J. Use of subgenic 18S ribosomal DNA PCR and sequencing for genus and genotype identification of Acantha0moebae from humans with keratitis and from sewage sludge. J. Clin. Microbiol. 2001, 39, 1903–1911. [Google Scholar] [CrossRef]
- Pelandakis, M.; Serre, S.; Pernin, P. Analysis of the 5.8 S rRNA gene and the internal transcribed spacers in Naegleria spp. and in N. fowleri. J. Eukaryot. Microbiol. 2000, 47, 116–121. [Google Scholar] [CrossRef]
- Booton, G.C.; Carmichael, J.R.; Visvesvara, G.S.; Byers, T.J.; Fuerst, P.A. Identification of Balamuthia mandrillaris by PCR assay using the mitochondrial 16S rRNA gene as a target. J. Clin. Microbiol. 2003, 41, 453–455. [Google Scholar] [CrossRef]
- Ahmad, A.F.; Andrew, P.W.; Kilvington, S. Development of a nested PCR for environmental detection of the pathogenic free-living amoeba Balamuthia mandrillaris. J. Eukaryot. Microbiol. 2011, 58, 269–271. [Google Scholar] [CrossRef] [PubMed]
- Khurana, S.; Sharma, M. Parasitic keratitis—An under-reported entity. Trop. Parasitol. 2020, 10, 12. [Google Scholar] [PubMed]
- Lorenzo-Morales, J.; Martín-Navarro, C.M.; Martínez-Carretero, E.; Piñero, J.E.; Valladares, B. Encephalitis due to free living amoebae: An emerging issue in human health. In Non-Flavivirus Encephalitis; IntechOpen: London, UK, 2011. [Google Scholar]
- Baig, A.M. Pathogenesis of amoebic encephalitis: Are the amoebae being credited to an ‘inside job’done by the host immune response? Acta Trop. 2015, 148, 72–76. [Google Scholar] [CrossRef] [PubMed]
- Lares-Jiménez, L.F.; Gámez-Gutiérrez, R.A.; Lares-Villa, F. Novel culture medium for the axenic growth of Balamuthia mandrillaris. Diagn. Microbiol. Infect. Dis. 2015, 82, 286–288. [Google Scholar] [CrossRef] [PubMed]
- Khurana, S.; Hallur, V.; Goyal, M.; Sehgal, R.; Radotra, B. Emergence of Balamuthia mandrillaris meningoencephalitis in India. Indian J. Med. Microbiol. 2015, 33, 298. [Google Scholar] [CrossRef]
- Tarai, B.; Agarwal, P.; Krishnamoorthi, S.; Mewara, A.; Khurana, S. Fatal amoebic meningoencephalitis caused by Balamuthia mandrillaris in a sarcoidosis patient. Jpn. J. Infect. Dis. 2018, 71, 474–476. [Google Scholar] [CrossRef]
- Nampoothiri, R.V.; Malhotra, P.; Jain, A.; Batra, N.; Gupta, K.; Saj, F.; Khurana, S.; Mahalingam, H.; Lal, A.; Mukherjee, K.; et al. An unusual cause of central nervous system infection during acute myeloid leukemia induction chemotherapy: Acanthamoeba brain abscess. Indian J. Hematol. Blood Transfus. 2018, 34, 153–155. [Google Scholar] [CrossRef]
- Megha, K.; Sehgal, R.; Khurana, S. Genotyping of Acanthamoeba spp. isolated from patients with granulomatous amoebic encephalitis. Indian J. Med. Res. 2018, 148, 456. [Google Scholar] [CrossRef]
- Mittal, N.; Mahajan, L.; Hussain, Z.; Gupta, P.; Khurana, S. Primary amoebic meningoencephalitis in an infant. Indian J. Med. Microbiol. 2019, 37, 120–122. [Google Scholar] [CrossRef]
- Megha, K.; Sharma, M.; Gupta, A.; Sehgal, R.; Khurana, S. Microbiological diagnosis of Acanthamoebic keratitis: Experience from tertiary care center of North India. Diagn. Microbiol. Infect. Dis. 2021, 100, 115339. [Google Scholar] [CrossRef]
- Yagi, S.; Booton, G.C.; Visvesvara, G.S.; Schuster, F.L. Detection of Balamuthia mitochondrial 16S rRNA gene DNA in clinical specimens by PCR. J. Clin. Microbiol. 2005, 43, 3192–3197. [Google Scholar] [CrossRef] [PubMed]
Publisher’s Note: MDPI stays neutral with regard to jurisdictional claims in published maps and institutional affiliations. |
© 2022 by the authors. Licensee MDPI, Basel, Switzerland. This article is an open access article distributed under the terms and conditions of the Creative Commons Attribution (CC BY) license (https://creativecommons.org/licenses/by/4.0/).




