Identification, Biochemical Characterization, and Safety Attributes of Locally Isolated Lactobacillus fermentum from Bubalus bubalis (buffalo) Milk as a Probiotic
Abstract
1. Introduction
2. Material and Methodology
2.1. Milk Sample Collection from Buffalos
2.2. Isolation of Bacterial Strains from Buffalo Milk
2.3. Determination of Probiotic Potential
2.3.1. Bile and Acid Resistance
2.3.2. Lysozyme, Pepsin, and Pancreatin Tolerance
2.3.3. Autoaggregation and Hydrophobicity Evaluation
2.4. Enzymatic Activity of Lactobacillus
2.4.1. Bile Salt Hydrolase Activity
2.4.2. Proteolytic Activity
2.4.3. Amylase Activity
2.5. Safety Profile
2.5.1. Hemolytic Potential
2.5.2. Antibiotic Tolerance
2.6. Antimicrobial Activity
2.7. Identification of the Selected Isolates by 16S rRNA Gene Sequencing
2.8. In Vivo Safety Assessment in a Mouse Model
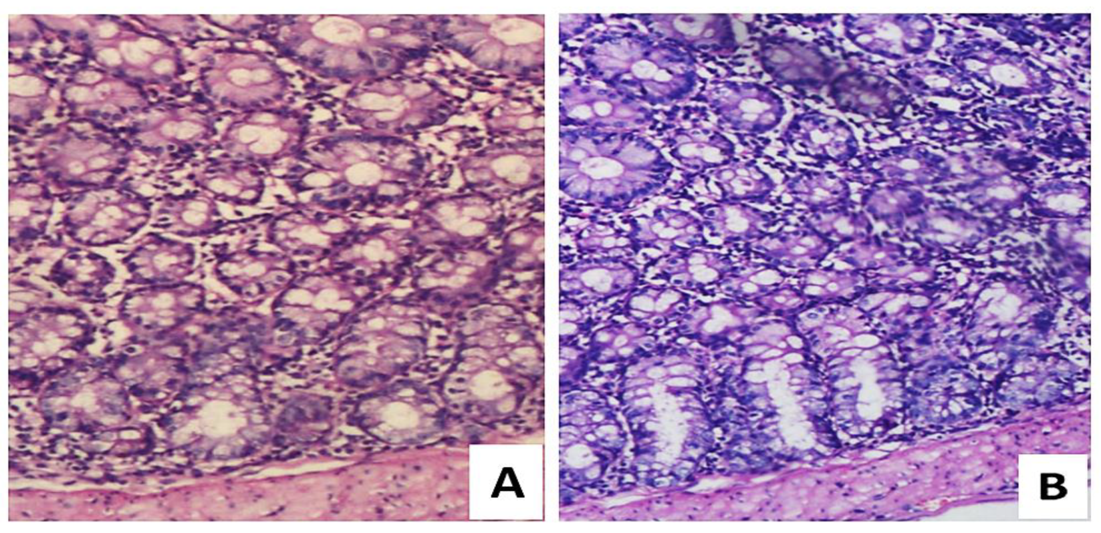
2.9. Histological Examination
2.10. Cecal Bacterial Count, β-Glucuronidase, and β-Glucosidase tests
Production of Fermented Milk
2.11. Ethics Statement
2.12. Statistical Analysis
3. Results
4. Discussion
5. Conclusions
Author Contributions
Funding
Institutional Review Board Statement
Informed Consent Statement
Data Availability Statement
Acknowledgments
Conflicts of Interest
References
- Sanders, M.E.; Merenstein, D.J.; Reid, G.; Gibson, G.R.; Rastall, R.A. Probiotics and prebiotics in intestinal health and disease: From biology to the clinic. Nat. Rev. Gastroenterol. Hepatol. 2019, 16, 605–616. [Google Scholar] [CrossRef] [PubMed]
- Ceccarelli, G.; Scagnolari, C.; Pugliese, F.; Mastroianni, C.M.; d’Ettorre, G. Probiotics and COVID-19. Lancet Gastroenterol. Hepatol. 2020, 5, 721–722. [Google Scholar] [CrossRef]
- Reid, G.; Gadir, A.A.; Dhir, R. Probiotics: Reiterating what they are and what they are not. Front. Microbiol. 2019, 10, 424. [Google Scholar] [CrossRef] [PubMed]
- Veiga, P.; Suez, J.; Derrien, M.; Elinav, E. Moving from probiotics to precision probiotics. Nat. Microbiol. 2020, 5, 878–880. [Google Scholar] [CrossRef]
- Abenavoli, L.; Scarpellini, E.; Colica, C.; Boccuto, L.; Salehi, B.; Sharifi-Rad, J.; Aiello, V.; Romano, B.; De Lorenzo, A.; Izzo, A.A.; et al. Gut microbiota and obesity: A role for probiotics. Nutrients 2019, 11, 2690. [Google Scholar] [CrossRef]
- Cavaillon, J.M.; Legout, S. Centenary of the death of Elie Metchnikoff: A visionary and an outstanding team leader. Microbes Infect. 2016, 18, 577–594. [Google Scholar] [CrossRef]
- Santacroce, L.; Charitos, I.A.; Bottalico, L. A successful history: Probiotics and their potential as antimicrobials. Expert Rev. Anti. Infect. Ther. 2019, 17, 635–645. [Google Scholar] [CrossRef]
- Swanson, K.S.; Gibson, G.R.; Hutkins, R.; Reimer, R.A.; Reid, G.; Verbeke, K.; Scott, K.P.; Holscher, H.D.; Azad, M.B.; Delzenne, N.M.; et al. The International Scientific Association for Probiotics and Prebiotics (ISAPP) consensus statement on the definition and scope of synbiotics. Nat. Rev. Gastroenterol. Hepatol. 2020, 17, 687–701. [Google Scholar] [CrossRef]
- Venkataraman, R.; Jose, P.; Jose, J. Impact of probiotics on health-related quality of life in Type II diabetes mellitus: A randomized single-blind, placebo-controlled study. J. Nat. Sci. Biol. Med. 2019, 10, 2–7. [Google Scholar] [CrossRef]
- Abitha, M.; Ganapathy, S.; Raja, P. Impact of probiotics in preserving the microbiological property and nutritional quality in carrots. J. Pharmacogn. Phytochem. 2019, 8, 4395–4400. [Google Scholar]
- Silva, J.A.; Marchesi, A.; Wiese, B.; Nader-Macias, M.E.F. Technological characterization of vaginal probiotic lactobacilli: Resistance to osmotic stress and strains compatibility. J. Appl. Microbiol. 2019, 127, 1835–1847. [Google Scholar] [CrossRef]
- van de Wijgert, J.H.H.M.; Verwijs, M.C.; Agaba, S.K.; Bronowski, C.; Mwambarangwe, L.; Uwineza, M.; Lievens, E.; Nivoliez, A.; Ravel, J.; Darby, A.C. Intermittent Lactobacilli-containing Vaginal Probiotic or Metronidazole Use to Prevent Bacterial Vaginosis Recurrence: A Pilot Study Incorporating Microscopy and Sequencing. Sci. Rep. 2020, 10, 3884. [Google Scholar] [CrossRef]
- Benítez-Cabello, A.; Torres-Maravilla, E.; Bermúdez-Humarán, L.; Langella, P.; Martín, R.; Jiménez-Díaz, R.; Arroyo-López, F.N. Probiotic Properties of Lactobacillus Strains Isolated from Table Olive Biofilms. Probiotics Antimicrob. Proteins 2020, 12, 1071–1082. [Google Scholar] [CrossRef] [PubMed]
- Ghosh, T.; Beniwal, A.; Semwal, A.; Navani, N.K. Mechanistic insights into probiotic properties of lactic acid bacteria associated with ethnic fermented dairy products. Front. Microbiol. 2019, 10, 502. [Google Scholar] [CrossRef] [PubMed]
- Ross, R.P.; Desmond, C.; Fitzgerald, G.F.; Stanton, C. Overcoming the technological hurdles in the development of probiotic foods. J. Appl. Microbiol. 2005, 98, 1410–1417. [Google Scholar] [CrossRef]
- Teame, T.; Wang, A.; Xie, M.; Zhang, Z.; Yang, Y.; Ding, Q.; Gao, C.; Olsen, R.E.; Ran, C.; Zhou, Z. Paraprobiotics and Postbiotics of Probiotic Lactobacilli, Their Positive Effects on the Host and Action Mechanisms: A Review. Front. Nutr. 2020, 7, 191. [Google Scholar] [CrossRef]
- Melia, S.; Yuherman, J.; Purwati, E. Selection of buffalo milk lactic acid bacteria with probiotic potential. Asian J. Pharm. Clin. Res. 2018, 11, 186–189. [Google Scholar] [CrossRef]
- Mokoena, M.P. Lactic acid bacteria and their bacteriocins: Classification, biosynthesis and applications against uropathogens: A mini-review. Molecules 2017, 22, 1255. [Google Scholar] [CrossRef]
- Soomro, A.H.; Masud, T.; Anwaar, K. Role of Lactic Acid Bacteria (LAB) in Food Preservation and Human Health—A Review. Pakistan J. Nutr. 2001, 1, 20–24. [Google Scholar] [CrossRef]
- Capozzi, V.; Russo, P.; Dueñas, M.T.; López, P.; Spano, G. Lactic acid bacteria producing B-group vitamins: A great potential for functional cereals products. Appl. Microbiol. Biotechnol. 2012, 96, 1383–1394. [Google Scholar] [CrossRef]
- Rocha-Mendoza, D.; Kosmerl, E.; Miyagusuku-Cruzado, G.; Giusti, M.M.; Jiménez-Flores, R.; García-Cano, I. Growth of lactic acid bacteria in milk phospholipids enhances their adhesion to Caco-2 cells. J. Dairy Sci. 2020, 103, 7707–7718. [Google Scholar] [CrossRef] [PubMed]
- Reuben, R.C.; Roy, P.C.; Sarkar, S.L.; Rubayet Ul Alam, A.S.M.; Jahid, I.K. Characterization and evaluation of lactic acid bacteria from indigenous raw milk for potential probiotic properties. J. Dairy Sci. 2020, 103, 1223–1237. [Google Scholar] [CrossRef] [PubMed]
- Koirala, S.; Anal, A.K. Probiotics-based foods and beverages as future foods and their overall safety and regulatory claims. Futur. Foods 2021, 3, 100013. [Google Scholar] [CrossRef]
- Martinez, F.A.C.; Balciunas, E.M.; Converti, A.; Cotter, P.D.; De Souza Oliveira, R.P. Bacteriocin production by Bifidobacterium spp. A review. Biotechnol. Adv. 2013, 31, 482–488. [Google Scholar] [CrossRef]
- Sirichokchatchawan, W.; Pupa, P.; Praechansri, P.; Am-in, N.; Tanasupawat, S.; Sonthayanon, P.; Prapasarakul, N. Autochthonous lactic acid bacteria isolated from pig faeces in Thailand show probiotic properties and antibacterial activity against enteric pathogenic bacteria. Microb. Pathog. 2018, 119, 208–215. [Google Scholar] [CrossRef]
- AL-Taha, B.M.; Wadi, J.; Shehabi, A.A. Probiotics: Past, Present and Future Challenges. Int. Arab. J. Antimicrob. Agents 2018, 8, 1–12. [Google Scholar] [CrossRef][Green Version]
- Ceapa, C.; Wopereis, H.; Rezaïki, L.; Kleerebezem, M.; Knol, J.; Oozeer, R. Influence of fermented milk products, prebiotics and probiotics on microbiota composition and health. Best Pract. Res. Clin. Gastroenterol. 2013, 27, 139–155. [Google Scholar] [CrossRef]
- Walker, W.A.; Goulet, O.; Morelli, L.; Antoine, J.M. Progress in the science of probiotics: From cellular microbiology and applied immunology to clinical nutrition. Eur. J. Nutr. 2006, 45, 1–18. [Google Scholar] [CrossRef]
- Zhou, Z.; Chen, X.; Sheng, H.; Shen, X.; Sun, X.; Yan, Y.; Wang, J.; Yuan, Q. Engineering probiotics as living diagnostics and therapeutics for improving human health. Microb. Cell Fact. 2020, 19, 56. [Google Scholar] [CrossRef]
- Kisan, B.S.; Kumar, R.; Ashok, S.A.; Sangita, G. Probiotic foods for human health: A review. J. Pharmacogn. Phytochem. 2019, 8, 967–971. [Google Scholar]
- Casarotti, S.N.; Carneiro, B.M.; Todorov, S.D.; Nero, L.A.; Rahal, P.; Penna, A.L.B. In vitro assessment of safety and probiotic potential characteristics of Lactobacillus strains isolated from water buffalo mozzarella cheese. Ann. Microbiol. 2017, 67, 289–301. [Google Scholar] [CrossRef]
- Kalhoro, M.S.; Nguyen, L.T.; Anal, A.K. Evaluation of probiotic potentials of the Lactic Acid Bacteria (LAB) isolated from Raw Buffalo (Bubalus bubalis) milk. Pak. Vet. J. 2019, 39, 395–400. [Google Scholar] [CrossRef]
- du Sert, N.P.; Hurst, V.; Ahluwalia, A.; Alam, S.; Avey, M.T.; Baker, M.; Browne, W.J.; Clark, A.; Cuthill, I.C.; Dirnagl, U.; et al. The arrive guidelines 2.0: Updated guidelines for reporting animal research. PLoS Biol. 2020, 18, 1–12. [Google Scholar] [CrossRef]
- Kumar, A.M.; Murugalatha, N. Isolation of Lactobacillus plantarum from cow milk and screening for the presence of sugar alcohol producing gene. J. Microbiol. Antimicrob. 2012, 4, 16–22. [Google Scholar] [CrossRef]
- Cossart, Y. Bergey’s Manual of Systematic Bacteriology Volume 2. Pathology 1987, 19, 324. [Google Scholar] [CrossRef]
- Holt, J.G.; Krieg, N.R.; Sneath, P.H.A. Bergey’s Manual of Determinative Bacterology; The Williams and Wilkins Co.: Baltimore, MD, USA, 1994. [Google Scholar]
- Yu, S.; Zhang, G.; Li, J.; Zhao, Z.; Kang, X. Effect of endogenous hydrolytic enzymes pretreatment on the anaerobic digestion of sludge. Bioresour. Technol. 2013, 146, 758–761. [Google Scholar] [CrossRef]
- Farahmand, N.; Ouoba, L.I.I.; Raeisi, S.N.; Sutherland, J.; Ghoddusi, H.B. Probiotic lactobacilli in fermented dairy products: Selective detection, enumeration and identification scheme. Microorganisms 2021, 9, 1600. [Google Scholar] [CrossRef]
- Zhang, J.; Liu, M.; Xu, J.; Qi, Y.; Zhao, N.; Fan, M. First Insight into the Probiotic Properties of Ten Streptococcus thermophilus Strains Based on In Vitro Conditions. Curr. Microbiol. 2020, 77, 343–352. [Google Scholar] [CrossRef]
- Sosa-Castañeda, J.; Hernández-Mendoza, A.; Astiazarán-García, H.; Garcia, H.S.; Estrada-Montoya, M.C.; González-Córdova, A.F.; Vallejo-Cordoba, B. Screening of Lactobacillus strains for their ability to produce conjugated linoleic acid in milk and to adhere to the intestinal tract. J. Dairy Sci. 2015, 98, 6651–6659. [Google Scholar] [CrossRef]
- Collado, M.C.; Meriluoto, J.; Salminen, S. Adhesion and aggregation properties of probiotic and pathogen strains. Eur. Food Res. Technol. 2008, 226, 1065–1073. [Google Scholar] [CrossRef]
- Yi, R.; Pan, Y.; Long, X.; Tan, F.; Zhao, X. Enzyme Producing Activity of Probiotics and Preparation of Compound Enzyme. J. Chem. 2020, 2020. [Google Scholar] [CrossRef]
- Dhakal, D.; Pokhrel, A.R.; Shrestha, B.; Sohng, J.K. Marine rare actinobacteria: Isolation, characterization, and strategies for harnessing bioactive compounds. Front. Microbiol. 2017, 8, 1106. [Google Scholar] [CrossRef] [PubMed]
- Tejero-Sariñena, S.; Barlow, J.; Costabile, A.; Gibson, G.R.; Rowland, I. In vitro evaluation of the antimicrobial activity of a range of probiotics against pathogens: Evidence for the effects of organic acids. Anaerobe 2012, 18, 530–538. [Google Scholar] [CrossRef]
- Son, S.H.; Jeon, H.L.; Yang, S.J.; Sim, M.H.; Kim, Y.J.; Lee, N.K.; Paik, H.D. Probiotic lactic acid bacteria isolated from traditional Korean fermented foods based on β-glucosidase activity. Food Sci. Biotechnol. 2018, 27, 123–129. [Google Scholar] [CrossRef] [PubMed]
- Gavrilova, E.; Anisimova, E.; Gabdelkhadieva, A.; Nikitina, E.; Vafina, A.; Yarullina, D.; Bogachev, M.; Kayumov, A. Newly isolated lactic acid bacteria from silage targeting biofilms of foodborne pathogens during milk fermentation. BMC Microbiol. 2019, 19, 248. [Google Scholar] [CrossRef]
- Wu, C.; Lin, X.; Tong, L.; Dai, C.; Lv, H.; Zhou, X.; Zhang, J. In vitro evaluation of lactic acid bacteria with probiotic activity isolated from local pickled leaf mustard from Wuwei in Anhui as substitutes for chemical synthetic additives. Open Chem. 2021, 19, 755–771. [Google Scholar] [CrossRef]
- Camacho-Bernal, G.I.; Cruz-Cansino, N.D.S.; Ramírez-Moreno, E.; Delgado-Olivares, L.; Zafra-Rojas, Q.Y.; Castañeda-Ovando, A.; Suárez-Jacobo, Á. Addition of bee products in diverse food sources: Functional and physicochemical properties. Appl. Sci. 2021, 11, 8156. [Google Scholar] [CrossRef]
- Shivangi, S.; Devi, P.B.; Ragul, K.; Shetty, P.H. Probiotic Potential of Bacillus Strains Isolated from an Acidic Fermented Food Idli. Probiotics Antimicrob. Proteins 2020, 12, 1502–1513. [Google Scholar] [CrossRef]
- Guo, H.; Pan, L.; Li, L.; Lu, J.; Kwok, L.; Menghe, B.; Zhang, H.; Zhang, W. Characterization of Antibiotic Resistance Genes from Lactobacillus Isolated from Traditional Dairy Products. J. Food Sci. 2017, 82, 724–730. [Google Scholar] [CrossRef]
- Vargas-Ramella, M.; Pateiro, M.; Maggiolino, A.; Faccia, M.; Franco, D.; De Palo, P.; Lorenzo, J.M. Buffalo milk as a source of probiotic functional products. Microorganisms 2021, 9, 2303. [Google Scholar] [CrossRef]
- Abe Sato, S.T.; Marques, J.M.; da Luz de Freitas, A.; Sanches Progênio, R.C.; Nunes, M.R.T.; de Vasconcelos Massafra, M.J.; Gomes Moura, F.; Rogez, H. Isolation and Genetic Identification of Endophytic Lactic Acid Bacteria from the Amazonian Açai Fruits: Probiotics Features of Selected Strains and Their Potential to Inhibit Pathogens. Front. Microbiol. 2021, 11, 610542. [Google Scholar] [CrossRef] [PubMed]
- Śliżewska, K.; Chlebicz-Wójcik, A. Growth kinetics of probiotic lactobacillus strains in the alternative, cost-efficient semi-solid fermentation medium. Biology 2020, 9, 423. [Google Scholar] [CrossRef] [PubMed]
- Sharma, P.; Anand, S.; Tomar, S.K.; Goswami, P. Antibiotic Susceptibility of Lactobacillus sp. Isolated from Commercial Probiotic Products by E-Test Strip Method. Int. J. Curr. Microbiol. Appl. Sci. 2018, 7, 3499–3517. [Google Scholar] [CrossRef]
- Campedelli, I.; Mathur, H.; Salvetti, E.; Clarke, S.; Rea, M.C.; Torriani, S.; Ross, R.P.; Hill, C.; O’Toole, P.W. Genus-wide assessment of antibiotic resistance in Lactobacillus spp. Appl. Environ. Microbiol. 2019, 85, 1–21. [Google Scholar] [CrossRef]
- Lee, K.B.; Lee, H.G.; Choi, Y.J. Proteomic analysis of the effect of bile salts on the intestinal and probiotic bacterium Lactobacillus reuteri. J. Biotechnol. 2008, 137, 14–19. [Google Scholar] [CrossRef] [PubMed]
- Prabhurajeshwar, C.; Chandrakanth, R.K. Probiotic potential of Lactobacilli with antagonistic activity against pathogenic strains: An in vitro validation for the production of inhibitory substances. Biomed. J. 2017, 40, 270–283. [Google Scholar] [CrossRef]
- Tomás, M.; de Oliveira, P.A.; Simões, S.; de Oliveira, M.J.; de Oliveira, P.R. Bacterial vaginosis: Standard treatments and alternative strategies. Int. J. Pharm. 2020, 587, 119659. [Google Scholar] [CrossRef]
- Collier, C.T.; Smiricky-Tjardes, M.R.; Albin, D.M.; Wubben, J.E.; Gabert, V.M.; Deplancke, B.; Bane, D.; Anderson, D.B.; Gaskins, H.R. Molecular ecological analysis of porcine ileal microbiota responses to antimicrobial growth promoters. J. Anim. Sci. 2003, 81, 3035–3045. [Google Scholar] [CrossRef]
- Liu, Y.; Ma, A.; Han, P.; Chen, Z.; Jia, Y. Antibacterial mechanism of brevilaterin B: An amphiphilic lipopeptide targeting the membrane of Listeria monocytogenes. Appl. Microbiol. Biotechnol. 2020, 104, 10531–10539. [Google Scholar] [CrossRef]













| Isolate | pH Tolerance | Bile Tolerance | ||||
|---|---|---|---|---|---|---|
| pH (2.0) | pH (3.0) | pH (7.0) | 0.5 | 1.0 | Control | |
| log CFU/mL | log CFU/mL | |||||
| NMCC-1 | 6.12 ± 0.06 | 8.61 ± 0.07 | 8.44 ± 0.06 | 7.10 ± 0.05 | 6.06 ± 0.04 | 8.70 ± 0.03 |
| NMCC-2 | 6.39 ± 0.07 | 8.79 ± 0.09 | 8.56 ± 0.04 | 7.77 ± 0.03 | 6.10 ± 0.06 | 8.80 ± 0.05 |
| NMCC-4 | 6.09 ± 0.10 | 8.45 ± 0.05 | 8.34 ± 0.08 | 7.50 ± 0.06 | 6.12 ± 0.10 | 8.66 ± 0.11 |
| NMCC-6 | 6.17 ± 0.11 | 8.44 ± 0.08 | 8.55 ± 0.07 | 7.60 ± 0.07 | 6.07 ± 0.05 | 8.70 ± 0.04 |
| NMCC-7 | 6.22 ± 0.05 | 8.59 ± 0.07 | 8.34 ± 0.08 | 7.68 ± 0.05 | 6.22 ± 0.06 | 8.540 ± 0.09 |
| NMCC-8 | 6.11 ± 0.10 | 8.45 ± 0.05 | 8.34 ± 0.05 | 7.45 ± 0.04 | 6.24 ± 0.03 | 8.11 ± 0.08 |
| NMCC-10 | 6.12 ± 0.08 | 8.43 ± 0.09 | 8.55 ± 0.06 | 7.19 ± 0.04 | 6.35 ± 0.08 | 8.23 ± 0.09 |
| NMCC-13 | 6.32 ± 0.04 | 8.56 ± 0.06 | 8.34 ± 0.03 | 7.11 ± 0.07 | 6.01 ± 0.09 | 8.32 ± 0.07 |
| NMCC-14 | 6.40 ± 0.08 | 8.78 ± 0.04 | 8.59 ± 0.04 | 7.60 ± 0.03 | 6.17 ± 0.05 | 8.76 ± 0.08 |
| NMCC-15 | 6.10 ± 0.07 | 8.43 ± 0.09 | 8.55 ± 0.06 | 7.55 ± 0.09 | 6.11 ± 0.04 | 8.70 ± 0.04 |
| NMCC-18 | 6.39 ± 0.05 | 8.56 ± 0.06 | 8.34 ± 0.03 | 7.65 ± 0.06 | 6.18 ± 0.08 | 8.70 ± 0.07 |
| NMCC-17 | 6.40 ± 0.08 | 8.79 ± 0.08 | 8.59 ± 0.03 | 7.87 ± 0.04 | 6.12 ± 0.04 | 8.55 ± 0.08 |
| NMCC-27 | 6.44 ± 0.04 | 8.77 ± 0.05 | 8.55 ± 0.06 | 7.55 ± 0.08 | 6.19 ± 0.02 | 8.67 ± 0.04 |
| NMCC-28 | 6.43 ± 0.06 | 8.78 ± 0.07 | 8.51 ± 0.05 | 7.49 ± 0.04 | 6.11 ± 0.06 | 8.50 ± 0.09 |
| NMCC-18 | 6.31 ± 0.04 | 8.69 ± 0.08 | 8.41 ± 0.07 | 7.60 ± 0.06 | 6.05 ± 0.08 | 8.55 ± 0.05 |
| Characteristics | Selective Bacterial Strains | |||
|---|---|---|---|---|
| NMCC-2 | NMCC-14 | NMCC-17 | NMCC-27 | |
| Morphological characterization | ||||
| Gram staining | +ve | −ve | +ve | +ve |
| Shape | Cocci | Rod | Cocci | Rod |
| Form | Round | Circular | Circular | Circular |
| Surface | Shiny | Smooth | Smooth | Smooth |
| Color | Creamish white | Creamy white | Creamy White | Creamy white |
| Margin | Entire | Undulate | Entire | Entire |
| Elevation | Raised | Umbonate | Convex | Convex |
| Opacity | Opaque | Opaque | Opaque | Translucent |
| Biochemical characterization | ||||
| Catalase | −ve | −ve | −ve | −ve |
| Oxidase | −ve | −ve | −ve | −ve |
| Indole | −ve | −ve | −ve | −ve |
| Citrate | +ve | +ve | +ve | +ve |
| Methyl red | +ve | +ve | −ve | −ve |
| Triple sugar iron | −ve | −ve | −ve | −ve |
| Urease | −ve | −ve | −ve | −ve |
| Gas from Glucose | +ve | +ve | +ve | +ve |
| Fermentation | Homo | Homo | Homo | Homo |
| NMCC Strain | BSH | Hemolytic Activity | DNAs |
|---|---|---|---|
| NMCC-2 | + | Gama | - |
| NMCC-14 | ++ | Gama | - |
| NMCC-17 | ++ | Gama | - |
| NMCC-27 | + | Gama | - |
| NMCC Strain | Streptomycin (10 ug) | Ciproflaxin (20 ug) | Vancomycin (30 ug) | Metronidazole (10 ug) | Ampicillin (5 ug) | Chloramphenicol (30 ug) | Kanamycin (30 ug) | Erythromycin (15 ug) | Penicillin (10 ug) | Tetracycline (30 ug) |
|---|---|---|---|---|---|---|---|---|---|---|
| NMCC-2 | R | R | R | R | I | S | R | S | R | R |
| NMCC-14 | R | R | R | R | I | S | R | S | R | R |
| NMCC-17 | R | R | R | R | I | S | R | S | R | R |
| NMCC-27 | R | R | R | R | I | S | R | S | R | R |
| NMCC Strains | Test Pathogen | ||||
|---|---|---|---|---|---|
| E. coli | Pseudomonas aeruginosa | Staphylococcus aureus | Listeria monocytogenes | Bacillus cereus | |
| NMCC-2 | + | + | ++ | - | - |
| NMCC-14 | +++ | ++ | +++ | + | + |
| NMCC-17 | ++ | + | ++ | + | + |
| NMCC-27 | + | - | - | + | + |
| Strain | Protein, % | Lactose, % | pH | WHCa, % | Syneresis, g Water/100 g Milk | Dynamic Viscosity, sec |
|---|---|---|---|---|---|---|
| NMCC-14 | 4.8 ± 0.9 b | 4.4 ± 0.10 a | 3.7 ± 0.09 c | 36 ± 1.55 a | 21 ± 1.8 b | 6.1 ± 0.07 a |
| NMCC-17 | 4.4 ± 0.06 a | 4.3 ± 0.08 a,b | 3.6 ± 0.05 b | 37 ± 4.3 b,a | 24 ± 2.8 a | 5.6 ± 0.15 a,b |
| Pre-fermented milk | 4.2 ± 0.09 d | 4.8 ± 0.07 a,d | 6.8 ± 0.9 c | Nil d,a | Nil d | Nil d |
Publisher’s Note: MDPI stays neutral with regard to jurisdictional claims in published maps and institutional affiliations. |
© 2022 by the authors. Licensee MDPI, Basel, Switzerland. This article is an open access article distributed under the terms and conditions of the Creative Commons Attribution (CC BY) license (https://creativecommons.org/licenses/by/4.0/).
Share and Cite
Abid, S.; Farid, A.; Abid, R.; Rehman, M.U.; Alsanie, W.F.; Alhomrani, M.; Alamri, A.S.; Asdaq, S.M.B.; Hefft, D.I.; Saqib, S.; et al. Identification, Biochemical Characterization, and Safety Attributes of Locally Isolated Lactobacillus fermentum from Bubalus bubalis (buffalo) Milk as a Probiotic. Microorganisms 2022, 10, 954. https://doi.org/10.3390/microorganisms10050954
Abid S, Farid A, Abid R, Rehman MU, Alsanie WF, Alhomrani M, Alamri AS, Asdaq SMB, Hefft DI, Saqib S, et al. Identification, Biochemical Characterization, and Safety Attributes of Locally Isolated Lactobacillus fermentum from Bubalus bubalis (buffalo) Milk as a Probiotic. Microorganisms. 2022; 10(5):954. https://doi.org/10.3390/microorganisms10050954
Chicago/Turabian StyleAbid, Sana, Arshad Farid, Rameesha Abid, Mujeeb Ur Rehman, Walaa F. Alsanie, Majid Alhomrani, Abdulhakeem S. Alamri, Syed Mohammed Basheeruddin Asdaq, Daniel Ingo Hefft, Saddam Saqib, and et al. 2022. "Identification, Biochemical Characterization, and Safety Attributes of Locally Isolated Lactobacillus fermentum from Bubalus bubalis (buffalo) Milk as a Probiotic" Microorganisms 10, no. 5: 954. https://doi.org/10.3390/microorganisms10050954
APA StyleAbid, S., Farid, A., Abid, R., Rehman, M. U., Alsanie, W. F., Alhomrani, M., Alamri, A. S., Asdaq, S. M. B., Hefft, D. I., Saqib, S., Muzammal, M., Morshedy, S. A., Alruways, M. W., & Ghazanfar, S. (2022). Identification, Biochemical Characterization, and Safety Attributes of Locally Isolated Lactobacillus fermentum from Bubalus bubalis (buffalo) Milk as a Probiotic. Microorganisms, 10(5), 954. https://doi.org/10.3390/microorganisms10050954

