Abstract
Sigma factors are transcriptional regulators that are part of complex regulatory networks for major cellular processes, as well as for growth phase-dependent regulation and stress response. Actinoplanes sp. SE50/110 is the natural producer of acarbose, an α-glucosidase inhibitor that is used in diabetes type 2 treatment. Acarbose biosynthesis is dependent on growth, making sigma factor engineering a promising tool for metabolic engineering. ACSP50_0507 is a homolog of the developmental and osmotic-stress-regulating Streptomyces coelicolor σHSc. Therefore, the protein encoded by ACSP50_0507 was named σHAs. Here, an Actinoplanes sp. SE50/110 expression strain for the alternative sigma factor gene ACSP50_0507 (sigHAs) achieved a two-fold increased acarbose yield with acarbose production extending into the stationary growth phase. Transcriptome sequencing revealed upregulation of acarbose biosynthesis genes during growth and at the late stationary growth phase. Genes that are transcriptionally activated by σHAs frequently code for secreted or membrane-associated proteins. This is also mirrored by the severely affected cell morphology, with hyperbranching, deformed and compartmentalized hyphae. The dehydrated cell morphology and upregulation of further genes point to a putative involvement in osmotic stress response, similar to its S. coelicolor homolog. The DNA-binding motif of σHAs was determined based on transcriptome sequencing data and shows high motif similarity to that of its homolog. The motif was confirmed by in vitro binding of recombinantly expressed σHAs to the upstream sequence of a strongly upregulated gene. Autoregulation of σHAs was observed, and binding to its own gene promoter region was also confirmed.
1. Introduction
Actinoplanes sp. SE50/110 is a high G + C (~71%) Gram-positive aerobic soil bacterium, featuring filamentous growth and a complex life cycle. The bacterium grows in a dense mycelium, forms motile spores [1] and has high industrial relevance as the natural producer of acarbose. Acarbose is an α-glucosidase inhibitor, used as treatment for diabetes mellitus type 2. The pseudo-tetrasaccharide acarbose consists of two parts: a maltose residue, which is α-1,4-linked to a pseudodisaccharide, consisting of aminocyclitol and deoxyribose. Its inhibitory effect is based on the complex of the unsaturated C7-aminocyclitol, composed of C7-cyclitol and aminohexose with N-glycosidic linkage [2,3]. The genome harbors 22 acb genes involved in acarbose biosynthesis (16) as well as its molecular modification (3) and export (3) [4,5,6,7,8,9]. The C7-aminocyclitol and aminohexose moieties are synthesized trough two different biosynthesis branches, performed by the enzymes AcbCMOLNUJR and AcbABV, respectively. Further genes are essential for extracellular modifications and transport [4,10]. Within the acb gene cluster, regulatory elements are scarcely known. Determination of transcription start sites (TSSs) and operon structures [11] as well as transcription dynamics and protein abundancies [12] were major steps for the broader understanding of acb gene regulation. In prior works, the MalR type regulator AcrC was identified to bind within the acb gene cluster in the intergenic region between the genes acbE and acbD, but gene deletion did not result in an increased acarbose yield [13]. To date, no transcriptional regulator capable of influence acarbose biosynthesis with an increased acarbose yield has been identified.
Since acarbose biosynthesis is growth-dependent, showing no production within the stationary growth phase [14], a focus on global transcriptional regulators with a putative influence on growth is a promising approach. For other species, it was shown that the manipulation of global transcriptional regulators can be used to achieve increased metabolite production. The manipulation can be performed using different approaches, e.g., with gene deletion, using evolved transcriptional regulators or overexpression [15,16,17]. Sigma factors were shown to be superior targets to manipulate metabolite production, as they control larger transcriptional networks. SigA overexpression successfully led to an increase in carotenoid production in Corynebacterium glutamicum [17], and sigma factor HrdB evolvement enabled antibiotic production increase in Streptomyces avermitilis [16]. Sigma factors specifically recognize promoter elements and direct core RNA polymerase (RNAP) enzyme to facilitate transcription initiation. Housekeeping sigma factors confer transcription for primary metabolism, while alternative sigma factors are active under different conditions, e.g., stress response [18,19,20,21,22], growth phase [21,23,24,25], or during secondary metabolite production [15,16,17,26,27], and these redirect RNAP to specific promoters to confer alternative gene transcription. In addition, all sigma factors compete for a limited amount of core RNAP.
Alternative sigma factors are often inactivated by binding to anti-sigma factors. Bound sigma factors can be released by direct sensing, resulting in a conformational change and release of the sigma factor [28,29], proteolysis (anti-sigma factor degeneration) [30,31] or partner-switching (inactivation by binding through anti-sigma factor antagonist) [32]. Anti-sigma factor antagonists, also named anti-anti-sigma factors, can bind anti-sigma factors, preventing the inhibition of its target sigma factor. The complex hierarchical regulatory network comprises several more steps, since anti-anti-sigma factors are activated upon diverse cellular signals [24]. Alternative sigma factors enable differential transcription, facilitating response to intra- and extracellular conditions. They play a key role in diverse stress-associated processes like heat or cold-shock response, pH shock, osmotic stress response or oxidative stress response [18,19,21,33,34,35,36]. Transcriptional-sigma-factor-mediated regulation is diverse and can differ in complexity among species. Escherichia coli has only seven sigma factors, one housekeeping sigma factor for essential cellular processes and six alternative sigma factors for selective differential transcription [33,34]. Other species have an even more complex regulation [37,38] with several more sigma factors involved: Bacillus subtilis carries 18 sigma factor genes [39,40] and S. coelicolor carries 65 sigma factor genes [41]. This makes the investigation challenging. Several studies elucidate σ factors networks in S. coelicolor, especially the stress response σBSC homologs with its overlapping stress responses, connected regulatory networks and promoter cross-recognition [42,43]. The regulatory network of σBSC homolog σHSC is extensively characterized. σHSC plays a role in osmotic stress response and morphological development [21]. Genes of the σHSC regulon are associated with osmotic stress response, morphological differentiation, sporulation and aerial hyphae septation. The gene deletion strain shows impaired septation of aerial hyphae and a bald phenotype due to a decreased spore titer and reduced growth under osmotic stress [21]. σHSC is regulated on a transcriptional, post-translational and protein level. Transcription of the σHSC operon, coding σHSC and its anti-σ factor UshX, was shown to be regulated by BldD or activated by heat shock and osmotic stress, but are also autoregulated with different promoters [21,44,45]. Further studies showed σHSC regulation by proteolysis and by a partner-switching mechanism of its anti-σ factor UshX and the anti-anti-σ factor BldG. Eight anti-σ factors were identified to be able to activate BldG and fifteen σ factors were identified to interact with BldG [46,47]. This intertwined large network of regulatory partners represents the complexity of σ factor regulation, especially of the stress-associated σB homologs, and reinforces the challenge of σ factor characterization and elucidation of its regulation. This becomes even more complex with Actinoplanes sp. SE50/110 carrying 78 σ factor genes (Genbank: NZ_LT827010.1).
Thereby, the adaption of molecular genetic tools like integrative vectors [48], CRISPR/Cas9 [49] and homologous recombination [50] for Actinoplanes sp. SE50/110 as well as advances in transcriptome analysis and gene annotation enables the genetic manipulation for gene characterization and investigation of regulatory networks in this organism. We here set out to manipulate sigma factor networks in this organism to increase acarbose yield and analyze the influence of ACSP50_0507 on the Actinoplanes sp. SE50/110 phenotype. Therefore, we investigated the deletion and expression mutants of a systematically selected σ factor gene with respect to growth, cell morphology and acarbose production. We further analyzed its function using transcriptomic analysis for binding motif prediction and performed binding assays.
2. Materials and Methods
2.1. Software and Databases Used for Bioinformatic Analysis
Oligonucleotide design was performed with SnapGene 4.3 (GSL Biotech LLC, Chicago, IL, USA). EDGAR 3.0 [51], the Basic Local Alignment Search Tool [52,53,54] and CDD (Conserved Domain Database) [55,56,57,58] were used for comparative genome studies, homology prediction and functional domain search of proteins. Transcriptional analysis was performed with Readxplorer 2.2.3 and integrated DeSeq2 [59] and Improbizer [60] and WebLogo 3.7.10 [61] were used for binding motif prediction.
2.2. Strains, Media and Supplements
Cloning of expression and deletion plasmids was performed with Escherichia coli DH5αMCR, the donor strain Escherichia coli ET12567(pUZ8002) was used for conjugation into Actinoplanes sp. SE50/110, and plasmid replication for electro transformation into Actinoplanes sp. SE50/110 was performed using Escherichia coli ER2925 [62,63]. Protein expression was performed in Escherichia coli BL21(DE3) pLys.
E. coli was cultivated in liquid LB media (16 g·L−1 Luria/Miller broth (Carl Roth, GmbH & Co. KG, Karlsruhe, Germany) or grown on solid LB medium (supplemented with 16 g·L−1 agar–agar KobeI (Carl Roth, GmbH & Co. KG, Karlsruhe, Germany). The respective supplements were added to the media: apramycin (50 μg·mL−1), chloramphenicol (25 μg·mL−1), kanamycin (50 μg·mL−1), ampicillin (100 μg·mL−1).
For molecular genetic manipulation, Actinoplanes sp. SE50/110 was grown on solid soy flour medium (SFM: 20 g·L−1 soy flour, 20 g·L−1 mannitol, 20 g·L−1 agar, pH 8 adjusted with NaOH, tap water) or liquid NBS medium (11 g·L−1 glucose × 1H2O, 4 g·L−1 peptone, 4 g·L−1 yeast extract, 1 g·L−1 MgSO4·7H2O, 2 g·L−1 KH2PO4, and 4 g·L−1 K2HPO4) with the respective supplements.
2.3. Creation of Expression, Deletion and Complementation Strains
2.3.1. Cloning of ACSP50_0507 into the Integrative pSETT4tipA Expression Vector
The σ factor gene was cloned into the BbsI-linearized vector pSETT4tipA using Gibson Assembly [64] according to Schaffert et al. (2020) [48]. Oligonucleotides were ordered from metabion GmbH (Steinkirchen, Germany) and Sigma Aldrich (Merck KGaA, Darmstadt, Germany) (Table S1). The target genes were amplified by Polymerase Chain Reaction (PCR) using Phusion High-Fidelity PCR Master Mix with GC Buffer (Thermo Fisher Scientific, Waltham, MA, USA). The DNA constructs were transformed into E. coli DH5α according to Beyer et al. (2015) and selected on solid LB media, supplemented with 50 mg L−1 apramycin sulfate [65]. Plates were incubated overnight at 37 °C, and the obtained clones were screened using colony PCR and agarose gel electrophoresis. Positive clones were isolated using the GeneJET Plasmid-Miniprep-Kit (Thermo Fisher Scientific, Waltham, MA, USA) and verified using Sanger sequencing by our in-house sequencing facility.
2.3.2. Plasmid Transfer into Actinoplanes sp. SE50/110
Competent cells were obtained from 50 mL Actinoplanes sp. SE50/110 NBS culture, cultivated for 48 h at 140 rpm and 28 °C. After 15 min on ice, the cells were washed twice with TG buffer (10% glycerol (v/v), 1 mM Tris) and then washed in 10% (v/v) glycerin with centrifugation for 5 min at 5000× g and 4 °C in between. The cells were then resuspended in 3 mL of 10% (v/v) glycerin, and aliquots of 300 µL are prepared and subsequently frozen in liquid nitrogen and stored at −80 °C until further use.
Electro transformation of the pSETT4tipA-based expression plasmids into competent Actinoplanes sp. SE50/110 was performed with 100 ng expression plasmid, isolated from the methylase-deprived E. coli ER2925 strain, at 2500 kV, 25 µF and 200 Ω in a cuvette and incubated in 1 mL preheated CMR (10 g·L−1 glucose, 103 g·L−1 sucrose, 10.12 g·L−1 MgCl2 × 6H2O, 15 g·L−1 TSB, 5 g·L−1 yeast extract) at 46 °C for 6 min before incubation at 28 °C and 1100 rpm overnight. The transformation broth was then grown on solid selective solid SFM agar, supplemented with 50 mg L−1 apramycin sulfate, and clones were screened by colony PCR and agarose gel electrophoresis. After gDNA isolation from NBS culture using the Quick-DNA Fungal/Bacterial Miniprep (Zymo Research Corporation, Irvine, CA, USA) kit, genomic integration was verified by Sanger Sequencing and Oxford Nanopore sequencing using the MinION (Oxford, UK), and minimap2, samtools and IGV were used for mapping, indexing and visualization (Figures S2 and S3) [55,56,57].
2.4. Creation of the ACSP50_0507 Deletion Strain
2.4.1. Construction of the Deletion Plasmid
The deletion strain was created using the CRISPR/Cas9-based vector pCRISPomyces-2 [66]. The spacer sequence was selected based on the CRISPy-web tool [67] and ordered as oligonucleotide, as well as its reversed complement, both including 4 bp overlap to the integration site of the vector (metabion GmbH, Steinkirchen, Germany and Sigma Aldrich—Merck KGaA, Darmstadt, Germany) (Table S1). Both oligonucleotides (5 µL, 10 µM) were annealed in 30 mM of HEPES at pH 7.8 under a temperature gradient of 98 °C to 4 °C with 1 °C min−1 and cloned into the BsaI (NEB, Ipswich, MA, USA) linearized vector by Golden Gate Assembly following the method outlined by Cobb et al. (2015) [66]. The DNA constructs were transformed into chemo-competent E. coli DH5α cells according to the method outlined by Beyer et al. and selected on solid LB media supplemented with 50 mg L−1 apramycin sulfate [65]. Plates were incubated overnight at 37 °C and blue-white screening was used to screen positive clones, which were then isolated using the GeneJET Plasmid-Miniprep-Kit (Thermo Fisher Scientific, Waltham, MA, USA). Homologous flanks of ~1.3 kb, operating as a template for the repair of the Cas9-induced double-strand break, were amplified by PCR using Phusion High-Fidelity PCR Master Mix with GC Buffer (Thermo Fisher Scientific, Waltham, MA, USA) and cloned in the XbaI linearized vector spacer construct by Gibson Assembly [64]. Transformation was performed as mentioned prior, and colony PCR and agarose gel electrophoresis were applied for screening. Positive clones were isolated using the GeneJET Plasmid-Miniprep-Kit (Thermo Fisher Scientific, Waltham, MA, USA) and verified by Sanger sequencing by our in-house sequencing core facility.
2.4.2. Conjugation
Conjugation was performed with competent Actinoplanes sp. SE50/110 cells and E. coli ET12567/pUZ8002 as a donor according to the protocol outlined by Schaffert et al. (2019) [68]. Plasmid curing of exconjugants was performed according to the method outlined by Wolf et al. (2016) [49], and the deletion was tested via PCR. Genome sequencing was performed via gDNA isolation of an NBS culture using Quick-DNA Fungal/Bacterial Miniprep (Zymo Research Corporation, Irvine, CA, USA) and ONT MinION of Oxford Nanopore (Oxford, UK) kits, and minimap2, samtools and IGV were used for mapping, indexing and visualization (Figure S1) [69,70,71].
2.5. Cultivation of Actinoplanes sp. SE50/110 Strains
For the pre-culture, 30 mL of NBS was inoculated from 200 µL of glycerol stock. After cultivation for 72 h at 28 °C and 140 rpm, 0.5 mL of culture was passaged to 30 mL of new media and cultivated for another 48 h. Shake flask cultivation was performed using 250 mL Erlenmeyer baffled cell culture flasks (Corning Inc., Corning, NY, USA) for 50 mL of culture at 28 °C and 140 rpm in maltose minimal medium ((1) 72.06 g·L−1 maltose·1H2O, (2) 5 g·L−1 (NH4)2SO4, 0.184 g·L−1 FeCl3·4H2O, 5.7 g·L−1 Na3C6H5O7·2H2O, 1 g·L−1, 200 µL trace elements (stock concentration: 1 μM CuCl2, 50 μM ZnCl2, 7.5 μM MnCl2), (3) MgCl2·6H2O, 2 g·L−1 CaCl2·2H2O, and (4) 5 g·L−1 each K2HPO4 and KH2PO4). Therefore, four medium components were separately prepared and autoclaved, whereas component (1) was sterile filtrated. Inoculation was performed using 30 mL of pre-culture, which was harvested by centrifugation at 5000 rpm for 5 min and washed twice with maltose minimal medium. The cell wet weight was measured, and the cells were diluted to 50 g mL−1, of which 0.5 mL was used to inoculate 50 mL of maltose minimal medium. Cultivation was performed at 140 rpm and 28 °C. Growth was determined by a cell dry weight of 2 × 1 mL of culture sample in pre-weight 1.5 mL reaction tubes, after harvest by centrifugation at 14,000 rpm for 5 min and washing with H2O (MilliQ) twice and a 48 h drying process at 60 °C.
2.6. Scanning Electron Microscopy (SEM)
Actinoplanes sp. SE50/110 strains were cultivated in liquid maltose minimal medium for 8 days. 1 mL cell culture sample was washed twice with 0.5 mL PBS with centrifugation at 1500 rpm for 1 min in between to remove remaining media. For purification, 0.5 mL cells solution was then transferred in a 5 mL glass vial and mixed with 5 mL of fixation reagent (2.5% (v/v) glutaraldehyde (Serva) in 100 mM phosphate buffer (pH 7.2) and incubated for 1 h on ice. Afterwards, the fixation solution was removed, and the samples were incubated in 5 mL of 100 mM phosphate buffer (pH 7.2) on ice for an additional 20 min. The solution was removed, and cells were then treated with 2-propanol (technical) in ascending concentrations, each for 20 min. The concentrations that were used were 30%, 40%, 50%, 60%, 70%, 80%, 90%, 98% of 2-propanol (technical) in 100 mM phosphate buffer (v/v). Lastly, the cells were incubated twice in 100% EtOH (HPLC grade) for 20 min. A measure of 100 µL of sample was then added to a 0.2 µm polycarbonate membrane filter (Poretics, OSMONICS, Livermore, CA, USA), dried and taped on a 12.7 mm × 3.1 mm carrier pin (MT7523, SMCAM, Science Services GmbH, Munich, Germany), before coating with gold for 150 s, at 30 mA (SCD 005 Sputter coater, BAL-TEC) under vacuum. A Hitachi S-450 Scanning Electron Microscope (High-Technologies Ltd., Tokyo, Japan) was used at 15 kV.
For the cell surface investigation, samples were alternative coated with a ~10 nm layer of ruthenium and imaged using the Dual-Beam FIB, FEI Helios Nanolab 600i (FEI Company, Hillsboro, OR, USA) at 5 kV and 0.17 nA.
2.7. Acarbose Quantification Using High-Performance Liquid Chromatography (HPLC)
For the quantification of acarbose, 2 × 1 mL of supernatant was collected and stored at −20 °C until methanol extraction and high-performance liquid chromatography (HPLC) was performed. Methanol extraction was performed after centrifugation of 1 mL supernatant for 2 min at 14,000 rpm to discard remaining solid particles. The supernatant was mixed at a ratio of 1:5 with methanol (100% v/v) and vortexed before centrifugation at 14,000× g for 2 min to remove the precipitate, and the methanol phase was transferred into HPLC vials. For the analysis, an Agilent 1100 HPLC system (G1312A Binary Pump, G1329A ALS autosampler, G1315A diode-array detector (DAD)) using a Hypersil APS-2 column, Thermo Fisher Scientific (Waltham, MA, USA) (125 × 4 mm, particle size: 3 μm) at 40 °C. As mobile phase containing 26% phosphate buffer (0.62 g·L−1 KH2PO4 and 0.38 g·L−1 K2HPO4 × H2O) (solvent A) and 74% acetonitrile (solvent B) was used with an isocratic flow rate of 1 mL min−1. A measure of 40 μL of each sample was injected and separated over 15 min. Acarbose was detected at 210 nm using a DAD detector, and a standard curve allowed the acarbose quantification over the peak area.
2.8. RNA Isolation
During cultivation, samples of 2 × 1 mL were taken and subsequently frozen in liquid nitrogen and stored at −80 °C until further isolation using the Zymo, RNA Clean & Concentrator R1014 and Quick-DNA Fungal/Bacterial Miniprep Kit D6005 (Zymo Research Corporation, Irvine, CA, USA) according to the user protocol. Cell disruption was performed with 1 mL of cultivation sample at 2 × 2600 for 30 s with 5 min on ice in between. Disrupted samples were centrifuged for 4 min at 4000 rpm at 4 °C. DNaseI digestion was performed with 75 µL of digestion buffer and 5 µL of enzyme for 15 min at room temperature, and RNA was eluted with 87 µL RNase-free H2O. Control PCR to exclude remaining DNA was performed with genomic context binding oligonucleotides and Phusion High-Fidelity PCR Master Mix with GC Buffer (Thermo Fisher Scientific, Waltham, MA, USA) at 62 °C for 30 s and following agarose gel electrophoresis. If required, an additional DNaseI treatment of 15 min at RT was performed with 85 µL samples, 10 µL Digestion Buffer and 5 µL DNaseI. RNA elution was performed using 30 µL RNase-free H2O. RNA concentration and purity were analyzed using a NanoDrop 1000 spectrometer (Peqlab, Erlangen, Germany).
2.9. Reverse Transcription Quantitative PCR (RT-qPCR)
A Luna ® Universal Probe One-Step RT-qPCR Kit (New England BioLabs, Ipswich, MA, USA) was used for RT-qPCR with 100 ng RNA according to the manufacturer’s protocol. Ninety-six-well LightCycler plates (Sarstedt, Nümbrecht, Germany) were used for the analysis with the LightCycler 96 System (Roche, Mannheim, Germany).
2.10. RNA-Sequencing and Data Processing
RNA quality was analyzed on an Agilent Bioanalyzer 2100 (Agilent Technologies, Santa Clara, CA, USA). For every sampling point, RNA of three biological replicates was isolated and analyzed. cDNA libraries were prepared according to [11] using the Illumina TruSeq stranded mRNA kit (Illumina, San Diego, CA, USA) and sequenced on Illumina NextSeq 500 in paired-end mode with a 2 × 74 nt read length. Reads were mapped on the reference genome (GenBank: LT827010.1). Differential gene expression analysis of triplicates including normalization was performed using Bioconductor package DESeq2 [72] included in the ReadXplorer v2.2 software [59]. The signal intensity value (A-value) was calculated by the log2 mean of normalized read counts and the signal intensity ratio (M-value) by the log2 fold change. The evaluation of the differential RNA-seq data was performed using an adjusted p-value (Padj) cutoff of Padj ≤ 0.05 and a signal intensity ratio (M-value) cutoff of ≥1 or ≤−1 if not mentioned otherwise. Genes with an M-value outside this range and Padj ≤ 0.05 were considered as differentially up- or downregulated.
Primary 5′-end-specific cDNA library was constructed and sequenced to include σ0507-specific TSSs. 5′-end cDNA library preparation was performed according to Busche et al. (2022) [73], purified and size-selected for fragments of approximately 100–1000 nt by gel electrophoresis, quantified and sequenced on a MiSeq system (Illumina, San Diego, CA, USA) in PE mode with 2 × 75 nt.
RNA-seq data were deposited in in the ArrayExpress database (www.ebi.ac.uk/arrayexpress, accessed on 15 February 2024) under accession number E-MTAB-13644.
2.11. Electrophoretic Mobility Shift Assays (EMSA)
The vector pJOE was used for protein expression with a C-terminal His6 tag according to Nölting et al. (2023) [4]. Protein expression was verified via SDS PAGE and LC-MS/MS using a nano-LC Ultimate 3000 (Thermo Fisher Scientific, Waltham, MA, USA), coupled with ESI-Orbitrap MS/MS QExactive Plus (Thermo Fisher Scientific, Waltham, MA, USA), in negative ionization mode.
Complemental oligonucleotides of 61 bp were ordered (Sigma Aldrich—Merck KGaA, Darmstadt, Germany), with one oligonucleotide of each pair 5′-end biotin labeled. Annealing to a double-stranded DNA fragment was performed in 30 mM of HEPES at pH 7.8 under a temperature gradient from 98 °C to 4 °C with 1 °C min−1. As a control, a 61 bp fragment of the luciferase coding sequence was used. Protein–DNA interaction was analyzed using a LightShift® Chemiluminescent EMSA Kit (Thermo Scientific, Waltham, MA, USA), following the manufacturer’s protocol. For the reaction, 0.1 ug (3.40 µM) recombinant protein and 0.05 nM dsDNA were used. Blotting was performed on an Amersham HybondTM-N+ nylon transfer membrane (GE Healthcare, Chicago, IL, USA) with blot filter paper (Bio-Rad Laboratories, Inc., Hercules, CA, USA) and Trans-Blot® SD Semi-Dry (Bio-Rad Laboratories, Inc., Hercules, CA, USA).
3. Results
3.1. Sigma Factor Gene ACSP50_0507 Encodes a σH Homolog of Streptomyces coelicolor
Sigma factors influence a wide variety of cellular processes and form highly complex regulatory networks [74,75]. Actinoplanes sp. SE50/110 carries at least 78 sigma factor genes and 52 genes coding for anti-sigma factors and anti-sigma factor antagonists (GenBank: NZ_LT827010.1). Thereby, its sigma factor regulation seems to be of higher complexity than in C. glutamicum with 7 σ factors, or even S. coelicolor, with 65 sigma factor coding genes [38].
Actinoplanes sp. SE50/110 alternative sigma factor gene ACSP50_0507 is strongly transcribed during the transition and early stationary growth phase, with a maximal transcript amount at the early stationary growth phase and therefore possibly influencing the cells during growth phase transition [12]. This σ B/F/G family protein (IPRO014322) of 270 amino acids features RNA-polymerase binding and −10 promoter recognition region 2 (IPRO07027), RNA-polymerase and extended-10 binding region 3 (IPRO07624) and −35 promoter element recognition region 4 (cd06171). ACSP50_0507 is a homolog of A. missouriensis (AMIS_4630) and S. coelicolor (SCO5243), with high protein sequence identity to SCO5243 (56% identical amino acid residues) (Figure 1). SCO5243 codes for σHSc, which is known to be involved in osmotic stress response, sporulation and morphological differentiation [21,44] and whose regulatory network was already elucidated [21,42,43,45,46,47,76]. Sequence alignment also shows an extended N-terminal σHSc without any domains. This protein region is not essential for its functionality since sigHSc is developmentally translated into three translational products, with the shortest one missing this extended region [77]. In S. coelicolor, σHSc is inactivated by anti-σ factor UshX, which itself can be inactivated by anti-anti-σ factor BldG [21]. Interestingly, homologs for both genes were identified in Actinoplanes sp. SE50/110, with ACSP50_7560 being homologous to UshX and ACSP50_0384 to BldG, respectively (Figure S7). Interestingly, ACSP50_0284 also shows a high similarity towards BldG but was shown in the phylogenetic analysis as more distantly related and is therefore a putative paralog.
Figure 1.
Actinoplanes sp. SE50/110 ACSP50_0507 protein sequence and domain annotation. Sequence alignment to σH (SCO5243) of S. coelicolor performed with Clustal Omega [78] and domains were predicted using InterPro [78,79]. ACSP50_0507 has a σ B/F/G family protein domain, containing three regions of different functions. Region 2 is an RNA-polymerase binding and −10 promoter recognition region, region 3 is an RNA-polymerase and extended −10-binding region and region 4 is a −35 promoter element-recognition region where DNA-binding residues are depicted in a lighter color. “*” indicates identical residues, “:“ indicates conservation between groups of strongly similar properties and “.” indicates conservation between groups of weakly similar properties.
Due to gene homology and further observations described below, ACSP50_0507 was designated σHAs and its gene as sigHAs. In S. coelicolor, σHSc is encoded in an operon with its anti-σ factor gene. However, in Actinoplanes sp. SE50/110, that is not the case. Its homolog ACSP50_0507 is coded in an operon under the control of several promoters. Genes which are coded in the same operon code for a putative membrane protein (ACSP50_0506) carry a soluble N-ethylmaleimide-sensitive-factor attachment receptor (SNARE) domain and a putative secreted SDR family NAD(P)H-dependent oxidoreductase (ACSP50_0505).
3.2. The Cell Morphology Is Highly Affected by sigHAs Expression
Actinoplanes sp. SE50/110 grows as dense mycelium, surrounded by an extended mesh of hyphae (Figure 2a). The long hyphae are occasionally branched and have a uniform shape (Figure 2b). Genomic insertion of empty vector control pSETT4tipA without gene of interest did not influence the strain’s morphology (Figure 2c,d). Genomic insertion of an additional gene copy (pSETT4tipA-sigHAs) demonstrated a drastic influence on cell morphology, featuring a dense and irregularly formed mycelium, with no surrounding mesh of hyphae (Figure 2e). The expression strain has deformed hyphae with an irregular shape and exceeded branching (Figure 2f). Higher magnification shows that these hyphae are subdivided into parts of irregular sizes and shapes, with larger bulbous sections in between (Figure 2g). The cell surface seemingly shrank and is highly wrinkled (Figure 2h). While cell morphology of the expression strain was drastically influenced, no changes could be observed with the sigHAs deletion (ΔsigHAs) and gene complementation (CΔsigHAs) strains (Figure S5), making the expression strain especially interesting for further characterization.
Figure 2.
Scanning electron microscopy (SEM) of Actinoplanes sp. SE50/110. Strains were cultivated in maltose minimal medium for 5 days before sample preparation for microscopic imaging. The wild-type (a) and empty vector control strain pSETT4tipA (c) grow as large, dense mycelium, surrounded by a large web of hyphae. Hyphae of the wild-type (b) and pSETT4tipA (d) have a uniform shape and are occasionally branched. The morphology of the sigHAs expression strain is drastically influenced to a dense mycelium without a hyphal mesh surrounding it (e). Hyphae are deformed, with an irregular shape (f,g), and closer magnification of the blue marked area shows a highly wrinkled cell surface (h).
3.3. The sigHAs Expression Strain Achieves a Two-Fold Acarbose Yield Due to Prolonged Acarbose Production during Stationary Growth
Cultivation of Actinoplanes sp. SE50/110 wild type, empty vector control strain pSETT4tipA and expression strain pSETTtipA-sigHAs was performed to analyze growth and acarbose production. Growth was determined by cell dry weight determination. The expression strain has similar growth towards the end of cultivation than wild-type and empty vector control strain (Figure 3a). The expression strain achieved an increasing acarbose concentration beyond stationary growth at 118 h of cultivation, whereas the wild-type (WT) and empty vector control strain pSETTtipA showed a stagnating acarbose concentration from this period of growth. A maximal acarbose concentration of 0.853 g·L−1 at 166 h of cultivation by the sigHAs expression strain was observed, whereas WT and empty vector control had ~0.471 g·L−1. At this time, the expression strain achieved its optimal biomass-related acarbose yield of 63.95 mgacab·gcdw−1, a doubling of yield as compared to 31.75 mgacab·gcdw−1 achieved by the WT (Figure 3b).
Figure 3.
Characterization of growth and acarbose production of Actinoplanes sp. SE50/110 sigHAs expression and control strains. (a) Cell dry weight (dense lines) and acarbose concentration (bracket lines) from supernatant during cultivation in maltose minimal medium are shown for Actinoplanes sp. SE50/110 wild type, empty vector strain pSETT4tipA and σHAs expression strain pSETT4tipA-sigHAs (n = 3). (b) Optimal biomass-related acarbose yield of Actinoplanes sp. SE50/110 wild type, empty vector strain pSETT4tipA and expression strain pSETT4tipA-sigHAs at 166 h of cultivation (n = 3).
The sigHAs deletion strain did show a slight growth advantage, and a similar acarbose end-concentration was achieved (Figure S4a). When sigHAs was reintroduced by genomic integration using pSETT4tipA, the complementation strain C∆sigHAs showed similar growth behavior and acarbose end-concentration as the reference strain (Figure S4b).
Gene transcription analysis using RT-qPCR revealed a 2.5-fold higher transcript level of sigHAs in the expression strain (Figure 4). This unexpectedly low differential gene transcription was further examined by a gene copy-specific amplification, using 5′UTR-specific oligonucleotides. It revealed downregulation of the chromosomal sigHAs gene copy in the expression strain, thereby indicating a much higher transcript level of the gene copy on the integration vector. It further indicates negative regulation, when σHAs levels are increased due to the expression of a second gene copy. The relative transcript level of the deletion strain is at the lower limit of detection, and the transcriptional levels of sigHAs were apparently restored to the wild-type level by gene complementation.
Figure 4.
Relative sigHAs transcript amounts of sigHAs expression, deletion and complementation strains. RNA was isolated from cell pellet of 1 mL of cultivation sample at 96 h of cultivation in maltose minimal medium. RT-qPCR was performed for three biological replicates per condition with two technical replicates each. (a) sigHAs overexpression detected for the chromosomal and ectopic sigHAs gene copy of the expression strain (pSETT4tipA-sigHAs) compared to the empty vector control strain. The gene expression strain (pSETT4tipA-sigHAs) has a 2.5-fold increased transcript level. (b) Repression of transcription of the chromosomal gene copy. The expression strain (pSETT4tipA-sigHAs) was compared to the empty vector control strain with 5′UTR specific oligonucleotides to differentiate between chromosomal and ectopic gene copy. The genomic integrated additional gene copy must be highly transcribed to achieve 2.5-fold upregulation detected for chromosomal and ectopic gene copy, despite the downregulation of the chromosomal gene copy. (c) Transcription of the deletion strain ∆sigHAs was compared to Actinoplanes sp. SE50/110 wild type and is at the lower limit of detection. (d) Gene transcription of the complementation strain (C∆sigHAs) was compared to the empty vector control strain. Asterisks indicate p-value of a two-sided t-test with n.s. p ≥ 0.05, * p < 0.05; ** p < 0.01 and *** p < 0.001.
3.4. Increased Transcription of Acarbose Biosynthesis Genes during Growth and Late Stationary Growth Phase
Comparative whole transcriptome analysis of empty vector control strain and sigHAs expression strain revealed a high influence on gene transcription in general, with varying differential gene transcription during cultivation. Interestingly, besides 739 significantly upregulated genes (M-value ≥ 1; Padj < 0.01), we also observed 657 downregulated genes (M-value ≤ −1; Padj < 0.01) during the growth phase (96 h). With 2975 genes, differential transcription is maximal during late stationary growth, where 1707 genes are upregulated (M-value ≥ 1; Padj < 0.01) and 1268 genes are downregulated (M-value ≤ −1; Padj < 0.01) (Figure S6). During late stationary growth, the highest number of regulatory genes, totaling 247, are differential transcribed.
The genes of the acarbose gene cluster were found to be upregulated during growth and late stationary growth phases at 96 h and 166 h of cultivation (Figure 5a), respectively, with a maximal average upregulation with an M-value of ~1.96 during the late stationary phase (166 h) and maximal upregulation of the acarbose export coding acbWXY operon with M-values up to 4.44 (acbY) (Figure 5b). During the growth phase (96 h), acbABD are the highest upregulated genes of the gene cluster, with M-values of 3.35 and 2.50 for the biosynthesis genes acbA (dTDP-glucose synthase) and acbB (dTDP-4-keto-6-deoxyglucose dehydratase) and 4.10 for the extracellular acarbose metabolism gene acbD (acarviose transferase). Interestingly, during the transition phase and early stationary growth, the acb genes are downregulated to an average M-value of −0.78. Thereby, acb gene transcription is influenced in similar levels, except the monocistronically transcribed acbZ (extracellular α-amylase) and acbE (α-amylase) genes. acbZ transcription is downregulated during all sampling points during stationary growth (118 h–166 h), whereas transcription of acbE remains upregulated even when acb genes are downregulated in general.
Figure 5.
Differential transcription of acb genes. Transcriptome sequencing data of expression strain pSETT4tipA-sigHAs compared to the empty vector control strain pSETT4tipA during growth. (a) Average differential acb gene transcription and standard deviation of sigHAs expression strain is shown in dark blue. Minimal and maximal differential gene transcription is shown within the colored area, defined by red (maximal) or black (minimal) lines. (b) Differential gene transcription of single acb genes is shown as a heatmap with the respective M-values within the color-marked areas. Arrows indicate operon structure and gene orientation.
3.5. Altogether, 185 Genes Are Permanently Upregulated in the sigHAs Expression Mutant
Since gene overexpression resulted in a 2.5-fold increased transcription and sigma factors act as transcriptional activators, the focus was set on genes with increased transcription. Data filtering for genes with an increased transcription (M-value ≥1; Padj < 0.05) at all analyzed sampling times left 185 genes.
Of these 185 genes, 20 genes belong to a putative NRPS biosynthesis gene cluster [11]. This cluster of 38 genes (ACSP50_3026-3063) is upregulated in the expression strain. Six genes of this putative biosynthesis cluster are among the 25 highest permanently upregulated genes (Table 1). It is suspected that biosynthesis cluster-specific regulators strengthened the cluster upregulation. The cluster contains an AraC family transcriptional regulator gene (ACSP50_3061) and an Lrp/AsnC family transcriptional regulator gene (ACSP50_3031). Both regulatory genes are affected within the expression strain. While the putative AraC family regulator gene is both up- and downregulated during cultivation, the Lrp/AsnC family regulator gene is only upregulated during the end of stationary growth. Since the transcription of both regulators is not continuously up- or downregulated, they are probably not involved in the permanent upregulation of the putative biosynthesis gene cluster alone.
Table 1.
Genes of sigHAs expression mutant showing the strongest average upregulation at all sampling times (96 h, 118 h, 142 h and 166 h) with M-value ≥ 1 and Padj < 0.05. Genes are sorted by locus tag. The gene annotation is based on GenBank file NZ_LT827010.1 and further bioinformatic analysis.
Aligning with the highly affected cell morphology, the majority of maximal upregulated genes code for membrane-associated proteins or carry a signal peptide and are therefore putative secreted proteins. ACSP50_3382 and ACSP50_4922 code for putative actinobacterial holin proteins. Furthermore, the PadR transcriptional regulator coding gene ACSP50_0424 and a haloacid dehalogenase family hydrolase coding gene ACSP50_2587 are strongly upregulated genes. Among the 185 permanent upregulated genes are several genes related to transport, amino acid supply, regulation and trehalose biosynthesis (Table S3). Interestingly, none of the five homologs of σHSc dependent genes SCO3557, ssgB, dpsA, gltB and gltD are found among the 185 permanent upregulated genes.
3.6. σHAs Binds to a Determined Promoter Region, Upstream of Genes Permanently Upregulated in the Expression Strain
sigHAs expression resulted in the permanent upregulation of 185 genes, belonging to 178 transcription units, which were used for binding motif prediction. TSSs were assigned according to a native 5′-end transcript dataset, obtained for the sigHAs expression and deletion strains. Upstream sequences of these genes, comprising −60 to +10 nucleotides (nt) relative to the transcription start site (TSS, +1), were used for the analysis using Improbizer and visualization using WebLogo 3.7.10 [60,61]. The emerging promoter motif contains a −35 region with 5′-G/CGTTTA/C-3′ and a −10 region with 5′-GGGTAN3T-3′. The −35 region and −10 region have an average distance of 14.6 ± 1.9 nt (Figure 6b). Interestingly, binding motif prediction with four known binding sites of the σHAs homolog σHSc [43,46] identified a highly similar binding motif of a −35 region with 5′-GTTTC/GC/G-3′ with an average distance of 14.2 nt to a −10 region of 5′-GGGT/CA-3′ (Figure 6c).
Figure 6.
σHAs binding motif prediction. (a) Venn diagram of significantly upregulated genes (M-value ≥1; Padj < 0.05) of the sigHAs expression mutant from growth to late stationary phase (96 h, 142 h, 118 h, 166 h). (b) Predicted binding motif of −35 and −10 region and transcription start site (TSS) for σHAs. The motif was predicted based on upstream sequences (−60 to +10 nt) according to the TSS, determined by 5′-end specific transcript sequencing. The analysis was performed with Improbizer [61] and visualized with WebLogo 3.7.10 [60] for 178 upstream sequences of permanently upregulated genes. (c) Determined binding motif of the homologous σHSc of S. coelicolor, based on 11 known binding sites [43,46].
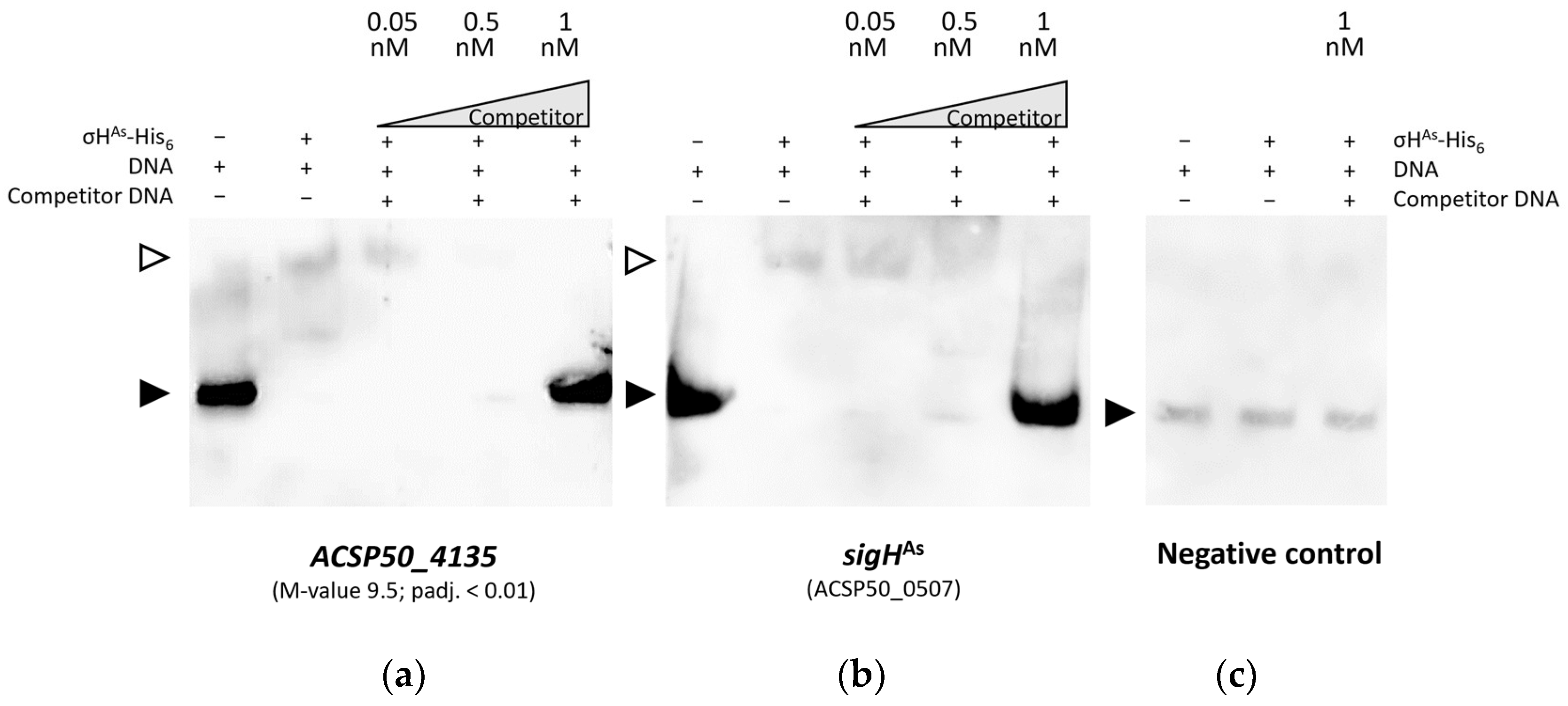
To demonstrate in vitro binding of σHAs to a promoter region of strong differentially transcribed ACSP50_4135 (M-value 9.5 ± 1.64 × 10−54), C-terminal hexa-histidine tagged σHAs was recombinantly expressed in E. coli BL21(DE3) pLysS, verified by SDS-PAGE (Figure S8) and analysis of tryptic peptide digestion by Orbi-trap-MS/MS. Electrophoretic mobility shift assay (EMSA) was performed with biotinylated double-stranded DNA of the respective promoter region of −60 to +1 bp, which were determined based on 5′-end specific transcriptome data. σHAs binds to the predicted promoter region 5′-TGATTA-3′ (−35 region) and 5′-GGGGATTAG-3′ ((extended) −10 region) of ACSP50_4135, proven by the shift in labeled DNA and protein complex (Figure 7a). The addition of unlabeled specific dsDNA in excess proved the binding specificity of σHAs to the DNA sequence.
Figure 7.
Electrophoretic mobility shift assay (EMSA) with recombinantly expressed C-terminal His6 tagged σHAs. Binding was tested for upstream region of ACSP50_4135 and its own promoter. All binding reactions contained Poly (dI-dC) as a non-specific competitor and 0.05 nM of the respective biotinylated dsDNA fragment of 61 base pairs. To the reaction, 3.40 uM of protein and 0.05–1 nM of specific unlabeled competitor DNA were either added (+) or not (−). Filled arrows indicate biotinylated DNA and open arrows indicate the shifted protein–DNA complex. (a) EMSA with the promoter region (−60 to +1) of ACSP50_4135 confirms specific binding by σHAs-His6. (b) Binding to the promoter region (−60 to +1) of sigHAs was also confirmed. (c) σHAs-His6 does not show unspecific binding to DNA, which was confirmed by a lack of binding to the intragenic region of luciferase DNA (GenBank: EU239244.1).
Since RT-qPCR indicated an autoregulatory effect, the promoter region of sigHAs was also examined for the predicted binding motif. A putative −35 region with 5′-CTTTCG-3′ and −10 region with 5′-GGCTACGGT-3′ was determined according to the TSS and tested for σHAs binding using EMSA (Figure 7b). Binding of σHAs to the biotinylated −60 to +1 sequence was confirmed and was reversed by the addition of unlabeled specific dsDNA in excess (Figure 7b). No band shift and, therefore, no unspecific binding of σHAs to an intergenic dsDNA sequence, lacking the presence of a promoter, were detected (Figure 7c).
4. Discussion
The investigation of the influence of sigma factor on cellular processes and acarbose production in particular is of interest since several studies already highlight the influence of sigma factor on growth and metabolite production in other bacteria [16,17,26]. This becomes even more promising since acarbose production in Actinoplanes sp. SE50/110 is coupled to growth [14]. In this work, we characterized the influence and regulatory mechanism of alternative sigma factor σHAs (ACSP50_0507).
Protein sequence alignment revealed high similarity to σHSc (SCO5243) of S. coelicolor, where its complex regulatory network is comprehensively characterized. It is a member of the alternative σHBF family and has a dual role in the transcriptional regulation of S. coelicolor, controlling osmotic stress response and septation of aerial hyphae into spores [21,45]. SigHSc transcription is activated upon heat shock and salt stress. σHSc is further developmentally regulated in the course of differentiation by BldD, alternative translation, and proteolysis, and transcription is autoregulated under osmotic stress through one of four known upstream promoters [21,44,77]. Among other sigma factors, σHSc is part of a complex regulatory network of σBSc, the master regulator for osmotic and oxidative stress response in S. coelicolor and further σB homologues [22,80,81]. Thereby, the regulation of σB homologues is closely interconnected by promoter cross-recognition with both their networks and their own genes [43,46]. On the protein level, σHSc is negatively regulated by the anti-σ factor UshX, which itself can be inactivated by anti-anti σ factor BldG [45,82]. Interestingly, homologs of the direct interaction partners are present in Actinoplanes sp. SE50/110, with ACSP50_7560 homologous to S. coelicolor anti-σHSc UshX and ACSP50_0384 homologous to anti-anti-σHSc BldG. It is therefore highly likely that a similar regulatory cascade exists for σHAs.
σB homologs are stress-associated alternative σ factors with diverse roles in morphological differentiation. Strikingly, the σHAs expression strain features a drastically deformed cell morphology. The hyphae show severe branching and have an irregular shape with visible compartmentalization. The cell surface is severely wrinkled and appears dehydrated. This is also reflected at the transcriptional level, where the majority of permanently highly upregulated genes are coding for membrane-associated or secreted proteins. Interestingly, ACSP50_3382 and ACSP50_4922 encode putative actinobacterial holin superfamily II proteins. Holin proteins promote cell lysis through their accumulation, but their involvement in differentiation, biofilm formation, stress response, non-lytic transport of toxins, gene transfer agents and proteins has also been shown [83,84,85,86]. Since cell morphology is highly affected and the cells appear dehydrated, the upregulation of two holin coding genes and further membrane-associated proteins aligns with the highly affected cell morphology.
σHAs expression leads to the global and permanent upregulation of a putative NRPS biosynthesis gene cluster, comprising 38 genes (ACSP50_3026-3063), of which 6 genes are among the 25 highest permanently upregulated genes. Two transcriptional regulator coding genes (ACSP50_3061 and ACSP50_3031) are located within the putative biosynthesis gene cluster. Since both are not permanently up- or downregulated in the expression strain, it is not likely that any of them cause permanent cluster upregulation alone; therefore, transcriptional activation by σHAs is suspected. However, upstream sequences of transcriptional units within this gene cluster do not show similarity to the predicted binding motif. Thus, indirect cluster regulation by σHAs through the activation of further putative regulatory elements can be assumed. Within the sigHAs expression strain, a maximal number of genes is transcriptionally upregulated at late stationary growth, with increasing upregulation throughout the stationary phase. During late stationary growth, the influence on regulatory genes is highest with 247 differentially transcribed regulatory genes, among them, 12 encoding σ factors, 3 anti-σ factors and 5 anti-anti-σ factors. If these factors are not themselves regulated post-transcriptionally, they will cause a broad range of secondary regulatory effects at the late stationary growth phase but probably also at the other sampled cultivation time points, where regulatory genes are also found to be up- or downregulated (Table S3).
Since the S. coelicolor homolog σHSc is transcriptionally activated under osmotic stress and involved in osmotic stress response, it prompted an investigation into transcriptional indications of functional similarity of σHAs in response to osmotic stress [87,88,89]. One important mechanism is to prevent cell dehydration by increasing the intracellular osmotic potential. This can be facilitated by the production or import of ions, peptides, free amino acids or other osmolytes [90,91,92]. Within the sigHAs expression mutant, a high number of transport-related genes are permanently significantly upregulated. Among them are peptidases, amino acid importer coding genes (ACSP50_3876 and ACSP50_7166) and the operon ACSP50_0791-0795, coding for a putative peptide transport system similar to the known DppABCDF or OppABCDEF systems [93,94,95,96]. Such upregulation could increase the amino acid availability, which is used to decrease osmotic pressure [97,98,99]. Besides the upregulation of acarbose biosynthesis genes and an unknown NRPS biosynthesis gene cluster, the trehalose biosynthesis genes ACSP50_5263, coding for trehalose synthase/amylase TreS, ACSP50_6610, coding for maltooligosyl trehalose synthase, and the trehalose-6-phosphate synthase coding ACSP50_3343, are permanently upregulated. Trehalose is an organic solute that is produced or imported under osmotic stress [100,101,102]. Since no trehalose importer is currently known in Actinoplanes sp. SE50/110, trehalose biosynthesis is required. It was further shown that an osmolality upshift results in increased branching of hyphae in S. venezuelae and S. coelicolor [87,88], similar to the observed hyperbranching of the sigHAs expression mutant.
Acarbose production in different Actinoplanes species is increased under a certain osmolality, which is assumed to result from increased membrane permeability and higher maltose transport [103,104]. It was further shown that by-product formation is also reduced under specific osmolality conditions [104,105,106]. Altogether, the upregulation of transport, trehalose biosynthesis and membrane-associated genes within the sigHAs expression strain and its hyperbranching and dehydrated cell shape points to its putative involvement in osmotic stress response, similar to its S. coelicolor homolog.
A σHAs binding motif was predicted and has high similarity with the known binding sites of the S. coelicolor homolog. In this work, binding of recombinantly expressed σHAs-His6 to the upstream sequence of the highest average upregulated gene ACSP50_4135 was experimentally confirmed. Despite ectopic overexpression under the medium–strong tipA promoter, sigHAs gene transcription is only increased 2.5-fold. Gene copy-specific RT-qPCR determined the downregulation of the chromosomal gene copy, which can be compensated by ectopic overexpression and therefore results in low overall gene upregulation. Transcriptional inactivation of the chromosomal gene copy is most likely caused by an autoregulatory effect, since σHAs binding to its own upstream sequence was confirmed in vitro. Interestingly, the homologous σHSc also binds within its own promoter region [20,21,45]. Despite the binding motif similarity and sequence similarity of both σ factor proteins, none of the five homologs of σHSc-dependent genes are found to be permanently upregulated. Even considering their phenotypic and functional similarity, the regulatory networks of σHSc and σHAs seem different. It can be speculated that the expansion and functional differentiation of the σ factor family occurred during evolution after separation of the genera Streptomyces and Actinoplanes.
The expression strain achieved a doubled biomass-related acarbose yield at 166 h of cultivation. Strikingly, an increase in acarbose concentration continued during stationary growth. This is extraordinary for Actinoplanes sp. SE50/110, where acarbose production ends with stationary growth in the wildtype strain. σHAs gene deletion did not affect the acarbose yield; thus, it is not essential for acarbose production. Acb gene transcription is increased during the growth and late stationary phase in the sigHAs expression mutant, with the exceptions of acbZ and acbE. Both gene products are not involved in the acarbose synthesis pathway itself but code for α-amylases involved in extracellular acarbose metabolism and are transcribed monocistronically [12]. Transcription of acbZ remains downregulated during stationary growth and acbE transcription remains upregulated during the start of stationary growth, when other acarbose biosynthesis genes are downregulated within the strain. In previous studies, it was shown that the upregulation of acbE or acbD did not achieve an increased acarbose concentration [13]; therefore, it is not suspected that acbE upregulation alone is the reason for and increased acarbose production. Since no σHAs binding motif was found within the acb gene cluster, no direct transcriptional regulation by σHAs is assumed. However, general acb gene upregulation during later cultivation times indicates at least one additional transcriptional regulatory level, highlighting the challenges to elucidate the regulation of acarbose biosynthesis in Actinoplanes sp. SE50/110. Acarbose production is closely connected to the cell membrane, with Acb proteins and acarbose biosynthesis located at the inner cell membrane [107]. According to the carbophore model, acarbose could function as a shuttle for the importation of malto-oligosaccharides [3,108]. Therefore, acarbose is exported and reimported as higher acarbose variants, which enables the uptake, intracellular release and metabolism of additional glucose [109,110]. A significant morphological change is likely to influence not only cell membrane-associated acarbose production but also its use as a putative carbophore.
5. Conclusions
We show that sigma factor engineering is a useful tool to achieve a coordinated phenotype change. Ectopic expression of the alternative sigma factor gene ACSP50_0507 (coding for σHAs), a homolog of σHSc of Streptomyces coelicolor, achieved a two-fold increased acarbose yield in Actinoplanes sp. SE50/110. The genetic network, regulated by σHAs, comprises membrane-associated functions, and its cellular morphology was deformed accordingly. A binding motif for the σHAs promoter was determined und experimentally validated for highly upregulated genes and the σHAs promoter region, showing an autoregulatory function.
Supplementary Materials
The following supporting information can be downloaded at: https://www.mdpi.com/article/10.3390/microorganisms12061241/s1, Table S1: Oligonucleotides used in this study; Table S2: Venn diagram dataset; Table S3: Permanently upregulated genes; Figure S1: sigHAs deletion (ΔsigHAs) is verified by nanopore whole-genome sequencing; Figure S2: sigHAs complementation of ΔsigHAs, based on the integrative pSET4tipA vector, is verified by nanopore whole-genome sequencing; Figure S3: sigHAs expression, based on the integrative pSET4tipA vector, is verified by nanopore whole-genome sequencing; Figure S4: Characterization of growth and acarbose production of Actinoplanes sp. SE50/110 sigma factor deletion and complementation mutants; Figure S5: Scanning electron microscopy (SEM) of Actinoplanes sp. SE50/110 sigHAs deletion and complementation strain; Figure S6: Transcriptomic analysis of Actinoplanes sp. SE50/110 sigHAs expression strain whole transcriptome; Figure S7: Phylogenetic tree of Streptomyces coelicolor σHSc regulatory proteins and their Actinoplanes sp. SE50/110 and Actinoplanes missouriensis homologs; Figure S8: Purity of recombinant expressed σHAs-His6 analyzed using SDS-PAGE.
Author Contributions
Conceptualization, L.S.; methodology, L.S.; validation, L.S.; formal analysis L.S.; investigation, L.S.; resources, A.H., K.N. and J.K.; data curation, L.S. and T.B.; writing—original draft preparation, L.S.; writing—review and editing, S.S.-B. and J.K.; visualization, L.S., L.B. and K.N.; supervision, J.K. and A.P.; project administration, J.K. and A.P.; funding acquisition, J.K. and A.P. All authors have read and agreed to the published version of the manuscript.
Funding
This research was funded by Bayer AG (Leverkusen, Germany).
Data Availability Statement
Data are contained within the article and Supplementary Materials.
Acknowledgments
We thank IIT Biotech GmbH for support in RNA sequencing, Levin Joe Klages (CeBiTec, Bielefeld) for support in nanopore sequencing, and Svenja Vinke (Harvard Medical School, Boston) for proofreading of the manuscript. We further thank Olga Blifernez-Klassen and Birgit Gerlinde Katharina Mittmann (CeBiTec, Bielefeld) for the introduction to EMSA and Carola Eck and Thomas Patschkowski for the MS protein analysis. We acknowledge support for the publication costs by the Open Access Publication Fund of Bielefeld University and the Deutsche Forschungsgemeinschaft (DFG).
Conflicts of Interest
The authors declare no conflicts of interest. The funders had no role in the design of the study; in the collection, analyses, or interpretation of data; in the writing of the manuscript; or in the decision to publish the results.
References
- Parenti, F.; Coronelli, C. Members of the genus Actinoplanes and their antibiotics. Annu. Rev. Microbiol. 1979, 33, 389–411. [Google Scholar] [CrossRef] [PubMed]
- Truscheit, E.; Frommer, W.; Junge, B.; Müller, L.; Schmidt, D.D.; Wingender, W. Chemistry and Biochemistry of Microbialα-Glucosidase Inhibitors. Angew. Chem. Int. Ed. Engl. 1981, 20, 744–761. [Google Scholar] [CrossRef]
- Wehmeier, U.F.; Piepersberg, W. Biotechnology and molecular biology of the?-glucosidase inhibitor acarbose. Appl. Microbiol. Biotechnol. 2004, 63, 613–625. [Google Scholar] [CrossRef] [PubMed]
- Nölting, S.; März, C.; Jacob, L.; Persicke, M.; Schneiker-Bekel, S.; Kalinowski, J. The 4-α-Glucanotransferase AcbQ Is Involved in Acarbose Modification in Actinoplanes sp. SE50/110. Microorganisms 2023, 11, 848. [Google Scholar] [CrossRef]
- Tsunoda, T.; Samadi, A.; Burade, S.; Mahmud, T. Complete biosynthetic pathway to the antidiabetic drug acarbose. Nat Commun 2022, 13, 3455. [Google Scholar] [CrossRef] [PubMed]
- Zhang, C.-S.; Podeschwa, M.; Altenbach, H.-J.; Piepersberg, W.; Wehmeier, U.F. The acarbose-biosynthetic enzyme AcbO from Actinoplanes sp. SE 50/110 is a 2-epi-5-epi-valiolone-7-phosphate 2-epimerase. FEBS Lett. 2003, 540, 47–52. [Google Scholar] [CrossRef] [PubMed]
- Zhang, C.-S.; Podeschwa, M.; Block, O.; Altenbach, H.-J.; Piepersberg, W.; Wehmeier, U.F. Identification of a 1-epi-valienol 7-kinase activity in the producer of acarbose, Actinoplanes sp. SE50/110. FEBS Lett. 2003, 540, 53–57. [Google Scholar] [CrossRef] [PubMed]
- Zhang, C.-S.; Stratmann, A.; Block, O.; Brückner, R.; Podeschwa, M.; Altenbach, H.-J.; Wehmeier, U.F.; Piepersberg, W. Biosynthesis of the C(7)-cyclitol moiety of acarbose in Actinoplanes species SE50/110. 7-O-phosphorylation of the initial cyclitol precursor leads to proposal of a new biosynthetic pathway. J. Biol. Chem. 2002, 277, 22853–22862. [Google Scholar] [CrossRef] [PubMed]
- Stratmann, A.; Mahmud, T.; Lee, S.; Distler, J.; Floss, H.G.; Piepersberg, W. The AcbC protein from Actinoplanes species is a C7-cyclitol synthase related to 3-dehydroquinate synthases and is involved in the biosynthesis of the alpha-glucosidase inhibitor acarbose. J. Biol. Chem. 1999, 274, 10889–10896. [Google Scholar] [CrossRef]
- Drepper, A.; Pape, H. Acarbose 7-phosphotransferase from Actinoplanes sp.: Purification, properties, and possible physiological function. J. Antibiot. 1996, 49, 664–668. [Google Scholar] [CrossRef][Green Version]
- Wolf, T.; Schneiker-Bekel, S.; Neshat, A.; Ortseifen, V.; Wibberg, D.; Zemke, T.; Pühler, A.; Kalinowski, J. Genome improvement of the acarbose producer Actinoplanes sp. SE50/110 and annotation refinement based on RNA-seq analysis. J. Biotechnol. 2017, 251, 112–123. [Google Scholar] [CrossRef] [PubMed]
- Droste, J.; Ortseifen, V.; Schaffert, L.; Persicke, M.; Schneiker-Bekel, S.; Pühler, A.; Kalinowski, J. The expression of the acarbose biosynthesis gene cluster in Actinoplanes sp. SE50/110 is dependent on the growth phase. BMC Genom. 2020, 21, 818. [Google Scholar] [CrossRef] [PubMed]
- Wolf, T.; Droste, J.; Gren, T.; Ortseifen, V.; Schneiker-Bekel, S.; Zemke, T.; Pühler, A.; Kalinowski, J. The MalR type regulator AcrC is a transcriptional repressor of acarbose biosynthetic genes in Actinoplanes sp. SE50/110. BMC Genom. 2017, 18, 3. [Google Scholar] [CrossRef] [PubMed]
- Wendler, S.; Ortseifen, V.; Persicke, M.; Klein, A.; Neshat, A.; Niehaus, K.; Schneiker-Bekel, S.; Walter, F.; Wehmeier, U.F.; Kalinowski; et al. Carbon source dependent biosynthesis of acarviose metabolites in Actinoplanes sp. SE50/110. J. Biotechnol. 2014, 191, 113–120. [Google Scholar] [CrossRef]
- Yuan, B.; Keller, N.P.; Oakley, B.R.; Stajich, J.E.; Wang, C.C.C. Manipulation of the Global Regulator mcrA Upregulates Secondary Metabolite Production in Aspergillus wentii Using CRISPR-Cas9 with In Vitro Assembled Ribonucleoproteins. ACS Chem. Biol. 2022, 17, 2828–2835. [Google Scholar] [CrossRef]
- Zhuo, Y.; Zhang, W.; Chen, D.; Gao, H.; Tao, J.; Liu, M.; Gou, Z.; Zhou, X.; Ye, B.-C.; Zhang, Q.; et al. Reverse biological engineering of hrdB to enhance the production of avermectins in an industrial strain of Streptomyces avermitilis. Proc. Natl. Acad. Sci. USA 2010, 107, 11250–11254. [Google Scholar] [CrossRef] [PubMed]
- Taniguchi, H.; Henke, N.A.; Heider, S.A.E.; Wendisch, V.F. Overexpression of the primary sigma factor gene sigA improved carotenoid production by Corynebacterium glutamicum: Application to production of β-carotene and the non-native linear C50 carotenoid bisanhydrobacterioruberin. Metab. Eng. Commun. 2017, 4, 1–11. [Google Scholar] [CrossRef] [PubMed]
- Viollier, P.H.; Kelemen, G.H.; Dale, G.E.; Nguyen, K.T.; Buttner, M.J.; Thompson, C.J. Specialized osmotic stress response systems involve multiple SigB-like sigma factors in Streptomyces coelicolor. Mol. Microbiol. 2003, 47, 699–714. [Google Scholar] [CrossRef] [PubMed]
- Paget, M.S.; Kang, J.G.; Roe, J.H.; Buttner, M.J. sigmaR, an RNA polymerase sigma factor that modulates expression of the thioredoxin system in response to oxidative stress in Streptomyces coelicolor A3(2). EMBO J. 1998, 17, 5776–5782. [Google Scholar] [CrossRef]
- Kormanec, J.; Sevcíková, B.; Halgasová, N.; Knirschová, R.; Rezuchová, B. Identification and transcriptional characterization of the gene encoding the stress-response sigma factor sigma(H) in Streptomyces coelicolor A3(2). FEMS Microbiol. Lett. 2000, 189, 31–38. [Google Scholar]
- Sevciková, B.; Benada, O.; Kofronova, O.; Kormanec, J. Stress-response sigma factor sigma(H) is essential for morphological differentiation of Streptomyces coelicolor A3(2). Arch. Microbiol. 2001, 177, 98–106. [Google Scholar] [CrossRef] [PubMed]
- Lee, E.-J.; Karoonuthaisiri, N.; Kim, H.-S.; Park, J.-H.; Cha, C.-J.; Kao, C.M.; Roe, J.-H. A master regulator sigmaB governs osmotic and oxidative response as well as differentiation via a network of sigma factors in Streptomyces coelicolor. Mol. Microbiol. 2005, 57, 1252–1264. [Google Scholar] [CrossRef] [PubMed]
- Yamazaki, H.; Ohnishi, Y.; Horinouchi, S. An A-factor-dependent extracytoplasmic function sigma factor (sigma(AdsA)) that is essential for morphological development in Streptomyces griseus. J. Bacteriol. 2000, 182, 4596–4605. [Google Scholar] [CrossRef] [PubMed]
- Gallagher, K.A.; Schumacher, M.A.; Bush, M.J.; Bibb, M.J.; Chandra, G.; Holmes, N.A.; Zeng, W.; Henderson, M.; Zhang, H.; Findlay, K.C.; et al. c-di-GMP Arms an Anti-σ to Control Progression of Multi-cellular Differentiation in Streptomyces. Mol. Cell 2020, 77, 586–599.e6. [Google Scholar] [CrossRef]
- Chater, K.F.; Bruton, C.J.; Plaskitt, K.A.; Buttner, M.J.; Méndez, C.; Helmann, J.D. The developmental fate of S. coelicolor hyphae depends upon a gene product homologous with the motility sigma factor of B. subtilis. Cell 1989, 59, 133–143. [Google Scholar] [PubMed]
- Taniguchi, H.; Busche, T.; Patschkowski, T.; Niehaus, K.; Pátek, M.; Kalinowski, J.; Wendisch, V.F. Physiological roles of sigma factor SigD in Corynebacterium glutamicum. BMC Microbiol. 2017, 17, 158. [Google Scholar] [CrossRef] [PubMed]
- Wang, H.; Yang, L.; Wu, K.; Li, G. Rational selection and engineering of exogenous principal sigma factor (σ(HrdB)) to increase teicoplanin production in an industrial strain of Actinoplanes teichomyceticus. Microb. Cell Factories 2014, 13, 10. [Google Scholar] [CrossRef]
- Kang, J.G.; Paget, M.S.; Seok, Y.J.; Hahn, M.Y.; Bae, J.B.; Hahn, J.S.; Kleanthous, C.; Buttner, M.J.; Roe, J.H. RsrA, an anti-sigma factor regulated by redox change. EMBO J. 1999, 18, 4292–4298. [Google Scholar] [CrossRef] [PubMed]
- Li, W.; Bottrill, A.R.; Bibb, M.J.; Buttner, M.J.; Paget, M.S.B.; Kleanthous, C. The Role of zinc in the disulphide stress regulated anti-sigma factor RsrA from Streptomyces coelicolor. J. Mol. Biol. 2003, 333, 461–472. [Google Scholar] [CrossRef]
- Walsh, N.P.; Alba, B.M.; Bose, B.; Gross, C.A.; Sauer, R.T. OMP peptide signals initiate the envelope stress response by activating DegS protease via relief of inhibition mediated by its PDZ domain. Cell 2003, 113, 61–71. [Google Scholar] [CrossRef]
- Schöbel, S.; Zellmeier, S.; Schumann, W.; Wiegert, T. The Bacillus subtilis sigmaW antisigma factor RsiW is degraded by intramembrane proteolysis through YluC. Mol. Microbiol. 2004, 52, 1091–1105. [Google Scholar] [CrossRef] [PubMed]
- Homerova, D.; Sevcikova, B.; Rezuchova, B.; Kormanec, J. Regulation of an alternative sigma factor σI by a part-ner switching mechanism with an anti-sigma factor PrsI and an anti-anti-sigma factor ArsI in Streptomyces coe-licolor A3(2). Gene 2012, 492, 71–80. [Google Scholar] [CrossRef] [PubMed]
- Grossman, A.D.; Straus, D.B.; Walter, W.A.; Gross, C.A. Sigma 32 synthesis can regulate the synthesis of heat shock proteins in Escherichia coli. Genes Dev. 1987, 1, 179–184. [Google Scholar] [CrossRef]
- Missiakas, D.; Mayer, M.P.; Lemaire, M.; Georgopoulos, C.; Raina, S. Modulation of the Escherichia coli sigmaE (RpoE) heat-shock transcription-factor activity by the RseA, RseB and RseC proteins. Mol. Microbiol. 1997, 24, 355–371. [Google Scholar] [CrossRef] [PubMed]
- Wiegeshoff, F.; Beckering, C.L.; Debarbouille, M.; Marahiel, M.A. Sigma L is important for cold shock adaptation of Bacillus subtilis. J. Bacteriol. 2006, 188, 3130–3133. [Google Scholar] [CrossRef] [PubMed]
- Hecker, M.; Pané-Farré, J.; Völker, U. SigB-dependent general stress response in Bacillus subtilis and related gram-positive bacteria. Annu. Rev. Microbiol. 2007, 61, 215–236. [Google Scholar] [CrossRef] [PubMed]
- Gruber, T.M.; Gross, C.A. Multiple sigma subunits and the partitioning of bacterial transcription space. Annu. Rev. Microbiol. 2003, 57, 441–466. [Google Scholar] [CrossRef] [PubMed]
- Bentley, S.D.; Chater, K.F.; Cerdeño-Tárraga, A.-M.; Challis, G.L.; Thomson, N.R.; James, K.D.; Harris, D.E.; Quail, M.A.; Kieser, H.; Harper, D.; et al. Complete genome sequence of the model actinomycete Streptomyces coelicolor A3(2). Nature 2002, 417, 141–147. [Google Scholar] [CrossRef] [PubMed]
- Helmann, J.D.; Moran, C.P. RNA Polymerase and Sigma Factors. In Bacillus Subtilis and Its Closest Relatives; Sonenshein, A.L., Hoch, J.A., Losick, R., Eds.; ASM Press: Washington, DC, USA, 2001; pp. 287–312. [Google Scholar]
- Kunst, F.; Ogasawara, N.; Moszer, I.; Albertini, A.M.; Alloni, G.; Azevedo, V.; Bertero, M.G.; Bessières, P.; Bolotin, A.; Borchert, S.; et al. The complete genome sequence of the gram-positive bacterium Bacillus subtilis. Nature 1997, 390, 249–256. [Google Scholar] [CrossRef]
- Bentley, S.D.; Brown, S.; Murphy, L.D.; Harris, D.E.; Quail, M.A.; Parkhill, J.; Barrell, B.G.; McCormick, J.R.; San-tamaria, R.I.; Losick, R.; et al. SCP1, a 356,023 bp linear plasmid adapted to the ecology and developmental biology of its host, Streptomyces coelicolor A3(2). Mol. Microbiol. 2004, 51, 1615–1628. [Google Scholar] [CrossRef]
- Kormanec, J.; Sevcikova, B.; Novakova, R.; Homerova, D.; Rezuchova, B.; Mingyar, E. The Complex Roles and Regulation of Stress Response σ Factors in Streptomyces coelicolor. In Stress and Environmental Regulation of Gene Expression and Adaptation in Bacteria; De Bruijn, F.J., Ed.; Wiley: Hoboken, NJ, USA, 2016; pp. 328–343. [Google Scholar]
- Sevcikova, B.; Rezuchova, B.; Mazurakova, V.; Homerova, D.; Novakova, R.; Feckova, L.; Kormanec, J. Cross-Recognition of Promoters by the Nine SigB Homologues Present in Streptomyces coelicolor A3(2). Inter-Natl. J. Mol. Sci. 2021, 22, 7849. [Google Scholar] [CrossRef] [PubMed]
- Kelemen, G.H.; Viollier, P.H.; Tenor, J.; Marri, L.; Buttner, M.J.; Thompson, C.J. A connection between stress and development in the multicellular prokaryote Streptomyces coelicolor A3(2). Mol. Microbiol. 2001, 40, 804–814. [Google Scholar] [CrossRef] [PubMed]
- Sevcikova, B.; Kormanec, J. Activity of the Streptomyces coelicolor stress-response sigma factor sigmaH is regulated by an anti-sigma factor. FEMS Microbiol. Lett. 2002, 209, 229–235. [Google Scholar] [PubMed]
- Mazurakova, V.; Sevcikova, B.; Rezuchova, B.; Kormanec, J. Cascade of sigma factors in streptomycetes: Identi-fication of a new extracytoplasmic function sigma factor sigmaJ that is under the control of the stress-response sigma factor sigmaH in Streptomyces coelicolor A3(2). Arch. Microbiol. 2006, 186, 435–446. [Google Scholar] [CrossRef] [PubMed]
- Sevcikova, B.; Rezuchova, B.; Mingyar, E.; Homerova, D.; Novakova, R.; Feckova, L.; Kormanec, J. Pleiotropic an-ti-anti-sigma factor BldG is phosphorylated by several anti-sigma factor kinases in the process of activating multiple sigma factors in Streptomyces coelicolor A3(2). Gene 2020, 755, 144883. [Google Scholar] [CrossRef] [PubMed]
- Schaffert, L.; Jacob, L.; Schneiker-Bekel, S.; Persicke, M.; März, C.; Rückert, C.; Pühler, A.; Kalinowski, J. pSETT4, an Improved φC31-Based Integrative Vector System for Actinoplanes sp. SE50/110. Microbiol. Resour. Announc. 2020, 9, 10–1128. [Google Scholar] [CrossRef] [PubMed]
- Wolf, T.; Gren, T.; Thieme, E.; Wibberg, D.; Zemke, T.; Pühler, A.; Kalinowski, J. Targeted genome editing in the rare actinomycete Actinoplanes sp. SE50/110 by using the CRISPR/Cas9 System. J. Biotechnol. 2016, 231, 122–128. [Google Scholar] [CrossRef] [PubMed]
- Zhao, Q.; Xie, H.; Peng, Y.; Wang, X.; Bai, L. Improving acarbose production and eliminating the by-product component C with an efficient genetic manipulation system of Actinoplanes sp. SE50/110. Synth. Syst. Biotechnol. 2017, 2, 302–309. [Google Scholar] [PubMed]
- Dieckmann, M.A.; Beyvers, S.; Nkouamedjo-Fankep, R.C.; Hanel, P.H.G.; Jelonek, L.; Blom, J.; Goesmann, A. EDGAR3.0: Comparative genomics and phylogenomics on a scalable infrastructure. Nucleic Acids Res. 2021, 49, W185–W192. [Google Scholar] [CrossRef]
- Altschul, S.F.; Gish, W.; Miller, W.; Myers, E.W.; Lipman, D.J. Basic local alignment search tool. J. Mol. Biol. 1990, 215, 403–410. [Google Scholar] [CrossRef]
- Altschul, S.F.; Madden, T.L.; Schäffer, A.A.; Zhang, J.; Zhang, Z.; Miller, W.; Lipman, D.J. Gapped BLAST and PSI-BLAST: A new generation of protein database search programs. Nucleic Acids Res. 1997, 25, 3389–3402. [Google Scholar] [CrossRef] [PubMed]
- Altschul, S.F.; Wootton, J.C.; Gertz, E.M.; Agarwala, R.; Morgulis, A.; Schäffer, A.A.; Yu, Y.-K. Protein database searches using compositionally adjusted substitution matrices. FEBS J. 2005, 272, 5101–5109. [Google Scholar] [CrossRef] [PubMed]
- Marchler-Bauer, A.; Bryant, S.H. CD-Search: Protein domain annotations on the fly. Nucleic Acids Res. 2004, 32, W327–W331. [Google Scholar] [CrossRef] [PubMed]
- Marchler-Bauer, A.; Lu, S.; Anderson, J.B.; Chitsaz, F.; Derbyshire, M.K.; DeWeese-Scott, C.; Fong, J.H.; Geer, L.Y.; Geer, R.C.; Gonzales, N.R.; et al. CDD: A Conserved Domain Database for the functional annotation of proteins. Nucleic Acids Res. 2011, 39, D225–D229. [Google Scholar] [CrossRef]
- Marchler-Bauer, A.; Derbyshire, M.K.; Gonzales, N.R.; Lu, S.; Chitsaz, F.; Geer, L.Y.; Geer, R.C.; He, J.; Gwadz, M.; Hurwitz, D.I.; et al. CDD: NCBI’s conserved domain database. Nucleic Acids Res. 2015, 43, D222–D226. [Google Scholar] [CrossRef] [PubMed]
- Marchler-Bauer, A.; Bo, Y.; Han, L.; He, J.; Lanczycki, C.J.; Lu, S.; Chitsaz, F.; Derbyshire, M.K.; Geer, R.C.; Gonza-les, N.R.; et al. CDD/SPARCLE: Functional classification of proteins via subfamily domain architectures. Nucleic Acids Res. 2017, 45, D200–D203. [Google Scholar] [CrossRef] [PubMed]
- Hilker, R.; Stadermann, K.B.; Schwengers, O.; Anisiforov, E.; Jaenicke, S.; Weisshaar, B.; Zimmermann, T.; Goesmann, A. ReadXplorer 2-detailed read mapping analysis and visualization from one single source. Bioinformatics 2016, 32, 3702–3708. [Google Scholar] [CrossRef] [PubMed]
- Ao, W.; Gaudet, J.; Kent, W.J.; Muttumu, S.; Mango, S.E. Environmentally induced foregut remodeling by PHA-4/FoxA and DAF-12/NHR. Science 2004, 305, 1743–1746. [Google Scholar] [CrossRef] [PubMed]
- Crooks, G.E.; Hon, G.; Chandonia, J.-M.; Brenner, S.E. WebLogo: A sequence logo generator. Genome Res. 2004, 14, 1188–1190. [Google Scholar] [CrossRef]
- Militello, K.T.; Simon, R.D.; Qureshi, M.; Maines, R.; VanHorne, M.L.; Hennick, S.M.; Jayakar, S.K.; Pounder, S. Conservation of Dcm-mediated cytosine DNA methylation in Escherichia coli. FEMS Microbiol. Lett. 2012, 328, 78–85. [Google Scholar] [CrossRef]
- Kieser, T.; Bibb, M.; Buttner, M.; Chater, K. Practical Streptomyces Genetics; Innes: Norwich, UK, 2000. [Google Scholar]
- Gibson, D.G.; Young, L.; Chuang, R.-Y.; Venter, J.C.; Hutchison, C.A.; Smith, H.O. Enzymatic assembly of DNA molecules up to several hundred kilobases. Nat. Methods 2009, 6, 343–345. [Google Scholar] [CrossRef] [PubMed]
- Beyer, H.M.; Gonschorek, P.; Samodelov, S.L.; Meier, M.; Weber, W.; Zurbriggen, M.D. AQUA Cloning: A Versatile and Simple Enzyme-Free Cloning Approach. PLoS ONE 2015, 10, e0137652. [Google Scholar] [CrossRef]
- Cobb, R.E.; Wang, Y.; Zhao, H. High-efficiency multiplex genome editing of Streptomyces species using an engi-neered CRISPR/Cas system. ACS Synth. Biol. 2015, 4, 723–728. [Google Scholar] [CrossRef] [PubMed]
- Blin, K.; Pedersen, L.E.; Weber, T.; Lee, S.Y. CRISPy-web: An online resource to design sgRNAs for CRISPR appli-cations. Synth. Syst. Biotechnol. 2016, 1, 118–121. [Google Scholar] [CrossRef]
- Schaffert, L.; März, C.; Burkhardt, L.; Droste, J.; Brandt, D.; Busche, T.; Rosen, W.; Schneiker-Bekel, S.; Persicke, M.; Pühler, A.; et al. Evaluation of vector systems and promoters for overexpression of the acarbose biosynthesis gene acbC in Actinoplanes sp. SE50/110. Microb. Cell Fact 2019, 18, 195. [Google Scholar] [CrossRef] [PubMed]
- Li, H. New strategies to improve minimap2 alignment accuracy. Bioinformatics 2021, 37, 4572–4574. [Google Scholar] [CrossRef]
- Danecek, P.; Bonfield, J.K.; Liddle, J.; Marshall, J.; Ohan, V.; Pollard, M.O.; Whitwham, A.; Keane, T.; McCarthy, S.A.; Davies, R.M.; et al. Twelve years of SAMtools and BCFtools. GigaScience 2021, 10, giab008. [Google Scholar] [CrossRef] [PubMed]
- Robinson, J.T.; Thorvaldsdóttir, H.; Winckler, W.; Guttman, M.; Lander, E.S.; Getz, G.; Mesirov, J.P. Integrative genomics viewer. Nat. Biotechnol. 2011, 29, 24–26. [Google Scholar] [CrossRef]
- Love, M.I.; Huber, W.; Anders, S. Moderated estimation of fold change and dispersion for RNA-seq data with DESeq2. Genome Biol. 2014, 15, 550. [Google Scholar] [CrossRef]
- Busche, T.; Dostálová, H.; Rucká, L.; Holátko, J.; Barvík, I.; Štěpánek, V.; Pátek, M.; Kalinowski, J. Overlapping SigH and SigE sigma factor regulons in Corynebacterium glutamicum. Front. Microbiol. 2022, 13, 1059649. [Google Scholar] [CrossRef]
- Paget, M.S. Bacterial Sigma Factors and Anti-Sigma Factors: Structure, Function and Distribution. Biomolecules 2015, 5, 1245–1265. [Google Scholar] [CrossRef]
- Campbell, E.A.; Westblade, L.F.; Darst, S.A. Regulation of bacterial RNA polymerase sigma factor activity: A structural perspective. Curr. Opin. Microbiol. 2008, 11, 121–127. [Google Scholar] [CrossRef]
- Sevcikova, B.; Kormanec, J. The ssgB gene, encoding a member of the regulon of stress-response sigma factor sigmaH, is essential for aerial mycelium septation in Streptomyces coelicolor A3(2). Arch. Microbiol. 2003, 180, 380–384. [Google Scholar] [CrossRef] [PubMed]
- Viollier, P.H.; Weihofen, A.; Folcher, M.; Thompson, C.J. Post-transcriptional regulation of the Streptomyces coe-licolor stress responsive sigma factor, SigH, involves translational control, proteolytic processing, and an an-ti-sigma factor homolog. J. Mol. Biol. 2003, 325, 637–649. [Google Scholar] [CrossRef] [PubMed]
- Sievers, F.; Higgins, D.G. Clustal Omega for making accurate alignments of many protein sequences. Protein Sci. A Publ. Protein Soc. 2018, 27, 135–145. [Google Scholar] [CrossRef] [PubMed]
- Paysan-Lafosse, T.; Blum, M.; Chuguransky, S.; Grego, T.; Pinto, B.L.; Salazar, G.A.; Bileschi, M.L.; Bork, P.; Bridge, A.; Colwell, L.; et al. InterPro in 2022. Nucleic Acids Res. 2023, 51, D418–D427. [Google Scholar] [CrossRef] [PubMed]
- Lee, E.-J.; Cho, Y.-H.; Kim, H.-S.; Ahn, B.-E.; Roe, J.-H. Regulation of sigmaB by an anti- and an anti-anti-sigma factor in Streptomyces coelicolor in response to osmotic stress. J. Bacteriol. 2004, 186, 8490–8498. [Google Scholar] [CrossRef] [PubMed]
- Lee, E.-J.; Cho, Y.-H.; Kim, H.-S.; Roe, J.-H. Identification of sigmaB-dependent promoters using consen-sus-directed search of Streptomyces coelicolor genome. J. Microbiol. 2004, 42, 147–151. [Google Scholar] [PubMed]
- Sevcikova, B.; Rezuchova, B.; Homerova, D.; Kormanec, J. The anti-anti-sigma factor BldG is involved in activa-tion of the stress response sigma factor σ(H) in Streptomyces coelicolor A3(2). J. Bacteriol. 2010, 192, 5674–5681. [Google Scholar] [CrossRef]
- Palmer, T.; Finney, A.J.; Saha, C.K.; Atkinson, G.C.; Sargent, F. A holin/peptidoglycan hydrolase-dependent pro-tein secretion system. Mol. Microbiol. 2021, 115, 345–355. [Google Scholar] [CrossRef]
- Brüser, T.; Mehner-Breitfeld, D. Occurrence and potential mechanism of holin-mediated non-lytic protein translocation in bacteria. Microb. Cell 2022, 9, 159–173. [Google Scholar] [CrossRef]
- Govind, R.; Dupuy, B. Secretion of Clostridium difficile toxins A and B requires the holin-like protein TcdE. PLoS Pathog. 2012, 8, e1002727. [Google Scholar] [CrossRef]
- Real, G.; Pinto, S.M.; Schyns, G.; Costa, T.; Henriques, A.O.; Moran, C.P. A gene encoding a holin-like protein in-volved in spore morphogenesis and spore germination in Bacillus subtilis. J. Bacteriol. 2005, 187, 6443–6453. [Google Scholar] [CrossRef] [PubMed]
- Bhowmick, S.; Shenouda, M.L.; Tschowri, N. Osmotic stress responses and the biology of the second messenger c-di-AMP in Streptomyces. microLife 2023, 4, uqad020. [Google Scholar] [CrossRef]
- Fuchino, K.; Flärdh, K.; Dyson, P.; Ausmees, N. Cell-Biological Studies of Osmotic Shock Response in Streptomyces spp. J. Bacteriol. 2017, 199, 10–1128. [Google Scholar] [CrossRef]
- de Jong, W.; Vijgenboom, E.; Dijkhuizen, L.; Wösten, H.A.B.; Claessen, D. SapB and the rodlins are required for development of Streptomyces coelicolor in high osmolarity media. FEMS Microbiol. Lett. 2012, 329, 154–159. [Google Scholar] [CrossRef]
- Wood, J.M. Bacterial osmoregulation: A paradigm for the study of cellular homeostasis. Annu. Rev. Microbiol. 2011, 65, 215–238. [Google Scholar] [CrossRef] [PubMed]
- Kol, S.; Merlo, M.E.; Scheltema, R.A.; de Vries, M.; Vonk, R.J.; Kikkert, N.A.; Dijkhuizen, L.; Breitling, R.; Takano, E. Metabolomic characterization of the salt stress response in Streptomyces coelicolor. Appl. Environ. Microbiol. 2010, 76, 2574–2581. [Google Scholar] [PubMed]
- Ignatova, Z.; Gierasch, L.M. Inhibition of protein aggregation in vitro and in vivo by a natural osmoprotectant. Proc. Natl. Acad. Sci. USA 2006, 103, 13357–13361. [Google Scholar] [CrossRef]
- Masulis, I.S.; Sukharycheva, N.A.; Kiselev, S.S.; Andreeva, Z.S.; Ozoline, O.N. Between computational predic-tions and high-throughput transcriptional profiling: In depth expression analysis of the OppB trans-membrane subunit of Escherichia coli OppABCDF oligopeptide transporter. Res. Microbiol. 2020, 171, 55–63. [Google Scholar] [CrossRef]
- Perego, M.; Higgins, C.F.; Pearce, S.R.; Gallagher, M.P.; Hoch, J.A. The oligopeptide transport system of Bacillus subtilis plays a role in the initiation of sporulation. Mol. Microbiol. 1991, 5, 173–185. [Google Scholar] [CrossRef] [PubMed]
- Payne, J.W.; Grail, B.M.; Marshall, N.J. Molecular recognition templates of peptides: Driving force for molecular evolution of peptide transporters. Biochem. Biophys. Res. Commun. 2000, 267, 283–289. [Google Scholar]
- Pletzer, D.; Braun, Y.; Dubiley, S.; Lafon, C.; Köhler, T.; Page, M.G.P.; Mourez, M.; Severinov, K.; Weingart, H. The Pseudomonas aeruginosa PA14 ABC Transporter NppA1A2BCD Is Required for Uptake of Peptidyl Nucleoside Antibiotics. J. Bacteriol. 2015, 197, 2217–2228. [Google Scholar] [CrossRef] [PubMed]
- Zaprasis, A.; Brill, J.; Thüring, M.; Wünsche, G.; Heun, M.; Barzantny, H.; Hoffmann, T.; Bremer, E. Osmoprotec-tion of Bacillus subtilis through import and proteolysis of proline-containing peptides. Appl. Environ. Microbiol. 2013, 79, 576–587. [Google Scholar] [CrossRef]
- Detmers, F.J.; Lanfermeijer, F.C.; Poolman, B. Peptides and ATP binding cassette peptide transporters. Res. Microbiol. 2001, 152, 245–258. [Google Scholar] [CrossRef]
- Slamti, L.; Lereclus, D. The oligopeptide ABC-importers are essential communication channels in Gram-positive bacteria. Res. Microbiol. 2019, 170, 338–344. [Google Scholar]
- Rimmele, M.; Boos, W. Trehalose-6-phosphate hydrolase of Escherichia coli. J. Bacteriol. 1994, 176, 5654–5664. [Google Scholar] [CrossRef]
- Strøm, A.R.; Kaasen, I. Trehalose metabolism in Escherichia coli: Stress protection and stress regulation of gene expression. Mol. Microbiol. 1993, 8, 205–210. [Google Scholar] [CrossRef] [PubMed]
- Pospísl, S.; Halada, P.; Petrícek, M.; Sedmera, P. Glucosylglycerate is an osmotic solute and an extracellular metabolite produced by Streptomyces caelestis. Folia Microbiol. 2007, 52, 451–456. [Google Scholar] [CrossRef]
- Jürgen, B.; Michael, S.; Ulrich, S. Osmotically Controlled Fermentation Process for the Preparation of Acarbose. Patent US6130072A, 10 October 2000. [Google Scholar]
- Wang, Y.-J.; Liu, L.-L.; Wang, Y.-S.; Xue, Y.-P.; Zheng, Y.-G.; Shen, Y.-C. Actinoplanes utahensis ZJB-08196 fed-batch fermentation at elevated osmolality for enhancing acarbose production. Bioresour. Technol. 2012, 103, 337–342. [Google Scholar] [CrossRef]
- Choi, B.T.; Shin, C.S. Reduced formation of byproduct component C in acarbose fermentation by Actinoplanes sp. CKD485-16. Biotechnol. Prog. 2003, 19, 1677–1682. [Google Scholar] [CrossRef]
- Cheng, X.; Peng, W.-F.; Huang, L.; Zhang, B.; Li, K. A novel osmolality-shift fermentation strategy for im-proving acarbose production and concurrently reducing byproduct component C formation by Actinoplanes sp. A56. J. Ind. Microbiol. Biotechnol. 2014, 41, 1817–1821. [Google Scholar] [CrossRef]
- Wendler, S.; Otto, A.; Ortseifen, V.; Bonn, F.; Neshat, A.; Schneiker-Bekel, S.; Walter, F.; Wolf, T.; Zemke, T.; Wehmeier, U.F.; et al. Comprehensive proteome analysis of Actinoplanes sp. SE50/110 highlighting the location of proteins encoded by the acarbose and the pyochelin biosyn-thesis gene cluster. J. Proteom. 2015, 125, 1–16. [Google Scholar] [CrossRef]
- Wehmeier, U.F.; Piepersberg, W. Chapter 19 Enzymology of Aminoglycoside Biosynthesis—Deduction from Gene Clusters. In Complex Enzymes in Microbial Natural Product Biosynthesis; Hopwood, D., Ed.; Academic Press: London, UK, 2009; Volume 459, pp. 459–491. [Google Scholar]
- Wendler, S.; Hürtgen, D.; Kalinowski, J.; Klein, A.; Niehaus, K.; Schulte, F.; Schwientek, P.; Wehlmann, H.; Wehmeier, U.F.; Pühler, A. The cytosolic and extracellular proteomes of Actinoplanes sp. SE50/110 led to the identification of gene products involved in acarbose metabolism. J. Biotechnol. 2013, 167, 178–189. [Google Scholar] [CrossRef]
- Licht, A.; Bulut, H.; Scheffel, F.; Daumke, O.; Wehmeier, U.F.; Saenger, W.; Schneider, E.; Vahedi-Faridi, A. Crystal structures of the bacterial solute receptor AcbH displaying an exclusive substrate preference for β-D-galactopyranose. J. Mol. Biol. 2011, 406, 92–105. [Google Scholar] [CrossRef]
Disclaimer/Publisher’s Note: The statements, opinions and data contained in all publications are solely those of the individual author(s) and contributor(s) and not of MDPI and/or the editor(s). MDPI and/or the editor(s) disclaim responsibility for any injury to people or property resulting from any ideas, methods, instructions or products referred to in the content. |
© 2024 by the authors. Licensee MDPI, Basel, Switzerland. This article is an open access article distributed under the terms and conditions of the Creative Commons Attribution (CC BY) license (https://creativecommons.org/licenses/by/4.0/).






