Comparative Analyses of Pediococcus pentosaceus Strains Isolated from Milk Cattle Reveal New Insights for Screening Food-Protective Cultures
Abstract
1. Introduction
2. Materials and Methods
2.1. Bacterial Strains, Growth Conditions, and Sample Collection
2.2. Species Identification Through 16S rRNA Gene Sequencing
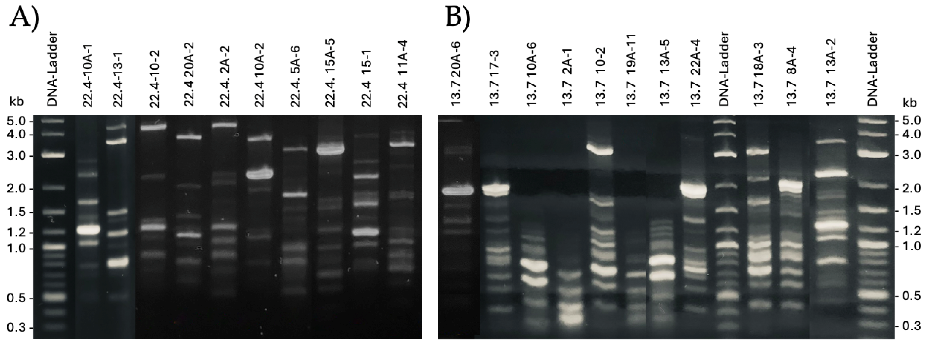
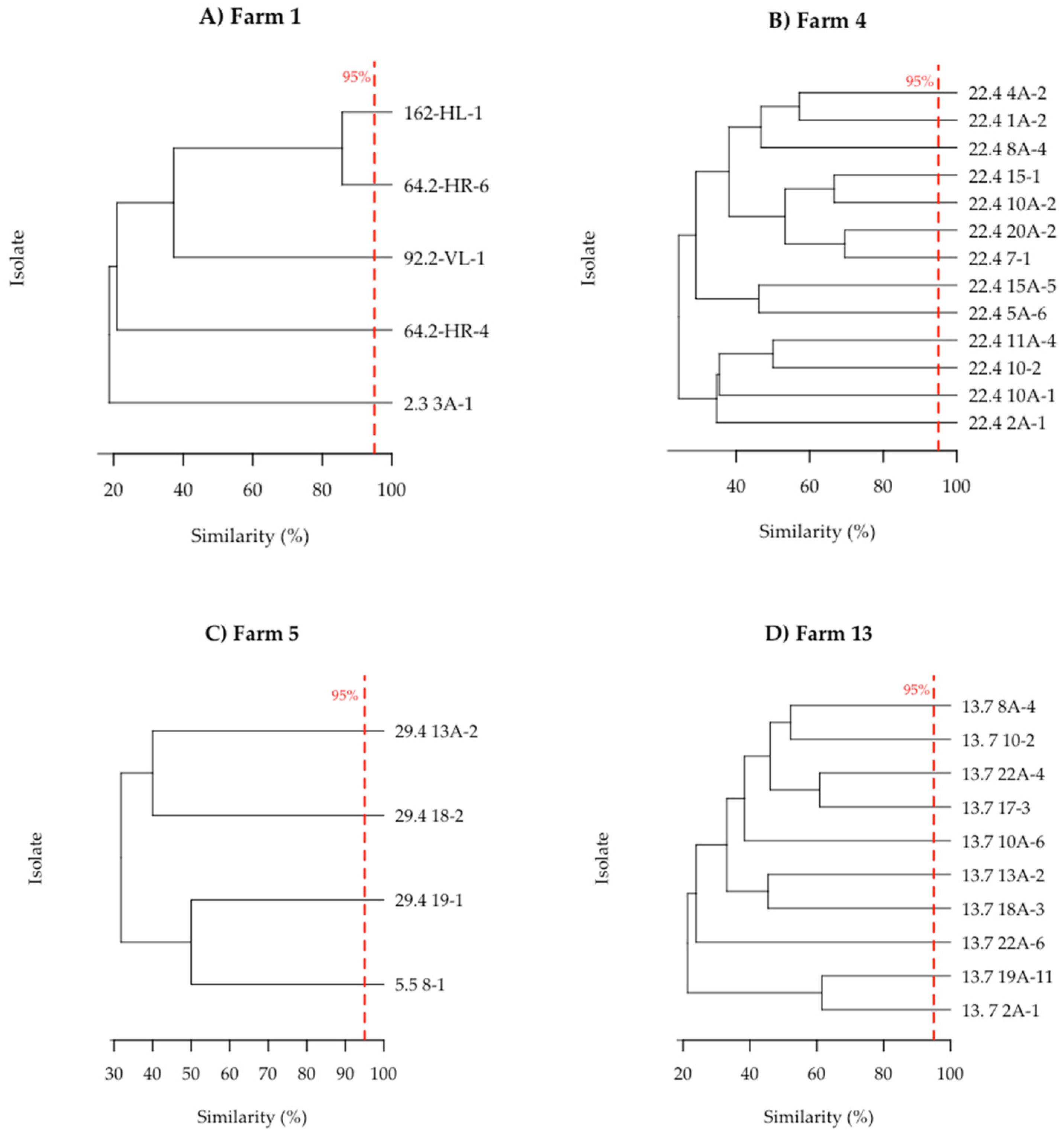
2.3. Random Amplified Polymorphic DNA Analysis (RAPD)
2.4. Hydrogen Peroxide Production
2.5. Antimicrobial Activity and Acidification
| Species | Origin | Comment |
|---|---|---|
| Bacillus subtilis | laboratory strain collection | surrogate food spoilage |
| Citrobacter koseri | laboratory strain collection | fish-borne pathogen |
| Listeria monocytogenes | DSM 20600 | food pathogen |
| Pseudomonas aeruginosa | ATCC 15442 | food spoilage and pathogen |
| Salmonella enterica 1 | LT-2 | food pathogen |
| Staphylococcus haemolyticus | laboratory strain collection | surrogate food pathogen |
| Staphylococcus warneri | laboratory strain collection | surrogate food pathogen |
| Staphylococcus aureus | laboratory strain collection | food pathogen |
2.6. Data Analyses and Statistics
2.7. Genome Analyses
3. Results
3.1. Isolation of P. pentosaceus Strains from the Cattle Udder
3.2. Genetic Biodiversity
3.3. Antimicrobial Profiles
3.4. Impact of Acidification on Antibacterial Activity
3.5. Genome Analyses
3.6. Bacteriocin-Encoding Genes
4. Discussion
5. Conclusions
Author Contributions
Funding
Institutional Review Board Statement
Informed Consent Statement
Data Availability Statement
Acknowledgments
Conflicts of Interest
References
- Ozen, M.; Dinleyici, E.C. The History of Probiotics: The Untold Story. Benef. Microbes 2015, 6, 159–166. [Google Scholar] [CrossRef]
- Bamforth, C.W.; Cook, D.J. Food, Fermentation and Microorganisms, 2nd ed.; Wiley Blackwell: Hoboken, NJ, USA, 2019; ISBN 978-1-119-55743-2. [Google Scholar]
- Fischer, S.W.; Titgemeyer, F. Protective Cultures in Food Products: From Science to Market. Foods 2023, 12, 1541. [Google Scholar] [CrossRef]
- Mendonça, A.A.; Pinto-Neto, W.d.P.; da Paixão, G.A.; Santos, D.d.S.; De Morais, M.A.; De Souza, R.B. Journey of the Probiotic Bacteria: Survival of the Fittest. Microorganisms 2023, 11, 95. [Google Scholar] [CrossRef] [PubMed]
- Vasiljevic, T.; Shah, N.P. Probiotics—From Metchnikoff to Bioactives. Int. Dairy J. 2008, 18, 714–728. [Google Scholar] [CrossRef]
- Ahn, S.B.; Jun, D.W.; Kang, B.-K.; Lim, J.H.; Lim, S.; Chung, M.-J. Randomized, Double-Blind, Placebo-Controlled Study of a Multispecies Probiotic Mixture in Nonalcoholic Fatty Liver Disease. Sci. Rep. 2019, 9, 5688. [Google Scholar] [CrossRef] [PubMed]
- Mullish, B.H.; Michael, D.R.; Dabcheva, M.; Webberley, T.S.; Coates, N.; John, D.A.; Wang, D.; Luo, Y.; Plummer, S.F.; Marchesi, J.R. A Double-blind, Randomized, Placebo-controlled Study Assessing the Impact of Probiotic Supplementation on the Symptoms of Irritable Bowel Syndrome in Females. Neurogastroenterol. Motil. 2024, 36, e14751. [Google Scholar] [CrossRef]
- Parche, S.; Amon, J.; Jankovic, I.; Rezzonico, E.; Beleut, M.; Barutçu, H.; Schendel, I.; Eddy, M.P.; Burkovski, A.; Arigoni, F.; et al. Sugar Transport Systems of Bifidobacterium longum NCC2705. J. Mol. Microbiol. Biotechnol. 2006, 12, 9–19. [Google Scholar] [CrossRef]
- Foligné, B.; Daniel, C.; Pot, B. Probiotics from Research to Market: The Possibilities, Risks and Challenges. Curr. Opin. Microbiol. 2013, 16, 284–292. [Google Scholar] [CrossRef]
- Redzepi, R.; Zilber, D.; Sung, E.; Troxler, P. The Noma Guide to Fermentation: Foundations of Flavour; Artisan: New York, NY, USA, 2018; ISBN 978-1-57965-718-5. [Google Scholar]
- Bergey’s Manual of Systematic Bacteriology, 2nd ed.; Boone, D.R., Castenholz, R.W., Garrity, G.M., Eds.; Springer: New York, NY, USA, 2009; ISBN 978-0-387-98771-2. [Google Scholar]
- Zheng, J.; Wittouck, S.; Salvetti, E.; Franz, C.M.A.P.; Harris, H.M.B.; Mattarelli, P.; O’Toole, P.W.; Pot, B.; Vandamme, P.; Walter, J.; et al. A Taxonomic Note on the Genus Lactobacillus: Description of 23 Novel Genera, Emended Description of the Genus Lactobacillus Beijerinck 1901, and Union of Lactobacillaceae and Leuconostocaceae. Int. J. Syst. Evol. Microbiol. 2020, 70, 2782–2858. [Google Scholar] [CrossRef]
- Raccach, M. Pediococcus. In Encyclopedia of Food Microbiology, 2nd ed.; Batt, C.A., Tortorello, M.L., Eds.; Academic Press: Oxford, UK, 2014; pp. 1–5. ISBN 978-0-12-384733-1. [Google Scholar]
- Jiang, S.; Cai, L.; Lv, L.; Li, L. Pediococcus pentosaceus, a Future Additive or Probiotic Candidate. Microb. Cell Factories 2021, 20, 45. [Google Scholar] [CrossRef]
- Dou, J.; Feng, N.; Guo, F.; Chen, Z.; Liang, J.; Wang, T.; Guo, X.; Xu, Z. Applications of Probiotic Constituents in Cosmetics. Molecules 2023, 28, 6765. [Google Scholar] [CrossRef]
- Pristavu, M.-C.; Diguță, F.C.; Aldea, A.C.; Badea, F.; Dragoi Cudalbeanu, M.; Ortan, A.; Matei, F. Functional Profiling of Enterococcus and Pediococcus Strains: An In Vitro Study on Probiotic and Postbiotic Properties. Microorganisms 2025, 13, 1348. [Google Scholar] [CrossRef]
- Zhang, Y.; Hu, P.; Xie, Y.; Wang, X. Co-Fermentation with Lactobacillus curvatus LAB26 and Pediococcus pentosaceus SWU73571 for Improving Quality and Safety of Sour Meat. Meat Sci. 2020, 170, 108240. [Google Scholar] [CrossRef] [PubMed]
- Qi, Y.; Huang, L.; Zeng, Y.; Li, W.; Zhou, D.; Xie, J.; Xie, J.; Tu, Q.; Deng, D.; Yin, J. Pediococcus pentosaceus: Screening and Application as Probiotics in Food Processing. Front. Microbiol. 2021, 12, 762467. [Google Scholar] [CrossRef] [PubMed]
- Meng, C.; Wang, Y.; Xie, J.; Xuan, J.; Geng, J.; Liu, G.; Tu, J.; Xiao, H. Pediococcus pentosaceus JS35 Improved Flavor, Metabolic Profile of Fermentation Supernatant of Mulberry Leaf Powder and Increased Its Antioxidant Capacity. Front. Nutr. 2025, 12, 1551689. [Google Scholar] [CrossRef] [PubMed]
- Moreno-Villares, J.M.; Andrade-Platas, D.; Soria-López, M.; Colomé-Rivero, G.; Catalan Lamban, A.; Martinez-Figueroa, M.G.; Espadaler-Mazo, J.; Valverde-Molina, J. Comparative Efficacy of Probiotic Mixture Bifidobacterium longum KABP042 plus Pediococcus pentosaceus KABP041 vs. Limosilactobacillus reuteri DSM17938 in the Management of Infant Colic: A Randomized Clinical Trial. Eur. J. Pediatr. 2024, 183, 5371–5381. [Google Scholar] [CrossRef]
- Porto, M.C.W.; Kuniyoshi, T.M.; Azevedo, P.O.S.; Vitolo, M.; Oliveira, R.P.S. Pediococcus spp.: An Important Genus of Lactic Acid Bacteria and Pediocin Producers. Biotechnol. Adv. 2017, 35, 361–374. [Google Scholar] [CrossRef]
- De Souza De Azevedo, P.O.; Mendonça, C.M.N.; Moreno, A.C.R.; Bueno, A.V.I.; De Almeida, S.R.Y.; Seibert, L.; Converti, A.; Watanabe, I.-S.; Gierus, M.; De Souza Oliveira, R.P. Antibacterial and Antifungal Activity of Crude and Freeze-Dried Bacteriocin-like Inhibitory Substance Produced by Pediococcus pentosaceus. Sci. Rep. 2020, 10, 12291. [Google Scholar] [CrossRef]
- Tong, X.; Barkema, H.W.; Nobrega, D.B.; Xu, C.; Han, B.; Zhang, C.; Yang, J.; Li, X.; Gao, J. Virulence of Bacteria Causing Mastitis in Dairy Cows: A Literature Review. Microorganisms 2025, 13, 167. [Google Scholar] [CrossRef]
- Li, M.; Havelaar, A.H.; Hoffmann, S.; Hald, T.; Kirk, M.D.; Torgerson, P.R.; Devleesschauwer, B. Global Disease Burden of Pathogens in Animal Source Foods, 2010. PLoS ONE 2019, 14, e0216545. [Google Scholar] [CrossRef]
- De Man, J.C.; Rogosa, M.; Sharpe, M.E. A medium for the cultivation of lactobacilli. J. Appl. Bacteriol. 1960, 23, 130–135. [Google Scholar] [CrossRef]
- Lee, H.M.; Lee, Y. A Differential Medium for Lactic Acid-Producing Bacteria in a Mixed Culture. Lett. Appl. Microbiol. 2008, 46, 676–681. [Google Scholar] [CrossRef] [PubMed]
- Rossetti, L.; Giraffa, G. Rapid Identification of Dairy Lactic Acid Bacteria by M13-Generated, RAPD-PCR Fingerprint Databases. J. Microbiol. Methods 2005, 63, 135–144. [Google Scholar] [CrossRef] [PubMed]
- Sirichoat, A.; Flórez, A.B.; Vázquez, L.; Buppasiri, P.; Panya, M.; Lulitanond, V.; Mayo, B. Antibiotic Susceptibility Profiles of Lactic Acid Bacteria from the Human Vagina and Genetic Basis of Acquired Resistances. Int. J. Mol. Sci. 2020, 21, 2594. [Google Scholar] [CrossRef]
- Tomás, M.S.J.; Claudia Otero, M.; Ocaña, V.; Elena Nader-Macías, M. Production of Antimicrobial Substances by Lactic Acid Bacteria I: Determination of Hydrogen Peroxide. In Methods in Molecular Biology; Spencer, J.F.T., Ed.; Public Health Microbiology: Methods and Protocols; Humana Press: Totowa, NJ, USA, 2004; Volume 268, pp. 337–346. ISBN 978-1-59259-766-6. [Google Scholar]
- Adeniyi, B.A.; Adetoye, A.; Ayeni, F.A. Antibacterial Activities of Lactic Acid Bacteria Isolated from Cow Faeces against Potential Enteric Pathogens. Afr. Health Sci. 2015, 15, 888–895. [Google Scholar] [CrossRef]
- Yadav, M.K.; Singh, B.; Tiwari, S.K. Comparative Analysis of Inhibition-Based and Indicator-Independent Colorimetric Assay for Screening of Bacteriocin-Producing Lactic Acid Bacteria. Probiotics Antimicrob. Proteins 2021, 11, 687–695. [Google Scholar] [CrossRef]
- Ames, B.N.; McCann, J.; Yamasaki, E. Methods for Detecting Carcinogens and Mutagens with the Salmonella/Mammalian-Microsome Mutagenicity Test. Mutat. Res./Environ. Mutagen. Relat. Subj. 1975, 31, 347–363. [Google Scholar] [CrossRef]
- Judicial Commission of the International Committee on Systematics of Prokaryotes. The Type Species of the Genus Salmonella Lignieres 1900 Is Salmonella Enterica (Ex Kauffmann and Edwards 1952) Le Minor and Popoff 1987, with the Type Strain LT2T, and Conservation of the Epithet Enterica in Salmonella Enterica over All Earlier Epithets That May Be Applied to This Species. Opinion 80. Int. J. Syst. Evol. Microbiol. 2005, 55, 519–520. [Google Scholar] [CrossRef]
- R Core Team. R: A Language and Environment for Statistical Computing; R Foundation for Statistical Computing: Vienna, Austria, 2021. [Google Scholar]
- RStudio Team. RStudio: Integrated Development Environment for R; RStudio Inc.: Boston, MA, USA, 2022. [Google Scholar]
- Wickham, H.; Averick, M.; Bryan, J.; Chang, W.; McGowan, L.D.; François, R.; Grolemund, G.; Hayes, A.; Henry, L.; Hester, J.; et al. Welcome to the tidyverse. J. Open Source Softw. 2019, 4, 1686. [Google Scholar] [CrossRef]
- Wickham, H.; Bryan, J. Readxl: Read Excel Files. 2022. Available online: https://readxl.tidyverse.org/ (accessed on 21 September 2025).
- Huber, N. Ggdendroplot: Create Dendrograms for Ggplot2. 2023. Available online: https://github.com/NicolasH2/ggdendroplot (accessed on 21 September 2025).
- Oksanen, J.; Simpson, G.L.; Blanchet, F.G.; Kindt, R.; Legendre, P.; Minchin, P.R.; O’Hara, R.B.; Solymos, P.; Stevens, M.H.H.; Szoecs, E.; et al. Vegan: Community Ecology Package. 2022. Available online: https://cran.r-project.org/package=vegan (accessed on 21 September 2025).
- Ghazi, F.; Kihal, M.; Altay, N.; Gürakan, G.C. Comparison of RAPD-PCR and PFGE Analysis for the Typing of Streptococcus Thermophilus Strains Isolated from Traditional Turkish Yogurts. Ann. Microbiol. 2016, 66, 1013–1026. [Google Scholar] [CrossRef]
- Hilton, A.C.; Mortiboy, D.; Banks, J.G.; Penn, C.W. RAPD Analysis of Environmental, Food and Clinical Isolates of Campylobacter spp. FEMS Immunol. Med. Microbiol. 1997, 18, 119–124. [Google Scholar] [CrossRef]
- Szaluś-Jordanow, O.; Krysztopa-Grzybowska, K.; Czopowicz, M.; Moroz, A.; Mickiewicz, M.; Lutyńska, A.; Kaba, J.; Nalbert, T.; Frymus, T. MLST and RAPD Molecular Analysis of Staphylococcus Aureus Subsp. Anaerobius Isolated from Goats in Poland. Arch. Microbiol. 2018, 200, 1407–1410. [Google Scholar] [CrossRef] [PubMed]
- Ruiz, P.; Seseña, S.; Palop, M.L. A Comparative Study of Different PCR-Based DNA Fingerprinting Techniques for Typing of Lactic Acid Bacteria. Eur. Food Res. Technol. 2014, 239, 87–98. [Google Scholar] [CrossRef]
- Nielsen, K.L.; Godfrey, P.A.; Stegger, M.; Andersen, P.S.; Feldgarden, M.; Frimodt-Møller, N. Selection of Unique Escherichia coli Clones by Random Amplified Polymorphic DNA (RAPD): Evaluation by Whole Genome Sequencing. J. Microbiol. Methods 2014, 103, 101–103. [Google Scholar] [CrossRef]
- Birch, M.; Denning, D.W.; Law, D. Rapid Genotyping of Escherichia coli O157 Isolates by Random Amplification of Polymorphic DNA. Eur. J. Clin. Microbiol. Infect. Dis. 1996, 15, 297–302. [Google Scholar] [CrossRef]
- Schwengers, O.; Jelonek, L.; Dieckmann, M.A.; Beyvers, S.; Blom, J.; Goesmann, A. Bakta: Rapid and Standardized Annotation of Bacterial Genomes via Alignment-Free Sequence Identification: Find out More about Bakta, the Motivation, Challenges and Applications, Here. Microb. Genom. 2021, 7, 000685. [Google Scholar] [CrossRef]
- Seemann, T. Prokka: Rapid Prokaryotic Genome Annotation. Bioinformatics 2014, 30, 2068–2069. [Google Scholar] [CrossRef]
- Jain, C.; Rodriguez-R, L.M.; Phillippy, A.M.; Konstantinidis, K.T.; Aluru, S. High Throughput ANI Analysis of 90K Prokaryotic Genomes Reveals Clear Species Boundaries. Nat. Commun. 2018, 9, 5114. [Google Scholar] [CrossRef]
- Grant, J.R.; Enns, E.; Marinier, E.; Mandal, A.; Herman, E.K.; Chen, C.; Graham, M.; Van Domselaar, G.; Stothard, P. Proksee: In-Depth Characterization and Visualization of Bacterial Genomes. Nucleic Acids Res. 2023, 51, W484–W492. [Google Scholar] [CrossRef]
- Dieckmann, M.A.; Beyvers, S.; Nkouamedjo-Fankep, R.C.; Hanel, P.H.G.; Jelonek, L.; Blom, J.; Goesmann, A. EDGAR3.0: Comparative Genomics and Phylogenomics on a Scalable Infrastructure. Nucleic Acids Res. 2021, 49, W185–W192. [Google Scholar] [CrossRef]
- van Heel, A.J.; de Jong, A.; Song, C.; Viel, J.H.; Kok, J.; Kuipers, O.P. BAGEL4: A User-Friendly Web Server to Thoroughly Mine RiPPs and Bacteriocins. Nucleic Acids Res. 2018, 46, W278–W281. [Google Scholar] [CrossRef]
- Albano, H.; Oliveira, M.; Aroso, R.; Cubero, N.; Hogg, T.; Teixeira, P. Antilisterial Activity of Lactic Acid Bacteria Isolated from “Alheiras” (Traditional Portuguese Fermented Sausages): In Situ Assays. Meat Sci. 2007, 76, 796–800. [Google Scholar] [CrossRef] [PubMed]
- Banwo, K.; Sanni, A.; Tan, H. Functional Properties of Pediococcus Species Isolated from Traditional Fermented Cereal Gruel and Milk in Nigeria. Food Biotechnol. 2013, 27, 14–38. [Google Scholar] [CrossRef]
- Brückner, R.; Titgemeyer, F. Carbon Catabolite Repression in Bacteria: Choice of the Carbon Source and Autoregulatory Limitation of Sugar Utilization. FEMS Microbiol. Lett. 2002, 209, 141–148. [Google Scholar] [CrossRef]
- Nigatu, A.; Ahrne, S.; Gashe, B.A.; Molin, G. Randomly Amplified Polymorphic DNA (RAPD) for Discrimination of Pediococcus Pentosaceus and Ped. Acidilactici and Rapid Grouping of Pediococcus Isolates. Lett. Appl. Microbiol. 1998, 26, 412–416. [Google Scholar] [CrossRef]
- Johansson, M.-L.; Quednau, M.; Molin, G.; Ahrné, S. Randomly Amplified Polymorphic DNA (RAPD) for Rapid Typing of Lactobacillus Plantarum Strains. Lett. Appl. Microbiol. 1995, 21, 155–159. [Google Scholar] [CrossRef]
- Fugaban, J.I.I.; Vazquez Bucheli, J.E.; Park, Y.J.; Suh, D.H.; Jung, E.S.; Franco, B.D.G.D.M.; Ivanova, I.V.; Holzapfel, W.H.; Todorov, S.D. Antimicrobial Properties of Pediococcus Acidilactici and Pediococcus Pentosaceus Isolated from Silage. J. Appl. Microbiol. 2022, 132, 311–330. [Google Scholar] [CrossRef]
- Rossi, F.; Lathrop, A. Effects of Lactobacillus Plantarum, Pediococcus Acidilactici, and Pediococcus Pentosaceus on the Growth of Listeria Monocytogenes and Salmonella on Alfalfa Sprouts. J. Food Prot. 2019, 82, 522–527. [Google Scholar] [CrossRef]
- Santini, C.; Baffoni, L.; Gaggia, F.; Granata, M.; Gasbarri, R.; Di Gioia, D.; Biavati, B. Characterization of Probiotic Strains: An Application as Feed Additives in Poultry against Campylobacter jejuni. Int. J. Food Microbiol. 2010, 141, S98–S108. [Google Scholar] [CrossRef]
- Deshwal, G.K.; Tiwari, S.; Kumar, A.; Raman, R.K.; Kadyan, S. Review on Factors Affecting and Control of Post-Acidification in Yoghurt and Related Products. Trends Food Sci. Technol. 2021, 109, 499–512. [Google Scholar] [CrossRef]
- Ghosh, D.; Chattopadhyay, P. Application of Principal Component Analysis (PCA) as a Sensory Assessment Tool for Fermented Food Products. J. Food Sci. Technol. 2012, 49, 328–334. [Google Scholar] [CrossRef] [PubMed]
- Jiang, J.; Yang, B.; Ross, R.P.; Stanton, C.; Zhao, J.; Zhang, H.; Chen, W. Comparative Genomics of Pediococcus pentosaceus Isolated From Different Niches Reveals Genetic Diversity in Carbohydrate Metabolism and Immune System. Front. Microbiol. 2020, 11, 253. [Google Scholar] [CrossRef] [PubMed]
- Leplae, R.; Lima-Mendez, G.; Toussaint, A. A First Global Analysis of Plasmid Encoded Proteins in the ACLAME Database. FEMS Microbiol. Rev. 2006, 30, 980–994. [Google Scholar] [CrossRef] [PubMed][Green Version]
- Papagianni, M.; Anastasiadou, S. Pediocins: The Bacteriocins of Pediococci. Sources, Production, Properties and Applications. Microb. Cell Factories 2009, 8, 3. [Google Scholar] [CrossRef]
- Rodrigues Blanco, I.; José Luduverio Pizauro, L.; Victor Dos Anjos Almeida, J.; Miguel Nóbrega Mendonça, C.; De Mello Varani, A.; Pinheiro De Souza Oliveira, R. Pan-Genomic and Comparative Analysis of Pediococcus pentosaceus Focused on the in Silico Assessment of Pediocin-like Bacteriocins. Comput. Struct. Biotechnol. J. 2022, 20, 5595–5606. [Google Scholar] [CrossRef]
- Sugrue, I.; Ross, R.P.; Hill, C. Bacteriocin Diversity, Function, Discovery and Application as Antimicrobials. Nat. Rev. Microbiol. 2024, 22, 556–571. [Google Scholar] [CrossRef]
- Khorshidian, N.; Khanniri, E.; Mohammadi, M.; Mortazavian, A.M.; Yousefi, M. Antibacterial Activity of Pediocin and Pediocin-Producing Bacteria Against Listeria Monocytogenes in Meat Products. Front. Microbiol. 2021, 12, 709959. [Google Scholar] [CrossRef]
- Rodríguez, J.M.; Martínez, M.I.; Kok, J. Pediocin PA-1, a Wide-Spectrum Bacteriocin from Lactic Acid Bacteria. Crit. Rev. Food Sci. Nutr. 2002, 42, 91–121. [Google Scholar] [CrossRef]
- Venema, K.; Kok, J.; Marugg, J.D.; Toonen, M.Y.; Ledeboer, A.M.; Venema, G.; Chikindas, M.L. Functional Analysis of the Pediocin Operon of Pediococcus Acidilactici PAC1.0: PedB Is the Immunity Protein and PedD Is the Precursor Processing Enzyme. Mol. Microbiol. 1995, 17, 515–522. [Google Scholar] [CrossRef]
- Yang, E.; Fan, L.; Yan, J.; Jiang, Y.; Doucette, C.; Fillmore, S.; Walker, B. Influence of Culture Media, pH and Temperature on Growth and Bacteriocin Production of Bacteriocinogenic Lactic Acid Bacteria. AMB Express 2018, 8, 10. [Google Scholar] [CrossRef]
- Mataragas, M.; Metaxopoulos, J.; Galiotou, M.; Drosinos, E.H. Influence of pH and Temperature on Growth and Bacteriocin Production by Leuconostoc Mesenteroides L124 and Lactobacillus Curvatus L442. Meat Sci. 2003, 64, 265–271. [Google Scholar] [CrossRef]
- Aasen, I.M.; Møretrø, T.; Katla, T.; Axelsson, L.; Storrø, I. Influence of Complex Nutrients, Temperature and pH on Bacteriocin Production by Lactobacillus sakei CCUG 42687. Appl. Microbiol. Biotechnol. 2000, 53, 159–166. [Google Scholar] [CrossRef] [PubMed]









| Strain | Origin | Comment |
|---|---|---|
| 162-HL-1 | farm 1 | conventional, milk |
| 64.2-HR-6 1 | farm 1 | conventional, milk |
| 64.2-HR-4 1 | farm 1 | conventional, teat canal |
| 92.2-VL-1 | farm 1 | conventional, foremilk |
| 02.3 3A-1 | farm 1 | conventional, teat canal |
| 22.4 1A-2 | farm 4 | conventional, teat canal |
| 22.4 2A-2 | farm 4 | conventional, teat canal |
| 22.4 4A-2 | farm 4 | conventional, teat canal |
| 22.4 5A-6 | farm 4 | conventional, teat canal |
| 22.4 7-1 | farm 4 | conventional, foremilk |
| 22.4 8A-4 | farm 4 | conventional, teat canal |
| 22.4 10-2 2 | farm 4 | conventional, foremilk |
| 22.4 10A-1 2 | farm 4 | conventional, teat canal |
| 22.4 10A-2 2 | farm 4 | conventional, teat canal |
| 22.4 11A-4 | farm 4 | conventional, teat canal |
| 22.4 15-1 3 | farm 4 | conventional, foremilk |
| 22.4 15A-5 3 | farm 4 | conventional, teat canal |
| 22.4. 20A-2 | farm 4 | conventional, teat canal |
| 29.4 13A-2 | farm 5 | organic, teat canal |
| 29.4 18-2 | farm 5 | organic, foremilk |
| 29.4 19-1 | farm 5 | organic, foremilk |
| 05.5 8-1 | farm 5 | organic, foremilk |
| 13.7 2A-1 | farm 13 | conventional, teat canal |
| 13.7 17-3 | farm 13 | conventional, foremilk |
| 13.7 8A-4 | farm 13 | conventional, teat canal |
| 13.7 10-2 4 | farm 13 | conventional, foremilk |
| 13.7 10A-6 4 | farm 13 | conventional, teat canal |
| 13.7 13A-2 | farm 13 | conventional, teat canal |
| 13.7 18A-3 | farm 13 | conventional, teat canal |
| 13.7 19A-11 | farm 13 | conventional, teat canal |
| 13.7 22 A-4 5 | farm 13 | conventional, teat canal |
| 13.7 22 A-6 5 | farm 13 | conventional, teat canal |
| Ranking | Strain | No. Indicators Inhibited (z > 0) 1 | Σ Positive z-Scores 2 | Mean Positive z-Score 3 | p-ValuePearson 4 |
|---|---|---|---|---|---|
| 1 | 13.7 13A-2 | 5 | 2.7508 | 0.3438 | 0.1935 |
| 2 | 13.7 2A-1 | 4 | 3.0891 | 0.3861 | 0.0690 |
| 3 | 05.5 8-1 | 4 | 3.0741 | 0.3843 | 0.7647 |
| 4 | 22.4 8A-4 | 4 | 3.0117 | 0.3765 | 0.3096 |
| 5 | 13.7 22A-4 | 4 | 2.9012 | 0.3627 | 0.0521 |
| 6 | 13.7 18A-3 | 4 | 2.8449 | 0.3556 | 0.5764 |
| 7 | 29.4 19-1 | 3 | 2.8130 | 0.3516 | 0.1516 |
| Strain | 13.7 13A-2 | 05.5 8-1 | 13.7 2A-1 |
|---|---|---|---|
| genome (bp) | 1,771,607 | 1,731,150 | 1,835,763 |
| predicted genes | 1720 | 1671 | 1746 |
| plasmids (bp) | 12,144; 12,513; 29,159 | 13,332; 20,517; 21,974; 24,254; 68,459 | 12,153; 16,367; 22,192; 36,437; 42,648; 44,253 |
| G + C content (%) | 37.14 | 37.41 | 37.11 |
| uvrA 1 | 490,671 | 464,679 | 459,969 |
| polC 1 | 856,007 | 806,61 | 867,588 |
| secY 1 | 1,320,181 | 1,287,919 | 1,381,749 |
Disclaimer/Publisher’s Note: The statements, opinions and data contained in all publications are solely those of the individual author(s) and contributor(s) and not of MDPI and/or the editor(s). MDPI and/or the editor(s) disclaim responsibility for any injury to people or property resulting from any ideas, methods, instructions or products referred to in the content. |
© 2025 by the authors. Licensee MDPI, Basel, Switzerland. This article is an open access article distributed under the terms and conditions of the Creative Commons Attribution (CC BY) license (https://creativecommons.org/licenses/by/4.0/).
Share and Cite
Fischer, S.W.; Mariani Corea, N.; Euler, A.; Bertels, L.; Titgemeyer, F. Comparative Analyses of Pediococcus pentosaceus Strains Isolated from Milk Cattle Reveal New Insights for Screening Food-Protective Cultures. Microorganisms 2025, 13, 2244. https://doi.org/10.3390/microorganisms13102244
Fischer SW, Mariani Corea N, Euler A, Bertels L, Titgemeyer F. Comparative Analyses of Pediococcus pentosaceus Strains Isolated from Milk Cattle Reveal New Insights for Screening Food-Protective Cultures. Microorganisms. 2025; 13(10):2244. https://doi.org/10.3390/microorganisms13102244
Chicago/Turabian StyleFischer, Sebastian W., Nadine Mariani Corea, Anna Euler, Leonie Bertels, and Fritz Titgemeyer. 2025. "Comparative Analyses of Pediococcus pentosaceus Strains Isolated from Milk Cattle Reveal New Insights for Screening Food-Protective Cultures" Microorganisms 13, no. 10: 2244. https://doi.org/10.3390/microorganisms13102244
APA StyleFischer, S. W., Mariani Corea, N., Euler, A., Bertels, L., & Titgemeyer, F. (2025). Comparative Analyses of Pediococcus pentosaceus Strains Isolated from Milk Cattle Reveal New Insights for Screening Food-Protective Cultures. Microorganisms, 13(10), 2244. https://doi.org/10.3390/microorganisms13102244

