Pseudo-Placentational Endometrial Hyperplasia in the Bitch: Case Series
Abstract
Simple Summary
Abstract
1. Introduction
2. Materials and Methods
3. Results
3.1. Epidemiology
3.2. Clinical Findings
3.3. Gross Pathology
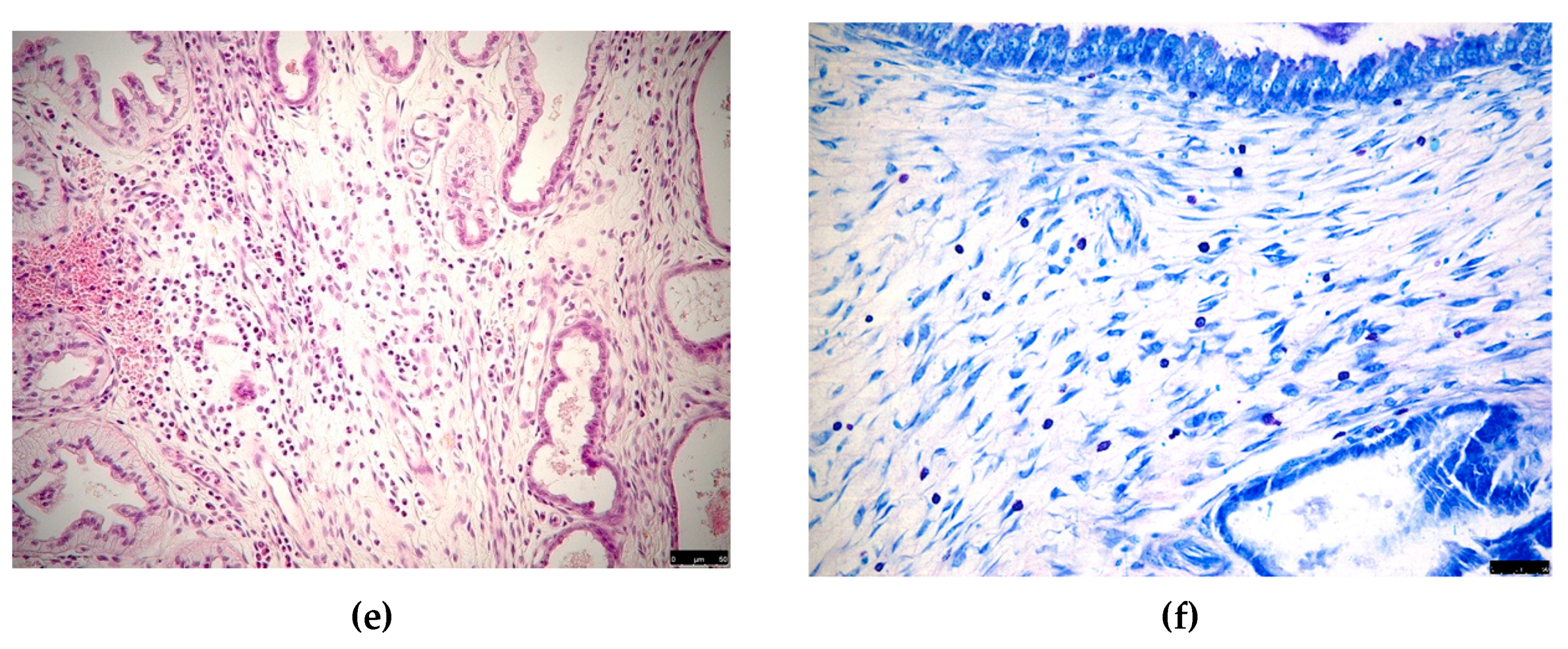
3.4. Histopathology
4. Discussion
5. Conclusions
Author Contributions
Funding
Institutional Review Board Statement
Informed Consent Statement
Data Availability Statement
Acknowledgments
Conflicts of Interest
References
- Krainz, K. Über Reizwirkungen von Fremdkörpern auf die Uterusschleimhaut her Hündin. Archiv. Für Mikr. Anat. 1914, 48, 122–141. [Google Scholar] [CrossRef][Green Version]
- Whitney, J.C. The pathology of the canine genital tract in false pregnancy. J. Small Anim. Pract. 1967, 8, 247–263. [Google Scholar] [CrossRef]
- McEntee, K. Reproductive Pathology of Domestic Mammals; Academic Press: San Diego, CA, USA, 1990; pp. 173–174. [Google Scholar]
- Nomura, K. Induction of a deciduoma in a dog. J. Vet. Med. Sci. 1994, 56, 365–369. [Google Scholar] [CrossRef][Green Version]
- Nomura, K. Histological evaluation of canine deciduoma induced by silk suture. J. Vet. Med. Sci. 1995, 57, 9–16. [Google Scholar] [CrossRef][Green Version]
- Nomura, K. Histological evaluation of the canine decidual reactions induced by intraluminal injection of olive oil. J. Vet. Med. Sci. 1995, 57, 71–74. [Google Scholar] [CrossRef] [PubMed]
- Nomura, K. Radiographical and histological evaluation of canine decidual reaction induced by intralumenal injection of bouillon solution mixed with or without barium sulfate. J. Vet. Med. Sci. 1996, 58, 145–149. [Google Scholar] [CrossRef] [PubMed]
- Nomura, K. Canine deciduoma induced by intralumenal insertion of uterine grafts. J. Vet. Med. Sci. 1996, 58, 151–155. [Google Scholar] [CrossRef] [PubMed][Green Version]
- Nomura, K.; Funahashi, H. Histological characteristics of canine deciduoma induced by intrauterine inoculation of E. coli suspension. J. Vet. Med. Sci. 1999, 61, 433–438. [Google Scholar] [CrossRef]
- Nomura, K. Induction of canine deciduoma in some reproductive stages with the different conditions of corpora lutea. J. Vet. Med. Sci. 1997, 59, 185–190. [Google Scholar] [CrossRef] [PubMed]
- Nomura, K.; Nishida, A. Histological variations of canine deciduoma induced in non pregnant horn at different stages of unilateral pregnancy. J. Vet. Med. Sci. 1998, 60, 623–626. [Google Scholar] [CrossRef] [PubMed]
- Nomura, K.; Makino, T. Effect of ovariectomy in the early first half of the diestrus on induction or maintenance of canine deciduoma. J. Vet. Med. Sci. 1997, 59, 227–230. [Google Scholar] [CrossRef] [PubMed][Green Version]
- Koguchi, A.; Nomura, K.; Fujiwara, T.; Kawai, Y.; Okaniwa, A. Maternal placenta-like endometrial hyperplasia in a Beagle dog (Canine deciduoma). Exp. Anim. 1995, 44, 251–253. [Google Scholar] [CrossRef] [PubMed][Green Version]
- Arrighi, S.; Cremonesi, F.; Bosi, G.; Groppetti, D.; Pecile, A. Characterization of a population of unique granular lymphocytes in a bitch deciduoma, using a panel of histo- and immunohistochemical markers. Vet. Pathol. 2007, 44, 521–524. [Google Scholar] [CrossRef]
- Schlafer, D.H.; Miller, R.B. Female genital system. In Jubb, Kennedy, and Palmer’s Pathology of Domestic Animals; Maxie, M.G., Ed.; Elsevier Saunders: Philadelphia, PA, USA, 2007; pp. 429–564. [Google Scholar]
- Schlafer, D.H.; Gifford, A.T. Cystic endometrial hyperplasia, pseudo-placentational endometrial hyperplasia, and other cystic conditions of the canine and feline uterus. Theriogenology 2008, 70, 349–358. [Google Scholar] [CrossRef] [PubMed]
- Sato, Y. Pseudo-placentational endometrial hyperplasia in a dog. J. Vet. Diagn. Invest. 2011, 23, 1071–1074. [Google Scholar] [CrossRef]
- Cartolano, C.; Cunto, M.; Zambelli, D.; Bini, C.; Gherard, K.D.; Sarli, G. Pseudo-placentational Endometrial Hyperplasia (PEH) in a bitch: Clinical and histopathological findings. Veterinaria 2016, 30, 1–5. [Google Scholar]
- Ma, L.Y.; Heng, H.G.; Chia, M.Y.; Cheng, F.P.; Lin, C.C.; Chen, K.S. Ultrasonographic appearance of pseudo-placentational endometrial hyperplasia in a dog. Vet. Radiol. Ultrasound 2020. [Google Scholar] [CrossRef]
- Malm, C.; Serakides, R.; Silva, J.F.; Nascimento, E.F.; Boeloni, J.N.; Viana, F.A.B.; Souza, E.M.; Ocarino, N.M. Diffuse heterotopic hair in a canine uterus: Case report. Arq. Bras. Med. Vet. Zootec. 2013, 65, 1281–1285. [Google Scholar] [CrossRef][Green Version]
- Santana, C.H.; Santos, D.O.; Trindade, L.M.; Moreira, L.G.A.; Paixao, T.A.; Santos, R.L. Association of pseudoplacentational endometrial hyperplasia and pyometra in dogs. J. Comp. Path. 2020, 180, 79–85. [Google Scholar] [CrossRef]
- Itoh, T.; Kojimoto, A.; Kojima, K.; Shii, H. Retrospective study on clinical features and treatment outcomes of nontraumatic inguinal hernias in 41 dogs. J. Am. Anim. Hosp. Assoc. 2020, 56, 301. [Google Scholar] [CrossRef]
- Bartel, C.; Schönkypl, S.; Walter, I. Pseudo-placentational endometrial cysts in a bitch. Anat. Histol. Embryol. 2010, 39, 74–80. [Google Scholar] [CrossRef]
- Mir, F.; Fontaine, E.; Albaric, O.; Greer, M.; Vannier, F.; Schlafer, D.H.; Fontbonne, A. Findings in uterine biopsies obtained by laparotomy from bitches with unexplained infertility or pregnancy loss: An observational study. Theriogenology 2013, 79, 312–322. [Google Scholar] [CrossRef]
- Al-Bassam, M.A.; Thomson, R.G.; O’Donnell, L. Normal postpartum involution of the uterus in the dog. Can. J. Comp. Med. 1981, 45, 217–232. [Google Scholar]
- Bartel, C.; Tichy, A.; Walter, I. Characterization of foamy epithelial surface cells in the canine endometrium. Anat. Histol. Embryol. 2014, 43, 165–181. [Google Scholar] [CrossRef] [PubMed]
- Qian, C.; Jiang, C.; Hou, J. The endometrium histopathology and cell ultrastructure in bitches with pyometra induced using progesterone and Escherichia coli. Tissue Cell 2020, 67, 101414. [Google Scholar] [CrossRef] [PubMed]
- Hamouzova, P.; Cizek, P.; Bartoskova, A.; Vitasek, R.; Tichy, F. Changes in the mast cell distribution in the canine ovary and uterus throughout the oestrous cycle. Reprod. Domest. Anim. 2020, 55, 479–485. [Google Scholar] [CrossRef] [PubMed]
- Woidacki, K.; Jensen, F.; Zenclussen, A. Mast cells as novel mediators of reproductive processes. Front. Immunol. 2013, 4, 29. [Google Scholar] [CrossRef]




| n | Clinical | Gross | Histology |
|---|---|---|---|
| D1 | Mixed Breed, 1.5 years; history of recurrent clinical pseudopregnancies; in heat 2 months before without mating; asymptomatic; routine anticonception surgery | Longitudinal folds on the uterine serosa; 2 ovoidal uterine swellings in the left and right uterine horn; whitish lardaceous lesions at the swelling: hyperemic uterine mucosa, corpora lutea | 4-layer PEH at swelling level; PEH-like changes on the remaining uterine mucosa; corpora lutea with degenerated lipid-filled luteal cells confirming end of diestrus |
| D2 | Mixed Breed, 6 years; no pregnancies but history of recurrent clinical pseudopregnancies; in heat 2 months before without mating; inguinal hernia; neutrophilia; end of diestrus (P4 = 1 ng/mL); ovariohysterectomy and herniorrhaphy | Longitudinal folds on the uterine serosa; 3 ovoidal uterine swellings in the left uterine horn and 1 in the right; greyish lardaceous lesions at the swelling; hyperemic uterine mucosa, dirty fluid in the lumen; corpora lutea and a large cyst in the right ovary | 3-layer PEH at swelling level; PEH-like changes on the remaining uterine mucosa; diffuse endometritis; corpora lutea with degenerated lipid-filled luteal cells; paraovarian cyst |
| D3 | Pinscher, 2 years; in heat 1.5 months before without mating; asymptomatic; vaginal cytology compatible with diestrus; routine ovariohysterectomy | One ovoidal uterine swelling in the left uterine horn; whitish lardaceous lesion at the swelling; slightly hyperemic uterine mucosa, corpora lutea | 4-layer PEH at swelling level; PEH-like changes on the remaining uterine mucosa; corpora lutea with active luteal cells confirming diestrus |
| D4 | Sicilian hound, 2 years; in heat 2 months before with mating; no pregnancy; end of diestrus (P4 = 1 ng/mL); at ultrasound uterus widening (2 cm) for two adjacent endoluminal mass lesions with suspicion of PEH or placental remnants; ovariohysterectomy | Longitudinal folds on the uterine serosa; 2 ovoidal uterine swellings in the left uterine horn; greyish lardaceous lesions at the swelling; hyperemic uterine mucosa; corpora lutea | 4-layer PEH at swelling level; PEH-like changes on the remaining uterine mucosa; corpora lutea with degenerated lipid-filled luteal cells |
| D5 | Labrador, 5 years; 2 previous pregnancies; in heat 2 months before without mating; end of diestrus (P4 = 1 ng/mL); fluid-filled uterus; at ultrasound uterus widening (2 cm) for an endoluminal mass lesion with suspicion of PEH; ovariohysterectomy | Longitudinal folds on the uterine serosa; one ovoidal uterine swelling in the right uterine horn; whitish lardaceous lesion at the swelling; hyperemic uterine mucosa, mucous fluid in the lumen; corpora lutea and a large cyst in the right ovary | 3-layer PEH at swelling level; PEH-like changes on the remaining uterine mucosa; corpora lutea with degenerated lipid-filled luteal cells; paraovarian cyst |
| D6 | Cairn terrier, 10 months; in heat 1.5 months before without mating; asymptomatic; diestrus (P4 = 20 ng/mL); routine ovariohysterectomy | Longitudinal folds on the uterine serosa; one ovoidal uterine swelling in the right uterine horn; whitish lardaceous lesion at the swelling: hyperemic uterine mucosa, corpora lutea | 3-layer PEH at swelling level; PEH-like changes on the remaining uterine mucosa; active corpora lutea |
Publisher’s Note: MDPI stays neutral with regard to jurisdictional claims in published maps and institutional affiliations. |
© 2021 by the authors. Licensee MDPI, Basel, Switzerland. This article is an open access article distributed under the terms and conditions of the Creative Commons Attribution (CC BY) license (http://creativecommons.org/licenses/by/4.0/).
Share and Cite
Marino, G.; Sfacteria, A.; Catone, G.; Zanghì, A.; Pecchia, F.; Difrancesco, A.; Russo, M. Pseudo-Placentational Endometrial Hyperplasia in the Bitch: Case Series. Animals 2021, 11, 718. https://doi.org/10.3390/ani11030718
Marino G, Sfacteria A, Catone G, Zanghì A, Pecchia F, Difrancesco A, Russo M. Pseudo-Placentational Endometrial Hyperplasia in the Bitch: Case Series. Animals. 2021; 11(3):718. https://doi.org/10.3390/ani11030718
Chicago/Turabian StyleMarino, Gabriele, Alessandra Sfacteria, Giuseppe Catone, Antonina Zanghì, Fabiana Pecchia, Angela Difrancesco, and Marco Russo. 2021. "Pseudo-Placentational Endometrial Hyperplasia in the Bitch: Case Series" Animals 11, no. 3: 718. https://doi.org/10.3390/ani11030718
APA StyleMarino, G., Sfacteria, A., Catone, G., Zanghì, A., Pecchia, F., Difrancesco, A., & Russo, M. (2021). Pseudo-Placentational Endometrial Hyperplasia in the Bitch: Case Series. Animals, 11(3), 718. https://doi.org/10.3390/ani11030718

