Chronic Folliculitis Associated with Ovine gammaherpesvirus 2-Induced Infections in Dairy Cows from Southern Brazil
Simple Summary
Abstract
1. Introduction
2. Materials and Methods
2.1. Study Location, Animals, and Sampling
2.2. Pathological Evaluations
2.3. Immunohistochemical Identification of MCFV Antigens in Dairy Cows with Folliculitis
2.4. Immunohistochemical Characterization of Inflammatory Reaction in Cutaneous Samples of Dairy Cows
2.5. Molecular Characterization of Ovine gammaherpesvirus 2 Tegument Protein Gene and Macavirus from Cutaneous Samples
2.6. Sequence Determination of the OvGHV2 Tegument Protein Gene
2.7. Types of Macavirus Associated Infections
2.8. Possible Association of Wild Boars with the Occurrence of OvGHV2-Induced Cutaneous Lesions in Dairy Cows
2.9. Statistical Analyses
3. Results
3.1. Clinical and Epidemiological Information
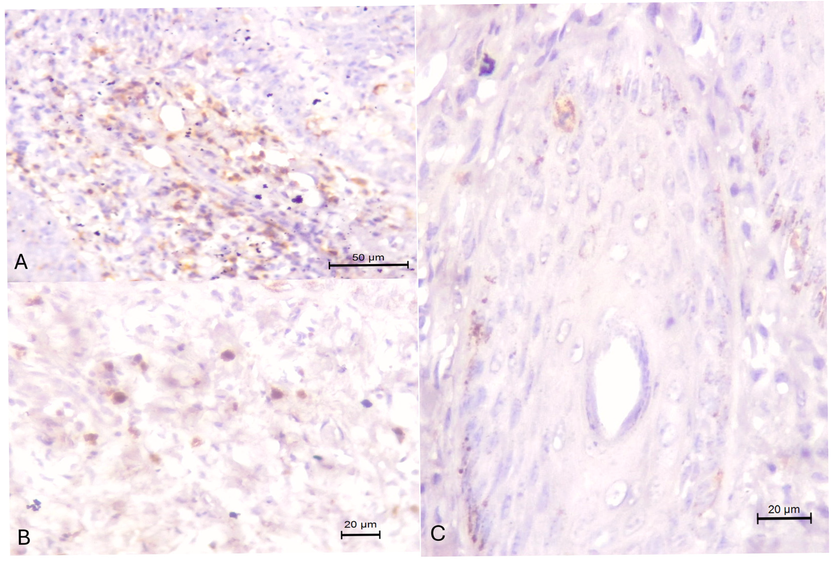
3.2. Gross, Histopathological, and Immunohistochemical Findings
3.3. Inflammatory Response Observed in Cutaneous Lesions of Dairy Cows Infected by OvGHV2
3.4. Molecular Detection of OvGHV2 and Macavirus in Cutaneous Samples
3.5. Phylogenetic Analyses of the OvGHV2 Tegument Protein Gene
3.6. Spatial Association of Free-Ranging Wild Boars on the Occurrence of Skin Lesions in Adult Cows from Closed Dairy Farms
4. Discussion
4.1. The 15A-MAb IHC Assay Can Be Used to Detect OvGHV2 Antigens in Organs of Ruminants
4.2. Folliculitis May Be Associated with OvGHV2-Related Skin Infections in Ruminants
4.3. Alternative Forms of Transmission Should Be Considered for the Dissemination of OvGHV2 to the Terminal Hosts in Regions Where These Are Not Reared Concomitantly with Sheep
4.4. Study Limitations
5. Conclusions
Supplementary Materials
Author Contributions
Funding
Institutional Review Board Statement
Informed Consent Statement
Data Availability Statement
Conflicts of Interest
References
- ICTV. International Committee on Taxonomy of Viruses. Subfamily: Gammaherpesvirinae, Genus: Macavirus. Available online: https://ictv.global/report/chapter/herpesviridae/herpesviridae/macavirus (accessed on 3 March 2024).
- Li, H.; Cunha, C.W.; Taus, N.S.; Knowles, D.P. Malignant catarrhal fever: Inching toward understanding. Annul. Rev. Anim. Biosci. 2014, 2, 209–233. [Google Scholar] [CrossRef]
- O’Toole, D.; Li, H. The pathology of malignant catarrhal fever, with an emphasis on ovine herpesvirus 2. Vet. Pathol. 2014, 51, 437–452. [Google Scholar] [CrossRef]
- Headley, S.A.; Oliveira, T.E.S.; Cunha, C.W. A review of the epidemiological, clinical, and pathological aspects of malignant catarrhal fever in Brazil. Braz. J. Microbiol. 2020, 51, 1405–1432. [Google Scholar] [CrossRef] [PubMed]
- Crawford, T.B.; Li, H.; Rosenburg, S.R.; Norhausen, R.W.; Garner, M.M. Mural folliculitis and alopecia caused by infection with goat-associated malignant catarrhal fever virus in two sika deer. J. Am. Vet. Med. Assoc. 2002, 221, 843–847. [Google Scholar] [CrossRef] [PubMed]
- Li, H.; Keller, J.; Knowles, D.P.; Crawford, T.B. Recognition of another member of the malignant catarrhal fever virus group: An endemic gammaherpesvirus in domestic goats. J. Gen. Virol. 2001, 82, 227–232. [Google Scholar] [CrossRef] [PubMed]
- Russell, G.C.; Stewart, J.P.; Haig, D.M. Malignant catarrhal fever: A review. Vet. J. 2009, 179, 324–335. [Google Scholar] [CrossRef]
- Headley, S.A.; Dall Agnol, A.M.; Oliveira, T.E.S.; Bon, V.R.; Scuisato, G.S.; Xavier, A.A.C.; Yasumitsu, C.Y.; Alfieri, A.F.; Alfieri, A.A. Possible association of bovine gammaherpesvirus 6 with pulmonary disease in a cow. Animals 2023, 13, 417. [Google Scholar] [CrossRef]
- Castro, M.M.; Dall Agnol, A.M.; Tavares, V.R.R.; Xavier, A.A.C.; Silva, F.H.P.; Figueiredo, J.R.X.; Almeida, R.F.; Alfieri, A.A.; Headley, S.A. Molecular identification of bovine gammaherpesvirus 6 in water buffaloes (Bubalus bubalis) with histological evidence of pulmonary and intestinal lesions. Semin. Ciências Agrárias 2023, 44, 1879–1894. [Google Scholar] [CrossRef]
- Oliveira, T.E.S.d.; Scuisato, G.S.; Fritzen, J.T.T.; Silva, D.C.; Massi, R.P.; Pelaquim, I.F.; Silva, L.E.; Flores, E.F.; Santos, R.L.; Pretto-Giordano, L.G.; et al. Infectious disease agents associated with pulmonary alterations in aborted bovine fetuses. Animals 2022, 12, 1596. [Google Scholar] [CrossRef]
- Oliveira, C.H.; Oliveira, F.G.; Gasparini, M.R.; Galinari, G.C.; Lima, G.K.; Fonseca, A.A., Jr.; Barbosa, J.D.; Barbosa-Stancioli, E.F.; Leite, R.C.; Reis, J.K. Bovine herpesvirus 6 in buffaloes (Bubalus bulalis) from the Amazon region, Brazil. Trop. Anim. Health Prod. 2015, 47, 465–468. [Google Scholar] [CrossRef]
- Rovnak, J.; Quackenbush, S.L.; Reyes, R.A.; Baines, J.D.; Parrish, C.R.; Casey, J.W. Detection of a novel bovine lymphotropic herpesvirus. J. Virol. 1998, 72, 4237–4242. [Google Scholar] [CrossRef]
- Gagnon, C.A.; Allam, O.; Drolet, R.; Tremblay, D. Quebec: Detection of bovine lymphotropic herpesvirus DNA in tissues of a bovine aborted fetus. Can. Vet. J. 2010, 51, 1021–1022. [Google Scholar] [PubMed]
- Collins, J.K.; Bruns, C.; Vermedahl, T.L.; Schiebel, A.L.; Jessen, M.T.; Schultheiss, P.C.; Anderson, G.M.; Dinsmore, R.P.; Callan, R.J.; DeMartini, J.C. Malignant catarrhal fever: Polymerase chain reaction survey for ovine herpesvirus 2 and other persistent herpesvirus and retrovirus infections of dairy cattle and bison. J. Vet. Diagn. Investig. 2000, 12, 406–411. [Google Scholar] [CrossRef] [PubMed]
- Garigliany, M.M.; Bayrou, C.; Cassart, D.; Jolly, S.; Desmecht, D. Bovine lymphotropic herpesvirus detected in Belgium. Vet. Rec. 2013, 172, 535–536. [Google Scholar] [CrossRef]
- Banks, M.; Ibata, G.; Murphy, A.M.; Frossard, J.P.; Crawshaw, T.R.; Twomey, D.F. Bovine lymphotropic herpesvirus and non-responsive post-partum metritis in dairy herds in the UK. Vet. J. 2008, 176, 248–250. [Google Scholar] [CrossRef] [PubMed]
- Cobb, S.P.; Banks, M.; Russell, C.; Thorne, M. Bovine lymphotrophic herpesvirus in a UK dairy herd. Vet. Rec. 2006, 158, 807–808. [Google Scholar] [CrossRef]
- de Boer, M.W.; Zheng, T.; Buddle, B.M.; McDougall, S. Detection of bovine herpesvirus type 4 antibodies and bovine lymphotropic herpesvirus in New Zealand dairy cows. New Zealand Vet. J. 2014, 62, 351–355. [Google Scholar] [CrossRef]
- Fabian, R.; Rosato, G.; Stewart, J.P.; Kipar, A. Bovine gammaherpesvirus 6 tropism in the natural host. Viruses 2024, 16, 1730. [Google Scholar] [CrossRef]
- Headley, S.A.; Grant, D.M.; Tomazi Fritzen, J.T.; Martins, F.D.C.; Camilo, S.L.O.; Caldart, E.T.; Lisbôa, J.A.N.; Alfieri, A.A.; Russell, G.C. Serological detection of Ovine gammaherpesvirus 2 antibodies in dairy farms from Southern Brazil. Microorganisms 2024, 12, 2629. [Google Scholar] [CrossRef]
- Headley, S.A.; Yasumitsu, C.Y.; Dall Agnol, A.M.; Souza, T.C.G.D.; Porto, G.S.; Leme, R.A.; Alfieri, A.F.; Alfieri, A.A. Molecular detection of Ovine gammaherpesvirus 2 in free ranging wild boars (Sus. scrofa) from Southern Brazil. Braz. J. Microbiol. 2024, 55, 1923–1929. [Google Scholar] [CrossRef]
- Headley, S.A.; Fritzen, J.T.T.; Silva, F.H.P.; Minarelli, S.L.M.; Biondo, L.M.; Kmetiuk, L.B.; Biondo, A.W.; Alfieri, A.A. Subclinical Ovine gammaherpesvirus 2-related infections in free-ranging wild boars (Sus. scrofa) from Southern Brazil. Pathogens 2024, 13, 515. [Google Scholar] [CrossRef]
- Anderson, I.E.; Buxton, D.; Campbell, I.; Russell, G.; Davis, W.C.; Hamilton, M.J.; Haig, D.M. Immunohistochemical study of experimental malignant catarrhal fever in rabbits. J. Comp. Path. 2007, 136, 156–166. [Google Scholar] [CrossRef]
- Buxton, D.; Reid, H.W.; Finlayson, J.; Pow, I. Pathogenesis of ‘sheep-associated’ malignant catarrhal fever in rabbits. Res. Vet. Sci. 1984, 36, 205–211. [Google Scholar] [CrossRef]
- Mauldin, E.A.; Peters-Kennedy, J. Integumentary System. In Jubb, Kennedy & Palmer’s Pathology of Domestic Animals, 6th ed.; Maxie, M.G., Ed.; W.B. Saunders; Elsevier: St. Louis, MO, USA, 2016; Volume 1, pp. 509–736.e501. [Google Scholar]
- Westermann, T.; Demeter, E.A.; Diel, D.G.; Renshaw, R.W.; Laverack, M.A.; Gerdes, R.S.; Peters-Kennedy, J. Granulomatous mural folliculitis in 16 domestic goats: Infection with malignant catarrhal fever viruses and colocalization with ovine herpesvirus-2 using in situ hybridization. Vet. Pathol. 2023, 60, 876–887. [Google Scholar] [CrossRef] [PubMed]
- Foster, A.P.; Twomey, D.F.; Monie, O.R.; Kiupel, M.; Hoffmann, I.; Willoughby, K. Diagnostic exercise: Generalized alopecia and mural folliculitis in a goat. Vet. Pathol. 2010, 47, 760–763. [Google Scholar] [CrossRef] [PubMed]
- Richards-Rios, P.; Sharkey, D. Granulomatous mural folliculitis and cytotoxic interface dermatitis in a pygmy goat associated with ovine herpesvirus-2 and systemic lesions of malignant catarrhal fever. Vet. Rec. Case Rep. 2025, 13, e70098. [Google Scholar] [CrossRef]
- Striuli, G.; Vandenabeele, S.; van Mol, W.; Vercauteren, G.; De Lignie, B. Steroid-responsive granulomatous mural folliculitis associated with ovine herpesvirus-2 in a Pygmy goat. Vet. Rec. Case Rep. 2025, 13, e1026. [Google Scholar] [CrossRef]
- Foyle, K.L.; Fuller, H.E.; Higgins, R.J.; Russell, G.C.; Willoughby, K.; Rosie, W.G.; Stidworthy, M.F.; Foster, A.P. Malignant catarrhal fever in sika deer (Cervus nippon) in the UK. Vet. Rec. 2009, 165, 445–447. [Google Scholar] [CrossRef]
- Munday, J.S.; French, A.F.; Smith, A.; Wang, J.; Squires, R.A. Probable malignant catarrhal fever presented as transient generalised crusting dermatitis in a cow. New Zealand Vet. J. 2008, 56, 89–93. [Google Scholar] [CrossRef]
- Clark, K.A.; Robinson, R.M.; Marburger, R.G.; Jones, L.P.; Orchard, J.H. Malignant catarrhal fever in Texas cervids. J. Wildl. Dis. 1970, 6, 376–383. [Google Scholar] [CrossRef]
- Slater, O.M.; Peters-Kennedy, J.; Lejeune, M.; Gummer, D.; Macbeth, B.; Warren, A.; Joseph, T.; Li, H.; Cunha, C.W.; Duignan, P.J. Sheep-associated malignant catarrhal fever-like skin disease in a free-ranging bighorn sheep (Ovis canadensis), Alberta, Canada. J. Wildl. Dis. 2017, 53, 153–158. [Google Scholar] [CrossRef] [PubMed]
- Struthers, J.D.; Chako, C.; Ruppert, S.; Jackson, K.; Pesavento, P.A. Diagnostic challenge in veterinary pathology: Alopecic crusting dermatitis in a goat. Vet. Pathol. 2022, 59, 182–185. [Google Scholar] [CrossRef] [PubMed]
- Makoni, G.M.; Gerspach, C.; Fischer, N.; Rosato, G.; Fabian, R.; Grest, P.; Kipar, A. Malignant catarrhal fever in a goat: Manifestation of virus-induced erythema multiforme. J. Vet. Diagn. Investig. 2024, 36, 243–247. [Google Scholar] [CrossRef] [PubMed]
- David, D.; Perl, S.; Brenner, J.; Dagoni, I.; Garazi, S. Two cases of the cutaneous form of sheep-associated malignant catarrhal fever in cattle. Vet. Rec. 2005, 156, 118–120. [Google Scholar] [CrossRef]
- Sheehan, M.; Pesavento, P.A.; Campion, F.; Lynch, J.; McGettrick, S.; Toland, B.; Kennedy, A. First reported case in an Irish flock of MCF- like systemic necrotizing vasculitis in sheep associated with ovine herpesvirus 2. Ir. Vet. J. 2024, 77, 7. [Google Scholar] [CrossRef]
- IBGE. Pesquisa da Pecuária Municipal [Municipal Livestock Research]. Available online: https://www.ibge.gov.br/estatisticas/economicas/agricultura-e-pecuaria/9107-producao-da-pecuaria-municipal.html?=&t=resultados (accessed on 19 March 2024).
- Daros, R.R.; Weary, D.M.; von Keyserlingk, M.A.G. Invited review: Risk factors for transition period disease in intensive grazing and housed dairy cattle. J. Dairy Sci. 2022, 105, 4734–4748. [Google Scholar] [CrossRef]
- Redfern, E.A.; Sinclair, L.A.; Robinson, P.A. Dairy cow health and management in the transition period: The need to understand the human dimension. Res. Vet. Sci. 2021, 137, 94–101. [Google Scholar] [CrossRef]
- Headley, S.A.; Oliveira, T.E.S.; Li, H.; Lisbôa, J.A.N.; Queiroz, G.R.; Fritzen, J.T.T.; Flores, E.F.; Alfieri, A.A.; Cunha, C.W. Immunohistochemical detection of intralesional antigens of Ovine gammaherpesvirus-2 in cattle with Sheep-Associated Malignant Catarrhal Fever. J. Comp. Path. 2020, 174, 86–98. [Google Scholar] [CrossRef]
- Alfieri, A.A.; Parazzi, M.E.; Takiuchi, E.; Médici, K.C.; Alfieri, A.F. Frequency of group A rotavirus in diarrhoeic calves in Brazilian cattle herds, 1998–2002. Trop. Anim. Health Prod. 2006, 38, 521–526. [Google Scholar] [CrossRef]
- Boom, R.; Sol, C.J.; Salimans, M.M.; Jansen, C.L.; Wertheim-van Dillen, P.M.; van der Noordaa, J. Rapid and simple method for purification of nucleic acids. J. Clin. Microbiol. 1990, 28, 495–503. [Google Scholar] [CrossRef]
- Baxter, S.I.; Pow, I.; Bridgen, A.; Reid, H.W. PCR detection of the sheep-associated agent of malignant catarrhal fever. Arch. Virol. 1993, 132, 145–159. [Google Scholar] [CrossRef]
- Kubiś, P.; Materniak, M.; Kuźmak, J. Comparison of nested PCR and qPCR for the detection and quantitation of BoHV6 DNA. J. Virol. Methods 2013, 194, 94–101. [Google Scholar] [CrossRef]
- Claus, M.P.; Alfieri, A.F.; Folgueras-Flatschart, A.V.; Wosiacki, S.R.; Médici, K.C.; Alfieri, A.A. Rapid detection and differentiation of bovine herpesvirus 1 and 5 glycoprotein C gene in clinical specimens by multiplex-PCR. J. Virol. Methods 2005, 128, 183–188. [Google Scholar] [CrossRef] [PubMed]
- Li, Y.; Meyer, H.; Zhao, H.; Damon, I.K. GC Content-Based Pan-Pox Universal PCR Assays for Poxvirus Detection. J. Clin. Microbiol. 2010, 48, 268–276. [Google Scholar] [CrossRef] [PubMed]
- Okoh, G.s.R.; Lockhart, M.; Grimsey, J.; Whitmore, D.; Ariel, E.; Butler, J.; Horwood, P.F. Development of subfamily-based consensus PCR assays for the detection of human and animal herpesviruses. Eur. J. Clin. Microbiol. Infect. Dis. 2023, 42, 741–746. [Google Scholar] [CrossRef] [PubMed]
- VanDevanter, D.R.; Warrener, P.; Bennett, L.; Schultz, E.R.; Coulter, S.; Garber, R.L.; Rose, T.M. Detection and analysis of diverse herpesviral species by consensus primer PCR. J. Clin. Microbiol. 1996, 34, 1666–1671. [Google Scholar] [CrossRef]
- Headley, S.A.; Sousa, I.K.F.; Minervino, A.H.H.; Barros, I.O.; Barrêto Júnior, R.A.; Alfieri, A.F.; Ortolani, E.L.; Alfieri, A.A. Molecular confirmation of ovine herpesvirus 2-induced malignant catarrhal fever lesions in cattle from Rio Grande do Norte, Brazil. Pesq. Vet. Bras. 2012, 32, 1213–1218. [Google Scholar] [CrossRef]
- Headley, S.A.; Pimentel, L.A.; Oliveira, V.H.; Toma, H.S.; Alfieri, A.F.; Carvalho, A.M.; Santos, M.D.; Alfieri, A.A. Transplacental transmission of ovine herpesvirus 2 in cattle with sheep-associated malignant catarrhal fever. J. Comp. Path. 2015, 153, 206–211. [Google Scholar] [CrossRef]
- Hall, T.A. BioEdit: A user-friendly biological sequence alignment editor and analysis program for Windows 95/98/NT. Nucleic Acids Symp. 1999, 41, 95–98. [Google Scholar]
- Saitou, N.; Nei, M. The neighbor-joining method: A new method for reconstructing phylogenetic trees. Mol. Biol. Evol. 1987, 4, 406–425. [Google Scholar] [CrossRef]
- Kimura, M. A simple method for estimating evolutionary rates of base substitutions through comparative studies of nucleotide sequences. J. Mol. Evol. 1980, 16, 111–120. [Google Scholar] [CrossRef]
- Kumar, S.; Stecher, G.; Tamura, K. MEGA7: Molecular Evolutionary Genetics Analysis Version 7.0 for Bigger Datasets. Mol. Biol. Evol. 2016, 33, 1870–1874. [Google Scholar] [CrossRef]
- Popczyk, B.; Klich, D.; Nasiadka, P.; Nieszała, A.; Gadkowski, K.; Sobczuk, M.; Balcerak, M.; Kociuba, P.; Olech, W.; Purski, L. Over 300 km dispersion of wild boar during hot summer, from Central Poland to Ukraine. Animals 2024, 14, 170. [Google Scholar] [CrossRef]
- Cavazza, S.; Brogi, R.; Apollonio, M. Sex-specific seasonal variations of wild boar distance traveled and home range size. Curr. Zool. 2023, 70, 284–290. [Google Scholar] [CrossRef] [PubMed]
- Miettinen, E.; Melin, M.; Holmala, K.; Meller, A.; Väänänen, V.M.; Huitu, O.; Kunnasranta, M. Home ranges and movement patterns of wild boars (Sus. scrofa) at the northern edge of the species’ distribution range. Mamm. Res. 2023, 68, 611–623. [Google Scholar] [CrossRef]
- Centers for Disease Control and Prevention. Epi Info™ [computer program]. Version 7.2. Atlanta: CDC. 2017. Available online: https://www.cdc.gov/epiinfo (accessed on 18 October 2024).
- Dean, A.G.; Sullivan, K.M.; Soe, M.M. OpenEpi: Open Source Epidemiologic Statistics for Public Health, Version 3.01. 2013. Available online: http://www.openepi.com (accessed on 18 October 2024).
- Headley, S.A.; Queiroz, G.R.; Lima, J.; Fritzen, J.T.T.; Zufelato, P.A.P.; Yoshitani, G.D.; Dos Santos, I.H.; Silva, F.H.P.; Flaiban, K.; Alfieri, A.A.; et al. Ovine gammaherpesvirus 2 vertical infections in sheep. Microb. Pathog. 2025, 202, 107419. [Google Scholar] [CrossRef] [PubMed]
- Silva, L.E.; Dall Agnol, A.M.; Rodriguez, M.C.; Xavier, A.A.C.; Silva, I.V.; Kioquetta, J.A.; Guimarães, N.S.; Rodrigues, R.V.; Pereira, P.F.V.; Almeida, R.F.; et al. Characterization of Ovine gammaherpesvirus 2 in a goat by nanoplate digital PCR and other diagnostic methods. Braz. J. Microbiol. 2024, 55, 855–866. [Google Scholar] [CrossRef]
- Silva, F.H.P.; Fritzen, J.T.T.; Figueiredo, J.R.X.; Jurkevicz, R.M.B.; Domingues, A.F.F.; Rose, M.P.; Silva, L.E.; Garcia, J.L.; Alfieri, A.A.; Headley, S.A. Transplacental infections associated with Macavirus in aborted bovine foetuses. Microorganisms 2024, 12, 1608. [Google Scholar] [CrossRef]
- Headley, S.A.; Fritzen, J.T.T.; Rodriguez, M.C.; Alfieri, A.A. Quantification of Ovine gammaherpesvirus 2 in clinical cases of cattle with sheep-associated malignant catarrhal fever. Braz. J. Microbiol. 2024, 55, 1949–1959. [Google Scholar] [CrossRef]
- Russell, G.C.; Scholes, S.F.; Twomey, D.F.; Courtenay, A.E.; Grant, D.M.; Lamond, B.; Norris, D.; Willoughby, K.; Haig, D.M.; Stewart, J.P. Analysis of the genetic diversity of ovine herpesvirus 2 in samples from livestock with malignant catarrhal fever. Vet. Microbiol. 2014, 172, 63–71. [Google Scholar] [CrossRef]
- Headley, S.A.; Fritzen, J.T.T.; Maturana, É.F.L.; Alvarenga, N.A.C.A.; Rodrigues, R.V.; Gomes, A.L.P.L.; Rodriguez, M.C.; Sogari, M.I.P.; Xavier, A.A.C.; Silva, F.H.P.; et al. Clinical, epidemiological, and pathological findings of Ovine gammaherpesvirus 2 infections in cattle from Southern Brazil. J. Infect. Dev. Ctries. 2025, 19, 124–139. [Google Scholar] [CrossRef] [PubMed]
- Figueiredo, J.R.X.; Silva, F.H.P.; Fritzen, J.T.T.; Machado, B.M.; Ferreira, F.P.; Ferreira, K.R.G.; Buczinski, S.; Alfieri, A.A.; Headley, S.A. The association of Macavirus and Ovine gammaherpesvirus 2 with pneumonia in beef cattle from Mato Grosso, Brazil. Pathogens 2025, 14, 945. [Google Scholar] [CrossRef] [PubMed]
- Lauretta, T.; Bianchessi, L. Complexities of molecular identification of γ-herpesviruses: Lessons from MCFV. J. Adv. Vet. Res. 2023, 13, 305–311. [Google Scholar]
- Li, H.; McGuire, T.C.; Muller-Doblies, U.U.; Crawford, T.B. A simpler, more sensitive competitive inhibition enzyme-linked immunosorbent assay for detection of antibody to malignant catarrhal fever viruses. J. Vet. Diagn. Investig. 2001, 13, 361–364. [Google Scholar] [CrossRef]
- Li, H.; Shen, D.T.; Knowles, D.P.; Gorham, J.R.; Crawford, T.B. Competitive inhibition enzyme-linked immunosorbent assay for antibody in sheep and other ruminants to a conserved epitope of malignant catarrhal fever virus. J. Clin. Microbiol. 1994, 32, 1674–1679. [Google Scholar] [CrossRef]
- Headley, S.A.; Müller, M.C.; de Oliveira, T.E.S.; Barros Gil Duarte, C.A.; Valente Pereira, P.F.; Vieira, M.V.; Cunha, C.W.; Flores, E.F.; Lisbôa, J.A.N.; Pretto-Giordano, L.G. Diphtheric aspergillosis tracheitis with gastrointestinal dissemination secondary to viral infections in a dairy calf. Microb. Pathog. 2020, 149, 104497. [Google Scholar] [CrossRef]
- Headley, S.A.; Fritzen, J.T.T.; Silva, D.C.; Xavier, A.A.C.; Yasumitsu, C.Y.; Silva, F.H.P.; Alfieri, A.F.; Soethe, A.M.; Alfieri, A.A. Histophilus somni disease conditions with simultaneous infections by Ovine gammaherpesvirus 2 in cattle herds from Southern Brazil. Braz. J. Microbiol. 2023, 54, 1159–1169. [Google Scholar] [CrossRef]
- Headley, S.A.; Lemos, G.A.A.; Dall Agnol, A.M.; Xavier, A.A.C.; Depes, V.C.A.; Yasumitsu, C.Y.; Oliveira, T.E.S.; Silva, L.E.; Faccin, T.C.; Alfieri, A.A.; et al. Ovine gammaherpesvirus 2 infections in cattle without typical manifestations of sheep-associated malignant catarrhal fever and concomitantly infected with bovine coronavirus. Braz. J. Microbiol. 2022, 53, 433–446. [Google Scholar] [CrossRef]
- Headley, S.A.; Agnol, A.M.D.; Rodrigues, R.V.; Bechara, A.S.F.; Xavier, A.A.C.; Pereira, P.F.V.; Alfieri, A.A. Ovine gammaherpesvirus-2 associated manifestations with concomitant polioencephalomalacia, bovine alphaherpesvirus 1-related pneumonia, and caseous lymphadenitis in a sheep. Braz. J. Microbiol. 2025, 56, 2205–2223. [Google Scholar] [CrossRef]
- Li, H.; Shen, D.T.; Davis, W.C.; Knowles, D.P.; Gorham, J.R.; Crawford, T.B. Identification and characterization of the major proteins of malignant catarrhal fever virus. J. Gen. Virol. 1995, 76, 123–129. [Google Scholar] [CrossRef]
- Taus, N.S.; Cunha, C.W.; Marquard, J.; O’Toole, D.; Li, H. Cross-reactivity of neutralizing antibodies among malignant catarrhal fever viruses. PLoS ONE 2015, 10, e0145073. [Google Scholar] [CrossRef]
- Li, H.; Cunha, C.W.; Abbitt, B.; deMaar, T.W.; Lenz, S.D.; Hayes, J.R.; Taus, N.S. Goats are a potential reservoir for the herpesvirus (MCFV-WTD), causing malignant catarrhal fever in deer. J. Zoo. Wildl. Med. 2013, 44, 484–486. [Google Scholar] [CrossRef]
- Hydeskov, H.B.; Dastjerdi, A.; Hopkins, K.P.; Ryser-Degiorgis, M.-P.; Widén, F.; Cunningham, A.A.; Lawson, B. Detection and characterisation of multiple herpesviruses in free-living Western European hedgehogs (Erinaceus europaeus). Sci. Rep. 2018, 8, 13942. [Google Scholar] [CrossRef]
- Bianchessi, L.; Rocchi, M.S.; Maley, M.; Piccinini, R.; Turin, L. Molecular tools to identify and characterize Malignant Catarrhal Fever Viruses (MCFV) of ruminants and captive artiodactyla. Viruses 2022, 14, 2697. [Google Scholar] [CrossRef] [PubMed]
- Headley, S.A.; Martins, F.D.C.; Rodrigues, D.L. Another case of sheep-associated malignant catarrhal fever in Rio Grande do Sul: The curious epidemiological niche of Ovine gammaherpesvirus 2 in Southern Brazil. J. Infect. Dev. Ctries. 2025, 19, 1253–1261. [Google Scholar] [CrossRef] [PubMed]
- Silva, A.P.S.P.; Santos, D.V.; Kohek, I., Jr.; Machado, G.; Hein, H.E.; Vidor, A.C.M.; Corbellini, L.G. Ovinocultura do Rio Grande do Sul: Descrição do sistema produtivo e dos principais aspectos sanitários e reprodutivos [Sheep industry in the State of Rio Grande do Sul, Brazil: Description of the production system and the main health and reproductive aspects]. Pesq. Vet. Bras. 2013, 33, 1453–1458. [Google Scholar] [CrossRef]
- Stahel, A.B.; Baggenstos, R.; Engels, M.; Friess, M.; Ackermann, M. Two different Macaviruses, ovine herpesvirus-2 and caprine herpesvirus-2, behave differently in water buffaloes than in cattle or in their respective reservoir species. PLoS ONE 2013, 8, e83695. [Google Scholar] [CrossRef]
- Schultheiss, P.C.; Collins, J.K.; Spraker, T.R.; DeMartini, J.C. Epizootic malignant catarrhal fever in three bison herds: Differences from cattle and association with ovine herpesvirus-2. J. Vet. Diagn. Investig. 2000, 12, 497–502. [Google Scholar] [CrossRef]
- Li, H.; Karney, G.; O’Toole, D.; Crawford, T.B. Long distance spread of malignant catarrhal fever virus from feedlot lambs to ranch bison. Can. Vet. J. 2008, 49, 183–185. [Google Scholar]






| Dairy Farms | Sampling Periods | Geographical Locations | Cattle | Type of Cutaneous Sample | Identification | Infection Rate (%) (CI, 95%) | |||
|---|---|---|---|---|---|---|---|---|---|
| Total | Morbidity | Scrapings | Biopsy | MCFV IHC 1 | OvGHV2 snPCR 2 | ||||
| A | January | Northwestern Carambeí | 1800 | 25 (1.4%) | 13 | NC | ND | 1 | 7.7 |
| May–October | 2 | NC | ND | 0 | 0 | ||||
| 6 | NC | ND | 0 | 0 | |||||
| Total | 21 | 2 | 9.5 (1.2–30.4) | ||||||
| B | February | Southeastern Carambeí | 1500 | 20 (1.3%) | 5 | NC | ND | 0 | 0 |
| May–October | 7 | NC | ND | 1 | 14.3 | ||||
| NC | 4 | 3 | 3 | 75 | |||||
| Total | 12 | 4 | 3 | 18.8 (4.1–45.7) | |||||
| C | December | Ponta Grossa | 400 | 80 (20%) | 2 | 2 | 2 | 1 | 50.0 (1.3–98.7) |
| Antibody (Clone) | Dilution | Antigen Retrieval | Source |
|---|---|---|---|
| CD3 (UCHT1) | 1:100 | Citrate buffer (pH 6.0) | Thermo Fisher Scientific; Rockford, IL, USA |
| CD79a (HM47) | 1:100 | Citrate buffer (pH 6.0) | Thermo Fisher Scientific; Rockford, IL, USA |
| Macrophage (LN-5) | 1:100 | Citrate buffer (pH 6.0) | Zymed Laboratories Inc; San Francisco, CA, USA |
| Cleaved Caspase-3 (Asp175) | 1:200 | Citrate buffer (pH 6.0) | Cell Signaling Technology; Danvers, MA, USA |
| Sampling Method | Animals | p-Value | OR (CI 95%) | |
|---|---|---|---|---|
| Infected/Total | (%) | |||
| Biopsy | 4/6 | 66.67 | 0.0095 | 21.33 (1.85–289.7) |
| Skin scrapings | 3/35 | 8.57 | ||
| Animal # | Principal Histopathological Diagnoses | MCFV-IHC Immunoreactivity | OvGHV2 snPCR 1 | Types of Infection |
|---|---|---|---|---|
| Farm B | ||||
| 1 | Chronic folliculitis with epidermal hyperkeratosis and endothelial proliferation | Squamous epithelium; hair follicle epithelium; sebaceous gland | −ve | MCFV |
| 2 | Chronic folliculitis with epidermal hyperkeratosis | Squamous epithelium; hair follicle epithelium; apocrine and sebaceous glands | +ve | OvGHV2 |
| 3 | Chronic folliculitis with epidermal hyperkeratosis and endothelial proliferation | Hair follicle epithelium | +ve | OvGHV2 |
| 4 | Chronic folliculitis with epidermal hyperkeratosis | Not detected | +ve | OvGHV2 |
| Farm C | ||||
| 5 | Chronic mural folliculitis with epidermal hyperkeratosis and inflamed sebaceous glands | Squamous epithelium; apocrine and sebaceous glands | +ve | OvGHV2 |
| 6 | Chronic mural folliculitis with epidermal hyperkeratosis, inflamed sebaceous glands, and perivasculitis | Squamous epithelium; apocrine and sebaceous glands | −ve | MCFV |
| Affected Animal | Clinical Evolution | Contact Animal | Geographical Location | References |
|---|---|---|---|---|
| Bighorn sheep | Not reported | Not required | North America | [33] |
| Cow | 4 months | Proximity to sheep | Asia | [36] |
| Cow | 2.5 months | Sheep | Oceania | [31] |
| Cow | 40 days | None | South America | This study |
| Goat | 2 months | Goat | Europe | [27] |
| Goat | 2 weeks–4 years | Sheep | North America | [26] |
| Goat | 3 months | Sheep | North America | [5] |
| Goat | 9 days | Not reported | Europe | [35] |
| Goat | 2 weeks | Sheep | Europe | [29] |
| Goat | Several weeks | None | Europe | [28] |
| Sheep | 4 months | Not required | Europe | [37] |
| Sika deer | Not reported | Goat | Europe | [30] |
Disclaimer/Publisher’s Note: The statements, opinions and data contained in all publications are solely those of the individual author(s) and contributor(s) and not of MDPI and/or the editor(s). MDPI and/or the editor(s) disclaim responsibility for any injury to people or property resulting from any ideas, methods, instructions or products referred to in the content. |
© 2025 by the authors. Licensee MDPI, Basel, Switzerland. This article is an open access article distributed under the terms and conditions of the Creative Commons Attribution (CC BY) license (https://creativecommons.org/licenses/by/4.0/).
Share and Cite
Headley, S.A.; Silva, F.H.P.; Marques, M.d.S.; Fritzen, J.T.T.; Pinto-Ferreira, F.; Yoshitani, G.D.; Xavier, A.A.C.; Vieira, P.P.B.; Alfieri, A.A. Chronic Folliculitis Associated with Ovine gammaherpesvirus 2-Induced Infections in Dairy Cows from Southern Brazil. Animals 2025, 15, 2883. https://doi.org/10.3390/ani15192883
Headley SA, Silva FHP, Marques MdS, Fritzen JTT, Pinto-Ferreira F, Yoshitani GD, Xavier AAC, Vieira PPB, Alfieri AA. Chronic Folliculitis Associated with Ovine gammaherpesvirus 2-Induced Infections in Dairy Cows from Southern Brazil. Animals. 2025; 15(19):2883. https://doi.org/10.3390/ani15192883
Chicago/Turabian StyleHeadley, Selwyn Arlington, Flávia Helena Pereira Silva, Mariana da Silva Marques, Juliana Torres Tomazi Fritzen, Fernanda Pinto-Ferreira, Geovana Depieri Yoshitani, Ana Aparecida Correa Xavier, Pedro Paulo Benyunes Vieira, and Amauri Alcindo Alfieri. 2025. "Chronic Folliculitis Associated with Ovine gammaherpesvirus 2-Induced Infections in Dairy Cows from Southern Brazil" Animals 15, no. 19: 2883. https://doi.org/10.3390/ani15192883
APA StyleHeadley, S. A., Silva, F. H. P., Marques, M. d. S., Fritzen, J. T. T., Pinto-Ferreira, F., Yoshitani, G. D., Xavier, A. A. C., Vieira, P. P. B., & Alfieri, A. A. (2025). Chronic Folliculitis Associated with Ovine gammaherpesvirus 2-Induced Infections in Dairy Cows from Southern Brazil. Animals, 15(19), 2883. https://doi.org/10.3390/ani15192883

