Quantifying Lumbar Foraminal Volumetric Dimensions: Normative Data and Implications for Stenosis—Part 2 of a Comprehensive Series
Abstract
1. Introduction
2. Materials and Methods
2.1. Continuation from the Literature Review
2.2. Study Design
2.3. Selection Criteria and Patient Demographics Multicenter Approach
2.4. Patient Cohort
2.5. Total Patients Considered
- Age ≥ 18 Years
- High-Quality MRI Scans
- No Known Spinal Pathology
- No Structural Lumbar Spine Pathology
- Result: Potentially Eligible Patients
- Known Spinal Diseases
- Poor Quality Imaging
- Age < 18 Years
- Systemic Diseases
- Neurological Disorders
- Pregnancy
- Result: 500 Patients Selected
2.6. Data Acquisition and Imaging Protocol
Magnetic Resonance Imaging (MRI)
2.7. Data Analysis and Statistical Approach
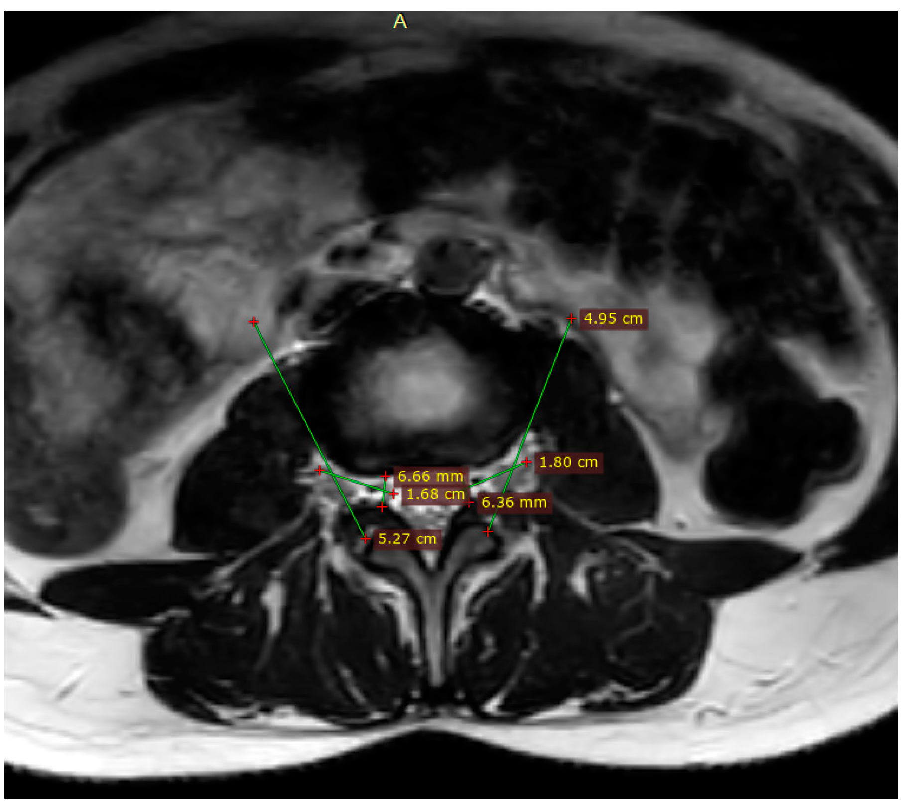
2.7.1. Volumetric Analysis
2.7.2. Statistical Methods
2.8. Interobserver and Intraobserver Agreement Analysis
2.8.1. Interobserver Agreement
2.8.2. Intraobserver Agreement
2.9. Quality Control Measures
2.10. Calibration of Measurement Tools
Initial Calibration
2.11. Data Entry and Validation
Double Data Entry
2.12. Training and Standardization among Researchers
2.12.1. Comprehensive Training
2.12.2. Standard Operating Procedures (SOPs)
2.12.3. Independent Evaluation
2.13. Mitigating Referral and Selection Bias
2.13.1. Broad Inclusion Criteria
2.13.2. Random Sampling
2.14. Transparency and Reproducibility
2.14.1. Open Methodology
2.14.2. Data Sharing
3. Results
3.1. Volumetric Analysis of Lumbar Foramina
3.2. Interobserver and Intraobserver Agreement
3.2.1. Interobserver Agreement
3.2.2. Intraobserver Agreement
3.3. Interobserver and Intraobserver Agreement
4. Discussion
4.1. Findings in Context
4.2. Anatomical and Clinical Implications
4.3. Integrating Volumetric Analysis into Clinical Practice
4.4. Limitations
4.4.1. Cross-Sectional Study Design
4.4.2. Imaging Quality Variability
4.4.3. Population Specificity
4.5. Future Directions
4.5.1. Longitudinal Studies
4.5.2. Enhanced Imaging Protocols
4.5.3. Diverse Population Studies
4.5.4. Clinical Correlation Analysis
4.5.5. Validation of Measurement Formula
4.6. Looking Ahead
5. Conclusions
Author Contributions
Funding
Institutional Review Board Statement
Informed Consent Statement
Data Availability Statement
Conflicts of Interest
References
- Choi, Y.K. Lumbar foraminal neuropathy: An update on non-surgical management. Korean J. Pain. 2019, 32, 147–159. [Google Scholar] [CrossRef]
- Gkasdaris, G.; Tripsianis, G.; Kotopoulos, K.; Kapetanakis, S. Clinical anatomy and significance of the thoracic intervertebral foramen: A cadaveric study and review of the literature. J. Craniovertebral. Junction. Spine 2016, 7, 228–235. [Google Scholar] [CrossRef]
- Breemer, M.C.; Malessy, M.J.A.; Notenboom, R.G.E. Origin, branching pattern, foraminal and intraspinal distribution of the human lumbar sinuvertebral nerves. Spine J. 2022, 22, 472–482. [Google Scholar] [CrossRef] [PubMed]
- Zhao, Q.; Zhong, E.; Shi, B.; Li, Y.; Sun, C.; Ding, Z. The morphology and clinical significance of the intraforaminal ligaments at the L5-S1 levels. Spine J. 2016, 16, 1001–1006. [Google Scholar] [CrossRef] [PubMed]
- Lee, S.H.; Hwang, S.H.; Moon, Y.K.; Bae, H.M.; Moon, D.E. Assessment of Clinical Outcome of Lumbar Transforaminal Foraminoplasty in Patients with Lumbar Spinal Stenosis. Pain Physician. 2021, 4, E1119–E1128. [Google Scholar]
- Bernard, E.; Enelis, B.; Nurmukhametov, R.; Ramirez, M.J.E.; Dosanov, M.; Shirshov, I.; Efe, I.E.; Ramirez Pena, I.J.; Barrientos Castillo, R.E. Surgical Management of Lumbar Hardware Failure Due to Recurrent Postoperative Spondylodiscitis: Case Report. Cureus 2022, 14, e27457. [Google Scholar] [CrossRef] [PubMed]
- Özer, A.F.; Akyoldaş, G.; Çevik, O.M.; Aydın, A.L.; Hekimoğlu, M.; Sasani, M.; Öktenoğlu, T.; Çerezci, Ö.; Süzer, T. Lumbar Foraminal Stenosis Classification That Guides Surgical Treatment. Int. J. Spine Surg. 2022, 16, 666–673. [Google Scholar] [CrossRef]
- Giordano, F.; Lenge, M.; Donati, P.; Mongardi, L.; Di Giacomo, G.; Mura, R.; Taverna, M.; Cini, C.; Peraio, S.; Poggi, G.; et al. Exclusive Neurogenic Bladder and Fecal Incontinency in an Achondroplasic Child Successfully Treated with Lumbar Foraminal Decompression. Pediatr. Neurosurg. 2021, 56, 471–476. [Google Scholar] [CrossRef]
- Encarnacion, M.D.; Castillo, R.E.; Matos, Y.; Bernard, E.; Elenis, B.; Oleinikov, B.; Nurmukhametov, R.; Castro, J.S.; Volovich, A.; Dosanov, M.; et al. EasyGO!-assisted microsurgical anterior cervical decompression: Technical report and literature review. Neurol. Neurochir. Pol. 2022, 56, 281–284. [Google Scholar] [CrossRef] [PubMed]
- Aaen, J.; Banitalebi, H.; Austevoll, I.M.; Hellum, C.; Storheim, K.; Myklebust, T.Å.; Anvar, M.; Weber, C.; Solberg, T.; Grundnes, O.; et al. Is the presence of foraminal stenosis associated with outcome in lumbar spinal stenosis patients treated with posterior microsurgical decompression. Acta Neurochir. 2023, 165, 2121–2129. [Google Scholar] [CrossRef]
- De Bonis, P.; Musio, A.; Mongardi, L.; La Marca, F.; Lofrese, G.; Visani, J.; Cavallo, M.A.; Scerrati, A. Transpars approach for L5-S1 foraminal and extra-foraminal lumbar disc herniations: Technical note. J. Neurosurg. Sci. 2023, 67, 213–218. [Google Scholar] [CrossRef] [PubMed]
- Ramirez, M.E.; Peralta, I.; Nurmukhametov, R.; Castillo, R.E.B.; Castro, J.S.; Volovich, A.; Dosanov, M.; Efe, I.E. Expanding access to microneurosurgery in low-resource settings: Feasibility of a low-cost exoscope in transforaminal lumbar interbody fusion. Neurosci. Rural. Pract. 2023, 14, 156–160. [Google Scholar] [CrossRef] [PubMed]
- Lee, S.; Lee, J.W.; Yeom, J.S.; Kim, K.J.; Kim, H.J.; Chung, S.K.; Kang, H.S. A practical MRI grading system for lumbar foraminal stenosis. AJR Am. J. Roentgenol. 2010, 194, 1095–1098. [Google Scholar] [CrossRef] [PubMed]
- Sartoretti, E.; Wyss, M.; Alfieri, A.; Binkert, C.A.; Erne, C.; Sartoretti-Schefer, S.; Sartoretti, T. Introduction and reproducibility of an updated practical grading system for lumbar foraminal stenosis based on high-resolution MR imaging. Sci. Rep. 2021, 11, 12000. [Google Scholar] [CrossRef] [PubMed]
- Singh, V.; Montgomery, S.R.; Aghdasi, B.; Inoue, H.; Wang, J.C.; Daubs, M.D. Factors affecting dynamic foraminal stenosis in the lumbar spine. Spine J. 2013, 13, 1080–1087. [Google Scholar] [CrossRef] [PubMed]
- Lin, Y.P.; Wang, S.L.; Hu, W.X.; Chen, B.L.; Du, Y.X.; Zhao, S.; Rao, S.Y.; Su, G.Y.; Lin, R.; Chen, S.; et al. Percutaneous Full-Endoscopic Lumbar Foraminoplasty and Decompression by Using a Visualization Reamer for Lumbar Lateral Recess and Foraminal Stenosis in Elderly Patients. World Neurosurg. 2020, 136, e83–e89. [Google Scholar] [CrossRef] [PubMed]
- Cunha, C.; Silva, A.J.; Pereira, P.; Vaz, R.; Gonçalves, R.M.; Barbosa, M.A. The inflammatory response in the regression of lumbar disc herniation. Arthritis Res. Ther. 2018, 20, 251. [Google Scholar] [CrossRef] [PubMed]
- Goupille, P.; Jayson, M.I.; Valat, J.; Freemont, A.J. The role of inflammation in disk herniation-associated radiculopathy. Semin. Arthritis Rheum. 1998, 28, 60–71. [Google Scholar] [CrossRef]
- Ye, F.; Lyu, J.; Wang, H.; Zheng, Z. The involvement of immune system in intervertebral disc herniation and degeneration. JOR Spine 2022, 5, e1196. [Google Scholar] [CrossRef]
- Lyu, F.J.; Cui, H.; Pan, H.; Mc Cheung, K.; Cao, X.; Iatridis, J.C.; Zheng, Z. Painful intervertebral disc degeneration and inflammation: From laboratory evidence to clinical interventions. Bone Res. 2021, 9, 7. [Google Scholar] [CrossRef]
- Qian, Y.; Qin, A.; Zheng, M.H. Transforaminal ligament may play a role in lumbar nerve root compression of foraminal stenosis. Med. Hypotheses 2011, 77, 1148–1149. [Google Scholar] [CrossRef] [PubMed]
- Umeh, R.; Fisahn, C.; Burgess, B.; Iwanaga, J.; Moisi, M.; Oskouian, R.J.; Tubbs, R.S. Transforaminal Ligaments of the Lumbar Spine: A Comprehensive Review. Cureus 2016, 8, e811. [Google Scholar] [CrossRef] [PubMed]
- Sapunar, D.; Kostic, S.; Banozic, A.; Puljak, L. Dorsal root ganglion—A potential new therapeutic target for neuropathic pain. J. Pain Res. 2012, 5, 31–38. [Google Scholar] [CrossRef] [PubMed]
- Thompson, J.; Merrill, R.K.; Qureshi, S.A.; Leven, D.M. Compression of the S1 Nerve Root by an Extradural Vascular Malformation: A Case Report and Discussion of Atypical Causes of Lumbar Radiculopathy. Int. J. Spine Surg. 2020, 14, 96–101. [Google Scholar] [CrossRef] [PubMed]
- Raghavendra, V.; Haridas, P.; Kumar, A.; Ajith, K. Spinal Epidural Varices, a great Mimic of Intervertebral Disc Prolapse—A Case Series. J. Orthop. Case Rep. 2014, 4, 3–5. [Google Scholar] [CrossRef]
- Subbiah, M.; Yegumuthu, K. Lumbar epidural varices: An unusual cause of lumbar claudication. Indian J. Orthop. 2016, 50, 440–443. [Google Scholar] [CrossRef]
- Dietmann, A.; von Martial, R.; Scheidegger, O. Spontaneous ischemic neuropathy of the sciatic nerve due to arterial occlusion—A rare cause of acute neuropathy not to be missed, a report of two cases. BMC Neurol. 2022, 22, 410. [Google Scholar] [CrossRef] [PubMed]
- Nurmukhametov, R.; Medetbek, A.; Ramirez, M.E.; Afsar, A.; Sharif, S.; Montemurro, N. Factors affecting return to work following endoscopic lumbar foraminal stenosis surgery: A single-center series. Surg. Neurol. Int. 2023, 14, 408. [Google Scholar] [CrossRef] [PubMed]
- Li, N.; Scofield, J.; Mangham, P.; Cooper, J.; Sherman, W.; Kaye, A. Spondylolisthesis. Orthop. Rev. 2022, 14, 36917. [Google Scholar] [CrossRef]
- Rahyussalim, A.J.; Widyahening, I.S.; Belantara, L.A.S.; Canintika, A.F. Association between spinopelvic alignment and the development of degenerative spondylolisthesis: A systematic review and meta-analysis. Eur. J. Orthop. Surg. Traumatol. 2024, 34, 713–722. [Google Scholar] [CrossRef]
- Musa, G.; Barrientos Castillo, R.E.; Slabov, M.V.; Chirwa, K.; Chmutin, G.E.; Ramirez, M.J.E.; Nurmukhametov, R. Degenerative Grade 3 Spondylolisthesis Management: A Case Report and Literature Review. Cureus 2022, 14, e29374. [Google Scholar] [CrossRef] [PubMed]
- Matz, P.G.; Meagher, R.J.; Lamer, T.; Tontz, W.L., Jr.; Annaswamy, T.M.; Cassidy, R.C.; Cho, C.H.; Dougherty, P.; Easa, J.E.; Enix, D.E.; et al. Guideline summary review: An evidence-based clinical guideline for the diagnosis and treatment of degenerative lumbar spondylolisthesis. Spine J. 2016, 16, 439–448. [Google Scholar] [CrossRef]
- Chen, C.; Liu, C.; Wu, Z.; Su, J. How I do it? Uniportal full-endoscopic transforaminal lumbar interbody fusion with a complete reduction for L5 isthmic grade 2 spondylolisthesis. Acta Neurochir. 2023, 165, 3969–3974. [Google Scholar] [CrossRef]
- Musa, G.; Abakirov, M.D.; Chmutin, G.E.; Mamyrbaev, S.T.; Ramirez, M.D.J.E.; Sichizya, K.; Kim, A.; Antonov, G.; Chmutin, E.G.; Hovrin, D.; et al. Advancing insights into recurrent lumbar disc herniation: A comparative analysis of surgical approaches and a new classification. J. Craniovertebral Junction Spine 2024, 15, 66–73. [Google Scholar] [CrossRef] [PubMed]
- Ramirez, M.J.E.; Nurmukhametov, R.; Bernard, E.; Peralta, I.; Efe, I.E. A Low-Cost Three-Dimensional Printed Retractor for Transforaminal Lumbar Interbody Fusion. Cureus 2022, 14, e24185. [Google Scholar] [CrossRef]
- Yamada, T.; Horikawa, M.; Sato, T.; Kahyo, T.; Takanashi, Y.; Ushirozako, H.; Kurosu, K.; Al Mamun, M.; Mihara, Y.; Oe, S.; et al. Hypertrophy of the ligamentum flavum in lumbar spinal canal stenosis is associated with abnormal accumulation of specific lipids. Sci. Rep. 2021, 11, 23515. [Google Scholar] [CrossRef]
- Cheung, P.W.H.; Tam, V.; Leung, V.Y.L.; Samartzis, D.; Cheung, K.M.; Luk, K.D.; Cheung, J.P.Y. The paradoxical relationship between ligamentum flavum hypertrophy and developmental lumbar spinal stenosis. Scoliosis Spinal Disord. 2016, 11, 26. [Google Scholar] [CrossRef]
- Yamada, K.; Aota, Y.; Higashi, T.; Ishida, K.; Nimura, T.; Konno, T.; Saito, T. Lumbar foraminal stenosis causes leg pain at rest. Eur. Spine J. 2014, 23, 504–507. [Google Scholar] [CrossRef] [PubMed][Green Version]
- Jensen, M.C.; Brant-Zawadzki, M.N.; Obuchowski, N.; Modic, M.T.; Malkasian, D.; Ross, J.S. Magnetic resonance imaging of the lumbar spine in people without back pain. N. Engl. J. Med. 1994, 331, 69–73. [Google Scholar] [CrossRef]
- Ishimoto, Y.; Yoshimura, N.; Muraki, S.; Yamada, H.; Nagata, K.; Hashizume, H.; Takiguchi, N.; Minamide, A.; Oka, H.; Kawaguchi, H.; et al. Associations between radiographic lumbar spinal stenosis and clinical symptoms in the general population: The Wakayama Spine Study. Osteoarthr. Cartil. 2013, 21, 783–788. [Google Scholar] [CrossRef]
- Haleem, S.; Malik, M.; Guduri, V.; Azzopardi, C.; James, S.; Botchu, R. he Haleem-Botchu classification: A novel CT-based classification for lumbar foraminal stenosis. Eur. Spine J. 2021, 30, 865–869. [Google Scholar] [CrossRef] [PubMed]
- Ohba, T.; Ebata, S.; Fujita, K.; Sato, H.; Devin, C.J.; Haro, H. Characterization of symptomatic lumbar foraminal stenosis by conventional imaging. Eur. Spine J. 2015, 24, 2269–2275. [Google Scholar] [CrossRef]
- Evins, A.I.; Banu, M.A.; Njoku, I., Jr.; Elowitz, E.H.; Härtl, R.; Bernado, A.; Hofstetter, C.P. Endoscopic lumbar foraminotomy. J. Clin. Neurosci. 2015, 22, 730–734. [Google Scholar] [CrossRef] [PubMed]
- Yamada, K.; Aota, Y.; Higashi, T.; Ishida, K.; Niimura, T.; Konno, T.; Saito, T. Roentgenographic and computed tomographic findings in symptomatic lumbar foraminal stenosis. Eur. Spine J. 2015, 24, 333–338. [Google Scholar] [CrossRef]
- Iwasaki, H.; Yoshida, M.; Yamada, H.; Hashizume, H.; Minamide, A.; Nakagawa, Y.; Kawai, M.; Tsutsui, S. A new electrophysiological method for the diagnosis of extraforaminal stenosis at L5-s1. Asian Spine J. 2014, 8, 145–149. [Google Scholar] [CrossRef]
- Watanabe, K.; Yamazaki, A.; Morita, O.; Sano, A.; Katsumi, K.; Ohashi, M. Clinical outcomes of posterior lumbar interbody fusion for lumbar foraminal stenosis: Preoperative diagnosis and surgical strategy. J. Spinal Disord. Tech. 2011, 24, 137–141. [Google Scholar] [CrossRef]
- Koakutsu, T.; Morozumi, N.; Koizumi, Y.; Ishii, Y. Lumbar radiculopathy caused by foraminal stenosis in rheumatoid arthritis. Ups. J. Med. Sci. 2011, 116, 133–137. [Google Scholar] [CrossRef][Green Version]
- Hennemann, S.; de Abreu, M.R. Degenerative Lumbar Spinal Stenosis. Rev. Bras. Ortop. 2021, 56, 9–17. [Google Scholar] [CrossRef]
- Stephens, M.M.; Evans, J.H.; O‘Brien, J.P. Lumbar intervertebral foramens. An in vitro study of their shape in relation to intervertebral disc pathology. Spine (Phila Pa 1976) 1991, 16, 525–529. [Google Scholar] [CrossRef]
- Chen, D.; Fay, L.A.; Lok, J.; Yuan, P.; Edwards, W.T.; Yuan, H.A. Increasing neuroforaminal volume by anterior interbody distraction in degenerative lumbar spine. Spine (Phila Pa 1976) 1995, 20, 74–79. [Google Scholar] [CrossRef]
- Fujiwara, M.; Kashiwagi, N.; Matsuo, C.; Watanabe, H.; Kassai, Y.; Nakamoto, A.; Tomiyama, N. Ultrafast lumbar spine MRI protocol using deep learning-based reconstruction: Diagnostic equivalence to a conventional protocol. Skelet. Radiol. 2023, 52, 233–241. [Google Scholar] [CrossRef] [PubMed]
- Schlegel, J.D.; Champine, J.; Taylor, M.S.; Watson, J.T.; Champine, M.; Schleusener, R.L.; Savory, K.M. The role of distraction in improving the space available in the lumbar stenotic canal and foramen. Spine (Phila Pa 1976) 1994, 19, 2041–2047. [Google Scholar] [CrossRef] [PubMed]
- Cho, W.; Sokolowski, M.J.; Mehbod, A.A.; Denis, F.; Garvey, T.A.; Perl, J.; Transfeldt, E.E. MRI measurement of neuroforaminal dimension at the index and supradjacent levels after anterior lumbar interbody fusion: A prospective study. Clin. Orthop. Surg. 2013, 5, 49–54. [Google Scholar] [CrossRef] [PubMed]
- Nurmukhametov, R.; Dosanov, M.; Encarnacion, M.D.J.; Barrientos, R.; Matos, Y.; Alyokhin, A.I.; Baez, I.P.; Efe, I.E.; Restrepo, M.; Chavda, V.; et al. Transforaminal Fusion Using Physiologically Integrated Titanium Cages with a Novel Design in Patients with Degenerative Spinal Disorders: A Pilot Study. Surgeries 2022, 3, 175–184. [Google Scholar] [CrossRef]
- Shahzadi, T.; Ali, M.U.; Majeed, F.; Sana, M.U.; Diaz, R.M.; Samad, M.A.; Ashraf, I. Nerve Root Compression Analysis to Find Lumbar Spine Stenosis on MRI Using CNN. Diagnostics 2023, 13, 2975. [Google Scholar] [CrossRef] [PubMed]
- Xie, Y.; Zhou, Q.; Wang, X.; Jian, Q.; Fan, X.; Yu, Y.; Gu, D.; Wu, W. The biomechanical effects of foraminoplasty of different areas under lumbar percutaneous endoscopy on intervertebral discs: A 3D finite element analysis. Medicine 2020, 99, e19847. [Google Scholar] [CrossRef]
- Wildermuth, S.; Zanetti, M.; Duewell, S.; Schmid, M.R.; Romanowski, B.; Benini, A.; Böni, T.; Hodler, J. umbar spine: Quantitative and qualitative assessment of positional (upright flexion and extension) MR imaging and myelography. Radiology 1998, 207, 391–398. [Google Scholar] [CrossRef] [PubMed]
- Attias, N.; Hayman, A.; Hipp, J.A.; Noble, P.; Esses, S.I. Assessment of magnetic resonance imaging in the diagnosis of lumbar spine foraminal stenosis--a surgeon’s perspective. J. Spinal Disord. Tech. 2006, 19, 249–256. [Google Scholar] [CrossRef] [PubMed]
- Zhang, J.; Yan, R.; Xu, S.; Shao, B.; Dou, Y. Short-term lumbar disc and lumbar stability changes of one-hole split endo-scope technique treatment of spinal stenosis. BMC Musculoskelet Disord. 2024, 25, 325. [Google Scholar] [CrossRef] [PubMed] [PubMed Central]
- Sufianov, A.; Ovalle, C.S.; Cruz, O.; Contreras, J.; Begagić, E.; Kannan, S.; Rosario Rosario, A.; Chmutin, G.; Askatovna, G.N.; Lafuente, J.; et al. Low-Cost 3D Models for Cervical Spine Tumor Removal Training for Neurosurgery Residents. Brain Sci. 2024, 14, 547. [Google Scholar] [CrossRef]
- Nowak, P.; Dąbrowski, M.; Druszcz, A.; Kubaszewski, Ł. The Spatial Characteristics of Intervertebral Foramina within the L4/L5 and L5/S1 Motor Segments of the Spine. Appl. Sci. 2024, 14, 2263. [Google Scholar] [CrossRef]
- Kamenova, M.; Li, E.; Soleman, J.; Fiebig, O.; Mehrkens, A.; Schaeren, S. Posterior stabilization with polyetheretherketone (PEEK) rods and transforaminal lumbar interbody fusion (TLIF) with titanium rods for single-level lumbar spine degenerative disease in patients above 70 years of age. Arch. Orthop. Trauma Surg. 2023, 143, 2831–2843. [Google Scholar] [CrossRef]
- Ahn, Y.; Song, S.K. Transforaminal endoscopic lumbar foraminotomy for octogenarian patients. Front. Surg. 2024, 1, 1324843. [Google Scholar] [CrossRef] [PubMed]
- Khiami, F.; Aziria, S.A.; Ragot, S.; Pascal-Moussellard, H.; Richer, J.P.; Scepi, M.; Brèque, C.; Hirsch, C. Reliability and validity of a new measurement of lumbar foraminal volume using a computed tomography. Surg. Radiol. Anat. 2015, 37, 93–99. [Google Scholar] [CrossRef] [PubMed]
- Torres, C.S.O.; Mora, A.E.; Campero, A.; Cherian, I.; Sufianov, A.; Sanchez, E.F.; Ramirez, M.E.; Pena, I.R.; Nurmukhametov, R.; Beltrán, M.A.; et al. Enhancing microsurgical skills in neurosurgery residents of low-income countries: A comprehensive guide. Surg. Neurol. Int. 2023, 14, 437. [Google Scholar] [CrossRef] [PubMed]
- De Jesus Encarnacion Ramirez, M.; Chmutin, G.; Nurmukhametov, R.; Soto, G.R.; Kannan, S.; Piavchenko, G.; Nikolenko, V.; Efe, I.E.; Romero, A.R.; Mukengeshay, J.N.; et al. Integrating Augmented Reality in Spine Surgery: Redefining Precision with New Technologies. Brain Sci. 2024, 14, 645. [Google Scholar] [CrossRef]
- Xia, J.; Cai, Z.; Heidari, A.A.; Ye, Y.; Chen, H.; Pan, Z. Enhanced Moth-flame Optimizer with Quasi-Reflection and Refraction Learning with Application to Image Segmentation and Medical Diagnosis. Curr. Bioinform. 2023, 18, e200922208969. [Google Scholar] [CrossRef]




| Statistic | Value |
|---|---|
| Maximum Age | 65 years |
| Minimum Age | 18 years |
| Mean Age | 37 years |
| Gender | |
| - Male | 58% (290) |
| - Female | 42% (210) |
| Lumbar Level | Segment | Mean Volume (mm3) | SD (mm3) | Number |
|---|---|---|---|---|
| L1/L2 | Right | 579.92 | ±55 | 500 |
| L1/L2 | Left | 594.43 | ±44 | 500 |
| L2/L3 | Right | 688.22 | ±55 | 500 |
| L2/L3 | Left | 715.87 | ±48 | 500 |
| L3/L4 | Right | 761.70 | ±59 | 500 |
| L3/L4 | Left | 790.30 | ±50 | 500 |
| L4/L5 | Right | 787.82 | ±29 | 500 |
| L4/L5 | Left | 809.61 | ±57 | 500 |
| L5/S1 | Right | 824.24 | ±68 | 500 |
| L5/S1 | Left | 862.98 | ±62 | 500 |
| Agreement Level | Kappa Value Range | Agreement Definition | Interobserver Agreement | Intraobserver Agreement | Consensus Achieved |
|---|---|---|---|---|---|
| Poor | Less than 0.00 | Disagreement beyond chance | Not Observed | Not Observed | No |
| Slight | 0.00–0.20 | Minimal agreement, mostly chance | Not Observed | Not Observed | No |
| Fair | 0.21–0.40 | Fair agreement, slightly beyond chance | Not Observed | Not Observed | No |
| Moderate | 0.41–0.60 | Moderate agreement, evident consensus | Not Observed | Not Observed | No |
| Substantial | 0.61–0.80 | Strong agreement, high level of consensus | Not Observed | Not Observed | No |
| Almost Perfect | 0.81–1.00 | Near-universal agreement, very high consensus | Yes | Yes | Yes |
| Criteria | MRI-Based Study Nurmukhametov et al. | CT-Based Study (Khiami et al.) [64] |
|---|---|---|
| Study Objective | To establish normative volumetric parameters of lumbar foramina. | To develop and validate a new method for measuring lumbar foraminal volume using CT. |
| Measurement Tool | High-resolution MRI. | CT scan with VitreaCore® software for volume calculation. |
| Participant Demographics | 500 patients, broad age range, gender-balanced. | 10 healthy patients, mean age 26.3 years. |
| Volumetric Results | Detailed volumetric measurements from L1/L2 to L5/S1, showing progressive increases. | Average foraminal volumes at L4–L5 around 1.25 mm3 and 1.29 mm3 for two observers. |
| Reproducibility | High interobserver (ICC = 0.91) and intraobserver (ICC = 0.95) reliability. | High intraobserver correlations (up to 0.99) and interobserver correlations (up to 0.83). |
| Reliability | Demonstrated through ICC values indicating excellent consistency among measurements. | Demonstrated through intra- and interobserver correlation coefficients. |
| Clinical Implications | Provides baseline for normal variations, crucial for diagnosing and managing lumbar foraminal stenosis. | Suggests that CT-based measurements could supplement tools for measuring foraminal stenosis. |
Disclaimer/Publisher’s Note: The statements, opinions and data contained in all publications are solely those of the individual author(s) and contributor(s) and not of MDPI and/or the editor(s). MDPI and/or the editor(s) disclaim responsibility for any injury to people or property resulting from any ideas, methods, instructions or products referred to in the content. |
© 2024 by the authors. Licensee MDPI, Basel, Switzerland. This article is an open access article distributed under the terms and conditions of the Creative Commons Attribution (CC BY) license (https://creativecommons.org/licenses/by/4.0/).
Share and Cite
Nurmukhametov, R.; Encarnacion Ramirez, M.D.J.; Dosanov, M.; Medetbek, A.; Kudryakov, S.; Wisam Alsaed, L.; Chmutin, G.; Reyes Soto, G.; Ntalaja Mukengeshay, J.; Mpoyi Chérubin, T.; et al. Quantifying Lumbar Foraminal Volumetric Dimensions: Normative Data and Implications for Stenosis—Part 2 of a Comprehensive Series. Med. Sci. 2024, 12, 34. https://doi.org/10.3390/medsci12030034
Nurmukhametov R, Encarnacion Ramirez MDJ, Dosanov M, Medetbek A, Kudryakov S, Wisam Alsaed L, Chmutin G, Reyes Soto G, Ntalaja Mukengeshay J, Mpoyi Chérubin T, et al. Quantifying Lumbar Foraminal Volumetric Dimensions: Normative Data and Implications for Stenosis—Part 2 of a Comprehensive Series. Medical Sciences. 2024; 12(3):34. https://doi.org/10.3390/medsci12030034
Chicago/Turabian StyleNurmukhametov, Renat, Manuel De Jesus Encarnacion Ramirez, Medet Dosanov, Abakirov Medetbek, Stepan Kudryakov, Laith Wisam Alsaed, Gennady Chmutin, Gervith Reyes Soto, Jeff Ntalaja Mukengeshay, Tshiunza Mpoyi Chérubin, and et al. 2024. "Quantifying Lumbar Foraminal Volumetric Dimensions: Normative Data and Implications for Stenosis—Part 2 of a Comprehensive Series" Medical Sciences 12, no. 3: 34. https://doi.org/10.3390/medsci12030034
APA StyleNurmukhametov, R., Encarnacion Ramirez, M. D. J., Dosanov, M., Medetbek, A., Kudryakov, S., Wisam Alsaed, L., Chmutin, G., Reyes Soto, G., Ntalaja Mukengeshay, J., Mpoyi Chérubin, T., Nikolenko, V., Gushcha, A., Luzzi, S., Rosario Rosario, A., Ovalle, C. S., Valenzuela Mateo, K., Lafuente Baraza, J., Roa Montes de Oca, J. C., Rangel, C. C., & Sharif, S. (2024). Quantifying Lumbar Foraminal Volumetric Dimensions: Normative Data and Implications for Stenosis—Part 2 of a Comprehensive Series. Medical Sciences, 12(3), 34. https://doi.org/10.3390/medsci12030034

