Abstract
Giant cell tumor (GCT) of bone is a benign aggressive bone lesion with significant recurrence rates following surgical curettage. Historically, these tumors were approached by performing an intralesional curettage of the tumoral tissue by filling the resulting cavity using morselized iliac bone autograft. The major problems of this therapy were the high recurrence rates of up to 40–50%. Several adjuvant treatments have been proposed in order to augment resection margins, including liquid nitrogen (LN), phenol, ethanol, hydrogen peroxide (H2O2) and bone cement (polymethyl methacrylate (PMMA)). LN can be used either to preserve tissues or for controlled necrosis depending on the cycles of freezing and thawing. Usually, a quick freeze followed by a slow thaw will lead to destruction of human cells. This article reviews the results of cryosurgery with LN associated with surgical resection and the additional use of PMMA in a small group of patients with a histopathological confirmation of bone GCT with different localizations (i.e., tibia, distal radius and iliac bone). Cryosurgery with LN of bone GCT proved to be an efficient tool to decrease the recurrence rate for this tumoral type. In our series of cases, there were no complications, oncological or otherwise, at the two-year minimum follow-up, with good and excellent functional results.
1. Introduction
Giant cell tumor (GCT) is a relatively uncommon, locally aggressive primary bone neoplasm characterized by the proliferation of three different cell populations: the giant cell tumor stromal cells, which constitute the neoplastic cells, and the mononuclear histiocytic cell and multinucleated giant cell (osteoclast-like) fractions that are secondarily recruited and comprise the non-neoplastic cell population. In this case, tumoral development is slow, but the recurrence rate can be as high as 40–50% [1].
The main incidence of GCTs is between 25–40 years, and it is slightly more frequent in females with a ratio of 1.3:1 [2]. GCT represents about 4–5% of primary bone tumors and about 20% of benign bone tumors, with high incidence appearing in South and East Asia, where the incidence can go up to 20%. This type of tumor usually occurs in skeletally mature patients and very rarely occurs in patients with open physis [3,4].
The usual site of proliferation is the epiphyseal or metaphyseal region of the long bones, and half of the cases are located in the vicinity of the knee joint: distal femur, proximal tibia and fibula. Other frequent locations are the distal radius (11%); proximal humerus (4%); and flat bones (15%), especially the pelvis, sacrum and vertebral bodies. It is rare in the scapula, ribs, skull, mandibula and small bones (head and foot). Multicentricity of GCT is rarely encountered, and the differential diagnosis of a secondary bone tumor can be challenging in this specific situation [5].
Although classified as a benign tumor, GCT has been observed to metastasize mostly to the lungs (5% of cases) and in rare instances (1–3%) can transform into the malignant sarcoma phenotype.
Cryotherapy
The target of the treatment is tumor removal with no recurrence. Taking into consideration that the GCT is usually located in close proximity to a joint, great care must be taken to preserve the articular surface. Historically, these aims were approached by performing an intralesional curettage of the tumoral tissue by filling the resulting cavity using morselized iliac bone autograft. The major problems of this therapy were the high recurrence rates of up to 50% [6], most likely because residual tumoral cells may still remain even with an accurate surgical procedure. In order to lower the risk of recurrence, the excision margins need to be enlarged. This can be done surgically, but in many cases the proximity of the joint will probably lead to sacrificing the articular surface and functional disability, or by using local adjuvants [7].
The first use of an adjuvant therapy in conjunction with orthopedic surgery is attributed to Marcove and Miller at Memorial Sloan Kettering Cancer Center in New York (1969), who used an “open system” that allowed pouring liquid nitrogen (LN) directly into a tumor cavity. They treated a 48-year-old male with a painful metastatic lung carcinoma in the proximal humerus that was resistant to radiation therapy. The patient experienced complete relief of his pain following treatment. LN was shown to achieve local tumor control with minimal bone and function loss, and cryosurgery was soon practiced in conjunction with surgery for a large variety of bone tumors [8]. Other local adjuvants used for marginal tumoral necrosis are phenol, ethanol, hydrogen peroxide (H2O2) and bone cement (polymethyl methacrylate (PMMA)) supplemented with antiblastics. Perhaps the most used and the most efficient method when completing tumoral excisions is argon beam coagulation, based on thermal ablation, which can be delivered even on small surfaces with cryoprobes [8].
All of these agents are used in order to achieve better results following surgical curettage of the tumor by eliminating any remaining neoplastic cells. Margin status of the curettage is associated mostly with an increased risk of local recurrence. The application of a tumoricidal agent as a local adjuvant to the tumor bed has been shown to decrease local recurrence rates. LN is a liquefied gas (cryogenic liquid) stored under pressure in purposely designed storage vessels. LN is intended for use as a cryogen in medical applications due to the cold temperature of the liquid. The boiling point of liquid nitrogen is −196 °C. Nitrogen is stored and transported at −197 °C in its liquid state as the most cost-effective way to provide product supply. In medicine, LN can be used either to preserve tissues or for controlled necrosis depending on the cycles of freezing and thawing. Usually, a quick freeze followed by a slow thaw will lead to destruction of human cells, and a slow freeze followed by a quick thaw is used to preserve tissues [9,10].
There are several mechanisms that converge to cellular death during cryosurgery. Rapid exposure to extreme cold temperatures will lead to direct cellular destruction due to the formation of intracellular ice crystals and membrane destruction; increasing the temperature after the delivery of LN (freeze–thaw cycle) will lead to secondary necrosis for the tumoral cells. Thermal shock, toxic electrical imbalance, intracellular dehydration, microvascular alterations and disruption of the cell membrane are all produced by the increase in temperature following the freezing phase. Repetitive freeze–thaw cycles increase the amount of necrosis, but the response to cryotherapy is different depending on the distinct characteristics of the tissue (type, tissue vascularization, density, number of freeze–thaw cycles and absolute temperature) and is proportional to the time of exposure. Temperature range for necrosis of the cells is between −21 and −60 °C; beyond this, the percentage of necrosis does not increase [11]. Another mechanism that might be involved in tumoral cell destruction is the presence of proteins with antigenic properties released from the frozen lesions after LN use. This mechanism is called cryoimmunology, and the released proteins will initiate an immune reaction against the tumoral tissue. There are several reports of metastatic tumor regression following cryotherapy of the primary tumor [12].
2. Materials and Methods
Surgical Procedure
The following surgical procedures were recommended by Marcove as the golden rules in oncologic orthopedics: tourniquet use, careful retraction and protection of the soft tissue (especially nerves and vessels) and aggressive motorized curettage of the cavity with a high-speed ball-tipped drill [8]. After completing all these steps, the LN is delivered into the cavity either via a funnel or with the use of a specially designed pump. Each step plays an important role in the final outcome of the procedure. The use of the tourniquet and exsanguination of the limb is important to prevent excessive bleeding, which for some tumors might be significant, and will also prevent blood from acting as a thermal barrier for the cryotherapy and reducing its efficiency. Opening the cortex of the bone is performed through a large window, which is essential for adequate exposure, complete curettage and burr drilling of the tumor. Following curettage of a GCT, the walls of the cavity will be irregular. This irregularity makes it virtually impossible to remove all the tissue from the inner reactive shell with a curette. Therefore, curettage is followed by high-speed burr drilling. During this step, great care must be taken to avoid articular penetration [13,14,15].
Before the delivery of LN, all the bony perforations are sealed and the surrounding soft tissues are protected using either Gelfoam (absorbable gelatin powder) or gauze, which are irrigated during the whole procedure with warm saline solution. To allow the Gelfoam to freeze and completely seal the system, the liquid nitrogen is only poured for two minutes, and the temperature of soft tissues is monitored with thermocouples; it has been recognized that conductivity of the cold temperatures increased after the first cycle.
Following cryosurgery, the reconstruction of the excised bony segment and protection of the remaining bony tissue, which is affected from the biomechanical point of view by freezing, is mandatory during the healing period. This step is usually accomplished by using bone cement (PMMA) with some sort of internal fixation, adjusted to the site of the tumor. In addition, if the distance between articular cartilage and the cavity is insufficient, reconstruction of the subchondral bone using allograft is required. The combination of PMMA and internal fixation provides immediate stability and structural support for large defects and allows early rehabilitation [14,15,16].
Postoperative measures include antibiotic prophylaxis and antithrombotic therapy. In case of proper wound healing, immediate passive and active movement of the peritumoral joints are allowed. In order to protect the PMMA implant assembly, partial weight bearing is indicated for the first six weeks for tumors located in the lower limbs.
Complications are not uncommon with this surgical method. Exposure of the soft tissues to lower temperatures produced by the use of LN may lead to several incidents, depending on the tissue that is involved. This includes pathological fracture (up to 25%), nerve palsy, skin necrosis, joint degeneration and infection [17].
Three cases of GCT of bone were surgically treated in our department between 2015 and 2017. All three cases were evaluated and had histopathological confirmation of GCT following bone needle biopsy.
3. Results
3.1. Case 1
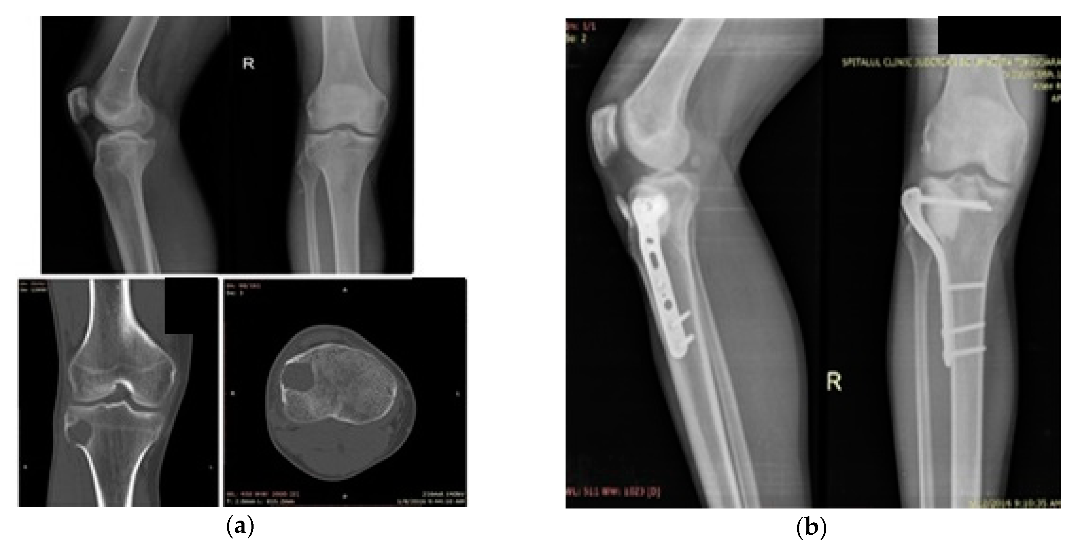
The first case was a 41-year-old male patient with a GCT of proximal tibia with mild pain in the proximal calf. X-ray examination revealed an osteolytic tumor of the anterolateral proximal tibia. The CT scan confirmed the location of the tumor without interruption of the cortices. Location, age and the imaging data raised the suspicion of a GCT of the proximal tibia, confirmed after bone needle biopsy (Figure 1a).
Figure 1.
Case 1: 41-year-old male. (a) Giant cell tumor (GCT) of the proximal tibia, preoperative X-ray and CT scan; (b) X-ray (lateral and AP) two years after surgery with no signs of recurrence.
Surgical treatment was performed under tourniquet use, as was previously mentioned. An anterolateral approach of the proximal tibia was preferred. Following excision of the GCT, a motorized high-speed ball-tipped drill burr was used for uniformization of the walls of the tumoral cavity. Sealing of the tumoral field was achieved by using Gelfoam and gauze soaked in warmed saline. LN was delivered using a specially designed pump. The freeze–thaw cycle was repeated two times. The resulting cavity was filled with bone cement without antibiotic load and reinforced with a 4.5 mm six-screw locking compression plate (LCP) Sutures were removed at 14 days with no signs of skin necrosis. Partial weight bearing on the affected limb was recommended for three weeks followed by total weight bearing being tolerated afterwards. Follow-up was performed at six weeks, three months, six months and once per year afterwards.
The two-year follow-up revealed no signs of recurrence, with full range of motion of the knee joint and absence of pain. The postoperative X-ray (Figure 1b) reveals a small amount of bone cement at the insertion of the patellar tendon, with no functional impairment or residual pain and an IKDC (International Knee Documentation Comitee) functional score of 96.
3.2. Case 2
The second patient was a 61-year-old male with an osteolytic tumor of the right distal radius confirmed on the preoperative X-rays and MRI examinations (Figure 2a). Symptoms preceded the first radiological exam by two months (Figure 2b).
Figure 2.
Case 2. (a) Preoperative MRI of the wrist joint (coronal, sagittal and axial) indicating GCT of distal radius. (b) Radiological exam of the wrist joint (AP view) one year after surgery reveals no sign of recurrence.
Histopathological results following a radiologically guided biopsy with a bone needle sustained the diagnosis of GCT. The same therapeutic protocol as in Case 1 was used, with complete resection of the tumor via a dorsal approach, including the biopsy site, followed by mechanical uniformization of the tumoral walls with the use of a high-speed ball-tipped burr. Extra care with the use of this device was required in the proximity of the subchondral region. Cryotherapy with LN was repeated twice following an adequate isolation of the soft tissues with warm saline-soaked gauze. Reconstruction of the subchondral region with a small amount of an iliac crest autograft was required and was followed by the filling of the remaining cavity with bone cement (PMMA). The senior surgeon appreciated that there was no use for additional plates and screw stabilization.
The postoperative functional result was fair (the disabilities of the arm, shoulder and hand-DASH score = 49), with mild pain at six months, restriction of flexion at 60° and neutral extension. No signs of recurrence were noted at the two-year follow-up (Figure 2b).
3.3. Case 3
The third case was a 35-year-old male patient with a rare GCT of the posterosuperior iliac bone, including the superior two-thirds of the sacroiliac joint (Figure 3a,b).
Figure 3.
Case 3. (a) Preoperative axial T2MRI indicating a left side posterior iliac tumoral mass with no infiltration regarding intrapelvic structures; (b) preoperative sagittal CT scan reveals a posterosuperior osteolytic tumor of the iliac bone involving the sacroiliac joint.
The diagnosis was confirmed following biopsy with bone needle under radiological guidance. The preferred method of treatment was complete resection via a modified ilioinguinal approach with posterior extension followed by the use of a motorized high-speed ball-tipped drill burr for uniformization of the margins of the resection.
The LN was delivered with the same special pump as in Case 1, and the freeze–thaw cycle was repeated twice. Prior isolation of the surrounding soft tissues was performed using gauze soaked in warm saline. Preservation of the inferior one-third of the iliac surface of the sacroiliac joint was achieved; senior surgeons appreciated that there was no need for reconstruction of the superior part of the sacroiliac joint that was resected.
A postoperative histopathological exam performed on the excised anatomical specimen (Figure 4) confirmed the diagnosis of GCT.
Figure 4.
Case 3. GCT of bone. Presence of numerous multinucleate osteoclast-like giant cells scattered throughout the stromal mononuclear cells. H&E staining, ×400.
Follow-up was performed at 3, 6 and 12 months and once per year afterwards (36 months maximum). No signs of recurrence were revealed (Figure 5a,b), with a good functional result. The patient returned to work three months following the surgery.
Figure 5.
(a,b) Case 3. Axial and coronal pelvic CT scan performed at 18 months postresection, indicating no sign of recurrence.
4. Discussion
There are a lot of controversies in medical literature regarding the use of LN and cryotherapy as adjuvant treatment in bone GCT. Previous studies have indicated that this therapy may be effective in removal and recurrence control for benign aggressive bone tumors [18].
Despite this fact, there is still a lot of debate and retention in the use of this method, especially because of the known complications and the potential difficulty in manipulation and application of the LN, mostly in open-pour techniques [19].
Several studies reported significant complications with this therapy, including fracture, infection, neuropraxia and wound healing issues [9,10]. The high complication rate, especially in early studies, is probably due to the poor measures taken to protect the surrounding structures from the freezing effect of LN; the high complication rate could also be due to retention in using PMMA or associated internal fixation [20,21].
The current technique, which uses Gelfoam or gauze irrigated with warm saline, the use of specific delivery pumps, antibiotic prophylaxis, wide exposure and adequate skin flaps, led to a significant decrease in complication rates [22].
Meller [16], in his retrospective long-term analysis, considers cryosurgery a safe and reliable adjuvant therapy with a 3% recurrence rate in bone GCT. The same study considers the ideal patient for this therapy to be a young adult with a contentive tumor (with cavity walls that are at least 75% intact), with at least 1 cm of subchondral bone between tumor and articular surface and with minimal or no soft tissue components. Relative indications for cryosurgery are considered old (with osteopenic bone) or pediatric patients (growth plate still active), poor quality of the tumoral walls (pseudocavity, ballooned cortices >50%), poor subchondral bone stock and a large soft-tissue component [23,24].
Recurrence rates after use of LN after curettage in bone GCT have been reported in other studies to be in the range of 8–42% when used with bone grafts or 0–20% when used with PMMA [19,25,26].
5. Conclusions
The findings of this study have to be seen and analyzed in the light of some limitations. The major limitation is the number of patients, and this is followed by the heterogeneity regarding the localization of the tumoral lesions. However, the use of cryosurgery with LN as adjuvant therapy for surgical intralesional bone GCT resection provided encouraging results regarding the recurrence rate and tumor control. Complication rates in our series of cases were low; adequate exposure, meticulous curettage and burr drilling of the tumoral walls, careful protection of the surrounding soft tissues during freeze–thaw cycles and the following reconstruction of the resected region using PMMA and internal fixation—especially in weight-bearing areas—were essential for a low recurrence rate and a good functional result.
Author Contributions
Writing—original draft preparation, C.I.F.; data curation, A.A.-A.; formal analysis, investigation, D.L.P.; writing—review and editing, supervision, C.L.Z.; software support, D.G.; methodology, T.H.; formal analysis, A.M.; visualization, C.H.; funding acquisition, M.L.G.; conceptualization, R.F. All authors have read and agreed to the published version of the manuscript.
Funding
This research received no external funding.
Conflicts of Interest
The authors declare no conflict of interest.
References
- Klenke, F.M.; Wenger, D.E.; Inwards, C.Y.; Rose, P.S.; Sim, F.H. Giant Cell Tumor of Bone: Risk Factors for Recurrence. Clin. Orthop. Relat. Res. 2011, 469, 591–599. [Google Scholar] [CrossRef] [PubMed]
- Sobti, A.; Agrawal, P.; Agarwala, S.; Agarwal, M. Giant Cell Tumor of Bone-An Overview. Arch. Bone Jt. Surg. 2016, 4, 2–9. [Google Scholar]
- Thomas, D.M.; Skubitz, K.M. Giant cell tumor of the bone. Curr. Opin. Oncol. 2009, 21, 338–344. [Google Scholar] [CrossRef]
- Kim, Y.; Nizami, S.; Goto, H.; Lee, F.Y. Modern interpretation of giant cell tumor of bone: Predominantly osteoclastogenic stromal tumor. Clin. Orthop. Surg. 2012, 4, 107–116. [Google Scholar] [CrossRef] [PubMed]
- Lopez-Pousa, A.; MartinBroto, J.; Garrido, T.; Vazquez, J. Giant cell tumor of bone: New treatments in development. Clin. Transl. Oncol. 2015, 17, 419–430. [Google Scholar] [CrossRef] [PubMed]
- Knochentumoren, A.; Becker, W.T.; Dohle, J.; Bernd, L.; Braun, A.; Cserhati, M.; Enderle, A.; Hovy, L.; Matejovsky, Z.; Szendroi, M.; et al. Local recurrence of giant cell tumor of bone after intralesional treatment with and without adjuvant therapy. J. Bone Jt. Surg. Am. 2008, 90, 1060–1067. [Google Scholar] [CrossRef]
- Behjati, S.; Tarpey, P.S.; Presneau, N.; Scheipl, S.; Pillay, N.; Van Loo, P.; Wedge, D.C.; Cooke, S.L.; Gundem, G.; Davies, H.; et al. Distinct H3F3A and H3F3B driver mutations define chondroblastoma and giant cell tumor of bone. Nat. Genet. 2013, 45, 1479–1482. [Google Scholar] [CrossRef]
- Marcove, R.C.; Miller, T.R. The treatment of primary and metastatic localized bone tumors by cryosurgery. Surg. Clin. N. Am. 1969, 49, 421–430. [Google Scholar] [CrossRef]
- Patrick, D.L.; Cleeland, C.S.; Von Moos, R.; Fallowfield, L.; Wei, R.; Öhrling, K.; Qian, Y. Pain outcomes in patients with bone metastases from advanced cancer: Assessment and management with bone-targeting agents. Support Care Cancer 2015, 23, 1157–1168. [Google Scholar] [CrossRef]
- Tsuchiya, H.; Wan, D.L.; Sakayama, K.; Yamamoto, N.; Nishida, H.; Tomita, K. Reconstruction using an autograft containing tumour treated by liquid nitrogen. J. Bone Jt. Surg. Br. 2005, 87, 218–225. [Google Scholar] [CrossRef]
- Chen, C.; Garlich, J.; Vincent, K. Postoperative complications with cryotherapy in bone tumors. J. Bone Oncol. 2017, 7, 13–17. [Google Scholar] [CrossRef]
- Van der Heijden, L.; Van de Sande, M.A.; Heineken, A.C.; Fiocco, M.; Nelissen, R.G.; Dijkstra, P.D. Mid-term outcome after curettage with polymethylmethacrylate for giant cell tumor around the knee: Higher risk of radiographic osteoarthritis? J. Bone Jt. Surg. Am. 2013, 95, e1591. [Google Scholar] [CrossRef] [PubMed]
- Sabel, M.S. Cryo-immunology: A review of the literature and proposed mechanisms for stimulatory versus suppressive immune responses. Cryobiol 2009, 58, 1–11. [Google Scholar] [CrossRef]
- Goel, R.; Anderson, K.; Slaton, J.; Schmidlin, F.; Vercellotti, G.; Belcher, J.; Bischof, J.C. Adjuvant approaches to enhance cryosurgery. J. Biomech. Eng. 2009, 131, 074003. [Google Scholar]
- Balke, M.; Schremper, L.; Gebert, C.; Ahrens, H.; Streitbuerger, A.; Koehler, G.; Hardes, J.; Gosheger, G. Giant cell tumor of bone: Treatment and outcome of 214 cases. J. Cancer Res. Clin. Oncol. 2008, 134, 969–978. [Google Scholar] [CrossRef] [PubMed]
- Pop, D.L.; Nodiţi, G.; Abu-Awwad, A.; Maliţa, D.C.; Zamfir, C.L.; Grigoraş, M.L.; Vermeşan, D.; Prejbeanu, R.; Hărăguş, H.G.; Boşcu, A.L.; et al. Alveolar rhabdomyosarcoma in an adolescent male patient - case report and current perspectives. Rom. J. Morphol. Embryol. 2018, 59, 1247–1252. [Google Scholar] [PubMed]
- Meller, I.; Weinbroum, A.; Bickels, J.; Dadia, S.; Nirkin, A.; Merimsky, O.; Issakov, J.; Flusser, G.; Marouani, N.; Cohen, N.; et al. Fifteen years of bone tumor cryosurgery: A single-center experience of 440 procedures and long-term follow-up. Eur. J. Surg. Oncol. 2008, 34, 921–927. [Google Scholar] [CrossRef] [PubMed]
- Boons, H.W.; Keijser, L.C.; Schreuder, H.W.; Pruszczynski, M.; Lemmens, J.A.; Veth, R.P. Oncologic and functional results after treatment of giant cell tumors of bone. Arch. Orthop. Trauma Surg. 2002, 122, 17–23. [Google Scholar] [CrossRef]
- Abdelrahman, M.; Bassiony, A.A.; Shalaby, H.; Assal, M.K. Cryosurgery and impaction subchondral bone graft for the treatment of giant cell tumor around the knee. HSS J. 2009, 5, 123–128. [Google Scholar] [CrossRef]
- Popken, F.; Michael, J.W.; Zarghooni, K.; Sobottke, R.; Kasper, H.U.; Blaecker, D.; Niehoff, A.; Emrich, F.; Eysel, P. Stability changes after cryosurgery in long tubular bones in correlation to histological results: An animal trial. Arch. Orthop. Trauma Surg. 2009, 129, 857–862. [Google Scholar] [CrossRef]
- Hanahan, D.; Coussens, L.M. Accessories to the crime: Functions of cells recruited to the tumor microenvironment. Cancer Cell 2012, 21, 309–322. [Google Scholar] [CrossRef]
- Baust, J.G.; Gage, A.A.; Bjerklund, Johansen, T.E.; Baust, J.M. Mechanisms of cryoablation: Clinical consequences on malignant tumors. Cryobiology 2014, 68, 1–11. [Google Scholar] [CrossRef]
- Schmidt, B.L.; Pogrel, M.A. Neurosensory changes after liquid nitrogen cryotherapy. J. Oral Maxillofac. Surg. 2004, 62, 1183–1187. [Google Scholar] [CrossRef]
- Han, B.; Bischof, J.C. Direct cell injury associated with eutectic crystallization during freezing. Cryobiology 2004, 48, 8–21. [Google Scholar] [CrossRef]
- Rock, M. Curettage of giant cell tumor of bone. Factors influencing local recurrences and metastasis. Chir. Organi Mov. 1990, 75, 204–205. [Google Scholar]
- Trieb, K.; Bitzan, P.; Lang, S.; Dominkus, M.; Kotz, R. Recurrence of curetted and bone-grafted giant- cell tumours with and without adjuvant phenol therapy. Eur. J. Surg. Oncol. 2001, 27, 200–202. [Google Scholar] [CrossRef]
© 2020 by the authors. Licensee MDPI, Basel, Switzerland. This article is an open access article distributed under the terms and conditions of the Creative Commons Attribution (CC BY) license (http://creativecommons.org/licenses/by/4.0/).




