Otologic Manifestations of IgG4-Related Disease: Literature Review and Report of Two Cases
Abstract
:1. Introduction
2. Methods
3. Case Presentations
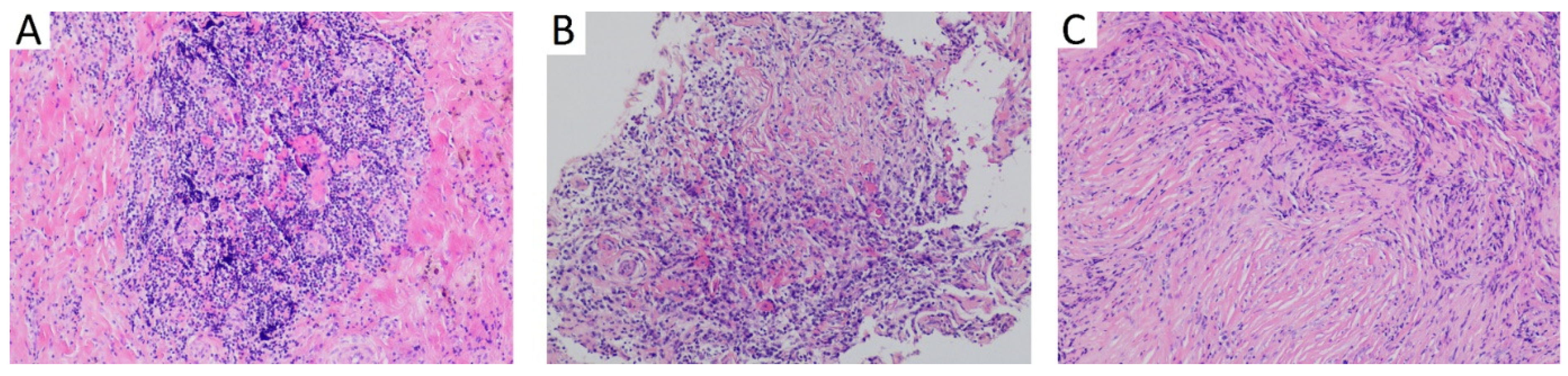
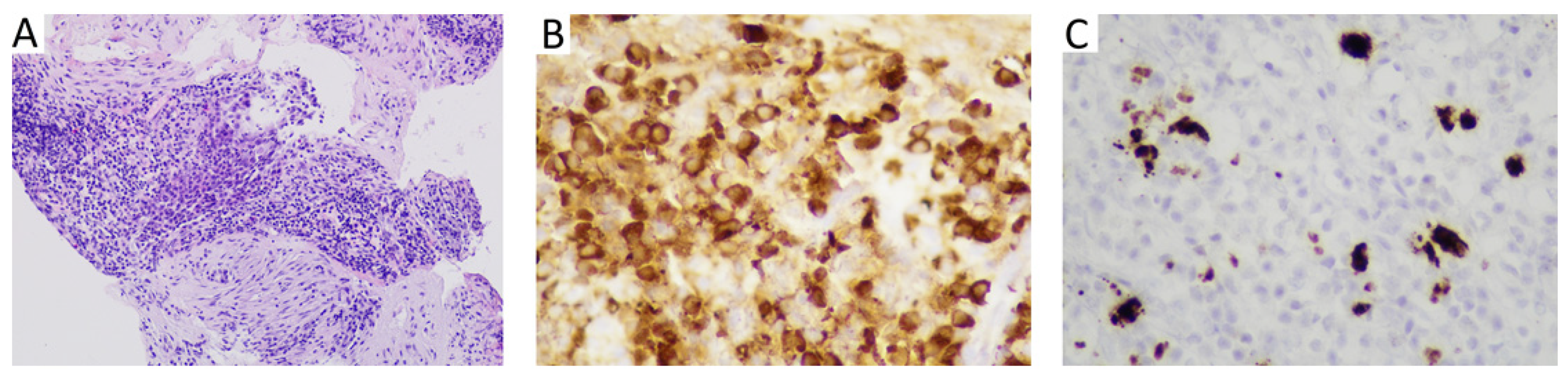
3.1. Case 1
3.2. Case 2
4. Results
5. Discussion
6. Conclusions
Author Contributions
Funding
Informed Consent Statement
Data Availability Statement
Conflicts of Interest
References
- Deshpande, V.; Zen, Y.; Chan, J.K.; Yi, E.E.; Sato, Y.; Yoshino, T.; Klöppel, G.; Heathcote, J.G.; Khosroshahi, A.; Ferry, J.A.; et al. Consensus statement on the pathology of IgG4-related disease. Mod. Pathol. 2012, 25, 1181–1192. [Google Scholar] [CrossRef] [PubMed] [Green Version]
- Stone, J.H.; Zen, Y.; Deshpande, V. IgG4-related disease. N. Engl. J. Med. 2012, 366, 539–551. [Google Scholar] [CrossRef] [PubMed]
- Hamano, H.; Kawa, S.; Horiuchi, A.; Unno, H.; Furuya, N.; Akamatsu, T.; Fukushima, M.; Nikaido, T.; Nakayama, K.; Usuda, N.; et al. High serum IgG4 concentrations in patients with sclerosing pancreatitis. N. Engl. J. Med. 2001, 344, 732–738. [Google Scholar] [CrossRef] [PubMed]
- Ebbo, M.; Patient, M.; Grados, A.; Groh, M.; Desblaches, J.; Hachulla, E.; Saadoun, D.; Audia, S.; Rigolet, A.; Terrier, B.; et al. Ophthalmic manifestations in IgG4-related disease: Clinical presentation and response to treatment in a French case-series. Medicine 2017, 96, e6205. [Google Scholar] [CrossRef]
- Ozawa, M.; Fujinaga, Y.; Asano, J.; Nakamura, A.; Watanabe, T.; Ito, T.; Muraki, T.; Hamano, H.; Kawa, S. Clinical features of IgG4-related periaortitis/periarteritis based on the analysis of 179 patients with IgG4-related disease: A case–control study. Arthritis Res. Ther. 2017, 19, 223. [Google Scholar] [CrossRef] [Green Version]
- Gradoni, P.; Frausini, G.; Pandolfini, M.; Bedetta, S.; Migliori, G. Laryngeal involvement of immunoglobulin G4-related disease: Case report and. B-ENT 2019, 15, 51–54. [Google Scholar]
- Yim, C.D.; An, H.J.; Ahn, S.K.; Hur, D.G.; Lee, H.J. IgG4-related disease presenting as otogenic skull base osteomyelitis. Auris Nasus Larynx 2021, 48, 166–170. [Google Scholar] [CrossRef]
- Bittencourt, A.G.; Pereira, L.V.; Junior, F.C.; de Santes Halang, F.; de Castro Gonçalves, M.; Bento, R.F. IgG4-related sclerosing disease of the temporal bone. Otol. Neurotol. 2013, 34, e20–e21. [Google Scholar] [CrossRef]
- Masterson, L.; Del Pero, M.M.; Donnelly, N.; Moffat, D.A.; Rytina, E. Immunoglobulin G4 related systemic sclerosing disease involving the temporal bone. J. Laryngol. Otol. 2010, 124, 1106–1110. [Google Scholar] [CrossRef]
- Cho, H.K.; Lee, Y.J.; Chung, J.H.; Koo, J.W. Otologic manifestation in IgG4-related systemic disease. Clin. Exp. Otorhinolaryngol. 2011, 4, 52. [Google Scholar] [CrossRef]
- ler, S.J.; Sharifai, N.; Baker, B.; Dowling, J.L.; Pipkorn, P.; Yaeger, L.; Clifford, D.B.; Dahiya, S.; Chicoine, M.R. IgG4-Related Disease of the Skull and Skull Base–A Systematic Review and Report of Two Cases. World Neurosurg. 2021, 150, 179–196. [Google Scholar]
- Wallace, Z.S.; Naden, R.P.; Chari, S.; Choi, H.; Della-Torre, E.; Dicaire, J.F.; Hart, P.A.; Inoue, D.; Kawano, M.; Khosroshahi, A.; et al. The 2019 American College of Rheumatology/European League Against Rheumatism classification criteria for IgG4-related disease. Arthritis Rheumatol. 2020, 72, 7–19. [Google Scholar] [CrossRef] [PubMed] [Green Version]
- Schiffenbauer, A.I.; Wahl, C.; Pittaluga, S.; Jaffe, E.S.; Hoffman, R.; Khosroshahi, A.; Stone, J.H.; Deshpande, V.; Gahl, W.A.; Gill, F. IgG4-related disease presenting as recurrent mastoiditis. Laryngoscope 2012, 122, 681. [Google Scholar] [CrossRef] [PubMed] [Green Version]
- Li Li, X.; Wang, X.H.; Duan, R.S.; Wang, Z.K.; Yang, B. IgG4-Related Mastoiditis, Hypertrophic Pachymeningitis and Inflammatory Pseudotumor: A Case Report and Review of the Literature. J. Clin. Cell. Immunol. 2018, 9, 2. [Google Scholar] [CrossRef]
- Cheng, X.; Shu, Y.; Chen, B. A solely ear-involved IgG4-related sclerosing disease with two-years following-up. European Annals of Otorhinolaryngology. Head Neck Dis. 2019, 136, 401–403. [Google Scholar]
- Deshpande, V.; Zane, N.A.; Kraft, S.; Stone, J.H.; Faquin, W.C. Recurrent mastoiditis mimics IgG4 related disease: A potential diagnostic pitfall. Head Neck Pathol. 2016, 10, 314–320. [Google Scholar] [CrossRef] [Green Version]
- Barnado, A.L.; Cunningham, M.A. IgG4-related disease presenting as recurrent mastoiditis with central nervous system involvement. J. Investig. Med. High Impact Case Rep. 2013, 2, 2324709614553670. [Google Scholar] [CrossRef]
- Vuncannon, J.R.; Panella, N.J.; Magliocca, K.R.; Mattox, D.E. Diagnostic challenges in a case of IgG4-RD affecting the temporal bone. Ann. Otol. Rhinol. Laryngol. 2017, 126, 241–244. [Google Scholar] [CrossRef]
- Wuesthoff, C.; Allende, A.; Patel, N. IgG4 disease of the ear: Report and review. SAGE Open Med. Case Rep. 2018, 6, 2050313X18791428. [Google Scholar] [CrossRef] [Green Version]
- Lu, P.; Sha, Y.; Wang, F.; Wang, S. IgG4-related sclerosing disease involving middle ear. Otol. Neurotol. 2017, 38, e65–e67. [Google Scholar] [CrossRef]
- Shao, S.A.; Lin, C.D.; Tsai, S.T.; Lin, C.C.; Wu, P.C. Immunoglobulin G4-related disease presented as recurrent otitis media and mixed hearing loss treated with cyclophosphamide and rituximab: A case report. Arch. Rheumatol. 2019, 34, 233. [Google Scholar]
- Wick, C.C.; Zachariah, J.; Manjila, S.; Brown, W.C.; Malla, P.; Katirji, B.; Cohen, M.; Megerian, C.A. IgG4-related disease causing facial nerve and optic nerve palsies: Case report and literature review. Am. J. Otolaryngol. 2016, 37, 567–571. [Google Scholar] [CrossRef] [PubMed]
- Polianskis, M.; Ivaška, J.; Dadonienė, J.; Lengvenis, G.; Besusparis, J.; Rauba, D.; Morozas, A.; Ivaškienė, T.; Lesinskas, E. Immunoglobulin G4-Related Disease Presenting as Temporal Bone Lesion with Facial Nerve Palsy. ORL 2022, 7, 1–729. [Google Scholar] [CrossRef] [PubMed]
- Hofmeyr, L.M.; Herbst, G.; Pretorius, E.; Sarembock, B.; Taylor, K.; Roytowski, D. Diagnosis of petrous apex IgG4-related disease via a middle cranial fossa craniotomy and temporal bone biopsy. Front. Neurol. 2022, 9, 957. [Google Scholar]
- Chowsilpa, S.; Teeranoraseth, T.; Roongrotwattanasiri, K. Temporal bone involvement of IgG4-related disease: A rare condition misleading to petrous apicitis causing lateral rectus palsy. BMJ Case Rep. 2019, 12, e228550. [Google Scholar] [CrossRef]
- Wang, J.; Sun, Z.; Zhuo, S.; Wang, K. Sigmoid sinus occlusion infiltrated by inflammatory myofibroblastic tumor from mastoid. Head Neck 2015, 37, E4–E7. [Google Scholar] [CrossRef]
- Khosroshahi, A.; Wallace, Z.S.; Crowe, J.L.; Akamizu, T.; Azumi, A.; Carruthers, M.N.; Chari, S.T.; Della-Torre, E.; Frulloni, L.; Goto, H.; et al. International consensus guidance statement on the management and treatment of IgG4-related disease. Arthritis Rheumatol. 2015, 67, 1688–1699. [Google Scholar] [CrossRef]
- Ren, Q.; Su, J.; Zhang, D.; Ding, X. Otological IgG4-related disease with inner ear involvement: A case report and review of literature. Ear Nose Throat J. 2020, 12, 0145561320976411. [Google Scholar] [CrossRef]
- Sato, Y.; Kojima, M.; Takata, K.; Morito, T.; Asaoku, H.; Takeuchi, T.; Mizobuchi, K.; Fujihara, M.; Kuraoka, K.; Nakai, T.; et al. Systemic IgG4-related lymphadenopathy: A clinical and pathologic comparison to multicentric Castleman’s disease. Mod. Pathol. 2009, 22, 589–599. [Google Scholar] [CrossRef] [Green Version]
- Katsura, M.; Mori, H.; Kunimatsu, A.; Sasaki, H.; Abe, O.; Machida, T.; Ohtomo, K. Radiological features of IgG4-related disease in the head, neck, and brain. Neuroradiology 2012, 54, 873–882. [Google Scholar] [CrossRef]
- Kamisawa, T.; Okazaki, K.; Kawa, S.; Shimosegawa, T.; Tanaka, M. Japanese consensus guidelines for management of autoimmune pancreatitis: III. Treatment and prognosis of AIP. J. Gastroenterol. 2010, 45, 471–477. [Google Scholar] [CrossRef] [PubMed]







| Number | Year | Location | Authors | Age | Gender | Initial Clinical Diagnosis | Number of Surgical Interventions | Another Organ Involvement | Biopsy Findings | Pathology IgG4 Cells | IgG4 in Serum | 
|---|---|---|---|---|---|---|---|---|---|---|---|
| 1 | 2012 | USA | Schiffenbauer A.I. et al. [13] | 50 | f | mastoiditis | 3 | - | lymphoplasmacytic infiltrate and storiform fibrosis | data not available | 213 mg/dL | 
| 2 | 2018 | China | Li Li X. et al. [14] | 59 | f | mastoiditis | 1 | - | lymphoplasmacytic cells and a few eosinophils infiltrated with fibrosis | IgG4:IgG. > 50% | 350 mg/dL | 
| 3 | 2019 | China | Cheng X. et al. [15] | 54 | f | otitis media | 1 | - | dense lymphoplasmacytic infiltrate, storiform fibrosis, obliterative phlebitis | data not available | Normal | 
| 4 | 2016 | USA | Deshpande V. et al. [16] | 43 | f | mastoiditis | 3 | - | Lymphoplasmacytic infiltrate, storiform fibrosis | IgG4 200 per HPF; IgG4:IgG > 50% | 191 mg/dL | 
| 5 | 2016 | USA | 52 | f | mastoiditis | 1 | meninges | Lymphoplasmacytic infiltrate, storiform fibrosis | IgG4 110 per HPF; IgG4:IgG 35% | Data not available | |
| 6 | 2016 | USA | 50 | f | serous otitis media | 1 | - | Lymphoplasmacytic infiltrate, storiform fibrosis | IgG4 210 per HPF; IgG4:IgG >50% | 213 mg/dL | |
| 7 | 2014 | USA | Barnado A.L. et al. [17] | 43 | f | inflammatory pseudotumor | 3 | cerebritis | dense lymphoplasmacytic infiltrate and storiform fibrosis | IgG4 positive cells > 200 per HPF | 200 mg/dL | 
| 8 | 2017 | USA | Vuncannon J.R. et al. [18] | 35 | f | otitis media | 2 | parotid gland | dense lymphoplasmacytic infiltrate with scattered eosinophils and storiform fibrosis | data not available | Data not available | 
| 9 | 2018 | Australia | Wuesthhoff C. et al. [19] | 56 | m | serous otitis media | 1 | - | inflamed fibrous tissue, no storiform fibrosis or obliterative phlebitis | IgG4:igG > 40% | 229 mg/dL | 
| 10 | 2017 | China | Lu P. et al. [20] | 54 | f | chronic mastoiditis with cholesteatoma | 1 | - | lymphoplasmacytic infiltration, fibrosis, and sporadic small vasculitis | data not available | Data not available | 
| 11 | 2019 | Taiwan | Shao S.A. et al. [21] | 43 | m | otitis media with effusion | 2 | - | plasma cell granuloma | IgG4:IgG > 40% | Data not available | 
| 12 | 2016 | USA | Wick C. et al. [22] | 61 | f | inflammatory pseudotumor | 1 | middle and posterior cranial fossa | plasmacytic infiltration, storiform fibrosis and phlebitis | IgG4 positive > 50 per HPF | Normal | 
| 13 | 2022 | Lithuania | Polianskis M. et al. [23] | 31 | f | mastoiditis | 1 | middle cranial fossa | storiform fibrosis, dense lymphoplasmatic infiltrates | IgG4 positive >80 per HPF IgG4:IgG 63% | Normal | 
| 14 | 2022 | South Africa | Hofmyer L. et al. [24] | 29 | f | mastoiditis | 1 | middle cranial fossa | lymphoplasmacytic infiltration, storifom fibrosis, | IgG4 positive > 50 per HPF IgG4:IgG > 20% | Normal | 
| 16 | 2019 | Thailand | Chowsilpa S. et al. [25] | 19 | f | otitis media | 1 | petrous apex | lymphoplasmacytic infiltration, fibrosis | IgG4 positive 15 per HPF | 110 mg/dL | 
| 17 | 2015 | Chaina | Jingye W. et al. [26] | 38 | m | inflammatory pseudotumor | 1 | meninges | lymphoplasmacytic infiltration, fibrosis | IgG4 positive 56 per HPF | Data not available | 
| 18 | 2016 | Israel | Present study | 48 | m | otitis media with effusion | 1 | - | fibrous tissue with storiform fibrosis, lymphoplasmacytic infiltration, obliterative phlebitis | IgG4 positive 15 per HPF; IgG4:IgG < 20% | 210 mg/dL | 
| 19 | 2021 | Israel | Present study | 44 | m | otitis media | 1 | - | fibrous tissue, dense lymphoplasmacytic inflammation, storiform fibrosis | IgG4 25 per HPF; IgG4:IgG < 20% | Data not available | 
| Publisher’s Note: MDPI stays neutral with regard to jurisdictional claims in published maps and institutional affiliations. | 
© 2022 by the authors. Licensee MDPI, Basel, Switzerland. This article is an open access article distributed under the terms and conditions of the Creative Commons Attribution (CC BY) license (https://creativecommons.org/licenses/by/4.0/).
Share and Cite
Sapir, A.; Kaplan, D.M.; Samueli, B.; Novoa, R.; Hilly, O.; El-Saied, S. Otologic Manifestations of IgG4-Related Disease: Literature Review and Report of Two Cases. Appl. Sci. 2022, 12, 8353. https://doi.org/10.3390/app12168353
Sapir A, Kaplan DM, Samueli B, Novoa R, Hilly O, El-Saied S. Otologic Manifestations of IgG4-Related Disease: Literature Review and Report of Two Cases. Applied Sciences. 2022; 12(16):8353. https://doi.org/10.3390/app12168353
Chicago/Turabian StyleSapir, Aviad, Daniel M. Kaplan, Benzion Samueli, Rosa Novoa, Ohad Hilly, and Sabri El-Saied. 2022. "Otologic Manifestations of IgG4-Related Disease: Literature Review and Report of Two Cases" Applied Sciences 12, no. 16: 8353. https://doi.org/10.3390/app12168353
APA StyleSapir, A., Kaplan, D. M., Samueli, B., Novoa, R., Hilly, O., & El-Saied, S. (2022). Otologic Manifestations of IgG4-Related Disease: Literature Review and Report of Two Cases. Applied Sciences, 12(16), 8353. https://doi.org/10.3390/app12168353
 
         
                                                

 
       