Abstract
Three-dimensional (3D)-printed anatomical models of the bones play a key role in complex surgical procedures. These subject-specific physical models are valuable in pre-operative planning and may also offer assistance during surgery by improving the visibility of inaccessible anatomical structures, particularly in spine surgery. Starting from medical imaging, virtual 3D bone models are reconstructed, and these can also be used for quantifying original, planned, and achieved bone-to-bone alignments. The purpose of this study is to report on an original exploitation of these techniques on a patient with a severe cervical deformity to undergo corrective and stabilizing surgery. A virtual anatomical model of the cervical spine before surgery was obtained from computer tomography to assess the original deformity and for surgical planning. The corresponding 3D model was printed in acrylonitrile-butadiene-styrene and used to simulate the surgery by performing bone cuts, implanting the screws, and placing and shaping the fixation elements. During surgery, this physical 3D-printed model was used as a reference for each surgical action. The comparisons between pre- and post-operative virtual models confirmed that the planned correction was achieved. Virtual and 3D-printed anatomical models of the cervical spine offer advantages in the planning and execution of personalized complex surgeries, in addition to improving surgical safety.
1. Introduction
Surgery for the correction of severe cervical spine deformities is often challenging [1]. This is necessary to provide physiologic head and neck alignment and movement and to optimize forward gaze [1,2,3]. Intra-operative visibility of relevant anatomical references is limited [4], and fixation of the stabilization system is difficult. Furthermore, those anatomical landmarks used in pre-operative planning might not be directly accessible intra-operatively due to the deformity [4]. Navigation systems are also used in spine surgery [5], but a number of technical pitfalls were reported [6].
The large progresses in medical imaging with three-dimensional (3D) analyses of skeletal structures [7] can now result in virtual high-quality 3D anatomical models [8,9]. Corresponding 3DP physical models in polymeric materials can now be obtained easily with the recent advent of 3D printing (3DP) [10,11,12]. Both techniques can be employed for cervical spine surgery, where a pre-operative 3D virtual model from the patient would allow an accurate customized computer-based planning [13]. In addition, the physical models in 3DP would provide the surgeon with a realistic, handled, and personalised replica of the anatomical area to be operated, for surgery simulation, team training, and patient communication. The replica can also be used intra-operatively as a reference for the most critical surgical actions, and post-operatively for a final assessment of the surgery [14,15,16].
The aim of this study is to report our original experience in the exploitation of these techniques for a cervical correction surgery on a patient with severe deformity. A virtual and a physical anatomical model were created with state-of-the-art tools and used in pre-operative surgical planning and intra-operatively. Comparisons between the 3D pre- and post-operative virtual models were also executed to confirm the achievement of the surgical plan. The scope is to identify and point out the advantages of using medical imaging and 3DP for these surgical treatments.
2. Case Description
Patient Details
A 52-year-old male affected by mucopolysaccharidosis Type 1 (a rare genetic disorder known for being associated with severe spine deformities) had been operated on during adolescence for a thoracolumbar scoliosis. He had a normal life until age 50, when he started developing increasing tetraparesis. At admission, the patient could only walk for a very short distance by two tetrapod walking sticks and spent the majority of the day in a wheelchair. Preoperative standard X-rays and CT scans revealed a severe cervical kypho-scoliosis (Figure 1).
Figure 1.
Medical imaging of pre-operative cervical spine: sagittal view from 3D virtual rendering from CT DICOM viewer (left) and MRI scan (right). In the latter, the third (C3) and fifth (C5) cervical vertebrae are indicated by arrows.
Preoperative MRI showed a severe compression between C3 and C5 (Figure 1) and confirmed the severe kyphosis (60° between C2 and C6) and scoliosis (40° left cervical curve). Therefore, the patient was enrolled for posterior decompression and fixation surgery. Because of the severe deformation of the vertebral elements (articular masses, pedicles, vertebral bodies) associated with the deformity, it was understood that it would have been very challenging to safely place the metal hardware (screws and roads) in the right position, which also was very close to vital structures such as the spinal cord and vertebral arteries. Informed consent was obtained from the patient in order to use anonymized radiological imaging for scientific purposes.
3. 3D Modelling, Printing, and Surgical Planning
A high-resolution pre-operative computed tomography (CT) (GE Healthcare, Chicago, IL, USA; spiral CT system; 1 mm slice thickness) of the cervical spine was executed one month before surgery (Figure 2A). Relevant DICOM files were then imported in dedicated software (Mimics® Innovation Suite—Materialise®, Leuven, Belgium) and segmented image-by-image using a semi-automatic procedure [7,8] (Figure 2B and Figure 3). The pre-operative virtual 3D model (PRE-VIR) was thus obtained, both as a single aggregated model of all bones together, and as separated eight vertebra-by-vertebra models, i.e., from C1 to T1 (Figure 2C and Figure 3). These models were obtained from a state-of-the-art software tool by an experienced technical operator.
Figure 2.
3D model reconstruction of the pre-operative cervical spine. DICOM images are imported in a dedicated software (A), where the bone vertebral bony contours, along with the internal bony structures, are identified and marked by the operator (B); all detected contours are then merged to create the 3D virtual model for the overall C1-to-T1 spine section (i.e., PRE-VIR) and for each single vertebra ((C), each vertebra was marked using a different colour). Afterwards, the reconstructed virtual model was manufactured via 3DP (PRE-3DP) and a plastic red wire mimicking the cervical artery was inserted in the relevant printed vessel course (D).
Figure 3.
Screenshot from the segmentation software. The C1-to-T1 vertebrae were segmented independently of each other to obtain eight different 3D bone models. These can also be merged into a single model after an easy aggregation process.
Starting from the PRE-VIR model, a corresponding pre-operative 3D-printed model (PRE-3DP) was manufactured in polymeric material (P430 ABS Plus) via fusion-deposition-material technology [12], with full density and 0.25 mm layer height (Dimension Elite® 3D Printer, Stratasys Ltd., Eden Prairie, MN, USA). After debris removal and polishing via a thermo-chemical treatment, and careful visual inspection, this PRE-3DP mimicked exactly the external surface of the vertebral bones, including the spinal canal and the course of the main vessels, thus revealing the exact overall spine deformity of the patient (Figure 2D). These are established technologies and materials, used widely for this and similar scopes.
The PRE-3DP model was handled by the surgeon for pre-operative planning and surgical simulation, eventually obtaining a 3D physical model of the planned surgery (PLA-3DP; Figure 4). At this stage, relevant information about possible optimal bending and positioning of two fixation rods, along with relevant screws, was set and extracted. In detail, this phase implied the following actions: drilling, tapping, screws placement, rod bending, and laminectomy. In particular, all the surgical steps implying screws insertion were tested on the PRE-3DP, and surgical risks related to hardware implants, e.g., possible vertebral artery injury, were timely predicted, identified, and made evident on the model (Figure 4A); this allowed critical surgical manoeuvres in the operating room to be avoided, thus best preserving patient safety. Two standard cervical fixation rods were also bent over PLA-3DP according to the degree of correction as set by the surgeon based on the morphology of this cervical spine, as in PRE-3DP (Figure 4B, two views).
Figure 4.
Pre-operative planning and surgical simulation on the patient-specific PRE-3DP. Prediction of likely vertebral artery injury due to improper screw insertion is depicted (A). Implanted fixation rods on final screw insertion locations are also shown in two views (B).
By using the same medical imaging and reconstruction procedures reported above, the PLA-3DP model, i.e., with the rod and screws still fixed in the final planned configuration, was then scanned again. These DICOM files were segmented to generate the virtual 3D model of the planning (PLA-VIR) (Figure 5), offering a reference to be used at the post-operative follow-up control.
Figure 5.
The PLA-VIR reconstructed starting from computed-tomography DICOM files of the PLA-3DP model as in Figure 4B. Each vertebra is marked with a different color.
Subsequently, the two pre-bent rods were removed from the PLA-3DP model and sterilized the day before surgery to be used by the surgeon during surgery. Furthermore, the PLA-3DP model was made available at surgery for visibility enhancement of the anatomical complex under treatment in case of inaccessible reference landmarks. This procedural approach was expected to result in time-saving and overall surgery simplification.
4. Surgical Procedure
The patient was placed in a prone position on a head holder (MAYFIELD® Cranial Stabilization, Integra LifeSciences Corporation, Plainsboro, NJ, USA). Continuous neuromonitoring was recorded from the four limbs. Surgery consisted of a posterior approach decompression procedure and fusion from C2 to T1. The PLA-3DP model, previously used for the surgical simulation and planning, was taken in the operating theatre within a sterile endoscopic envelope to prevent contamination of the operating field. This model was utilised during surgery and handled by the surgeon (Figure 6) for quick consultations and to replicate the already set screw directions and locations and extension of laminectomy. In detail, this manipulation included palpation of anatomical landmarks both directly on the bones and on the PLA-3DP model. Real-time EEG examination, also by proper stimulation, was performed throughout the surgery to monitor physiological signal maintenance for patient safety. Intra- and post-operative, i.e., soon after surgical suture (Figure 7), radiological examination confirmed the achievement of the goal defined in the pre-surgical planning.
Figure 6.
Surgical scenario showing the PLA-3DP well-visible to the surgeon, thus offering a valuable intra-operative support (left); fixation screws and rods after final positioning before final suturing (right).
Figure 7.
Post-operative radiological examination.
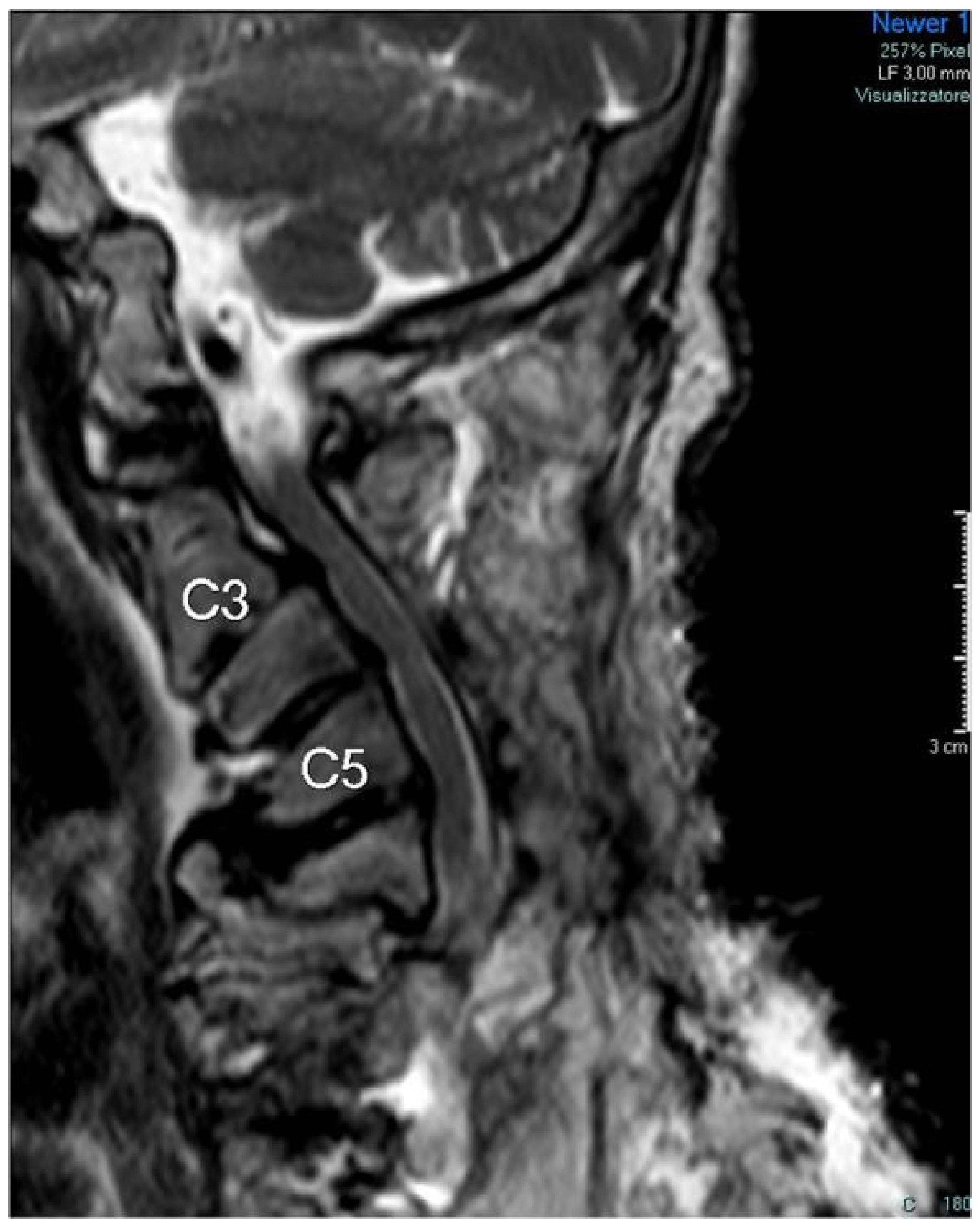
5. Follow-Up Control
Twenty months after surgery, the patient received clinical and radiological examinations. The MRI showed effective decompression of the spinal cord (Figure 8), and the patient could walk with one stick for about 50 m and reported a significant improvement in upper limb movements.
Figure 8.
MRI examination at 20 months after surgery. The third (C3) and fifth (C5) cervical vertebrae are indicated by labels.
By using the same medical imaging and 3D reconstruction procedures reported above, the post-operative virtual 3D model (POS-VIR) of the operated complex was obtained. Differently from the pre-operative computed tomography, the two fixations’ rods, as inserted in their final position and configuration, were now also visible in the medical images, and thus segmented and reconstructed, along with all the vertebral bony structures. Comparisons between the POS-VIR and PLA-VIR were performed via distance mapping analysis (Figure 9) using a dedicated software package (Geomagic Studio, 3D Systems Inc., Rock Hill, SC, USA) [7,17]. The analysis revealed average 3D deviations of 1.7 mm and 2.0 mm in model-to-model separation and interpenetration, respectively; the corresponding locally observed maximum values were 5.6 mm for both separation and interpenetration. The overall root-mean-square error was 2.1 mm for both, well-comparable to the CT axial slicing parameter.
Figure 9.
Software screenshots reporting the distance map analysis between PLA-VIR (target) and the POS-VIR (source); in red and blue were the areas of the model with the largest difference, in separation and interpenetration, respectively. In yellow and green were those with the smallest difference.
In addition, likely local rotational and translational mismatch analysis was performed between these two models using international recommendations [18]. To this end, an original set of anatomical landmarks was investigated, based on recent observations [19], and here utilized to define anatomical reference frames for each single vertebra (Figure 10). This allowed us to extract quantitative information on pre- and post-operative vertebra alignment, and on the amount of post-operative replication with respect to the preoperative planning based on the PLA-3DP model (Table 1).
Figure 10.
Anatomical reference frames (anterior-posterior, medial-lateral, and proximal-distal axis in red, green, and blue, respectively) defined on each vertebra for inter-vertebra rotational assessment in the PLA-VIR (left) and POS-VIR (right).
Table 1.
Pre- (PRE) and post-operative (POS) relative orientations of the cervical vertebrae calculated with respect to T1-based anatomical reference frame in PLA-VIR and POS-VIR.
In detail, the mean differences between PLA-VIR and POS-VIR model averaged over all vertebrae were −2.5 ± 5.6°, 4.7 ± 5.3°, and 1.6 ± 5.2° on T1-based sagittal, frontal, and transverse plane (Table 1). By considering the relative orientation between distal-proximal vertebral couples, these values were lower, being 1.6 ± 5.2°, 0.9 ± 3.2°, and 1.1 ± 4.0°, respectively. The overall vertebral rotational difference over the three anatomical planes was 1.2 ± 4.6°.
6. Discussion
This study originally presented the exploitation of 3D computer-based anatomical modelling and printing to improve correction surgery on a patient with severe cervical deformity, both for pre-surgical planning and for intra-operative support in terms of reference and guidance in relevant surgery. Compared with traditional assessments based on two-dimensional X-rays or CT images, the use of a 3D anatomical model, i.e., PRE-VIR, allows a more complete understanding of the deformity, as well as a virtual overview of the anatomical structures involved in the surgical treatment, as provided by PLA-VIR and POS-VIR models. Of note, the visibility of these structures before surgery and in the surgical planning received further enhancement thanks to the use of corresponding 3D-printed anatomical models (i.e., PRE-3DP and PLA-3DP, respectively), where bone structures were reproduced, also showing the critical vessel locations. Overall, the surgeon reported a positive experience for intra-operative use of a 3D-printed model during placement of rods and screws, following the safe locations as in PLA-3DP. Relevant numerical analyses eventually confirmed the achievement of the surgical goal with respect to the pre-operative planning. In the present work, the known procedure from medical imaging to 3D bone models was enhanced also by original biomechanical analyses: the definition of bone-based anatomical reference frames for each vertebra, the calculation of bone-to-bone alignments based on established international recommendations [18], and the 3D matching and distance map analysis for bone model comparison.
These observations concur with most of those reported in the relevant literature, though it has been difficult to find studies addressing exactly the same surgical issues on the same anatomical complex with the same thorough techniques used in the present work. Parr et al. reported that biomodelling may assist the surgical team to understand better and to deal with complex anatomy and pathologies, in addition to medical imaging used for complex spinal surgery [20]. Courvoisier et al. presented a method to reproduce patient-specific spines by 3D printing from geometric features extracted from pre-operative radiographs, thus not CT-based, to be used for surgical planning in correction surgeries in scoliotic subjects [21]. In this study, an overall discrepancy smaller than 10° was found between the planned correction based on the 3D-printed model and that obtained surgically, which was considered by those authors to be encouraging. In general, by considering applications in paediatric [22] or oncological orthopaedic surgery [23], the implementation of 3D printing in anatomical modelling, as well as in device prototyping, is considered to be of huge importance for the achievement of more precise and safe surgeries [24,25,26].
For the present work, state-of-the-art software tools, 3DP devices and materials, and biomechanical analyses were exploited, but many other different technologies can be used. The accuracy of the present virtual and physical models was taken from nominal information, which was considered well above the necessary level for the present exercise. The present exercise could not thoroughly address a cost–benefit analysis; however, roughly and practically, with a cost of a few tens of Euro for the bone physical model, many tens of minutes were saved in the operating theatre, and very potentially critical surgical situations were removed. We suggest working in a team, with the surgeon accompanied by a radiologist and bioengineer, for the multidisciplinary nature of these activities.
The use of these techniques is thus expected to increase, although further in-depth evaluations are necessary [27]. In this regard, although involving only one clinical case, the present study reports a number of original techniques in terms of anatomical modelling and biomechanical evaluations through all phases, from the initial assessment of the deformity to final postoperative evaluation of the correction achieved. All these advanced techniques, if routinely used in spine correction surgery, may offer a methodological solution to quantify the overall accuracy when adopting virtual and 3D-printed anatomical modelling. In the future, a much larger use of this technology is expected, employing the same as in the present work or others, taken from the current extensive and expanding market. Safety, accuracy, efficacy, and economical and organizational sustainability shall be addressed thoroughly in large clinical populations.
7. Conclusions
For the first time, state-of-the-art 3D techniques were used for the surgical treatment of a severe cervical spine deformity. Simulated surgery on 3D anatomical models, either virtual at the computer or physical to be handled, as those reported in the present study proved to be very helpful both for pre-operative planning and intra-operatively. Particularly in the trial surgery on the physical model, some critical aspects were found and addressed, and the fixation rods were suitably shaped according to the anatomy of the patient. All these resulted in enhanced anatomical visibility, proper and safe rod and screw positioning, and, ultimately, in considerable surgical time-saving. Additional clinical and radiological examinations will be performed on the treated patient to check for the stability of the posterior fixation and for the overall patient’s status.
Author Contributions
C.B., M.O. and F.D.I.; methodology: C.B., M.O. and A.L.; software: C.B. and M.O.; validation: C.B. and M.O.; formal analysis: C.B., M.O., A.L. and F.D.I.; investigation: C.B., M.O., M.C., L.A. and F.D.I.; resources: A.L. and F.D.I.; writing/original draft preparation: C.B. and A.L.; writing/review and editing: C.B., M.O., A.L., M.C., L.A. and F.D.I.; visualization: M.O., M.C. and L.A.; supervision: C.B. and M.O.; project administration: C.B., M.O., A.L. and F.D.I.; funding acquisition: A.L. All authors have read and agreed to the published version of the manuscript.
Funding
This study was partially funded by the Italian Ministry of Health within the “5 per Mille” program.
Institutional Review Board Statement
Local IRB approval was not required for this type of study. Informed consent for participation in this study and to publish related anonymized information/images was obtained from the patient.
Informed Consent Statement
Signed informed consent for participation in this study and to publish related anonymized information/images was obtained from all patients.
Data Availability Statement
The datasets used and/or analyzed during the current study are available from the corresponding author upon reasonable request.
Conflicts of Interest
All authors declare that there are no personal or commercial relationships related to this work that would lead to a conflict of interest.
References
- Scheer, J.K.; Tang, J.A.; Smith, J.S.; Acosta, F.L., Jr.; Protopsaltis, T.S.; Blondel, B.; Bess, S.; Shaffrey, C.I.; Deviren, V.; Lafage, V.; et al. International Spine Study G (2013) Cervical spine alignment, sagittal deformity, and clinical implications: A review. J. Neurosurg. Spine 2013, 19, 141–159. [Google Scholar] [CrossRef]
- Dru, A.B.; Lockney, D.T.; Vaziri, S.; Decker, M.; Polifka, A.J.; Fox, W.C.; Hoh, D.J. Cervical Spine Deformity Correction Techniques. Neurospine 2019, 16, 470–482. [Google Scholar] [CrossRef]
- Sharan, A.D.; Krystal, J.D.; Singla, A.; Nassr, A.; Kang, J.D.; Riew, K.D. Advances in the understanding of cervical spine deformity. Instr. Course Lect. 2015, 64, 417–426. [Google Scholar]
- Yeom, J.S.; Buchowski, J.M.; Kim, H.J.; Chang, B.S.; Lee, C.K.; Riew, K.D. Risk of vertebral artery injury: Comparison between C1-C2 transarticular and C2 pedicle screws. Spine J. 2013, 13, 775–785. [Google Scholar] [CrossRef]
- Guo, F.; Dai, J.; Zhang, J.; Ma, Y.; Zhu, G.; Shen, J.; Niu, G. Individualized 3D printing navigation template for pedicle screw fixation in upper cervical spine. PLoS ONE 2017, 12, e0171509. [Google Scholar] [CrossRef]
- Rahmathulla, G.; Nottmeier, E.W.; Pirris, S.M.; Deen, H.G.; Pichelmann, M.A. Intraoperative image-guided spinal navigation: Technical pitfalls and their avoidance. Neurosurg. Focus 2014, 36, E3. [Google Scholar] [CrossRef]
- Durastanti, G.; Leardini, A.; Siegler, S.; Durante, S.; Bazzocchi, A.; Belvedere, C. Comparison of cartilage and bone morphological models of the ankle joint derived from different medical imaging technologies. Quant. Imaging Med. Surg. 2019, 9, 1368–1382. [Google Scholar] [CrossRef]
- Matsiushevich, K.; Belvedere, C.; Leardini, A.; Durante, S. Quantitative comparison of freeware software for bone mesh from DICOM files. J. Biomech. 2019, 84, 247–251. [Google Scholar] [CrossRef]
- Belvedere, C.; Ortolani, M.; Marcelli, E.; Bortolani, B.; Matsiushevich, K.; Durante, S.; Cercenelli, L.; Leardini, A. Comparison of Bone Segmentation Software over Different Anatomical Parts. Appl. Sci. 2022, 12, 6097. [Google Scholar] [CrossRef]
- Fidanza, A.; Perinetti, T.; Logroscino, G.; Saracco, M. 3D Printing Applications in Orthopaedic Surgery: Clinical Experience and Opportunities. Appl. Sci. 2022, 12, 3245. [Google Scholar] [CrossRef]
- Salazar, D.; Huff, T.J.; Cramer, J.; Wong, L.; Linke, G.; Zuniga, J. Use of a three-dimensional printed anatomical model for tumor management in a pediatric patient. SAGE Open Med. Case Rep. 2020, 8, 2050313X2092760. [Google Scholar] [CrossRef]
- Belvedere, C.; Siegler, S.; Fortunato, A.; Caravaggi, P.; Liverani, E.; Durante, S.; Ensini, A.; Konow, T.; Leardini, A. New comprehensive procedure for custom-made total ankle replacements: Medical imaging, joint modeling, prosthesis design, and 3D printing. J. Orthop. Res. 2019, 37, 760–768. [Google Scholar] [CrossRef]
- Chen, P.C.; Chang, C.C.; Chen, H.T.; Lin, C.Y.; Ho, T.Y.; Chen, Y.J.; Tsai, C.H.; Tsou, H.K.; Lin, C.S.; Chen, Y.W.; et al. The Accuracy of 3D Printing Assistance in the Spinal Deformity Surgery. Biomed. Res. Int. 2019, 2019, 7196528. [Google Scholar] [CrossRef]
- Baskaran, V.; Strkalj, G.; Strkalj, M.; Di Ieva, A. Current Applications and Future Perspectives of the Use of 3D Printing in Anatomical Training and Neurosurgery. Front. Neuroanat. 2016, 10, 69. [Google Scholar] [CrossRef]
- Anderson, P.A. Clinical Applications of 3D Printing. Spine 2017, 42 (Suppl. S7), S30–S31. [Google Scholar] [CrossRef]
- Garg, B.; Mehta, N. Current status of 3D printing in spine surgery. J. Clin. Orthop. Trauma 2018, 9, 218–225. [Google Scholar] [CrossRef]
- Siegler, S.; Konow, T.; Belvedere, C.; Ensini, A.; Kulkarni, R.; Leardini, A. Analysis of surface-to-surface distance mapping during three-dimensional motion at the ankle and subtalar joints. J. Biomech. 2018, 76, 204–211. [Google Scholar] [CrossRef]
- Grood, E.S.; Suntay, W.J. A joint coordinate system for the clinical description of three-dimensional motions: Application to the knee. J. Biomech. Eng. 1983, 105, 136–144. [Google Scholar] [CrossRef]
- Ferrari, A.; Benedetti, M.G.; Pavan, E.; Frigo, C.; Bettinelli, D.; Rabuffetti, M.; Crenna, P.; Leardini, A. Quantitative comparison of five current protocols in gait analysis. Gait Posture 2008, 28, 207–216. [Google Scholar] [CrossRef]
- Parr, W.C.H.; Burnard, J.L.; Wilson, P.J.; Mobbs, R.J. 3D printed anatomical (bio)models in spine surgery: Clinical benefits and value to health care providers. J. Spine Surg. 2019, 5, 549–560. [Google Scholar] [CrossRef]
- Courvoisier, A.; Cebrian, A.; Simon, J.; Désauté, P.; Aubert, B.; Amabile, C.; Thiébaut, L. Virtual Scoliosis Surgery Using a 3D-Printed Model Based on Biplanar Radiographs. Bioengineering 2022, 9, 469. [Google Scholar] [CrossRef]
- Coote, J.D.; Nguyen, T.; Tholen, K.; Stewart, C.; Verter, E.; McGee, J.; Celestre, P.; Sarkar, K. Three-Dimensional Printed Patient Models for Complex Pediatric Spinal Surgery. Ochsner J. 2019, 19, 49–53. [Google Scholar] [CrossRef]
- Leary, O.P.; Crozier, J.; Liu, D.D.; Niu, T.; Pertsch, N.J.; Camara-Quintana, J.Q.; Svokos, K.A.; Syed, S.; Telfeian, A.E.; Oyelese, A.A.; et al. Three-Dimensional Printed Anatomic Modeling for Surgical Planning and Real-Time Operative Guidance in Complex Primary Spinal Column Tumors: Single-Center Experience and Case Series. World Neurosurg. 2021, 145, e116–e126. [Google Scholar] [CrossRef]
- Hoang, D.; Perrault, D.; Stevanovic, M.; Ghiassi, A. Surgical applications of three-dimensional printing: A review of the current literature & how to get started. Ann. Transl. Med. 2016, 4, 456. [Google Scholar] [CrossRef]
- Senkoylu, A.; Daldal, I.; Cetinkaya, M. 3D printing and spine surgery. J. Orthop. Surg. 2020, 28, 230949902092708. [Google Scholar] [CrossRef]
- Punyaratabandhu, T.; Liacouras, P.C.; Pairojboriboon, S. Using 3D models in orthopedic oncology: Presenting personalized advantages in surgical planning and intraoperative outcomes. 3D Print. Med. 2018, 4, 1–13. [Google Scholar] [CrossRef]
- Morgan, C.; Khatri, C.; Hanna, S.A.; Ashrafian, H.; Sarraf, K.M. Use of three-dimensional printing in preoperative planning in orthopaedic trauma surgery: A systematic review and meta-analysis. World J. Orthop. 2019, 11, 57–67. [Google Scholar] [CrossRef]
Publisher’s Note: MDPI stays neutral with regard to jurisdictional claims in published maps and institutional affiliations. |
© 2022 by the authors. Licensee MDPI, Basel, Switzerland. This article is an open access article distributed under the terms and conditions of the Creative Commons Attribution (CC BY) license (https://creativecommons.org/licenses/by/4.0/).









