Abstract
A flipper is an interim removable partial denture used for immediate esthetic restoration and space maintenance for a limited period before definitive treatment. Traditional methods for fabricating flippers are labor-intensive and manual. With the advent of technological advancement in dentistry, fully digitalized fabrication including computer designing and three-dimensional (3D) printing can be used. This study aimed to demonstrate the complete digital workflow for fabricating flippers and compare the features of different digital methods. In a partially edentulous patient, three flippers were fabricated using different digital protocols: individual printing (tooth and base parts) and combination, i.e., one-body printing and gingival layering and one-body printing and gingival coloring. Each flipper was tried into the oral cavity, and the adaptation of flippers was evaluated using the triple-scan technique. This study confirms that fully digital fabrication of a flipper is an effective method compared with traditional methods and shows various digital workflows available in 3D printing. Thus, an appropriate fabrication method must be selected for each situation.
1. Introduction
A flipper is an interim removable partial denture with several prosthetic teeth attached and used as a treatment for a limited period before definitive treatment [1,2]. It is employed as an interim solution to act as a space maintainer and immediate esthetic solution and restores function until replaced by a definitive prosthesis [1,3]. Flippers are usually indicated following teeth extractions because of injury or dental caries in the esthetic zone or during healing while waiting for implant-supported fixed dental prostheses [2].
Tooth loss can affect the individual’s psychological health [4] and, to preserve psychological and social well-being, fabricating flippers would be a viable alternative [5]. In addition, flippers help in conditioning the patient to accept the artificial replacement for the natural teeth until definitive treatment [5]. Flippers cannot function as effectively as permanent prostheses and are only designed for cosmetic substitution if it is tissue-borne [6]. Moreover, the retention of flippers depends upon how snugly they fit into the underlying tissue [2].
In the rapidly evolving field of dentistry, the incorporation of digital workflow has revolutionized the fabrication of prostheses, significantly impacting patient care. The integration of digital impressions, computer-aided design, and computer-aided manufacturing (CAD-CAM) has profoundly changed the treatment approach by enhancing accuracy, efficiency, and patient comfort, benefiting both dental professionals and patients [7]. In contrast, traditional methods for fabricating removable dentures involve labor-intensive manual procedures such as artificial tooth arrangement, wax festooning, resin packing, and heat curing. These processes are associated with inconsistencies, processing glitches, and numerous clinical appointments [8,9]. The use of digital workflows eliminates the constraints associated with conventional approaches, thus surpassing traditional denture fabrication methods [10,11].
There are primarily two types of digital fabrication techniques: subtractive and additive manufacturing [12]. In the subtractive method, a pre-polymerized blank is used to machine the final product. Despite the many benefits of subtractive manufacturing, its high waste output makes it less ecologically friendly. On the contrary, the additive method emerges as an advancing and highly promising technology within the realm of prosthodontics [13]. Among contemporary three-dimensional (3D) printing technologies, vat photopolymerization is the most commonly used, which utilizes ultraviolet laser or high-power light projection to selectively cure the liquid resin in a vat layer by layer. As a key advantage, 3D printing can reproduce complex structures or geometries including hollow parts by stacking materials, reducing material consumption [9]. Consequently, 3D printing has become a more sustainable technique for producing intricate structures with improved accuracy and efficiency [14].
Thus, this clinical report aimed to demonstrate the complete digital workflow for fabricating flippers in a partially edentulous patient and compare the features of different digital fabrication methods.
2. Case Description
2.1. History and Clinical Examination
A 68-year-old woman presented with pain in the right maxillary canine teeth and complained of recurring pus formation. On anamnesis, it was revealed that she was under medication for hypertension and osteoporosis. During the clinical examination, it was observed that the right maxillary canine (#13) was periodontally involved with a sinus tract opening. Orthopantomogram showed radiolucency at the root apex of the right maxillary canine indicating a periodontal abscess.
2.2. Treatment Planning
After a clinical and radiographic assessment, the right maxillary canine (#13) was deemed non-restorable. Early treatment was proposed, consisting of the extraction of the involved tooth and immediate replacement of the missing tooth with a flipper before definitive rehabilitation with implant-supported fixed dental prosthesis (Figure 1). This study was performed in line with the principles of the Declaration of Helsinki. The protocol of this study was approved by the Institutional Review Board of Kyungpook National University Dental Hospital (KNUDH-2023-10-02).
Figure 1.
Initial intraoral photographs. (A) Oblique view. (B) Occlusal view.
2.3. Fabrication of Flippers
The digital impression of the maxillary and mandibular dental arches was made with an intraoral scanner (i700, Medit, Seoul, Republic of Korea) and saved in the polygon (PLY) format (Figure 2). After importing the scans to CAD software (DentalCAD 3.0 Galway, EXO-CAD GmbH, Darmstadt, Germany), the flipper was designed, and the software generated the designed flipper in separate parts for the tooth and base, but they can be merged also (Figure 3). Data generated were exported to a slicing software (ASIGA Composer 2.0, ASIGA, Sydney, Australia) to segment the 3D model to two-dimensional cross-sectional images for printing, and then three flippers were fabricated using a 3D printer (ASIGA UV Max, ASIGA, Sydney, Australia) in three ways. First, an artificial tooth and denture base were printed separately using tooth-colored photopolymerizing resin (Tera Harz TC-80DP A2, Graphy, Seoul, Republic of Korea) and pink-colored UV light-polymerizing resin (Tera Harz Flexible Denture—TFDH, Graphy, Seoul, Republic of Korea) for the tooth and base parts (Figure 4A). Afterward, to eliminate the residual photopolymer, the printed parts were cleaned with 99.5% isopropyl alcohol in an ultrasonic cleaner. The base part was first polymerized in an ultraviolet curing chamber (Tera Harz Cure, Graphy, Seoul, Republic of Korea) for 5 min and then additionally polymerized for 2 min with the tooth part that was seated in the socket. In this procedure, the liquid photopolymerizing resin (Tera Harz TFD-26, Seoul, Republic of Korea) was added to the socket to bond the tooth to the base (Figure 4B,C). Second, to fabricate the monochromatic one-body flipper, the models of the tooth and base parts were merged in the CAD software (DentalCAD 3.0 Galway). The combined design model was printed using tooth-colored photopolymerizing resin (Tera Harz II BR-23, A2, Graphy, Seoul, Republic of Korea) (Figure 5A). After cleaning with 99.5% isopropyl alcohol in an ultrasonic cleaner, the post-curing process was conducted for 5 min in the ultraviolet curing chamber (Tera Harz Cure, Seoul, Republic of Korea). Then, the cameo surface of the denture base was removed 1 mm in depth and layered with gum-colored resin (ProBase Cold; Ivoclar Vivadent AG, Schaan, Liechtenstein) (Figure 5B). Lastly, the monochromatic one-body flipper was printed and cured as described in the second method (Figure 6A). To match the cameo surface of the monochromatic flipper to the gingival color, the buccal surface was stained with a light-cured characterization material (OPTIGLAZE color, GC, Tokyo, Japan) (Figure 6B). The characteristics of the 3D printed materials used in this study are listed in Table 1.
Figure 2.
Initial intraoral scan.
Figure 3.
Computer-aided design of the flipper. (A) Individual design of the base and tooth parts. (B) Combination of the design parts.
Figure 4.
Individual printing and the combination method. (A) 3D printing of separate parts. (B) Bonding of the printed tooth and base. (C) Combined flipper.
Figure 5.
One-body printing and gingival layering method. (A) Monochromatic printed flipper. (B) Flipper after layering with the gingiva resin.
Figure 6.
One-body printing and gingival coloring method. (A) Monochromatic printed flipper. (B) Flipper after gingiva characterization coloring.
Table 1.
Characteristics of 3D printing materials.
2.4. Fit Accuracy Analysis of the Flippers
Each flipper was tried in the patient’s mouth (Figure 7), and adaptation was evaluated using the triple-scan technique [15,16] (Figure 8). For the triple-scan technique, three digital scans were taken using an intraoral optical scanner (i700). The first scan was an intraoral scan of the maxilla; the second, a fabricated flipper alone; and the third, the flipper seated in the defect area of the mouth. Data from these three scans were transferred to image inspection software (Geomagic DesignX, 3D Systems, Rock Hill, SC, USA). In the software, the first and second scans were aligned to the third scan using a point-cloud-based best-fit algorithm. After image matching, the third scan image was deleted. The results of the color-coded map on the fit accuracy of the flippers showed favorable adaptation of the flippers, and no significant difference was noted among the flippers fabricated using different methods (Figure 9). The buccolingual cross-sectional line images obtained at the position of the artificial tooth (#13) showed a discrepancy in tooth position within 0.5 mm.
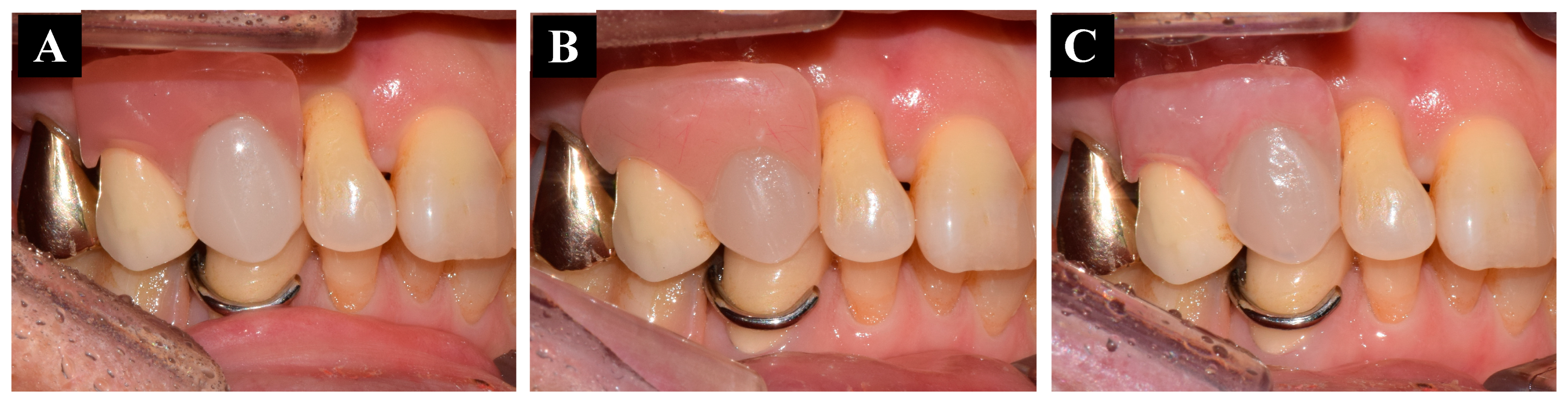
Figure 7.
Delivery of flippers. (A) Individual printing and combination method. (B) One-body printing and gingival layering method. (C) One-body printing and gingival coloring method.
Figure 8.
Triple-scan technique for evaluating adaptation of flippers.
Figure 9.
Color-coded map and cross-sectional images showing the adaptation of flippers. (A) Individual printing and combination method. (B) One-body printing and gingival layering method. (C) One-body printing and gingival coloring method.
3. Discussion
In this case report, we described a digital workflow for fabricating a flipper utilizing different printing strategies. Digital techniques such as intraoral scanning, computer designing, and 3D printing are viable alternatives and have advantages over conventional fabrication methods. Intraoral scanners are employed to create precise digital impressions, reducing patient discomfort. The use of CAD-CAM ensures accuracy in designing and fabricating prostheses, and 3D digital models can be utilized to achieve a perfect fit [8]. Digital dentistry allows for the customization of prostheses to harmonize with the patient’s natural teeth, improving aesthetics and significantly reducing fabrication time [17,18]. Stored data can be used to refabricate the denture in the case of loss or fracture [19]. Furthermore, it enhances communication between the dentist and the patient, enabling the patient to make well-informed decisions regarding the treatment, leading to greater patient satisfaction. Thus, fabricating interim removable partial dentures has become streamlined with the use of digital technologies [10].
This case report proposed three techniques to fabricate flippers. First, the denture base and teeth were printed separately and bonded [20]. A flexible denture resin was used to print the base, and a resin with higher mechanical properties than a flexible resin was used to print the artificial tooth, which made the printed tooth sturdier. Second, a monochromatic flipper using photopolymer resin was printed, and to match the color of the facial flange of the flipper to the gingiva, approximately 1 mm layer of the material was removed and layered with the gum-colored resin. Third, the printed monochromatic flipper was stained with the characterization material to make it look like a natural gingiva to give a natural appearance [20]. Among the three mentioned approaches, the first one was more time-intensive because the denture base and tooth were printed with different materials. In addition, caution should be exercised while seating the tooth onto the socket of the denture base to ensure correct placement and reduce the chances of debonding. Meanwhile, the second and third methods use one-time printing for the whole structure; accordingly, the fabrication time was faster than the first method and not at risk of separation between the tooth and base parts. However, because the material used for the one-body printing should meet the properties required for both the tooth and denture base parts, the hardness and strength of the material were lower than the resin employed in the first approach to printing the tooth. Therefore, the flippers fabricated by one-body printing could be susceptible to tooth wear and fracture.
Regarding the color tone, the method of separately printing the gingival part using a denture base resin can produce a consistent and natural color tone compared with the coloring method. The second method, i.e., removing a layer of resin on the cameo surface of the base and layering the gingival color material, can also provide a favorable shade; however, prudence must be exercised to maintain denture thickness; otherwise, the thickness of the denture base will increase, which will make the prosthesis bulky. The third method, i.e., coloring using the color-characterizing material, is the fastest way but could be less aesthetically appealing than the other methods. The unaesthetic appearance of the color tone might be due to the low transparency of the coloring coating that requires masking the tooth color of the underlying material. Moreover, the characteristics of the material coating on the printed prosthesis could have low longevity.
As computer imaging, designing, and 3D printing technologies develop, digital manufacturing of removable dentures is being attempted. Facial scanning can also be adapted to increase the predictability of treating patients with maxillofacial trauma [21]. By incorporating facial scans or virtual simulations into the digital workflow, clinicians can analyze facial features like lip support and midline to create overall facial harmony in creating personalized prostheses. This approach ensures accurate customization and improved communication between patient and dentist, ultimately leading to more predictable and aesthetically pleasing outcomes that align with the patient’s unique facial characteristics [22].
The use of digital techniques has certain advantages; however, considering that 3D printing materials generally have lower mechanical properties than heat polymerization materials that are used for conventional methods, dentures must be designed carefully, considering the thickness of the denture base to reduce fracture risk [23]. Moreover, proficiency in computer design is essential for the digital denture manufacturing method. The color stability of 3D-printed prostheses is lower than that of the milled conventional methods. This is because the layered structure creates a less smooth surface finish that can be corrected by additional post-processing steps such as polishing or coating to achieve desired surface properties [18]. Additionally, the range of materials used in digital fabrication is limited compared to traditional methods, which can impact the final prosthesis’s durability. Although digital workflows offer high precision, errors in scanning or design processes can lead to inaccurate results [12]. Even though the cost of 3D printers has decreased, the high-quality 3D printers capable of producing durable medical-grade prosthetics can still be expensive, impacting the overall cost of prostheses [18].
Flipper fabrication requires design accuracy, retention, and better adaptation to the underlying tissues [14]. In the present case, the flipper fabrication protocols were described in detail, and the designed flippers showed good adaptation on evaluation of fit accuracy. Due to the nature of the clinical case report study, there are constraints in quantitative analysis and in-depth statistical analysis. In the future, more comprehensive clinical studies, such as randomized controlled trials, are needed to examine various outcome variables of the flippers fabricated using the three different approaches and to generalize the findings of this present study. To increase the clinical use of digital technology, research not only on the development of materials but also on clinical factors such as long-term prognosis and patient satisfaction is needed.
4. Conclusions
Fully digitalized flipper fabrication is a viable method that can replace traditional manufacturing methods and has advantages because of its digital characteristics. Several 3D printing strategies can be used, and the features of each method must be well understood and used selectively according to the situation.
Author Contributions
S.R. contributed to the study conception and design, analysis, and writing of the original draft; D.-H.L. contributed to formal analysis, methodology, writing review, and project administration. All authors have read and agreed to the published version of the manuscript.
Funding
This work was supported by the Korea Medical Device Development Fund grant funded by the Korean government (the Ministry of Science and ICT, the Ministry of Trade, Industry, and Energy, the Ministry of Health and Welfare, and the Ministry of Food and Drug Safety, Republic of Korea) (Project Number: 202011A02) (RS-2020-KD000002).
Institutional Review Board Statement
This study design was approved by the Institutional Review Board of Kyungpook National University Dental Hospital (KNUDH-2023-10-02).
Informed Consent Statement
Patient consent was waived for the present study because the procedure was performed as part of an ordinary prosthetic treatment.
Data Availability Statement
The data presented in this study are contained within the article.
Acknowledgments
The authors thank Kyung-Rok Kim for his exceptional contributions and laboratory work during this experiment.
Conflicts of Interest
The authors declare no conflicts of interest.
References
- Singh, K.; Aeran, H.; Kumar, N.; Gupta, N. Flexible thermoplastic denture base materials for aesthetical removable partial denture framework. J. Clin. Diagn. Res. 2013, 7, 2372–2373. [Google Scholar] [CrossRef]
- Pellizzer, E.P.; Mazaro, J.V.; Verri, F.R.; Antenucci, R.M.; Goiato, M.C. Removable partial denture in combination with a milled fixed partial prosthesis as interim restorations in long-term treatment. J. Prosthodont. 2010, 19, 77–80. [Google Scholar] [CrossRef]
- Zhang, H.; Lee, R.; Chung, K.H. A technique to fabricate a customized interim removable partial denture. J. Prosthet. Dent. 2009, 102, 187–190. [Google Scholar] [CrossRef]
- Polyzois, G.; Lagouvardos, P.; Kranjcic, J.; Vojvodic, D. Flexible Removable Partial Denture Prosthesis: A Survey of Dentists’ Attitudes and Knowledge in Greece and Croatia. Acta Stomatol. Croat. 2015, 49, 316–324. [Google Scholar] [CrossRef]
- Winkler, S.; Wood, R.; Boberick, K.G.; Perizzolo, D.; Knowles, T.; Heideman, G.; Graham, L. An interim denture technique and case reports. J. Oral Implantol. 2005, 31, 129–133. [Google Scholar] [CrossRef]
- Hill, E.E.; Rubel, B.; Smith, J.B. Flexible removable partial dentures: A basic overview. Gen. Dent. 2014, 62, 32–36. [Google Scholar]
- Mubaraki, M.Q.; Moaleem, M.M.A.; Alzahrani, A.H.; Shariff, M.; Alqahtani, S.M.; Porwal, A.; Al-Sanabani, F.A.; Bhandi, S.; Tribst, J.P.M.; Heboyan, A.; et al. Assessment of conventionally and digitally fabricated complete dentures: A comprehensive review. Materials 2022, 15, 3868. [Google Scholar] [CrossRef]
- Dusmukhamedov, S.; Lee, C.N.; Jeong, S.M.; Choi, B.H. Digital denture fabrication: A technical note. Appl. Sci. 2021, 11, 8093. [Google Scholar] [CrossRef]
- Lin, W.S.; Harris, B.T.; Pellerito, J.; Morton, D. Fabrication of an interim complete removable dental prosthesis with an in-office digital light processing three-dimensional printer: A proof-of-concept technique. J. Prosthet. Dent. 2018, 120, 331–334. [Google Scholar] [CrossRef] [PubMed]
- Piao, X.; Park, J.M.; Kim, D.H.; Shim, J.S. Application of additive and subtractive manufacturing technology for a digitally fabricated removable partial denture after a partial maxillectomy: A clinical report. J. Prosthet. Dent. 2022, 127, 184–188. [Google Scholar] [CrossRef] [PubMed]
- Jurado, C.A.; Tsujimoto, A.; Alhotan, A.; Villalobos-Tinoco, J.; AlShabib, A. Digitally Fabricated Immediate Complete Dentures: Case Reports of Milled and Printed Dentures. Int. J. Prosthodont. 2020, 33, 232–241. [Google Scholar] [CrossRef]
- Anadioti, E.; Musharbash, L.; Blatz, M.B.; Papavasiliou, G.; Kamposiora, P. 3D printed complete removable dental prostheses: A narrative review. BMC Oral Health 2020, 20, 343. [Google Scholar] [CrossRef]
- Karasan, D.; Legaz, J.; Boitelle, P.; Mojon, P.; Fehmer, V.; Sailer, I. Accuracy of Additively Manufactured and Milled Interim 3-Unit Fixed Dental Prostheses. J. Prosthodont. 2022, 31, 58–69. [Google Scholar] [CrossRef]
- Stansbury, J.W.; Idacavage, M.J. 3D printing with polymers: Challenges among expanding options and opportunities. Dent. Mater. 2016, 32, 54–64. [Google Scholar] [CrossRef]
- Li, R.; Chen, H.; Wang, Y.; Sun, Y. Suitability of the triple-scan method with a dental laboratory scanner to assess the 3D adaptation of zirconia crowns. J. Prosthet. Dent. 2021, 125, 651–656. [Google Scholar] [CrossRef] [PubMed]
- Mai, H.Y.; Lee, W.K.; Kwon, T.G.; Lee, D.H. Reliability of digital measurement methods on the marginal fit of fixed prostheses: A systematic review and meta-analysis of in vitro studies. J. Prosthet. Dent. 2020, 124, 350.e1–350.e11. [Google Scholar] [CrossRef]
- Dib Zakkour, S.; Dib Zakkour, J.; Guadilla, Y.; Montero, J.; Dib, A. Comparative Evaluation of the Digital Workflow and Conventional Method in Manufacturing Complete Removal Prostheses. Materials 2023, 16, 6955. [Google Scholar] [CrossRef] [PubMed]
- Bernauer, S.A.; Zitzmann, N.U.; Joda, T. The Complete Digital Workflow in Fixed Prosthodontics Updated: A Systematic Review. Healthcare 2023, 11, 679. [Google Scholar] [CrossRef]
- Virard, F.; Venet, L.; Richert, R.; Pfeffer, D.; Viguié, G.; Bienfait, A.; Farges, J.C.; Ducret, M. Manufacturing of an immediate removable partial denture with an intraoral scanner and CAD-CAM technology: A case report. BMC Oral Health 2018, 18, 120. [Google Scholar] [CrossRef] [PubMed]
- Mendonça, G.; Edwards, S.P.; Mayers, C.A.; Meneghetti, P.C.; Liu, F. Digital Immediate Complete Denture for a Patient with Rhabdomyosarcoma: A Clinical Report. J. Prosthodont. 2021, 30, 196–201. [Google Scholar] [CrossRef] [PubMed]
- Wang, J.; An, Y.X.; Shi, Y.L.; Liu, L.P.; Zhao, Y.Q.; Wu, F.; Wei, H.B. A digital workflow to predict facial aesthetics in patients with maxillofacial trauma with implant retained prostheses. J. Prosthodont. Res. 2023, 67, 481–486. [Google Scholar] [CrossRef]
- Li, Y.; Yu, Y.; Feng, Y.; Liu, W. Predictable digital restorative workflow for minimally invasive esthetic rehabilitation utilizing a virtual patient model with global diagnosis principle. J. Esthet. Restor. Dent. 2022, 34, 769–775. [Google Scholar] [CrossRef]
- Choi, J.J.E.; Uy, C.E.; Plaksina, P.; Ramani, R.S.; Ganjigatti, R.; Waddell, J.N. Bond Strength of Denture Teeth to Heat-Cured, CAD/CAM and 3D Printed Denture Acrylics. J. Prosthodont. 2020, 29, 415–421. [Google Scholar] [CrossRef]
Disclaimer/Publisher’s Note: The statements, opinions and data contained in all publications are solely those of the individual author(s) and contributor(s) and not of MDPI and/or the editor(s). MDPI and/or the editor(s) disclaim responsibility for any injury to people or property resulting from any ideas, methods, instructions or products referred to in the content. |
© 2024 by the authors. Licensee MDPI, Basel, Switzerland. This article is an open access article distributed under the terms and conditions of the Creative Commons Attribution (CC BY) license (https://creativecommons.org/licenses/by/4.0/).








