Abstract
The surgical management of vestibular schwannomas should be based on their presentation, neuro-imaging findings, surgeons’ expertise, and logistics. Multi-stage surgery can be beneficial for large-sized lesions with acute presentations. Herein, we highlighted the indications for two cases managed initially through the retrosigmoid and, subsequently, translabyrinthine approaches. The first case presented with acute balance and gait issues and a long history of hearing loss and blurred vision. Neuroimaging findings revealed a cerebellopontine angle lesion, resembling a vestibular schwannoma, with significant brainstem compression and hydrocephalus. Due to the rapidly deteriorating clinical status and large-sized tumor, we first proceeded with urgent decompression via a retrosigmoid approach, followed by gross total resection via a translabyrinthine approach two weeks later. The second case presented with gradually worsening dizziness and hemifacial numbness accompanied by acute onset severe headaches and hearing loss. Neuroimaging findings showed a large cerebellopontine angle lesion suggestive of a vestibular schwannoma with acute intratumoral hemorrhage. Given the acute clinical deterioration and large size of the tumor, we performed urgent decompression with a retrosigmoid approach followed by gross total resection through a translabyrinthine approach a week later. Post-surgery, both patients showed excellent recovery. When managing acutely presented large-sized vestibular schwannomas, immediate surgical decompression is vital to avoid permanent neurological deficits.
1. Introduction
Vestibular schwannomas (VSs) account for 90–95% of tumors found in the cerebellopontine angle (CPA). Depending on their size and location, these tumors present with a range of symptoms. These can be as mild as mild headaches, tinnitus, vertigo, disequilibrium, and mild unilateral hearing loss, whereas large VSs might present with severe symptoms of other cranial nerves (mainly trigeminal, facial, and lower cranial nerves), intentional tremor, gait ataxia, and hydrocephalus. Furthermore, sizeable tumors can occasionally bleed internally, resulting in sudden onset hearing loss, new or exacerbated symptoms of cranial nerves, CPA syndrome, and even sudden alterations in mental status [1].
The treatment of VSs should be individualized for every patient. Depending on the patient’s specifics, observation, surgery, radiosurgery, or a combination of these can be chosen. Elderly asymptomatic patients with tumors confined to the internal auditory canal (IAC) are best suited for observation. Regardless of tumor size, surgery aiming for complete tumor removal offers a cure while preserving the facial nerve functionality. For those who have residual tumors or with small- to medium-size tumors who cannot tolerate surgery, radiosurgery is a viable option.
For the surgical management of VSs, three main approaches can be utilized: the retrosigmoid, the translabyrinthine, and the middle fossa approach, or sometimes combinations or variations of these [1,2,3,4,5]. Besides these most widely used approaches, there are other combinations and variations that could be utilized in some selected cases, but with limited indications [6,7,8,9]. Factors such as the size and extension of the tumor and the patient’s hearing status play crucial roles in the choice of surgical approach.
Regardless of the selected surgical approach, surgical treatment of large VSs (>3 cm) presents significant challenges. Surgical treatment of large VSs is often associated with higher morbidity, increased complications, and less favorable facial nerve outcomes compared to smaller VSs [10,11,12]. For the surgical treatment of large VSs, two-stage surgery was introduced to enhance the outcomes, and several two-stage surgical series have been published [10,11,12,13,14,15,16].
In this report, we present two large VS cases in which both initially underwent emergency surgery using the retrosigmoid approach, followed by an elective secondary procedure for gross total removal through the translabyrinthine approach. However, the rationale for the staging varied between the two cases. We highlight these cases to illustrate the criteria for employing multi-stage surgeries to manage large VSs.
2. Results
2.1. Case 1
A 52-year-old man presented with a progressive decline in his left ear hearing and blurry vision over the past 18 months. In addition, he recently began to experience balance and gait problems which had notably worsened in the past few weeks. Following an episode of dizziness that resulted in a fall and subsequent emergency room admission, a CT scan of the head revealed a large lesion in the left CPA. His initial audiogram showed sensorineural hearing loss in the left ear, accompanied by a total lack of word recognition.
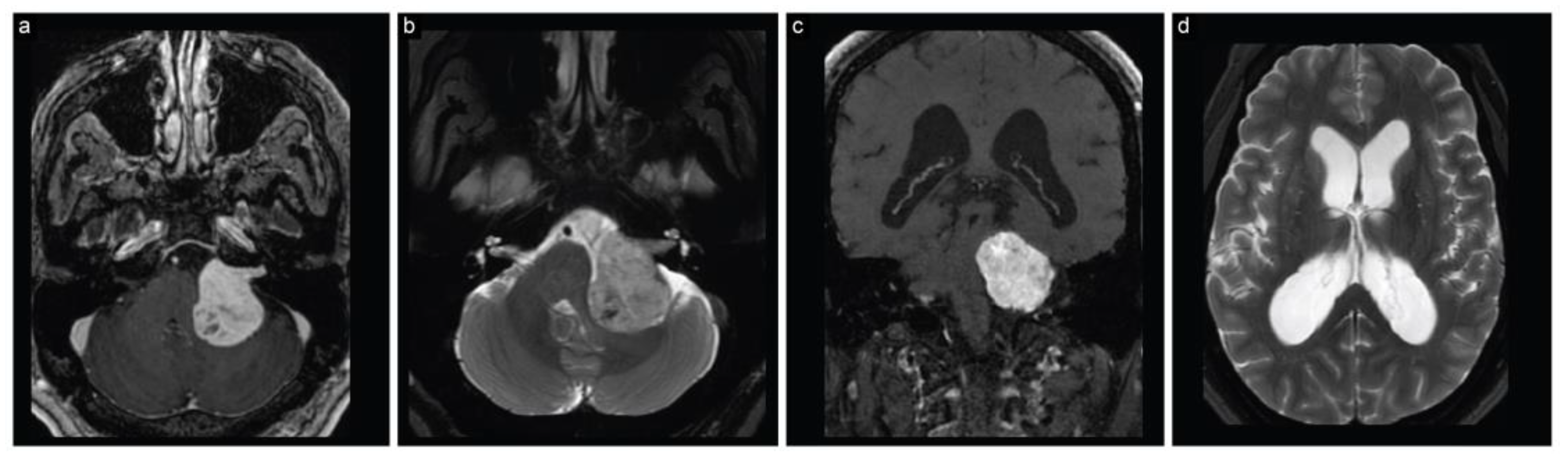
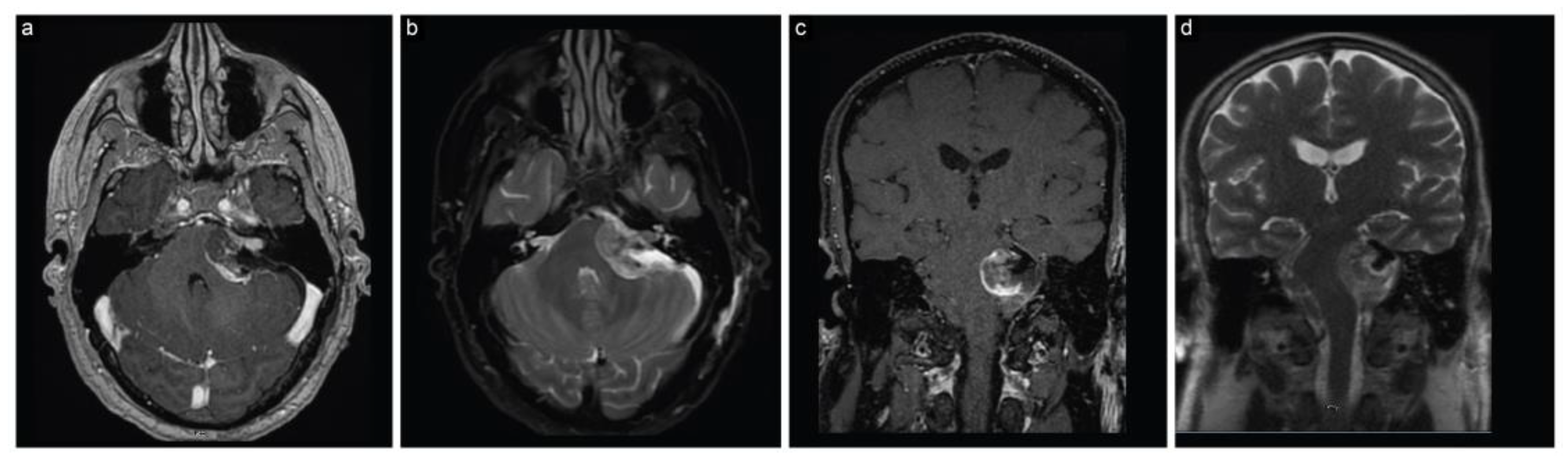
The patient immediately had a cranial MRI that displayed a sizeable (4 cm × 3.5 cm × 3.3 cm) left CPA lesion, consistent with a vestibular schwannoma (Figure 1). The lesion caused marked compression on the brainstem and fourth ventricle, resulting in hydrocephalus.
Figure 1.
Case 1, preoperative neuroimaging. (a) Axial T1-weighted postcontrast, (b) axial T2-weighted, (c) coronal T1-weighted postcontrast, and (d) axial T2-weighted MRI scans show a large CPA lesion suggesting a vestibular schwannoma along with hydrocephalus.
Considering the large size of the tumor, the significant compression it caused on the brainstem and fourth ventricle, the accompanying hydrocephalus, and the rapidly deteriorating balance and gait problems, we decided to urgently commence with initial decompression through a retrosigmoid approach. We had also planned for an elective second stage to achieve gross total resection using a translabyrinthine approach (Supplementary Video).
Before the initial surgery, a ventriculostomy catheter was inserted in the left frontal region.
With the patient positioned supine, we slightly rotated the head to the right and used neuronavigation to mark the locations of the sigmoid and transverse sinuses. We then made a postauricular C-shape skin incision and lifted a myocutaneous flap. Subsequently, a retrosigmoid craniotomy was carried out using a single burr hole, located just below the junction of the sigmoid and transverse sinus.
The dura was opened in a C-shaped fashion, followed by the draining of cerebrospinal fluid from the lateral cerebellomedullary cistern to relax the cerebellum. As the arachnoid dissection progressed, the tumor came into view. Once we confirmed the facial nerve-free tumor regions with a facial nerve stimulator, the tumor capsule was incised. Central tumor debulking commenced with the use of an ultrasonic aspirator and piecemeal resection using microsurgical techniques. As we proceeded with alternating debulking and dissection, cranial nerves IX and X, the basilar artery, and the origin of the anterior inferior cerebellar artery (AICA) were visualized and carefully detached from the tumor. After sufficient tumor debulking, the pressure on the neurovascular structures was relieved, hemostasis was achieved, and the wound was closed in standard fashion.
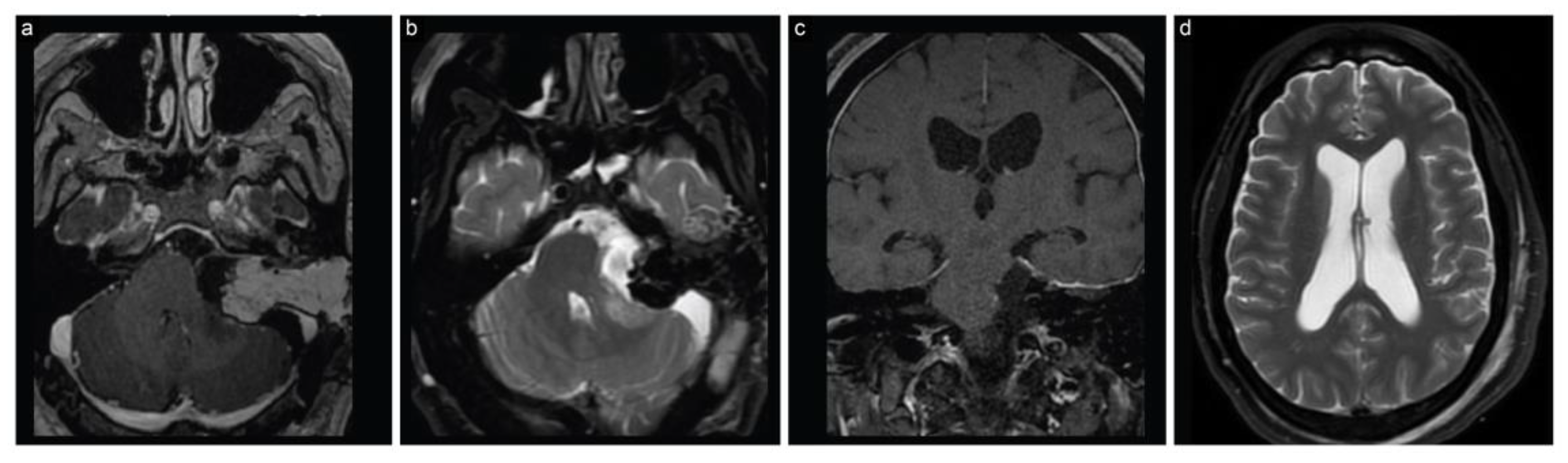
The patient woke up with House–Brackmann grade I facial nerve function. The histopathological diagnosis was confirmed as a WHO grade I schwannoma. An early postoperative MRI revealed partial resection of the tumor and decompression of the brainstem and surrounding structures, along with regressed hydrocephalus (Figure 2).
Figure 2.
Case 1 post-stage 1 neuroimaging findings. (a) Axial T1-weighted postcontrast, (b) axial T2-weighted, (c) coronal T1-weighted postcontrast, and (d) sagittal T1-weighted MRI scans show partial resection with decompression of the brainstem and surrounding structures along with regressed hydrocephalus.
Two weeks afterward, we initiated the second stage of the surgery, the translabyrinthine approach, to achieve gross total resection. The patient was positioned supine, and the previous wound was reopened. Bony exposure, labyrinthectomy, and 270-degree IAC drilling were performed. Afterward, the IAC dura was incised and the intracanalicular part of the tumor was exposed. By employing facial nerve stimulation, the intracanalicular part of the facial nerve was mapped out and carefully detached from the tumor. We then proceeded with presigmoid dural opening, which revealed the tumor and prior resection cavity. At the upper boundary of the tumor, the trigeminal nerve was identified and detached from the tumor. At the lower boundary of the tumor, the vestibulocochlear nerve and the lower cranial nerves were discerned and separated from the tumor. We then delineated the tumor–brainstem border, and the facial nerve root exit zone was detected and confirmed with a nerve simulator. Further piecemeal tumor resection allowed us to find the brainstem origin of the vestibulocochlear nerve in the pontomedullary sulcus.
Once the facial nerve was entirely separated from the tumor, the rest of the tumor was removed en bloc, and hemostasis was achieved. Following that, we removed the incus and packed the eustachian tube with previously harvested stripes of temporalis fascia to avoid postoperative cerebrospinal fluid (CSF) leak. The post-resection cavity was then packed using abdominal fat grafts that had been previously harvested.
As part of our standard neuromonitoring protocol, we continuously monitor and record the compound muscle action potential (CMAP) of the orbicularis oculi and orbicularis oris muscles. In addition, throughout surgery, we use a facial nerve stimulator with a minimum stimulation threshold (MST) of 0.05–0.1 mA for the identification and verification of the facial nerve, for assessing the proximity to the nerve, for monitoring the nerve integrity, and for predicting the postoperative facial nerve outcome. In the majority of the VS cases, the facial nerve could be detached from the tumor by employing gentle traction-counter traction, along with microvascular sharp dissection techniques.
The patient woke up with House–Brackmann grade 2 facial nerve function without any new neurological deficits. The patient’s postoperative recovery was uneventful and he eventually had normal facial nerve function at the 3-month follow-up. A postoperative MRI confirmed a gross total resection (Figure 3).
Figure 3.
Case 1 post-stage 2 neuroimaging findings. (a) Axial T1-weighted postcontrast, (b) axial T2 fat suppressed, (c) coronal T1-weighted, and (d) axial T2-weighted MRI scans show gross total resection with decompression of the brainstem and surrounding structures along with decreased hydrocephalus.
2.2. Case 2
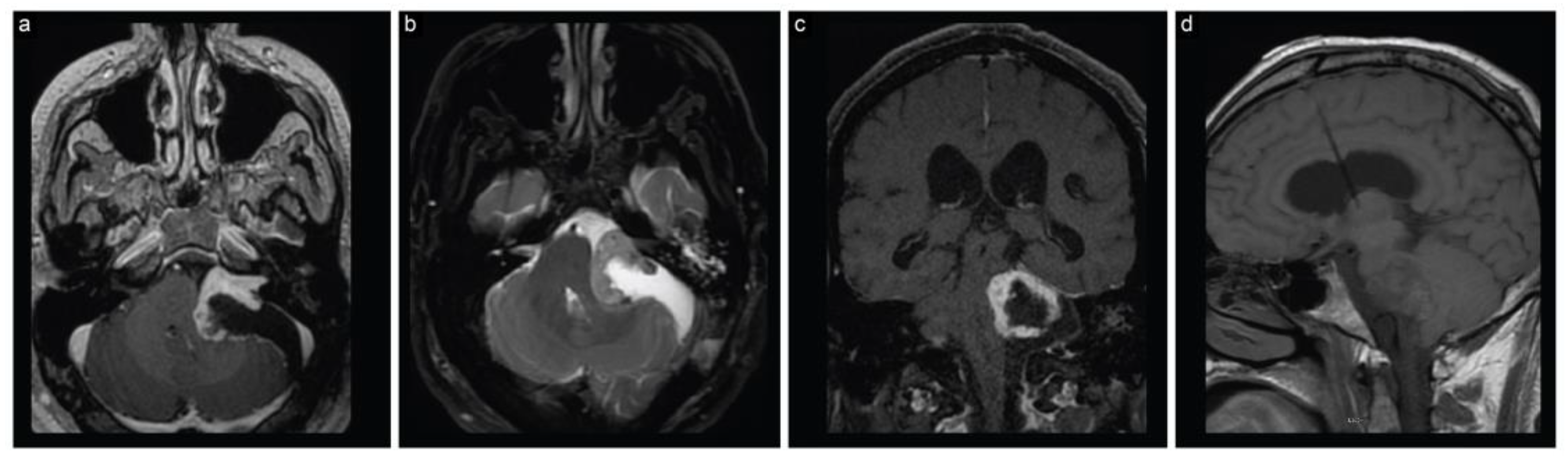
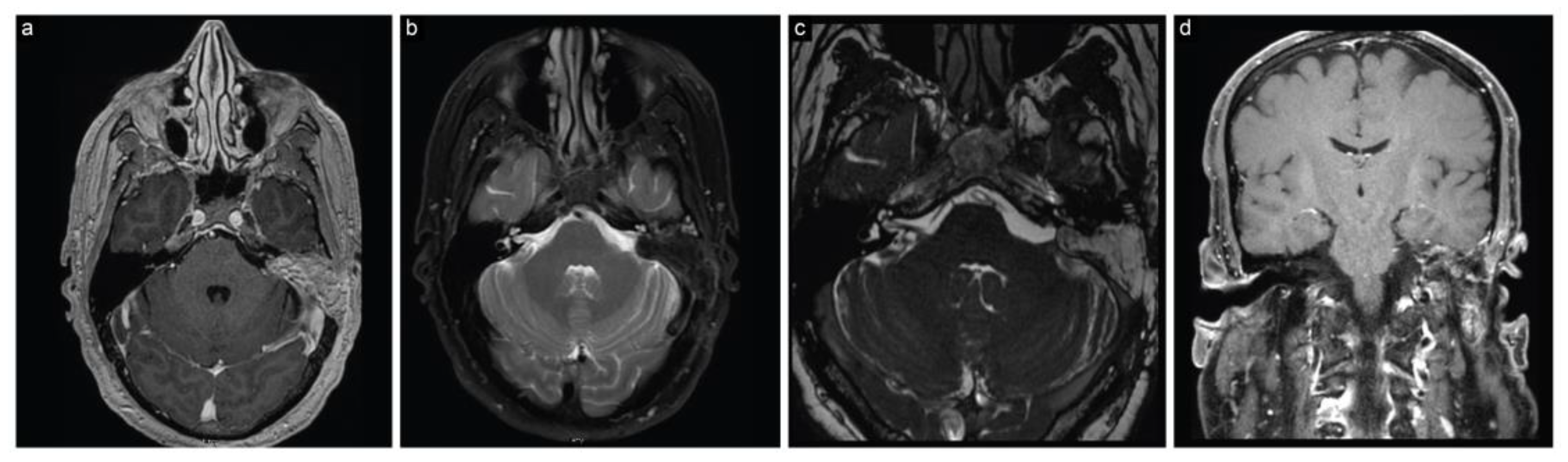
The second case is a 48-year-old man who had presented with dizziness and numbness on the left side of his face for the past six weeks. These symptoms had been escalating, and were accompanied by a severe, newly developed headache. An MRI scan revealed a large cystic left cerebellopontine angle lesion (4.1 cm × 2.5 cm × 2.8 cm), suggestive of a VS, along with signs of recent hemorrhage within the lesion (Figure 4). An initial audiogram revealed moderate to severe sensorineural hearing loss, with no serviceable hearing on the left side.
Figure 4.
Case 2 preoperative neuroimaging. (a) Axial T1-weighted postcontrast, (b) axial T2-weighted, (c) coronal T1-weighted postcontrast, and (d) coronal T2 FLAIR MRI scans show a large cystic CPA lesion, suggesting a vestibular schwannoma along with recent intratumoral hemorrhage.
Given the recent intratumoral hemorrhage and significant tumor size, which resulted in acute increased compression of the surrounding neurovascular structures, we decided to proceed with a two-stage approach. Initially, we performed emergency decompression via the retrosigmoid approach, followed by an elective translabyrinthine approach for a gross total resection (Supplementary Video). Once the patient was positioned supine and the head was slightly rotated, a standard C-shape skin incision, myofascial flap elevation, and craniotomy for a retrosigmoid approach were performed. The tense posterior fossa dura was cautiously incised. The cerebellum was notably swollen because of the heightened pressure in the posterior fossa caused by the tumor and recent intratumoral hemorrhage. We then navigated the lateral cerebellomedullary cistern and drained the CSF to relax the posterior fossa, which facilitated the exposure of the tumor.
Once we verified the area was clear of the facial nerve using nerve stimulation, we incised the tumor capsule. We then accessed the hemorrhagic cavity and removed its content. After sufficient tumor debulking, hemostasis was achieved, and the surgical wound was closed in layers.
The patient woke up with House–Brackmann grade I facial nerve function. Histopathological analysis identified it as a WHO grade I schwannoma. An early postoperative MRI displayed a decompressed brainstem and extent of resection (Figure 5).
Figure 5.
Case 2 post-stage 1 neuroimaging findings. (a) Axial T1-weighted postcontrast, (b) axial T2-weighted, (c) coronal T1-weighted postcontrast, and (d) coronal T2-weighted MRI scans show partial resection with decompression of the brainstem and surrounding structures, with evacuation of the cystic and hemorrhagic portion of the lesion.
A week afterward, we initiated the second planned stage to achieve gross total removal through a translabyrinthine approach. The second stage began with the placement of a lumbar drain and obtaining a fat graft from the abdomen. As detailed in the previous case, opening of the previous wound, bony exposure, labyrinthectomy, 270-degree IAC drilling, and intracanalicular tumor removal were performed. We then proceeded with an incision of the presigmoid dura. Once the presigmoid dura opened, the tumor came into view. Then, extending the arachnoid dissection around the tumor, we exposed and released the trigeminal nerve in the upper part of the tumor.
Upon confirming the facial nerve-free zone, the tumor capsule was incised, and piecemeal removal was commenced. Notably, the remaining tumor was less vascular than in the initial stage. On the lateral part of the surgical field, cranial nerves VII and VIII became visible. The facial nerve was identified with nerve stimulation and the vestibulocochlear nerve was cut. As we proceeded with the tumor removal, the nervus intermedius came into view. Every attempt should be made to preserve the nervus intermedius when it is encountered during surgery.
We then turned our attention to the IAC portion of the tumor. We traced the facial nerve in the IAC and meticulously detached it from the tumor, employing sharp and semi-sharp microsurgical dissection techniques. Subsequently, all the remaining arachnoid adhesions were cleared, and the rest of the tumor was removed en bloc. At the final stage of surgery, the facial nerve was stimulated at 0.05 milliampere in the brainstem zone as well as along its entire length. We then proceeded with wound closure.
Postoperative examinations revealed House–Brackmann grade 1 facial nerve function and an early postoperative MRI confirmed the gross total resection of the tumor (Figure 6). The patient remained tumor-free with normal facial nerve function at the 1-year follow-up.
Figure 6.
Case 2 post-stage 2 neuroimaging findings. (a) Axial T1-weighted postcontrast, (b) axial T2-weighted, (c) axial FIESTA, and (d) coronal T1-weighted postcontrast MRI scans show gross total resection with decompression of the brainstem and surrounding structures.
3. Discussion
The first successful complete removal of a VS was carried out by Balance in 1894 and reported in 1907 [14,17]. Later, in 1913, pioneer neurosurgeons, Horsley of London, v. Eiselsberg of Vienna and Krause of Berlin presented their VS surgical outcomes at the International Congress of Medicine in London. They reported mortality rates of 67%, 77% and 84%, respectively. Given the challenging nature of the cases, surgical interventions were commonly performed in two stages, notably by v. Eiselsberg and Horsley [14].
In 1917, Cushing introduced his revolutionary technique of partial removal through the intracapsular enucleation method, which remarkably reduced the mortality rates first to 35%, and later further to 11% [18]. In 1925, Dandy shared his expertise on 23 VSs, which he had performed since 1915. He incorporated the finger technique to achieve gross complete removal after the intracapsular enucleation [14]. With the advent of the microsurgery era, new microsurgical approaches were introduced by House (translabyrinthine approach), Kurze and Doyle (subtemporal transpetrosal approach), and Rand and Kurze (suboccipital transmeatal approach) [19,20,21]. Since the early days of microsurgery, numerous case series have been published in the literature [4,22,23,24,25,26,27,28,29,30,31,32].
The introduction of intraoperative electromyography for monitoring the facial nerve, along with new techniques, has not entirely resolved the complexities of preserving facial nerve functionality, especially in cases with large tumors. Even with a success rate of 86–92% in preserving the anatomical continuity of the facial nerve, there are instances where patients experience facial nerve disfunctions after surgery, even when their nerves are anatomically preserved [10,28,33,34,35,36]. Tumors larger than 3 cm often have less favorable outcomes, while those 2 cm or less have better outcomes [10,25,33]. Samii et al. reported a 100% gross total removal rate, with a 44% rate of good facial nerve outcome in cases larger than 3.9 cm in size [28]. In addition, a recent study by Gazia and colleagues revealed an association between tumor size, MST, CMAP, and facial function in the short and long term, which aids in improving predictions of facial performance [37].
When dealing with large and complex VSs, it is essential to consider staged surgeries preoperatively. Besides the tumor size, various other factors can complicate the surgical approaches to VSs. These include variations in vascular and bony anatomy (thrombosed or missing sigmoid sinus, elevated jugular bulb, anteriorly positioned sigmoid sinus, and a contracted or small mastoid bone), existence of cystic components, and brainstem compression, along with hydrocephalus, intratumoral hemorrhage, prior treatments (either surgical or stereotactic radiation), the tumor’s vascularity, and the patient’s pre-existing comorbidities [1,12,13].
In the literature, studies have shown that for selective large VSs, staged surgeries improve facial nerve outcomes, reduce morbidity, and have a higher likelihood of achieving gross total removal [10,11,12,13,15,16]. One potential rationale for achieving better outcomes with staged surgeries might be that the most delicate dissections can be performed separately, minimizing the impact of surgeon fatigue. Often, detaching the tumor from the facial nerve in the IAC and brainstem, the most important part of the surgery, takes place towards the end of the surgery. Although multi-stage surgery may not be scheduled in advance, it should be considered intraoperatively if a surgeon experiences fatigue during the most crucial parts of the surgery. This might be the safest and most efficient solution for the selected cases.
In prior published series, two-stage surgeries were predominantly performed for the treatment of large vestibular schwannomas. Given that these patients exhibited severe hearing loss preoperatively, hearing preservation was not the primary goal in these surgeries. In these same series, a lower or no additional incidence of morbidity and mortality was associated with staged surgery for the resection of large vestibular schwannomas [10,12,15]. Abe et al. reported a postoperative increase in hearing loss for both of their presented cases where the tumors originated from vestibular nerves [13].
Tinnitus is one of the most common initial symptoms of VSs along with hearing loss, occurring in 60–80% of VS patients [1]. In some of those patients, tinnitus could worsen and significantly influence a patient’s quality of life [38,39,40,41]. In the published two-stage surgeries for vestibular schwannomas series, no postoperative tinnitus was reported, as seen in our cases.
During the surgical resection of large tumors, it is not always possible to determine the origin of the tumor. As illustrated in our video, sometimes even the identification of the vestibular nerve branches and cochlear nerve is not feasible. Therefore, during our surgeries, we cut the vestibulocochlear nerve to achieve gross total resection. In cases where the cochlear nerve can be preserved, cochlear implantation should be considered in the same sittings [42,43,44,45].
Indications and Timing Interval for the Staged Surgeries
As of now, there remains a lack of consensus on the indications and the timing between the two stages in the management of VSs [10,15].
Raslan et al. made staging decisions intraoperatively based on facial nerve anatomical condition and stimulation, tumor adherence, as well as the conditions of the brainstem and cerebellum. They determined the time interval based on facial nerve outcome after the first stage. For those with a House–Brackmann grade I and II, the second stage was scheduled between two and four weeks after the first stage, while the remainder waited for six months, aiming to maximize their recovery in the interim [15]. In contrast, Comey et al. chose to perform second stage surgery once postoperative imaging studies verified the residual tumor’s decompression away from the pons. Their time interval between the stages ranged widely from 0.5 to 32 weeks, averaging 4.5 weeks [10]. On the other hand, Abe et al. recommended determining the timing of the second stage based on verifying decreases in vascularity for cases with hypervascularity [13].
Ideally, the second stage surgery should be conducted prior to the formation of arachnoid adhesions or tumor revascularization [31]. To prevent such adhesions, a thin gelatin sponge layer can be used during the initial surgery’s closure [46]. In our experience, the second stage should not be delayed more than 2–3 weeks at maximum to avoid arachnoid adhesion. As documented in various studies, the remaining tumor often exhibits decreased vascularity and less adherence, which allows for a relatively easier dissection in the second stage surgery [10,13,14]. This was observed in our second case as well.
In theory, multi-stage surgeries could bring additional operative risks related to multiple anesthesia administration, potential surgical site infections, and issues with wound recovery. However, in both the published series and our series, there were no evident complications due to the aforementioned reasons.
Lastly, rapidly gathering neuro-otology and neurosurgery teams might not be viable in some emergency cases. In such scenarios, a multi-stage approach must be strongly considered to minimize the risk of permanent neurological deficits and ensure the best patient care.
In summary, the literature suggests that a two-stage surgical approach for large VSs offers numerous advantages. In selected cases, this enhances facial nerve outcomes, reduces patient morbidity, and increases the likelihood of complete tumor removal. With a two-stage approach, surgeons can tackle intricate dissections with more focus, thereby minimizing mistakes from extended operations. Moreover, in urgent scenarios, like those we have experienced where rapid setup and team assembly were challenging, the two-stage approach ensures that patients receive the best care without compromising the intricacy of the procedures or the necessary preparations.
4. Conclusions
In summary, even in cases with large VSs, a single-stage gross total removal is feasible if the tumor has well-defined arachnoid borders and appropriate consistency. Immediate surgical decompression should be performed for selected large and acutely presented VSs to achieve gross total removal with little or no additional morbidity.
Supplementary Materials
The following supporting information can be downloaded at: https://www.mdpi.com/article/10.3390/brainsci13111548/s1, Video S1: Two-stage Surgical Management for Acutely Presented Large Vestibular Schwannomas: Report of Two Cases with Operative Video Demonstrations.
Author Contributions
M.K.B.; completed surgical procedures, conceptualization, review and editing. U.E.; review and editing. B.O.; writing—original draft preparation, review and editing. A.K.; writing—original draft preparation, review and editing. All authors have read and agreed to the published version of the manuscript.
Funding
This research received no external funding.
Institutional Review Board Statement
Ethical approval is not required for retrospective case report studies without identifiable information in accordance with the University of Wisconsin—Madison Institutional Review Board guidelines.
Informed Consent Statement
Patient consent is not required for retrospective case report studies without identifiable information in accordance with University of Wisconsin—Madison Institutional Review Board guidelines.
Data Availability Statement
Not Applicable.
Acknowledgments
We thank Steven L. Goodman, Distinguished Editor, for his contributions to the editing of this work.
Conflicts of Interest
The authors declare no conflict of interest.
References
- Baskaya, M.K.; Pyle, G.M.; Roche, J.P. Vestibular Schwannoma Surgery: A Video Guide; Springer: Berlin/Heidelberg, Germany, 2019. [Google Scholar]
- Chamoun, R.; MacDonald, J.; Shelton, C.; Couldwell, W.T. Surgical approaches for resection of vestibular schwannomas: Translabyrinthine, retrosigmoid, and middle fossa approaches. Neurosurg. Focus 2012, 33, E9. [Google Scholar] [CrossRef] [PubMed]
- Nickele, C.M.; Akture, E.; Gubbels, S.P.; Baskaya, M.K. A stepwise illustration of the translabyrinthine approach to a large cystic vestibular schwannoma. Neurosurg. Focus 2012, 33, 5. [Google Scholar] [CrossRef] [PubMed]
- Ocak, P.E.; Dogan, I.; Ocak, U.; Dinc, C.; Baskaya, M.K. Facial nerve outcome and extent of resection in cystic versus solid vestibular schwannomas in radiosurgery era. Neurosurg. Focus 2018, 44, 8. [Google Scholar] [CrossRef]
- Sayyahmelli, S.; Roche, J.; Baskaya, M.K. Microsurgical Gross Total Resection of a Large Residual/Recurrent Vestibular Schwannoma via Translabyrinthine Approach. J. Neurol. Surg. Part B 2018, 79, S387–S388. [Google Scholar] [CrossRef]
- Marchioni, D.; Carney, M.; Rubini, A.; Nogueira, J.F.; Masotto, B.; Alicandri-Ciufelli, M.; Presutti, L. The Fully Endoscopic Acoustic Neuroma Surgery. Otolaryngol. Clin. N. Am. 2016, 49, 1227–1236. [Google Scholar] [CrossRef]
- Molinari, G.; Calvaruso, F.; Presutti, L.; Marchioni, D.; Alicandri-Ciufelli, M.; Friso, F.; Fernandez, I.J.; Francoli, P.; Di Maro, F. Vestibular schwannoma removal through expanded transcanal transpromontorial approach: A multicentric experience. Eur. Arch. Oto-Rhino-Laryn. 2023, 280, 2165–2172. [Google Scholar] [CrossRef]
- Bi, Y.K.; Ni, Y.J.; Gao, D.D.; Zhu, Q.W.; Zhou, Q.Y.; Tang, J.J.; Liu, J.; Shi, F.; Li, H.C.; Yin, J.; et al. Endoscope-Assisted Retrosigmoid Approach for Vestibular Schwannomas With Intracanalicular Extensions: Facial Nerve Outcomes. Front. Oncol. 2022, 11, 774462. [Google Scholar] [CrossRef]
- Presutti, L.; Magnaguagno, F.; Pavesi, G.; Cunsolo, E.; Pinna, G.; Alicandri-Ciufelli, M.; Marchioni, D.; Prontera, A.; Gioacchini, F.M. Combined endoscopic-microscopic approach for vestibular schwannoma removal: Outcomes in a cohort of 81 patients. Acta Otorhinolaryngol. Ital. 2014, 34, 427–433. [Google Scholar]
- Comey, C.H.; Jannetta, P.J.; Sheptak, P.E.; Jho, H.D.; Burkhart, L.E. Staged Removal of Acoustic Tumors—Techniques and Lessons Learned from a Series of 83 Patients. Neurosurgery 1995, 37, 915–920. [Google Scholar] [CrossRef]
- Kim, E.; Nam, S.-I. Staging in vestibular schwannoma surgery: A modified technique. J. Korean Neurosurg. Soc. 2008, 43, 57–60. [Google Scholar] [CrossRef][Green Version]
- Patni, A.H.; Kartush, J.M. Staged resection of large acoustic neuromas. Otolaryngol. Head Neck Surg. 2005, 132, 11–19. [Google Scholar] [CrossRef]
- Abe, T.; Izumiyama, H.; Imaizumi, Y.; Kobayashi, S.; Shimazu, M.; Sasaki, K.; Matsumoto, K.; Kushima, M. Staged resection of large hypervascular vestibular schwannomas in young adults. Skull Base-Interdiscip. Appr. 2001, 11, 199–206. [Google Scholar] [CrossRef][Green Version]
- Dandy, W.E. An operation for the total removal of cerebellopontine (acoustic) tumors. Surg Gynecol Obs. 1925, 41, 129–148. [Google Scholar]
- Raslan, A.M.; Liu, J.K.; McMenomey, S.O.; Delashaw, J.B., Jr. Staged resection of large vestibular schwannomas. J. Neurosurg. 2012, 116, 1126–1133. [Google Scholar] [CrossRef] [PubMed]
- Sheptak, P.E.; Jannetta, P.J. The two-stage excision of huge acoustic neurinomas. J. Neurosurg. 1979, 51, 37–41. [Google Scholar] [CrossRef] [PubMed]
- Ballance, C.A. Some Points in the Surgery of the Brain and Its Membranes; Macmillan: London, UK, 1907. [Google Scholar]
- Cushing, H. Tumors of the Nervus Acusticus and the Syndrome of the Cerebellopontile Angle; WB Saunders: Philadelphia, PA, USA, 1917. [Google Scholar]
- House, W.F. Surgical exposure of the internal auditory canal and its contents through the middle, cranial fossa. Laryngoscope 1961, 71, 1363–1385. [Google Scholar] [PubMed]
- Kurze, T.; Doyle, J.B. Extradural Intracranial (Middle Fossa) Approach to Internal Auditory Canal. J. Neurosurg. 1962, 19, 1033–1037. [Google Scholar] [CrossRef]
- Rand, R.; Kurze, T. Micro-neurosurgical resection of acoustic tumors by a transmeatal posterior fossa approach. Bull. Los Angeles Neurol. Soc. 1965, 30, 17–20. [Google Scholar]
- Arts, H.A.; Telian, S.A.; El-Kashlan, H.; Thompson, B.G. Hearing preservation and facial nerve outcomes in vestibular schwannoma surgery: Results using the middle cranial fossa approach. Otol. Neurotol. 2006, 27, 234–241. [Google Scholar] [CrossRef]
- Brackmann, D.E.; Cullen, R.D.; Fisher, L.M. Facial nerve function after translabyrinthine vestibular schwannoma surgery. Otolaryngol. Head Neck Surg. 2007, 136, 773–777. [Google Scholar] [CrossRef]
- Irving, R.M.; Jackler, R.K.; Pitts, L.H. Hearing preservation in patients undergoing vestibular schwannoma surgery: Comparison of middle fossa and retrosigmoid approaches. J. Neurosurg. 1998, 88, 840–845. [Google Scholar] [CrossRef]
- Lanman, T.H.; Brackmann, D.E.; Hitselberger, W.E.; Subin, B. Report of 190 consecutive cases of large acoustic tumors (vestibular schwannoma) removed via the translabyrinthine approach. J. Neurosurg. 1999, 90, 617–623. [Google Scholar] [CrossRef]
- Noudel, R.; Gomis, P.; Duntze, J.; Marnet, D.; Bazin, A.; Roche, P.H. Hearing preservation and facial nerve function after microsurgery for intracanalicular vestibular schwannomas: Comparison of middle fossa and restrosigmoid approaches. Acta Neurochir. 2009, 151, 935–945. [Google Scholar] [CrossRef]
- Samii, M.; Gerganov, V.; Samii, A. Improved preservation of hearing and facial nerve function in vestibular schwannoma surgery via the retrosigmoid approach in a series of 200 patients. J. Neurosurg. 2006, 105, 527–535. [Google Scholar] [CrossRef]
- Samii, M.; Gerganov, V.M.; Samii, A. Functional outcome after complete surgical removal of giant vestibular schwannomas Clinical article. J. Neurosurg. 2010, 112, 860–867. [Google Scholar] [CrossRef] [PubMed]
- Yamakami, I.; Uchino, Y.; Kobayashi, E.; Yamaura, A.; Oka, N. Removal of large acoustic neurinomas (vestibular schwannomas) by the retrosigmoid approach with no mortality and minimal morbidity. J. Neurol. Neurosurg. Psychiatry 2004, 75, 453–458. [Google Scholar] [CrossRef] [PubMed]
- Yasargil, M. Microneurosurgery, Volume IVB: Microneurosurgery of CNS Tumors; Georg Thieme Verlag: Stuttgart, Germany, 1996. [Google Scholar]
- Yaşargil, M.; Smith, R.; Gasser, J. Microsurgical Approach to Acoustic Neurinomas. Adv. Technol. Stand. Neurosurg. 1977, 4, 93–129. [Google Scholar]
- Yaşargil, M.G. Microsurgery Applied to Neurosurgery; Georg Thieme: Stuttgart, Germany, 1969. [Google Scholar]
- Kaylie, D.M.; Gilbert, E.; Horgan, M.A.; Delashaw, J.B.; McMenomey, S.O. Acoustic neuroma surgery outcomes. Otol. Neurotol. 2001, 22, 686–689. [Google Scholar] [CrossRef]
- Godefroy, W.P.; van der Mey, A.G.L.; de Bruine, F.T.; Hoekstra, E.R.; Malessy, M.J.A. Surgery for Large Vestibular Schwannoma: Residual Tumor and Outcome. Otol. Neurotol. 2009, 30, 629–634. [Google Scholar] [CrossRef]
- Silva, J.; Cerejo, A.; Duarte, F.; Silveira, F.; Vaz, R. Surgical Removal of Giant Acoustic Neuromas. World Neurosurg. 2012, 77, 731–735. [Google Scholar] [CrossRef]
- Sughrue, M.E.; Yang, I.; Rutkowski, M.J.; Aranda, D.; Parsa, A.T. Preservation of facial nerve function after resection of vestibular schwannoma. Br. J. Neurosurg. 2010, 24, 666–671. [Google Scholar] [CrossRef] [PubMed]
- Gazia, F.; Callejo, A.; Perez-Grau, M.; Lareo, S.; Prades, J.; Roca-Ribas, F.; Amilibia, E. Pre- and intra-operative prognostic factors of facial nerve function in cerebellopontine angle surgery. Eur. Arch. Oto-Rhino-Laryn. 2022, 280, 1055–1062. [Google Scholar] [CrossRef] [PubMed]
- Andersson, G.; Kinnefors, A.; Ekvall, L.; RaskAndersen, H. Tinnitus and translabyrinthine acoustic neuroma surgery. Audiol. Neuro-Otol. 1997, 2, 403–409. [Google Scholar] [CrossRef] [PubMed]
- Fahy, C.; Nikolopoulos, T.P.; O’Donoghue, G.M. Acoustic neuroma surgery and tinnitus. Eur. Arch. Oto-Rhino-Laryn. 2002, 259, 299–301. [Google Scholar] [CrossRef]
- Kojima, T.; Oishi, N.; Nishiyama, T.; Ogawa, K. Severity of Tinnitus Distress Negatively Impacts Quality of Life in Patients With Vestibular Schwannoma and Mimics Primary Tinnitus. Front. Neurol. 2019, 10, 389. [Google Scholar] [CrossRef]
- West, N.; Bunne, M.; Sass, H.; Caye-Thomasen, P. Cochlear Implantation for Patients with a Vestibular Schwannoma: Effect on Tinnitus Handicap. J. Int. Adv. Otol. 2022, 18, 382–387. [Google Scholar] [CrossRef] [PubMed]
- Conway, R.M.; Tu, N.C.; Sioshansi, P.C.; Porps, S.L.; Schutt, C.A.; Hong, R.S.; Jacob, J.T.; Babu, S.C. Early Outcomes of Simultaneous Translabyrinthine Resection and Cochlear Implantation. Laryngoscope 2021, 131, E2312–E2317. [Google Scholar] [CrossRef]
- Salem, N.; Galal, A.; Piras, G.; Sykopetrites, V.; Di Rubbo, V.; Talaat, M.; Sobhy, O.; Sanna, M. Management of Vestibular Schwannoma with Normal Hearing. Audiol. Neuro-Otol. 2023, 28, 12–21. [Google Scholar] [CrossRef]
- Sorrentino, F.; Tealdo, G.; Cazzador, D.; Favaretto, N.; Brotto, D.; Montino, S.; Caserta, E.; Bovo, R.; Denaro, L.; Baro, V.; et al. Cochlear implant in vestibular schwannomas: Long-term outcomes and critical analysis of indications. Eur. Arch. Oto-Rhino-Laryn. 2022, 279, 4709–4718. [Google Scholar] [CrossRef]
- Wick, C.C.; Butler, M.J.; Yeager, L.H.; Kallogjeri, D.; Durakovic, N.; McJunkin, J.L.; Shew, M.A.; Herzog, J.A.; Buchman, C.A. Cochlear Implant Outcomes Following Vestibular Schwannoma Resection: Systematic Review. Otol. Neurotol. 2020, 41, 1190–1197. [Google Scholar] [CrossRef]
- Gonzalez-Lopez, P.; Harput, M.V.; Türe, H.; Atalay, B.; Türe, U. Efficacy of placing a thin layer of gelatin sponge over the subdural space during dural closure in preventing meningo-cerebral adhesion. World Neurosurg. 2015, 83, 93–101. [Google Scholar] [CrossRef] [PubMed]
Disclaimer/Publisher’s Note: The statements, opinions and data contained in all publications are solely those of the individual author(s) and contributor(s) and not of MDPI and/or the editor(s). MDPI and/or the editor(s) disclaim responsibility for any injury to people or property resulting from any ideas, methods, instructions or products referred to in the content. |
© 2023 by the authors. Licensee MDPI, Basel, Switzerland. This article is an open access article distributed under the terms and conditions of the Creative Commons Attribution (CC BY) license (https://creativecommons.org/licenses/by/4.0/).





