Analysis of Key Clinical Variables and Radiological Manifestations Associated with the Treatment Response of Patients with Brain Metastases to Stereotactic Radiosurgery
Abstract
1. Introduction
2. Methods
2.1. Patient Cohort
2.2. Treatment and Response Assessment
2.3. MRI Protocol
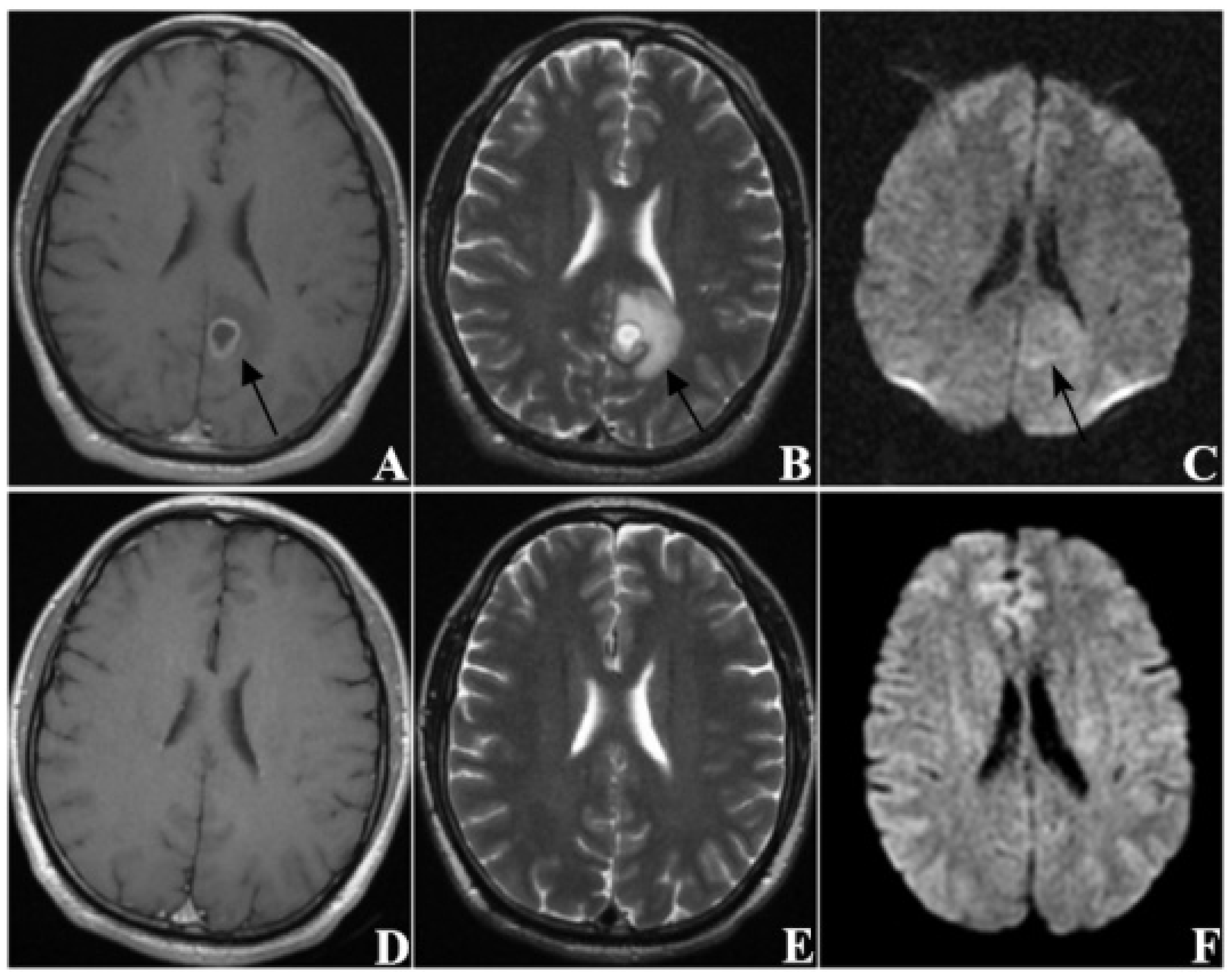
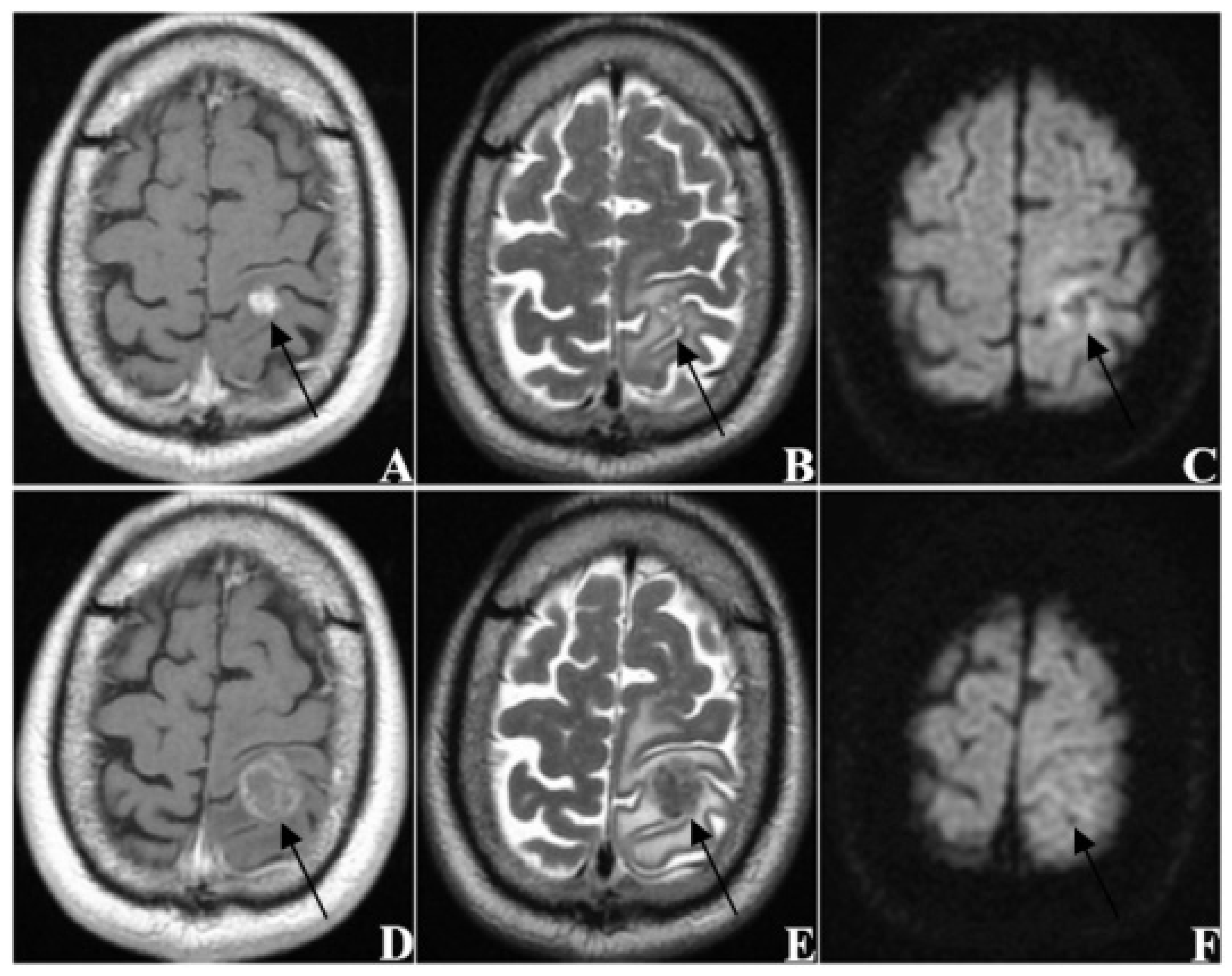
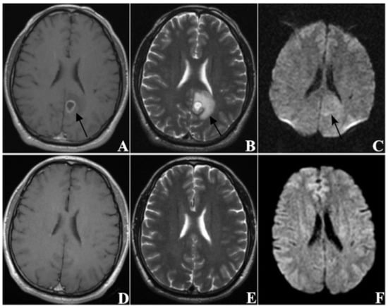
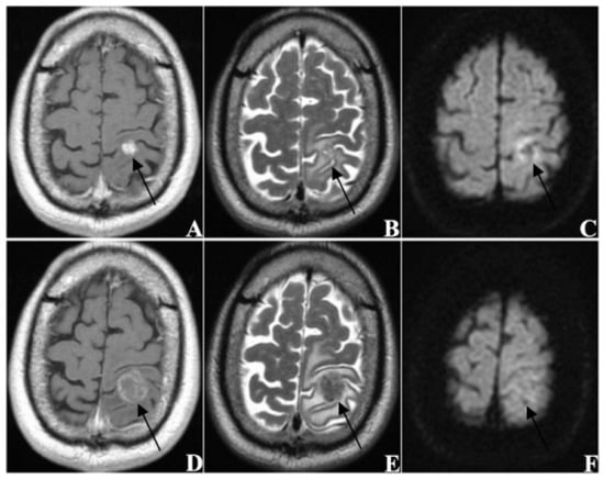
2.4. Image Analysis
2.5. Statistical Analysis
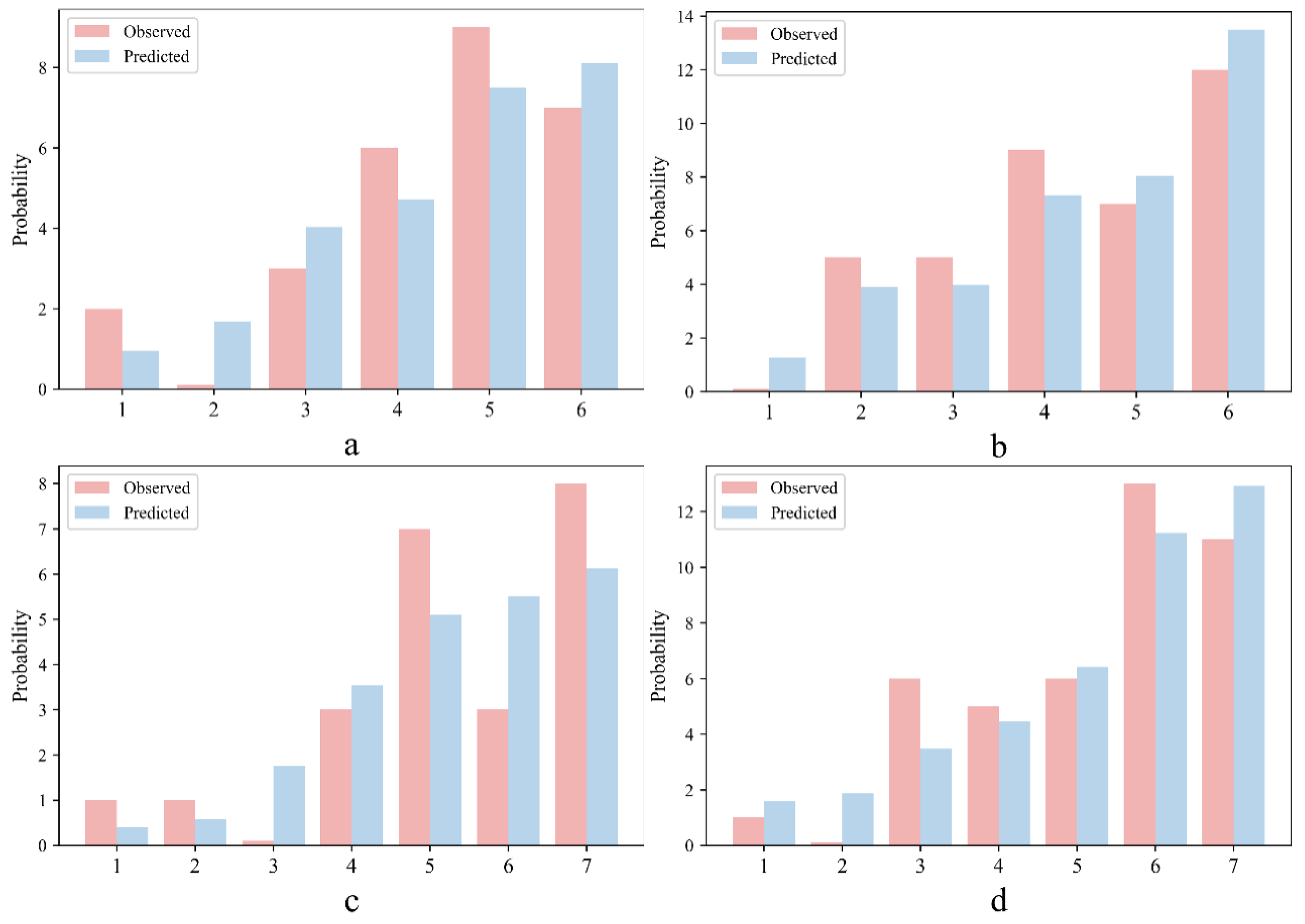
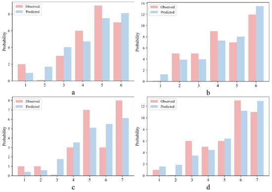
3. Results
3.1. Patient Characteristics
3.2. Patient Outcomes
4. Discussion
5. Conclusions
Author Contributions
Funding
Institutional Review Board Statement
Informed Consent Statement
Data Availability Statement
Conflicts of Interest
References
- Suh, J.H.; Kotecha, R.; Chao, S.T.; Ahluwalia, M.S.; Sahgal, A.; Chang, E.L. Current approaches to the management of brain metastases. Nat. Rev. Clin. Oncol. 2020, 17, 279–299. [Google Scholar] [CrossRef]
- Karschnia, P.; Le Rhun, E.; Vogelbaum, M.A.; van den Bent, M.; Grau, S.J.; Preusser, M.; Soffietti, R.; von Baumgarten, L.; Westphal, M.; Weller, M.; et al. The evolving role of neurosurgery for central nervous system metastases in the era of personalized cancer therapy. Eur. J. Cancer 2021, 156, 93–108. [Google Scholar] [CrossRef] [PubMed]
- Fecci, P.E.; Champion, C.D.; Hoj, J.; McKernan, C.M.; Goodwin, C.R.; Kirkpatrick, J.P.; Anders, C.K.; Pendergast, A.M.; Sampson, J.H. The Evolving Modern Management of Brain Metastasis. Clin. Cancer Res. 2019, 25, 6570–6580. [Google Scholar] [CrossRef]
- Aoyama, H.; Shirato, H.; Tago, M.; Nakagawa, K.; Toyoda, T.; Hatano, K.; Kenjyo, M.; Oya, N.; Hirota, S.; Shioura, H.; et al. Stereotactic radiosurgery plus whole-brain radiation therapy vs stereotactic radiosurgery alone for treatment of brain metastases: A randomized controlled trial. JAMA 2006, 295, 2483–2491. [Google Scholar] [CrossRef] [PubMed]
- Nieder, C.; Grosu, A.L.; Gaspar, L.E. Stereotactic radiosurgery (SRS) for brain metastases: A systematic review. Radiat. Oncol. 2014, 9, 155. [Google Scholar] [CrossRef] [PubMed]
- Chao, S.T.; De Salles, A.; Hayashi, M.; Levivier, M.; Ma, L.; Martinez, R.; Paddick, I.; Régis, J.; Ryu, S.; Slotman, B.J.; et al. Stereotactic Radiosurgery in the Management of Limited (1-4) Brain Metasteses: Systematic Review and International Stereotactic Radiosurgery Society Practice Guideline. Neurosurgery 2018, 83, 345–353. [Google Scholar] [CrossRef]
- Minniti, G.; Scaringi, C.; Paolini, S.; Lanzetta, G.; Romano, A.; Cicone, F.; Osti, M.; Enrici, R.M.; Esposito, V. Single-Fraction Versus Multifraction (3 × 9 Gy) Stereotactic Radiosurgery for Large (>2 cm) Brain Metastases: A Comparative Analysis of Local Control and Risk of Radiation-Induced Brain Necrosis. Int. J. Radiat. Oncol. Biol. Phys. 2016, 95, 1142–1148. [Google Scholar] [CrossRef]
- Tsao, M.; Xu, W.; Sahgal, A. A meta-analysis evaluating stereotactic radiosurgery, whole-brain radiotherapy, or both for patients presenting with a limited number of brain metastases. Cancer 2012, 118, 2486–2493. [Google Scholar] [CrossRef]
- Hamel-Perreault, E.; Mathieu, D.; Masson-Cote, L. Factors influencing the outcome of stereotactic radiosurgery in patients with five or more brain metastases. Curr. Oncol. 2019, 26, e64–e69. [Google Scholar] [CrossRef] [PubMed]
- Bragstad, S.; Flatebø, M.; Natvig, G.K.; Eide, G.E.; Skeie, G.O.; Behbahani, M.; Pedersen, P.H.; Enger, P.Ø.; Skeie, B.S. Predictors of quality of life and survival following Gamma Knife surgery for lung cancer brain metastases: A prospective study. J. Neurosurg. 2018, 129, 71–83. [Google Scholar] [CrossRef] [PubMed]
- Sahgal, A.; Aoyama, H.; Kocher, M.; Neupane, B.; Collette, S.; Tago, M.; Shaw, P.; Beyene, J.; Chang, E.L. Phase 3 trials of stereotactic radiosurgery with or without whole-brain radiation therapy for 1 to 4 brain metastases: Individual patient data meta-analysis. Int. J. Radiat. Oncol. Biol. Phys. 2015, 91, 710–717. [Google Scholar] [CrossRef] [PubMed]
- Alvi, M.A.; Asher, A.L.; Michalopoulos, G.D.; Grills, I.S.; Warnick, R.E.; McInerney, J.; Chiang, V.L.; Attia, A.; Timmerman, R.; Chang, E.; et al. Factors associated with progression and mortality among patients undergoing stereotactic radiosurgery for intracranial metastasis: Results from a national real-world registry. J. Neurosurg. 2022, 2022, 1–14. [Google Scholar] [CrossRef] [PubMed]
- Gutierrez-Valencia, E.; Kalyvas, A.; Villafuerte, C.J.; Millar, B.A.; Laperriere, N.; Conrad, T.; Berlin, A.; Weiss, J.; Zadeh, G.; Bernstein, M.; et al. Factors Correlating with Survival Following Adjuvant or Definitive Radiosurgery for Large Brain Metastases. Neuro. Oncol. 2022, 2022, noac106. [Google Scholar] [CrossRef]
- Park, J.Y.; Moon, K.S.; Lee, K.H.; Lim, S.H.; Jang, W.Y.; Lee, H.; Jung, T.Y.; Kim, I.Y.; Jung, S. Gamma knife radiosurgery for elderly patients with brain metastases: Evaluation of scoring systems that predict survival. BMC Cancer 2015, 15, 54. [Google Scholar] [CrossRef] [PubMed][Green Version]
- Niranjan, A.; Monaco, E.; Flickinger, J.; Lunsford, L.D. Guidelines for Multiple Brain Metastases Radiosurgery. Prog. Neurol. Surg. 2019, 34, 100–109. [Google Scholar]
- Cifarelli, C.P.; Vargo, J.A.; Fang, W.; Liscak, R.; Guseynova, K.; Warnick, R.E.; Lee, C.C.; Yang, H.C.; Borghei-Razavi, H.; Maiti, T.; et al. Role of Gamma Knife Radiosurgery in Small Cell Lung Cancer: A Multi-Institutional Retrospective Study of the International Radiosurgery Research Foundation (IRRF). Neurosurgery 2020, 87, 664–671. [Google Scholar] [CrossRef]
- Yamamoto, M.; Serizawa, T.; Shuto, T.; Akabane, A.; Higuchi, Y.; Kawagishi, J.; Yamanaka, K.; Sato, Y.; Jokura, H.; Yomo, S.; et al. Stereotactic radiosurgery for patients with multiple brain metastases (JLGK0901): A multi-institutional prospective observational study. Lancet Oncol. 2014, 15, 387–395. [Google Scholar] [CrossRef]
- Cicone, F.; Carideo, L.; Scaringi, C.; Romano, A.; Mamede, M.; Papa, A.; Tofani, A.; Cascini, G.L.; Bozzao, A.; Scopinaro, F.; et al. Long-term metabolic evolution of brain metastases with suspected radiation necrosis following stereotactic radiosurgery: Longitudinal assessment by F-DOPA PET. Neuro Oncol. 2021, 23, 1024–1034. [Google Scholar] [CrossRef]
- Lin, N.U.; Lee, E.Q.; Aoyama, H.; Barani, I.J.; Barboriak, D.P.; Baumert, B.G.; Bendszus, M.; Brown, P.D.; Camidge, D.R.; Chang, S.M.; et al. Response assessment criteria for brain metastases: Proposal from the RANO group. Lancet Oncol. 2015, 16, e270–e278. [Google Scholar] [CrossRef]
- Kim, B.W.; Kim, M.S.; Kim, S.W.; Chang, C.H.; Kim, O.L. Peritumoral brain edema in meningiomas: Correlation of radiologic and pathologic features. J. Korean Neurosurg. Soc. 2011, 49, 26–30. [Google Scholar] [CrossRef] [PubMed]
- Jalalifar, S.A.; Soliman, H.; Sahgal, A.; Sadeghi-Naini, A. Predicting the outcome of radiotherapy in brain metastasis by integrating the clinical and MRI-based deep learning features. Med. Phys. 2022; online ahead of print. [Google Scholar] [CrossRef] [PubMed]
- Sacks, P.; Rahman, M. Epidemiology of Brain Metastases. Neurosurg. Clin. N. Am. 2020, 31, 481–488. [Google Scholar] [CrossRef] [PubMed]
- Brown, P.D. Whole brain radiotherapy for brain metastases. BMJ 2016, 355, i6483. [Google Scholar] [CrossRef] [PubMed]
- Allen, C.; Her, S.; Jaffray, D.A. Radiotherapy for Cancer: Present and Future. Adv. Drug Deliv. Rev. 2017, 109, 1–2. [Google Scholar] [CrossRef] [PubMed]
- Buccheri, G.; Ferrigno, D.; Tamburini, M. Karnofsky and ECOG performance status scoring in lung cancer: A prospective, longitudinal study of 536 patients from a single institution. Eur. J. Cancer 1996, 32A, 1135–1141. [Google Scholar] [CrossRef]
- Liem, B.J.; Holland, J.M.; Kang, M.Y.; Hoffelt, S.C.; Marquez, C.M. Karnofsky Performance Status Assessment: Resident versus attending. J. Cancer Educ. 2002, 17, 138–141. [Google Scholar] [PubMed]
- Minniti, G.; Clarke, E.; Lanzetta, G.; Osti, M.F.; Trasimeni, G.; Bozzao, A.; Romano, A.; Enrici, R.M. Stereotactic radiosurgery for brain metastases: Analysis of outcome and risk of brain radionecrosis. Radiat. Onco. 2011, 6, 48. [Google Scholar] [CrossRef] [PubMed]
- Serizawa, T.; Yamamoto, M.; Sato, Y.; Higuchi, Y.; Nagano, O.; Kawabe, T.; Matsuda, S.; Ono, J.; Saeki, N.; Hatano, M.; et al. Gamma Knife surgery as sole treatment for multiple brain metastases: 2-center retrospective review of 1508 cases meeting the inclusion criteria of the JLGK0901 multi-institutional prospective study. J. Neurosurg. 2010, 113, 48–52. [Google Scholar] [CrossRef]
- Pontoriero, A.; Conti, A.; Iatì, G.; Mondello, S.; Aiello, D.; Rifatto, C.; Risoleti, E.; Mazzei, M.; Tomasello, F.; Pergolizzi, S.; et al. Prognostic factors in patients treated with stereotactic image-guided robotic radiosurgery for brain metastases: A single-center retrospective analysis of 223 patients. Neurosurg. Rev. 2016, 39, 495–504. [Google Scholar] [CrossRef]
- Jawahar, A.; Matthew, R.E.; Minagar, A.; Shukla, D.; Zhang, J.H.; Willis, B.K.; Ampil, F.; Nanda, A. Gamma knife surgery in the management of brain metastases from lung carcinoma: A retrospective analysis of survival, local tumor control, and freedom from new brain metastasis. J. Neurosurg. 2004, 100, 842–847. [Google Scholar] [CrossRef] [PubMed]
- Petrovich, Z.; Yu, C.; Giannotta, S.L.; O’Day, S.; Apuzzo, M.L. Survival and pattern of failure in brain metastasis treated with stereotactic gamma knife radiosurgery. J. Neurosurg. 2002, 97, 499–506. [Google Scholar] [CrossRef]
- Lamba, N.; Cao, F.; Cagney, D.N.; Catalano, P.J.; Haas-Kogan, D.A.; Wen, P.Y.; Aizer, A.A. Frequency, etiologies, risk factors, and sequelae of falls among patients with brain metastases: A population- and institutional-level analysis. NeuroOncol. Pract 2021, 9, 114–122. [Google Scholar] [CrossRef] [PubMed]
- Cancer Genome Atlas Research Network. Comprehensive molecular profiling of lung adenocarcinoma. Nature 2014, 511, 543–550. [Google Scholar] [CrossRef] [PubMed]
- Greto, D.; Scoccianti, S.; Compagnucci, A.; Arilli, C.; Casati, M.; Francolini, G.; Cecchini, S.; Loi, M.; Desideri, I.; Bordi, L.; et al. Gamma Knife Radiosurgery in the management of single and multiple brain metastases. Clin. Neurol. Neurosurg. 2016, 141, 43–47. [Google Scholar] [CrossRef]
- Bhatnagar, A.K.; Flickinger, J.C.; Kondziolka, D.; Lunsford, L.D. Stereotactic radiosurgery for four or more intracranial metastases. Int. J. Radiat. Oncol. Biol. Phys. 2006, 64, 898–903. [Google Scholar] [CrossRef]
- Noyama, T.; Katano, A.; Shinya, Y.; Kawashima, M.; Shin, M.; Saito, N.; Yamashita, H. Prognostic Factors for Patients with Brain Metastases Treated with Single-fraction Gamma Knife Radiosurgery. Anticancer Res. 2021, 41, 3179–3185. [Google Scholar] [CrossRef]
- Wang, H.; Xue, J.; Qu, T.; Bernstein, K.; Chen, T.; Barbee, D.; Silverman, J.S.; Kondziolka, D. Predicting local failure of brain metastases after stereotactic radiosurgery with radiomics on planning MR images and dose maps. Med. Phys. 2021, 48, 5522–5530. [Google Scholar] [CrossRef] [PubMed]
- Baschnagel, A.M.; Meyer, K.D.; Chen, P.Y.; Krauss, D.J.; Olson, R.E.; Pieper, D.R.; Maitz, A.H.; Ye, H.; Grills, I.S. Tumor volume as a predictor of survival and local control in patients with brain metastases treated with Gamma Knife surgery. J. Neurosurg. 2013, 119, 1139–1144. [Google Scholar] [CrossRef]
- Yamamoto, M.; Ide, M.; Nishio, S.i.; Urakawa, Y. Gamma Knife radiosurgery for numerous brain metastases: Is this a safe treatment? Int. J. Radiat. Oncol. Biol. Phys. 2002, 53, 1279–1283. [Google Scholar] [CrossRef]
- Madamesila, J.; Ploquin, N.; Faruqi, S.; Tchistiakova, E. Investigating diffusion patterns of brain metastases pre- and post-stereotactic radiosurgery: A feasibility study. Biomed. Phys. Eng. Express 2021, 7, 065004. [Google Scholar] [CrossRef] [PubMed]
- Shah, A.D.; Shridhar Konar, A.; Paudyal, R.; Oh, J.H.; LoCastro, E.; Nuñez, D.A.; Swinburne, N.; Vachha, B.; Ulaner, G.A.; Young, R.J.; et al. Diffusion and Perfusion MRI Predicts Response Preceding and Shortly After Radiosurgery to Brain Metastases: A Pilot Study. J. Neuroimaging 2021, 31, 317–323. [Google Scholar] [CrossRef]
- Soffietti, R.; Abacioglu, U.; Baumert, B.; Combs, S.E.; Kinhult, S.; Kros, J.M.; Marosi, C.; Metellus, P.; Radbruch, A.; Villa Freixa, S.S.; et al. Diagnosis and treatment of brain metastases from solid tumors: Guidelines from the European Association of Neuro-Oncology (EANO). Neuro Oncol. 2017, 19, 162–174. [Google Scholar] [CrossRef]
- Brastianos, P.K.; Carter, S.L.; Santagata, S.; Cahill, D.P.; Taylor-Weiner, A.; Jones, R.T.; Van Allen, E.M.; Lawrence, M.S.; Horowitz, P.M.; Cibulskis, K.; et al. Genomic Characterization of Brain Metastases Reveals Branched Evolution and Potential Therapeutic Targets. Cancer Discov. 2015, 5, 1164–1177. [Google Scholar] [CrossRef] [PubMed]





| Variable | No. of Patients (%) |
|---|---|
| sex | |
| male | 158 (48.9) |
| female | 165 (51.1) |
| KPS | |
| KPS > 70 | 185 (57.3) |
| KPS = 70 | 138 (42.7) |
| extracranial lesion control | |
| no control and extracranial metastasis | 81 (25.1) |
| control or no extracranial metastasis | 113 (35.0) |
| control and no extracranial metastasis | 129 (39.9) |
| number of tumors | |
| 1 | 223 (69.0) |
| 2 | 71 (22.0) |
| 3 | 21 (6.5) |
| 4 | 8 (2.5) |
| DWI sequence signal | |
| hyper-intensity | 278 (86.1) |
| iso-intensity or hypo-intensity | 45 (13.9) |
| enhanced pattern | |
| homogeneous | 113 (35.0) |
| heterogeneous | 105 (32.5) |
| ring-like | 105 (32.5) |
| Variable | p Value |
|---|---|
| sex | 0.971 |
| age | 0.523 |
| KPS | 3.620 × 10−18 |
| primary tumor type | 0.997 |
| extracranial lesion control | 7.860 × 10−20 |
| tumor location | 0.926 |
| tumor number | 0.925 |
| tumor volume | 1.957× 10−6 |
| tumor maximum diameter | 0.976 |
| EI | 2.928 × 10−22 |
| DWI sequence signal | 0.127 |
| enhanced pattern | 0.998 |
| Variables | Score Points | Coefficient | p Value |
|---|---|---|---|
| volume > 1801.145 mm3 | 1 | 1.077 | 1.957 × 10−6 |
| EI > 3.835 | 2 | −2.007 | 2.928 × 10−22 |
| KPS > 70 | 3 | −2.614 | 3.620 × 10−18 |
| extracranial lesion control | |||
| control and no extracranial metastasis | 5 | −5.475 | 7.860 × 10−20 |
| control or no extracranial metastasis | 3 | −2.647 | 7.860 × 10−20 |
Publisher’s Note: MDPI stays neutral with regard to jurisdictional claims in published maps and institutional affiliations. |
© 2022 by the authors. Licensee MDPI, Basel, Switzerland. This article is an open access article distributed under the terms and conditions of the Creative Commons Attribution (CC BY) license (https://creativecommons.org/licenses/by/4.0/).
Share and Cite
Du, P.; Chen, H.; Shen, L.; Liu, X.; Chen, J.; Wu, X.; Yu, T.; Geng, D. Analysis of Key Clinical Variables and Radiological Manifestations Associated with the Treatment Response of Patients with Brain Metastases to Stereotactic Radiosurgery. J. Clin. Med. 2022, 11, 4529. https://doi.org/10.3390/jcm11154529
Du P, Chen H, Shen L, Liu X, Chen J, Wu X, Yu T, Geng D. Analysis of Key Clinical Variables and Radiological Manifestations Associated with the Treatment Response of Patients with Brain Metastases to Stereotactic Radiosurgery. Journal of Clinical Medicine. 2022; 11(15):4529. https://doi.org/10.3390/jcm11154529
Chicago/Turabian StyleDu, Peng, Hongyi Chen, Li Shen, Xiao Liu, Jiawei Chen, Xuefan Wu, Tonggang Yu, and Daoying Geng. 2022. "Analysis of Key Clinical Variables and Radiological Manifestations Associated with the Treatment Response of Patients with Brain Metastases to Stereotactic Radiosurgery" Journal of Clinical Medicine 11, no. 15: 4529. https://doi.org/10.3390/jcm11154529
APA StyleDu, P., Chen, H., Shen, L., Liu, X., Chen, J., Wu, X., Yu, T., & Geng, D. (2022). Analysis of Key Clinical Variables and Radiological Manifestations Associated with the Treatment Response of Patients with Brain Metastases to Stereotactic Radiosurgery. Journal of Clinical Medicine, 11(15), 4529. https://doi.org/10.3390/jcm11154529

