Epilepsy in Pediatric Patients—Evaluation of Brain Structures’ Volume Using VolBrain Software
Abstract
1. Introduction
2. Materials and Methods
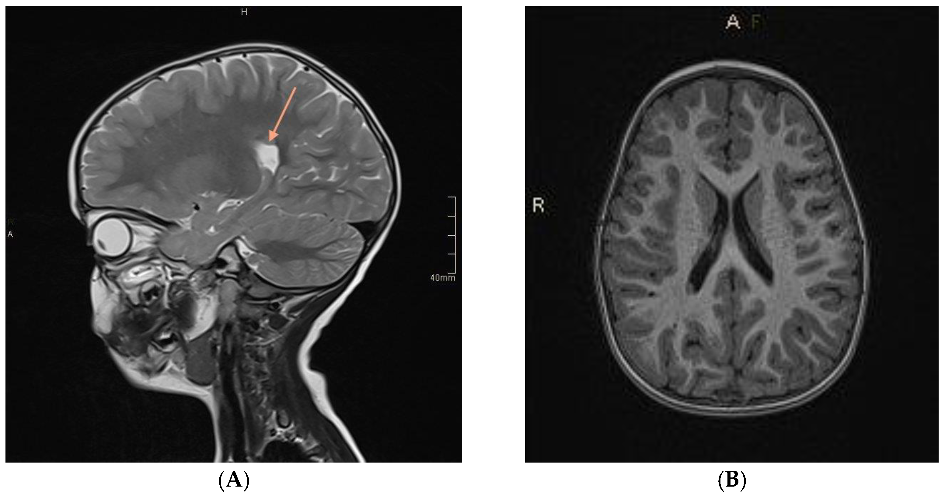
3. Results
Statistical Analysis
- 1.
- Brain
- 2.
- Lateral ventricles
- 3.
- Putamen
4. Discussion
5. Conclusions
Author Contributions
Funding
Institutional Review Board Statement
Informed Consent Statement
Data Availability Statement
Conflicts of Interest
References
- Beghi, E. The Epidemiology of Epilepsy. Neuroepidemiology 2020, 54, 185–191. [Google Scholar] [CrossRef]
- Bashiri, F.A. Childhood Epilepsies: What Should a Pediatrician Know? Neurosciences 2017, 22, 14–19. [Google Scholar] [CrossRef] [PubMed][Green Version]
- Ackermann, S.; Le Roux, S.; Wilmshurst, J.M. Epidemiology of Children with Epilepsy at a Tertiary Referral Centre in South Africa. Seizure 2019, 70, 82–89. [Google Scholar] [CrossRef] [PubMed]
- Kurowska, K.; Kimszal, E. Rezonans Magnetyczny w Diagnozowaniu Padaczki (Magnetic Resonance Imaging in the Diagnosis of Epilepsy). Inżynier Fiz. Med. 2017, 6, 315–317. [Google Scholar]
- Rejdak, K.; Rola, R.; Mazurkiewicz-Bełdzińska, M.; Halczuk, I.; Błaszczyk, B.; Rysz, A.; Ryglewicz, D. Diagnostyka i Leczenie Padaczki u Osób Dorosłych—Rekomendacje Polskiego Towarzystwa Neurologicznego (Diagnosis and Treatment of Epilepsy in Adults—Recommendations of the Polish Neurological Society). Pol. Przegląd Neurol. 2016, 12, 15–27. [Google Scholar]
- Siemianowski, C.; Królicki, L. Znaczenie Metod Neuroobrazowania w Diagnostyce Padaczek (Importance of Neuroimaging Methods in the Diagnosis of Epilepsies). Pol. Przegląd Neurol. 2005, 1, 76–80. [Google Scholar]
- Spencer, D. MRI (Minimum Recommended Imaging) in Epilepsy. Epilepsy Curr. 2014, 14, 261. [Google Scholar] [CrossRef]
- Ponnatapura, J.; Vemanna, S.; Ballal, S.; Singla, A. Utility of Magnetic Resonance Imaging Brain Epilepsy Protocol in New-Onset Seizures: How Is It Different in Developing Countries? J. Clin. Imaging Sci. 2018, 8, 43. [Google Scholar] [CrossRef]
- Bernasconi, A.; Cendes, F.; Theodore, W.H.; Gill, R.S.; Koepp, M.J.; Hogan, R.E.; Jackson, G.D.; Federico, P.; Labate, A.; Vaudano, A.E.; et al. Recommendations for the Use of Structural Magnetic Resonance Imaging in the Care of Patients with Epilepsy: A Consensus Report from the International League Against Epilepsy Neuroimaging Task Force. Epilepsia 2019, 60, 1054–1068. [Google Scholar] [CrossRef]
- Liu, R.S.N.; Lemieux, L.; Bell, G.S.; Sisodiya, S.M.; Bartlett, P.A.; Shorvon, S.D.; Sander, J.; Duncan, J.S. Cerebral Damage in Epilepsy: A Population-Based Longitudinal Quantitative MRI Study. Epilepsia 2005, 46, 1482–1494. [Google Scholar] [CrossRef]
- Lawson, J.A.; Vogrin, S.; Bleasel, A.F.; Cook, M.J.; Burns, L.; McAnally, L.; Pereira, J.; Bye, A.M. Predictors of Hippocampal, Cerebral, and Cerebellar Volume Reduction in Childhood Epilepsy. Epilepsia 2000, 41, 1540–1545. [Google Scholar] [CrossRef]
- Bekkelund, S.I.; Pierre-Jerome, C.; Mellgren, S.I. Quantitative Cerebral MRI in Epileptic Patients. Acta Neurol. Scand. 1996, 94, 378–382. [Google Scholar] [CrossRef]
- Guo, Q.; Wei, Z.; Fan, Z.; Hu, J.; Sun, B.; Jiang, S.; Feng, R.; Lang, L.; Chen, L. Quantitative Analysis of Cerebellar Lobule Morphology and Clinical Cognitive Correlates in Refractory Temporal Lobe Epilepsy Patients. Epilepsy Behav. 2021, 114, 107553. [Google Scholar] [CrossRef]
- volBrain: Automated MRI Brain Volumetry System. Available online: https://volbrain.upv.es/ (accessed on 16 January 2022).
- Manjón, J.V.; Coupé, P. VolBrain: An Online MRI Brain Volumetry System. Front. Neuroinform 2016, 10, 30. [Google Scholar] [CrossRef]
- Fine, A.; Wirrell, E.C. Seizures in Children. Pediatr Rev. 2020, 41, 321–347. [Google Scholar] [CrossRef]
- Służewski, W.; Bugaj, G. Padaczka w zaburzeniach rozwojowych kory mózgowej (Epilepsy in developmental disorders of the cerebral cortex). Pol. Przegl. Neurol. 2012, 8, 1–4. [Google Scholar]
- Falco-Walter, J. Epilepsy-Definition, Classification, Pathophysiology, and Epidemiology. Semin Neurol. 2020, 40, 617–623. [Google Scholar] [CrossRef]
- Patel, D.C.; Tewari, B.P.; Chaunsali, L.; Sontheimer, H. Neuron-glia interactions in the pathophysiology of epilepsy. Nat. Rev. Neurosci. 2019, 20, 282–297. [Google Scholar] [CrossRef]
- Wu, C.; Sun, D. GABA receptors in brain development, function, and injury. Metab. Brain Dis. 2015, 30, 367–379. [Google Scholar] [CrossRef]
- Thorn, M. Neuropathologic findings in postmortem studies of sudden death in epilepsy. Epilepsia 1997, 38, S32–S34. [Google Scholar] [CrossRef]
- Reddy, C.; Saini, A.G. Metabolic Epilepsy. Indian J. Pediatr. 2021, 88, 1025–1032. [Google Scholar] [CrossRef]
- Lalwani, A.M.; Yilmaz, A.; Bisgin, H.; Ugur, Z.; Akyol, S.; Graham, S.F. The Biochemical Profile of Post-Mortem Brain from People Who Suffered from Epilepsy Reveals Novel Insights into the Etiopathogenesis of the Disease. Metabolites 2020, 10, 261. [Google Scholar] [CrossRef]
- Goodman, A.M.; Szaflarski, J.P. Recent Advances in Neuroimaging of Epilepsy. Neurotherapeutics 2021, 18, 811–826. [Google Scholar] [CrossRef]
- Sidhu, M.K.; Duncan, J.S.; Sander, J.W. Neuroimaging in epilepsy. Curr. Opin. Neurol. 2018, 31, 371–378. [Google Scholar] [CrossRef]
- Detre, J.A. fMRI: Applications in epilepsy. Epilepsia 2004, 45, 26–31. [Google Scholar] [CrossRef]
- Sun, Y.M.; Peng, Y.X.; Wen, Q.; Dai, Y.; Liu, X.R.; Yang, X.P.; Ye, Q. Resting-state fMRI in temporal lobe epilepsy patients with cognitive impairment. Medicine 2021, 100, e27249. [Google Scholar] [CrossRef]
- Alhusaini, S.; Doherty, C.P.; Scanlon, C.; Ronan, L.; Maguire, S.; Borgulya, G.; Brennan, P.; Delanty, N.; Fitzsimons, M.; Cavalleri, G.L. A Cross-Sectional MRI Study of Brain Regional Atrophy and Clinical Characteristics of Temporal Lobe Epilepsy with Hippocampal Sclerosis. Epilepsy Res. 2012, 99, 156–166. [Google Scholar] [CrossRef]
- Tae, W.S.; Hong, S.B.; Joo, E.Y.; Han, S.J.; Cho, J.W.; Seo, D.W.; Lee, J.M.; Kim, I.Y.; Byun, H.S.; Kim, S.I. Structural Brain Abnormalities in Juvenile Myoclonic Epilepsy Patients: Volumetry and Voxel-Based Morphometry. Korean J. Radiol. 2006, 7, 162. [Google Scholar] [CrossRef]
- Keller, S.S.; Wieshmann, U.C.; Mackay, C.E.; Webb, J.; Roberts, N. Based Morphometry of Grey Matter Abnormalities in Patients with Medically Intractable Temporal Lobe Epilepsy: Effects of Side of Seizure Onset and Epilepsy Duration. J. Neurol. Neurosurg. Psychiatry 2002, 73, 648–656. [Google Scholar] [CrossRef]
- Hagemann, G.; Lemieux, L.; Free, S.L.; Krakow, K.; Everitt, A.D.; Kendall, B.E.; Stevens, J.M.; Shorvon, S.D. Volumes in Newly Diagnosed and Chronic Epilepsy. J. Neurol. 2002, 249, 1651–1658. [Google Scholar] [CrossRef]
- Princich, J.P.; Donnelly-Kehoe, P.A.; Deleglise, A.; Vallejo-Azar, M.N.; Pascariello, G.O.; Seoane, P.; Santos, J.G.V.D.; Collavini, S.; Nasimbera, A.H.; Kochen, S. Diagnostic Performance of MRI Volumetry in Epilepsy Patients with Hippocampal Sclerosis Supported Through a Random Forest Automatic Classification Algorithm. Front. Neurol. 2021, 12, 613967. [Google Scholar] [CrossRef] [PubMed]
- Moghaddam, H.S.; Aarabi, M.H.; Mehvari-Habibabadi, J.; Sharifpour, R.; Mohajer, B.; Mohammadi-Mobarakeh, N.; Hashemi-Fesharaki, S.S.; Elisevich, K.; Nazem-Zadeh, M.-R. Distinct Patterns of Hippocampal Subfield Volume Loss in Left and Right Mesial Temporal Lobe Epilepsy. Neurol. Sci. 2021, 42, 1411–1421. [Google Scholar] [CrossRef] [PubMed]
- Azab, M.; Carone, M.; Ying, S.H.; Yousem, D.M. Mesial Temporal Sclerosis: Accuracy of NeuroQuant versus Neuroradiologist. AJNR Am. J. Neuroradiol. 2015, 36, 1400–1406. [Google Scholar] [CrossRef] [PubMed]
- Morita-Sherman, M.; Li, M.; Joseph, B.; Yasuda, C.; Vegh, D.; De Campos, B.M.; Alvim, M.K.; Louis, S.; Bingaman, W.; Najm, I.; et al. Incorporation of quantitative MRI in a model to predict temporal lobe epilepsy surgery outcome. Brain Commun. 2021, 3, fcab164. [Google Scholar] [CrossRef]
- Louis, S.; Morita-Sherman, M.; Jones, S.; Vegh, D.; Bingaman, W.; Blumcke, I.; Obuchowski, N.; Cendes, F.; Jehi, L. Hippocampal Sclerosis Detection with NeuroQuant Compared with Neuroradiologists. AJNR Am. J. Neuroradiol. 2020, 41, 591–597. [Google Scholar] [CrossRef]
- Fischl, B. FreeSurfer. Neuroimage 2012, 62, 774–781. [Google Scholar] [CrossRef]
- De Figueiredo, N.S.V.; Gaça, L.B.; Assunção-Leme, I.B.; Mazetto, L.; Garcia, M.T.F.C.; Sandim, G.B.; Alonso, N.B.; Centeno, R.S.; de Araújo Filho, G.M.; Jackowski, A.P.; et al. A pioneering FreeSurfer volumetric study of a series of patients with mesial temporal lobe epilepsy and hippocampal sclerosis with comorbid depression. Psychiatry Res. Neuroimaging 2021, 311, 111281. [Google Scholar] [CrossRef]
- Riederer, F.; Seiger, R.; Lanzenberger, R.; Pataraia, E.; Kasprian, G.; Michels, L.; Kollias, S.; Czech, T.; Hainfellner, J.A.; Beiersdorf, J.; et al. Automated volumetry of hippocampal subfields in temporal lobe epilepsy. Epilepsy Res. 2021, 175, 106692. [Google Scholar] [CrossRef]








| Protocol | Sequence |
|---|---|
| Standard MR protocol |
|
| Epilepsy MR protocol |
|
| Factor | Group | Mean (SD) | Me (Q1–Q3) | Min-Max | Test of Normality W (p) |
|---|---|---|---|---|---|
| WM | S | 31.25% (3.68%) | 32.00% (28.70–33.51%) | 24.25–40.70% | 0.98 (0.388) |
| GM | S | 59.01% (3.87%) | 58.89% (56.73–61.19%) | 50.87–67.07% | 0.98 (0.406) |
| Brain | S | 90.25% (2.49%) | 90.53% (88.25–91.60%) | 86.14–96.96% | 0.96 (0.069) |
| Cerebrum Total | S | 78.89% (2.41%) | 79.19% (77.02–80.45%) | 74.99–85.05% | 0.96 (0.067) |
| Cerebellum Total | S | 9.91% (0.68%) | 9.95% (9.45–10.28%) | 8.31–11.97% | 0.98 (0.647) |
| Brainstem Total | S | 1.44% (0.18%) | 1.44% (1.33–1.54%) | 1.06–1.92% | 0.99 (0.747) |
| Lateral ventricle Total | S | 0.85% (0.49%) | 0.73% (0.50–1.04%) | 0.22–2.32% | 0.89 (<0.001 *) |
| Caudate Total | S | 0.56% (0.07%) | 0.55% (0.51–0.60%) | 0.43–0.79% | 0.97 (0.132) |
| Putamen Total | S | 0.63% (0.07%) | 0.62% (0.58–0.67%) | 0.47–0.79% | 0.97 (0.127) |
| Thalamus Total | S | 0.87% (0.06%) | 0.88% (0.84–0.90%) | 0.71–1.06% | 0.95 (0.019 *) |
| Globus Pallidus Total | S | 0.19% (0.03%) | 0.19% (0.17–0.21%) | 0.14–0.25% | 0.96 (0.078) |
| Hippocampus Total | S | 0.48% (0.06%) | 0.49% (0.45–0.52%) | 0.26–0.58% | 0.88 (<0.001 *) |
| Amygdala Total | S | 0.11% (0.02%) | 0.11% (0.10–0.12%) | 0.07–0.17% | 0.94 (0.007 *) |
| Accumbens Total | S | 0.05% (0.01%) | 0.04% (0.04–0.05%) | 0.02–0.07% | 0.91 (<0.001 *) |
| WM | C | 31.63% (4.65%) | 32.98% (30.59–34.67%) | 17.94–37.75% | 0.87 (<0.001 *) |
| GM | C | 59.50% (4.67%) | 58.38% (56.11–62.46%) | 52.04–68.45% | 0.94 (0.070) |
| Brain | C | 91.02% (2.54%) | 91.89% (89.01–92.60%) | 84.22–94.85% | 0.92 (0.016 *) |
| Cerebrum Total | C | 79.57% (2.63%) | 80.32% (77.41–81.47%) | 72.65–83.24% | 0.93 (0.040 *) |
| Cerebellum Total | C | 10.04% (0.82%) | 10.07% (9.63–10.72%) | 7.71–11.57% | 0.97 (0.437) |
| Brainstem Total | C | 1.49% (0.16%) | 1.51% (1.34–1.61%) | 1.08–1.72% | 0.95 (0.161) |
| Lateral ventricle Total | C | 0.55% (0.34%) | 0.45% (0.28–0.70%) | 0.20–1.44% | 0.86 (<0.001 *) |
| Caudate Total | C | 0.54% (0.06%) | 0.54% (0.51–0.57%) | 0.43–0.66% | 0.97 (0.509) |
| Putamen Total | C | 0.67% (0.07%) | 0.65% (0.62–0.70%) | 0.54–0.88% | 0.94 (0.084) |
| Thalamus Total | C | 0.90% (0.07%) | 0.90% (0.86–0.95%) | 0.78–1.05% | 0.97 (0.399) |
| Globus Pallidus Total | C | 0.19% (0.03%) | 0.19% (0.17–0.22%) | 0.13–0.25% | 0.96 (0.208) |
| Hippocampus Total | C | 0.51% (0.05%) | 0.51% (0.48–0.53%) | 0.39–0.62% | 0.98 (0.629) |
| Amygdala Total | C | 0.11% (0.01%) | 0.11% (0.10–0.12%) | 0.09–0.14% | 0.93 (0.026 *) |
| Accumbens Total | C | 0.05% (0.01%) | 0.04% (0.04–0.05%) | 0.03–0.08% | 0.88 (0.001 *) |
| Factor | Group (N) Me (Q1–Q3) | Statistical Analysis Z (p) | |
|---|---|---|---|
| Study (57) | Control (34) | ||
| WM | 32.00% (28.70–33.51%) | 31.63% (30.59–34.67%) | −1.12 (0.263) |
| GM | 58.89% (56.73–61.19%) | 59.50% (56.11–62.46%) | −0.15 (0.879) |
| Brain | 90.53% (88.25–91.60%) | 91.02% (89.01–92.60%) | −2.19 (0.029 *) |
| Cerebrum Total | 79.19% (77.02–80.45%) | 79.57% (77.41–81.47%) | −1.78 (0.075) |
| Cerebellum Total | 9.95% (9.45–10.28%) | 10.04% (9.63–10.72%) | −1.04 (0.297) |
| Brainstem Total | 1.44% (1.33–1.54%) | 1.49% (1.34–1.61%) | −1.55 (0.121) |
| Lateral ventricle Total | 0.73% (0.50–1.04%) | 0.55% (0.28–0.70%) | 3.25 (0.001 *) |
| Caudate Total | 0.55% (0.51–0.60%) | 0.54% (0.51–0.57%) | 1.21 (0.226) |
| Putamen Total | 0.62% (0.58–0.67%) | 0.67% (0.62–0.70%) | −2.01 (0.044 *) |
| Thalamus Total | 0.88% (0.84–0.90%) | 0.90% (0.86–0.95%) | −1.73 (0.083) |
| Globus Pallidus Total | 0.19% (0.17–0.21%) | 0.19% (0.17–0.22%) | 0 (0.997) |
| Hippocampus Total | 0.49% (0.45–0.52%) | 0.51% (0.48–0.53%) | −1.77 (0.076) |
| Amygdala Total | 0.11% (0.10–0.12%) | 0.11% (0.10–0.12%) | 0.21 (0.834) |
| Accumbens Total | 0.04% (0.04–0.05%) | 0.05% (0.04–0.05%) | −0.2 (0.841) |
| Factor | Me (Q1–Q3) | Statistical Analysis Z (p) | |
|---|---|---|---|
| Without Comorbidities (28) | With Comorbidities (18) | ||
| White Matter | 32.27% (30.29–34.03%) | 30.38% (26.35–33.18%) | 1.56 (0.118) |
| Grey Matter | 58.03% (56.23–60.43%) | 59.78% (56.94–64.46%) | −1.1 (0.270) |
| Brain | 90.55% (88.33–91.62%) | 90.11% (88.01–91.60%) | 0.46 (0.645) |
| Lateral ventricle Total | 0.69% (0.50–0.94%) | 0.98% (0.59–1.16%) | −1.28 (0.200) |
| Hippocampus Total | 0.50% (0.46–0.53%) | 0.49% (0.47–0.52%) | −0.18 (0.857) |
Publisher’s Note: MDPI stays neutral with regard to jurisdictional claims in published maps and institutional affiliations. |
© 2022 by the authors. Licensee MDPI, Basel, Switzerland. This article is an open access article distributed under the terms and conditions of the Creative Commons Attribution (CC BY) license (https://creativecommons.org/licenses/by/4.0/).
Share and Cite
Woźniak, M.M.; Zbroja, M.; Matuszek, M.; Pustelniak, O.; Cyranka, W.; Drelich, K.; Kopyto, E.; Materniak, A.; Słomka, T.; Cebula, M.; et al. Epilepsy in Pediatric Patients—Evaluation of Brain Structures’ Volume Using VolBrain Software. J. Clin. Med. 2022, 11, 4657. https://doi.org/10.3390/jcm11164657
Woźniak MM, Zbroja M, Matuszek M, Pustelniak O, Cyranka W, Drelich K, Kopyto E, Materniak A, Słomka T, Cebula M, et al. Epilepsy in Pediatric Patients—Evaluation of Brain Structures’ Volume Using VolBrain Software. Journal of Clinical Medicine. 2022; 11(16):4657. https://doi.org/10.3390/jcm11164657
Chicago/Turabian StyleWoźniak, Magdalena Maria, Monika Zbroja, Małgorzata Matuszek, Olga Pustelniak, Weronika Cyranka, Katarzyna Drelich, Ewa Kopyto, Andrzej Materniak, Tomasz Słomka, Maciej Cebula, and et al. 2022. "Epilepsy in Pediatric Patients—Evaluation of Brain Structures’ Volume Using VolBrain Software" Journal of Clinical Medicine 11, no. 16: 4657. https://doi.org/10.3390/jcm11164657
APA StyleWoźniak, M. M., Zbroja, M., Matuszek, M., Pustelniak, O., Cyranka, W., Drelich, K., Kopyto, E., Materniak, A., Słomka, T., Cebula, M., & Brodzisz, A. (2022). Epilepsy in Pediatric Patients—Evaluation of Brain Structures’ Volume Using VolBrain Software. Journal of Clinical Medicine, 11(16), 4657. https://doi.org/10.3390/jcm11164657

