Cardiovascular Magnetic Resonance Imaging Patterns in Rare Cardiovascular Diseases
Abstract
1. Introduction
2. CMR Applications for Cardiovascular Diseases
- 1.
- Assessment of cardiac function: The CMR pulse sequence used for functional evaluation of the heart is the balanced steady-state free precession (bSSFP), which is the gold standard for the evaluation of cardiac anatomy, mass, wall motion, and atrial and ventricular function because it is a tomographic modality without clinical assumption of cardiac shape [5]. It is of great value specifically for the assessment of the right cardiac ventricle (RV), which is usually underestimated by echocardiography [5].
- 2.
- Assessment of pericardium
- (a)
- Pericardial inflammation: CMR using T1-W black blood and SSFP sequences allows for anatomical characterization of the pericardium. Native T1 and T2 mapping provide additional information regarding pericardial inflammation. The inflamed pericardium is enhanced after the use of paramagnetic contrast, being a key tool to assess pericardial inflammation [5]. Its persistence, despite standard medical treatment in symptomatic patients, supports the need for prolonged treatment [6].
- (b)
- Pericardial effusion: CMR criteria for pericardial effusion characterization are based on the total amount of fluid in the pericardium. If the intrapericardial space anterior to RV on SSFP is <4 mm, ≥5 mm (100–500 mL) and >10–15 mm is considered as small, medium, or large, respectively. Native T1 mapping of the pericardial fluid provides information about its composition. A native T1 mapping cut-off value of 3013 ms can differentiate transudates from exudates with a sensitivity of 94% and specificity of 79%, [7] with lower values suggesting exudative pericardial effusions [7]. In addition, native T1 and T2 mapping may reveal coexisting myocardial inflammation/fibrosis. However, mapping techniques are sequence- and magnet-specific and therefore, unlike LGE, they remain more challenging for standardization depending on different magnetic fields and protocols used.
- (c)
- Constrictive Pericarditis: In the appropriate clinical scenario, a thickened pericardium >4 mm, visualized with SSFP or LGE, is a potential indicator of constriction [8,9]. However, constriction is characterized by both anatomic and hemodynamic alterations and, therefore, the final diagnosis of constrictive pericarditis should be confirmed by cardiac catheterization. In this context, CMR can assess the characteristic S-shaped interventricular septum using SSFP, dilated inferior or superior vena cava and/or coronary sinus. Real-time cine may demonstrate the effect of free breathing on ventricular interdependence, which is the typical marker of constrictive pericarditis [9,10,11,12].
- 3.
- Myocardial tissue characterization.
- (a)
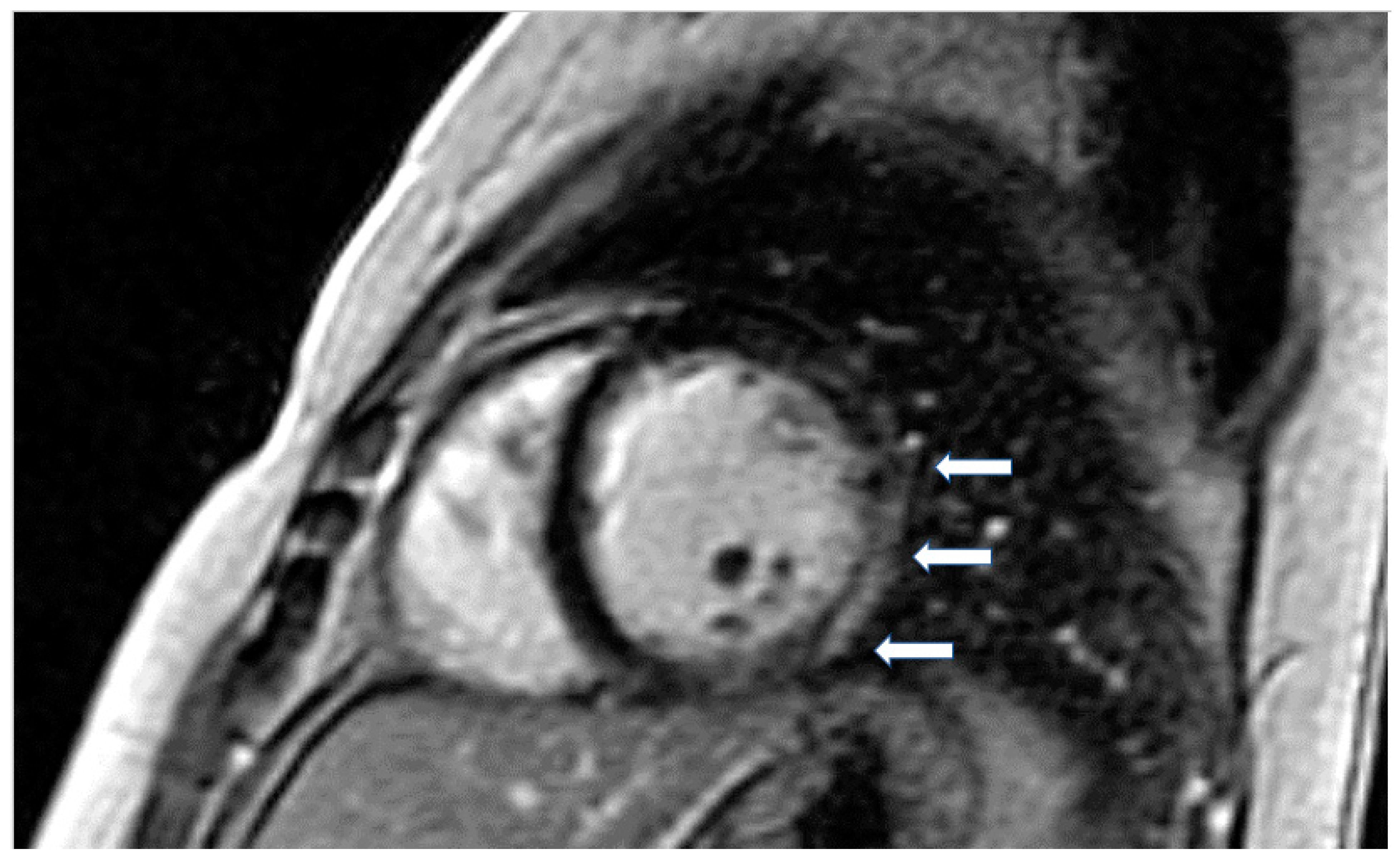
- T1-weighted images (T1-W) and late gadolinium enhancement (LGE): T1-W imaging provides information for a morphological assessment of the heart. Late gadolinium-enhanced T1-W images (LGE), taken 10–15 min after gadolinium-based contrast administrations using inversion recovery pulse sequences, allows for the detection of myocardial replacement fibrosis (scar) (Figure 1) [13]. LGE may also detect marked extracellular interstitial expansion in association with amyloidosis (amyloid deposition and fibrosis) and in pulmonary hypertension (myocardial disarray with increased collagen content without focal replacement fibrosis). In myocarditis, LGE mainly reflects inflammation, combined with or without fibrosis [13]. In the acute phase of myocarditis, LGE correlates with necrosis (associated with edema as assessed by T2 mapping), while in the chronic phase, it corresponds to fibrosis (with less or no edema) [13]. Thrombi (if not organized) do not accumulate contrast agents, making LGE ideal in excluding recent thrombi [14].Myocardial infarction is characterized by subendocardial or transmural LGE in the distribution of epicardial coronary arteries. Subepicardial or patchy LGE usually in the inferolateral wall is characteristic of myocarditis. Finally, diffuse subendocardial LGE that does not follow the typical distribution of epicardial coronary arteries is often associated with microvascular coronary artery disease, vasculitis, antiphospholipid syndrome, and endocrine disorders, such as Cushing syndrome and autoimmune thyroid disease [13].
- (b)
- T2-weighted images (T2-W): T2-W images result from water accumulation, due to edema [15], reflecting an acute myocardial response to damage of either ischemic (myocardial infarction) or inflammatory (myocarditis) etiology. It may be localized or diffuse, subendocardial or transmural, following the distribution of epicardial coronary arteries, as in CAD, or subepicardial, as in myocarditis. It can also be diffuse subendocardial, as in microvascular coronary artery disease and vasculitis [13]. T2-W injury appears as a high signal intensity area on short tau inversion recovery (STIR T2) images, where the signal contrast between edema, normal myocardium, and LV cavity is optimum. The STIR T2 image limitations include poor contrast between healthy and edematous areas, due to low signal-to-noise ratio [13], dependency on magnetic field homogeneity, and slow flow hyperintensity with motion artifacts [13].
- (c)
- T2 mapping: In T2 mapping a parametric image of each voxel is reconstructed to overcome the problems of STIR T2. At 1.5 T, normal myocardium T2 values have been reported as 52 ± 3 ms by Giri et al. [16] and 55 ± 5 by Wassmuth et al. [17]. T2 measures are independent of body surface area and/or heart rate and have good reproducibility; however, they may vary with different scanner types or field strengths [18]. Normal values are also dependent on topographical LV location with increasing values from base to apex [18]. Increased signal on T2 mapping indicates myocardial edema, due to a recent cardiac lesion, as opposed to fibrosis [13,16,17].We should note that T2-W evaluation is a qualitative approach, prone to many technical limitations, while T2 mapping is a precise quantitative approach providing information on each voxel.
- (d)
- Stress CMR: Rapid cardiac imaging using T1-W after pharmacologic, hyperemic stress with adenosine (or dipyridamole, ATP, regadenosine) and bolus injection of paramagnetic Gd-based contrast agent provides accurate and reproducible information about myocardial perfusion during stress [13]. This method allows for the assessment of perfusion defects, due to epicardial [19] or micro-vascular coronary artery disease [20,21]. Compared to other imaging modalities, stress CMR has no window or body habitus limitations and is the technique of choice for diagnosis of epicardial and micro-vascular CAD, mainly in those unable to exercise, but only if it is performed in experienced centers [13].
- (e)
- T1 mapping and ECV: Although LGE is well established as the technique of choice for the detection of replacement fibrosis, it has inherent limitations to assess diffuse myocardial fibrosis, because it is based on changes in signal intensity between scarred and normal myocardium [13,21,22]. Therefore, parametric imaging including T1, T2 mapping, T2* and ECV, was developed. T1 mapping (native or pre-contrast T1 and post-contrast T1) provides a quantitative assessment of tissue T1 values and enables the identification of diffuse myocardial fibrosis, which is usually undetectable by the currently used blood biomarkers [22]. Normal values of T1 mapping are 995.8 ± 30.9 ms at 1.5 T [23] and 1183.8 ± 37.5 ms at 3T [24]. However, field strength and different types of pulse sequences influence T1 measurements. Therefore, it is recommended that different MRI units should generate their own normal values for use in clinical practice [21]. Post-contrast T1 mapping is used for ECV calculation in combination with native T1 mapping. ECV estimation requires measurement of myocardial and blood T1 before and after administration of contrast agents being determined as follows:Normal ECV values of 25.3 ± 3.5% have been reported in healthy individuals at 1.5 T [21]. Apart from amyloid, increased ECV is most often due to excessive collagen deposition as in diffuse fibrosis accompanying systemic sclerosis [21] and other non-rheumatic processes. ECV is more reproducible than native and post-contrast T1 at different field strengths, vendors, and acquisition techniques [22,23].Increased native T1 mapping in the remote myocardial infarction area carries an ominous prognosis. Additionally, increased values of native T1 mapping and ECV may be an early finding in various cardiomyopathies, before the detection of strain, and strain rate abnormalities [24]. Furthermore, native T1 mapping is also sensitive to myocardial edema, iron overload and diffuse scarring [13], allowing for the monitoring of longitudinal changes associated with treatment in clinical trials [24]. Using these techniques, CMR can guide patient selection to revascularization in coronary chronic total occlusions [25].
- 4.
- Angiography using T1-W ImagingMagnetic resonance angiography (MRA) is based on two general concepts:
- (a)
- Methods relying on natural flow effects such as time-of-flight and phase-contrast techniques, either in two- or three-dimensional acquisition modes. Non-contrast MRA can provide pivotal information regarding large vessel aneurysm/stenosis without the need for contrast administration, while black blood images depicting increased wall thickness in a circumferential pattern characterize large vessel vasculitis [26].
- (b)
- Contrast-enhanced (CE) MRA method, which is as accurate as X-ray angiography in detecting abnormalities of the great vessels, with important applications in rare autoimmune diseases with cardiovascular involvement, such as Takayasu arteritis, Behcet–Adamandiadis disease, Cogan disease and IgG4 arteritis [26]. Contrast-enhanced MRA is also frequently used to establish large vessel patency and identify mural inflammation in large vessel vasculitis [26]. The lack of radiation makes this technique ideal for serial evaluation.Additionally, we should mention that coronary artery vasculitis imaging is feasible using CMR methods presently at the investigational level. However, it is important in the evaluation of children with Kawasaki disease and coronary artery aneurysms (CAA) [27]. Moreover, stress CMR can assess myocardial ischemia in Kawasaki disease [28].
- 5.
- Pulmonary hypertension (PH) assessmentThe International Guidelines recommended hemodynamic criteria for the diagnosis of PH include elevated mean pulmonary artery pressure (mPAP) of >20 mmHg with a pulmonary capillary wedge pressure (PCWP) ≤15 mmHg and a pulmonary vascular resistance (PVR) >3 Wood units (WU) [29]. Echocardiography remains the standard imaging modality for non-invasive estimation of PAP, with CMR playing an important complementary role [30,31], by providing unique structural/functional information on the pulmonary artery and RV, which have significant prognostic value for these patients. CMR SSFP allows for accurate quantification of RV mass, volumes, and wall motion abnormalities with high reproducibility [29]. LGE at the RV insertion point is commonly found in PH and is not indicative of disease severity [30]. A CMR model using interventricular septum angle, RV-LV mass ratio and PA anatomy, was found to have a sensitivity of 93% and specificity of 79% to detect PH non-invasively [32].Finally, four-dimensional flow (4D flow) is a new CMR method that allows 3D visualization of vascular flow and quantitative assessment of transvalvular or intra-cavity flow [33]. Abnormal flow patterns in the main pulmonary artery (MPA) are associated with PH and can be used to estimate mean pulmonary artery pressure (mPAP) and MPA wall shear stress, with reliable quantification of tricuspid regurgitation [33].
- 6.
- Valve heart disease (VHD) assessmentEchocardiography remains the main imaging modality used for diagnosis and long-term follow-up in RCD patients with valve heart disease. However, the low inter-study variability makes CMR an excellent alternative for serial assessment of VHD [34,35]. In patients with mitral regurgitation, total LV stroke volume is equivalent to the total aortic forward stroke volume (total anterograde flow) plus the mitral regurgitant volume (retrograde mitral flow) and can be accurately quantified by CMR.In aortic stenosis, phase-contrast velocity mapping can measure peak velocity across the valve. However, this approach is reserved for patients with poor echocardiographic windows because the lower temporal resolution of CMR, compared with Doppler echocardiography, may lead to an underestimation of disease severity. Aortic valve area (AVA) can be measured by CMR using planimetry [35], although such a technique remains inferior to AVA assessment by Doppler echocardiography. Conversely, the reproducibility of CMR in quantifying the severity of valvular regurgitation is superior to TTE and provides powerful prognostic information [36].
- (a)
- Iron depositionMyocardial iron deposition in the heart cannot be predicted from serum ferritin or liver iron content in a biopsy. Furthermore, the conventional assessment of cardiac function can only detect patients with advanced iron cardiomyopathy. CMR is the only non-invasive imaging modality that can reproducibly quantify myocardial iron deposition using myocardial T2*. This CMR parameter is the most significant variable for predicting the need for iron chelation treatment. Early start or intensification of iron chelation treatment, guided by CMR, can reverse iron cardiomyopathy, and increase survival [37]. Finally, native T1 mapping can also measure iron and preliminary data show that it may have higher sensitivity in the detection of early iron overload [38].
3. CMR Limitations
- Generally, the availability/expertise of CMR is rather low, but recently it has increased, as there is a great demand in cardiovascular clinical practice.
- Contra-indicated in patients with metallic clips and non-MRI conditional devices [13]. However, even non-MRI conditional devices can be scanned if there is the expectation for a very important diagnostic benefit for the patient.
- The use of gadolinium contrast with MRI should be limited; it may be used as a contrast agent in pregnancy only if a significant improvement in diagnostic performance is expected with a serious impact on the fetal or maternal outcome. Breastfeeding should not be interrupted after gadolinium administration [39].
- Traditionally, it is considered an expensive modality. However, there is a cost-minimization analysis for cardiac revascularization in CAD patients that showed the clear benefit of using CMR in decision making [40].
4. CMR for the Evaluation of Cardiovascular Involvement in RCDs
- (A)
- percentage LV myocardial mass (non-compacted) > 25%;
- (B)
- total LV myocardial mass index (non-compacted) > 15 g/m2;
- (C)
- non-compacted/compacted myocardium ratio of ≥3:1 in at least one of the following segments (1–3, 7–16)—the apical segment 17 is excluded;
- (D)
- trabeculation (non-compacted/compacted) in segments 4–6 of ≥2:1.
5. Take Home Messages
- CMR can perform angiography, function, perfusion, and tissue characterization in the same examination;
- Evidence of edema expressed as a high signal in STIRT2 or increased absolute T2 values on T2 mapping is common in acute/active inflammatory states;
- Diffuse subendocardial fibrosis, expressed as diffuse, subendocardial LGE, is characteristic of microvascular disease, as in systemic sclerosis, small vessel vasculitis, anti-phospholipid syndrome, cardiac amyloidosis, and cardiac involvement in metabolic disorders;
- Replacement fibrosis, expressed as LGE, in the inferolateral wall of LV is common in neuromuscular disorders, such as DMD and BMD. However, other myocardial areas can be also involved;
- Active sarcoidosis can present with punched-out LGE with edema, irrespective of the cause and blood biomarkers;
- Cardiac hypertrophy is characteristic in HCM, CA and AFD, but LGE may be located in IVS, subendocardium and lateral wall in HCM, CA and AFD, respectively. Furthermore, increased absolute T1 values or T1 signal on T1 mapping are characteristic of HCM, CA, while reduced T1 signal on T1 mapping is characteristic of AFD;
- Magnetic resonance angiography provides non-invasive information in various aortopathies, such as in Marfan, Turner syndromes and Takayasu, giant cell, Cogan and Behcet vasculitis;
- LGE in RV is the typical finding of ARVC. However, LGE can be also found in LV leading to the diagnosis of ACM, according to new Padua criteria;
- The tissue changes in RCDs may be detected only through changes in parametric imaging indices, which include native T1, T2 mapping and ECV, while all other indices may be normal.
6. Conclusions
Author Contributions
Funding
Institutional Review Board Statement
Informed Consent Statement
Data Availability Statement
Conflicts of Interest
References
- McAllister, A.K. BDNF. Curr. Biol. 2002, 12, R310. [Google Scholar] [CrossRef][Green Version]
- Inserm, Us14. Orphanet: About Rare Diseases. 2019. Available online: https://www.orpha.net/ (accessed on 15 May 2022).
- Podolec, P. Classification of Rare Cardiovascular Diseases (RCD Classification), Krakow 2013. J. Rare Cardiovasc. Dis. 2013, 1, 49–60. [Google Scholar] [CrossRef][Green Version]
- Mavrogeni, S.; Pepe, A.; Nijveldt, R.; Ntusi, N.; Sierra-Galan, L.M.; Bratis, K.; Wei, J.; Mukherjee, M.; Markousis-Mavrogenis, G.; Gargani, L.; et al. Cardiovascular magnetic resonance in autoimmune rheumatic diseases: A clinical consensus document by the European Association of Cardiovascular Imaging. Eur. Heart J. Cardiovasc. Imaging 2022, 23, e308–e322. [Google Scholar] [CrossRef]
- Liu, C.; Ferrari, V.A.; Han, Y. Cardiovascular Magnetic Resonance Imaging and Heart Failure. Curr. Cardiol. Rep. 2021, 23, 35. [Google Scholar] [CrossRef] [PubMed]
- Alraies, M.C.; AlJaroudi, W.; Yarmohammadi, H.; Yingchoncharoen, T.; Schuster, A.; Senapati, A.; Tariq, M.; Kwon, D.; Griffin, B.P.; Klein, A.L. Usefulness of cardiac magnetic resonance-guided management in patients with recurrent pericarditis. Am. J. Cardiol. 2015, 115, 542–547. [Google Scholar] [CrossRef]
- Rosmini, S.; Seraphim, A.; Captur, G.; Gomes, A.C.; Zemrak, F.; Treibel, T.A.; Cash, L.; Culotta, V.; O”mahony, C.; Kellman, P.; et al. 247Characterisation of pleural and pericardial effusions with T1 mapping. Eur. Heart J. Cardiovasc. Imaging 2019, 20, jez120. [Google Scholar] [CrossRef]
- Cosyns, B.; Plein, S.; Nihoyanopoulos, P.; Smiseth, O.; Achenbach, S.; Andrade, M.J.; Pepi, M.; Ristic, A.; Imazio, M.; Paelinck, B.; et al. European Association of Cardiovascular Imaging (EACVI) position paper: Multimodality imaging in pericardial disease. Eur. Heart J. Cardiovasc. Imaging 2015, 16, 12–31. [Google Scholar] [CrossRef]
- Geske, J.B.; Anavekar, N.S.; Nishimura, R.A.; Oh, J.K.; Gersh, B.J. Differentiation of Constriction and Restriction: Complex Cardiovascular Hemodynamics. J. Am. Coll. Cardiol. 2016, 68, 2329–2347. [Google Scholar] [CrossRef]
- Francone, M.; Dymarkowski, S.; Kalantzi, M.; Rademakers, F.E.; Bogaert, J. Assessment of ventricular coupling with real-time cine MRI and its value to differentiate constrictive pericarditis from restrictive cardiomyopathy. Eur. Radiol. 2006, 16, 944–951. [Google Scholar] [CrossRef]
- Vidalakis, E.; Kolentinis, M.; Gawor, M.; Vasquez, M.; Nagel, E. CMR in Pericardial Diseases—An Update. Curr. Cardiovasc. Imaging Rep. 2020, 13, 14. [Google Scholar] [CrossRef]
- Glower, D.D. Sticking points in magnetic resonance diagnosis of constrictive pericarditis. J. Thorac. Cardiovasc. Surg. 2016, 151, 1356–1357. [Google Scholar] [CrossRef] [PubMed][Green Version]
- Mavrogeni, S.I.; Kitas, G.D.; Dimitroulas, T.; Sfikakis, P.P.; Seo, P.; Gabriel, S.; Patel, A.R.; Gargani, L.; Bombardieri, S.; Matucci-Cerinic, M.; et al. Cardiovascular magnetic resonance in rheumatology: Current status and recommendations for use. Int. J. Cardiol. 2016, 217, 135–148. [Google Scholar] [CrossRef] [PubMed]
- Srichai, M.B.; Junor, C.; Rodriguez, L.L.; Stillman, A.E.; Grimm, R.A.; Lieber, M.L.; Weaver, J.A.; Smedira, N.G.; White, R.D. Clinical, imaging, and pathological characteristics of left ventricular thrombus: A comparison of contrast-enhanced magnetic resonance imaging, transthoracic echocardiography, and transesophageal echocardiography with surgical or pathological validation. Am. Heart J. 2006, 152, 75–84. [Google Scholar] [CrossRef] [PubMed]
- Rosmini, S.; Seraphim, A.; Knott, K.; Brown, J.T.; Knight, D.S.; Zaman, S.; Cole, G.; Sado, D.; Captur, G.; Gomes, A.C.; et al. Non-invasive characterization of pleural and pericardial effusions using T1 mapping by magnetic resonance imaging. Eur. Heart J. Cardiovasc. Imaging 2021, 23, 1117–1126. [Google Scholar] [CrossRef]
- Giri, S.; Shah, S.; Xue, H.; Chung, Y.C.; Pennell, M.L.; Guehring, J.; Zuehlsdorff, S.; Raman, S.V.; Simonetti, O.P. Myocardial T2 mapping with respiratory navigator and automatic nonrigid motion correction. Magn. Reson. Med. 2012, 68, 1570–1578. [Google Scholar] [CrossRef] [PubMed]
- Wassmuth, R.; Prothmann, M.; Utz, W.; Dieringer, M.; von Knobelsdorff-Brenkenhoff, F.; Greiser, A.; Schulz-Menger, J. Variability and homogeneity of cardiovascular magnetic resonance myocardial T2-mapping in volunteers compared to patients with edema. J. Cardiovasc. Magn. Reson. Off. J. Soc. Cardiovasc. Magn. Reson. 2013, 15, 27. [Google Scholar] [CrossRef] [PubMed]
- Mahrholdt, H.G.S.; Schulz-Menger, J. CMR in Myocardits in: CMR-Update, 3rd ed.; Schwitter, J., Ed.; FESC: Lausanne, Switzerland, 2020; Available online: www.herz-mri.ch (accessed on 10 March 2022).
- Patel, A.R.; Salerno, M.; Kwong, R.Y.; Singh, A.; Heydari, B.; Kramer, C.M. Stress Cardiac Magnetic Resonance Myocardial Perfusion Imaging: JACC Review Topic of the Week. J. Am. Coll. Cardiol. 2021, 78, 1655–1668. [Google Scholar] [CrossRef]
- Levelt, E.; Piechnik, S.K.; Liu, A.; Wijesurendra, R.S.; Mahmod, M.; Ariga, R.; Francis, J.M.; Greiser, A.; Clarke, K.; Neubauer, S.; et al. Adenosine stress CMR T1-mapping detects early microvascular dysfunction in patients with type 2 diabetes mellitus without obstructive coronary artery disease. J. Cardiovasc. Magn. Reson. Off. J. Soc. Cardiovasc. Magn. Reson. 2017, 19, 81. [Google Scholar] [CrossRef]
- Moon, J.C.; Messroghli, D.R.; Kellman, P.; Piechnik, S.K.; Robson, M.D.; Ugander, M.; Gatehouse, P.D.; Arai, A.E.; Friedrich, M.G.; Neubauer, S.; et al. Myocardial T1 mapping and extracellular volume quantification: A Society for Cardiovascular Magnetic Resonance (SCMR) and CMR Working Group of the European Society of Cardiology consensus statement. J. Cardiovasc. Magn. Reson. Off. J. Soc. Cardiovasc. Magn. Reson. 2013, 15, 92. [Google Scholar] [CrossRef]
- Sibley, C.T.; Noureldin, R.A.; Gai, N.; Nacif, M.S.; Liu, S.; Turkbey, E.B.; Mudd, J.O.; van der Geest, R.J.; Lima, J.A.; Halushka, M.K.; et al. T1 Mapping in cardiomyopathy at cardiac MR: Comparison with endomyocardial biopsy. Radiology 2012, 265, 724–732. [Google Scholar] [CrossRef]
- Barison, A.; Gargani, L.; De Marchi, D.; Aquaro, G.D.; Guiducci, S.; Picano, E.; Cerinic, M.M.; Pingitore, A. Early myocardial and skeletal muscle interstitial remodelling in systemic sclerosis: Insights from extracellular volume quantification using cardiovascular magnetic resonance. Eur. Heart J. Cardiovasc. Imaging 2015, 16, 74–80. [Google Scholar] [CrossRef] [PubMed]
- Cao, Y.; Zeng, W.; Cui, Y.; Kong, X.; Wang, M.; Yu, J.; Zhang, S.; Song, J.; Yan, X.; Greiser, A.; et al. Increased myocardial extracellular volume assessed by cardiovascular magnetic resonance T1 mapping and its determinants in type 2 diabetes mellitus patients with normal myocardial systolic strain. Cardiovasc. Diabetol. 2018, 17, 7. [Google Scholar] [CrossRef] [PubMed]
- Pica, S.; Di Giovine, G.; Bollati, M.; Testa, L.; Bedogni, F.; Camporeale, A.; Pontone, G.; Andreini, D.; Monti, L.; Gasparini, G.; et al. Cardiac magnetic resonance for ischaemia and viability detection. Guiding patient selection to revascularization in coronary chronic total occlusions: The CARISMA_CTO study design. Int. J. Cardiol. 2018, 272, 356–362. [Google Scholar] [CrossRef] [PubMed]
- Raman, S.V.; Aneja, A.; Jarjour, W.N. CMR in inflammatory vasculitis. J. Cardiovasc. Magn. Reson. Off. J. Soc. Cardiovasc. Magn. Reson. 2012, 14, 82. [Google Scholar] [CrossRef]
- Mavrogeni, S.; Papadopoulos, G.; Douskou, M.; Kaklis, S.; Seimenis, I.; Baras, P.; Nikolaidou, P.; Bakoula, C.; Karanasios, E.; Manginas, A.; et al. Magnetic resonance angiography is equivalent to X-ray coronary angiography for the evaluation of coronary arteries in Kawasaki disease. J. Am. Coll. Cardiol. 2004, 43, 649–652. [Google Scholar] [CrossRef]
- Buechel, E.R.; Balmer, C.; Bauersfeld, U.; Kellenberger, C.J.; Schwitter, J. Feasibility of perfusion cardiovascular magnetic resonance in paediatric patients. J. Cardiovasc. Magn. Reson. Off. J. Soc. Cardiovasc. Magn. Reson. 2009, 11, 51. [Google Scholar] [CrossRef]
- Simonneau, G.; Montani, D.; Celermajer, D.S.; Denton, C.P.; Gatzoulis, M.A.; Krowka, M.; Williams, P.G.; Souza, R. Haemodynamic definitions and updated clinical classification of pulmonary hypertension. Eur. Respir. J. 2019, 53, 1801913. [Google Scholar] [CrossRef]
- Lechartier, B.; Chaouat, A.; Aubert, J.D.; Schwitter, J. Magnetic resonance imaging in pulmonary hypertension: An overview of current applications and future perspectives. Swiss Med. Wkly. 2022, 152, w30055. [Google Scholar] [CrossRef]
- Alabed, S.; Garg, P.; Johns, C.S.; Alandejani, F.; Shahin, Y.; Dwivedi, K.; Zafar, H.; Wild, J.M.; Kiely, D.G.; Swift, A.J. Cardiac Magnetic Resonance in Pulmonary Hypertension-an Update. Curr. Cardiovasc. Imaging Rep. 2020, 13, 30. [Google Scholar] [CrossRef]
- Johns, C.S.; Kiely, D.G.; Rajaram, S.; Hill, C.; Thomas, S.; Karunasaagarar, K.; Garg, P.; Hamilton, N.; Solanki, R.; Capener, D.A.; et al. Diagnosis of Pulmonary Hypertension with Cardiac MRI: Derivation and Validation of Regression Models. Radiology 2019, 290, 61–68. [Google Scholar] [CrossRef]
- Cerne, J.W.; Pathrose, A.; Gordon, D.Z.; Sarnari, R.; Veer, M.; Blaisdell, J.; Allen, B.D.; Avery, R.; Markl, M.; Ragin, A.; et al. Evaluation of Pulmonary Hypertension Using 4D Flow MRI. J. Magn. Reson. Imaging 2022, 56, 234–245. [Google Scholar] [CrossRef] [PubMed]
- Mathew, R.C.; Löffler, A.I.; Salerno, M. Role of Cardiac Magnetic Resonance Imaging in Valvular Heart Disease: Diagnosis, Assessment, and Management. Curr. Cardiol. Rep. 2018, 20, 119. [Google Scholar] [CrossRef] [PubMed]
- Lopez-Mattei, J.C.; Shah, D.J. The role of cardiac magnetic resonance in valvular heart disease. Methodist DeBakey Cardiovasc. J. 2013, 9, 142–148. [Google Scholar] [CrossRef]
- Myerson, S.G. CMR in Evaluating Valvular Heart Disease: Diagnosis, Severity, and Outcomes. JACC. Cardiovasc. Imaging 2021, 14, 2020–2032. [Google Scholar] [CrossRef] [PubMed]
- Anderson, L.J.; Holden, S.; Davis, B.; Prescott, E.; Charrier, C.C.; Bunce, N.H.; Firmin, D.N.; Wonke, B.; Porter, J.; Walker, J.M.; et al. Cardiovascular T2-star (T2*) magnetic resonance for the early diagnosis of myocardial iron overload. Eur. Heart J. 2001, 22, 2171–2179. [Google Scholar] [CrossRef] [PubMed]
- Torlasco, C.; Cassinerio, E.; Roghi, A.; Faini, A.; Capecchi, M.; Abdel-Gadir, A.; Giannattasio, C.; Parati, G.; Moon, J.C.; Cappellini, M.D.; et al. Role of T1 mapping as a complementary tool to T2* for non-invasive cardiac iron overload assessment. PLoS ONE 2018, 13, e0192890. [Google Scholar] [CrossRef]
- Little, J.T.; Bookwalter, C.A. Magnetic Resonance Safety: Pregnancy and Lactation. Magn. Reson. Imaging Clin. N. Am. 2020, 28, 509–516. [Google Scholar] [CrossRef]
- Moschetti, K.; Kwong, R.Y.; Petersen, S.E.; Lombardi, M.; Garot, J.; Atar, D.; Rademakers, F.E.; Sierra-Galan, L.M.; Mavrogeni, S.; Li, K.; et al. Cost-Minimization Analysis for Cardiac Revascularization in 12 Health Care Systems Based on the EuroCMR/SPINS Registries. JACC. Cardiovasc. Imaging 2022, 15, 607–625. [Google Scholar] [CrossRef]
- Muiño-Mosquera, L.; De Wilde, H.; Devos, D.; Babin, D.; Jordaens, L.; Demolder, A.; De Groote, K.; De Wolf, D.; De Backer, J. Myocardial disease and ventricular arrhythmia in Marfan syndrome: A prospective study. Orphanet J. Rare Dis. 2020, 15, 300. [Google Scholar] [CrossRef]
- Winther, S.; Williams, L.K.; Keir, M.; Connelly, K.A.; Bradley, T.J.; Rakowski, H.; Crean, A.M. Cardiovascular Magnetic Resonance Provides Evidence of Abnormal Myocardial Strain and Primary Cardiomyopathy in Marfan syndrome. J. Comput. Assist. Tomogr. 2019, 43, 410–415. [Google Scholar] [CrossRef]
- Merlocco, A.; Lacro, R.V.; Gauvreau, K.; Rabideau, N.; Singh, M.N.; Prakash, A. Longitudinal Changes in Segmental Aortic Stiffness Determined by Cardiac Magnetic Resonance in Children and Young Adults With Connective Tissue Disorders (the Marfan, Loeys-Dietz, and Ehlers-Danlos Syndromes, and Nonspecific Connective Tissue Disorders). Am. J. Cardiol. 2017, 120, 1214–1219. [Google Scholar] [CrossRef] [PubMed]
- Veldhoen, S.; Behzadi, C.; Lenz, A.; Henes, F.O.; Rybczynski, M.; von Kodolitsch, Y.; Bley, T.A.; Adam, G.; Bannas, P. Non-contrast MR angiography at 1.5 Tesla for aortic monitoring in Marfan patients after aortic root surgery. J. Cardiovasc. Magn. Reson. Off. J. Soc. Cardiovasc. Magn. Reson. 2017, 19, 82. [Google Scholar] [CrossRef] [PubMed]
- Somerville, S.; Rosolowsky, E.; Suntratonpipat, S.; Girgis, R.; Goot, B.H.; Tham, E.B. Cardiac Magnetic Resonance Imaging in Pediatric Turner Syndrome. J. Pediatr. 2016, 175, 111–115.e111. [Google Scholar] [CrossRef] [PubMed]
- Mavrogeni, S.I.; Dimitroulas, T.; Kitas, G.D. Cardiovascular magnetic resonance in the diagnosis and management of cardiac and vascular involvement in the systemic vasculitides. Curr. Opin. Rheumatol. 2019, 31, 16–24. [Google Scholar] [CrossRef] [PubMed]
- Mavrogeni, S.; Dimitroulas, T.; Chatziioannou, S.N.; Kitas, G. The role of multimodality imaging in the evaluation of Takayasu arteritis. Semin. Arthritis Rheum. 2013, 42, 401–412. [Google Scholar] [CrossRef]
- Mavrogeni, S.; Papadopoulos, G.; Hussain, T.; Chiribiri, A.; Botnar, R.; Greil, G.F. The emerging role of cardiovascular magnetic resonance in the evaluation of Kawasaki disease. Int. J. Cardiovasc. Imaging 2013, 29, 1787–1798. [Google Scholar] [CrossRef]
- Mavrogeni, S.; Karabela, G.; Gialafos, E.; Stavropoulos, E.; Spiliotis, G.; Katsifis, G.; Kolovou, G. Cardiac involvement in ANCA (+) and ANCA (-) Churg-Strauss syndrome evaluated by cardiovascular magnetic resonance. Inflamm. Allergy Drug Targets 2013, 12, 322–327. [Google Scholar] [CrossRef]
- Bhalgat, P.; Naik, A.; Salvi, P.; Bhadane, N.; Shah, K.; Paunipagar, B.; Joshi, S. Cardiac magnetic resonance imaging, myocardial scar and coronary flow pattern in anomalous origin of left coronary artery from the pulmonary artery. Indian Heart J. 2018, 70, 303–307. [Google Scholar] [CrossRef]
- Nollen, G.J.; Kodde, J.; Beek, A.M.; Res, J.C.; van Rossum, A.C. Quadricuspid pulmonary valve and left pulmonary artery aneurysm in an asymptomatic patient assessed by cardiovascular MRI. Neth. Heart J. 2013, 21, 196–198. [Google Scholar] [CrossRef][Green Version]
- Kato, A.; Drolet, C.; Yoo, S.J.; Redington, A.N.; Grosse-Wortmann, L. Vicious circle between progressive right ventricular dilatation and pulmonary regurgitation in patients after tetralogy of Fallot repair? Right heart enlargement promotes flow reversal in the left pulmonary artery. J. Cardiovasc. Magn. Reson. Off. J. Soc. Cardiovasc. Magn. Reson. 2016, 18, 34. [Google Scholar] [CrossRef]
- Latus, H.; Gummel, K.; Rupp, S.; Mueller, M.; Jux, C.; Kerst, G.; Akintuerk, H.; Bauer, J.; Schranz, D.; Apitz, C. Cardiovascular magnetic resonance assessment of ventricular function and myocardial scarring before and early after repair of anomalous left coronary artery from the pulmonary artery. J. Cardiovasc. Magn. Reson. Off. J. Soc. Cardiovasc. Magn. Reson. 2014, 16, 3. [Google Scholar] [CrossRef] [PubMed]
- Reiter, U.; Reiter, G.; Fuchsjäger, M. MR phase-contrast imaging in pulmonary hypertension. Br. J. Radiol. 2016, 89, 20150995. [Google Scholar] [CrossRef] [PubMed]
- Alabed, S.; Shahin, Y.; Garg, P.; Alandejani, F.; Johns, C.S.; Lewis, R.A.; Condliffe, R.; Wild, J.M.; Kiely, D.G.; Swift, A.J. Cardiac-MRI Predicts Clinical Worsening and Mortality in Pulmonary Arterial Hypertension: A Systematic Review and Meta-Analysis. JACC Cardiovasc. Imaging 2021, 14, 931–942. [Google Scholar] [CrossRef] [PubMed]
- Ramos, J.G.; Fyrdahl, A.; Wieslander, B.; Reiter, G.; Reiter, U.; Jin, N.; Maret, E.; Eriksson, M.; Caidahl, K.; Sörensson, P.; et al. Cardiovascular magnetic resonance 4D flow analysis has a higher diagnostic yield than Doppler echocardiography for detecting increased pulmonary artery pressure. BMC Med. Imaging 2020, 20, 28. [Google Scholar] [CrossRef]
- Patel, A.R.; Kramer, C.M. Role of Cardiac Magnetic Resonance in the Diagnosis and Prognosis of Nonischemic Cardiomyopathy. JACC Cardiovasc. Imaging 2017, 10, 1180–1193. [Google Scholar] [CrossRef]
- Nanjo, S.; Yoshikawa, K.; Harada, M.; Inoue, Y.; Namiki, A.; Nakano, H.; Yamazaki, J. Correlation between left ventricular diastolic function and ejection fraction in dilated cardiomyopathy using magnetic resonance imaging with late gadolinium enhancement. Circ. J. Off. J. Jpn. Circ. Soc. 2009, 73, 1939–1944. [Google Scholar] [CrossRef]
- Becker, M.A.J.; Cornel, J.H.; van de Ven, P.M.; van Rossum, A.C.; Allaart, C.P.; Germans, T. The Prognostic Value of Late Gadolinium-Enhanced Cardiac Magnetic Resonance Imaging in Nonischemic Dilated Cardiomyopathy: A Review and Meta-Analysis. JACC Cardiovasc. Imaging 2018, 11, 1274–1284. [Google Scholar] [CrossRef]
- Captur, G.; Arbustini, E.; Bonne, G.; Syrris, P.; Mills, K.; Wahbi, K.; Mohiddin, S.A.; McKenna, W.J.; Pettit, S.; Ho, C.Y.; et al. Lamin and the heart. Heart 2018, 104, 468–479. [Google Scholar] [CrossRef]
- Holmström, M.; Kivistö, S.; Heliö, T.; Jurkko, R.; Kaartinen, M.; Antila, M.; Reissell, E.; Kuusisto, J.; Kärkkäinen, S.; Peuhkurinen, K.; et al. Late gadolinium enhanced cardiovascular magnetic resonance of lamin A/C gene mutation related dilated cardiomyopathy. J. Cardiovasc. Magn. Reson. Off. J. Soc. Cardiovasc. Magn. Reson. 2011, 13, 30. [Google Scholar] [CrossRef]
- Mavrogeni, S.; Markousis-Mavrogenis, G.; Papavasiliou, A.; Kolovou, G. Cardiac involvement in Duchenne and Becker muscular dystrophy. World J. Cardiol. 2015, 7, 410–414. [Google Scholar] [CrossRef]
- Brenes, J.C.; Doltra, A.; Prat, S. Cardiac magnetic resonance imaging in the evaluation of patients with hypertrophic cardiomyopathy. Glob. Cardiol. Sci. Pract. 2018, 2018, 22. [Google Scholar] [CrossRef] [PubMed]
- Kamal, M.U.; Riaz, I.B.; Janardhanan, R. Cardiovascular magnetic resonance imaging in hypertrophic cardiomyopathy: Current state of the art. Cardiol. J. 2016, 23, 250–263. [Google Scholar] [CrossRef] [PubMed]
- Arcari, L.; Hinojar, R.; Engel, J.; Freiwald, T.; Platschek, S.; Zainal, H.; Zhou, H.; Vasquez, M.; Keller, T.; Rolf, A.; et al. Native T1 and T2 provide distinctive signatures in hypertrophic cardiac conditions—Comparison of uremic, hypertensive and hypertrophic cardiomyopathy. Int. J. Cardiol. 2020, 306, 102–108. [Google Scholar] [CrossRef] [PubMed]
- Pica, S.; Sado, D.M.; Maestrini, V.; Fontana, M.; White, S.K.; Treibel, T.; Captur, G.; Anderson, S.; Piechnik, S.K.; Robson, M.D.; et al. Reproducibility of native myocardial T1 mapping in the assessment of Fabry disease and its role in early detection of cardiac involvement by cardiovascular magnetic resonance. J. Cardiovasc. Magn. Reson. Off. J. Soc. Cardiovasc. Magn. Reson. 2014, 16, 99. [Google Scholar] [CrossRef] [PubMed]
- Hinojar, R.; Varma, N.; Child, N.; Goodman, B.; Jabbour, A.; Yu, C.Y.; Gebker, R.; Doltra, A.; Kelle, S.; Khan, S.; et al. T1 Mapping in Discrimination of Hypertrophic Phenotypes: Hypertensive Heart Disease and Hypertrophic Cardiomyopathy: Findings From the International T1 Multicenter Cardiovascular Magnetic Resonance Study. Circulation. Cardiovasc. Imaging 2015, 8, e003285. [Google Scholar] [CrossRef] [PubMed]
- Galea, N.; Polizzi, G.; Gatti, M.; Cundari, G.; Figuera, M.; Faletti, R. Cardiovascular magnetic resonance (CMR) in restrictive cardiomyopathies. La Radiol. Med. 2020, 125, 1072–1086. [Google Scholar] [CrossRef]
- Kirk, P.; Roughton, M.; Porter, J.B.; Walker, J.M.; Tanner, M.A.; Patel, J.; Wu, D.; Taylor, J.; Westwood, M.A.; Anderson, L.J.; et al. Cardiac T2* magnetic resonance for prediction of cardiac complications in thalassemia major. Circulation 2009, 120, 1961–1968. [Google Scholar] [CrossRef]
- León, D.; Martín, M.; Corros, C.; Santamarta, E.; Costilla, S.; Lambert, J.L. Usefulness of cardiac MRI in the early diagnosis of endomyocardial fibrosis. Rev. Port. De Cardiol. 2012, 31, 401–402. [Google Scholar] [CrossRef]
- Pizarro, C.; Goebel, A.; Dabir, D.; Hammerstingl, C.; Pabst, S.; Grohé, C.; Fimmers, R.; Stoffel-Wagner, B.; Nickenig, G.; Schild, H.; et al. Cardiovascular magnetic resonance-guided diagnosis of cardiac affection in a Caucasian sarcoidosis population. Sarcoidosis Vasc. Diffus. Lung Dis. Off. J. WASOG 2016, 32, 325–335. [Google Scholar] [CrossRef]
- Vignaux, O.; Dhote, R.; Duboc, D.; Blanche, P.; Dusser, D.; Weber, S.; Legmann, P. Clinical significance of myocardial magnetic resonance abnormalities in patients with sarcoidosis: A 1-year follow-up study. Chest 2002, 122, 1895–1901. [Google Scholar] [CrossRef]
- Greulich, S.; Deluigi, C.C.; Gloekler, S.; Wahl, A.; Zürn, C.; Kramer, U.; Nothnagel, D.; Bültel, H.; Schumm, J.; Grün, S.; et al. CMR imaging predicts death and other adverse events in suspected cardiac sarcoidosis. JACC Cardiovasc. Imaging 2013, 6, 501–511. [Google Scholar] [CrossRef] [PubMed]
- Ise, T.; Hasegawa, T.; Morita, Y.; Yamada, N.; Funada, A.; Takahama, H.; Amaki, M.; Kanzaki, H.; Okamura, H.; Kamakura, S.; et al. Extensive late gadolinium enhancement on cardiovascular magnetic resonance predicts adverse outcomes and lack of improvement in LV function after steroid therapy in cardiac sarcoidosis. Heart 2014, 100, 1165–1172. [Google Scholar] [CrossRef] [PubMed]
- Zhuang, X.F.; Yang, Y.M.; Sun, X.L.; Liao, Z.K.; Huang, J. Late onset radiation-induced constrictive pericarditis and cardiomyopathy after radiotherapy: A case report. Medicine 2017, 96, e5932. [Google Scholar] [CrossRef]
- Mukai-Yatagai, N.; Haruki, N.; Kinugasa, Y.; Ohta, Y.; Ishibashi-Ueda, H.; Akasaka, T.; Kato, M.; Ogawa, T.; Yamamoto, K. Assessment of myocardial fibrosis using T1-mapping and extracellular volume measurement on cardiac magnetic resonance imaging for the diagnosis of radiation-induced cardiomyopathy. J. Cardiol. Cases 2018, 18, 132–135. [Google Scholar] [CrossRef]
- Rathi, V.K.; Doyle, M.; Yamrozik, J.; Williams, R.B.; Caruppannan, K.; Truman, C.; Vido, D.; Biederman, R.W. Routine evaluation of left ventricular diastolic function by cardiovascular magnetic resonance: A practical approach. J. Cardiovasc. Magn. Reson. Off. J. Soc. Cardiovasc. Magn. Reson. 2008, 10, 36. [Google Scholar] [CrossRef] [PubMed]
- Vogelsberg, H.; Mahrholdt, H.; Deluigi, C.C.; Yilmaz, A.; Kispert, E.M.; Greulich, S.; Klingel, K.; Kandolf, R.; Sechtem, U. Cardiovascular magnetic resonance in clinically suspected cardiac amyloidosis: Noninvasive imaging compared to endomyocardial biopsy. J. Am. Coll. Cardiol. 2008, 51, 1022–1030. [Google Scholar] [CrossRef]
- Syed, I.S.; Glockner, J.F.; Feng, D.; Araoz, P.A.; Martinez, M.W.; Edwards, W.D.; Gertz, M.A.; Dispenzieri, A.; Oh, J.K.; Bellavia, D.; et al. Role of cardiac magnetic resonance imaging in the detection of cardiac amyloidosis. JACC Cardiovasc. Imaging 2010, 3, 155–164. [Google Scholar] [CrossRef]
- Fontana, M.; Pica, S.; Reant, P.; Abdel-Gadir, A.; Treibel, T.A.; Banypersad, S.M.; Maestrini, V.; Barcella, W.; Rosmini, S.; Bulluck, H.; et al. Prognostic Value of Late Gadolinium Enhancement Cardiovascular Magnetic Resonance in Cardiac Amyloidosis. Circulation 2015, 132, 1570–1579. [Google Scholar] [CrossRef]
- Mahalingam, H.; Chacko, B.R.; Irodi, A.; Joseph, E.; Vimala, L.R.; Thomson, V.S. Myocardial nulling pattern in cardiac amyloidosis on time of inversion scout magnetic resonance imaging sequence—A new observation of temporal variability. Indian J. Radiol. Imaging 2018, 28, 427–432. [Google Scholar] [CrossRef]
- Binder, C.; Duca, F.; Binder, T.; Rettl, R.; Dachs, T.M.; Seirer, B.; Camuz Ligios, L.; Dusik, F.; Capelle, C.; Qin, H.; et al. Prognostic implications of pericardial and pleural effusion in patients with cardiac amyloidosis. Clin. Res. Cardiol. Off. J. Ger. Card. Soc. 2021, 110, 532–543. [Google Scholar] [CrossRef]
- Gunasekara, M.Y.; Mezincescu, A.M.; Dawson, D.K. An Update on Cardiac Magnetic Resonance Imaging in Takotsubo Cardiomyopathy. Curr. Cardiovasc. Imaging Rep. 2020, 13, 17. [Google Scholar] [CrossRef]
- Naruse, Y.; Sato, A.; Kasahara, K.; Makino, K.; Sano, M.; Takeuchi, Y.; Nagasaka, S.; Wakabayashi, Y.; Katoh, H.; Satoh, H.; et al. The clinical impact of late gadolinium enhancement in Takotsubo cardiomyopathy: Serial analysis of cardiovascular magnetic resonance images. J. Cardiovasc. Magn. Reson. Off. J. Soc. Cardiovasc. Magn. Reson. 2011, 13, 67. [Google Scholar] [CrossRef] [PubMed]
- Grothoff, M.; Pachowsky, M.; Hoffmann, J.; Posch, M.; Klaassen, S.; Lehmkuhl, L.; Gutberlet, M. Value of cardiovascular MR in diagnosing left ventricular non-compaction cardiomyopathy and in discriminating between other cardiomyopathies. Eur. Radiol. 2012, 22, 2699–2709. [Google Scholar] [CrossRef] [PubMed]
- Cesar, S. Neuromuscular diseases with hypertrophic cardiomyopathy. Glob. Cardiol. Sci. Pract. 2018, 2018, 27. [Google Scholar] [CrossRef] [PubMed]
- Mavrogeni, S.; Papavasiliou, A.; Giannakopoulou, K.; Markousis-Mavrogenis, G.; Pons, M.R.; Karanasios, E.; Nikas, I.; Papadopoulos, G.; Kolovou, G.; Chrousos, G.P. Oedema-fibrosis in Duchenne Muscular Dystrophy: Role of cardiovascular magnetic resonance imaging. Eur. J. Clin. Investig. 2017, 47, e12843. [Google Scholar] [CrossRef]
- Mavrogeni, S.; Markousis-Mavrogenis, G.; Markussis, V.; Kolovou, G. The Emerging Role of Cardiovascular Magnetic Resonance Imaging in the Evaluation of Metabolic Cardiomyopathies. Horm. Metab. Res. 2015, 47, 623–632. [Google Scholar] [CrossRef]
- Christidi, A.; Mavrogeni, S.I. Rare Metabolic and Endocrine Diseases with Cardiovascular Involvement: Insights from Cardiovascular Magnetic Resonance—A Review. Horm. Metab. Res. 2022, 54, 339–353. [Google Scholar] [CrossRef]
- Markousis-Mavrogenis, G.; Sfikakis, P.P.; Koutsogeorgopoulou, L.; Dimitroulas, T.; Katsifis, G.; Giannakopoulou, A.; Voulgari, P.; Kolovou, G.; Kitas, G.D.; Mavrogeni, S.I. Cardiovascular Magnetic Resonance Reveals Cardiac Pathophysiology in Autoimmune Rheumatic Diseases. Mediterr. J. Rheumatol. 2021, 32, 15–20. [Google Scholar] [CrossRef]
- Babu-Narayan, S.V.; Giannakoulas, G.; Valente, A.M.; Li, W.; Gatzoulis, M.A. Imaging of congenital heart disease in adults. Eur. Heart J. 2016, 37, 1182–1195. [Google Scholar] [CrossRef]
- Burke, A. Primary malignant cardiac tumors. Semin. Diagn. Pathol. 2008, 25, 39–46. [Google Scholar] [CrossRef]
- Elbardissi, A.W.; Dearani, J.A.; Daly, R.C.; Mullany, C.J.; Orszulak, T.A.; Puga, F.J.; Schaff, H.V. Survival after resection of primary cardiac tumors: A 48-year experience. Circulation 2008, 118, S7–S15. [Google Scholar] [CrossRef] [PubMed]
- Bruce, C.J. Cardiac tumours: Diagnosis and management. Heart 2011, 97, 151–160. [Google Scholar] [CrossRef] [PubMed]
- Pazos-López, P.; Pozo, E.; Siqueira, M.E.; García-Lunar, I.; Cham, M.; Jacobi, A.; Macaluso, F.; Fuster, V.; Narula, J.; Sanz, J. Value of CMR for the differential diagnosis of cardiac masses. JACC Cardiovasc. Imaging 2014, 7, 896–905. [Google Scholar] [CrossRef] [PubMed]
- Ferreira, V.M.; Holloway, C.J.; Piechnik, S.K.; Karamitsos, T.D.; Neubauer, S. Is it really fat? Ask a T1-map. Eur. Heart J. Cardiovasc. Imaging 2013, 14, 1060. [Google Scholar] [CrossRef] [PubMed]
- Saunderson, C.E.D.; Plein, S.; Manisty, C.H. Role of cardiovascular magnetic resonance imaging in cardio-oncology. Eur. Heart J. Cardiovasc. Imaging 2021, 22, 383–396. [Google Scholar] [CrossRef] [PubMed]
- Armstrong, G.T.; Plana, J.C.; Zhang, N.; Srivastava, D.; Green, D.M.; Ness, K.K.; Daniel Donovan, F.; Metzger, M.L.; Arevalo, A.; Durand, J.B.; et al. Screening adult survivors of childhood cancer for cardiomyopathy: Comparison of echocardiography and cardiac magnetic resonance imaging. J. Clin. Oncol. 2012, 30, 2876–2884. [Google Scholar] [CrossRef] [PubMed]
- Burrage, M.K.; Ferreira, V.M. The use of cardiovascular magnetic resonance as an early non-invasive biomarker for cardiotoxicity in cardio-oncology. Cardiovasc. Diagn. Ther. 2020, 10, 610–624. [Google Scholar] [CrossRef]
- Cau, R.; Solinas, C.; De Silva, P.; Lambertini, M.; Agostinetto, E.; Scartozzi, M.; Montisci, R.; Pontone, G.; Porcu, M.; Saba, L. Role of cardiac MRI in the diagnosis of immune checkpoint inhibitor-associated myocarditis. Int. J. Cancer 2022, 151, 1860–1873. [Google Scholar] [CrossRef]
- Castrichini, M.; Eldemire, R.; Groves, D.W.; Taylor, M.R.; Miyamoto, S.; Mestroni, L. Clinical and genetic features of arrhythmogenic cardiomyopathy: Diagnosis, management and the heart failure perspective. Prog. Pediatr. Cardiol. 2021, 63, 101459. [Google Scholar] [CrossRef]
- Marcus, F.I.; McKenna, W.J.; Sherrill, D.; Basso, C.; Bauce, B.; Bluemke, D.A.; Calkins, H.; Corrado, D.; Cox, M.G.; Daubert, J.P.; et al. Diagnosis of arrhythmogenic right ventricular cardiomyopathy/dysplasia: Proposed modification of the Task Force Criteria. Eur. Heart J. 2010, 31, 806–814. [Google Scholar] [CrossRef]
- He, J.; Xu, J.; Li, G.; Zhou, D.; Li, S.; Zhuang, B.; Chen, X.; Duan, X.; Li, L.; Fan, X.; et al. Arrhythmogenic Left Ventricular Cardiomyopathy: A Clinical and CMR Study. Sci. Rep. 2020, 10, 533. [Google Scholar] [CrossRef] [PubMed]
- Aquaro, G.D.; De Luca, A.; Cappelletto, C.; Raimondi, F.; Bianco, F.; Botto, N.; Lesizza, P.; Grigoratos, C.; Minati, M.; Dell’Omodarme, M.; et al. Prognostic Value of Magnetic Resonance Phenotype in Patients With Arrhythmogenic Right Ventricular Cardiomyopathy. J. Am. Coll. Cardiol. 2020, 75, 2753–2765. [Google Scholar] [CrossRef] [PubMed]
- Schaufelberger, M. Cardiomyopathy and pregnancy. Heart 2019, 105, 1543–1551. [Google Scholar] [CrossRef] [PubMed]
- Nii, M.; Ishida, M.; Dohi, K.; Tanaka, H.; Kondo, E.; Ito, M.; Sakuma, H.; Ikeda, T. Myocardial tissue characterization and strain analysis in healthy pregnant women using cardiovascular magnetic resonance native T1 mapping and feature tracking technique. J. Cardiovasc. Magn. Reson. 2018, 20, 52. [Google Scholar] [CrossRef] [PubMed]
- Gopi, A.; Sebastian, P.; Ramakrishna, C.D. A rare malady with a rarer complication. Indian Heart J. 2016, 68 (Suppl. S2), S264–S266. [Google Scholar] [CrossRef][Green Version]
- Soler, R.; Rodríguez, E.; Monserrat, L.; Alvarez, N. MRI of subendocardial perfusion deficits in isolated left ventricular noncompaction. J. Comput. Assist. Tomogr. 2002, 26, 373–375. [Google Scholar] [CrossRef]







| Class I | Rare Diseases of Systemic Circulation |
| Group 1 | Anatomical malformations of the arteries |
| Group 2 | Connective tissue disorders causing aneurysmal disease |
| Group 3 | Autoimmune vascular diseases |
| Group 4 | Intimal hyperplasia |
| Group 5 | Spontaneous dissection of the artery |
| Group 6 | Premature atherosclerosis |
| Group 7 | Others |
| Class II | Rare diseases of pulmonary circulation |
| Group 1 | Pulmonary hypertension |
| Group 2 | Inborn anomalies of the pulmonary vessels |
| Group 3 | Acquired anomalies of the pulmonary vessels |
| Class III | Rare diseases of the heart (cardiomyopathies) |
| Group 1 | Dilated cardiomyopathy |
| Group 2 | Hypertrophic cardiomyopathy |
| Group 3 | Restrictive cardiomyopathy |
| Group 4 | Arrhythmogenic right ventricular cardiomyopathy |
| Group 5 | Unclassified cardiomyopathies |
| Class IV | Rare congenital cardiovascular diseases |
| Group 1 | Abnormalities of the position and connection of the heart and vessels |
| Group 2 | Shunts |
| Group 3 | Complex congenital cardiovascular diseases |
| Group 4 | Congenital cardiovascular diseases and concomitant organ dysfunction |
| Group 5 | Grown-up congenital cardiovascular diseases |
| Group 6 | Others |
| Class V | Cardiac tumors and cardiovascular diseases in malignancy |
| Group 1 | Primary cardiac tumors |
| Group 2 | Metastatic cardiac tumors |
| Group 3 | Inflammatory malformations |
| Group 4 | Cardiovascular complications of oncological therapy |
| Class VI | Cardiac arrhythmogenic disorders and arrhythmias |
| Group 1 | Primary electrical disorders of the heart |
| Group 2 | Arrhythmias in specific clinical settings |
| Class VII | Rare cardiovascular diseases and disorders in pregnancy |
| Class VIII | Unclassified rare cardiovascular diseases/disorders |
Publisher’s Note: MDPI stays neutral with regard to jurisdictional claims in published maps and institutional affiliations. |
© 2022 by the authors. Licensee MDPI, Basel, Switzerland. This article is an open access article distributed under the terms and conditions of the Creative Commons Attribution (CC BY) license (https://creativecommons.org/licenses/by/4.0/).
Share and Cite
Markousis-Mavrogenis, G.; Giannakopoulou, A.; Belegrinos, A.; Pons, M.R.; Bonou, M.; Vartela, V.; Papavasiliou, A.; Christidi, A.; Kourtidou, S.; Kolovou, G.; et al. Cardiovascular Magnetic Resonance Imaging Patterns in Rare Cardiovascular Diseases. J. Clin. Med. 2022, 11, 6403. https://doi.org/10.3390/jcm11216403
Markousis-Mavrogenis G, Giannakopoulou A, Belegrinos A, Pons MR, Bonou M, Vartela V, Papavasiliou A, Christidi A, Kourtidou S, Kolovou G, et al. Cardiovascular Magnetic Resonance Imaging Patterns in Rare Cardiovascular Diseases. Journal of Clinical Medicine. 2022; 11(21):6403. https://doi.org/10.3390/jcm11216403
Chicago/Turabian StyleMarkousis-Mavrogenis, George, Aikaterini Giannakopoulou, Antonios Belegrinos, Maria Roser Pons, Maria Bonou, Vasiliki Vartela, Antigoni Papavasiliou, Aikaterini Christidi, Soultana Kourtidou, Genovefa Kolovou, and et al. 2022. "Cardiovascular Magnetic Resonance Imaging Patterns in Rare Cardiovascular Diseases" Journal of Clinical Medicine 11, no. 21: 6403. https://doi.org/10.3390/jcm11216403
APA StyleMarkousis-Mavrogenis, G., Giannakopoulou, A., Belegrinos, A., Pons, M. R., Bonou, M., Vartela, V., Papavasiliou, A., Christidi, A., Kourtidou, S., Kolovou, G., Bacopoulou, F., Chrousos, G. P., & Mavrogeni, S. I. (2022). Cardiovascular Magnetic Resonance Imaging Patterns in Rare Cardiovascular Diseases. Journal of Clinical Medicine, 11(21), 6403. https://doi.org/10.3390/jcm11216403

