Abstract
Background: Limited data exist regarding the prevalence of clinical, neuroimaging, and genetic markers among patients diagnosed with Cerebral Amyloid Angiopathy–related inflammation (CAA-ri). We sought to determine these characteristics in patients diagnosed in our center and to summarize available literature published either as single-case reports or small case series (<5 patients). Methods: We reported our single-center experience of patients diagnosed with CAA-ri according to international criteria during a seven-year period (2015–2022), and we abstracted data from 90 previously published cases. Results: Seven patients (43% women, mean age 70 ± 13 years) were diagnosed with CAA-ri in our center. The most common symptom at presentation was focal neurological dysfunction (71%), and the most prevalent radiological finding was the presence of T2/FLAIR white matter hyperintensities (100%). All patients were treated with corticosteroids and had a favorable functional outcome. Among 90 previously published CAA-ri cases (51% women, mean age 70 ± 9 years), focal neurological dysfunction was the most common symptom (76%), followed by a cognitive decline (46%) and headache (34%). The most prevalent neuroimaging findings were cerebral microbleeds (85%), asymmetric T2/FLAIR white matter hyperintensities (81%), and gadolinium-enhancing T1-lesions (37%). Genetic testing for the Apolipoprotein-E gene was available in 27 cases; 59% carried the APOE ε4/ε4 genotype. The majority of the published CAA-ri cases (78%) received corticosteroid monotherapy, while 17 patients (19%) were treated with additional immunosuppressive treatment. Favorable functional outcome following treatment was documented in 70% of patients. Conclusion: Improving the vigilance of clinicians regarding the early recognition and accurate diagnosis of CAA-ri is crucial for swift therapy initiation, which may result in improved functional outcomes.
Keywords:
Cerebral Amyloid Angiopathy; inflammation; focal deficits; MRI; FLAIR; microbleeds; steroids; Apolipoprotein E 1. Introduction
Cerebral Amyloid Angiopathy-related inflammation (CAA-ri), a distinct subset of Cerebral Amyloid Angiopathy (CAA), represents a very rare clinical entity [1,2,3]. Histopathologically it results from vascular and perivascular nondestructive inflammatory infiltration related to the deposition of amyloid-beta (β-amyloid) within the walls of leptomeningeal and cortical blood vessels [4,5,6]. Two pathological subtypes of CAA-ri are now generally accepted: nondestructive perivascular inflammation (inflammatory CAA (ICAA)) and transmural or intramural inflammation (Aβ-related angiitis (ABRA)) [7].
The main presenting symptoms among patients with CAA-ri are typically headache, cognitive impairment, focal neurological signs, and even epileptic seizures and encephalopathy [8,9]. On neuroimaging, unifocal or multifocal, asymmetric T2/Fluid-attenuated inversion recovery (FLAIR) hyperintense white matter lesions are mainly revealed and are characteristically associated with numerous cortical or subcortical cerebral microbleeds [10]. Other radiological findings, including parenchymal or leptomeningeal gadolinium enhancement, cortical superficial siderosis, and lobar hemorrhage, are also frequently depicted [11]. The most common differential diagnoses that should be excluded are primary central nervous system angiitis or tumors (primary central nervous system lymphoma) [12,13].
Based on the clinical information and the increasing availability of Magnetic Resonance Imaging (MRI), in 2015, Auriel et al., proposed the revised criteria for the diagnosis of CAA-ri [14]. However, and mainly because of the rarity of the disorder, reaching this diagnosis remains a challenge for every clinician. This results in delayed treatment initiation and adversely influences the prognosis of CAA-ri patients.
In view of the former considerations, we sought to determine the prevalence of clinical, radiological, and genetic findings in patients with CAA-ri from our tertiary care stroke center during a seven-year period and to summarize available literature published either as single-case reports or small case series (<5 patients). Our aim was to highlight the clinical burden of different clinical characteristics and neuroimaging markers among patients with CAA-ri and to assess their prevalence rates in order to enhance the clinical vigilance of clinicians regarding this rare entity. In contrast to previous efforts, including even large prospective cohort studies, in assessing the prevalence of CAA-ri characteristics, we have tried to collect and evaluate all provided data from the numerous case reports and small case series available in the literature.
2. Methods
2.1. Single-Center Case Series
This retrospective observational study was conducted at a tertiary care stroke center in Athens (Second Department of Neurology of the National & Kapodistrian University of Athens located at “ATTIKON” University Hospital) during a seven-year period (2015–2022). We retrospectively reviewed the medical and radiological records of all patients in our center who were diagnosed with CAA-ri, according to the Criteria proposed by Auriel et al. [14] during the study period. All patients with CAA-ri were followed longitudinally and were evaluated during routine visits in our dedicated outpatient stroke clinic.
For all the patients, 3 Tesla MRI scans, which included T2/FLAIR, T1, Diffusion-Weighted Imaging (DWI), Susceptibility-Weighted Imaging (SWI), and T1-post-gadolinium sequences, were available for the initial evaluation and at follow-up one month after treatment initiation. Two independent neuroradiologists reviewed brain MRI scans. We abstracted data on demographic, clinical, radiological, and genetic characteristics, as well as treatments and outcomes of all included patients. A favorable functional outcome was defined as an improved modified Rankin Scale (MRS) score [15].
2.2. Literature Review
Our group has previously conducted a systematic review and meta-analysis of clinical, neuroimaging, and genetic markers of CAA-ri using data from prospective and retrospective cohort studies [16]. Single-case reports and case series with <5 patients were excluded from this meta-analysis. Thus, the aim of this systematic literature review was to identify all single-case reports and small (<5) case series that have previously been published.
We searched MEDLINE and Scopus, using search strings that included the following terms: “CAA-ri” and “Cerebral Amyloid Angiopathy—related inflammation”. No language or other restrictions were applied. Our search spanned from the inception of each electronic database to 25 July 2022. We additionally searched reference lists of published articles manually, along with conference abstracts, to ensure the comprehensiveness of the bibliography. All retrieved studies were independently assessed by two reviewers (AT and LP), and any disagreements were resolved after discussion with a third tie-breaking evaluator (GT). We abstracted data on demographic, clinical, radiological, and genetic characteristics of all included case reports and case series.
Eligible studies were subjected to quality control and bias assessment employing the Joanna Briggs Institute Critical Appraisal Checklist for case reports [17].
Data extraction was performed in structured reports, including author names, date of publication, demographic, clinical, radiological, and genetic characteristics, as well as treatments and outcomes.
2.3. Statistical Analysis
First, we assessed the pooled prevalence of characteristics, treatments, and outcomes of all patients included in the present single-center case series. Second, we also evaluated the pooled prevalence of the same variables among published CAA-ri case reports or small (<5) case series identified by the systematic literature search.
Continuous variables were presented as mean with standard deviation (SD) in the case of the normal distribution that was assessed using the Kolmogorov–Smirnov Test. Continuous variables with skewed distribution were presented as median with interquartile ranges (IQR). Categorical variables were presented as the number of patients with the corresponding percentages and 95% Confidence Intervals (CI). The adjusted Wald method, which provides the best coverage for binomial CI when samples are less than ≈150, was used for the computation of 95% CI [18]. All statistical analyses were conducted using the R software version 1.4.1717 (R Foundation for Statistical Computing, Vienna, Austria) [19].
2.4. Ethical Approval and Patient Consent
This study was approved by the Ethics Committee of our Institution (Decision Number: EBΔ 499/8-9-2020). All patients provided written informed consent for the publication of this report in accordance with the Declaration of Helsinki in its currently applicable form.
3. Results
3.1. Single-Center Case Series
A total of seven patients (50% women, mean age 70 ± 13 years) diagnosed with probable CAA-ri according to international criteria [14] were included in this study. Demographic, clinical, and neuroimaging characteristics, genetic markers, treatments, and outcomes are shown in Table 1. Only one of the diagnosed patients underwent a brain biopsy. Three patients gave their consent for genetic analysis of the Apolipoprotein E (APOE) gene, and one of them had the APOE ε4/ε4 genotype. The most common symptom at presentation was focal neurological dysfunction (71%), followed by mild headache (29%), encephalopathy (29%), seizures (14%), and cognitive decline (14%). One patient presented with visual hallucinations.
Table 1.
Summary of the characteristics of patients diagnosed with Cerebral amyloid angiopathy-related inflammation at our center.
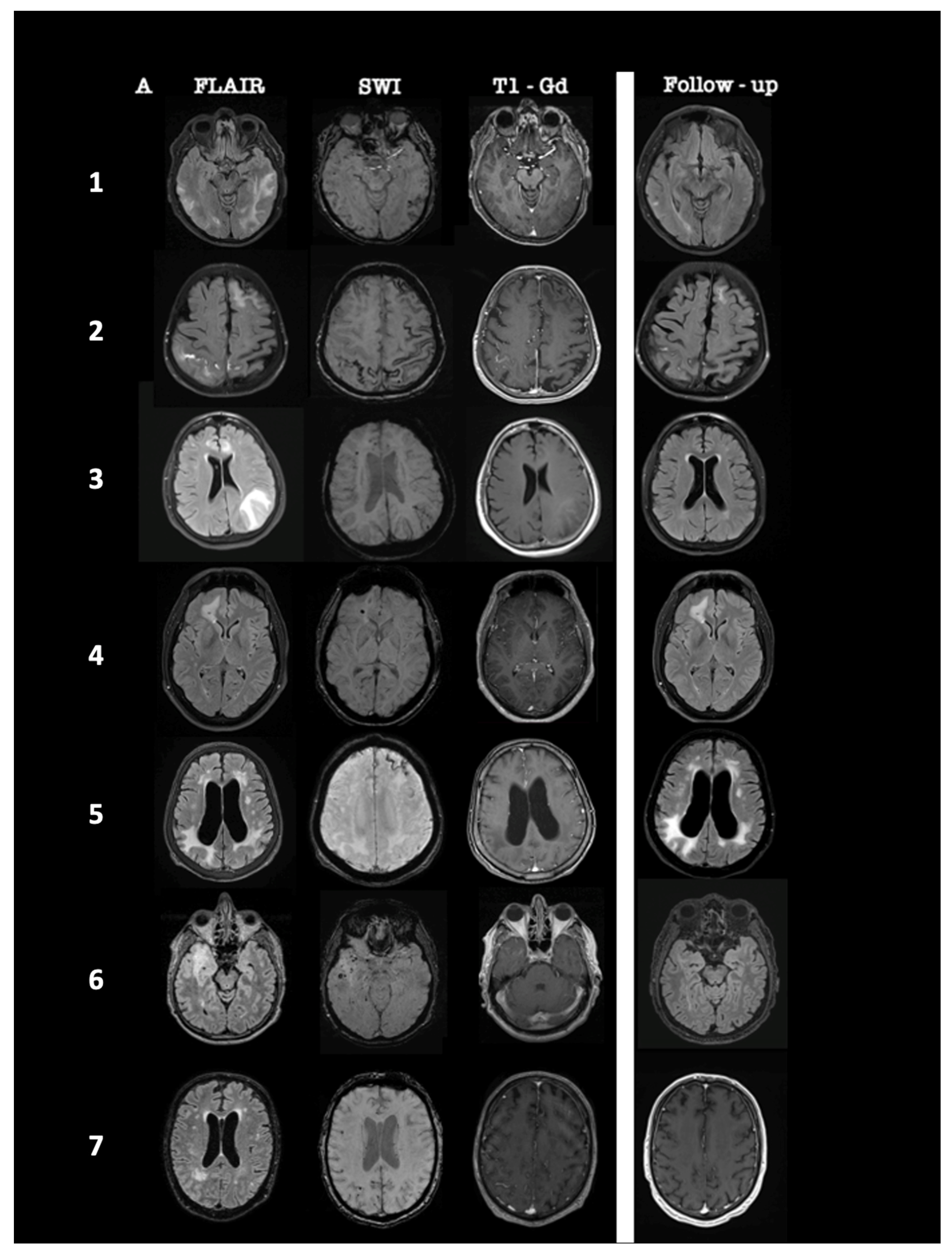
The most prevalent radiological findings were the following: T2/FLAIR white matter hyperintensities (100%, unifocal 43%, multifocal 57%), cerebral microbleeds (71%), and gadolinium-enhancing T1-lesions (71%). SWI sequences revealed disseminated cortical superficial siderosis (CSS) in one patient, whereas another patient presented with subacute convexity subarachnoid hemorrhage (CSAH) in the right parietal lobe. A summary of the MRI findings of all patients at diagnosis and 1-month follow-up post-treatment initiation is presented in Figure 1.
Figure 1.
Summary of brain MRI characteristics of 7 patients at diagnosis and one month after treatment initiation. MRI findings of patients #1 to #7 are ordered from the top to the bottom. At diagnosis, axial fluid-attenuated inversion recovery (FLAIR) sequences showed supratentorial white matter lesions, multifocal in patients #1, #2, #3, and #5 and unifocal in patients #4, #6, and #7. In patients #1, #3, #4, #6, and #7, these lesions were associated with multiple cortical and subcortical cerebral microbleeds on Susceptibility Weighted Images, whereas patient #2 demonstrated left frontal cortical superficial siderosis (CSS) and subacute cortical subarachnoid hemorrhage (CSAH) on the right parietal lobe, and disseminated CSS was depicted on patient #5. White matter lesions on patients #2, #3, #4, #6, and #7 were associated with parenchymal or leptomeningeal contrast enhancement. In patients #1, #2, #3, #4, #5, and #6, follow-up axial FLAIR sequence one month after corticosteroid initiation showed a marked regression of hyperintense lesions on patients #1, #2, #3, and #6 and a stable size of hyperintense lesions on patients #4 and #5. In patient #7, the follow-up axial post-gadolinium T1 sequence revealed a complete resolution of gadolinium enhancement.
All these patients were treated initially with a pulse corticosteroid therapy (1 g methylprednisolone intravenous once daily for five days), which resulted in a rapid clinical improvement in all of them. The pulse steroid course was followed in all cases by a slow steroid tapering regimen over several months under close clinical and imaging monitoring.
Brain MRI was performed one month after treatment initiation, and in four patients #1, #2, #3, #6, the neuroimaging examination revealed a nearly complete resolution of the T2/FLAIR hyperintense white matter lesions. Two patients #4, #5 showed only partial or mild resolution of the white matter lesions, which remained stable in the next follow-up MRIs at 3, 6, and 12 months. In one patient #7, contrast-enhanced T1-weighted MRI sequences revealed complete resolution of gadolinium enhancement 3 months after corticosteroid initiation. Five patients #1, #2, #3, #4, #5 were clinically and radiologically stable after 12 and 24 months of follow-up, and one patient #2 died due to severe COVID-19 pulmonary infection 18 months after diagnosis.
3.2. Literature Review
Seventy-one case reports [20,21,22,23,24,25,26,27,28,29,30,31,32,33,34,35,36,37,38,39,40,41,42,43,44,45,46,47,48,49,50,51,52,53,54,55,56,57,58,59,60,61,62,63,64,65,66,67,68,69,70,71,72,73,74,75,76,77,78,79,80,81,82,83,84,85,86,87,88,89,90] presenting 90 patients with CAA-ri (51% women, mean age 70 ± 9 years) were included in this systematic review (Supplementary Table S1). The risk of bias in the included case reports or small case series studies was assessed by the Joanna Briggs Institute Critical Appraisal Checklist for Case Reports and is presented in Supplementary Table S2 [17]. The overall score was 488 of 568 (86%), which is considered to be indicative of high quality. The excluded studies (case reports or small case series) with specific reasons for exclusion are listed in Supplementary Table S3 [91,92,93,94,95].
Demographic, clinical, and neuroimaging characteristics, genetic markers, treatments, and outcomes are shown in Table 2. Forty-six cases (51%; 95%CI: 41–61%) underwent a brain biopsy, and forty-two patients (47%; 95% CI: 37–57%) were diagnosed with definite CAA-ri, thirty-seven patients (41%; 95% CI: 32–52%) with probable, and eleven patients (12%; 95% CI: 7–21%) with possible CAA-ri according to the criteria of Auriel et al. [14]. APOE genotype was available in 27 patients, and 16 among these (59%; 95% CI: 41–76%) carried the APOE ε4/ε4 alleles.
Table 2.
Summary of the characteristics of the reported case reports and small case series with Cerebral Amyloid Angiopathy–related inflammation.
Approximately three-fourths of the patients (n = 68; 76%; 95% CI: 66–83%) presented with focal neurological signs, and 46% had cognitive decline (n = 41; 95% CI: 36–56%) on presentation. One-third (n = 31; 34%; 95% CI: 25–45%) of patients complained about headaches on presentation, and the prevalence of encephalopathy, seizures, and psychiatric symptoms during baseline evaluation was 24% (n = 22; 95% CI: 17–34%), 24% (n = 22; 95% CI: 17–34%), and 22% (n = 20; 95% CI: 15–32%), respectively, in the included cases. Cortical and subcortical CMBs were the most common neuroimaging findings reported in 85% of included cases (n = 75; 95% CI: 74–90%). In seventy-three patients (81%; 95% CI: 72–88%), the pretreatment brain MRI revealed unifocal or multifocal asymmetric T2/FLAIR hyperintense white matter lesions, whereas parenchymal or leptomeningeal gadolinium-enhancement was documented in more than one-third (n = 33; 37%; 95% CI: 27–47%) of patients. CSS and acute lobar hemorrhage were detected in 17% (n = 15; 95% CI: 10–26%) and 13% (n = 12; 95% CI: 8–22%) of CAA-ri cases, respectively, and even more rarely cerebral infarctions were shown in only 9% of patients (n = 8; 95% CI: 4–17%).
More than 75% of the reported patients (n = 69; 95% CI: 67–84%) were treated with corticosteroid therapy after the diagnosis of CAA-ri, and about 20% of all patients (n = 17; 95% CI: 12–28%) received additionally immunosuppressive therapy because of the poor response to steroids. The additional immunosuppressive therapy was the following: cyclophosphamide (n = 9), mycophenolate mofetil (n = 5), methotrexate (n = 1), rituximab (n = 1), intravenous immunoglobulin (n = 1), or plasma exchange (n = 1). A favorable functional outcome with clinical and radiological improvement was reported in 70% of included cases (n = 63; 95% CI: 60–79%).
4. Discussion
The early identification of CAA-ri is highly important, affecting the management, treatment, and outcome of these patients [96]. Diagnostic criteria for CAA-ri have been proposed, and the definite diagnosis is met if a histopathological examination is available, revealing a perivascular, transmural, or intramural, mostly nondestructive inflammation, in combination with β-amyloid deposition within the walls of cortical and leptomeningeal blood vessels [14]. A probable or possible CAA-ri diagnosis should be taken into consideration in patients 40 years of age or older with relevant acute or subacute clinical symptoms and characteristic neuroimaging findings. In these patients, other systemic diseases, including infections, brain tumors, autoimmune encephalopathies, or paraneoplastic syndromes, should be carefully excluded [13,97,98].
The present study, involving seven newly diagnosed and ninety previously reported cases with CAA-ri, demonstrates that the mean age of patients at diagnosis is about 70 years with a male-to-female-ratio of 1:1. Focal neurological signs were the most common clinical manifestations among our patients and the published case reports or case series. Cognitive decline was the second most frequent symptom in the previously published cases. The most prevalent neuroimaging findings included T2/FLAIR hyperintense white matter lesions, cerebral microbleeds, and gadolinium-enhancing T1-lesions. All our patients and 78% of the previously published cases received corticosteroid therapy, and approximately 70% had a favorable functional outcome.
Our findings are in accordance with the existing literature. Indeed, with an average age of 67 years at diagnosis, CAA-ri is characterized as a disease of the elderly. Cognitive decline/dementia, focal neurological signs, headache, and seizures represent the most common clinical manifestations of the disease [5,99]. On MRI sequences, the most frequently depicted findings are the asymmetric white matter hyperintensities on T2/FLAIR sequences, the cortical or subcortical microbleeds on SWI, and the parenchymal or leptomeningeal gadolinium enhancement [9,100]. Interestingly, in CAA-ri patients, the distribution of neuroimaging findings, especially of cerebral microbleeds, does not follow the occipital dominance regional pattern of the CAA [3,61]. Additionally, a recent study demonstrated a higher amyloid burden of CAA-ri compared with other noninflammatory CAA, with a greater number of CMBs, resulting in a more severe disorder with worse clinical outcomes and a more significant loss of autonomy if CAA-ri remains untreated [96].
APOE ε4/ε4 homozygosity has been associated with a higher burden of β-amyloid deposition in cerebral vessel walls and a greater number of CMBs and therefore has been characterized as a risk factor for CAA-ri [101]. Previous studies have reported a high prevalence of ε4/ε4 (77%) among CAA-ri patients [102], whereas a recent large prospective cohort of patients with CAA-ri describes a much smaller (14%) prevalence of APOE ε4/ε4 homozygotes [8]. The pooled prevalence of the APOE ε4/ε4 genotype among the previously published cases was 59%, indicating that further prospective cohort studies are needed in order to investigate the genetic background of CAA-ri patients.
In summary, an algorithm based on clinical suspicion would be crucial for the early diagnosis of CAA-ri [101]. The next step would take into account relevant neuroimaging findings, such as T2/FLAIR hyperintense white matter lesions complicated with cerebral microbleeds and gadolinium enhancement [103]. After excluding other possible differential diagnoses and probably collecting supporting findings such as the APOE ε4/ε4 homozygosity, the probable CAA-ri may be safely diagnosed according to International Criteria [14,104]. Notably, it should be highlighted that conventional open surgery or even the stereotactic biopsy has little value in the management of CAA-ri other than confirming the diagnosis in cases with diagnostic difficulties or impasse [37,105]. In the majority of the cases, the treatment initiation with corticosteroids should not be delayed, pending a biopsy [106,107].
Steroids have been primarily used for the treatment of patients with CAA-ri. In most of the published case reports or small case series, the patients showed rapid clinical and radiological responses, with low remission rates following corticosteroid pulse therapy [108,109,110]. This observation is in agreement with our single-center experience of rapid and persistent improvement in all our patients after a short intravenous course of steroids, followed by oral tapering. In the previous case reports, additional immunosuppressive therapies, including cyclophosphamide, plasma exchange, IVIG, or rituximab, have been used [20,22,28,30]. However, the optimal treatment duration of immunosuppressive therapy to avoid relapses remains to be defined.
The present study has some limitations that should be acknowledged. First, the retrospective design and the small size of our cohort predispose us to selection biases. Second, only one of our patients and approximately 50% of the reviewed cases relied on histopathological confirmation of CAA-ri diagnosis. Third, a lack of consensus in diagnostic approach and therapeutic management among patients with CAA-ri could also confound our reported findings. Fourth, because of the methodological limitations associated with the pooling of data from case reports, further prospective validation of our results is required once larger cohorts and registries have been published.
In conclusion, the present study documented that focal neurological signs and cognitive decline are the most common clinical features, and T2/FLAIR hyperintense white matter lesions, complicated with cerebral microbleeds and Gd+ enhancing lesions, were the most prevalent neuroimaging findings. To the best of our knowledge, this is the first effort to evaluate all the available individual case reports or small case series and to derive significant information regarding the main clinical and neuroimaging aspects of this entity. However, because of limited data from a small number of included patients, cautious interpretation of these results should be warranted. Despite the rarity of this disease, clinicians should be aware of the clinical manifestations and the neuroimaging characteristics of CAA-ri. Early diagnosis of CAA-ri may lead to swift therapy initiation that may impact favorably the overall prognosis of the patients. Finally, further prospective, multicenter cohort studies are needed to evaluate the prevalence rates of specific clinical and neuroimaging markers as well as genetic risk factors among patients with confirmed CAA-ri.
Supplementary Materials
The following supporting information can be downloaded at: https://www.mdpi.com/article/10.3390/jcm11226731/s1, Table S1: Table of case reports (n = 90) included in the systematic review; Table S2: Quality assessment of included case report studies (n = 71) according to the Joanna Briggs Institute Critical Appraisal Checklist for Case Reports; Table S3: Excluded Studies with Reasons for Exclusion.
Author Contributions
Conceptualization, G.T.; data curation, A.T., L.P., A.S., O.K., K.P., V.K.-P., A.F., V.Z., E.T., D.T., C.Z., J.S.T., K.V., G.P.P. and G.T.; formal analysis, A.T., L.P., G.P.P. and G.T.; writing—original draft, A.T. and G.T.; writing—review and editing, A.T., L.P., A.S., O.K., K.P., V.K.-P., A.F., V.Z., E.T., D.T., C.Z., J.S.T., K.V. and G.P.P. All authors have read and agreed to the published version of the manuscript.
Funding
This research received no external funding.
Institutional Review Board Statement
The study was conducted in accordance with the Declaration of Helsinki and approved by the local Ethics Committee of ATTIKON University Hospital (decision number EBΔ 499/8-9-2020).
Informed Consent Statement
Informed consent was obtained from all subjects involved in the study.
Data Availability Statement
The datasets used and analysed during the current study are included in this article and its supplementary information files. More detailed datasets are available from the corresponding author on reasonable request.
Conflicts of Interest
The authors declare no conflict of interest.
References
- Eng, J.A.; Frosch, M.P.; Choi, K.; Rebeck, G.W.; Greenberg, S.M. Clinical manifestations of cerebral amyloid angiopathy-related inflammation. Ann. Neurol. 2004, 55, 250–256. [Google Scholar] [CrossRef] [PubMed]
- Malhotra, K.; Theodorou, A.; Katsanos, A.H.; Zompola, C.; Shoamanesh, A.; Boviatsis, E.; Paraskevas, G.P.; Spilioti, M.; Cordonnier, C.; Werring, D.J.; et al. Prevalence of Clinical and Neuroimaging Markers in Cerebral Amyloid Angiopathy: A Systematic Review and Meta-Analysis. Stroke 2022, 53, 1944–1953. [Google Scholar] [CrossRef] [PubMed]
- Bravo, G.Á.; Cirera, L.S.; Torrentà, L.R. Clinical and radiological features of cerebral amyloid angiopathy-related inflammation. Neurol. Sci. 2021, 42, 5353–5358. [Google Scholar] [CrossRef] [PubMed]
- Corovic, A.; Kelly, S.; Markus, H.S. Cerebral amyloid angiopathy associated with inflammation: A systematic review of clinical and imaging features and outcome. Int. J. Stroke 2018, 13, 257–267. [Google Scholar] [CrossRef] [PubMed]
- Coulette, S.; Renard, D.; Lehmann, S.; Raposo, N.; Arquizan, C.; Charif, M.; Thouvenot, E.; Wacongne, A.; Viguier, A.; Bonneville, F.; et al. A Clinico-Radiological Study of Cerebral Amyloid Angiopathy-Related Inflammation. Cerebrovasc. Dis. 2019, 48, 38–44. [Google Scholar] [CrossRef]
- Kozberg, M.G.; Yi, I.; Freeze, W.M.; Auger, C.A.; Scherlek, A.A.; Greenberg, S.M.; van Veluw, S.J. Blood-brain barrier leakage and perivascular inflammation in cerebral amyloid angiopathy. Brain. Commun. 2022, 26, fcac245. [Google Scholar] [CrossRef]
- Chu, S.; Xu, F.; Su, Y.; Chen, H.; Cheng, X. Cerebral Amyloid Angiopathy (CAA)-Related Inflammation: Comparison of Inflammatory CAA and Amyloid-β-Related Angiitis. J. Alzheimers. Dis. 2016, 51, 525–532. [Google Scholar] [CrossRef]
- Antolini, L.; DiFrancesco, J.C.; Zedde, M.; Basso, G.; Arighi, A.; Shima, A.; Cagnin, A.; Caulo, M.; Carare, R.O.; Charidimou, A.; et al. Spontaneous ARIA-like Events in Cerebral Amyloid Angiopathy-Related Inflammation: A Multicenter Prospective Longitudinal Cohort Study. Neurology 2021, 97, e1809–e1822. [Google Scholar] [CrossRef]
- Martín-Jiménez, P.; Sánchez-Tornero, M.; Llamas-Velasco, S.; Guerrero-Molina, M.P.; González-Sánchez, M.; Herrero-San Martín, A.; Blanco-Palmero, V.; Calleja-Castaño, P.; Francisco-Gonzalo, J.; Hilario, A.; et al. Cerebral amyloid angiopathy-related inflammation: Clinical features and treatment response in a case series. Neurologia 2021. [Google Scholar] [CrossRef]
- Salvarani, C.; Hunder, G.G.; Morris, J.M.; Brown, R.D., Jr.; Christianson, T.; Giannini, C. Aβ-related angiitis: Comparison with CAA without inflammation and primary CNS vasculitis. Neurology 2013, 81, 1596–1603. [Google Scholar] [CrossRef]
- Miller-Thomas, M.M.; Sipe, A.L.; Benzinger, T.L.; McConathy, J.; Connolly, S.; Schwetye, K.E. Multimodality Review of Amyloid-related Diseases of the Central Nervous System. Radiographics 2016, 36, 1147–1163. [Google Scholar] [CrossRef] [PubMed]
- Salvarani, C.; Morris, J.M.; Giannini, C.; Brown, R.D., Jr.; Christianson, T.; Hunder, G.G. Imaging Findings of Cerebral Amyloid Angiopathy, Aβ-Related Angiitis (ABRA), and Cerebral Amyloid Angiopathy-Related Inflammation: A Single-Institution 25-Year Experience. Medicine 2016, 95, e3613. [Google Scholar] [CrossRef] [PubMed]
- Ronsin, S.; Deiana, G.; Geraldo, A.F.; Durand-Dubief, F.; Thomas-Maisonneuve, L.; Formaglio, M.; Desestret, V.; Meyronet, D.; Nighoghossian, N.; Berthezène, Y.; et al. Pseudotumoral presentation of cerebral amyloid angiopathy-related inflammation. Neurology 2016, 86, 912–919. [Google Scholar] [CrossRef] [PubMed]
- Auriel, E.; Charidimou, A.; Gurol, M.E.; Ni, J.; Van Etten, E.S.; Martinez-Ramirez, S.; Boulouis, G.; Piazza, F.; DiFrancesco, J.C.; Frosch, M.P.; et al. Validation of Clinicoradiological Criteria for the Diagnosis of Cerebral Amyloid Angiopathy-Related Inflammation. JAMA Neurol. 2016, 73, 197–202. [Google Scholar] [CrossRef] [PubMed]
- Tsivgoulis, G.; Katsanos, A.H.; Sharma, V.K.; Krogias, C.; Mikulik, R.; Vadikolias, K.; Mijajlovic, M.; Safouris, A.; Zompola, C.; Faissner, S.; et al. Statin pretreatment is associated with better outcomes in large artery atherosclerotic stroke. Neurology 2016, 86, 1103–1111. [Google Scholar] [CrossRef]
- Theodorou, A.; Palaiodimou, L.; Mahlotra, K.; Zompola, C.; Katsanos, A.H.; Shoamanesh, A.; Boviatsis, E.; Dardiotis, E.; Spilioti, M.; Sacco, S.; et al. Clinical, Neuroimaging and Genetic Markers in CAA-related inflammation: A systematic review and Meta-Analysis. Stroke 2022, in press. [Google Scholar]
- The Joanna Briggs Institute Critical Appraisal Checklist for Case Reports. Available online: https://joannabriggs.Org/ (accessed on 4 January 2022).
- Lewis, J.R.; Sauro, J. When 100% Really Isn’t 100%: Improving the Accuracy of Small-Sample Estimates of Completion Rates. J. Usabil. Studies 2006, 3, 136–150. [Google Scholar]
- Wallace, B.C.; Dahabreh, I.J.; Trikalinos, T.A.; Lau, J.; Trow, P.; Schmid, C.H. Closing the gap between methodologists and end-users: R as a computational back-end. J. Stat. Softw. 2012, 49, 1–15. [Google Scholar] [CrossRef]
- Aghetti, A.; Sène, D.; Polivka, M.; Shor, N.; Lechtman, S.; Chabriat, H.; Jouvent, E.; Guey, S. Cerebral Amyloid Angiopathy Related Inflammation With Prominent Meningeal Involvement. A Report of 2 Cases. Front Neurol. 2019, 10, 984. [Google Scholar] [CrossRef]
- Alcalay, R.N.; Smith, E.E. MRI Showing White Matter Lesions and Multiple Lobar Microbleeds in a Patient with Reversible Encephalopathy. J. Neuroimaging 2009, 19, 89–91. [Google Scholar] [CrossRef]
- Alokley, A.A.; Alshamrani, F.J.; Alabbas, F.M.; Nazish, S. When Brain Biopsy Solves the Dilemma of Diagnosing Atypical Cerebral Amyoild Angiopathy: A Case Report. Am. J. Case Rep. 2021, 22, e933869. [Google Scholar] [CrossRef]
- Banerjee, G.; Alvares, D.; Bowen, J.; Adams, M.E.; Werring, D.J. Minimally symptomatic cerebral amyloid angiopathy-related inflammation: Three descriptive case reports. J. Neurol. Neurosurg. Psychiatry 2018, 90, 113–115. [Google Scholar] [CrossRef]
- Berkowitz, A.L.; Baker, J.M.; Miller, J.J.; Greenberg, S.M. Mystery case: Cerebral amyloid angiopathy-related inflammation. Neurology 2014, 83, 1678–1679. [Google Scholar] [CrossRef]
- Boncoraglio, G.B.; Piazza, F.; Savoiardo, M.; Farina, L.; DiFrancesco, J.C.; Prioni, S.; Tagliavini, F.; Parati, E.A.; Giaccone, G. Prodromal Alzheimer’s Disease Presenting as Cerebral Amyloid Angiopathy-Related Inflammation with Spontaneous Amyloid-Related Imaging Abnormalities and High Cerebrospinal Fluid Anti-Aβ Autoantibodies. J. Alzheimer’s Dis. 2015, 45, 363–367. [Google Scholar] [CrossRef]
- Caldas, A.C.; Silva, C.; Albuquerque, L.; Pimentel, J.; Silva, V.; Ferro, J.M. Cerebral Amyloid Angiopathy Associated with Inflammation: Report of 3 Cases and Systematic Review. J. Stroke Cerebrovasc. Dis. 2015, 24, 2039–2048. [Google Scholar] [CrossRef]
- Carmona-Iragui, M.; Fernández-Arcos, A.; Alcolea, D.; Piazza, F.; Morenas-Rodriguez, E.; Antón-Aguirre, S.; Sala, I.; Clarimon, J.; Dols-Icardo, O.; Camacho, V.; et al. Cerebrospinal Fluid Anti-Amyloid-β Autoantibodies and Amyloid PET in Cerebral Amyloid Angiopathy-Related Inflammation. J. Alzheimer’s Dis. 2016, 50, 1–7. [Google Scholar] [CrossRef]
- Cenina, A.R.; De Leon, J.; Tay, K.Y.; Wong, C.F.; Kandiah, N. Cerebral Amyloid Angiopathy-related Inflammation Presenting With Rapidly Progressive Dementia, Responsive to IVIg. Alzheimer. Dis. Assoc. Disord. 2015, 29, 347–349. [Google Scholar] [CrossRef]
- Chen, D.; Roytman, M.; Kirou, K.A.; Navi, B.B.; Schweitzer, A.D. A case of inflammatory cerebral amyloid angiopathy after ischemic stroke—A potential risk factor related to blood-brain barrier disruption. Clin. Imaging 2021, 82, 161–165. [Google Scholar] [CrossRef]
- Chung, K.K.; Anderson, N.E.; Hutchinson, D.; Synek, B.; Barber, P.A. Cerebral amyloid angiopathy related inflammation: Three case reports and a review. J. Neurol. Neurosurg. Psychiatry 2011, 82, 20–26. [Google Scholar] [CrossRef]
- Crosta, F.; Orlandi, B.; De Santis, F.; Passalacqua, G.; DiFrancesco, J.C.; Piazza, F.; Catalucci, A.; Desideri, G.; Marini, C. Cerebral Amyloid Angiopathy-Related Inflammation: Report of a Case with Very Difficult Therapeutic Management. Case Rep. Neurol. Med. 2015, 2015, 1–5. [Google Scholar] [CrossRef]
- Daniëls, R.; Geurts, J.J.G.; Bot, J.C.; Schonewille, W.J.; van Oosten, B.W. Steroid-responsive edema in CAA-related inflammation. J. Neurol. 2009, 256, 285–286. [Google Scholar] [CrossRef]
- DiFrancesco, J.C.; Brioschi, M.; Brighina, L.; Ruffmann, C.; Saracchi, E.; Costantino, G.; Galimberti, G.; Conti, E.; Curto, N.A.; Marzorati, L.; et al. Anti-A autoantibodies in the CSF of a patient with CAA-related inflammation: A case report. Neurology 2011, 76, 842–844. [Google Scholar] [CrossRef]
- DiFrancesco, J.C.; Touat, M.; Caulo, M.; Gallucci, M.; Garcin, B.; Levy, R.; Uncini, A.; Piazza, F. Recurrence of Cerebral Amyloid Angiopathy-Related Inflammation: A Report of Two Cases from the iCAβ International Network. J. Alzheimer’s Dis. 2015, 46, 1071–1077. [Google Scholar] [CrossRef]
- Dörr, S.; Schickel, R.; Lucke-Paulig, L.; Schöntag, S.; Lobmann, R. Rapid Cognitive Decline and Recurrent Falls in a 71 Year-Old Man due to Cerebral Amyloidangiopathy-Related Inflammation (CAA-RI). Geriatrics 2019, 4, 56. [Google Scholar] [CrossRef]
- Du, Y.; Liu, C.; Ma, C.; Xu, X.; Zhou, X.; Zhou, H.; Huang, C. Cerebral amyloid angiopathy-related inflammation: A case report presenting with a rare variant in SORL1 gene. BMC Neurol. 2019, 19, 1–6. [Google Scholar] [CrossRef]
- Dudley, A.; Sweeney, K.; Looby, S.; Farrell, M.; McGovern, E. Teaching NeuroImage: Cerebral Amyloid Angiopathy Related Inflammation: An Interesting Evolution of Imaging Findings. Neurology 2022, 2, 216–217. [Google Scholar] [CrossRef]
- Ebiko, Y.; Imae, S. Frequently Recurring Cerebral Amyloid Angiopathy-related Hemorrhages within a Short Period of Time: A Case Report. Neurol. Surg. 2020, 48, 827–833. [Google Scholar] [CrossRef]
- Esfahani-Bayerl, N.; Radbruch, H.; Connolly, F. Zerebrale Amyloidangiopathie assoziiert mit Inflammation. Der Nervenarzt 2015, 86, 748–750. [Google Scholar] [CrossRef]
- Fukasawa, R.; Shimizu, S.; Hirose, D.; Kanetaka, H.; Umahara, T.; Obikane, H.; Hanyu, H. An Individual with Cerebral Amyloid Angiopathy-Related Inflammation Who Displayed Involuntary Movements. J. Am. Geriatr. Soc. 2015, 63, 2644–2645. [Google Scholar] [CrossRef]
- Gera, A.; Witek, N.; Bailey, M. Pearls & Oy-sters: CAA-related inflammation presents as subacute cognitive decline in a patient with Parkinson disease. Neurology 2019, 92, 1116–1118. [Google Scholar] [CrossRef]
- Grasso, D.; Castorani, G.; Borreggine, C.; Simeone, A.; De Blasi, R. Cerebral amyloid angiopathy related inflammation: A little known but not to be underestimated disease. Radiol. Case Rep. 2021, 16, 2514–2521. [Google Scholar] [CrossRef]
- Hagiwara, Y.; Yanagisawa, T.; Atsumi, C.; Maki, F.; Shimizu, T.; Hasegawa, Y. A case report of cerebral amyloid angiopathy-related inflammation treated with cyclophosphamide. Rinsho Shinkeigaku 2014, 54, 46–51. [Google Scholar] [CrossRef][Green Version]
- Hainline, C.; Rucker, J.C.; Zagzag, D.; Golfinos, J.G.; Lui, Y.W.; Liechty, B.; Warren, F.; Balcer, L.J.; Galetta, S.L. Tumoral Presentation of Homonymous Hemianopia and Prosopagnosia in Cerebral Amyloid Angiopathy–Related Inflammation. J. Neuro-Ophthalmology 2017, 37, 48–52. [Google Scholar] [CrossRef]
- Holm-Yildiz, S.; Poulsen, M.B.; Damgaard, B.; Mørk, H. Inflammation as part of cerebral amyloid angiopathy disguised as a tumour. Ugeskr Laeger. 2014, 13, 176(42):V04140215. (In Danish) [Google Scholar]
- Iwanaga, T.; Kaneko, N.; Nishimura, H.; Kimura, K. Cerebral amyloid angiopathy-related leukodystrophy: A case report. Rinsho Shinkeigaku 2012, 52, 585–588. [Google Scholar] [CrossRef][Green Version]
- Jeanneret, V.; Neill, S.; Greene, J.G.; Groover, O.; Kase, C.S. Clinical Reasoning: A 55-Year-Old Woman with Recurrent Episodes of Aphasia and Vision Changes. Neurology 2021, 98, 330–335. [Google Scholar] [CrossRef]
- Kang, P.; Bucelli, R.C.; Ferguson, C.J.; Corbo, J.C.; Kim, A.H.; Day, G.S. Teaching NeuroImages: Cerebral amyloid angiopathy–related inflammation presenting with isolated leptomeningitis. Neurology 2017, 89, e66–e67. [Google Scholar] [CrossRef]
- Kimura, A.; Sakurai, T.; Yoshikura, N.; Hayashi, Y.; Takemura, M.; Takahashi, H.; Inuzuka, T. Corticosteroid therapy in a patient with cerebral amyloid angiopathy-related inflammation. J Neuroinflammation. 2013, 10, 817. [Google Scholar] [CrossRef]
- Kloppenborg, R.P.; Richard, E.; Sprengers, M.E.; Troost, D.; Eikelenboom, P.; Nederkoorn, P.J. Steroid responsive encephalopathy in cerebral amyloid angiopathy: A case report and review of evidence for immunosuppressive treatment. J. Neuroinflammation 2010, 7, 18. [Google Scholar] [CrossRef]
- Kusakabe, K.; Inoue, A.; Matsumoto, S.; Kurata, M.; Kitazawa, R.; Watanabe, H.; Kunieda, T. Cerebral amyloid angiopathy-related inflammation with epilepsy mimicking a presentation of brain tumor: A case report and review of the literature. Int. J. Surg. Case Rep. 2018, 48, 95–100. [Google Scholar] [CrossRef]
- Kuwahara, K.; Moriya, S.; Nakahara, I.; Kumai, T.; Maeda, S.; Nishiyama, Y.; Watanabe, M.; Mizoguchi, Y.; Hirose, Y. Acute progression of cerebral amyloid angiopathy-related inflammation diagnosed by biopsy in an elderly patient: A case report. Surg. Neurol. Int. 2022, 13, 268. [Google Scholar] [CrossRef]
- Liang, J.W.; Zhang, W.; Sarlin, J.; Boniece, I. Case of Cerebral Amyloid Angiopathy-Related Inflammation—Is the Absence of Cerebral Microbleeds A Good Prognostic Sign? J. Stroke Cerebrovasc. Dis. 2015, 24, e319–e322. [Google Scholar] [CrossRef]
- Machida, K.; Tojo, K.; Naito, K.-S.; Gono, T.; Nakata, Y.; Ikeda, S.-I. Cortical petechial hemorrhage, subarachnoid hemorrhage and corticosteroid-responsive leukoencephalopathy in a patient with cerebral amyloid angiopathy. Amyloid 2008, 15, 60–64. [Google Scholar] [CrossRef]
- Makarewicz, K.A.; Zaryczańska, K.; Machowska-Sempruch, K.; Bajer-Czajkowska, A.; Gołofit, P.; Gabrysz-Trybek, E.; Nowacki, P. Cerebral amyloid angiopathy-related inflammation (CAARI): Case report. Folia Neuropathol. 2019, 57, 205–210. [Google Scholar] [CrossRef]
- Malhotra, K.; Magaki, S.D.; Sillero, M.I.C.; Vinters, H.V.; Jahan, R.; Brown, R.D.; Liebeskind, D.S. Atypical case of perimesencephalic subarachnoid hemorrhage. Neuropathology 2016, 37, 272–274. [Google Scholar] [CrossRef]
- Maramattom, B.V. Cerebral Amyloid Angiopathy with Lobar Haemorrhages and CAA-Related Inflammation in an Indian Family. Cerebrovasc. Dis. Extra 2022, 12, 23–27. [Google Scholar] [CrossRef]
- Maruyama, K.; Kashiwazaki, D.; Shiro, T.; Hori, E.; Akioka, N.; Okuno, N.; Kuroda, S. Repeated recurrent intracerebral hemorrhage may be involved in cerebral amyloid angiopathy-related inflammation: An autopsy case. Neuropathology 2022, 42, 226–231. [Google Scholar] [CrossRef]
- Masrori, P.; Montagna, M.; De Smet, E.; Loos, C. Posterior reversible encephalopathy syndrome caused by cerebral amyloid angiopathy-related inflammation. Acta Neurol. Belg. 2019, 119, 505–507. [Google Scholar] [CrossRef]
- Mendonça, M.D.; Caetano, A.; Pinto, M.; e Silva, V.C.; Viana-Baptista, M. Stroke-Like Episodes Heralding a Reversible Encephalopathy: Microbleeds as the Key to the Diagnosis of Cerebral Amyloid Angiopathy–Related Inflammation—A Case Report and Literature Review. J. Stroke Cerebrovasc. Dis. 2015, 24, e245–e250. [Google Scholar] [CrossRef]
- Nada, A.; Leiva-Salinas, C.; Mahdi, E.; Mahmoud, E.; Ahsan, H.; Cousins, J.P. Multi-parametric magnetic resonance imaging evaluation of cerebral amyloid angiopathy related inflammation: Case series and review of literature. Clin. Imaging. 2021, 78, 38–44. [Google Scholar] [CrossRef]
- Nelson, T.; Leung, B.; Bannykh, S.; Shah, K.S.; Patel, J.; Dumitrascu, O.M. Cerebral Amyloid Angiopathy-Related Inflammation in the Immunosuppressed: A Case Report. Front. Neurol. 2019, 10, 1283. [Google Scholar] [CrossRef]
- Onomura, H.; Shimizu, T.; Kobayashi, R.; Suzuki, J.; Nakai, N.; Okuda, S.; Ito, Y. Palinopsia as an initial symptom of cerebral amyloid angiopathy-related inflammation. eNeurologicalSci 2021, 25, 100375. [Google Scholar] [CrossRef]
- Poli, L.; De Giuli, V.; Piazza, F.; Volonghi, I.; Bigliardi, G.; Vallone, S.; Nichelli, P.; Gasparotti, R.; Zini, A.; Padovani, A.; et al. A challenging diagnosis of reversible “vascular” dementia: Cerebral amyloid angiopathy-related inflammation. J. Neuroimmunol. 2019, 338, 577109. [Google Scholar] [CrossRef]
- Rajczewska-Oleszkiewicz, C.; Cyganek, A.; Stadnik, A.; Dziewulska, D. Cerebral amyloid angiopathy-related inflammation—A case report presenting diagnostic difficulties. Neurol. i Neurochir. Polska 2018, 52, 298–305. [Google Scholar] [CrossRef]
- Rastogi, V.; Donnangelo, L.L.; Asaithambi, G.; Bidari, S.; Khanna, A.Y.; Hedna, V.S. Recurrence of Lobar Hemorrhage: A Red Flag for Cerebral Amyloid Angiopathy-related Inflammation? Innov. Clin. Neurosci. 2015, 12, 20–26. [Google Scholar]
- Renard, D.; Wacongne, A.; Thouvenot, E. Radiologically Isolated Cerebral Amyloid Angiopathy-Related Inflammation. J. Stroke Cerebrovasc. Dis. 2017, 26, e218–e220. [Google Scholar] [CrossRef]
- Ribeiro, B.N.D.F.; Muniz, B.C.; Marchiori, E. Cerebral amyloid angiopathy-related inflammation: Findings on magnetic resonance imaging. Radiol. Bras. 2019, 52, 66–67. [Google Scholar] [CrossRef]
- Rigney, L.; Sebire, D.; Cordato, D. Acute Dysphasia and Reversible Cognitive Decline in a Patient with Probable Cerebral Amyloid Angiopathy-Related Inflammation. Case Rep. Neurol. Med. 2015, 2015, 189581. [Google Scholar] [CrossRef]
- Ringman, J.M.; Joe, E.; Sheikh-Bahaei, N.; Miller, C.; Vinters, H.V.; Guzman, S.; Chui, H.C. Cerebral Amyloid Angiopathy-related Inflammation Presenting With a Cystic Lesion in Young-onset Alzheimer Disease. Alzheimer’s Dis. Assoc. Disord. 2021, 35, 265–268. [Google Scholar] [CrossRef]
- Roca, C.U.; Gonzalez, F.M.; Bala, M.I.; Saucedo, M.; Bandeo, L.; Cejas, L.L.; Pacha, S.; Bonardo, P.; Rugilo, C.; Dezanzo, P.; et al. Pseudotumoral Presentation of Cerebral Amyloid-Beta Angiopathy: Case Report and Review of Literature. Psychiatry Investig. 2021, 18, 479–485. [Google Scholar] [CrossRef]
- Sakaguchi, H.; Ueda, A.; Kosaka, T.; Yamashita, S.; Kimura, E.; Yamashita, T.; Maeda, Y.; Hirano, T.; Uchino, M. Cerebral amyloid angiopathy-related inflammation presenting with steroid-responsive higher brain dysfunction: Case report and review of the literature. J. Neuroinflamm. 2011, 8, 116. [Google Scholar] [CrossRef]
- Sakai, K.; Hayashi, S.; Sanpei, K.; Yamada, M.; Takahashi, H. Multiple cerebral infarcts with a few vasculitic lesions in the chronic stage of cerebral amyloid angiopathy-related inflammation. Neuropathology 2011, 32, 551–556. [Google Scholar] [CrossRef]
- Salam, S.; Anandarajah, M.; Al-Bachari, S.; Pal, P.; Sussman, J.; Hamdalla, H. Relapsing cerebral amyloid angiopathy-related inflammation: The wax and the wane. Pr. Neurol. 2017, 17, 392–395. [Google Scholar] [CrossRef]
- Saliou, V.; Ben Salem, D.; Ognard, J.; Guellec, D.; Marcorelles, P.; Rouhart, F.; Zagnoli, F.; Timsit, S. A Collet–Sicard syndrome due to internal carotid artery dissection associated with cerebral amyloid angiopathy–related inflammation. SAGE Open Med Case Rep. 2018, 6. [Google Scholar] [CrossRef]
- Sallèles, E.; Bonneville, F.; Delisle, M.-B.; Rigal, E.; Raposo, N.; Pariente, J. Acute ischemic lesions in cerebral amyloid angiopathy-related inflammation. Rev. Neurol. 2019, 175, 575–577. [Google Scholar] [CrossRef]
- Savoiardo, M.; Erbetta, A.; Storchi, G.; Girotti, F. Case 159: Cerebral Amyloid Angiopathy–related Inflammation 1. Radiology 2010, 256, 323–327. [Google Scholar] [CrossRef]
- Savoiardo, M.; Erbetta, A.; Di Francesco, J.; Brioschi, M.; Silani, V.; Falini, A.; Storchi, G.; Brighina, L.; Ferrarese, C.; Ticozzi, N.; et al. Cerebral Amyloid Angiopathy-Related Inflammation: An Emerging Disease. Neuroradiol. J. 2011, 24, 253–257. [Google Scholar] [CrossRef]
- Severijns, C.; Drion, E.; Bianchi, E.; Maquet, P. Cerebral Amyloid Angiopathy-Related Inflammation following Multiple Cancers and Chemotherapies. Case Rep. Neurol. 2022, 14, 149–156. [Google Scholar] [CrossRef]
- Silek, H.; Erbas, B. Cerebral amyloid angiopathy related Ýnflammation presenting as steroid responsive brain mass. Turk. Neurosurg. 2018. [Google Scholar] [CrossRef]
- Sowanou, A.V.; Ungureanu, A.; Paulin, M. Cerebral amyloid angiopathy related inflammation with leptomeningeal involvement: A case report and review of the literature. Acta Neurol. Belg. 2022, 122, 1131–1134. [Google Scholar] [CrossRef]
- Takeuchi, Y.; Murahashi, S.; Hara, Y.; Nakajima, M.; Ueda, M. A case of inflammatory cerebral amyloid angiopathy with white matter lesions appearing after brain biopsy. Rinsho Shinkeigaku 2021, 61, 188–193. [Google Scholar] [CrossRef]
- Tetsuka, S.; Hashimoto, R. Slightly Symptomatic Cerebral Amyloid Angiopathy-Related Inflammation with Spontaneous Remission in Four Months. Case Rep. Neurol. Med. 2019, 2019, 5308208-5. [Google Scholar] [CrossRef]
- Tolchin, B.; Fantaneanu, T.; Miller, M.; Helgager, J.; Lee, J.W. Status epilepticus caused by cerebral amyloid angiopathy-related inflammation. Epilepsy Behav. Rep. 2016, 6, 19–22. [Google Scholar] [CrossRef]
- Tominaga, K.; Kawaguchi, T.; Fujimura, M.; Saito, A.; Watanabe, M.; Tominaga, T. Slowly progressive cerebral amyloid angiopathy-related inflammation: Characteristic findings of sequential magnetic resonance imaging. Clin. Neurol. Neurosurg. 2020, 197, 106198. [Google Scholar] [CrossRef]
- Voicu, I.P.; Tagliati, C.; Sciamanna, S.; Lanni, G. Cerebral amyloid angiopathy-related inflammation: A rare disease that needs to be diagnosed. BMJ Case Rep. 2021, 14, e242057. [Google Scholar] [CrossRef]
- Wengert, O.; Harms, L.; Siebert, E. Cerebral Amyloid Angiopathy-Related Inflammation: A Treatable Cause of Rapidly-Progressive Dementia. J. Neuropsychiatry Clin. Neurosci. 2012, 24, E1–E2. [Google Scholar] [CrossRef]
- Xu, Y.-Y.; Chen, S.; Zhao, J.-H.; Chen, X.-L.; Zhang, J.-W. A Case of Cerebral Amyloid Angiopathy-Related Inflammation With the Rare Apolipoprotein ε2/ε2 Genotype. Front. Neurol. 2019, 24. [Google Scholar] [CrossRef]
- Yamamoto, D.; Ishima, D.; Inukai, M.; Niki, J.; Usui, R.; Koizumi, H.; Saegusa, M.; Nishiyama, K.; Kumabe, T. Cerebral Amyloid Angiopathy-related Inflammation Demonstrating Early Venous Filling on Digital Subtraction Angiography: A Case Report. Neurol. Surg. 2020, 48, 641–647. [Google Scholar] [CrossRef]
- Yamashita, Y.; Hatano, T.; Ogawa, T.; Daida, K.; Motoi, Y.; Hattori, N. Steroid-Responsive Parkinsonism Caused by Cerebral Amyloid Angiopathy-Related Inflammation. Mov. Disord. Clin. Pr. 2020, 7, 329–331. [Google Scholar] [CrossRef]
- Ng, D.W.; Magaki, S.; Terashima, K.H.; Keener, A.M.; Salamon, N.; Karnezis, S.; Macyszyn, L.; Vinters, H.V. Amyloid- β –related angiitis: A report of 2 cases with unusual presentations. Hum. Pathol. 2017, 64, 191–197. [Google Scholar] [CrossRef][Green Version]
- Theodorou, A.; Lachanis, S.; Alexopoulos, P.; Palaiodimou, L.; Kollia, N.; Voumvourakis, K.; Tsivgoulis, G. Teaching NeuroImages: Acute convexity subarachnoid hemorrhage. Neurology 2019, 93, e524–e525. [Google Scholar] [CrossRef] [PubMed]
- Koudriavtseva, T.; Lorenzano, S.; Anelli, V.; Sergi, D.; Stefanile, A.; Di Domenico, E.G.; Maschio, M.; Galiè, E.; Piantadosi, C. Case Report: Probable Cerebral Amyloid Angiopathy-Related Inflammation During Bevacizumab Treatment for Metastatic Cervical Cancer. Front. Oncol. 2021, 11, 669753. [Google Scholar] [CrossRef] [PubMed]
- Ray, C.; Dionne, K. Probable Cerebral Amyloid Angiopathy–Related Inflammation Associated With Sitravatinib. Neurol. Clin. Pr. 2022, 12, e4–e6. [Google Scholar] [CrossRef] [PubMed]
- Maddox, D.; Ward, K.; Robertson, T.; Boggild, M. Cerebral amyloid angiopathy with related inflammation masquerading as crescendo transient ischaemic attacks. Pract. Neurol. 2022, 22, 216–219. [Google Scholar] [CrossRef] [PubMed]
- Kirshner, H.S.; Bradshaw, M. The Inflammatory Form of Cerebral Amyloid Angiopathy or “Cerebral Amyloid Angiopathy-Related Inflammation”(CAARI). Curr. Neurol. Neurosci. Rep. 2015, 15, 54. [Google Scholar] [CrossRef]
- Scolding, N.J.; Joseph, F.; Kirby, P.A.; Mazanti, I.; Gray, F.; Mikol, J.; Ellison, D.; Hilton, D.A.; Williams, T.L.; MacKenzie, J.M.; et al. Abeta-related angiitis: Primary angiitis of the central nervous system associated with cerebral amyloid angiopathy. Brain 2005, 128, 500–515. [Google Scholar] [CrossRef]
- Salvarani, C.; Brown, R.D., Jr.; Hunder, G.G. Adult primary central nervous system vasculitis: An update. Curr. Opin. Rheumatol. 2012, 24, 46–52. [Google Scholar] [CrossRef]
- Chwalisz, B.K. Cerebral amyloid angiopathy and related inflammatory disorders. J. Neurol. Sci. 2021, 15, 117425. [Google Scholar] [CrossRef]
- Raghavan, P.; Looby, S.; Bourne, T.D.; Wintermark, M. Cerebral amyloid angiopathy-related inflammation: A potentially reversible cause of dementia with characteristic imaging findings. J. Neuroradiol. 2016, 43, 11–17. [Google Scholar] [CrossRef]
- Grangeon, L.; Quesney, G.; Verdalle-Cazes, M.; Coulette, S.; Renard, D.; Wacongne, A.; Allou, T.; Olivier, N.; Boukriche, Y.; Blanchet-Fourcade, G.; et al. Different clinical outcomes between cerebral amyloid angiopathy-related inflammation and non-inflammatory form. J. Neurol. 2022, 26, 4972–4984. [Google Scholar] [CrossRef]
- Kinnecom, C.; Lev, M.H.; Wendell, L.; Smith, E.E.; Rosand, J.; Frosch, M.P.; Greenberg, S.M. Course of cerebral amyloid angiopathy-related inflammation. Neurology 2007, 68, 1411–1416. [Google Scholar] [CrossRef] [PubMed]
- Li, D.; Qin, W.; Guo, Y.; Xia, M.; Li, S.; Zhang, J.; Zang, W. Clinical, laboratory, and radiological features of cerebral amyloid angiopathy-related inflammation (CAA-ri): Retrospective, observational experience of a single centre. Neurol. Sci. 2022. [Google Scholar] [CrossRef] [PubMed]
- Wu, J.J.; Yao, M.; Ni, J. Cerebral amyloid angiopathy-related inflammation: Current status and future implications. Chin. Med. J. (Engl.) 2021, 134, 646–654. [Google Scholar] [CrossRef] [PubMed]
- Ichimata, S.; Hata, Y.; Yoshida, K.; Nishida, N. Autopsy of a multiple lobar hemorrhage case with amyloid-β-related angiitis. Neuropathology 2020, 40, 280–286. [Google Scholar] [CrossRef]
- Plotzker, A.S.; Henson, R.L.; Fagan, A.M.; Morris, J.C.; Day, G.S. Clinical and Paraclinical Measures Associated with Outcome in Cerebral Amyloid Angiopathy with Related Inflammation. J. Alzheimer’s Dis. 2021, 80, 133–142. [Google Scholar] [CrossRef]
- Cancelloni, V.; Rufa, A.; Battisti, C.; De Stefano, N.; Mastrocinque, E.; Garosi, G.; Venezia, D.; Chiarotti, I.; Cerase, A. Diagnosis, treatment, and follow-up of patients with cerebral amyloid angiopathy-related inflammation. Neurol. Sci. 2022, 43, 6381–6387. [Google Scholar] [CrossRef]
- Kozberg, M.G.; Perosa, V.; Gurol, M.E.; van Veluw, S.J. A practical approach to the management of cerebral amyloid angiopathy. Int. J. Stroke 2021, 16, 356–369. [Google Scholar] [CrossRef]
- Regenhardt, R.W.; Thon, J.M.; Das, A.S.; Thon, O.R.; Charidimou, A.; Viswanathan, A.; Gurol, M.E.; Chwalisz, B.K.; Frosch, M.P.; Cho, T.A.; et al. Association Between Immunosuppressive Treatment and Outcomes of Cerebral Amyloid Angiopathy-Related Inflammation. JAMA Neurol. 2020, 77, 1261–1269. [Google Scholar] [CrossRef]
- Rempe, T.; Sollero, C.E.V.; Rodriguez, E.; Viswanathan, V.T.; Carlson, A.; Rees, J.; Tuna, I.S.; Kresak, J.; Gyang, T.V. Corticosteroids lead to short-term improvement in cerebral amyloid angiopathy-related inflammation. J. Neuroimmunol. 2020, 348, 577377. [Google Scholar] [CrossRef]
Publisher’s Note: MDPI stays neutral with regard to jurisdictional claims in published maps and institutional affiliations. |
© 2022 by the authors. Licensee MDPI, Basel, Switzerland. This article is an open access article distributed under the terms and conditions of the Creative Commons Attribution (CC BY) license (https://creativecommons.org/licenses/by/4.0/).
